HOSPITAL LUIS VERNAZA
El  SERVICIO DE EMERGENCIA  es la zona mas conflictiva de los hospitales. Es la sala que genera reputación o descrédito, en las instituciones asistenciales. Es el área de la verdad; en ella se forman y templan su espíritu los profesionales de la salud. Es el espacio critico donde no hay oportunidad suficiente para consultar, para esperar, para diferir; ni existen diferencias entre el día y la noche.  Allí se conoce la frontera entre la vida y la muerte; se tienen momentos de satisfacción cuando se rescata una vida, o de frustración cuando se la  siente que se apaga. Dr. Gustavo Arosemena Monroy
Es la causa de arrepentimiento, el ámbito de los que se acuerdan de Dios, y claman su amparo. Es el purgatorio de los incompetentes o la palestra donde descuellan los estudiosos. Es el ambiente impredecible que liga, en interminable sucesión,  equipo de salud y enfermo; y arena en que luchan juntos tenazmente contra sus enemigos, la muerte cruel y su cómplice el tiempo. Dr. Gustavo Arosemena Monroy
 
 
PROTOCOLO DE ACTUACCION ANTE EL PACIENTE  QUE DETERIORA LA CONCIENCIA Dr. Alex Gutiérrez Vega Profesor de Medicina Interna  Facultad de CC MM  Medico  -  Clínico  de la  Sala San Vicente  del Hospital Luis Vernaza
CONCIENCIA El estado en el que una persona se da cuenta de sí misma y del entorno que le rodea. El sujeto está alerta, es decir, despierto, y con una actitud mental intelectiva y afectiva suficiente para permitirle integrar y responder a los estímulos internos y externos, para procesar la información ..
DEPENDE TRASTORNOS DE LA CONCIENCIA: LETARGIA SOMNOLENCIA OBNUBILACIÓN ESTUPOR HEMISFERIOS CEREBRALES TRONCO CEREBRAL SARA Coma Conciencia
PROTOCOLO DE ACTUACION ANTE EL PACIENTE  QUE DETERIORA LA CONCIENCIA ¿SE ENCUENTRA EN PCR? ¿TIENE TRASTORNOS DE LA CONCIENCIA? ¿DEBO DE ACTUAR  INMEDIATAMENTE? ¿CUALES  SON  LAS CAUSAS? ¿CUAL  ES  LA MAS PROBABLE? ¿COMO  LA CERTIFICO? ¿CUAL  ES  EL TRATAMIENTO  ESPECIFICO?
ALTERACION DEL NIVEL DE CONCIENCIA LETARGIA:  COMUNICA BIEN PERO CON DESINTERES SOMNOLENCIA:  TENDENCIA AL SUEÑO. DESPIERTA ORIENTADO OBNUBILACION:  DESORIENTADO -  TRANQUILO ESTUPOR:  DESORIENTADO - INTRANQUILO - IRRITABLE COMA SUPERFICIAL:  POSTURAS ANORMALES COMA PROFUNDO:  SIN RESPUESTA AL DOLOR- SIN REFLEJOS MUERTE CEREBRAL:  EEG LINEA ISOELECTRICA
ESCALA DE GLASGOW APERTURA OCULAR (4 PUNTOS) APERTURA ESPONTANEA  =  4 APERTURA AL ESTIMULO VERBAL  =  3 APERTURA AL ESTIMULO DOLOROSO =  2 NINGUNO =  1 RESPUESTA VERBAL (5 PUNTOS) ORIENTADO =  5 DESORIENTADO =  4 PALABRAS INAPROPIADAS =  3 SONIDOS INCOMPRENSIBLES =  2 NINGUNA =  1 RESPUESTA MOTORA (6 PUNTOS) OBEDECE ORDENES VERBALES =  6 AL ESTIMULO DOLOROSO LOCALIZA =  5 AL ESTIMULO DOLOROSO RETIRA =  4 AL ESTIMULO DOLOROSO POSTURA DECORTICACION =  3 AL ESTIMULO DOLOROSO POSTURA DECEREBRACION =  2 AL ESTIMULO DOLOROSO NINGUNO =  1
ACTITUD FRENTE A  GLASGOW  < 8  MEDIDAS GENERALES POSICION SEMISENTADA: CABECERA ENTRE 0 Y 30º: PERMITE UNA PIC ÓPTIMA MANTENIMIENTO DE NORMOTERMIA: MEDIOS FÍSICOS - ANTIPIRETICOS PERMEABILIZAR  LA VIA AEREA.  SOPORTE VENTILATORIO: INTUBACION ENDOTRAQUEAL (A.R.M.). CANALIZAR VIA:  PERIFERICA  O CENTRAL (PVC) = S.S.I 0,9%  S.N.G: LAVADO  GASTRICO – N.P.O -ALIMENTACIÓN PRECOZ ENTERAL  C. S.V: ANOTAR EN HOJA DE EVOLUCION MONITORIZACION CONTINUA.
ACTITUD FRENTE A GLASGOW  < 8  MEDIDAS GENERALES PULSIOXIMETRIA CONTINUA. MEDIDAS ANTIEMBOLICAS. LÁGRIMAS ARTIFICIALES O UNGÜENTOS. COLCHÓN NEUMÁTICO O DE AGUA. DECÚBITOS FRECUENTES. KINESIOTERAPIA  RESPIRATORIA  PREVENCIÓN DE TVP. TOMA DE MUESTRA  SANGUINEA: B.H.C-GLICEMIA-ELECTROLITOS-NITROGENADOS - GAS ARTERIAL. RX DE TORAX -  E.K.G. INTERCONSULTAS. EXAMENES ESPECIFICOS: SEROLOGICOS -  T.A.C - R.M.N - P.L - TOXICOS - ORINA
 
Comas estructurales Etiología Lesiones focales infra o supratentoriales   ACV hemorrágico  ACV isquémico extenso  Hematoma intracraneal  Tumores  Abscesos  Hidrocefalia  Lesiones difusas   Meningitis  Encefalitis  Status epiléptico  Encefalopatía hipert. Lesión axonal difusa Lesiones secundarias a aumento de la PIC
Comas metabólicos Etiología Encefalopatías metabólicas   Hipoglucemia  Cetoacidosis diabética  Coma hiperosmolar  Uremia  Encefalopatía hepática  Hipo/hipernatremia  Hipo/hipercalcemia  Mixedema Carenciales  Encefalop. de Wernike Encefalopatías hipóxicas   PCR  Insuf. cardíaca congest.  Insuf. respiratoria cron.  Anemia severa (hipovol.) Tóxicas   Metales pesados  Monóxido de carbono  Fármacos  Alcohol  Bacteriemia Físicas
CAUSAS DE COMA EN 233 PACIENTES INTERNADOS EN UCI EN COLUMBIA PRESBYTERIAN MEDICAL CENTER CAUSAS NEUROLOGICA PRIMARIA: HEMORRAGIA INTRACRANEAL INFARTO CEREBRAL TRAUMATISMO CEREBRAL MENINGITIS HEMORRAGIA SUBARACNOIDEA TUMOR CEREBRAL HEMORRAGIA INTRAVENTRICULAR ESTADO EPILEPTICO HIDROCEFALIA ABSCESO CEREBRAL 20 18 12 11 11 4 3 3 2 1 85
CAUSAS DE COMA EN 233 PACIENTES INTERNADOS EN UCI EN COLUMBIA PRESBYTERIAN MEDICAL CENTER CAUSAS SECUNDARIA SISTEMICA: HIPOXIA E ISQUEMIA METABOLICA INFECCION SISTEMICA INTOXICACION POR SUSTANCIAS ANESTESIA (NARCOTICOS) INSUFICIENCIA CARDIACA I.A.M.  ENFERMEDADES HEMATOLOGICAS TUMORES MALIGNOS SISTEMICOS 52 48 17 8 7 5 3 2 2 144
PATRÓN RESPIRATORIO PATRON DE  CONCIENCIA PATRÓN PUPILAR PATRÓN TRONCULAR PATRON MOTOR TRASTORNOS DE LA CONCIENCIA Anamnesis Examen Físico General Examen neurológico
La Evaluación del paciente debe tener una secuencia ordenada, iniciando con signos vitales y siguiendo con la exploraciones físicas generales y neurológicas
 
VALORAR LOS SIGNOS VITALES (ANOTARLOS) PRESION ARTERIAL FRECUENCIA CARDIACA  FRECUENCIA RESPIRATORIA PULSO  TEMPERATURA DIURESIS DEPOSICION PUPILAS  NIVEL DE CONCIENCIA
ANAMNESIS EN EL PACIENTE COMATOSO QUE RELACION TIENE CON EL PACIENTE?  DONDE LO ENCONTRO? QUE HABIA EN EL MEDIO? CUANDO LO ENCONTRO? CUALES FUERON LAS CIRCUNSTANCIAS Y LA RAPIDEZ CON QUE SURGIERON LOS SIGNOS Y SÍNTOMAS? QUE ENFERMEDAD PADECE? ES: HIPERTENSO, DIABETICO, HEPATICO, NEFROPATA, GLANDULAR, EPILEPTICO.? QUE PROFESIONAL  LO ATIENDE? QUE FARMACOS TOMABA, DOSIS? COMO ESTABA  EMOCIONALMENTE.?
CONOCE SUS HABITOS (ALCOHOL, DROGAS, SEXO)? HA SIDO HOSPITALIZADO ANTERIORMENTE? QUE DIAGNOSTICO RECIBIO? QUE SIGNOS O SINTOMAS LO ACOMPAÑARON? CEFALEA - VOMITOS FIEBRE- ESCALOFRIOS TOS- EXPECTORACION- HEMOPTISIS POLIURIA- POLIDIPSIA - POLIFAGIA ICTERICIA- COLURIA EDEMA- OLIGURIA- HEMATURIA DISNEA- PALPITACIONES DEBILIDAD – MAREOS - DIPLOPIA AUMENTO / PERDIDA DE PESO AMENORREA- METRORRAGIAS- EMBARAZO- ABORTO ANAMNESIS EN EL PACIENTE COMATOSO
ANAMNESIS EN EL PACIENTE COMATOSO A = ALCOHOL E = EPILEPSIA I =  INFECCIONES DEL S.N.C 0 = OPIACIOS – DROGAS U = UREMIA T = T.C.E. T = TENSION ARTERIAL (ACV) T = TOXICOS - VENENOS T = TUMOR CEREBRAL T = TOXEMIA DEL EMBARAZO T = TRASTORNOS METABOLICOS ELECTROLITICOS: Na, K, Ca, ACIDIO-BASE NO ELECTROLITOS: GLICEMIA, AMIONIACO, CREATININA, T3-T4- TSH, CORTISOL PLASMATICO, ACTH. P = PSICOGENA
EXPLORACION FISICA GENERAL EN EL PACIENTE COMATOSO
 
 
 
 
 
 
 
 
 
 
 
 
 
 
EXPLORACIÓN DE LA PIEL TRASTORNOS DE LA COLORACIÓN: CIANOSIS – ROJO CEREZA – AMARILLO PAJIZO – PALIDEZ – MELANODERMIA - ICTERICIA SIGNOS DE VENOPUNCION SIGNOS DE HEPATOPATIA LESIONES PRIMARIAS – SECUNDARIAS QUEMADURAS SUDORACIÓN – FRIALDAD – HIPERTERMIA HUELLAS DE TRAUMA.
 
 
 
 
 
 
 
 
 
 
 
 
PATRÓN RESPIRATORIO PATRON DE  CONCIENCIA PATRÓN PUPILAR PATRÓN TRONCULAR PATRON MOTOR TRASTORNOS DE LA CONCIENCIA Anamnesis Examen Físico General Examen neurológico
PATRON DE CONCIENCIA SI EXISTE REALMENTE UN DETERIORO DE LA CONCIENCIA SI DEBEMOS ACTUAR INMEDIATAMENTE: ESTABILIZARLO SI SU TRASTORNO ES DE ORIGEN: METABOLICO NEUROLOGICO SI ES METABOLICO : ES DE CAUSA ENDOGENA EXOGENA SI ES NEUROLOGICO, ES DE LOCALIZACION: SUPRATENTORIAL INFRATENTORIAL SI ES SUPRATENTORIAL, ES DE LOCALIZACION: HEMISFERIO DERECHO HEMISFERIO IZQUIERDO SI ES INFRATENTORIAL, ES DE LOCALIZACION : MESENCEFALICO PROTUBERANCIAL BULBAR CUAL ES SU DIAGNOSTICO PRESUNTIVO CUAL ES EL EXAMEN QUE LO CERTIFICA  CUAL ES SU PRONOSTICO: BUENO MALO LETAL RESERVADO
ESCALA DE HUNT - HESS CRITERIOS  ASINTOMATICO O CEFALEA LEVE. CEFALEA MODERADA A INTENSA, RIGIDEZ NUCA CON O SIN LESION DE ALGUN PAR CRANEAL.  CONFUSION, LETARGIA O SINTOMAS LOCALIZADOS LEVES.  ESTUPOR, HEMIPARESIA O AMBOS.  ESTADO COMATOSO, POSTURA EN EXTENSION O AMBOS. GRADOS I. II. III. IV. V.
  PATRON PUPILAR REFLEJO A LA LUZ: REACTIVAS: NORMAL – LESION METABOLICA PARALITICAS: LESION NEUROLOGICA TAMAÑO: MIOSIS:  REACTIVA: OPIACEOS – ORGANOS FOSFORADOS  ARREACTIVA: LESION PONTINA TAMAÑO MIDRIASIS: REACTIVA: ATROPINA – COCAINA – ANFETAMINAS ARREACTIVA: LESION DEL III PAR –– HERNIA TRANSTENTORIAL SIMETRIA: ISOCORICAS: NORMAL – LESION METABOLICA ANISOCORICAS: SITIO DE LESION CEREBRAL
 
 
  RESPIRACIÓN DE CHEYNE STOKES RESPIRACIÓN DE KUSSMAUL HIPERVENTILACION NEUROGENA CENTRAL MESENCEFALICA RESPIRACIÓN APNEUSTICA ATAXIA RESPIRATORIA RESPIRACION EN RACIMO O CLUSTER PATRON  RESPIRATORIO: VALORAR
 
MONO -HEMI – PARA – CUADRI – DI (PLEJIA – PARESIA) PARÁLISIS DIRECTA PARÁLISIS ALTERNA HIPERTONIAS:  RIGIDEZ EXTRAPIRAMIDAL ESPASTICIDAD PIRAMIDAL RIGIDEZ DE DESCEREBRACION RIGIDEZ DE DECORTICACION EXTENSION DE MIEMBROS SUPERIORES CON FLEXION DE MIEMBROS INFERIORES RIGIDEZ DE NUCA OPISTOTONOS
 
 
PATRON  DEL TRONCO: VALORAR REFLEJO OCULOCEFALICO (OJOS DE MUÑECA) REFLEJO OCULOVESTIBULAR (ESTIMULACION DEL CONDUCTO AUDITIVO CON AGUA FRIA) MOVIMIENTOS OCULARES ANORMALES “ NUNCA SE OLVIDARÁ LA  POSIBILIDAD DE QUE HAYA LESIONES DE COLUMNA CERVICAL, EN PARTICULAR ANTES DE CUALQUIER INTENTO DE INTUBACIÓN O DE EVALUAR LAS RESPUESTAS OCULOCEFÁLICAS”
EXAMENES COMPLEMENTARIOS   EN EL PACIENTE COMATOSO
EXAMENES COMPLEMENTARIOS SEROLOGICOS: BHC – GLICEMIA – ELECTROLITOS – NITROGENADOS – GAS ARTERIAL – HEPATOGRAMA – HORMONALES – MARCADORES INFECCIOSOS – CULTIVO/ ANTIBIOGRAMA  – TOXICOS -  IMÁGENES:  Rx DE TORAX – TC – RMN – ARTERIOGRAFIA –  ELECTRICOS: EKG – EEG OTROS: P.L – FONDO DE OJO
 
 
 
 
 
 
 
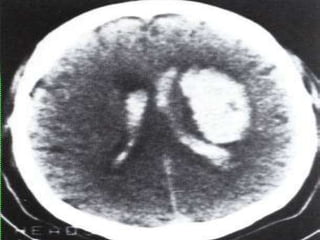
ESCALA DE FISHER: HALLAZGOS TOMOGRÁFICOS EN HSA Grupo  Descripción  1 No se detecta sangre 2 Depósito difuso o capa delgada de sangre cuando todas las capas verticales miden < 1mm de espesor 3 Coágulos localizados o capas verticales de sangre > 1 mm de espesor 4 Sangre subaracnoidea difusa o ausencia de sangre subaracnoidea pero con coágulo intraparenquimatoso o intraventrícular
 
 
 
 
ANAMNESIS EN EL PACIENTE COMATOSO A = ALCOHOL E = EPILEPSIA I =  INFECCIONES DEL S.N.C 0 = OPIACIOS – DROGAS U = UREMIA T = T.C.E. T = TENSION ARTERIAL (ACV) T = TOXICOS - VENENOS T = TUMOR CEREBRAL T = TOXEMIA DEL EMBARAZO T = TRASTORNOS METABOLICOS ELECTROLITICOS: Na, K, Ca, ACIDIO-BASE NO ELECTROLITOS: GLICEMIA, AMIONIACO, CREATININA, T3-T4- TSH, CORTISOL PLASMATICO, ACTH. P = PSICOGENA
El Medico Joven que cree saber diagnosticar casi siempre obedece de un mal muy común de esa etapa de inmadurez, que es la supervaloración del ego, etapa de inmadurez que desgraciadamente persiste en ciertos individuos hasta la edad provecta. Y así me constituí en diagnosticador rápido y petulante, engreído de mi propio saber, que creía solamente en Dios y en mi mismo, en todo caso un ser abominable del que con la experiencia que los años traen, ahora me avergüenzo; etapa idiota y tonta propia de la juventud inexperta. Pero la vida misma del profesional le enseña la humildad y sobre todo a ser humano.  Dr. Oswaldo Barrera Sosa
Muchas Gracias
 
 
 
 
 
 
 
 
 

Paciente que deteriora la Conciencia

  • 1.
  • 2.
    El SERVICIODE EMERGENCIA es la zona mas conflictiva de los hospitales. Es la sala que genera reputación o descrédito, en las instituciones asistenciales. Es el área de la verdad; en ella se forman y templan su espíritu los profesionales de la salud. Es el espacio critico donde no hay oportunidad suficiente para consultar, para esperar, para diferir; ni existen diferencias entre el día y la noche. Allí se conoce la frontera entre la vida y la muerte; se tienen momentos de satisfacción cuando se rescata una vida, o de frustración cuando se la siente que se apaga. Dr. Gustavo Arosemena Monroy
  • 3.
    Es la causade arrepentimiento, el ámbito de los que se acuerdan de Dios, y claman su amparo. Es el purgatorio de los incompetentes o la palestra donde descuellan los estudiosos. Es el ambiente impredecible que liga, en interminable sucesión, equipo de salud y enfermo; y arena en que luchan juntos tenazmente contra sus enemigos, la muerte cruel y su cómplice el tiempo. Dr. Gustavo Arosemena Monroy
  • 4.
  • 5.
  • 6.
    PROTOCOLO DE ACTUACCIONANTE EL PACIENTE QUE DETERIORA LA CONCIENCIA Dr. Alex Gutiérrez Vega Profesor de Medicina Interna Facultad de CC MM Medico - Clínico de la Sala San Vicente del Hospital Luis Vernaza
  • 7.
    CONCIENCIA El estadoen el que una persona se da cuenta de sí misma y del entorno que le rodea. El sujeto está alerta, es decir, despierto, y con una actitud mental intelectiva y afectiva suficiente para permitirle integrar y responder a los estímulos internos y externos, para procesar la información ..
  • 8.
    DEPENDE TRASTORNOS DELA CONCIENCIA: LETARGIA SOMNOLENCIA OBNUBILACIÓN ESTUPOR HEMISFERIOS CEREBRALES TRONCO CEREBRAL SARA Coma Conciencia
  • 9.
    PROTOCOLO DE ACTUACIONANTE EL PACIENTE QUE DETERIORA LA CONCIENCIA ¿SE ENCUENTRA EN PCR? ¿TIENE TRASTORNOS DE LA CONCIENCIA? ¿DEBO DE ACTUAR INMEDIATAMENTE? ¿CUALES SON LAS CAUSAS? ¿CUAL ES LA MAS PROBABLE? ¿COMO LA CERTIFICO? ¿CUAL ES EL TRATAMIENTO ESPECIFICO?
  • 10.
    ALTERACION DEL NIVELDE CONCIENCIA LETARGIA: COMUNICA BIEN PERO CON DESINTERES SOMNOLENCIA: TENDENCIA AL SUEÑO. DESPIERTA ORIENTADO OBNUBILACION: DESORIENTADO - TRANQUILO ESTUPOR: DESORIENTADO - INTRANQUILO - IRRITABLE COMA SUPERFICIAL: POSTURAS ANORMALES COMA PROFUNDO: SIN RESPUESTA AL DOLOR- SIN REFLEJOS MUERTE CEREBRAL: EEG LINEA ISOELECTRICA
  • 11.
    ESCALA DE GLASGOWAPERTURA OCULAR (4 PUNTOS) APERTURA ESPONTANEA = 4 APERTURA AL ESTIMULO VERBAL = 3 APERTURA AL ESTIMULO DOLOROSO = 2 NINGUNO = 1 RESPUESTA VERBAL (5 PUNTOS) ORIENTADO = 5 DESORIENTADO = 4 PALABRAS INAPROPIADAS = 3 SONIDOS INCOMPRENSIBLES = 2 NINGUNA = 1 RESPUESTA MOTORA (6 PUNTOS) OBEDECE ORDENES VERBALES = 6 AL ESTIMULO DOLOROSO LOCALIZA = 5 AL ESTIMULO DOLOROSO RETIRA = 4 AL ESTIMULO DOLOROSO POSTURA DECORTICACION = 3 AL ESTIMULO DOLOROSO POSTURA DECEREBRACION = 2 AL ESTIMULO DOLOROSO NINGUNO = 1
  • 12.
    ACTITUD FRENTE A GLASGOW < 8 MEDIDAS GENERALES POSICION SEMISENTADA: CABECERA ENTRE 0 Y 30º: PERMITE UNA PIC ÓPTIMA MANTENIMIENTO DE NORMOTERMIA: MEDIOS FÍSICOS - ANTIPIRETICOS PERMEABILIZAR LA VIA AEREA. SOPORTE VENTILATORIO: INTUBACION ENDOTRAQUEAL (A.R.M.). CANALIZAR VIA: PERIFERICA O CENTRAL (PVC) = S.S.I 0,9% S.N.G: LAVADO GASTRICO – N.P.O -ALIMENTACIÓN PRECOZ ENTERAL C. S.V: ANOTAR EN HOJA DE EVOLUCION MONITORIZACION CONTINUA.
  • 13.
    ACTITUD FRENTE AGLASGOW < 8 MEDIDAS GENERALES PULSIOXIMETRIA CONTINUA. MEDIDAS ANTIEMBOLICAS. LÁGRIMAS ARTIFICIALES O UNGÜENTOS. COLCHÓN NEUMÁTICO O DE AGUA. DECÚBITOS FRECUENTES. KINESIOTERAPIA RESPIRATORIA PREVENCIÓN DE TVP. TOMA DE MUESTRA SANGUINEA: B.H.C-GLICEMIA-ELECTROLITOS-NITROGENADOS - GAS ARTERIAL. RX DE TORAX - E.K.G. INTERCONSULTAS. EXAMENES ESPECIFICOS: SEROLOGICOS - T.A.C - R.M.N - P.L - TOXICOS - ORINA
  • 14.
  • 15.
    Comas estructurales EtiologíaLesiones focales infra o supratentoriales ACV hemorrágico ACV isquémico extenso Hematoma intracraneal Tumores Abscesos Hidrocefalia Lesiones difusas Meningitis Encefalitis Status epiléptico Encefalopatía hipert. Lesión axonal difusa Lesiones secundarias a aumento de la PIC
  • 16.
    Comas metabólicos EtiologíaEncefalopatías metabólicas Hipoglucemia Cetoacidosis diabética Coma hiperosmolar Uremia Encefalopatía hepática Hipo/hipernatremia Hipo/hipercalcemia Mixedema Carenciales Encefalop. de Wernike Encefalopatías hipóxicas PCR Insuf. cardíaca congest. Insuf. respiratoria cron. Anemia severa (hipovol.) Tóxicas Metales pesados Monóxido de carbono Fármacos Alcohol Bacteriemia Físicas
  • 17.
    CAUSAS DE COMAEN 233 PACIENTES INTERNADOS EN UCI EN COLUMBIA PRESBYTERIAN MEDICAL CENTER CAUSAS NEUROLOGICA PRIMARIA: HEMORRAGIA INTRACRANEAL INFARTO CEREBRAL TRAUMATISMO CEREBRAL MENINGITIS HEMORRAGIA SUBARACNOIDEA TUMOR CEREBRAL HEMORRAGIA INTRAVENTRICULAR ESTADO EPILEPTICO HIDROCEFALIA ABSCESO CEREBRAL 20 18 12 11 11 4 3 3 2 1 85
  • 18.
    CAUSAS DE COMAEN 233 PACIENTES INTERNADOS EN UCI EN COLUMBIA PRESBYTERIAN MEDICAL CENTER CAUSAS SECUNDARIA SISTEMICA: HIPOXIA E ISQUEMIA METABOLICA INFECCION SISTEMICA INTOXICACION POR SUSTANCIAS ANESTESIA (NARCOTICOS) INSUFICIENCIA CARDIACA I.A.M. ENFERMEDADES HEMATOLOGICAS TUMORES MALIGNOS SISTEMICOS 52 48 17 8 7 5 3 2 2 144
  • 19.
    PATRÓN RESPIRATORIO PATRONDE CONCIENCIA PATRÓN PUPILAR PATRÓN TRONCULAR PATRON MOTOR TRASTORNOS DE LA CONCIENCIA Anamnesis Examen Físico General Examen neurológico
  • 20.
    La Evaluación delpaciente debe tener una secuencia ordenada, iniciando con signos vitales y siguiendo con la exploraciones físicas generales y neurológicas
  • 21.
  • 22.
    VALORAR LOS SIGNOSVITALES (ANOTARLOS) PRESION ARTERIAL FRECUENCIA CARDIACA FRECUENCIA RESPIRATORIA PULSO TEMPERATURA DIURESIS DEPOSICION PUPILAS NIVEL DE CONCIENCIA
  • 23.
    ANAMNESIS EN ELPACIENTE COMATOSO QUE RELACION TIENE CON EL PACIENTE? DONDE LO ENCONTRO? QUE HABIA EN EL MEDIO? CUANDO LO ENCONTRO? CUALES FUERON LAS CIRCUNSTANCIAS Y LA RAPIDEZ CON QUE SURGIERON LOS SIGNOS Y SÍNTOMAS? QUE ENFERMEDAD PADECE? ES: HIPERTENSO, DIABETICO, HEPATICO, NEFROPATA, GLANDULAR, EPILEPTICO.? QUE PROFESIONAL LO ATIENDE? QUE FARMACOS TOMABA, DOSIS? COMO ESTABA EMOCIONALMENTE.?
  • 24.
    CONOCE SUS HABITOS(ALCOHOL, DROGAS, SEXO)? HA SIDO HOSPITALIZADO ANTERIORMENTE? QUE DIAGNOSTICO RECIBIO? QUE SIGNOS O SINTOMAS LO ACOMPAÑARON? CEFALEA - VOMITOS FIEBRE- ESCALOFRIOS TOS- EXPECTORACION- HEMOPTISIS POLIURIA- POLIDIPSIA - POLIFAGIA ICTERICIA- COLURIA EDEMA- OLIGURIA- HEMATURIA DISNEA- PALPITACIONES DEBILIDAD – MAREOS - DIPLOPIA AUMENTO / PERDIDA DE PESO AMENORREA- METRORRAGIAS- EMBARAZO- ABORTO ANAMNESIS EN EL PACIENTE COMATOSO
  • 25.
    ANAMNESIS EN ELPACIENTE COMATOSO A = ALCOHOL E = EPILEPSIA I = INFECCIONES DEL S.N.C 0 = OPIACIOS – DROGAS U = UREMIA T = T.C.E. T = TENSION ARTERIAL (ACV) T = TOXICOS - VENENOS T = TUMOR CEREBRAL T = TOXEMIA DEL EMBARAZO T = TRASTORNOS METABOLICOS ELECTROLITICOS: Na, K, Ca, ACIDIO-BASE NO ELECTROLITOS: GLICEMIA, AMIONIACO, CREATININA, T3-T4- TSH, CORTISOL PLASMATICO, ACTH. P = PSICOGENA
  • 26.
    EXPLORACION FISICA GENERALEN EL PACIENTE COMATOSO
  • 27.
  • 28.
  • 29.
  • 30.
  • 31.
  • 32.
  • 33.
  • 34.
  • 35.
  • 36.
  • 37.
  • 38.
  • 39.
  • 40.
  • 41.
    EXPLORACIÓN DE LAPIEL TRASTORNOS DE LA COLORACIÓN: CIANOSIS – ROJO CEREZA – AMARILLO PAJIZO – PALIDEZ – MELANODERMIA - ICTERICIA SIGNOS DE VENOPUNCION SIGNOS DE HEPATOPATIA LESIONES PRIMARIAS – SECUNDARIAS QUEMADURAS SUDORACIÓN – FRIALDAD – HIPERTERMIA HUELLAS DE TRAUMA.
  • 42.
  • 43.
  • 44.
  • 45.
  • 46.
  • 47.
  • 48.
  • 49.
  • 50.
  • 51.
  • 52.
  • 53.
  • 54.
    PATRÓN RESPIRATORIO PATRONDE CONCIENCIA PATRÓN PUPILAR PATRÓN TRONCULAR PATRON MOTOR TRASTORNOS DE LA CONCIENCIA Anamnesis Examen Físico General Examen neurológico
  • 55.
    PATRON DE CONCIENCIASI EXISTE REALMENTE UN DETERIORO DE LA CONCIENCIA SI DEBEMOS ACTUAR INMEDIATAMENTE: ESTABILIZARLO SI SU TRASTORNO ES DE ORIGEN: METABOLICO NEUROLOGICO SI ES METABOLICO : ES DE CAUSA ENDOGENA EXOGENA SI ES NEUROLOGICO, ES DE LOCALIZACION: SUPRATENTORIAL INFRATENTORIAL SI ES SUPRATENTORIAL, ES DE LOCALIZACION: HEMISFERIO DERECHO HEMISFERIO IZQUIERDO SI ES INFRATENTORIAL, ES DE LOCALIZACION : MESENCEFALICO PROTUBERANCIAL BULBAR CUAL ES SU DIAGNOSTICO PRESUNTIVO CUAL ES EL EXAMEN QUE LO CERTIFICA CUAL ES SU PRONOSTICO: BUENO MALO LETAL RESERVADO
  • 56.
    ESCALA DE HUNT- HESS CRITERIOS ASINTOMATICO O CEFALEA LEVE. CEFALEA MODERADA A INTENSA, RIGIDEZ NUCA CON O SIN LESION DE ALGUN PAR CRANEAL. CONFUSION, LETARGIA O SINTOMAS LOCALIZADOS LEVES. ESTUPOR, HEMIPARESIA O AMBOS. ESTADO COMATOSO, POSTURA EN EXTENSION O AMBOS. GRADOS I. II. III. IV. V.
  • 57.
      PATRON PUPILARREFLEJO A LA LUZ: REACTIVAS: NORMAL – LESION METABOLICA PARALITICAS: LESION NEUROLOGICA TAMAÑO: MIOSIS: REACTIVA: OPIACEOS – ORGANOS FOSFORADOS ARREACTIVA: LESION PONTINA TAMAÑO MIDRIASIS: REACTIVA: ATROPINA – COCAINA – ANFETAMINAS ARREACTIVA: LESION DEL III PAR –– HERNIA TRANSTENTORIAL SIMETRIA: ISOCORICAS: NORMAL – LESION METABOLICA ANISOCORICAS: SITIO DE LESION CEREBRAL
  • 58.
  • 59.
  • 60.
      RESPIRACIÓN DECHEYNE STOKES RESPIRACIÓN DE KUSSMAUL HIPERVENTILACION NEUROGENA CENTRAL MESENCEFALICA RESPIRACIÓN APNEUSTICA ATAXIA RESPIRATORIA RESPIRACION EN RACIMO O CLUSTER PATRON RESPIRATORIO: VALORAR
  • 61.
  • 62.
    MONO -HEMI –PARA – CUADRI – DI (PLEJIA – PARESIA) PARÁLISIS DIRECTA PARÁLISIS ALTERNA HIPERTONIAS:  RIGIDEZ EXTRAPIRAMIDAL ESPASTICIDAD PIRAMIDAL RIGIDEZ DE DESCEREBRACION RIGIDEZ DE DECORTICACION EXTENSION DE MIEMBROS SUPERIORES CON FLEXION DE MIEMBROS INFERIORES RIGIDEZ DE NUCA OPISTOTONOS
  • 63.
  • 64.
  • 65.
    PATRON DELTRONCO: VALORAR REFLEJO OCULOCEFALICO (OJOS DE MUÑECA) REFLEJO OCULOVESTIBULAR (ESTIMULACION DEL CONDUCTO AUDITIVO CON AGUA FRIA) MOVIMIENTOS OCULARES ANORMALES “ NUNCA SE OLVIDARÁ LA POSIBILIDAD DE QUE HAYA LESIONES DE COLUMNA CERVICAL, EN PARTICULAR ANTES DE CUALQUIER INTENTO DE INTUBACIÓN O DE EVALUAR LAS RESPUESTAS OCULOCEFÁLICAS”
  • 66.
    EXAMENES COMPLEMENTARIOS EN EL PACIENTE COMATOSO
  • 67.
    EXAMENES COMPLEMENTARIOS SEROLOGICOS:BHC – GLICEMIA – ELECTROLITOS – NITROGENADOS – GAS ARTERIAL – HEPATOGRAMA – HORMONALES – MARCADORES INFECCIOSOS – CULTIVO/ ANTIBIOGRAMA – TOXICOS - IMÁGENES: Rx DE TORAX – TC – RMN – ARTERIOGRAFIA – ELECTRICOS: EKG – EEG OTROS: P.L – FONDO DE OJO
  • 68.
  • 69.
  • 70.
  • 71.
  • 72.
  • 73.
  • 74.
  • 75.
    ESCALA DE FISHER:HALLAZGOS TOMOGRÁFICOS EN HSA Grupo Descripción 1 No se detecta sangre 2 Depósito difuso o capa delgada de sangre cuando todas las capas verticales miden < 1mm de espesor 3 Coágulos localizados o capas verticales de sangre > 1 mm de espesor 4 Sangre subaracnoidea difusa o ausencia de sangre subaracnoidea pero con coágulo intraparenquimatoso o intraventrícular
  • 76.
  • 77.
  • 78.
  • 79.
  • 80.
    ANAMNESIS EN ELPACIENTE COMATOSO A = ALCOHOL E = EPILEPSIA I = INFECCIONES DEL S.N.C 0 = OPIACIOS – DROGAS U = UREMIA T = T.C.E. T = TENSION ARTERIAL (ACV) T = TOXICOS - VENENOS T = TUMOR CEREBRAL T = TOXEMIA DEL EMBARAZO T = TRASTORNOS METABOLICOS ELECTROLITICOS: Na, K, Ca, ACIDIO-BASE NO ELECTROLITOS: GLICEMIA, AMIONIACO, CREATININA, T3-T4- TSH, CORTISOL PLASMATICO, ACTH. P = PSICOGENA
  • 81.
    El Medico Jovenque cree saber diagnosticar casi siempre obedece de un mal muy común de esa etapa de inmadurez, que es la supervaloración del ego, etapa de inmadurez que desgraciadamente persiste en ciertos individuos hasta la edad provecta. Y así me constituí en diagnosticador rápido y petulante, engreído de mi propio saber, que creía solamente en Dios y en mi mismo, en todo caso un ser abominable del que con la experiencia que los años traen, ahora me avergüenzo; etapa idiota y tonta propia de la juventud inexperta. Pero la vida misma del profesional le enseña la humildad y sobre todo a ser humano. Dr. Oswaldo Barrera Sosa
  • 82.
  • 83.
  • 84.
  • 85.
  • 86.
  • 87.
  • 88.
  • 89.
  • 90.
  • 91.

Editor's Notes

  • #44 MELANODERMIA - ADDISON