Hepatomegaly
· >3.5cm below the right costal margin in
a newborn
· Rubbery (hepatitis)
·Tender (acute hepatitis, right heart
failure, venous congestion)
· Firm (cirrhosis)
· Nodular (malignancy)
Signs of an Abnormal Liver
 Note that liver is easily palpated in most
children at 1-2 cm below the right costal
margin. A normal liver should feel soft
and is easily moveable upon inspiration.
Mechanisms of Hepatomegaly
INCREASE INTHE NUMBER OR
SIZE OFTHE CELLS INTRINSICTO
THE LIVER
INFILTRATION OF
CELLS
INCREASED SIZE OF
VASCULAR SPACE
INCREASED SIZE OF
BILIARY SPACE
IDIOPATHIC
(? “BENIGN”)
Mechanisms of Hepatomegaly
1INCREASE INTHE NUMBER OR SIZE OFTHE CELLS
INTRINSICTOTHE LIVER
Storage
Fat:malnutrition, obesity, metabolic liver disease (diseases of
fatty acid oxidation and Reye syndrome–like illnesses), lipid
infusion (total parenteral nutrition), cystic fibrosis, diabetes
mellitus, medication related, pregnancy
Specific lipid storage diseases: Gaucher, Niemann-Pick,
Wolman disease
Glycogen:glycogen storage diseases (multiple enzyme defects);
total parenteral nutrition; infant of diabetic mother, Beckwith
syndrome
Miscellaneous: α1-antitrypsin dificiency, Wilson disease,
hypervitaminosis A, neonatal iron storage disease
Inflammation
Hepatocyte enlargement (hepatitis)
Viral:acute and chronic
Bacterial:sepsis, abscess, cholangitis
Toxic:drugs
Autoimmune
Kupffer cell enlargement
Sarcoidosis
Systemic lupus erythematosus
Mast cell activating syndrome
2INFILTRATION OF CELLS
Primary LiverTumors
Benign
Hepatocellular
Focal nodular hyperplasia
Nodular regenerative hyperplasia
Hepatocellular adenoma
Mesodermal
Infantile hemangioendothelioma
Mesenchymal hamartoma
Cystic masses
Choledochal cyst
Hepatic cyst
Hematoma
Parasitic cyst
Pyogenic or amebic abscess
Malignant
Hepatocellular
Hepatoblastoma
Hepatocellular carcinoma
Mesodermal
Angiosarcoma
Undifferentiated embryonal sarcoma
Secondary or metastatic processes
Lymphoma
Leukemia
Histiocytosis
Neuroblastoma
Wilms tumor
3INCREASED SIZE OFVASCULAR SPACE
Intrahepatic obstruction to hepatic vein outflow
Veno-occlusive disease
Hepatic vein thrombosis (Budd-Chiari syndrome)
Hepatic vein web
Suprahepatic
Congestive heart failure
Pericardial disease
Tamponade
Constrictive pericarditis
Hematopoietic:sickle cell anemia, thalassemia
4INCREASED SIZE OF BILIARY SPACE
Congenital hepatic fibrosis
Caroli disease
Extrahepatic obstruction
5IDIOPATHIC (? “BENIGN”)
Significant hepatomegaly
with minimal or absent
splenomegaly
 Liver abscess
 Hydatid cyst
 Glycogen storage diseases
 Cirrhosis
 Primary or metastatic malignancy
 Mucopolysaccharidosis
 Veno occlusive disease
 Budd Chiari syndrome
Splenomegaly
>2 cm below left costal margin
Abnormally rough surface
Tender
Hard
Signs of Abnormal Spleen
NOTE
 A soft, thin spleen may be palpable in
15% of neonates, 10% of normal
children, and 5% of adolescents.
 In most individuals, the spleen must be
2–3 times its normal size before it is
palpable
Pathophysiology of splenomegaly
ANATOMIC
LESIONS
HYPERPLASIA
CAUSED BY
HEMATOLOGIC
DISORDERS
INFECTIONS[†]
IMMUNOLOGIC
AND
INFLAMMATORY
PROCESSES[*]
CONGESTIVE[*] STORAGE
DISEASES
MALIGNANCIES
Pathophysiology of
splenomegaly
 1ANATOMIC LESIONS
Cysts, pseudocysts ,Hamartomas, Polysplenia
syndrome Hemangiomas and lymphangiomas
Hematoma or rupture (traumatic) Hamartoma
2HYPERPLASIA CAUSED BY HEMATOLOGIC
DISORDERS
Acute and Chronic Hemolysis[*]
Hemoglobinopathies (sickle cell disease in
infancy with or without sequestration crisis
and sickle variants, thalassemia major, unstable
hemoglobins)
Erythrocyte membrane disorders (hereditary
spherocytosis, elliptocytosis, pyropoikilocytosis)
Erythrocyte enzyme deficiencies (severe G6PD
deficiency, pyruvate kinase deficiency) Immune
hemolysis (autoimmune and isoimmune hemolysis)
Paroxysmal nocturnal hemoglobinuria
Chronic Iron Deficiency
Extramedullary hematopoiesis
Severe hemolytic anemias
 Myeloproliferative diseases:
 chronic myelogenous leukemia (CML), juvenile CML,
myelofibrosis with myeloid metaplasia, polycythemia vera
 Osteopetrosis
 Patients receiving granulocyte and granulocyte-macrophage
colony-stimulating factors
3 INFECTIONS[†]
 Bacterial
 Acute sepsis: Salmonella typhi, Streptococcus pneumoniae,
Haemophilus influenzae type b, Staphylococcus aureus
 Chronic infections: infective endocarditis, chronic
meningococcemia, brucellosis, tularemia, cat-scratch disease
 Local infections: splenic abscess (S. aureus, streptococci,
less often Salmonella species, polymicrobial species),
pyogenic liver abscess (anaerobic bacteria, gram-negative
enteric bacteria), cholangitis
 Viral[*]
 Acute viral infections, especially in children
Congenital cytomegalovirus (CMV), herpes simplex,
rubella Hepatitis, A, B, and C;CMV Epstein-Barr virus
(EBV)Viral hemophagocytic syndromes: CMV, EBV,
HHV-6 Human immunodeficiency virus (HIV)
Spirochetal
 Syphilis, especially congenital syphilis Leptospirosis
 Rickettsial
 Rocky Mountain spotted fever Q feverTyphus
 Fungal/Mycobacterial Miliary tuberculosis
 Disseminated histoplasmosis South American
blastomycosis Systemic candidiasis (in
immunosuppressed patients)
 Parasitic
 MalariaToxoplasmosis, especially congenital
Toxocara canis,Toxocara cati (visceral larva migrans)
Leishmaniasis (kala-azar) Schistosomiasis (hepatic-
portal involvement)Trypanosomiasis Fascioliasis
4IMMUNOLOGICAND INFLAMMATORY
PROCESSES[*]
 Systemic lupus erythematosus Rheumatoid arthritis,
Mixed connective tissue disease Systemic vasculitis
,Serum sickness, Drug hypersensitivity, especially to
phenytoin ,Graft vs host disease, Sjögren syndrome,
Cryoglobulinemia ,Amyloidosis ,Sarcoidosis, Large
granular lymphocytosis and neutropenia
,Histiocytosis syndromes, Hemophagocytic
syndromes (nonviral, familial)
 5MALIGNANCIES
 Primary:leukemia (acute, chronic), lymphoma,
angiosarcoma, Hodgkin disease
 Metastatic
 6STORAGE DISEASES
 Lipidosis (Gaucher disease, Niemann-Pick disease,
infantile GM1 gangliosidosis)
Mucopolysaccharidoses (Hurler, Hunter-type)
Mucolipidosis (I-cell disease, sialidosis, multiple
sulfatase deficiency, fucosidosis)
Defects in carbohydrate metabolism:
galactosemia, fructose intolerance Sea-blue
histiocyte syndrome
 7CONGESTIVE[*]
Heart failure
Intrahepatic cirrhosis or fibrosis
Extrahepatic portal (thrombosis), splenic,
and hepatic vein obstruction (thrombosis,
Budd-Chiari syndrome
Massive splenomegaly with
minimal hepatomegaly
 Portal hypertension
 Thalassemia major
 CML
 Myeloid metaplasia
 Chronic malaria
 Kala azar
 Gaucher’s disease
 Amyloidosis
*DO NOT MISS:
sequestration crisis in sickle disease is a
medical emergency with 10-15% mortality in
the pediatric population!
Hepatosplenomegaly
Hepatosplenomegaly: Causes
 Infective:
 Viral: Hepatotrophic (A,B,C,D,E) and other viruses (herpes,
cytomegalo, Ebstein-Barr, varicella,HIV, rubella, adeno,
entero, arbo.)
 Protozoal: malaria, kalazar, amoebic, toxoplasma
 Bacterial: sepsis; tuberculosis, brucellosis, syphilis,
 Helminths: hydatid, visceral larva migrans
 Fungal: histoplasmosis
 Haemopoetic:
 Haemolytic: haemolytic disease of newborn thalassaemia;
 Anaemia
 Metabolic:
 Neiman-Pick, gangliosidosis, Gaucher, fucosidosis,Wolman,
glycogen storage, sialiodosis, galactosialiodosis, a-
mannosidosis.
 Malignancies:
 Leukemia, histiocytic syndromes, myeloproliferative
syndromes, lymphomas,
 Immunological:
 Chronic granulomatous, heriditory neutrophilia, Ommen
syndrome.
Developmental:
Congenital hepatic fibrosis
Congestive:
Hepatic vein obstruction, constrictive pericarditis
Hepatosplenomegaly
with Rash
Hepatosplenomegaly with
Rash
Differential diagnosis
1 Infections
Bacterial
Typhoid , brucellosis , syphilis
Viral
Infectious mononucleosis , rubella
Cytomegalovirus,hepatitis B virus infection
Parasitic
toxoplasmosis
2 Autoimmune
Systemic type of rheumatoid arthritis , SLE
3Drugs
Phenytoin
4Others
Langerhan’s cell histiocytosis
Lymphadenopathy
 Most lymph nodes are not usually palpable in
the newborn.With antigenic exposure,
lymphoid tissue increases in volume so that the
cervical, axillary, and inguinal nodes are often
palpable during childhood.
 They are not considered enlarged until their
diameter is:
 > 1 cm for cervical and axillary nodes
 > 1.5 cm for inguinal nodes.
Lymphadenopathy
 Lymph node enlargement is
caused by proliferation of normal
lymphoid elements or by
infiltration with malignant or
phagocytic cells
• Acutely infected nodes are usually tender. There may
also be erythema and warmth of the overlying skin
• Fluctuance - abscess formation.
•Tuberculous nodes may be matted.
•Chronic infection- many signs are not present.
•Tumor-bearing nodes -firm and nontender and may
be matted or fixed to the skin or underlying
structures.
 Generalized adenopathy (enlargement of >2
noncontiguous node regions) is caused by
systemic disease and is often accompanied by
abnormal physical findings in other systems.
 Regional adenopathy is most frequently the
result of infection in the involved node and/or
its drainage area
 When due to infectious agents other than bacteria,
adenopathy may be characterized by atypical anatomic
areas, a prolonged course, a draining sinus, lack of prior
pyogenic infection, and unusual clues in the history (cat
scratches, tuberculosis exposure, venereal disease).
Generalized Lymphadenopathy
INFANT CHILD ADOLESCENT
COMMON CAUSES
Syphilis Viral infection Viral infection
Toxoplasmosis EBV EBV
CMV CMV CMV
HIV HIV HIV
Toxoplasmosis Toxoplasmosis
Syphilis
RARE CAUSES
Chagas disease
(congenital)
Serum sickness Serum sickness
Congenital leukemia SLE, JRA SLE, JRA
Congenital tuberculosis Leukemia/lymphoma Leukemia/lymphoma/Ho
dgkin disease
Reticuloendotheliosis Tuberculosis Lymphoproliferative
disease
Lymphoproliferative
disease
Measles Tuberculosis
Metabolic storage disease Sarcoidosis Histoplasmosis
Histiocytic disorders Fungal infection Sarcoidosis
Plague Fungal infection
Langerhan cell
histiocytosis
Plague
Chronic granulomatous
disease
Drug reaction
Sinus histiocytosis Castleman disease
Drug reaction
Local Lymphadenopathy
CERVICAL
 Oropharyngeal infection
(viral or group A
streptococcal,
staphylococcal)
 Scalp infection
 Mycobacterial
lymphadenitis
(tuberculosis and
nontuberculous
mycobacteria)

 Viral infection (EBV, CMV,
HHV-6)
 Cat-scratch disease
 Toxoplasmosis
 Kawasaki disease
 Thyroid disease
 Sinus histiocytosis
 Autoimmune
lymphoproliferative
disease
ANTERIOR AURICULAR- Conjuctivitis ,Other
eye infection, Oculoglandular
tularemia,Facial cellulitis
POSTERIOR AURICULAR- Otitis media , Viral
infection (especially rubella, parvovirus)
SUPRACLAVICULAR -Malignancy or infection in
the mediastinum (right) , Metastatic malignancy
from the abdomen (left) , Lymphoma,
Tuberculosis
EPITROCHLEAR - Hand infection, arm infection,
Lymphoma, Sarcoid, Syphilis
INGUINAL- Urinary tract infection ,Venereal disease,
Lower extremity suppurative infection, Plague
HILAR- Tuberculosis , Histoplasmosis, Blastomycosis,
Coccidioidomycosis, Leukemia/lymphoma, Hodgkin
disease, Metastatic malignancy,Sarcoidosis ,
Castleman disease
AXILLARY - Cat-scratch disease, Arm or chest wall
infection, Malignancy of chest wall ,
Leukemia/lymphoma ,Brucellosis
ABDOMINAL -Malignancies ,Mesenteric adenitis
(measles, tuberculosis,Yersinia, group A
Hepatosplenomegaly
with
Lymphadenopathy
Hepatosplenomegaly with
Generalised Lymphadenopathy
Differential diagnosis
1 Infections
Bacterial
Typhoid , brucellosis , miliary tuberculosis ,
syphils
Viral
Infectious mononucleosis
Parasitic
toxoplasmosis
2 Haematological
Lymphoma , leukaemia
3 Metabolic
Niemann-Picks disease , Hurler’s disease
4Rheumatological
Rheumatoid arthritis , SLE
5Drugs
Phenytoin
6Others
Langerhan cell histiocytosis
Is there any history of recent infection? (eg: rash, pharyngitis, cough, SOB, fever,
exposure, poorfeeding, malaise etc)
Has the child consumed any contaminated food or experienced any diarrhea and/or
vomiting?
Is there any history of loss of consciousness or seizures?
 Are there any constitutional symptoms such as fever, night sweats, or weight loss?
Is there any abnormal bruising, bone pain, or history of frequent infections?
Does the child have any preexisting liver diseases, lung diseases, or congenital heart
diseases?
Were there any complications during pregnancy, delivery, and after delivery?
 Are there any growth (weight gain) and developmental concerns?
Was there persistent, unresolved jaundice following delivery?
Is there any maternal history of hepatitis B or C, CMV, EBV or HIV?
 Does the child have any history of surgeries or transfusions?
Is there any family history of cystic fibrosis, alpha-1 antitrypsin deficiency, storage
diseases, liver diseases, heart diseases, autoimmune diseases or malignancy?
Has the child had any change in stool color?What color are his/her stools?
Is there any history of drug or toxin ingestion? Is there any exposure to radiation?
Is the child on any medications right now?
Is there any recent travel,trauma?
Questions to Ask
SKIN: Petechiae and purpura (thrombocytopenia, autoimmune
disorder, malignancy); jaundice (hemolytic anemia or liver disease);
rashes (infection, lupus, RA, infective endocarditis)
EYE: Icterus, uveitis, iritis (sarcoidosis or rheumatoid arthritis), cherry
red retinal spots or cloudy cornea (lipid storage disease) Kayser-Fleischer
(Wilson’s disease)
CVS/ RESPIPATORY SYSTEM:
Murmur, SOB, fatigue (anemia or heart failure) , abnormal heart sounds
(S3, S4) (congenital heart diseases), SOB/ abnormal breath sounds
(alpha-1 antitrypsin deficiency)
GIT:
tenderness, distension, ascites, hepatosplenomegaly
MSK:
joint tenderness (RA, lupus, hepatitis), bone pain (malignancy)
NEUROLOGICAL: Poor vision (osteopetrosis), loss of developmental
milestones (storage diseases, chronic infection, or immunodeficiency)
General Physical examination
Examine this patient who may have chronic liver disease
SIGNS OF CHRONIC LIVER DISEASE
1Examine the fingers for white nails (leukonychia) with loss of the
lunula (half-moons at the nail base) and ankle oedema - all due to
hypoalbuminaemia.
2Look for spider naevi (upper half of the body), palmar erythema,
gynaecomastia and testicular atrophy - all due to oestrogen excess.
3Look for bruising due to:
• Thrombocytopenia (hypersplenism)
• Reduced hepatic synthesis of coagulation factors (II, VII, IX and
X)
• Multiple falls due to alcohol intoxication.
4Look for muscle wasting from malnutrition and/or liver synthetic failure.
5Examine for signs of liver failure:
• Look for a coarse flap of the outstretched hands (asterixis) due to
metabolic brainstem dysfunction (other causes include heart,
renal and respiratory failure)
• Smell the patient's breath to detect fetor hepaticus (a sweetish,
musty smell) due to accumulation of the volatile amine, methyl
mercaptan
• Check for signs of hepatic encephalopathy (grade 1-4) due to the
metabolic changes affecting cerebral function.
LIVER EXAMINATION
Palpation
 Start in the right iliac fossa. Place your hand flat on the
abdomen with your fingers pointing upwards and
sensing fingers (index and middle) lateral to the rectus
muscle, so that your finger tips lie parallel to rectus
sheath

Keep your hand stationary. Ask the patient to breathe
in deeply through the mouth. Feel for the liver edge as
it descends on inspiration.

Move your hand progressively up the abdomen, 1 cm at
a time, between each breath the patient takes, until
you reach the costal margin or detect the liver edge.
 Right lobe is palpable in the right
hypochondrium or lumber region depending
on extent of enlargement
 Left lobe is palpable in the epigastrium.it
indicates chronic hepatomegaly.
Palpation of liver
Percussion:
 Liver span is determined better by percussion than by palpation
in children.
 Percuss along the midclavicular line to find the upper margin of
the liver.The transition from resonance to dullness indicates the
upper liver border.It usually lies in 4th intercostal
space. Resonance below the 5th intercostal space suggests
emphysema or occasionally the interposition of the transverse
colon between the liver and the diaphragm (Chilaiditi's sign).
Measure the distance in centimetres below the costal margin in
the midclavicular line or from the upper border of dullness to the
palpable liver edge.
 Continue percussion down the subcostal region keeping fingers
parallel to the ribs.The note turns resonant beyond the lower
margin of liver
Scratch test
Place the diaphragm of your stethoscope just
above the right costal margin at the midclavicular
line.
Lightly scratch the skin of the abdomen with the
fingertip along the midclavicular line, starting from
below the umbilicus towards the costal margin.
 A change in sound indicates the liver edge.
The scratch test to determine the liver’s edge
Liver Size
Liver is usually described in cm palpable below the
right costal margin in the mid clavicular line
Liver span is distance b/w upper & lower border of
liver..
Note the size ,surface,consistency, margins,
tenderness, or the presence of any masses or
bruits
Normal liver size estimations are based on age-
related clinical indices, such as:
~ the degree of extension of the liver edge below
the costal margin;
~ the span of dullness to percussion;
~or the length of the vertical axis of the liver,as
estimated from imaging techniques.
The liver span increases linearly with body
weight and age in both sexes, ranging from
≈4.5–5.0 cm at 1 wk of age to ≈7–8 cm in boys
and 6.0–6.5 cm in girls by 12 yr of age.
Normal liver span in adults 10 – 15 cm
Pattern of liver enlargement
~Downward displacement of the liver by the
diaphragm (pneumothorax ,emphysema or
respiratory distress) or thoracic organs can
create an erroneous impression of
hepatomegaly.But total liver span is normal.
~Sometimes liver may be palpable below
costal margin but total span is reduced
suggesting cirrhosis
NOTE
~The lower edge of the right lobe of the liver
extends downward (Riedel lobe) and is
palpable as a broad mass in some normal
people
Surface
 Gently roll the fingers over the surface of liver
 Nodular in cirrhosis & malignancy
Consistency
 Hard as a bone in hepatic malignancy
 Firm as tip of nose in chronic conditions,like
obstructive jaundice,cirrhosis or haemolytic
anaemias
 Soft in acute viral hepatitis or CCF
Margins
 Smooth in normal liver
 Sharp and leafy in cirrhosis or malignancy
Tenderness
 While palpating the liver see if pt winces or
not
 Liver is tender in acute viral hepatitis , CCF ,
hepatic amoebiasis , pyaemic abscess of liver
,hepatoma,actinomycosis,weil’s disease
Bruits over liver
May be heard in hepatoma,AV malformation,
hepatocellular cancer & alcoholic hepatitis
Pulsatile liver
Indicates tricuspid regurgitation
Palpation:
Patient should be supine and relaxed
Relaxation is improved if legs and neck are
slightly flexed
Start palpating from lower left quadrant in
infants, as the spleen tends to enlarge inferiorly
towards the left iliac fossa.
 Palpation should be started from the right
lower quadrant in older children.
Splenic Examinaion
 Start from the umbilicus. Keep your hand stationary
and ask the patient to breathe in deeply through the
mouth. Feel for the splenic edge as it descends on
inspiration (Fig. A).

Move your hand diagonally upwards towards the left
hypochondrium 1 cm at a time between each breath
the patient takes.

Feel the costal margin along its length, as the
position of the spleen tip is variable.

If you cannot feel the splenic edge, ask the patient to
roll towards you and on to his right side; repeat the
above. Palpate with your right hand, placing your left
hand behind the patient's left lower ribs, pulling the
ribcage forward (Fig. B).
Palpation of the spleen.
Palpation of the spleen
 With the patient in the right lateral position,
minimal splenic enlargement can be detected
by examining either from in front or in back of
the patient
Palpation
The Hooking maneuver of Middleton
o place the patient’s Left fist under their Left
posterior chest
o position yourself on the patient’s Left side,
facing the patient’s feet
o using both hands, curl your fingers under the
patient’s Left costal margin
o ask the patient to take a long, deep breath à
attempt to palpate the spleen with your
fingertips
Castell’s method:
 percuss the lowest intercostal space in the
left anterior axillary line.
In normal cases dull note is present only on
inspiration
In splenomegaly dull note is present both in
inspiration and expiration
More useful in infectious mononucleosis
where direct palpation can cause rupture
Percussion
Traube’s space:
bound superiorly by the 6th rib; laterally
by the mid-axillary line and inferiorly by
the costal margin.
Dullness to percussion indicates
splenomegaly
Percussion by Nixon’s method
o place the patient in Right lateral decubitus
o begin percussion midway along the Left
costal margin
o proceed in a line perpendicular to the Left
costal margin
o if the upper limit of dullness extends >8 cm
above the Left costal margin, in adults, this
indicates possible splenomegaly
The landmarks used in Nixon’s
Method
Spleen size
~The size of spleen is measured from the left
subcostal margin in the midclavicular line to
the tip along the direction of enlargement
~It is also described in cm below the subcostal
margin
Mild splenomegaly
Only tip is palpable
or it is palpable just 1-2 cm below costal margin
Moderate splenomegaly
Easily palpable,but not reaching umbilicus
or if it is palpable 3-7 cm below the costal margin
Massive splenomegaly
Extending upto umbilicus or beyond
Or if it is palpable >7cm below the costal margin
Pattern of spleen enlargement
Hackett’s classification of
splenomegaly
GRADE STAGE EXAMINATION
0 Not palpable
MILD 1 Just palpable
MODERATE 2 Midway between costal margin
&umbilicus
MODERATE 3 Upto umbilicus
SEVERE 4 b/w umbilicus & pubic symphysis
SEVERE 5 Upto pubic symphysis
Consistency
Soft in enteric fever
Firm in hemolytic anaemia
A moderate to severely enlarged spleen is
usually Firm
Splenic notch
Felt as an indentation on the lower medial
border of spleen
Auscultation
 Friction rub
(inflammation, tumor, infarction)
 systolic murmur over spleen
- massive splenomegaly (dilated, tortuous
splenic artery)
D/D
 Left kidney mass
 Left adrenal mass
 Left colonic mass
 Retroperitoneal mass
Distinguishing feature Spleen Left Kidney
Mass is smooth and
regular in shape
More likely Polycystic kidneys are
bilateral irregular
masses
Mass descends in
inspiration
Yes, travels
superficially and
diagonally
Yes, moves deeply and
vertically
Able to feel deep to the
mass
Yes No
Palpable notch on the
medial surface
Yes No
Bilateral masses
palpable
No Sometimes (e.g.
polycystic kidneys)
Percussion resonant
over the mass
No Sometimes
Mass extends beyond
the midline
Sometimes No (except with horse-
shoe kidney)
SPLEEN MALIGNANT
GROWTH OF
STOMACH/
PANCREAS
EDGE,NOTCH present absent
CROSSINGTO
RIGHT SIDE
If splenic
enlargement is
severe,it crosses
the midline at or
below the
umbilicus
In pancreatic
enlargement the
tumour crosses
the midline above
umbilicus
SPLEEN CA SPLENIC
FLEXURE OF
COLON
DIRECTON OF
ENLARGEMENT
More forwards and
inwards
transverse
EDGE,NOTCH present absent
PERCUSSION dull resonant
INTESTINAL
SYMPTOMS
abdominal Blood,fullness,mucus
in stools,alternating
diarrhea and
constipation
BARIUM STUDIES normal Show pathological
lesion
Pseudosplenomegaly.
 Abnormally enlarged mesenteric connections may
produce a wandering or ptotic spleen.
 An enlarged left lobe of the liver, a left upper quadrant
mass, or a splenic hematoma may be mistaken for
splenomegaly.
 Splenic cysts may contribute to splenomegaly or mimic
it; these may be congenital (epidermoid) or acquired
(pseudocyst) after trauma or infarction. Cysts are
usually asymptomatic and are found on radiologic
evaluation.
 Splenosis after splenic rupture or an accessory spleen
(present in 10% of normal individuals) may also mimic
splenomegaly; most are not palpable.
 The syndrome of congenital polysplenism includes
cardiac defects, left-sided organ anomalies, bilobed
lungs, biliary atresia, and pseudosplenomegaly
Hypersplenism.
 Increased splenic function (sequestration or destruction of
circulating cells) results in peripheral blood cytopenia,
increased bone marrow activity, and splenomegaly. It is
usually secondary to another disease and may be cured by
treatment of the underlying condition or, if absolutely
necessary, moderated by splenectomy.
Congestive Splenomegaly (Banti
Syndrome).
 Splenomegaly may result from obstruction in the hepatic,
portal, or splenic veins .
 Septic omphalitis or thrombophlebitis may be spontaneous
or may occur as a result of umbilical venous catheterization
in neonates and may also result in secondary obliteration of
these vessels.
 Splenic venous flow may be obstructed by masses of sickled
erythrocytes.
 When the spleen is the site of vascular obstruction,
splenectomy cures hypersplenism.
Tropical Splenomegaly Syndrome
 “Big spleen”
 defined as hyperreactive malarial syndrome
(HMS)
Visceroptosis
 Visceroptosis is a prolapse or a sinking of
the abdominal viscera (internal organs)
below their natural position. Any or all of
the organs may be displaced downward
 May give false impression of
hepatomegaly or splenomegaly
Lymph nodes
General principles
•Inspect for visible
lymphadenopathy.
•Palpate one side at a time using the fingers
of each hand in turn.
•Compare with the nodes on the
contralateral side.
 Assess:
 Site
 Size
 Consistency
 Tenderness.
 Determine whether the node is fixed to:
 Surrounding and deep structures
 Skin.
 Measure the main nodes.
Cervical nodes
 From behind, examine the submental, submandibular,
preauricular, tonsillar, supraclavicular and deep cervical nodes in
the anterior triangle of the neck
 Palpate for the scalene nodes by placing the index finger
between the sternocleidomastoid muscle and clavicle. Ask the
patient to tilt his head to the same side and press firmly down
towards the first rib.
 From the front of the patient, palpate the posterior triangles, up
the back of the neck and the posterior auricular and occipital
Axillary nodes
 From the patient's front or
side, palpate the right axilla
with the left hand and vice
versa
 Gently place the finger tips
into the apex of the axilla and
then draw them downwards,
feeling the medial, anterior
and posterior axillary walls in
turn. Keep the nails short to
avoid causing discomfort.
Epitrochlear nodes
 Support the patient's
right wrist with the left
hand, grasp his partially
flexed elbow with the
right hand, and use the
thumb to feel for the
epitrochlear node.
Examine the left
epitrochlear node with
the left thumb
Inguinal nodes
 Examine for the inguinal
and popliteal nodes with
the patient lying down.
 Palpate over the
horizontal chain, which
lies just below the
inguinal ligament, and
then over the vertical
chain along the line of
the saphenous vein
Laboratory Investigations
•Complete blood count, peripheral blood smear, ESR
AST, ALT, GGT, alkaline phosphatase, bilirubin, total
protein, albumin, prothrombin time
Serum electrolytes and BUN
Urinalysis
CBC with differential and peripheral blood smear
Fasting blood glucose
Hepatitis serology
Additional investigations based on clinical suspicion: EKG,
total and direct bilirubin, lipid profile, ceruloplasmin, alpha-
1-antitrypsin (AAT), blood culture, autoantibodies, alpha
fetoprotein, Viral serology (EBV, CMV, Parvovirus B19, HIV
etc.), acid beta-glucosidase (↓ in Gaucher disease), ANA (for
SLE), bone marrow aspirate and biopsy
Lactate Free Fatty
Acids
B-
Hydroxybutyra
te
Glucose
Glycogen Storage
Diseases
↓ N N N
Defect in
Gluconeogenesis
↓ ↑ N ↓/N
Defect in Fatty Acid
metabolism
↓ N ↑ ↓
Common laboratory findings in storage
diseases
Abdominal ultrasound with Doppler
Hyperechogenic hepatic parenchyma can be seen
with metabolic disease (glycogen storage disease
Abdominal CT or MRI (hepatic masses, biliary tree,
anatomical obstructions)
Echocardiogram (congenital heart defects)
ERCP (stones)
Liver Imaging
Liver Biopsy
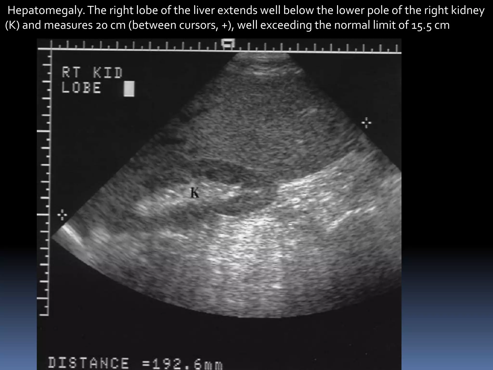
Hepatomegaly.The right lobe of the liver extends well below the lower pole of the right kidney
(K) and measures 20 cm (between cursors, +), well exceeding the normal limit of 15.5 cm
Splenic Imaging (not
routinely done)
Ultrasound (for identifying space occupying
lesions such as cysts or abcess and
differentiating between kidney vs splenic
abnormalities)
CT scan or MRI: (for ruling out disseminated
malignancy and liver diseases)
Radioactive (Tc-99m) sulfur colloid
scintigraphy (the only radiological modality
that provides functional information)
Splenomegaly - In this picture we can see the affinity between spleen
and left kidney.
We can not measure just from such picture, but spleen is undoubtedly
enlarged.
Lymph nodes
 Fine-needle aspiration
 Cutting needle biopsies
 Excisional biopsy,
If pus is present, it may be aspirated, with
CT or ultrasound guidance, or if it is
extensive, it will require incision and
drainage. Gram stain and culture of the
pus should be obtained. Surgical drainage
is required for an abscess.
Imaging Studies
•Chest X-ray - Mediastinal
adenopathy and underlying
pulmonary diseases.
•Ultrasound of the lymph node
•Nuclear medicine scanning -
lymphomas.
•Lymphangiography -
assessment of the lower
abdominal lymph nodes &
response to therapy.
•CT or US guided lymph node
biopsy
Some common causes of
hepatosplenomegaly c LAP
CAUSE CLINICAL FEATURES DIAGNOSTIC
INVESTIGATION
TYPHOID Stepladder rise of fever , relative
bradycardia, rose spots , pea soup
stools, HSM , LAP
PCR , Widal test , blood
culture , leukopenia
MILIARY TB High fever , failure to thrive , may
be CNS lesions , HSM , LAP
H/OTB , +ve Mantoux
test , miliary mottling on
chest X ray
BRUCELLOSI
S
High fever , sweating , jaundice ,
HSM , LAP
H/O of association with
cattle , Brucella
agglutination test,
culture
CONGENITAL
SYPHILIS
LBW , prolonged physiological
jaundice , codyloma , snuffles ,
maculopapular rash , bullous
lesion , pseudoparalysis of parrot
H/O repeated abortions ,
still birth , child born
with syphilitic
stigmata,VDRL , FTA-
CAUSE CLINICAL FEATURES DIAGNOSTIC
INVESTIGATION
INFECTIOUS
MONONUCLEOSIS
Sore throat , fever , rash , LAP
, HSM
P/S Downey cells , Paul
Bunnel test
MALARIA Fever , chills & rigors
,sweating, anaemia,HSM
QBC , thick & thin smear
KALA AZAR Fever , anaemia , ashen grey
colour , jaundice
,cachexia,HSM
Endemic area ,P/S LD
bodies , Montenegro
test
HAEMOLYTIC
ANAEMIA
Anaemia 4-6 months after
birth
Jaundice , progessive
enlargement of skull bones,
malar prominence,HSM,LAP
P/S , osmotic fragility
test, Na metabisulphite
,electrophoresis , RBC
survival time
LEUKAEMIA Pallor , pyrexia , purpura , pain
, HSM ,LAP
FNAC, bone marrow
aspiration
LYMPHOMA Advanced stage: HSM, LAP Gland biopsy , Reed
Sternberg cell
An approach to a child with hepatosplenomegaly and lymphadenopathy

An approach to a child with hepatosplenomegaly and lymphadenopathy

  • 2.
  • 3.
    · >3.5cm belowthe right costal margin in a newborn · Rubbery (hepatitis) ·Tender (acute hepatitis, right heart failure, venous congestion) · Firm (cirrhosis) · Nodular (malignancy) Signs of an Abnormal Liver
  • 4.
     Note thatliver is easily palpated in most children at 1-2 cm below the right costal margin. A normal liver should feel soft and is easily moveable upon inspiration.
  • 5.
    Mechanisms of Hepatomegaly INCREASEINTHE NUMBER OR SIZE OFTHE CELLS INTRINSICTO THE LIVER INFILTRATION OF CELLS INCREASED SIZE OF VASCULAR SPACE INCREASED SIZE OF BILIARY SPACE IDIOPATHIC (? “BENIGN”)
  • 6.
    Mechanisms of Hepatomegaly 1INCREASEINTHE NUMBER OR SIZE OFTHE CELLS INTRINSICTOTHE LIVER Storage Fat:malnutrition, obesity, metabolic liver disease (diseases of fatty acid oxidation and Reye syndrome–like illnesses), lipid infusion (total parenteral nutrition), cystic fibrosis, diabetes mellitus, medication related, pregnancy Specific lipid storage diseases: Gaucher, Niemann-Pick, Wolman disease Glycogen:glycogen storage diseases (multiple enzyme defects); total parenteral nutrition; infant of diabetic mother, Beckwith syndrome Miscellaneous: α1-antitrypsin dificiency, Wilson disease, hypervitaminosis A, neonatal iron storage disease
  • 7.
    Inflammation Hepatocyte enlargement (hepatitis) Viral:acuteand chronic Bacterial:sepsis, abscess, cholangitis Toxic:drugs Autoimmune Kupffer cell enlargement Sarcoidosis Systemic lupus erythematosus Mast cell activating syndrome 2INFILTRATION OF CELLS Primary LiverTumors Benign Hepatocellular Focal nodular hyperplasia Nodular regenerative hyperplasia
  • 8.
    Hepatocellular adenoma Mesodermal Infantile hemangioendothelioma Mesenchymalhamartoma Cystic masses Choledochal cyst Hepatic cyst Hematoma Parasitic cyst Pyogenic or amebic abscess Malignant Hepatocellular Hepatoblastoma Hepatocellular carcinoma Mesodermal Angiosarcoma Undifferentiated embryonal sarcoma
  • 9.
    Secondary or metastaticprocesses Lymphoma Leukemia Histiocytosis Neuroblastoma Wilms tumor 3INCREASED SIZE OFVASCULAR SPACE Intrahepatic obstruction to hepatic vein outflow Veno-occlusive disease Hepatic vein thrombosis (Budd-Chiari syndrome) Hepatic vein web Suprahepatic Congestive heart failure Pericardial disease Tamponade Constrictive pericarditis Hematopoietic:sickle cell anemia, thalassemia
  • 10.
    4INCREASED SIZE OFBILIARY SPACE Congenital hepatic fibrosis Caroli disease Extrahepatic obstruction 5IDIOPATHIC (? “BENIGN”)
  • 11.
    Significant hepatomegaly with minimalor absent splenomegaly  Liver abscess  Hydatid cyst  Glycogen storage diseases  Cirrhosis  Primary or metastatic malignancy  Mucopolysaccharidosis  Veno occlusive disease  Budd Chiari syndrome
  • 12.
  • 13.
    >2 cm belowleft costal margin Abnormally rough surface Tender Hard Signs of Abnormal Spleen
  • 14.
    NOTE  A soft,thin spleen may be palpable in 15% of neonates, 10% of normal children, and 5% of adolescents.  In most individuals, the spleen must be 2–3 times its normal size before it is palpable
  • 15.
    Pathophysiology of splenomegaly ANATOMIC LESIONS HYPERPLASIA CAUSEDBY HEMATOLOGIC DISORDERS INFECTIONS[†] IMMUNOLOGIC AND INFLAMMATORY PROCESSES[*] CONGESTIVE[*] STORAGE DISEASES MALIGNANCIES
  • 16.
    Pathophysiology of splenomegaly  1ANATOMICLESIONS Cysts, pseudocysts ,Hamartomas, Polysplenia syndrome Hemangiomas and lymphangiomas Hematoma or rupture (traumatic) Hamartoma 2HYPERPLASIA CAUSED BY HEMATOLOGIC DISORDERS Acute and Chronic Hemolysis[*] Hemoglobinopathies (sickle cell disease in infancy with or without sequestration crisis
  • 17.
    and sickle variants,thalassemia major, unstable hemoglobins) Erythrocyte membrane disorders (hereditary spherocytosis, elliptocytosis, pyropoikilocytosis) Erythrocyte enzyme deficiencies (severe G6PD deficiency, pyruvate kinase deficiency) Immune hemolysis (autoimmune and isoimmune hemolysis) Paroxysmal nocturnal hemoglobinuria Chronic Iron Deficiency Extramedullary hematopoiesis Severe hemolytic anemias
  • 18.
     Myeloproliferative diseases: chronic myelogenous leukemia (CML), juvenile CML, myelofibrosis with myeloid metaplasia, polycythemia vera  Osteopetrosis  Patients receiving granulocyte and granulocyte-macrophage colony-stimulating factors 3 INFECTIONS[†]  Bacterial  Acute sepsis: Salmonella typhi, Streptococcus pneumoniae, Haemophilus influenzae type b, Staphylococcus aureus  Chronic infections: infective endocarditis, chronic meningococcemia, brucellosis, tularemia, cat-scratch disease  Local infections: splenic abscess (S. aureus, streptococci, less often Salmonella species, polymicrobial species), pyogenic liver abscess (anaerobic bacteria, gram-negative enteric bacteria), cholangitis
  • 19.
     Viral[*]  Acuteviral infections, especially in children Congenital cytomegalovirus (CMV), herpes simplex, rubella Hepatitis, A, B, and C;CMV Epstein-Barr virus (EBV)Viral hemophagocytic syndromes: CMV, EBV, HHV-6 Human immunodeficiency virus (HIV) Spirochetal  Syphilis, especially congenital syphilis Leptospirosis  Rickettsial  Rocky Mountain spotted fever Q feverTyphus  Fungal/Mycobacterial Miliary tuberculosis  Disseminated histoplasmosis South American blastomycosis Systemic candidiasis (in immunosuppressed patients)
  • 20.
     Parasitic  MalariaToxoplasmosis,especially congenital Toxocara canis,Toxocara cati (visceral larva migrans) Leishmaniasis (kala-azar) Schistosomiasis (hepatic- portal involvement)Trypanosomiasis Fascioliasis 4IMMUNOLOGICAND INFLAMMATORY PROCESSES[*]  Systemic lupus erythematosus Rheumatoid arthritis, Mixed connective tissue disease Systemic vasculitis ,Serum sickness, Drug hypersensitivity, especially to phenytoin ,Graft vs host disease, Sjögren syndrome, Cryoglobulinemia ,Amyloidosis ,Sarcoidosis, Large granular lymphocytosis and neutropenia ,Histiocytosis syndromes, Hemophagocytic syndromes (nonviral, familial)
  • 21.
     5MALIGNANCIES  Primary:leukemia(acute, chronic), lymphoma, angiosarcoma, Hodgkin disease  Metastatic  6STORAGE DISEASES  Lipidosis (Gaucher disease, Niemann-Pick disease, infantile GM1 gangliosidosis) Mucopolysaccharidoses (Hurler, Hunter-type) Mucolipidosis (I-cell disease, sialidosis, multiple sulfatase deficiency, fucosidosis) Defects in carbohydrate metabolism: galactosemia, fructose intolerance Sea-blue histiocyte syndrome
  • 22.
     7CONGESTIVE[*] Heart failure Intrahepaticcirrhosis or fibrosis Extrahepatic portal (thrombosis), splenic, and hepatic vein obstruction (thrombosis, Budd-Chiari syndrome
  • 23.
    Massive splenomegaly with minimalhepatomegaly  Portal hypertension  Thalassemia major  CML  Myeloid metaplasia  Chronic malaria  Kala azar  Gaucher’s disease  Amyloidosis
  • 24.
    *DO NOT MISS: sequestrationcrisis in sickle disease is a medical emergency with 10-15% mortality in the pediatric population!
  • 25.
  • 26.
    Hepatosplenomegaly: Causes  Infective: Viral: Hepatotrophic (A,B,C,D,E) and other viruses (herpes, cytomegalo, Ebstein-Barr, varicella,HIV, rubella, adeno, entero, arbo.)  Protozoal: malaria, kalazar, amoebic, toxoplasma  Bacterial: sepsis; tuberculosis, brucellosis, syphilis,  Helminths: hydatid, visceral larva migrans  Fungal: histoplasmosis
  • 27.
     Haemopoetic:  Haemolytic:haemolytic disease of newborn thalassaemia;  Anaemia  Metabolic:  Neiman-Pick, gangliosidosis, Gaucher, fucosidosis,Wolman, glycogen storage, sialiodosis, galactosialiodosis, a- mannosidosis.  Malignancies:  Leukemia, histiocytic syndromes, myeloproliferative syndromes, lymphomas,  Immunological:  Chronic granulomatous, heriditory neutrophilia, Ommen syndrome.
  • 28.
    Developmental: Congenital hepatic fibrosis Congestive: Hepaticvein obstruction, constrictive pericarditis
  • 29.
  • 30.
    Hepatosplenomegaly with Rash Differential diagnosis 1Infections Bacterial Typhoid , brucellosis , syphilis Viral Infectious mononucleosis , rubella Cytomegalovirus,hepatitis B virus infection Parasitic toxoplasmosis
  • 31.
    2 Autoimmune Systemic typeof rheumatoid arthritis , SLE 3Drugs Phenytoin 4Others Langerhan’s cell histiocytosis
  • 32.
    Lymphadenopathy  Most lymphnodes are not usually palpable in the newborn.With antigenic exposure, lymphoid tissue increases in volume so that the cervical, axillary, and inguinal nodes are often palpable during childhood.  They are not considered enlarged until their diameter is:  > 1 cm for cervical and axillary nodes  > 1.5 cm for inguinal nodes.
  • 33.
    Lymphadenopathy  Lymph nodeenlargement is caused by proliferation of normal lymphoid elements or by infiltration with malignant or phagocytic cells • Acutely infected nodes are usually tender. There may also be erythema and warmth of the overlying skin • Fluctuance - abscess formation. •Tuberculous nodes may be matted. •Chronic infection- many signs are not present. •Tumor-bearing nodes -firm and nontender and may be matted or fixed to the skin or underlying structures.
  • 34.
     Generalized adenopathy(enlargement of >2 noncontiguous node regions) is caused by systemic disease and is often accompanied by abnormal physical findings in other systems.  Regional adenopathy is most frequently the result of infection in the involved node and/or its drainage area  When due to infectious agents other than bacteria, adenopathy may be characterized by atypical anatomic areas, a prolonged course, a draining sinus, lack of prior pyogenic infection, and unusual clues in the history (cat scratches, tuberculosis exposure, venereal disease).
  • 35.
    Generalized Lymphadenopathy INFANT CHILDADOLESCENT COMMON CAUSES Syphilis Viral infection Viral infection Toxoplasmosis EBV EBV CMV CMV CMV HIV HIV HIV Toxoplasmosis Toxoplasmosis Syphilis
  • 36.
    RARE CAUSES Chagas disease (congenital) Serumsickness Serum sickness Congenital leukemia SLE, JRA SLE, JRA Congenital tuberculosis Leukemia/lymphoma Leukemia/lymphoma/Ho dgkin disease Reticuloendotheliosis Tuberculosis Lymphoproliferative disease Lymphoproliferative disease Measles Tuberculosis Metabolic storage disease Sarcoidosis Histoplasmosis Histiocytic disorders Fungal infection Sarcoidosis Plague Fungal infection Langerhan cell histiocytosis Plague Chronic granulomatous disease Drug reaction Sinus histiocytosis Castleman disease Drug reaction
  • 37.
    Local Lymphadenopathy CERVICAL  Oropharyngealinfection (viral or group A streptococcal, staphylococcal)  Scalp infection  Mycobacterial lymphadenitis (tuberculosis and nontuberculous mycobacteria)   Viral infection (EBV, CMV, HHV-6)  Cat-scratch disease  Toxoplasmosis  Kawasaki disease  Thyroid disease  Sinus histiocytosis  Autoimmune lymphoproliferative disease
  • 38.
    ANTERIOR AURICULAR- Conjuctivitis,Other eye infection, Oculoglandular tularemia,Facial cellulitis POSTERIOR AURICULAR- Otitis media , Viral infection (especially rubella, parvovirus) SUPRACLAVICULAR -Malignancy or infection in the mediastinum (right) , Metastatic malignancy from the abdomen (left) , Lymphoma, Tuberculosis EPITROCHLEAR - Hand infection, arm infection, Lymphoma, Sarcoid, Syphilis
  • 39.
    INGUINAL- Urinary tractinfection ,Venereal disease, Lower extremity suppurative infection, Plague HILAR- Tuberculosis , Histoplasmosis, Blastomycosis, Coccidioidomycosis, Leukemia/lymphoma, Hodgkin disease, Metastatic malignancy,Sarcoidosis , Castleman disease AXILLARY - Cat-scratch disease, Arm or chest wall infection, Malignancy of chest wall , Leukemia/lymphoma ,Brucellosis ABDOMINAL -Malignancies ,Mesenteric adenitis (measles, tuberculosis,Yersinia, group A
  • 40.
  • 41.
    Hepatosplenomegaly with Generalised Lymphadenopathy Differentialdiagnosis 1 Infections Bacterial Typhoid , brucellosis , miliary tuberculosis , syphils Viral Infectious mononucleosis Parasitic toxoplasmosis
  • 42.
    2 Haematological Lymphoma ,leukaemia 3 Metabolic Niemann-Picks disease , Hurler’s disease 4Rheumatological Rheumatoid arthritis , SLE 5Drugs Phenytoin 6Others Langerhan cell histiocytosis
  • 43.
    Is there anyhistory of recent infection? (eg: rash, pharyngitis, cough, SOB, fever, exposure, poorfeeding, malaise etc) Has the child consumed any contaminated food or experienced any diarrhea and/or vomiting? Is there any history of loss of consciousness or seizures?  Are there any constitutional symptoms such as fever, night sweats, or weight loss? Is there any abnormal bruising, bone pain, or history of frequent infections? Does the child have any preexisting liver diseases, lung diseases, or congenital heart diseases? Were there any complications during pregnancy, delivery, and after delivery?  Are there any growth (weight gain) and developmental concerns? Was there persistent, unresolved jaundice following delivery? Is there any maternal history of hepatitis B or C, CMV, EBV or HIV?  Does the child have any history of surgeries or transfusions? Is there any family history of cystic fibrosis, alpha-1 antitrypsin deficiency, storage diseases, liver diseases, heart diseases, autoimmune diseases or malignancy? Has the child had any change in stool color?What color are his/her stools? Is there any history of drug or toxin ingestion? Is there any exposure to radiation? Is the child on any medications right now? Is there any recent travel,trauma? Questions to Ask
  • 44.
    SKIN: Petechiae andpurpura (thrombocytopenia, autoimmune disorder, malignancy); jaundice (hemolytic anemia or liver disease); rashes (infection, lupus, RA, infective endocarditis) EYE: Icterus, uveitis, iritis (sarcoidosis or rheumatoid arthritis), cherry red retinal spots or cloudy cornea (lipid storage disease) Kayser-Fleischer (Wilson’s disease) CVS/ RESPIPATORY SYSTEM: Murmur, SOB, fatigue (anemia or heart failure) , abnormal heart sounds (S3, S4) (congenital heart diseases), SOB/ abnormal breath sounds (alpha-1 antitrypsin deficiency) GIT: tenderness, distension, ascites, hepatosplenomegaly MSK: joint tenderness (RA, lupus, hepatitis), bone pain (malignancy) NEUROLOGICAL: Poor vision (osteopetrosis), loss of developmental milestones (storage diseases, chronic infection, or immunodeficiency) General Physical examination
  • 45.
    Examine this patientwho may have chronic liver disease SIGNS OF CHRONIC LIVER DISEASE 1Examine the fingers for white nails (leukonychia) with loss of the lunula (half-moons at the nail base) and ankle oedema - all due to hypoalbuminaemia. 2Look for spider naevi (upper half of the body), palmar erythema, gynaecomastia and testicular atrophy - all due to oestrogen excess. 3Look for bruising due to: • Thrombocytopenia (hypersplenism) • Reduced hepatic synthesis of coagulation factors (II, VII, IX and X) • Multiple falls due to alcohol intoxication. 4Look for muscle wasting from malnutrition and/or liver synthetic failure. 5Examine for signs of liver failure: • Look for a coarse flap of the outstretched hands (asterixis) due to metabolic brainstem dysfunction (other causes include heart, renal and respiratory failure) • Smell the patient's breath to detect fetor hepaticus (a sweetish, musty smell) due to accumulation of the volatile amine, methyl mercaptan • Check for signs of hepatic encephalopathy (grade 1-4) due to the metabolic changes affecting cerebral function.
  • 46.
    LIVER EXAMINATION Palpation  Startin the right iliac fossa. Place your hand flat on the abdomen with your fingers pointing upwards and sensing fingers (index and middle) lateral to the rectus muscle, so that your finger tips lie parallel to rectus sheath  Keep your hand stationary. Ask the patient to breathe in deeply through the mouth. Feel for the liver edge as it descends on inspiration.  Move your hand progressively up the abdomen, 1 cm at a time, between each breath the patient takes, until you reach the costal margin or detect the liver edge.
  • 47.
     Right lobeis palpable in the right hypochondrium or lumber region depending on extent of enlargement  Left lobe is palpable in the epigastrium.it indicates chronic hepatomegaly.
  • 48.
  • 49.
    Percussion:  Liver spanis determined better by percussion than by palpation in children.  Percuss along the midclavicular line to find the upper margin of the liver.The transition from resonance to dullness indicates the upper liver border.It usually lies in 4th intercostal space. Resonance below the 5th intercostal space suggests emphysema or occasionally the interposition of the transverse colon between the liver and the diaphragm (Chilaiditi's sign). Measure the distance in centimetres below the costal margin in the midclavicular line or from the upper border of dullness to the palpable liver edge.  Continue percussion down the subcostal region keeping fingers parallel to the ribs.The note turns resonant beyond the lower margin of liver
  • 50.
    Scratch test Place thediaphragm of your stethoscope just above the right costal margin at the midclavicular line. Lightly scratch the skin of the abdomen with the fingertip along the midclavicular line, starting from below the umbilicus towards the costal margin.  A change in sound indicates the liver edge.
  • 51.
    The scratch testto determine the liver’s edge
  • 52.
    Liver Size Liver isusually described in cm palpable below the right costal margin in the mid clavicular line Liver span is distance b/w upper & lower border of liver.. Note the size ,surface,consistency, margins, tenderness, or the presence of any masses or bruits
  • 53.
    Normal liver sizeestimations are based on age- related clinical indices, such as: ~ the degree of extension of the liver edge below the costal margin; ~ the span of dullness to percussion; ~or the length of the vertical axis of the liver,as estimated from imaging techniques. The liver span increases linearly with body weight and age in both sexes, ranging from ≈4.5–5.0 cm at 1 wk of age to ≈7–8 cm in boys and 6.0–6.5 cm in girls by 12 yr of age. Normal liver span in adults 10 – 15 cm
  • 55.
    Pattern of liverenlargement
  • 56.
    ~Downward displacement ofthe liver by the diaphragm (pneumothorax ,emphysema or respiratory distress) or thoracic organs can create an erroneous impression of hepatomegaly.But total liver span is normal. ~Sometimes liver may be palpable below costal margin but total span is reduced suggesting cirrhosis NOTE ~The lower edge of the right lobe of the liver extends downward (Riedel lobe) and is palpable as a broad mass in some normal people
  • 57.
    Surface  Gently rollthe fingers over the surface of liver  Nodular in cirrhosis & malignancy Consistency  Hard as a bone in hepatic malignancy  Firm as tip of nose in chronic conditions,like obstructive jaundice,cirrhosis or haemolytic anaemias  Soft in acute viral hepatitis or CCF
  • 58.
    Margins  Smooth innormal liver  Sharp and leafy in cirrhosis or malignancy Tenderness  While palpating the liver see if pt winces or not  Liver is tender in acute viral hepatitis , CCF , hepatic amoebiasis , pyaemic abscess of liver ,hepatoma,actinomycosis,weil’s disease
  • 59.
    Bruits over liver Maybe heard in hepatoma,AV malformation, hepatocellular cancer & alcoholic hepatitis Pulsatile liver Indicates tricuspid regurgitation
  • 60.
    Palpation: Patient should besupine and relaxed Relaxation is improved if legs and neck are slightly flexed Start palpating from lower left quadrant in infants, as the spleen tends to enlarge inferiorly towards the left iliac fossa.  Palpation should be started from the right lower quadrant in older children. Splenic Examinaion
  • 61.
     Start fromthe umbilicus. Keep your hand stationary and ask the patient to breathe in deeply through the mouth. Feel for the splenic edge as it descends on inspiration (Fig. A).  Move your hand diagonally upwards towards the left hypochondrium 1 cm at a time between each breath the patient takes.  Feel the costal margin along its length, as the position of the spleen tip is variable.  If you cannot feel the splenic edge, ask the patient to roll towards you and on to his right side; repeat the above. Palpate with your right hand, placing your left hand behind the patient's left lower ribs, pulling the ribcage forward (Fig. B).
  • 62.
  • 63.
    Palpation of thespleen  With the patient in the right lateral position, minimal splenic enlargement can be detected by examining either from in front or in back of the patient
  • 64.
    Palpation The Hooking maneuverof Middleton o place the patient’s Left fist under their Left posterior chest o position yourself on the patient’s Left side, facing the patient’s feet o using both hands, curl your fingers under the patient’s Left costal margin o ask the patient to take a long, deep breath à attempt to palpate the spleen with your fingertips
  • 66.
    Castell’s method:  percussthe lowest intercostal space in the left anterior axillary line. In normal cases dull note is present only on inspiration In splenomegaly dull note is present both in inspiration and expiration More useful in infectious mononucleosis where direct palpation can cause rupture Percussion
  • 68.
    Traube’s space: bound superiorlyby the 6th rib; laterally by the mid-axillary line and inferiorly by the costal margin. Dullness to percussion indicates splenomegaly
  • 71.
    Percussion by Nixon’smethod o place the patient in Right lateral decubitus o begin percussion midway along the Left costal margin o proceed in a line perpendicular to the Left costal margin o if the upper limit of dullness extends >8 cm above the Left costal margin, in adults, this indicates possible splenomegaly
  • 72.
    The landmarks usedin Nixon’s Method
  • 73.
    Spleen size ~The sizeof spleen is measured from the left subcostal margin in the midclavicular line to the tip along the direction of enlargement ~It is also described in cm below the subcostal margin Mild splenomegaly Only tip is palpable or it is palpable just 1-2 cm below costal margin Moderate splenomegaly Easily palpable,but not reaching umbilicus or if it is palpable 3-7 cm below the costal margin Massive splenomegaly Extending upto umbilicus or beyond Or if it is palpable >7cm below the costal margin
  • 74.
    Pattern of spleenenlargement
  • 75.
    Hackett’s classification of splenomegaly GRADESTAGE EXAMINATION 0 Not palpable MILD 1 Just palpable MODERATE 2 Midway between costal margin &umbilicus MODERATE 3 Upto umbilicus SEVERE 4 b/w umbilicus & pubic symphysis SEVERE 5 Upto pubic symphysis
  • 77.
    Consistency Soft in entericfever Firm in hemolytic anaemia A moderate to severely enlarged spleen is usually Firm Splenic notch Felt as an indentation on the lower medial border of spleen
  • 78.
    Auscultation  Friction rub (inflammation,tumor, infarction)  systolic murmur over spleen - massive splenomegaly (dilated, tortuous splenic artery)
  • 79.
    D/D  Left kidneymass  Left adrenal mass  Left colonic mass  Retroperitoneal mass
  • 80.
    Distinguishing feature SpleenLeft Kidney Mass is smooth and regular in shape More likely Polycystic kidneys are bilateral irregular masses Mass descends in inspiration Yes, travels superficially and diagonally Yes, moves deeply and vertically Able to feel deep to the mass Yes No Palpable notch on the medial surface Yes No Bilateral masses palpable No Sometimes (e.g. polycystic kidneys) Percussion resonant over the mass No Sometimes Mass extends beyond the midline Sometimes No (except with horse- shoe kidney)
  • 81.
    SPLEEN MALIGNANT GROWTH OF STOMACH/ PANCREAS EDGE,NOTCHpresent absent CROSSINGTO RIGHT SIDE If splenic enlargement is severe,it crosses the midline at or below the umbilicus In pancreatic enlargement the tumour crosses the midline above umbilicus
  • 82.
    SPLEEN CA SPLENIC FLEXUREOF COLON DIRECTON OF ENLARGEMENT More forwards and inwards transverse EDGE,NOTCH present absent PERCUSSION dull resonant INTESTINAL SYMPTOMS abdominal Blood,fullness,mucus in stools,alternating diarrhea and constipation BARIUM STUDIES normal Show pathological lesion
  • 83.
    Pseudosplenomegaly.  Abnormally enlargedmesenteric connections may produce a wandering or ptotic spleen.  An enlarged left lobe of the liver, a left upper quadrant mass, or a splenic hematoma may be mistaken for splenomegaly.  Splenic cysts may contribute to splenomegaly or mimic it; these may be congenital (epidermoid) or acquired (pseudocyst) after trauma or infarction. Cysts are usually asymptomatic and are found on radiologic evaluation.  Splenosis after splenic rupture or an accessory spleen (present in 10% of normal individuals) may also mimic splenomegaly; most are not palpable.  The syndrome of congenital polysplenism includes cardiac defects, left-sided organ anomalies, bilobed lungs, biliary atresia, and pseudosplenomegaly
  • 84.
    Hypersplenism.  Increased splenicfunction (sequestration or destruction of circulating cells) results in peripheral blood cytopenia, increased bone marrow activity, and splenomegaly. It is usually secondary to another disease and may be cured by treatment of the underlying condition or, if absolutely necessary, moderated by splenectomy. Congestive Splenomegaly (Banti Syndrome).  Splenomegaly may result from obstruction in the hepatic, portal, or splenic veins .  Septic omphalitis or thrombophlebitis may be spontaneous or may occur as a result of umbilical venous catheterization in neonates and may also result in secondary obliteration of these vessels.  Splenic venous flow may be obstructed by masses of sickled erythrocytes.  When the spleen is the site of vascular obstruction, splenectomy cures hypersplenism.
  • 85.
    Tropical Splenomegaly Syndrome “Big spleen”  defined as hyperreactive malarial syndrome (HMS)
  • 86.
    Visceroptosis  Visceroptosis isa prolapse or a sinking of the abdominal viscera (internal organs) below their natural position. Any or all of the organs may be displaced downward  May give false impression of hepatomegaly or splenomegaly
  • 87.
    Lymph nodes General principles •Inspectfor visible lymphadenopathy. •Palpate one side at a time using the fingers of each hand in turn. •Compare with the nodes on the contralateral side.
  • 88.
     Assess:  Site Size  Consistency  Tenderness.  Determine whether the node is fixed to:  Surrounding and deep structures  Skin.  Measure the main nodes.
  • 89.
    Cervical nodes  Frombehind, examine the submental, submandibular, preauricular, tonsillar, supraclavicular and deep cervical nodes in the anterior triangle of the neck  Palpate for the scalene nodes by placing the index finger between the sternocleidomastoid muscle and clavicle. Ask the patient to tilt his head to the same side and press firmly down towards the first rib.  From the front of the patient, palpate the posterior triangles, up the back of the neck and the posterior auricular and occipital
  • 90.
    Axillary nodes  Fromthe patient's front or side, palpate the right axilla with the left hand and vice versa  Gently place the finger tips into the apex of the axilla and then draw them downwards, feeling the medial, anterior and posterior axillary walls in turn. Keep the nails short to avoid causing discomfort.
  • 91.
    Epitrochlear nodes  Supportthe patient's right wrist with the left hand, grasp his partially flexed elbow with the right hand, and use the thumb to feel for the epitrochlear node. Examine the left epitrochlear node with the left thumb
  • 92.
    Inguinal nodes  Examinefor the inguinal and popliteal nodes with the patient lying down.  Palpate over the horizontal chain, which lies just below the inguinal ligament, and then over the vertical chain along the line of the saphenous vein
  • 93.
    Laboratory Investigations •Complete bloodcount, peripheral blood smear, ESR AST, ALT, GGT, alkaline phosphatase, bilirubin, total protein, albumin, prothrombin time Serum electrolytes and BUN Urinalysis CBC with differential and peripheral blood smear Fasting blood glucose Hepatitis serology Additional investigations based on clinical suspicion: EKG, total and direct bilirubin, lipid profile, ceruloplasmin, alpha- 1-antitrypsin (AAT), blood culture, autoantibodies, alpha fetoprotein, Viral serology (EBV, CMV, Parvovirus B19, HIV etc.), acid beta-glucosidase (↓ in Gaucher disease), ANA (for SLE), bone marrow aspirate and biopsy
  • 94.
    Lactate Free Fatty Acids B- Hydroxybutyra te Glucose GlycogenStorage Diseases ↓ N N N Defect in Gluconeogenesis ↓ ↑ N ↓/N Defect in Fatty Acid metabolism ↓ N ↑ ↓ Common laboratory findings in storage diseases
  • 95.
    Abdominal ultrasound withDoppler Hyperechogenic hepatic parenchyma can be seen with metabolic disease (glycogen storage disease Abdominal CT or MRI (hepatic masses, biliary tree, anatomical obstructions) Echocardiogram (congenital heart defects) ERCP (stones) Liver Imaging Liver Biopsy
  • 96.
    Hepatomegaly.The right lobeof the liver extends well below the lower pole of the right kidney (K) and measures 20 cm (between cursors, +), well exceeding the normal limit of 15.5 cm
  • 97.
    Splenic Imaging (not routinelydone) Ultrasound (for identifying space occupying lesions such as cysts or abcess and differentiating between kidney vs splenic abnormalities) CT scan or MRI: (for ruling out disseminated malignancy and liver diseases) Radioactive (Tc-99m) sulfur colloid scintigraphy (the only radiological modality that provides functional information)
  • 98.
    Splenomegaly - Inthis picture we can see the affinity between spleen and left kidney. We can not measure just from such picture, but spleen is undoubtedly enlarged.
  • 99.
    Lymph nodes  Fine-needleaspiration  Cutting needle biopsies  Excisional biopsy, If pus is present, it may be aspirated, with CT or ultrasound guidance, or if it is extensive, it will require incision and drainage. Gram stain and culture of the pus should be obtained. Surgical drainage is required for an abscess.
  • 100.
    Imaging Studies •Chest X-ray- Mediastinal adenopathy and underlying pulmonary diseases. •Ultrasound of the lymph node •Nuclear medicine scanning - lymphomas. •Lymphangiography - assessment of the lower abdominal lymph nodes & response to therapy. •CT or US guided lymph node biopsy
  • 101.
    Some common causesof hepatosplenomegaly c LAP CAUSE CLINICAL FEATURES DIAGNOSTIC INVESTIGATION TYPHOID Stepladder rise of fever , relative bradycardia, rose spots , pea soup stools, HSM , LAP PCR , Widal test , blood culture , leukopenia MILIARY TB High fever , failure to thrive , may be CNS lesions , HSM , LAP H/OTB , +ve Mantoux test , miliary mottling on chest X ray BRUCELLOSI S High fever , sweating , jaundice , HSM , LAP H/O of association with cattle , Brucella agglutination test, culture CONGENITAL SYPHILIS LBW , prolonged physiological jaundice , codyloma , snuffles , maculopapular rash , bullous lesion , pseudoparalysis of parrot H/O repeated abortions , still birth , child born with syphilitic stigmata,VDRL , FTA-
  • 102.
    CAUSE CLINICAL FEATURESDIAGNOSTIC INVESTIGATION INFECTIOUS MONONUCLEOSIS Sore throat , fever , rash , LAP , HSM P/S Downey cells , Paul Bunnel test MALARIA Fever , chills & rigors ,sweating, anaemia,HSM QBC , thick & thin smear KALA AZAR Fever , anaemia , ashen grey colour , jaundice ,cachexia,HSM Endemic area ,P/S LD bodies , Montenegro test HAEMOLYTIC ANAEMIA Anaemia 4-6 months after birth Jaundice , progessive enlargement of skull bones, malar prominence,HSM,LAP P/S , osmotic fragility test, Na metabisulphite ,electrophoresis , RBC survival time LEUKAEMIA Pallor , pyrexia , purpura , pain , HSM ,LAP FNAC, bone marrow aspiration LYMPHOMA Advanced stage: HSM, LAP Gland biopsy , Reed Sternberg cell

Editor's Notes

  • #34  Nonlymphoid masses (cervical rib, thyroglossal cyst, branchial cleft cyst or infected sinus, cystic hygroma, goiter, sternomastoid muscle tumor, thyroiditis, thyroid abscess, neurofibroma) occur frequently in the neck and less often in other areas.
  • #40 especially syphilis or lymphogranuloma venereum)
  • #100 Cutting needle biopsies will occasionally provide sufficient material for an unequivocal diagnosis and subtyping of the lymphoma Xray including tuberculosis, coccidioidomycosis, lymphomas, and neuroblastoma.
  • #101 provides an extremely accurate assessment of the lower abdominal lymph nodes and, because of retained contrast material, allows repeat examinations and assessment of the response to therapy.