AIIMS MEDICINE QUIZ
20th October 2019
FINALS
Rules
● Total 6 rounds
● Each team will get 1 question per round (I-IV)
● Round 1,3 =A to F
● Round 2,4= F to A
● Scores at end of each round
● No prompting.
● And most important rule….
Quiz
master’s
decision is
final!
Clinical round 1
● A to F
● +20 points for direct question
● Pounce - > +10/-5
● No partial points for pounce. If either
wrong, -5. You may attempt parts
alone (ex. attempt 1 out of 2 with risk
of +5, but negative always stays -5)
● 1.5 min for direct question, pounce
window closing after 45 sec
● Be patient: If direct team answers
before other teams get chance to
pounce, -10 for the team and the
questions stands null and void.
Question 1
A 40-year-old male with 15-pack-year smoking history (quit 5
years ago) has presented with low-grade intermittent fever,
cough and intermittent moderate hemoptysis for 2 years. He
has history of associated weight loss of around 5 kgs. He has
been treated on clinico-radiological basis with ATT for 1 year
without improvement. He has past-history of right
mastectomy for gynecomastia at age of 17 years and history
of dental caries requiring tooth extraction 2 years back.
Presently, he came to the emergency with a bout of massive
hemoptysis which subsided with bronchial artery
embolization. A subsequent bronchoscopy revealed a mucus
plug and purulent discharge with yellowish granules in the
right lower lobe bronchus which was suctioned.
Histopathology of the mucus plug revealed gram-positive
bacteria showing Splendore-Hoeppli phenomenon. What is
the likely diagnosis?
Answer 1
Pulmonary Actinomycosis
Question 2
•A 52 year old man Mr A known case of major depressive
disorder with poly substance abuse and poorly controlled
Type 2 diabetes mellitus is found unconscious and incontinent
of urine in his room and admitted
•On arrival, the patient was afebrile and hemodynamically
stable with a respiratory rate of 18/min-lethargic and oriented
to self with dry mucous membranes
•Urine toxicology screen was negative
The likely diagnosis for Mr. A?
Value Reference Range
Sodium,mmol/L 144 135-145
Potassium,mmol/L 3.6 3.3-5.0
Chloride,mmol/L 98 96-106
BUN,mg/dL 24 8-18
Creatinine,mg/dL 1.5 0.5-1.2
Glucose,mg/dL 231 70-100
Calcium,
corrected,mg/dL
13.4 8.8-10.2
Magnesium,mg/dL 0.9 1.7-2.6
Phosphorus,mg/dL 2.4 2.5-4.5
Albumin,g/dL 3.4 3.5-5.0
Bicarbonate,mmol/L 34 23-28
iPTH 15 30- 85
Answer 2
Milk-Alkali syndrome-possibly due to Shelcal toxicity!
Question 3
A 63-year-old woman with a 4-year history of uncontrolled diabetes mellitus
presented with an ulcerating rash, primarily on the shins, groin, and face;
cheilitis; and glossitis. Her symptoms had been worsening for 4 years despite
specialized wound care. In addition, she noted concurrent, severe weight
loss, depression, abdominal pain, and intractable nausea.
Diagnosis and finding?
Answer 3
Necrolytic migratory erythema due to a glucagonoma
Question 4
A 30-year old male with a history of alcohol abuse was admitted to the cardiac unit with
progressive shortness of breath, lower extremity edema and tachycardia which had
developed gradually over several days. There was no history of drug abuse or any prior
cardiac events. On examination,
On appearance, the patient was severely malnourished. Pulse=130/min with bounding
pulses and warm extremities. BP=100/45; Respiratory rate=24/min; Pulse
oximetry=98% on room air
Labs revealed hyponatremia, compensated metabolic acidosis with a bicarbonate of 14
mEq/L and a lactic acidosis with lactate of 9 mmol/L. 2D Echo showed mild LV
dysfunction with an EF of 50%. You have excluded sepsis(somehow). What is the
diagnosis?
Answer 4
Wet beri-beri
Thiamine deficiency
Question 5
62 years old male, known diabetic and hypertensive for past 20 years presented with acute onset altered
sensorium with altered behaviour and difficulty recognizing relatives. He was admitted and worked up. Routine
evaluation including MRI brain, CSF were normal. Serum ammonia was 305. CT portography done. What is the
diagnosis? What specific intervention can be offered for this indication?
Answer 5
a) Hepatic encephalopathy secondary to portosystemic shunting (Type B HE)
b) Blocking the leino-renal shunt
Question 6
A 40 year old lady, diabetic and hypertensive for 10 years, controlled
on therapy presented to EM with recurrent vomiting for 3 days. No
history of fever, diarrhea or food intake from outside, no one else in
family is symptomatic.
EM evaluation showed normal vitals, electrolytes and was discharged
after symptomatic treatment with ondansetron and IV fluids.
Lady returned to EM two days later with acute painless loss of vision
in both eyes and tetraparesis
For suspected illness MRI was done which showed the changes
shown
What is the clinical diagnoses and next investigation?
Answer 6
Diagnosis-
NMO/NMOSD
Investigation-
anti-AQP4
antibody
Audience question
•The fight for the creation of a drug against this virus began in 1929 and only
finally saw the light of day when it was approved by the FDA on 1 May 2019.
It has been injected to >8 lakh school children across the globe.
•The problem arose with the drug in those who had never been infected
with a type of this virus previously and resulted in disastrous cytokine storm
upon subsequent infection
•What is the drug?
Clinical Round 2
● F to A
● +20 points for direct question
● Pounce - > +10/-5
● No partial points for pounce. If either
wrong, -5. You may attempt parts alone
(ex. attempt 1 out of 2 with risk of +5,
but negative always stays -5)
● 1.5 min for direct question, pounce
window closing after 45 sec
● Be patient: If direct team answers
before other teams get chance to
pounce, -10 for the team and the
questions stands null and void.
Question 1
A 76 years old male, prior smoker presents with recurrent episodes of angina and
syncope. On evaluation he’s found to have a Hb of 5.4. On detailed questioning, he gives a
history of episodes of melena interspersed between syncopal attacks, ongoing for the
past 1 year. A colonoscopy is performed that shows characteristic vascular lesions.
What’s the diagnosis? Explain the pathophysiology behind it.
Answer 1
● Heyde’s Syndrome. (Colonic
angiodysplasia shown)
● Pathophysiology-Acquired Von
Willebrand Factor defect due to
mechanical breakdown by aortic
stenosis. Shear stress.
Question 2
An athletic 40 year old man with no significant medical history presented
with complaint of episodes of palpitations. He had no cardiovascular risk
factors and no family history of sudden cardiac death or cardiomyopathy.
On examination in the OPD, pulse was 45 beats/min, respiratory rate of
12/min and blood pressure of 135/62. Physical examination showed a
discrete pansystolic murmur at the lower sternal border, which increases
with inspiration. His baseline ECGs and ECG during an episode of
palpitation while in the hospital were recorded.
ECHO showed a normal LV ejection fraction, no valvular heart disease and
apical dyskinesia of the right ventricle.
Diagnosis?
Answer 2
Arrhythmogenic right ventricular dysplasia(ARVD)
First ECG shows incomplete right bundle branch block
and inverted T waves in right precordial leads, QRS
prolongation and epsilon wave
Second ECG shows a broad QRS tachycardia with AV
dissociation and LBBB morphology-an RVOT VT
ECG findings
● Epsilon wave (most specific finding, seen in 30%
of patients)
● T wave inversion in V1-3 (85% of patients)
● Prolonged S-wave upstroke of 55ms in V1-3 (95%
of patients)
Question 3
A 57-year old man with a 10 year history of type 2
diabetes presented to the emergency room with light-
headedness. He had been on metformin and
empagliflozin for the last 6 months and last HbA1C
value was 5.7 one month back. He was currently on a
low carbohydrate diet and had been NPO that day for
an outpatient dental procedure. The episode of
lightheadedness began 1 hour prior and was associated
with nausea and tachypnea. A friend checked his
capillary blood glucose at the time and reports it to be
122 mg/dL
Pulse 98/min; BP 130/66; RR 26/min; SpO2 99% on RA
Explain his current condition.
VBG parameter Value
pH 7.25
Bicarbonate(meq/L) 10
Anion gap(meq/L) 23
K+(mEq/L) 4.9
Ketonemia +++
Answer 3
Euglycemic diabetic keto-acidosis due to empagliflozin
Question 4
A 21-year-old medical student presents to you with
history of high-grade fever with chills for 3 weeks
and cough with streaky hemoptysis for 2 weeks.
There are no other localizing symptoms. He gives
history of travel to hills with his friends during the
summer break when he used recreational drugs.
He has smoked 1 packet of cigarettes a day for the
past 2 years. His past-history is significant for
surgery for acute appendicitis 3 years back. During
the present illness he has been treated with
Cefixime, Azithromycin and Ceftriaxone without
relief in fever. His blood culture is positive for
Staphylococcus aureus. What should be the next
investigation?
Answer 4
A 2D Echocardiography
He seems to have developed an unfortunate complication from his vices!
Question 5
35 year lady, fatigue, loss of weight
CBC – TLC: 65000/cmm, Platelet: 25000/cmm
PBS – Blasts 71%
Bone Marrow – Blasts 96%
Cytochemistry shows Myeloperoxidase – ve, Sudan Black B – ve, combined chloracetate esterase – ve.
Cytogenetics is t(9;22), FISH s/o BCR-ABL translocation
What are the two possible diagnosis?
Common BCR-ABL variants in each?
Drug of choice in both scenarios?
Answer 5
• CML- lymphoid BC or PH positive ALL
• P190- ALL, p210-CML
• Dasatanib in both
Question 6
A 32 year old male has migraine with aura.
He developed left sided hemiparesis.
Family history revealed father and
grandfather suffering from migraine and
dementia.
For suspected acute stroke MRI is done
and showed the image on the right. Your
consultant asks you to get a skin biopsy.
● What is the likely clinical diagnosis?
● What is the underlying genetic
abnormality?
Answer 6
Clinical diagnosis-CADASIL
Underlying abnormality-Mutation of NOTCH 3
Next investigation-Skin Biopsy
Name the maneuver shown in the
image used to improve visualization of
the larynx during endotracheal
intubation, but not intended to prevent
regurgitation.
Audience question
Trivia
● A to F
● +20 points for direct question
● Pounce - > +10/-5
● No partial points for pounce. If either
wrong, -5. You may attempt parts alone
(ex. attempt 1 out of 2 with risk of +5, but
negative always stays -5)
● 1.5 min for direct question, pounce
window closing after 45 sec
● Be patient: If direct team answers before
other teams get chance to pounce, -10 for
the team and the questions stands null
and void.
Question 1
What did Dr Thomas
Latta of Edinburgh do
for the first time ever,
which has since
become a standard of
care during patient
resuscitation?
Answer 1
Intravenous fluid resuscitation
Question 2
In 1937, after the Japanese invasion of China, the communist General Zhu
De requested Jawaharlal Nehru to send Indian physicians to China. Netaji
Subhash Chandra Bose, the President of the Indian National Congress,
made arrangements to send a team of volunteer doctors and an
ambulance by collecting a fund of Rs 22,000 on the All-Indian China Day
and China Fund days on July 7-9. ___________________ was one of five
Indian physicians dispatched to China to provide medical assistance during
the Second Sino-Japanese War in 1938. Besides being known for his
dedication and perseverance, he has also been regarded as an example for
Sino-Indian friendship and collaboration.
Answer 2
Dr Dwarkanath Kotnis
Question 3
This picture represents the
10,000th mile of the national
cycle network in Britain and is
part of the National Cycle Route
11. It stretches from
Addenbrooke’s Hospital,
Cambridge to the nearby village
of Great Shelford. It is a
dedication to the 1994 discovery
made by Professor Michael
Stratton and Dr Richard Wooster
(Institute of Cancer Research,
Question 4
In 1832, Dr. B described a 50 year old man suffering from a ‘heat of the blood’,
intense sweating and oppression of the chest. The patient had a pale and puffy
countenance with eyes like those of a ‘cray fish’ likely due to a blood dyscrasia.
He described 2 more patients with thickened lower legs consisting of a ‘plastic
brawn’ not being impressible and not releasing fluid by puncture. From his
observations, he described pregnancy as the most suitable cure and associated
it with the Merseburger triad. Name the disease.
Answer 4
Graves’ disease
Question 5
In the Middle Ages, treatment for X included hot baths, sweating,
bloodletting and enemas. Thomas Graham is said to be the father of Y His
ideas were implemented in animals for the first time by Abel who used
Collodion membranes with the help of hirudin from leeches to carry out
“Y”. In 1945, Kolffbrought out the rotating drum version of “Y” and
managed to treat the first patient with X using Y. However, it was difficult
to use on patients until Brescia-Cimino came out with their innovation,
“Z” that allowed patients to use Y for many years with a lower rate of
infections. Name ”Y” and “Z”.
Answer 5
Y: Hemodialysis
Z: AV fistula
Question 6
Despite being the youngest in the group, he was chosen as
the first author in a seminal publication of May 13, 1932, a
decision that would have far reaching implications. He
went on to have an exceptionally good practice, with
patients including president D Eisenhower. He always
however lamented the time his work took from his family,
as encapsulated in this quote. "It has been my misfortune
(or perhaps my fortune) to spend most of my professional
life as a student of constipation and diarrhea. Sometimes I
could wish to have chosen ear, nose and throat as a
specialty rather than the tail end of the human
anatomy...". Who are we talking about?
Answer 6
Burbill B Crohn
Audience Q
Middle aged smoker presented with
hoarseness of voice x 1 month. ENT evaluation
shows no growth in larynx but decreased
movement of one sided vocal cords.
CXR shown.
What is this clinical
syndrome known as?
Connect
● F to A
● Each question has a set for four images, which have
something in common.
● The common thing can be anything, a diagnosis,
drug, syndrome, test etc.
● Total points are +20= 10 for the connect and 10 for
explanation (including all images)
● In some cases, explaining 3 out of 4 images may
suffice.
● 2 mins for connect and 1 min pounce window.
● Pounce marks are +10: +5 for connect and + 5 for
explanantion and -5 if either is wrong. You may
attempt only the connect as well.
Question1
Answer
Frontal lobotomy
Question 2
Answer
Crohns’ disease
Question 3
Answer
Digoxin
Question 4
Answer
• Immunotherapy
• Allison and Honjo- nobel prize
• William cooley- father of immunotherapy
• RCC and melanoma- immunotherapy first line, revolutionized
management
Question 5
Answer
Amyloidosis
Question 6
Pulmonologists love stethoscope.
WOULD YOU PREFER A BLACK STETHOSCOPE OR A YELLOW
STETHOSCOPE?
René Laennec
Audience Q
• What is he planning to do with this tube?
• Endotracheal
intubation in
elephant
surgery
Systems Selection
● Each team, starting from the lowest scoring team,
will get to choose a topic of their own, from the
tiles given.
● Each topic will have a set of 3 questions arranged in
the order of increasing difficulty.
● The score of the questions will be +20,+30, +40 for
questions 1 to 3 respectively (no part points).2 min
per question, 1 min pounce window.
● If a team cannot answer a question, they can skip
the question with no loss of points and proceed
further to the next question.
● However, if a team answers a question incorrectly,
the points for the whole round will be scrapped.
● Pounce for each question carries +10 for right
answer and -10 for wrong answer (no part points)
and pounce window for 1 minute.
● If any team answers a question incorrectly, the
remaining questions (if any) of that title shall be
open to pounce for all the teams. (including the
team who chose the round)
Systems selection
• Sea waves in my heart
• You take my breath away
• To the lumen and beyond
• Not what you thought
• Malignant friends
• Let’s get hormonal
Systems 1
Sea Waves in my
heart
Q1
• A 20/M presented with the following ECG. The astute cardiologist
noticed that this is not the garden variety PSVT and is infact the
simultaneous presence a culprit and it’s facililtator.
• He explains to you interventional procedures that can be used for
management of the culprit, ‘A’, and for the facilitator, ‘B’ (not
necessarily in this case). Identify.
AF with aberrant pathway (WPW).
A= PVI and B= RFA
Q2
An intern brought the ECG of a patient from the emergency while
you’re at cardio ward. You panic and activate the cath lab. The intern
asks you to help localize the territory leaving you red faced. What is
the localization?
A2
High lateral MI.
Localization: D1>>LCX occlusion
● ST elevation primarily localized to leads I and
aVL is referred to as a high lateral STEMI.
● It is usually associated with reciprocal ST
depression and T wave inversion in the
inferior leads.
● Sometimes referred to as the South African
Flag sign
Q3. Identify the waveform in aortic pressure curve and the
characteristic finding on LVOT gradient curves (20+20)
Aortic pressure waveform
LV to Aorta
pressure gradient
•Spike and dome pulse wave
•The brockenbrough –
braunwald – morrow sign
Systems 2
You take my
breath away
Q1
•A 73-year-old man is being considered for liberation from mechanical
ventilation. He was initially admitted to the ICU for community acquired
pneumonia and sepsis. He has comorbid heart failure (LVEF = 35%), COPD,
hypertension and diabetes mellitus. The patient is given a spontaneous
breathing trial for 1 hour with PEEP of 5 cm H2O and an inspiratory
augmentation of 7 cm H2O. At the end of this trial, the patient has a HR –
80/min, RR – 16/min, BP – 100/60 mmHg, SpO2 – 96% on fiO2 – 30% and
the patient is generating tidal volume of approximately 320 mL. What is the
rapid shallow breathing index?
A1
● 16/0.32 = 50
Q2
Match the following
1.Lymphangioleiomyomatosis
(LAM)
2.Burt-Hogg-Dube Syndome
3.Pulmonary Langerhans Cell
Histiocytosis
4.Lymphoid Interstitial Pneumonia
A.Bronchoalveolar lavage fluid CD1a + cells > 5%
B.Serum Vascular Endothelial Growth Factor-D level
> 800 pg/mL
C.Folliculin (FLCN) gene variants
D.Systemic rheumatic diseases
A2
1. B
2. C
3. A
4. D
Q3
•A 62-year-old female with history of chronic alcohol use is
admitted to your ICU with history of black colored stools
for the past 3 days and hematemesis for 1 day. She has not
had anything to eat for the past 1 day. At admission, her
vitals are HR – 110/min, BP – 100/60 mmHg, RR – 20/min,
SpO2 – 100% on O2 @ 2 L/min. Examination reveals
scratch marks, evidence of presence of bed bugs. An ECG
demonstrates tachycardia but not ischemia. Chest X-Ray
shows no acute event. Echocardiography reveals normal
left ventricular function.
•Assuming a cardiac output of 10 L/min, what is the
delivered Oxygen per minute?
Value
WBC 21500/μL
Hb 2.1g/dL
Platelet 198000/μL
Sodium 145 mmol/L
Potassium 3.9 mmol/L
Creatinine 1.13 mg/dL
Lactate 17.0 mmol/L
A3
280 mL/min
=10L/minx(1.34x2.2x
1 ml/dL)
=100x2.1x1.34
Systems 3
To the lumen and
beyond!
Q1
A 58/M with no prior comorbidities, BMI 24kg/m2 presents with drunken
gait and aggressive behavior. Complete metabolic profile including
electrolytes, liver panel were normal. Toxin screen was negative. Previously
charged twice with drunk driving with similar symptoms- breathalyzer tested
positive for high levels of alcohol on both occasions. Based on this history,
blood alcohol levels were tested, and were 250mg/dl (elevated). Patient
repeatedly denied alcohol consumption and family members confirm him
being a teetolatter===.
● What is the diagnosis
● What is the pathogen involved?
A1
Autobrewery syndrome
Saccharomyces cerevisae
Q2
A 34 years old housewife, resident of Kota, Rajasthan presented with
chronic small bowel type diarrhea with 8-10 stools per day associatedwith
weight loss of over 10 kg over 6 month. She had iron deficiency anaemia on
investigations, with Hb-8.3 and anti tTgAb negative. A duodenal biopsy was
done, that showed markedvillous atrophy with increase in IEL- 100/100 hpf,
crypt hyperplasia and diffusechronic inflammatory infiltrate. IHC was
positive in those cells for CD3 and CD8. No strictures were found on CT
enterography. PET CT enterography was done that showed the following
finding. Serum electrophoresis and immunofixation are also shown. What is
the diagnosis?
Q2
A2
● IPSID
● Alpha heavy chain disease
with plasmacytoid
infiltration in the jejunum
Q3
A 50 years old male presents with dull
aching epigastric pain. He is
subsequently evaluated and is found
to have lesion in the pancreas on CT.
MRCP and Side viewing endoscopy
and EUS-FNA are performed.
Diagnostic aspiration from the lesion
shows high CEA and high amylase
values.
● What is the diagnosis?
A3
MD-IPMN
Systems 4
Not what you
thought!
Q1
A 34 year old woman presented to the emergency department 2 days
ago withcomplaints of severe, sudden onset headache and diplopia for
2 hours. An emergent non-contrast CT scan (NCCT) of the head was
performed that revealed a subarachnoid hemorrhage. A lumbar
puncture was also performed which revealed a grossly bloody tap with
20-30 RBC’s per high power field and an opening pressure of 20 cmH2O
on lying on the side. She was admitted and conservatively managed by
IV propranolol and IV mannitol. On the 3rd day of admission she
developed sudden onset severe occipital headache, worse than the
episode for which she was admitted. Another emergent NCCT of the
head was performed which did not reveal any significant changes. A
lumbar puncture revealed an opening pressure of 14 cmH2O and a
xanthochromic tap.
What is the drug of choice for the patient’s symptoms?
A1
• Nimodipine, not any calcium channel blocker.
• Diagnosis: Reactive vasospasm post Sub-Arachnoid Hemorrhage.
Q2
A 12 year old child was brought on wheelchair for both upper and lower limb
weakness. Which classical sign given by an Indian neurologist is shown in the
images?
A2
Pradhan’s Valley sign. Atrophied posterior axillary fold with hypertrophy of
deltoid and infraspinatus muscle.
Q3
76 years old lady diabetic, hypertensive, hypothyroid with CKD 5 on maintenance
hemodialysis presented to EM with increased sleepiness, decreased oral intake and
intermittent non responsiveness. EM evaluation showed sodium of 109meq and
dehydration. 3% NS was provided to rapidly correct the sodium deficit.
Her sensorium improved over 24 hours but while discharging the patient she developed
tremors and mutism. Repeat sodium value of 135meq lead to readmission.
NCCT head didn’t show any infarct, bleed or pontine changes. MRI brain was done but
showed no pontine changes.
● What is the likely cause for her current altered sensorium?
● What are the most common sites to look for this pathology?
A3
Extrapontine myelinosis.
Cerebellum, lateral geniculate body, external capsule, hippocampus.
Systems 5
Malignant friends
Q1
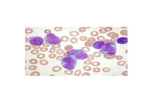
A 35 year old male presented with one month history of
generalized weakness and 10 day history of petechial rash. On
evaluation he was found to have a HB of 9g/dl, TLC of
2400/mm3 and Platelet count of 32000. A peripheral Smear
was done picture of which is shown
• What is the likely diagnosis?
• What is the characteristic molecular abnormality associated
with this condition?
Answer
• APML
• PML-RARA
Q2
A 2 year and 8 month old boy is brought to the emergency department
with complaints of involuntary, rapid eye movements in various
directions and an inability to walk since the past 3 days.
The parents also give a history of moderate fevers (documented as 99-
100ºF), weight loss, anorexia, generalized malaise and worsening ataxia
since the past 2 months.
On examination the child is irritable, his vitals are: BP – 124/80 mm Hg;
pulse rate – 130/min, regular; respiratory rate – 22/min; temperature
100ºF.
A few rhythmic involuntary twitching of the upper limbs is noted.
Further examination failed to reveal anything significant.
A Contrast Enhanced CT Scan of the
chest and abdomen is shown
• What is the diagnosis?
• Which mutation is associated with
universally poor prognosis in this
tumor?
A2
• Neuroblastoma. Opsoclonus-myoclonus syndrome.
• N-myc
Q3
A 65 year old man presents to the medicine OPD with complaints of
dizziness, difficulty in speaking, difficulty swallowing food at dinnertime and
a ‘wobbly gait’ since the past 1 month. He also gives a history of weakness
in his arms and legs as the day progresses which improves with some
activity. He has 50 pack year smoking history. On examination his vitals are
stable. On neurological examination there is horizontal nystagmus
bilaterally, he has an ataxic gait and demonstrates past pointing on a finger
nose test. Muscle bulk, tone and power are normal in all 4 limbs with
normal sensory exam. His CBC reveals mild anemia, leukopenia and leuko-
erythroblastic blood picture on PS itself.
MRI Brain, CECT chest and Pathology findings from CT guided biopsy are
shown
Sagittal T1 shows marked diffuse
cerebellar atrophy with no atrophy
of the cerebral cortex, midbrain,
pons, or medulla.
B
B
PET scan showed multiple
skeletal lytic lesions
• What is the most likely
complete diagnosis?
• Name the phenomenon
on HPE seen in this tumor
• For bonus +10 points,
next investigation based
on provided information?
A3
Systems 6
Let’s get hormonal
Question 1
A 37 year old male presented with complaints of fever for six
weeks with 4 weeks of mild left mandibular pain. He was
suspected to have a dental abscess and managed with
intravenous antibiotics. On examination, his height was 150 cm.
A radiograph of his hand and lab reports are shown. What
congenital condition does he have?
Parameter Lab Value
Sodium 135 mmol/L
Potassium 4.6 mmol/L
Calcium 9.5 mg/dL
Phosphate 3 gm/dL
iPTH 50 pg/mL
OT/PT 18/16 IU/L
Answer 1
Pseudo-pseudo-hypoparathyroidism (AHO).
Q2
A 45 year old lady not on any treatment, prescribed or OTC presented with unexpected
weight gain and puffiness over her whole body for 1 year. She was found to be
hypertensive and diabetic nearly simultaneously 6 months ago poorly controlled on
usual therapy. She first presented to the endocrinologist when her dermatologist
noticed ugly purple striae and suspected Cushing’s disease.
Her post-low dose DEX morning cortisol was elevated following which her serum ACTH
levels were found to be high. MRI Brain showed a pituitary tumor and a high dose DEX
found suppression of levels. Your suggestion of a brain surgery scared the patient and
she insisted on further confirming that the pituitary tumor is the source of the increased
ACTH before proceeding.
Name an invasive investigation you can perform to confirm the source to be pituitary?
A2
Inferior petrosal sinus sampling
Q3
A 41 year old woman presented with a slowly enlarging neck
mass. Her medical history was notable for rosacea for which
she was on allopurinol for gout, calcium and Vitamin D for
osteoporosis, minocycline, amiodarone and had a family
history of non-Hodgkin lymphoma. Thyroid examination
revealed a 1 cm right sided nodule. FNAC showed the
characteristic features of papillary thyroid carcinoma for
which she underwent a total thyroidectomy. Intra-operatively,
the thyroid was grossly black in appearance. Histopathology
revealed a 1 cm classic type of papillary thyroid carcinoma
with surrounding benign follicular cells showing coarse black
pigment granules.
•What is the reason for this appearance of the thyroid?
Minocycline: brings out the goth in you
Audience Q
What did the nymph Ondine do to her husband when he committed adultery
and what does that have to do with Medicine?
Answer
Ondine’s curse-congenital central hypoventilation syndrome
Ondine’s husband has promised his every waking breath to her. Hence, after
his heinous act, she cursed with with the inability to breathe if he fell asleep
Rapid Fire
● Round will start from team with lowest
score till now and then 2nd last until
the highest scoring team
● Each team will choose one of the
available sets with 7 questions of nearly
equal difficulty including 1 image.
● +10 per question, no negatives
● 60 seconds on the clock
● Passed questions to be answered only
at the end of the 7 questions.
● First word out on the mic is the final
answer. No second guessing.
● Don’t wait for the questions to be read
out loud. Answer!
Choose wisely
• Set 1
• Set 2
• Set 3
• Set 4
• Set 5
• Set 6
Rapid Fire set 1
Set1
Q1. Six Food Elimination diet is characteristically prescribed for what disease?
Q2. HLA testing in epileptics before carbamazepine is not useful in Indians because
of very low prevalence in Indian population. True or false?
Q3. Drug of choice for recurrence of giant cell tumor of bone?
Q4. 3rd D in DDDR pacemaker stands for?
Q5. Which delicacy encountered at a sushi bar contains tetradotoxin which may block
sodium channels and land you on a ventilator?
Q6. What comes early in Albright’s and late in Kallman’s?
Q7. Identify the disease
Answers
1. Eosinophilic enteritis
2. False
3. Denosumab
4. Dual response to pacing
5. Puffer fish
6. Puberty
7. PSP
Rapid Fire set 2
Set 2
Q1. What relatively new Hepatitis B drug has been shown to have lower risk of
osteopenia and renal dysfunction?
Q2. EPS finding of demyelinating neuropathy?
Q3. Recently approved immunotherapy for triple negative breast cancer?
Q4. NOACs are now the anticoagulant of choice in bioprosthetic valves. True or false?
Q5. What natural antiseptic in tears and saliva did Alexander Fleming discover prior to
his discovery of antibiotics?
Q6. Patiromer, Zirconium silicate, Tenapanor and Veverimerare potential new treatment
modalities for which condition?
Q7. Role of the following in refractory pleural effusion?
Answers
1. TAF
2. Decreased velocity and latency. AP normal or decreased
3. Atezolizumab
4. True
5. Lysozyme
6. CKD. Not hyperkalemia
7. For causing pleurodeisis
Rapid Fire set 3
Set 3
Q1. Which disease has been found to be associated with malignancy risk including T cell type
of small intestinal lymphoma?
Q2. ABCD2 score is used for?
Q3. Which new class of biologicals and small molecules has the highest propensity for zoster
reactivation?
Q4. FDA issued black box warning for which treatment of recurrent C. Difficile infection due
to risk of transmission of MDR organisms?
Q5. The International Society of Human and Animal Mycology criteria and the Rosenberg
criteria are used for diagnosis of which condition?
Q6. The saline-stimulated copeptin test is used in the diagnostic evaluation of which
endocrine disorder?
Q7. EEG
diagnosis
Answers
1. Celiac disease
2. TIA
3. JAK inhibitors
4. Fecal microbiome transplant
5. ABPA
6. Diabetes insipidus
7. Absence seizures
Rapid Fire set 4
Set 4
Q1. What system is used to classify esophageal motility disorders?
Q2. Route of administration of tensilon in testing for myaesthenia gravis?
Q3. PCSK9 full form?
Q4. Which heavy metal is known to accumulate in the lens of smokers?
Q5. Treatment of choice for radiation induced carotid stenosis with 80%
occlusion?
Q6. Which is the first nanobody approved by FDA for therapeutics?
Q7. The labelled points are
related to which disease?
1. Chicago
2. Intravenous
3. Proprotein convertase subtilisin/kexin type 9
4. Cadmium
5. Stenting
6. Caplacizumab
7. Fibromyalgia
Rapid Fire set 5
Set 5
Q1. New FDA approved drug for cardiac amyloidosis
Q2. Expand SUNCT.
Q3. Maddrey’s score is used for prognosticating what disease?
Q5. The Nasal NO and the high-speed video microscopy tests are
employed for the diagnosis of which etiology of bronchiectasis?
Q. Name the test used for gram negative bacterial sepsis that utilises the
blood of horseshoe crabs.
Q Name the disease associated with ZnT8, IA-2 and GAD-65 antibodies
Q7. 28 female. Identify
underlying disease.
1. Tafamidis
2. Short lasting unilateral neuralgia with conjunctival tearing
3. Acute alcoholic hepatitis
4. Ciliary dyskinesia
5. Limulus amebolysate
6. T1DM
7. Takayasu arteritis
Rapid Fire set 6
Set 6
Q1. Wet, whacky, wobbly is classical triad of?
Q2. What is the delivery of radioactive therapeutic isotopes such as Iridium-192 using a
bronchoscope to a central airway tumor known as?
Q3. The Framingham, Fridericia and Hodges formula are used as alternatives for
correction of which parameter?
Q4. The Modified Faine’s criteria is used for the diagnosis of which disease?
Q5. Poisoning by Hottentota tamulus may be managed with prazosin. So which animal am
I talking about?
Q6. Name the metal whose excess causes a granulomatous disease mimicking sarcoidosis
Q7. Identify the tiny biliary
lesions
1. NPH
2. Brachytherapy
3. QTc
4. Leptospirosis
5. Scorpion bite
6. Berylliosis
7. Von meyenburg Complexes (biliary microhamartoma)
Thanks!
Q30
A 32-year-old woman presents with
nausea and RUQ dull pain of 5 days
duration post laparoscopic
cholecystectomy for symptomatic
gallstones. On exam, she is febrile with
RUQ tenderness. An abdominal
ultrasound shows moderate perihepatic
and peripancreatic fluid. An ERCP is
performed and the in-procedure
cholangiogram is shown What will be
your next step?
AST
Total bilirubin
Direct
bilirubin
Creatinine
30 U/L
4.1 mg/dL
1.9 mg/dL
0.9 mg/dL
WBC
ALP
ALT
Amylase
11,000/μL
280 U/L
26 U/L
40 IU/L
● Place a stent while in ERCP.
● Post choleycystectomy biliary leak.

AIIMS Medicine Quiz

  • 1.
    AIIMS MEDICINE QUIZ 20thOctober 2019 FINALS
  • 2.
    Rules ● Total 6rounds ● Each team will get 1 question per round (I-IV) ● Round 1,3 =A to F ● Round 2,4= F to A ● Scores at end of each round ● No prompting. ● And most important rule….
  • 3.
  • 4.
    Clinical round 1 ●A to F ● +20 points for direct question ● Pounce - > +10/-5 ● No partial points for pounce. If either wrong, -5. You may attempt parts alone (ex. attempt 1 out of 2 with risk of +5, but negative always stays -5) ● 1.5 min for direct question, pounce window closing after 45 sec ● Be patient: If direct team answers before other teams get chance to pounce, -10 for the team and the questions stands null and void.
  • 5.
    Question 1 A 40-year-oldmale with 15-pack-year smoking history (quit 5 years ago) has presented with low-grade intermittent fever, cough and intermittent moderate hemoptysis for 2 years. He has history of associated weight loss of around 5 kgs. He has been treated on clinico-radiological basis with ATT for 1 year without improvement. He has past-history of right mastectomy for gynecomastia at age of 17 years and history of dental caries requiring tooth extraction 2 years back. Presently, he came to the emergency with a bout of massive hemoptysis which subsided with bronchial artery embolization. A subsequent bronchoscopy revealed a mucus plug and purulent discharge with yellowish granules in the right lower lobe bronchus which was suctioned. Histopathology of the mucus plug revealed gram-positive bacteria showing Splendore-Hoeppli phenomenon. What is the likely diagnosis?
  • 6.
  • 7.
    Question 2 •A 52year old man Mr A known case of major depressive disorder with poly substance abuse and poorly controlled Type 2 diabetes mellitus is found unconscious and incontinent of urine in his room and admitted •On arrival, the patient was afebrile and hemodynamically stable with a respiratory rate of 18/min-lethargic and oriented to self with dry mucous membranes •Urine toxicology screen was negative The likely diagnosis for Mr. A? Value Reference Range Sodium,mmol/L 144 135-145 Potassium,mmol/L 3.6 3.3-5.0 Chloride,mmol/L 98 96-106 BUN,mg/dL 24 8-18 Creatinine,mg/dL 1.5 0.5-1.2 Glucose,mg/dL 231 70-100 Calcium, corrected,mg/dL 13.4 8.8-10.2 Magnesium,mg/dL 0.9 1.7-2.6 Phosphorus,mg/dL 2.4 2.5-4.5 Albumin,g/dL 3.4 3.5-5.0 Bicarbonate,mmol/L 34 23-28 iPTH 15 30- 85
  • 8.
  • 9.
    Question 3 A 63-year-oldwoman with a 4-year history of uncontrolled diabetes mellitus presented with an ulcerating rash, primarily on the shins, groin, and face; cheilitis; and glossitis. Her symptoms had been worsening for 4 years despite specialized wound care. In addition, she noted concurrent, severe weight loss, depression, abdominal pain, and intractable nausea. Diagnosis and finding?
  • 10.
    Answer 3 Necrolytic migratoryerythema due to a glucagonoma
  • 11.
    Question 4 A 30-yearold male with a history of alcohol abuse was admitted to the cardiac unit with progressive shortness of breath, lower extremity edema and tachycardia which had developed gradually over several days. There was no history of drug abuse or any prior cardiac events. On examination, On appearance, the patient was severely malnourished. Pulse=130/min with bounding pulses and warm extremities. BP=100/45; Respiratory rate=24/min; Pulse oximetry=98% on room air Labs revealed hyponatremia, compensated metabolic acidosis with a bicarbonate of 14 mEq/L and a lactic acidosis with lactate of 9 mmol/L. 2D Echo showed mild LV dysfunction with an EF of 50%. You have excluded sepsis(somehow). What is the diagnosis?
  • 12.
  • 13.
    Question 5 62 yearsold male, known diabetic and hypertensive for past 20 years presented with acute onset altered sensorium with altered behaviour and difficulty recognizing relatives. He was admitted and worked up. Routine evaluation including MRI brain, CSF were normal. Serum ammonia was 305. CT portography done. What is the diagnosis? What specific intervention can be offered for this indication?
  • 14.
    Answer 5 a) Hepaticencephalopathy secondary to portosystemic shunting (Type B HE) b) Blocking the leino-renal shunt
  • 15.
    Question 6 A 40year old lady, diabetic and hypertensive for 10 years, controlled on therapy presented to EM with recurrent vomiting for 3 days. No history of fever, diarrhea or food intake from outside, no one else in family is symptomatic. EM evaluation showed normal vitals, electrolytes and was discharged after symptomatic treatment with ondansetron and IV fluids. Lady returned to EM two days later with acute painless loss of vision in both eyes and tetraparesis For suspected illness MRI was done which showed the changes shown What is the clinical diagnoses and next investigation?
  • 16.
  • 17.
    Audience question •The fightfor the creation of a drug against this virus began in 1929 and only finally saw the light of day when it was approved by the FDA on 1 May 2019. It has been injected to >8 lakh school children across the globe. •The problem arose with the drug in those who had never been infected with a type of this virus previously and resulted in disastrous cytokine storm upon subsequent infection •What is the drug?
  • 18.
    Clinical Round 2 ●F to A ● +20 points for direct question ● Pounce - > +10/-5 ● No partial points for pounce. If either wrong, -5. You may attempt parts alone (ex. attempt 1 out of 2 with risk of +5, but negative always stays -5) ● 1.5 min for direct question, pounce window closing after 45 sec ● Be patient: If direct team answers before other teams get chance to pounce, -10 for the team and the questions stands null and void.
  • 19.
    Question 1 A 76years old male, prior smoker presents with recurrent episodes of angina and syncope. On evaluation he’s found to have a Hb of 5.4. On detailed questioning, he gives a history of episodes of melena interspersed between syncopal attacks, ongoing for the past 1 year. A colonoscopy is performed that shows characteristic vascular lesions. What’s the diagnosis? Explain the pathophysiology behind it.
  • 20.
    Answer 1 ● Heyde’sSyndrome. (Colonic angiodysplasia shown) ● Pathophysiology-Acquired Von Willebrand Factor defect due to mechanical breakdown by aortic stenosis. Shear stress.
  • 21.
    Question 2 An athletic40 year old man with no significant medical history presented with complaint of episodes of palpitations. He had no cardiovascular risk factors and no family history of sudden cardiac death or cardiomyopathy. On examination in the OPD, pulse was 45 beats/min, respiratory rate of 12/min and blood pressure of 135/62. Physical examination showed a discrete pansystolic murmur at the lower sternal border, which increases with inspiration. His baseline ECGs and ECG during an episode of palpitation while in the hospital were recorded. ECHO showed a normal LV ejection fraction, no valvular heart disease and apical dyskinesia of the right ventricle. Diagnosis?
  • 23.
    Answer 2 Arrhythmogenic rightventricular dysplasia(ARVD) First ECG shows incomplete right bundle branch block and inverted T waves in right precordial leads, QRS prolongation and epsilon wave Second ECG shows a broad QRS tachycardia with AV dissociation and LBBB morphology-an RVOT VT ECG findings ● Epsilon wave (most specific finding, seen in 30% of patients) ● T wave inversion in V1-3 (85% of patients) ● Prolonged S-wave upstroke of 55ms in V1-3 (95% of patients)
  • 24.
    Question 3 A 57-yearold man with a 10 year history of type 2 diabetes presented to the emergency room with light- headedness. He had been on metformin and empagliflozin for the last 6 months and last HbA1C value was 5.7 one month back. He was currently on a low carbohydrate diet and had been NPO that day for an outpatient dental procedure. The episode of lightheadedness began 1 hour prior and was associated with nausea and tachypnea. A friend checked his capillary blood glucose at the time and reports it to be 122 mg/dL Pulse 98/min; BP 130/66; RR 26/min; SpO2 99% on RA Explain his current condition. VBG parameter Value pH 7.25 Bicarbonate(meq/L) 10 Anion gap(meq/L) 23 K+(mEq/L) 4.9 Ketonemia +++
  • 25.
    Answer 3 Euglycemic diabeticketo-acidosis due to empagliflozin
  • 26.
    Question 4 A 21-year-oldmedical student presents to you with history of high-grade fever with chills for 3 weeks and cough with streaky hemoptysis for 2 weeks. There are no other localizing symptoms. He gives history of travel to hills with his friends during the summer break when he used recreational drugs. He has smoked 1 packet of cigarettes a day for the past 2 years. His past-history is significant for surgery for acute appendicitis 3 years back. During the present illness he has been treated with Cefixime, Azithromycin and Ceftriaxone without relief in fever. His blood culture is positive for Staphylococcus aureus. What should be the next investigation?
  • 27.
    Answer 4 A 2DEchocardiography He seems to have developed an unfortunate complication from his vices!
  • 28.
    Question 5 35 yearlady, fatigue, loss of weight CBC – TLC: 65000/cmm, Platelet: 25000/cmm PBS – Blasts 71% Bone Marrow – Blasts 96% Cytochemistry shows Myeloperoxidase – ve, Sudan Black B – ve, combined chloracetate esterase – ve. Cytogenetics is t(9;22), FISH s/o BCR-ABL translocation What are the two possible diagnosis? Common BCR-ABL variants in each? Drug of choice in both scenarios?
  • 29.
    Answer 5 • CML-lymphoid BC or PH positive ALL • P190- ALL, p210-CML • Dasatanib in both
  • 30.
    Question 6 A 32year old male has migraine with aura. He developed left sided hemiparesis. Family history revealed father and grandfather suffering from migraine and dementia. For suspected acute stroke MRI is done and showed the image on the right. Your consultant asks you to get a skin biopsy. ● What is the likely clinical diagnosis? ● What is the underlying genetic abnormality?
  • 31.
    Answer 6 Clinical diagnosis-CADASIL Underlyingabnormality-Mutation of NOTCH 3 Next investigation-Skin Biopsy
  • 32.
    Name the maneuvershown in the image used to improve visualization of the larynx during endotracheal intubation, but not intended to prevent regurgitation. Audience question
  • 33.
    Trivia ● A toF ● +20 points for direct question ● Pounce - > +10/-5 ● No partial points for pounce. If either wrong, -5. You may attempt parts alone (ex. attempt 1 out of 2 with risk of +5, but negative always stays -5) ● 1.5 min for direct question, pounce window closing after 45 sec ● Be patient: If direct team answers before other teams get chance to pounce, -10 for the team and the questions stands null and void.
  • 34.
    Question 1 What didDr Thomas Latta of Edinburgh do for the first time ever, which has since become a standard of care during patient resuscitation?
  • 35.
  • 36.
    Question 2 In 1937,after the Japanese invasion of China, the communist General Zhu De requested Jawaharlal Nehru to send Indian physicians to China. Netaji Subhash Chandra Bose, the President of the Indian National Congress, made arrangements to send a team of volunteer doctors and an ambulance by collecting a fund of Rs 22,000 on the All-Indian China Day and China Fund days on July 7-9. ___________________ was one of five Indian physicians dispatched to China to provide medical assistance during the Second Sino-Japanese War in 1938. Besides being known for his dedication and perseverance, he has also been regarded as an example for Sino-Indian friendship and collaboration.
  • 37.
  • 38.
    Question 3 This picturerepresents the 10,000th mile of the national cycle network in Britain and is part of the National Cycle Route 11. It stretches from Addenbrooke’s Hospital, Cambridge to the nearby village of Great Shelford. It is a dedication to the 1994 discovery made by Professor Michael Stratton and Dr Richard Wooster (Institute of Cancer Research,
  • 40.
    Question 4 In 1832,Dr. B described a 50 year old man suffering from a ‘heat of the blood’, intense sweating and oppression of the chest. The patient had a pale and puffy countenance with eyes like those of a ‘cray fish’ likely due to a blood dyscrasia. He described 2 more patients with thickened lower legs consisting of a ‘plastic brawn’ not being impressible and not releasing fluid by puncture. From his observations, he described pregnancy as the most suitable cure and associated it with the Merseburger triad. Name the disease.
  • 41.
  • 42.
    Question 5 In theMiddle Ages, treatment for X included hot baths, sweating, bloodletting and enemas. Thomas Graham is said to be the father of Y His ideas were implemented in animals for the first time by Abel who used Collodion membranes with the help of hirudin from leeches to carry out “Y”. In 1945, Kolffbrought out the rotating drum version of “Y” and managed to treat the first patient with X using Y. However, it was difficult to use on patients until Brescia-Cimino came out with their innovation, “Z” that allowed patients to use Y for many years with a lower rate of infections. Name ”Y” and “Z”.
  • 43.
  • 44.
    Question 6 Despite beingthe youngest in the group, he was chosen as the first author in a seminal publication of May 13, 1932, a decision that would have far reaching implications. He went on to have an exceptionally good practice, with patients including president D Eisenhower. He always however lamented the time his work took from his family, as encapsulated in this quote. "It has been my misfortune (or perhaps my fortune) to spend most of my professional life as a student of constipation and diarrhea. Sometimes I could wish to have chosen ear, nose and throat as a specialty rather than the tail end of the human anatomy...". Who are we talking about?
  • 45.
  • 46.
    Audience Q Middle agedsmoker presented with hoarseness of voice x 1 month. ENT evaluation shows no growth in larynx but decreased movement of one sided vocal cords. CXR shown. What is this clinical syndrome known as?
  • 47.
    Connect ● F toA ● Each question has a set for four images, which have something in common. ● The common thing can be anything, a diagnosis, drug, syndrome, test etc. ● Total points are +20= 10 for the connect and 10 for explanation (including all images) ● In some cases, explaining 3 out of 4 images may suffice. ● 2 mins for connect and 1 min pounce window. ● Pounce marks are +10: +5 for connect and + 5 for explanantion and -5 if either is wrong. You may attempt only the connect as well.
  • 48.
  • 49.
  • 50.
  • 51.
  • 52.
  • 53.
  • 54.
  • 55.
    Answer • Immunotherapy • Allisonand Honjo- nobel prize • William cooley- father of immunotherapy • RCC and melanoma- immunotherapy first line, revolutionized management
  • 56.
  • 57.
  • 58.
    Question 6 Pulmonologists lovestethoscope. WOULD YOU PREFER A BLACK STETHOSCOPE OR A YELLOW STETHOSCOPE?
  • 59.
  • 60.
    Audience Q • Whatis he planning to do with this tube?
  • 61.
  • 62.
    Systems Selection ● Eachteam, starting from the lowest scoring team, will get to choose a topic of their own, from the tiles given. ● Each topic will have a set of 3 questions arranged in the order of increasing difficulty. ● The score of the questions will be +20,+30, +40 for questions 1 to 3 respectively (no part points).2 min per question, 1 min pounce window. ● If a team cannot answer a question, they can skip the question with no loss of points and proceed further to the next question. ● However, if a team answers a question incorrectly, the points for the whole round will be scrapped. ● Pounce for each question carries +10 for right answer and -10 for wrong answer (no part points) and pounce window for 1 minute. ● If any team answers a question incorrectly, the remaining questions (if any) of that title shall be open to pounce for all the teams. (including the team who chose the round)
  • 63.
    Systems selection • Seawaves in my heart • You take my breath away • To the lumen and beyond • Not what you thought • Malignant friends • Let’s get hormonal
  • 64.
  • 65.
    Q1 • A 20/Mpresented with the following ECG. The astute cardiologist noticed that this is not the garden variety PSVT and is infact the simultaneous presence a culprit and it’s facililtator.
  • 66.
    • He explainsto you interventional procedures that can be used for management of the culprit, ‘A’, and for the facilitator, ‘B’ (not necessarily in this case). Identify.
  • 67.
    AF with aberrantpathway (WPW). A= PVI and B= RFA
  • 68.
    Q2 An intern broughtthe ECG of a patient from the emergency while you’re at cardio ward. You panic and activate the cath lab. The intern asks you to help localize the territory leaving you red faced. What is the localization?
  • 69.
    A2 High lateral MI. Localization:D1>>LCX occlusion ● ST elevation primarily localized to leads I and aVL is referred to as a high lateral STEMI. ● It is usually associated with reciprocal ST depression and T wave inversion in the inferior leads. ● Sometimes referred to as the South African Flag sign
  • 70.
    Q3. Identify thewaveform in aortic pressure curve and the characteristic finding on LVOT gradient curves (20+20) Aortic pressure waveform LV to Aorta pressure gradient
  • 71.
    •Spike and domepulse wave •The brockenbrough – braunwald – morrow sign
  • 72.
    Systems 2 You takemy breath away
  • 73.
    Q1 •A 73-year-old manis being considered for liberation from mechanical ventilation. He was initially admitted to the ICU for community acquired pneumonia and sepsis. He has comorbid heart failure (LVEF = 35%), COPD, hypertension and diabetes mellitus. The patient is given a spontaneous breathing trial for 1 hour with PEEP of 5 cm H2O and an inspiratory augmentation of 7 cm H2O. At the end of this trial, the patient has a HR – 80/min, RR – 16/min, BP – 100/60 mmHg, SpO2 – 96% on fiO2 – 30% and the patient is generating tidal volume of approximately 320 mL. What is the rapid shallow breathing index?
  • 74.
  • 75.
    Q2 Match the following 1.Lymphangioleiomyomatosis (LAM) 2.Burt-Hogg-DubeSyndome 3.Pulmonary Langerhans Cell Histiocytosis 4.Lymphoid Interstitial Pneumonia A.Bronchoalveolar lavage fluid CD1a + cells > 5% B.Serum Vascular Endothelial Growth Factor-D level > 800 pg/mL C.Folliculin (FLCN) gene variants D.Systemic rheumatic diseases
  • 76.
  • 77.
    Q3 •A 62-year-old femalewith history of chronic alcohol use is admitted to your ICU with history of black colored stools for the past 3 days and hematemesis for 1 day. She has not had anything to eat for the past 1 day. At admission, her vitals are HR – 110/min, BP – 100/60 mmHg, RR – 20/min, SpO2 – 100% on O2 @ 2 L/min. Examination reveals scratch marks, evidence of presence of bed bugs. An ECG demonstrates tachycardia but not ischemia. Chest X-Ray shows no acute event. Echocardiography reveals normal left ventricular function. •Assuming a cardiac output of 10 L/min, what is the delivered Oxygen per minute? Value WBC 21500/μL Hb 2.1g/dL Platelet 198000/μL Sodium 145 mmol/L Potassium 3.9 mmol/L Creatinine 1.13 mg/dL Lactate 17.0 mmol/L
  • 78.
  • 79.
    Systems 3 To thelumen and beyond!
  • 80.
    Q1 A 58/M withno prior comorbidities, BMI 24kg/m2 presents with drunken gait and aggressive behavior. Complete metabolic profile including electrolytes, liver panel were normal. Toxin screen was negative. Previously charged twice with drunk driving with similar symptoms- breathalyzer tested positive for high levels of alcohol on both occasions. Based on this history, blood alcohol levels were tested, and were 250mg/dl (elevated). Patient repeatedly denied alcohol consumption and family members confirm him being a teetolatter===. ● What is the diagnosis ● What is the pathogen involved?
  • 81.
  • 82.
    Q2 A 34 yearsold housewife, resident of Kota, Rajasthan presented with chronic small bowel type diarrhea with 8-10 stools per day associatedwith weight loss of over 10 kg over 6 month. She had iron deficiency anaemia on investigations, with Hb-8.3 and anti tTgAb negative. A duodenal biopsy was done, that showed markedvillous atrophy with increase in IEL- 100/100 hpf, crypt hyperplasia and diffusechronic inflammatory infiltrate. IHC was positive in those cells for CD3 and CD8. No strictures were found on CT enterography. PET CT enterography was done that showed the following finding. Serum electrophoresis and immunofixation are also shown. What is the diagnosis?
  • 83.
  • 84.
    A2 ● IPSID ● Alphaheavy chain disease with plasmacytoid infiltration in the jejunum
  • 85.
    Q3 A 50 yearsold male presents with dull aching epigastric pain. He is subsequently evaluated and is found to have lesion in the pancreas on CT. MRCP and Side viewing endoscopy and EUS-FNA are performed. Diagnostic aspiration from the lesion shows high CEA and high amylase values.
  • 86.
    ● What isthe diagnosis?
  • 87.
  • 88.
    Systems 4 Not whatyou thought!
  • 89.
    Q1 A 34 yearold woman presented to the emergency department 2 days ago withcomplaints of severe, sudden onset headache and diplopia for 2 hours. An emergent non-contrast CT scan (NCCT) of the head was performed that revealed a subarachnoid hemorrhage. A lumbar puncture was also performed which revealed a grossly bloody tap with 20-30 RBC’s per high power field and an opening pressure of 20 cmH2O on lying on the side. She was admitted and conservatively managed by IV propranolol and IV mannitol. On the 3rd day of admission she developed sudden onset severe occipital headache, worse than the episode for which she was admitted. Another emergent NCCT of the head was performed which did not reveal any significant changes. A lumbar puncture revealed an opening pressure of 14 cmH2O and a xanthochromic tap. What is the drug of choice for the patient’s symptoms?
  • 90.
    A1 • Nimodipine, notany calcium channel blocker. • Diagnosis: Reactive vasospasm post Sub-Arachnoid Hemorrhage.
  • 91.
    Q2 A 12 yearold child was brought on wheelchair for both upper and lower limb weakness. Which classical sign given by an Indian neurologist is shown in the images?
  • 92.
    A2 Pradhan’s Valley sign.Atrophied posterior axillary fold with hypertrophy of deltoid and infraspinatus muscle.
  • 93.
    Q3 76 years oldlady diabetic, hypertensive, hypothyroid with CKD 5 on maintenance hemodialysis presented to EM with increased sleepiness, decreased oral intake and intermittent non responsiveness. EM evaluation showed sodium of 109meq and dehydration. 3% NS was provided to rapidly correct the sodium deficit. Her sensorium improved over 24 hours but while discharging the patient she developed tremors and mutism. Repeat sodium value of 135meq lead to readmission. NCCT head didn’t show any infarct, bleed or pontine changes. MRI brain was done but showed no pontine changes. ● What is the likely cause for her current altered sensorium? ● What are the most common sites to look for this pathology?
  • 94.
    A3 Extrapontine myelinosis. Cerebellum, lateralgeniculate body, external capsule, hippocampus.
  • 95.
  • 96.
    Q1 A 35 yearold male presented with one month history of generalized weakness and 10 day history of petechial rash. On evaluation he was found to have a HB of 9g/dl, TLC of 2400/mm3 and Platelet count of 32000. A peripheral Smear was done picture of which is shown • What is the likely diagnosis? • What is the characteristic molecular abnormality associated with this condition?
  • 98.
  • 99.
    Q2 A 2 yearand 8 month old boy is brought to the emergency department with complaints of involuntary, rapid eye movements in various directions and an inability to walk since the past 3 days. The parents also give a history of moderate fevers (documented as 99- 100ºF), weight loss, anorexia, generalized malaise and worsening ataxia since the past 2 months. On examination the child is irritable, his vitals are: BP – 124/80 mm Hg; pulse rate – 130/min, regular; respiratory rate – 22/min; temperature 100ºF. A few rhythmic involuntary twitching of the upper limbs is noted. Further examination failed to reveal anything significant.
  • 100.
    A Contrast EnhancedCT Scan of the chest and abdomen is shown • What is the diagnosis? • Which mutation is associated with universally poor prognosis in this tumor?
  • 101.
  • 102.
    Q3 A 65 yearold man presents to the medicine OPD with complaints of dizziness, difficulty in speaking, difficulty swallowing food at dinnertime and a ‘wobbly gait’ since the past 1 month. He also gives a history of weakness in his arms and legs as the day progresses which improves with some activity. He has 50 pack year smoking history. On examination his vitals are stable. On neurological examination there is horizontal nystagmus bilaterally, he has an ataxic gait and demonstrates past pointing on a finger nose test. Muscle bulk, tone and power are normal in all 4 limbs with normal sensory exam. His CBC reveals mild anemia, leukopenia and leuko- erythroblastic blood picture on PS itself. MRI Brain, CECT chest and Pathology findings from CT guided biopsy are shown
  • 103.
    Sagittal T1 showsmarked diffuse cerebellar atrophy with no atrophy of the cerebral cortex, midbrain, pons, or medulla. B B PET scan showed multiple skeletal lytic lesions • What is the most likely complete diagnosis? • Name the phenomenon on HPE seen in this tumor • For bonus +10 points, next investigation based on provided information?
  • 104.
  • 105.
  • 106.
    Question 1 A 37year old male presented with complaints of fever for six weeks with 4 weeks of mild left mandibular pain. He was suspected to have a dental abscess and managed with intravenous antibiotics. On examination, his height was 150 cm. A radiograph of his hand and lab reports are shown. What congenital condition does he have? Parameter Lab Value Sodium 135 mmol/L Potassium 4.6 mmol/L Calcium 9.5 mg/dL Phosphate 3 gm/dL iPTH 50 pg/mL OT/PT 18/16 IU/L
  • 107.
  • 108.
    Q2 A 45 yearold lady not on any treatment, prescribed or OTC presented with unexpected weight gain and puffiness over her whole body for 1 year. She was found to be hypertensive and diabetic nearly simultaneously 6 months ago poorly controlled on usual therapy. She first presented to the endocrinologist when her dermatologist noticed ugly purple striae and suspected Cushing’s disease. Her post-low dose DEX morning cortisol was elevated following which her serum ACTH levels were found to be high. MRI Brain showed a pituitary tumor and a high dose DEX found suppression of levels. Your suggestion of a brain surgery scared the patient and she insisted on further confirming that the pituitary tumor is the source of the increased ACTH before proceeding. Name an invasive investigation you can perform to confirm the source to be pituitary?
  • 109.
  • 110.
    Q3 A 41 yearold woman presented with a slowly enlarging neck mass. Her medical history was notable for rosacea for which she was on allopurinol for gout, calcium and Vitamin D for osteoporosis, minocycline, amiodarone and had a family history of non-Hodgkin lymphoma. Thyroid examination revealed a 1 cm right sided nodule. FNAC showed the characteristic features of papillary thyroid carcinoma for which she underwent a total thyroidectomy. Intra-operatively, the thyroid was grossly black in appearance. Histopathology revealed a 1 cm classic type of papillary thyroid carcinoma with surrounding benign follicular cells showing coarse black pigment granules. •What is the reason for this appearance of the thyroid?
  • 111.
    Minocycline: brings outthe goth in you
  • 112.
    Audience Q What didthe nymph Ondine do to her husband when he committed adultery and what does that have to do with Medicine?
  • 113.
    Answer Ondine’s curse-congenital centralhypoventilation syndrome Ondine’s husband has promised his every waking breath to her. Hence, after his heinous act, she cursed with with the inability to breathe if he fell asleep
  • 114.
    Rapid Fire ● Roundwill start from team with lowest score till now and then 2nd last until the highest scoring team ● Each team will choose one of the available sets with 7 questions of nearly equal difficulty including 1 image. ● +10 per question, no negatives ● 60 seconds on the clock ● Passed questions to be answered only at the end of the 7 questions. ● First word out on the mic is the final answer. No second guessing. ● Don’t wait for the questions to be read out loud. Answer!
  • 115.
    Choose wisely • Set1 • Set 2 • Set 3 • Set 4 • Set 5 • Set 6
  • 116.
  • 117.
    Set1 Q1. Six FoodElimination diet is characteristically prescribed for what disease? Q2. HLA testing in epileptics before carbamazepine is not useful in Indians because of very low prevalence in Indian population. True or false? Q3. Drug of choice for recurrence of giant cell tumor of bone? Q4. 3rd D in DDDR pacemaker stands for? Q5. Which delicacy encountered at a sushi bar contains tetradotoxin which may block sodium channels and land you on a ventilator? Q6. What comes early in Albright’s and late in Kallman’s?
  • 118.
  • 119.
    Answers 1. Eosinophilic enteritis 2.False 3. Denosumab 4. Dual response to pacing 5. Puffer fish 6. Puberty 7. PSP
  • 120.
  • 121.
    Set 2 Q1. Whatrelatively new Hepatitis B drug has been shown to have lower risk of osteopenia and renal dysfunction? Q2. EPS finding of demyelinating neuropathy? Q3. Recently approved immunotherapy for triple negative breast cancer? Q4. NOACs are now the anticoagulant of choice in bioprosthetic valves. True or false? Q5. What natural antiseptic in tears and saliva did Alexander Fleming discover prior to his discovery of antibiotics? Q6. Patiromer, Zirconium silicate, Tenapanor and Veverimerare potential new treatment modalities for which condition?
  • 122.
    Q7. Role ofthe following in refractory pleural effusion?
  • 123.
    Answers 1. TAF 2. Decreasedvelocity and latency. AP normal or decreased 3. Atezolizumab 4. True 5. Lysozyme 6. CKD. Not hyperkalemia 7. For causing pleurodeisis
  • 124.
  • 125.
    Set 3 Q1. Whichdisease has been found to be associated with malignancy risk including T cell type of small intestinal lymphoma? Q2. ABCD2 score is used for? Q3. Which new class of biologicals and small molecules has the highest propensity for zoster reactivation? Q4. FDA issued black box warning for which treatment of recurrent C. Difficile infection due to risk of transmission of MDR organisms? Q5. The International Society of Human and Animal Mycology criteria and the Rosenberg criteria are used for diagnosis of which condition? Q6. The saline-stimulated copeptin test is used in the diagnostic evaluation of which endocrine disorder?
  • 126.
  • 127.
    Answers 1. Celiac disease 2.TIA 3. JAK inhibitors 4. Fecal microbiome transplant 5. ABPA 6. Diabetes insipidus 7. Absence seizures
  • 128.
  • 129.
    Set 4 Q1. Whatsystem is used to classify esophageal motility disorders? Q2. Route of administration of tensilon in testing for myaesthenia gravis? Q3. PCSK9 full form? Q4. Which heavy metal is known to accumulate in the lens of smokers? Q5. Treatment of choice for radiation induced carotid stenosis with 80% occlusion? Q6. Which is the first nanobody approved by FDA for therapeutics?
  • 130.
    Q7. The labelledpoints are related to which disease?
  • 131.
    1. Chicago 2. Intravenous 3.Proprotein convertase subtilisin/kexin type 9 4. Cadmium 5. Stenting 6. Caplacizumab 7. Fibromyalgia
  • 132.
  • 133.
    Set 5 Q1. NewFDA approved drug for cardiac amyloidosis Q2. Expand SUNCT. Q3. Maddrey’s score is used for prognosticating what disease? Q5. The Nasal NO and the high-speed video microscopy tests are employed for the diagnosis of which etiology of bronchiectasis? Q. Name the test used for gram negative bacterial sepsis that utilises the blood of horseshoe crabs. Q Name the disease associated with ZnT8, IA-2 and GAD-65 antibodies
  • 134.
    Q7. 28 female.Identify underlying disease.
  • 135.
    1. Tafamidis 2. Shortlasting unilateral neuralgia with conjunctival tearing 3. Acute alcoholic hepatitis 4. Ciliary dyskinesia 5. Limulus amebolysate 6. T1DM 7. Takayasu arteritis
  • 136.
  • 137.
    Set 6 Q1. Wet,whacky, wobbly is classical triad of? Q2. What is the delivery of radioactive therapeutic isotopes such as Iridium-192 using a bronchoscope to a central airway tumor known as? Q3. The Framingham, Fridericia and Hodges formula are used as alternatives for correction of which parameter? Q4. The Modified Faine’s criteria is used for the diagnosis of which disease? Q5. Poisoning by Hottentota tamulus may be managed with prazosin. So which animal am I talking about? Q6. Name the metal whose excess causes a granulomatous disease mimicking sarcoidosis
  • 138.
    Q7. Identify thetiny biliary lesions
  • 139.
    1. NPH 2. Brachytherapy 3.QTc 4. Leptospirosis 5. Scorpion bite 6. Berylliosis 7. Von meyenburg Complexes (biliary microhamartoma)
  • 140.
  • 141.
    Q30 A 32-year-old womanpresents with nausea and RUQ dull pain of 5 days duration post laparoscopic cholecystectomy for symptomatic gallstones. On exam, she is febrile with RUQ tenderness. An abdominal ultrasound shows moderate perihepatic and peripancreatic fluid. An ERCP is performed and the in-procedure cholangiogram is shown What will be your next step? AST Total bilirubin Direct bilirubin Creatinine 30 U/L 4.1 mg/dL 1.9 mg/dL 0.9 mg/dL WBC ALP ALT Amylase 11,000/μL 280 U/L 26 U/L 40 IU/L
  • 142.
    ● Place astent while in ERCP. ● Post choleycystectomy biliary leak.