Embed presentation
Download to read offline





















































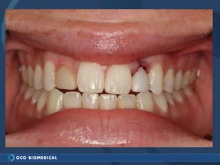
A 3.0mm dental implant was placed to replace congenitally missing maxillary lateral incisors. Dr. Tim Kosinski used a 1.8mm pilot bur and tissue punch to prepare the osteotomy site, then placed the implant by hand and seated it with a torque wrench. After ensuring the implant trajectory was within the restorative envelope, an acrylic coping was placed for temporary fabrication. At the 1 week post-op appointment, excellent soft tissue response and papilla formation were observed, and a final impression was taken to send to the lab for crown fabrication.




















































