ULCERATIVE LESIONS OF
INTESTINES

Dr.Saurav singh
Guide:Dr.PM Pagaro
Overview






Peptic Ulcer Disease
Infectious Causes
(Typhoid, T.B, Amoebic ulcers)
Inflammatory bowel disease
(Ulcerative colitis & Crohns disease)
PEPTIC ULCER DISEASE




DEFINITION
A circumscribed ulceration of the
gastrointestinal mucosa occurring in areas
exposed to acid and pepsin.
Sites:







Duodenum
Stomach
Oesophagus
Gastro-enterostomy stoma
Related to ectopic gastric mucosa (e.g. in Meckel’s
diverticulum)
Epidemiology of PUD










Prevalence about 5-10%
Higher prevalence in low socioeconomic classes and
with certain diseases
Duodenal ulcer M/F: 3:1
Gastric ulcer equal in both sexes but increases with
age
Family history: 3-4 increased risk .
Cigarette smoking: ulceration increased
Emotional disturbances and Stress: increase gastric
acid secretion
Etiopathogenesis


•
•
•

•
•
•



H. Pylori: 70% of all cases.
Other causes include
NSAIDS
Alcohol
Gastritis
Socioeconomic status
Genetic factors
Stress –shock, sepsis or severe trauma
Burns(curling ulcer)
Head trauma (cushing ulcer)
Helicobacter factors in
pathogenesis




Some strains are more pathogenic than others. The Cag
A (cytotoxic) antigen is one important virulence factor
Human variability also plays a part (e.g. individuals who
produce high levels of IL-1 in inflammation get pan
gastritis and Gastric ulcer, lower levels associated with
antral gastritis and Duodenal ulcer)
Duodenal Ulcers











duodenal sites are 4x as common as gastric sites
most common in middle age
 peak 30-50 years
Male to female ratio—4:1
Genetic link: 3x more common in 1st degree relatives
more common in patients with blood group O
associated with increased serum pepsinogen
H. pylori infection common
 up to 95%
smoking is twice as common
Gastric Ulcers










common in late middle age
 incidence increases with age
Male to female ratio—2:1
More common in patients with blood group A
Use of NSAIDs - associated with a three- to four-fold
increase in risk of gastric ulcer
Less related to H. pylori than duodenal ulcers – about
80%
10 - 20% of patients with a gastric ulcer have a
concomitant duodenal ulcer


Symptoms of duodenal ulcer
disease:


epigastric pain 2 hours after meal or on a empty
stomach or during night



pyrosis



good nutrition



obstipation



seasonal dependence (spring, autumn)


Symptoms of gastric ulcer disease:


epigastric pain after meal or during meal



upper dyspeptic syndrome – loss of appetite, nauzea,
vomiting, flatulence



vomitting brings relief



reduced nutrition



loss of weight


Complications:



Bleeding



Perforation



Penetration



Stenosis
Diagnosis


Stool for fecal occult blood



Labs: CBC , liver function test, amylase and lipase.



Upper GI Endoscopy: Any pt >50 yrs with new onset of
symptoms or those with alarm markings including anemia,
weight loss, or GI bleeding.
Helicobacter pylori detection


Invasive( through
endoscopy)







Gastric biopsy and
staining
culture of Bx specimen
Tests using urease
enzyme in Bx
specimens
Bacterial DNA detection
by PCR

Non-invasive:





Urea breath test
H.pylori antibodies
Stool antigen
Salivary antigen
Staining methods of Helicobacter pylori






Warthin–Starry stain- The Warthin Starry stain (WS) is
a silver nitrate based staining method
Leung stain- It is a novel Alcian yellow-toluidine blue
(Leung) stain for H.pylori.
Methylene blue
Biopsy of peptic ulcer:







Biopsy is necessary to distinguish between benign and
malignant ulcers.
Biopsy should be taken from the ulcer edge, at least
from each quadrant.
Upto 10-12 biopsies may be taken to exclude cancer.
Repeat endoscopy may be necessary if biopsies are
negative and there is high index of suspicion.
Morphology of peptic ulcers






Clean, non-elevated
edge
Granulation tissue
base (floor)
Underlying fibrosis
Chronic
Gastric
Ulcer
Duodenal
ulcer


1.
2.

3.
4.

Four histological zones
are present in a peptic
ulcer.
Necrotic zone
Nonspecific acute
inflammation
Granulation tissue
Fibrosis
Microscopic features
Thickening of vessels caused by subendothelial fibrous
proliferation.
 Hypertrophy of nerve bundles.
 Mucosa surrounding the ulcer is pyloric type.
 Necrotic surface shows superimposed infection by
candida albicans.
 In case of H. pylori infection following features are
noted
at the ulcer edge : loss of apical portion of cells,
dropout of epithelial cells,
erosion, cellular tufts.

Healing process






Regenerating epithelium grows over the surface.
Intestinal metaplasia
May contain chief and parietal cells (ulcer in the
fundus area)
Gastritis remains after ulcer has healed.
Cellular atypia may be present.
Morpholog
y of
duoden
al ulcer
Differential Diagnosis










Neoplasm of the stomach
Pancreatitis
Pancreatic cancer
Diverticulitis
Nonulcer dyspepsia (also called functional dyspepsia)
Cholecystitis
Gastritis
GERD
MI—not to be missed if having chest pain
Natural history of PUD








PUD is a chronic episodic disease with relapses and
remissions.
If left untreated, 30-40 % of ulcers heal within 8
weeks.
Recurrence rate without treatment is 70% during first
year and 90% within 2 years.
Complications develop in 20% of PUD
Infectious causes
1. TYPHOID


Acute enteric infectious disease



caused by Salmonella typhi (S.Typhi).



Clinical features : prolonged fever, Relative bradycardia,

apathetic facial expressions, roseola, splenomegaly,
hepatomegaly, leukopenia.


Can lead to intestinal perforation, intestinal hemorrhage
S.Typhi.
2nd bacteremia

liver、spleen、gall、
BM ,ect
early stage
(1-3W)

stomach

(mono

Bac. In gall

nuclea
r
phago
cytes )

Bac. In
feces

Lower
ileum

S.Typhi eliminated
convalvescence stage
(4-5w)

peyer's patches &
mesenteric lymph nodes
LN Proliferate,swell
necrosis
defervescence stage
Enterorrhagia,i
ntestinal
perforation

(3-4w)

thoracic
duct

1st bacteremia
(Incubation stage)
10-14d


Pathogenesis



The amount of bacilli infection (>105bacteria)



Bacteria ingested orally



Stomach barrier (some Eliminated)



Enters the small intestine



Penetrate the mucus layer



Enter mononuclear phagocytes of ileal peyer's patches and
mesenteric lymph nodes



Proliferate in mononuclear phagocytes
spread to blood causing primary bacteremia (Incubation period).


enter spleen, liver and bone marrow (reticulo-endothelial

system)
further proliferation occurs


A lot of bacteria enter blood again causing secondary

bacteremia.


Recovery
PATHOLOGY
Proliferation of RES (reticuloendothelial system )
 Specific changes in lymphoid tissues and mesenteric
lymph nodes."typhoid nodules―
 Most characteristic lesion:
Ulceration of mucosa in the region of the Peyer’s patches of
the small intestine

Peyers
patches
Major findings in lower ileum


Hyperplasia stage(1st week):
swelling lymphoid tissue and proliferation of macrophages.



Necrosis stage(2nd week):
necrosis of swelling lymph nodes or solitary follicles.



Ulceration stage(3rd week):
Oval ulcer with its long axis parallel to the small intestine , this results
from sloughing and shedding of necrotic lymphoid tissue in the
peyers patches leading to intestinal hemorrhage, perforation .



Stage of healing (from 4th week):
healing of ulcer, no cicatrices and no contraction
2. Gastrointestinal Tuberculosis





•
•
•

Abdominal tuberculosis is usually secondary to pulmonary
tuberculosis
Sites:
The ileocecal region is the most common area of involvement in
the gastrointestinal tract due to the abundance of lymphoid
tissue.
The natural course of gastrointestinal tuberculosis may be
Ulcerative
hypertrophic or
ulcer hypertrophic.
Clinical presentation
Abdominal pain mimicking peptic ulcer disease with
stomach or duodenal infection;



Malabsorption with infection of the small intestine;
Pain, diarrhea, or hematochezia with infection of the
colon.
Investigations









Blood routine
Urine routine - to detect diabetes mellitus
Plain X-ray of the abdomen
Laparoscopy
Laparoscopic biopsy of tubercles found in the
peritoneum or other parts
Barium studies
Intestinal tuberculosis.


3. AMOEBIC ULCER



The causative organism is parasitic protozoan, called
Entamoeba histolytica.



Site: It usually involves caecum and ascending
colon followed by sigmoid colon, rectum, and appendix.
In severe cases the entire colon is involved.



The spectrum of colitis in amoebiasis ranges from
mucosal thickening, to multiple cyst formation, to diffuse
Inflammation / oedema, to necrosis and perforation of
colonic wall.
Life cycle
Mouth - Cyst ingested
Excyst to trophozoite

Passed in stool

Amoebic disease

Cyst

Trophozoite

Invades gut mucosa – cyst formation
Clinical presentation
•
•
•
•
•
•

Gradual onset of bloody diarrhoea
Abdominal pain and tenderness.
Leucocytes and pus may be present in stool.
Fever present in <40% of patients.
Weight loss and anorexia can be present.
Local inflammatory masses, amoebomas, may cause
obstructive symptoms








Gross features:
Begin as small foci of necrosis that progress to ulcers.
In the early stages the colonic ulcers have a narrow neck
and thus appear as small nodules
As the ulcers enlarge they always retain their undermined
base but the ulcerated area of the mucosa becomes
larger.
The base of the ulcer is covered by grey - white exudate.
There is always undenuded mucosa between the ulcers.


Microscopic features:



The ulcer is typically 'flask- shaped' and the broad base is
composed of fibrin and cellular debris.
A sharp line divides the necrotic and viable mucosa
Trophozoites are found on the surface of the ulcers, in the
exudate and in the crater.
They are frequently found in the submucosa, muscularis
propria, serosa.





― IBD is a set of
chronic
inflammatory
conditions resulting
from inappropriate
and persistent
activation of the
mucosal immune
system ,driven by
the presence of
normal intestinal
flora.‖
HISTORY
ULCERATIVE COLITIS
•
First officially described by Wilks and Moxon in 1875.
• Before this discovery , all the diarrheal diseases were
believed to be caused by infectious agents and bacteria.
Crohn’s disease

•

In 1913 Dr Dalziel described transmural intestinal
inflammation in 13 autopsied patients.

•

In 1930 Burril Crohn described TERMINAL
ILEITIS first .
Epidemiology of IBD
Ulcerative colitis Crohn’s disease
Incidence (US)

11/100 000

7/100 000

Age of onset

15-30 & 60-80

15-30 & 60-80

Male:female ratio

Smoking

1:1
May prevent
disease

1.1-1.8:1
May cause disease

Oral contraceptive No increased risk Relative risk

Appendectomy

Not protective

Monozygotic twins 8% concordance

Protective
67% concordance
PATHOGENESIS
I.

GENETIC PREDISPOSITION.

II.

INFECTIOUS CAUSES.

III.

ABNORMAL HOST IMMUNOREACTIVITY.
GENETIC
•

Genome wide scanning with microsatellite DNA markers
has identified several genetic sites as being potentially
associated with UC or CD.

•

Significant linkages have been reported on
chromosomes 1, 3, 6, 7, 12, 14, 16, and 19.

•

One of the clearest linkages is for IBD-1, a susceptibility
locus in the pericentromeric region of chromosome 16.
•

Detailed analysis has resulted in the identification of the
nucleotide-binding oligomerization domain 2 (NOD2)
gene and protein.

•

NOD2 is also known as caspase activation and
recruitment domain 15 (CARD15).

•

This is a polymorphic gene, the product of which is
involved in the innate immune system.
NOD2 PROTEIN
EXPRESSED IN macrophages / monocytes

FUNCTION AS AN INTRACELLULAR RECEPTOR

MICROBES

TRIGGER NF- kB pathway

NOD2 gene
mutation

CYTOKINES AND OTHER PROTEINS

INNATE IMMUNE DEFENSE MECHANISM

DOWN REGULATION OF INNATE IMMUNITY
LEADS TO INFLAMMATORY BOWEL
Abnormal host immunoreactivity


IBD is characterized by immunoregulatory defects in the
mucosa, which appear to be associated with microbial
exposure.



A number of theories have been advanced concerning the
pathogenesis of this process:
- dysfunctional immune host response to
normal
luminal component
- infection with a specific pathogen
- defective mucosal barrier to luminal antigens.
•

•

It is hypothesized that exposure to commensal bacteria
down-regulates the inflammatory genes and blocks
activation of the NF-kB pathway, thus inhibiting the
inflammatory immune response of the gut to the
microbes and food antigens to which it is constantly
exposed.






.

Implicated pathogens include
Mycobacterium paratuberculosis
Paramyxovirus
Listeria monocytogenes
Helicobacter hepaticus.


Defective barrier function
IBD is associated with increased permeability of
the epithelial lining of the gut resulting in continuous
stimulation of the mucosal immune system.
Luminal bacteria appear to intensify the
permeability defect further, establishing a self-sustaining
cycle of mucosal inflammation that allows for uptake and
translocation of bacteria.
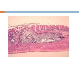
Ulcerative colitis


Is an inflammatory disease involving only the large
intestine.
The inner lining or mucosa of the intestine becomes
inflamed and develops ulcers.
Always starts in rectum and is continuous until some
proximal part of the colon.
Involves the mucosa and submucosa
sites







40-50% of patients have disease limited to the rectum
and rectosigmoid
30-40% of patients have disease extending beyond the
sigmoid
20% of patients have a total colitis
Proximal spread occurs in continuity without areas of
uninvolved mucosa
Ulcerative colitis – clinical presentation
The major symptoms of UC are:
- diarrhea
- rectal bleeding
- tenesmus
- passage of mucus
- crampy abdominal pain

Ulcerative colitis – macroscopic
features
Mucosa is :
- erythematous, has a granular surface that looks like a
sand paper



In more severe diseases:
- hemorrhagic, edematous and ulcerated





In fulminant disease a toxic colitis or a toxic megacolon
may develop ( wall become very thin and mucosa is
severly ulcerated)
Acute form with
marked
hyperemia
Ulcerative colitis – microscopic
features
Process is limited to the mucosa and submucosa with
deeper layer unaffected
 Two major histologic features:
- the crypt architecture of the colon is distorted
- some patients have basal plasma cells and multiple
basal lymphoid aggregates

Broad based
ulceration of
the mucosa
in distal
colon or
throughout
its length
Pseudopolyps in
Ulcerative colitis
Ulcerative colitis
featuring crypt
abscesses
Chronic
ulcerative
colitis in
remission
Ulcerativ
e colitis
in an
active
phase.
Ulcerative colitis - complications





Hemorrhage
Perforation
Stricture
Toxic megacolon (transverse colon with a diameter of
more than 5 to 6 cm with loss of haustration)
Toxic Megacolon
Crohn’s disease (CD)









Also referred to as granulomatous or regional
enteritis, granulomatous ileitis, ileocolitis
Can have non-continuous pattern-‖skip lesions‖, with
areas of severe inflammation with intervening
normal mucosa
Most frequently affects distal third of small intestine
and the colon
Affects all layers of the affected bowel
sites


Can affect any part of GI tract from the mouth to the
anus



30-40% of patients have small bowel disease alone



40-55% of patients have both small and large intestines
disease



15-25% of patients have colitis alone



In 75% of patients with small intestinal disease the
terminal ileum in involved in 90%
Crohn’s disease – sign and
symptoms
Ileocolitis
- right lower quadrant pain and diarhhea
- palpable mass, fever and leucocytosis
- pain is colickly and relieved by defecation



Jejunoileitis
- inflammatory disease is associated with loss of digestive
and absorptive surface


Crohn’s disease – sign and
symptoms
Colitis and perianal disease
- low grade fever, malaise, diarrhea, crampy abdominal
pain, sometimes hematochezia
- pain is caused by passage of fecal material through
narrowed and inflamed segments of large bowel



Gastroduodenal disease
- nausea, vomiting, epigastric pain
- second portion of duodenum is more commonly involved
than the bulb


Crohn’s disease – macroscopic
features


CD is a transmural process



CD is segmental with skip areas in the midst of diseased
intestine



In one –third of patients with CD perirectal fistulas,
fissures, abscesses, anal stenosis are present
Skip
lesion of
crohns
disease
Crohn’s disease – macroscopic
features


mild disease is characterized by:
aphtous or small superficial ulcerations



In more active disease:
stellate ulcerations fuse longitudinally and transversely to
demarcate island of mucosa that are histologically
normal



Cobblestone appearance is characteristic of CD
SEGMENTAL

INVOLVEMENT
WITH

TRANSMURAL

SPREAD
TYPICAL

COBBLESTONE

APPEARANCE
M/E :
Mucosal inflammation





Mucosa normal and retain mucus.
Well-defined focus of inflammatory cells
surrounded by non inflammed and normal mucosa
As the disease establish , neutrophils infiltrate isolated
crypts – abscess – ultimate destruction.
Crohn
colitis
Chronic mucosal damage:





Architectural distortion manifested as villous blunting.
Crypts exhibit irregularities and branching.
Crypt destruction leads to atrophy
Gastric antral type or paneth cell metaplasia occur
The branched
crypt
A - Mucosal
Granuloma
eroding a crypt of
lieberkhun and
initiating crypt
abscess
formation.

B - Crypt
obliterated by
Granuloma
formation
•

Non Caseating Granuloma-in ½ cases , Sarcoid
Granuloma in all tissue layers.
Others:

•

In diseased segments muscularis mucosa exhibits
reduplication ,
strictures.

thickening, irregularity's leads to

like,
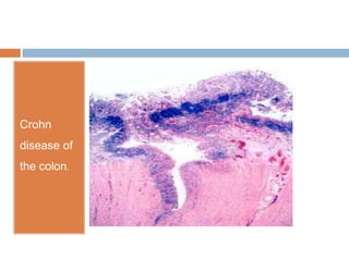
Crohn
disease of

the colon.
Submucosal
nonnecrotizi
ng
granulomas
Complications of Crohn's Disease:


Perianal fistulas



Perianal skin ulceration



Increased incidence of gall and kidney stones (due to
malabsorption of fats and bile salts)
Extraintestinal manifestations of IBD







Iritis
Episcleritis
Arthritis
Skin involvement
Pericholangitis
Sclerosing cholangitis
Risk of Malignancy in IBD




In Crohn’s disease, increased risk of cancer of the
affected areas is seen
In ulcerative colitis, 8-10 years after initial
diagnosis, there is a steady, significant increased
risk of developing cancer
 Prognostic factors increasing malignancy risk in
UC:
• Duration of disease 10 yrs or more
• Pancolonic involvement
• Continuous progressive disease
• Severe initial onset
• Associated liver disease
Gross :


Thick mucosa with finely nodular or velvety surface
configuration.



Lesion polypoid , elevated , nodular or villous formation.
M/E :


Adenocarcinoma with varying degree of
differentiation .



Always accompanied by dysplastic changes .
Evaluation of Dysplasia


1 - Negative for Dysplasia.



2 - Indefinite for Dysplasia,probably Negative.



3 - Indefinite for Dysplasia, Unknown.



4 - Indefinite for Dysplasia,probably Positive.



5 - Positive for Dysplasia,Low Grade.



6 - Positive for Dysplasia,High Grade.
Lab Findings in IBD








CBC’s:
 Anemia is common due to blood loss or
malabsorption
 Leukocytosis & thrombocytosis also common
ESR typically elevated; monitors disease activity
Abnormal LFTs may represent pericholangitis or
sclerosing cholangitis
Low serum albumin (protein-losing enteropathy)
suggests extensive colitis
Features

UC

CD

Rectal Bleeding

Common

Inconspicuous


Abdominal mass

Practically never

10-15%

Abdominal pain

Left sided

Right sided

Sigmoidoscopy

Abnormal 95%

Abnormal <50%

Free perforation

12%

04%

Colon CA

2%

Rare

Anal complications

Minor

75%, fissures, fistulas,
ulceration

Response to steroid

75%

25%

Result of surgery

Good

Fair

Clinical
Features

UC

CD

Sparing of rectum

Exceptional

90%

Involvement of ileum

Rare

Common

Strictures

Absent

Present

Skip areas

Absent

Common

Internal fistula

Absent

May be present

Longitudinal and transverse
ulcers

Exceptional

Common

Fissuring

Absent

Common

Radiographic
Features

UC

CD

Distribution of involvement

Diffuse

Focal

Mucosal atrophy

Marked

Minimal

Cytoplasmic Mucin

Diminished

Preserved

Lymphoid aggregates

Rare

Common

Edema

Minimal

Marked

Hyperemia

May be extreme

Minimal

Granulomas

Absent

Present in 60%

Fissuring

Absent

Present

Crypt abscesses

Common

Rare

Rectal involvement

Practically always

50%

Morphologic
REFERENCES


Robbins and Cotran.



Surgical Pathology – Rosai and Ackerman’s.



Sternburg.



Harrison’s Textbook of Internal Medicine.



Internet
Ulcerative  intestine

Ulcerative intestine

  • 1.
  • 2.
    Overview    Peptic Ulcer Disease InfectiousCauses (Typhoid, T.B, Amoebic ulcers) Inflammatory bowel disease (Ulcerative colitis & Crohns disease)
  • 3.
    PEPTIC ULCER DISEASE   DEFINITION Acircumscribed ulceration of the gastrointestinal mucosa occurring in areas exposed to acid and pepsin. Sites:      Duodenum Stomach Oesophagus Gastro-enterostomy stoma Related to ectopic gastric mucosa (e.g. in Meckel’s diverticulum)
  • 5.
    Epidemiology of PUD        Prevalenceabout 5-10% Higher prevalence in low socioeconomic classes and with certain diseases Duodenal ulcer M/F: 3:1 Gastric ulcer equal in both sexes but increases with age Family history: 3-4 increased risk . Cigarette smoking: ulceration increased Emotional disturbances and Stress: increase gastric acid secretion
  • 6.
    Etiopathogenesis   • • • • • •   H. Pylori: 70%of all cases. Other causes include NSAIDS Alcohol Gastritis Socioeconomic status Genetic factors Stress –shock, sepsis or severe trauma Burns(curling ulcer) Head trauma (cushing ulcer)
  • 8.
    Helicobacter factors in pathogenesis   Somestrains are more pathogenic than others. The Cag A (cytotoxic) antigen is one important virulence factor Human variability also plays a part (e.g. individuals who produce high levels of IL-1 in inflammation get pan gastritis and Gastric ulcer, lower levels associated with antral gastritis and Duodenal ulcer)
  • 9.
    Duodenal Ulcers         duodenal sitesare 4x as common as gastric sites most common in middle age  peak 30-50 years Male to female ratio—4:1 Genetic link: 3x more common in 1st degree relatives more common in patients with blood group O associated with increased serum pepsinogen H. pylori infection common  up to 95% smoking is twice as common
  • 10.
    Gastric Ulcers       common inlate middle age  incidence increases with age Male to female ratio—2:1 More common in patients with blood group A Use of NSAIDs - associated with a three- to four-fold increase in risk of gastric ulcer Less related to H. pylori than duodenal ulcers – about 80% 10 - 20% of patients with a gastric ulcer have a concomitant duodenal ulcer
  • 11.
     Symptoms of duodenalulcer disease:  epigastric pain 2 hours after meal or on a empty stomach or during night  pyrosis  good nutrition  obstipation  seasonal dependence (spring, autumn)
  • 12.
     Symptoms of gastriculcer disease:  epigastric pain after meal or during meal  upper dyspeptic syndrome – loss of appetite, nauzea, vomiting, flatulence  vomitting brings relief  reduced nutrition  loss of weight
  • 13.
  • 14.
    Diagnosis  Stool for fecaloccult blood  Labs: CBC , liver function test, amylase and lipase.  Upper GI Endoscopy: Any pt >50 yrs with new onset of symptoms or those with alarm markings including anemia, weight loss, or GI bleeding.
  • 15.
    Helicobacter pylori detection  Invasive(through endoscopy)      Gastric biopsy and staining culture of Bx specimen Tests using urease enzyme in Bx specimens Bacterial DNA detection by PCR Non-invasive:     Urea breath test H.pylori antibodies Stool antigen Salivary antigen
  • 16.
    Staining methods ofHelicobacter pylori    Warthin–Starry stain- The Warthin Starry stain (WS) is a silver nitrate based staining method Leung stain- It is a novel Alcian yellow-toluidine blue (Leung) stain for H.pylori. Methylene blue
  • 19.
    Biopsy of pepticulcer:     Biopsy is necessary to distinguish between benign and malignant ulcers. Biopsy should be taken from the ulcer edge, at least from each quadrant. Upto 10-12 biopsies may be taken to exclude cancer. Repeat endoscopy may be necessary if biopsies are negative and there is high index of suspicion.
  • 20.
    Morphology of pepticulcers    Clean, non-elevated edge Granulation tissue base (floor) Underlying fibrosis
  • 21.
  • 22.
  • 23.
     1. 2. 3. 4. Four histological zones arepresent in a peptic ulcer. Necrotic zone Nonspecific acute inflammation Granulation tissue Fibrosis
  • 24.
    Microscopic features Thickening ofvessels caused by subendothelial fibrous proliferation.  Hypertrophy of nerve bundles.  Mucosa surrounding the ulcer is pyloric type.  Necrotic surface shows superimposed infection by candida albicans.  In case of H. pylori infection following features are noted at the ulcer edge : loss of apical portion of cells, dropout of epithelial cells, erosion, cellular tufts. 
  • 25.
    Healing process     Regenerating epitheliumgrows over the surface. Intestinal metaplasia May contain chief and parietal cells (ulcer in the fundus area) Gastritis remains after ulcer has healed. Cellular atypia may be present.
  • 26.
  • 27.
    Differential Diagnosis          Neoplasm ofthe stomach Pancreatitis Pancreatic cancer Diverticulitis Nonulcer dyspepsia (also called functional dyspepsia) Cholecystitis Gastritis GERD MI—not to be missed if having chest pain
  • 28.
    Natural history ofPUD     PUD is a chronic episodic disease with relapses and remissions. If left untreated, 30-40 % of ulcers heal within 8 weeks. Recurrence rate without treatment is 70% during first year and 90% within 2 years. Complications develop in 20% of PUD
  • 29.
    Infectious causes 1. TYPHOID  Acuteenteric infectious disease  caused by Salmonella typhi (S.Typhi).  Clinical features : prolonged fever, Relative bradycardia, apathetic facial expressions, roseola, splenomegaly, hepatomegaly, leukopenia.  Can lead to intestinal perforation, intestinal hemorrhage
  • 30.
    S.Typhi. 2nd bacteremia liver、spleen、gall、 BM ,ect earlystage (1-3W) stomach (mono Bac. In gall nuclea r phago cytes ) Bac. In feces Lower ileum S.Typhi eliminated convalvescence stage (4-5w) peyer's patches & mesenteric lymph nodes LN Proliferate,swell necrosis defervescence stage Enterorrhagia,i ntestinal perforation (3-4w) thoracic duct 1st bacteremia (Incubation stage) 10-14d
  • 31.
     Pathogenesis  The amount ofbacilli infection (>105bacteria)  Bacteria ingested orally  Stomach barrier (some Eliminated)  Enters the small intestine  Penetrate the mucus layer  Enter mononuclear phagocytes of ileal peyer's patches and mesenteric lymph nodes  Proliferate in mononuclear phagocytes spread to blood causing primary bacteremia (Incubation period).
  • 32.
     enter spleen, liverand bone marrow (reticulo-endothelial system) further proliferation occurs  A lot of bacteria enter blood again causing secondary bacteremia.  Recovery
  • 33.
    PATHOLOGY Proliferation of RES(reticuloendothelial system )  Specific changes in lymphoid tissues and mesenteric lymph nodes."typhoid nodules―  Most characteristic lesion: Ulceration of mucosa in the region of the Peyer’s patches of the small intestine 
  • 34.
  • 35.
    Major findings inlower ileum  Hyperplasia stage(1st week): swelling lymphoid tissue and proliferation of macrophages.  Necrosis stage(2nd week): necrosis of swelling lymph nodes or solitary follicles.  Ulceration stage(3rd week): Oval ulcer with its long axis parallel to the small intestine , this results from sloughing and shedding of necrotic lymphoid tissue in the peyers patches leading to intestinal hemorrhage, perforation .  Stage of healing (from 4th week): healing of ulcer, no cicatrices and no contraction
  • 36.
    2. Gastrointestinal Tuberculosis    • • • Abdominaltuberculosis is usually secondary to pulmonary tuberculosis Sites: The ileocecal region is the most common area of involvement in the gastrointestinal tract due to the abundance of lymphoid tissue. The natural course of gastrointestinal tuberculosis may be Ulcerative hypertrophic or ulcer hypertrophic.
  • 37.
    Clinical presentation Abdominal painmimicking peptic ulcer disease with stomach or duodenal infection;  Malabsorption with infection of the small intestine; Pain, diarrhea, or hematochezia with infection of the colon.
  • 38.
    Investigations       Blood routine Urine routine- to detect diabetes mellitus Plain X-ray of the abdomen Laparoscopy Laparoscopic biopsy of tubercles found in the peritoneum or other parts Barium studies
  • 39.
  • 40.
     3. AMOEBIC ULCER  Thecausative organism is parasitic protozoan, called Entamoeba histolytica.  Site: It usually involves caecum and ascending colon followed by sigmoid colon, rectum, and appendix. In severe cases the entire colon is involved.  The spectrum of colitis in amoebiasis ranges from mucosal thickening, to multiple cyst formation, to diffuse Inflammation / oedema, to necrosis and perforation of colonic wall.
  • 41.
    Life cycle Mouth -Cyst ingested Excyst to trophozoite Passed in stool Amoebic disease Cyst Trophozoite Invades gut mucosa – cyst formation
  • 42.
    Clinical presentation • • • • • • Gradual onsetof bloody diarrhoea Abdominal pain and tenderness. Leucocytes and pus may be present in stool. Fever present in <40% of patients. Weight loss and anorexia can be present. Local inflammatory masses, amoebomas, may cause obstructive symptoms
  • 43.
        Gross features: Begin assmall foci of necrosis that progress to ulcers. In the early stages the colonic ulcers have a narrow neck and thus appear as small nodules As the ulcers enlarge they always retain their undermined base but the ulcerated area of the mucosa becomes larger. The base of the ulcer is covered by grey - white exudate. There is always undenuded mucosa between the ulcers.
  • 44.
     Microscopic features:  The ulceris typically 'flask- shaped' and the broad base is composed of fibrin and cellular debris. A sharp line divides the necrotic and viable mucosa Trophozoites are found on the surface of the ulcers, in the exudate and in the crater. They are frequently found in the submucosa, muscularis propria, serosa.   
  • 47.
    ― IBD isa set of chronic inflammatory conditions resulting from inappropriate and persistent activation of the mucosal immune system ,driven by the presence of normal intestinal flora.‖
  • 48.
    HISTORY ULCERATIVE COLITIS • First officiallydescribed by Wilks and Moxon in 1875. • Before this discovery , all the diarrheal diseases were believed to be caused by infectious agents and bacteria.
  • 49.
    Crohn’s disease • In 1913Dr Dalziel described transmural intestinal inflammation in 13 autopsied patients. • In 1930 Burril Crohn described TERMINAL ILEITIS first .
  • 50.
    Epidemiology of IBD Ulcerativecolitis Crohn’s disease Incidence (US) 11/100 000 7/100 000 Age of onset 15-30 & 60-80 15-30 & 60-80 Male:female ratio Smoking 1:1 May prevent disease 1.1-1.8:1 May cause disease Oral contraceptive No increased risk Relative risk Appendectomy Not protective Monozygotic twins 8% concordance Protective 67% concordance
  • 51.
  • 52.
    GENETIC • Genome wide scanningwith microsatellite DNA markers has identified several genetic sites as being potentially associated with UC or CD. • Significant linkages have been reported on chromosomes 1, 3, 6, 7, 12, 14, 16, and 19. • One of the clearest linkages is for IBD-1, a susceptibility locus in the pericentromeric region of chromosome 16.
  • 53.
    • Detailed analysis hasresulted in the identification of the nucleotide-binding oligomerization domain 2 (NOD2) gene and protein. • NOD2 is also known as caspase activation and recruitment domain 15 (CARD15). • This is a polymorphic gene, the product of which is involved in the innate immune system.
  • 54.
    NOD2 PROTEIN EXPRESSED INmacrophages / monocytes FUNCTION AS AN INTRACELLULAR RECEPTOR MICROBES TRIGGER NF- kB pathway NOD2 gene mutation CYTOKINES AND OTHER PROTEINS INNATE IMMUNE DEFENSE MECHANISM DOWN REGULATION OF INNATE IMMUNITY LEADS TO INFLAMMATORY BOWEL
  • 55.
    Abnormal host immunoreactivity  IBDis characterized by immunoregulatory defects in the mucosa, which appear to be associated with microbial exposure.  A number of theories have been advanced concerning the pathogenesis of this process: - dysfunctional immune host response to normal luminal component - infection with a specific pathogen - defective mucosal barrier to luminal antigens.
  • 56.
    • • It is hypothesizedthat exposure to commensal bacteria down-regulates the inflammatory genes and blocks activation of the NF-kB pathway, thus inhibiting the inflammatory immune response of the gut to the microbes and food antigens to which it is constantly exposed.
  • 57.
         . Implicated pathogens include Mycobacteriumparatuberculosis Paramyxovirus Listeria monocytogenes Helicobacter hepaticus.
  • 58.
     Defective barrier function IBDis associated with increased permeability of the epithelial lining of the gut resulting in continuous stimulation of the mucosal immune system. Luminal bacteria appear to intensify the permeability defect further, establishing a self-sustaining cycle of mucosal inflammation that allows for uptake and translocation of bacteria.
  • 59.
    Ulcerative colitis  Is aninflammatory disease involving only the large intestine. The inner lining or mucosa of the intestine becomes inflamed and develops ulcers. Always starts in rectum and is continuous until some proximal part of the colon. Involves the mucosa and submucosa
  • 60.
    sites     40-50% of patientshave disease limited to the rectum and rectosigmoid 30-40% of patients have disease extending beyond the sigmoid 20% of patients have a total colitis Proximal spread occurs in continuity without areas of uninvolved mucosa
  • 61.
    Ulcerative colitis –clinical presentation The major symptoms of UC are: - diarrhea - rectal bleeding - tenesmus - passage of mucus - crampy abdominal pain 
  • 62.
    Ulcerative colitis –macroscopic features Mucosa is : - erythematous, has a granular surface that looks like a sand paper  In more severe diseases: - hemorrhagic, edematous and ulcerated   In fulminant disease a toxic colitis or a toxic megacolon may develop ( wall become very thin and mucosa is severly ulcerated)
  • 63.
  • 64.
    Ulcerative colitis –microscopic features Process is limited to the mucosa and submucosa with deeper layer unaffected  Two major histologic features: - the crypt architecture of the colon is distorted - some patients have basal plasma cells and multiple basal lymphoid aggregates 
  • 65.
    Broad based ulceration of themucosa in distal colon or throughout its length
  • 66.
  • 67.
  • 68.
  • 69.
  • 70.
    Ulcerative colitis -complications     Hemorrhage Perforation Stricture Toxic megacolon (transverse colon with a diameter of more than 5 to 6 cm with loss of haustration)
  • 71.
  • 72.
    Crohn’s disease (CD)     Alsoreferred to as granulomatous or regional enteritis, granulomatous ileitis, ileocolitis Can have non-continuous pattern-‖skip lesions‖, with areas of severe inflammation with intervening normal mucosa Most frequently affects distal third of small intestine and the colon Affects all layers of the affected bowel
  • 73.
    sites  Can affect anypart of GI tract from the mouth to the anus  30-40% of patients have small bowel disease alone  40-55% of patients have both small and large intestines disease  15-25% of patients have colitis alone  In 75% of patients with small intestinal disease the terminal ileum in involved in 90%
  • 74.
    Crohn’s disease –sign and symptoms Ileocolitis - right lower quadrant pain and diarhhea - palpable mass, fever and leucocytosis - pain is colickly and relieved by defecation  Jejunoileitis - inflammatory disease is associated with loss of digestive and absorptive surface 
  • 75.
    Crohn’s disease –sign and symptoms Colitis and perianal disease - low grade fever, malaise, diarrhea, crampy abdominal pain, sometimes hematochezia - pain is caused by passage of fecal material through narrowed and inflamed segments of large bowel  Gastroduodenal disease - nausea, vomiting, epigastric pain - second portion of duodenum is more commonly involved than the bulb 
  • 76.
    Crohn’s disease –macroscopic features  CD is a transmural process  CD is segmental with skip areas in the midst of diseased intestine  In one –third of patients with CD perirectal fistulas, fissures, abscesses, anal stenosis are present
  • 77.
  • 78.
    Crohn’s disease –macroscopic features  mild disease is characterized by: aphtous or small superficial ulcerations  In more active disease: stellate ulcerations fuse longitudinally and transversely to demarcate island of mucosa that are histologically normal  Cobblestone appearance is characteristic of CD
  • 80.
  • 81.
  • 82.
    M/E : Mucosal inflammation    Mucosanormal and retain mucus. Well-defined focus of inflammatory cells surrounded by non inflammed and normal mucosa As the disease establish , neutrophils infiltrate isolated crypts – abscess – ultimate destruction.
  • 83.
  • 84.
    Chronic mucosal damage:     Architecturaldistortion manifested as villous blunting. Crypts exhibit irregularities and branching. Crypt destruction leads to atrophy Gastric antral type or paneth cell metaplasia occur
  • 85.
  • 86.
    A - Mucosal Granuloma erodinga crypt of lieberkhun and initiating crypt abscess formation. B - Crypt obliterated by Granuloma formation
  • 87.
    • Non Caseating Granuloma-in½ cases , Sarcoid Granuloma in all tissue layers. Others: • In diseased segments muscularis mucosa exhibits reduplication , strictures. thickening, irregularity's leads to like,
  • 88.
  • 89.
  • 90.
    Complications of Crohn'sDisease:  Perianal fistulas  Perianal skin ulceration  Increased incidence of gall and kidney stones (due to malabsorption of fats and bile salts)
  • 91.
    Extraintestinal manifestations ofIBD       Iritis Episcleritis Arthritis Skin involvement Pericholangitis Sclerosing cholangitis
  • 92.
    Risk of Malignancyin IBD   In Crohn’s disease, increased risk of cancer of the affected areas is seen In ulcerative colitis, 8-10 years after initial diagnosis, there is a steady, significant increased risk of developing cancer  Prognostic factors increasing malignancy risk in UC: • Duration of disease 10 yrs or more • Pancolonic involvement • Continuous progressive disease • Severe initial onset • Associated liver disease
  • 93.
    Gross :  Thick mucosawith finely nodular or velvety surface configuration.  Lesion polypoid , elevated , nodular or villous formation.
  • 94.
    M/E :  Adenocarcinoma withvarying degree of differentiation .  Always accompanied by dysplastic changes .
  • 95.
    Evaluation of Dysplasia  1- Negative for Dysplasia.  2 - Indefinite for Dysplasia,probably Negative.  3 - Indefinite for Dysplasia, Unknown.  4 - Indefinite for Dysplasia,probably Positive.  5 - Positive for Dysplasia,Low Grade.  6 - Positive for Dysplasia,High Grade.
  • 99.
    Lab Findings inIBD     CBC’s:  Anemia is common due to blood loss or malabsorption  Leukocytosis & thrombocytosis also common ESR typically elevated; monitors disease activity Abnormal LFTs may represent pericholangitis or sclerosing cholangitis Low serum albumin (protein-losing enteropathy) suggests extensive colitis
  • 100.
    Features UC CD Rectal Bleeding Common Inconspicuous  Abdominal mass Practicallynever 10-15% Abdominal pain Left sided Right sided Sigmoidoscopy Abnormal 95% Abnormal <50% Free perforation 12% 04% Colon CA 2% Rare Anal complications Minor 75%, fissures, fistulas, ulceration Response to steroid 75% 25% Result of surgery Good Fair Clinical
  • 101.
    Features UC CD Sparing of rectum Exceptional 90% Involvementof ileum Rare Common Strictures Absent Present Skip areas Absent Common Internal fistula Absent May be present Longitudinal and transverse ulcers Exceptional Common Fissuring Absent Common Radiographic
  • 102.
    Features UC CD Distribution of involvement Diffuse Focal Mucosalatrophy Marked Minimal Cytoplasmic Mucin Diminished Preserved Lymphoid aggregates Rare Common Edema Minimal Marked Hyperemia May be extreme Minimal Granulomas Absent Present in 60% Fissuring Absent Present Crypt abscesses Common Rare Rectal involvement Practically always 50% Morphologic
  • 104.
    REFERENCES  Robbins and Cotran.  SurgicalPathology – Rosai and Ackerman’s.  Sternburg.  Harrison’s Textbook of Internal Medicine.  Internet

Editor's Notes

  • #8 The most important contributing factors are H pylori, NSAIDs, acid, and pepsin. Additional aggressive factors include smoking, ethanol, bile acids, aspirin, steroids, and stress.Important protective factors are mucus, bicarbonate, mucosal blood flow, prostaglandins, hydrophobic layer, and epithelial renewal. When an imbalance occurs, Peptic ulcer ds might develop
  • #9 --H Pylori Causes intense inflammatory and immune response. (Inter leukinL-1, IL-6, TNF, IL-8).it Enhance gastric acid secretion and impairs duodenal bicarbonate production
  • #16 --------Rapid urease tests are considered the endoscopic diagnostic test of choice. The presence of H pylori in gastric mucosal biopsy specimens is detected by testing for the bacterial product urease. One or more gastric biopsy specimens are placed in the rapid urease test kit. If H pylori are present, bacterial urease converts urea to ammonia, which changes pH and produces a color change
  • #18 Picture shows Clusters of bacteria on Warthin–Starry staining. WS stains organisms dark brown to black, and the background light golden brown/golden yellow.
  • #19 The 1st figure shows Hpylori with leung stain…2nd figure shows rod shaped bacilli satained with methylene blue in the gastric pit.
  • #21 --PETIC ulcer are 4x more common in proximal duodenum then in stomach.they are solitary in more then 80% of patient.classic peptic ulcer is round to oval sharpely punched out defect.this is endoscopic view of peptic ulcer showing….
  • #22 This is a gross view of a chronic gastric ulcer showingruggae. There is “punched-out” defect with sharp, overhanging margins
  • #23 Picture shows duodenal peptic ulcer located in first portion of duodenum
  • #27 Picture shows cross-section of a duodenal ulcer crater with an acute inflammatory exudate
  • #31 This is picture showing pathogenesis of typhoid fever…
  • #40 Picture shows circumfential ulceration which is characteristic of intestinal TB
  • #42 Entamoebahistolytica has a biphasic life cycle, existing in two forms; as an infectious cyst and an amoeboid trophozoite. Transmission is by feco-oral route.
  • #43 -----------In more severe cases fulminant amoebic colitis develops. Liver involvement is more common in these cases,
  • #44 -----------------------Muscle coat of the large intestine form a barrier to the penetrating trophozoites which fan out laterally producing a flask-shaped ulcer with narrow neck and broad base.
  • #45 --------There is little inflammatory response in the early ulcers.
  • #46 Picture showing amebic colitis,multiple undermined ulcers are present in cecum and ascending colon.
  • #47 Picture shows Histological cross section of classical flask shaped amoebic ulcer in colonic mucosa
  • #48 -----------It Refers to two chronic diseases that cause inflammation of the intestines:ulcerative colitis and Crohn&apos;s disease.
  • #51 UC- chemicals in tobacco especially nicotine has a protective effect by increasing the mucus production in the colon and rectum. It also suppresses the immune system and prevents inflammation. But in CD- such chemicals like nicotine, CO, free radicals acts as immunosuppressants on macrophages thus many harmful bacteria cannot be cleared from the gut, they may also lead to restricion in blood flow inside the gut walls thus making intestine more susceptible to develop crohnsds.
  • #55 The NOD2 gene is expressed mainly in monocyte/macrophage cell lines, where it has a role in host-signaling pathways. One effect is the activation of nuclear factor (NF)-kB Activation leads to production of a wide variety of nonspecific mediators of inflammation like cytokines, growth factors, and metabolites of arachidonic acid and reactive oxygen ultimately lead to tissue destruction
  • #57 ------Inibd Exposure to luminal micro flora triggers an inflammatory response by the cells lining the mucosa, leading to a chronic, destructive immune response.
  • #58 ------------------------ A number of reports suggest a link between Crohnds and early measles infection.
  • #64 Picture showing
  • #66 Picture shows chronic form of ulcerative colitis with mucosal ulceration and residual foci of elevated and hyperimic mucosa.
  • #69  The luminal border is irregular; the colonic crypts have lost their parallel arrangement, and they are branched and budded. The muscularismucosae is hypertrophied.
  • #70  The luminal border is irregular. Increased inflammatory cells are present within the lamina propria.
  • #72 Picture showing toxic megacolon.it is complication of ulcerative colitis..
  • #78  This slide shows a segment of intestine with Crohn’s disease. This disease does NOT involve bowel in a uniform manner, i.e., there are skip areas. It is a disease, however, in which the affected segments are involved in their entire thickness: mucosa, submucosa, muscularis, and serosa –a transmural involvement
  • #80 Figure (a) shows fat wrapping in crohnsds , in figure (b) two segments of intestine can be seen connected by fistula tract and in figure © cobblestone appearance characterized by presence of serpiginousanastomosing ulcers
  • #82 Picture shoeing Cobblestone lesions&quot; usually in terminal ileum and &quot;skip lesions&quot; which are discontinuous areas of inflammation, edema and fibrosis
  • #84 Crohn colitis demonstrating the &quot;focal active colitis&quot; pattern of injury showing infiltration of chronic inflammatory cells in the lamina propria.
  • #86  this is a picture showing chronic crohns colitis..the branched crypt is feature of chronicity..
  • #89 This is a picture showing noncaseatinggranuloma is present in the lamina propria of an uninvolved region of colonic mucosa
  • #90 This diagram shows Lymphocytic inflitration and the formation of non-caseatinggranuloma.
  • #97 Picture showing low grade dysplasia with chronic ulcerative colitis.
  • #100 Cbc-complete blood count
  • #101 This slide shows differentiating features between ulcerative colitis and crohns ds.1st clinical feature
  • #104 This diagram shows distribution of lesions in inflammatory bowel disease.the distinction between crohnds and ulcerative colitis is primarily based on morphology.Incrohnds there are skip lesions but in ulcerative colitis there is continuos colon involvement.incrohns ulceration and fissure are seen and in ulcerative there is pseudopolyp are characteristic.