Хасаулов
Алим Сафарович
В 2014 г. окончил
МОСКОВСКИЙ
ГОСУДАРСТВЕННЫЙ
МЕДИКО-
СТОМАТОЛОГИЧЕСКИЙ
УНИВЕРСИТЕТ
им.А.И. Евдокимова
В 2015 г. окончил
КЛИНИЧЕСКУЮ
ИНТЕРНАТУРУ НА КАФЕДРЕ
СТОМАТОЛОГИИ ОБЩЕЙ
ПРАКТИКИ МГМСУ им. А.И.
Евдокимова.
В 2016 г. окончил КУРСЫ
ПЕРВИЧНОЙ
СПЕЦИАЛИЗАЦИЙ НА
КАФЕДРЕ
ОРТОПЕДИЧЕСКОЙ
СТОМАТОЛОГИИ И
ГНАТОЛОГИИ.
Дополнительное образование:
2015 г.- МАСТЕР-КЛАСС : ПРЕПАРИРОВАНИЕ ЗУБОВ ПОД ЭСТЕТИЧЕСКИЕ
ЦЕЛЬНОКЕРАМИЧЕСКИЕ ( ALL-CERAMIC), МЕТАЛЛОКЕРАМИЧЕСКИЕ
КОНСТРУКЦИИ И КЕРАМИЧЕСКИЕ ВИНИРЫ .
2015 г. ПРОТЕЗИРОВАНИЕ НА ИМПЛАНТАТАХ СИСТЕМЫ : ASTRA-
TECH.
2015 г. НОУ «ПРЕЗИДЕНТ – ЦЕНТР ПОВЫШЕНИЯ КВАЛИФИКАЦИИ».
«НЕОТЛОЖНАЯ ПОМОЩЬ ПРИ СОМАТИЧЕСКИХ ОСЛОЖНЕНИЯХ НА
АМБУЛАТОРНОМ СТОМАТОЛОГИЧЕСКОМ ПРИЕМЕ».
2016 г. «ЭФФЕКТИВНОЕ ВЗАИМОДЕЙСТВИЕ В КОМАНДЕ».
2016г. СЕМИНАР «ОСНОВЫ ПЛАНИРОВАНИЯ КОМПЛЕКСНОГО
ОРТОПЕДИЧЕСКОГО ЛЕЧЕНИЯ».
Приоритетные направления
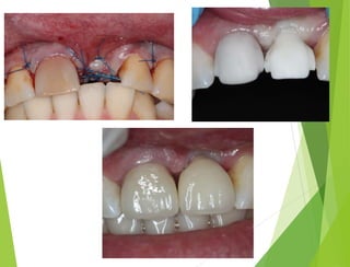
• Специализация на эстетических реставрациях:
Виниры , безметалловые конструкции
• Протезирование на имплантатах
•Микропротезирование (цельнокерамические
вкладки)
Презентация Хасаулов А.С.
Презентация Хасаулов А.С.
Презентация Хасаулов А.С.
Презентация Хасаулов А.С.
Презентация Хасаулов А.С.

Презентация Хасаулов А.С.

  • 1.
    Хасаулов Алим Сафарович В 2014г. окончил МОСКОВСКИЙ ГОСУДАРСТВЕННЫЙ МЕДИКО- СТОМАТОЛОГИЧЕСКИЙ УНИВЕРСИТЕТ им.А.И. Евдокимова В 2015 г. окончил КЛИНИЧЕСКУЮ ИНТЕРНАТУРУ НА КАФЕДРЕ СТОМАТОЛОГИИ ОБЩЕЙ ПРАКТИКИ МГМСУ им. А.И. Евдокимова. В 2016 г. окончил КУРСЫ ПЕРВИЧНОЙ СПЕЦИАЛИЗАЦИЙ НА КАФЕДРЕ ОРТОПЕДИЧЕСКОЙ СТОМАТОЛОГИИ И ГНАТОЛОГИИ.
  • 2.
    Дополнительное образование: 2015 г.-МАСТЕР-КЛАСС : ПРЕПАРИРОВАНИЕ ЗУБОВ ПОД ЭСТЕТИЧЕСКИЕ ЦЕЛЬНОКЕРАМИЧЕСКИЕ ( ALL-CERAMIC), МЕТАЛЛОКЕРАМИЧЕСКИЕ КОНСТРУКЦИИ И КЕРАМИЧЕСКИЕ ВИНИРЫ . 2015 г. ПРОТЕЗИРОВАНИЕ НА ИМПЛАНТАТАХ СИСТЕМЫ : ASTRA- TECH. 2015 г. НОУ «ПРЕЗИДЕНТ – ЦЕНТР ПОВЫШЕНИЯ КВАЛИФИКАЦИИ». «НЕОТЛОЖНАЯ ПОМОЩЬ ПРИ СОМАТИЧЕСКИХ ОСЛОЖНЕНИЯХ НА АМБУЛАТОРНОМ СТОМАТОЛОГИЧЕСКОМ ПРИЕМЕ». 2016 г. «ЭФФЕКТИВНОЕ ВЗАИМОДЕЙСТВИЕ В КОМАНДЕ». 2016г. СЕМИНАР «ОСНОВЫ ПЛАНИРОВАНИЯ КОМПЛЕКСНОГО ОРТОПЕДИЧЕСКОГО ЛЕЧЕНИЯ».
  • 3.
    Приоритетные направления • Специализацияна эстетических реставрациях: Виниры , безметалловые конструкции • Протезирование на имплантатах •Микропротезирование (цельнокерамические вкладки)