LIC ALEJANDRA GALVEZ RM DE ABDOMEN
 
 
 
 
 
 
 
 
 
 
 
 
 
 
 
 
 
 
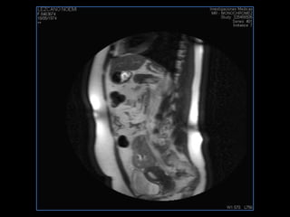
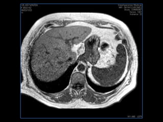
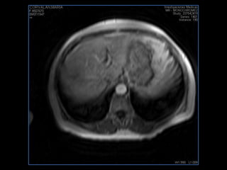
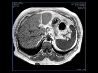
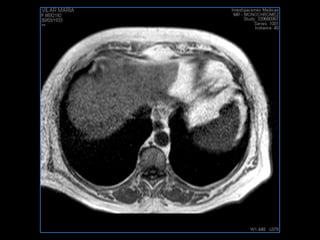
PROTOCOLO abdomen COR T2, AXIAL supresion grasa AX T1 +SAG T2  CON   GADOLINIO :  COR T1+AX T1(DIN) SAT: NO  FASE: RL THK: 6MM  COIL:  GAP: (FACTOR 1.4) 2MM FOV: 40 CM NEX:2 SINCRONIZACION RESPIRATORIA EN 3 O 4 CICLOS ALE
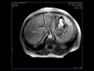
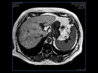
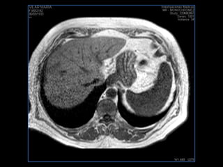
PROTOCOLO hígado graso AXIAL in phase y out phase AX T1 y AX fat sat +SAG T2  CON   GADOLINIO :  COR T1+AX T1(DIN) SAT: NO  FASE: RL THK: 4MM  COIL:  GAP: (FACTOR 1.4)  FOV: 40 CM NEX:2 SINCRONIZACION RESPIRATORIA EN 3 O 4 CICLOS ALE
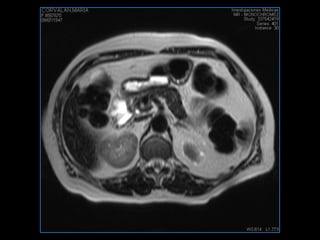
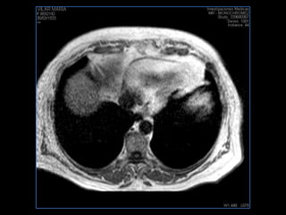
PROTOCOLO hemocromatosis AXIAL supresión grasa /AX multieco en higado COR T2 AX T1 +SAG T2  CON   GADOLINIO :  COR T1+AX T1 SAT: NO  FASE: RL THK: 4MM  COIL:  GAP: (FACTOR 1.4) 1MM FOV: 40 CM NEX:2 SINCRONIZACION RESPIRATORIA EN 3 O 4 CICLOS ALE
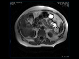
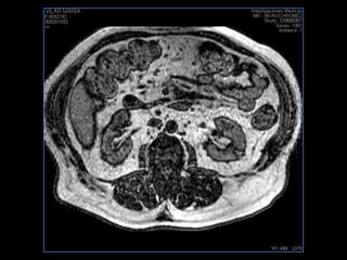
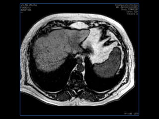
PROTOCOLO pancreas/ riñon AXIAL fat sat /AX in phase out phase AX T1 +SAG T2  COR T2, CON   GADOLINIO :  COR T1+AX T1(DIN) SAT: NO  FASE: RL THK: 4MM  COIL:  GAP: (FACTOR 1.4) 1MM FOV: 40 CM NEX:2 SINCRONIZACION RESPIRATORIA EN 3 O 4 CICLOS ALE
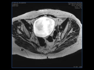
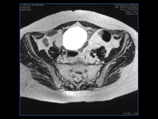
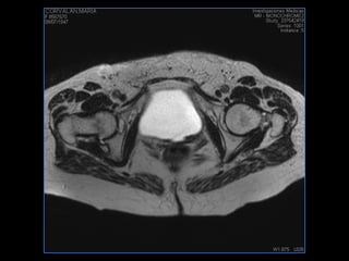
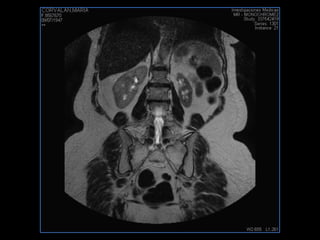
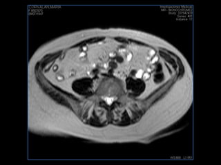
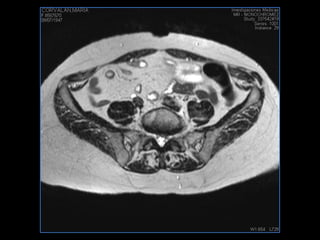
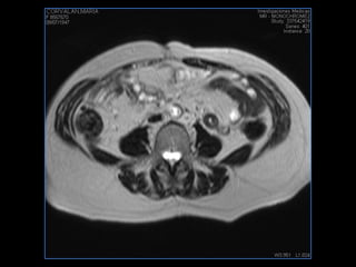
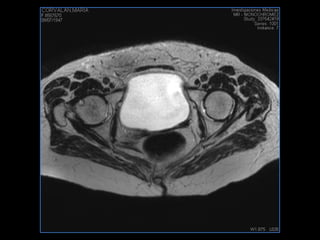
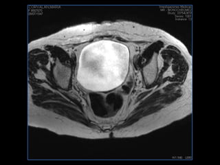
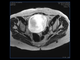
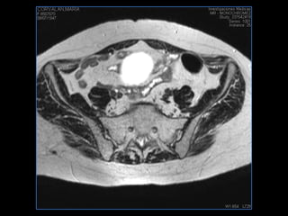
PROTOCOLO pelvis SAG T2, Y FAT SAT (FINOS) AXIAL T1  AX FAT SAT CON   GADOLINIO :  AX T1 Y COR T1 SAT: NO  FASE: RL THK: 3MM  COIL:  GAP: (FACTOR 1.4) 1MM FOV: 40 CM NEX:2 SINCRONIZACION RESPIRATORIA EN 3 O 4 CICLOS ALE
 
 
 
 
 
 
 
 
 
 
 
 
 
 
 
 
 
 
 
 
 
 
 
 
 
 
 
 
 
 
 
 
 
 
 
 
 
 
 
 
 
 
 
 
 
 
 
 
 
 
 
 
 
 
 
 
 
 
 
 
 
 
 
 
 
 
 
 
 
 
 
 
 
 
 
 
 
 
 
 
 
 
 
 
 
 
 
 
 
 
 
 
 
 
 
 
 
 
 
 
 
 
 
 
 
 
 
 
 
 
 
 
 
 
 
 
 
 
 
 
 
 
 
 
 
 
 
 
 
 
 
 
 
 
 
 
 
 
 
 
 
 
 
 
 
 
 
 
 
 

resonancia de abdomen