CHUKWUMA I. ONYEIJE, MD
ATLANTA PERINATAL ASSOCIATES
TUESDAY, APRIL 22, 2014
PRETERM BIRTH:
MODERN MANAGEMENT
Polling Courtesy of Poll Everywhere.
 To participate in polling for this lecture:
 1. Navigate to: http://pollev.com/onyeije
OR
 2. Text the applicable CODE to:
1-747-444-3548
Can You See this Poll Question?
What is the percentage of preterm deliveries
in the US (all patients)?
What percentage of African American infant are born premature?
What has been the trend in preterm delivery in the last 6 years?
What is a Preterm birth
 Any birth occurring before 37 weeks’ gestation
 Subdivisions of Preterm birth:
 Late preterm birth (34 to 36 weeks)
 Early preterm (<34 weeks)
 Very preterm (<32 weeks)
 Extremely preterm (<28 weeks)
What is a Preterm birth
 Any birth occurring before 37 weeks’ gestation
 Subdivisions of Preterm birth:
 Late preterm birth (34 to 36 weeks)
 Early preterm (<34 weeks)
 Very preterm (<32 weeks)
 Extremely preterm (<28 weeks)
Prematurity Risks
 Leading cause of infant death.
 36% of infant deaths in 2005
 Preterm infants are more likely to suffer:
 Neurologic impairment
 Chronic lung disease
 Cerebral palsy
 Developmental delay
Prematurity Risks
 Leading cause of infant death.
 36% of infant deaths in 2005
 Preterm infants are more likely to suffer:
 Neurologic impairment
 Chronic lung disease
 Cerebral palsy
 Developmental delay
What has happened since 2006?
Prior to 2006, the U.S. preterm birth rate had
been steadily rising for more than two decades
Since 2006,
~176,000 FEWER
babies have been born preterm
This improvement in the preterm birth rate
has saved $9 billion
in health and societal costs.
2006 - 2012
The Trend in Preterm Birth
 The US preterm birth rate DROPPED for the
SIXTH consecutive year in 2012
Currently 11.5 %
 This represents a 15-year LOW.
 US preterm birth rate PEAKED in 2006 at 12.8 %
The Trend in Preterm Birth
2006 – 2012
Racial disparities.
• Preterm birth rate African-American infants is the
LOWER THAN IT HAS BEEN IN 20 YEARS
• African-American preterm birth rate is now 16.8%.
Down from 18.5% in 2006; BUT…
• Remains the highest of all racial groups.
Our nations preterm birth rate is still the
HIGHEST
rate of preterm birth of
any industrialized country.
Preterm Birth By Country
0 5 10 15 20
Papua New Guinea
Sierra Leone
Bangladesh
Malawi
Russia
Brazil
Turkey
Malaysia
Japan
United Kingdom
Germany
United States
Worldwide Average
Worldwide Low Income Middle Income High Income
Source: http://www.nature.com/news/pre-term-births-on-the-rise-1.10556
March of Dimes 2013 Preterm Delivery Report
Card Results.
Source: http://www.marchofdimes.com/mission/prematurity-reportcard.aspx
Why have preterm births DECREASED?
?
Does prenatal care improve
pregnancy outcome?
ANSWER:
YES AND NO.
Does prenatal are improve
pregnancy outcome?
Does prenatal care improve pregnancy outcome.
 YES:
 Lower risk of preterm delivery among patients with ANY kind
of prenatal care than NO prenatal care.
 BUT:
 This is NOT related to the kind of prenatal care provided.
 Behrman RE, Stith Butler A. Committee on understanding premature birth and assuring
healthy outcomes: causes, consequences, and prevention. Washington, DC: National
Academies Press, 2007
What DOES NOT seem to work…
 Treating nutritional deficiencies
 Vitamin C, Vitamin E, Calcium, n-3 fatty acids.
 Treating genitial tract microorganisms.
 Treating periodontal disease
Iams et al, NEJM; 370;3 nejm.org january 16, 2014
What DOES seem to work?
 Fewer uninsured women
 37 states reduced the percentage of uninsured women of
childbearing age
 Less smoking
 35 states reduced the percentage of women of childbearing age
who smoke
 Fewer late preterm births
 28 states lowered the late preterm birth rate (infants born
between 34 and 36 weeks gestation).
Source: http://www.marchofdimes.com/mission/prematurity-reportcard.aspx
Centers for Disease Control and Prevention. Youth
tobacco surveillance-United States, 1998-1999.
Morbidity and Mortality Weekly Report .
2000b;49(SS10):1–94
What DOES seem to work?
 Increased interpregnancy intervals
 Better IVF
 Progesterone therapy
 Cervical cerclage
Iams et al, NEJM; 370;3 nejm.org january 16, 2014
http://www.ncbi.nlm.nih.gov/pmc/articles/PMC1508292/pdf/amjph00020-0040.pdf
Interpregnancy Interval
 Shorter time for repletion of maternal nutrient stores.
 Reduction in adverse birth outcomes.
 Pre-term infant
 Small for gestational age infant
 Neonatal death.
Other Risk Factors:
 Tobacco use
 Dose-dependent increase in the risk of preterm birth
 Substance abuse
 Short cervix
 Cervical surgery
 Uterine malformation
 Large (> 5cm) uterine fibroids
 Moderate to severe anemia in the first trimester
 Fetal factors
 Growth restriction
 Congenital anomalies
 Male gender
Risk Factors for Preterm Birth
 Previous preterm birth
 Short interpregnancy interval
 Assisted reproduction
 Multifetal gestation
 Decidual hemorrhage
 Infection and inflammation
 Asymptomatic bacteriuria
 Maternal periodontal disease
Previous preterm birth
 Strongest risk factor for future preterm delivery
 Data from McManemy et al:
 One preterm birth: 14-22 % risk.
 Two preterm births: 28 -42%
 Three or more: Up to 75%
 A term birth decreases the risk of preterm birth in
subsequent pregnancies
(McManemy et al, 2007)
RECALL
0 5 10 15 20
Papua New Guinea
Sierra Leone
Bangladesh
Malawi
Russia
Brazil
Turkey
Malaysia
Japan
United Kingdom
Germany
United States
Worldwide Average
Worldwide Low Income Middle Income High Income
0 20 40 60 80
THREE PREVIOUS PTD
TWO PREVIOUS PTD
ONE PREVIOUS PTD
United States
Worldwide Average
Worldwide
PTD X 3
PTD X 2
PTD X 1
Averages
Source: McManemy J., Cooke E., Amon E., Lee T.: Recurrence risk for
preterm delivery. Am J Obstet Gynecol 2007; 196(6):576.e6-e7
Current Understanding:
Pathology Underlying
Preterm Labor
Reversal of Progesterone to Estrogen Activity
 Actions of progesterone
 Inhibits cervical ripening
 Reduces myometrial contractility
 Reduces oxytocin receptor synthesis
 Reduces oxytocin receptor function
Progesterone Levels
Normal vs. Threatened prematurity
Pathophysiologic Mechanisms for
Prematurity
Activation of
Maternal/Fetal
HPA Axis
 Maternal/Fetal
stress
Inflammation/
Infection
 Chorio-decidual
 Systemic
Decidual
Hemorrhage
 Abruption
Pathological Uterine
Distension
 Multifetal pregnancy
 Polyhydramnios
 Uterine abnormality
Preterm Birth
Lockwood CJ, Kuczynski E. Paediatric Perinat Epidemiol. 2001;15(suppl 2):78-89.
Estimated at 40%Estimated at 30% Estimated at 20% Estimated at 10%
Premature Decidual Activation
Campbell S. Ultrasound Obstet Gynecol 2011
• Occult upper genital tract infection
• Release of proinflammatory cytokines in the cervix
• Release of proinflammatory cytokines at the
choriodecidual interface
•  Cervical softening and effacement
Pathophysiologic Mechanisms for
Prematurity
Activation of
Maternal/Fetal
HPA Axis
 Maternal/Fetal
stress
Inflammation/
Infection
 Chorio-decidual
 Systemic
Decidual
Hemorrhage
 Abruption
Pathological Uterine
Distension
 Multifetal pregnancy
 Polyhydramnios
 Uterine abnormality
Preterm Birth
Lockwood CJ, Kuczynski E. Paediatric Perinat Epidemiol. 2001;15(suppl 2):78-89.
Estimated at 40%Estimated at 30% Estimated at 20% Estimated at 10%
Is progesterone our new
“Silver Bullet” ?
What is considered a “short” cervix (between 18 to 24 weeks)?
42
“Prevention of Recurrent Preterm Delivery by 17
α-Hydroxyprogesterone Caproate”
 “The NICHD Study”
 Meis, Paul J. et al, N
Engl J Med, June
12, 2003
 (initially presented
SMFM, Feb. 6, 2003)
17 α-hydroxyprogesterone caproate
Approved by FDA February 3, 2011
 Indicated to reduce the risk of preterm birth in women with
a singleton pregnancy who have a history of singleton
spontaneous preterm birth
• MakenaTM
• 17P content: 250 mg/ml
• 5 ml multi-dose vial with preservative
44
Meis et al,
New England Journal of Medicine, 2003
Maternal Outcomes
17P Plac. RR CI
N 306 153
< 37 w 36.3% 54.9% 0.66 .54 - .81
< 35 w 20.6% 30.7% 0.67 .48 - .93
< 32 w 11.4% 19.6% 0.58 .37 - .91
45
Meis et al,
New England Journal of Medicine, 2003
Neonatal Outcomes
Outcome 17P Placebo RR 95% CI
BW < 2500 27.2% 41.1% 0.66 0.51 – 0.87
IVH 1.3% 5.2% 0.25 0.8 – 0.82
NEC 0% 2.6% NA NA
Suppl O2 14.9% 23.8% 0.62 0.42 – 0.92
46
Meis et al,
New England Journal of Medicine, 2003
Study conclusion: “Weekly injections of 17P
resulted in a substantial reduction in the
rate of recurrent preterm delivery among
women who were particularly high risk for
preterm delivery and reduced the
likelihood of several complications in their
infants.”
Bibliography of Selected Publications (2007 – 2012)
Data from Women Receiving
Alere 17P Administration Nursing Service (17P-HAS)
• Sibai 2012
• Gonzalez-Quintero 2012
• Timofeev 2012
• Lucas 2012
• Gonzalez-Quintero 2012
• Rebarber 2012
• Timofeev 2012
• Timofeev 2012
• Gonzalez-Quintero 2011
• Unal 2011
• Gonzalez-Quintero 2011
• Coleman 2011
• Barton 2011
• Gonzalez-Quintero 2011
• Gonzalez-Quintero 2011
• Rittenberg 2011
• Gonzalez-Quintero 2010
• Joy 2010
• Rebarber 2010
• O’Brien 2009
• Eggerman 2009
• Eggerman 2009
• Page 2009
• Rittenberg 2009
• Rittenberg 2008
• Ventolini 2008
• Rebarber 2008
• Guzman 2007
• Rittenberg 2007
• How 2007
• Rebarber 2007
• Rebarber 2007
• Gonzalez-Quintero 2007
47
48
17P: Side Effects and Precautions
Precautions
 Discontinue if thrombosis or thromboembolism
occurs
 Consider discontinuing if allergic reactions occur
 Decreased glucose tolerance: Monitor pre-diabetic
and diabetic women
 Fluid retention: Monitor women with conditions that
may be affected by fluid retention, such as
preeclampsia, epilepsy, cardiac or renal dysfunction
 Depression: Monitor women with a history of clinical
depression; discontinue if depression recurs
MakenaTM Prescribing Information, Ther-Rx Corporation St. Louis, MO February, 2011
49
Meis et al,
New England Journal of Medicine, 2003
Fetal Safety
 17P appeared to be safe.
 There was no increase in the rate of congenital
anomalies in the progesterone group.
 These results are consistent with surveys of the
literature that have indicated an absence of
teratogenic effects from the use of 17P during
pregnancy.”
50
Progestins and Evidence of Fetal Harm
• Cohort of 988 progestin-exposed (90% 17P or
progesterone; >60%: 17P only)
• Outcomes tabulated included GU, CNS, and CV
anomalies; mean f/u: 11.5 years
• No significant detection of congenital anomalies with
progestin exposure
• (“May not apply to androgenic progestins”)
Resseguie LJ et al. Congenital malformations among offspring exposed in utero to
progestins, Olmsted County, Minnesota, 1936-1974.
Fertility and Sterility 1985;43(4):514-9.
4-year Follow-up Safety Study
 No significant differences were seen in health
status or physical examination, including genital
anomalies, between 17P and placebo children
 Scores for gender-specific roles were within the
normal range and similar between 17 alpha-
hydroxyprogesterone caproate and placebo
groups.
Northen AT. Obstet Gynecol 2007
No Evidence of 17P as Unsafe
 Multi-Generational Developmental and
Reproductive Toxicology study
 Developmental and toxicology study in rats
shows no evidence of a safety signal for
hydroxyprogesterone caproate
 Conclusions combined with the results of 11
trials showing fetal loss rates of 3.6% for 17P and
5.1% for placebo
Schardein J. Am J Obstet Gynecol 2012
Perinatal Mortality Reassuringly Low
17P (start) ≤18 wk
(n = 3632)
18-20 wk
(n = 1367)
>20/<21 wk
(n = 494)
p
Stillbirth 6 (0.2%) 1 (0.1%) 1 (0.2%) 0.705
Miscarriage 10 (0.3%) 3 (0.2%) NA 0.492
NN death 18 (0.5%) 4 (0.3%) 3 (0.6%) 0.554
Total PNM 34 (0.9%) 8 (0.6%) 4 (0.8%) 0.478
53
Sibai Am J Perinatoll 2012
17P: Contraindications
• Current or history of thrombosis or
thromboembolic disorders
 Known or suspected breast cancer, other
hormone-sensitive cancer, or history of these
conditions
 Undiagnosed abnormal vaginal bleeding
unrelated to pregnancy
 Cholestatic jaundice of pregnancy
 Liver tumors, benign or malignant, or active liver
disease
 Uncontrolled hypertension
MakenaTM Prescribing Information, Ther-Rx Corporation St. Louis, MO February, 2011
17P and Risk for Gestational Diabetes
p-value OR (95% CI)
17OHPC initiated
at 16-20 weeks
0.025 1.67 (1.07, 2.63)
17OHPC initiated
at 21-24 weeks
0.515 1.22 (0.66,2.26)
Maternal age ≥ 35
years
0.001 2.11 (1.37,3.25)
Morbid obesity >
39.9 kg/m2
0.063 1.60 (0.97,2.63)
Eggerman R Am J Obstet Gynecol 2009
Cerclage Placement
Your text here
Cerclage: Controversies and Certainties
 J. Owen et al, AmJOBG, 2009:
 Randomized trial
 Previous early preterm birth AND Cervix < 2.5 cm.
 Outcome: Birth at less than 35 weeks.
 Observation vs. Cerclage
 Cervix < 2.5 cm: NO BENEFIT
 Cervix < 1.5 cm: BENEFIT
Cerclage: Controversies and Certainties
 Berghella et al, Obstet Gynecol, 2011.
 Metaanalysis of 5 trials
 Cerclage for short cervix < 2.5 cm
 CERCLAGE EFFECTIVE
 Relative risk, 0.70
 Confidence interval: 0.55 – 0.89
Cerclage: Caution
 The large trials for women with a short cervix were
designed and performed BEFORE progestogens were
used for that indication.
 Available studies suggest vaginal progesterone and
cervical cerclage are SIMILARLY effective in
reducing the risk of preterm birth among high risk
women.
Cerclage: Caution
There have been NO studies
to directly compare cerclage
and progesterone to date.
Progesterone vs. Cerclage
Current recommendations…
 Short cervix who have
NO previous preterm birth
 Previous preterm birth.
 For women with a previous
preterm birth AND a short
cervix.
 Supplemental cerclage for
short cervix and NO
previous preterm birth?
Vaginal progesterone
17- alpha
hydroxyprogesterone
Cervical cerclage
NO DATA
Am J Obstet Gynecol 2012;206:376-86.
ACOG practice bulletin no. 130: Obstet
Gynecol. 2012;120:964-73
Iams et
al,
NEJM
January
16, 2014
Comprehensive obstetrical history
Ultrasound confirmation of EGA and
number of fetuses
Initial prenatal visit
History of spontaneous preterm
birth OR stillbirth before
24 wk presenting as
labor, SROM or advanced
dilation?
Prescribe 17-
OHP, 250 mg IM
weekly from 16 to 37
weeks
Yes No
Is this a singleton
pregnancy?
History of spontaneous preterm
birth OR stillbirth before
24 wk presenting as
labor, SROM or advanced
dilation?
Prescribe 17-
OHP, 250 mg IM
weekly from 16 to 37
weeks
Yes
Prescribe 17- OHP, 250 mg IM
weekly from 16 to 37 weeks
Measure TVCL every 14 days
from 16–24 wk of
gestation, every 7 days if CL
<30 mm
History of preterm birth:
If TVCL <25 mm before24 wk of gestation:
1. Consider CERCLAGE
(especially if patient had prior spontaneous preterm
birth at <28 wk or if membranes are visible)
2. Continue progesterone
Is there a history of
spontaneous preterm birth or
stillbirth before
24 wk presenting as labor,
SROM or advanced dilation?
No
Is this a singleton
pregnancy?
No previous preterm birth
Is this a singleton
pregnancy?
Signs or symptoms
of PTL ?
(e.g., persistent pelvic pressure,
cramps, spotting or vaginal
discharge)?
Progestogens are ineffective
and cerclage may increase
the risk of preterm birth
Singleton vs. Multiple Gestation
Singleton Pregnancy, WITH symptoms of preterm labor
Signs or symptoms
of PTL ?
(e.g., persistent pelvic
pressure, cramps, spotting or vaginal
discharge)?
Have TVCL
performed by
credentialed
ultrasonographer
Next
Slide
YES
Singleton Pregnancy, NO symptoms of preterm labor
Signs or symptoms
of PTL ?
(e.g., persistent pelvic pressure,
cramps, spotting or vaginal discharge)?
Use one of the following site-
specific screening strategies.
(S4)
Site-specific screening
strategies.
(S4)
Universal TVCL screening at 18–24 wk
Universal TACL screening at 18–24 wk of gestation, until CL <35 mm
Selective TVCL screening of women with the following risk factors:
Prior preterm birth at <34 wk with unknown cause, or twins
History of genitourinary infection
Conception with fertility drugs
Black race
Previous cervical surgery
BMI <19.6 or >35.0
Periodontal disease
Signs or symptoms
of PTL ?
(e.g., persistent pelvic
pressure, cramps, spotting or vaginal
discharge)?
The patient with “Symptomatic” preterm labor.
Have TVCL
performed by
credentialed
ultrasonographer
The Clinical
Evaluation of
Preterm
Labor
Diagnosis of Preterm Labor
 Difficult.
 “Regular painful uterine contractions AND cervical dilatation
or effacement at a preterm gestational age”
 Half of women HOSPITALIZED for preterm labor
deliver at TERM.
 Regardless of therapy.
• Signs and symptoms of preterm labor
• Cramping
• Back pain
• Contractions
• Bloody show
Tocodynamometry
to evaluate for the
presence of uterine
contractions
Speculum exam
to assess for
ruptured
membranes or
bleeding
Initial laboratory
evaluation
urinalysis & culture
urine toxicology
GBS culture
FFN testing
 High negative predictive value
 More than 99% of symptomatic patients with a
negative fFN did not deliver within 14 days
 Cannot be performed with:
 Vaginal bleeding
 Ruptured membranes
 After recent intercourse
 After vaginal examination
 After transvaginal ultrasound
ONYEIJE’S
3, 2, 1 PRINCIPLE
Management of a Short Cervix
Iams J. N Engl J Med 1996
0 5 10 15 20 25
Cervix ~ 1.9 cm
Cervix ~ 2.0 - 3.0 cm
Cervix > 3.0 cm
United States
Worldwide Average
Worldwide
CVX ~ 1.0 cm
CVX ~ 2 - 3 cm
CVX ~ 3.0 cm
Averages
Source: The Length of the Cervix and the Risk of Spontaneous Premature Delivery. Jay D.
Iams, M.D., Robert L. Goldenberg, M.D., et al. N Engl J Med 1996; 334:567-573February 29, 1996
Probability of Delivery before 32 weeks
Based on Cervical Length before 24 weeks.
Cervical Length Triage for Preterm Labor
Cervical Length
< 1.9 cm
High
Risk
2.0 to 2.9 cm
Increased
Risk
> 3.0 cm
Low
Risk
Normal Cervix
Low Risk (> 3.0 cm)
 LOW risk of preterm birth.
 FFN testing NOT mandatory.
 Observe for 4 to 6 hours to confirm fetal well-being.
 Reactive nonstress test
 Rule out abruption
 Rule out Infection.
 Rule out Cervical change
 Arrange follow-up in one to two weeks
 Give PTL instructions
 Bleeding, rupture of membranes, decreased fetal activity
Increased Risk (2.0 to 3.0 cm)
Increased Risk (2.0 to 3.0 cm)
 Most of these women do NOT deliver preterm.
 FFN testing indicated.
 If FFN positive  See High Risk Slide.
 If FFN negative  See Low Risk Slide.
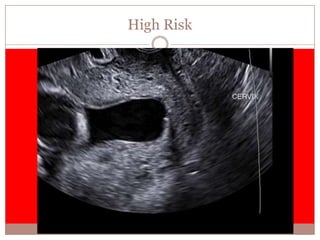
High Risk
The spectrum of cervical anatomy
High Risk
 High risk of preterm birth
 Regardless of the fFN result
 Active management recommended
 Prevention of morbidity associated with
preterm birth.
Management of Preterm Labor
 Betamethasone
 Vaginal progesterone
 Tocolysis for up to 48 hours.
 GBS Chemoprophylaxis
 Antibiotics for UTI
 Magnesium sulfate for neuroprotection
 Between 24 and 32 weeks.
Summary
 Preterm birth remains a leading cause of infant
death in the United States, especially among African
Americans.
 Changes in IVF and reductions in scheduled births
before 39 weeks have resulted in decreased preterm
birth rates.
Summary
 Strategies to identify and treat medical risk factors in
early pregnancy have NOT been effective in reducing
preterm birth rates.
 Previous preterm birth and a short cervix (≤20
mm, as measured by transvaginal ultrasonography)
are major risk factors for preterm birth.
Summary
 The use of progesterone supplementation in women
with a previous preterm birth, a short cervix, or both
was shown in randomized trials to reduce the
frequency of preterm birth and is recommended for
women with these risk factors.
 Cervical cerclage reduces the risk of recurrent
preterm birth among women with a short cervix.
Thank you.
Periodontal Disease
 Increases the risk of preterm labor and low birth weight.
 Proposed mechanism:
 Seeding of the placenta or amniotic fluid by oral pathogens and
systemic inflammation.
 Oral bacteria associated with an increased risk of preterm delivery:
 Bacteroides forsythus
 Porphyromonas gingivalis
 Actinobacillus actinomycetemcomitans
 Treponema denticola
 Fusobacterium nucleatum
Offenbacher S., Jared H.L., O’Reilly P.G., et al: Potential pathogenic mechanisms of periodontitis
associated pregnancy complications. Ann Periodontol 1998; 3(1):233-250.
Periodontal Disease
 Nonsurgical treatment of periodontal disease was
NOT effective in reducing preterm births, low birth
weight, or growth restriction.

Michalowicz B.S., Hodges J.S., DiAngelis A.J., et al: Treatment of periodontal disease
and the risk of preterm birth. N Engl J Med 2006; 355(18):1885-1894.
Genital Infections
Associated with preterm birth
Causality has not been proved
Treatment for genital infections is often indicated, but
has NOT been shown to reduce the risk of preterm
birth.
Preterm labor itself is NOT an
indication for antibiotics in the
absence of:
Documented infection
or
GBS prophylaxis
GBS CHEMOPROPHYLAXIS (< 37 WEEKS)
Repeat Doses of Steroids?
 Administering a repeat course of therapy reduces the
risk of respiratory distress syndrome (RDS).
 Repeat doses of prenatal corticosteroids for women at
risk of preterm birth for improving neonatal health
outcomes.Cochrane Database Syst Rev. 2011 Jun
15;(6):CD003935. doi: 10.1002/14651858.CD003935.pub3.
 This study did NOT evaluate the RISKS of repeat
doses of steroids…
Repeat Dose Controversies
 In the Maternal Fetal Medicine Units network (MFMU)
trial, 63 percent of patients received 4 or more courses of
therapy.
 These patients had:
 More IUGR < 10th percentile
 More IUGR < 3rd percentile
 Smaller placenta size
 (?) Increased risk of cerebral palsy.
 5 cases vs 1 case.
 REFERENCE:
 Am J Obstet Gynecol. 2006 Sep;195(3):633-42. Epub 2006 Jul 17.
 Single versus weekly courses of antenatal corticosteroids:
evaluation of safety and efficacy.
Repeat Dose Controversies
 A small prospective cohort study reported lower
measures of attention and speed in adolescence and
young adults exposed in utero to multiple courses of
antenatal corticosteroid therapy.
Rescue Dose Steroids
 In 2011 and 2012, the American College of
Obstetricians and Gynecologists (ACOG)
endorsed the concept of a SINGLE course of rescue
steroids in women who remain at risk of preterm
delivery
 These publications recommend AVOIDING regularly
scheduled repeat courses or more than two courses
of antenatal corticosteroids.
 ACOG Committee Opinion No. 475: Antenatal
corticosteroid therapy for fetal maturation.
Indications for Rescue Dose Steroids
 Patient at high risk for delivery within the next 7
days
 Initial course of antenatal corticosteroids at <28
weeks of gestation
 Prior exposure to antenatal corticosteroids at least
two weeks earlier

Preterm labor: Update 2014

  • 1.
    CHUKWUMA I. ONYEIJE,MD ATLANTA PERINATAL ASSOCIATES TUESDAY, APRIL 22, 2014 PRETERM BIRTH: MODERN MANAGEMENT
  • 2.
    Polling Courtesy ofPoll Everywhere.  To participate in polling for this lecture:  1. Navigate to: http://pollev.com/onyeije OR  2. Text the applicable CODE to: 1-747-444-3548
  • 3.
    Can You Seethis Poll Question?
  • 4.
    What is thepercentage of preterm deliveries in the US (all patients)?
  • 5.
    What percentage ofAfrican American infant are born premature?
  • 6.
    What has beenthe trend in preterm delivery in the last 6 years?
  • 7.
    What is aPreterm birth  Any birth occurring before 37 weeks’ gestation  Subdivisions of Preterm birth:  Late preterm birth (34 to 36 weeks)  Early preterm (<34 weeks)  Very preterm (<32 weeks)  Extremely preterm (<28 weeks)
  • 8.
    What is aPreterm birth  Any birth occurring before 37 weeks’ gestation  Subdivisions of Preterm birth:  Late preterm birth (34 to 36 weeks)  Early preterm (<34 weeks)  Very preterm (<32 weeks)  Extremely preterm (<28 weeks)
  • 9.
    Prematurity Risks  Leadingcause of infant death.  36% of infant deaths in 2005  Preterm infants are more likely to suffer:  Neurologic impairment  Chronic lung disease  Cerebral palsy  Developmental delay
  • 10.
    Prematurity Risks  Leadingcause of infant death.  36% of infant deaths in 2005  Preterm infants are more likely to suffer:  Neurologic impairment  Chronic lung disease  Cerebral palsy  Developmental delay
  • 11.
    What has happenedsince 2006?
  • 12.
    Prior to 2006,the U.S. preterm birth rate had been steadily rising for more than two decades
  • 13.
    Since 2006, ~176,000 FEWER babieshave been born preterm This improvement in the preterm birth rate has saved $9 billion in health and societal costs.
  • 14.
    2006 - 2012 TheTrend in Preterm Birth  The US preterm birth rate DROPPED for the SIXTH consecutive year in 2012 Currently 11.5 %  This represents a 15-year LOW.  US preterm birth rate PEAKED in 2006 at 12.8 %
  • 15.
    The Trend inPreterm Birth 2006 – 2012 Racial disparities. • Preterm birth rate African-American infants is the LOWER THAN IT HAS BEEN IN 20 YEARS • African-American preterm birth rate is now 16.8%. Down from 18.5% in 2006; BUT… • Remains the highest of all racial groups.
  • 16.
    Our nations pretermbirth rate is still the HIGHEST rate of preterm birth of any industrialized country.
  • 17.
    Preterm Birth ByCountry 0 5 10 15 20 Papua New Guinea Sierra Leone Bangladesh Malawi Russia Brazil Turkey Malaysia Japan United Kingdom Germany United States Worldwide Average Worldwide Low Income Middle Income High Income Source: http://www.nature.com/news/pre-term-births-on-the-rise-1.10556
  • 18.
    March of Dimes2013 Preterm Delivery Report Card Results. Source: http://www.marchofdimes.com/mission/prematurity-reportcard.aspx
  • 19.
    Why have pretermbirths DECREASED? ?
  • 20.
    Does prenatal careimprove pregnancy outcome?
  • 21.
    ANSWER: YES AND NO. Doesprenatal are improve pregnancy outcome?
  • 22.
    Does prenatal careimprove pregnancy outcome.  YES:  Lower risk of preterm delivery among patients with ANY kind of prenatal care than NO prenatal care.  BUT:  This is NOT related to the kind of prenatal care provided.  Behrman RE, Stith Butler A. Committee on understanding premature birth and assuring healthy outcomes: causes, consequences, and prevention. Washington, DC: National Academies Press, 2007
  • 23.
    What DOES NOTseem to work…  Treating nutritional deficiencies  Vitamin C, Vitamin E, Calcium, n-3 fatty acids.  Treating genitial tract microorganisms.  Treating periodontal disease Iams et al, NEJM; 370;3 nejm.org january 16, 2014
  • 24.
    What DOES seemto work?  Fewer uninsured women  37 states reduced the percentage of uninsured women of childbearing age  Less smoking  35 states reduced the percentage of women of childbearing age who smoke  Fewer late preterm births  28 states lowered the late preterm birth rate (infants born between 34 and 36 weeks gestation). Source: http://www.marchofdimes.com/mission/prematurity-reportcard.aspx
  • 25.
    Centers for DiseaseControl and Prevention. Youth tobacco surveillance-United States, 1998-1999. Morbidity and Mortality Weekly Report . 2000b;49(SS10):1–94
  • 26.
    What DOES seemto work?  Increased interpregnancy intervals  Better IVF  Progesterone therapy  Cervical cerclage Iams et al, NEJM; 370;3 nejm.org january 16, 2014
  • 27.
  • 28.
    Interpregnancy Interval  Shortertime for repletion of maternal nutrient stores.  Reduction in adverse birth outcomes.  Pre-term infant  Small for gestational age infant  Neonatal death.
  • 29.
    Other Risk Factors: Tobacco use  Dose-dependent increase in the risk of preterm birth  Substance abuse  Short cervix  Cervical surgery  Uterine malformation  Large (> 5cm) uterine fibroids  Moderate to severe anemia in the first trimester  Fetal factors  Growth restriction  Congenital anomalies  Male gender
  • 30.
    Risk Factors forPreterm Birth  Previous preterm birth  Short interpregnancy interval  Assisted reproduction  Multifetal gestation  Decidual hemorrhage  Infection and inflammation  Asymptomatic bacteriuria  Maternal periodontal disease
  • 31.
    Previous preterm birth Strongest risk factor for future preterm delivery  Data from McManemy et al:  One preterm birth: 14-22 % risk.  Two preterm births: 28 -42%  Three or more: Up to 75%  A term birth decreases the risk of preterm birth in subsequent pregnancies (McManemy et al, 2007)
  • 32.
    RECALL 0 5 1015 20 Papua New Guinea Sierra Leone Bangladesh Malawi Russia Brazil Turkey Malaysia Japan United Kingdom Germany United States Worldwide Average Worldwide Low Income Middle Income High Income
  • 33.
    0 20 4060 80 THREE PREVIOUS PTD TWO PREVIOUS PTD ONE PREVIOUS PTD United States Worldwide Average Worldwide PTD X 3 PTD X 2 PTD X 1 Averages Source: McManemy J., Cooke E., Amon E., Lee T.: Recurrence risk for preterm delivery. Am J Obstet Gynecol 2007; 196(6):576.e6-e7
  • 34.
  • 35.
    Reversal of Progesteroneto Estrogen Activity  Actions of progesterone  Inhibits cervical ripening  Reduces myometrial contractility  Reduces oxytocin receptor synthesis  Reduces oxytocin receptor function
  • 36.
    Progesterone Levels Normal vs.Threatened prematurity
  • 37.
    Pathophysiologic Mechanisms for Prematurity Activationof Maternal/Fetal HPA Axis  Maternal/Fetal stress Inflammation/ Infection  Chorio-decidual  Systemic Decidual Hemorrhage  Abruption Pathological Uterine Distension  Multifetal pregnancy  Polyhydramnios  Uterine abnormality Preterm Birth Lockwood CJ, Kuczynski E. Paediatric Perinat Epidemiol. 2001;15(suppl 2):78-89. Estimated at 40%Estimated at 30% Estimated at 20% Estimated at 10%
  • 38.
    Premature Decidual Activation CampbellS. Ultrasound Obstet Gynecol 2011 • Occult upper genital tract infection • Release of proinflammatory cytokines in the cervix • Release of proinflammatory cytokines at the choriodecidual interface •  Cervical softening and effacement
  • 39.
    Pathophysiologic Mechanisms for Prematurity Activationof Maternal/Fetal HPA Axis  Maternal/Fetal stress Inflammation/ Infection  Chorio-decidual  Systemic Decidual Hemorrhage  Abruption Pathological Uterine Distension  Multifetal pregnancy  Polyhydramnios  Uterine abnormality Preterm Birth Lockwood CJ, Kuczynski E. Paediatric Perinat Epidemiol. 2001;15(suppl 2):78-89. Estimated at 40%Estimated at 30% Estimated at 20% Estimated at 10%
  • 40.
    Is progesterone ournew “Silver Bullet” ?
  • 41.
    What is considereda “short” cervix (between 18 to 24 weeks)?
  • 42.
    42 “Prevention of RecurrentPreterm Delivery by 17 α-Hydroxyprogesterone Caproate”  “The NICHD Study”  Meis, Paul J. et al, N Engl J Med, June 12, 2003  (initially presented SMFM, Feb. 6, 2003)
  • 43.
    17 α-hydroxyprogesterone caproate Approvedby FDA February 3, 2011  Indicated to reduce the risk of preterm birth in women with a singleton pregnancy who have a history of singleton spontaneous preterm birth • MakenaTM • 17P content: 250 mg/ml • 5 ml multi-dose vial with preservative
  • 44.
    44 Meis et al, NewEngland Journal of Medicine, 2003 Maternal Outcomes 17P Plac. RR CI N 306 153 < 37 w 36.3% 54.9% 0.66 .54 - .81 < 35 w 20.6% 30.7% 0.67 .48 - .93 < 32 w 11.4% 19.6% 0.58 .37 - .91
  • 45.
    45 Meis et al, NewEngland Journal of Medicine, 2003 Neonatal Outcomes Outcome 17P Placebo RR 95% CI BW < 2500 27.2% 41.1% 0.66 0.51 – 0.87 IVH 1.3% 5.2% 0.25 0.8 – 0.82 NEC 0% 2.6% NA NA Suppl O2 14.9% 23.8% 0.62 0.42 – 0.92
  • 46.
    46 Meis et al, NewEngland Journal of Medicine, 2003 Study conclusion: “Weekly injections of 17P resulted in a substantial reduction in the rate of recurrent preterm delivery among women who were particularly high risk for preterm delivery and reduced the likelihood of several complications in their infants.”
  • 47.
    Bibliography of SelectedPublications (2007 – 2012) Data from Women Receiving Alere 17P Administration Nursing Service (17P-HAS) • Sibai 2012 • Gonzalez-Quintero 2012 • Timofeev 2012 • Lucas 2012 • Gonzalez-Quintero 2012 • Rebarber 2012 • Timofeev 2012 • Timofeev 2012 • Gonzalez-Quintero 2011 • Unal 2011 • Gonzalez-Quintero 2011 • Coleman 2011 • Barton 2011 • Gonzalez-Quintero 2011 • Gonzalez-Quintero 2011 • Rittenberg 2011 • Gonzalez-Quintero 2010 • Joy 2010 • Rebarber 2010 • O’Brien 2009 • Eggerman 2009 • Eggerman 2009 • Page 2009 • Rittenberg 2009 • Rittenberg 2008 • Ventolini 2008 • Rebarber 2008 • Guzman 2007 • Rittenberg 2007 • How 2007 • Rebarber 2007 • Rebarber 2007 • Gonzalez-Quintero 2007 47
  • 48.
    48 17P: Side Effectsand Precautions Precautions  Discontinue if thrombosis or thromboembolism occurs  Consider discontinuing if allergic reactions occur  Decreased glucose tolerance: Monitor pre-diabetic and diabetic women  Fluid retention: Monitor women with conditions that may be affected by fluid retention, such as preeclampsia, epilepsy, cardiac or renal dysfunction  Depression: Monitor women with a history of clinical depression; discontinue if depression recurs MakenaTM Prescribing Information, Ther-Rx Corporation St. Louis, MO February, 2011
  • 49.
    49 Meis et al, NewEngland Journal of Medicine, 2003 Fetal Safety  17P appeared to be safe.  There was no increase in the rate of congenital anomalies in the progesterone group.  These results are consistent with surveys of the literature that have indicated an absence of teratogenic effects from the use of 17P during pregnancy.”
  • 50.
    50 Progestins and Evidenceof Fetal Harm • Cohort of 988 progestin-exposed (90% 17P or progesterone; >60%: 17P only) • Outcomes tabulated included GU, CNS, and CV anomalies; mean f/u: 11.5 years • No significant detection of congenital anomalies with progestin exposure • (“May not apply to androgenic progestins”) Resseguie LJ et al. Congenital malformations among offspring exposed in utero to progestins, Olmsted County, Minnesota, 1936-1974. Fertility and Sterility 1985;43(4):514-9.
  • 51.
    4-year Follow-up SafetyStudy  No significant differences were seen in health status or physical examination, including genital anomalies, between 17P and placebo children  Scores for gender-specific roles were within the normal range and similar between 17 alpha- hydroxyprogesterone caproate and placebo groups. Northen AT. Obstet Gynecol 2007
  • 52.
    No Evidence of17P as Unsafe  Multi-Generational Developmental and Reproductive Toxicology study  Developmental and toxicology study in rats shows no evidence of a safety signal for hydroxyprogesterone caproate  Conclusions combined with the results of 11 trials showing fetal loss rates of 3.6% for 17P and 5.1% for placebo Schardein J. Am J Obstet Gynecol 2012
  • 53.
    Perinatal Mortality ReassuringlyLow 17P (start) ≤18 wk (n = 3632) 18-20 wk (n = 1367) >20/<21 wk (n = 494) p Stillbirth 6 (0.2%) 1 (0.1%) 1 (0.2%) 0.705 Miscarriage 10 (0.3%) 3 (0.2%) NA 0.492 NN death 18 (0.5%) 4 (0.3%) 3 (0.6%) 0.554 Total PNM 34 (0.9%) 8 (0.6%) 4 (0.8%) 0.478 53 Sibai Am J Perinatoll 2012
  • 54.
    17P: Contraindications • Currentor history of thrombosis or thromboembolic disorders  Known or suspected breast cancer, other hormone-sensitive cancer, or history of these conditions  Undiagnosed abnormal vaginal bleeding unrelated to pregnancy  Cholestatic jaundice of pregnancy  Liver tumors, benign or malignant, or active liver disease  Uncontrolled hypertension MakenaTM Prescribing Information, Ther-Rx Corporation St. Louis, MO February, 2011
  • 55.
    17P and Riskfor Gestational Diabetes p-value OR (95% CI) 17OHPC initiated at 16-20 weeks 0.025 1.67 (1.07, 2.63) 17OHPC initiated at 21-24 weeks 0.515 1.22 (0.66,2.26) Maternal age ≥ 35 years 0.001 2.11 (1.37,3.25) Morbid obesity > 39.9 kg/m2 0.063 1.60 (0.97,2.63) Eggerman R Am J Obstet Gynecol 2009
  • 56.
  • 57.
    Cerclage: Controversies andCertainties  J. Owen et al, AmJOBG, 2009:  Randomized trial  Previous early preterm birth AND Cervix < 2.5 cm.  Outcome: Birth at less than 35 weeks.  Observation vs. Cerclage  Cervix < 2.5 cm: NO BENEFIT  Cervix < 1.5 cm: BENEFIT
  • 58.
    Cerclage: Controversies andCertainties  Berghella et al, Obstet Gynecol, 2011.  Metaanalysis of 5 trials  Cerclage for short cervix < 2.5 cm  CERCLAGE EFFECTIVE  Relative risk, 0.70  Confidence interval: 0.55 – 0.89
  • 59.
    Cerclage: Caution  Thelarge trials for women with a short cervix were designed and performed BEFORE progestogens were used for that indication.  Available studies suggest vaginal progesterone and cervical cerclage are SIMILARLY effective in reducing the risk of preterm birth among high risk women.
  • 60.
    Cerclage: Caution There havebeen NO studies to directly compare cerclage and progesterone to date.
  • 61.
    Progesterone vs. Cerclage Currentrecommendations…  Short cervix who have NO previous preterm birth  Previous preterm birth.  For women with a previous preterm birth AND a short cervix.  Supplemental cerclage for short cervix and NO previous preterm birth? Vaginal progesterone 17- alpha hydroxyprogesterone Cervical cerclage NO DATA Am J Obstet Gynecol 2012;206:376-86. ACOG practice bulletin no. 130: Obstet Gynecol. 2012;120:964-73
  • 62.
  • 63.
    Comprehensive obstetrical history Ultrasoundconfirmation of EGA and number of fetuses Initial prenatal visit
  • 64.
    History of spontaneouspreterm birth OR stillbirth before 24 wk presenting as labor, SROM or advanced dilation? Prescribe 17- OHP, 250 mg IM weekly from 16 to 37 weeks Yes No Is this a singleton pregnancy?
  • 65.
    History of spontaneouspreterm birth OR stillbirth before 24 wk presenting as labor, SROM or advanced dilation? Prescribe 17- OHP, 250 mg IM weekly from 16 to 37 weeks Yes
  • 66.
    Prescribe 17- OHP,250 mg IM weekly from 16 to 37 weeks Measure TVCL every 14 days from 16–24 wk of gestation, every 7 days if CL <30 mm History of preterm birth: If TVCL <25 mm before24 wk of gestation: 1. Consider CERCLAGE (especially if patient had prior spontaneous preterm birth at <28 wk or if membranes are visible) 2. Continue progesterone
  • 67.
    Is there ahistory of spontaneous preterm birth or stillbirth before 24 wk presenting as labor, SROM or advanced dilation? No Is this a singleton pregnancy? No previous preterm birth
  • 68.
    Is this asingleton pregnancy? Signs or symptoms of PTL ? (e.g., persistent pelvic pressure, cramps, spotting or vaginal discharge)? Progestogens are ineffective and cerclage may increase the risk of preterm birth Singleton vs. Multiple Gestation
  • 69.
    Singleton Pregnancy, WITHsymptoms of preterm labor Signs or symptoms of PTL ? (e.g., persistent pelvic pressure, cramps, spotting or vaginal discharge)? Have TVCL performed by credentialed ultrasonographer Next Slide YES
  • 70.
    Singleton Pregnancy, NOsymptoms of preterm labor Signs or symptoms of PTL ? (e.g., persistent pelvic pressure, cramps, spotting or vaginal discharge)? Use one of the following site- specific screening strategies. (S4)
  • 71.
    Site-specific screening strategies. (S4) Universal TVCLscreening at 18–24 wk Universal TACL screening at 18–24 wk of gestation, until CL <35 mm Selective TVCL screening of women with the following risk factors: Prior preterm birth at <34 wk with unknown cause, or twins History of genitourinary infection Conception with fertility drugs Black race Previous cervical surgery BMI <19.6 or >35.0 Periodontal disease
  • 72.
    Signs or symptoms ofPTL ? (e.g., persistent pelvic pressure, cramps, spotting or vaginal discharge)? The patient with “Symptomatic” preterm labor. Have TVCL performed by credentialed ultrasonographer
  • 73.
  • 74.
    Diagnosis of PretermLabor  Difficult.  “Regular painful uterine contractions AND cervical dilatation or effacement at a preterm gestational age”  Half of women HOSPITALIZED for preterm labor deliver at TERM.  Regardless of therapy. • Signs and symptoms of preterm labor • Cramping • Back pain • Contractions • Bloody show
  • 75.
    Tocodynamometry to evaluate forthe presence of uterine contractions
  • 76.
    Speculum exam to assessfor ruptured membranes or bleeding
  • 77.
    Initial laboratory evaluation urinalysis &culture urine toxicology GBS culture
  • 78.
    FFN testing  Highnegative predictive value  More than 99% of symptomatic patients with a negative fFN did not deliver within 14 days  Cannot be performed with:  Vaginal bleeding  Ruptured membranes  After recent intercourse  After vaginal examination  After transvaginal ultrasound
  • 79.
    ONYEIJE’S 3, 2, 1PRINCIPLE Management of a Short Cervix
  • 80.
    Iams J. NEngl J Med 1996
  • 81.
    0 5 1015 20 25 Cervix ~ 1.9 cm Cervix ~ 2.0 - 3.0 cm Cervix > 3.0 cm United States Worldwide Average Worldwide CVX ~ 1.0 cm CVX ~ 2 - 3 cm CVX ~ 3.0 cm Averages Source: The Length of the Cervix and the Risk of Spontaneous Premature Delivery. Jay D. Iams, M.D., Robert L. Goldenberg, M.D., et al. N Engl J Med 1996; 334:567-573February 29, 1996 Probability of Delivery before 32 weeks Based on Cervical Length before 24 weeks.
  • 82.
    Cervical Length Triagefor Preterm Labor Cervical Length < 1.9 cm High Risk 2.0 to 2.9 cm Increased Risk > 3.0 cm Low Risk
  • 83.
  • 84.
    Low Risk (>3.0 cm)  LOW risk of preterm birth.  FFN testing NOT mandatory.  Observe for 4 to 6 hours to confirm fetal well-being.  Reactive nonstress test  Rule out abruption  Rule out Infection.  Rule out Cervical change  Arrange follow-up in one to two weeks  Give PTL instructions  Bleeding, rupture of membranes, decreased fetal activity
  • 85.
  • 86.
    Increased Risk (2.0to 3.0 cm)  Most of these women do NOT deliver preterm.  FFN testing indicated.  If FFN positive  See High Risk Slide.  If FFN negative  See Low Risk Slide.
  • 87.
  • 88.
    The spectrum ofcervical anatomy
  • 89.
    High Risk  Highrisk of preterm birth  Regardless of the fFN result  Active management recommended  Prevention of morbidity associated with preterm birth.
  • 90.
    Management of PretermLabor  Betamethasone  Vaginal progesterone  Tocolysis for up to 48 hours.  GBS Chemoprophylaxis  Antibiotics for UTI  Magnesium sulfate for neuroprotection  Between 24 and 32 weeks.
  • 91.
    Summary  Preterm birthremains a leading cause of infant death in the United States, especially among African Americans.  Changes in IVF and reductions in scheduled births before 39 weeks have resulted in decreased preterm birth rates.
  • 92.
    Summary  Strategies toidentify and treat medical risk factors in early pregnancy have NOT been effective in reducing preterm birth rates.  Previous preterm birth and a short cervix (≤20 mm, as measured by transvaginal ultrasonography) are major risk factors for preterm birth.
  • 93.
    Summary  The useof progesterone supplementation in women with a previous preterm birth, a short cervix, or both was shown in randomized trials to reduce the frequency of preterm birth and is recommended for women with these risk factors.  Cervical cerclage reduces the risk of recurrent preterm birth among women with a short cervix.
  • 94.
  • 95.
    Periodontal Disease  Increasesthe risk of preterm labor and low birth weight.  Proposed mechanism:  Seeding of the placenta or amniotic fluid by oral pathogens and systemic inflammation.  Oral bacteria associated with an increased risk of preterm delivery:  Bacteroides forsythus  Porphyromonas gingivalis  Actinobacillus actinomycetemcomitans  Treponema denticola  Fusobacterium nucleatum Offenbacher S., Jared H.L., O’Reilly P.G., et al: Potential pathogenic mechanisms of periodontitis associated pregnancy complications. Ann Periodontol 1998; 3(1):233-250.
  • 96.
    Periodontal Disease  Nonsurgicaltreatment of periodontal disease was NOT effective in reducing preterm births, low birth weight, or growth restriction.  Michalowicz B.S., Hodges J.S., DiAngelis A.J., et al: Treatment of periodontal disease and the risk of preterm birth. N Engl J Med 2006; 355(18):1885-1894.
  • 97.
    Genital Infections Associated withpreterm birth Causality has not been proved Treatment for genital infections is often indicated, but has NOT been shown to reduce the risk of preterm birth.
  • 98.
    Preterm labor itselfis NOT an indication for antibiotics in the absence of: Documented infection or GBS prophylaxis
  • 99.
  • 100.
    Repeat Doses ofSteroids?  Administering a repeat course of therapy reduces the risk of respiratory distress syndrome (RDS).  Repeat doses of prenatal corticosteroids for women at risk of preterm birth for improving neonatal health outcomes.Cochrane Database Syst Rev. 2011 Jun 15;(6):CD003935. doi: 10.1002/14651858.CD003935.pub3.  This study did NOT evaluate the RISKS of repeat doses of steroids…
  • 101.
    Repeat Dose Controversies In the Maternal Fetal Medicine Units network (MFMU) trial, 63 percent of patients received 4 or more courses of therapy.  These patients had:  More IUGR < 10th percentile  More IUGR < 3rd percentile  Smaller placenta size  (?) Increased risk of cerebral palsy.  5 cases vs 1 case.  REFERENCE:  Am J Obstet Gynecol. 2006 Sep;195(3):633-42. Epub 2006 Jul 17.  Single versus weekly courses of antenatal corticosteroids: evaluation of safety and efficacy.
  • 102.
    Repeat Dose Controversies A small prospective cohort study reported lower measures of attention and speed in adolescence and young adults exposed in utero to multiple courses of antenatal corticosteroid therapy.
  • 103.
    Rescue Dose Steroids In 2011 and 2012, the American College of Obstetricians and Gynecologists (ACOG) endorsed the concept of a SINGLE course of rescue steroids in women who remain at risk of preterm delivery  These publications recommend AVOIDING regularly scheduled repeat courses or more than two courses of antenatal corticosteroids.  ACOG Committee Opinion No. 475: Antenatal corticosteroid therapy for fetal maturation.
  • 104.
    Indications for RescueDose Steroids  Patient at high risk for delivery within the next 7 days  Initial course of antenatal corticosteroids at <28 weeks of gestation  Prior exposure to antenatal corticosteroids at least two weeks earlier

Editor's Notes

  • #4  Poll Title: Can you see this poll question? http://www.polleverywhere.com/multiple_choice_polls/x5QxFpUSR8aiPZ6
  • #5  Poll Title: What is the incidence of preterm labor in the US (all patients) http://www.polleverywhere.com/multiple_choice_polls/evocT1VFSwIq8z5
  • #6  Poll Title: What percentage of African American infants are born premature? http://www.polleverywhere.com/multiple_choice_polls/IFeN1KYFZtOrBWT
  • #7  Poll Title: What has been the trend in preterm delivery in the last 6 years? http://www.polleverywhere.com/multiple_choice_polls/aKcuZ9ipGQL21MH
  • #21  Poll Title: Does prenatal care improve pregnancy outcome? http://www.polleverywhere.com/multiple_choice_polls/uUFzPCa8tdRpXLc
  • #42  Poll Title: What is considered a short cervix (between 18 to 24 weeks)? http://www.polleverywhere.com/multiple_choice_polls/6rcpwSbf2EmOc1p
  • #43 The key research providing evidence for 17P efficacy was conducted by the NIH and published in a 2003 issue of the New England Journal of Medicine.
  • #45 Regarding PTD (&lt;37 weeks), the absolute risk (incidence) was reduced by 18.6% which is a 34% reduction in relative risk.Similar trends are seen with preterm delivery less than 35 weeks and preterm delivery less than 32 weeks, all with statistical significance.Note that although dramatically reduced in incidence compared to placebo, PTDs at all stratifications remain at double-digit percentages in the 17P groups.
  • #46 Significant neonatal outcome differences favoring the 17P group were reductions in low birth weight, IVH (any grade), necrotizing enterocolitis, and need for supplemental oxygen.
  • #48 Since publication of the NICHD “Meis” study in 2003, many additional studies have been presented at major obstetrical meetings and conferences and/or published in the literature attempting to address a variety of research questions, for example, impact of later initiation of therapy, fetal and neonatal impact, gestational age of earliest previous preterm birth, and efficacy in multiple gestations, to name a few. Please note that the studies conducted focus on 17P as the active ingredient and/or consistent weekly administration, and are not designed to differentiate results between those obtained with a commercially manufactured versus a pharmacy-compounded formulation.You are looking at a summary listing the 17P-related studies which have been generated from Alere’s Home Administration Service experience database, spanning 6 years, and comprising over 30 individual abstracts, posters, and manuscripts.  Physicians and payors referring patients for Alere’s home administration services are actively contributing to the advancement of knowledge regarding this therapy.
  • #54 A recent clinical study of outcomes in 5493 women receiving home administration of compounded 17P reported similar results (not shown on slide) to the 2003 NIH trial for the overall rate of SPTB. Rates of fetal and neonatal death reported in the NIH study were 9.3% when 17P was initiated at ≤ 18 wk GA, 5.3% between 18 and 20 wk GA, and 3.4% when initiated beyond 20 wk GA. As shown in this slide, incidence of both fetal loss and neonatal death were very reassuringly low with only 0.8% of women experiencing a miscarriage, stillbirth, or neonatal death.