Cerebro Spinal Fluid (CSF)
Intracranial Hypotension
Idiopathic Intracranial Hypertension
JL Sarrazin
Hôpital Américain de Paris, Hôpital de Bicêtre
Cerebro Spinal Fluid (CSF)
Locating CSF

Extra axial

In the Ventricles

In the sub ararachnoid space (SAS) between the
arachnoid membran and the pia mater

25 cm3

In the cistern
(encephalic and spinal)

125 cm3

150 cm3
Sub arachnoid space

DURA MATER

CSF

ARACHNOID
PIA MATER
CSF
Extra axial :
—  Sub arachnoid space
—  Cisterns
—  Cisterna Magna
—  Interpeduncular cistern
—  Ambient citern
— 
— 

Peripontine cistern
Pontocerebellar cistern
CSF
The ventricles
—  V1 and V2 (lateral

ventricles) are linked to V3
through the foramen of
Monroe

—  V3 is linked to V4 through

the mesencephalic aqueduct

—  V4 is linked with the cisterns
through
—  the Luschka foramens lateraly
—  The Magendie foramen
medialy

—  Only meninx : pia mater
Production of CSF
20 cm3/h or 500 à 600 cm3 every 24
hours

CSF is produced:
Mainly in the choroid plexus area
A lesser amount is produced in the
capillaries of the spinal and
encephalic sub arachnoid space
A small amount starts from the
intraparenchymal vessels to join the
encephalic sub arachnoid space
through the Virchow-Robin
perivascular spaces
roduction du LCR
Acétazolamine

AC

HCOHCO-

actif
Cl-

CO2

H2CO3

Cl-

H+

H2O

H2O

H2O

3 Na+

H2O

2 K+

2 Na+
ATP

actif
+

2K

Na/K
ATPase

3 Na+

H+
2 Na+

3’-5’ AMPc

Fibres -adrénergiques

passif

Ouabaïne

Choroid epithelium : brush border
10
epithelial cells spread on a basement
10
membrane
The junction between the cells is not
a100 % tight and the capillaries are
fenestrated : exchanges between blood
and interstitial fluid are free
Composition of CSF

—  Maintains the physico-chemical environment constant in the
brain

—  Fluid
—  Clear, pH = 7,3
—  3 à 5 lymphocytes/cm3
—  The CSF composition is different from that of the plasma.
Plasma

CSF

Na+

150 mmol/l

147 mmol/l

K+

4,6 mmol/l

2,8 mol/l

Ca++

1,8 mmol/l

1,1mmol/l

Cl-

115 mmol/l

130 mmol/l

HCO  3-

26 mmol/l

22 mmol/l

pH

7,4

7,3

PCO2

45 mmHg

50 mmHg

Proteins

8g/100ml

0,02 g/100ml
CSF flow
Resorption of CSF
—  Passive flow from production area to clearance
area.
—  Flowrate: 20 cm3/h.
—  Renewal: 3 times a day.

—  The CSF flows through the dural sinuses, the spinal
veins, and in a lesser part in the lymph along the
nerves 4/5 of the CSF

—  1/5 is eliminated in the spinal area
Dural Sinuses and Arachnoid granulations (Pacchioni’s granulations)
Hernias of the arachnoid in the dural sinuses
Small « safety valves » responds passively by hydrostatic or osmotic pressure
difference

ICP>ISP

ICP<ISP
Other resorption pathways
Role of CSF
—  Mechanical protection of the brain and the spinal
cord

—  +++ Role in cerebral homeostasis by holding a ionic
equilibrium, allowing the flow of active molecules
and the removal of catabolite
Stories of two women
…….
with headaches
29 y.o tall, thin woman. Thoracic back pain after heavy weight lifting, 1 week ago.
Severe daylies Headaches
Clinical question : Are they orthostatic
headaches?

Global thickening and enhancement of
dura mater

Sub dural fluid collection
Intracranial
hypotension
Intracranial hypotension
—  CSF leak, with volume loss of that fluid
—  Monroe Kelly principle :
—  Brain vol + Blood vol + CSF vol = constant
—  Decreasing of CSF = Increasing of blood volume

Cerebral and spinal venous congestion
Secondary Intracranial
hypotension
Dural breach
—  Lumbar punction, spinal anesthesia, myelography
—  Accidental punction of dura mater
—  Medullary or cranial trauma
15% after Traumatic Brachial plexus injury

—  Cranial or spinal surgery
—  Excessive flow rate in derivation
—  Erosive lesions brachial plexus injury
with traumatic
Clinical article

J Neurosurg 118:149–154, 2013
©AANS, 2013
Idiopathic Hypotension
—  Defined 20 years ago. Scarce, but its frequency is under
estimated. Prevalence: 1/500000

—  Slim, tall, young woman
—  F/M ratio : 3/1
—  Average age: 37-42 y.o (extreme: from15 to 76) y.o

—  Aetiologies
—  Minor trauma (sneezing, coughs, violent sport moves )
—  Pre-existing anomalies: Tarlov cysts, meningeal diverticula
—  Disease of the connective tissue (Marfan type).
The main symptom
ORTHOSTATIC headaches
—  Orthostatism : the Headache appears within less than 15
minutes
—  Decubitus : the headache disappears within 30 minutes

Uninterrupted, not pulsating, growing along with
orthostatism, with neck pains and feelings of neck and
shoulder tensions headaches
Intensifying with head moves, coughing and sneezing
shocks . ….Valsalva maneuver
Variable ways to start, mostly in a progressive way,
sometimes in a brutal way
Downward shift of cerebral structures
causing headaches by the pulling on
anchoring structures in brain’s dura mater
Other clinical symptoms
—  Neck stiffness
—  Nausea and vomiting 30%
—  Visual troubles : diplopia mostly through VI (Abducens nerve)
—  Hearing and vestibulary troubles : tinnitus, dizziness (less frequent)
CSF Analysis
—  Decreased pressure < 60 mm of water…
sometimes normal

—  Hyper proteinorachia, important sometimes
—  Lymphoticpleocytocis
—  Normal Glycorrhachia
—  this set offers less interest since MRI
DIAGNOSIS

Clinical
(orthostatic headaches+++)

+
MRI
MRI
Thickening of dura mater
—  Thickening and enhancement of dura mater, equally
spread, supra and infra tentorial areas

—  Leptomeninges untouched
—  Might be due to dilation of dura mater veins
Lepto meninx
enhancement

Dura mater enhancement
Differential diagnosis
—  Post traumatic
—  Infection
Tuberculosis (leptomeninges are often involved)

—  Inflammation
Sarcoidosis, Wegener’s, PR

—  Tumor
Meningiomatosis, metastasis, lymphoma
Dura Mater : Hyper intense on sequence FLAIR

Technical note : Flair always essential sequence 2D or 3D +++
Sub dural collections
Collections and sub-dural hematoma
SDHematoma caused by ripping
off of arachnoid granulations
(«Pacchioni’s granulations ») 
brain. In paompensate for
henomenon is
ts in a characThis contour
verse sinus on
s of the brain.
inary fashion.
agittal images
ansverse sinus

include the following: diffuse headache that worsens within 15 minutes
after sitting or standing; evidence of low CSF pressure on MR imaging;
and spontaneous headache resolution or within several days after epidural blood patch (EBP). Fifteen IH patients (IHPs) with complete MR
imaging at presentation were identified and included 13 women and 2
men with an overall average age of 46 years. Of the 15 patients with
confirmed IH, 12 presented with primary SIH, 2 presented after lumbar
puncture, and 1 after a spinal anesthetic procedure. All 15 of the IHPs
provided the typical clinical presentation of orthostatic headaches, as well
as characteristic findings at gadolinium-enhanced MR imaging of the
brain. Nine of the 15 went on to have EBP treatment, 4 had spontaneous
resolution of their symptoms, and 2 were lost to follow-up. Follow-up
MR imaging of the brain was available in 10 of the 15 IHPs.

Congestion of veins

7.

Division of Neurontario, Canada; and
uebec, Canada.

niversity of Toronto.

Pituitary gland and stalk

Retroclival veins

Control Patients

Eighty consecutive potential control patients (CPs) were recruited
from the population of cancer patients at our institution who were
undergoing screening for intracranial metastatic
Venous Distension Sign: A DiagnosticofSigndisease. These
of
patients had no clinical signs or symptoms neurologic disease.

logy, Department of
New East Wing 3MC
.farb@utoronto.ca

The
Intracranial Hypotension at MR Imaging of the
AJNR Am J Neuroradiol 28:1489 –93 ͉ Sep 2007 ͉ www.ajnr.org
Brain

1489

BACKGROUND AND PURPOSE: Patients with intracranial hypotension (IH) demonstrate intracranial venous
enlargement with a characteristic change in contour of the transverse sinus seen on routine T1-weighted
sagittal imaging. In IH, the inferior margin of the midportion of the dominant transverse sinus acquires a
distended convex appearance; we have termed this the venous distension sign (VDS). This is distinct from
the normal appearance of this segment, which usually has a slightly concave or straight lower margin. This
sign is introduced, and its performance as a test for the presence of this disease is evaluated.
MATERIALS AND METHODS: The transverse sinuses on T1-weighted sagittal imaging of 15 patients
with IH and 15 control patients were independently assessed in a blinded fashion by 3 readers for the
presence of a VDS. A present or absent VDS was determined for each patient by each reader, and a
consensus result for each patient was determined by unanimity or majority rule.
RESULTS: Using the VDS, the readers correctly identified 93% (14 of 15) of the IH patients and
similarly 93% (14 of 15) of the control patients. There was a high rate of agreement among the readers
for the interpretation of the VDS (multirater ␬ ϭ 0.82). The overall sensitivity of the VDS for the
diagnosis of intracranial hypotension was 94%. Specificity was also 94%.

3D Flair +++

Shifting downward of
structures

CONCLUSION: The VDS appears to be an accurate test for the presence or absence of IH and may be
helpful in the evaluation of these patients.

normally has a concave or straight inferior border (Fig 1). In cases
of IH, the inferior border acquires a distended appearance with a
convex bulging of its inferior border (a VDS, as in Figs 2 and 3).
The purpose of this paper is to report this sign and evaluate its
performance in a controlled trial for identifying patients with IH
and differentiating them from normal age- and sex-matched
control subjects.

Chiasma

BRAIN

(IH) is a syndrome of variable etiions, and MR imaging appearances
e of CSF volume depletion and retic pressure.1-7 The syndrome of
ypically presents with orthostatic
MR findings and most commonly
leak of CSF from the spinal thecal
include “over shunting” associated
ures, as well as continued leaks after
mbar punctures. Many characterisassociated with IH regardless of its

Cerebellar tonsils
Materials and Methods

Patients with IH

Less frequent

maging of patients presenting to our
identified a highly reliable novel imof IH. We have termed this sign the
VDS) and evaluated for it on routine
eighted imaging of the brain. In pauses enlarge as they compensate for
volume.2,7,13,14 This phenomenon is

A retrospective review of clinical and imaging records was carried out to
identify patients evaluated for IH at our institution from February 2001
to September 2005. Criteria used in this study to firmly establish the
diagnosis of IH were similar to those reported previously for SIH2,15 and
include the following: diffuse headache that worsens within 15 minutes
after sitting or standing; evidence of low CSF pressure on MR imaging;

ORIGINAL RESEARCH

Institutional review board approval was obtained for this project.
MRI
o  Global enhancement of dura mater
o  Sub dural collection
o  Venous congestion
Ø  Pituitary gland and pituitary stalk
Ø  Retroclival veins
o  Cranio caudal shift
Ø  Chiasma, Cerebellar tonsils
Causative investigation
—  Cause identified
Lumbar punction, surgical operation

—  « Idiopathic » process
• 

Minor trauma, sneezing, violent cough, sudden
sports effort
•  «Anatomical « fragility » of meninges:
peri radicular cysts , meningeal diverticula,Tarlov cysts,
meningocele

•  Inherited/genetic: Marfan, NF1, Ehlers-Danlos…

—  Never (or very scarce) at level of skull base
J Neurosurg 116:749–754, 2012
graded as “classic” if both pachymeningeal enhanc
of the brain were present (Fig 1). Brain MR ima
From the Department of Neuroradiology, Mayo Clinic, Rochester, Minnesota.
“equivocal” if pachymeningeal enhancement with
Paper previously presented at: 49th Annual Meeting of the American Society of Neurora“brain sag” without pachymeningeal enhancemen
diology, June 4 –9, 2011; Seattle, Washington.
MR imaging was graded as negative if neither p
Please address correspondence to Patrick H. Luetmer, MD, Department of Neuroradiology,
IsotopicSttransit MN 55905; e-mail: luetmer.patrick@mayo.edu
Mayo Clinic, 200 1st SW, Rochester,
The Role ofhancement nor sagging brain was present. For ea
MR Myelography with Intrathecal
Neuroradiology (2012) 54:1367–1373
http://dx.doi.org/10.3174/ajnr.A2815
Gadolinium in the presence of Spinal CSF Leaks
DOI 10.1007/s00234-012-1055-3ing,Localizationor absence of extradural fluid was
Received May 10, 2011; accepted after revision June 25.

Causative investigation = Spinal cord exploration
— 

—  Myelo CT

ORIGINAL
RESEARCH

—  Spinal cord MRI

in Patients with Spontaneous Intracranial
Hypotension AJNR Am J Neuroradiol 33:535– 40 ͉ Mar 2012 ͉ w

INTERVENTIONAL NEURORADIOLOGY

Detection and treatment of spinal CSF leaks in idiopathic
intracranial hypotension

J.J. Akbar
BACKGROUND AND PURPOSE: Localization of spinal CSF leaks in CSF hypovolemia is critical in
directing focal therapy. In this retrospective review, our aim was to determine whether GdM was
P.H. Luetmer
helpful in confirming and localizing spinal CSF leaks in patients in whom no leak was identified on a
Neuroradiology (2012) 54:1367–1373
K.M. Schwartz
prior CTM.
DOI 10.1007/s00234-012-1055-3
C.H. Hunt
MATERIALS AND METHODS: & C. Musahl &
G.
F.E. Diehn Albes & H. Weng & D. Horvath Forty-one symptomatic patients with clinical suspicion of SIH were
referred Henkes
H. Bäzner & H. for GdM after undergoing at least 1 CTM between February 2002 and August 2010. A
L.J. Eckel
retrospective review of the imaging and electronic medical records was performed on each patient.

Ø  Myelo MR
Ø  Axial +/- T2 weighted sequence

ü  Spin echo sat fat
ü  « T2 » High resolution (Fiesta, CISS, drive)
ü  3D FSE T2 Sat Fat

INTERVENTIONAL NEURORAD

RESULTS: In 17 of the 41 patients (41%), GdM was performed for follow-up of a previously docu-

mented leak at CTM. In the remaining 24 patients (59%), in whom GdM was performed for a
suspected CSF leak, which was not identified on CTM, GdM localized the CSF leak in 5 of 24 patients
(21%). In 1 of these 5 patients, GdM detected the site of leak despite negative findings on brain MR
Received: 11 March 2012 MR imaging,June 2012 / Published online: 6 JulySixteen of 17 patients with previously
imaging, spine / Accepted: 8 and CTM of the entire spine. 2012
# Springer-Verlag leaks underwent interval treatment, and leaks were again identified in 12 of 17 (71%).
identified 2012

Detection and treatm
intracranial hypotens

CONCLUSIONS: GdM is a useful technique in the highly select group of patients who have debilitating

symptoms of SIH, a high clinical index of suspicion of spinalAdjacent to the level(s) of theleak on
CSF leak, and no demonstrated detected CSF le
Abstract
conventional CTM. aimed to injection the diagnostic
Introduction This study Intrathecal evaluate of gadolinium contrast remains an off-label useof fresh venous blood w
the nerve roots, 20 cc and should be
reserved for those patients who of patients with idiimaging findings and treatment resultsfail conventional CTM.
Gadovist was injected epidurally (blood patch
opathic intracranial hypotension (IIH) due to cerebrospinal
distribution of the BP was visualized by MRI th
ABBREVIATIONS: CTM ϭ CT myelography; GdM ϭ intrathecal gadolinium MR myelography; In111fluid (CSF) leaks.
day. Treatment results were evaluated clinica
DTPA ϭ indium-111 diethylene triamine pentaacetic acid; SIH ϭ spontaneous intracranial hypotenMethods Between February 2009 and April 2012, 26 IIH
myelography 2 weeks after the application
&
&
&
sion; SPGR ϭ spoiled gradient-recalled-echo
patients (15 men, median age 49 years) presenting with
Retreatment was offered to patients with persis
&
orthostatic headache (n020) and/or with spontaneous subtoms and continued CSF leakage.
dural effusions or subarachnoid hemorrhage (n019) were
Results CSF leaks were detected at the cervic
Materials and CT
IH is a debilitating syndromeTwenty-three patients underwent a whole spine Methods
enrolled. classically characterized by
thoracic (n025), or lumbar (n021) spine. In 2
orthostatic headaches, low CSF pressure, starting 45 min after the intrathecal
Approval of the institutional review board with waived consent was affected. O
and MRI myelography, and diffuse
more than one spinal segment was
pachymeningeal gadolinium enhancement on MR imaging.1 300 M) and 1this Health refused treatment. BP were applied in one (n09
Insurance Portability and Accountability
injection of 9 cc of iomeprol (Imeron obtained for cc of
First-line treatment for patients with this condition is conserAct— compliant retrospective research study. A searchand/orradiolgadobutrolum (Gadovist). Three patients only underwent
(n016) levels. Clinical of the radiological im
2
vative therapy or large-volume lumbar epidural blood patch.gadobutrolum injection. between Februaryafter one August 2010 reogy information system was achieved 2002 and (n016), two (n05), thre
MR myelography after intrathecal
Further treatment, however, including targeted epidural
trieved a total of 164 patients who were referred for myelography for
five (n01) BPs.
blood patches, fibrin glue injections, and open surgical repairs the Deutsche Gesellschaft these, 41 patients underwent GdM after under- allow the
evaluation of SIH. Of
Conclusion CT and MRI myelography
Presented in part at the Annual Meeting of
may be necessary. Each of these focal therapies requires precise
least 1 CTM. If 11 March 2012 on a single patient, 8 June 2
für Neuroradiologie (DGNR) Cologne 2011. going at Received: Ͼ1 GdM of spinal CSF leaks. The targeted and eventu
tection was performed / Accepted:
localization of the CSF leak. Current standard radiologic techonly the# examination ed epidural BP procedure Noaother casesefficacious
first Springer-Verlag 2012 study. is safe and
was evaluated in our
G. Albes : D. Horvath : H. Henkes (*)
niques used to evaluate Klinik für Neuroradiologie, Klinikum Stuttgart, were excluded.
spinal CSF leaks in these patients include conventional CTM, dynamic CT 60,
Kriegsbergstrasse myelography, radioImaging examinationsKeywords Idiopathic intracranial hypotension . O
reviewed included prior brain MR imag70174 Stuttgart, Germany
nuclide cisternography, and conventional spine MR imaging.
ing, spine MR imaging, CTM (standard or dynamic16), nuclear medheadache . SAH . Spinal CSF leak . Epidural bloo
e-mail: hhhenkes@aol.com
GdM has been reported in small series and case reports to be a
icine In111-DTPA cisternography, and GdM. All imaging studies and
useful adjunct in localization of CSF leaks in the difficult sub-

SPINE

G. Albes H. Weng D. Horvath C.
H. Bäzner H. Henkes

S

ORIGINAL RESEARCH

3D FSE T2 sat fat
Abstract
Spinal cord MRI
Causative investigation
Meningeal diverticula . ..
Level of leakage

Congestion of venous plexuses
Fluid collection in the epidural space
Collapsing of dural sac

AJNR Am J Neuroradiol 23:618–621, April 2002
Complications

—  Subdural hematoma
—  Thrombophlebitis
—  Intracranial hypertension
TREATMENT
Decubitus, hydratation, abdominal strapping
Blood patch
Standard practice : in L3L4 or L4L5
Or at the breach level if location of breach can be seen or
known
Injection of 10 to 40 ml (incurring low back pain)
Decubitus for two hours, no forceful exercise for 3 weeks
Way of working
Initial mass effect (immediate effect), vasoconstrictor effect
Fibrin clot plugs up the breach
Results
56% success rate after 2 blood patches
MG Bousser 33 patients
90% immediate efficiency: , 57% sustainable effect for 1
BP 77% for 2 BP
,
.s’
Empty sella

Thin Ventricles

Tortuous optic nerves

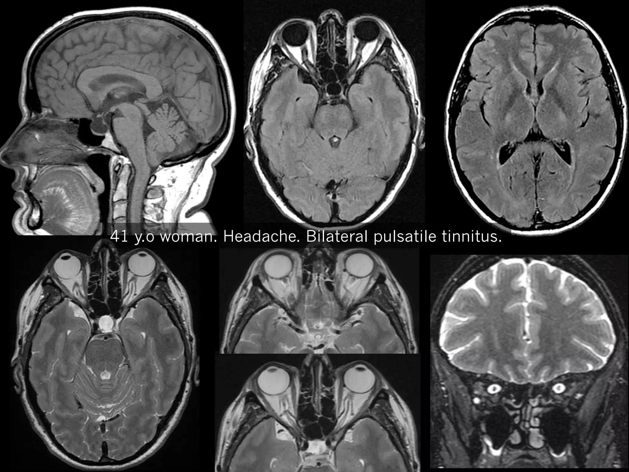
41 y.o woman. Headache. Bilateral pulsatile tinnitus.

Enlargement
of
peri optic sub archnoid spaces

Tortuous optic nerves

Enlargement
of
peri optic sub archnoid spaces
Empty sella

Thin Ventricles

Tortuous optic nerves

Idiopathic intra cranial Hypertension

Enlargement
of
peri optic sub archnoid spaces

Tortuous optic nerves

Enlargement
of
peri optic sub archnoid spaces
Idiopathic (« benign »)
intracranial hypertension
Idiopathic intracranial Hypertension
Dandy (1937) Pseudo tumor cerebri
ü  Rise of intracranial pressure
ü  Normal composition of CSF
ü  No tumor

Current criteria

— 

1 patient fully aware
ü  with a normal neurological examination
or
ü  Papilledema
ü  Widening of blind spot
ü  Decreasing of visual field
ü  Paralysis of VI

— 

2 Rise of pressure of CSF > 200 mmH2O (205 in obese patients). Normal (lateral
decubitus) 100 à 200 mmH2O

— 

3 Normal composition of CSF (minor hyperproteinorachia may happen)

— 

4 No intracranial or medullar (tumoral) pathology

— 

5 No metabolic, toxic, or hormonal cause
Epidemiology
—  Sex ratio: Female >>> Male
—  Frequency
ü  0,034/100.000 men/year
ü  2,7/100.000 women/year
ü  21,4/100.000 obese women/year

—  May happen but scarce in children
Etiological factors
Toxic drugs

Endocrinology

Haematology

Various factors

Tetracycline

Pregnancy

Anemia

Lupus

Doxycycline

Infertility

Hypercoagulability

Behçet’s
disease

Nitrofurantoin

Oral contraceptives

Thrombocytopenia

Lyme disease

Penicillin

Turner’s syndrome

Myeloma

Respiratory
Insufficiency

Corticoids

Obesity

High Blood
Pressure

Lithium

Hypo/
hypervitaminosis A

insecticides

Amiodarone

Hypo/hyper
thyroidism

Tobacco
smoking

Tamoxifen

Hyperaldosteronism

Sleeping apnea
Clinical features
Not always conclusive
Unspecified headaches (90-94%)
Sometimes with nausea and vomiting
Ophtalmological clues (68-85%)
Weakening of visual acuity (Edema of
Impairments of visual field

Dizziness, pulsatile tinnitus (60%)
Obesity: risk factor

optic disk, edema of fundus)
MRI
Ruling out tumor
pathology

Confirming diagnosis:
etiologic investigation
—  Median line: sagittal T1

—  Flair
—  T2*
—  Diffusion
—  +/- injection

—  Ventricles: axial or frontal T2/
Flair

—  Orbits : optic nerves : T2W

sequence HR or 3D FSE T2

—  Veins : venous MR Angiography
de pain, pulsatile tinnitus, and vin lead to blindness.2,5 Treatment
n, acetazolamide, and surgical inhunt surgery.6-8
l diagnosis based on normal CSF
d opening pressure (Ͼ20 cm H2O
25 cm H2O in obese patients with
pportive neuroimaging findings

the Chiari I Malformation

with tonsillar ectopia, such as Chiari I malformation and
RESEARCH
spontaneous intracranial hypotension.
Chiari I malformation is characterized by caudal protrusion of “peg-shaped” cerebellar tonsils below the foramen.11,12
A.H. Aiken
BACKGROUND
Chiari I malformation is defined radiographically AND infeas an PURPOSE: IIH is a syndrome of elevated intracranial pressure without hydrocep
alus, mass,Ն5 mm below
or identifiable cause. Diagnosis is made by clinical presentation, intracranial pressu
rior displacement of the cerebellar tonsils of
J.A. Hoots
the opisthion-basion line.13,14 Inmeasurement, cerebellar
the healthy adult, and supportive imaging findings. A subset of patients with IIH may have tonsil
A.M. Saindane
tonsils are rarely Ͼ3 mm below the foramen magnum. Paectopia, meeting the criteria for Chiari malformation type I but not responding to surgical decompre
P.A. Hudgins
tients with the radiographic appearancefor(the I malformasion of Chiari first sequenceof this study almost) Brain MRI)
Chiari I. The purpose for all (or was to determine the incidence and morphology
tion can be asymptomatic, but the most common clinical
cerebellar tonsillar ectopia in patients with IIH.
symptoms include headache, neck pain, vertigo, sensory
changes, and poor coordination. Therefore, clinical symptoms
MATERIALS AND METHODS: Forty-three patients with clinically confirmed IIH and 44 age-match
may overlap IIH.11 Chiari I malformation is also associated
controls were included. Two neuroradiologists with CAQs reviewed sagittal T1-weighted MRI in
with abnormal CSF flow, which can lead to syringomyelia.
blinded surgical and measured cerebellar tonsil and obex positions relative to the foramen magnum a
Treatment of Chiari I consists primarily offashion hindbrain
prepontine to restore nordecompression with suboccipital craniectomy cistern width at the level of the midpons.
mal flow at the foramen magnum.15
Tonsillar Ectopia in
RESULTS: Nine of subset
Previous studies in the surgical literature describe a 43 patients with IIH and 1/44 controls had cerebellar tonsillar ectopia of Ն5 mm. Fi

MRI

Sagittal T1w sequence

ter revision January 12, 2012.

-Empty (or partially empty) sella : longstanding effects

d Imaging Sciences, Emory University, Atlanta,

ual Meeting of the American Society of Neurorangton.

- downward displacement of chiasma and/or cerebellar tonsils (20%)

ey H. Aiken, MD, Radiology Department, Emory
Suite BG 26, Atlanta, GA 30322; e-mail:

Incidence of Cerebellar
Idiopathic Intracranial Hypertension: A Mimic of of 9 of patients with IIH with ectopia of Ն5 mm also had a “peglike” tonsil configuration. Patients w
Nov had significantly lower
the Chiari I Malformation AJNR Am J Neuroradiol 33:1901– 06 ͉ IIH 2012 ͉awww.ajnr.org 1901 tonsillar position (2.1 Ϯ 2.8 mm) than age-matched controls (0.7 Ϯ1.9 m

P Ͻ .05). The obex position was significantly lower in patients with IIH versus controls (Ϫ7.9 m
[above the FM] versus Ϫ9.4 mm [above the FM], P Ͻ .05). The prepontine width was not significan
different between the groups.

BACKGROUND AND PURPOSE: IIH is a syndrome of elevated intracranial pressure without hydrocephalus, mass, or identifiable cause. Diagnosis is made by clinical presentation, intracranial pressure
measurement, and supportive imaging findings. A subset of patients with IIH may have tonsillar
ectopia, meeting the criteria for Chiari malformation type I but not responding to surgical decompression for Chiari I. The purpose of this study was to determine the incidence and morphology of
cerebellar tonsillar ectopia in patients with IIH.

CONCLUSIONS: Cerebellar tonsil position in patients with IIH was significantly lower than that

MATERIALS AND METHODS: Forty-three patients with clinically confirmed IIH and 44 age-matched

age-matched controls, often times peglike, mimicking Chiari I. A significantly lower obex positi
suggests an inferiorly displaced brain stem and cerebellum. When tonsillar ectopia of Ͼ5 mm
RESULTS: Nine of 43 patients with IIH and 1/44 controls had cerebellar tonsillar ectopia of Ն5 mm. Five
identified, imaging and clinical consideration of IIH are warranted to avoid misdiagnosis as Chiari I

controls were included. Two neuroradiologists with CAQs reviewed sagittal T1-weighted MRI in a
blinded fashion and measured cerebellar tonsil and obex positions relative to the foramen magnum and
prepontine cistern width at the level of the midpons.
of 9 of patients with IIH with ectopia of Ն5 mm also had a “peglike” tonsil configuration. Patients with
IIH had a significantly lower tonsillar position (2.1 Ϯ 2.8 mm) than age-matched controls (0.7 Ϯ1.9 mm,
P Ͻ .05). The obex position was significantly lower in patients with IIH versus controls (Ϫ7.9 mm
[above the FM] versus Ϫ9.4 mm [above the FM], P Ͻ .05). The prepontine width was not significantly
different between the groups.
CONCLUSIONS: Cerebellar tonsil position in patients with IIH was significantly lower than that in

ABBREVIATIONS: CAQ ϭ Certificate of Added Qualification; CM ϭ Chiari malformation; FM ϭ
foramen magnum; ICP ϭ intracranial pressure; IIH ϭ idiopathic intracranial hypertension

(

age-matched controls, often times peglike, mimicking Chiari I. A significantly lower obex position
suggests an inferiorly displaced brain stem and cerebellum. When tonsillar ectopia of Ͼ5 mm is
identified, imaging and clinical consideration of IIH are warranted to avoid misdiagnosis as Chiari I.

I

ABBREVIATIONS: CAQ ϭ Certificate of Added Qualification; CM ϭ Chiari malformation; FM ϭ
foramen magnum; ICP ϭ intracranial pressure; IIH ϭ idiopathic intracranial hypertension

BRAIN

9,10

ORIGINAL RESEARCH

seudotumor cerebri, is a synated ICP with normal CSF comble cause.1 It has been proposed
elated to decreased CSF resorpoutflow and elevated venous
y still surrounds the significance
H as the cause or the result of
antly affects young overweight
en with a reported incidence of
2,3
Patients with IIH most comes, occurring in 68%–98%.2,4

IH, previously known as pseudotumor cerebri, is a syndrome characterized by elevated ICP with normal CSF com1
have been described. Theseno other identifiable cause. It has been proposed
position and include flattening of the posterior
sclera, tortuosity of the optic nerve sheath, empty sella synthat the elevated ICP venous be related to decreased CSF resorpdrome, and stenosis of the transverse may sinuses.
Therefore, imaging can aid in making or supporting the clintion due to impaired venous outflow and elevated venous
ical diagnosis in some cases, especially if clinicians are not as
familiar with the diagnosis. The incidence and morphology of
pressure; however, controversy still surrounds the significance
cerebellar tonsillar ectopia in IIH has not been previously described in the radiology literature, to our knowledge. IIH as the cause or the result of
of venous sinus stenosis in When
present, tonsillar ectopia in IIH may confuse the radiographic
elevated ICP.2 IIH commonly associated
picture and mimic other entities more predominantly affects young overweight
with tonsillar ectopia, such as Chiari I malformation and

have been described. These include flattening of the posteri
sclera, tortuosity of the optic nerve sheath, empty sella sy
drome, and stenosis of the transverse venous sinuses.9
Therefore, imaging can aid in making or supporting the cli
ical diagnosis in some cases, especially if clinicians are not
familiar with the diagnosis. The incidence and morphology
cerebellar tonsillar ectopia in IIH has not been previously d
scribed in the radiology literature, to our knowledge. Wh
MRI
Axial FLAIR
Thin ventricles
Tortuous optic nerves
MRI
Axial (or frontal) T2w : orbital exploration +++
—  Tortuous optic nerves (> 7O%)
—  Enlargement of peri optic subarachnoid space (70%)
—  Flattening of posterior globe (45%)
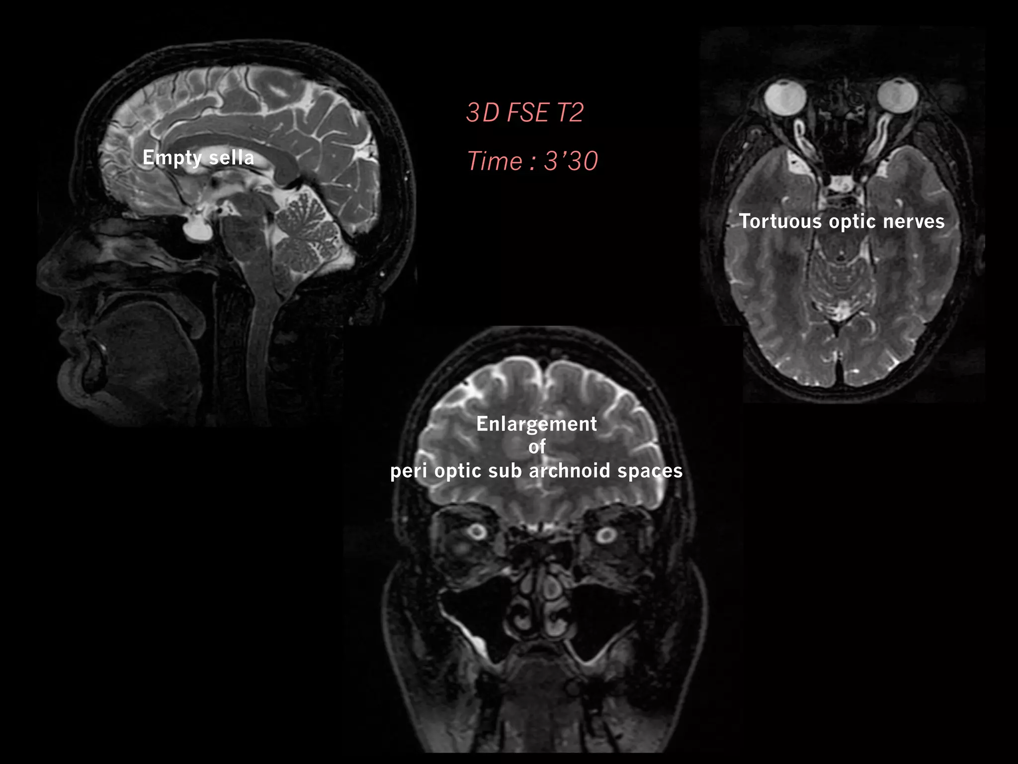
3D FSE T2
Empty sella

Time : 3’30
Tortuous optic nerves

Enlargement
of
peri optic sub archnoid spaces
Enlargement
of
peri optic sub archnoid spaces

Enlargement
of
Trijeminale cavum

Enlargement of sub archnoid spaces peri
oculo motor nerve
IIH and Veins
41 y.o woman. Headache. Bilateral pulsatile tinnitus.
Technical note
MR venography
=
Angio 3D with injection or Angio 4D (TRICKS, TWIST)

Old venous Thrombosis

Technical note
CT venography = excellent tool for vessels exploration
Stenosis :
Cause or effect of IIH ??

Neuroradiology (2008) 50:999–1004
DOI 10.1007/s00234-008-0431-5

DIAGNOSTIC NEURORADIOLOGY

The relationship of transverse sinus stenosis to bony groove
dimensions provides an insight into the aetiology
Neuroradiology (2008) 50:999–1004
of idiopathic intracranial hypertension

1003

Neuroradiology (2008) 50:999–1004
S. E. J. Connor & M. A. Siddiqui & V. R. Stewart &
E. A. M. O’Flynn
DOI 10.1007/s00234-008-0431-5

DIAGNOSTIC NEURORADIOLOGY
Received: 20 March 2008 / Accepted: 25 June 2008 / Published online: 12 July 2008
# Springer-Verlag 2008

3D Phase Contraste

subjects. There were a further 8/23 cases where the small or
Abstract
Introduction Transverse sinus tapered narrowings are freabsent sinus was associated with an absent bony groove.
Conclusion Transverse sinus tapered narrowings in subjects
quently identified in patients with idiopathic intracranial
without IIH and in the majority of patients with IIH were
hypertension (IIH); however, it remains unclear whether
associated with proportionately small or absent grooves,
they are primary stenoses or whether they occur secondary
and these are postulated to be primary or fixed. Some
to raised cerebrospinal fluid pressure. Computed tomopatients with IIH demonstrate tapered transverse sinus
graphic venography demonstrates both the morphology of
stenoses with disproportionately large bony grooves,
the venous system and the adjacent bony grooves so it may
occipital bone in an
Fig. 6 Reformatted image
suggesting secondary bone in an
provide an insight into the aetiologya of these transverse perpendicular toathe occipitalor acquired narrowing. This implies IIH subject at areamin demonstrates narrowing
IIH subject at areamin demonstrates narrowing withfor heightbone to sinus stenoses bone to heightsinus ratio of 1.6
a varied aetiology a the transverse with a heightof IIH.
sinus stenoses.
S. E. and methods Tapered A. Siddiquib,& cV.
heightsinus ratio of 2.2.
Reformatted images perpendicular to the
Materials J. Connor & M.transverse sinus narrow- R. Stewart &
ings (>50%) were studied in 19 patients without IIH and 14
Keywords Idiopathic intracranial hypertension . Computed
E. A. M. O’Flynn
further 8/23 cases where tomographic absent sinus was
actually stenosis
patients with IIH. Computed tomography vascular studies the small orvenography . Venous sinus . Vascularrepresents an expected increase in size of a primary
were reviewed and the dimensions of the with ansinuses bony groove. It is of note that
associated venous absent
narrowing as per the Monro–Kellie hypothesis. Studying
and bony grooves at the sites of maximum and stenoses have only previously been studied
venous sinuses minimum
the adjacent bony groove may provide further insight into
transverse sinus area dimensions weretime of clinical presentation or following intervention
Introduction
at the recorded.
the pre-morbid venous sinus appearances in such cases.
Results There was demonstrated to be a strong correlation
such as CSF drainage. It is possible that the observed July The
Received: 20 March 2008 / Accepted: 25 June 2008 / Publishedsinus stenoses are detectedstudy may be criticised since observers were not
online: 12
2008on neuroof bony groove height with venous sinus height at the
Bilateral transverse
“reversibility” of stenoses by lowering intracranial pressure
blinded with respect to the identification of IIH and non-IIH
# Springer-Verlag 2008
largest portions of the transverse sinus in both IIH patients
imaging studies in the majority of patients with idiopathic
data. these stenoses
and non-IIH subjects as well as at the transverse sinus
intracranial hypertension (IIH) [1–4]. Whether The non-IIH subjects could be recognised since CTA
studies were used
narrowing in non-IIH subjects. There was a discordant
are the cause or effect of raised cerebrospinal fluid (CSF) for the analysis. CTVs could not be used
relationship between bony groove height and venous sinus
pressure remains controversial. Some for the non-IIH data due to the potential high rate of
investigators have
subjects. There pathology. In addition, non-IIH where
Abstract site of transverse sinus stenoses in IIH proposed that primary fixed transverse sinus stenoses result were a further 8/23 casespatients the small or
height at the
associated venous
patients. In 5/23 IIH Transverse sinus tapered narrowings are fre- increased resistancean ideal “control” group with they absent bony groove.
Introduction transverse sinus stenoses, the bony in venous hypertension [4–6], absent not to CSF associated since an were being
were sinus was
groove height was proportionate to that seen in non-IIH
absorption
pressure [4,7]. This has
investigated Transverse sinus tapered narrowings
quently identified in patients with idiopathic and hence increased CSFConclusion forinneurological complaints; however, these in subjects
intracranial
led to the application of intravascular patients stenting
venous were considered to have a low likelihood of venous
patients with intractable IIH
a pressure IIH has
hypertension (IIH);: however, it remains unclear whether when withoutgradient and in the majority of patients with IIH were
S. E. J. Connor (*) : V. R. Stewart E. A. M. O’Flynn
been demonstrated across
stenoses
associated is Other
they are primary stenoses or whether they occur secondarysuchsinus Table[8–10]. with proportionately small or absent grooves,
1 Heightmore
Neuroradiology Department, Ruskin Wing,
bone /heightsinus for the areamin points in IIH patients.
authors suggest that transverse
narrowing

The relationship of transverse sinus stenosis to bony groove
dimensions provides an insight into the aetiology
of idiopathic intracranial hypertension
3D Phase Contraste

If suspicion of IIH, MR Venography is required +++

ehcuag te tiord esrevsnart sunis sed setru

seérres sesonéts ed noicipsuS

eiregamI

? eriatnemélpmo

King’s College Hospital,
Denmark Hill,
London SE5 9RS, UK
e-mail: Steve.Connor@kch.nhs.uk

to the these are for
to raised cerebrospinal fluid pressure. likely a secondary phenomenon due and raised intracranial postulated ofto be primary or fixed. Some
Computed tomoHeightbone /heightsinus
Number sinuses
pressure and resulting expansion
CSF and
the IIH with
patientsareamin points
graphic venography demonstrates both the morphologysupportedofby studies parenchymalIIH demonstrate tapered transverse sinus
of
compartments. This is
which have
gradient or the stenosis ratio 8
the venous system and the adjacent bonyrecorded a reversal it may
grooves so of the pressure stenoses with disproportionately large bony grooves,
0–indeterminate small
M. A. Siddiqui
following lumbar puncture or CSF diversion [6, 11–15]. It is
−3
Institute of Neurological Sciences, Southern General Hospital,
suggesting a that
or groove–small sinus
provide4TF, Scotland
an insight into the aetiology of these patients with transverse sinus stenoses secondaryabsentacquired narrowing. This implies
transverse
argued that
Glasgow G51
−5 absent groove–absent sinus
a varied aetiology for(aplastictransverse sinus stenoses of IIH.
the segment)
sinus stenoses.
Materials and methods Tapered transverse sinus narrowRatio 1.02–1.5 (range
5
ings (>50%) were studied in 19 patients without IIH and 14
Keywords subjects)
for non-IIH Idiopathic intracranial hypertension . Computed
patients with IIH. Computed tomography vascular studies
tomographic venography . Venous sinus . Vascular stenosis
Ratio >1.5
8
were reviewed and the dimensions of the venous sinuses
−4 cases demonstrated true
disproportionately large bony grooves
and bony grooves at the sites of maximum and minimum
−4 cases discordance could be explained
transverse sinus area dimensions were recorded.
Introduction
by the presence of associated draining

Angio 3D with injection
Diagnosis
Clinical diagnosis
+
MRI
ST1, AFlair, AT2, FrT2 or 3DFSET2
Venous MRA

+
Measuring inner cranium pressure
Pronostic
—  No lethal threat.
—  Visual functions threatened.
—  Headaches, Tinnitus…
Treatment

—  Medical

Angiographie veineuse cérébrale

—  Weight loss
—  Corticosteroids in acute phase : ?
Sténoses serrées des sinus transverses
—  Acetazolamide

droit et tinnitus
—  Improvement of headaches,gauche
Gradient de pression trans—  Iterative Lumbar puncture : ?

sténotique de 35mmHg à droite

—  If weakening of visual acuity persists:
—  Drains of CSF
—  Fenestration of the optic nerve sheath.

—  Interventional Vascular Therapy
—  Transverse sinuses angioplasty
Intravenous pressure measurements
with abrupt pressure gradient > 10 mmHg
Angioplastie de la
sténose droite au ballon
Conclusion (1)
IIC

IC Hypotension

—  Orthostatic Headache
—  Global and diffuse

enhancement of dura
mater

Venous congestion

—  TTT : blood patch

—  Headache, visual troubles,
tinnitus

—  Empty sellae, enlargment
of CSF resorption ways
(peri optic)

—  TTT to preserve visual
functions
Conclusion (2)
Technical Notes
IIC

IC Hypotension
Sagittal T1W

3D FSE T2 sat fat
MR Myelography ???

3D Flair
MR venography
Neurology advanced csf jl sarrazin

Neurology advanced csf jl sarrazin

  • 1.
    Cerebro Spinal Fluid(CSF) Intracranial Hypotension Idiopathic Intracranial Hypertension JL Sarrazin Hôpital Américain de Paris, Hôpital de Bicêtre
  • 2.
    Cerebro Spinal Fluid(CSF) Locating CSF Extra axial In the Ventricles In the sub ararachnoid space (SAS) between the arachnoid membran and the pia mater 25 cm3 In the cistern (encephalic and spinal) 125 cm3 150 cm3
  • 3.
    Sub arachnoid space DURAMATER CSF ARACHNOID PIA MATER
  • 4.
    CSF Extra axial : — Sub arachnoid space —  Cisterns —  Cisterna Magna —  Interpeduncular cistern —  Ambient citern —  —  Peripontine cistern Pontocerebellar cistern
  • 5.
    CSF The ventricles —  V1and V2 (lateral ventricles) are linked to V3 through the foramen of Monroe —  V3 is linked to V4 through the mesencephalic aqueduct —  V4 is linked with the cisterns through —  the Luschka foramens lateraly —  The Magendie foramen medialy —  Only meninx : pia mater
  • 6.
    Production of CSF 20cm3/h or 500 à 600 cm3 every 24 hours CSF is produced: Mainly in the choroid plexus area A lesser amount is produced in the capillaries of the spinal and encephalic sub arachnoid space A small amount starts from the intraparenchymal vessels to join the encephalic sub arachnoid space through the Virchow-Robin perivascular spaces
  • 7.
    roduction du LCR Acétazolamine AC HCOHCO- actif Cl- CO2 H2CO3 Cl- H+ H2O H2O H2O 3Na+ H2O 2 K+ 2 Na+ ATP actif + 2K Na/K ATPase 3 Na+ H+ 2 Na+ 3’-5’ AMPc Fibres -adrénergiques passif Ouabaïne Choroid epithelium : brush border 10 epithelial cells spread on a basement 10 membrane The junction between the cells is not a100 % tight and the capillaries are fenestrated : exchanges between blood and interstitial fluid are free
  • 8.
    Composition of CSF — Maintains the physico-chemical environment constant in the brain —  Fluid —  Clear, pH = 7,3 —  3 à 5 lymphocytes/cm3 —  The CSF composition is different from that of the plasma. Plasma CSF Na+ 150 mmol/l 147 mmol/l K+ 4,6 mmol/l 2,8 mol/l Ca++ 1,8 mmol/l 1,1mmol/l Cl- 115 mmol/l 130 mmol/l HCO  3- 26 mmol/l 22 mmol/l pH 7,4 7,3 PCO2 45 mmHg 50 mmHg Proteins 8g/100ml 0,02 g/100ml
  • 9.
  • 10.
    Resorption of CSF — Passive flow from production area to clearance area. —  Flowrate: 20 cm3/h. —  Renewal: 3 times a day. —  The CSF flows through the dural sinuses, the spinal veins, and in a lesser part in the lymph along the nerves 4/5 of the CSF —  1/5 is eliminated in the spinal area
  • 11.
    Dural Sinuses andArachnoid granulations (Pacchioni’s granulations) Hernias of the arachnoid in the dural sinuses Small « safety valves » responds passively by hydrostatic or osmotic pressure difference ICP>ISP ICP<ISP
  • 12.
  • 13.
    Role of CSF — Mechanical protection of the brain and the spinal cord —  +++ Role in cerebral homeostasis by holding a ionic equilibrium, allowing the flow of active molecules and the removal of catabolite
  • 14.
    Stories of twowomen ……. with headaches
  • 15.
    29 y.o tall,thin woman. Thoracic back pain after heavy weight lifting, 1 week ago. Severe daylies Headaches
  • 16.
    Clinical question :Are they orthostatic headaches? Global thickening and enhancement of dura mater Sub dural fluid collection
  • 17.
  • 18.
    Intracranial hypotension —  CSFleak, with volume loss of that fluid —  Monroe Kelly principle : —  Brain vol + Blood vol + CSF vol = constant —  Decreasing of CSF = Increasing of blood volume Cerebral and spinal venous congestion
  • 19.
    Secondary Intracranial hypotension Dural breach — Lumbar punction, spinal anesthesia, myelography —  Accidental punction of dura mater —  Medullary or cranial trauma 15% after Traumatic Brachial plexus injury —  Cranial or spinal surgery —  Excessive flow rate in derivation —  Erosive lesions brachial plexus injury with traumatic Clinical article J Neurosurg 118:149–154, 2013 ©AANS, 2013
  • 20.
    Idiopathic Hypotension —  Defined20 years ago. Scarce, but its frequency is under estimated. Prevalence: 1/500000 —  Slim, tall, young woman —  F/M ratio : 3/1 —  Average age: 37-42 y.o (extreme: from15 to 76) y.o —  Aetiologies —  Minor trauma (sneezing, coughs, violent sport moves ) —  Pre-existing anomalies: Tarlov cysts, meningeal diverticula —  Disease of the connective tissue (Marfan type).
  • 21.
    The main symptom ORTHOSTATICheadaches —  Orthostatism : the Headache appears within less than 15 minutes —  Decubitus : the headache disappears within 30 minutes Uninterrupted, not pulsating, growing along with orthostatism, with neck pains and feelings of neck and shoulder tensions headaches Intensifying with head moves, coughing and sneezing shocks . ….Valsalva maneuver Variable ways to start, mostly in a progressive way, sometimes in a brutal way Downward shift of cerebral structures causing headaches by the pulling on anchoring structures in brain’s dura mater
  • 22.
    Other clinical symptoms — Neck stiffness —  Nausea and vomiting 30% —  Visual troubles : diplopia mostly through VI (Abducens nerve) —  Hearing and vestibulary troubles : tinnitus, dizziness (less frequent)
  • 23.
    CSF Analysis —  Decreasedpressure < 60 mm of water… sometimes normal —  Hyper proteinorachia, important sometimes —  Lymphoticpleocytocis —  Normal Glycorrhachia —  this set offers less interest since MRI
  • 24.
  • 25.
  • 26.
    Thickening of duramater —  Thickening and enhancement of dura mater, equally spread, supra and infra tentorial areas —  Leptomeninges untouched —  Might be due to dilation of dura mater veins
  • 27.
  • 28.
    Differential diagnosis —  Posttraumatic —  Infection Tuberculosis (leptomeninges are often involved) —  Inflammation Sarcoidosis, Wegener’s, PR —  Tumor Meningiomatosis, metastasis, lymphoma
  • 29.
    Dura Mater :Hyper intense on sequence FLAIR Technical note : Flair always essential sequence 2D or 3D +++
  • 30.
  • 31.
    Collections and sub-duralhematoma SDHematoma caused by ripping off of arachnoid granulations («Pacchioni’s granulations ») 
  • 32.
    brain. In paompensatefor henomenon is ts in a characThis contour verse sinus on s of the brain. inary fashion. agittal images ansverse sinus include the following: diffuse headache that worsens within 15 minutes after sitting or standing; evidence of low CSF pressure on MR imaging; and spontaneous headache resolution or within several days after epidural blood patch (EBP). Fifteen IH patients (IHPs) with complete MR imaging at presentation were identified and included 13 women and 2 men with an overall average age of 46 years. Of the 15 patients with confirmed IH, 12 presented with primary SIH, 2 presented after lumbar puncture, and 1 after a spinal anesthetic procedure. All 15 of the IHPs provided the typical clinical presentation of orthostatic headaches, as well as characteristic findings at gadolinium-enhanced MR imaging of the brain. Nine of the 15 went on to have EBP treatment, 4 had spontaneous resolution of their symptoms, and 2 were lost to follow-up. Follow-up MR imaging of the brain was available in 10 of the 15 IHPs. Congestion of veins 7. Division of Neurontario, Canada; and uebec, Canada. niversity of Toronto. Pituitary gland and stalk Retroclival veins Control Patients Eighty consecutive potential control patients (CPs) were recruited from the population of cancer patients at our institution who were undergoing screening for intracranial metastatic Venous Distension Sign: A DiagnosticofSigndisease. These of patients had no clinical signs or symptoms neurologic disease. logy, Department of New East Wing 3MC .farb@utoronto.ca The Intracranial Hypotension at MR Imaging of the AJNR Am J Neuroradiol 28:1489 –93 ͉ Sep 2007 ͉ www.ajnr.org Brain 1489 BACKGROUND AND PURPOSE: Patients with intracranial hypotension (IH) demonstrate intracranial venous enlargement with a characteristic change in contour of the transverse sinus seen on routine T1-weighted sagittal imaging. In IH, the inferior margin of the midportion of the dominant transverse sinus acquires a distended convex appearance; we have termed this the venous distension sign (VDS). This is distinct from the normal appearance of this segment, which usually has a slightly concave or straight lower margin. This sign is introduced, and its performance as a test for the presence of this disease is evaluated. MATERIALS AND METHODS: The transverse sinuses on T1-weighted sagittal imaging of 15 patients with IH and 15 control patients were independently assessed in a blinded fashion by 3 readers for the presence of a VDS. A present or absent VDS was determined for each patient by each reader, and a consensus result for each patient was determined by unanimity or majority rule. RESULTS: Using the VDS, the readers correctly identified 93% (14 of 15) of the IH patients and similarly 93% (14 of 15) of the control patients. There was a high rate of agreement among the readers for the interpretation of the VDS (multirater ␬ ϭ 0.82). The overall sensitivity of the VDS for the diagnosis of intracranial hypotension was 94%. Specificity was also 94%. 3D Flair +++ Shifting downward of structures CONCLUSION: The VDS appears to be an accurate test for the presence or absence of IH and may be helpful in the evaluation of these patients. normally has a concave or straight inferior border (Fig 1). In cases of IH, the inferior border acquires a distended appearance with a convex bulging of its inferior border (a VDS, as in Figs 2 and 3). The purpose of this paper is to report this sign and evaluate its performance in a controlled trial for identifying patients with IH and differentiating them from normal age- and sex-matched control subjects. Chiasma BRAIN (IH) is a syndrome of variable etiions, and MR imaging appearances e of CSF volume depletion and retic pressure.1-7 The syndrome of ypically presents with orthostatic MR findings and most commonly leak of CSF from the spinal thecal include “over shunting” associated ures, as well as continued leaks after mbar punctures. Many characterisassociated with IH regardless of its Cerebellar tonsils Materials and Methods Patients with IH Less frequent maging of patients presenting to our identified a highly reliable novel imof IH. We have termed this sign the VDS) and evaluated for it on routine eighted imaging of the brain. In pauses enlarge as they compensate for volume.2,7,13,14 This phenomenon is A retrospective review of clinical and imaging records was carried out to identify patients evaluated for IH at our institution from February 2001 to September 2005. Criteria used in this study to firmly establish the diagnosis of IH were similar to those reported previously for SIH2,15 and include the following: diffuse headache that worsens within 15 minutes after sitting or standing; evidence of low CSF pressure on MR imaging; ORIGINAL RESEARCH Institutional review board approval was obtained for this project.
  • 33.
    MRI o  Global enhancementof dura mater o  Sub dural collection o  Venous congestion Ø  Pituitary gland and pituitary stalk Ø  Retroclival veins o  Cranio caudal shift Ø  Chiasma, Cerebellar tonsils
  • 34.
    Causative investigation —  Causeidentified Lumbar punction, surgical operation —  « Idiopathic » process •  Minor trauma, sneezing, violent cough, sudden sports effort •  «Anatomical « fragility » of meninges: peri radicular cysts , meningeal diverticula,Tarlov cysts, meningocele •  Inherited/genetic: Marfan, NF1, Ehlers-Danlos… —  Never (or very scarce) at level of skull base J Neurosurg 116:749–754, 2012
  • 35.
    graded as “classic”if both pachymeningeal enhanc of the brain were present (Fig 1). Brain MR ima From the Department of Neuroradiology, Mayo Clinic, Rochester, Minnesota. “equivocal” if pachymeningeal enhancement with Paper previously presented at: 49th Annual Meeting of the American Society of Neurora“brain sag” without pachymeningeal enhancemen diology, June 4 –9, 2011; Seattle, Washington. MR imaging was graded as negative if neither p Please address correspondence to Patrick H. Luetmer, MD, Department of Neuroradiology, IsotopicSttransit MN 55905; e-mail: luetmer.patrick@mayo.edu Mayo Clinic, 200 1st SW, Rochester, The Role ofhancement nor sagging brain was present. For ea MR Myelography with Intrathecal Neuroradiology (2012) 54:1367–1373 http://dx.doi.org/10.3174/ajnr.A2815 Gadolinium in the presence of Spinal CSF Leaks DOI 10.1007/s00234-012-1055-3ing,Localizationor absence of extradural fluid was Received May 10, 2011; accepted after revision June 25. Causative investigation = Spinal cord exploration —  —  Myelo CT ORIGINAL RESEARCH —  Spinal cord MRI in Patients with Spontaneous Intracranial Hypotension AJNR Am J Neuroradiol 33:535– 40 ͉ Mar 2012 ͉ w INTERVENTIONAL NEURORADIOLOGY Detection and treatment of spinal CSF leaks in idiopathic intracranial hypotension J.J. Akbar BACKGROUND AND PURPOSE: Localization of spinal CSF leaks in CSF hypovolemia is critical in directing focal therapy. In this retrospective review, our aim was to determine whether GdM was P.H. Luetmer helpful in confirming and localizing spinal CSF leaks in patients in whom no leak was identified on a Neuroradiology (2012) 54:1367–1373 K.M. Schwartz prior CTM. DOI 10.1007/s00234-012-1055-3 C.H. Hunt MATERIALS AND METHODS: & C. Musahl & G. F.E. Diehn Albes & H. Weng & D. Horvath Forty-one symptomatic patients with clinical suspicion of SIH were referred Henkes H. Bäzner & H. for GdM after undergoing at least 1 CTM between February 2002 and August 2010. A L.J. Eckel retrospective review of the imaging and electronic medical records was performed on each patient. Ø  Myelo MR Ø  Axial +/- T2 weighted sequence ü  Spin echo sat fat ü  « T2 » High resolution (Fiesta, CISS, drive) ü  3D FSE T2 Sat Fat INTERVENTIONAL NEURORAD RESULTS: In 17 of the 41 patients (41%), GdM was performed for follow-up of a previously docu- mented leak at CTM. In the remaining 24 patients (59%), in whom GdM was performed for a suspected CSF leak, which was not identified on CTM, GdM localized the CSF leak in 5 of 24 patients (21%). In 1 of these 5 patients, GdM detected the site of leak despite negative findings on brain MR Received: 11 March 2012 MR imaging,June 2012 / Published online: 6 JulySixteen of 17 patients with previously imaging, spine / Accepted: 8 and CTM of the entire spine. 2012 # Springer-Verlag leaks underwent interval treatment, and leaks were again identified in 12 of 17 (71%). identified 2012 Detection and treatm intracranial hypotens CONCLUSIONS: GdM is a useful technique in the highly select group of patients who have debilitating symptoms of SIH, a high clinical index of suspicion of spinalAdjacent to the level(s) of theleak on CSF leak, and no demonstrated detected CSF le Abstract conventional CTM. aimed to injection the diagnostic Introduction This study Intrathecal evaluate of gadolinium contrast remains an off-label useof fresh venous blood w the nerve roots, 20 cc and should be reserved for those patients who of patients with idiimaging findings and treatment resultsfail conventional CTM. Gadovist was injected epidurally (blood patch opathic intracranial hypotension (IIH) due to cerebrospinal distribution of the BP was visualized by MRI th ABBREVIATIONS: CTM ϭ CT myelography; GdM ϭ intrathecal gadolinium MR myelography; In111fluid (CSF) leaks. day. Treatment results were evaluated clinica DTPA ϭ indium-111 diethylene triamine pentaacetic acid; SIH ϭ spontaneous intracranial hypotenMethods Between February 2009 and April 2012, 26 IIH myelography 2 weeks after the application & & & sion; SPGR ϭ spoiled gradient-recalled-echo patients (15 men, median age 49 years) presenting with Retreatment was offered to patients with persis & orthostatic headache (n020) and/or with spontaneous subtoms and continued CSF leakage. dural effusions or subarachnoid hemorrhage (n019) were Results CSF leaks were detected at the cervic Materials and CT IH is a debilitating syndromeTwenty-three patients underwent a whole spine Methods enrolled. classically characterized by thoracic (n025), or lumbar (n021) spine. In 2 orthostatic headaches, low CSF pressure, starting 45 min after the intrathecal Approval of the institutional review board with waived consent was affected. O and MRI myelography, and diffuse more than one spinal segment was pachymeningeal gadolinium enhancement on MR imaging.1 300 M) and 1this Health refused treatment. BP were applied in one (n09 Insurance Portability and Accountability injection of 9 cc of iomeprol (Imeron obtained for cc of First-line treatment for patients with this condition is conserAct— compliant retrospective research study. A searchand/orradiolgadobutrolum (Gadovist). Three patients only underwent (n016) levels. Clinical of the radiological im 2 vative therapy or large-volume lumbar epidural blood patch.gadobutrolum injection. between Februaryafter one August 2010 reogy information system was achieved 2002 and (n016), two (n05), thre MR myelography after intrathecal Further treatment, however, including targeted epidural trieved a total of 164 patients who were referred for myelography for five (n01) BPs. blood patches, fibrin glue injections, and open surgical repairs the Deutsche Gesellschaft these, 41 patients underwent GdM after under- allow the evaluation of SIH. Of Conclusion CT and MRI myelography Presented in part at the Annual Meeting of may be necessary. Each of these focal therapies requires precise least 1 CTM. If 11 March 2012 on a single patient, 8 June 2 für Neuroradiologie (DGNR) Cologne 2011. going at Received: Ͼ1 GdM of spinal CSF leaks. The targeted and eventu tection was performed / Accepted: localization of the CSF leak. Current standard radiologic techonly the# examination ed epidural BP procedure Noaother casesefficacious first Springer-Verlag 2012 study. is safe and was evaluated in our G. Albes : D. Horvath : H. Henkes (*) niques used to evaluate Klinik für Neuroradiologie, Klinikum Stuttgart, were excluded. spinal CSF leaks in these patients include conventional CTM, dynamic CT 60, Kriegsbergstrasse myelography, radioImaging examinationsKeywords Idiopathic intracranial hypotension . O reviewed included prior brain MR imag70174 Stuttgart, Germany nuclide cisternography, and conventional spine MR imaging. ing, spine MR imaging, CTM (standard or dynamic16), nuclear medheadache . SAH . Spinal CSF leak . Epidural bloo e-mail: hhhenkes@aol.com GdM has been reported in small series and case reports to be a icine In111-DTPA cisternography, and GdM. All imaging studies and useful adjunct in localization of CSF leaks in the difficult sub- SPINE G. Albes H. Weng D. Horvath C. H. Bäzner H. Henkes S ORIGINAL RESEARCH 3D FSE T2 sat fat Abstract
  • 36.
    Spinal cord MRI Causativeinvestigation Meningeal diverticula . .. Level of leakage Congestion of venous plexuses Fluid collection in the epidural space Collapsing of dural sac AJNR Am J Neuroradiol 23:618–621, April 2002
  • 37.
    Complications —  Subdural hematoma — Thrombophlebitis —  Intracranial hypertension
  • 38.
    TREATMENT Decubitus, hydratation, abdominalstrapping Blood patch Standard practice : in L3L4 or L4L5 Or at the breach level if location of breach can be seen or known Injection of 10 to 40 ml (incurring low back pain) Decubitus for two hours, no forceful exercise for 3 weeks Way of working Initial mass effect (immediate effect), vasoconstrictor effect Fibrin clot plugs up the breach Results 56% success rate after 2 blood patches MG Bousser 33 patients 90% immediate efficiency: , 57% sustainable effect for 1 BP 77% for 2 BP , .s’
  • 40.
    Empty sella Thin Ventricles Tortuousoptic nerves 41 y.o woman. Headache. Bilateral pulsatile tinnitus. Enlargement of peri optic sub archnoid spaces Tortuous optic nerves Enlargement of peri optic sub archnoid spaces
  • 41.
    Empty sella Thin Ventricles Tortuousoptic nerves Idiopathic intra cranial Hypertension Enlargement of peri optic sub archnoid spaces Tortuous optic nerves Enlargement of peri optic sub archnoid spaces
  • 42.
  • 43.
    Idiopathic intracranial Hypertension Dandy(1937) Pseudo tumor cerebri ü  Rise of intracranial pressure ü  Normal composition of CSF ü  No tumor Current criteria —  1 patient fully aware ü  with a normal neurological examination or ü  Papilledema ü  Widening of blind spot ü  Decreasing of visual field ü  Paralysis of VI —  2 Rise of pressure of CSF > 200 mmH2O (205 in obese patients). Normal (lateral decubitus) 100 à 200 mmH2O —  3 Normal composition of CSF (minor hyperproteinorachia may happen) —  4 No intracranial or medullar (tumoral) pathology —  5 No metabolic, toxic, or hormonal cause
  • 44.
    Epidemiology —  Sex ratio:Female >>> Male —  Frequency ü  0,034/100.000 men/year ü  2,7/100.000 women/year ü  21,4/100.000 obese women/year —  May happen but scarce in children
  • 45.
    Etiological factors Toxic drugs Endocrinology Haematology Variousfactors Tetracycline Pregnancy Anemia Lupus Doxycycline Infertility Hypercoagulability Behçet’s disease Nitrofurantoin Oral contraceptives Thrombocytopenia Lyme disease Penicillin Turner’s syndrome Myeloma Respiratory Insufficiency Corticoids Obesity High Blood Pressure Lithium Hypo/ hypervitaminosis A insecticides Amiodarone Hypo/hyper thyroidism Tobacco smoking Tamoxifen Hyperaldosteronism Sleeping apnea
  • 46.
    Clinical features Not alwaysconclusive Unspecified headaches (90-94%) Sometimes with nausea and vomiting Ophtalmological clues (68-85%) Weakening of visual acuity (Edema of Impairments of visual field Dizziness, pulsatile tinnitus (60%) Obesity: risk factor optic disk, edema of fundus)
  • 47.
    MRI Ruling out tumor pathology Confirmingdiagnosis: etiologic investigation —  Median line: sagittal T1 —  Flair —  T2* —  Diffusion —  +/- injection —  Ventricles: axial or frontal T2/ Flair —  Orbits : optic nerves : T2W sequence HR or 3D FSE T2 —  Veins : venous MR Angiography
  • 48.
    de pain, pulsatiletinnitus, and vin lead to blindness.2,5 Treatment n, acetazolamide, and surgical inhunt surgery.6-8 l diagnosis based on normal CSF d opening pressure (Ͼ20 cm H2O 25 cm H2O in obese patients with pportive neuroimaging findings the Chiari I Malformation with tonsillar ectopia, such as Chiari I malformation and RESEARCH spontaneous intracranial hypotension. Chiari I malformation is characterized by caudal protrusion of “peg-shaped” cerebellar tonsils below the foramen.11,12 A.H. Aiken BACKGROUND Chiari I malformation is defined radiographically AND infeas an PURPOSE: IIH is a syndrome of elevated intracranial pressure without hydrocep alus, mass,Ն5 mm below or identifiable cause. Diagnosis is made by clinical presentation, intracranial pressu rior displacement of the cerebellar tonsils of J.A. Hoots the opisthion-basion line.13,14 Inmeasurement, cerebellar the healthy adult, and supportive imaging findings. A subset of patients with IIH may have tonsil A.M. Saindane tonsils are rarely Ͼ3 mm below the foramen magnum. Paectopia, meeting the criteria for Chiari malformation type I but not responding to surgical decompre P.A. Hudgins tients with the radiographic appearancefor(the I malformasion of Chiari first sequenceof this study almost) Brain MRI) Chiari I. The purpose for all (or was to determine the incidence and morphology tion can be asymptomatic, but the most common clinical cerebellar tonsillar ectopia in patients with IIH. symptoms include headache, neck pain, vertigo, sensory changes, and poor coordination. Therefore, clinical symptoms MATERIALS AND METHODS: Forty-three patients with clinically confirmed IIH and 44 age-match may overlap IIH.11 Chiari I malformation is also associated controls were included. Two neuroradiologists with CAQs reviewed sagittal T1-weighted MRI in with abnormal CSF flow, which can lead to syringomyelia. blinded surgical and measured cerebellar tonsil and obex positions relative to the foramen magnum a Treatment of Chiari I consists primarily offashion hindbrain prepontine to restore nordecompression with suboccipital craniectomy cistern width at the level of the midpons. mal flow at the foramen magnum.15 Tonsillar Ectopia in RESULTS: Nine of subset Previous studies in the surgical literature describe a 43 patients with IIH and 1/44 controls had cerebellar tonsillar ectopia of Ն5 mm. Fi MRI Sagittal T1w sequence ter revision January 12, 2012. -Empty (or partially empty) sella : longstanding effects d Imaging Sciences, Emory University, Atlanta, ual Meeting of the American Society of Neurorangton. - downward displacement of chiasma and/or cerebellar tonsils (20%) ey H. Aiken, MD, Radiology Department, Emory Suite BG 26, Atlanta, GA 30322; e-mail: Incidence of Cerebellar Idiopathic Intracranial Hypertension: A Mimic of of 9 of patients with IIH with ectopia of Ն5 mm also had a “peglike” tonsil configuration. Patients w Nov had significantly lower the Chiari I Malformation AJNR Am J Neuroradiol 33:1901– 06 ͉ IIH 2012 ͉awww.ajnr.org 1901 tonsillar position (2.1 Ϯ 2.8 mm) than age-matched controls (0.7 Ϯ1.9 m P Ͻ .05). The obex position was significantly lower in patients with IIH versus controls (Ϫ7.9 m [above the FM] versus Ϫ9.4 mm [above the FM], P Ͻ .05). The prepontine width was not significan different between the groups. BACKGROUND AND PURPOSE: IIH is a syndrome of elevated intracranial pressure without hydrocephalus, mass, or identifiable cause. Diagnosis is made by clinical presentation, intracranial pressure measurement, and supportive imaging findings. A subset of patients with IIH may have tonsillar ectopia, meeting the criteria for Chiari malformation type I but not responding to surgical decompression for Chiari I. The purpose of this study was to determine the incidence and morphology of cerebellar tonsillar ectopia in patients with IIH. CONCLUSIONS: Cerebellar tonsil position in patients with IIH was significantly lower than that MATERIALS AND METHODS: Forty-three patients with clinically confirmed IIH and 44 age-matched age-matched controls, often times peglike, mimicking Chiari I. A significantly lower obex positi suggests an inferiorly displaced brain stem and cerebellum. When tonsillar ectopia of Ͼ5 mm RESULTS: Nine of 43 patients with IIH and 1/44 controls had cerebellar tonsillar ectopia of Ն5 mm. Five identified, imaging and clinical consideration of IIH are warranted to avoid misdiagnosis as Chiari I controls were included. Two neuroradiologists with CAQs reviewed sagittal T1-weighted MRI in a blinded fashion and measured cerebellar tonsil and obex positions relative to the foramen magnum and prepontine cistern width at the level of the midpons. of 9 of patients with IIH with ectopia of Ն5 mm also had a “peglike” tonsil configuration. Patients with IIH had a significantly lower tonsillar position (2.1 Ϯ 2.8 mm) than age-matched controls (0.7 Ϯ1.9 mm, P Ͻ .05). The obex position was significantly lower in patients with IIH versus controls (Ϫ7.9 mm [above the FM] versus Ϫ9.4 mm [above the FM], P Ͻ .05). The prepontine width was not significantly different between the groups. CONCLUSIONS: Cerebellar tonsil position in patients with IIH was significantly lower than that in ABBREVIATIONS: CAQ ϭ Certificate of Added Qualification; CM ϭ Chiari malformation; FM ϭ foramen magnum; ICP ϭ intracranial pressure; IIH ϭ idiopathic intracranial hypertension ( age-matched controls, often times peglike, mimicking Chiari I. A significantly lower obex position suggests an inferiorly displaced brain stem and cerebellum. When tonsillar ectopia of Ͼ5 mm is identified, imaging and clinical consideration of IIH are warranted to avoid misdiagnosis as Chiari I. I ABBREVIATIONS: CAQ ϭ Certificate of Added Qualification; CM ϭ Chiari malformation; FM ϭ foramen magnum; ICP ϭ intracranial pressure; IIH ϭ idiopathic intracranial hypertension BRAIN 9,10 ORIGINAL RESEARCH seudotumor cerebri, is a synated ICP with normal CSF comble cause.1 It has been proposed elated to decreased CSF resorpoutflow and elevated venous y still surrounds the significance H as the cause or the result of antly affects young overweight en with a reported incidence of 2,3 Patients with IIH most comes, occurring in 68%–98%.2,4 IH, previously known as pseudotumor cerebri, is a syndrome characterized by elevated ICP with normal CSF com1 have been described. Theseno other identifiable cause. It has been proposed position and include flattening of the posterior sclera, tortuosity of the optic nerve sheath, empty sella synthat the elevated ICP venous be related to decreased CSF resorpdrome, and stenosis of the transverse may sinuses. Therefore, imaging can aid in making or supporting the clintion due to impaired venous outflow and elevated venous ical diagnosis in some cases, especially if clinicians are not as familiar with the diagnosis. The incidence and morphology of pressure; however, controversy still surrounds the significance cerebellar tonsillar ectopia in IIH has not been previously described in the radiology literature, to our knowledge. IIH as the cause or the result of of venous sinus stenosis in When present, tonsillar ectopia in IIH may confuse the radiographic elevated ICP.2 IIH commonly associated picture and mimic other entities more predominantly affects young overweight with tonsillar ectopia, such as Chiari I malformation and have been described. These include flattening of the posteri sclera, tortuosity of the optic nerve sheath, empty sella sy drome, and stenosis of the transverse venous sinuses.9 Therefore, imaging can aid in making or supporting the cli ical diagnosis in some cases, especially if clinicians are not familiar with the diagnosis. The incidence and morphology cerebellar tonsillar ectopia in IIH has not been previously d scribed in the radiology literature, to our knowledge. Wh
  • 49.
  • 50.
    MRI Axial (or frontal)T2w : orbital exploration +++ —  Tortuous optic nerves (> 7O%) —  Enlargement of peri optic subarachnoid space (70%) —  Flattening of posterior globe (45%)
  • 51.
    3D FSE T2 Emptysella Time : 3’30 Tortuous optic nerves Enlargement of peri optic sub archnoid spaces
  • 52.
    Enlargement of peri optic subarchnoid spaces Enlargement of Trijeminale cavum Enlargement of sub archnoid spaces peri oculo motor nerve
  • 53.
  • 54.
    41 y.o woman.Headache. Bilateral pulsatile tinnitus.
  • 55.
    Technical note MR venography = Angio3D with injection or Angio 4D (TRICKS, TWIST) Old venous Thrombosis Technical note CT venography = excellent tool for vessels exploration
  • 56.
    Stenosis : Cause oreffect of IIH ?? Neuroradiology (2008) 50:999–1004 DOI 10.1007/s00234-008-0431-5 DIAGNOSTIC NEURORADIOLOGY The relationship of transverse sinus stenosis to bony groove dimensions provides an insight into the aetiology Neuroradiology (2008) 50:999–1004 of idiopathic intracranial hypertension 1003 Neuroradiology (2008) 50:999–1004 S. E. J. Connor & M. A. Siddiqui & V. R. Stewart & E. A. M. O’Flynn DOI 10.1007/s00234-008-0431-5 DIAGNOSTIC NEURORADIOLOGY Received: 20 March 2008 / Accepted: 25 June 2008 / Published online: 12 July 2008 # Springer-Verlag 2008 3D Phase Contraste subjects. There were a further 8/23 cases where the small or Abstract Introduction Transverse sinus tapered narrowings are freabsent sinus was associated with an absent bony groove. Conclusion Transverse sinus tapered narrowings in subjects quently identified in patients with idiopathic intracranial without IIH and in the majority of patients with IIH were hypertension (IIH); however, it remains unclear whether associated with proportionately small or absent grooves, they are primary stenoses or whether they occur secondary and these are postulated to be primary or fixed. Some to raised cerebrospinal fluid pressure. Computed tomopatients with IIH demonstrate tapered transverse sinus graphic venography demonstrates both the morphology of stenoses with disproportionately large bony grooves, the venous system and the adjacent bony grooves so it may occipital bone in an Fig. 6 Reformatted image suggesting secondary bone in an provide an insight into the aetiologya of these transverse perpendicular toathe occipitalor acquired narrowing. This implies IIH subject at areamin demonstrates narrowing IIH subject at areamin demonstrates narrowing withfor heightbone to sinus stenoses bone to heightsinus ratio of 1.6 a varied aetiology a the transverse with a heightof IIH. sinus stenoses. S. E. and methods Tapered A. Siddiquib,& cV. heightsinus ratio of 2.2. Reformatted images perpendicular to the Materials J. Connor & M.transverse sinus narrow- R. Stewart & ings (>50%) were studied in 19 patients without IIH and 14 Keywords Idiopathic intracranial hypertension . Computed E. A. M. O’Flynn further 8/23 cases where tomographic absent sinus was actually stenosis patients with IIH. Computed tomography vascular studies the small orvenography . Venous sinus . Vascularrepresents an expected increase in size of a primary were reviewed and the dimensions of the with ansinuses bony groove. It is of note that associated venous absent narrowing as per the Monro–Kellie hypothesis. Studying and bony grooves at the sites of maximum and stenoses have only previously been studied venous sinuses minimum the adjacent bony groove may provide further insight into transverse sinus area dimensions weretime of clinical presentation or following intervention Introduction at the recorded. the pre-morbid venous sinus appearances in such cases. Results There was demonstrated to be a strong correlation such as CSF drainage. It is possible that the observed July The Received: 20 March 2008 / Accepted: 25 June 2008 / Publishedsinus stenoses are detectedstudy may be criticised since observers were not online: 12 2008on neuroof bony groove height with venous sinus height at the Bilateral transverse “reversibility” of stenoses by lowering intracranial pressure blinded with respect to the identification of IIH and non-IIH # Springer-Verlag 2008 largest portions of the transverse sinus in both IIH patients imaging studies in the majority of patients with idiopathic data. these stenoses and non-IIH subjects as well as at the transverse sinus intracranial hypertension (IIH) [1–4]. Whether The non-IIH subjects could be recognised since CTA studies were used narrowing in non-IIH subjects. There was a discordant are the cause or effect of raised cerebrospinal fluid (CSF) for the analysis. CTVs could not be used relationship between bony groove height and venous sinus pressure remains controversial. Some for the non-IIH data due to the potential high rate of investigators have subjects. There pathology. In addition, non-IIH where Abstract site of transverse sinus stenoses in IIH proposed that primary fixed transverse sinus stenoses result were a further 8/23 casespatients the small or height at the associated venous patients. In 5/23 IIH Transverse sinus tapered narrowings are fre- increased resistancean ideal “control” group with they absent bony groove. Introduction transverse sinus stenoses, the bony in venous hypertension [4–6], absent not to CSF associated since an were being were sinus was groove height was proportionate to that seen in non-IIH absorption pressure [4,7]. This has investigated Transverse sinus tapered narrowings quently identified in patients with idiopathic and hence increased CSFConclusion forinneurological complaints; however, these in subjects intracranial led to the application of intravascular patients stenting venous were considered to have a low likelihood of venous patients with intractable IIH a pressure IIH has hypertension (IIH);: however, it remains unclear whether when withoutgradient and in the majority of patients with IIH were S. E. J. Connor (*) : V. R. Stewart E. A. M. O’Flynn been demonstrated across stenoses associated is Other they are primary stenoses or whether they occur secondarysuchsinus Table[8–10]. with proportionately small or absent grooves, 1 Heightmore Neuroradiology Department, Ruskin Wing, bone /heightsinus for the areamin points in IIH patients. authors suggest that transverse narrowing The relationship of transverse sinus stenosis to bony groove dimensions provides an insight into the aetiology of idiopathic intracranial hypertension 3D Phase Contraste If suspicion of IIH, MR Venography is required +++ ehcuag te tiord esrevsnart sunis sed setru seérres sesonéts ed noicipsuS eiregamI ? eriatnemélpmo King’s College Hospital, Denmark Hill, London SE5 9RS, UK e-mail: Steve.Connor@kch.nhs.uk to the these are for to raised cerebrospinal fluid pressure. likely a secondary phenomenon due and raised intracranial postulated ofto be primary or fixed. Some Computed tomoHeightbone /heightsinus Number sinuses pressure and resulting expansion CSF and the IIH with patientsareamin points graphic venography demonstrates both the morphologysupportedofby studies parenchymalIIH demonstrate tapered transverse sinus of compartments. This is which have gradient or the stenosis ratio 8 the venous system and the adjacent bonyrecorded a reversal it may grooves so of the pressure stenoses with disproportionately large bony grooves, 0–indeterminate small M. A. Siddiqui following lumbar puncture or CSF diversion [6, 11–15]. It is −3 Institute of Neurological Sciences, Southern General Hospital, suggesting a that or groove–small sinus provide4TF, Scotland an insight into the aetiology of these patients with transverse sinus stenoses secondaryabsentacquired narrowing. This implies transverse argued that Glasgow G51 −5 absent groove–absent sinus a varied aetiology for(aplastictransverse sinus stenoses of IIH. the segment) sinus stenoses. Materials and methods Tapered transverse sinus narrowRatio 1.02–1.5 (range 5 ings (>50%) were studied in 19 patients without IIH and 14 Keywords subjects) for non-IIH Idiopathic intracranial hypertension . Computed patients with IIH. Computed tomography vascular studies tomographic venography . Venous sinus . Vascular stenosis Ratio >1.5 8 were reviewed and the dimensions of the venous sinuses −4 cases demonstrated true disproportionately large bony grooves and bony grooves at the sites of maximum and minimum −4 cases discordance could be explained transverse sinus area dimensions were recorded. Introduction by the presence of associated draining Angio 3D with injection
  • 57.
    Diagnosis Clinical diagnosis + MRI ST1, AFlair,AT2, FrT2 or 3DFSET2 Venous MRA + Measuring inner cranium pressure
  • 58.
    Pronostic —  No lethalthreat. —  Visual functions threatened. —  Headaches, Tinnitus…
  • 59.
    Treatment —  Medical Angiographie veineusecérébrale —  Weight loss —  Corticosteroids in acute phase : ? Sténoses serrées des sinus transverses —  Acetazolamide droit et tinnitus —  Improvement of headaches,gauche Gradient de pression trans—  Iterative Lumbar puncture : ? sténotique de 35mmHg à droite —  If weakening of visual acuity persists: —  Drains of CSF —  Fenestration of the optic nerve sheath. —  Interventional Vascular Therapy —  Transverse sinuses angioplasty Intravenous pressure measurements with abrupt pressure gradient > 10 mmHg Angioplastie de la sténose droite au ballon
  • 60.
    Conclusion (1) IIC IC Hypotension — Orthostatic Headache —  Global and diffuse enhancement of dura mater Venous congestion —  TTT : blood patch —  Headache, visual troubles, tinnitus —  Empty sellae, enlargment of CSF resorption ways (peri optic) —  TTT to preserve visual functions
  • 61.
    Conclusion (2) Technical Notes IIC ICHypotension Sagittal T1W 3D FSE T2 sat fat MR Myelography ??? 3D Flair MR venography