Retina is the innermost Tunic of The Eyeball
& a Transparent Membrane.
 Thickness in different region:-
 Peripappilary area:- 0.56 mm
 Equator:- 0.18 – 0.20 mm
 Fovea:- 0.25 mm
 Foveola:- 0.13 mm
 Ora serrata:- 0.10 mm
THREE DISTINCT REGIONS OF RETINA
1. Optic disc :- Diameter – 1.5 mm
2. Peripheral Retina:-
Near periphery (1.5 mm) around macula.
Mid periphery 3 mm wide around near
periphery.
 Far periphery.
 Ora Serrata – temporally:- 2.1 mm wide
nasally:- 0.7 – 0.8 mm wide
3. Macula Lutea
 Site:- temporal to optic disc at the post.
Pole
 Shape:- horizontally elliptical
 Diameter:- 5.5 mm
 Function:- photopic & colour vision
corresponds 15˚of visual field.
 Yellowish
 The coloration probably derives from the
presence of xanthophyll in the ganglion &
bipolar cells
 Yellow coloration remains for several hours
to few days in enucleated eyes kept in 4˚C
PARTS OF MACULA LUTEA
 Umbo:- tiny depression in centre corresponding
to foveal reflex
 Foveola:- diameter – 0.35 mm
thickness – 0.13 mm
 forms the central floor of fovea.
 Devoid of ganglion cell layer & contains cone
photoreceptors only.
 Corresponding 1˚of visual field.
 Colour:-reddish due to rich choroidal circulation
which shines through it.
 Fovea:- surrounds the foveola.
Situated 2 DD temporal to the disc margin &
0.8 mm below the horizontal meridian.
 The Foveal Avascular zone (FAZ):-
Located within the fovea but extends beyond
the foveola 500μ in diameter.
 Parafoveal zone:- 0.55 mm wide around the
fovea centralis
 Perifoveal zone:- 1.5 mm wide around the
parafoveal zone.
FOVEA
(LATIN- SMALL PIT OR DEPRESSION)
 Fully developed after 4 years.
 Diameter:- 1.85 mm
 Thickness:- 0.25 mm
 Situation:- at the post. Pole of globe, 4 mm
temporal to the OD.
 The downward slopping border of fovea which
meets the floor of the foveal pit is known as
clivus.
 Represents 5˚of the visual field.
LAYERS AT THE FOVEA
1. Retinal pigment epithelium
2. The layer of
photoreceptor- cones only
3. The external limiting
membrane
4. Outer nuclear layer-
contains the nuclei of
cones only
5. The inner fibres of the
photoreceptors-so called
Henle’s fibre layer
6. The internal limiting
membrane- thickest at the
fovea.
 Symptoms :
 Central vision impairment
 Metamorphopsia
 Micropsia
 Macropsia
MACULAR FUNCTION TESTS CLASSIFICATION
 MFT with clear media
 MFT with opaque media
 Visual acuity
 Contrast sensitivity
 Slit-lamp biomicroscopy
 Photostress test
 Colour vision
 Amsler grid
 Microperimetry
 FFA
 OCT
 Maddox rod test
 Foveal ERG
 VEP
 Laser interferometry
 Potential visual acuity meter test
 Entoptic phenomena
 B-scan
 VA is measured by the visual resolution of a
letter, symbol or a pattern under conditions of
maximal contrast.
 In pt’s with macular disease VA is frequently
worse when the pt looks through a pin-hole
PINHOLE TESTING
 Vision improves with
good macular function
 Acuity frequently worse
in macular disorder.
 Contrast sensitivity is a measure of the
minimum amount of contrast needed to
distinguish a test object.
 Indirectly assesses the quality of vision.
 Can detect early visual loss when VA is
normal.
 To detect retinal conditions like DR, ARMD &
other macular & optic nerve diseases.
 Optical conditions like refractive error,
refractive surgery, cataract & IOL
implantation & normal aging of the eye.
•Spatial frequency is the
number of dark light cycles
per visual angle.
•In macular diseases, there is
a marked impairment for the
intermediate & higher spatial
frequencies.
Is an effective test for
monitoring potential
decreases in contrast
sensitivity function over
time.
With a strong convex
lens affords excellent
vizualizaton of the
macula. (78D & 90D)
 Principle :
 The test involves exposing the macula to a
light source bright enough to bleach a
significant proportion of the visual pigments.
 Return of normal retinal function & sensitivity
depends on the regeneration of visual
pigments.
 Pathological states that affect the
photoreceptors, Bruch's membrane, chorio-
capillaries or can prolong visual recovery
time.
 No such prolonged is observed in diseases
affecting the neutral conducting pathways.
•Evaluates the 10˚ of visual field
centered on fixation.
•Used in screening and
monitoring macular diseases.
•Square 10*10 cm divided into400
5*5 mm squares to be held at
30cm.
PROCEDURE
 Reading glasses, cover 1 eye.
 Pt asked to see the central spot.
 Presence of abnormalities like blurred areas,
holes, distortions, or blank spots.
 Pt with maculopathy reports that the lines are
wavy whereas pt with optic neuropathy
remarks some lines are missing or faint.
 Colour vision is the function of three
populations of retinal cones.
 Blue (tritan) 414-424 nm
 Green (duetran) 522-539nm
 Red (proton) 549-570nm
 Normal person possess all these three cones
& called trichromate.
 Acquired macular diseases tends to produce
blue yellow defects & optic nerve lesions red
green defects.
 Deutran anomaly is the most commonly &
those subjects can not differentiate b/t red &
green colours.
COLOUR CONFUSION TESTS
•Ishihara charts is useful
as screening test.
HUE DISCRIMINATION TESTS
Farnsworth-Munsell 100
Hue test is the most sensitive
but seldom used.
 The principle of microperimetry rests on the
possibility to see –in real time- the retina
under examination (by infrared light) & to
project a defined light stimulus over an
individual, selected location.
SCANNING LASER OPHTHALMOSCOPE
MICROPERIMETRY
 SLO microperimetry was the 1st technique
which allowed to obtain a fundus related
sensitivity map.
 SLO uses a near infrared diode laser
(675nm) beam that rapidly scan the posterior
pole.
 The reflected light is detected by a confocal
photodiode & the digitized image is stored in
a computer.
FLUORESCEIN ANGIOGRAPHY
 Dark appearance of the fovea on FFA is
caused by FAZ & blockage of the choroidal
background by xanthophyll & dense RPE.
 FFA is a very useful tool in diagnosing
macular disorders e.g., diabetic maculopathy,
CSR & can reveals the functionality of the
lesion e.g. Ischemic maculopathy.
OPTICAL COHERENCE TOMOGRAPHY
 OCT it is non invasive non-contact imaging
that produce high resolution cross sectional
image.
 Useful in diagnosing macular disorders & to
delineate retinal layers & detect subtle
anatomical changes.
 Maddox rod
 Focal ERG
 VEP
 Laser interferometry
 Potential visual acuity meter test
 Entoptic phenomena
 Preferential hyperacuity perimeter (PHP)
 B-scan
MADDOX ROD TEST
•Simple & reliable test & can be
used in semi opaque media.
•Pt is asked to fixate light at a
distance of 1/3 through M.R. with
opposite eye occluded.
•Any breaks / holes; discoloration
/ distortion indicates a macular
lesion.
FOCAL ELECTRORETINOGRAM
 ERG is only abnormal when a large area of
retina is functionally impaired.
 Focal ERG needs a stimulus localizing to
one area without scattering of light to
stimulate the rest of the retina.
MAXWELL OPHTHALMOSCOPE (FOVEAL
FLICKERING SENSITIVITY)
 It is a hand foveal ERG
 It employs a 3-4 degrees
with flickering light focused
on the fovea with a 10
degrees annulus of constant
white light to desensitize
surrounding retina.
VISUALLY EVOKED POTENTIAL
 VEP measure of the electrical potential
generated in response to entire visual
pathway
 It represents integrity of entire visual pathway
from retina to occipital lobe so cannot
differentiate b/t macula, ON & cortical
pathology.
 Two types of stimulus either
by flash of light or by
patterned stimuli.
 If the issue is the V/A then
the amplitude is measured.
 If the issue is the lesion in
the visual pathway then the
latency is measured.
LASER INTERFEROMETRY
 Utilizes coherent white light or helium-neon
laser generated interference stripes or
fringes that are projected onto the retina
through the ocular media.
 Brightness increased in pt’s with dense
cataracts.
 The laser interferometer resolving power
converted to standard V.A.
LIMITATIONS
1. Subjective
2. Laser fringe vision>vision of letter acuity
3. Over predicts visual potential in amblyopes.
POTENTIAL VISUAL ACUITY METER TEST
 PAM introduced in 1983
 This is attached to slit lamp &
projects a reduced Snellen’s chart
via narrow beam of light through a
pinhole clear area in the cataract
towards the macular region.
 The resulting potential acuity is the
smallest line where pt was able to
read three characters.
LIMITATION
 Subjective
 Methods that require an alert & cooperative
pt & skilled compassionate examiner.
 But it is easier than laser interferometry.
ENTOPTIC PHENOMENA
 It is refer to visual perceptions that have their
origin in the structure of an observer’s eye.
 Three types are used for testing the macula
in opaque media:
1. Purkinje vascular E.P
2. Flying spot (blue field E.P)
3. Haidinger’s brushes
PURKINJE VASCULAR E.P
 The Purkinje’s vascular
entoptic test is a simple
method which elicits the
response by placing a
penlight against a closed
eyelid or the globe & moving it
back & forth, creating images
of the pt’s retinal vascular
tree.
FLYING SPOTS (BLUE FIELD ENTOPTIC
PHENOMENON)
 Blue field entoptoscopy relies on
the observation of leucocytes
flowing in the macular retinal
capillaries.
 The leucocytes appear as ‘Flying
Corpuscles’ when the retina is
diffusely illuminated with a bright
blue light.
HAIDINGER’S BRUSHES
 Subject looks at a surface
illuminated with blue light
through a polarizer.
 Hourglass shaped yellowish
brushes seen radiating from
the point of fixation.
 On rotating polarizer, brushes
rotate.
 Phenomenon caused by variations in
absorption of plane polarized light by
oriented molecules of xanthophyll pigment in
foveal retina.
 Used to sensitize the fovea in amblyopic
child with eccentric fixation.
ULTRASONOGRAPHY (B-SCAN)
 This gives a gross idea about anatomic
normalcy of the eye , & rules out pathologies
like vitreous haemorrhage, retinal
detachment, optic nerve anomalies, etc.
 Scanning does not offer any information on
macular function.
OPHTHALMOSCOPY
DO
IO
WATZKE-ALLEN TEST
 Done with 90D or 78D lens projecting a slit
beam over the centre of macula.
 Pt. with macular hole will report of broken
beam.
LASER AIMING BEAM TEST
 Helium-Neon laser spot of 50 micron is
projected at the centre of macula.
 Spot disappears in macular hole.

MACULAR FUNCTION TEST PRESENTATION VERY IMP

  • 2.
    Retina is theinnermost Tunic of The Eyeball & a Transparent Membrane.  Thickness in different region:-  Peripappilary area:- 0.56 mm  Equator:- 0.18 – 0.20 mm  Fovea:- 0.25 mm  Foveola:- 0.13 mm  Ora serrata:- 0.10 mm
  • 4.
    THREE DISTINCT REGIONSOF RETINA 1. Optic disc :- Diameter – 1.5 mm 2. Peripheral Retina:- Near periphery (1.5 mm) around macula. Mid periphery 3 mm wide around near periphery.  Far periphery.  Ora Serrata – temporally:- 2.1 mm wide nasally:- 0.7 – 0.8 mm wide
  • 5.
    3. Macula Lutea Site:- temporal to optic disc at the post. Pole  Shape:- horizontally elliptical  Diameter:- 5.5 mm  Function:- photopic & colour vision corresponds 15˚of visual field.
  • 6.
     Yellowish  Thecoloration probably derives from the presence of xanthophyll in the ganglion & bipolar cells  Yellow coloration remains for several hours to few days in enucleated eyes kept in 4˚C
  • 8.
    PARTS OF MACULALUTEA  Umbo:- tiny depression in centre corresponding to foveal reflex  Foveola:- diameter – 0.35 mm thickness – 0.13 mm  forms the central floor of fovea.  Devoid of ganglion cell layer & contains cone photoreceptors only.  Corresponding 1˚of visual field.  Colour:-reddish due to rich choroidal circulation which shines through it.
  • 9.
     Fovea:- surroundsthe foveola. Situated 2 DD temporal to the disc margin & 0.8 mm below the horizontal meridian.  The Foveal Avascular zone (FAZ):- Located within the fovea but extends beyond the foveola 500μ in diameter.  Parafoveal zone:- 0.55 mm wide around the fovea centralis  Perifoveal zone:- 1.5 mm wide around the parafoveal zone.
  • 11.
    FOVEA (LATIN- SMALL PITOR DEPRESSION)  Fully developed after 4 years.  Diameter:- 1.85 mm  Thickness:- 0.25 mm  Situation:- at the post. Pole of globe, 4 mm temporal to the OD.  The downward slopping border of fovea which meets the floor of the foveal pit is known as clivus.  Represents 5˚of the visual field.
  • 12.
    LAYERS AT THEFOVEA 1. Retinal pigment epithelium 2. The layer of photoreceptor- cones only 3. The external limiting membrane 4. Outer nuclear layer- contains the nuclei of cones only 5. The inner fibres of the photoreceptors-so called Henle’s fibre layer 6. The internal limiting membrane- thickest at the fovea.
  • 13.
     Symptoms : Central vision impairment  Metamorphopsia  Micropsia  Macropsia
  • 14.
    MACULAR FUNCTION TESTSCLASSIFICATION  MFT with clear media  MFT with opaque media
  • 15.
     Visual acuity Contrast sensitivity  Slit-lamp biomicroscopy  Photostress test  Colour vision  Amsler grid  Microperimetry  FFA  OCT
  • 16.
     Maddox rodtest  Foveal ERG  VEP  Laser interferometry  Potential visual acuity meter test  Entoptic phenomena  B-scan
  • 17.
     VA ismeasured by the visual resolution of a letter, symbol or a pattern under conditions of maximal contrast.  In pt’s with macular disease VA is frequently worse when the pt looks through a pin-hole
  • 19.
    PINHOLE TESTING  Visionimproves with good macular function  Acuity frequently worse in macular disorder.
  • 20.
     Contrast sensitivityis a measure of the minimum amount of contrast needed to distinguish a test object.  Indirectly assesses the quality of vision.  Can detect early visual loss when VA is normal.
  • 22.
     To detectretinal conditions like DR, ARMD & other macular & optic nerve diseases.  Optical conditions like refractive error, refractive surgery, cataract & IOL implantation & normal aging of the eye.
  • 23.
    •Spatial frequency isthe number of dark light cycles per visual angle. •In macular diseases, there is a marked impairment for the intermediate & higher spatial frequencies.
  • 24.
    Is an effectivetest for monitoring potential decreases in contrast sensitivity function over time.
  • 25.
    With a strongconvex lens affords excellent vizualizaton of the macula. (78D & 90D)
  • 26.
     Principle : The test involves exposing the macula to a light source bright enough to bleach a significant proportion of the visual pigments.  Return of normal retinal function & sensitivity depends on the regeneration of visual pigments.
  • 27.
     Pathological statesthat affect the photoreceptors, Bruch's membrane, chorio- capillaries or can prolong visual recovery time.  No such prolonged is observed in diseases affecting the neutral conducting pathways.
  • 28.
    •Evaluates the 10˚of visual field centered on fixation. •Used in screening and monitoring macular diseases. •Square 10*10 cm divided into400 5*5 mm squares to be held at 30cm.
  • 30.
    PROCEDURE  Reading glasses,cover 1 eye.  Pt asked to see the central spot.  Presence of abnormalities like blurred areas, holes, distortions, or blank spots.  Pt with maculopathy reports that the lines are wavy whereas pt with optic neuropathy remarks some lines are missing or faint.
  • 33.
     Colour visionis the function of three populations of retinal cones.  Blue (tritan) 414-424 nm  Green (duetran) 522-539nm  Red (proton) 549-570nm  Normal person possess all these three cones & called trichromate.
  • 34.
     Acquired maculardiseases tends to produce blue yellow defects & optic nerve lesions red green defects.  Deutran anomaly is the most commonly & those subjects can not differentiate b/t red & green colours.
  • 35.
    COLOUR CONFUSION TESTS •Ishiharacharts is useful as screening test.
  • 36.
    HUE DISCRIMINATION TESTS Farnsworth-Munsell100 Hue test is the most sensitive but seldom used.
  • 37.
     The principleof microperimetry rests on the possibility to see –in real time- the retina under examination (by infrared light) & to project a defined light stimulus over an individual, selected location.
  • 38.
    SCANNING LASER OPHTHALMOSCOPE MICROPERIMETRY SLO microperimetry was the 1st technique which allowed to obtain a fundus related sensitivity map.  SLO uses a near infrared diode laser (675nm) beam that rapidly scan the posterior pole.  The reflected light is detected by a confocal photodiode & the digitized image is stored in a computer.
  • 40.
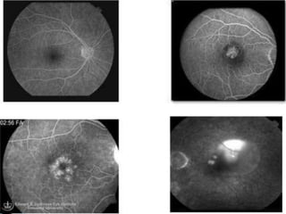
    FLUORESCEIN ANGIOGRAPHY  Darkappearance of the fovea on FFA is caused by FAZ & blockage of the choroidal background by xanthophyll & dense RPE.  FFA is a very useful tool in diagnosing macular disorders e.g., diabetic maculopathy, CSR & can reveals the functionality of the lesion e.g. Ischemic maculopathy.
  • 42.
    OPTICAL COHERENCE TOMOGRAPHY OCT it is non invasive non-contact imaging that produce high resolution cross sectional image.  Useful in diagnosing macular disorders & to delineate retinal layers & detect subtle anatomical changes.
  • 44.
     Maddox rod Focal ERG  VEP  Laser interferometry  Potential visual acuity meter test  Entoptic phenomena  Preferential hyperacuity perimeter (PHP)  B-scan
  • 45.
    MADDOX ROD TEST •Simple& reliable test & can be used in semi opaque media. •Pt is asked to fixate light at a distance of 1/3 through M.R. with opposite eye occluded. •Any breaks / holes; discoloration / distortion indicates a macular lesion.
  • 46.
    FOCAL ELECTRORETINOGRAM  ERGis only abnormal when a large area of retina is functionally impaired.  Focal ERG needs a stimulus localizing to one area without scattering of light to stimulate the rest of the retina.
  • 47.
    MAXWELL OPHTHALMOSCOPE (FOVEAL FLICKERINGSENSITIVITY)  It is a hand foveal ERG  It employs a 3-4 degrees with flickering light focused on the fovea with a 10 degrees annulus of constant white light to desensitize surrounding retina.
  • 48.
    VISUALLY EVOKED POTENTIAL VEP measure of the electrical potential generated in response to entire visual pathway  It represents integrity of entire visual pathway from retina to occipital lobe so cannot differentiate b/t macula, ON & cortical pathology.
  • 49.
     Two typesof stimulus either by flash of light or by patterned stimuli.  If the issue is the V/A then the amplitude is measured.  If the issue is the lesion in the visual pathway then the latency is measured.
  • 50.
    LASER INTERFEROMETRY  Utilizescoherent white light or helium-neon laser generated interference stripes or fringes that are projected onto the retina through the ocular media.  Brightness increased in pt’s with dense cataracts.  The laser interferometer resolving power converted to standard V.A.
  • 51.
    LIMITATIONS 1. Subjective 2. Laserfringe vision>vision of letter acuity 3. Over predicts visual potential in amblyopes.
  • 52.
    POTENTIAL VISUAL ACUITYMETER TEST  PAM introduced in 1983  This is attached to slit lamp & projects a reduced Snellen’s chart via narrow beam of light through a pinhole clear area in the cataract towards the macular region.  The resulting potential acuity is the smallest line where pt was able to read three characters.
  • 53.
    LIMITATION  Subjective  Methodsthat require an alert & cooperative pt & skilled compassionate examiner.  But it is easier than laser interferometry.
  • 54.
    ENTOPTIC PHENOMENA  Itis refer to visual perceptions that have their origin in the structure of an observer’s eye.  Three types are used for testing the macula in opaque media: 1. Purkinje vascular E.P 2. Flying spot (blue field E.P) 3. Haidinger’s brushes
  • 55.
    PURKINJE VASCULAR E.P The Purkinje’s vascular entoptic test is a simple method which elicits the response by placing a penlight against a closed eyelid or the globe & moving it back & forth, creating images of the pt’s retinal vascular tree.
  • 56.
    FLYING SPOTS (BLUEFIELD ENTOPTIC PHENOMENON)  Blue field entoptoscopy relies on the observation of leucocytes flowing in the macular retinal capillaries.  The leucocytes appear as ‘Flying Corpuscles’ when the retina is diffusely illuminated with a bright blue light.
  • 57.
    HAIDINGER’S BRUSHES  Subjectlooks at a surface illuminated with blue light through a polarizer.  Hourglass shaped yellowish brushes seen radiating from the point of fixation.  On rotating polarizer, brushes rotate.
  • 58.
     Phenomenon causedby variations in absorption of plane polarized light by oriented molecules of xanthophyll pigment in foveal retina.  Used to sensitize the fovea in amblyopic child with eccentric fixation.
  • 59.
    ULTRASONOGRAPHY (B-SCAN)  Thisgives a gross idea about anatomic normalcy of the eye , & rules out pathologies like vitreous haemorrhage, retinal detachment, optic nerve anomalies, etc.  Scanning does not offer any information on macular function.
  • 60.
  • 61.
    WATZKE-ALLEN TEST  Donewith 90D or 78D lens projecting a slit beam over the centre of macula.  Pt. with macular hole will report of broken beam.
  • 62.
    LASER AIMING BEAMTEST  Helium-Neon laser spot of 50 micron is projected at the centre of macula.  Spot disappears in macular hole.