Leukosit
LeukositLeukosit
Terdiri dari:
◦ Basofil
◦ Eosinofil
◦ Neutrofil Batang
◦ Neutrofil Segmen
◦ Limfosit
◦ Monosit
HITUNG JENIS LEUKOSITHITUNG JENIS LEUKOSIT
Prosedur
Seleksi area yg paling baik untuk evaluasi
Dengan lensa objektif 10 x perhatikan
bagian yang cukup tipis dan rata susunan
eritrositnya, penyebaran leukosit
memenuhi syaratcounting area
Dengan lensa objektif emersi (100 x),
menilai morfologi trombosit, eritrosit,
leukosit
Cara Melakukan Hitung JenisCara Melakukan Hitung Jenis
 Pilih bagian yang cukup tipis dan penyebaran leukositPilih bagian yang cukup tipis dan penyebaran leukosit
meratamerata
 Mulai menghitung pada pinggir atas sediaanMulai menghitung pada pinggir atas sediaan 
pinggir bawahpinggir bawah  kekanankekanan  pinggir atas lagipinggir atas lagi  dstdst
 Lakukan terus sampai 100 sel leukosit, dihitungLakukan terus sampai 100 sel leukosit, dihitung
menurut jenisnyamenurut jenisnya
 Catat juga kelainan morfologi pada leukositCatat juga kelainan morfologi pada leukosit
 Jumlah setiap jenis sel dinyatakan dalam persenJumlah setiap jenis sel dinyatakan dalam persen
 Laporkan jika terdapat eritrosit berinti per 100 leukositLaporkan jika terdapat eritrosit berinti per 100 leukosit
hitung jenis dilakukan menggunakan 10
kolom, mengelompokkan tiap 10 sel yang
dihitung, sampai terdapat 100 sel
 Schilling Hemogram
SelSel 1010 1010 1010 1010 1010 1010 1010 1010 1010 1010 JumlahJumlah
BasofilBasofil 00
EosinofilEosinofil II
BatangBatang IIII
SegmenSegmen IIIIIIII IIIIIIII
limfositlimfosit IIII IIIIII
MonositMonosit II IIII
JumlahJumlah 1010 1010 100100
Schilling Hemogram
Melaporkan Hitung JenisMelaporkan Hitung Jenis
Mulai dengan sel basofil, eosinofil, neutrofilMulai dengan sel basofil, eosinofil, neutrofil
batang, neutrofil segmen, limfosit dan monositbatang, neutrofil segmen, limfosit dan monosit
Nilai normal hitung jenis pada dewasaNilai normal hitung jenis pada dewasa
- Basofil- Basofil : 0-1 %: 0-1 %
- Eosinofil- Eosinofil : 1 – 3 %: 1 – 3 %
- Neutrofil batang- Neutrofil batang : 2 – 6 %: 2 – 6 %
- Neutrofil segmen- Neutrofil segmen : 50 – 70 %: 50 – 70 %
- Limfosit- Limfosit : 20 – 40 %: 20 – 40 %
- Monosit- Monosit : 2 – 8 %: 2 – 8 %
Identifikasi Leukosit
Basofil
Ukuran sel: 12 - 18 µm
Bentuk sel: bulat atau oval
Warna sitoplasma: merah
jambu, ditutupi granul dan
nukleus
Granularitas: basofilik gelap,
ukuran bervariasi. Jumlah
bervariasi
Bentuk inti: bentuk oval pada
basofil muda dan berbentuk
lobular pada basofil dewasa
Tipe kromatin: padat, pucat
Ratio inti/sitoplasma:
rendah atau sangat rendah
Nukleolus: tak tampak
Distribusi:
darah: 0 - 1 %
sumsum tulang: < 1 %
Perbesaran: x 1000
Eosinofi
l
Ukuran sel: 15 - 25 µm
Bentuk sel: oval atau bulat
Warna sitoplasma: pucat,
ditutupi granul
Granularitas: eosinofilik
(orange-red)banyak,
ukuran sama besar
Bentuk inti: lobulated
(biasanya bilobus)
Tipe kromatin: padat
Ratio inti/sitoplasma:
rendah atau sangat rendah
Nukleolus: tak tampak
Distribusi:
darah: 1 - 3 %
sumsum tulang: < 2 %
Perbesaran: x 1000
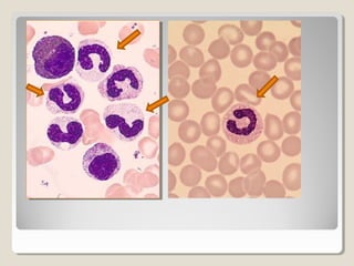
Neutrofi
l
batang
Ukuran sel: 14 - 20 µm
Bentuk sel: oval atau bulat
Warna sitoplasma: pink
Granularitas: sedikit azurofilik
neutrofilik,
Bentuk inti: lonjong,
Spt sepatu kuda atau berlobus
tp tidak bersegmen
Tipe kromatin: padat
Ratio inti/sitoplasma: rendah
atau sangat rendah
Nukleolus: tak terlihat
Distribusi :
darah: 2 – 6 %
sumsum tulang: 5 - 20 %
Neutrofi
l
segmen
Ukuran sel: 14 - 20 µm
Bentuk sel: oval atau bulat
Warna sitoplasma: pink
Granularitas: sedikit azurofilik
neutrofilik
Bentuk inti: berlobus(normal
kurang dari 5 lobus)
Tipe kromatin: padat
Ratio inti/sitoplasma: rendah
atau sangat rendah
Nukleolus: tak terlihat
Distribusi :
darah: 50 - 70 %
sumsum tulang: 5 - 20 %
Perbesaran: x1000
MonositUkuran: 15 - 25 µm
Bentuk: bulat, oval atau tidak
teratur
Warna sitoplasma: abu-abu
biru
Granularitas: tidak ada atau
sedikit granul azurofilik halus
Bentuk inti: biasanya tidak
teratur
Tipe kromatin: kromatin
kasar, berkelompok
Rasio inti/sitoplasma:
sedang atau rendah
Nukleolus: tak terlihat
Distribusi:
Darah: 2 - 8 %
sumsum tulang: < 2 %
Perbesaran: x1000
Monosit khas dengan
sitoplasma biru lembayung
yang berisi vakuola-vakuola
kecil.
Monosit khas dengan
sitoplasma ungu dan bentuk
nukleus sangat tidak teratur
Monosit dan neutrofil
segmen. pada monosit
kromatinkurang padat,
warna dan granularitas
sitoplasma berwarna
merah jambu, ukuran
sering lebih besar dan
terdapatnya banyak
vakuola
Limfosit
Ukuran: 10 - 15 µm
Bentuk: bulat, kadang-kadang
oval
Warna sitoplasma: biru
Granularitas: tidak ada
Bentuk inti: bulat atau agak
oval
Tipe kromatin: homogen, padat
Rasio inti/sitoplasma: tinggi
atau sangat tinggi
Nukleolus: tidak terlihat,
kadang-kadang hampir tidak
terlihat , satu nukleolus kecil
Distribusi:
darah: 20 - 40 %
sumsum tulang: 5 - 20 %
Perbesaran: x1000
Limfosit normal besar
dengan sitoplasma
pucat tanpa granul
Limfosit granular besar
dengan butir azurofilik kasar
dan sitoplasma jernih.
Limfosit granular dengan
granula azurofilik kasar.
Limfosit reaktif yang terlihat selama infeksi, khususnya
infeksi virus. Namun bisa juga dijumpai dalam darah
normal.
Limfosit reaktif
Limfosit plasma biru
Limfosit plasma biru sering ditemukan pada
infeksi virus, terutama pada DHF
Limfosit Atipik
Sel
plasma
Ukuran: 15 - 20 µm
Bentuk: oval
Warna sitoplasma: biru tua,
dengan halo dekat inti besar,
kadang-kadang ada satu
vakuola
Granularitas: tidak ada
Bentuk inti: bulat
Tipe kromatin: padat
Rasio inti/sitoplasma: rendah
Nukleolus: tidak kelihatan
Distribusi:
darah: tidak ada
sumsum tulang: < 3%
Perbesaran: x1000
Sel Plasma dalam sumsum
tulang
Leukosit dalam darah perifer
TERIMA
KASIH

Leukosit

  • 1.
  • 2.
    LeukositLeukosit Terdiri dari: ◦ Basofil ◦Eosinofil ◦ Neutrofil Batang ◦ Neutrofil Segmen ◦ Limfosit ◦ Monosit
  • 4.
  • 5.
    Prosedur Seleksi area ygpaling baik untuk evaluasi Dengan lensa objektif 10 x perhatikan bagian yang cukup tipis dan rata susunan eritrositnya, penyebaran leukosit memenuhi syaratcounting area Dengan lensa objektif emersi (100 x), menilai morfologi trombosit, eritrosit, leukosit
  • 6.
    Cara Melakukan HitungJenisCara Melakukan Hitung Jenis  Pilih bagian yang cukup tipis dan penyebaran leukositPilih bagian yang cukup tipis dan penyebaran leukosit meratamerata  Mulai menghitung pada pinggir atas sediaanMulai menghitung pada pinggir atas sediaan  pinggir bawahpinggir bawah  kekanankekanan  pinggir atas lagipinggir atas lagi  dstdst  Lakukan terus sampai 100 sel leukosit, dihitungLakukan terus sampai 100 sel leukosit, dihitung menurut jenisnyamenurut jenisnya  Catat juga kelainan morfologi pada leukositCatat juga kelainan morfologi pada leukosit  Jumlah setiap jenis sel dinyatakan dalam persenJumlah setiap jenis sel dinyatakan dalam persen  Laporkan jika terdapat eritrosit berinti per 100 leukositLaporkan jika terdapat eritrosit berinti per 100 leukosit
  • 7.
    hitung jenis dilakukanmenggunakan 10 kolom, mengelompokkan tiap 10 sel yang dihitung, sampai terdapat 100 sel  Schilling Hemogram
  • 8.
    SelSel 1010 10101010 1010 1010 1010 1010 1010 1010 1010 JumlahJumlah BasofilBasofil 00 EosinofilEosinofil II BatangBatang IIII SegmenSegmen IIIIIIII IIIIIIII limfositlimfosit IIII IIIIII MonositMonosit II IIII JumlahJumlah 1010 1010 100100 Schilling Hemogram
  • 9.
    Melaporkan Hitung JenisMelaporkanHitung Jenis Mulai dengan sel basofil, eosinofil, neutrofilMulai dengan sel basofil, eosinofil, neutrofil batang, neutrofil segmen, limfosit dan monositbatang, neutrofil segmen, limfosit dan monosit Nilai normal hitung jenis pada dewasaNilai normal hitung jenis pada dewasa - Basofil- Basofil : 0-1 %: 0-1 % - Eosinofil- Eosinofil : 1 – 3 %: 1 – 3 % - Neutrofil batang- Neutrofil batang : 2 – 6 %: 2 – 6 % - Neutrofil segmen- Neutrofil segmen : 50 – 70 %: 50 – 70 % - Limfosit- Limfosit : 20 – 40 %: 20 – 40 % - Monosit- Monosit : 2 – 8 %: 2 – 8 %
  • 10.
  • 11.
    Basofil Ukuran sel: 12- 18 µm Bentuk sel: bulat atau oval Warna sitoplasma: merah jambu, ditutupi granul dan nukleus Granularitas: basofilik gelap, ukuran bervariasi. Jumlah bervariasi Bentuk inti: bentuk oval pada basofil muda dan berbentuk lobular pada basofil dewasa Tipe kromatin: padat, pucat Ratio inti/sitoplasma: rendah atau sangat rendah Nukleolus: tak tampak Distribusi: darah: 0 - 1 % sumsum tulang: < 1 % Perbesaran: x 1000
  • 13.
    Eosinofi l Ukuran sel: 15- 25 µm Bentuk sel: oval atau bulat Warna sitoplasma: pucat, ditutupi granul Granularitas: eosinofilik (orange-red)banyak, ukuran sama besar Bentuk inti: lobulated (biasanya bilobus) Tipe kromatin: padat Ratio inti/sitoplasma: rendah atau sangat rendah Nukleolus: tak tampak Distribusi: darah: 1 - 3 % sumsum tulang: < 2 % Perbesaran: x 1000
  • 16.
    Neutrofi l batang Ukuran sel: 14- 20 µm Bentuk sel: oval atau bulat Warna sitoplasma: pink Granularitas: sedikit azurofilik neutrofilik, Bentuk inti: lonjong, Spt sepatu kuda atau berlobus tp tidak bersegmen Tipe kromatin: padat Ratio inti/sitoplasma: rendah atau sangat rendah Nukleolus: tak terlihat Distribusi : darah: 2 – 6 % sumsum tulang: 5 - 20 %
  • 18.
    Neutrofi l segmen Ukuran sel: 14- 20 µm Bentuk sel: oval atau bulat Warna sitoplasma: pink Granularitas: sedikit azurofilik neutrofilik Bentuk inti: berlobus(normal kurang dari 5 lobus) Tipe kromatin: padat Ratio inti/sitoplasma: rendah atau sangat rendah Nukleolus: tak terlihat Distribusi : darah: 50 - 70 % sumsum tulang: 5 - 20 % Perbesaran: x1000
  • 20.
    MonositUkuran: 15 -25 µm Bentuk: bulat, oval atau tidak teratur Warna sitoplasma: abu-abu biru Granularitas: tidak ada atau sedikit granul azurofilik halus Bentuk inti: biasanya tidak teratur Tipe kromatin: kromatin kasar, berkelompok Rasio inti/sitoplasma: sedang atau rendah Nukleolus: tak terlihat Distribusi: Darah: 2 - 8 % sumsum tulang: < 2 % Perbesaran: x1000
  • 21.
    Monosit khas dengan sitoplasmabiru lembayung yang berisi vakuola-vakuola kecil. Monosit khas dengan sitoplasma ungu dan bentuk nukleus sangat tidak teratur
  • 22.
    Monosit dan neutrofil segmen.pada monosit kromatinkurang padat, warna dan granularitas sitoplasma berwarna merah jambu, ukuran sering lebih besar dan terdapatnya banyak vakuola
  • 23.
    Limfosit Ukuran: 10 -15 µm Bentuk: bulat, kadang-kadang oval Warna sitoplasma: biru Granularitas: tidak ada Bentuk inti: bulat atau agak oval Tipe kromatin: homogen, padat Rasio inti/sitoplasma: tinggi atau sangat tinggi Nukleolus: tidak terlihat, kadang-kadang hampir tidak terlihat , satu nukleolus kecil Distribusi: darah: 20 - 40 % sumsum tulang: 5 - 20 % Perbesaran: x1000
  • 24.
    Limfosit normal besar dengansitoplasma pucat tanpa granul Limfosit granular besar dengan butir azurofilik kasar dan sitoplasma jernih.
  • 25.
  • 26.
    Limfosit reaktif yangterlihat selama infeksi, khususnya infeksi virus. Namun bisa juga dijumpai dalam darah normal. Limfosit reaktif
  • 27.
    Limfosit plasma biru Limfositplasma biru sering ditemukan pada infeksi virus, terutama pada DHF
  • 28.
  • 29.
    Sel plasma Ukuran: 15 -20 µm Bentuk: oval Warna sitoplasma: biru tua, dengan halo dekat inti besar, kadang-kadang ada satu vakuola Granularitas: tidak ada Bentuk inti: bulat Tipe kromatin: padat Rasio inti/sitoplasma: rendah Nukleolus: tidak kelihatan Distribusi: darah: tidak ada sumsum tulang: < 3% Perbesaran: x1000
  • 30.
    Sel Plasma dalamsumsum tulang
  • 31.
  • 32.