Download free for 30 days
Sign in
Upload
Language (EN)
Support
Business
Mobile
Social Media
Marketing
Technology
Art & Photos
Career
Design
Education
Presentations & Public Speaking
Government & Nonprofit
Healthcare
Internet
Law
Leadership & Management
Automotive
Engineering
Software
Recruiting & HR
Retail
Sales
Services
Science
Small Business & Entrepreneurship
Food
Environment
Economy & Finance
Data & Analytics
Investor Relations
Sports
Spiritual
News & Politics
Travel
Self Improvement
Real Estate
Entertainment & Humor
Health & Medicine
Devices & Hardware
Lifestyle
Change Language
Language
English
Español
Português
Français
Deutsche
Cancel
Save
Submit search
EN
Uploaded by
Joyce Roca
PPTX, PDF
6,015 views
Interpretacion radiográfica
Clase de Interpretación Radiografica presentada por la Dra. Joyce Roca
Education
◦
Read more
12
Save
Share
Embed
Embed presentation
Download
Downloaded 133 times
1
/ 71
2
/ 71
3
/ 71
Most read
4
/ 71
5
/ 71
6
/ 71
7
/ 71
8
/ 71
9
/ 71
10
/ 71
11
/ 71
12
/ 71
13
/ 71
14
/ 71
15
/ 71
16
/ 71
17
/ 71
18
/ 71
19
/ 71
Most read
20
/ 71
21
/ 71
22
/ 71
23
/ 71
24
/ 71
25
/ 71
26
/ 71
27
/ 71
Most read
28
/ 71
29
/ 71
30
/ 71
31
/ 71
32
/ 71
33
/ 71
34
/ 71
35
/ 71
36
/ 71
37
/ 71
38
/ 71
39
/ 71
40
/ 71
41
/ 71
42
/ 71
43
/ 71
44
/ 71
45
/ 71
46
/ 71
47
/ 71
48
/ 71
49
/ 71
50
/ 71
51
/ 71
52
/ 71
53
/ 71
54
/ 71
55
/ 71
56
/ 71
57
/ 71
58
/ 71
59
/ 71
60
/ 71
61
/ 71
62
/ 71
63
/ 71
64
/ 71
65
/ 71
66
/ 71
67
/ 71
68
/ 71
69
/ 71
70
/ 71
71
/ 71
More Related Content
PPTX
Caso clínico ortopedia copia
by
Lady Solarte
PPT
Medicación intraconducto
by
LUZ
PPT
Unid i Introducción Prostodoncia Total
by
Dagoberto Rodriguez Astudillo
PPT
RadiografíA PanoráMica Blog
by
Ortokarlos
PPT
Encerado diagnostico
by
Javiera Leighton
PPTX
Presentación incrustaciones
by
Jocyta Lagos Arenas
PPT
Lesiones radiolucidas-97
by
Katherine Belen Chancay Barcia
DOCX
Menejo de conducta odontopediatria.
by
Universidad del Sur, campus Merida
Caso clínico ortopedia copia
by
Lady Solarte
Medicación intraconducto
by
LUZ
Unid i Introducción Prostodoncia Total
by
Dagoberto Rodriguez Astudillo
RadiografíA PanoráMica Blog
by
Ortokarlos
Encerado diagnostico
by
Javiera Leighton
Presentación incrustaciones
by
Jocyta Lagos Arenas
Lesiones radiolucidas-97
by
Katherine Belen Chancay Barcia
Menejo de conducta odontopediatria.
by
Universidad del Sur, campus Merida
What's hot
PPTX
Encerado diagnostico
by
Stefan Maraboli
PPTX
Resinas acrílicas (Materiales Dentales)
by
Jessica Esparza
PPTX
Oclusion dental alineacion y oclusion de los dientes oclusion mutuamente prot...
by
Marioli Aparicio Frias
PPT
Acrlicos
by
Tey Martínez
PPT
Sobredentaduras
by
IvanoGmez
PPTX
Indices MáS Utilizados En Periodoncia
by
isabel_f21
PPTX
2 plano guia (1)
by
José Ortiz
PPT
Estetica peridontal
by
joendelcor
PPT
RESTAURACIONES PROVISIONALES
by
Isabel Lluen
DOCX
GUIA DE ATENCION EN MALOCLUSIONES CLASE II
by
Manuel Estuardo Bravo Calderon
PPT
Caso ClíNico MaríA GonzáLez
by
guest776c63
PPTX
Carillas directas e indirectas
by
Virginia De La Cruz
PPTX
Presentazione caries
by
Marco Bergamini
PPTX
Clasificación de las Enfermedades Periodontales
by
Carlos Villela
PPT
Charla ortodoncia prostodoncia
by
anakarinarodriguezmartinez
PPTX
Imágenes radiográficas de los quistes maxilares
by
Antonella Pier Domenico Mendez
PDF
Provisionales
by
simudental
PPTX
Principios biomecánicos de las preparaciones para restauracion
by
daveisland82
PPTX
Aislamiento Dental Absoluto
by
hector8484
PPTX
Odontopediatria
by
Jocyta Lagos Arenas
Encerado diagnostico
by
Stefan Maraboli
Resinas acrílicas (Materiales Dentales)
by
Jessica Esparza
Oclusion dental alineacion y oclusion de los dientes oclusion mutuamente prot...
by
Marioli Aparicio Frias
Acrlicos
by
Tey Martínez
Sobredentaduras
by
IvanoGmez
Indices MáS Utilizados En Periodoncia
by
isabel_f21
2 plano guia (1)
by
José Ortiz
Estetica peridontal
by
joendelcor
RESTAURACIONES PROVISIONALES
by
Isabel Lluen
GUIA DE ATENCION EN MALOCLUSIONES CLASE II
by
Manuel Estuardo Bravo Calderon
Caso ClíNico MaríA GonzáLez
by
guest776c63
Carillas directas e indirectas
by
Virginia De La Cruz
Presentazione caries
by
Marco Bergamini
Clasificación de las Enfermedades Periodontales
by
Carlos Villela
Charla ortodoncia prostodoncia
by
anakarinarodriguezmartinez
Imágenes radiográficas de los quistes maxilares
by
Antonella Pier Domenico Mendez
Provisionales
by
simudental
Principios biomecánicos de las preparaciones para restauracion
by
daveisland82
Aislamiento Dental Absoluto
by
hector8484
Odontopediatria
by
Jocyta Lagos Arenas
Viewers also liked
PPTX
Densidades radiológicas
by
Nadia Cordero Jurado
PPT
La importancia de la evolución clínico radiográfica
by
Nery Josué Perdomo
PPTX
1. interpretacion radiografica
by
Bruno Pier-Domenico
PPT
Tecnica Exploracion Torax
by
Daniel Bracamonte
PPTX
Anatomía radiológica del tórax
by
Hector Gomez
PPT
Semiologia radiografica de torax
by
Jose Tapias Martinez
PPTX
Pericarditis CLINICA TRATAMIENTO
by
Nadia Cordero Jurado
PPT
RadiologíA De TóRax Normal
by
Sandra Gallaga
PPTX
rx simple de torax y abdomen
by
R0SIA
PPTX
Torax
by
ElizabethQuinteroA
PDF
CURSO DE RADIOLOGÍA DE TORAX
by
Laura Osorio
PPSX
Anatomía Radiológica 2011
by
Nazarete Barria
PPT
Copia de alumno s practicas pdt 2curso torax ii
by
Luis
PPT
Torax 2013
by
Yuri pe?
PPT
Imagenologia de tórax roberto mujica 2012
by
Universidad Centroccidental Lisandro Alvarado
PPTX
Pericarditis cordero
by
Nadia Cordero Jurado
PPTX
Higado imagenologia
by
Nadia Cordero Jurado
PPTX
Rayos x de torax y abdomen
by
universidad de cartagena
PPSX
Presentación Ciclo de Técnico Superior en Imagen para el diagnóstico
by
Centro de Estudios del Mediterráneo
PPT
Rayos x del torax
by
Medical & Gabeents
Densidades radiológicas
by
Nadia Cordero Jurado
La importancia de la evolución clínico radiográfica
by
Nery Josué Perdomo
1. interpretacion radiografica
by
Bruno Pier-Domenico
Tecnica Exploracion Torax
by
Daniel Bracamonte
Anatomía radiológica del tórax
by
Hector Gomez
Semiologia radiografica de torax
by
Jose Tapias Martinez
Pericarditis CLINICA TRATAMIENTO
by
Nadia Cordero Jurado
RadiologíA De TóRax Normal
by
Sandra Gallaga
rx simple de torax y abdomen
by
R0SIA
Torax
by
ElizabethQuinteroA
CURSO DE RADIOLOGÍA DE TORAX
by
Laura Osorio
Anatomía Radiológica 2011
by
Nazarete Barria
Copia de alumno s practicas pdt 2curso torax ii
by
Luis
Torax 2013
by
Yuri pe?
Imagenologia de tórax roberto mujica 2012
by
Universidad Centroccidental Lisandro Alvarado
Pericarditis cordero
by
Nadia Cordero Jurado
Higado imagenologia
by
Nadia Cordero Jurado
Rayos x de torax y abdomen
by
universidad de cartagena
Presentación Ciclo de Técnico Superior en Imagen para el diagnóstico
by
Centro de Estudios del Mediterráneo
Rayos x del torax
by
Medical & Gabeents
More from Joyce Roca
PPT
Bioseguridadjoyce
by
Joyce Roca
PPTX
Técnica de clark
by
Joyce Roca
PPTX
Radiologia tecnica de bisectriz
by
Joyce Roca
PPTX
Control de infección en radiologia
by
Joyce Roca
PPTX
Biologia de la radiación y proteccion contra la radiación
by
Joyce Roca
PPTX
Radiologia 2012 caracteristicas de la radiacion
by
Joyce Roca
PPTX
Indicaciones endodonticas parte 2
by
Joyce Roca
PPT
Indicaciones endodonticas
by
Joyce Roca
PPTX
Física de la radiación2daparte
by
Joyce Roca
PPTX
Física de la radiación 1raparte
by
Joyce Roca
PPT
Traumatologia odonto
by
Joyce Roca
PPT
Toxicología forense
by
Joyce Roca
PPTX
Forense2
by
Joyce Roca
PPTX
Identificación en odontología
by
Joyce Roca
PPTX
Forense
by
Joyce Roca
PPT
Forense
by
Joyce Roca
PPTX
Desastre en masa
by
Joyce Roca
Bioseguridadjoyce
by
Joyce Roca
Técnica de clark
by
Joyce Roca
Radiologia tecnica de bisectriz
by
Joyce Roca
Control de infección en radiologia
by
Joyce Roca
Biologia de la radiación y proteccion contra la radiación
by
Joyce Roca
Radiologia 2012 caracteristicas de la radiacion
by
Joyce Roca
Indicaciones endodonticas parte 2
by
Joyce Roca
Indicaciones endodonticas
by
Joyce Roca
Física de la radiación2daparte
by
Joyce Roca
Física de la radiación 1raparte
by
Joyce Roca
Traumatologia odonto
by
Joyce Roca
Toxicología forense
by
Joyce Roca
Forense2
by
Joyce Roca
Identificación en odontología
by
Joyce Roca
Forense
by
Joyce Roca
Forense
by
Joyce Roca
Desastre en masa
by
Joyce Roca
Interpretacion radiográfica
3.
• Las imagenes
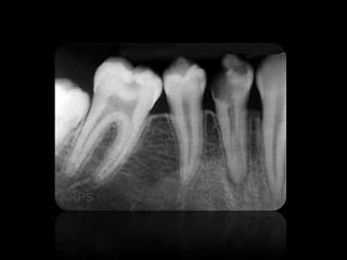
son llamadas radio opacas. • Las imagenes son llamadas radio lúcidas.
6.
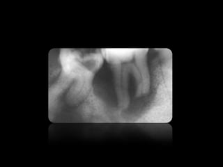
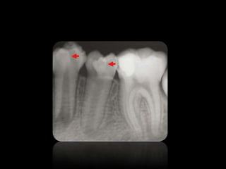
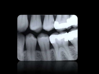
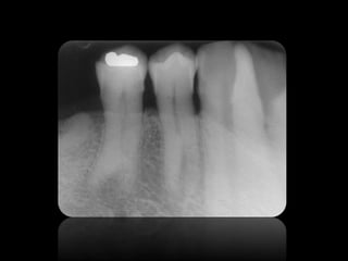
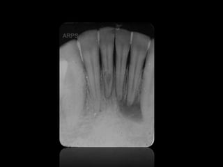
CARIES
10.
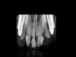
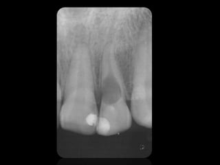
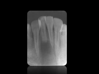
ABSCESO PERIAPICAL
14.
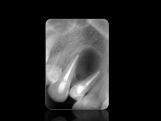
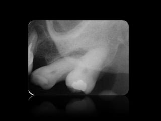
QUISTES
18.
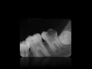
REABSORCIONES ÓSEAS
22.
REABSORCIÓN DENTAL EXTERNA
26.
REABSORCIÓN DENTAL INTERNA
30.
FRACTURAS
34.
RIZOGÉNESIS INCOMPLETA
38.
CEMENTOBLASTOMAS
41.
FUSIÓN
43.
GEMINACIÓN
46.
CONGRESCENCIA
48.
TAURODONTISMO
52.
DENS IN DENTE
57.
PERLAS DE ESMALTE
60.
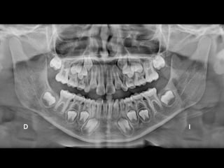
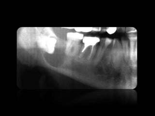
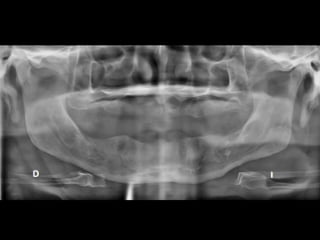
RADIOGRAFÍAS PANORÁMICAS
71.
UNINORTE
Facultad de Ciencias de la Salud ODONTOLOGÍA Ficha de Interpretación Radiográfica Nombre:………………………………………………………………………………………… Fecha:…………………………. Técnica:………………………………………………………………………………………………………………………………… Descripción: …………………………………………………………………………………………………………………………………………………………………… …………………………………………………………………………………………………………………………………………………………………… …………………………………………………………………………………………………………………………………………………………………… …………………………………………………………………………………………………………………………………………………………………… …………………………………………………………………………………………………………………………………………………………………… …………………………………………………………………………………………………………………………………………………………………… …………………………………………………………………………………………………………………………………………………………………… …………………………………………………………………………………………………………………………………………………………………… …………………………………………………………………………………………………………………………………………………………………… …………………………………………………………………………………………………………………………………………………………………… …………………………………………………………………………………………………………………………………………………………………… ……………………………………………………………………………………………………………………………………………………………………
Download