Radiology
Dr Thana Ram Patel
Assistant Professor
Department of General surgery
Dr SN medical college ,jodhpur
CXR – technical procedure
• Identification
• Rotation
• Exposure
• View (ap , pa , lateral)
• Adequate inspiration
CXR - terms (line , silhouette & hidden
areas)
• On the PA chest-film it is important to examine all the areas
where the lung borders, the diaphragm, the heart and
other mediastinal structures.
• At these borders lung-soft tissue interfaces are seen
resulting in a:
• Line or stripe - for instance the right para tracheal stripe.
• Silhouette (outline or sharp shadow of an object in light
background)- for instance the normal silhouette of the
aortic knob or left ventricle
• These lines and silhouettes are useful localizers of disease,
because they can be displaced or obscured with loss of the
normal silhouette. This is called the silhouette sign.
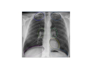
• There are some areas that need special attention, because
pathology in these areas can easily be overlooked.
• These areas are also known as the hidden areas:
• Apical zones
• Hilar zones
• Retrocardial zone
• Zone below the dome of diaphragm
•
CXR systematic approach
• Whenever you review a chest x-ray, always use a systematic
approach.
We use an inside-out approach from central to peripheral.
First the heart figure is evaluated, followed by
mediastinum and hili.
Subsequently the lungs, lungborders and finally the chest
wall and abdomen are examined.
• You have to know the normal anatomy and variants.
Find subtle abnormalities by using the sihouette sign and
mediastinal lines.
Once you see an abnormality use a pattern approach to
come up with the most likely diagnosis and differential
diagnosis.
Heart & pericardium
Mediastinum and hili
• Widening of the paratracheal line (> 2-3mm)
may be due to lymphadenopathy, pleural
thickening, hemorrhage or fluid overload and
heart failure.
• Displacement of the para-aortic line can be
due to elongation of the aorta, aneurysm,
dissection and rupture.
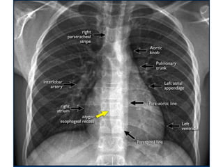
Mediastinal lines/stripes
Azygo-esophageal line/recess
• The azygo-esophageal recess is the region
inferior to the level of the azygos vein arch in
which the right lung forms an interface with
the mediastinum between the heart anteriorly
and vertebral column posteriorly.
It is bordered on the left side by the
esophagus.
Pulmonary vessels
• the right pulmonary artery runs in front of the right
main bronchus, which is usually lower in position than
the left main bronchus. While the left pulmonary
artery runs over the left main bronchus,
• Hence the right hilum is lower than the left.
Only in a minority of cases the right hilus is at the same
level as the left, but never higher.
• the right pulmonary artery (in blue) which passes in
front of the right main bronchus and is lower than the
left main pulmonary artery (in purple) passes over the
left main bronchus.
Lower lobe pulmonary arteries
• the lower lobe pulmonary arteries extend
inferiorly from the hilum.
They are described as little fingers, because
each has the size of a little finger (1).
• On the right side the little finger will be visible
in 94% of normal CXRs and on the left side in
62% of normals (1).
hili
• Once you know how the normal hilar structures look like on
a lateral view, it is easier to detect abnormalities.
• In this case on the PA-view there is hilar enlargement.
On the PA-view it is not clear whether this is due to dilated
vessels or enlarged lymph nodes.
On the lateral view there are round structures in areas
where you don't expect any vessels. So we can conclude
that we are dealing with enlarged lymph nodes.
• This patient has sarcoidosis.
Notice also the widening of the paratracheal line (or stripe)
as a result of enlarged lymph nodes.
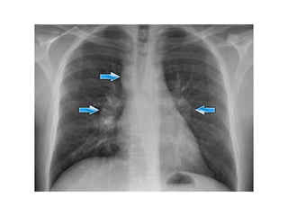
• The left hilum should never be lower than the right hilum.
• Enlargement of the hili is usually due to
lymphadenopathy or enlarged vessels.
• In this case there is an enlarged hilar shadow on
both sides.
This could be the result of enlarged vessels or
enlarged lymph nodes.
A very helpful finding in this case is the mass on
the right of the trachea.
• This is known as the 1-2-3 sign in sarcoidosis, i.e.
enlargement of left hilum, right hilum and
paratracheal.
lungs
• Lung abnormalities mostly present as areas of
increased density, which can be divided into the
following patterns:
• Consolidation
• Atelectasis
• Nodule or mass - solitary or multiple
• Interstitial
• Less frequently areas of decreased density are
seen as in emphysema or lungcysts.
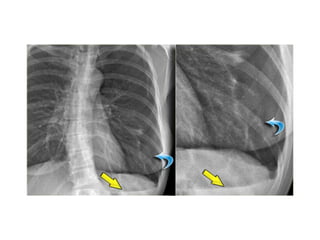
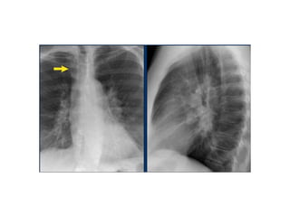
pleura
• The retracted visceral pleura is seen (blue arrow)
which indicates that there is a pneumothorax.
• There is a horizontal line visible (yellow arrow).
Normally there are no straight lines in the human
body unless when there is an air-fluid level.
This means that there is a hydro-pneumothorax.
• When a pneumothorax is small, this air-fluid level
can be the only key to the diagnosis of a
pneumothorax.
Chest / Thoracic wall
• The paraspinal line may be displaced by a
paravertebral abscess, hemorrhage due to a
fracture or extravertebral extension of a
neoplasm.
• The most common identified chest wall
abnormalities are old ribfractures.
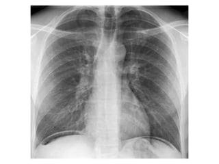
abdomen
• The most obvious finding on this CXR is free
air under the diaphragm.
• This finding indicates a bowel perforation,
unless when the patient had recent abdominal
surgery and there is still some air left in the
abdomen, which can stay there for several
days.
Barium study
• Barium swallow
• Barium meal
• Barium meal follow through
• Enteroclysis
• Barium enema
Barium swallow
• test of the pharynx, esophagus, and proximal stomach,
• may be performed as a single or double contrast study.
• The study is often "modified" to suit the history and
symptoms of the individual patient, but it is often
useful to evaluate the entire pathway from the lips to
the gastric fundus.
• Upper GI endoscopy (UGIE or EGD) has largely replaced
the barium swallow for the assessment of peptic ulcer
disease and the evaluation of hematemesis.
USG
• The entire abdomen is examined to exclude
disease of gallbladder, pancreas, kidney, aorta,
stomach, small and large bowel, appendix, uterus
and ovaries.
A moderately filled bladder allows better survey
of the distal ureters, and of uterus and ovaries in
women; however, a full bladder does not allow
proper graded compression.
Transvaginal US may be used for gynecological
conditions but also for pelvic appendicitis,
diverticulitis and Douglas abscesses.
Transverse image of the normal
appendix without (left) and with
compression (right)
appendix
• LEFT: The normal appendix is small,
compressible, contains no Doppler signal, and
is not surrounded by inflamed fat .RIGHT: The
inflamed appendix is large, non-compressible
and hypervascular, and is surrounded by
hyperechoic, non-compressible tissue,
representing the fatty mesoappendix
Breast imaging
• BI-RADS® is designed to standardize breast
imaging reporting and to reduce confusion in
breast imaging interpretations.
It also facilitates outcome monitoring and quality
assessment.
• It contains a lexicon for standardized terminology
(descriptors) for mammography, breast US and
MRI, as well as chapters on Report Organization
and Guidance Chapters for use in daily practice.
• A complete set of location descriptors consists of:
• Designation of right or left breast
• Quadrant and clockface notation (preferably
both)
• On US quarter and clockface notation should be
supplemented on the image by means of
bodymark and transducer position.
• Depth: anterior, middle or posterior third
(Mammography only)
• Distance from nipple
USG – breast Imaging lexicon
Mammography – breast imaging
lexicon
Mass - shape
Mass - margin
Mass - density
symmetry
CT
• The Couinaud classification of liver anatomy divides the liver into eight
functionally indepedent segments.
Each segment has its own vascular inflow, outflow and biliary drainage.
In the centre of each segment there is a branch of the portal vein, hepatic
artery and bile duct.
In the periphery of each segment there is vascular outflow through the
hepatic veins.
The liver is divided in three vertical planes:
• The plane of the right hepatic vein divides the right lobe into anterior and
posterior segments.
• The plane of the middle hepatic vein divides the liver into right and left
lobes or right and left hemiliver. This plane runs from the inferior vena
cava to the gallbladder fossa.
• The umbilic plane runs from the falciform ligament to the inferior vena
cava and divides the left lobe into a medial part, which is segment IV and a
lateral part formed by segment II and III. This division is the only vertically
oriented plane that is not defined by a hepatic vein
• How to separate liver segments on cross sectional imaging
• Left liver: lateral(II/III) vs medial segment (IVA/B)
Extrapolate a line along the falciform ligament superiorly to the
confluence of the left and middle hepatic veins at the IVC (blue
line).
Left vs Right liver: IVA/B vs V/VIII
Extrapolate a line from the gallbladder fossa superiorly along the
middle hepatic vein to the IVC (red line).
Right liver: anterior (V/VIII) vs posterior segment (VI/VII)
Extrapolate a line along the right hepatic vein from the IVC
inferiorly to the lateral liver margin (green line).
IVP
imaging.pptx
imaging.pptx
imaging.pptx
imaging.pptx
imaging.pptx

imaging.pptx

  • 1.
    Radiology Dr Thana RamPatel Assistant Professor Department of General surgery Dr SN medical college ,jodhpur
  • 2.
    CXR – technicalprocedure • Identification • Rotation • Exposure • View (ap , pa , lateral) • Adequate inspiration
  • 3.
    CXR - terms(line , silhouette & hidden areas) • On the PA chest-film it is important to examine all the areas where the lung borders, the diaphragm, the heart and other mediastinal structures. • At these borders lung-soft tissue interfaces are seen resulting in a: • Line or stripe - for instance the right para tracheal stripe. • Silhouette (outline or sharp shadow of an object in light background)- for instance the normal silhouette of the aortic knob or left ventricle • These lines and silhouettes are useful localizers of disease, because they can be displaced or obscured with loss of the normal silhouette. This is called the silhouette sign.
  • 4.
    • There aresome areas that need special attention, because pathology in these areas can easily be overlooked. • These areas are also known as the hidden areas: • Apical zones • Hilar zones • Retrocardial zone • Zone below the dome of diaphragm •
  • 6.
    CXR systematic approach •Whenever you review a chest x-ray, always use a systematic approach. We use an inside-out approach from central to peripheral. First the heart figure is evaluated, followed by mediastinum and hili. Subsequently the lungs, lungborders and finally the chest wall and abdomen are examined. • You have to know the normal anatomy and variants. Find subtle abnormalities by using the sihouette sign and mediastinal lines. Once you see an abnormality use a pattern approach to come up with the most likely diagnosis and differential diagnosis.
  • 9.
  • 10.
    Mediastinum and hili •Widening of the paratracheal line (> 2-3mm) may be due to lymphadenopathy, pleural thickening, hemorrhage or fluid overload and heart failure. • Displacement of the para-aortic line can be due to elongation of the aorta, aneurysm, dissection and rupture.
  • 11.
  • 12.
    Azygo-esophageal line/recess • Theazygo-esophageal recess is the region inferior to the level of the azygos vein arch in which the right lung forms an interface with the mediastinum between the heart anteriorly and vertebral column posteriorly. It is bordered on the left side by the esophagus.
  • 16.
    Pulmonary vessels • theright pulmonary artery runs in front of the right main bronchus, which is usually lower in position than the left main bronchus. While the left pulmonary artery runs over the left main bronchus, • Hence the right hilum is lower than the left. Only in a minority of cases the right hilus is at the same level as the left, but never higher. • the right pulmonary artery (in blue) which passes in front of the right main bronchus and is lower than the left main pulmonary artery (in purple) passes over the left main bronchus.
  • 18.
    Lower lobe pulmonaryarteries • the lower lobe pulmonary arteries extend inferiorly from the hilum. They are described as little fingers, because each has the size of a little finger (1). • On the right side the little finger will be visible in 94% of normal CXRs and on the left side in 62% of normals (1).
  • 20.
    hili • Once youknow how the normal hilar structures look like on a lateral view, it is easier to detect abnormalities. • In this case on the PA-view there is hilar enlargement. On the PA-view it is not clear whether this is due to dilated vessels or enlarged lymph nodes. On the lateral view there are round structures in areas where you don't expect any vessels. So we can conclude that we are dealing with enlarged lymph nodes. • This patient has sarcoidosis. Notice also the widening of the paratracheal line (or stripe) as a result of enlarged lymph nodes. • The left hilum should never be lower than the right hilum.
  • 22.
    • Enlargement ofthe hili is usually due to lymphadenopathy or enlarged vessels. • In this case there is an enlarged hilar shadow on both sides. This could be the result of enlarged vessels or enlarged lymph nodes. A very helpful finding in this case is the mass on the right of the trachea. • This is known as the 1-2-3 sign in sarcoidosis, i.e. enlargement of left hilum, right hilum and paratracheal.
  • 25.
    lungs • Lung abnormalitiesmostly present as areas of increased density, which can be divided into the following patterns: • Consolidation • Atelectasis • Nodule or mass - solitary or multiple • Interstitial • Less frequently areas of decreased density are seen as in emphysema or lungcysts.
  • 31.
    pleura • The retractedvisceral pleura is seen (blue arrow) which indicates that there is a pneumothorax. • There is a horizontal line visible (yellow arrow). Normally there are no straight lines in the human body unless when there is an air-fluid level. This means that there is a hydro-pneumothorax. • When a pneumothorax is small, this air-fluid level can be the only key to the diagnosis of a pneumothorax.
  • 35.
    Chest / Thoracicwall • The paraspinal line may be displaced by a paravertebral abscess, hemorrhage due to a fracture or extravertebral extension of a neoplasm. • The most common identified chest wall abnormalities are old ribfractures.
  • 36.
    abdomen • The mostobvious finding on this CXR is free air under the diaphragm. • This finding indicates a bowel perforation, unless when the patient had recent abdominal surgery and there is still some air left in the abdomen, which can stay there for several days.
  • 38.
    Barium study • Bariumswallow • Barium meal • Barium meal follow through • Enteroclysis • Barium enema
  • 39.
    Barium swallow • testof the pharynx, esophagus, and proximal stomach, • may be performed as a single or double contrast study. • The study is often "modified" to suit the history and symptoms of the individual patient, but it is often useful to evaluate the entire pathway from the lips to the gastric fundus. • Upper GI endoscopy (UGIE or EGD) has largely replaced the barium swallow for the assessment of peptic ulcer disease and the evaluation of hematemesis.
  • 42.
    USG • The entireabdomen is examined to exclude disease of gallbladder, pancreas, kidney, aorta, stomach, small and large bowel, appendix, uterus and ovaries. A moderately filled bladder allows better survey of the distal ureters, and of uterus and ovaries in women; however, a full bladder does not allow proper graded compression. Transvaginal US may be used for gynecological conditions but also for pelvic appendicitis, diverticulitis and Douglas abscesses.
  • 43.
    Transverse image ofthe normal appendix without (left) and with compression (right)
  • 44.
  • 45.
    • LEFT: Thenormal appendix is small, compressible, contains no Doppler signal, and is not surrounded by inflamed fat .RIGHT: The inflamed appendix is large, non-compressible and hypervascular, and is surrounded by hyperechoic, non-compressible tissue, representing the fatty mesoappendix
  • 46.
    Breast imaging • BI-RADS®is designed to standardize breast imaging reporting and to reduce confusion in breast imaging interpretations. It also facilitates outcome monitoring and quality assessment. • It contains a lexicon for standardized terminology (descriptors) for mammography, breast US and MRI, as well as chapters on Report Organization and Guidance Chapters for use in daily practice.
  • 48.
    • A completeset of location descriptors consists of: • Designation of right or left breast • Quadrant and clockface notation (preferably both) • On US quarter and clockface notation should be supplemented on the image by means of bodymark and transducer position. • Depth: anterior, middle or posterior third (Mammography only) • Distance from nipple
  • 50.
    USG – breastImaging lexicon
  • 51.
    Mammography – breastimaging lexicon
  • 53.
  • 54.
  • 55.
  • 56.
  • 59.
  • 62.
    • The Couinaudclassification of liver anatomy divides the liver into eight functionally indepedent segments. Each segment has its own vascular inflow, outflow and biliary drainage. In the centre of each segment there is a branch of the portal vein, hepatic artery and bile duct. In the periphery of each segment there is vascular outflow through the hepatic veins. The liver is divided in three vertical planes: • The plane of the right hepatic vein divides the right lobe into anterior and posterior segments. • The plane of the middle hepatic vein divides the liver into right and left lobes or right and left hemiliver. This plane runs from the inferior vena cava to the gallbladder fossa. • The umbilic plane runs from the falciform ligament to the inferior vena cava and divides the left lobe into a medial part, which is segment IV and a lateral part formed by segment II and III. This division is the only vertically oriented plane that is not defined by a hepatic vein
  • 66.
    • How toseparate liver segments on cross sectional imaging • Left liver: lateral(II/III) vs medial segment (IVA/B) Extrapolate a line along the falciform ligament superiorly to the confluence of the left and middle hepatic veins at the IVC (blue line). Left vs Right liver: IVA/B vs V/VIII Extrapolate a line from the gallbladder fossa superiorly along the middle hepatic vein to the IVC (red line). Right liver: anterior (V/VIII) vs posterior segment (VI/VII) Extrapolate a line along the right hepatic vein from the IVC inferiorly to the lateral liver margin (green line).
  • 68.