Hydronephrosis
CONTENTS
• Definition
• Etiology
• Pathology
• Clinical features
• Special investigations
• Treatment
2
DEFINITION
• Aseptic dilatation of renal pelvis & calyces with accompanying
destruction of the kidney parenchyma
• Usually due to partial obstruction to the outflow of urine
• Infected hydronephrosis is bacterial infection in a
hydronephrotic Kidney
• The term pyonephrosis refers to Infected hydronephrosis
associated with suppurative destruction of parenchyma of
kidney, in which there is total or nearly total loss of renal
function
3
Hydronephrosis
4
5
Normal kidney Hydronephrosis
Normal Intravenous Pyelogram (IVP)
6
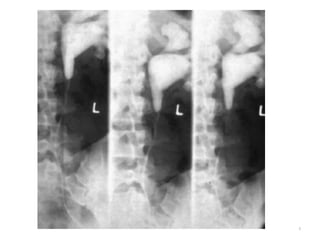
Intravenous Pyelogram (IVP) Showing Hydronephrosis
7
8
Etiology
• Primary or secondary
• Primary: idiopathic
• Secondary: maybe unilateral or bilateral
9
Causes of unilateral hydornephrosis
• Maybe extramural, intramural or Intraluminal
• Extramural:
– Pressure on the ureter by loaded sigmoid colon, gravid uterus, uterine
& ovarian tumors
– Involvement of the ureter by malignant neoplasm outside it e.g.
carcinoma of the cervix, uterus, colon, rectum, prostate
– Aberrant renal vessels
– Idiopathic retroperitoneal fibrosis
10
Causes of unilateral hydornephrosis
• Intramural:
– Congenital stenosis or achalasia of the PUJ
– Ureterocele
– Stricture
– Neoplasm of ureter
11
Causes of unilateral hydornephrosis
• Intraluminal:
– Calculus
– Congenital folds at the upper end of the ureter
12
Causes of bilateral hydornephrosis
• Due to pathologies in the urethra or the urinary bladder
• Causes in the urethra:
– Pin – hole meatus
– Congenital valves
– BPH & carcinoma of prostate
– Stricture
– Carcinoma of cervix & uterus
13
Causes of bilateral hydornephrosis
• Due to pathologies in the urethra or the urinary bladder
• Causes in the bladder:
– Calculus
– Neoplasms
– Sphincter dysfunction
14
15
16
Pathophysiology
• Dilatation of the renal pelvis & calyces
• Types of hydronephrosis:
– Pelvic type
– Renal type
– Pelvirenal type: most common type, both the pelvis & calyces are
equally dilated
17
18
19
Pathology
• There is calyceal dilatation and the renal parenchyma is destroyed by
pressure atrophy.
• A kidney destroyed by longstanding hydronephrosis is a thin-walled,
lobulated, fluid-filled sac.
N. S.Williams et al, The Kidney and Ureters ,Bailey & Love's Short Practice of Surgery. 25th Edn USA : Hodder
Arnold, 2013
Clinical features
• May depend on unilateral, intermittent or bilateral
hydronephrosis
• Bilateral hydronephrosis:
– Features of the causes
– Bilateral renal swelling
20
Clinical features
• May depend on unilateral, intermittent or bilateral
hydronephrosis
• Bilateral hydronephrosis:
– Features of the causes
– Bilateral renal swelling
21
Special investigations
• X- ray KUB
• Excretory urography
• Retrograde urography
• Ultrasound
• Nuclear renography
• Computed Tomography
• Magnetic Resonance Imaging
22
Whitakar Test:
• Study involves measurement of renal pelvic pressure during
infusion of either saline or contrast material into the
collecting system through a percutaneous needle or
nephrostomy at a fixed rate of 10ml/min . A catheter is placed
in the bladder to monitor intravesical pressure, which is
subtracted from the measured collecting system pressure to
calculate the “true pressure” within the pelvis.
• Inference: Intrapelvic pressure
Normal : Less than 15cmH2O
Obstruction : Greater than 22cmH2O
Intermediate : Between 15 and 22 cmH2O
23
Treatment
• Secondary hydronephrosis: treatment of the cause
• Primary hydronephrosis:
– Pyeloplasty:
• Anderson- Hynes
• Culp
• Foley
– Nephrectomy
24
25
26
27
28
Principles of pyeloplasty
• To reduce the size of the renal pelvis
• Excision of the PUJ
• The ureter is attached to the most dependent part of the pelvis
29
• THANK YOU
30
31
extraperitoneal flank approach,
bed of the twelfth rib
32
33

HYDRONEPHROSIS.ppt

  • 1.
  • 2.
    CONTENTS • Definition • Etiology •Pathology • Clinical features • Special investigations • Treatment 2
  • 3.
    DEFINITION • Aseptic dilatationof renal pelvis & calyces with accompanying destruction of the kidney parenchyma • Usually due to partial obstruction to the outflow of urine • Infected hydronephrosis is bacterial infection in a hydronephrotic Kidney • The term pyonephrosis refers to Infected hydronephrosis associated with suppurative destruction of parenchyma of kidney, in which there is total or nearly total loss of renal function 3
  • 4.
  • 5.
  • 6.
  • 7.
    Intravenous Pyelogram (IVP)Showing Hydronephrosis 7
  • 8.
  • 9.
    Etiology • Primary orsecondary • Primary: idiopathic • Secondary: maybe unilateral or bilateral 9
  • 10.
    Causes of unilateralhydornephrosis • Maybe extramural, intramural or Intraluminal • Extramural: – Pressure on the ureter by loaded sigmoid colon, gravid uterus, uterine & ovarian tumors – Involvement of the ureter by malignant neoplasm outside it e.g. carcinoma of the cervix, uterus, colon, rectum, prostate – Aberrant renal vessels – Idiopathic retroperitoneal fibrosis 10
  • 11.
    Causes of unilateralhydornephrosis • Intramural: – Congenital stenosis or achalasia of the PUJ – Ureterocele – Stricture – Neoplasm of ureter 11
  • 12.
    Causes of unilateralhydornephrosis • Intraluminal: – Calculus – Congenital folds at the upper end of the ureter 12
  • 13.
    Causes of bilateralhydornephrosis • Due to pathologies in the urethra or the urinary bladder • Causes in the urethra: – Pin – hole meatus – Congenital valves – BPH & carcinoma of prostate – Stricture – Carcinoma of cervix & uterus 13
  • 14.
    Causes of bilateralhydornephrosis • Due to pathologies in the urethra or the urinary bladder • Causes in the bladder: – Calculus – Neoplasms – Sphincter dysfunction 14
  • 15.
  • 16.
  • 17.
    Pathophysiology • Dilatation ofthe renal pelvis & calyces • Types of hydronephrosis: – Pelvic type – Renal type – Pelvirenal type: most common type, both the pelvis & calyces are equally dilated 17
  • 18.
  • 19.
    19 Pathology • There iscalyceal dilatation and the renal parenchyma is destroyed by pressure atrophy. • A kidney destroyed by longstanding hydronephrosis is a thin-walled, lobulated, fluid-filled sac. N. S.Williams et al, The Kidney and Ureters ,Bailey & Love's Short Practice of Surgery. 25th Edn USA : Hodder Arnold, 2013
  • 20.
    Clinical features • Maydepend on unilateral, intermittent or bilateral hydronephrosis • Bilateral hydronephrosis: – Features of the causes – Bilateral renal swelling 20
  • 21.
    Clinical features • Maydepend on unilateral, intermittent or bilateral hydronephrosis • Bilateral hydronephrosis: – Features of the causes – Bilateral renal swelling 21
  • 22.
    Special investigations • X-ray KUB • Excretory urography • Retrograde urography • Ultrasound • Nuclear renography • Computed Tomography • Magnetic Resonance Imaging 22
  • 23.
    Whitakar Test: • Studyinvolves measurement of renal pelvic pressure during infusion of either saline or contrast material into the collecting system through a percutaneous needle or nephrostomy at a fixed rate of 10ml/min . A catheter is placed in the bladder to monitor intravesical pressure, which is subtracted from the measured collecting system pressure to calculate the “true pressure” within the pelvis. • Inference: Intrapelvic pressure Normal : Less than 15cmH2O Obstruction : Greater than 22cmH2O Intermediate : Between 15 and 22 cmH2O 23
  • 24.
    Treatment • Secondary hydronephrosis:treatment of the cause • Primary hydronephrosis: – Pyeloplasty: • Anderson- Hynes • Culp • Foley – Nephrectomy 24
  • 25.
  • 26.
  • 27.
  • 28.
  • 29.
    Principles of pyeloplasty •To reduce the size of the renal pelvis • Excision of the PUJ • The ureter is attached to the most dependent part of the pelvis 29
  • 30.
  • 31.
  • 32.
  • 33.