GENETICS
INTRODUCTION
   Humans have only about 30,000 genes

   Genetics is study of single or few genes and their
    phenotypic effects.

   Genomics is the study of all the genes in the
    genome and their phenotypic effects
   Any 2 individuals share greater than 99.5% of
    their DNA sequences.

   Remarkable diversity of humans is encoded in
    less than 0.5% of our DNA
DISEASES
 time-honored classification of human diseases
 (1) those that are genetically determined,

 (2) those that are almost entirely
  environmentally determined,
 (3) those to which both nature and nurture
  contribute.
MUTATIONS
PERMANENT               change in
DNA
   GENE MUTATION: (may, and often,
    result in a single base error)
   CHROMOSOME MUTATION:
    (visible chromosome change)
   GENOME MUTATION: (whole
    chromosome)
   Those that affect germ cells are transmitted to
    the progeny and may give rise to inherited
    diseases.

    Mutations in somatic cells are not transmitted to
    the progeny but are important in the causation of
    cancers and some congenital malformations.
 Point mutations result from the substitution of a
  single nucleotide base by a different base,
  resulting in the replacement of one amino acid by
  another in the protein product.
 EX: sickle cell anemia.



   "nonsense" mutations interrupt translation, and
    the resultant truncated proteins are rapidly
    degraded.
POINT MUTATION
   Frameshift mutations occur when the insertion or
    deletion of one or two base pairs alters the
    reading frame of the DNA strand

 Trinucleotide repeat mutations
 mutations are characterized by amplification of a
  sequence of 3 nucleotides.
MENDELIAN INHERITANCE
PATTERNS
AUTOSOMAL      DOMINANT
AUTOSOMAL RECESSIVE
SEX-LINKED (recessive),
 involving “X” chromosome
AUTOSOMAL DOMINANT
 Disease is in HETEROZYGOTES
 NEITHER parent may have the disease (NEW mut.)

REDUCED              PENETRANCE
    (environment?, other genes?)
VARIABLE              EXPRESSIVITY
    (environment?, other genes?)

             DELAYED ONSET
    May have a

  Usually result in a REDUCED

  PRODUCTION or INACTIVE protein
AUTOSOMAL DOMINANT
           •HUNTINGTON
                       DISEASE
•POLYCYSTIC            •NEUROFIBROMATOSI
KIDNEY                 S
                       •MYOTONIC
                       DYSTROPHY
                       •TUBEROUS
•HEREDITARY            SCLEROSIS
SPHEROCYTOS
IS
•VON
WILLEBRAND
                      •MARFAN SYNDROME
DISEASE
                      •EHLERS-DANLOS SYNDROMES
                      (some)
                      •OSTEOGENESIS IMPERFECTA
                      •ACHONDROPLASIA
•ACUTE INTERMITTENT
PORPHYRIA
•FAMILIAL
HYPERCHOLESTEROLEM
IA
AUTOSOMAL DOMINANT
PEDIGREE




    1) BOTH SEXES INVOLVED

    2) GENERATIONS   NOT SKIPPED
AUTOSOMAL RECESSIVE
   Disease is in HOMOZYGOTES

       UNIFORM expression than AD
    More

  Often COMPLETE PENETRANCE

  Onset usually EARLY in life
   NEW mutations rarely detected clinically

  Proteins show   LOSS of FUNCTION
 Include ALL inborn errors of metabolism
 MUCH more common that autosomal dominant
AUTOSOMAL
    RECESSIVE
 CF              Hgb S
 PKU
                  THALASSEMIAS
 GALACTOSEMIA
                  CONG. ADRENAL HYPERPLASIA
 HOMOCYSTINURIA
                  EHLERS-DANLOS (some)
 LYSOSOMAL
  STORAGE
                  ALKAPTONURIA
 Α-1 ANTITRYPSIN NEUROGENIC MUSC. ATROPHIES
 WILSON DISEASE  FRIEDREICH ATAXIA
 HEMOCHROMATOSIS SPINAL MUSCULAR ATROPHY
 GLYCOGEN STORAGE
  DISEASES
AUTOSOMAL RECESSIVE PEDIGREE



                     1) BOTH SEXES
                     INVOLVED

                     2) GENERATIONS
                     SKIPPED
SEX (“X”) LINKED
 MALES   ONLY
 HIS SONS are OK, right?
 ALL his DAUGHTERS are CARRIERS
 The “Y” chromosome is NOT
  homologous to the “X”, i.e., the concept
  of dominant/recessive has no meaning
  here
 HETEROZYGOUS FEMALES have no
  phenotypic expression (carriers)
  ….usually, this means autosomal
  “recessive”, right?
SEX (“X”) LINKED
DUCHENNE   MUSCULAR
 DYSTROPHY
HEMOPHILIA , A and B
G6PD DEFICIENCY
AGAMMAGLOBULINEMIA
WISKOTT-ALDRICH SYNDROME
DIABETES INSIPIDUS
LESCH-NYHAN SYNDROME
FRAGILE-X SYNDROME
SEX LINKED
 PEDIGREE




1) MALES ONLY, sons of affected males are OK
2) GENERATION SKIPPING DOESN’T MATTER
SINGLE GENE DISORDERS
 ENZYME   DEFECT (Most of them, e.g., PKU)
  Accumulation   of substrate
  Lack of product
  Failure to inactivate a protein which causes damage
 RECEPTOR/TRANSPORT       PROTEIN DEFECT
  (Familial Hypercholesterolemia)
 STRUCTURAL PROTEIN DEFECT (Marfan,
  Ehl-Dan)
  Structure
  Function
  Quantity
 ENZYMEDEFECT WHICH INCREASES DRUG
 SUSCEPTIBILITY: G6PDPrimaquine
MARFAN SYNDROME


    autosomal dominant disorder of connective tissues,
    the basic biochemical abnormality affects fibrillin 1.
   This glycoprotein, secreted by fibroblasts, is the major
    component of microfibrils found in the extracellular
    matrix.
    Microfibrils serve as scaffolding for the deposition of
    elastin and are considered integral components of
    elastic fibers.
   Fibrillin 1 is encoded by the FBN1 gene, which maps
    to chromosome 15q21.
    Mutations in the FBN1 gene are found in all patients
    with Marfan syndrome.
ABRAHAM LINCOLN
SKELETAL ABNORMALITIES
  Patients have a slender, elongated habitus with
  abnormally long legs, arms, and fingers
  (arachnodactyly);
 a high-arched palate;

 hyperextensibility of joints.

 A variety of spinal deformities, such as severe
  kyphoscoliosis, may appear.

    The chest is deformed, exhibiting either pectus
    excavatum (i.e., deeply depressed sternum) or a
    pigeon-breast deformity.
   ocular change is bilateral dislocation, or
    subluxation, of the lens owing to weakness of its
    suspensory ligaments.



    It should be noted that the ciliary zonules that
    support the lens are devoid of elastin and are
    made up exclusively of fibrillin
SUBLUXATION OF LENS
 cardiovascular system.
 Fragmentation of the elastic fibers in the tunica
  media of the aorta predisposes to aneurysmal
  dilation and aortic dissection
 The cardiac valves, especially the mitral and, less
  commonly, the tricuspid valve, may be
  excessively distensible and regurgitant (floppy
  valve syndrome), giving rise to congestive cardiac
  failure
 Death from aortic rupture may occur at any age
  and is the most common cause of death. Less
  commonly, cardiac failure is the terminal event.
EHLERS-DANLOS SYNDROMES
    (EDSs) are characterized by defects in collagen
    synthesis or structure.

   30 distinct types of collagen, and all of them have
    characteristic tissue distributions and are the
    products of different genes.

   the clinical heterogeneity of EDS can be
    explained by mutations in different collagen
    genes.
   tissues rich in collagen, such as skin, ligaments,
    and joints, are frequently involved in most
    variants of EDS.

   Because the abnormal collagen fibers lack
    adequate tensile strength, skin is hyperextensible
    and joints are hypermobile.

   These features permit grotesque contortions,
    such as bending the thumb backward to touch
    the forearm and bending the knee upward to
    create almost a right angle.

 The skin is extraordinarily stretchable, extremely
  fragile, and vulnerable to trauma.
 Minor injuries produce gaping defects, and
  surgical repair or any surgical intervention is
  accomplished only with great difficulty because of
  the lack of normal tensile strength.
 The basic defect in connective tissue may lead to
  serious internal complications, including
 rupture of the colon and large arteries (vascular
  EDS);
 ocular fragility, with rupture of the cornea and
  retinal detachment (kyphoscoliosis EDS);
 diaphragmatic hernias (classic EDS),
MOLECULAR BASE
 Deficiency of the enzyme lysyl hydroxylase.
 Decreased hydroxylation of lysyl residues in
  types I and III collagen interferes with the
  normal cross-links among collagen molecules.
   Diseases Caused by Mutations in Receptor



   Familial Hypercholesterolemia
FAMILIAL
HYPERCHOLESTEROLEMIA
   is among the most common mendelian disorders; the
    frequency of heterozygotes is one in 500 in the
    general population.
    It is caused by a mutation in the gene that specifies
    the receptor for LDL, the form in which 70% of total
    plasma cholesterol is transported.
   Dietary triglycerides and cholesterol are incorporated
    into chylomicrons in the intestinal mucosa, which
    drain via the gut lymphatics into the blood.
   These chylomicrons are hydrolyzed by an endothelial
    lipoprotein lipase in the capillaries of muscle and fat.
    The chylomicron remnants, rich in cholesterol, are
    then delivered to the liver
 Some of the cholesterol enters the metabolic pool
  and some is excreted as free cholesterol or bile
  acids into the biliary tract.
 The endogenous synthesis of cholesterol and LDL
  begins in the liver
 The first step in the synthesis of LDL is the
  secretion of triglyceride-rich very-low-density
  lipoprotein (VLDL) by the liver into the blood.
 In the capillaries of adipose tissue and muscle,
  the VLDL particle undergoes lipolysis and is
  converted to intermediate-density lipoprotein
  (IDL).
   In familial hypercholesterolemia, mutations in
    the LDL receptor gene impair the intracellular
    transport and catabolism of LDL, resulting in
    accumulation of LDL cholesterol in the plasma.

   In addition, the absence of LDL receptors on liver
    cells also impairs the transport of IDL into the
    liver, and hence a greater proportion of plasma
    IDL is converted into LDL.
 Thus, patients with familial
  hypercholesterolemia develop excessive levels of
  serum cholesterol as a result of the combined
  effects of reduced catabolism and excessive
  biosynthesis
 In the presence of such hypercholesterolemia,
  there is a marked increase of cholesterol traffic
  into the monocyte macrophages and vascular
  walls via the scavenger receptor.
 This accounts for the appearance of skin
  xanthomas and premature atherosclerosis
   Diseases Caused by Mutations in Enzyme
    Proteins



   Phenylketonuria
 affects 1 in 12,000 live-born Caucasian infants.
 Homozygotes with this autosomal recessive
  disorder classically have a severe lack of
  phenylalanine hydroxylase, leading to
  hyperphenylalaninemia and PKU.
 Affected infants are normal at birth but within a
  few weeks develop a rising plasma phenylalanine
  level, which in some way impairs brain
  development.
 Usually by 6 months of life severe mental
  retardation becomes all too evident;
 fewer than 4% of untreated phenylketonuric
  children have IQs greater than 50 or 60..
 About one-third of these children are never able
  to walk, and two-thirds cannot talk.
 Seizures, other neurologic abnormalities,
  decreased pigmentation of hair and skin, and
  eczema often accompany the mental retardation
  in untreated children.
 Hyperphenylalaninemia and the resultant
  mental retardation can be avoided by restriction
  of phenylalanine intake early in life.
 Hence, several screening procedures are
  routinely performed to detect PKU in the
  immediate postnatal period
 Many female PKU patients, treated with diet
  early in life, reach childbearing age and are
  clinically normal.
 Most of them have marked
  hyperphenylalaninemia, because dietary
  treatment is discontinued after they reach
  adulthood.
 Children born to such women are profoundly
  mentally retarded and have multiple congenital
  anomalies, even though the infants themselves
  are heterozygotes.
 This syndrome, termed maternal PKU, results
  from the teratogenic effects of phenylalanine that
  crosses the placenta and affects the developing
  fetus.
 Hence, it is imperative that maternal
  phenylalanine levels be lowered by dietary
  means before conception.
 Maternal hyperphenylalaninemia also increases
  the risk of spontaneous abortions.
 The biochemical abnormality in PKU is an
  inability to convert phenylalanine into tyrosine.
 In normal children, less than 50% of the dietary
  intake of phenylalanine is necessary for protein
  synthesis.
 The remainder is converted to tyrosine by the
  phenylalanine hydroxylase system

   When phenylalanine metabolism is blocked
    because of a lack of phenylalanine hydroxylase,
    minor shunt pathways come into play, yielding
    several intermediates that are excreted in large
    amounts in the urine and in the sweat.
 These impart a strong musty or mousy odor to
  affected infants.
 It is believed that excess phenylalanine or its
  metabolites contribute to the brain damage in
  PKU.
 Concomitant lack of tyrosine ,a precursor of
  melanin, is responsible for the light color of hair
  and skin
GALACTOSEMIA
   is an autosomal recessive disorder of galactose
    metabolism that affects one in 30,000 live-born
    infants.
   Normally, lactase splits lactose, the major
    carbohydrate of mammalian milk, into glucose and
    galactose in the intestinal microvilli.
   Galactose is then converted to glucose in several
    steps, in one of which the enzyme galactose-1-
    phosphate uridyltransferase is required. Lack of this
    enzyme is responsible for galactosemia.
   As a result of this lack of transferase, galactose 1-
    phosphate and other metabolites, including galactitol,
    accumulate in many tissues, including the liver,
    spleen, lens of the eye, kidney, and cerebral cortex.
 The liver, eyes, and brain bear the brunt of the
  damage.
 The early-developing hepatomegaly is due largely
  to fatty change,
 Opacification of the lens (cataracts) develops,
  probably because the lens absorbs water and
  swells as galactitol, produced by alternative
  metabolic pathways, accumulates and increases
  its tonicity.
 Nonspecific alterations appear in the central
  nervous system (CNS), including loss of nerve
  cells, gliosis, and edema.
   Almost from birth, these infants fail to thrive.
   Vomiting and diarrhea appear within a few days of
    milk ingestion.
   Jaundice and hepatomegaly usually become evident
    during the first week of life.
   Accumulation of galactose and galactose 1-phosphate
    in the kidney impairs amino acid transport, resulting
    in aminoaciduria.
   There is an increased frequency of fulminant
    Escherichia coli septicemia.
   Without appropriate dietary therapy, long-term
    complications such as cataracts, speech defects,
    neurologic deficits, and ovarian failure may occur in
    older children and adults.
   Most of the clinical and morphologic changes can
    be prevented by early removal of galactose from
    the diet for at least the first 2 years of life.

    The diagnosis is established by assay of the
    transferase in leukocytes and erythrocytes.

   Antenatal diagnosis is possible by enzyme assays
    or DNA-based testing of cultured amniocytes or
    chorionic villi.
ENZYME
DEFICIENCIES
BY
  FAR, THE LARGEST
KNOWN CATEGORY
 SUBSTRATE BUILDUP
 PRODUCT LACK
 SUBSTRATE could be
  HARMFUL
LYSOSOMAL    STORAGE
DISEASES comprise MOST
of them
LYSOSOMAL STORAGE DISEASES
 GLYCOGEN STORAGE DISEASES
 SPHINGOLIPIDOSES (Gangliosides)

 SULFATIDOSES

 MUCOPOLYSACCHARIDOSES

 MUCOLIPIDOSES

 OTHER
     Fucosidosis,
               Mannosidosis, Aspartylglycosaminuria
     WOLMAN, Acid phosphate deficiency
LYSOSOMAL STORAGE DISEASES
   Lysosomes contain a variety of hydrolytic
    enzymes that are involved in the breakdown of
    complex substrates, such as sphingolipids and
    mucopolysaccharides, into soluble end products.



   These large molecules may be derived from the
    turnover of intracellular organelles that enter the
    lysosomes by autophagocytosis, or they may be
    acquired from outside the cells by phagocytosis.
   With an inherited lack of a lysosomal enzyme,
    catabolism of its substrate remains incomplete,
    leading to accumulation of the partially degraded
    insoluble metabolites within the lysosomes



   They are divided into broad categories based on
    the biochemical nature of the substrates and the
    accumulated metabolites, but a more mechanistic
    classification is based on the underlying
    molecular defect
PATHOGENESIS
TAY-SACHS DISEASE (GM2
GANGLIOSIDOSIS)
Gangliosidoses are characterized by
 accumulation of gangliosides, principally in the
 brain, as a result of a deficiency of a catabolic
 lysosomal enzyme.
 Depending on the ganglioside involved, these
 disorders are subclassified into
 G and G categories.
   M1       M2

   Tay-Sachs disease is characterized by a mutation
    in and consequent deficiency of the α subunit of
    the enzyme hexosaminidase A, which is
    necessary for the degradation of GM2.
 most affect protein folding or intracellular
  transport.
 The brain is principally affected, because it is
  most involved in ganglioside metabolism.
 The storage of G occurs within neurons, axon
                   M2
  cylinders of nerves, and glial cells throughout the
  CNS.
 Affected cells appear swollen, possibly foamy
  Electron microscopy reveals a whorled
  configuration within lysosomes
 These anatomic changes are found throughout
  the CNS (including the spinal cord), peripheral
  nerves, and autonomic nervous system
 infants appear normal at birth,
 but motor weakness begins at 3 to 6 months of
  age,
 followed by mental retardation, blindness, and
  severe neurologic dysfunctions.
 Death occurs within 2 or 3 years
SPHINGOLIPIDOSES
•   MANY types, Tay-Sachs most often referred to
    – GANGLIOSIDES are ACCUMULATED
    – Ashkenazi Jews (1/30 are carriers)
    – CNS neurons a site of accumulation
    – CHERRY RED spot in Macula
NIEMANN-PICK DISEASE, TYPES A
AND B
   characterized by a primary deficiency of acid
    sphingomyelinase and the resultant
    accumulation of sphingomyelin.



   In type A, characterized by a severe deficiency of
    sphingomyelinase, the breakdown of
    sphingomyelin into ceramide and
    phosphorylcholine is impaired, and excess
    sphingomyelin accumulates in all phagocytic
    cells and in the neurons..
   The macrophages become stuffed with droplets or
    particles of the complex lipid, imparting a fine
    vacuolation or foaminess to the cytoplasm



    Because of their high content of phagocytic cells,
    the organs most severely affected are the spleen,
    liver, bone marrow, lymph nodes, and lungs
 The splenic enlargement may be striking.
 CNS:

 The affected neurons are enlarged and
  vacuolated as a result of the storage of lipids.
 This variant manifests itself in infancy with
  massive visceromegaly and severe neurologic
  deterioration.
 Death usually occurs within the first 3 years of
  life.
    patients with the type B variant have
    organomegaly but no neurologic symptoms.

  Niemann-Pick Disease Type C
 primary defect in lipid transport.

 Affected cells accumulate cholesterol as well as
  gangliosides such as GM1 and GM2.

   NPC is clinically marked by ataxia, vertical
    supranuclear gaze palsy, dystonia, dysarthria,
    and psychomotor regression
NIEMANN-PICK
•   TYPES A, B, C
•   SPHINGOMYELIN BUILDUP
•   Sphingomyelinase (ASM), is the missing enzyme
•   MASSIVE SPLENOMEGALY
•   ALSO in ASHKANAZI JEWS
•   OFTEN FATAL in EARLY LIFE, CNS,
    ORGANOMEGALY
GAUCHER DISEASE
 This disease results from mutation in the gene
  that encodes glucosylceramidase.
 deficient activity of a glucosylceramidase that
  normally cleaves the glucose residue from
  ceramide.
 This leads to an accumulation of
  glucosylceramide in the mononuclear phagocytic
  cells and their transformation into so-called
  Gaucher cells.
 Normally the glycolipids derived from the
  breakdown of senescent blood cells, particularly
  erythrocytes, are sequentially degraded.
   In Gaucher disease, the degradation stops at the
    level of glucosylceramides, which, in transit
    through the blood as macromolecules, are
    engulfed by the phagocytic cells of the body,
    especially in the liver, spleen, and bone marrow.


   These phagocytes (Gaucher cells) become
    enlarged, with some becoming as large as 100
    μm, because of the accumulation of distended
    lysosomes, and develop a pathognomonic
    cytoplasmic appearance characterized as
    "wrinkled tissue paper"
   High levels of macrophage-derived cytokines,
    such as interleukins (IL-2, IL-6) and tumor
    necrosis factor (TNF) are found in affected
    tissues.
  type I :-- the chronic non-neuronopathic form,
 accounts for 99% of cases of Gaucher disease.

 It is characterized by clinical or radiographic
  bone involvement (osteopenia, focal lytic lesions,
  and osteonecrosis) in 70% to 100% of cases.
 Additional features are hepatosplenomegaly and
  the absence of CNS involvement.
 The spleen often enlarges massively, filling the
  entire abdomen.
 Gaucher cells are found in the liver, spleen,
  lymph nodes, and bone marrow.
 Marrow replacement and cortical erosion may
  produce radiographically visible skeletal lesions,
  as well as a reduction in the formed elements of
  blood.
 Bone changes are believed to be caused by
  macrophage-derived cytokines
 Types II and III variants are characterized by
  neurologic signs and symptoms.
 In type II, the symptoms start before 2 years of
  age and are more severe, whereas in type III, the
  symptoms appear later and are milder.
 Although the liver and spleen are also involved,
  the clinical features are dominated by neurologic
  disturbances.
 In addition to these, there is a perinatal-lethal
  form characterized by hepatosplenomegaly, skin
  lesions, and non-immune hydrops . In the so-
  called cardiovascular form, there is involvement
  and calcification of mitral and aortic valves.
MUCOPOLYSACCHARIDOSES (MPSS)
   characterized by defective degradation (and
    therefore excessive storage) of
    mucopolysaccharides in various tissues.

   Recall that mucopolysaccharides form a part of
    ground substance and are synthesized by
    connective tissue fibroblasts.

    Most of the mucopolysaccharide is secreted into
    the ground substance, but a certain fraction is
    degraded within lysosomes.
   Several enzymes are involved in this catabolic
    pathway; it is the lack of these enzymes that
    leads to accumulation of mucopolysaccharides
    within the lysosomes.

    Several clinical variants of MPS, classified
    numerically from MPS I to MPS VII, have been
    described, each resulting from the deficiency of
    one specific enzyme.
 The mucopolysaccharides that accumulate within
  the tissues include
 dermatan sulfate,

 heparan sulfate,

 keratan sulfate,

 chondroitin sulfate
 Most are associated with coarse facial features,
  clouding of the cornea, joint stiffness, and mental
  retardation.
 Urinary excretion of the accumulated
  mucopolysaccharides is often increased.

   All of these disorders except one are inherited as
    autosomal recessive conditions; the exception,
    Hunter syndrome, is an X-linked recessive
    disease.
 Mucopolysaccharidosis type I caused by a
  deficiency of α-L-iduronidase.
 In Hurler syndrome, affected children have a life
  expectancy of 6 to 10 years.
 they develop coarse facial features associated
  with skeletal deformities.
 Death is often due to cardiac complications
  resulting from the formation of raised endothelial
  and endocardial lesions by the deposition of
  mucopolysaccharides in the coronary arteries and
  heart valves.
 type II, or Hunter syndrome, (X-linked),
 results from a deficiency of L-iduronate sulfatase.


GLYCOGEN STORAGE DISEASES
(GLYCOGENOSES)
An inherited deficiency of any one of the enzymes
 involved in glycogen synthesis or degradation can
 result in excessive accumulation of glycogen or
 some abnormal form of glycogen in various
 tissues.
 Regardless of the tissue or cells affected, the
 glycogen is most often stored within the
 cytoplasm, or sometimes within nuclei.
 Most glycogenoses are inherited as autosomal
 recessive diseases, as is common with "missing
 enzyme" syndromes.
 Hepatic type.
 Liver contains several enzymes that synthesize
  glycogen for storage and also break it down into
  free glucose.
 Hence, a deficiency of the hepatic enzymes
  involved in glycogen metabolism is associated
  with two major clinical effects:
 enlargement of the liver due to storage of glycogen
  and hypoglycemia due to a failure of glucose
  production
   Von Gierke disease (type I glycogenosis),
    resulting from a lack of glucose-6-phosphatase, is
    the most important example of the hepatic form
    of glycogenosis
 Myopathic type.
 In striated muscle, glycogen is an important
  source of energy.
 When enzymes that are involved in glycolysis are
  deficient, glycogen storage occurs in muscles and
  there is an associated muscle weakness due to
  impaired energy production.

   Typically, the myopathic forms of glycogen
    storage diseases are marked by muscle cramps
    after exercise, myoglobinuria, and failure of
    exercise to induce an elevation in blood lactate
    levels because of a block in glycolysis
   McArdle disease (type V glycogenosis), resulting
    from a deficiency of muscle phosphorylase, is the
    prototype of myopathic glycogenoses.

   Type II glycogenosis (Pompe disease) is caused by
    a deficiency of lysosomal acid maltase and so is
    associated with deposition of glycogen in
    virtually every organ, but cardiomegaly is most
    prominent.

   Brancher glycogenosis (type IV) is caused by
    deposition of an abnormal form of glycogen, with
    detrimental effects on the liver, heart, and
 Accumulation of dermatan sulfate and heparan
  sulfate is seen in cells of the mononuclear
  phagocyte system, in fibroblasts, and within
  endothelium and smooth muscle cells of the
  vascular wall.
 The affected cells are swollen and have clear
  cytoplasm, resulting from the accumulation of
  material positive for periodic acid-Schiff stain
  within engorged, vacuolated lysosomes.
 Lysosomal inclusions are also found in neurons,
  accounting for the mental retardation
MULTIFACTORIAL
    INHERITANCE
 Multi-”FACTORIAL”, not just multi-GENIC
 “SOIL” theory

 Common phenotypic expressions governed by
  “multifactorial” inheritance
     Hair color
     Eye color
     Skin color
     Height
     Intelligence
     Diabetes, type II
FEATURES OF
MULTIFACTORIAL
INHERITANCE
 Expression determined by NUMBER of genes
 Overall 5% chance of 1st degree relatives having it

 Identical twins >>>5%, but WAY less than 100%

 This 5% is increased if more children have it


    Expression of CONTINUOUS                traits (e.g.,
    height) vs. DISCONTINUOUS traits (e.g., diabetes)
“MULTIFACTORIAL”
DISORDERS
Cleftlip, palate
Congenital heart disease
Coronary heart disease
Hypertension
Gout
Diabetes
Pyloric stenosis
MANY, MANY, MANY, MANY
 MORE
KARYOTYPING
 Defined  as the study of
  CHROMOSOMES
 46 = (22x2) + X + Y
 Conventional notation is “46,XY” or
  “46,XX”
 G(iemsa)-banding, 500 bands per
  haploid recognizable
 Short (“p”-etit) arm = p, other (long)
  arm = q
MORE
    KARYOTYPING INFO
   A,B,C,D,E,F,G depends on chromosome length
    A  longest
     G shortest
   Groups within these letters depend on the p/q ratio
ARMREGIONBANDSub-
    BAND, numbering from the centromere
    progressing distad
GREATLY ENHANCES G-
BANDING
Fluorescent In-
 Situ Hybridization
   Uses fluorescent labelled
    DNA fragments, ~10,000
    base pairs, to bind (or
    not bind) to its
    complement
FISH
 SUBTLE MICRODELETIONS
 COMPLEX TRANSLOCATIONS
 AND TELOMERE ALTERATIONS
TRIPLE CHROMOSOME #20    A DELETION in
                        CHROMOSOME #22
SPECTRAL
KARYOTYPING
CYTOGENETIC
DISORDERS
DEFINITIONS:
 EUPLOID

 ANEUPLOID (NOT AN EXACT
  MULTIPLE OF 23)
 MONOSOMY, AUTOSOME OR SEX
 TRISOMY, AUTOSOME OR SEX
 DELETION
 BREAKAGE
MORE DEFINITIONS
COMMON CYTOGENETIC DISEASES
  AUTOSOMES

  TRISOMY-21     (DOWN SYNDROME)
  8, 9, 13 (Patau), 18 (Edwards), 22
  22q.11.2 deletion
  SEX   CHROMOSOMES
  KLINEFELTER: XXY, XXXY,
   etc.
  TURNER: XO
TRISOMY-21
TRISOMY-21
 Most trisomies (monosomies, aneuploidy) are from
  maternal non-disjunction
 (non-disjunction or anaphase lag are BOTH possible)


#1    cause of mental
    retardation
 Maternal age related
 Congenital Heart Defects, risk for acute leukemias, GI
  atresias
 Most LOVABLE of all God’s children
CHROMOSOME 22Q11.2
DELETION SYNDROME
  Because of a DELETION, this
   cannot be detected by standard
   karyotyping and needs FISH
  Cardiac defects, DiGeorge
   syndrome, velocardiofacial,
   CATCH*
SEX CHROMOSOME
DISORDERS
 Problems related to sexual development
  and fertility
 Discovered at time of puberty

 Retardation related to the number of X
  chromosomes
 If you have at least ONE “Y” chromosome,
  you are male
KLINEFELTER (XXY, XXXY,
ETC.)
 Hypogonadism     found at
  puberty
 #1 cause of male
  infertility
 NO   retardation unless more
  X’s
 47, XXY     82% of the time
 L----O----N----G legs, atrophic
  testes, small penis
TURNER (XO)
45,X is the “proper” designation
Mosaics common
Often, the WHOLE chromosome is
 not missing, but just part
NECK “WEBBING”
EDEMA of HAND DORSUM
CONGENITAL HEART DEFECTS
 most FEARED
HERMAPHRODITES
 GENETIC  SEX is determined by the
  PRESENCE or ABSENCE of a “Y”
  chromosome, but there is also, GONADAL
  (phenotypic), and DUCTAL sex
 TRUE HERMAPHRODITE: OVARIES AND
  TESTES, often on opposite sides (VERY RARE)

 PSEUDO-HERMAPHRODITE:
  MALE:TESTES with female characteristics (Y-)
  FEMALE: OVARIES with male characteristics (XX)
SINGLE GENE, NON-
 MENDELIAN
Triplet repeats
 Fragile X (CGG)
 Others: ataxias, myotonic dystrophy
Mitochondrial     Mutations:
 (maternal)
     (LEBER HEREDITARY OPTIC
 NEUROPATHY)
Genomic “IMPRINTING”: (Inactivation
 of maternal or paternal allele, contradicts
 Mendel)
Gonadal “MOSAICISM”: (only gametes
 have mutated cells)
MOLECULAR DX BY DNA PROBES
 BIRTH DEFECTS, PRE- or
  POST- NATAL
 TUMOR CELLS
 CLASSIFICATIONS of TUMORS
 IDENTIFICATION of
  PATHOGENS
 DONOR COMPATIBILITY
 PATERNITY
 FORENSIC
H&E tissue
structures

 Immuno-
  Antigen
 Proteins

GENES that
MAKE those
PROTEINS
TRIPLET-REPEAT MUTATIONS:
FRAGILE X SYNDROME
Fragile X syndrome is the prototype of diseases
 in which the mutation is characterized by a long
 repeating sequence of 3 nucleotides.
 Other examples of diseases associated with
 trinucleotide repeat mutations include
 Huntington disease and myotonic dystrophy.

   amplification of specific sets of 3 nucleotides
    within the gene disrupts its function
 Fragile X syndrome is characterized by mental
  retardation and an abnormality in the X
  chromosome.
 It is one of the most common causes of familial
  mental retardation.
 Clinically affected males have moderate to severe
  mental retardation.
 They express a characteristic physical phenotype
  that includes a long face with a large mandible,
  large everted ears, and large testicles (macro-
  orchidism).
   Fragile X syndrome results from a mutation in
    the FMR1 gene, which maps to Xq27.3. Like all
    X-linked recessive disorders, this disease affects
    males
GENOMIC IMPRINTING: PRADER-
WILLI AND ANGELMAN
SYNDROMES
 All humans inherit two copies of each gene,
  carried on homologous maternal and paternal
  chromosomes.
 genomic imprinting

 certain genes are differentially "inactivated"
  during paternal and maternal gametogenesis.
 Thus, maternal imprinting refers to
  transcriptional silencing of the maternal allele,
  whereas paternal imprinting implies that the
  paternal allele is inactivated.
 Imprinting occurs in ovum or sperm and is then
  stably transmitted to all somatic cells derived
  from the zygote
GENOMIC IMPRINTING
PRADER-WILLI SYNDROME
 characterized by mental retardation, short
  stature, hypotonia, obesity, small hands and feet,
  and hypogonadism.
 In 60% to 75% of cases, an interstitial deletion of
  band q12 in the long arm of chromosome 15 can
  be detected.
 It is striking that in all cases the deletion affects
  the paternally derived chromosome 15.
.
   Angelman syndrome are born with a deletion of
    the same chromosomal region derived from their
    mothers
 Patients with Angelman syndrome are also
  mentally retarded, but in addition they present
  with ataxic gait, seizures, and inappropriate
  laughter.
 Because of the laughter and ataxia, this
  syndrome is also called the happy puppet
  syndrome.

Genetics for undergraduates

  • 1.
  • 2.
    INTRODUCTION  Humans have only about 30,000 genes  Genetics is study of single or few genes and their phenotypic effects.  Genomics is the study of all the genes in the genome and their phenotypic effects
  • 3.
    Any 2 individuals share greater than 99.5% of their DNA sequences.  Remarkable diversity of humans is encoded in less than 0.5% of our DNA
  • 4.
    DISEASES  time-honored classificationof human diseases  (1) those that are genetically determined,  (2) those that are almost entirely environmentally determined,  (3) those to which both nature and nurture contribute.
  • 5.
    MUTATIONS PERMANENT change in DNA  GENE MUTATION: (may, and often, result in a single base error)  CHROMOSOME MUTATION: (visible chromosome change)  GENOME MUTATION: (whole chromosome)
  • 6.
    Those that affect germ cells are transmitted to the progeny and may give rise to inherited diseases.  Mutations in somatic cells are not transmitted to the progeny but are important in the causation of cancers and some congenital malformations.
  • 7.
     Point mutationsresult from the substitution of a single nucleotide base by a different base, resulting in the replacement of one amino acid by another in the protein product.  EX: sickle cell anemia.  "nonsense" mutations interrupt translation, and the resultant truncated proteins are rapidly degraded.
  • 8.
  • 9.
    Frameshift mutations occur when the insertion or deletion of one or two base pairs alters the reading frame of the DNA strand  Trinucleotide repeat mutations  mutations are characterized by amplification of a sequence of 3 nucleotides.
  • 11.
    MENDELIAN INHERITANCE PATTERNS AUTOSOMAL DOMINANT AUTOSOMAL RECESSIVE SEX-LINKED (recessive), involving “X” chromosome
  • 12.
    AUTOSOMAL DOMINANT  Diseaseis in HETEROZYGOTES  NEITHER parent may have the disease (NEW mut.) REDUCED PENETRANCE (environment?, other genes?) VARIABLE EXPRESSIVITY (environment?, other genes?)  DELAYED ONSET May have a  Usually result in a REDUCED PRODUCTION or INACTIVE protein
  • 13.
    AUTOSOMAL DOMINANT •HUNTINGTON DISEASE •POLYCYSTIC •NEUROFIBROMATOSI KIDNEY S •MYOTONIC DYSTROPHY •TUBEROUS •HEREDITARY SCLEROSIS SPHEROCYTOS IS •VON WILLEBRAND •MARFAN SYNDROME DISEASE •EHLERS-DANLOS SYNDROMES (some) •OSTEOGENESIS IMPERFECTA •ACHONDROPLASIA •ACUTE INTERMITTENT PORPHYRIA •FAMILIAL HYPERCHOLESTEROLEM IA
  • 14.
    AUTOSOMAL DOMINANT PEDIGREE 1) BOTH SEXES INVOLVED 2) GENERATIONS NOT SKIPPED
  • 15.
    AUTOSOMAL RECESSIVE  Disease is in HOMOZYGOTES  UNIFORM expression than AD More  Often COMPLETE PENETRANCE  Onset usually EARLY in life  NEW mutations rarely detected clinically  Proteins show LOSS of FUNCTION  Include ALL inborn errors of metabolism  MUCH more common that autosomal dominant
  • 16.
    AUTOSOMAL RECESSIVE  CF Hgb S  PKU THALASSEMIAS  GALACTOSEMIA CONG. ADRENAL HYPERPLASIA  HOMOCYSTINURIA EHLERS-DANLOS (some)  LYSOSOMAL STORAGE ALKAPTONURIA  Α-1 ANTITRYPSIN NEUROGENIC MUSC. ATROPHIES  WILSON DISEASE FRIEDREICH ATAXIA  HEMOCHROMATOSIS SPINAL MUSCULAR ATROPHY  GLYCOGEN STORAGE DISEASES
  • 17.
    AUTOSOMAL RECESSIVE PEDIGREE 1) BOTH SEXES INVOLVED 2) GENERATIONS SKIPPED
  • 18.
    SEX (“X”) LINKED MALES ONLY  HIS SONS are OK, right?  ALL his DAUGHTERS are CARRIERS  The “Y” chromosome is NOT homologous to the “X”, i.e., the concept of dominant/recessive has no meaning here  HETEROZYGOUS FEMALES have no phenotypic expression (carriers) ….usually, this means autosomal “recessive”, right?
  • 19.
    SEX (“X”) LINKED DUCHENNE MUSCULAR DYSTROPHY HEMOPHILIA , A and B G6PD DEFICIENCY AGAMMAGLOBULINEMIA WISKOTT-ALDRICH SYNDROME DIABETES INSIPIDUS LESCH-NYHAN SYNDROME FRAGILE-X SYNDROME
  • 20.
    SEX LINKED PEDIGREE 1)MALES ONLY, sons of affected males are OK 2) GENERATION SKIPPING DOESN’T MATTER
  • 21.
    SINGLE GENE DISORDERS ENZYME DEFECT (Most of them, e.g., PKU)  Accumulation of substrate  Lack of product  Failure to inactivate a protein which causes damage  RECEPTOR/TRANSPORT PROTEIN DEFECT (Familial Hypercholesterolemia)  STRUCTURAL PROTEIN DEFECT (Marfan, Ehl-Dan)  Structure  Function  Quantity  ENZYMEDEFECT WHICH INCREASES DRUG SUSCEPTIBILITY: G6PDPrimaquine
  • 22.
    MARFAN SYNDROME  autosomal dominant disorder of connective tissues,  the basic biochemical abnormality affects fibrillin 1.  This glycoprotein, secreted by fibroblasts, is the major component of microfibrils found in the extracellular matrix.  Microfibrils serve as scaffolding for the deposition of elastin and are considered integral components of elastic fibers.  Fibrillin 1 is encoded by the FBN1 gene, which maps to chromosome 15q21.  Mutations in the FBN1 gene are found in all patients with Marfan syndrome.
  • 23.
  • 25.
    SKELETAL ABNORMALITIES  Patients have a slender, elongated habitus with abnormally long legs, arms, and fingers (arachnodactyly);  a high-arched palate;  hyperextensibility of joints.  A variety of spinal deformities, such as severe kyphoscoliosis, may appear.  The chest is deformed, exhibiting either pectus excavatum (i.e., deeply depressed sternum) or a pigeon-breast deformity.
  • 27.
    ocular change is bilateral dislocation, or subluxation, of the lens owing to weakness of its suspensory ligaments.  It should be noted that the ciliary zonules that support the lens are devoid of elastin and are made up exclusively of fibrillin
  • 28.
  • 30.
     cardiovascular system. Fragmentation of the elastic fibers in the tunica media of the aorta predisposes to aneurysmal dilation and aortic dissection  The cardiac valves, especially the mitral and, less commonly, the tricuspid valve, may be excessively distensible and regurgitant (floppy valve syndrome), giving rise to congestive cardiac failure  Death from aortic rupture may occur at any age and is the most common cause of death. Less commonly, cardiac failure is the terminal event.
  • 31.
    EHLERS-DANLOS SYNDROMES  (EDSs) are characterized by defects in collagen synthesis or structure.  30 distinct types of collagen, and all of them have characteristic tissue distributions and are the products of different genes.  the clinical heterogeneity of EDS can be explained by mutations in different collagen genes.
  • 32.
    tissues rich in collagen, such as skin, ligaments, and joints, are frequently involved in most variants of EDS.  Because the abnormal collagen fibers lack adequate tensile strength, skin is hyperextensible and joints are hypermobile.  These features permit grotesque contortions, such as bending the thumb backward to touch the forearm and bending the knee upward to create almost a right angle. 
  • 35.
     The skinis extraordinarily stretchable, extremely fragile, and vulnerable to trauma.  Minor injuries produce gaping defects, and surgical repair or any surgical intervention is accomplished only with great difficulty because of the lack of normal tensile strength.
  • 36.
     The basicdefect in connective tissue may lead to serious internal complications, including  rupture of the colon and large arteries (vascular EDS);  ocular fragility, with rupture of the cornea and retinal detachment (kyphoscoliosis EDS);  diaphragmatic hernias (classic EDS),
  • 37.
    MOLECULAR BASE  Deficiencyof the enzyme lysyl hydroxylase.  Decreased hydroxylation of lysyl residues in types I and III collagen interferes with the normal cross-links among collagen molecules.
  • 38.
    Diseases Caused by Mutations in Receptor  Familial Hypercholesterolemia
  • 39.
    FAMILIAL HYPERCHOLESTEROLEMIA  is among the most common mendelian disorders; the frequency of heterozygotes is one in 500 in the general population.  It is caused by a mutation in the gene that specifies the receptor for LDL, the form in which 70% of total plasma cholesterol is transported.  Dietary triglycerides and cholesterol are incorporated into chylomicrons in the intestinal mucosa, which drain via the gut lymphatics into the blood.  These chylomicrons are hydrolyzed by an endothelial lipoprotein lipase in the capillaries of muscle and fat.  The chylomicron remnants, rich in cholesterol, are then delivered to the liver
  • 41.
     Some ofthe cholesterol enters the metabolic pool and some is excreted as free cholesterol or bile acids into the biliary tract.  The endogenous synthesis of cholesterol and LDL begins in the liver  The first step in the synthesis of LDL is the secretion of triglyceride-rich very-low-density lipoprotein (VLDL) by the liver into the blood.  In the capillaries of adipose tissue and muscle, the VLDL particle undergoes lipolysis and is converted to intermediate-density lipoprotein (IDL).
  • 43.
    In familial hypercholesterolemia, mutations in the LDL receptor gene impair the intracellular transport and catabolism of LDL, resulting in accumulation of LDL cholesterol in the plasma.  In addition, the absence of LDL receptors on liver cells also impairs the transport of IDL into the liver, and hence a greater proportion of plasma IDL is converted into LDL.
  • 44.
     Thus, patientswith familial hypercholesterolemia develop excessive levels of serum cholesterol as a result of the combined effects of reduced catabolism and excessive biosynthesis  In the presence of such hypercholesterolemia, there is a marked increase of cholesterol traffic into the monocyte macrophages and vascular walls via the scavenger receptor.  This accounts for the appearance of skin xanthomas and premature atherosclerosis
  • 45.
    Diseases Caused by Mutations in Enzyme Proteins  Phenylketonuria
  • 46.
     affects 1in 12,000 live-born Caucasian infants.  Homozygotes with this autosomal recessive disorder classically have a severe lack of phenylalanine hydroxylase, leading to hyperphenylalaninemia and PKU.  Affected infants are normal at birth but within a few weeks develop a rising plasma phenylalanine level, which in some way impairs brain development.  Usually by 6 months of life severe mental retardation becomes all too evident;  fewer than 4% of untreated phenylketonuric children have IQs greater than 50 or 60..
  • 47.
     About one-thirdof these children are never able to walk, and two-thirds cannot talk.  Seizures, other neurologic abnormalities, decreased pigmentation of hair and skin, and eczema often accompany the mental retardation in untreated children.  Hyperphenylalaninemia and the resultant mental retardation can be avoided by restriction of phenylalanine intake early in life.  Hence, several screening procedures are routinely performed to detect PKU in the immediate postnatal period
  • 49.
     Many femalePKU patients, treated with diet early in life, reach childbearing age and are clinically normal.  Most of them have marked hyperphenylalaninemia, because dietary treatment is discontinued after they reach adulthood.  Children born to such women are profoundly mentally retarded and have multiple congenital anomalies, even though the infants themselves are heterozygotes.
  • 50.
     This syndrome,termed maternal PKU, results from the teratogenic effects of phenylalanine that crosses the placenta and affects the developing fetus.  Hence, it is imperative that maternal phenylalanine levels be lowered by dietary means before conception.  Maternal hyperphenylalaninemia also increases the risk of spontaneous abortions.
  • 51.
     The biochemicalabnormality in PKU is an inability to convert phenylalanine into tyrosine.  In normal children, less than 50% of the dietary intake of phenylalanine is necessary for protein synthesis.  The remainder is converted to tyrosine by the phenylalanine hydroxylase system   When phenylalanine metabolism is blocked because of a lack of phenylalanine hydroxylase, minor shunt pathways come into play, yielding several intermediates that are excreted in large amounts in the urine and in the sweat.
  • 52.
     These imparta strong musty or mousy odor to affected infants.  It is believed that excess phenylalanine or its metabolites contribute to the brain damage in PKU.  Concomitant lack of tyrosine ,a precursor of melanin, is responsible for the light color of hair and skin
  • 53.
    GALACTOSEMIA  is an autosomal recessive disorder of galactose metabolism that affects one in 30,000 live-born infants.  Normally, lactase splits lactose, the major carbohydrate of mammalian milk, into glucose and galactose in the intestinal microvilli.  Galactose is then converted to glucose in several steps, in one of which the enzyme galactose-1- phosphate uridyltransferase is required. Lack of this enzyme is responsible for galactosemia.  As a result of this lack of transferase, galactose 1- phosphate and other metabolites, including galactitol, accumulate in many tissues, including the liver, spleen, lens of the eye, kidney, and cerebral cortex.
  • 54.
     The liver,eyes, and brain bear the brunt of the damage.  The early-developing hepatomegaly is due largely to fatty change,  Opacification of the lens (cataracts) develops, probably because the lens absorbs water and swells as galactitol, produced by alternative metabolic pathways, accumulates and increases its tonicity.  Nonspecific alterations appear in the central nervous system (CNS), including loss of nerve cells, gliosis, and edema.
  • 56.
    Almost from birth, these infants fail to thrive.  Vomiting and diarrhea appear within a few days of milk ingestion.  Jaundice and hepatomegaly usually become evident during the first week of life.  Accumulation of galactose and galactose 1-phosphate in the kidney impairs amino acid transport, resulting in aminoaciduria.  There is an increased frequency of fulminant Escherichia coli septicemia.  Without appropriate dietary therapy, long-term complications such as cataracts, speech defects, neurologic deficits, and ovarian failure may occur in older children and adults.
  • 57.
    Most of the clinical and morphologic changes can be prevented by early removal of galactose from the diet for at least the first 2 years of life.  The diagnosis is established by assay of the transferase in leukocytes and erythrocytes.  Antenatal diagnosis is possible by enzyme assays or DNA-based testing of cultured amniocytes or chorionic villi.
  • 58.
    ENZYME DEFICIENCIES BY FAR,THE LARGEST KNOWN CATEGORY SUBSTRATE BUILDUP PRODUCT LACK SUBSTRATE could be HARMFUL LYSOSOMAL STORAGE DISEASES comprise MOST of them
  • 59.
    LYSOSOMAL STORAGE DISEASES GLYCOGEN STORAGE DISEASES  SPHINGOLIPIDOSES (Gangliosides)  SULFATIDOSES  MUCOPOLYSACCHARIDOSES  MUCOLIPIDOSES  OTHER  Fucosidosis, Mannosidosis, Aspartylglycosaminuria  WOLMAN, Acid phosphate deficiency
  • 60.
    LYSOSOMAL STORAGE DISEASES  Lysosomes contain a variety of hydrolytic enzymes that are involved in the breakdown of complex substrates, such as sphingolipids and mucopolysaccharides, into soluble end products.  These large molecules may be derived from the turnover of intracellular organelles that enter the lysosomes by autophagocytosis, or they may be acquired from outside the cells by phagocytosis.
  • 61.
    With an inherited lack of a lysosomal enzyme, catabolism of its substrate remains incomplete, leading to accumulation of the partially degraded insoluble metabolites within the lysosomes  They are divided into broad categories based on the biochemical nature of the substrates and the accumulated metabolites, but a more mechanistic classification is based on the underlying molecular defect
  • 62.
  • 63.
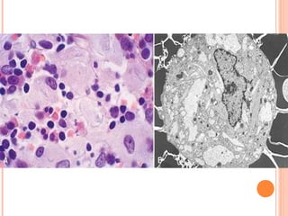
    TAY-SACHS DISEASE (GM2 GANGLIOSIDOSIS) Gangliosidosesare characterized by accumulation of gangliosides, principally in the brain, as a result of a deficiency of a catabolic lysosomal enzyme.  Depending on the ganglioside involved, these disorders are subclassified into  G and G categories. M1 M2  Tay-Sachs disease is characterized by a mutation in and consequent deficiency of the α subunit of the enzyme hexosaminidase A, which is necessary for the degradation of GM2.
  • 64.
     most affectprotein folding or intracellular transport.  The brain is principally affected, because it is most involved in ganglioside metabolism.  The storage of G occurs within neurons, axon M2 cylinders of nerves, and glial cells throughout the CNS.  Affected cells appear swollen, possibly foamy Electron microscopy reveals a whorled configuration within lysosomes  These anatomic changes are found throughout the CNS (including the spinal cord), peripheral nerves, and autonomic nervous system
  • 65.
     infants appearnormal at birth,  but motor weakness begins at 3 to 6 months of age,  followed by mental retardation, blindness, and severe neurologic dysfunctions.  Death occurs within 2 or 3 years
  • 66.
    SPHINGOLIPIDOSES • MANY types, Tay-Sachs most often referred to – GANGLIOSIDES are ACCUMULATED – Ashkenazi Jews (1/30 are carriers) – CNS neurons a site of accumulation – CHERRY RED spot in Macula
  • 67.
    NIEMANN-PICK DISEASE, TYPESA AND B  characterized by a primary deficiency of acid sphingomyelinase and the resultant accumulation of sphingomyelin.  In type A, characterized by a severe deficiency of sphingomyelinase, the breakdown of sphingomyelin into ceramide and phosphorylcholine is impaired, and excess sphingomyelin accumulates in all phagocytic cells and in the neurons..
  • 68.
    The macrophages become stuffed with droplets or particles of the complex lipid, imparting a fine vacuolation or foaminess to the cytoplasm  Because of their high content of phagocytic cells, the organs most severely affected are the spleen, liver, bone marrow, lymph nodes, and lungs
  • 69.
     The splenicenlargement may be striking.  CNS:  The affected neurons are enlarged and vacuolated as a result of the storage of lipids.  This variant manifests itself in infancy with massive visceromegaly and severe neurologic deterioration.  Death usually occurs within the first 3 years of life.
  • 70.
    patients with the type B variant have organomegaly but no neurologic symptoms.  Niemann-Pick Disease Type C  primary defect in lipid transport.  Affected cells accumulate cholesterol as well as gangliosides such as GM1 and GM2.  NPC is clinically marked by ataxia, vertical supranuclear gaze palsy, dystonia, dysarthria, and psychomotor regression
  • 71.
    NIEMANN-PICK • TYPES A, B, C • SPHINGOMYELIN BUILDUP • Sphingomyelinase (ASM), is the missing enzyme • MASSIVE SPLENOMEGALY • ALSO in ASHKANAZI JEWS • OFTEN FATAL in EARLY LIFE, CNS, ORGANOMEGALY
  • 72.
    GAUCHER DISEASE  Thisdisease results from mutation in the gene that encodes glucosylceramidase.  deficient activity of a glucosylceramidase that normally cleaves the glucose residue from ceramide.  This leads to an accumulation of glucosylceramide in the mononuclear phagocytic cells and their transformation into so-called Gaucher cells.  Normally the glycolipids derived from the breakdown of senescent blood cells, particularly erythrocytes, are sequentially degraded.
  • 73.
    In Gaucher disease, the degradation stops at the level of glucosylceramides, which, in transit through the blood as macromolecules, are engulfed by the phagocytic cells of the body, especially in the liver, spleen, and bone marrow.   These phagocytes (Gaucher cells) become enlarged, with some becoming as large as 100 μm, because of the accumulation of distended lysosomes, and develop a pathognomonic cytoplasmic appearance characterized as "wrinkled tissue paper"
  • 74.
    High levels of macrophage-derived cytokines, such as interleukins (IL-2, IL-6) and tumor necrosis factor (TNF) are found in affected tissues.
  • 76.
     typeI :-- the chronic non-neuronopathic form,  accounts for 99% of cases of Gaucher disease.  It is characterized by clinical or radiographic bone involvement (osteopenia, focal lytic lesions, and osteonecrosis) in 70% to 100% of cases.  Additional features are hepatosplenomegaly and the absence of CNS involvement.  The spleen often enlarges massively, filling the entire abdomen.
  • 77.
     Gaucher cellsare found in the liver, spleen, lymph nodes, and bone marrow.  Marrow replacement and cortical erosion may produce radiographically visible skeletal lesions, as well as a reduction in the formed elements of blood.  Bone changes are believed to be caused by macrophage-derived cytokines
  • 78.
     Types IIand III variants are characterized by neurologic signs and symptoms.  In type II, the symptoms start before 2 years of age and are more severe, whereas in type III, the symptoms appear later and are milder.  Although the liver and spleen are also involved, the clinical features are dominated by neurologic disturbances.  In addition to these, there is a perinatal-lethal form characterized by hepatosplenomegaly, skin lesions, and non-immune hydrops . In the so- called cardiovascular form, there is involvement and calcification of mitral and aortic valves.
  • 79.
    MUCOPOLYSACCHARIDOSES (MPSS)  characterized by defective degradation (and therefore excessive storage) of mucopolysaccharides in various tissues.  Recall that mucopolysaccharides form a part of ground substance and are synthesized by connective tissue fibroblasts.  Most of the mucopolysaccharide is secreted into the ground substance, but a certain fraction is degraded within lysosomes.
  • 80.
    Several enzymes are involved in this catabolic pathway; it is the lack of these enzymes that leads to accumulation of mucopolysaccharides within the lysosomes.  Several clinical variants of MPS, classified numerically from MPS I to MPS VII, have been described, each resulting from the deficiency of one specific enzyme.
  • 81.
     The mucopolysaccharidesthat accumulate within the tissues include  dermatan sulfate,  heparan sulfate,  keratan sulfate,  chondroitin sulfate
  • 82.
     Most areassociated with coarse facial features, clouding of the cornea, joint stiffness, and mental retardation.  Urinary excretion of the accumulated mucopolysaccharides is often increased.  All of these disorders except one are inherited as autosomal recessive conditions; the exception, Hunter syndrome, is an X-linked recessive disease.
  • 84.
     Mucopolysaccharidosis typeI caused by a deficiency of α-L-iduronidase.  In Hurler syndrome, affected children have a life expectancy of 6 to 10 years.  they develop coarse facial features associated with skeletal deformities.  Death is often due to cardiac complications resulting from the formation of raised endothelial and endocardial lesions by the deposition of mucopolysaccharides in the coronary arteries and heart valves.
  • 85.
     type II,or Hunter syndrome, (X-linked),  results from a deficiency of L-iduronate sulfatase. 
  • 86.
    GLYCOGEN STORAGE DISEASES (GLYCOGENOSES) Aninherited deficiency of any one of the enzymes involved in glycogen synthesis or degradation can result in excessive accumulation of glycogen or some abnormal form of glycogen in various tissues.  Regardless of the tissue or cells affected, the glycogen is most often stored within the cytoplasm, or sometimes within nuclei.  Most glycogenoses are inherited as autosomal recessive diseases, as is common with "missing enzyme" syndromes.
  • 87.
     Hepatic type. Liver contains several enzymes that synthesize glycogen for storage and also break it down into free glucose.  Hence, a deficiency of the hepatic enzymes involved in glycogen metabolism is associated with two major clinical effects:  enlargement of the liver due to storage of glycogen and hypoglycemia due to a failure of glucose production
  • 88.
    Von Gierke disease (type I glycogenosis), resulting from a lack of glucose-6-phosphatase, is the most important example of the hepatic form of glycogenosis
  • 89.
     Myopathic type. In striated muscle, glycogen is an important source of energy.  When enzymes that are involved in glycolysis are deficient, glycogen storage occurs in muscles and there is an associated muscle weakness due to impaired energy production.  Typically, the myopathic forms of glycogen storage diseases are marked by muscle cramps after exercise, myoglobinuria, and failure of exercise to induce an elevation in blood lactate levels because of a block in glycolysis
  • 90.
    McArdle disease (type V glycogenosis), resulting from a deficiency of muscle phosphorylase, is the prototype of myopathic glycogenoses.  Type II glycogenosis (Pompe disease) is caused by a deficiency of lysosomal acid maltase and so is associated with deposition of glycogen in virtually every organ, but cardiomegaly is most prominent.  Brancher glycogenosis (type IV) is caused by deposition of an abnormal form of glycogen, with detrimental effects on the liver, heart, and
  • 91.
     Accumulation ofdermatan sulfate and heparan sulfate is seen in cells of the mononuclear phagocyte system, in fibroblasts, and within endothelium and smooth muscle cells of the vascular wall.  The affected cells are swollen and have clear cytoplasm, resulting from the accumulation of material positive for periodic acid-Schiff stain within engorged, vacuolated lysosomes.  Lysosomal inclusions are also found in neurons, accounting for the mental retardation
  • 92.
    MULTIFACTORIAL INHERITANCE  Multi-”FACTORIAL”, not just multi-GENIC  “SOIL” theory  Common phenotypic expressions governed by “multifactorial” inheritance  Hair color  Eye color  Skin color  Height  Intelligence  Diabetes, type II
  • 93.
    FEATURES OF MULTIFACTORIAL INHERITANCE  Expressiondetermined by NUMBER of genes  Overall 5% chance of 1st degree relatives having it  Identical twins >>>5%, but WAY less than 100%  This 5% is increased if more children have it  Expression of CONTINUOUS traits (e.g., height) vs. DISCONTINUOUS traits (e.g., diabetes)
  • 94.
    “MULTIFACTORIAL” DISORDERS Cleftlip, palate Congenital heartdisease Coronary heart disease Hypertension Gout Diabetes Pyloric stenosis MANY, MANY, MANY, MANY MORE
  • 95.
    KARYOTYPING  Defined as the study of CHROMOSOMES  46 = (22x2) + X + Y  Conventional notation is “46,XY” or “46,XX”  G(iemsa)-banding, 500 bands per haploid recognizable  Short (“p”-etit) arm = p, other (long) arm = q
  • 97.
    MORE KARYOTYPING INFO  A,B,C,D,E,F,G depends on chromosome length A longest  G shortest  Groups within these letters depend on the p/q ratio ARMREGIONBANDSub- BAND, numbering from the centromere progressing distad
  • 99.
    GREATLY ENHANCES G- BANDING FluorescentIn- Situ Hybridization  Uses fluorescent labelled DNA fragments, ~10,000 base pairs, to bind (or not bind) to its complement
  • 100.
    FISH  SUBTLE MICRODELETIONS COMPLEX TRANSLOCATIONS  AND TELOMERE ALTERATIONS
  • 101.
    TRIPLE CHROMOSOME #20 A DELETION in CHROMOSOME #22
  • 102.
  • 103.
    CYTOGENETIC DISORDERS DEFINITIONS: EUPLOID ANEUPLOID(NOT AN EXACT MULTIPLE OF 23) MONOSOMY, AUTOSOME OR SEX TRISOMY, AUTOSOME OR SEX DELETION BREAKAGE
  • 104.
  • 105.
    COMMON CYTOGENETIC DISEASES  AUTOSOMES TRISOMY-21 (DOWN SYNDROME) 8, 9, 13 (Patau), 18 (Edwards), 22 22q.11.2 deletion  SEX CHROMOSOMES KLINEFELTER: XXY, XXXY, etc. TURNER: XO
  • 106.
  • 107.
    TRISOMY-21  Most trisomies(monosomies, aneuploidy) are from maternal non-disjunction  (non-disjunction or anaphase lag are BOTH possible) #1 cause of mental retardation  Maternal age related  Congenital Heart Defects, risk for acute leukemias, GI atresias  Most LOVABLE of all God’s children
  • 109.
    CHROMOSOME 22Q11.2 DELETION SYNDROME  Because of a DELETION, this cannot be detected by standard karyotyping and needs FISH  Cardiac defects, DiGeorge syndrome, velocardiofacial, CATCH*
  • 111.
    SEX CHROMOSOME DISORDERS  Problemsrelated to sexual development and fertility  Discovered at time of puberty  Retardation related to the number of X chromosomes  If you have at least ONE “Y” chromosome, you are male
  • 112.
    KLINEFELTER (XXY, XXXY, ETC.) Hypogonadism found at puberty #1 cause of male infertility NO retardation unless more X’s 47, XXY 82% of the time L----O----N----G legs, atrophic testes, small penis
  • 114.
    TURNER (XO) 45,X isthe “proper” designation Mosaics common Often, the WHOLE chromosome is not missing, but just part NECK “WEBBING” EDEMA of HAND DORSUM CONGENITAL HEART DEFECTS most FEARED
  • 116.
    HERMAPHRODITES  GENETIC SEX is determined by the PRESENCE or ABSENCE of a “Y” chromosome, but there is also, GONADAL (phenotypic), and DUCTAL sex  TRUE HERMAPHRODITE: OVARIES AND TESTES, often on opposite sides (VERY RARE)  PSEUDO-HERMAPHRODITE:  MALE:TESTES with female characteristics (Y-)  FEMALE: OVARIES with male characteristics (XX)
  • 117.
    SINGLE GENE, NON- MENDELIAN Triplet repeats Fragile X (CGG) Others: ataxias, myotonic dystrophy Mitochondrial Mutations: (maternal) (LEBER HEREDITARY OPTIC NEUROPATHY) Genomic “IMPRINTING”: (Inactivation of maternal or paternal allele, contradicts Mendel) Gonadal “MOSAICISM”: (only gametes have mutated cells)
  • 118.
    MOLECULAR DX BYDNA PROBES  BIRTH DEFECTS, PRE- or POST- NATAL  TUMOR CELLS  CLASSIFICATIONS of TUMORS  IDENTIFICATION of PATHOGENS  DONOR COMPATIBILITY  PATERNITY  FORENSIC
  • 119.
    H&E tissue structures Immuno- Antigen Proteins GENES that MAKE those PROTEINS
  • 120.
    TRIPLET-REPEAT MUTATIONS: FRAGILE XSYNDROME Fragile X syndrome is the prototype of diseases in which the mutation is characterized by a long repeating sequence of 3 nucleotides.  Other examples of diseases associated with trinucleotide repeat mutations include Huntington disease and myotonic dystrophy.  amplification of specific sets of 3 nucleotides within the gene disrupts its function
  • 121.
     Fragile Xsyndrome is characterized by mental retardation and an abnormality in the X chromosome.  It is one of the most common causes of familial mental retardation.  Clinically affected males have moderate to severe mental retardation.  They express a characteristic physical phenotype that includes a long face with a large mandible, large everted ears, and large testicles (macro- orchidism).
  • 122.
    Fragile X syndrome results from a mutation in the FMR1 gene, which maps to Xq27.3. Like all X-linked recessive disorders, this disease affects males
  • 123.
    GENOMIC IMPRINTING: PRADER- WILLIAND ANGELMAN SYNDROMES  All humans inherit two copies of each gene, carried on homologous maternal and paternal chromosomes.  genomic imprinting  certain genes are differentially "inactivated" during paternal and maternal gametogenesis.  Thus, maternal imprinting refers to transcriptional silencing of the maternal allele, whereas paternal imprinting implies that the paternal allele is inactivated.  Imprinting occurs in ovum or sperm and is then stably transmitted to all somatic cells derived from the zygote
  • 124.
  • 125.
    PRADER-WILLI SYNDROME  characterizedby mental retardation, short stature, hypotonia, obesity, small hands and feet, and hypogonadism.  In 60% to 75% of cases, an interstitial deletion of band q12 in the long arm of chromosome 15 can be detected.  It is striking that in all cases the deletion affects the paternally derived chromosome 15. .
  • 126.
    Angelman syndrome are born with a deletion of the same chromosomal region derived from their mothers
  • 127.
     Patients withAngelman syndrome are also mentally retarded, but in addition they present with ataxic gait, seizures, and inappropriate laughter.  Because of the laughter and ataxia, this syndrome is also called the happy puppet syndrome.

Editor's Notes

  • #6 The chapter is organized in order of increasing size of the chromosomal molecular anatomic defect.
  • #9 Classical ideal concept of a point mutation, which also happens to be the REAL defect in sickle cell anemia.
  • #13 Heterozygous ~ “less aggressive”? Single trouble?
  • #14 NOT to memorize, but be familiar with.
  • #16 Homozygous ~ “more aggressive”? Double trouble? This SHOULD make sense too?
  • #17 Most of the classical “genetic” diseases are autosomal RECESSIVE, rather than autosomal DOMINANT, by far. NOT to memorize, but be familiar with.
  • #20 You should know reflexively that ALL these diseases are sex linked. We will soon see a map of the X-chromosome.
  • #59 The concept is extremely simple: If an enzyme cannot convert A  B, then A builds up abnormally.
  • #60 You will probably never see any of these disorders personally, but nevertheless, you should have familiarity with the process behind each disease. You should already know from biochemistry what these substances are already.
  • #67 Sphingolipids  are a class of  lipids  containing a backbone of  sphingoid bases , a set of aliphatic   amino  alcohols that includes  sphingosine . “Sphingo” comes from Sphinx, because of their original enigmatic nature! Tay-Sachs disease  (abbreviated  TSD , also known as  GM2 gangliosidosis  or  Hexosaminidase A deficiency ) is an  autosomal recessive genetic disorder . In its most common variant known as infantile Tay-Sachs disease it presents with a relentless deterioration of mental and physical abilities which commences at 6 months of age and usually results in death by the age of four.
  • #72 Sphingomyelin  (SPH), (sphin-go-my-e-lin (sfi ng gōˈmīəlin)), is a type of  sphingolipid  found in animal  cell membranes , especially in the membranous  myelin sheath  which surrounds some  nerve cell   axons . It usually consists of phosphorylcholine  and  ceramide . In humans SPH represents ~85% of all sphingolipids.
  • #76 Cerebrosides  are  glycosphingolipids  which are important components in animal  muscle  and  nerve   cell membranes .  Myelin  is the most well known cerebroside. Glucocerebroside  (also called  glucosylceramide ) is any of the  cerebrosides  in which the  monosaccharide  head group is  glucose . Gaucher's disease is the most common of the  lysosomal storage diseases . It is caused by a hereditary deficiency of the enzyme glucocerebrosidase  (also known as acid β-glucosidase). The enzyme acts on a fatty substance  glucocerebroside  (also known as glucosylceramide ). When the enzyme is defective, the substance accumulates, particularly in cells of the mononuclear cell lineage.
  • #93 We are now moving the discussion up from ONE gene  MULTI-genes  Parts of chromosomes  WHOLE chromosomes.
  • #94 If a disease or condition is scalable, rather than on or off, it is probably multigenic, or multifactorial, just part of the spectrum of HOMO-zygous diseases being HOMO-geneous, and HETERO-zygous diseases being VARIABLE.
  • #95 You might imagine that the list of “multifactorial” disorders blends in with the entire list of human diseases. Hence are “all” diseases “genetic”? This is almost an UNFAIR list, therefore.
  • #96 The Giemsa stain, named after Gustav Giemsa, is a VERY common stain in pathology, often used to identify organisms in cells such as malaria and helicobacter, and MANY other things such as parts of cells and connective tissue. It is a VERY simple stain to do.
  • #97 The “official” notation for the normal male pattern is: “46, XY”
  • #99 Is it surprising that the “regions” of the “X” chromosome are the same as the list of sex-linked diseases? Ans: NO Have you see this list before? Ans: YES
  • #100 Awesome research technique, used often in everyday pathology too, fluorescently “labels” pieces of DNA which connect to the corresponding strand during DNA replication. In situ hybridization (ISH)  is a type of  hybridization  that uses a labeled  complementary DNA  or  RNA  strand (i.e.,  probe ) to localize a specific DNA or RNA sequence in a portion or section of  tissue  ( in situ )
  • #101 FISH is POWERFULLY more sensitive, accurate, and specific, than G-banding.
  • #102 Common applications for FISH. Examples of diseases that are diagnosed using FISH include  Prader-Willi syndrome ,  Angelman syndrome ,  22q13 deletion syndrome ,  chronic myelogenous leukemia ,  acute lymphoblastic leukemia ,Cri-du-chat, Velocardiofacial syndrome, and Down syndrome, but, IN GENERAL, diseases with partial or whole chromosome abnormalities.
  • #103 This technique is used to identify structural chromosome aberrations in cancer cells and other disease conditions when Giemsa banding or other techniques are not accurate enough. Each chromosome has a different color, sort of, although some of this is digital false color techniques, much in the same way, electron microscopy can generate “false” colors.
  • #105 Just about everything you can imagine geometrically which can happen to that piece of string------does!
  • #107 Maternal “nondisjunction” is the classical explanation of Trisomy 21.
  • #109 You do not have to see many trisomy-21 patients until you can recognize them very quickly and easily. There is NO way you can learn from a textbook how to recognize these patients quickly. If you KNOW one or are RELATED to one, or loved one, you NEVER fail to recognize the face without having to describe the details, i.e., pattern-recognition.
  • #110 22q11.2 deletion syndrome , also known as  DiGeorge Syndrome, Velo(soft palate)Cardio(heart)Facial(face) Syndrome, conotruncal anomaly face syndrome, Congenital Thymic Aplasia, Strong Syndrome, Thymic hypoplasia, and DiGeorge anomaly. It also has the mnemonic C-A-T-C-H, for : C ardiac Abnormality (especially Fallot's Tetralogy) A bnormal facies T hymic aplasia C left palate H ypocalcemia
  • #111 Cute smiles?
  • #112 Sexuality can be defined in many ways, having at least ONE “Y” chromosome is a good definition of being male.
  • #116 “ STREAK” ovaries are the rule, neck webbing and cardiac structural abnormalities are also at the top of the list.
  • #117 “ Pseudo”-hermaphrodites are MUCH more common that TRUE hermaphrodites.
  • #118 The fragile X syndrome is a genetic disorder caused by mutation of the FMR1 gene on the X chromosome. Mutation at that site is found in 1 out of about every 2000 males and 1 out of about every 259 females. (Incidence of the disease itself is about 1 in every 4000 females.) Leber’s hereditary optic neuropathy (LHON)  or  Leber optic atrophy  is a mitochondrially inherited (mother to all offspring) degeneration of retinal ganglion cells (RGCs) and their axons that leads to an acute or subacute loss of central vision; this affects predominantly young adult males. However, LHON is only transmitted through the mother as it is primarily due to mutations in the mitochondrial (not nuclear) genome and only the egg contributes mitochondria to the embryo. Genomic imprinting  is a genetic phenomenon by which certain genes are expressed in a parent-of-origin-specific manner.
  • #119 My #1 peeve, is people who identify pathology with forensic pathology. It shows they have been watching WAY too much TV.
  • #120 Evolution of tumor classifications: 1) Histology  2) Immunochemistry  3) Gene micro-arrays