Medical Radiology
Diagnostic Imaging
Series Editors
Maximilian F. Reiser
Hedvig Hricak
Michael Knauth
Editorial Board
Andy Adam, London
Fred Avni, Brussels
Richard L. Baron, Chicago
Carlo Bartolozzi, Pisa
George S. Bisset, Durham
A. Mark Davies, Birmingham
William P. Dillon, San Francisco
D. David Dershaw, New York
Sam Sanjiv Gambhir, Stanford
Nicolas Grenier, Bordeaux
Gertraud Heinz-Peer, Vienna
Robert Hermans, Leuven
Hans-Ulrich Kauczor, Heidelberg
Theresa McLoud, Boston
Konstantin Nikolaou, Munich
Caroline Reinhold, Montreal
Donald Resnick, San Diego
Rüdiger Schulz-Wendtland, Erlangen
Stephen Solomon, New York
Richard D. White, Columbus
For further volumes:
http://www.springer.com/series/4354
Horst Urbach
Editor
MRI in Epilepsy
123
Editor
Horst Urbach
Department of Neuroradiology
University Hospital Freiburg
Germany
ISSN 0942-5373
ISBN 978-3-642-25137-5 ISBN 978-3-642-25138-2 (eBook)
DOI 10.1007/978-3-642-25138-2
Springer Heidelberg New York Dordrecht London
Library of Congress Control Number: 2013932130
Ó Springer-Verlag Berlin Heidelberg 2013
This work is subject to copyright. All rights are reserved by the Publisher, whether the whole or part of the material is
concerned, specifically the rights of translation, reprinting, reuse of illustrations, recitation, broadcasting,
reproduction on microfilms or in any other physical way, and transmission or information storage and retrieval,
electronic adaptation, computer software, or by similar or dissimilar methodology now known or hereafter
developed. Exempted from this legal reservation are brief excerpts in connection with reviews or scholarly analysis
or material supplied specifically for the purpose of being entered and executed on a computer system, for exclusive
use by the purchaser of the work. Duplication of this publication or parts thereof is permitted only under the
provisions of the Copyright Law of the Publisher’s location, in its current version, and permission for use must
always be obtained from Springer. Permissions for use may be obtained through RightsLink at the Copyright
Clearance Center. Violations are liable to prosecution under the respective Copyright Law.
The use of general descriptive names, registered names, trademarks, service marks, etc. in this publication does not
imply, even in the absence of a specific statement, that such names are exempt from the relevant protective laws and
regulations and therefore free for general use.
While the advice and information in this book are believed to be true and accurate at the date of publication, neither
the authors nor the editors nor the publisher can accept any legal responsibility for any errors or omissions that may
be made. The publisher makes no warranty, express or implied, with respect to the material contained herein.
Printed on acid-free paper
Springer is part of Springer Science+Business Media (www.springer.com)
For Rita, Philipp, Vicky, and Oliver
And for my parents
Preface
Over the past 2 decades MRI has evolved into one of the most powerful tools for
studying patients with neurological diseases. For epilepsy patients it is often the key
entrance to a work-up which may end with epilepsy surgery and postsurgical seizure
freedom. An epileptogenic lesion on MRI is the most important prognostic outcome
parameter, but its proper identification is not as obvious. Sometimes lesions are mis-
interpreted, sometimes overlooked, and sometimes only identified after postprocessing
of adequate imaging data. What is obvious for ‘‘specialists’’ in this field, may be different
for those who rarely see these patients in their daily practice. What gets obvious when
clinical examination, EEG and MRI are considered together, may remain obscured if
these informations are not put together like the pieces of a puzzle. This book has been
written in order to illustrate how single pieces (epileptogenic lesions) look like and how
they could fit to the patient’s seizures. Epilepsy may be a ‘‘1000 pieces puzzle’’ and you
often see only what you know. However, what you have seen once before you may
recognize again. In this sense, we have tried to illustrate each lesion with a typical
imaging example.
Freiburg Horst Urbach
vii
Contents
Part I Epilepsy Patients and How to Examine Them
Epileptic Seizures and Epilepsy . . . . . . . . . . . . . . . . . . . . . . . . . . . . . . . . . . . . 3
Horst Urbach and Jörg Wellmer
Classification of Epileptic Seizures . . . . . . . . . . . . . . . . . . . . . . . . . . . . . . . . . . 5
Horst Urbach and Jörg Wellmer
Localization of Focal Seizures . . . . . . . . . . . . . . . . . . . . . . . . . . . . . . . . . . . . . 11
Horst Urbach and Jörg Wellmer
Epilepsy Syndromes . . . . . . . . . . . . . . . . . . . . . . . . . . . . . . . . . . . . . . . . . . . . 15
Horst Urbach, Robert Sassen, and Jörg Wellmer
The Term ‘‘Epileptogenic Lesion’’ and How to Use it . . . . . . . . . . . . . . . . . . . . 21
Horst Urbach
What To Do After a First Seizure? . . . . . . . . . . . . . . . . . . . . . . . . . . . . . . . . . 25
Horst Urbach
How to Perform MRI . . . . . . . . . . . . . . . . . . . . . . . . . . . . . . . . . . . . . . . . . . . 29
Horst Urbach
MRI of Children . . . . . . . . . . . . . . . . . . . . . . . . . . . . . . . . . . . . . . . . . . . . . . . 37
Robert Sassen and Horst Urbach
Functional MRI . . . . . . . . . . . . . . . . . . . . . . . . . . . . . . . . . . . . . . . . . . . . . . . 43
Jörg Wellmer
The Wada Test . . . . . . . . . . . . . . . . . . . . . . . . . . . . . . . . . . . . . . . . . . . . . . . . 51
Horst Urbach and Jörg Wellmer
Magnetic Resonance Spectroscopy in Chronic Epilepsy . . . . . . . . . . . . . . . . . . 57
Friedrich G. Woermann
SPECT and PET. . . . . . . . . . . . . . . . . . . . . . . . . . . . . . . . . . . . . . . . . . . . . . . 63
Wim Van Paesschen, Karolien Goffin, and Koen Van Laere
Morphometric MRI Analysis . . . . . . . . . . . . . . . . . . . . . . . . . . . . . . . . . . . . . . 73
Hans-Jürgen Huppertz
ix
Metallic Implants . . . . . . . . . . . . . . . . . . . . . . . . . . . . . . . . . . . . . . . . . . . . . . 85
Horst Urbach and Sebastian Flacke
Part II Epileptogenic Lesions
Hippocampal Sclerosis. . . . . . . . . . . . . . . . . . . . . . . . . . . . . . . . . . . . . . . . . . . 91
Horst Urbach
Limbic Encephalitis. . . . . . . . . . . . . . . . . . . . . . . . . . . . . . . . . . . . . . . . . . . . . 101
Horst Urbach and Christian G. Bien
Epilepsy Associated Tumors and Tumor-Like Lesions . . . . . . . . . . . . . . . . . . . 109
Horst Urbach
Malformations of Cortical Development. . . . . . . . . . . . . . . . . . . . . . . . . . . . . . 125
Horst Urbach and Susanne Greschus
Neurocutaneous Diseases (Phakomatoses). . . . . . . . . . . . . . . . . . . . . . . . . . . . . 165
Horst Urbach
Trauma . . . . . . . . . . . . . . . . . . . . . . . . . . . . . . . . . . . . . . . . . . . . . . . . . . . . . 177
Horst Urbach
Vascular Malformations . . . . . . . . . . . . . . . . . . . . . . . . . . . . . . . . . . . . . . . . . 181
Horst Urbach and Timo Krings
Ischemia . . . . . . . . . . . . . . . . . . . . . . . . . . . . . . . . . . . . . . . . . . . . . . . . . . . . . 193
Horst Urbach
Infection and Inflammation . . . . . . . . . . . . . . . . . . . . . . . . . . . . . . . . . . . . . . . 207
Horst Urbach
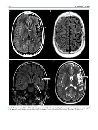
Rasmussen Encephalitis. . . . . . . . . . . . . . . . . . . . . . . . . . . . . . . . . . . . . . . . . . 219
Horst Urbach and Christian G. Bien
Metabolic Disorders . . . . . . . . . . . . . . . . . . . . . . . . . . . . . . . . . . . . . . . . . . . . 227
Horst Urbach and Jens Reimann
Other Epilepsy-Associated Diseases and Differential Diagnoses . . . . . . . . . . . . . 245
Horst Urbach
Postsurgical MRI . . . . . . . . . . . . . . . . . . . . . . . . . . . . . . . . . . . . . . . . . . . . . . 257
Marec von Lehe and Horst Urbach
Index . . . . . . . . . . . . . . . . . . . . . . . . . . . . . . . . . . . . . . . . . . . . . . . . . . . . . . . 267
x Contents
MRI in Epilepsy
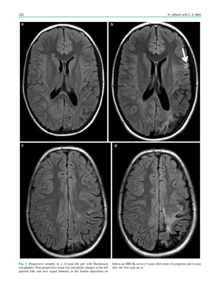
Epileptogenic lesions are often small and do not change during life. Moreover, several
genetically determined epilepsy syndromes exist, which by definition are not caused by
underlying structural lesions. Both cause a certain degree of uncertainty, whether an
epileptogenic lesion is overlooked or is just not present.
This book provides radiologists and referring physicians with clinical and imaging
informations essential to decide, when to initiate a MRI examination, how to decide if a
MRI examination is sufficient to detect a lesion, and how to interpret imaging findings.
xi
Contributors
Christian G. Bien Epilepsy Centre Bethel, Bielefeld, Germany
Sebastian Flacke Department of Radiology, Lahey Clinic, Burlington, MA, USA
Karolien Goffin Division of Nuclear Medicine, University Hospital Leuven and
Katholieke Universiteit Leuven, Leuven, Belgium
Susanne Greschus Department of Radiology/Neuroradiology, University of Bonn,
Bonn, Germany
Hans-Jürgen Huppertz Swiss Epilepsy Centre, Zurich, Switzerland
Timo Krings Department of Neuroradiology, University of Toronto, Toronto, ON,
Canada
Jens Reimann Department of Neurology, University of Bonn, Bonn, Germany
Robert Sassen Department of Epileptology, University of Bonn, Bonn, Germany
H. Urbach Department of Neuroradiology, University Hospital Freiburg, Germany
Koen Van Laere Division of Nuclear Medicine, University Hospital Leuven and
Katholieke Universiteit Leuven, Leuven, Belgium
Wim Van Paesschen Department of Neurology, University Hospital Leuven, Heres-
traat 49, 3000 Leuven, Belgium
Marec von Lehe Department of Neurosurgery, University of Bonn, Bonn, Germany
Jörg Wellmer Ruhr-Epileptology, Department of Neurology, University Hospital
Knappschaftskrankenhaus Bochum, Germany
Friedrich G. Woermann MRI Unit, Mara Hospital, Bethel Epilepsy Center, 33617
Bielefeld, Germany
xiii
EpilepsyPatientsandHowtoExamineThem
Part I
Epileptic Seizures and Epilepsy
Horst Urbach and Jo¨rg Wellmer
Contents
References...................................................................................... 4
Abstract
This chapter introduces the definitions of epileptic
seizures, epilepsy, and drug-resistant epilepsy.
An epileptic seizure is defined as a transient occurrence
of signs and/or symptoms due to abnormal excessive or
synchronous neuronal activity in the brain (Fisher et al.
2005). Around 5% of persons suffer from one or more
epileptic seizures during their lifetime. This number is
derived from a nationwide surveillance system in Iceland, in
which the mean annual incidence of the first unprovoked
seizures was 56.8 per 100,000 person-years, including 23.5
per 100,000 person-years for single unprovoked seizures
and 33.3 per 100,000 person-years for recurrent unprovoked
seizures (Olafsson et al. 2005). The incidence is similar in
males and females, and the age-specific incidence is highest
in the first year of life (130 per 100,000 person-years) and in
those 65 years old and older (130 per 100,000 person-years)
(Olafsson et al. 2005).
Epilepsy is a disorder of the brain characterized by an
enduring predisposition to generate epileptic seizures and by
the neurobiologic, cognitive, psychological, and social con-
sequences of this condition. The definition of epilepsy requires
the occurrence of at least one epileptic seizure. However, in
contrast to former classifications, one seizure permits the
diagnosis of epilepsy if paraclinical EEG (e.g., 3 Hz spike-
and-wave discharges) or MRI (e.g., hippocampal sclerosis)
findings point to an increased epileptogenicity.
Epilepsy is considered as drug-resistant if seizures per-
sist despite adequate medication with two, tolerated anti-
epileptic drugs (single drugs or in combination). A patient
who has no seizures while taking antiepileptic drugs is
considered seizure-free after an observation period of
H. Urbach (&)
Department of Neuroradiology,
University Hospital Freiburg, Germany
e-mail: horst.urbach@uniklinik-freiburg.de
J. Wellmer
Ruhr-Epileptology, Department of Neurology,
University Hospital Knappschaftskrankenhaus
Bochum, Germany
H. Urbach (ed.), MRI in Epilepsy, Medical Radiology. Diagnostic Imaging,
DOI: 10.1007/174_2012_556, Ó Springer-Verlag Berlin Heidelberg 2013
3
1 year. This period can be longer if the patient had rare
seizures before. In this situation, the observation period is 3
times the seizure interval the patient had before (rule of
three) (Kwan et al. 2010). For example, if a patient had
seizures with an interval of 6 months, the observation per-
iod is 18 months.
However, the core definition of drug resistance should be
adapted to the particular clinical situation. It should rely on
an individualized risk–benefit evaluation of continued
antiepileptic drug medication versus epilepsy surgery. In the
case of easily accessible epileptogenic lesions, low com-
plication risks, and a high chance of freedom from seizures,
epilepsy surgery may be offered after a second failed
medical treatment (early relative drug resistance). If the risk
of neurological deficits is high or the chance of freedom
from seizures is low, relative drug resistance is assigned
only after several more drug treatments (Wellmer et al.
2009).
References
Fisher RS, van Emde Boas W, Blume W, Elger C, Genton P, Lee P,
Engel J Jr (2005) Epileptic seizures and epilepsy: definitions
proposed by the International League Against Epilepsy (ILAE) and
the International Bureau for Epilepsy (IBE). Epilepsia 46(4):
470–472. doi:10.1111/j.0013-9580.2005.66104.x
Kwan P, Arzimanoglou A, Berg AT, Brodie MJ, Allen Hauser W,
Mathern G, Moshe SL, Perucca E, Wiebe S, French J (2010)
Definition of drug resistant epilepsy: consensus proposal by the ad
hoc task force of the ILAE commission on therapeutic strategies.
Epilepsia 51(6):1069–1077. doi:10.1111/j.1528-1167.2009.02397.x
OlafssonE,LudvigssonP,Gudmundsson G,HesdorfferD,KjartanssonO,
Hauser WA (2005) Incidence of unprovoked seizures and epilepsy in
Iceland and assessment of the epilepsy syndrome classification: a
prospective study. Lancet Neurol 4(10):627–634. doi:10.1016/S1474-
4422(05)70172-1
Wellmer J, Weber B, Urbach H, Reul J, Fernandez G, Elger CE (2009)
Cerebral lesions can impair fMRI-based language lateralization.
Epilepsia 50(10):2213–2224. doi:10.1111/j.1528-1167.2009.02102.x
4 H. Urbach and J. Wellmer
Classification of Epileptic Seizures
Horst Urbach and Jo¨rg Wellmer
Contents
References...................................................................................... 9
Abstract
Whether and how a patient should be studied with MRI
depends on the type of the seizures and the epilepsy
syndromes. Focal and generalized seizures and non-
epileptic conditions mimicking epileptic seizures have to
be considered.
As in earlier classifications in 1981 and 1989, the most recent
proposal for the terminology of seizures and epilepsies of the
International League Against Epilepsy (ILAE) (Berg et al.
2010) dichotomizes seizures into focal and generalized epi-
leptic seizures. If there is insufficient evidence to characterize
seizures as focal or generalized, they are referred to as
unknown (Table 1). Some of the earlier-applied terms such as
simple partial and complex partial are no longer proposed.
Throughout this book we will refer to the 2010 proposal.
However, since old terms are still abundantly used, for better
understanding they will be given in parentheses.
Focal (old term: partial) seizures (Table 2) originate within
networks limited to one hemisphere. They may be discretely
localized or more widely distributed, and may originate in
subcortical structures. For each seizure type, ictal onset is
consistent from one seizure to another, with preferential
propagation patterns that can involve the contralateral
hemisphere. In some cases, however, there is more than one
network, and more than one seizure type, but each individual
seizure type has a consistent site of onset (Berg et al. 2010).
Generalized epileptic seizures originate at some point
within, and rapidly engage, bilaterally distributed networks.
Such bilateral networks can include cortical and subcortical
structures, but do not necessarily include the entire cortex.
Although individual seizure onsets can appear localized, the
location and lateralization are not consistent from one sei-
zure to another. Generalized seizures can be asymmetric
(Berg et al. 2010).
According to their clinical appearance, focal seizures can be
characterized according to one or more of the following features:
H. Urbach (&)
Department of Neuroradiology,
University Hospital Freiburg, Germany
e-mail: horst.urbach@uniklinik-freiburg.de
J. Wellmer
Ruhr-Epileptology, Dept. of Neurosurgery,
University Hospital knappschaftskrankenhaus,
Bochum, Germany
H. Urbach (ed.), MRI in Epilepsy, Medical Radiology. Diagnostic Imaging,
DOI: 10.1007/174_2012_553, Ó Springer-Verlag Berlin Heidelberg 2013
5
aura (subjective sensory or psychic phenomena only: sensitive,
gustatory, olfactory, visual, auditory, emotional, déjà vu), motor
(including simple motor phenomena and automatisms), and
autonomic. An impairment of awareness or responsiveness is
described as dyscognitive (old term: complex partial seizure).
Focal seizures may evolve to bilateral convulsive seizures
(old term: seizures with secondary generalization).
Generalized seizures are subdivided into tonic–clonic,
absence,myoclonic,tonic,clonic,andatonicseizures(Table 1).
Generalized tonic–clonic seizures, also referred to as
grand mal seizures, are readily recognized by laypersons.
They typically start with an initial fall and immediate loss
of consciousness, followed by tonic contraction of the body
musculature. Contraction of respiratory muscles leads to
forced exhalation and vocalization in the form of a cry or
moan. The eyes deviate upwards and pupils dilate. Incon-
tinence can occur during the tonic phase or later when the
sphincter relaxes. During the tonic phase, the patient may
bite his or her tongue or cheek and respiration is disrupted,
leading to cyanosis. The initial rigidity gradually evolves
into generalized jerking, the clonic phase. Generalized
flexor spasms alternate with relaxation, causing irregular
respiration which is often associated with salivation and
lack of swallowing. Most tonic–clonic seizures end within
2 min and are followed by a postictal phase which is
characterized by diffuse hypotonia, slow deep respirations,
und unresponsiveness. The subsequent recovery over min-
utes or hours is marked by sleepiness, variable headache,
and musculoskeletal soreness upon wakening. Persistent
back pain is suggestive of a vertebral compression fracture
during the tonic phase.
Typical absence seizures present as brief staring spells
with an immediate return to consciousness; they usually last
a few seconds. These seizures usually have their onset in
childhood. Atypical absence continues for longer than a few
seconds, involves falling, or has more complex automatisms
and can be difficult to distinguish from complex partial
seizures.
Myoclonic seizures are myoclonic jerks that result from
epileptic discharges in the brain. Myoclonic jerks are sud-
den, brief, shock-like contractions which may occur in
several epilepsy syndromes but also in nonepileptic dis-
eases. The term ‘‘progressive myoclonus epilepsy’’ refers to
several progressive disorders in which either epileptiform or
nonepileptiform myoclonus and progressive neurological
dysfunctions are the prominent features.
Atonic seizures describe seizures with a sudden loss of
postural tone, in which the patient drops or slumps to the
ground. They are also referred to as drop attacks or astatic
seizures and may result in head contusions and teeth
violations.
Grand mal seizures can be primarily generalized seizures
or can evolve from focal seizures (bilateral convulsive
seizures, old term: secondarily generalized seizures). After
a first seizure, differentiation usually requires observation of
the seizure by a second person. A hint towards generalized,
not focally generated seizures is the occurrence when
waking up and during the first 2 h after waking up (wake-up
seizures). On the other hand, if focal seizures show very
rapid spread of activity over both hemispheres, bilateral
convulsive seizures of focal onset may be mistaken as
generalized seizures. This may especially occur when
epileptogenic lesions are in prefrontal, occipital, or rather
silent brain areas.
Status epilepticus applies to seizures that are prolonged
or that recur at a frequency too rapid to permit proper
recovery of consciousness or awareness between the
seizures. A number of varieties can be distinguished:
Table 1 Outline of the International League Against Epilepsy (ILAE)
classification of epileptic seizures. (From Berg et al. 2010, with
permission)
Generalized seizures
Tonic–clonic (tonic contraction followed by clonus usually lasting
1–2 min)
Absence (altered consciousness and staring with minimal motor
activity for a few seconds)
Typical
Atypical
With special features: myoclonic
With special features: eyelid myoclonia
Myoclonic (sudden, irregular muscle jerks of short duration;
 400 ms)
Myoclonic atonic
Myoclonic tonic
Clonic (repetitive short contractions of agonist and antagonist
muscular groups at a rate of 0.2–5 Hz
Tonic (sustained contraction of muscles for at least 3 s)
Atonic
Focal seizures
Unknown
Epileptic spasms
Table 2 Outline of the ILAE classification of focal seizures (Adapted
from Berg et al. 2010, with permission)
Without impaired consciousness
With objective motor and/or autonomic symptoms (simple
partial seizures)
With only subjective sensory or psychic phenomena (aura)
With impaired consciousness (complex partial seizures)
With generalization to tonic, clonic, or tonic–clonic seizures
(secondary generalized seizures)
6 H. Urbach and J. Wellmer
1. Grand mal status. Tonic–clonic seizures occur at a
frequency so rapid that the patient remains unresponsive
between individual seizures. If the patient becomes
responsive between seizures, it is referred to as grand
mal series.
2. Focal (simple partial) status epilepticus including
epilepsia partialis continua. Epilepsia partialis continua
is defined as spontaneous regular or irregular clonic
muscular twitching affecting a limited part of the body,
sometimes aggravated by action or sensory stimuli,
occurring for a minimum of 1 h, and recurring at inter-
vals of no more than 10 s.
3. Nonconvulsive (complex partial) status epilepticus. This
is an epileptic episode without distinct motor phenomena
but with a fluctuating confusional state. The EEG may
show focal fluctuating or frequently recurring dis-
charges. The episode may last several days or weeks.
4. Absence status.
5. Electrical status epilepticus during slow-wave sleep.
Febrile seizures are seizures that occur in febrile children
between the ages of 6 months and 5 years who do not have
an intracranial infection, metabolic disturbance, or history
of afebrile seizures. They are the most common type of
convulsive events in infants and young children; the inci-
dence is 2–5% until the age of 5 years. They occur most
frequently between the 18th and 24th months of age
(90% below 3 years of age, 50% within the second year of
life).
Febrile seizures are subdivided into two categories:
simple (80–90%) and complex (10–20%). Simple febrile
seizures last for less than 15 min, are generalized (without a
focal component), and occur once in a 24-h period, whereas
complex febrile seizures are prolonged (more than 15 min),
are focal, or occur more than once in 24 h. Simple febrile
seizures are not associated with subsequent epilepsy or
cognitive deficits, whereas complex febrile seizures are
linked with the development of temporal lobe epilepsy and
hippocampal sclerosis. Whether temporal lobe epilepsy is
the consequence of complex febrile seizures or the child has
complex febrile seizure because the hippocampus was
previously damaged by a prenatal or perinatal insult or by
genetic predisposition is a matter of debate. The current
concept is to consider the association between complex
febrile seizures and temporal lobe epilepsy resulting from
complex interactions between several genetic and environ-
mental factors.
Simple febrile seizures are not an indication for MRI,
whereas complex febrile seizures are (King et al. 1998;
Bernal and Altman 2003). In patients with temporal lobe
epilepsy, 30% of patients with hippocampal sclerosis as
compared with 6% of patients without hippocampal scle-
rosis had complex febrile seizures in childhood (Falconer
et al. 1964).
Seizures are classified as focal or generalized on the
basis of clinical and/or EEG findings.
The EEG (Fig. 1) records voltages from electrodes
spaced across the scalp, and characterizes signatures of
seizure disorders known as spikes, sharp waves, spike-and
wave complexes, or ictal evolving rhythms. Just as there are
several seizure types, there are several EEG patterns that
mark epilepsy. The EEG recording can be interictal
(between seizures), ictal (during a seizure), or postictal
(within the few minutes after a seizure). A single EEG will
be abnormal interictally in about 50% of people with epi-
lepsy, but EEG sensitivity can rise to 80% with three or four
recording sessions or with the use of special electrodes,
sleep deprivation, flashing lights, or hyperventilation. Nor-
mal interictal EEG findings never rule out epilepsy, and it is
reasonable to treat people who have a good likelihood of a
seizure even if they have normal interictal EEG findings.
EEG findings are usually abnormal during a seizure, but a
small percentage of people will have false-negative EEG
findings even during an ictal event, because of a deeply
placed or very small seizure focus.
To standardize EEG recordings and reporting, the
international 10–20 system has been developed. Four ana-
tomical landmarks, the nasion, the inion, and the right and
left tragus are used for positioning of the EEG electrodes.
The distances between adjacent electrodes are either 10 or
20% of the fronto-occipital or right–left distances. Each site
has a letter to identify the lobe and a number to identify the
location of the hemisphere. ‘‘C’’ refers to the central region,
and ’’z’’ refers to an electrode placed in the midline. Even
numbers (2, 4, 6, 8) refer to electrode positions on the right
hemisphere and odd numbers (1, 3, 5, 7) refer to those on
the left hemisphere.
The time needed to acquire a routine EEG is typically
only 20–30 min and the EEG will therefore unlikely capture
a seizure. Long-term video–EEG monitoring has a high
likelihood of recording seizures and allows one to compare
the patient’s behavior with EEG activity. For video–EEG
monitoring, patients are admitted to a specially equipped
hospital room with television cameras and digitally recor-
ded multichannel electroencephalography.
Since not all symptoms caused by epileptic seizures are
likewise recognized as such by nonepileptologists, some
illustrative examples are given below. However, it must be
acknowledged that nonepileptic seizure events may mimic
epilepsy because of an overlap of symptoms. The most
frequent nonepileptic seizures are psychogenic seizures and
syncopes. An overview of nonepileptic events is given in
Table 3.
The following are examples for epileptic and nonepi-
lepetic seizures.
For about 3 years a 42-year-old patient has experienced
repeated epigastric qualm, understood to be heartburn.
Classification of Epileptic Seizures 7
Gastroscopy findings were normal. The relatives reported
that the patient is sometimes like a dreamer for about 30 s,
does not respond appropriately when addressed, and shows
smacking or swallowing. He sometimes says funny things
not suitable for the situation. None of these events were
recognized as epileptic. The patient now presents with a first
tonic–clonic seizure. In fact, all reported symptoms are
focal epileptic seizures of temporomesial origin. The clas-
sification is as follows: focal seizures with aura (epigastric)
and motor symptoms (smacking or swallowing), impaired
awareness, and now for the first time evolution from a focal
to a bilateral convulsive seizure.
A 24-year-old woman was admitted to hospital after a
first tonic–clonic seizure which occurred at 7.15 a.m., about
20 min after she rose from bed. The night before, she had a
party and slept for only 3 h. She reported that she had never
had seizures before. However, she confirmed that she has
had impulsive myoclonic jerks in the early morning since
the age of 14 years, but they were not recognized as epi-
leptic. In fact, the patient suffers from generalized epilepsy
Fig. 1 EEG electrode positions of the international10/20 system (A):
Right-sided electrodes have even, left-sided electrodes odd numbers.
In an example of a 24 year old man with complex focal seizures since
18 years, the T4-T6 recording shows temporo-occipital ictal EEG
activity (B) and helps to identify a small focal cortical dysplasia of the
right lateral occipito-temporal gyrus (C, D: crosslines, E: arrow)
8 H. Urbach and J. Wellmer
with myoclonic and tonic–clonic seizures (juvenile myo-
clonic epilepsy).
A 35-year-old woman has suffered from sudden falls and
consecutive bilateral jerking since the age of 15 years.
The seizures last for up to 20 min. They are often refractory to
benzodiazepines administered by paramedics. No clear
provocation factor can be recognized. There are no further
symptoms. The seizures are pharmacoresistant to five
anticonvulsive drugs in different combinations. One seizure
was observed in an epilepsy clinic. Here the jerking was
recognized as fast agonistic–antagonistic movements of the
arms and pedaling of the legs. Owing to the nonepileptic
movement pattern, a diagnosis of psychogenic seizures could
be made.
A 28-year-old man was admitted to hospital after an
observed fall at a bus stop with consecutive clonic jerks for
Table 3 Nonepileptic conditions that may mimic epileptic seizures
Type of disorder Clinical description
Psychogenic seizures Most common nonepileptic condition, urinary incontinence
uncommon, possible psychiatric history, patients usually motionless
or with agonistic-antagonistic movement patterns with closed eyes,
which are forcefully kept closed
Syncope Brief loss of consciousness, rapid return to normal, muscle jerking
may occur at the end of syncope owing to hypoxia (convulsive
syncope)
Transient ischemic attack Sudden onset of neurological symptoms related to a vascular territory.
Negative symptoms (aphasia, motor or sensory deficit) predominate
Hyperventilation Deep and/or frequent breathing, perioral cyanosis, hand paresthesias,
carpopedal spasms
Complex or classic migraine Slow progression of neurological symptoms followed by headache,
which may, however, be minimal or absent
Transient global amnesia Sudden onset of isolated anterograde and retrograde amnesia for
usually 2–8 h
Panic attack Abrupt onset with intense feeling of fear, no loss of consciousness,
autonomic features (tachycardia, nausea, sweating)
Sleep disorders (narcolepsy, cataplexy, periodic movements of sleep) Narcolepsy: attacks of irrepressible sleep during daytime in patients
with more or less continuous sleepiness
Cataplexy: sudden loss of muscle tone, precipitated by laughter or
excitement. No loss of consciousness
Periodic movements of sleep—repeated rhythmic movements of the
limbs
Vestibular disorders (benign positional vertigo, Meniere disease,
labyrinthitis)
Dizziness, nystagmus, and vertigo predominate
Metabolic-toxic (endocrine, hypoglycemia, uremia,
pheochromocytoma, thyroid dysfunction, carcinoid tumors, drug
overdose or withdrawal)
Negative symptoms and vigilance disturbances predominate
Infectious (meningitis, encephalitis) Fever, confusion, and vigilance disturbances predominate
Movement disorders, chorea and athetosis, tics and Tourette
syndrome, focal dystonias, tremor, myoclonus
No loss of consciousness, involuntary movements predominate
In infants and children
Sandifer syndrome
Night terrors
Breath-holding spells
Sandifer syndrome: sudden extension of the neck in an opistotonic
position, often with twisting of the head. Hiatus hernia and/or
gastroesophageal reflux
Night terrors: age 18 months to 8 years. Arousal from deep sleep.
Child starts screaming, sits up, and does not recognize its parents
Breath-holding spells: age below 5 years. Harmless attacks provoked
by fright, pain, anger, or frustration. The child initially cries, then
holds its breath, becomes cyanotic and loses consciousness, and starts
breathing again
Concussive convulsions Rare non epileptic phenomenon within seconds after impact, typically
in collision sports such as Football or Rugby. Initial period of tonic
stiffening, followed by myoclonic jerks (up to 150 seconds), and rapid
recovery of consciousness. No traumatic brain imaging abnormalities
(McCrory et al. 1997)
Classification of Epileptic Seizures 9
about 10 s, then rapid reorientation. He had experienced sim-
ilar events before, mostly from standing for a long time, but
also one at a visit to a dentist. There were no further symptoms.
In fact, the patient suffers from convulsive syncopes.
References
Berg AT, Berkovic SF, Brodie MJ, Buchhalter J, Cross JH,
van Emde BW, Engel J, French J, Glauser TA, Mathern GW, Moshe
SL, Nordli D, Plouin P, Scheffer IE (2010) Revised terminology and
concepts for organization of seizures and epilepsies: Report of the
ILAE commission on classification and terminology, 2005–2009.
Epilepsia 51(4):676–685. doi:10.1111/j.1528-1167.2010.02522.x
Bernal B, Altman NR (2003) Evidence-based medicine: neuroimaging
of seizures. Neuroimaging Clin N Am 13(2):211–224
Falconer MA, Serafetinides EA, Corsellis JA (1964) Etiology
and pathogenesis of temporal lobe epilepsy. Arch Neurol 10:
233–248
King MA, Newton MR, Jackson GD, Fitt GJ, Mitchell LA, Silva-
pulle MJ, Berkovic SF (1998) Epileptology of the first-seizure
presentation: a clinical, electroencephalographic, and magnetic
resonance imaging study of 300 consecutive patients. Lancet
352(9133):1007–1011. doi:10.1016/S0140-6736(98)03543-0
McCrory PR, Bladin F, Berkovic SF (1997) Retrospective study of
concussive convulsions in elite Australian rules and rugby league
footballers: phenomenology, etiology, and outcome. BMJ
314(7075):171–174
10 H. Urbach and J. Wellmer
Localization of Focal Seizures
Horst Urbach and Jo¨rg Wellmer
Contents
References...................................................................................... 13
Abstract
The semiology of a focal seizure without or prior to
evolutiontoabilateralconvulsive(secondarilygeneralized)
seizure may guide the radiologist to the location of the
epileptogeniclesion.Thisinformationshouldbeconsidered
when planning and interpreting a MRI examination.
The radiologist’s attention is directed to focal (partial)
seizures, which are divided into focal seizures without
impaired consciousness (old term: simple partial seizures),
focal seizures with impaired consciousness (dyscognitive
seizures; old term: complex partial seizures), and bilateral
convulsive seizures (old term: seizures with secondary
generalization). In focal seizures, the aura (defined as the
initial part of a partial seizure that is remembered after the
seizure has terminated) and/or the clinical symptoms
(Table 1) often point to the region of the brain in which the
seizures are generated (Urbach 2005):
• Focal motor or focal motor seizures with a march (Jack-
sonian seizure) ? precentral gyrus. Focal motor seizures
may be followed by a weakness of the involved muscle
groups that lasts for up to several hours (Todd’s paralysis).
• Versive seizures, which are tonic or clonic postural
seizures with turning of the head and the eyes, and
sometimes of the whole body to one side, usually away
from the seizure focus. Sometimes, the patients exhibit a
fencer’s posture, extending one arm, looking down that
arm, and flexing the opposite arm above the head. Quick
ending of the seizure ? motor cortex anterior to the
precentral gyrus = supplementary motor area = Brod-
mann area 6, contralateral to the extended arm.
• Hypermotor activity mostly arising from sleep, with body
turning along the horizontal axis, body rocking, crawling,
crying, and grimacing with expression of fear, reacts
appropriately immediately after the seizure, recalls items
named during the seizure ? anterior frontomesial, for
example, anterior cingulate gyrus (Leung et al. 2008).
H. Urbach (&)
Department of Neuroradiology, University Hospital Freiburg,
Germany
e-mail: horst.urbach@uniklinik-freiburg.de
J. Wellmer
Ruhr-Epileptology, Department of Neurology,
University Hospital Knappschaftskrankenhaus
Bochum, Germany
H. Urbach (ed.), MRI in Epilepsy, Medical Radiology. Diagnostic Imaging,
DOI: 10.1007/174_2012_554, Ó Springer-Verlag Berlin Heidelberg 2013
11
• Somatosensory perception as the earliest ictal symp-
tom ? postcentral gyrus.
• Visual symptoms of elementary or simple hallucinations,
illusions, and visual loss ? occipital lobe [ anteromedial
temporal or occipitotemporal lobe. Complex hallucina-
tions (animals, people, scenes, etc.) and tunnel
vision ? anteromedial temporal or occipitotemporal, but
not occipital lobe (Bien et al. 2000).
Table 1 Symptoms of focal
seizures
Anatomical description Symptoms
Temporal lobe
Mesial Aura (epigastric, olfactory, gustatory, déjà vu, jamais vu) (80%)
Oroalimentary automatisms (34%)
Staring (40%)
Arrest (20%)
(Ipislateral) head turning (27%)
Contralateral arm dystonia (38%)
(Ipsilateral) nose wiping (rubbing of nose during or within 60 s
of seizure termination) (50–85%)
Lateral Aura (epigastric, olfactory, gustatory, déjà vu, jamais vu) (50%)
Oroalimentary automatisms (45%)
Staring (40%)
Arrest (10%)
(Ipislateral) head turning (20%)
Contralateral arm dystonia (20%)
Frontal lobe
Precentral gyrus Simple partial motor seizures, tonic–clonic with or without
Jacksonian march
Partial myoclonus, predominantly distal
Tonic postural motor seizures associated with clonic movements
Partial unilateral clonic seizures
Epilepsia partialis continua
Reflex-triggered motor seizures
Premotor (supplementary motor
area)
Bilateral asymmetric tonic and postural phenomena with
adversion of the head and eyes (fencer’s position), speech arrest
Mesial (cingulate gyrus, inferior
bounder corpus callosum)
Ictal body turning along the horizontal axis (58%)
Facial expression of anxiety and fear (40%)
‘‘Barking’’ (31%)
Frontal operuclum Speech arrest, dysarthria, and/or vocalization in the dominant
hemisphere, facial clonic jerks, tonic–clonic movements of arms
and face, salivation, deglutition
Prefrontal dorsal Forced thinking, eye-directed automatism, pseudocompulsive
behavior, tonic deviation of eyes preceding head deviation
(frontal eye field involvement)
Prefrontal ventral
Frontolateral Ictal body turning along the horizontal axis (6%), ictal body
turning along an axis that produced sitting up (16%), restlessness
(23%)
Fronto-orbital Ictal body turning along an axis that produced sitting up (19%),
restlessness (6%)
Parietal lobe
Postcentral gyrus Somatosensory seizures
Lateralized ictal paresthesias, dysesthesias, or pain
Occipital lobe Simple visual phenomena
Insula Laryngeal discomfort, throacoabdominal constriction, or dyspnea
followed by unpleasant paresthesias or focal motor
manifestations
Rapid seizure propagation induces a variety of visceral, motor,
and somatosensory symptoms
Adapted from Elger CE. (2000), Leung et al. (2008), and Foldvary-Schaefer and Unnwongse (2011)
12 H. Urbach and J. Wellmer
• Seizures with auditory symptoms ? region of Heschl’s
gyrus. Although each hemisphere has bilateral innerva-
tion for auditory information, the contralateral ear is
better represented in the auditory cortex. Sounds are
therefore heard in the contralateral ear or bilaterally
(Foldvary-Schaefer and Unnwongse 2011).
• Seizures with olfactory or gustatory symptoms ? mesial
temporal lobe.
• Vertiginous seizures (sensations of rotation or movement
in all planes) ? insular or temporoparietal cortex around
the Sylvian fissure.
• Olfactory symptoms (unpleasantsensations, oftenassociated
with gustatory phenomena) ? amygdala, olfactory bulb,
insula, posterior orbitofrontal cortex (Foldvary-Schaefer and
Unnwongse 2011).
• Autonomic symptoms within seizures are abdominal
sensations, cephalic and thoracic sensations including
pain, breathlessness, and altered breathing or heart
rhythm, pallor or flushing, sweating, pupillary dilatation,
vomiting, salivation, thirst, urinary incontinence, and
genital sensations or orgasm. Abdominal or cephalic
sensations are particularly common in mesial temporal
lobe and insular epilepsy.
• Gelastic seizures (brief periods of laughter or grimacing
with or without the feeling of cheerfulness)? tuber cin-
ereum, mesial temporal lobe.
• Epilepsia partialis continua (clonic or myoclonic seizures for
hours or days, often also during sleep) ? precentral gyrus.
Temporal lobe seizures and seizures from the precentral
and postcentral gyri are easier to localize than seizures orig-
inating in other lobes. Frontal lobe seizures tend do generalize
rapidly, postictal confusion is rather low, seizures are fre-
quent and brief seizures, and most seizures occur during
sleep. Most patients with parietal lobe seizures have no signs
suggestive of involvement of the parietal lobe. Spread pat-
terns are highly unpredictable, and only lateralized ictal
paresthesias, dysesthesias, and pain are of localizing value.
Patients with occipital lobe seizures represent the
smallest group referred to epilepsy surgery centers (less
than 10% of patients). Occipital lobe seizures tend to spread
rapidly to anterior areas. Multiple patterns of spread may be
observed even in the same patient. Almost all patients with
subjective symptoms describe visual phenomena such as
hallucinations, illusions, amaurosis, and blurring of vision.
Bright, colored, occasionally dark rings or spots and
continuous or flashing simple geometric forms usually but
not necessarily in the contralateral visual field are simple
hallucinations pointing to involvement of the occipital and
temporal lobes. In contrast, complex visual hallucinations
such as animals, people, and scenes do not originate in the
occipital lobe (Bien et al. 2000).
It should be kept in mind that seizure symptoms identi-
fied by interviewing patients or witnesses can be incomplete
or the details may be sparse. Lateralizing hints may be
remembered wrongly. The most objective way to sample
clinical hints for the localization of the seizure onset is
video–EEG recording of typical seizures. In practice this
means that a MRI finding that was initially rated nonle-
sional is worth being reevaluated if new clinical information
is available. The same is valid if in the later course of the
diagnostic workup, localization information is acquired by
PET, SPECT or MEG.
References
Bien CG, Benninger FO, Urbach H, Schramm J, Kurthen M, Elger CE
(2000) Localizing value of epileptic visual auras. Brain 123(Pt 2):
244–253
Elger CE (2000) Semeiology of temporal lobe seizures: In: Oxbury JM,
Polkey CE, DuchownyM (eds) Intractable focal epilepsy. pp 63–69
Foldvary-Schaefer N, Unnwongse K (2011) Localizing and lateraliz-
ing features of auras and seizures. Epilepsy Behav 20(2):160–166.
doi:10.1016/j.yebeh.2010.08.034
Leung H, Schindler K, Clusmann H, Bien CG, Popel A, Schramm J,
Kwan P, Wong LK, Elger CE (2008) Mesial frontal epilepsy and
ictal body turning along the horizontal body axis. Arch Neurol
65(1):71–77. doi:10.1001/archneurol.2007.22
Urbach H (2005) Imaging of the epilepsies. Eur Radiol 15(3):494–500.
doi:10.1007/s00330-004-2629-1
Localization of Focal Seizures 13
Epilepsy Syndromes
Horst Urbach, Robert Sassen, and Jo¨rg Wellmer
Contents
References...................................................................................... 19
Abstract
This chapter describes the ILAE classification of epilepsy
syndromes and gives hints whether a MRI is likely
normal or abnormal in a specific epilepsy syndrome.
In 1981 and 1989, the International League Against Epi-
lepsy (ILAE) defined three groups of epilepsies:
1. Idiopathic epilepsies with a proven or presumed genetic
cause
2. Symptomatic epilepsies with a proven structural cause
3. Cryptogenic epilepsies, in which a cause has not been
found (yet)
In 2010, this classification was replaced by another
three-tiered classification (Berg et al. 2010), in which (1)
genetic, (2) structural and/or metabolic, and (3) unknown
epilepsies are distinguished.
Both classifications represent a framework allowing for
modifications in the future. In many epilepsy syndromes,
genetic and environmental factors play a role. If one con-
siders, e.g., a genetic defect (tuberous sclerosis complex)
that causes structural lesions (cortical tubers and other
lesions), the imperfectness of both classifications becomes
obvious.
Some epilepsies with and without a known cause are
distinctive disorders identifiable on the basis of a typical age
of onset, specific EEG characteristics, seizure types, and
often other features which, when taken together, permit a
specific diagnosis. These epilepsies are denominated elec-
troclinical syndromes (Berg et al. 2010). In addition to the
electroclinical syndromes with strong developmental and
genetic components, there are a number of entities that are
not exactly electroclinical syndromes in the same sense but
which represent clinically distinctive constellations on the
basis of specific lesions or other causes. If a structural or
metabolic cause is identified, the epilepsy syndrome is
denominated on the basis of the structural or metabolic
cause (Table 1). Some electroclinical syndromes are self-
limiting at a specific age. Others cause an intermediate
H. Urbach (&)
Department of Neuroradiology, University Hospital Freiburg,
Germany
e-mail: horst.urbach@uniklinik-freiburg.de
R. Sassen
Department of Epileptology, University of Bonn,
Bonn, Germany
J. Wellmer
Ruhr-Epileptology, Department of Neurology,
University Hospital Knappschaftskrankenhaus
Bochum, Germany
H. Urbach (ed.), MRI in Epilepsy, Medical Radiology. Diagnostic Imaging,
DOI: 10.1007/174_2012_555, Ó Springer-Verlag Berlin Heidelberg 2013
15
Table 1 Electroclinical syndromes and other epilepsies
Syndromes and epilepsies Description MRI
Electroclinical syndrome
Neonatal period (up to 44 weeks’ gestational age)
Benign familial infantile
epilepsy
Age: 1 week to 6 months
Autosomal dominant: KCNQ2 gene defect on
chromosome band 20q13, KCNQ3 gene defect on
chromosome band 8q24
Unprovoked partial or generalized clonic seizures in
the neonatal period or early infancy, benign course
EEG: normal findings or focal abnormalities
MRI findings normal
Early myoclonic
encephalopathy
Age: newborns
Partial and myoclonic seizures within 10 days after
birth
EEG: burst suppression
Multiple different causes
MRI dependent on cause
Ohtahara syndrome Age: newborns
Encephalopathic syndrome with tonic seizures
within 10 days after birth
EEG: burst suppression
Multiple different causes
MRI dependent on cause
Infancy
Epilepsy of infancy with
migrating focal seizures
Age: within the first six months of life
Encephalopathic syndrome with migrating,
polymorphous seizures
EEG: multifocal discharges
Initial MRI findings often normal
Follow-up MRI may show brain atrophy.
Hippocampal sclerosis has been described in
around 15% of patients (Caraballo et al. 2011)
Infantile spasms (West
syndrome)
Age: 3–8 months
Encephalopathic syndrome with seizures consisting
of sudden flexion, extension, or mixed extension–
flexion of predominantly proximal and truncal
muscles
Duration of a few seconds. Series of up to 50
seizures
Impaired consciousness during series
EEG: hypsarrhythmia
MRI shows lesions in 61% of cases (Osborne et al.
2010)
Benign familial infantile
epilepsy
Age: 3–9 months
Focal seizures occurring in clusters, normal
psychomotor development
MRI findings normal (Striano et al. 2007)
Severe myoclonic epilepsy
of infancy (Dravet syndrome)
Age: around 6 months
Encephalopathic syndrome with recurrent febrile
hemiclonic, myoclonic, grand mal, and atypical
absence seizures
Poor prognosis and frequent death in childhood.
Adults may show low intelligence, autism, and
nocturnal grand mal seizures
Mutations of the neuronal sodium channel type 1
subunit a gene (SCN1A) on chromosome band 2q24
(80%). The gene encodes a voltage-dependent
sodium channel in the CNS, peripheral nerve
system, and heart muscle
EEG findings can be normal at onset, later
multifocal abnormalities (spikes, spike- and-wave
complexes, polyspikes, slow waves) occur (Guerrini
et al. 2011)
Myoclonic epilepsy in infancy may be considered a
variant with a more benign course
Initial MRI findings often normal
Follow-up MRI may show abnormalities in a
minority of patients comprising cortical brain
atrophy, hippocampal sclerosis (3–71%), gray
matter–white matter demarcation loss, and other
subtle cortical dysplasias (Siegler et al. 2005;
Striano et al. 2007)
Myoclonic status in
nonprogressive
encephalopathies
Age: 1–5 years
Several familial epilepsy syndromes with myoclonic
features
Chromosomal disorder (Angelman syndrome, 4p
syndrome) in 50% of cases, family history of
seizures in 20% of cases
MRI findings abnormal in 20% of cases
(continued)
16 H. Urbach et al.
Table 1 (continued)
Syndromes and epilepsies Description MRI
Childhood (1–12 years)
Early-onset benign occipital
epilepsy of childhood
(Panayitopoulos syndrome)
Age: 1–14 years, mean 4.7 years
Prolonged and nocturnal seizures
Autonomic features (vomiting, pallor, sweating)
followed by tonic eye deviation and impaired
consciousness, may evolve to a hemiclonic or
generalized seizure
Excellent prognosis, treatment often unnecessary
EEG: interictal runs of occipital sharp and slow
wave complexes which attenuate on eye opening
MRI findings normal (Specchio et al. 2010)
Epilepsy with myoclonic
atonic (previously astatic)
seizures (Doose syndrome)
Age: 2–4 years
Myoclonic jerks of arms, followed by astatic drops
with loss of erect posture, jerking of facial muscles,
with or without preserved consciousness
Epileptic encephalopathy in some but not all
children
EEG: irregular spikes or polyspike-and wave
complexes
MRI findings normal or abnormal
Benign epilepsy with
centrotemporal spikes (rolandic
epilepsy)
Age: 1–14 years, 75% starting between 7–10 years
Male-to-female ratio 1.5 :1
Unilateral facial sensorimotor symptoms (30%),
oropharyngolaryngeal symptoms (53%), speech
arrest (40%), hypersalivation (30%)
Progression to hemiconvulsions or grand mal
seizures in around half of patients
Brief seizures, lasting 1–3 min, mainly at sleep
onset or just before awakening
Centrotemporal spikes, mainly localized at the C3
and C4 electrodes, often bilateral, activated by
drowsiness and slow (non-REM) sleep
MRI findings normal
MRI not indicated (Gaillard et al. 2009)
Autosomal dominant
nocturnal frontal lobe epilepsy
CHRNA4 on chromosome band 20q13, CHRNA2 on
chromosome arm 8q, CHRNB2 on chromosome
band 1q21
Age: variable, onset usually in childhood or
adolescence, persists throughout adult life
3 or more attacks lasting seconds to 3 min per night
Clusters of brief nocturnal motor seizures with
hyperkinetic or tonic manifestations
EEG: ictal EEG findings often normal or obscured
by movements, epileptiform discharges 10%
MRI findings normal
Late-onset benign occipital
epilepsy of childhood (Gastaut
type)
Age: 3–16 years, mean 8 years
Frequent, brief, and diurnal seizures
Initial visual hallucinations, simple partial seizures,
postictal headache, rarely impaired consciousness
Seizure remit within 2–5 years
Increased familial risk of epilepsies (21–37%) and
migraine (9–16%)
EEG: interictal runs of occipital sharp and slow
wave complexes which attenuate on eye opening
MRI findings normal
Idiopathic photosensitive
occipital epilepsy
Age: 5–17 years
Seizures induced by television and video games,
diurnal, brief, visual hallucinations, tonic head and
eye version
EEG: occipital photoparoxysmal response at a wide
range of flash frequencies
MRI findings normal
Epilepsy with myoclonic
absence
Age: through childhood with a peak at 7 years
Myoclonic absences with rhythmic jerking, mainly
of the shoulders, arms, and legs.
EEG: 3-Hz spikes and waves
MRI findings normal (Caraballo et al. 2011)
(continued)
Epilepsy Syndromes 17
Table 1 (continued)
Syndromes and epilepsies Description MRI
Lennox–Gastaut syndrome Age: 1–7, mean 2 years
Encephalopathic syndrome with multiple types of
drug-resistant generalized seizures, drop attacks,
mental retardation
EEG: diffuse slow spikes and waves
Multiple different causes
MRI dependent on cause
Epileptic encephalopathy
with continuous spikes and
waves during sleep
Age: 4–5 years
Deterioration of neuropsychological and motor
functions associated with or independent of the
epileptic disorder
EEG: continuous spikes and waves during slow
sleep
MRI findings normal
Landau–Kleffner syndrome Age: 3–8
Progressive loss of language functions after the age
of 2
Waking EEG: burst of temporal or temporo-
occipital spike and wave discharges. Continuous
spike and wave discharges during slow sleep in 85%
of cases
MRI findings normal
Childhood absence epilepsy Age: 4–14 years
Skin pallor, staring view for a few seconds,
immediate return to consciousness
Amnesia for episodes
Rhythmic movements of arms, eyes, and head
Duration: a few seconds
Up to 100 seizures per day
EEG: 3-Hz spikes and waves
MRI findings normal
MRI not indicated (Gaillard et al. 2009)
Adolescence (12–18 years) and adulthood ([ 18 years)
Juvenile absence epilepsy Age: 5–20 years
Absence, generalized tonic–clonic (80%), and
myoclonic (20%) seizures
MRI findings normal
MRI not indicated (Gaillard et al. 2009)
Juvenile myoclonic epilepsy
(Janz syndrome)
Age: 14–17 years
Susceptibility locus on chromosome band 6q12-p11-
12 (EJM1) or 15q14 (EJM2)
Repetitive myoclonic jerks of shoulders and arms,
preserved consciousness, duration 2–3 s
EEG: polyspikes and waves
MRI findings normal
MRI not indicated (Gaillard et al. 2009)
Epilepsy with generalized
tonic–clonic seizures alone
(wake-up grand mal epilepsy)
Age: 6–years to adulthood
Generalized tonic–clonic seizures typically
occurring after awakening
EEG: generalized spikes and waves
MRI findings normal
Cave: secondarily generalized tonic–clonic
seizures
Progressive myoclonic
epilepsies
Group of disorders with autosomal recessive or
mitochondrial inheritance
Myoclonic seizures, tonic–clonic seizures, and
progressive neurological dysfunction
Multiple different causes
MRI dependent on cause
Familial mesial temporal
lobe epilepsy
Genetically heterogenous
Age: onset in adolescence or adulthood
Often prominent ictal déjà vu, dreamlike state, fear,
and nausea, with simple partial and complex partial
seizures and infrequent secondary generalization.
MRI findings normal (Crompton et al. 2010)
Familial lateral temporal
lobe epilepsy
Idiopathic or autosomal dominant gene (LGI1 on
chromosome band 10q24, OMIM 600512) partial
epilepsy with auditory features
Age: onset 10–30 years
Recurrent auditory aura usually followed by
generalized seizures
Low seizure frequency, good drug response
MRI findings normal (Michelucci et al. 2009)
(continued)
18 H. Urbach et al.
grade of impairment or a devastating and progressive dis-
ease process, which is called encephalopathic syndrome and
is defined by the temporal relationship between the onset of
epileptic seizures, ictal and interictal EEG activity, and the
loss of cognitive and or motor/sensory functions (Berg et al.
2010).
It is recommended to use MRI in evaluating patients with
new seizures or seizures not fully controlled by medication
unless a traditional genetic (idiopathic) electroclinical syn-
drome is identified with confidence (Berg et al. 2010).
References
Berg AT, Berkovic SF, Brodie MJ, Buchhalter J, Cross JH, van Emde
Boas W, Engel J, French J, Glauser TA, Mathern GW, Moshe SL,
Nordli D, Plouin P, Scheffer IE (2010) Revised terminology and
concepts for organization of seizures and epilepsies: report of the
ILAE commission on classification and terminology, 2005–2009.
Epilepsia 51(4):676–685. doi:10.1111/j.1528-1167.2010.02522.x
Callenbach PM, van den Maagdenberg AM, Hottenga JJ, van den
Boogerd EH, de Coo RF, Lindhout D, Frants RR, Sandkuijl LA,
Brouwer OF (2003) Familial partial epilepsy with variable foci in a
dutch family: clinical characteristics and confirmation of linkage to
chromosome 22q. Epilepsia 44(10):1298–1305
Caraballo RH, Darra F, Fontana E, Garcia R, Monese E, Dalla
Bernardina B (2011) Absence seizures in the first 3 years of life: an
electroclinical study of 46 cases. Epilepsia 52(2):393–400. doi:
10.1111/j.1528-1167.2010.02926.x
Crompton DE, Scheffer IE, Taylor I, Cook MJ, McKelvie PA, Vears DF,
Lawrence KM, McMahon JM, Grinton BE, McIntosh AM,
Berkovic SF (2010) Familial mesial temporal lobe epilepsy: a
benign epilepsy syndrome showing complex inheritance. Brain
133(11):3221–3231. doi:10.1093/brain/awq251
Gaillard WD, Chiron C, Cross JH, Harvey AS, Kuzniecky R, Hertz-
Pannier L, Vezina LG (2009) Guidelines for imaging infants and
children with recent-onset epilepsy. Epilepsia 50(9):2147–2153.
doi:10.1111/j.1528-1167.2009.02075.x
Guerrini R, Striano P, Catarino C, Sisodiya SM (2011) Neuroimaging
and neuropathology of Dravet syndrome. Epilepsia 52(Suppl 2):
30–34. doi:10.1111/j.1528-1167.2011.02998.x
Michelucci R, Pasini E, Nobile C (2009) Lateral temporal lobe epilep-
sies: clinical and genetic features. Epilepsia 50(Suppl 5):52–54.
doi:10.1111/j.1528-1167.2009.02122.x
Osborne JP, Lux AL, Edwards SW, Hancock E, Johnson AL,
Kennedy CR, Newton RW, Verity CM, O’Callaghan FJ (2010)
The underlying etiology of infantile spasms (West syndrome):
information from the United Kingdom Infantile Spasms Study
(UKISS) on contemporary causes and their classification. Epilepsia
51(10):2168–2174. doi:10.1111/j.1528-1167.2010.02695.x
Siegler Z, Barsi P, Neuwirth M, Jerney J, Kassay M, Janszky J,
Paraicz E, Hegyi M, Fogarasi A (2005) Hippocampal sclerosis in
severe myoclonic epilepsy in infancy: a retrospective MRI study.
Epilepsia 46(5):704–708. doi:10.1111/j.1528-1167.2005.41604.x
Specchio N, Trivisano M, Di Ciommo V, Cappelletti S, Masciarelli G,
Volkov J, Fusco L, Vigevano F (2010) Panayiotopoulos syndrome:
a clinical, EEG, and neuropsychological study of 93 consecutive
patients. Epilepsia 51(10):2098–2107. doi:10.1111/j.1528-1167.
2010.02639.x
Striano P, Mancardi MM, Biancheri R, Madia F, Gennaro E,
Paravidino R, Beccaria F, Capovilla G, Dalla Bernardina B,
Darra F, Elia M, Giordano L, Gobbi G, Granata T, Ragona F,
Guerrini R, Marini C, Mei D, Longaretti F, Romeo A, Siri L,
Specchio N, Vigevano F, Striano S, Tortora F, Rossi A, Minetti C,
Dravet C, Gaggero R, Zara F (2007) Brain MRI findings in severe
myoclonic epilepsy in infancy and genotype-phenotype correlations.
Epilepsia 48(6):1092–1096. doi:10.1111/j.1528-1167.2007.01020.x
Table 1 (continued)
Syndromes and epilepsies Description MRI
Less specific age relationship
Familial focal epilepsy with
variable foci
Childhood to adulthood MRI findings normal (Callenbach et al. 2003)
Reflex epilepsies, e.g.,
primary reading epilepsy
Primary reading epilepsy: age of onset adolescence,
sensorimotor or motor speech aura occurring while
reading, jaw jerks, and, if reading is continued,
generalized seizure
MRI findings normal
Distinctive constellations
Mesial temporal lobe epilepsy with hippocampal sclerosis
Rasmussen encephalitis
Hypothalamic hamartoma with gelastic seizures
Hemiconvulsion–hemiplegia–epilepsy
Epilepsy due to a structural–metabolic cause
Malformations of cortical development (hemimegalencephaly, heterotopias, etc.)
Neurocutaneous syndromes (tuberous sclerosis complex, Sturge–Weber syndrome, etc.)
Tumor
Infection
Trauma
Adapted from Berg et al. (2010) with permission
Epilepsy Syndromes 19
The Term ‘‘Epileptogenic Lesion’’
and How to Use it
Horst Urbach
Contents
Reference ....................................................................................... 23
Abstract
This chapter describes how to use the terms ‘‘epileptogenic
lesion’’ and ‘‘typically epileptogenic lesion’’.
An epileptogenic lesion is defined as a radiographic lesion
that causes seizures (Rosenow and Luders 2001). Although
the radiologist does not know whether a radiographic lesion
indeed causes epileptogenic seizures, some radiographic
lesions are so typically associated with epileptic seizures that
at least the term typically epileptogenic lesion is appropriate.
H. Urbach (&)
Department of Neuroradiology,
University Hospital Freiburg, Germany
e-mail: horst.urbach@uniklinik-freiburg.de
Fig. 1 Digital photogram of the brain surface before placement of a
subdural 8 9 8 grid. A second photogram was taken after grid
placement and digitally replaced by a schematic drawing detailing the
results of electrical stimulations and ictal/ intraictal EEG activity. Blue
grid contacts represent the eloquent zone, which is the motor cortex in
this case. The black area represents the epileptogenic lesion, defined
as the radiographic lesion that causes the seizures. The yellow area is
the seizure onset zone, defined as the area from which the clinical
seizures are generated. The seizure onset zone is often, but not
necessarily, congruent with the epileptogenic zone, defined as the
cortex area indispensable for the generation of seizures
H. Urbach (ed.), MRI in Epilepsy, Medical Radiology. Diagnostic Imaging,
DOI: 10.1007/174_2012_557, Ó Springer-Verlag Berlin Heidelberg 2013
21
To achieve freedom from seizures following epilepsy
surgery, in some but not all cases not only the epileptogenic
lesion itself but also some perilesional tissue must be
removed. Conceptually, it is the epileptogenic area that has
to be removed, which is defined as cortical area indis-
pensable for the generation of seizures. Practically, it is the
Fig. 2 Epileptogenic lesion and symptomatogenic zone. A 40-year-
old woman suffered from complex focal seizures with a fearful face
and body rocking. The symptoms thus pointed to the mesial frontal
lobe as the origin. MRI shows right-sided hippocampal sclerosis
(a, arrow). Simultaneous video and EEG recordings from interhemi-
spheric (c) and convexity strip and intrahippocampal depth (b) elec-
trodes show seizures starting in the right hippocampus (d, arrow).
Clinical symptoms start around 1 s afterwards (d, asterisk)
22 H. Urbach
seizure onset zone which it is intended to be removed, and
this is defined as the brain area in which ictal EEG activity
starts. The epileptogenic lesion usually shows at least some
overlap with the seizure onset zone and is therefore a good
indicator for its localization (Fig. 1).
Other frequently used terms are irritative area, defined as
the brain area with interictal EEG activity, eloquent cortex,
defined as the cortex area with important functions such as
language, motor, and visual field functions, and symptoma-
togenic area, defined as the brain area in which epilep-
togenic activity leads to clinical symptoms. If epileptogenic
activity spreads rapidly, the epileptogenic lesion and the
symptomatogenic area can be far from each other (Fig. 2).
Another term is the functional deficit zone, defined as the
region of the cortex that in the interictal period is functionally
abnormal, as indicated by neurological examination, neuro-
psychological testing, and functional imaging or nonepilep-
tiform EEG or MEG abnormalities.
Reference
Rosenow F, Luders H (2001) Presurgical evaluation of epilepsy. Brain
124(9):1683–1700
The Term ‘‘Epileptogenic Lesion’’ and How to Use it 23
What To Do After a First Seizure?
Horst Urbach
Contents
References...................................................................................... 27
Abstract
This chapter describes the workup with MRI after a first
seizure, which is highly dependent on the type of the
seizure and the age at presentation.
A first seizure often refers to a bilateral convulsive seizure
(old term: generalized tonic–clonic seizure) noticed as a
frightening and traumatic event by the observers. However,
around 17% of patients have had prior tonic–clonic seizures
and 28% have had other epilepsy syndromes, including
absence seizures, myoclonic seizures, aura phenomena, and
other syndromes.
After the patient with a first seizure has been stabilized,
one has to determine if the event was really a seizure, which
is typically based on the history obtained from a reliable
observer and a clinical examination looking for ictal
sequelae such as open eyes, (lateral) tongue bite, enuresis,
cyanosis, hypersalivation, and postictal sleepiness.
The differential diagnosis of a single seizure is broad
(see Table 3 in ‘‘Classification of Epileptic Seizures’’). It
includes transient ischemic attacks, syncope, migraine, drug
reaction or intoxication, mental disorders such as psycho-
genic seizures, and rarely movement disorders (Krumholz
1999; Beghi 2008).
The next step is to determine the cause of the seizure
and to distinguish whether the seizure is acute symptom-
atic, provoked, or unprovoked. An acute symptomatic or
situation-related seizure occurs in the presence of an acute
disease with some immediately recognizable causes (e.g.,
meningitis, hypoglycemia, hyponatremia) often requiring
prompt diagnosis and treatment (Wiebe et al. 2008).
H. Urbach (&)
Department of Neuroradiology,
University Hospital Freiburg, Germany
e-mail: horst.urbach@uniklinik-freiburg.de
H. Urbach (ed.), MRI in Epilepsy, Medical Radiology. Diagnostic Imaging,
DOI: 10.1007/174_2012_558, Ó Springer-Verlag Berlin Heidelberg 2013
25
A provoked seizure requires a seizure-provoking factors,
e.g., sleep deviation. An unprovoked seizure does not
require an immediate precipitating event and suggests the
possibility of an underlying epilepsy syndrome, which
is of genetic, structural–metabolic, or unknown cause
(Herman 2004).
The risk of recurrence of unprovoked seizure within
the first 2 years is around 40% (Berg and Shinnar 1991),
and abnormalities on clinical examination or on electroen-
cephalography (EEG) and focal seizures are predictive of
further seizures. The EEG findings after a first unprovoked
seizure are significantly abnormal in 29 cases (8–50%) of
cases (Krumholz et al. 2007). MRI reveals significant
abnormal findings in at least 10–15% of patients (King et al.
1998; Wiebe et al. 2008; Pohlmann-Eden and Newton
2008). Around 25% of patients with a first seizure have
EEG-confirmed genetic epilepsies, and in these patients
MRI—by definition—does not show a lesion. Note, how-
ever, that bilateral EEG discharges may have rapidly
spread from a single, typically midline-near, often occipital
epileptogenic lesion. In these rare cases, a focal (partial)
epilepsy syndrome would be misclassified as generalized
epilepsy syndrome (King et al. 1998).
How and when a patient with a first seizure should be
‘‘imaged’’ depends apart from the scanner availability on
the suspected cause of the seizure.
In patients with acute symptomatic seizures, the under-
lying disease must be quickly recognized and adequately
treated, and in these patients unenhanced CT to rule out an
unexpected disease is sometimes sufficient. However, some
clinical constellations, e.g., suspected sinus thrombosis,
may require additional imaging such as CT angiography,
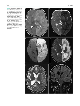
MRI, and sometimes even catheter angiography (Fig. 1, 2).
CSF examination is recommended in children (except for
infants younger than 6 months of age) and adults only when
cerebral infection is suspected or fever is present which
cannot be explained by an extracranial origin (Hirtz et al.
2000; Beghi 2008).
In patients with unprovoked seizures and suspected
genetic epilepsies derived from the clinical history,
patient’s age, and especially EEG findings, ‘‘routine’’ MRI
is performed to exclude an unexpected underlying lesion.
EEG is more helpful if it is performed within the first 24 h
following a seizure (King et al. 1998). The diagnostic yield
of additional sleep-deprived EEG is uncertain (King et al.
1998; Schreiner and Pohlmann-Eden 2003).
In patients with unprovoked, presumably focal seizures,
an epilepsy-dedicated MRI protocol should be performed.
In these patients, an initial CT scan to rule out an unex-
pected disease and a later high-resolution MRI scan when
the patient is stable and able to tolerate an examination time
of around 30 min should be performed.
Fig. 1 An 8-year old girl presented with two focal motor seizures and
postictal left arm paralysis. MRI shows superior sagittal sinus
thrombosis (a–c, arrows) with two small hemorrhages at the gray
matter–white matter junction in the right frontal lobe (a, hollow
arrows)
26 H. Urbach
References
Beghi E (2008) Management of a first seizure. General conclusions and
recommendations. Epilepsia 49(Suppl 1):58–61. doi:10.1111/j.1528-
1167.2008.01452.x
Berg AT, Shinnar S (1991) The risk of seizure recurrence following a
first unprovoked seizure: a quantitative review. Neurology 41(7):
965–972
Herman ST (2004) Single unprovoked seizures. Current treatment
options in neurology 6(3):243–255
Hirtz D, Ashwal S, Berg A, Bettis D, Camfield C, Camfield P,
Crumrine P, Elterman R, Schneider S, Shinnar S (2000) Practice
parameter: evaluating a first nonfebrile seizure in children. Report
of the Quality Standards Subcommittee of the American Academy
of Neurology, the Child Neurology Society, and the American
Epilepsy Society. Neurology 55(5):616–623
King MA, Newton MR, Jackson GD, Fitt GJ, Mitchell LA,
Silvapulle MJ, Berkovic SF (1998) Epileptology of the first-seizure
presentation: aclinical, electroencephalographic, and magnetic
resonance imaging study of 300 consecutive patients. Lancet
352(9133):1007–1011. doi:10.1016/S0140-6736(98)03543-0
Krumholz A (1999) Nonepileptic seizures: diagnosis and management.
Neurology 53(5 Suppl 2):S76–S83
Krumholz A, Wiebe S, Gronseth G, Shinnar S, Levisohn P,
Ting T, Hopp J, Shafer P, Morris H, Seiden L, Barkley G,
French J (2007) Practice parameter: evaluating an apparent
unprovoked first seizure in adults (an evidence-based review).
Report of the Quality Standards Subcommittee of the American
Fig. 2 Dural a. v. fistula. A 53-year-old man presented with two tonic–
clonic seizures. MRI shows circumscribed edema in the left frontal lobe
(a, hollow arrow) and an abnormal vessel running in the left sulcus
rectus (c, arrow). The digital subtraction angiogram of the left internal
carotid artery shows a frontobasal dural arteriovenous fistula fed via
ethmoidal arteries (d, arrow) and confirms the abnormal vessel as a
draining vein (e, arrow)
What To Do After a First Seizure? 27
Academy of Neurology and the American Epilepsy Society.
Neurology 69(21):1996–2007. doi:10.1212/01.wnl.0000285084.
93652.43
Pohlmann-Eden B, Newton M (2008) First seizure: EEG and
neuroimaging following an epileptic seizure. Epilepsia 49(Suppl
1):19–25. doi:10.1111/j.1528-1167.2008.01445.x
Schreiner A, Pohlmann-Eden B (2003) Value of the early electro-
encephalogram after a first unprovoked seizure. Clin Electroence-
phalogr 34(3):140–144
Wiebe S, Tellez-Zenteno JF, Shapiro M (2008) An evidence-based
approach to the first seizure. Epilepsia 49(Suppl 1):50–57. doi:
10.1111/j.1528-1167.2008.01451.x
28 H. Urbach
How to Perform MRI
Horst Urbach
Contents
1 Introduction.......................................................................... 29
2 Theoretical Considerations................................................. 29
3 Clinical Practice................................................................... 30
4 Requirements for MR Quality........................................... 32
4.1 Orientation ............................................................................. 32
4.2 Spatial Resolution.................................................................. 32
4.3 Contrast.................................................................................. 33
4.4 Contrast Medium Injection ................................................... 34
5 MRI Interpretation.............................................................. 34
6 MRI Protocols...................................................................... 34
References...................................................................................... 35
Abstract
This chapter provides Epilepsy-dedicated MRI protocols
and useful informations regarding angulation, spatial
resolution, and contrast to noise ratios.
1 Introduction
Patients with focal (partial) epilepsies in which an epilep-
togenic lesion has not been found (yet) should be studied
using magnetic resonance (MR) scanners with a magnetic
field strength B0 of at least 1.5 Tesla. Theoretically and in
clinical practice however, 3 Tesla scanners have advantages.
2 Theoretical Considerations
In accordance with the increasing number of parallel spins at
higher field strengths, the MR signal is proportional to
the magnetic field strength B0 (signal-to-noise ratio propor-
tional to B0). The signal theoretically doubles from 1.5 to 3
Tesla; in reality, it increases by a factor of around 1.7–1.8.
This signal gain can be utilized to increase the contrast-to-
noise ratio and the spatial resolution or to decrease the
acquisition time (Willinek and Kuhl 2006; Willinek and
Schild 2008). One should always keep in mind that the MR
signal decreases with the square of B0 if the slice thickness is
halved or the scan matrix is doubled.
High RF energy deposition is a theoretical limitation of
3 Tesla MRI. RF energy deposition scales with the square of
B0 and is monitored by measuring the specific absorption
rate. The specific absorption rate must not exceed 4 W/kg
over a 15-min period. For comparison, the RF energy
deposition of most mobile phones is in the range 0.5–
0.75 W/kg. High RF energy deposition can be compensated
for with parallel data acquisition. Parallel data acquisition
lowers the RF energy deposition by reducing the number of
H. Urbach (&)
Department of Neuroradiology,
University Hospital Freiburg, Germany
e-mail: horst.urbach@uniklinik-freiburg.de
H. Urbach (ed.), MRI in Epilepsy, Medical Radiology. Diagnostic Imaging,
DOI: 10.1007/174_2012_559, Ó Springer-Verlag Berlin Heidelberg 2013
29
phase-encoding readouts (determined by the reduction fac-
tor R) for a given echo time, or it allows reduction of echo-
train lengths, yielding a shorter, more effective echo time
(Pruessmann et al. 1999; Bammer et al. 2001). This allows a
substantial reduction in image distortion and improves
image quality. In addition, the shorter echo time is more
motion resistant and reduces blurring in the image.
The MR signal is proportional to the square root of R and
the square root of the number of excitations. If R and the
number of excitations are increased, the net signal and
acquisition time are the same. However, the image can
appear different when using parallel data acquisition, and
although the images are noisier, specific structures of interest
can be assessed better (see Fig. 1 in ‘‘MRI of Children’’).
The susceptibility - is defined as the extent to which a
material becomes magnetized when placed in a magnetic
field. The susceptibility is proportional to the magnetic field
strength B0; therefore, all kinds of susceptibility artifacts are
more pronounced in 3 T MRI. Important susceptibility-
related artifacts are the signal loss around metallic implants
such as intracranial electrodes and aneurysm clips and
geometric distortions at interfaces between soft tissue and
bone or air, especially at the skull base. Again, parallel-
imaging techniques help to reduce these artifacts by
reducing the echo-train length. Moreover, stronger suscep-
tibility at 3 Tesla facilitates the detection of subtle hemo-
siderin-containing or calcified lesions, which can be
overlooked with 1.5 Tesla scanners.
3 Clinical Practice
Three Tesla scanners generate 2–3-mm-thick slices with
good contrast within an acceptable acquisition time per
sequence. Epilepsy patients are often unable to remain quiet
for sequences lasting longer than around 5 min. The spatial
Fig. 1 The midsagittal image of
a 3D T1-weighted gradient echo
sequence (a) is chosen to align
axial slices parallel to the
commissura anterior–commissura
posterior line. A parasagittal slice
displaying the hippocampus is
chosen to align slices parallel to
the hippocampus (b). An axial
T2-weighted sequence displaying
the inner ear is acquired to avoid
tilting in the coronal plane (c). In
this example, the dotted line
connects the posterior
semicircular canals and shows no
tilting in the coronal plane. Now,
high-resolution coronal slices can
be used for side comparisons.
The 2-mm-thick coronal slice
through the hippocampal heads
(d) shows the semicircular canals
in one plane. A small
hyperintense lesion in the white
matter of the parahippocampal
gyrus just underneath the
hippocampal head (arrow) was
histologically a WHO grade I
ganglioglioma
30 H. Urbach
Fig. 2 Planar surface (‘‘pancake’’) reformattion of a sagittal 3D fluid-
attenuated inversion recovery fast spin echo sequence with isotropic
voxel. A path is created along the brain surface on a coronal
reformatted image (b, hollow arrows). The brain surface is unfolded
along this path to facilitate anatomical orientation in the frontal lobes.
On the unaffected right side, the superior and inferior frontal sulci are
marked with asterisks (d). Arrows mark the hand knob of the central
sulcus and the line marks the craniocaudal extension of a type IIB
focal cortical dysplasia (d). The dysplasia reaches the precentral
sulcus, but the precentral gyrus is not affected
How to Perform MRI 31
resolution and signal-to-noise ratio are inversely correlated.
If the acquisition time is prolonged, the likelihood of
movement artifacts increases. A reasonable compromise
must be found between image quality and acquisition time.
If movement artifacts prohibit acquisition of images of
sufficient quality, which is particularly common in children,
MRI with general anesthesia is needed.
4 Requirements for MR Quality
4.1 Orientation
Coronal slices are almost always angulated perpendicular to
the hippocampal long axis. To obtain this angulation, we
start with a sagittal sequence, typically a 3D T1-weighted
gradient echo sequence, and use a paramedian slice
displaying the hippocampal long axis for planning. To avoid
tilting in the coronal plane, coronal slices are also adjusted
on an axial plane using symmetrical anatomical structures
such as the semicircular canals or internal auditory canals as
landmarks (Fig. 1).
Axial slices are angulated along the commissura anterior–
commissura posterior line or along the long axis of the hippo-
campus (‘‘temporal angulation’’). Angulation is planned on a
midsagittal slice for commissura anterior–commissura poster-
ior angulation and on a sagittal slice through one hippocampus
for temporal angulation. Temporal angulation on a midsagittal
slice is obtained if slices are acquired along a line from the
dorsal and lower border of the anterior skull base to the callosal
splenium; this angulation is about 25° steeper than commissura
anterior–commissura posterior angulation (Fig. 1).
Most patients with drug-resistant focal epilepsies and
around one third of patients presenting with a first epileptic
seizure have temporal lobe epilepsies, with hippocampal
sclerosis being the most commonly operated on lesion
(King et al. 1998). The hippocampus is best displayed on
coronal slices angulated perpendicular to its long axis.
Axial slices along the long axis display the hippocampus on
one slice, whereas with the usual angulation along the
commissura anterior–commissura posterior line hippocam-
pal head, body, and tail are shown on three adjacent, 5-mm
slices.
The recommendation to acquire sequences along or
perpendicular to the hippocampal long axis (‘‘temporal
angulation’’) is somewhat because at the beginning of the
MR era the vast majority of patients with structural
epilepsies had temporal lobe lesions (ILAE recommenda-
tions from 1997 and 1998). In recent years, the percentage of
patients with often subtle cortical dysplasias has steadily
increased. Since cortical dysplasias in the dorsal frontal and
parietal lobes can be missed on axial slices with temporal
angulation, we recommend to acquire an axial fluid-attenuated
inversion recovery (FLAIR) sequence with commissura
anterior–commissura posterior angulation.
4.2 Spatial Resolution
Epileptogenic lesions are often small and do not change
during life. One should bear in mind that lesions with suffi-
cient contrast as compared with the surrounding tissue will be
found if they measure double the pixel size. If the lesion is
smaller, partial volume artifacts may obscure its detection.
Fig. 3 Owing to a lower contrast-to-noise ratio, a faint gray white matter demarcation loss in the left frontal lobe is hardly visible at 1.5 T
(a arrow) compared with 3 T (b arrow, c anterior–posterior extension)
32 H. Urbach
We use a 3D T1-weighted gradient echo sequence
since it produces 1-mm slices and 1-mm3
voxel within a
reasonable time. We acquire 2- or 3-mm-thick FLAIR
slices, accepting that thinner slices reduce the signal-
to-noise ratio in a way that contrast of smaller lesions
becomes too low to outline them from the environment. If
high-contrast FLAIR images with a slice thickness of
3 mm cannot be acquired through the whole brain, the
clinically suspected region should be studied selectively
(Urbach et al. 2004).
Recently, a 3D FLAIR fast spin echo sequence with
isotropic 1-mm3
voxel has been incorporated into our
MRI protocol. This sequence depicts the whole brain
with high spatial resolution and is––in addition––usable
for multiplanar reformations and voxel-based analyses
(Kassubek et al. 2002; Wilke et al. 2003; Wagner et al.
2011) (Fig. 2).
4.3 Contrast
The FLAIR sequence has by far the highest diagnostic yield
owing to its superb contrast between gray matter and CSF.
The gray matter FLAIR signal is different for different gray
matter structures: the amygdala, hippocampus, cingulate
gyrus, subcallosal area, and insula have higher signal inten-
sity than the convexity cortices (Hirai et al. 2000). Epilep-
togenic lesions are usually gray matter lesions, and even
larger lesions are overlooked on T2-weighted sequences. We
acquire FLAIR sequences in axial, coronal, and sagittal ori-
entations since the extension of subtle gray matter lesions into
the subcortical matter is sometimes easier to detect on coronal
or sagittal slices and vice versa. However, the aforementioned
sagittal isotropic 3D FLAIR sequence with 1-mm3
voxel
may soon replace 2D sequences acquired in standard orien-
tations, although reformatted 2-mm-thick axial or 3-mm-
Fig. 4 On 1.5-T 5-mm-thick T2-weighted fast spin echo images a hypointense lesion (b, c, arrow) was interpreted as a cavernoma. High-resolution
T2-weighted fast spin echo images at 3 T depict at least three hemosiderin-containing lesions (d, e, arrows) suggestive of old cortical contusions
How to Perform MRI 33
thick coronal slices have a slightly lower contrast-to-noise
ratio than the corresponding 2D slices.
High-resolution T2-weighted fast spin echo images have
both high spatial resolution and a high contrast-to-noise
ratio. They are particularly suited to assess white matter
lesions. However, since CSF is also bright, hyperintense
cortical lesions can be easily missed.
4.4 Contrast Medium Injection
The first goal of MRI in epilepsy patients is detection of an
epileptogenic lesion. With careful MRI interpretation,
lesions are visible without additional intravenous contrast
medium injections. Contrast medium injections are usually
needed to characterize a lesion but not to find it (Elster and
Mirza 1991). We acquire contrast-enhanced T1-weighted
spin echo sequences in epileptogenic lesions other than
hippocampal slerosis in order to characterize the lesion.
5 MRI Interpretation
MRI interpretation comprises several steps addressing the
following questions:
1. Is the contrast between gray matter, white matter, and
CSF sufficient (Fig. 3)?
2. Is the spatial resolution and orientation appropriate to
detect subtle epileptogenic lesions fitting to the semiology
of the seizures (Fig. 4)?
3. Are anatomical structures displayed symmetrically and
without imaging artifacts in order to detect subtle
epileptogenic lesions by side comparisons (Fig. 1)?
6 MRI Protocols
Tables 1 and 2 include proposals for MRI protocols in
epilepsy patients.
Table 1 MRI ‘‘base’’ protocol
Sequence 3D T1-
weighted
FFE
FLAIR TSE T2-weighted
TSE
FLAIR TSE T2-weighted
TSE
FLAIR
TSE
SWI
Orientation Sagittal Sagittal Axial Coronal Coronal Axial Axial
FOV 256 240 230 230 240 256 220
RFOV 0.95 0.9 0.8 0.8 0.9 1 0.8
Matrix 256 256 512 256 512 256 256
Scan (%) 100 72.6 80 70.6 80 100 100
TI (ms) 833 2,850 2,850 2,850
TR (ms) 8.2 12,000 3,272 12,000 5,765 12,000 16
TE (ms) 3.7 120 80 140 120 140 23
FA (°) 8 140 90 90 90 90 10
Turbo factor 193 36 15 36 25 32
SENSE factor 1.3 (AP),
1.7 (RL)
No No No 3 (RL) No 1.5 (RL)
Slice thickness 1 3.5 5 3 2 2 1
Interslice gap 0 0 1 0 0 0 0
No. of slices 140 40 24 40 40 60 200
No. of
excitations
1 1 1 1 6 1 1
Acquisition
voxel size
(mm3
)
1 9 1 9 1 0.98 9 1.26 9 3.5 0.57 9 0.72 9 5 0.9 9 1.27 9 3 0.47 9 0.64 9 2 1 9 1
9 2
1 9 1 9 1
Recorded
voxel size
(mm3
)
1 9 1 9 1 0.49 9 0.49 9 3.5 0.45 9 0.45 9 5 0.45 9 0.45 9 3 0.23 9 0.23 9 2 1 9 1
9 2
0.43
9 0.43 9 0.5
Acquisition
time
3 min 11 s 4 min 48 s 1 min 58 s 4 min 4 min 53 s 5 min
24 s
3 min 17 s
FFE fast field echo, FLAIR fluid-attenuated inversion recovery, TSE turbo spin echo, FOV field of view, RFOV rectangular field of view, TI
inversion time, TR repetition time, TE echo time, FA flip angle, SENSE sensitivity encoding, AP anterior to posterior, RL right to left
34 H. Urbach
Additional sequences are acquired on the basis of
imaging findings or clinical hints.
If there is an epileptogenic lesion other than hippocam-
pal sclerosis, nonenhanced and contrast-enhanced spin echo
sequences are added. The goal is to specify a lesion, not to
detect it (Urbach et al. 2002): Focal cortical dysplasias show
contrast enhancement in exceptional cases only (Urbach
et al. 2002). If a circumscribed cortical/subcortical lesion
shows contrast enhancement, an epilepsy-associated tumor
is more likely.
We recently added Susceptibility-weighted (SWI)
sequences or —if not applicable —T2-weighted gradient
echo (FFE) sequences to the MR base protocol due to their
superb sensitivity to detect small hemosiderin deficits or
calcifications (Saini et al. 2009)
The sagittal 3D gradient echo sequence producing iso-
tropic 1-mm3
voxel is reformatted in axial and coronal
orientations. After a path along the brain surface has been
defined on the coronal images, the planar curved surface (or
‘‘pancake’’) view is constructed by parallel shifting in an
anterior and posterior direction. If the path in the direction
of the surface gradients is collapsed, the whole brain is
reformatted, and structures at any depth become visible. On
these planar brain surface reformations both hemispheres
are displayed in a mirror-like fashion, from the interhemi-
spheric to the sylvian fissures. The central sulcus and
neighboring gyri can be followed continuously (Hattingen
et al. 2004). The planar brain surface view facilitates ana-
tomical orientation and is helpful to determine the bound-
aries of epileptogenic lesions (Fig. 2).
Reversible splenium lesions on diffusion-weighted ima-
ges occur in less than 1% of epilepsy patients. Rapid anti-
epileptic drug reduction or withdrawal in order to provoke
epileptic seizures during presurgical workup has been
identified as risk factor. If a faintly hyperintense, non-space-
occupying splenium lesion is found on T2-weighted or
FLAIR images, diffusion-weighed imaging showing
reduced diffusion underscores the suspected diagnosis
(Nelles et al. 2006) (see Fig. 7 in Other Epilepsy-Asspciated
Diseases and Differential Diagnoses).
References
Bammer R, Keeling SL, Augustin M, Pruessmann KP, Wolf R,
Stollberger R, Hartung HP, Fazekas F (2001) Improved diffusion-
weighted single-shot echo-planar imaging (EPI) in stroke using
sensitivity encoding (sense). Magn Reson Med 46(3):548–554
Elster AD, Mirza W (1991) MR imaging in chronic partial epilepsy:
role of contrast enhancement. Am J Neuroradiol 12(1):165–170
Hattingen E, Hattingen J, Clusmann H, Meyer B, Koenig R, Urbach H
(2004) Planar brain surface reformations for localization of cortical
brain lesions. Zentralbl Neurochir 65(2):75–80. doi:10.1055/s-
2004-816271
Hirai T, Korogi Y, Yoshizumi K, Shigematsu Y, Sugahara T,
Takahashi M (2000) Limbic lobe of the human brain: evaluation
Table 2 Additional or alternative MRI sequences
Sequence T1-weighted TSE T2-weighted FFE DWI DTI 3D FLAIR
Orientation Coronal Axial Axial Axial Sagittal
FOV 230 230 256 256 250
RFOV 0.8 0.8 1 1 100
Matrix 256 256 128 128 228
Scan (%) 79.9 79.9 97.8 98.4 100
TI (ms) 1,600
TR (ms) 550 601 3,151 11,374 4,800
TE (ms) 13 18 69 63 309
FA (°) 90 18 90 90 90
SENSE factor No No 3 (AP) 2.2 (AP) 2.5 (AP),
2 (RL)
Slice thickness 5 5 5 2 1.1
Interslice gap 1 1 1 0 0
No. of slices 24 24 24 60 327
No. of excitations 1 1 2 1 2
Acquisition voxel size (mm3
) 0.9 9 1.12 9 5 0.9 9 1.12 9 5 2 9 2.4 9 5 2 9 2.03 9 2 1.1 9 1.1 9 1.1
Recorded voxel size (mm3
) 0.45 9 0.45 9 5 0.45 9 0.45 9 5 1 9 1 9 5 2 9 2 9 2 0.43 9 0.43 9 0.55
Acquisition time 4 min 33 s 1 min 41 s 1 min 9 s 6 min 26 s 4 min 43 s
DWI diffusion-weighted imaging, DTI diffusion tensor imaging, SWI susceptibility-weighted imaging
How to Perform MRI 35
with turbo fluid-attenuated inversion-recovery MR imaging. Radi-
ology 215(2):470–475
Kassubek J, Huppertz HJ, Spreer J, Schulze-Bonhage A (2002)
Detection and localization of focal cortical dysplasia by voxel-
based 3-D MRI analysis. Epilepsia 43(6):596–602
King MA, Newton MR, Jackson GD, Fitt GJ, Mitchell LA, Silvapulle
MJ, Berkovic SF (1998) Epileptology of the first-seizure presen-
tation: a clinical, electroencephalographic, and magnetic resonance
imaging study of 300 consecutive patients. Lancet 352(9133):
1007–1011. doi:10.1016/S0140-6736(98)03543-0
Nelles M, Bien CG, Kurthen M, von Falkenhausen M, Urbach H
(2006) Transient splenium lesions in presurgical epilepsy patients:
incidence and pathogenesis. Neuroradiology 48(7):443–448. doi:
10.1007/s00234-006-0080-5
Pruessmann KP, Weiger M, Scheidegger MB, Boesiger P (1999) Sense:
sensitivity encoding for fast MRI. Magn Reson Med 42(5):952–962
Saini J, Kesavadas C, Thomas B, Kapilamoorthy TR, Gupta AK,
Radhakrishnan A, Radhakrishnan K (2009) Susceptibility weighted
imaging in the diagnostic evaluation of patients with intractable
epilepsy. Epilepsia 50(6):1462–1473
Urbach H, Hattingen J, von Oertzen J, Luyken C, Clusmann H, Kral T,
Kurthen M, Schramm J, Blumcke I, Schild HH (2004) MR imaging
in the presurgical workup of patients with drug-resistant epilepsy.
Am J Neuroradiol 25(6):919–926
Urbach H, Scheffler B, Heinrichsmeier T, von Oertzen J, Kral T,
Wellmer J, Schramm J, Wiestler OD, Blumcke I (2002) Focal
cortical dysplasia of Taylor’s balloon cell type: a clinicopatholog-
ical entity with characteristic neuroimaging and histopathological
features, and favorable postsurgical outcome. Epilepsia 43(1):
33–40
Wagner J, Weber B, Urbach H, Elger CE, Huppertz HJ (2011)
Morphometric mri analysis improves detection of focal cortical
dysplasia type II. Brain 134(Pt 10):2844–2854. doi:10.1093/
brain/awr204
Wilke M, Kassubek J, Ziyeh S, Schulze-Bonhage A, Huppertz HJ
(2003) Automated detection of gray matter malformations using
optimized voxel-based morphometry: a systematic approach.
Neuroimage 20(1):330–343
Willinek WA, Kuhl CK (2006) 3.0 T neuroimaging: technical
considerations and clinical applications. Neuroimaging Clin N
Am 16 (2):217–228. doi:10.1016/j.nic.2006.02.007
Willinek WA, Schild HH (2008) Clinical advantages of 3.0 T MRI
over 1.5 T. Eur J Radiol 65(1):2–14. doi:10.1016/j.ejrad.2007.
11.006
36 H. Urbach
MRI of Children
Robert Sassen and Horst Urbach
Contents
1 Clinical Presentation ........................................................... 37
1.1 Children with a First Seizure................................................ 37
1.2 Children with Epilepsy Syndromes ...................................... 38
2 Preparation........................................................................... 38
3 Imaging ................................................................................. 38
References...................................................................................... 41
Abstract
MRI in children with epilepsies is different for mainly two
reasons: 1) Children are generally unable to lie still for
MRI. In order to acquire high-resolution MR images
general anaesthesia is the preferred sedation method.
2) Ongoing myelination during the first two or three years
of life make MR interpretation difficult. In the first
6 months of life, high resolution T2-weighted images
have the highest diagnostic potential. During the phase
of signal reversal (between 6 and 18 months of age) it
may be difficult to detect epileptogenic lesions. If a MRI
scan is ‘‘negative’’ at this age, it should be repeated after
the age of 2 or 3.
1 Clinical Presentation
The clinical context determines if and how MRI is performed:
1.1 Children with a First Seizure
When a child presents with a first seizure in life, one should
have in mind that the risk of having a first seizure is highest
in the first year of life and in patients older than 65 years
(Olafsson et al. 2005). The most common seizure type in
children is febrile seizures. Approximately one third of
children in studies from emergency departments who are
evaluated for a ‘‘first’’ seizure will be recognized as having
an epilepsy syndrome (Gaillard et al. 2009). Up to one
quarter of first seizures occur in the context of genetic
(formerly idiopathic) generalized epilepsies, and another
one fifth are genetic partial epilepsies, mainly benign
rolandic and occipital epilepsies (King et al. 1998).
Imaging in children with a first seizure is performed to
identify a lesion requiring urgent intervention (hydrocepha-
lus, tumor, stroke, hemorrhage, sinus thrombosis, metabolic,
etc.) (see Figs. 1, 2 in ‘‘What To Do After a First Seizure’’).
R. Sassen
Department of Epileptology,
University of Bonn, Bonn, Germany
H. Urbach (&)
Department of Neuroradiology,
University Hospital Freiburg, Germany
e-mail: horst.urbach@uniklinik-freiburg.de
H. Urbach (ed.), MRI in Epilepsy, Medical Radiology. Diagnostic Imaging,
DOI: 10.1007/174_2012_560, Ó Springer-Verlag Berlin Heidelberg 2013
37
If the clinical history and the EEG, however, point to a
genetic epilepsy syndrome and neurologic examination
findings are normal, MRI is typically unrevealing. Genetic
epilepsy syndromes without significant imaging abnormali-
ties include rolandic epilepsy, childhood absence epilepsy,
juvenile absence epilepsy, and juvenile myoclonic epilepsy
(see Table 1 in ‘‘Epilepsy Syndromes’’) (Gaillard et al.
2009).
Febrile seizures occur with an incidence of 2–5% until the
age of 5 years. They are defined as seizures occurring in
febrile children between the ages of 6 months and 5 years
who do not have an intracranial infection, metabolic distur-
bance, or a history of febrile seizures. They occur most fre-
quently between the 18th and 24th months of age (90% below
3 years of age, 50% within the second year of life). Febrile
seizures are subdivided into two categories: simple (80–90%)
and complex (10–20%). Simple febrile seizures last for less
than 15 min, are generalized (without a focal component), and
occur once in a 24-h period, whereas complex febrile seizures
are prolonged (mote than 15 min), are focal, or occur more
than once in 24 h. Simple febrile seizures are not associated
with subsequent epilepsy or cognitive deficits, whereas
complex febrile seizures are linked with the development of
temporal lobe epilepsy and hippocampal sclerosis. Whether
temporal lobe epilepsy is the consequence of complex febrile
seizures or the child has complex febrile seizure because the
hippocampus was previously damaged by a prenatal or
perinatal insult or by genetic predisposition is a matter of
debate. The current concept is to consider the association
between complex febrile seizures and temporal lobe epilepsy
resulting from complex interactions between several genetic
and environmental factors. Simple febrile seizures are not an
indication for MRI, whereas complex febrile seizures are
(King et al. 1998; Bernal and Altman 2003). In patients with
temporal lobe epilepsy, 30% of patients with hippocampal
sclerosis as compared with 6% of patients without hippo-
campal sclerosis had complex febrile seizures in childhood
(Falconer et al. 1964).
1.2 Children with Epilepsy Syndromes
Children with epileptic encephalopathies (see Table 1 in
‘‘Epilepsy Syndromes’’) are studied with MRI to find an
underlying structural lesion. For example, in infants with
infantile spasms (West syndrome) tuberous sclerosis is a
common finding. However, in around 40% of patients with
this encephalopathic syndrome, no lesions are found
(Osborne et al. 2010). Rarely, a circumscribed lesion may
be found, enabling surgical resection and dramatically
changing the child’s prognosis (Fig. 1).
In children with seizure types, age at presentation, and
EEG findings pointing to a genetic epilepsy syndrome of
(see above), MRI is typically unrevealing. Because some
nongenetic epilepsies may sometimes mimic these genetic
epilepsy syndromes, MRI is recommended in these patients
if they present with any atypical features such as abnormal
neurologic or intellectual development, difficult-to-treat
seizures, or unusual course. There is insufficient evidence to
comment on the role of not imaging in other less common
‘‘benign’’ or generalized epilepsy syndromes which may be
difficult to differentiate from symptomatic epilepsies [e.g.,
other idiopathic focal epilepsies (childhood epilepsy with
occipital paroxysms), primary reading epilepsy, and idio-
pathic generalized epilepsies (benign neonatal convulsions,
benign myoclonic epilepsies of infancy, and epilepsy with
seizures precipitated by specific modes of activation)]
(Caraballo et al. 1997a, b).
In children with focal, possibly drug-resistant epilepsy
syndromes, the effort to generate high-quality magnetic
resonance images is greatest. If these patients are uncoop-
erative and unable to tolerate sequences lasting around 5
min, general anesthesia including sedation and intubation is
needed. This effort is derived from the fact that focal cor-
tical dysplasias which may be subtle are one of the most
common causes of seizures in children with drug-resistant
epilepsy, accounting for nearly 80% of all surgically treated
cases in children under 3 years of age (Cepeda et al. 2006).
2 Preparation
Young children or those with learning difficulties are gen-
erally unable to lie still for neuroimaging. If general anes-
thesia is not available, orally administered chloral hydrate
(50–100 mg/kg body weight, maximum 2 g) may serve as
alternative (Cox et al. 2011; Schulte-Uentrop and Goepfert
2010). Finding the right chloral hydrate dose is difficult
because children may refuse, spit out, or vomit the unpal-
atable syrup. If contrast-medium injection is needed, a
‘‘needle’’ has to be placed before administering chloral
hydrate, otherwise the child will wake up, rendering con-
trast-enhanced MRI impossible. About 20% of the patients
need oxygen to keep oxygen saturation above 92%. Snoring
leads to vibration artifacts and the requirement of a special
head and neck position in the scanner.
3 Imaging
Brain magnetic resonance images of children up to 3 years
of age are different from those of adults mainly due to
incomplete white matter myelination. After 3 years of age,
the signal characteristics are similar to those in adult brains,
but the heads are smaller. In children 8 years of age or older,
the head size not longer increases appreciably with age.
38 R. Sassen and H. Urbach
Myelin is a lipid-rich membrane with low protein and
water content. Myelin contains only 40% water, and the
nonmyelin portion of white matter contains about 80%
water (van der Knaap and Valk 1990, 2005, p 1-19).
Myelination begins in the cranial nerves in the fifth fetal
month. It proceeds from caudal to cephalad, from dorsal to
ventral, and from central to peripheral. Functional systems
that are used early in life (precentral and postcentral gyri,
occipital cortex) myelinate before those using association
fibers (posterior parietal, frontal, and temporal areas).
Peripheral white matter myelinates last. Myelination starts
at 9–12 months in the posterior parts, at 11–14 months in
the frontal lobes, and thereafter in the temporal lobes.
Increased white matter signal intensity in the anterior part
of the temporal lobe, which accompanies hippocampal
sclerosis in a significant percentage of patients, may
therefore represent a maturation disorder and not an asso-
ciated cortical dysplasia (Schijns et al. 2011).
On MRI, myelination is associated with shortening of the
T1 and T2 relaxation times, reduced water diffusion,
increased diffusion anisotropy, and increased magnetization
transfer. Accordingly, the white matter signal changes from
hypointense to hyperintense relative to gray matter on
T1-weighted images and from hyperintense to hypointense
relative to gray matter on T2-weighted images (Barkovich
2000; Barkovich et al. 1988) During the phase of signal
reversal (between 6 and 18 months of age) it may be difficult
to detect subtle epileptogenic lesions. It may be easier to
detect, e.g., focal cortical dysplasias shortly after birth or at
the age of 2 or 3 years, when signal differences between gray
Fig. 1 Large left frontal focal cortical dysplasia type IIB in a 3-
month-old girl with infantile spasms (West syndrome). The lesion is
best visible on T2-weighted images (a, d–f), easily overlooked on
fluid-attenuated inversion recovery (FLAIR) images (b), and not
visible on T1-weighted images (c). Note the high (inversed) signal of
the unmyelinated white matter on T2-weighted images. Contrast
between gray matter and white matter on T1-weighted images is worse
at 3 T as compared with 1.5 T as the T1 relaxation is around 30%
shorter and the relaxation times of gray matter and white matter
converge. White matter maturation leading to an increased signal
on T1-weighted images starts in the deep white matter posteriorly
and extends latest in the subcortical frontal and temporal lobe white
matter (Barkovich. Pediatric Neuroimaging. Lippincott Williams and
Wilkins, Philadelphia 2000)
MRI of Children 39
matter and white matter have evolved again (Eltze et al.
2005). If MRI is performed between 9 and 18 months of age
and the findings are negative, another scan after 2 years of
age should be performed (Vezina 2011).
Unmyelinatedwhite matterishyperintenseonT2-weighted
images. Increasing the repetition time (4,000–5,000 ms
minimum) typically improves contrast. In addition, an
increased echo time can help exploit minimal available
contrast in infants. As the inherent signal-to-noise ratio of
T2-weighted turbo spin echo images is high, these adjustments
are made without adverse effects on overall image quality.
T1-weighted spin echo images in infants are noisy since
infant brains have ample water but minimal myelin. At high
field strengths, longer T1 relaxation time, converging T1
relaxation times of gray matter and white matter, and inherent
magnetizationtransfer contrast effectsfurther reduce contrast.
By the age of 3 years, spin echo T1 contrast approximates
that of adults. Three-dimensional T1-weighted gradient echo
images are a good alternative to T1-weighted spin echo
images in terms of spatial resolution, signal-to-noise ratio,
and T1 contrast. However, contrast enhancement of lesions
can be different and more prominent on spin echo images.
Fig. 2 Large left frontal focal
cortical dysplasia type IIB in a
boy with complex focal seizures.
Axial FLAIR images were
acquired at the age of 2 years (a),
2.5 years (b), 3.5 years (c), and 4
years (d–f; e shows a reformatted
1-mm-thick image from a sagittal
3D FLAIR data set with an
orientation similar to that in a–c).
FLAIR imaging is of little value
in the first 3 years of life as the
signal difference between cortex
and white matter is low and the
subcortical hyperintensity
representing the balloon-cell-rich
and hypomyelinated zone is not
present yet. At these time points,
T2-weighted images display the
distorted cortical anatomy (f),
which is better appreciated on
high-field MRI owing to an
increased signal-to-noise ratio
and spatial resolution.
Hematoxylin–eosin staining
(9400) shows a balloon cell
(arrowhead) with an eccentric
nucleus and gigantic opaque/
eosinophilic cytoplasm. Compare
the size of the balloon cell and
that of two neighboring neurons
(arrows). (Courtesy of A. Becker,
Department of Neuropathology,
University of Bonn)
40 R. Sassen and H. Urbach
FLAIR sequences have a limited value in children up to
3 years due to their inherent T1 contrast and the lower
signal to noise ratio of inversion recovery techniques
(Fig. 2). In addition, the high heart rate of small children
lead to more flow artifacts compared to adults.
Magnetization transfer imaging is a helpful alternative
imaging modality in children older than 3 years. Magneti-
zation transfer is based on the interaction between mobile
free water protons and macromolecular bound protons. An
off-resonance radiofrequency pulse saturates protons bound
to macromolecules, mainly in the myelin sheaths. Owing to
spin–spin interactions, the saturation effect is transferred to
surrounding mobile free protons. This results in a signal
decrease from the mobile protons and an overall suppres-
sion of signal from brain tissue. If a lesion has a low myelin
fraction or contains abnormal myelin, signal suppression is
lower than that in the healthy white matter. Thus, a lesion
may appear as hyperintense on magnetization transfer
images. Magnetization transfer images have been shown to
be superior in the detection of white matter lesions in
tuberous sclerosis complex (Pinto Gama et al. 2006;
Woermann and Vollmar 2009), and similarly in some focal
cortical dysplasias (Rugg-Gunn et al. 2003).
During the first 3 years of life, high-resolution T2-
weighed fast spin echo images have the highest diagnostic
yield to detect and to delineate epileptogenic lesions (Fig. 1).
Afterwards, FLAIR sequences are the most important ones.
If a 3D FLAIR sequence cannot be acquired, we recommend
acquiring FLAIR sequences in axial, coronal, and sagittal
orientations.
The first goal of MRI in epilepsy patients is the detection
of an epileptogenic lesion. With careful MRI interpretation,
lesions are visible without additional intravenous contrast
medium injections. Contrast medium injections are usually
needed to characterize a lesion but not to find it (Elster and
Mirza 1991). Like in adults, we acquire contrast-enhanced
T1-weighted spin echo sequences in epileptogenic lesions
other than hippocampal sclerosis in order to characterize the
lesion (Gaillard et al. 2009).
References
Barkovich AJ (2000) Concepts of myelin and myelination in
neuroradiology. AJNR Am J Neuroradiol 21(6):1099–1109
Barkovich AJ, Kjos BO, Jackson DE Jr, Norman D (1988) Normal
maturation of the neonatal and infant brain: MR imaging at 1.5 T.
Radiology 166(1 Pt 1):173–180
Bernal B, Altman NR (2003) Evidence-based medicine: neuroimaging
of seizures. Neuroimaging Clin N Am 13(2):211–224
Caraballo R, Cersosimo R, Galicchio S, Fejerman N (1997a) Benign
infantile familial convulsions. Rev Neurol 25 (141):682–684
Caraballo RH, Cersosimo RO, Medina CS, Tenembaum S, Fejerman N
(1997b) Idiopathic partial epilepsy with occipital paroxysms. Rev
Neurol 25 (143):1052–1058
Cepeda C, Andre VM, Levine MS, Salamon N, Miyata H, Vinters HV,
Mathern GW (2006) Epileptogenesis in pediatric cortical dysplasia:
the dysmature cerebral developmental hypothesis. Epilepsy Behav
9(2):219–235. doi:10.1016/j.yebeh.2006.05.012
Cox RG, Levy R, Hamilton MG, Ewen A, Farran P, Neil SG (2011)
Anesthesia can be safely provided for children in a high-field
intraoperative magnetic resonance imaging environment. Paediatr
Anaesth 21(4):454–458. doi:10.1111/j.1460-9592.2011.03528.x
Elster AD, Mirza W (1991) Mr imaging in chronic partial epilepsy: role
of contrast enhancement. AJNR Am J Neuroradiol 12(1):165–170
Eltze CM, Chong WK, Bhate S, Harding B, Neville BG, Cross JH
(2005) Taylor-type focal cortical dysplasia in infants: some MRI
lesions almost disappear with maturation of myelination. Epilepsia
46(12):1988–1992. doi:10.1111/j.1528-1167.2005.00339.x
Falconer MA, Serafetinides EA, Corsellis JA (1964) Etiology and
pathogenesis of temporal lobe epilepsy. Arch Neurol 10:233–248
Gaillard WD, Chiron C, Cross JH, Harvey AS, Kuzniecky R, Hertz-
Pannier L, Vezina LG (2009) Guidelines for imaging infants and
children with recent-onset epilepsy. Epilepsia 50(9):2147–2153.
doi:10.1111/j.1528-1167.2009.02075.x
King MA, Newton MR, Jackson GD, Fitt GJ, Mitchell LA, Silvapulle MJ,
Berkovic SF (1998) Epileptology of the first-seizure presentation: a
clinical, electroencephalographic, and magnetic resonance imaging
study of 300 consecutive patients. Lancet 352(9133):1007–1011.
doi:10.1016/S0140-6736(98)03543-0
OlafssonE,LudvigssonP,GudmundssonG,HesdorfferD,KjartanssonO,
Hauser WA (2005) Incidence of unprovoked seizures and epilepsy in
Iceland and assessment of the epilepsy syndrome classification: a
prospective study. Lancet Neurol 4(10):627–634. doi:10.1016/
S1474-4422(05)70172-1
Osborne JP, Lux AL, Edwards SW, Hancock E, Johnson AL,
Kennedy CR, Newton RW, Verity CM, O’Callaghan FJ (2010)
The underlying etiology of infantile spasms (West syndrome):
information from the United Kingdom Infantile Spasms Study
(UKISS) on contemporary causes and their classification. Epilepsia
51(10):2168–2174. doi:10.1111/j.1528-1167.2010.02695.x
Pinto Gama HP, da Rocha AJ, Braga FT, da Silva CJ, Maia AC Jr, de
Campos Meirelles RG, Mendonca do RJI, Lederman HM (2006)
Comparative analysis of MR sequences to detect structural brain
lesions in tuberous sclerosis. Pediatr Radiol 36(2):119–125. doi:
10.1007/s00247-005-0033-x
Rugg-Gunn FJ, Eriksson SH, Boulby PA, Symms MR, Barker GJ,
Duncan JS (2003) Magnetization transfer imaging in focal epilepsy.
Neurology 60(10):1638–1645
Schijns OE, Bien CG, Majores M, von Lehe M, Urbach H, Becker A,
Schramm J, Elger CE, Clusmann H (2011) Presence of temporal
gray-white matter abnormalities does not influence epilepsy surgery
outcome in temporal lobe epilepsy with hippocampal sclerosis.
Neurosurgery 68 (1):98–106; discussion 107. doi:10.1227/NEU.
0b013e3181fc60ff
Schulte-Uentrop L, Goepfert MS (2010) Anaesthesia or sedation
for MRI in children. Curr Opin Anaesthesiol 23(4):513–517. doi:
10.1097/ACO.0b013e32833bb524
van der Knaap M, Valk J (1990) MR imaging of the various stages of
normal myelination during the first year of life. Neuroradiology
31(6):459–470
van der Knaap M, Valk J (2005) Magnetic resonance of myelination
and myelin disorders. Springer Berlin Heidelberg, New York,
pp 1–19
Vezina LG (2011) MRI-negative epilepsy: protocols to optimize lesion
detection. Epilepsia 52(Suppl 4):25–27. doi:10.1111/j.1528-1167.
2011.03147.x
Woermann FG, Vollmar C (2009) Clinical MRI in children and adults
with focal epilepsy: a critical review. Epilepsy Behav 15(1):40–49.
doi:10.1016/j.yebeh.2009.02.032
MRI of Children 41
Functional MRI
Jo¨rg Wellmer
Contents
1 Introduction.......................................................................... 43
1.1 Methodology of fMRI ........................................................... 44
1.2 Shortcomings of fMRI .......................................................... 44
1.3 Safe Clinical Application of fMRI for Different
Indications.............................................................................. 46
References...................................................................................... 48
Abstract
Functional magnetic resonance imaging (fMRI) is an
abundantly applied tool for the preoperative localization
and/orlateralizationofbrainfunctions.Itisnoninvasiveand
therefore apparently without risk for patients. However, the
particular risk of fMRI lies in several methodological
limitations which can give rise to misinterpretations. These
can result in fatal surgical decisions, for example, the
resectionofundetectedfunctionalcortexorthe unnecessary
sparing of tissue which has to be removed to achieve
freedom from seizures. This chapter explains the method-
ological aspects of fMRI with special focus on its limita-
tions, but also gives recommendations for safe clinical
application of fMRI.
1 Introduction
Epilepsy surgery aims at achieving freedom from seizures by
resecting the epileptogenic zone without causing unexpected
neurological sequelae. A particular challenge is that in epi-
lepsy patients the functional anatomy of sensorimotor, lan-
guage, and memory systems shows interindividual variability
(Helmstaedter et al. 1997; Staudt 2010). The reasons for in-
trahemispheric or interhemispheric shift of functions can be
interictal or ictal epileptic discharges or morphological
lesions (Staudt 2010; Janszky et al. 2003; Weber et al. 2006).
Traditionally, inactivating methods such as the Wada test
(Baxendale 2009) or electrical stimulation mapping (ESM)
(Berger et al. 1989; Hamberger 2007) are applied to identify
the individual functional anatomy. These methods produce a
transient functional lesion and indicate whether surgery in the
inactivated area would cause a persisting functional deficit.
Both methods carry some risk of morbidity although for the
Wada test large studies have shown a risk of permanent
morbidity of only around 0.5% (Loddenkemper et al. 2008;
Haag et al. 2008). Also, extraoperative electrical stimulation
has an acceptable risk–benefit ratio (Wellmer et al. 2012).
J. Wellmer (&)
Ruhr-Epileptology, Department of Neurology,
University Hospital Knappschaftskrankenhaus
Bochum, Germany
e-mail: joerg.wellmer@kk-bochum.de
H. Urbach (ed.), MRI in Epilepsy, Medical Radiology. Diagnostic Imaging,
DOI: 10.1007/174_2012_563, Ó Springer-Verlag Berlin Heidelberg 2013
43
However, several alternative methods have been devel-
oped which allow noninvasive lateralization and localiza-
tion of cerebral functions. The most abundantly distributed
is functional MRI (fMRI). As most noninvasive methods,
fMRI is an activation method (Desmond and Annabel Chen
2002). Patients are instructed to perform specific tasks fol-
lowing a strict protocol, and via a surrogate parameter
(spatial distribution of activation-related cerebral perfusion
changes) the intracerebral localization of the tested function
is determined (Fig. 1). In fact, many studies have described
congruence between fMRI and the Wada test (Binder et al.
1996) or ESM (FitzGerald et al. 1997; Yetkin et al. 1997),
in particular for language lateralization and localization.
Yet, fMRI has several methodological limitations which can
affect its validity. These limitations have to be known to
physicians who apply or request fMRI in a presurgical
setting. Therefore, this chapter addresses the methodologi-
cal aspects and shortcomings of fMRI before finally giving
recommendations regarding its safe clinical application. For
reasons of clarity, this chapter concentrates on fMRI for
sensorimotor, language, and memory functions.
1.1 Methodology of fMRI
For fMRI the patient is positioned in a standard MRI
scanner. Following a predefined time schedule, the patient
has to perform simple motor to complex cognitive tasks
alternating with control conditions. Instructions are given to
the patient either auditorily (through headphones) or visually
(via a mirror or goggles). For fMRI of the sensory system,
tactile stimuli are applied to the patient.
In response to the execution of the task, neuronal activity
and oxygen consumption are elevated in areas associated with
this task (e.g., finger-tapping results in increased neuronal
activity in the hand motor cortex). The oxygen consumption
results in a transient increase in deoxyhemoglobin (desoxy-
Hb), but neurovascular coupling leads to an immediate
regional surplus of oxyhemoglobin (oxy-Hb). The relative
oxy-Hb surplus persists until shortly after termination of
the task, then the oxy-Hb/desoxy-Hb ratio drops back to the
baseline. Since oxy-Hb is more diamagnetic than desoxy-Hb,
regional oxy-Hb hyperperfusion leads to subtle magnetic
changes which can be identified in serial T2*-weighted
images (for review, see Logothetis 2002). By statistical
parametric mapping (http://www.fil.ion.ucl.ac.uk/spm/) or
other techniques, one can statistically evaluate subsequent
series of images acquired during the active condition and
the control condition. Areas that show changes in magnetic
signal temporally associated with the protocol-defined
course of the active and the control condition are identified
and visualized.
1.2 Shortcomings of fMRI
Although the principle of fMRI is simple and logical, there
are a number of limitations to this technique which call for
care when interpreting activation patterns. Six exemplary
limitations are as follows.
Fig. 1 Principle of fMRI, blocked design. Panel A: blood oxygena-
tion level dependent (BOLD) effect: following a defined stimulus the
oxygen-need is increased in areas associated with stimulus processing.
This causes a regional transient decrease of oxy-Hb (1), but due to the
neurovascular response the regional supply with oxy-Hb increases,
exceeding the oxygen-consumption (2). After the stimulus processing
ends (3) excess perfusion stops and the oxy-Hb level returns to
baseline. Panel B: Oxy-Hb is more diamagnetic than desoxy-Hb. The
regional oxy-Hb hyperperfusion leads to subtle magnetic changes
which can be identified in serial T2* weighted images. By statistical
comparison of MRI-scans acquired during the active and the control
condition, stimulus-associated T2*-changes can be identified and
visualized, for example overlaid to a morphological MRI scan of the
patient. Alternative to the blocked design shown here event-related
protocols can be applied. However, they are statistically less robust in
clinical routine
44 J. Wellmer
1. Thresholds for activated versus nonactivated voxels.
Whether brain areas (more precisely, voxels) are con-
sidered activated or not depends on a threshold defini-
tion. The magnitude of T2*-signal changes between the
active and the resting condition is usually expressed as
p or z scores. To prevent unspecific activation from
blurring task-related activation, only activation increases
above a defined threshold are regarded as clinically
significant. However, there is no standard threshold
which is valid for different tasks, patients, or even
repeated experiments in the same individual (Loring
et al. 2002; Jansen et al. 2006). In consequence, the size
of cortex attributed to a given task varies as a function of
an arbitrarily chosen activation threshold. In language
fMRI, the choice of activation threshold even can
determine whether a predominance of left or right
hemispheric activation is seen (Ruff et al. 2008). Both
false-negative and false-positive activations have to be
avoided (Desmond and Annabel Chen 2002; Loring et al.
2002). There have been attempts to adjust the threshold
to the activation level of an individual examination.
Fernandez et al. (2001) suggest determining the z-score
threshold as follows: 50% of the median z score of
those 5% of voxels which show the maximum activation
changes. Another possibility to overcome threshold
dependency is the use of a bootstrap algorithm which
takes different thresholds into account and also allows
one to detect statistical outliers (Wilke and Schmithorst
2006). Still, the selection of the threshold remains to
some extent arbitrary, making the result of an fMRI
examination dependent on subjective assumptions
(Jansen et al. 2006).
2. Choice of regions of interest. Language and memory
tasks more than sensorimotor tasks result in complex
activation patterns; however, not all activated voxels
necessarily correlate with the target parameter (e.g.,
activated visual cortex in the case of a visually presented
language task). Predefined regions of interest (ROIs) can
help to focus evaluation on the target parameter and to
exclude unspecific activation from the determination of
lateralization indices (LIs) (Rutten et al. 2002; Spreer
et al. 2002; Loring et al. 2002). In fact, LIs are higher
when determination of left and right hemispheric acti-
vation is restricted to ROIs compared with whole
hemispheric evaluations (Rutten et al. 2002). However,
protocol-specific ROIs are often created by random
effects analysis of examinations in healthy controls.
Problems arise when in epilepsy patients language areas
moved out of the ROIs because of plasticity. Then, the
LI determined is too low and the result may be incor-
rectly interpreted as bilateral language representation.
3. Choice of activation protocols. In sensorimotor proto-
cols, the selection of activation tasks is rather simple:
repetitive movements or tactile stimulation against rest.
In language and memory fMRI, simple activation tasks
often cannot display the anatomy of the whole functional
system (Price 2000; Swanson et al. 2007; Bonelli
et al. 2010). Relying on a task which depicts only one
subaspect of the functional system may result in wrong
lateralization, for example, in the case of crossed expres-
sive and receptive language dominance (Kurthen et al.
1994) or crowding of mnestic functions (Helmstaedter
et al. 2004). Language tasks relying on a semantic decision
making, however, can activate several language subsys-
tems (Swanson et al. 2007). In more complex language
and memory protocols, evaluation of more than the ROI
can help to identify the underlying anatomy (Wellmer
et al. 2008; Bonelli et al. 2010). Applying a task battery
can increase the sensitivity for atypical language organi-
zation. However, each task should be evaluated separately
for hints at atypical representation. Combined task anal-
ysis (Ramsey et al. 2001) may produce robust statistical
results, but areas activated just in one of several tasks may
be missed.
Not only the active condition of a protocol has an
influence on the result of an examination. The final
fMRI activation pattern usually results from a sub-
traction of the control from the active condition. In the
case of language and memory fMRI, continued or self-
initiated semantic or linguistic processing cannot be
excluded when the control condition is passive (blank
screen or crosshair) (Binder et al. 1999; Swanson et al.
2007). This, however, would result in a contrast lan-
guage minus language. So, even a strong language
lateralization can be missed. The same applies for
memory tasks. Ideally, language and memory fMRI
protocols follow the principle of a ‘‘tight comparison’’
(Donaldson and Buckner 2001) and use attention
demanding nonlinguistic or nonmemory control condi-
tions with continuous performance control.
4. Choice of LI for lateralized or bilateral language or
memory functions. When for clinical purposes language
or memory activation patterns are to be trichotomized
into unilateral left, bilateral, or unilateral right, quotients
of left and right activation can be calculated and
threshold values defined. Again, there are no generally
accepted thresholds. Studies comparing language fMRI
with the Wada test commonly apply very liberal
thresholds for unilateral language dominance. They often
range between ± 0.1 and 0.265 (Liegeois et al. 2004;
Adcock et al. 2003). Low LI thresholds are problematic
for two reasons. Firstly, they lead to the overdiagnosis
of unilaterality of language. Patients with bilateral
language organization according to a Wada test but some
lateralization in fMRI (e.g., above an LI of 0.2) will
be misdiagnosed as unilateral dominant. In a semantic
Functional MRI 45
comparison task (word pairs vs. letter string pairs) we
found that only an LI of 0.85 for the least lateralized of
three ROIs allowed diagnosis of unilateral language
dominance in accordance with the Wada test (Wellmer
et al. 2008). Below an LI of 0.85 for the least lateralized
ROI, fMRI was not able to discriminate between uni-
lateral and bilateral language dominance.
Secondly, application of low LI thresholds leads to an
overestimation of concordance rates between fMRI and
the Wada test. In the study of Sabbah et al. (2003) for an
LI threshold of 0.2, the concordance between fMRI and
the Wada test was 95%. However, for LI thresholds of
0.4, 0.6, and 0.8, the concordance rates would have been
80, 35, and 15%, respectively. Therefore, it must be
hypothesized that a number of studies comparing fMRI
and the Wada test gave too optimistic concordance rates.
5. No discrimination of function-essential and function-
associated cortex. In contrast to inactivation methods
which test for the functional reserve capacity of nonin-
activated cortex, fMRI indicates in which brain areas
metabolic changes occur temporally associated with a
particular task. This does not mean that the activated part
of the brain is essential for the correct execution of the
task and that its removal during epilepsy surgery has to
be prevented (Desmond and Annabel Chen 2002).
6. Questionable validity of fMRI near lesions. A key indi-
cation for fMRI is to validate if the relevant functions
overlap or are close to cerebral lesions. However, this
assumes that fMRI is not affected by the lesion itself. A
comparison of patients without lesions and with lesions
with potential to interfere with the blood-oxygen-level-
dependent (BOLD) effect (e.g., by altered vasoreactivity
or susceptibility artifacts due to hemosiderin deposits) or
large defects affecting automated MRI normalization
showed that the validity of fMRI activation patterns
close to lesions cannot be taken for granted (Wellmer
et al. 2009). However, further examinations have to
follow. Until innocuousness is proven, uncritical inter-
pretation of fMRI activation patterns close to lesions
should be avoided.
1.3 Safe Clinical Application of fMRI
for Different Indications
The methodological shortcomings affect different fMRI
applications to a variable extent.
The most relevant problem for sensorimotor fMRI is
shortcoming 1. By changing the statistical threshold for
activated versus nonactivated voxels, one can generate any
result from no activation (high threshold) to abundant
bilateral activation (low threshold) (Fig. 2); therefore, fMRI
is by no means able to exactly define the limits of functional
cerebral structures. Never should a neurosurgeon perform a
resection on the basis of an activation pattern which is based
on an arbitrarily chosen threshold. Shortcoming 6 raises
concerns regarding the validity of fMRI near lesions.
However, further studies addressing the effect of lesions on
fMRI are required. Sensorimotor fMRI should only be
applied for orientation. A robust fMRI activation can be a
strong indicator for the localization of a function, but for
precise localization of essential functions ESM should be
applied.
Language fMRI is prone to all the shortcomings listed.
A way to apply language fMRI safely is to maximize its
specificity for unilateral language dominance and to embed
it into an algorithm with the Wada test and ESM. As
summarized in Table 1, the threshold for activated voxels
should be adjusted to the individual activation level or other
sophisticated threshold determinations should be applied.
Fig. 2 Finger tapping paradigm (right hand). The extent of activation
depends on the chosen statistical threshold for activated vs. non-
activated voxels. A: T=1.29; B: T=1.66; C: T=2.61. At even higher
thresholds, the activation disappears. The choice of threshold is
arbitrary. Surgeons should not define margins of functions based on
fMRI-activations
46 J. Wellmer
Protocol-specific ROIs should be applied. The LI threshold
for unilateral language dominance should be high, ideally
protocol-specific and validated with Wada-tested patients.
The protocol applied should be designed as a tight com-
parison where the language–control contrast reliably shows
only language functions. It should stimulate receptive and
expressive language functions. Application of a task battery
can increase the sensitivity for atypical dominance as long
as the tasks are evaluated separately. The control condition
should prevent self-initiated linguistic processing, and
active and control conditions should underlie continuous
performance control to recognize malcompliance during
either condition. Finally, if lesions with potential to inter-
fere with the BOLD effect lie in or close to an ROI, the
validity of fMRI (in particular in the case of the absence
of activation) should be scrutinized. If fMRI is applied
according to the specified requirements and shows clear
unilateral dominance, its result can be utilized in the pre-
surgical workup. If fMRI fails to meet the protocol-specific
criteria for unilateral language dominance, its result should
be disregarded. Then a Wada test and/or ESM should be
performed. Algorithms describing the application of fMRI,
the Wada test, and ESM for language lateralization and
localization are given in Fig. 3.
Memory fMRI is the most challenging of the three appli-
cations discussed here. Again, all methodological limitations
described have to be taken into account. The most compli-
cated aspect of memory fMRI is the definition of an activation
protocol. In memory fMRI not only the choice of verbal and
nonverbal material is of relevance for quantifying dominant
Table 1 Effects of subjective presettings on the result of fMRI-based language lateralization and localization, related to the six discussed
pitfalls. If a clinical decision shall be made on fMRI, its specificity must be maximized (small a). If fMRI fails to deliver an unequivocal result,
inactivation techniques such as the Wadatest and ESM school be applied according to an indication-specific algorithms (Fig. 3)
Type I error Type II error Clinical requirement
Activation threshold Low High a small
ROI Large Small a small
LI threshold Low High a small
Protocol design Loose comparison Tight comparison a small
Control task Passive Active a small
Effect of lesions Ignore Regard a small
ROI region of interest, LI lateralization index
Fig. 3 a Algorithm for the application of fMRI and Wada-test when
language dominance assessment is performed to allow the interpre-
tation of neuropsychological results. The key question is whether a
patient is unilateral left or right dominant for language (Helmstaedter
et al. 2004). If fMRI is performed according to the methodological
requirements and shows protocol specific clear unilateral language
dominance, this result is reliable and no further examination is
required. If the result of fMRI is ambiguous, a unilateral Wada Test on
the hemisphere of intended surgery should be performed. If this
already proves bilateral language distribution, no futher Wada-test
is required, the result is atypical language dominance. If the first
Wada is still conformable with unilateral language dominance, the
contralateral Wada has to be performed. Now, a definite language
lateralization score can be computed. For the principle of uni- and
bilateral Wada-performance see: (Wellmer et al. 2005). b Algorithm
for the application of fMRI, Wada-test and electrical stimulation
mapping (ESM) for language localization. Key issue is to exclude
relevant language cortex in the area of intended surgery. If fMRI is
performed according to the methodological requirements and shows
unilateral language dominance contralateral to the intended surgery,
nor further language localization is necessary. If the fMRI result is
ambiguous, a unilateral Wada test ipsilateral to the intended surgery is
performed. Does this exclude language in the hemisphere of intended
surgery (by undisturbed language function), again the algorithm ends.
In case that fMRI or Wada indicate language in the surgical
hemisphere, ESM should be performed to map the extent of language
cortex in comparison to the seizure onset area. For the principle of
ESM for language mapping see: (Wellmer et al. 2009)
Functional MRI 47
or nondominant temporal or frontal lobe function and the
contralateral reserve capacity. Further issues are whether to
explore the encoding or retrieval of material, the assessed
quality of recalling (e.g., to remember vs. to know), and if
subjects use encoding strategies depending on materials
presented (e.g., verbalization of figural material). For a
review of these issues, see Golby et al. 2001). Another
problem of memory fMRI is that the most relevant area of
interest consists of the temporomesial structures. This results
in problems because of susceptibility artifacts and geometric
distortions close to pneumatized paranasal sinuses.
Several attempts have been made to predict the effects
of surgery on memory in individual subjects. In the most
elaborate study so far, Bonelli et al. (2010) concluded that
memory fMRI alone is not sufficient for prediction of post-
operative memory loss. Positive predictive values for post-
operative verbal or visual memory changes are around 30%
because of a relatively large number of false positives. Only
when the covariates language lateralization assessed with
language fMRI and preoperative memory scores according to
neuropsychological tests are taken into account, acceptable
positive predictive values (70 and 100%, respectively) can
achieved (Bonelli et al. 2010). Because memory fMRI is still
a subject of intensive research, it is not yet robust enough for
routine clinical application by nonspecialists.
Acknowledgments IthankS.Bonelli,MD,PhD,forcriticallyreviewing
the manuscript.
References
Adcock JE, Wise RG, Oxbury JM, Oxbury SM, Matthews PM (2003)
Quantitative fMRI assessment of the differences in lateralization of
language-related brain activation in patients with temporal lobe
epilepsy. Neuroimage 18(2):423–438
Baxendale S (2009) The Wada test. Curr Opin Neurol 22(2):185–189.
Berger MS, Kincaid J, Ojemann GA, Lettich E (1989) Brain mapping
techniques to maximize resection, safety, and seizure control in
children with brain tumors. Neurosurgery 25(5):786–792
Binder JR, Swanson SJ, Hammeke TA, Morris GL, Mueller WM,
Fischer M, Benbadis S, Frost JA, Rao SM, Haughton VM (1996)
Determination of language dominance using functional MRI: a
comparison with the Wada test. Neurology 46(4):978–984
Binder JR, Frost JA, Hammeke TA, Bellgowan PS, Rao SM, Cox RW
(1999) Conceptual processing during the conscious resting state.
A functional MRI study. J Cogn Neurosci 11(1):80–95
Bonelli SB, Powell RH, Yogarajah M, Samson RS, Symms MR,
Thompson PJ, Koepp MJ, Duncan JS (2010) Imaging memory in
temporal lobe epilepsy: predicting the effects of temporal lobe
resection. Brain 133(Pt 4):1186–1199
Desmond JE, Annabel Chen SH (2002) Ethical issues in the clinical
application of fMRI: factors affecting the validity and interpretation
of activations. Brain Cogn 50(3):482–497
Donaldson DI, Buckner RL (2001) Effective paradigm design. In:
Mathews PM, Jezzard P, Evans AC (Eds.) Functional magnetic
resonance imaging of the brain: methods for neuroscience. Oxford
University Press, Oxford 177–95
Fernandez G, de Greiff A, von Oertzen J, Reuber M, Lun S, Klaver P,
Ruhlmann J, Reul J, Elger CE (2001) Language mapping in less
than 15 min: real-time functional MRI during routine clinical
investigation. Neuroimage 14(3):585–594
FitzGerald DB, Cosgrove GR, Ronner S, Jiang H, Buchbinder BR,
Belliveau JW, Rosen BR, Benson RR (1997) Location of language
in the cortex: a comparison between functional MR imaging and
electrocortical stimulation. AJNR Am J Neuroradiol 18(8):
1529–1539
Golby AJ, Poldrack RA, Brewer JB, Spencer D, Desmond JE, Aron
AP, Gabrieli JD (2001) Material-specific lateralization in the
medial temporal lobe and prefrontal cortex during memory
encoding. Brain 124(Pt 9):1841–1854
Haag A, Knake S, Hamer HM, Boesebeck F, Freitag H, Schulz R,
Baum P, Helmstaedter C, Wellmer J, Urbach H, Hopp P, Mayer T,
Hufnagel A, Jokeit H, Lerche H, Uttner I, Meencke HJ, Meierkord H,
Pauli E, Runge U, Saar J, Trinka E, Benke T, Vulliemoz S,
Wiegand G, Stephani U, Wieser HG, Rating D, Werhahn K,
Noachtar S, Schulze-Bonhage A, Wagner K, Alpherts WC,
Boas WE, Rosenow F (2008) The Wada test in Austrian, Dutch,
German, and Swiss epilepsy centers from 2000 to 2005: a review of
1421 procedures. Epilepsy Behav 13(1):83–89
Hamberger MJ (2007) Cortical language mapping in epilepsy: a
critical review. Neuropsychol Rev 17(4):477–489
Helmstaedter C, Kurthen M, Linke DB, Elger CE (1997) Patterns of
language dominance in focal left and right hemisphere epilepsies:
relation to MRI findings, EEG, sex, and age at onset of epilepsy.
Brain Cogn 33(2):135–150
Helmstaedter C, Brosch T, Kurthen M, Elger CE (2004) The impact of
sex and language dominance on material-specific memory before
and after left temporal lobe surgery. Brain 127(Pt 7):1518–1525
Jansen A, Menke R, Sommer J, Forster AF, Bruchmann S, Hempleman J,
Weber B, Knecht S (2006) The assessment of hemispheric lateral-
ization in functional MRI—robustness and reproducibility. Neuro-
image 33(1):204–217
Janszky J, Jokeit H, Heinemann D, Schulz R, Woermann FG, Ebner A
(2003) Epileptic activity influences the speech organization in
medial temporal lobe epilepsy. Brain 126(Pt 9):2043–2051
Kurthen M, Helmstaedter C, Linke DB, Hufnagel A, Elger CE,
Schramm J (1994) Quantitative and qualitative evaluation of
patterns of cerebral language dominance. An amobarbital study.
Brain Lang 46(4):536–564
Liegeois F, Connelly A, Cross JH, Boyd SG, Gadian DG, Vargha-
Khadem F, Baldeweg T (2004) Language reorganization in
children with early-onset lesions of the left hemisphere: an fMRI
study. Brain 127(Pt 6):1229–1236
Loddenkemper T, Morris HH, Moddel G (2008) Complications during
the Wada test. Epilepsy Behav 13(3):551–553
Logothetis NK (2002) The neural basis of the blood-oxygen-level-
dependent functional magnetic resonance imaging signal. Philos
Trans R Soc Lond Ser B Biol Sci 357(1424):1003–1037
Loring DW, Meador KJ, Allison JD, Pillai JJ, Lavin T, Lee GP, Balan A,
Dave V (2002) Now you see it, now you don’t: statistical and
methodological considerations in fMRI. Epilepsy Behav 3(6):539–547
Price CJ (2000) The anatomy of language: contributions from
functional neuroimaging. J Anat 197(Pt 3):335–359
Ramsey NF, Sommer IE, Rutten GJ, Kahn RS (2001) Combined
analysis of language tasks in fMRI improves assessment of
hemispheric dominance for language functions in individual
subjects. Neuroimage 13(4):719–733
Ruff IM, Petrovich Brennan NM, Peck KK, Hou BL, Tabar V,
Brennan CW, Holodny AI (2008) Assessment of the language
laterality index in patients with brain tumor using functional MR
imaging: effects of thresholding, task selection, and prior surgery.
AJNR Am J Neuroradiol 29(3):528–535
48 J. Wellmer
Rutten GJ, Ramsey NF, van Rijen PC, van Veelen CW (2002)
Reproducibility of fMRI-determined language lateralization in
individual subjects. Brain Lang 80(3):421–437
Sabbah P, Chassoux F, Leveque C, Landre E, Baudoin-Chial S,
Devaux B, Mann M, Godon-Hardy S, Nioche C, Ait-Ameur A,
Sarrazin JL, Chodkiewicz JP, Cordoliani YS (2003) Functional MR
imaging in assessment of language dominance in epileptic patients.
Neuroimage 18(2):460–467
Spreer J, Arnold S, Quiske A, Wohlfarth R, Ziyeh S, Altenmuller D,
Herpers M, Kassubek J, Klisch J, Steinhoff BJ, Honegger J,
Schulze-Bonhage A, Schumacher M (2002) Determination of
hemisphere dominance for language: comparison of frontal and
temporal fMRI activation with intracarotid amytal testing. Neuro-
radiology 44(6):467–474
Staudt M (2010) Reorganization after pre- and perinatal brain lesions.
J Anat 217(4):469–474
Swanson SJ, Sabsevitz DS, Hammeke TA, Binder JR (2007)
Functional magnetic resonance imaging of language in epilepsy.
Neuropsychol Rev 17(4):491–504
Weber B, Wellmer J, Reuber M, Mormann F, Weis S, Urbach H,
Ruhlmann J, Elger CE, Fernandez G (2006) Left hippocampal
pathology is associated with atypical language lateralization in
patients with focal epilepsy. Brain 129(Pt 2):346–351
Wellmer J, Fernández G, Linke DB, Urbach H, Elger CE, Kurthen M
(2005) Unilateral intracarotid amobarbital procedure for language
lateralization. Epilepsia 46:1764–1772
Wellmer J, Weber B, Urbach H, Reul J, Fernandez G, Elger CE (2009)
Cerebral lesions can impair fMRI-based language lateralization.
Epilepsia 50(10):2213–2224
Wellmer J, von der Groeben F, Klarmann U, Weber C, Elger CE,
Urbach H, Clusmann H, von Lehe M. (2012) Risk-benefit ratio of
chronic invasive presurgical evaluation of epilepsy patients using
subdural and intracerebral electrodes. Epilepsia 2012 Aug
53(8):1322-1332. doi:10.1111/j.1528-1167.2012.03545.x
Wellmer J, Weber B, Weis S, Klaver P, Urbach H, Reul J, Fernandez
G, Elger CE (2008) Strongly lateralized activation in language
fMRI of atypical dominant patients—implications for presurgical
work-up. Epilepsy Res 80:67–76
Wilke M, Schmithorst VJ (2006) A combined bootstrap/histogram
analysis approach for computing a lateralization index from
neuroimaging data. Neuroimage 33(2):522–530
Yetkin FZ, Mueller WM, Morris GL, McAuliffe TL, Ulmer JL, Cox
RW, Daniels DL, Haughton VM (1997) Functional MR activation
correlated with intraoperative cortical mapping. AJNR Am J
Neuroradiol 18(7):1311–1315
Functional MRI 49
The Wada Test
Horst Urbach and Jo¨rg Wellmer
Contents
1 Introduction.......................................................................... 51
2 Angiographic Work-Up ...................................................... 52
2.1 IAP ......................................................................................... 52
2.2 Selective Wada Test.............................................................. 52
3 Complications Related to the Wada-Test......................... 53
4 Neuropsychological Work-Up ............................................ 53
5 Drugs ..................................................................................... 55
5.1 Amobarbital ........................................................................... 55
5.2 Methohexital .......................................................................... 55
5.3 Etomidate............................................................................... 55
5.4 Propofol.................................................................................. 55
References...................................................................................... 55
Abstract
The Wada test or intracarotid amobarbital procedure
(IAP) consists of the short inactivation of one brain
hemisphere due to the injection of amobarbital or
another short-acting anesthetic into the supplying inter-
nal carotid artery (ICA). During the subsequent inacti-
vation period, neurological functions such as language
and memory can be tested to assess the respective
functional reserve capacity of the contralateral hemi-
sphere. Less frequent indications for a Wada test are the
assessment of motor function and the identification of
secondary bilateral synchrony in EEG. With the advent
of high-resolution structural MRI assuring the morpho-
logical integrity of the contralateral temporal lobe or
hemisphere and functional MRI (fMRI) the number of
Wada tests within the presurgical work up of epilepsy
patients has decreased. However, it is still method of
choice in epilepsy patients with suspected atypical or
bilateral language representations according to fMRI, in
patients with lesions interfering with the BOLD effect
(e.g., cavernomas), and in children or intellectually
challenged patients, in which fMRI cannot be used.
1 Introduction
The neurologist Juhn Wada (Wada 1949, translation in Wada
1997) reported the effects of unilateral intracarotid injections
of amobarbital on language in an article published in Japanese
in 1949. While at the Montreal Neurologic Institute in the
1950s, Wada introduced his technique in the presurgical
evaluation of epilepsy patients to determine language later-
alization before surgery (Wada and Rasmussen 1960). Within
a few years, it became evident that this technique could also
be used to assess memory capacity in patients who were
candidates for temporal lobectomy or amygdalohippocamp-
ectomy. In this pre-imaging era, further indications were the
lateralization of the seizure focus and the prediction of
H. Urbach (&)
Department of Neuroradiology,
University Hospital Freiburg, Germany
e-mail: horst.urbach@uniklinik-freiburg.de
J. Wellmer
Ruhr-Epileptology, Department of Neurology,
University Hospital Knappschaftskrankenhaus,
Bochum, Germany
H. Urbach (ed.), MRI in Epilepsy, Medical Radiology. Diagnostic Imaging,
DOI: 10.1007/174_2012_619, Ó Springer-Verlag Berlin Heidelberg 2013
51
postoperative outcome (Spencer et al. 2000; Lee et al. 2003;
Baxendale et al. 2008, Baxendale 2009 ). For more selective
memory testing and in order to avoid confounding effects of
hemispheric language inactivation, selective Wada tests with
amobarbital injections into the posterior cerebral artery
(PCA), the anterior choroidal artery (AchoA) or the middle
cerebral artery or its branches have been developed (Jack
et al. 1988, 1989; Wieser et al. 1997; Urbach et al. 2001,
2002). However, as an invasive procedure with an inherent
risk of permanent neurological deficits, Wada tests are per-
formed on selected patients only occasionally (Haag et al.
2008; Wagner et al. 2012).
2 Angiographic Work-Up
2.1 IAP
A 5F sheath is placed in the femoral artery ipsilateral to the
intended intracarotid injection side. A 5F vertebral catheter is
navigated into both common carotid arteries and digital
subtraction angiograms are obtained before the catheter is
advanced into the ICA on the injection side. The reason for
bilateral anterior circulation angiograms is to rule out
prominent anastomotic channels from the ICA to the verte-
brobasilar system and to assess the angiographic supply to the
hemispheres (Fig. 1). For example, if both anterior cerebral
arteries are fed via one ICA, amobarbital injection in this ICA
often leads to an ‘‘mutistic’’ patient for the test period.
Before amobarbital is injected via the placed catheter,
the epileptological team starts the continuous EEG record-
ing and may present initial memory material for later recall.
In the Bonn protocol, the patient is then asked to elevate
both arms and to count backwards from 100. While
counting backwards, a 2 ml dose containing 200 mg amo-
barbital in a 10 % solution is manually injected with a rate
of approximately 1 ml/s (Kurthen et al. 1994; Wellmer et al.
2005). For alternative anesthetics, see below.
During the injection period, the contralateral arm will
fall and be gently caught captured by a third person. If the
arm is hemiplegic and the EEG shows an ipsilateral slow-
ing, hemispheric inactivation is likely and the catheter
withdrawn, while the neurologist proceeds with the test.
2.2 Selective Wada Test
A 6F guiding catheter is introduced through a 6F sheath and
placed in the ICA the dominant vertebral artery. A 0.010 mi-
crocatheter is navigated under fluoroscopic and ‘‘roadmap-
ping’’ control in the P2-segment of the PCA (Figs. 2, 3), the
origin of the AChoA, or the middle cerebral artery (Fig. 4).
Fig. 1 IAP in a 28 year old woman with right-sided frontal lobe
epilepsy and bilateral fMRI language representation. Bilateral ICA
angiograms before a left-sided IAP show a more prominent right- than
left-sided A1 segment of the anterior cerebral artery (ACA). With
manual high pressure contrast injection into the right ICA, retrograde
ACA and MCA opacification is obtained. However, with gentle and
slow amoabarbital injections, each hemisphere is likely anaesthetized
via the ipsilateral ICA
52 H. Urbach and J. Wellmer
Depending on the brain area that is intended to be anesthetized
distal M1 segment or superior or inferior MCA trunk place-
mentsmaybe sufficient.Bloodflowisprovenbygentlecontrast
injections and catheter wedge positions have to be avoided. A
4–8 ml dose containing 40–80 mg amobarbital in a 1 % solu-
tion is manually injected with a rate of approximately 0.5 ml/s.
The amobarbital distribution within a brain hemisphere
can be visualized if amobarbital is simultaneously injected
with 99m
Tc-hexamethyl-propylene amine oxime (99m
Tc-
HMPAO). Within about 2 h following the injection, the
HMPAO distribution can be depicted with single photon
emission tomography (SPECT) co-registered to MRI (Cou-
bes et al. 1995; Von Oertzen et al. 2000; Brechtelsbauer et al.
1998). IAPs is mostly performed without SPECT-control.
3 Complications Related to the Wada-Test
In the largest multi-center survey, 15 complications were
reported out of 1,421 Wada tests (1.09 %). Four of them were
likely of thromboembolic origin; one occurred following a
PCA Wada test. Permanent morbidity rate was 0.36 %
(Haag et al. 2008). Loddenkemper et al. 2008 reported a
similar permanent morbidity rate (0.3 % out of 1,225 pro-
cedures). The rather low complication rate in both series may
be due to the fact that Wada tests are mostly performed in
relatively younger patients without pre-existing vascular
pathology as compared to patients who receive cerebral
angiography for cerebrovascular events.
4 Neuropsychological Work-Up
It is beyond the scope of this volume to describe the neu-
ropsychological work-up in detail; moreover IAP protocols
vary among several institutions (Kurthen et al. 1994;
Woremann et al. (2003) Wellmer et al. 2005; Haag et al.
2008). Most centers apply a formalized test protocol for
assessing expressive and receptive language functions as
well as verbal and figural memory (Haag et al. 2008). The
results of language and memory tests are usually given in
categories such as unilateral left or right language domi-
nance or various degrees or qualities of mixed dominance
(Kurthen et al. 1994). The interpretation of test results with
Fig. 2 Selective PCA Wada test
in a 53 year old woman with left-
sided hippocampal sclerosis. a 6
French guiding catheter was
placed in the dominant vertebral
artery (a). The microcatheter was
placed in the P2-segment of the
left PCA (b–d: arrow pointing to
the microcatheter tip) and 80 mg
amobarbital in a 1 % solution
were injected together with
99mTc-HMPAO. During the test
the patient showed homonymous
hemianopia to the right side, no
hemiparesis or aphasia. She was
unable to recall or remember
previously presented verbal items
suggesting verbal memory
capacity of the left hippocampus
The Wada Test 53
regard to risk of postsurgical language or memory deficits
may require additional biographical information on the
patient such as age at seizure onset (Helmstaedter 2004).
Independent of the applied protocol it is essential to
monitor the duration of action of the anesthetic during the
test, either by EEG (presence of ipsilateral slowing) or
clinically (grip strength or arm paresis). In case of ceasing
action of the anesthetic the neuropsychological test must
be stopped in order to prevent false negative or false
positive results. A repeated injection of the anesthetic is
possible, but the second dose must be chosen depending on
the half-life time to prevent the accumulation of the
anesthetic.
The same accounts for Wada tests subsequently testing
both hemispheres. Between two high dose amobarbital tests
one night of recovery is recommended. Short acting drugs
without the risk of accumulation may be injected in both
hemispheres with only a short break in between.
Fig. 3 Lateral angiogram via a microcatheter with its tip placed in the PCA (a) and angiogram superimposed on a sagittael T1-weighted image
through the mesial temporal lobe (b) show a prominent inferior temporal artery supplying most of the mesial temporal lobe
Fig. 4 Right-sided middle cerebral artery (MCA) Wada test in a 45
year old man with a right-sided posttraumatic tissue defect and status
epilepticus since three months. In order to test the hypothesis that
bilateral spike and wave EEG complexes originated in the right and
propagated to the left hemisphere a right-sided IAP was scheduled.
Right-sided ICA angiogram showed a thin right MCA and prominent
A1 segment of the right-sided anterior cerebral artery (ACA) feeding
both ACAs (a). With intracarotid amobarbital injection amobarbital
distribution to the left-sided ACA territory is likely. It was decided to
place a microcatheter in the distal M1 segment of the right MCA (b, c:
arrow) and to inject 100 mg amobarbital in a 1% solution. With
amobarbital injection into the MCA bilteral EEG spike and wave
complexes right-sided EEG complexes disappeared, left-sided did not
54 H. Urbach and J. Wellmer
5 Drugs
5.1 Amobarbital
Amobarbital was considered the ideal drug for the Wada test
foralongtime,owingtoitsbriefaction,lowtoxicity,andtheits
great success substance. In the Bonn Epilepsy Surgery pro-
gram, initially 200 mg sodium amobarbital was injected into
the leftandthe rightICA ontwoseparate days(Kral etal.2002;
Kurthen et al. 1994; Urbach et al. 1999). This procedure was
chosensince successiveinjectionsofhighdosesofamobarbital
can lead to significant drowsiness that cannot be fully avoided
by bridging the time between two injections in one day. A dose
lower than 200 mg reduces confidence in the inactivation of
the injected hemisphere (Wellmer et al. 2005). However, a
bilateral Wada test is not required in all indications. If the
Wada-test is performed on the side of the intended surgery, in
most instances a unilateral Wada-test is sufficient to predict
whether the patient is at risk for post-operative language dis-
turbance or not (Wellmer et al. 2005). This makes the appli-
cation of high-dose amobarbital Wada tests practicable.
Since amobarbital is difficult to obtain in several coun-
tries, alternative drugs have been evaluated in the mean-
time. In our opinion, none of the alternatives can yet
recommended as being equally safe and effective.
5.2 Methohexital
Methohexital, which had initially been investigated by
Buchtel and colleagues, is a short-lasting drug, so that two
successive injections are needed for each hemisphere
(Buchtel et al. 2002). In a series of patients between 2005
and 2007, we manually injected a 3 ml dose containing 3 mg
Brevimytal in a 0.1 % solution with a rate of approximately
1 ml/s. If the Brevimytal effect was expected to disappear
(estimated clinically or after an interval of 90 s), another
2 mg were injected. When the test for one side was finished,
the catheter was navigated into the contralateral ICA, and
the procedure repeated. Yet, methohexital has siginificant
disadvantages. In our experience, the duration of action of
the first dose of 3 mg of methohexital varies considerably
among patients. According to EEG, in 13 % of 54 proce-
dures the action of amobarbital ended before 90 s had gone
by. This signifies a likely gap of action before the second
injection. In other patients, a single 3 mg injection produced
ipsilateral EEG slowing for up to 260 s. In these cases, the
second injection (after 90 s) leads to prolonged drowsiness
that prevents further testing (unpublished observations). The
rapid decrease of action of methohexital, however, makes a
careful clinical testing of persistent action parallel to the
neuropsychological assessment difficult. Another drawback
is that methohexital may decrease seizure thresholds and
trigger seizures (Loddenkemper et al. 2008). We stopped
using methohexital and returned to amobarbital.
5.3 Etomidate
Etomidate is a nonbarbiturate hyponotic drug with no
analgesic properties, with a rapid onset, and short duration of
action. Jones-Gotman and colleagues reported bolus admin-
istration of 2 mg (0.03–0.04 mg/kg) and subsequent infusion
of 0.003–0.004 mg/kg/minute can more likely assure a
guaranteed period of hemianesthesia, averaging over 4 min in
their study of 30 injections. Reported side effects in the
Montreal study included a shivering-like tremor in the con-
tralateral arm in about half of the injections, and either evi-
dence of contralateral EEG slowing following most injections,
or an increase in interictal spike activity in the hemisphere
ipsilateral to injection (Jones-Gotman et al. 2005). Another
concern is that etomidate may cause adrenal insufficiency,
particularly in critically ill patients (Grote and Meador 2005).
5.4 Propofol
Propofol seems to work like amobarbital (Takayama et al.
2004), but the risk of adverse advent is higher. In the study
by Mikuni and colleagues, about one-third of patients had
an adverse event following propofol injection, with 12 % of
all patients having increased muscle tone with twitching and
rhythmic movements or tonic posturing. Patients older than
55, and a total injection dose greater than 20 mg, were
predictors of more significant adverse events, which in turn
carry a risk of incompletion or inaccuracy of the Wada test
(Mikuni et al. 2005). Previous studies have also shown risks
associated with propofol injection, including pain upon
injection and anaphylaxis (Grote and Meador 2005).
References
Baxendale S (2009) The Wada test. Curr Opin Neurol 22(2):185–189
Baxendale S, Thomson PJ, Duncan JS (2008) Evidence-based practice:
a reevaluation of the intracarotid amobarbital procedure (Wada
test). Arch Neurol 65:841–845
Brechtelsbauer D, Klemm E, Urbach H, Koehler W, Solymosi L
(1998) Amobarbitalverteilung im intrakarotidalen Wadatest: kor-
relation von Angiogramm und hochauflösendem SPECT. Klin
Neuroradiol 8:182–185
Buchtel HA, Passaro EA, Selwa EM, Deveikis J, Gomez-Hassan D
(2002) Sodium methohexital (Brevital) as an anaesthetic in the
Wada test. Epilepsia 43:1056–1061
Coubes P, Baldy-Moulinier M, Zanca M et al (1995) Monitoring
sodium methohexital distribution with (99mTc)HMPAO single
photon emission computed tomography during Wada test. Epilep-
isa 36:1041–1049
The Wada Test 55
Grote CL, Meador K (2005) Has amobarbital expired? considering the
future of the Wada. Neurology 65:1692–1693
Haag A, Knake S, Hamer HM, Boesebeck F, Freitag H, Schulz R,
Baum P, Helmstaedter C, Wellmer J, Urbach H, Hopp P, Mayer T,
Hufnagel A, Jokeit H, Lerche H, Uttner I, Meencke HJ, Meierkord
H, Pauli E, Runge U, Saar J, Trinka E, Benke T, Vulliemoz S,
Wiegand G, Stephani U, Wieser HG, Rating D, Werhahn K,
Noachtar S, Schulze-Bonhage A, Wagner K, Alpherts WC, Boas
WE (2008) Arbeitsgemeinschaft für prächirurgische epilepsiediag-
nostik und operative epilepsietherapie e.V. The Wada test in
Austrian, Dutch, German, and Swiss epilepsy centers from 2000 to
2005: a review of 1421 procedures. Epilepsy Behav 13(1):83–89
Helmstaedter C (2004) Neuropsychological aspects of epilepsy
surgery. Epilepsy Behav 5:S45–S55
Jack CR, Nichols DA, Sharbrough et al (1988) Selective posterior
cerebral artery amytal test for evaluating memory function before
surgery for temporal lobe seizures. Radiology 168:787–793
Jack CR, Nichols DA, Sharbrough et al (1989) Selective posterior
cerebral artery injection of amytal: new method of preoperative
memory testing. Mayo Clin Proc 64:965–975
Jones-Gotman M, Sziklas V, Djordjevic J et al (2005) Etomidate
speech and memory test (eSAM): a new drug and improved
intracarotid procedure. Neurology 65:1723–1729
Kral T, Clusmann H, Urbach H, Schramm J, Elger CE, Kurthen M,
Grunwald T (2002) Prächiurgische abklärung bei der epilep-
siechirurgie (bonner algorithmus). Zentralbl Neurochir 63:106–110
Kurthen M, Helmstaedter C, Linke DB, Hufnagel A, Elger CE,
Schramm J (1994) Quantitative and qualitative assessment of
patterns of cerebral language dominance: an amobarbital study.
Brain Lang 46:534–564
Lee GP, Park YD, Westerveld M, Hempel A, Blackburn LB, Loring
DW (2003) Wada memory performance predicts seizure outcome
after epilepsy surgery in children. Epilepsia 44:936–943
Loddenkemper T, Moddel G, Schuele SU et al (2007) Seizures during
intracarotid metohexital and amobarbital testing. Epilepsy Behav
10:49–54
Loddenkemper T, Morris HH, Möddel G (2008) Complications during
the Wada test. Epilepsy Behav 13:551–553
Mikuni N, Takayama M, Satow T et al (2005) Evaluation of adverse
effects in intracarotid propofol injection for Wada test. Neurology
65:1813–1816
Spencer DC, Morrell MJ, Risinger MW (2000) The role of the
intracarotid amobarbital procedure in evealuation of patients for
epilepsy surgery. Epilepsia 41:320–325
Takayama M et al (2004) Intracarotid propofol test for speech and
memory dominance in man. Neurology 63:510–515
Urbach H, Kurthen M, Klemm E, Grunwald T, Van Roost D, Linke
DB, Biersack HJ, Schramm J, Elger CE (1999) Amobarbital effects
on the posterior hippocampus during the intracarotid amobarbital
test. Neurology 52:1596–1602
Urbach H, Klemm E, Linke DB, Behrends K, Biersack HJ, Schramm J,
Schild HH (2001) Posterior cerebral artery Wada test: amobarbital
distribution and functional deficits. Neuroradiology 43:290–294
Urbach H, von Oertzen J, Klemm E, Koenig R, Kurthen M, Schramm
J, Elger CE (2002) Selective middle cerebral artery Wada tests as a
part of presurgical evaluation in patients with drug-resistant
epilepsies. Epilepsia 43:1217–1223
Von Oerzten J, Klemm E, Urbach H, Kurthen M, de Greiff A, Linke
DB, Biersack HJ, Elger CE (2000) SATSCOM- Selective
amobarbital test intraarterial SPECT coregistered to MRI: descrip-
tion of a method assessing selective perfusion. Neuroimage
12:617–622
Wada J (1949) A new method for determination of the side of cerebral
speech dominance: a preliminary report on the intracarotid
injection of sodium Amytal in man. Igaku to Seibutsugaku
14:221–222
Wada J (1997) Clinical experimental observations of carotid artery
injections of sodium Amytal. Brain Cogn 33:11–13
Wada J, Rasmussen T (1960) Intracarotid injections of sodium Amytal
for the lateralization of cerebral speech dominance: experimental
and clinical observations. J Neurosurg 17:266–282
Wagner K, Hader C, Metternich B, Buschmann F, Schwarzwald R,
Schulze-Bonhage A (2012) Who needs a Wada test? Present
clinical indications for amobarbital procedures. J Neurol Neurosurg
Psychiatry 83(5):503–509
Wellmer J, Fernandez G, Linke DB, Urbach H, Elger CE, Kurthen M
(2005) Unilateral intracarotid amobarbital procedure (IAP) for
language lateralization. Epilepsia 46:1764–1772
Wieser HG, Mueller S, Schiess R et al (1997) The anterior and
posterior selective temporal lobe amobarbital tests: angiographic,
clinical, electroencephalographic, PET, SPECT findings, and
memory performance. Brain Cogn 33:71–97
Woermann FG, Jokeit H, Luerding R, Freitag H, Schulz R, Guertler S,
Okujava M, Wolf P, Tuxhorn I, Ebner A (2003) Language
lateralization by Wada test and fMRI in 100 patients with epilepsy.
Neurology 61:699–701
56 H. Urbach and J. Wellmer
Magnetic Resonance Spectroscopy
in Chronic Epilepsy
Friedrich G. Woermann
Contents
1 Methodological Considerations.......................................... 57
2 MRS: Diagnostic Accuracy in Epilepsy............................ 59
3 MRS in Temporal Lobe Epilepsy and Hippocampal
Sclerosis................................................................................. 60
4 MRS in Extratemporal Neocortical Epilepsy .................. 60
5 MRS in Neocortical Epilepsies Due to Malformations
of Cortical Development..................................................... 60
6 MRS in Tumors ................................................................... 61
7 MRS in Metabolic Disease and Epilepsy.......................... 61
8 MRS in Juvenile Myoclonic Epilepsy ............................... 61
9 Conclusion ............................................................................ 62
References...................................................................................... 62
Abstract
The cornerstone of lesion detection in chronic epilepsy is
structural imaging, mainly magnetic resonance imaging.
Metabolic information from magnetic resonance spec-
troscopy (MRS) might serve as an additional or as a
surrogate marker for the epileptogenic lesion. MRS
might also help to differentiate similarly appearing
lesions from one another; it might detect contralateral/
remote dysfunction. However, the clinical role of MRS is
unclear, albeit another non-invasive diagnostic tool.
Magnetic resonance spectroscopy (MRS) measures the
concentrations of metabolites in the brain noninvasively. In
epilepsy, MRS aims to aid the identification of the epilep-
togenic lesion. Ultimately it aims to predict the postopera-
tive outcome after surgical removal of these lesions. MRS
results in epilepsy show similar abnormalities (loss of
neuronal markers) associated with different pathological
entities in different anatomical locations (Table 1). It is
believed that MRS might give insights into the mechanisms
of seizure generation (McLean et al. 2008).
1 Methodological Considerations
Physical principles underlying MRS are the same as for
MRI, which means that most clinical scanners can be used
for MRS. In epilepsy, proton-MRS studies are most com-
mon. The 1
H nucleus (a single proton) is abundant. MRS
exploits minor differences in resonance frequency of 1
H
depending on the metabolite to which protons are bound.
MRS of certain brain metabolites needs techniques to
exclude the strong signals arising from water and macro-
molecules (lipids and proteins, which both contain large
numbers of protons) in order to study the smaller signals
from more interesting metabolites (amino acids, sugars,
etc.). Techniques to suppress the water peak and to reduce
F. G. Woermann (&)
MRI Unit, Mara Hospital, Bethel Epilepsy Center,
33617 Bielefeld, Germany
e-mail: friedrich.woermann@mara.de
H. Urbach (ed.), MRI in Epilepsy, Medical Radiology. Diagnostic Imaging,
DOI: 10.1007/174_2012_761, Ó Springer-Verlag Berlin Heidelberg 2013
57
or spatially exclude unwanted macromolecule signals are
inherent parts of the examination. Spatial exclusion (also
known as outer volume suppression) is needed because of
intense lipid signals arising from the scalp. Disturbances
from fat, but also inhomogeneities near the base of the skull,
can make MRS a tedious technique in epilepsy as epilep-
togenic lesions are often mesiotemporal or cortical.
In vivo MRS measures only metabolites present at con-
centrations of about 1 mM or higher. The metabolites studied
are shown in Fig. 1. At long echo times (TE C 135 ms), a
large signal is present from N-acetyl aspartate (NAA), a
neuronal marker, or better, a marker of neuronal function.
Other peaks stem from creatine plus phosphocreatine (Cr)
supposedly representing the energy level and cellular den-
sity; choline-containing compounds (Cho) represent mem-
brane turnover. At shorter echo times (e.g., 30 ms, as shown
in Fig. 1), additional interesting peaks can be detected from
myo-inositol (Ins; representing gliosis) and glutamate and
glutamine (Glx; excitatory amino acids), but sophisticated
modeling is necessary to distinguish the latter from the
overlapping peaks, and baseline irregularities remain a major
source of error at shorter echo times.
In single-voxel spectroscopy (SV-MRS), slice-selective
excitation in three orthogonal planes excites a cuboid
volume at their intersection (Fig. 1). The other common
localization tool uses phase encoding, as in imaging. This is
known as spectroscopic imaging (MRSI), sometimes called
chemical shift imaging (CSI), and produces a slice with a
grid of multiple voxels (Fig. 2).
Since the areas under the curves of metabolite signals are
directly proportional to their concentrations in the tissue,
spectra can be looked at qualitatively, or metabolite con-
centrations can be estimated quantitatively. Most com-
monly, the ratio of one peak to another is reported, such as
NAA/Cr or NAA/(Cr ? Cho). This has the advantage that
any temporal, spatial, or intersubject differences in machine
performance cancel out. Ratios can vary both in different
tissues of the brain and in disease.
Table1 Textbook knowledge* on MRS in surgically remediable lesions in chronic epilepsy: low NAA and moderatly increased Cho are
frequent findings.
Pathology MRS finding*
Hippocampal sclerosis/mesial temporal sclerosis (MTS) ; NAA in hippocampus, temporal lobe; NAA/Cho  0.8 suggests MTS;
if scan patient within 24 hours of seizure, lactate/lipid peaks reported
Benign tumours : Cho, ; NAA (vs. malignant tumours: :–::: Cho, : lactate/lipid)
Ganglioglioma : Cho, ; NAA
Diffuse astrocytoma, low grade :–:: Cho, ; NAA typical but not specific; relatively high Ins/Cr
(compared to anaplastic astrocytoma)
DNT Nonspecific (: Cho, ; NAA), but lactate present in some
Focal cortical dysplasia ; NAA, (: Cho); but ; NAA less pronounced compared to
low grade astrocytomas
Other malformations of cortical development Heterotopia: NAA and Cho are variable;
Pachygyria-Polymicrogyria: ; NAA
Tuberous sclerosis ; NAA/Cr, : Ins/Cr; lactate in seizure onset?
Cavernoma (-)
Porencephaly Absence of normal brain metabolites
Scars due to chronic cerebral infarction ; NAA
Posttraumatic scars ; NAA
Rasmussen encephalitis ; NAA, ; Cho; : Ins, : glutamine/glutamate
Hemiconvulsion-Hemiplegia-Epilepsy-Syndrome
(following a febrile status epilepticus)
Within 24 hours of status: lactate and lipids; later: ; NAA
Arteriovenous Malformation (-)
Hemimegalencephaly (a hemispheric malformation
of cortical development)
Progressive ; NAA, : Cho, : Cr, : Ins
Sturge Weber Syndrome ; NAA, : Cho
Neurocysticercosis ; NAA, ; Cr; : Cho, : lactate, : alanine
*extracted and modified from: Osborn A (Ed). Diagnostic Imaging—Brain. Amirsys, Salt Lake City, 2004
NAA N-Acetyl-aspartate; Cho choline, Cr creatine, Ins myo-inositol, ; decrease, : increase, (-) no information available
58 F. G. Woermann
2 MRS: Diagnostic Accuracy in Epilepsy
In the evaluation of patients with epilepsy, the potential
value of 1
H-MRS (or -MRSI) depends on the method’s
ability to detect localized metabolic changes not only in
clear-cut cases with visible lesions, but also in patients with
normal MRI (‘‘MRI-negative’’). Ultimately, the clinical
value of 1
H-MRS in this patient group is based on studies
correlating presurgical measurements with postsurgical
seizure and neuropsychological outcome.
Recently, diagnostic accuracies of different neuroimag-
ing techniques in epilepsy were thoroughly reviewed
(Whiting et al. 2006; Burch et al. 2012). MRS studies in
epilepsy were included in case they allowed the computa-
tion of test-quality data correlating MRS results and post-
surgical outcome or other gold standards in individual
patients (Cross et al. 1996; Cendes et al. 1997; Knowlton
et al. 1997; Achten et al. 1998; Kuzniecky et al. 1998; Li
et al. 2000; Antel et al. 2002; Lee et al. 2005). These
reviews resulted in very careful statements (‘‘There was a
trend for localisation of abnormalities to be associated with
Fig. 1 Single-voxel short-TE MRS in a patient with right-sided
hippocampal sclerosis. NAA on the affected side (a) is lower than on
the contralateral side (c). The size of the voxel is tailored to atrophy of
right-sided hippocampus to reduce the diluting influence of nearby
CSF (b). Modified from Woermann et al. (1999b)
Fig. 2 Epilepsy patient with
large heterotopia in a pericentral
region on the right side. MR
spectroscopic imaging produced
a slice of multiple voxels (a).
NAA can be quantified and
concentration can be displayed as
a color map (b). This map
illustrates that NAA
concentration varies within the
large malformation of cortical
development. Modified from
Woermann et al. (2001)
Magnetic Resonance Spectroscopy in Chronic Epilepsy 59
a beneficial outcome’’), but mainly stated, ‘‘Due to the
limitations of the included studies, the results of this review
do little to inform clinical practice.’’
3 MRS in Temporal Lobe Epilepsy
and Hippocampal Sclerosis
In hippocampal sclerosis there are neuronal loss and gliosis.
Typical MRS changes in the epileptogenic hippocampus are
a reduction of NAA and sometimes an elevation of Cr and
Cho (or corresponding changes to ratios like NAA/Cr,
NAA/Cr ? Cho, or Cr/NAA) relative to normal control
subjects (Fig. 1). The contralateral hippocampus may be
normal or may show a lesser degree of abnormality.
A recent meta-analysis (Willmann et al. 2006) aimed to
assess the additional preoperative value of 1
H-MRS and
correlated individual MRS data and seizure outcome. Uni-
lateral MRS changes were reported to have a predictive
value of 82 % for good postsurgical outcome, that is, pre-
dicting postsurgical freedom or marked improvement of
seizures. TLE patients with unilateral MRS abnormality had
a markedly better chance of becoming seizure free com-
pared to patients with bilateral abnormalities.
The predictive value of bilateral MRS abnormalities (for
unfavorable outcome) is less clear. Bilateral temporal MRS
abnormalities have been observed to a varying degree in
different studies in 0–70 % of patients (Cendes et al. 2002).
Further reducing specificity, a postoperative metabolic
normalization on the nonoperated side was observed (Ku-
zniecky et al. 2001). It led to the view that not only does a
decrease in NAA represent neuronal loss in HS, but also
that NAA might be a putative reversible, thus functional,
marker in the contralateral hippocampus.
Some TLE patients with an apparently normal MRI
(‘‘MRI-negative’’) were the subject of feasibility studies or
part of studies correlating typical MRS changes (low NAA
ratios ipsilateral to the seizure onset with a relatively low
degree of contralateral abnormality) with good postsurgical
outcome. It is still unclear whether MRS is a valuable tool
in this patient group (McLean et al. 2008).
Extrahippocampal or extratemporal abnormalities in
patients with mesiotemporal/hippocampal sclerosis are
called dual pathology. Dual pathology is rarely identified in
a hypothesis-driven way, allowing the targeted placement of
regions of interest. 1
H-MRS/MRSI could only contribute to
the detection of these changes when single voxels or single
MRSI slices were placed outside the hippocampus and/or
outside the temporal lobe or by the use of multislice 1
H-
MRSI (Mueller et al. 2002). When multislice 1
H-MRSI was
used in combination with tissue segmentation, significantly
lower NAA in ipsi- and contralateral frontal gray and
nonfrontal white matter compared with controls was found
although not correlated to outcome.
Although 1
H-MRS/MRSI has been advocated as part of
a cluster or a sequence of clinical tests prior to epilepsy
surgery in TLE, its contribution to the overall validity of
the cluster or sequence remains to be determined. Influ-
ential epilepsy surgery programs with early enthusiasm for
1
H-MRS/MRSI (‘‘NAA/Cho is an excellent marker for
localizing the epileptogenic zone in TLE’’; Ng et al. 1994)
abandoned this noninvasive but tedious method as part of
their presurgical evaluation of patients with TLE (McLean
et al. 2008).
4 MRS in Extratemporal Neocortical
Epilepsy
Studies correlating presurgical 1
H-MRS/MRSI data with
postsurgical seizure outcome in patients with extratemporal
neocortical epilepsy seem to be scarce especially when
looking for studies allowing the estimation of test-quality
data (Lee et al. 2005). Following the temporal lobes, the
second-most frequent site of epileptogenic lesions is the
frontal lobes. In the relatively large frontal lobes, the use of
a restricted region-of-interest approach (single voxel or
single slice) is expected to reduce the sensitivity of 1
H-
MRS/MRSI for the localization or lateralization of extra-
temporal lesions (McLean et al. 2008).
5 MRS in Neocortical Epilepsies Due
to Malformations of Cortical
Development
Some proton MRS studies have been performed in patients
with malformations of cortical development (MCD; Woer-
mann et al. 2001). A decrease in NAA was the most fre-
quent finding in individual MCD and in group comparisons.
Measurements of individual metabolites were abnormal in
some malformations and normal in others, suggesting
metabolic heterogeneity. Even within a single MCD, met-
abolically normal regions were interspersed with metabol-
ically abnormal regions (Fig. 2).
Whether MR spectroscopy can contribute to the dis-
tinction between low-grade gliomas and focal MCD
(especially focal cortical dysplasia) remains unclear.
Promising results from group comparisons (less NAA in
tumors compared to MCD) await replication and prospec-
tive translation to clinical practice in individual patients
(Vuori et al. 2004).
60 F. G. Woermann
Prototypically in epilepsy patients with tuberous sclero-
sis, the presence of multiple bilateral lesions can make it
difficult to identify a single lesion responsible for intractable
epileptic seizures. Using MRS, a lactate peak was detected
in the regions corresponding to an epileptic focus in some
patients (Yapici et al. 2005).
In contrast to the numerous 1
H-MRS of TLE, there are
only a few reports in other types of localization-related
epilepsies. These studies suggest that the potential of correct
seizure focus lateralization is less than in TLE.
6 MRS in Tumors
There is a wealth of literature on the use of MR spectroscopy
in neurooncology [for a systematic review, see Hollingworth
et al. (2006)]. Malignant tumors may be characterized by a
relatively large increase in choline, a loss of NAA, and
sometimes the detection of lactate or lipids. A ratio of Cho/
NAA larger than 2 has been associated with brain malig-
nancy, but it remains unclear whether this is more accurate
than results from MRI with contrast enhancement (or whe-
ther this is more accurate than MR perfusion). The incre-
mental benefit of MRS in the differentiation of low- from
high-grade brain tumors is unclear.
In MRS of low-grade tumors, an increase of choline
might be visible (Fig. 3).
7 MRS in Metabolic Disease and Epilepsy
In the neuronal ceroid lipofuscinoses (NCL), probably the
most common progressive metabolic encephalopathies of
childhood associated with seizures, MRS is said help to
distinguish different subtypes. Infantile NCL was charac-
terized by a complete loss of NAA, a marked reduction of
Cr and Cho, and an elevation of myo-inositol and lactate in
both gray and white matter. Reduced NAA and elevated
lactate were also detected in gray and white matter of late
infantile NCL. In contrast to the infantile forms, juvenile
NCL exhibited normal metabolic profiles (McLean et al.
2008). It is questionable whether these differences are more
important for diagnosis than the age of onset.
Lactate is usually not seen in spectra of normal adult
brain. Lactate has been detected in patients with mito-
chondrial encephalopathies, but as with all other means
used to diagnose rare disorders, MR spectroscopy does not
depict elevated lactate in all cases.
8 MRS in Juvenile Myoclonic Epilepsy
Juvenile myoclonic epilepsy is a frequent electroclinical
epilepsy syndrome. It is considered to be a generalized
epilepsy that is treated medically and not surgically. A long-
Fig. 3 MRS a with increase in
choline b in a low grade tumor in
the right temporal lobe
Magnetic Resonance Spectroscopy in Chronic Epilepsy 61
existing, strong belief was that there are no changes in
neuroimaging in these patients. Recent results from voxel-
based morphometry implicating mesiofrontal cortical areas
(Woermann et al. 1999a) were developed into a network
hypothesis on the etiology of juvenile myoclonic epilepsy.
This hypothesis has also been supported by MRS data
showing NAA/Cr decreases in mesiofrontal and pericentral
as well as thalamic areas (Lin et al. 2009).
9 Conclusion
MRS detects relevant metabolite changes in patients with
hippocampal sclerosis and in patients with brain tumors.
The impact of these findings on clinical decision making is
unclear. Most epilepsy surgery programs do not use MRS in
their sequence of presurgical tests. One important neuro-
radiological question, however, remains: Can proton MR
spectroscopy differentiate between focal cortical dysplasia
and low-grade tumors? Still another aim is to increase the
sensitivity of different MR techniques in epilepsy so that
epileptogenic lesions can be identified and treated surgically
whenever possible.
References
Achten E, Santens P, Boon P et al (1998) Single-voxel proton MR
spectroscopy and positron emission tomography for lateraliza-
tion of refractory temporal lobe epilepsy. Am J Neuroradiol
19:1–8
Antel SB, Li LM, Cendes F et al (2002) Predicting surgical outcome in
temporal lobe epilepsy patients using MRI and MRSI. Neurology
58:1505–1512
Burch J, Hinde S, Palmer S et al (2012) The clinical effectiveness and
costeffectiveness of technologies used to visualise the seizure focus
in people with refractory epilepsy being considered for surgery: a
systematic review and decision-analytical model. Health Technol
Assess 16(34):1–164
Cendes F, Caramanos Z, Andermann F et al (1997) Proton MR
spectroscopic imaging and MRI volumetry in the lateralization of
temporal lobe epilepsy: a series of 100 patients. Ann Neurol
42:737–746
Cendes F, Knowlton RC, Novotny E et al (2002) Magnetic resonance
spectroscopy in epilepsy: clinical issues. Epilepsia 43 (Suppl.
1):32–39
Cross JH, Connelly A, Jackson GD et al (1996) Proton magnetic
resonance spectroscopy in children with temporal lobe epilepsy.
Ann Neurol 39:107–113
Hollingworth W, Medina LS, Lenkinski RE et al (2006) A systematic
literature review of magnetic resonance spectroscopy for the
characterization of brain tumors. Am J Neuroradiol 27:1404–1411
Knowlton RC, Laxer KD, Ende G et al (1997) Presurgical multim-
odality neuroimaging in electroencephalographic lateralized
temporal lobe epilepsy. Ann Neurol 42:829–837
Kuzniecky R, Hugg JW, Hetherington H et al (1998) Relative utility of
1H spectroscopic imaging and hippocampal volumetry in the
lateralization of mesial temporal lobe epilepsy. Neurology 51:66–
71
Kuzniecky R, Palmer C, Hugg J et al (2001) Magnetic resonance
spectroscopic imaging in temporal lobe epilepsy: neuronal dys-
function or cell loss? Arch Neurol 58:2048–2053
Lee SK, Kim DW, Kim KK et al (2005) Effect of seizure on
hippocampus in mesial temporal lobe epilepsy and neocortical
epilepsy: an MRS study. Neuroradiology 47:916–923
Li LM, Cendes F, Antel SB et al (2000) Prognostic value of proton
magnetic resonance spectroscopic imaging for surgical outcome in
patients with intractable temporal lobe epilepsy and bilateral
hippocampal atrophy. Ann Neurol 47:195–200
Lin K, Carrete H Jr, Lin J et al (2009) Magnetic resonance
spectroscopy reveals an epileptic network in juvenile myoclonic
epilepsy. Epilepsia 50:1191–1200
McLean MA, Koepp M, Woermann FG (2008) Magnetic resonance
spectroscopy in patients with epilepsy. In: Lüders H (ed) Textbook
of epilepsy Surgery. Informa Healthcare, London
Mueller SG, Suhy J, Laxer KD et al (2002) Reduced extrahippocampal
NAA in mesial temporal lobe epilepsy. Epilepsia 43:1210–1216
Ng TC, Comair YG, Xue M et al (1994) Temporal lobe epilepsy:
presurgical localization with proton chemical shift imaging.
Radiology 193:465–472
Vuori K, Kankaanranta L, Hakkinen AM et al (2004) Low-grade
gliomas and focal cortical developmental malformations: differen-
tiation with proton MR spectroscopy. Radiology 230:703–708
Whiting P, Gupta R, Burch J et al (2006) A systematic review of the
effectiveness and cost-effectiveness of neuroimaging assessments
used to visualise the seizure focus in people with refractory
epilepsy being considered for surgery. Health Technol Assess
10(4):1–164
Willmann O, Wennberg R, May T et al (2006) The role of 1H
magnetic resonance spectroscopy in pre-operative evaluation for
epilepsy surgery. A meta-analysis. Epilepsy Res 71:149–158
Woermann FG, Free SL, Koepp MJ et al (1999a) Abnormal cerebral
structure in juvenile myoclonic epilepsy demonstrated with voxel-
based analysis of MRI. Brain 122:2101–2108
Woermann FG, McLean MA, Bartlett PA et al (1999b) Short echo
time single-voxel 1H magnetic resonance spectroscopy in magnetic
resonance imaging-negative temporal lobe epilepsy: different
biochemical profile compared with hippocampal sclerosis. Ann
Neurol 45:369–376
Woermann FG, McLean MA, Bartlett PA et al (2001) Quantitative
short echo time proton magnetic resonance spectroscopic imaging
study of malformations of cortical development causing epilepsy.
Brain 124:427–436
Yapici Z, Dincer A, Eraksoy M (2005) Proton spectroscopic findings
in children with epilepsy owing to tuberous sclerosis complex.
J Child Neurol 20:517–522
62 F. G. Woermann
SPECT and PET
Wim Van Paesschen, Karolien Goffin and Koen Van Laere
Contents
1 Introduction.......................................................................... 63
2 Ictal Onset Zone, Propagation Pathways,
and Functional Deficit Zone............................................... 64
2.1 Ictal SPECT........................................................................... 64
2.2 2-[18
F]Fluoro-2-deoxy-D-glucose PET.................................. 64
3 Coregistration of SPECT and PET with MRI ................ 64
4 Functional Nuclear Imaging in the Presurgical
Evaluation of Refractory Focal Epilepsy ......................... 64
4.1 Mesial Temporal Lobe Epilepsy with Hippocampal
Sclerosis ................................................................................. 64
4.2 Malformations of Cortical Development.............................. 66
4.3 Dual Pathology ...................................................................... 68
4.4 MRI-Negative Refractory Focal Epilepsy............................ 68
5 Conclusion ............................................................................ 70
References...................................................................................... 70
Abstract
Ictal perfusion single photon emission computed tomog-
raphy and positron emission tomography of brain
metabolism are functional nuclear imaging modalities
that are useful in the presurgical evaluation of patients
with refractory focal epilepsy, and provide information
on the ictal onset zone, seizure propagation pathways,
and functional deficit zones. Combined with electro-
physiological and coregistered MRI data, these tech-
niques allow a noninvasive presurgical evaluation in a
growing number of patients with refractory focal
epilepsy, and are particularly useful in patients with
normal MRI findings, focal dysplastic lesions, dual
pathology and discordant seizure symptoms, and elec-
trophysiology and morphological data. In addition, these
techniques may provide crucial information in the
planning of invasive electroencephalography studies.
1 Introduction
Single photon emission computed tomography (SPECT)
and positron emission tomography (PET) are functional
nuclear imaging modalities. SPECT allows the study of
cerebral perfusion during the ictal and interictal states
(Kapucu et al. 2009), and PET allows the study of cerebral
metabolic and neurochemical processes. In the epilepsy
clinic, 2-[18
F]fluoro-2-deoxy-D-glucose PET (FDG-PET) is
commonly used to assess interictal and rarely ictal cerebral
metabolism.
Functional nuclear imaging is most useful in the
presurgical evaluation of patients with refractory focal
epilepsy, and can delineate the ictal onset, seizure
propagation, and functional deficit zones (Rosenow and
Lüders 2001). ‘‘Functional’’ means that the imaging results
are critically dependent on the timing of tracer injection,
i.e., ictal, postictal, or interictal, and the seizure type
(Van Paesschen et al. 2007a; Goffin et al. 2008). For ictal
W. Van Paesschen (&)
Department of Neurology, University Hospital Leuven,
Herestraat 49, 3000 Leuven, Belgium
e-mail: wim.vanpaesschen@uzleuven.be
K. Goffin Á K. Van Laere
Division of Nuclear Medicine, University Hospital
Leuven and Katholieke Universiteit Leuven,
Leuven, Belgium
H. Urbach (ed.), MRI in Epilepsy, Medical Radiology. Diagnostic Imaging,
DOI: 10.1007/174_2012_561, Ó Springer-Verlag Berlin Heidelberg 2013
63
SPECT interpretation, it is, therefore, important to be aware
of the seizure types, the timing of the injection, ictal
symptoms, and electroencephalography (EEG) data. Both
FDG-PET and ictal SPECT can predict seizure-free out-
come after epilepsy surgery (Knowlton et al. 2008). Ictal
SPECT is probably the most sensitive imaging modality to
delineate the ictal onset zone in extratemporal lobe epilepsy
(Knowlton et al. 2008; Kim et al. 2009).
2 Ictal Onset Zone, Propagation
Pathways, and Functional Deficit Zone
Focal seizures start in the ictal onset zone, and can propa-
gate through the brain (Rosenow and Lüders 2001). The
functional deficit zone is the part of the cortex with an
abnormal function between seizures, due to morphological
or functional factors, or both. Understanding these concepts
is crucial for proper interpretation of functional nuclear
images.
2.1 Ictal SPECT
In the absence of seizure propagation, the largest hyper-
perfusion cluster with the highest z score represents the ictal
onset zone. This pattern is usually observed with early ictal
injections during simple or complex focal seizures, or in
brain regions where ictal propagation is slow, and allows a
reliable localization of the ictal onset zone on blinded
assessment without prior knowledge of other data from the
presurgical evaluation (Dupont et al. 2006).
Often, ictal SPECT shows propagated ictal activity,
which is due to the slow time resolution of ictal SPECT
with respect to seizure propagation. The transit time of a
perfusion tracer from an arm vein to cerebral arteries is
around 30 s. In addition, there is often a delay between
seizure onset and injection of the perfusion tracer. Further,
only around 60% of the perfusion tracer is extracted by
nerve cells on the first pass (the other 40% is extracted
later), contributing to the slow time resolution of ictal
SPECT. Propagation patterns can be seen in all focal epi-
lepsies, but most often in frontal lobe epilepsy (Dupont
et al. 2006). Ictal SPECT injections during secondary gen-
eralized seizures show more areas of propagation than
during focal seizures without generalization (Varghese et al.
2009). In the case of propagation, ictal hyperperfusion can
be observed outside the ictal onset zone. The propagated
activity may be represented by the largest hyperperfusion
cluster with the highest z score, and is usually con-
nected with the hyperperfusion cluster of the ictal onset
zone though a small trail of hyperperfusion, which we
have called an ‘‘hourglass pattern’’ (Dupont et al. 2006).
Propagation may be towards another lobe, ipsilateral, or
contralateral. A reliable blinded assessment of subtraction
ictal SPECT coregistered with MRI (SISCOM) data without
knowledge of the other data from the presurgical evaluation
is often not possible.
2.2 2-[18
F]Fluoro-2-deoxy-D-glucose PET
Hypometabolism on FDG-PET usually encompasses the
ictal onset zone, but tends to be larger. There is evidence to
suggest that both the ictal onset zone and seizure propaga-
tion pathways become hypometabolic interictally, repre-
senting the functional deficit zone (Rosenow and Lüders
2001; Van Paesschen et al. 2007a). The pattern of hypo-
metabolism reflects the seizure types prior to PET scanning
(Savic et al. 1997). The difference between the ictal onset
zone and the functional deficit zone is most clearly dem-
onstrated in the rare event of ictal FDG-PET scanning (Van
Paesschen et al. 2007b). In these cases, the ictal onset zone
is hypermetabolic and the functional deficit zone is hypo-
metabolic (Fig. 1).
3 Coregistration of SPECT and PET
with MRI
The most common epileptic lesions causing refractory focal
epilepsy include hippocampal sclerosis, malformations of
cortical development, tumor, vascular malformations, and
infarct/contusion (Li et al. 1995). Subtraction ictal SPECT
is routinely coregistered with MRI (SISCOM) because it
improves the clinical usefulness in localizing the ictal onset
zone and is predictive of seizure outcome (O’Brien et al.
1998, 2000). FDG-PET/MRI coregistration improves the
detection of small dysplastic lesions (Chassoux et al. 2010;
Goffin et al. 2010; Salamon et al. 2008).
4 Functional Nuclear Imaging
in the Presurgical Evaluation
of Refractory Focal Epilepsy
4.1 Mesial Temporal Lobe Epilepsy
with Hippocampal Sclerosis
4.1.1 Ictal SPECT
Ictal SPECT during a complex focal seizure in mesial
temporal lobe epilepsy with hippocampal sclerosis usually
shows early ipsilateral neocortical temporal lobe hyperper-
fusion, frontal lobe hypoperfusion (ipsilateral more than
contralateral), contralateral cerebellar hypoperfusion, and
later parietal lobe hypoperfusion (Van Paesschen et al.
64 W. Van Paesschen et al.
2003; Blumenfeld et al. 2004) (Fig. 2). Ictal SPECT during
simple focal seizures in mesial temporal lobe epilepsy with
hippocampal sclerosis can show a small hyperperfusion
cluster confined to the temporal lobe, or may reveal no
hyperperfusion in around 40% of cases (Van Paesschen
et al. 2000; Van Paesschen and Ictal 2004), probably
because the hyperperfusion is below the spatial resolution
of ictal SPECT, which is around 7 mm. Seizure propagation
towards the ipsilateral basal ganglia together with hypo-
perfusion of associative brain regions correlates with con-
tralateral dystonic posturing of the arm (Kim et al. 2007;
Chassagnon et al. 2009). Seizures can propagate to the
contralateral temporal lobe, and when the ictal SPECT
injection is given after seizure propagation, SISCOM may
show hyperperfusion in the contralateral temporal lobe
(Cho et al. 2010). Early ictal SPECT injection can obviate
this problem of seizure propagation (Van Paesschen et al.
2000). Different propagation patterns in mesial temporal
lobe epilepsy with hippocampal sclerosis are not of prog-
nostic significance with respect to seizure outcome after
epilepsy surgery (Kim et al. 2007).
4.1.2 2-[18
F]Fluoro-2-deoxy-D-glucose PET
Interictal FDG-PET findings in mesial temporal lobe epi-
lepsy with hippocampal sclerosis have been well described.
Hypometabolism is present in the ipsilateral temporal lobe
in around 95% of cases, but also in regions outside the ictal
onset zone, including the contralateral temporal lobe in up
to 40% of cases, the ipsilateral thalamus in around 65% of
cases, ipsilateral basal ganglia in 45% of cases, the ipsi-
lateral insula in 50% of cases, the ipsilateral basal frontal
lobe in around 30% of cases, and the ipsilateral parietal lobe
in up to 30% of cases (Henry et al. 1990, 1993) (Fig. 2). In
mesial temporal lobe epilepsy with hippocampal sclerosis,
the extent and severity of hypometabolism is not related to
surgical outcome (Lee et al. 2002). Interictal ipsilateral
frontal lobe hypometabolism in mesial temporal lobe epi-
lepsy with hippocampal sclerosis tends to coincide with
ictal SPECT hypoperfusion, which could represent surround
inhibition (Nelissen et al. 2006). Frontal lobe hypometab-
olism in mesial temporal lobe epilepsy with hippocampal
sclerosis could explain frontal lobe cognitive deficits
(Takaya et al. 2006; Jokeit et al. 1997).
Fig. 1 2-[18
F]Fluoro-2-deoxy-D-glucose positron emission tomogra-
phy (PET) in Rasmussen encephalitis. a Three-dimensional stereotac-
tic surface projection analysis of ictal PET. The patient was a
26-year-old woman with Rasmussen encephalitis affecting the right
cerebral hemisphere, with left-sided focal motor status epilepticus.
Ictal PET was performed because electroencephalography did not
allow lateralization, and showed hypermetabolism in the right
hemisphere, consistent with status epilepticus. The left hemisphere
was severely hypometabolic. b Stereotactic surface projection analysis
of interictal PET images 1 year after a right functional hemispherot-
omy, which rendered her seizure-free. The right hemisphere became
hypometabolic. The structurally normal left hemisphere became
normometabolic, which was accompanied by important cognitive
improvements, consistent with a recovery of the functional deficit zone
SPECT and PET 65
4.2 Malformations of Cortical Development
Malformations of cortical development represent a spec-
trum of congenital structural abnormalities of cerebral
cortical development, which are a major cause of refractory
focal epilepsy (Barkovich et al. 2005; Palmini et al. 2004).
Malformations due to abnormal proliferation (Barkovic
class I), including cortical hamartomas, cortical dysplasia
with balloon cells, dysembryoplastic neuroepithelial
tumors, gangliogliomas, and gangliocytomas, have a better
outcome than malformation due to abnormal proliferation
(Barkovic class II) and malformations due to abnormal
cortical organization (Barkovic class III) (Chang et al.
2011). Focal cortical dysplasia, characterized by abnormal
neuroglial proliferation, is the most frequent malformation
of cortical development in patients referred for presurgical
evaluation (Lüders and Schuele 2006). Focal cortical dys-
plasia can be classified into three types (Blümcke et al.
2011). Complete resection of electrocorticographic and
structural abnormalities appears to be most predictive of
long-term seizure outcome (Chang et al. 2011). Functional
nuclear imaging is a useful technique in the presurgical
evaluation of refractory focal epilepsy due to malformations
of cortical development.
4.2.1 Ictal SPECT
Malformations of cortical development are intrinsic epilep-
togenic lesions, since the ictal onset zone is within the dys-
plastic cortex. Dysplastic cortex may not always be visible on
MRI and, therefore, the ictal onset zone may be at the border
of an MRI-visible dysplastic lesion (Blümcke et al. 2011;
Marusic et al. 2002). Ictal SPECT is particularly useful to
delineate the ictal onset zone in focal dysplastic lesions, even
when these are not visible on MRI (Van Paesschen et al.
2007a; Dupont et al. 2006; Kim et al. 2011). O’Brien et al.
(2004) reported that a model combining SISCOM concor-
dance with the surgical resection site and the extent of MRI
lesion resection was predictive of postoperative seizure
Fig. 2 Ictal single photon emission computed tomography (SPECT)
and FDG-PET in mesial temporal lobe epilepsy with hippocampal
sclerosis. The patient was a 55-year-old woman with mesial temporal
lobe epilepsy associated with left hippocampal sclerosis. a Subtraction
ictal SPECT coregistered with MRI (SISCOM) of a complex focal
seizure which lasted 73 s, with initiation of ictal SPECT tracer
injection 38 s after seizure onset. The largest hyperperfusion cluster
(yellow–red) with the highest z score was in the left superior and
middle temporal gyrus, and was connected with a small trail of
hyperperfusion (white arrow) coming from the left hippocampal
sclerosis, i.e., the largest hyperperfusion cluster probably represented
propagated seizure activity. Areas of hypoperfusion (blue) visible on
this image were the contralateral temporal lobe and frontal lobe at the
midline. b Three-dimensional stereotactic surface projection analysis
of FDG-PET images showed left temporal lobe hypometabolism
(white arrow)
66 W. Van Paesschen et al.
outcome. In refractory focal epilepsy due to a single MRI-
visible focal dysplastic lesion, we found that overlap between
the SISCOM hyperperfusion cluster and the MRI-visible
focal dysplastic lesion in a noninvasive presurgical evalua-
tion with concordant data may suffice to proceed to epilepsy
surgery aimed at removing the MRI-visible focal dysplastic
lesion and the part of the hyperperfusion cluster within and
immediately surrounding the focal dysplastic lesion (Dupont
et al. 2006) (Fig. 3).
4.2.2 2-[18
F]Fluoro-2-deoxy-D-glucose PET
Focal cortical dysplasia shows a focal or regional area of
hypometabolism on FDG-PET in around 65–80% of cases
(Chassoux et al. 2010; Goffin et al. 2010; Salamon et al.
2008; Kim et al. 2011). FDG-PET/MRI coregistration and
partial volume correction improves detection of cortical
dysplasia (Chassoux et al. 2010; Goffin et al. 2010; Salamon
et al. 2008). FDG-PET is especially useful to detect the
milder Palmini type I lesions, which may not be visible on
Fig. 3 Multimodality imaging
in the presurgical evaluation of
refractory focal epilepsy. The
patient was a 14-year-old boy
with refractory frontal lobe
epilepsy with focal motor
seizures in his left limbs. a Fluid-
attenuated inversion recovery
(FLAIR) showed a focal cortical
dysplasia that was visible as an
area of slightly hyperintense and
thickened cortex, located on the
medial border of the right
superior frontal gyrus (white
cross). b Multimodal imaging
including magnetization-
prepared rapid gradient echo,
subtracted ictal SPECT (red), and
motor functional MRI of the foot
(yellow), hand (green), and
corticospinal tract (blue),
coregistered with FLAIR (a). The
SISCOM hyperperfusion cluster
overlapped with the focal cortical
dysplasia, which provided an
excellent delineation of the
epileptogenic zone, i.e., the
region that the neurosurgeon has
to remove to render the patient
seizure-free. However, motor
functional MRI of the foot
confirmed that the epileptic
lesion was within eloquent
cortex. Surgery has not been
offered
SPECT and PET 67
MRI (Kim et al. 2009; Salamon et al. 2008) (Fig. 4). FDG-
PET hypometabolism is often present outside the location
of the focal dysplastic lesion, consistent with the observa-
tion that the functional deficit zone tends to be larger than
the epileptogenic zone (Goffin et al. 2010). It remains,
therefore, important to interpret FDG-PET in the context of
a full presurgical evaluation.
4.3 Dual Pathology
Dual pathology, i.e., two or more epileptic lesions, is detected
on MRI in around 5–20% of patients referred for presurgical
evaluation (Li et al. 1999). Often, one of the two lesions is
hippocampal sclerosis. Malformations of cortical develop-
ment and porencephalic cysts are more frequently associated
with hippocampal sclerosis than other epileptic lesions, such
as low-grade gliomas and vascular malformations (Blümcke
et al. 2011; Cendes et al. 1995). Focal cortical dysplasia
type III occurs in combination with hippocampal sclerosis,
epilepsy-associated tumors, vascular malformations, and
epileptogenic lesions acquired in early life (i.e., traumatic
injury, ischemic injury, or encephalitis) (Blümcke et al. 2011).
4.3.1 Ictal SPECT
In patients with dual pathology including hippocampal
sclerosis, removal of the two lesions may be the best sur-
gical approach (Li et al. 1999). However, patients with
mesial temporal lobe epilepsy and hippocampal sclerosis
and an extratemporal porencephalic cyst can be rendered
seizure-free after temporal lobectomy (Burneo et al. 2003).
In our experience, ictal SPECT can be highly accurate to
pinpoint hippocampal sclerosis as the ictal onset zone in
patients with dual pathology (Fig. 5). Valenti et al. (2002)
reported ictal SPECT hyperperfusion within dysembryo-
plastic neuroepithelial tumors, extending into areas of
dysplastic tissue that were not visible on MRI.
4.3.2 2-[18
F]Fluoro-2-deoxy-D-glucose PET
Diehl et al. (2003) reported FDG-PET in patients with
hippocampal sclerosis with and without associated micro-
scopic cortical dysplasia. In hippocampal sclerosis with
concurrent temporal neocortical microscopic cortical dys-
plasia, the most prominent hypometabolism was in the
temporal neocortex. In isolated hippocampal sclerosis
without cortical dysplasia, the most pronounced hypome-
tabolism was in the mesial temporal lobe. Patients with
tuberous sclerosis complex tend to have multiple tubers.
Removal of the epileptic tubers may render these patients
seizure-free. FDG-PET is useful in the non-invasive pre-
surgical evaluation of these patients. Some of the tubers in
the epileptogenic zone may display the largest volume of
hypometabolism relative to the actual tuber volume
(Salamon et al. 2008; Wu et al. 2010).
4.4 MRI-Negative Refractory
Focal Epilepsy
Around 25% of patients with refractory focal epilepsy have
no epileptic lesion on MRI (Li et al. 1995; Duncan 2010).
As a group, around 40% of patients with MRI-negative
Fig. 4 MRI-negative, SPECT/
PET-positive temporal lobe
epilepsy. The patient was a
27-year-old man with a 5-year
history of refractory MRI-
negative temporal lobe epilepsy.
SISCOM showed a left
anterotemporal hyperperfusion
cluster. FDG-PET showed left
temporal hypometabolism. He
underwent a left anterotemporal
lobectomy, including the
amygdala and with sparing of the
hippocampus. He has remained
seizure-free for more than 1 year.
Pathology demonstrated focal
cortical dysplasia type I
68 W. Van Paesschen et al.
Fig. 5 SISCOM in dual
pathology. The patient was a
36-year-old woman who had
developed epilepsy at the age of
7 years. She underwent a
neurosurgical operation with
removal of a pilocytic
astrocytoma. She remained
seizure-free without antiepileptic
medication until the age of 23
years. She then had recurrent
seizures and developed a
refractory left temporal lobe
epilepsy. SISCOM showed a very
focal cluster of hyperperfusion
(red) in the hippocampus just
posterior of the resection site
(white arrow). This region was
resected, rendering her seizure-
free. Pathology showed
hippocampal sclerosis
Fig. 6 Detection of a small focal
cortical dysplasia guided by ictal
SPECT on an MRI scan that was
initially read as showing normal
findings. The patient was a 32-
year-old woman with a refractory
right frontal lobe epilepsy. Her
MRI scan of the brain was
initially read as showing normal
findings. Ictal SPECT was
performed during a motor seizure
that lasted 21 s, with initiation of
the ictal SPECT tracer injection
3 s after seizure onset. SISCOM
showed a hyperperfusion cluster
(red–yellow area) in the right
frontal lobe near primary motor
cortex (motor functional MRI:
blue areas). Reanalysis of the
MRI scan showed a bottom-of-
sulcus cortical dysplasia at the
place of the SISCOM
hyperperfusion cluster
SPECT and PET 69
focal epilepsy are rendered seizure-free after epilepsy sur-
gery, and have a worse prognosis compared with patients
with refractory focal epilepsy and an epileptic lesion on
MRI (Lee et al. 2005).
4.4.1 Ictal SPECT
In MRI-negative refractory focal epilepsy, reevaluation of the
MRI, guided by the ictal SPECT, reveals small focal dys-
plastic lesions in around 15% of cases (Van Paesschen et al.
2007a; Van Paesschen and Ictal 2004) (Fig. 6). SISCOM can
be used to guide placement of intracranial electrodes
(Ahnlide et al. 2007). SISCOM may alter and extend the
strategy for electrode placement in invasive recording.
Favorable surgical outcome has been observed when intra-
cranial EEG was concordant with SISCOM hyperperfusion.
SISCOM localization, therefore, is an independent method
with an impact in patients with refractory partial epilepsy
scheduled for intracranial EEG studies. In comparison with
MRI, FDG-PET, magnetoencephalography, and scalp EEG,
ictal SPECT is probably the most sensitive technique to
localize the ictal onset zone in extratemporal lobe epilepsy,
and to predict a seizure-free outcome after epilepsy surgery
(Knowlton et al. 2008; Kim et al. 2009).
4.4.2 2-[18
F]Fluoro-2-deoxy-D-glucose PET
FDG-PET may be useful in MRI-negative temporal lobe
epilepsy. Good surgical results have been reported in
patients with MRI-negative refractory temporal lobe epi-
lepsy and unilateral temporal hypometabolism (Fig. 4).
MRI-negative, PET-positive temporal lobe epilepsy may
represent a surgically remediable syndrome distinct from
mesial temporal lobe epilepsy, with focal hypometabolism
involving primarily lateral neocortical rather than mesial
temporal structures (Lee et al. 2005; Carne et al. 2004).
FDG-PET is most useful in patients with temporal lobe
epilepsy when MRI findings are normal or when MRI does
not show unilateral temporal lobe abnormalities, and when
ictal EEG results are not concordant with MRI findings or
seizure symptoms (Uijl et al. 2007).
5 Conclusion
Ictal SPECT and FDG-PET are functional nuclear imaging
modalities which may provide additional information in the
noninvasive presurgical evaluation of patients with refrac-
tory focal epilepsy when MRI shows a malformation of
cortical development (Dupont et al. 2006), dual pathology,
or MRI-negative cases, or when the data from the presur-
gical evaluation are discordant. Both may facilitate the
detection of a subtle focal dysplastic lesion when the MRI
findings were initially reported as normal, and may allow
epilepsy surgery after a noninvasive presurgical evaluation.
Ictal SPECT may guide placement of electrodes and grids
for invasive EEG studies. Ictal SPECT and FDG-PET can
be integrated in a multimodal image, including MRI, trac-
tography, EEG–functional MRI and magnetoencephalog-
raphy, allowing accurate surgical planning. Both FDG-PET
and ictal SPECT can predict seizure-free outcome after
epilepsy surgery (Knowlton et al. 2008).
References
Ahnlide JA, Rosen I, Linden-Mickelsson TP, Kallen K (2007) Does
SISCOM contribute to favorable seizure outcome after epilepsy
surgery? Epilepsia 48:579–588
Barkovich AJ, Kuzniecky RI, Jackson GD, Guerrini R, Dobyns WB
(2005) A developmental and genetic classification for malforma-
tions of cortical development. Neurology 27(65):1873–1887
Blümcke I, Thom M, Aronica E et al (2011) The clinicopathologic
spectrum of focal cortical dysplasias: a consensus classification
proposed by an ad hoc task force of the ILAE Diagnostic Methods
Commission. Epilepsia 52:158–174
Blumenfeld H, McNally KA, Vanderhill SD et al (2004) Positive and
negative network correlations in temporal lobe epilepsy. Cereb
Cortex 14:892–902
Burneo JG, Faught E, Knowlton RC et al (2003) Temporal lobectomy
in congenital porencephaly associated with hippocampal sclerosis.
Arch Neurol 60:830–834
Carne RP, O’Brien TJ, Kilpatrick CJ et al (2004) MRI-negative PET-
positive temporal lobe epilepsy: a distinct surgically remediable
syndrome. Brain 127:2276–2285
Cendes F, Cook MJ, Watson C et al (1995) Frequency and
characteristics of dual pathology in patients with lesional epilepsy.
Neurology 45:2058–2064
Chang EF, Wang DD, Barkovich AJ et al (2011) Predictors of seizure
freedom after surgery for malformations of cortical development.
Ann Neurol 70:151–162
Chassagnon S, Namer IJ, Armspach JP et al (2009) SPM analysis of
ictal-interictal SPECT in mesial temporal lobe epilepsy: relation-
ships between ictal semiology and perfusion changes. Epilepsy Res
85:252–260
Chassoux F, Rodrigo S, Semah F et al (2010) FDG-PET improves
surgical outcome in negative MRI Taylor-type focal cortical
dysplasias. Neurology 14(75):2168–2175
Cho JW, Hong SB, Lee JH et al (2010) Contralateral hyperperfusion
and ipsilateral hypoperfusion by ictal SPECT in patients with
mesial temporal lobe epilepsy. Epilepsy Res 88:247–254
Diehl B, LaPresto E, Najm I et al (2003) Neocortical temporal FDG-
PET hypometabolism correlates with temporal lobe atrophy in
hippocampal sclerosis associated with microscopic cortical dys-
plasia. Epilepsia 44:559–564
Duncan JS (2010) Imaging in the surgical treatment of epilepsy. Nat
Rev Neurol 6:537–550
Dupont P, Van Paesschen W, Palmini A et al (2006) Ictal perfusion
patterns associated with single MRI-visible focal dysplastic
lesions: implications for the noninvasive delineation of the
epileptogenic zone. Epilepsia 47:1550–1557
Goffin K, Dedeurwaerdere S, Van Laere KJ, Van Paesschen W (2008)
Neuronuclear assessment of patients with epilepsy. Semin Nucl
Med 38:227–239
Goffin K, Van Paesschen W, Dupont P et al (2010) Anatomy-based
reconstruction of FDG-PET images with implicit partial volume
correction improves detection of hypometabolic regions in patients
70 W. Van Paesschen et al.
with epilepsy due to focal cortical dysplasia diagnosed on MRI.
Eur J Nucl Med Mol Imaging 37:1148–1155
Henry TR, Mazziotta JC, Engel J Jr et al (1990) Quantifying interictal
metabolic activity in human temporal lobe epilepsy. J Cereb Blood
Flow Metab 10:748–757
Henry TR, Mazziotta JC, Engel J Jr (1993) Interictal metabolic anatomy
of mesial temporal lobe epilepsy. Arch Neurol 50:582–589
Jokeit H, Seitz RJ, Markowitsch HJ, Neumann N, Witte OW, Ebner A
(1997) Prefrontal asymmetric interictal glucose hypometabolism
and cognitive impairment in patients with temporal lobe epilepsy.
Brain 120(Pt 12):2283–2294
Kapucu OL, Nobili F, Varrone A et al (2009) EANM procedure guideline
for brain perfusion SPECT using 99mTc-labelled radiopharmaceuti-
cals, version 2. Eur J Nucl Med Mol Imaging 36:2093–2102
Kim JH, Im KC, Kim JS et al (2007) Ictal hyperperfusion patterns in
relation to ictal scalp EEG patterns in patients with unilateral
hippocampal sclerosis: a SPECT study. Epilepsia 48:270–277
Kim JT, Bai SJ, Choi KO et al (2009) Comparison of various imaging
modalities in localization of epileptogenic lesion using epilepsy
surgery outcome in pediatric patients. Seizure 18:504–510
Kim YH, Kang HC, Kim DS et al (2011) Neuroimaging in identifying
focal cortical dysplasia and prognostic factors in pediatric and
adolescent epilepsy surgery. Epilepsia 52:722–727
Knowlton RC, Elgavish RA, Bartolucci A et al (2008) Functional imaging:
II. Prediction of epilepsy surgery outcome. Ann Neurol 64:35–41
Lee SK, Lee DS, Yeo JS et al (2002) FDG-PET images quantified by
probabilistic atlas of brain and surgical prognosis of temporal lobe
epilepsy. Epilepsia 43:1032–1038
Lee SK, Lee SY, Kim KK, Hong KS, Lee DS, Chung CK (2005)
Surgical outcome and prognostic factors of cryptogenic neocortical
epilepsy. Ann Neurol 58:525–532
Li LM, Fish DR, Sisodiya SM, Shorvon SD, Alsanjari N, Stevens JM
(1995) High resolution magnetic resonance imaging in adults with
partial or secondary generalised epilepsy attending a tertiary
referral unit. J Neurol Neurosurg Psychiatry 59:384–387
Li LM, Cendes F, Andermann F et al (1999) Surgical outcome in patients
with epilepsy and dual pathology. Brain 122(Pt 5):799–805
Lüders H, Schuele SU (2006) Epilepsy surgery in patients with
malformationsofcorticaldevelopment.CurrOpinNeurol19:169–174
Marusic P, Najm IM, Ying Z et al (2002) Focal cortical dysplasias in
eloquent cortex: functional characteristics and correlation with
MRI and histopathologic changes. Epilepsia 43:27–32
Nelissen N, Van Paesschen W, Baete K et al (2006) Correlations of
interictal FDG-PET metabolism and ictal SPECT perfusion
changes in human temporal lobe epilepsy with hippocampal
sclerosis. Neuroimage 15(32):684–695
O’Brien TJ, So EL, Mullan BP et al (1998) Subtraction ictal SPECT
co-registered to MRI improves clinical usefulness of SPECT in
localizing the surgical seizure focus. Neurology 50:445–454
O’Brien TJ, So EL, Mullan BP et al (2000) Subtraction peri-ictal
SPECT is predictive of extratemporal epilepsy surgery outcome.
Neurology 12(55):1668–1677
O’Brien TJ, So EL, Cascino GD et al (2004) Subtraction SPECT
coregistered to MRI in focal malformations of cortical develop-
ment: localization of the epileptogenic zone in epilepsy surgery
candidates. Epilepsia 45:367–376
Palmini A, Najm I, Avanzini G et al (2004) Terminology and
classification of the cortical dysplasias. Neurology 23(62):S2–S8
Rosenow F, Lüders H (2001) Presurgical evaluation of epilepsy. Brain
124:1683–1700
Salamon N, Kung J, Shaw SJ et al (2008) FDG-PET/MRI coregistra-
tion improves detection of cortical dysplasia in patients with
epilepsy. Neurology 11(71):1594–1601
Savic I, Altshuler L, Baxter L, Engel J Jr (1997) Pattern of interictal
hypometabolism in PET scans with fludeoxyglucose F 18 reflects
prior seizure types in patients with mesial temporal lobe seizures.
Arch Neurol 54:129–136
Takaya S, Hanakawa T, Hashikawa K et al (2006) Prefrontal
hypofunction in patients with intractable mesial temporal lobe
epilepsy. Neurology 14(67):1674–1676
Uijl SG, Leijten FS, Arends JB, Parra J, van Huffelen AC, Moons KG
(2007) The added value of [18F]-fluoro-D-deoxyglucose positron
emission tomography in screening for temporal lobe epilepsy
surgery. Epilepsia 48:2121–2129
Valenti MP, Froelich S, Armspach JP et al (2002) Contribution of
SISCOM imaging in the presurgical evaluation of temporal lobe
epilepsy related to dysembryoplastic neuroepithelial tumors. Epi-
lepsia 43:270–276
Van Paesschen W (2004) Ictal SPECT. Epilepsia 45(Suppl 4):
35–40
Van Paesschen W, Dupont P, Van Heerden B et al (2000) Self-
injection ictal SPECT during partial seizures. Neurology 23(54):
1994–1997
Van Paesschen W, Dupont P, Van Driel G, Van Billoen H, Maes A
(2003) SPECT perfusion changes during complex partial seizures
in patients with hippocampal sclerosis. Brain 126:1103–1111
Van Paesschen W, Dupont P, Sunaert S, Goffin K, Van Laere KJ
(2007a) The use of SPECT and PET in routine clinical practice in
epilepsy. Curr Opin Neurol 20:194–202
Van Paesschen W, Porke K, Fannes K et al (2007b) Cognitive deficits
during status epilepticus and time course of recovery: a case report.
Epilepsia 48:1979–1983
Varghese GI, Purcaro MJ, Motelow JE et al (2009) Clinical use of ictal
SPECT in secondarily generalized tonic-clonic seizures. Brain
132:2102–2113
Wu JY, Salamon N, Kirsch HE et al (2010) Noninvasive testing, early
surgery, and seizure freedom in tuberous sclerosis complex.
Neurology 2(74):392–398
SPECT and PET 71
Morphometric MRI Analysis
Hans-Ju¨rgen Huppertz
Contents
1 Introduction.......................................................................... 73
2 Methods................................................................................. 74
2.1 Preprocessing ......................................................................... 74
2.2 Computation of the Junction Image ..................................... 74
2.3 Computation of the Extension Image................................... 76
2.4 Computation of the Thickness Image................................... 76
3 Examples............................................................................... 77
3.1 Focal Cortical Dysplasia ....................................................... 77
3.2 Gray Matter Heterotopia ....................................................... 81
3.3 Polymicrogyria....................................................................... 81
4 Diagnostic Yield ................................................................... 81
5 Limitations............................................................................ 82
6 Conclusion ............................................................................ 83
References...................................................................................... 83
Abstract
Morphometric MRI analysis may facilitate the detection
and visualization of focal cortical dysplasia and other
potentially epileptogenic cortical malformations by high-
lighting structural alterations such as abnormal gyration,
blurring of the gray-white matter junction, and abnormal
thickness of the cortical ribbon. In this chapter, a voxel-
based implementation of this kind of MRI postprocessing
using algorithms of the SPM5 software is presented. The
description of methods is accompanied by illustrative
examples which show how this approach may aid in the
detection of subtle cortical dysplasia, polymicrogyria and
gray matter heterotopia, in the delineation of the extent of
lesions, andin thedifferentiation between differenttypesof
lesions. Thereby, it increases the diagnostic yield of MRI
and appears to be a useful additional tool in the diagnostics
and especially presurgical evaluation of epilepsy patients.
1 Introduction
Focal cortical dysplasia (FCD) is a highly epileptogenic
cortical malformation resulting from abnormal proliferation
of neurons during the first trimester and/or from abnormal
cortical organization during the third trimester of pregnancy
(Barkovich and Kuzniecky 1996; Hagemann et al. 2000;
Redecker et al. 2000; Barkovich et al. 2001; Hildebrandt et al.
2005). The spectrum of histopathological changes ranges
from abnormal cortical lamination to extensive malforma-
tions with atypical cell types affecting the whole cortex and
subcortical white matter (Gomez-Anson et al. 2000). In the
past 15 years, owing to improved MRI capabilities, these
lesions have been increasingly recognized as an underlying
cause of formerly cryptogenic epilepsy and now account for
up to 25% of patients with focal epilepsy in presurgical
epilepsy centers (Kuzniecky et al. 1993; Fauser et al. 2004;
Lerner et al. 2009). More than 70% of these epilepsies are
resistant to pharmacological treatment (Semah et al. 1998),
H.-J. Huppertz (&)
Swiss Epilepsy Centre, Zurich, Switzerland
e-mail: hans-juergen.huppertz@swissepi.ch
H. Urbach (ed.), MRI in Epilepsy, Medical Radiology. Diagnostic Imaging,
DOI: 10.1007/174_2012_564, Ó Springer-Verlag Berlin Heidelberg 2013
73
and epilepsy surgery seems to be the best available treatment
option. However, before surgery it is necessary to localize
the lesion and to delineate its extent. Detection on MRI is
crucial since both the probability of undergoing surgical
therapy and the postoperative outcome are significantly better
in MRI-positive patients (Berg et al. 2003; Bien et al. 2009).
Typical MRI features of FCD include abnormal gyral con-
tours, thickening of the cortex, abnormal differentiation of the
gray matter-white matter boundary, and sometimes signal
hyperintensity in T2- and fluid-attenuated inversion recovery
(FLAIR)-weighted images (Kuzniecky et al. 1995; Raymond
et al. 1995; Chan et al. 1998; Gomez-Anson et al. 2000;
Urbach et al. 2002). In subtle cases, however, diagnosis is
time-consuming and difficult, and although MRI techniques
have markedly improved over the last years, conventional
MRI can be unrevealing (Tassi et al. 2002; Widdess-Walsh
et al. 2006; Krsek et al. 2008). Therefore, attempts have been
made to facilitate lesion detection by modern image post-
processing strategies such as curvilinear reformatting of 3D
MRI data (Bastos et al. 1999), quantifying the regional
distribution of gray matter and white matter by voxel-based
morphometry or autoblock analysis (Sisodiya et al. 1995a, b;
Woermann et al. 1999; Merschhemke et al. 2003; Bonilha
et al. 2006; Bruggemann et al. 2007), measuring the thickness
of the cerebral cortex (Fischl and Dale 2000), texture analysis
(Bernasconi et al. 2001; Antel et al. 2002, 2003), and
quantitative intensity analysis (Rugg-Gunn et al. 2005;
Salmenpera et al. 2007; Focke et al. 2008). In addition, there
have been promising approaches for automated lesion
detection, for example, by searching for maximum deviations
from a normal database (Kassubek et al. 2002; Wilke et al.
2003), by using a Bayesian classifier (Antel et al. 2003), by
thresholding z-score maps (Colliot et al. 2006), by applying
classifiers based on neural networks (Besson et al. 2008b),
and by statistical parametric mapping, either applied to
structural data in the framework of voxel-based morphometry
or combined with signal intensity analysis. An overview of
the different approaches can be found in the review by
Bernasconi et al. (2011).
The following presentation concentrates on a method for
morphometric MRI analysis which is based on algorithms
in the freely available software program for statistical
parametric mapping SPM (SPM5, Wellcome Department of
Imaging Neuroscience Group, London, UK; http://www.fil.
ion.ucl.ac.uk/spm) and compares individual brain anatomy
with a normal database. The whole processing is performed
by a fully automated MATLABÒ
script called Morphometric
Analysis Program (MAP) which is in clinical use in about a
dozen epilepsy centers in Europe and the USA. From a high-
resolution T1-weighted 3D MRI data set, three new feature
maps (called ‘‘extension image,’’ ‘‘junction image,’’ and
‘‘thickness image’’) are derived which characterize three
different potential features of FCD: the abnormal extension
of gray matter into white matter (i.e., abnormal deep sulci),
the blurring of the gray matter-white matter junction, and the
abnormal thickness of the cortical ribbon. By highlighting
suspicious cortical regions, the MAP results can guide
a second look at the MRI data and thereby increase the
sensitivity of MRI evaluation (Huppertz et al. 2005; Wellmer
et al. 2010; Wagner et al. 2011).
2 Methods
The MRI postprocessing presented here uses standard
procedures available within SPM5 (e.g., normalization,
segmentation) and additional simple computations and filters
(e.g., calculation of a difference image, conversion to a binary
image, masking, smoothing). Starting with a T1-weighted
MRI volume data set of usually 1-mm3
voxel resolution and
preferably high contrast between gray matter and white
matter, the calculation of the morphometric maps comprises
the following steps (see also Fig. 1; the numbers within the
figure correspond to these processing steps).
2.1 Preprocessing
Normalization and intensity correction (step 1) and simultaneous
segmentation (step 2). SPM5 includes a probabilistic framework
(called ‘‘unified segmentation’’) whereby image registration,
tissue classification, and bias correction are integrated within the
same generative model (Ashburner and Friston 2005). By use of
thisframework,the3DMRIdatasetofeachpatientisnormalized
tothestandardbrainoftheMontrealNeurologicalInstitute(MNI)
included in the SPM5 distribution, segmented into different
brain compartments, i.e., gray matter, white matter, and cere-
brospinalfluid,andissimultaneouslycorrectedforsmallintensity
inhomogeneities (using default SPM5 parameters).
2.2 Computation of the Junction Image
Filteringandconversiontoabinaryimage(step 3).Themeans
and standard deviations of the voxel intensities in the gray
matter and white matter compartments are used to determine
individualupperandlowerintensitythresholdsforfilteringand
conversion of the normalized and intensity-corrected image to
a binary image. The thresholds are given by the functions
TLower Threshold ¼ Mean GM þ 1=2 SD GM and
TUpper Threshold ¼ Mean WM À 1=2 SD WM
where ‘‘mean’’ and SD are the mean and standard deviation of
the voxel intensities in the respective tissue class, and GM and
WM are gray matter and white matter, respectively. Each
voxel with a gray value between these thresholds is set to 1 in
74 H.-J. Huppertz
the resulting binary image, and the other voxelsare set to zero.
Furthermore, brain regions outside the cerebral cortex such as
basal ganglia, brainstem, and cerebellum are masked out by a
predefined mask.
Convolution (step 4). The binary image is smoothed
by performing a 3D convolution with a convolution kernel
of 53
1’s. In the resulting ‘‘convolved image’’ brain regions
where voxels of value 1 are clustered appear bright.
Comparison with a normal database (step 5). To compensate
for the variability of the gray matter–white matter transition zone
in different brain regions, the convolved patient image is com-
pared with a normal database. Preferably, the normal database
consists of T1-weighted images of healthy controls measured
using the same magnetic resonance (MR) scanner with the same
MRprotocolasforthepatientinvestigated.Thedatasetsforming
the normal database are processed in the same way as described
Raw T1 Image
WM Image GM Image CSF Image
Binary GM Image
Smoothed
GM Image
Smoothed
SD Image
of NDB for
Extension
Images
Junction Extension Thickness
Image Image Image
Smoothed
SD Image
of NDB for
Thickness
Images
Smoothed
SD Image
of NDB for
Junction Images
Convolved
Image
Runlength
Image
Binary Image of
GM - WM Junction
Mean Image
of NDB for
Junction
Images
Mean Image
of NDB for
Extension
Images
Mean Image
of NDB for
Thickness
Images
1 2
3
4 7 11
5 8 12
6 9 13
10
Normalized &
Intensity Corrected
Image
Fig. 1 Overview of the image
processing steps required for
calculating the morphometric
images. Preprocessing: 1
normalization and intensity
correction and 2 simultaneous
segmentation. Computation of
the junction image: 3 filtering and
conversion to a binary image
containing voxels of the gray
matter–white matter interface, 4
convolution, 5 comparison with a
normal database, and 6
calculation of the z-score image.
Computation of the extension
image: 7 smoothing, 8
comparison with a normal
database, and 9 calculation of the
z-score image. Computation of
the thickness image: 10
conversion to a binary gray
matter image, 11 estimation of
cortical thickness, 12 comparison
with a normal database, and 9
calculation of the z-score image.
See the text for details
Functional Evaluations and Postprocessing 75
in steps 1–4 and are then averaged. The resulting mean image is
subtracted voxel by voxel from the convolved patient image.
Calculation of the z-score image (step 6). The convolved
images of the controls are also used to calculate a ‘‘standard
deviation image’’ providing standard deviations of the normal
database for all voxels. In the last step, the difference image
from step 5 is divided by this standard deviation image of the
normal database to get the final ‘‘junction image’’ with z-score-
normalized data. To avoid outlier values at the border of the
standard brain where only a few subjects contribute to the
normal database and its standard deviation, the standard
deviation image is previously smoothed by using a fixed
Gaussiankernelof6-mmfullwidthathalfmaximum(FWHM).
Bright regions in the junction image primarily corre-
spond to cortical areas with a less defined border between
gray matter and white matter and a broader transition zone
as compared with the normal database. However, other
brain areas (e.g., subcortical structures) may be highlighted
as well if their signal intensities fall within the range
between normal gray matter and white matter as defined in
step 3 and differ from the normal database in this respect.
2.3 Computation of the Extension Image
Smoothing (step 7). The gray matter image resulting from
segmentation is smoothed by a Gaussian kernel of 6-mm
FWHM (i.e., about the size of the lesions to be detected). In
the smoothed gray matter image, each voxel encodes the
average concentration of gray matter from around the voxel
(defined by the form of the smoothing kernel) at the cor-
responding position in the original structural MR image.
Comparison with a normal database (step 8). As in step
5, the mean smoothed gray mater image of the normal
database is subtracted voxel by voxel from the smoothed
gray matter image of the patient investigated.
Calculation of the z-score image (step 9).The difference
image from step 8 is divided by the standard deviation image
of the normal database to obtain z-score-normalized data for
the final ‘‘extension image.’’ In this image, those brain areas
appear bright where gray matter extends abnormally into the
white matter as compared with the normal database.
2.4 Computation of the Thickness Image
Conversion to a binary image (step 10). The gray matter
image from segmentation is converted to a binary image
using the ImCalc tool of SPM5 with a cutoff of 0.5.
Estimation of cortical thickness (step 11). Similar to the
method described by Bernasconi et al. (2001), for each voxel
within the gray matter compartment, run-length vectors are
determined in 26 spatial directions from the starting voxel to
the nearest boundary voxel of the gray matter compartment.
To reduce the processing time, the search space is limited
to a cube of 153
voxels centred at the starting voxel. Thus,
all run-length vectors are clipped at a maximum length of
seven voxel units. For each pair of opposing run-length
GM
WM
CSF
1
2
3
4
5 6
7
8
Fig. 2 Two-dimensional illustration of the approach used for estimating
cortical thickness. For each voxel within the gray matter compartment,
run-length vectors are determined in different directions to either the
nearest boundaryvoxel ofthe graymatter compartmentorthe boundaryof
a predefined search space (represented by the checkered area) around the
starting voxel. In this example, opposing run-length vectors 1 and 2
represent the shortest connection between gray matter–white matter
and gray matter–CSF interfaces passing through the starting voxel.
The Euclidean lengths of both vectors are summed and the value obtained
is inserted at the starting voxel in the resulting ‘‘run-length image’’
76 H.-J. Huppertz
vectors, the Euclidean lengths of both vectors are summed.
The minimum of the resulting 13 distance measurements is
determined and this value is inserted at the starting voxel in
the resulting ‘‘run-length image.’’ The approach is illustrated
in Fig. 2 for the 2D situation, but actually a 3D implemen-
tation is used. The minimum length of all vector pairs passing
through the starting voxel approximates the shortest con-
nection between the gray matter–white matter and the gray
matter–CSF interfaces. Compared with mean or median
values, it is less prone to outliers in long gyri, e.g., the cin-
gulate gyrus (Antel et al. 2002). In comparison with more
sophisticated model-based methods with deformable sur-
faces (Fischl and Dale 2000; Besson et al. 2008a; Thesen et al.
2011), a data-driven approach as described above without the
need to model the cortical surfaces requires significantly less
processing time (Scott et al. 2009).
Comparison with a normal database (step 12). To com-
pensate for the variability of cortical thickness in different
brain regions, the mean run-length image of the normal
database is subtracted from the run-length image of the
patient investigated. In the mean image of the normal data-
base all voxels with value zero after averaging (i.e., where
none of the healthy controls have gray matter) are set to a
median thickness value (determined from the nonzero vox-
els). In this way, any abnormality of cortical thickness can
also be assessed in regions where no subject from the normal
database has shown gray matter tissue so far. Otherwise,
unusually deep sulci would differ very much from the normal
database even if the cortical thickness were normal at this
location. This would lead to undesired overlap with the FCD
characteristic highlighted already by the extension image.
Calculation of the z-score image (step 13). The differ-
ence image from step 12 is divided by the standard devia-
tion image of the normal database to obtain z-score-
normalized data for the final ‘‘thickness image.’’ Again, the
standard deviation image is previously smoothed by a
Gaussian kernel of 6-mm FWHM to avoid outlier values at
the border of the standard brain. In the thickness image,
bright areas highlight regions of abnormally thick cortex.
3 Examples
The following examples illustrate the use of morphometric
MRI analysis in clinical practice and especially in the
presurgical evaluation of epilepsy patients.
3.1 Focal Cortical Dysplasia
The three morphometric maps highlight different aspects
and typical features of FCD and thereby complement each
other. Whereas the extension and thickness images often
only point to the most abnormal part of the dysplastic
lesion, the junction image is more apt to show the extent of
the dysplasia, even within cortex band which is not abnor-
mally thick or located abnormally deep (Fig. 3a). When the
lesion is already known and detection is not an issue,
morphometric MRI analysis can still be useful for delin-
eation of the extent of the lesion, especially with help of the
junction image.
Morphometric analysis is most helpful when all mor-
phometric maps highlight typical FCD features in the same
location (Fig. 3b). However, not every FCD shows all signs
of a dysplastic lesion. The presence of these signs depends
on the histopathological subtype (Krsek et al. 2008). Fre-
quently, only one of the morphometric maps points to an
abnormality and the other maps are inconspicuous. In this
situation, the junction image exhibits both the highest sen-
sitivity and the highest specificity of the three morphometric
maps, perhaps because blurring of the gray matter-white
matter junction is found to a large extent in all FCD sub-
types. Even in FCD type I according to Palmini and Luders
(2002) it is present in most cases, whereas signs such as
increased cortical thickness or abnormal gyral/sulcal pat-
terns are seen in less than 10% and 17% of cases, respec-
tively (Krsek et al. 2008). Figure 3c demonstrates such an
example where only the junction image led to detection of
the lesion. In this 11-year-old boy with gelastic and hy-
permotor seizures, the epilepsy had remained cryptogenic in
spite of four MRI investigations with three different 3-T
scanners between 2005 and 2008. The junction image
finally highlighted subtle blurring of the gray matter-white
matter junction in the right frontal lobe and guided the
placement of subdural electrodes. Invasive electroenceph-
alography (EEG) recording proved seizure onset in this
region, and after resection FCD type IIb was confirmed
histologically (Kröll-Seger et al. 2011). Nevertheless, as
shown in Fig. 4a there are also cases where only the
extension or the thickness image alone shows an abnor-
mality and leads to detection of FCD (Altenmüller and
Huppertz 2006).
It is noteworthy that in the example in Fig. 3c the
junction image was calculated with interpolated voxel res-
olution of 0.5 mm3
. This option is a spin-off from pro-
cessing of high-resolution 7-T MRI data (Speck et al. 2009)
and has proven to be useful also for MRI data acquired with
normal voxel resolution of 1 mm3
when detailed delineation
of the lesion is needed, however at the expense of signifi-
cantly increased processing time and disk space.
Morphometric MRI analysis can also help to uncover the
reasons for unsuccessful epilepsy surgery. Figure 4b shows
the example of an 8-year-old girl who had been operated on
abroad for an FCD in the right frontal lobe, however with no
effect on seizure frequency. An MRI scan performed
5 years after surgery only showed the resection zone and
Functional Evaluations and Postprocessing 77
78 H.-J. Huppertz
postoperative gliosis but no signs of residual dysplasia.
Only morphometric analysis based on a preoperative MRI
scan revealed in comparison with the coregistered postop-
erative MRI scan that dysplastic tissue has remained in the
right anterior insula just behind the resection zone. This
finding provides the opportunity for a second and hopefully
final resection (Kröll and Huppertz 2008).
Apart from detection of lesions and delineation of the
extent for final resection, the results of morphometric MRI
analysis can also guide the implantation of subdural or
depth electrodes for invasive EEG recording and mapping
(Fig. 4a). For this purpose, the morphometric maps which
have been normalized to the SPM5 standard brain during
preprocessing can be transferred back to native space by
inverse normalization and are then ready to be imported into
an intraoperative neuronavigation system (Wellmer et al.
2010). This is especially helpful when the lesion is not
recognizable in the conventional MR sequences.
Fig. 3 Morphometric MRI analysis in focal cortical dysplasia. a T1-
weighted image, extension image, junction image, and postoperative
image in a patient with focal cortical dysplasia (FCD) type IIb. Whereas
the extension image only highlights the ‘‘tip of the iceberg,’’ the junction
image demonstrates the extent of the lesion, fitting well the final
resection zone. b T1-weighted, extension, junction, and thickness
images in FCD IIb: the morphometric maps show all the signs of a
dysplastic lesion, i.e., the abnormal gyration, the blurring of the
gray-white matter junction, and the abnormal thickness of the cortical
ribbon. c Coronal and sagittal T1-weighted and junction images (upper
row) and corresponding T2- and fluid-attenuated inversion recovery
(FLAIR)-weighted images (lower row) in a patient with gelastic and
hypermotor seizures of unknown cause in spite of four MRI investiga-
tions with three different 3-T scanners. Only the junction image led to
detection of the lesion. Even retrospectively, the dysplasia is hardly
recognizable in the conventional magnetic resonance images
b
Fig. 4 Further examples of morphometric analysis in FCD. a T1- and
FLAIR-weighted images, extension image, and T1-weighted image
after electrode implantation in a patient with epigastric auras and
hypermotor seizures. The epilepsy was previously cryptogenic in spite
of 1.5- and 3-T MRI. The extension image led to detection of the
lesion by highlighting an abnormally deep sulcus in the left frontal
lobe and guided the placement of a depth electrode in this suspicious
sulcus, which after resection turned out to harbor FCD type IIb. The
very subtle transmantle sign in the FLAIR image was recognized only
retrospectively. b Preoperative FLAIR and postoperative T2 images in
an 8-year-old girl with FCD in the right frontal lobe (upper row). The
comparison of preoperative T1 and junction images with the coreg-
istered postoperative T1 image (lower row) reveals residual dysplastic
tissue posterior to the resection zone
Functional Evaluations and Postprocessing 79
80 H.-J. Huppertz
3.2 Gray Matter Heterotopia
Although morphometric MRI analysis is primarily meant to
support detection and visualization of FCD, the method may
also facilitate the recognition of other malformations of
cortical development. Figure 5a shows the example of a
30-year-old man with rare generalized tonic–clonic seizures
with intervals of 1–2 years without any focal symptoms.
The findings of two MRI investigations at 1.5 and 3 T were
regarded as normal. Only the extension image calculated
from the last MRI scan revealed two subtle nodules of gray
matter in the roofs of the lateral ventricles, representing
bilateral periventricular nodular heterotopia. It is notewor-
thy that morphometric analysis in this case helped not only
to detect the heterotopia but also highlighted the overlying
cortex, which seems to extend abnormally deep into the
white matter (Fig. 5a).
A clear-cut double cortex syndrome with a broad band of
subcortical heterotopic gray metter throughout the brain is
hardly missed in the MRI investigation. But there are also very
subtle forms of subcortical band heterotopia (SBH). Figure 5b
showsimagesofa42-year-oldmansufferingfromseizureswith
metamorphopsia in the lower-left visual field. Ictal EEG dem-
onstrated a nonlateralizing seizure pattern over the biposterior
regions and interictal EEG multiregional spike-and-wave
complexes over the posterior temporal regions. The findings
oftwoMRIinvestigations,performedwhenthemanwas22and
42 years old, were considered normal. The junction image
derived from the second MRI investigation (3 T) highlighted
subcortical thin and discontinuous band-like structures
confined to the parietal and occipital lobes ofboth hemispheres.
After reevaluation of the MRI investigations in these regions, a
partial double cortex syndrome with very subtle SBH in pos-
terior brain regions was diagnosed, thus explaining very well
the ictal visual symptoms and EEG findings. In a subsequent
survey of 378 epilepsy patients in three different epilepsy
centers, morphometric analysis detected five cases of SBH
which had been overlooked previously. This indicates that a
considerable number of patients with SBH remain unrecog-
nized by conventional MRI (Huppertz et al. 2008).
Furthermore, subtle forms of SBH such as in Fig. 5b can
only be recognized in thin-sliced T1 images, preferably with
1-mm3
voxel resolution in each direction. Reconstructions
with thicker slices of 3–5 mm are not sufficient to detect
these lesions. On the other hand, a thorough inspection of
high-resolution T1 volume data sets of 150–180 slices
requires special attention, patience, and time. The additional
use of morphometric analysis can help to save time by
directing the attention to these subtle malformations.
3.3 Polymicrogyria
Polymicrogyria is usually easy to detect on MRI, especially
with bilateral presentation or when associated with schizen-
cephaly. But there also subtle circumscribed and unilateral
forms which might go unrecognized, particularly when thin-
sliced T1 images either have not been acquired or––for time-
saving reasons––are discarded in exchange for reconstructed
images of greater slice thickness. Figure 6 shows such an
example of a polymicrogyria which had been overlooked in a
previous MRI investigation and had been misinterpreted as
FCD in a recent 3-T MRI investigation. However, morpho-
metric analysis can not only aid in detecting the lesion (as in
this example) but may also help to differentiate between FCD
and polymicrogyria. In contrast to FCD, a polymicrogyria
lesion is predominantly highlighted by the extension and
thickness images, whereas the junction image (not shown
here) displays no or only scarce hints for a blurring of the
gray-white matter junction.
4 Diagnostic Yield
The diagnostic yield of morphometric MRI analysis was
analyzed prospectively in 2006 at the Swiss Epilepsy Centre.
Morphometric MRI analysis was applied for all patients who
had an MRI scan in that year and for whom a digital T1-
weighted volume data set was available. These constituted
215 out of a total of 363 epilepsy patients who had an MRI
scan in 2006. Thirty patients had malformations of cortical
development (FCD, n = 20; heterotopia, n = 4; others,
n = 6). Morphometric MRI analysis was performed in 26 of
these patients (four dropouts owing to severe movement
artifacts or missing digital MRI data). All malformations were
identified in the morphometric maps. However, in 16 of these
patients, these malformations had been overlooked in previ-
ous MRI investigations, and in nine of these 16 patients even
in the MRI investigations in 2006, which were the basis for
postprocessing. In an additional seven patients, the epilepto-
genic lesions were misinterpreted concerning their cause and/
or their extension. Overall, this corresponds to a diagnostic
Fig. 5 Morphometric MRI analysis in gray matter heterotopia.
a Sagittal T1- and T2-weighted images with the extension image
(upper row), and coronal T1 and extension images (lower row) in a
patient with bilateral periventricular nodular heterotopia. The heter-
otopia was overlooked in two 1.5- and 3-T MRI investigations and
was only detected with the help of the extension image. b Axial T1
images (upper row), corresponding junction images (middle row), and
enlarged T1 images (lower row) in a patient with very subtle
subcortical band heterotopia not recognized in two previous MRI
investigations. The junction image was not only crucial in establishing
the diagnosis but also helped to assess the extent of these malforma-
tions and to verify the bilateral distribution
b
Functional Evaluations and Postprocessing 81
yield of about 7–8%, i.e., in this portion of patients, mor-
phometric analysis provided additional valuable information.
A larger study has recently finished in the Department of
Epileptology at the University of Bonn, Germany. In this
study, the potential diagnostic value of morphometric
analysis was compared with that of conventional visual
analysis in 91 patients with histologically proven FCD
operated on at this center between 2000 and 2010 (17
patients with FCD type IIa, 74 patients with FCD type IIb).
All preoperative MRI scans were evaluated independently
(1) by an experienced neuroradiologist on the basis of
conventional visual analysis and (2) by a neurologist using
morphometric analysis. Both evaluators had the same
clinical information but were blinded to the results of each
other. The FCD detection rate using morphometric analysis
was superior to that of conventional visual analysis in the
FCD type IIa subgroup (82% vs. 65%), whereas no differ-
ence was found in the FCD type IIb subgroup (92% vs.
91%). However, the combination of conventional visual
analysis and morphometric analysis provided complemen-
tary information and detected 89 out of all 91 FCDs (98%).
It was significantly superior to conventional visual analysis
alone in both subgroups, resulting in a higher diagnostic
sensitivity (94% vs. 65%, P = 0.031 for FCD type IIa; 99%
vs. 91%, P = 0.016 for FCD type IIb) (Wagner et al. 2011).
5 Limitations
The morphometric analysis only highlights structural
abnormalities. It does not account for signal hyperintensities
on FLAIR and/or T2 images, which are often associated
with FCD. Therefore, the method does not help to detect
FCDs that have no structural abnormalities and that are only
characterized by cortical and/or subcortical hyperintensities.
As a consequence, morphometric analysis cannot replace an
experienced neuroradiologist and cannot obviate the need to
read other MR sequences apart from T1 images. The post-
processing should be rather regarded as a supportive method
increasing the diagnostic sensitivity for certain lesions.
Furthermore, the interpretation of the morphometric maps
requires some experience. At the current stage, the method
does not detect the lesion automatically. The morphometric
maps direct the attention of the investigator to suspicious
regions and can increase the conspicuity of a lesion. A visual
confirmation by taking into account the conventional MR
images is still necessary. Furthermore, the morphometric
maps may highlight regions that have no pathological
correlate in the conventional MR sequences, for example,
regions of delayed white matter myelination in children or
venous anomalies. Owing to ongoing myelination or reversed
Fig. 6 Morphometric MRI analysis in polymicrogyria. Coronal
(upper row) and sagittal (lower row) T1, FLAIR, extension, and
thickness images, with the two morphometric maps highlighting an
area of abnormal gyration and thick-appearing cortex in the left lateral
temporal lobe which upon closer examination apparently consists of
multiple small gyri
82 H.-J. Huppertz
T1 contrasts, segmentation may also fail in patients below the
age of 2 years (Wagner et al. 2011).
6 Conclusion
The morphometric maps described in thischapter characterize
different features of FCD and other cortical malformations
and thereby complement each other. Their voxel-based
technique allows a comprehensive 3D analysis of volumetric
MRI data which may reveal abnormalities that are not visible
when the data are viewed as 2D images only and which is less
prone to misinterpretation due to partial volume effects. In
addition, the method includes an inherent comparison with a
normal database to compensate for physiological variations of
sulcal morphology, cortical thickness, and the thickness of the
gray-white matter transition zone in different brain regions.
In contrast, visual analysis of conventional MR images
requires that the investigator knows and keeps in mind normal
variations of morphology. Furthermore, the calculation of the
feature maps is completely automated and observer-inde-
pendent. The method employs standard procedures of the
SPM5programandadditionalsimplecomputationswhichcan
be easily implemented in a MATLABÒ
script. Except for the
commercial MATLABÒ
platform required for SPM5, the
method is thus based on freely available software. However,
the key steps of this method (i.e., normalization, segmenta-
tion, filtering) could also be realized in other image processing
environments which are freeware, e.g., the FMRIB Software
Library (FSL; http://www.fmrib.ox.ac.uk/fsl) or AFNI (http://
afni.nimh.nih.gov/afni), thus removing the need for a MAT-
LABÒ
license (Huppertz et al. 2008). Finally, it is economic
that the method does not require the acquisition of special MR
sequences but is based on ordinary T1-weighted volume data
sets which are already part of recommended MR protocols for
epilepsy patients. In conclusion, the method of morphometric
MRI analysis appears to be a helpful additional tool in the
diagnostics and especially presurgical evaluation of epilepsy
patients.
References
Altenmüller DM, Huppertz HJ (2006) Kombinierter Einsatz von
morphometrischer MRT-analyse und gezielter invasiver EEG-Diag-
nostik bei fokaler kortikaler Dysplasie. Epileptologie 3:117–125
Antel SB, Bernasconi A, Bernasconi N, Collins DL, Kearney RE,
Shinghal R, Arnold DL (2002) Computational models of MRI
characteristics of focal cortical dysplasia improve lesion detection.
Neuroimage 17:1755–1760
Antel SB, Collins DL, Bernasconi N, Andermann F, Shinghal R,
Kearney RE, Arnold DL, Bernasconi A (2003) Automated
detection of focal cortical dysplasia lesions using computational
models of their MRI characteristics and texture analysis. Neuro-
image 19:1748–1759
Ashburner J, Friston KJ (2005) Unified segmentation. Neuroimage
26:839–851
Barkovich AJ, Kuzniecky RI (1996) Neuroimaging of focal malfor-
mations of cortical development. J Clin Neurophysiol 13:481–494
Barkovich AJ, Kuzniecky RI, Dobyns WB (2001) Radiologic classi-
fication of malformations of cortical development. Curr Opin
Neurol 14:145–149
Bastos AC, Comeau RM, Andermann F, Melanson D, Cendes F,
Dubeau F, Fontaine S, Tampieri D, Olivier A (1999) Diagnosis of
subtle focal dysplastic lesions: curvilinear reformatting from three-
dimensional magnetic resonance imaging. Ann Neurol 46:88–94
Berg AT, Vickrey BG, Langfitt JT, Sperling MR, Walczak TS, Shinnar
S, Bazil CW, Pacia SV, Spencer SS (2003) The multicenter study
of epilepsy surgery: recruitment and selection for surgery. Epilep-
sia 44:1425–1433
Bernasconi A, Antel SB, Collins DL, Bernasconi N, Olivier A, Dubeau
F, Pike GB, Andermann F, Arnold DL (2001) Texture analysis and
morphological processing of magnetic resonance imaging assist
detection of focal cortical dysplasia in extra-temporal partial
epilepsy. Ann Neurol 49:770–775
Bernasconi A, Bernasconi N, Bernhardt BC, Schrader D (2011)
Advances in MRI for ‘cryptogenic’ epilepsies. Nat Rev Neurol
7:99–108
Besson P, Bernasconi N, Colliot O, Evans A, Bernasconi A (2008a)
Surface-based texture and morphological analysis detects subtle
cortical dysplasia. Med Image Comput Comput Assist Interv
11:645–652
Besson P, Bernasconi N, Colliot O, Evans A, Bernasconi A (2008b)
Surface-based texture and morphological analysis detects subtle
cortical dysplasia. Med Image Comput Comput Assist Interv11:
645–652
Bien CG, Szinay M, Wagner J, Clusmann H, Becker AJ, Urbach H
(2009) Characteristics and surgical outcomes of patients with
refractory magnetic resonance imaging-negative epilepsies. Arch
Neurol 66:1491–1499
Bonilha L, Montenegro MA, Rorden C, Castellano G, Guerreiro MM,
Cendes F, Li LM (2006) Voxel-based morphometry reveals excess
gray matter concentration in patients with focal cortical dysplasia.
Epilepsia 47:908–915
Bruggemann JM, Wilke M, Som SS, Bye AM, Bleasel A, Lawson JA
(2007) Voxel-based morphometry in the detection of dysplasia and
neoplasia in childhood epilepsy: combined grey/white matter
analysis augments detection. Epilepsy Res 77:93–101
Chan S, Chin SS, Nordli DR, Goodman RR, DeLaPaz RL, Pedley TA
(1998) Prospective magnetic resonance imaging identification of
focal cortical dysplasia, including the non-balloon cell subtype.
Ann Neurol 44:749–757
Colliot O, Bernasconi N, Khalili N, Antel SB, Naessens V, Bernasconi
A (2006) Individual voxel-based analysis of gray matter in focal
cortical dysplasia. Neuroimage 29:162–171
Fauser S, Schulze-Bonhage A, Honegger J, Carmona H, Huppertz HJ,
Pantazis G, Rona S, Bast T, Strobl K, Steinhoff BJ, Korinthenberg
R, Rating D, Volk B, Zentner J (2004) Focal cortical dysplasias:
surgical outcome in 67 patients in relation to histological subtypes
and dual pathology. Brain 127:2406–2418
Fischl B, Dale AM (2000) Measuring the thickness of the human
cerebral cortex from magnetic resonance images. Proc Natl Acad
Sci USA 97:11050–11055
Focke NK, Symms MR, Burdett JL, Duncan JS (2008) Voxel-based
analysis of whole brain FLAIR at 3 T detects focal cortical
dysplasia. Epilepsia 49:786–793
Gomez-Anson B, Thom M, Moran N, Stevens J, Scaravilli F (2000)
Imaging and radiological-pathological correlation in histologically
proven cases offocal cortical dysplasia and other glial and neuronog-
lial malformative lesions in adults. Neuroradiology 42:157–167
Functional Evaluations and Postprocessing 83
HagemannG,RedeckerC,WitteOW(2000)Corticaldysgenesis:current
classification, MRI diagnosis, and clinical review. Nervenarzt 71:
616–628
Hildebrandt M, Pieper T, Winkler P, Kolodziejczyk D, Holthausen H,
Blümcke I (2005) Neuropathological spectrum of cortical dysplasia
in children with severe focal epilepsies. Acta Neuropathol (Berl)
110:1–11
Huppertz HJ, Grimm C, Fauser S, Kassubek J, Mader I, Hochmuth A,
Spreer J, Schulze-Bonhage A (2005) Enhanced visualization of
blurred gray-white matter junctions in focal cortical dysplasia by
voxel-based 3D MRI analysis. Epilepsy Res 67:35–50
Huppertz HJ, Wellmer J, Staack AM, Altenmuller DM, Urbach H,
Kroll J (2008) Voxel-based 3D MRI analysis helps to detect subtle
forms of subcortical band heterotopia. Epilepsia 49:772–785
Kassubek J, Huppertz HJ, Spreer J, Schulze-Bonhage A (2002)
Detection and localization of focal cortical dysplasia by voxel-
based 3-D MRI analysis. Epilepsia 43:596–602
Kröll J, Huppertz HJ (2008) Nachweis von postoperativ verbliebenem
dysplastischen Kortex mittels morphometrischer MRI-Analyse.
Schweiz Z Psychiatr Neurol 2:17–20
Kröll-Seger J, Grunwald T, Mothersill IW, Bernays R, Krämer G,
Huppertz HJ (2011) Lachen ohne Heiterkeit––Morphometrische
MRT-analyse in der prächirurgischen Abklärung einer MRT-
negativen kindlichen Epilepsie mit gelastischen Anfällen. Epile-
ptologie 28(2):78–83
Krsek P, Maton B, Korman B, Pacheco-Jacome E, Jayakar P, Dunoyer C,
Rey G, Morrison G, Ragheb J, Vinters HV, Resnick T, Duchowny M
(2008) Different features of histopathological subtypes of pediatric
focal cortical dysplasia. Ann Neurol 63:758–769
Kuzniecky R, Murro A, King D, Morawetz R, Smith J, Powers R,
Yaghmai F, Faught E, Gallagher B, Snead OC (1993) Magnetic
resonance imaging in childhood intractable partial epilepsies:
pathologic correlations. Neurology 43:681–687
Kuzniecky R, Morawetz R, Faught E, Black L (1995) Frontal and
central lobe focal dysplasia: clinical, EEG and imaging features.
Dev Med Child Neurol 37:159–166
Lerner JT, Salamon N, Hauptman JS, Velasco TR, Hemb M, Wu JY,
Sankar R, Donald SW, Engel J Jr, Fried I, Cepeda C, Andre VM,
Levine MS, Miyata H, Yong WH, Vinters HV, Mathern GW
(2009) Assessment and surgical outcomes for mild type I and
severe type II cortical dysplasia: a critical review and the UCLA
experience. Epilepsia 50:1310–1335
Merschhemke M, Mitchell TN, Free SL, Hammers A, Kinton L,
Siddiqui A, Stevens J, Kendall B, Meencke HJ, Duncan JS (2003)
Quantitative MRI detects abnormalities in relatives of patients with
epilepsy and malformations of cortical development. Neuroimage
18:642–649
Palmini A, Luders HO (2002) Classification issues in malformations
caused by abnormalities of cortical development. Neurosurg Clin N
Am 13:1–16
Raymond AA, Fish DR, Sisodiya SM, Alsanjari N, Stevens JM,
Shorvon SD (1995) Abnormalities of gyration, heterotopias,
tuberous sclerosis, focal cortical dysplasia, microdysgenesis,
dysembryoplastic neuroepithelial tumour and dysgenesis of the
archicortex in epilepsy. Clinical, EEG and neuroimaging features
in 100 adult patients. Brain 118(Pt 3):629–660
Redecker C, Hagemann G, Gressens P, Evrard P, Witte OW (2000)
Cortical dysgenesis. Current views on pathogenesis and patho-
physiology. Nervenarzt 71:238–248
Rugg-Gunn FJ, Boulby PA, Symms MR, Barker GJ, Duncan JS (2005)
Whole-brain T2 mapping demonstrates occult abnormalities in
focal epilepsy. Neurology 64:318–325
Salmenpera TM, Symms MR, Rugg-Gunn FJ, Boulby PA, Free SL,
Barker GJ, Yousry TA, Duncan JS (2007) Evaluation of quanti-
tative magnetic resonance imaging contrasts in MRI-negative
refractory focal epilepsy. Epilepsia 48:229–237
Scott ML, Bromiley PA, Thacker NA, Hutchinson CE, Jackson A
(2009) A fast, model-independent method for cerebral cortical
thickness estimation using MRI. Med Image Anal 13:269–285
Semah F, Picot MC, Adam C, Broglin D, Arzimanoglou A, Bazin B,
Cavalcanti D, Baulac M (1998) Is the underlying cause of epilepsy
a major prognostic factor for recurrence? Neurology 51:1256–1262
Sisodiya SM, Free SL, Fish DR, Shorvon SD (1995a) Increasing the
yield from volumetric MRI in patients with epilepsy. Magn Reson
Imaging 13:1147–1152
Sisodiya SM, Free SL, Stevens JM, Fish DR, Shorvon SD (1995b)
Widespread cerebral structural changes in patients with cortical
dysgenesis and epilepsy. Brain 118:1039–1050
Speck O, Tempelmann C, Matzen J, Huppertz HJ (2009) Morpho-
metric MRI analysis based on high resolution 3D imaging at 7 tesla
highlights focal cortical dysplasia in epilepsy. Proc Intl Soc Mag
Reson Med 17:971
TassiL,ColomboN,GarbelliR,FrancioneS,LoRG,MaiR,CardinaleF,
Cossu M, Ferrario A, Galli C, Bramerio M, Citterio A, Spreafico R
(2002) Focal cortical dysplasia: neuropathological subtypes, EEG,
neuroimaging and surgical outcome. Brain 125:1719–1732
Thesen T, Quinn BT, Carlson C, Devinsky O, DuBois J, McDonald CR,
French J,LeventerR,Felsovalyi O,Wang X,HalgrenE,KuznieckyR
(2011) Detection of epileptogenic cortical malformations with
surface-based MRI morphometry. PLoS One 6:e16430
Urbach H, Scheffler B, Heinrichsmeier T, von Oertzen J, Kral T,
Wellmer J, Schramm J, Wiestler OD, Blümcke I (2002) Focal
cortical dysplasia of Taylor’s balloon cell type: a clinicopatholog-
ical entity with characteristic neuroimaging and histopathological
features, and favorable postsurgical outcome. Epilepsia 43:33–40
Wagner J, Weber B, Urbach H, Elger CE, Huppertz HJ (2011)
Morphometric MRI analysis improves detection of focal cortical
dysplasia type II. Brain 13:2844–2854
Wellmer J, Parpaley Y, von Lehe M, Huppertz HJ (2010) Integrating
MRI post-processing results into neuronavigation for electrode
implantation and resection of subtle focal cortical dysplasia in
previously cryptogenic epilepsy. Neurosurgery 66:187–194
Widdess-Walsh P, Diehl B, Najm I (2006) Neuroimaging of focal
cortical dysplasia. J Neuroimaging 16:185–196
Wilke M, Kassubek J, Ziyeh S, Schulze-Bonhage A, Huppertz HJ
(2003) Automated detection of gray matter malformations using
optimized voxel-based morphometry: a systematic approach.
Neuroimage 20:330–343
Woermann FG, Free SL, Koepp MJ, Ashburner J, Duncan JS (1999)
Voxel-by-voxel comparison of automatically segmented cerebral
gray matter—a rater-independent comparison of structural MRI in
patients with epilepsy. Neuroimage 10:373–384
84 H.-J. Huppertz
Metallic Implants
Horst Urbach and Sebastian Flacke
Contents
References...................................................................................... 88
Abstract
Patients with vagus nerve, deep brain stimulators or
depth and subdural electrodes have to be examined
according to the manufacturer guidelines, which in
general require the use of transmit/receive head coils
limiting the RF deposition to the brain.
Vagus nerve stimulators (VNS), deep brain stimulators
(DBS), and depth and/or subdural strip or grid electrodes
are medical devices which may interfere with MRI exam-
inations in epilepsy patients.
VNS use mild electrical pulses to stimulate the vagus
nerve, which in turn transmits them to the brain. They
consist of a small pulse generator and thin flexible stim-
ulation wires with a pair of spiral platinum electrodes at
the end. The pulse generator is typically placed within the
left side of the patient’s chest wall and the platinum
electrodes are wrapped around the vagus nerve on the left
side of the patient’s neck (George et al. 2000). The ratio-
nale behind stimulating the left vagus nerve is that it
has fewer cardiac fibers supplying the sinuatrial node
(Kotagal 2011).
DBS use mild chronic electrical stimulation of certain
brain structures, e.g., the anterior nucleus or the centrome-
dian nucleus of the thalamus. An implanted pulse generator
containg a battery and programmable hardware is typically
(Kotagal 2011, Zrinzo et al. 2011) placed within the
patient’s chest wall, and an extension cable is tunneled
underneath the skin and is connected to the stimulation
electrodes, with the extracranial portion coiled underneath
the scalp and the intracranial portion stereotactically placed
via drilled burr holes (Kotagal 2011).
Subdural strip and grid electrodes and depth electrodes
record epileptic EEG activity or are stimulated to localize
brain functions.
The following theoretical concerns arise if patients with
these devices are studied with MRI:
H. Urbach (&)
Department of Neuroradiology,
University Hospital Freiburg, Germany
e-mail: horst.urbach@uniklinik-freiburg.de
S. Flacke
Department of Radiology, Lahey Clinic, Burlington, MA, USA
H. Urbach (ed.), MRI in Epilepsy, Medical Radiology. Diagnostic Imaging,
DOI: 10.1007/174_2012_562, Ó Springer-Verlag Berlin Heidelberg 2013
85
1. Device displacement by force and torque induced during
patient positioing in themagmetic field B0.
2. Heating effects on material components, especially
leads. These heating effects are produced by radiofre-
quency (RF) pulses which induce eddy currents in the
leads, with possible thermal injury at the lead–tissue
interfaces.
3. Unintended neurostimulation mainly produced by the
low-frequency gradient fields. The induced currents are
proportional to the rate of change of the gradient pulses
with time (dB/dt), the effective loop area created by the
VNS or DBS lead system, and the location of the lead
system with respect to the gradient coils of the MRI
system.
Fig. 1 After uneventful presurgical evaluation including right frontal
subdural grid implantation, a 24-year-old man with drug-resistant
temporal lobe seizures received a vagus nerve stimulator. With the
vagus nerve stimulator (VNS) turned off, he was again studied in a 1.5-
T MRI scanner. A transmit/receive head coil was used, and pulse
sequences with reduced high-frequency energy deposition (specific
absorption rate less than 0.1 W/kg for 15 min) were acquired. This
examination again failed to show a lesion (a, d). In the next step, the
VNS was explanted, the VNS leads were cut as short as reasonably
possible, and the patient was studied with the epilepsy-dedicated 3-T
MRI protocol. Axial and coronal fluid-attenuated inversion recovery
sequences were suggestive of a small insular dysplasia (b, e, arrow).
Epileptic EEG activity was recorded with stereotactically placed depth
electrodes, whose positions were depicted with 1.5-T MRI under VNS
conditions (c, f, arrows). Finally, the patient was operated on and a
type IIB focal cortical dysplasia was histologically proven
86 H. Urbach and S. Flacke
4. Electromagnetic compatibility.
5. Acoustic noise.
6. Interaction among devices
7. Safe functioning of the device.
8. Safe operation of the MRI system.
The greatest concern is thermal injury from RF pulses.
Heating may occur around the VNS or DBS or along the
subdural or depth electrodes, but is more likely to occur at
the noninsulated ends of the electrodes. Experimental
investigations of cardiac pacemakers showed a higher
temperature increase in patients with abandoned leads than
in patients with leads attached to the pacemaker (Langman
et al. 2011). Thus, patients with abandoned or broken leads
around the vagus nerve after explanting a VNS could show
a higher temperature increase than patients with an
implanted VNS. Heating is considered harmful as it could
result in tissue damage in the brain parenchyma or the vagus
nerve and/or surrounding structures in the carotid sheath.
A measure to assess the amount of energy deposited by a
radiofrequency field in a certain mass of tissue is the spe-
cific absorption rate. The units for SAR are therefore given
in watts per kilogram [W/kg]. The SAR produced during an
MRI study is a complex function of various variables. SAR
is proportional to the square of the field strength, the square
of the RF flip angle, the duty cycle which is influenced by
the repetition time, the type of transmit coil and the volume,
electrical conductivity and anatomical configuration of the
tissue contained within the transmit coil. This relationship
already implies that stronger magnets and larger RF flip-
angles applied in a short time interval will result in higher
energy deposition (Shellock 2008). Unfortunately, the SAR
is calculated differently by different MRI system manufac-
turers and even varies for different systems with identical
field strength produced by the same manufacturer. For
example, the SAR is higher in a long-bore system than in a
short-bore system. The SAR can be averaged over the
whole body or the head only, and the averaged whole-body
SAR should not exceed 4 W/kg in any MRI examination.
For a given MRI system, a higher SAR leads to greater
heating.
Other concerns with respect to VNS or DBS are inad-
vertent device reset erasing historical information stored in
the device or inadvertent magnet mode activation from the
magnetic fields.
In 2005, ASTM International introduced the criteria
MRI-safe, MRI-conditional and MRI-unsafe (ASTM Inter-
national 2005). With respect to these criteria, the devices
mentioned above are defined as MRI-conditional, i.e., MRI
is considered safe under specified conditions of use. Inter-
estingly, neither the FDA nor the International Electro-
technical Commission has specified these conditions for the
different metallic implants, but instead has left this task to
the manufacturers (Gupte et al. 2011). The manufacturers
provide this information within their manuals and MRI
healthcare professionals are advised to contact the respec-
tive manufacturer to obtain the latest safety information.
Provisional information and guidance to the respective
manufacturer’s websites can be obtained via the website
http://www.mrisaftey.com.
In general, MRI examinations with implanted VNS or
DBS or subdural grid or strip electrodes or depth electrodes
should be performed as follows: magnetic field strength
of 1.5 T or less; head SAR of less than 0.1 W/kg; dB/
dt  20 T/s; output current of the implanted pulse generator
set to 0 mA; testing and reprogramming of the devices after
scanning (Benbadis et al. 2001; Roebling et al. 2009;
Shellock et al. 2006; Shellock 2002; Kainz 2007; Gupte
et al. 2011).
Fig. 2 Reduced susceptibility artifacts of depth electrodes at 1.5 T (b, c) compared with 3 T (a)
Metallic Implants 87
In clinical practice, the following situations may occur:
1. Searching for an epileptogenic lesion in a patient with an
implanted VNS. This condition is considered MRI-con-
ditional (Gorny et al. 2010). In 2011, the manufacturer
Cyberonics (Houston, TX, USA) received FDA approval
for 3-T scanning for models 100, 102, and 103 under
specified conditions of use.
2. Searching for an epileptogenic lesion after explantation of
a VNS with abandoned or broken leads around the vagus
nerve in the neck. The manufacturer Cyberonics warns
against performing MRI in patients with abandoned or
broken leads, acknowledging that this situation has not
been characterized nor has safety been demonstrated.
Clinical experience under off-label-use conditions, how-
ever, is that patients can benefit from 3-T MRI using a
transmit/receive head coil and reducing the SAR (Fig. 1)
3. Localization of depth or subdural electrodes. MRI at 3 T
under the conditions specified above is allowed for some
electrodes. Since susceptibility artifacts are stronger
at 3 T (susceptibility - & B0), 1.5-T MRI under the
conditions specified above is preferred (Fig. 2).
References
ASTM International (2005) F2503–05. Standard practice for marking
medical devices and other items for safety in the magnetic
resonance environment. ASTM International, West Conshohocken
Benbadis SR, Nyhenhuis J, Tatum WO 4th, Murtagh FR, Gieron M,
Vale FL (2001) MRI of the brain is safe in patients implanted with
the vagus nerve stimulator. Seizure 10(7):512–515
George MS, Sackeim HA, Rush AJ, Marangell LB, Nahas Z, Husain MM,
Lisanby S, Burt T, Goldman J, Ballenger JC (2000) Vagus nerve
stimulation: a new tool for brain research and therapy. Biol Psychiatry
47(4):287–295
Gorny KR, Bernstein MA, Watson RE Jr (2010) 3 tesla MRI of
patients with a vagus nerve stimulator: initial experience using a
T/R head coil under controlled conditions. J Magn Reson Imaging
31(2):475–481
Gupte AA, Shrivastava D, Spaniol MA, Abosch A (2011) MRI-related
heating near deep brain stimulation electrodes: more data are
needed. Stereotact Funct Neurosurg 89(3):131–140
Kainz W (2007) Response to Shellock et al. Vagus nerve stimulation
therapy system: in vitro evaluation of magnetic resonance imaging-
related heating and function at 1.5 and 3 tesla. Neuromodulation
10(1):76–77
Kotagal P (2011) Neurostimulation: vagus nerve stimulation and
beyond. Semin Pediatr Neurol 18(3):186–194
Langman DA, Goldberg IB, Finn JP, Ennis DB (2011) Pacemaker lead
tip heating in abandoned and pacemaker-attached leads at 1.5 tesla
MRI. J Magn Reson Imaging 33(2):426–431
Roebling R, Huch K, Kassubek J, Lerche H, Weber Y (2009) Cervical
spinal MRI in a patient with a vagus nerve stimulator (VNS).
Epilepsy Res 84(2–3):273–275
Shellock FG (2002) Magnetic resonance safety update. J Magn Reson
Imaging 16:485–496
Shellock FG (2008) Reference manual for magnetic resonance safety,
implants, and devices. Biomedical Research Group, Los Angeles
Shellock FG, Begnaud J, Inman DM (2006) Vagus nerve stimulation
therapy system: in vitro evaluation of magnetic resonance imaging-
related heating and function at 1.5 and 3 tesla. Neuromodulation
9(3):204–213
Zrinzo L, Yoshida F, Hariz MI, Thornton J, Foltynie T, Yousry TA,
Limousin P (2011) Clinical safety of brain magnetic resonance
imaging with implanted deep brain stimulation hardware: large
case series and review of the literature. World Neurosurg
76(1–2):164–172
88 H. Urbach and S. Flacke
Part II
Epileptogenic Lesions
Hippocampal Sclerosis
Horst Urbach
Contents
1 Terminology.......................................................................... 91
2 Epidemiology........................................................................ 91
3 Pathogenesis.......................................................................... 91
4 Clinical Presentation ........................................................... 92
5 Pathology .............................................................................. 92
6 Imaging ................................................................................. 92
7 Treatment ............................................................................. 94
References...................................................................................... 100
Abstract
Hippocampal sclerosis is by far the most common cause
of temporal lobe epilepsy. The familiar reader detects it on
MRI in more than 95% of cases but should be aware of
typical ‘‘pitfalls’’, namely bilateral hippocampal sclerosis,
‘‘dual pathology’’ and insufficient image Quality.
1 Terminology
Hippocampal sclerosis, Ammon’s horn sclerosis and mesial
temporal sclerosis are used synonymously.
2 Epidemiology
First histopathological description by the German psychia-
trist W. Sommer in 1880. By far the most common cause
of temporal lobe epilepsy (TLE) and found in 50–65% of
patients undergoing resective surgery.
3 Pathogenesis
Half of the patients undergoing surgery have experienced a
precipitating injury before the age of 4 years (complex
fever seizures, 70%; birth trauma, meningitis, head injury,
30% Blümcke et al. 2002). Mean age at the onset of
complex partial seizures is between 9 and 11 years, and
mean age at the time of epilepsy surgery around the age of
30 (Blümcke et al. 2002). The long latency between a
possible initial precipitating injury, the onset of epileptic
seizures, and epilepsy surgery renders assessment of the
pathogenesis of hippocampal sclerosis difficult.
Current concept is a genetically determined susceptibil-
ity and a precipitating injury induce temporo-mesial sei-
zures and hippocampal slerosis. A substantial argument
is the fact, that 1/3 of non-affected individuals in families
H. Urbach (&)
Department of Neuroradiology,
University Hospital Freiburg, Germany
e-mail: horst.urbach@uniklinik-freiburg.de
H. Urbach (ed.), MRI in Epilepsy, Medical Radiology. Diagnostic Imaging,
DOI: 10.1007/174_2011_524, Ó Springer-Verlag Berlin Heidelberg 2013
91
with familial TLE show hippocampal sclerosis on MRI
(Kobayashi et al. 2002).
If patients develop temporal lobe seizures or subacute
memory deficits after the age of 20, one has to think of
limbic encephalitis, which is mediated via antibodies and
found in up to 30% of patients in this age group (Soeder
et al. 2009).
4 Clinical Presentation
A typical mesial temporal lobe seizure starts with an epi-
gastric aura (definition of aura = initial part of a partial
seizure, that is remembered after the seizure has termi-
nated). The aura is followed by objective phenomena
like staring, restlessness, oroalimentary automatism, and
(ipsilateral) head deviation, which last from around 30
seconds to several minutes. In the postictal phase, gradual
reorientation occurs which may be accompanied by dys-
phasia and other sympoms.
5 Pathology
Hippocampal sclerosis is characterized by neuronal loss and
gliosis, most prominent in the CA1 field of the hippocam-
pus, followed by the hilus, CA3 field, and dentate granule
layer, while the CA2 field is relatively spared. These
alterations are accompanied by a dispersion of the dentate
granuale layer with ectopic neurons being found in the
molecular layer.
Extent of hippocampal sclerosis is graded according to
Wyler et al. (Table 1) or more recently according to Blümcke
et al. (Table 2) (Wyler et al. 1992; Blümcke et al. 2007). Note
that more than 90% of patients, who undergo selective am-
ygdalohippocampectomy with MRI suspected hippocampal
sclerosis have Wyler grade III and IV hippocampal sclerosis.
Both are easily recognized on perfectly angulated high res-
olution T2- and FLAIR images due to their atrophy and
increased signal intensity. In contrast, only a minority of
patients (3–5%) has atypical variants either confined to
the CA1 field or CA4 field (= end folium sclerosis). These
atypical variants do not show significant atrophy and may be
only detected due to a loss of the internal hippocampal
structure (Fig. 1). However, if a hippocampus is normal on
MRI an unrevealing histology is more likely.
6 Imaging
MRI correlate of hippocampal slerosis are atrophy and
increased signal intensity, which are best visualized on
coronal FLAIR and T2-weighted fast spin echo images
angulated perpendicularly to the hippocampal long axis.
Increased signal intensity T2-signal abnormalities appears
to correlate with gliosis and may not be directly related
to the degree of neuronal loss (Briellman et al. 2002).
On FLAIR sequences, contrast to noise ratio (C/N) is higher
Table 1 Neuropathological grading of hippocampal sclerosis [adapted from Wyler et al. (1992)]
Grade Classfication Neuropathological description MRI
Wyler I Mild mesial temporal
damage
Gliosis with slight (10%) or no hippocampal
neuronal dropout involving sectors CA1, CA3,
and/or CA4
Not visible
Wyler II Moderate mesial
temporal damage
Gliosis with moderate (10–50%) neuronal dropout
of CA1, CA3, and/or CA4. If Involvement limited
to CA3 and 4 = end folium sclerosis
Loss of internal structure on high
resolution T2-weighted images
Wyler III ‘‘Classical’’ ammon’s
horn sclerosis
Gliosis with [50% neuronal dropout of CA1, CA3,
and CA4, but sparing CA2
Atrophy and increased T2/FLAIR
signal
Wyler IV ‘‘Total’’ ammon’s
horn sclerosis
Gliosis with [50% neuronal dropout of all sectors Atrophy and increased T2/FLAIR
signal visible
Table 2 Neuropathological grading of hippocampal sclerosis [adapted from Blümcke et al. (2007)]
Grade Description Frequency (%) MRI
Blümcke MTS 1a Severe neuronal loss in CA1,
moderate neuronal loss in other subfields
23 Atrophy and increased T2/FLAIR signal
Blümcke MTS 1b Extensive neuronal loss in all subfields 68 Atrophy and increased T2/FLAIR signal
Blümcke MTS 2 Severe neuronal loss restricted to CA1 7 ?
Blümcke MTS 3 Severe neuronal loss restricted to hilar
region = end folium sclerosis
5 Loss of internal structure on high resolution
T2-weighted images
92 H. Urbach
amygdala
g.ambiens
collateral sulcus
tractus opticus
g.occipito-temp.lat.
g.temp.sup.
g.temp.med.
g.temp.inf.
commissura anterior
e.C
.
uncal notch
tractus opticus
corpus mamillare Digitationes hippocampi
C.g.l
plica petroclinoidea
columna fornicis
a
b
c
Fig. 1 Temporomesial MR anatomy on coronal 2 mm thick
T2-weighted images. a shows a slice at the level of the amygdala,
b at the level of the hippocampal head, and c at a level of the
hippocampal body. Note that slices are displayed with different
magnifications depending on the structures of interest
than on T2-weighted sequences, however, one has to be
aware that normal limbic structures already have a higher
FLAIR signal than the remaining cortex (Hirai et al. 2000).
T2-weighted sequences display the hippocampal substruc-
tures in more detail and are complementarily used to
diagnose hippocampal sclerosis. In order to assess atrophy
and signal intensity, side comparisons are helpful. An
accurate angulation avoiding tilting in the coronal plane is
fundamental (Fig. 2). However, 10–20% of patients have
bilateral hippocampal sclerosis (Margerison et al. 1966,
Malter et al. in press), which can be overlooked when side
comparison is the only criterion and no ‘‘engramm’’ of a
normally sized hippocampus exists. T2 volumetry or T2
relaxometry can be helpful in these cases.
Hippocampal sclerosis is usually diagnosed on coronal
slices through the hippocampal head, which displays the
highest relative volume of hippocampal tissue on a slice.
The neuropathological diagnosis relies on slices through
the hippocampal body allowing to assess the single CA
subfields (Fig. 3).
More subtle hippocampal sclerosis signs are a loss of the
internal structure and loss of hippocampal head digitations
(Oppenheim etal. 1998; Howeetal. 2011), which are both best
appreciated on high resolution T2-weighted images (Fig. 4).
Dilatation of the temporal horn is common, but occurs also
in healthy persons as variant and even contralateral to the
sclerotic hippocampus as falsely lateralizing finding (Wieser
and ILAE Commission on Neurosurgery of Epilepsy 2004).
Hippocampal sclerosis with atrophy but without
increased signal intensity has been described in 5% of
patients. However, it is likely due to poor image quality not
suited to visualize increased signal intensity.
Hippocampal sclerosis as incidental finding is extremly
rare. There may be signal increase in healthy patients,
however, signal increase and atrophy together almost never
occur (Labate et al. 2010; Menzler et al. 2010).
MRI scans of older patients, however, often show some
degree of atrophy including loss of digitations of the hip-
pocampal head and increased signal intensity (on FLAIR)
images. The histopathological substrate typically remains
unclear, it may be related to normal ageing or Alzheimer’s
disease or so-called pure hippocampal sclerosis which
occurs in around 10% of individuals older than 85 years and
which is often misdiagnosed as Alzheimer’s disease
(Dickson et al. 1994; Ala et al. 2000; Nelson et al. 2011).
Secondary findings: Apart from hippocampal sclerosis
the following structures of the limbic system can be
atrophic: amygdala, entorhinal cortex, ipsilateral mamillary
body, ipsilateral fornix, posterior thalamus (with increased
signal), cingulate gyrus, contralateral cerebellum (Chan
et al. 1997; Urbach et al. 2005) There is more often a
temporal lobe or even hemispheric atrophy with atrophy
pronounced in the anterior temporal lobe. The anterior
temporal lobe shows reduced white matter volume and
white matter signal is increased as compared to the opposite
side or remaining white matter. Findings may be subtle and
obscured or falsely highlighted by B1 field inhomogeneities
Hippocampal Sclerosis 93
and narrow ‘‘windowing’’. There is usually an a.p. gradient
with a higher white matter signal in the temporal pole that
gradually diminishs and is already absent if slices through
the amygdala or hippocampal head are inspected. Since
white matter has a higher signal, contrast to gray matter is
reduced and the term ‘‘gray white matter demarcation loss’’
has been designated to describe this condition.
The histopathological substrate of ‘‘gray white matter
demarcation loss’’ is not clear. Some describe a higher
amount of ectopic neurons within the white matter, how-
ever, a higher amount of white matter neurons in the
anterior temporal lobe is also physiologic. Some consider
‘‘gray white matter demarcation loss’’ as mild maforma-
tion of cortical development (Palmini et al. 2004; Blümcke
et al. 2011), others as focal cortical dysplasias (FCD) type
I (Fauser et Schulze-Bonhage 2006), and others as
maturation disorder, in which the process of cerebral
myelination is disturbed due to an early precipitating
injury (Mitchell et al. 2003; Schijns et al. 2011). Recent
work investigating the pathological substrate of gray-white
matter demarcation loss with 7 Tesla MRI revealed dish-
omogeneous myelin staining of the white matter, reduction
in the number of axons and presence of axonal degen-
eration (Garbelli et al. 2012). A hint for a maturation
disorder are early precipitating injuries and early seizure
onset (often before the age of two) of patients with a
‘‘gray white matter demarcation loss’’ as compared to
those who do not have these changes (Mitchell et al. 2003;
Schijns et al. 2011). (Figs. 5, 6).
In around 10% of patients hippocampal sclerosis is asso-
ciated with another extrahippocampal epileptogenic lesion
(Fig. 7). This is called dual pathology and associated with a
poorer prognosis regarding postsurgical seizure outcome.
Most common dual lesions are cortical dysplasias and gliotic
lesions acquired in early childhood. Note that in the initial
description 30% of patients had dual lesions (Levesque
1991). This high number is explained by the fact that 10% of
patients in this series had gliomas and temporal lobe seizures.
They underwent hippocamopectomy and showed only mild
hippocampal cell loss on histopathology. Some authors
consider ‘‘gray white matter demarcation loss’’ of the anterior
temporal pole as type I dysplasia and thus a dual lesion
(Fauser et Schulze-Bonhage 2006). In order to have a strict
definition of dual pathology, the ILAE proposed the follow-
ing definition: Dual Pathology refers only to patients with
hippocampal sclerosis, who have a second principal lesion
affecting the brain (which may be located also outside the
ipsilateral temporal lobe), that is, tumor, vascular malfor-
mation, glial scar, limbic/Rasmussen encephalitis, or MCD
(including FCD Type IIa/IIb). Ipsilateral temporopolar atro-
phy with increased T2 signal changes on MRI is not included
as its histopathologic correlate has yet to be specified. Hist-
opathologically confirmed architectural abnormalities in the
temporal lobe associated with hippocampal sclerosis should
not be diagnosed as FCD Type I or ‘‘Dual Pathology’’ but
FCD Type IIIa (Blümcke et al. 2011).
PET: positron emission tomography (PET) has become
part of the presurgical evaluation in many epilepsy centers.
The central finding is that the temporal lobe is hypomet-
abolic for uptake of glucose on the side of the seizure
focus during the interictal period. The region of hypome-
tabolism can be both medial and lateral, and commonly
exceeds the size of tissue that needs to be removed for
cure of seizures.
Fig. 2 Left-sided hippocampal sclerosis (a, b: coronal 3 mm thick
FLAIR, c–e: coronal 2 mm thick T2-weighted fast spin echo images)
indicated by increased signal intensity and atrophy of the left
hippocampus. These findings are best appreciated on slices through
the hippocampal head (a, c, e: arrow) since they contain the highest
amount of hippocampal tissue per slice. In contrast, neuropathological
diagnosis is based on slices through the hippocampal body (b, d, f),
which allow a better anatomical orientation with respect to the CA
subfiels. In order to allow side comparisons tilting in the coronal plane
must be avoided. Exact angulation is proven by displaying small pairy
structures (e.g. columnae fornicis (e: hollow arrow); semicircular
canals) on one slice.
94 H. Urbach
Fig. 3 Bilateral hippocampal sclerosis indicated by bilateral atrophy
and increased signal intensity on FLAIR (a) and T2-weighted
(b, c) fast spin echo images through the hippocampal heads (a, b)
and bodies (c). If one has no engramm of a normal hipppocampus, T2
relaxometry (d) is helpful which revealed T2 relaxation times (e: ROI
placements) with a mean of 132 ms in both hippocampi
Hippocampal Sclerosis 95
Fig. 4 A 21 year old man with complex partial seizures since the
age of 18 underwent left-side selective amgydalohippocampectomy.
On MRI, the left hippocampus is of normal size (a–c: 2 mm thick
T2-weighted fast spin echo images, d, e: 3 mm thick FLAIR fast spin
echo images). If there is an abnormality at all, hippocampal head
substructures (digitationes hippocampi, CA fields) are better to
delineate on the right (c) than on the left side
7 Treatment
Selective amygdalohippocampectomy (removal of amygdala,
hippocampus and part of the parahippocampal gyrus) and
anterior temporal lobectomy (additional removal of the
anterior 4.5 cm on the left and 5.5 cm on the right side) are
the most appropriate treatments and lead to seizure freeness
(Engel-class I) in 75% of patients. Another 12% benefit
with a distinct reduction of seizure frequency (Engel class
II). With antiepileptic drugs only 8% of patients get seizure
free (Engel et al. 1993; Wiebe et al. 2001). Note that
96 H. Urbach
Fig. 5 Left-sided hippocampal sclerosis (b, d: hollow arrow) and ‘‘gray white matter demarcation loss’’ of the anterior temporal lobe
(a, c: arrow) in a 32 year old man with varicella zoster virus infection as infant and complex partial seizures since this time
Hippocampal Sclerosis 97
seizure freeness is even reached, if only the anterior parts
of the hippocampus and adjacent structures are removed.
Bilateral hippocampal sclerosis (20% of patients) was
for a long time considered a knock-out-criterion for epi-
lepsy surgery, since memory capacity of the non-resected
hippocampus and chance for seizure freedom were consid-
ered low. However, individual patients can be operated
successfully: If intrahippocampal depth electrodes show
seizure origin in one hippocampus and event-related poten-
tials sufficient memory capacity of the contralateral
Fig. 6 Right-sided hippocampal sclerosis (b, d: hollow arrow) with slight atrophy of the anterior tempopral lobe but without ‘‘gray white matter
demarcation loss’’(a, c) in a 30 year old man without precipitating injury and complex partial seizures since the age of 5
98 H. Urbach
Fig. 7 16 year old male with
complex focal seizures and
left sided hippocampal sclerosis
(b, c: hollow arrowl) and ‘‘gray
white matter demarcation loss’’
of the anterior temporal lobe
(a: arrow) as well as a dysplasia
in the right precentral gyrus
(d–f: arrow). The ‘‘gray white
matter demarcation loss’’ is
rather a maturation disorder
of the anterior temporal lobe
which myelinates latest. It is
often seen in patients who have
a precipitating injury and start
to have temporal lobe seizures
within the first two years of life.
The dysplasia in the right
precentral gyrus is a ‘‘dual
pathology’’ strictu sensu
Hippocampal Sclerosis 99
hippocampus, selective amygdalohippocampetcomy leads to
seizure freedom without significant memory impairment in
the more than 70% of patients.
References
Ala TA, Beh GO, Frey WH 2nd (2000) Pure hippocampal sclerosis: a
rare cause of dementia mimicking Alzheimer’s disease. Neurology
54:843–848
Briellman RS, Kalnins RM, Berkovic SF, Jackson GD (2002)
Hippocampal pathology in refractory temporal lobe epilepsy:
T2-weighted signal change reflect dentate gliosis. Neurology 58:
265–271
Blümcke I, Thom M, Wiestler OD (2002) Ammon’s horn sclerosis: a
maldevelopmental disorder associated with temporal lobe epilepsy.
Brain Pathol 12:199–211
Blümcke I, Pauli E, Clusmann H, Schramm J, Becker A, Elger C,
Merschhemke M, Meencke HJ, Lehmann T, von Deimling A,
Scheiwe C, Zentner J, Volk B, Romstöck J, Stefan H,
Hildebrandt M (2007) A new clinico-pathological classification
system for mesial temporal sclerosis. Acta Neuropathol 113(3):
235–244
Blümcke I, Thom M, Aronica E, Armstrong DD, Vinters HV,
Palmini A, Jacques TS, Avanzini G, Barkovich AJ, Battaglia G,
Becker A, Cepeda C, Cendes F, Colombo N, Crino P, Cross JH,
Delalande O, Dubeau F, Duncan J, Guerrini R, Kahane P,
Mathern G, Najm I, Ozkara C, Raybaud C, Represa A,
Roper SN, Salamon N, Schulze-Bonhage A, Tassi L, Vezzani A,
Spreafico R (2011) The clinicopathologic spectrum of focal cortical
dysplasias: a consensus classification proposed by an ad hoc Task
Force of the ILAE Diagnostic Methods Commission. Epilepsia
52:158–174
Chan S, Erickson J, Yoon S (1997) Limbic system abnormalities
associated with mesial temporal sclerosis: a model of chronic
cerebral changes due to seizures. RadioGraphics 17:1095–1110
Dickson DW, Davies P, Bevona C, et al (1994) Hippocampal sclerosis:
a common pathological feature of dementia in very old ([or = 80
years of age) humans. Acta Neuropathol (Berl) 88:212–221
Engel J Jr, Van Ness PC, Rasmussen TB, Ojemann LM (1993) Outcome
with respect to epileptic seizures. In: Engel J Jr (ed) Surgical
treatment of the epilepsies. Raven Press, New York, pp 609–621
Fauser S, Huppertz HJ, Bast T, Strobl K, Pantazis G, Altenmueller
DM, Feil B, Rona S, Kurth C, Rating D, Korinthenberg R,
Steinhoff BJ, Volk B, Schulze-Bonhage A (2006) Clinical char-
acteristics in focal cortical dysplasia: a retrospective evaluation in a
series of 120 patients. Brain 129:1907–1916
Garbelli R, Milesi G, Medici V, Villani F, Didato G, Deleo F,
D’Incerti L, Morbin M, Mazzoleni G, Giovagnoli AR, Parente A,
Zucca I, Mastropietro A, Spreafico R (2012) Blurring in patients
with temporal lobe epilepsy: clinical, high-field imaging and ultra
structural study. Brain 135(Pt 8):2337–2349
Hirai T, Korogi Y, Yoshizumi Y, Shigematsu Y, Sugahara T,
Takahashi M (2000) Limbic lobe of the human brain: evaluation
with turbo fluid-attenuated inversion-recovery MR imaging.
Radiology 215:470–475
Howe KL, Dimitri D, Heyn C, Kiehl TR, Mikulis D, Valiante T.
Histologically confirmed hippocampal structural features revealed
by 3T MR imaging: potential to increase diagnostic specificity of
mesial temporal sclerosis. AJNR Am J Neuroradiol 2010 Jun 10
Kobayashi E, Li LM, Lopes-Cendes I, Cendes F (2002) Magnetic
resonance imaging evidence of hippocampal sclerosis in asymp-
tomatic, first-degree relatives of patients with familial mesial
temporal lobe epilepsy. Arch Neurol 59(12):1891–1894
Labate A, Gambardella A, Aguglia U, Condino F, Ventura P, Lanza P,
Quattrone A (2010) Temporal lobe abnormalities on brain MRI in
healthy volunteers a prospective case-control study. Neurology 74:1
Levesque MF, Naksato N, Vinters HV et al (1991) Surgical treatment
of limbic encephalitis associated with extrahippocampal lesions:
the problem of dual pathology. J Neurosurg 75:364–370
Malter MP, Tschampa HJ, Helmstaedter C, Urbach H, von Lehe M,
Becker A, Clusmann H, Elger CE, Bien CG (2011) Seizure and
memory outcome after epilepsy surgery in patients with bilateral
ammon’s horn sclerosis. Ann Neurol (in press)
Margerison JH, Corsellis JAN (1966) Epilepsy and the temporal lobes:
a clinical, electroencephalographic and neuropathological study of
the brain in epilepsy, with particular reference to the temporal
lobes. Brain 89:499–530
Menzler K, Iwinska-Zelder J, Shiratori K, Jaeger RK, Oertel WH,
Hamer HM, Rosenow F, Knake S (2010) Evaluation of MRI
criteria (1.5 T) for the diagnosis of hippocampal sclerosis in
healthy subjects. Epilepsy Res 89:349–354
Mitchell LA, Harvey AS, Coleman LT, Mandelstam SA, Jackson GD
(2003) Anterior temporal changes on MR images of children with
hippocampal sclerosis: an effect of seizures on the immature brain?
Am J Neuroradiol 24:1670–1677
Nelson PT, Schmitt FA, Lin Y, Abner EL, Jicha GA, Patel E,
Thomason PC, Neltner JH, Smith CD, Santacruz KS, Sonnen JA,
Poon LW, Gearing M, Green RC, Woodard JL, Van Eldik LJ,
Kryscio RJ (2011) Hippocampal sclerosis in advanced age: clinical
and pathological features. Brain 134(Pt 5):1506–1518
Oppenheim C, Dormont D, Biondi A et al (1998) Loss of digitations of
the hippocampal head on high-resolution fast spin-echo MR: a sign
of mesial temporal sclerosis. AJNR Am J Neuroradiol 19:457–463
Palmini A, Najm I, Avanzini G, Babb T, Guerrini R, Foldvary-
Schaefer N, Jackson G, Lüders HO, Prayson R, Spreafico R,
Vinters HV (2004) Terminology and classification of the cortical
dysplasias. Neurology 62(6 Suppl 3):S2-8. Review
Schijns OE, Bien CG, Majores M, von Lehe M, Urbach H, Becker AJ,
Schramm J, Elger CE, Clusmann H (2011) Temporal gray-white-
matter abnormalities are not part of the epileptogenic zone in
temporal lobe epilepsy with hippocampal sclerosis. Neurosurgery
68:98–106
Soeder BM, Gleissner U, Urbach H, Clusmann H, Vincent A, Bien CG
(2009) Causes, presentation and outcome of lesional adult-onset
mediotemporal lobe epilepsy. J Neurol Neurosurg Psychiatry 80:
894–899
Urbach H, Siebenhaar G, Koenig R, von Oertzen J, Scorzin J,
Kurthen M, Schild HH (2005) Limbic system abnormalities asso-
ciated with Ammon’s horn sclerosis do not alter seizure outcome
after amygdalohippocampectomy. Epilepsia 46(4):549–555
Wiebe S, Blume WT, Girvin JP, Eliasziw M (2001) A randomized,
controlled trial of surgery for temporal lobe epilepsy. New Engl J
Med 38:154–163
Wieser HG, ILAE Commission on Neurosurgery of Epilepsy (2004)
ILAE commission report: mesial temporal lobe epilepsy with
hippocampal sclerosis. Epilepsia 45:695–714
Wyler AR, Dohan FC, Schweitzer JB, Berry AD (1992) A grading
system for mesial temporal pathology (hippocampal sclerosis) from
anterior temporal lobectomy. J Epilepsy 5:220–225
100 H. Urbach
Limbic Encephalitis
Horst Urbach and Christian G. Bien
Contents
1 Definition............................................................................... 101
2 Pathogenesis and Classification.......................................... 101
2.1 Antibodies ............................................................................. 103
3 Clinical Presentation ........................................................... 104
4 Imaging ................................................................................. 104
References...................................................................................... 108
Abstract
Limbic encephalitis refers to an autoimmune-mediated
encephalitis with preferential involvement of temporom-
esial structures. Amygdala and hippocampus may be
initially asymmetrically swollen and bilateral hippocam-
pal sclerosis occurs in its further course. At least one
third of patients [ 20 years of age with the typical
clinical syndrome and temporomesial MRI changes
suffer from limbic encephalitis.
1 Definition
Limbic encephalitis is a cliniconeuropathological/radiolog-
ical syndrome, initially described by Brierley et al. (1960)
and Corsellis et al. (1968), respectively. The clinical char-
acteristics are subacutely (over days to 12 weeks) evolving
memory deficits, temporal lobe seizures, confusion, and
other psychiatric symptoms. Neuropathological character-
istics are infiltrates consisting of T lymphocytes and
microglia activation.
2 Pathogenesis and Classification
The clinicopathological/radiological diagnosis of limbic
encephalitis needs refining because it is not a uniform
entity. The key to a refined categorization of limbic
encephalitis cases is antineuronal antibodies found in serum
and CSF of affected patients. So, the usual diagnostic
workflow is as follows. The identification of typical clinical
symptoms and the MRI features of mediotemporal
encephalitis antibody triggers antibody diagnostics (plus a
tumor search). The results of these additional diagnostic
efforts finally enable a working diagnosis to be made and a
prognosis to be given as described in the following.
H. Urbach (&)
Department of Neuroradiology,
University Hospital Freiburg, Germany
e-mail: horst.urbach@uniklinik-freiburg.de
C. G. Bien
Epilepsy Centre Bethel, Bielefeld, Germany
H. Urbach (ed.), MRI in Epilepsy, Medical Radiology. Diagnostic Imaging,
DOI: 10.1007/174_2012_572, Ó Springer-Verlag Berlin Heidelberg 2013
101
Fig. 1 Three female patients
with N-methyl-D-asparate
receptor antibody associated
limbic encephalitis and different
MRI findings. a, b A 7-year-old
girl with volume increase of
uncus and amygdala on the left
(arrow). c, d A 43-year-old
woman with signal increase of
the CA1 segment of the right
hippocampus (arrow). e, f A
25-year-old woman with signal
increase of the right pulvinar
thalami, the right temporobasal
cortex, and the right cerebellar
folia (arrows). Signal increase
of the pulvinar thalami is likely
due to frequent seizures
102 H. Urbach and C. G. Bien
2.1 Antibodies
1. Antibodies against intracellular antigens:
– Onconeural antibodies (Hu, CV2, Ma2, amphiphysin)
(Gultekin et al. 2000; Graus et al. 2004)
– Antibodies against the enzyme glutamic acid decar-
boxylase (GAD) (Malter et al. 2010).
2. Antibodies against antigens on the surface of neurons:
– Proteins associated with voltage-gated potassium
channels [VGKC; the VGKC complex comprising
the antigenic targets leucine-rich glioma inactivated
protein 1, contactin-2 associated protein (CASPR2)
and other, still undefined targets) (Vincent et al. 2004;
Irani et al. 2010; Lai et al. 2010; Lancaster et al. 2011)
– N-Methyl-D-asparate receptor (NMDAR). Most patients
with NMDAR antibodies have a severe diffuse enceph-
alopathy termed anti-NMDAR encephalitis, not a limbic
syndrome, which has been described in one case
(Dalmau et al. 2007, 2008; Novillo-López et al. 2008)
– c-Aminobutyic acid receptor type B (GABABR)
(Lancaster et al. 2010)
– a-Amino-3-hydroxy-5-methyl-4-isoxazolpropionic
acid receptor (AMPAR) (Lai et al. 2009).
The antibody specificity predicts the likelihood of having
a neoplasm as the origin of the neurological disease, i.e., a
paraneoplastic syndrome. It is more than 90% in the case of
onconeural antibodies, and 50% or greater in patients with
antibodies against NMDAR (usually ovarian teratomas in
young females), against the GABABR, or against AMPAR
(in the latter two, small-cell lung cancer is frequent).
Patients with VGKC-complex antibodies seem to have
tumors almost exclusively if the antibodies react with
CASPR2; thymomas are neoplasms found most often
(Vincent and Irani 2010).
Fig. 2 Limbic encephalitis associated with voltage-gated potassium
channel (VKKC) antibodies in a 53-year-old woman. Whereas the
right hippocampal head and amygdala are hyperintense and swollen
(a, b, d, arrow), the left side of the hippocampus is already sclerotic
(c, e, hollow arrow). Follow-up MRI after 1 year shows the beginning
atrophy also on the right side (f)
Limbic Encephalitis 103
Forty percent of patients with limbic encephalitis and a
related tumor may be antibody-negative, so antibody neg-
ativity excludes neither a tumor nor the possibility of a
limbic encephalitis. Antibody-negative patients without
tumors therefore are a special challenge because diagnostic
and therapeutic decisions need to be made without the
chance to refer to published experience (relevant limbic
encephalitis series have—understandably—only been pub-
lished in cohorts with definite antibody reactivities).
Apart from their tumor-predictive value, antibodies
predict the treatment response to immunotherapies in non-
paraneoplastic patients (who account for most of all limbic
encephalitis cases). In general, the outcome of patients with
antibodies against surface antigens is more favorable than
that of patients with antibodies against intracellular
antigens.
With increasing data on the presentation and the course
of antibody-defined patients with limbic encephalitis, subtle
peculiarities even regarding the MRI appearance of the
mediotemporal changes may emerge. However, at this
point, every patient with the clinicoradiological features of
limbic encephalitis should undergo complete antibody
testing for the reactivities listed above.
3 Clinical Presentation
The neurological syndrome as described above is the key
element of the syndrome limbic encephalitis; however, the
limbic encephalitis subtypes may show some clinical
pecuilarities.
Patients with limbic encephalitis associated with VGKC
antibodies typically improve with cortisone therapy (Soeder
et al. 2005).
Patients with limbic encephalitis associated with anti-
bodies against GAD are mostly woman with temporal lobe
seizures and psychiatric abnormalities (Malter et al. 2010).
Patients may show oligoclonal bands in CSF and do not
respond well to cortisone therapy. Patients with GAD65
antibodies may suffer from type 1 diabetes mellitus, epi-
lepsy with grand mal seizures, stiff person syndrome, and/or
ataxia.
Patients with NMDAR antibodies (Fig. 1) have a severe
diffuse encephalopathy termed anti-NMDAR encephalitis
rather than a limbic syndrome. It typically occurs in young
women (male-to-female ratio 1:9) who show dyskinesias,
reduced consciousness, hypoventilation, cardiac conduction
abnormalities, psychiatric abnormalities (agitation, confu-
sion, depression, hallucinations, pathologic laughing), and
neurologic deficits (aphasia, visual disturbances, hemipa-
resis and others). Around half of the patients have tumors,
typically ovarian teratomas. Three of four patients improve
under therapy, and one of four patients survives with severe
deficits or dies.
4 Imaging
Limbic encephalitis typically starts as an acute disease
with unilateral or bilateral swollen temporomesial struc-
tures that are hyperintense on fluid-attenuated inversion
recovery (FLAIR) and T2-weighted sequences (Urbach
Fig. 3 Limbic encephalitis associated with VGKC antibodies in a 69-
year-old man. Both amygdalae and hippocampal heads are somewhat
prominent and hyperintense (c, arrow). In addition, reduced gray white
mattercontrastduetoanincreasedsignalofthesupratentorialwhitematter
(a, b, hollow arrows) is obvious. This MRI pattern is found in around 15%
of patients with limbic encephalitis associated with VGKC antibodies
104 H. Urbach and C. G. Bien
et al. 2006b). In many patients, the amygdalae are par-
ticularly swollen and hyperintense. When only one side is
swollen, the contralateral amygdala and hippocampus may
be normal or even atrophic (Fig. 2). Swelling and hyper-
intensity may persist over months to years, but in most
cases hyperintensity persists and progressive temporome-
sial atrophy develops. Although inconstant, significant
atrophy is visible approximately 1 year after onset of
disease. It is unclear whether swelling and hyperintensity
are related to the disease itself or are simply the result of
frequent (subclinical) temporal lobe seizures (Urbach et al.
2006a).
Around one third of patients with clinical features of
limbic encephalitis and specific antibodies has normal
findings on MRI scans (Gultekin et al. 2000; Irani et al.
2010; Lancaster et al. 2010). Thus, temporomesial signal
abnormalities and volume changes are not a necessary
condition for the diagnosis of limbic encephalitis.
With respect to the limbic encephalitis subtypes, around
15% of patients with VGKC antibodies show increased signal
intensity of the supratentorial white matter (Fig. 3). In para-
neoplastic limbic encephalitis and in limbic encephalitis
associated with GAD antibodies, extratemporal abnormali-
ties are frequent often than in other subtypes (Fig. 4).
Fig. 4 Two female patients with limbic encephalitis associated with
GAD antibodies. Notice the typical course with initial hippocampal
swelling (a, arrow) evolving into hippocampal sclerosis (c, arrow).
Extratemporal, often symmetric signal abnormalities like in these
examples in the external capsule (b, hollow arrows), the thalami
(e, hollow arrows), or the depth of the parietal sulci (f, hollow arrows)
are common in this limbic encephalitis subtype
Limbic Encephalitis 105
Differential diagnoses include diffusely infiltrating
astrocytoma, ‘‘unclear’’ amygdala lesions, status epilepticus,
infectious encephalitis including herpes simplex encephalitis
type 1, and—in immunocompromised patients—human
herpes virus 6 encephalitis (Bower et al. 2003; Baskin and
Hedlund 2007; Soeder et al. 2009), lymphomatous infiltra-
tion, steroid-responsive encephalopathy associated with
autoimmune thyroiditis, amygdala lesions associated with
neurofibromatosis type 1 (Gill et al. 2006), limbic encepha-
litis associated with systemic lupus erythematosus (Stübgen
1998; Kano et al. 2009), Rasmussen encephalitis, and other
diagnoses.
Diffusely infiltrating astrocytomas usually involve the
limbic system in a more widespread, often multifocal
fashion (Fig. 5).
‘‘Unclear’’ amygdala lesions refer to a unilaterally
enlarged amygdala with homogenously increased signal on
FLAIR and T2 MRI sequences. Compared with limbic
encephalitis patients, the patients are older at epilepsy onset
(mean age more than 50 years), and histopathology is
typically unrevealing (Fig. 5) (Bower et al. 2003; Soeder
et al. 2009). Steroid-responsive encephalopathy associated
with autoimmune thyroiditis (SREAT) is a neurologic
complication of autoimmune thyroiditis which is, however,
Fig. 5 Imaging differential diagnoses of limbic encephalitis: some
astrocytomas tend to infiltrate within the limbic system. Cingulate
gyrus (a, b, arrow) and corpus callosum (a, hollow arrow) infiltration
favor a glioma. Bilateral, somewhat asymmetric amygdala lesions can
be associated with neurofibromatosis type 1 (c, arrow). Systemic lupus
erythematosus may mimic limbic encephalitis not only clinically. MRI
may show subtle volume and signal changes that are often detectable
only by side comparisons (d, e, arrow). If the amygdala and
hippocampus are enlarged in older patients presenting with temporal
lobe seizures, memory deficits, and/ or depression, limbic encephalitis
can often not be proven, and histology is unrevealing. These lesions
(f, arrow) are considered unclear
106 H. Urbach and C. G. Bien
independent of the thyroid status. Patients present with
encephalopathy, seizures (66%), myoclonus (38%), psychi-
atric (36%), and stroke-like symptoms (27%) (Chong et al.
2003; Castillo et al. 2006). The key elements are elevated
anti-thyroid (microsomal and/or thyroperoxidase) antibodies
and a response to corticosteroid therapy (Castillo et al. 2006).
Imaging abnormalities have been reported in 25–50% of
cases and consisted mostly of focal or diffuse non-enhancing
white matter abnormalities, which normalized or regressed
on corticosteroid therapy. A patient with dural enhancement
has also been reported (Mahad et al. 2005; Castillo et al.
2006). However, there is no characteristic MRI and whether
formerly called Hashimoto encephalopathy truly exists is
still a matter of debate (Chong et al. 2003).
In 80% of children and an unknown proportion of older
patients with neurofibromatosis type 1, coronal FLAIR and
T2-weighted fast spin echo images show both hippocampi
with higher volume and signal intensity than in healthy
controls. There may be some asymmetry and involvement
of the amygdala and parahippocampal gyrus as well (Gill
et al. 2006).
Systemic lupus erythematosus may mimic limbic
encephalitis clinically, and in some cases MRI shows a
subtle volume and signal intensity increase of the amygdala
and hippocampus, which may only be detectable by side
comparisons (Stübgen 1998) (Fig. 5).
Around 50% of Ramussen encephalitis cases have tempo-
romesial signal changes. Ramussen encephalitis is typically a
unihemispheric disease clinically characterized by intractable
focal seizures, namely, epilepsia partialis continua, and
progressive deterioration of functions within the affected
hemisphere. If Rasmussen encephalitis rarely starts with tem-
poromesial seizures, caudate head and cerebral atrophy may
guide the MRI reader to the correct diagnosis (Fig. 6).
Fig. 6 Rasmussen encephalitis mimicking limbic encephalitis. A 6-
year-old boy presented with frequent simple partial seizures with
oroalimentary automatisms pinpointing the mesial temporal lobe. MRI
showed right-sided hippocampal swelling and T2/ fluid-attenuated
inversion recovery hyperintensity (a, c, d, arrow). At this time, the
right caudate head is already atrophic and discretely hyperintense
(b–d, hollow arrow). The patient underwent amygdalohippocampectomy,
and histology revealed inflammation with cytotoxic T lymphocytes and
glial fibrillary acidic protein (GFAP)-positive astrocytes. Two year later,
thepatientdevelopedepilepsiapartialiscontinuawithcontinuousjerkingof
theleftarm.Follow-upMRIafter2 yearsrevealedright-sidedhemiatrophy
(f, hollow arrow) which was not obvious before (e, hollow arrow)
Limbic Encephalitis 107
References
Baskin HJ, Hedlund G (2007) Neuroimaging of herpesvirus infections
in children. Pediatr Radiol 37:949–963
Bower SP, Vogrin SJ, Morris K et al (2003) Amygdala volumetry in
‘‘imaging-negative’’ temporal lobe epilepsy. J Neurol Neurosurg
Psychiatry 74:1245–1249
Brierley JB, Corsellis JA, Hierons R, Nevin S (1960) Subacute
encephalitis of later adult life, mainly affecting the limbic areas.
Brain 83:357–368
Castillo P, Woodruff B, Caselli R, Vernino S, Lucchinetti C, Swanson J,
Noseworthy J, Aksamit A, Carter J, Sirven J, Hunder G,
Fatourechi V, Mokri B, Drubach D, Pittock S, Lennon V, Boeve B
(2006) Steroid-responsive encephalopathy associated with autoim-
mune thyroiditis. Arch Neurol 63:197
Chong JY, Rowland LP, Utiger RD (2003) Hashimoto encephalopa-
thy: syndrome or myth? Arch Neurol 60(2):164–171
Corsellis JA, Goldberg GJ, Norton AR (1968) ‘‘Limbic encephalitis’’
and its association with carcinoma. Brain 91:481
Dalmau J, Tüzün E, Wu HY, Masjuan J, Rossi JE, Voloschin A,
Baehring JM, Shimazaki H, Koide R, King D, Mason W,
Sansing LH, Dichter MA, Rosenfeld MR, Lynch DR (2007)
Paraneoplastic anti-N-methyl-D-aspartate receptor encephalitis
associated with ovarian teratoma. Ann Neurol 61:25–36
Dalmau J, Gleichman AJ, Hughes EG, Rossi JE, Peng X, Lai M,
Dessain SK, Rosenfeld MR, Balice-Gordon R, Lynch DR
(2008) Anti-NMDA-receptor encephalitis: case series and
analysis of the effects of antibodies. Lancet Neurol 7(12):
1091–1098
Gill DS et al (2006) Age-related findings on MRI in neurofibromatosis
type 1. Pediatr Radiol 36:1048–1056
Graus F, Delattre JY, Antoine JC, Dalmau J, Giometto B, Grisold W
et al (2004) Recommended diagnostic criteria for paraneoplastic
neurological syndromes. J Neurol Neurosurg Psychiatry 75:
1135–1140
Gultekin SH, Rosenfeld MR, Voltz R, Eichen J, Posner JB, Dalmau J
(2000) Paraneoplastic limbic encephalitis: neurological symptoms,
immunological findings and tumour association in 50 patients.
Brain 123:1481–1494
Irani SR, Alexander S, Waters P, Kleopa KA, Pettingill P, Zuliani L
et al (2010) Antibodies to Kv1 potassium channel-complex
proteins leucine-rich, glioma inactivated 1 protein and contactin-
associated protein-2 in limbic encephalitis morvan’s syndrome and
acquired neuromyotonia. Brain 133:2734–2748
Kano O, Arasaki K, Ikeda K, Aoyagi J, Shiraishi H, Motomura M,
Iwasaki Y (2009) Limbic encephalitis associated with systemic
lupus erythematosus. Lupus 18(14):1316–1319
Lancaster E, Lai M, Peng X, Hughes E, Constantinescu R, Raizer J
et al (2010) Antibodies to the GABA(B) receptor in limbic
encephalitis with seizures: case series and characterisation of the
antigen. Lancet Neurol 9:67–76
Lancaster E, Huijbers MG, Bar V, Boronat A, Wong A, Martinez-
Hernandez E et al (2011) Investigations of caspr2, an autoantigen of
encephalitis and neuromyotonia. Ann Neurol 69:303–311
Lai M, Hughes EG, Peng X, Zhou L, Gleichman AJ, Shu H et al
(2009) AMPA receptor antibodies in limbic encephalitis alter
synaptic receptor location. Ann Neurol 65:424–434
Lai M, Huijbers MG, Lancaster E, Graus F, Bataller L, Balice-Gordon R
et al (2010) Investigation of LGI1 as the antigen in limbic
encephalitis previously attributed to potassium channels: a case
series. Lancet Neurol 9:776–785
Mahad DJ, Staugaitis S, Ruggieri P, Parisi J, Kleinschmidt-Demasters BK,
Lassmann H, Ransohoff RM (2005) Steroid-responsive encephalop-
athy associated with autoimmune thyroiditis and primary CNS
demyelination. J Neurol Sci 228(1):3–5
Malter M et al (2010) Antibodies to glutamic acid decarboxylase
define a form of limbic encephalitis. Ann Neurol 67:470–478
Novillo-López ME, Rossi JE, Dalmau J, Masjuan J (2008) Treatment-
responsive subacute limbic encephalitis and NMDA receptor
antibodies in a man. Neurology 70:728–729
Soeder BM, Urbach H, Elger CE, Bien CG, Beyenburg S (2005)
VGKC antibodies associated with limbic encephalitis. Nervenarzt
76(6):760–762
Soeder BM, Gleissner U, Urbach H, Clusmann H, Elger CE,
Vincent A et al (2009) Causes, presentation and outcome of
lesional adult-onset mediotemporal lobe epilepsy. J Neurol Neu-
rosurg Psychiatry 80:888–893
Stübgen JP (1998) Nervous system lupus mimics limbic encephalitis.
Lupus 7(8):557–560
Urbach H, Sassen R, Soeder BM, Flacke S, Becker A, Bien CG
(2006a) Serial MRI in patients with acquired hippocampal
sclerosis. Clin Neuroradiol 16:47–52
Urbach H, Soeder BM, Jeub M, Klockgether T, Meyer B, Bien CG (2006b)
Serial MRI of limbic encephalitis. Neuroradiology 48:380–386
Vincent A, Irani SR (2010) Caspr2 antibodies in patients with
thymomas. J Thorac Oncol 5:S277–S280
Vincent A, Buckley C, Schott JM, Baker I, Dewar BK, Detert N et al
(2004) Potassium channel antibody-associated encephalopathy: a
potentially immunotherapy-responsive form of limbic encephalitis.
Brain 127:701–712
108 H. Urbach and C. G. Bien
Epilepsy Associated Tumors and Tumor-Like
Lesions
Horst Urbach
Contents
1 Introduction.......................................................................... 109
2 Ganglioglioma ...................................................................... 110
2.1 Epidemiology......................................................................... 110
2.2 Clinical Presentation.............................................................. 110
2.3 Pathology ............................................................................... 110
2.4 Imaging .................................................................................. 110
3 Dysembryoplastic Neuroepithelial Tumor........................ 110
3.1 Epidemiology......................................................................... 110
3.2 Clinical Presentation.............................................................. 110
3.3 Pathology ............................................................................... 110
3.4 Imaging .................................................................................. 112
4 Angiocentric Glioma ........................................................... 112
4.1 Epidemiology......................................................................... 112
4.2 Clinical Presentation.............................................................. 114
4.3 Pathology ............................................................................... 114
4.4 Imaging .................................................................................. 114
5 Pilocytic Astrocytoma ......................................................... 115
5.1 Epidemiology......................................................................... 115
5.2 Clinical Presentation.............................................................. 115
5.3 Pathology ............................................................................... 115
5.4 Imaging .................................................................................. 116
6 Pleomorphic Xanthoastrocytoma....................................... 116
6.1 Epidemiology......................................................................... 116
6.2 Clinical Presentation.............................................................. 117
6.3 Pathology ............................................................................... 117
6.4 Imaging .................................................................................. 117
7 Diffuse Gliomas.................................................................... 118
7.1 Epidemiology......................................................................... 118
7.2 Pathogenesis........................................................................... 119
7.3 Clinical Presentation.............................................................. 120
7.4 Imaging .................................................................................. 120
8 Epidermoid ........................................................................... 120
8.1 Epidemiology......................................................................... 120
8.2 Clinical Presentation.............................................................. 120
8.3 Pathology ............................................................................... 120
8.4 Imaging .................................................................................. 121
9 Dermoid ................................................................................ 121
9.1 Epidemiology......................................................................... 121
9.2 Clinical Presentation.............................................................. 121
9.3 Imaging .................................................................................. 121
References...................................................................................... 122
Abstract
Glioneuronal rather than glial tumors are found in around
20% of patients with drug-resistant focal epilepsies.
Gangliogliomas, dysembryoplastic neuroepithelial tumours
(DNTs), angiocentric gliomas, pilocytic astrocytomas, and
pleomorphic xanthoastrocytomas (PXAs) show characteris-
tic imaging profiles clearly different from diffusely infiltrat-
ing gliomas. Epidermoids and dermoids are considered
tumor like lesions with likewise specific imaging findings.
1 Introduction
In around 20% of patients with long-term drug-resistant
epilepsy intra-axial brain tumours are found (Luyken et al.
2003; Urbach et al. 2004; Bien et al. 2013). Clinically, two
different groups exist in this cohort. The first contains typ-
ical epilepsy-associated tumours such as gangliogliomas,
dysembryoplastic neuroepithelial tumours (DNTs), angio-
centric gliomas, pleomorphic astrocytomas (pXAs), and
supratentorial pilocytic astrozytomas, WHO grade I, with
an usually benign behaviour. The second group consists of
diffuse astrocytomas, WHO grade II, oligodendrogliomas,
WHO grade II, with a five year-survival rate of 50–65%,
and a few anaplastic cases, classified as WHO grade III,
with a median survival time of 2–3 years. Histopathologi-
cally, glioneuronal and glial tumours can be distinguished.
Among the glioneuronal tumours, gangliogliomas and
DNTs are well characterized on MRI. Another tumor with a
characteristic MR imaging pattern designed as angiocentric
H. Urbach (&)
Department of Neuroradiology, University Hospital Freiburg,
Germany
e-mail: horst.urbach@uniklinik-freiburg.de
H. Urbach (ed.), MRI in Epilepsy, Medical Radiology. Diagnostic Imaging,
DOI: 10.1007/174_2011_525, Ó Springer-Verlag Berlin Heidelberg 2013
109
glioma has recently been added to the WHO classification
of brain tumors (Louis et al. 2007). Due to the uncertain
histogenesis it is grouped in the category ‘‘other neuroepi-
thelial tumors’’.
Since some tumor-like lesions like epidermoid or
dermoid may cause drug-resistant seizures, they are also
illustrated in this chapter.
2 Ganglioglioma
2.1 Epidemiology
Usually benign intraaxial tumors first described by Perkins
in (1926). Most common long-term epilepsy associated
tumor.
2.2 Clinical Presentation
Drug-resistant epilepsy with usually focal seizures. Temp-
oro-mesial gangliogliomas likely induce complex focal,
gangliogliomas in other locations simple focal seizures.
Secondary generalization occurs in around 30% of cases.
Extratemporal location, male gender, age at surgery
40 years, a history without epilepsy, incomplete tumor
resection, and histopathological presence of a gemistocytic
cell component have been identified as poor prognostic
outcome parameters (Rumana et al. 1999; Majores et al.
2008). Tumorvolume of gangliogliomas in early childhood
(10 years) is significantly larger than that of gangiogliomas
encountered in adults, especially the cystic part (Provenzale
et al. 2000).
2.3 Pathology
Tumor composed of dysplastic neurons and neoplastic glial
cells. Both cell populations may show heterogeneity, with
the morphological spectrum ranging from a predominantly
neuronal phenotype to a predominant glial population.
The immunohistochemical profile (e.g., expression of the
stem cell epitope CD34) usually allows a specific diagnosis
(Blümcke et al. 1999, 2002).
85% of gangliogliomas correspond to WHO grade I,
around 10% to WHO grade II and 5% to WHO grade III
tumours, respectively (Blümcke et al. 2002; Luyken et al.
2004; Majores et al. 2008). Note that with the 2007 WHO
classification only WHO grade I and III gangliogliomas are
distinguished (Louis et al. 2007). Overall recurrence rate is
around 7%, but distinctly higher for grade II (33%) and
grade III (60%) tumors. If there is tumor recurrence, nearly
half of the tumors are glioblastomas (Majores et al. 2008).
2.4 Imaging
Location in the cortex or in the cortex and subcortical white
matter. Spatial preponderance for the parahippocampal and
lateral temporo-occipital gyri. Classical imaging feature is
the combination of intracortical cyst(s), a circumscribed
area of cortical (and subcortical) signal increase on FLAIR
and T2-weighted images and a contrast enhancing nodule
(Figs. 1, 2).
Calcifications occur in 1/3 of cases (Zentner et al. 1994).
If contrast enhancement is absent (&70% of cases),
gangliogliomas may be difficult to distinguish from cortical
dysplasias. Especially, in these cases intracortical cysts are
highly diagnostic.
Gangliogliomas typically have no perifocal oedema.
If oedema is present, malignant degeneration (from the glial
component) to a WHO grade II or III ganglioglioma or
anaplastic glial tumours including PXA with anaplastic
features should be suspected.
3 Dysembryoplastic Neuroepithelial
Tumor
3.1 Epidemiology
Second most common epilepsy associated tumor, which
was first described by Daumas-Duport in (1988). DNT is
mistaken for oligodendroglioma rather than diffuse astro-
cytoma in 15% of cases (Campos et al. 2009).
3.2 Clinical Presentation
Drug-resistant epilepsy with usually focal seizures, which
may secondarily generalize. Temporo-mesial DNTs likely
induce complex focal, DNTs in other locations simple
focal seizures.
3.3 Pathology
WHO grade I-tumor. Location: temporal (66%), frontal
(20%), parietal [ occipital lobe.
Histopathological hallmark is the so-called glioneuronal
element, which contains oligodendrocyte-like cells attached
to bundles of axons and neurons floating in a myxoid
interstitial fluid (Daumas-Duport et al. 2000). If only the
glioneuronal element is present, it is referred to as simple
110 H. Urbach
Fig. 1 Imaging examples of three temporal lobe gangliogliomas
WHO grade I: the upper row shows a ganglioglioma with all
characteristic imaging features: A cortical and subcortical tumor with
intracortical cysts (a, c: arrows), contrast enhancing (b: hollow arrow),
and calcified tumor portions (d: hollow arrow), and increased white
matter signal intensity (b: arrow). In the mid row, a small cortical
tumor with a lateral solid (e: arrow), contrast enhancing (f–h: arrow)
and a medial hypointense tumor portion (f: black arrow), which
was not calcified on CT, is also highly suggestive of a ganglioglioma.
In the lower row (i–l), a tumor of the right amygdala shows cystic
components, and no contrast enhancement. It could be considered as a
DNT, albeit the tumor cysts are not as regular as in a DNT
Epilepsy Associated Tumors 111
variant. Complex DNT variants additionally may contain
glial nodules resembling astrocytomas, oligodendrogliomas
or oligoastrocytomas, foci of cortical dysplasia, calcifica-
tion and hemorrhages.
Tumor growth or recurrence is extremly rare, it may occur
in the complex variant group also characterized by an
earlier seizure onset, and more extratemporal locations,
characterized by the so called glioneuronal element.
It is rather the oligodendrocyte-like cells of the glio-
neuronal element than adjacent glial nodules as part of the
complex DNT variant that cause misclassification of DNTs
(Fig. 4) (Campos et al. 2009).
3.4 Imaging
MRI hallmark are multilobulated cysts, rarely only one
large cyst is present. The cysts represent the glioneuronal
element and are located in the cortex or in the cortex and
subcortical white matter, sometimes single smaller cysts are
located in the vicinity of the tumor, from which they
are clearly separated (Fig. 3). The multilobulated cysts are
either oriented in a ball-like fashion or perpendicular to the
cortical surface; they are hypointense on T1-weighted and
strongly hyperintense on T2-weighted images. On FLAIR
images, they have a mixed signal intensity, most of the
‘‘lobuli within the cyst’’ are hypointense. On DWI, DNTs
are hypointense.
Parts of the glioneuronal element may show nodular,
ring-like or heterogenous contrast enhancement (25%).
Contrast enhancement may vary on follow-up examinations
in that way, that sharply marginated contrast-enhancing
nodules occur while others have disappeared (Fig. 3)
(Campos et al. 2009).
Next to the multicystic tumor portion solid, nearly
T1w-isointense and FLAIR/T2 less hyperintense tumor
portions can be found in 90% of patients. Larger solid tumor
portions are in favour of a complex DNT variant.
Calcifications are found in 10% of complex DNTs,
mostly within the deeper located tumor portions, usually in
the vicinity of the contrast enhancing regions and—if rarely
present—always in the vicinity of hemorrhage (Fig. 4)
(Campos et al. 2009).
4 Angiocentric Glioma
Synonym: Angiocentric Neuroepithelial Tumor (ANET)
4.1 Epidemiology
Epilepsy associated tumor with histological similarities to
astrocytoma and ependymoma. The tumor was initially
described by Lellouch-Tubiana et al. 2005 and Wang et al.
(2005) and added as clinico-pathological entity to the 2007
WHO classification of CNS tumors (Louis et al. 2007). Less
than 20 cases have been described so far, but older cases
may have been misclassified as (cortical) ependymoma
or astrocytoma.
Fig. 2 Ganglioglioma WHO grade I of the left occipito-temporal
gyrus. The tumor has a cystic and a contrast enhancing tumor portion
and is indistinguishable from a pilocytic atsrocytoma. However, in a
patient with drug-resistant epilepsy like in this 9 year old girl with
complex focal seizures since the age of 7 a ganglioglioma is more
likely
112 H. Urbach
Fig. 3 a–c Small right frontal DNT, consisting only of the glioneu-
ronal element (simple variant). In contrast, the complex DNT variant
in case d–e shows a deep-seated calcified portion. The interval
between g and h–i is 3 years: A ring-like contrast enhancing lesion in
the posterior tumor portion has disappeared (arrow), in another
location a new ring-enhancing lesion has occurred
Epilepsy Associated Tumors 113
4.2 Clinical Presentation
Children and young adults with focal seizures, # = $.
4.3 Pathology
Radial arrangement of GFAP-positive, fusiform and bipo-
lare astrocytic cells around blood vessels. Variable infil-
trative pattern.
4.4 Imaging
Cortical and subcortical tumor with a stalk-like extension
towards the lateral ventricle. Predilection for the posterior
(parietal and occipital) brain segments. A ribbon-like
hyperintensity within the cortex on unenhanced T1-weigh-
ted spin echo images is considered pathognomonic. No
calcifications. No contrast enhancement (Lellouch-Tubiana
et al. 2005; Wang et al. 2005; Majores et al. 2007; Shakur
et al. 2009) (Fig. 5).
Fig. 4 MRI after surgery of an
‘‘oligodendroglioma’’ in 1991.
Posteriorly to the surgical defect,
there is a 28 x 12 mm cystic
lesion with slightly higher signal
intensity than CSF on T1-
weighted images (a, c, e).
Diagnostic hallmark are tiny
cysts within the DNT, which are
best appreciated on high-
resolution T2-weighted images
(b: arrows). Larger cysts are
hypointense on FLAIR-images
(d: arrow)
114 H. Urbach
5 Pilocytic Astrocytoma
5.1 Epidemiology
Pilocytic astrocytomas are a rather rare cause of drug-
resistant epilepsy, but the most common brain tumor in
infants. More than 75% manifest in children and ado-
lescents, with a peak incidence between 8 and 13 years.
Pilocytic astrocytomas of the cerebral hemispheres man-
ifest at an older age than those of the more common
location of the cerebellum, optic nerve and chiasm, and
brainstem. Among those, the mesial temporal lobe is a
classical location.
5.2 Clinical Presentation
Children and young adults with focal seizures without and
with secondary generalization, # = $. Some patients pres-
ent with signs of high intracranial pressure due to a space
occuypying effect of large pilocytic astrocytoma.
5.3 Pathology
Circumscribed astrocytic tumor with a biphasic pattern in
which highly fibrillated pilocytic areas containing compact
bipolar cells with Rosenthal fibers are interminged with
loose-structured, microcystic tumor tissue and a mucinous
Fig. 5 Two angiocentric gliomas (or ANETs) (a–c, d–f). These
tumors are characterized by a rather posterior location, a lack of space-
occuyping effect and distinct signal intensity differences between
cortical and subcortical tissue. A ribbon-like cortical hyperintensity on
unenhanced T1-weighted images is considered pathognomonic
(f: arrow). However, as demonstrated in the upper example (a–c), it
may be absent or difficult to detect (c: hollow arrow)
Epilepsy Associated Tumors 115
background. The tumor stroma is highly vascular with
glomeruloid features and has a low MIB-1 index of around
1%. An admixture of ganglion cells is occasionally
observed. However, if located in the mesial tempral lobe,
a ganglioglioma is more likely since the glial component of
a ganglioglioma can be pilocytic in appearance.
5.4 Imaging
Pilocytic astrocytomas appear as cystic, round to oval
lesions with a larger cystic and a smaller contrast enhancing
tumor portion (Fig. 6). Cysts walls occasionally enhance.
Pilocytic astrocytomas may spread through subarachnoid
space in rare cases (although there a still WHO grade I
tumors) (Fig. 7).
They may be difficult to distinguish from gangliogliomas,
however, pilocytic astrocytomas tend to be larger than gan-
gliogliomas, especially with respect to the cystic portion.
6 Pleomorphic Xanthoastrocytoma
6.1 Epidemiology
Rare, Epilepsy-associated astrocytic tumours with superfi-
cial location in the cerebral hemispheres and involvement of
the meninges.
Fig. 6 Pilocytic astrocytoma
WHO grade I: 17 year old
woman with a single tonic-clonic
seizure. MRI shows a three 3 cm
large tumor with a large cyst,
a solid, contrast enhancing tumor
portion at the border of the cyst
(a–d: arrow) and a perifocal
oedema. The size of the cyst,
a single seizure, and perifocal
oedema are in favor against
a ganglioglioma and for a
pilocytic astrocytoma.
However, the superficial
contrast enhancement
fits to a pleomorphic
xanthoastrocytoma (PXA)
116 H. Urbach
Fig. 7 Pilocytic astrocytoma
WHO grade I with
leptomeningeal spread in a
15 year old (a, b) and a 38 olde
man (c, d) with temporal lobe
seizures
6.2 Clinical Presentation
Typically children and young adults with focal seizures
without and with secondary generalization, # = $. 2/3 of
patients are younger than 20 years, however, PXAs also
occur in adults.
6.3 Pathology
Tumor with solid and cystic portions with multinucleated and
lipidized giant cells and a reticulin-positive stroma. In most
cases WHO grade II tumor. For tumors with significant
mitotic activity (5 or more mitoses per 10 high power fields)
the term PXA with anaplastic features is used. A significant
portion of PXAs dedifferentiates to glioblastomas.
It has been postulated that PXAs originate from subpial
astrocytes. However, the demonstration of synaptophysin
and neurofilament protein in some PXAs suggests neuronal
differentiation and a more complex histogenesis.
6.4 Imaging
A meningo-cerebral contrast enhancement on T1-weighted
spin echo images reflecting the extensive involvement of
the subarachnoid space is characteristic (Fig. 8). Some
Epilepsy Associated Tumors 117
tumors have white matter edema on T2-weighted and
FLAIR images. Calcifications and a space-occupying effect
are possible.
7 Diffuse Gliomas
7.1 Epidemiology
Diffusely infiltrating, glial brain tumors cause epileptic
seizures in 20–45% of patients. Typically, WHO grade II
astrocytomas, WHO grade III (anaplastic) astrocytomas,
WHO grade II oligodendrogliomas, WHO grade III (ana-
plastic) oligodendrogliomas, and glioblastomas multiforme
are distinguished. Tumor containing astrocytic and oligo-
dendroglial elements are refered to as oligoastrocytomas.
It has been hypothesized that so-called low grade or WHO
II gliomas associated with epileptic seizures carry a better
prognosis with respect to the recurrence free interval and
overall survival time. However, many of these tumors are
located in the temporal lobe and are likely detected at a
comparable earlier point of time: While the mean age of
presentation of low grade astrocytomas is 39 years of age
(Okamato et al. 2004), it is under 30 in patients with drug-
resistant epilepsies (Luyken et al. 2003). And, at least in the
Bonn series, a significant proportion of tumors was—by
means of MRI and later confirmed with CD34 immunohis-
tochemistry-gangliogliomas and DNTs (Luyken et al. 2003).
Fig. 8 Small pleomorphic
xanthosatrocytoma WHO grade
II of the posterior part of the left
parahippocampal gyrus. The
cortical/subcortical lesion is
hyperintense on FLAIR
sequences (a, d) and shows
superficial contrast enhancement
on T1-weighted sequences
(b, c, e). Although it is not
possible to fully distinguish it
from a ganglioglioma, superficial
so called meningo-cerebral
contrast enhancement
(b, c, e: arrow) is suggestive
for a pleomorphic
xanthosatrocytoma
118 H. Urbach
7.2 Pathogenesis
The underlying pathophysiology of seizures secondary to
brain tumors is poorly understood. A variety of hypotheses
have been proposed, including altered neuronal regulation
and connections, deranged vascular permeability, abnormal
BBB, and impaired glial cell function. The tumor itself
may be the seizure focus, or the tumor may cause sec-
ondary perilesional tissue alterations such as growth,
inflammation, edema, or necrosis, thereby triggering sei-
zure activity.
Oligodendrogliomas are more prone to cause epileptic
seizures than astrocytomas, which is likely due to the typ-
ically broad-based cortical involvement (Fig. 11).
Fig. 9 WHO grade II astrocytoma in a 42 year old male with
complex-focal seizures since seven years. The right parahippocampal
gyrus is enlarged and shows a relatively homogenous signal increase
(a, b, c). Contrast enhancement is absent (c) and FLAIR images show
the tumor infiltrating the hippocampus (a, d: arrow)
Fig. 10 ‘‘Multifocal’’ WHO grade II astrocytoma in a 52 year old
woman with complex focal and secondarily generalized tonic-clonic
seizures. There is a tendency of some astrocytomas to ‘‘grow’’ within
the limbic system with a frequent involvement of the posterior
thalamus (a, c white arrows) and the insula (a, c: short white arrows).
Note left-prominent infiltration of both hippocampi (b: hollow arrows)
and of the isthmus of the cingulate gyrus (a: hollow arrows)
Epilepsy Associated Tumors 119
A significant number of diffusely infiltrating astrocyto-
mas grows within or is ‘‘multifocal’’ in the limbic system, it
may be defined as gliomatosis cerebri (Fig. 10).
7.3 Clinical Presentation
Epileptic seizures due to brain tumors typically manifest as
focal seizures with secondary generalization and are com-
monly refractory to antiepileptic drug treatment. Compared
to diffuse gliomas without epileptic seizures patients are
younger and gliomas are more often located in the temporal
lobe.
7.4 Imaging
Diffusely infiltrating astrocytomas are characterized by a
hyperintense space occuyping white matter lesion on
FLAIR and T2-weighted images (Fig. 9). Although the
lesion may appear well demarcated on MRI, tumor cells are
found beyond the abnormal signal intensity. Tumor inho-
mogeneity and contrast enhancement are considered to
indicate dedifferentiation or malignant progression to a
WHO grade III (anaplastic) astrocytoma.
Oligodendrogliomas typically involve the cortex and the
subcortical white matter. They are more inhomogenous as
compared to astrocytomas; inhomogeneity is caused by
typically clumped calcifications, cystic changes and blood
products. Additional unenhanced CT is often helpful to
illustrate calcifications (Fig. 11).
8 Epidermoid
8.1 Epidemiology
Developmental lesion without dermal appendages. 10–15%
of epidermoids are found in a parasellar, middle cranial
fossa location, where they tend to cause temporal lobe
seizures.
8.2 Clinical Presentation
Despite their congenital nature, they occur at any age with a
peak age around 40, # = $.
8.3 Pathology
Epidermoids are generally well-demarcated encapsulated
lesion with a mother-of-pearl sheen. The outer surface is
smooth, nodular or lobulated. Within the subarachnoid
space they tend to creep into clefts and fissures and to
engulf blood vessels and nervs.
Fig. 11 Oligodendoglioma WHO grade III in a 43 year old woman
with three complex focal seizures. The tumor is somewhat inhomog-
enous (a) and shows no contrast enhancement (b). The broad cortical
infiltration (a: arrows) and clumpy calcifications—as highlighted
with CT (c: arrow)—suggest the diagnosis oligodendroglioma or
oligoastrocytoma
120 H. Urbach
8.4 Imaging
Extraaxial space-occupying off-midline lesion expanding
the subarachnoid space. Signal intensity is close to CSF in
all sequences except DWI, in which epidermoids are dis-
tinctly hyperintense. High resolution MRI enables to visu-
alize the cauliflower-like structure within the subarachnoid
space (Fig. 12).
9 Dermoid
9.1 Epidemiology
Developmental lesions which are distinctly rarer than
epidermoids.
9.2 Clinical Presentation
# [ $. Headaches and seizures (20% of cases) are common
symptoms.
9.3 Imaging
The diagnostic clue is to elaborate the fat component of
the typically well delinated cystic lesions as indicated
by T1-hyperintensity, CT hypodensity, signal loss on fat-
suppressed sequences and chemical shift artifacts. Calcifi-
cations are found in 20% of cases. Small dermoid droplets
in CSF indicated rupture of dermoid cysts and should be
carefully searched for (Fig. 13).
Fig. 12 Epidermoid of a 26 year old patient with temporal lobe
seizures. The lesion is nearly isointense to CSF on T2-weighted
(a), FLAIR (b), and T1-weighted sequences (c), but is distinctly
hyperintense on DWI (f). The extraaxial location of the epidermoid is
derived from the widening of the choroidal fissurre (d, e: arrow)
Epilepsy Associated Tumors 121
References
Bien CG, Raabe AL, Schramm J, Becker AJ, Urbach H, Elger CE
(2013) Trends in presurgical evaluation and surgical treatment of
epilepsy at one centre from 1988 to 2009. J Neurol Neurosurg
Psychiatry, Jan 84(1):54–61. doi:10.1136/jnnp-2011-301763
Blümcke I, Wiestler OD (2002) Gangliogliomas: an intriguing tumor
entity associated with focal epilepsies. J Neuropathol Exp Neurol
61:575–584
Blümcke I, Giencke K, Wardelmann E et al (1999) The CD34 epitope
is expressed in neoplastic and malformative lesions associated with
chronic, focal epilepsies. Acta Neuropathol 97:481–490
Campos AR, Clusmann H, von Lehe M, Niehusmann P, Becker AJ,
Schramm J, Urbach H (2009) Simple and complex dysembryo-
plastic neuroepithelial tumors (DNT): clinical profile MRI and
histopathology. Neuroradiology 51:433–443
Daumas-Duport C, Scheithauer BW, Chodkiewicz JP, Laws ER Jr,
Vedrenne C (1988) Dysembryoplastic neuroepithelial tumor: a
surgically curable tumor of young patients with intractable partial
seizures. Report of 39 cases. Neurosurgery 23:545–556
Daumas-Duport C, Pietsch T, Lantos PL (2000) Dysembryoplastic
neuroepithelial tumour. In: Kleihues P, Cavenee K(eds) Pathology
and genetic of tumours of the nervous system. IARC press, Lyon
Lellouch-Tubiana A, Boddaert N, Bourgeois M, Fohlen M, Jouvet A,
Delalande O, Seidenwurm D, Brunelle F, Saint-Rose C (2005)
Angiocentric neuroepithelial tumor (ANET): a new Epilepsy-
related clinicopathological entity with distinctive MRI. Brain
Pathol 15:281–286
Louis DN, Ohgaki H, Wiestler OD, Cavenee WK, Burger PC,
Jouvet A, Scheithauer BW, Kleihues P (2007) The 2007 WHO
classification of tumours of the central nervous system. Acta
Neuropathol 114:97–109
Luyken C, Blümcke I, Fimmers R, Urbach H, Wiestler OD,
Schramm J (2003) The spectrum of long-term epilepsy associated
Fig. 13 A 30 year old woman (a–c) and a 36 year old man
(d–f) suffered from drug-resistant seizured difficult to localize. MRI
showed frontobasal ‘‘midline’’ dermoids, which are hyperintense on
T1-weighted (a, c, d, e), T2-weighted (f) and Diffusion-weighted
images (b). Note dermoid droplets in the subarachnoid space
(e: arrows) and chemical shift artefact (f). The chemical shift artetfact
is caused by different resonance frequencies of hydrogene nuclei bound
to fat and water molecules.The dermoid contains fat-bound hydrogen
nuclei and is displaced in the frequency-encoding direction with a low
signal band anteriorly and a high-signal band posteriorly (f: arrows)
122 H. Urbach
tumors: long-term seizure and tumor outcome and neurosurgical
aspects. Epilepsia 44:822–830
Luyken C, Blümcke I, Fimmers R, Urbach H, Wiestler OD,
Schramm J (2004) Supratentorial gangliogliomas. Histopatholo-
gical grading and tumor recurrence in 184 patients with a median
follow-up of eight years. Cancer 101:146–155
Majores M, Niehusmann P, von Lehe M, Blümcke I, Urbach H (2007)
Angiocentric neuroepithelial tumour mimicking Ammon’s horn
sclerosis. Clin Neuropathol 26:311–316
Majores M, von Lehe M, Fassunke J, Schramm J, Becker AJ, Simon M
(2008) Tumor recurrence and malignant progression of ganglio-
gliomas. Cancer 113:3355–3363
Okamoto Y, Di Patre PL, Burkhard C, Horstmann S, Jourde B, Fahey
M, Schüler D, Probst-Hensch NM, Yasargil MG, Yonekawa Y,
Lütolf UM, Kleihues P, Ohgaki H (2004) Population-based study
on incidence, survival rates, and genetic alterations of low-grade
diffuse astrocytomas and oligodendrogliomas. Acta Neuropathol
108(1):49–56
Perkins OC (1926) Gangliogliomas. Arch Pathol Lab Med 2:11–17
Provenzale JM, Ali U, Barboriak DP, Kallmes DF, Delong DM,
McLendon RE (2000) Comparison of patient age with MR imaging
features of gangliogliomas. Am J Roentgenol 174:859–862
Rumana CS, Valadka AB, Contant CF (1999) Prognostic factors in
supratentorial ganglioglioma. Acta Neurochir (Wien) 141:63–69
Shakur SF, McGirt MJ, Johnson MW, Burger PC, Ahn E, Carson BS,
Jallo GI (2009) Angiocentric glioma: a case series. J Neurosurg
Pediatr 3:197–202
Wang M, Tijan T, Rojiani AM, Bodhireddy SR, Prayson RA,
Iacuone JJ, Alles AJ, Donahue DJ, Hessler RB, Kim JH,
Haas M, Rosenblum MK, Burger PC (2005) Monomorphous
angiocentric glioma: a distinctive epileptogenic neoplasm with
features of infiltrating astrocytoma and ependymoma. J Neuropa-
thol Exp Neurol 64:875–881
Zentner J, Wolf HK, Ostertun B, Hufnagel A, Campos MG,
Solymosi L, Schramm J (1994) Gangliogliomas: clinical, radio-
logical and histopathological findings in 51 patients. J Neurol
Neurosurg Psychiatry 57:1497–1502
Epilepsy Associated Tumors 123
Malformations of Cortical Development
Horst Urbach and Susanne Greschus
Contents
1 Microcephalies.......................................................................... 126
1.1 Definition ................................................................................... 126
1.2 Epidemiology............................................................................. 126
1.3 Pathogenesis............................................................................... 126
1.4 Clinical Presentation.................................................................. 129
1.5 Imaging ...................................................................................... 130
2 Lissencephaly Type 1, Subcortical Band Heterotopia ......... 131
2.1 Definition ................................................................................... 131
2.2 Pathogenesis and Pathology...................................................... 131
2.3 Clinical Presentation.................................................................. 132
2.4 Imaging ...................................................................................... 133
3 Cobblestone Lissencephaly, Congenital Muscular
Dystrophies ............................................................................... 134
3.1 Definition ................................................................................... 134
3.2 Walker–Warburg Syndrome...................................................... 137
4 Focal Cortical Dysplasias........................................................ 138
4.1 Definition ................................................................................... 138
5 Mild Cortical Malformations and Focal Cortical
Dysplasias Type 1 .................................................................... 139
5.1 Definition ................................................................................... 139
5.2 Epidemiology............................................................................. 139
5.3 Pathogenesis and Pathology...................................................... 139
5.4 Imaging ...................................................................................... 139
6 Focal Cortical Dysplasia Type 2A......................................... 139
6.1 Definition ................................................................................... 139
6.2 Epidemiology............................................................................. 139
6.3 Pathogenesis and Pathology...................................................... 139
6.4 Clinical Presentation.................................................................. 139
6.5 Imaging ...................................................................................... 139
7 Focal Cortical Dysplasia Type 2B ......................................... 140
7.1 Definition ................................................................................... 140
7.2 Epidemiology............................................................................. 140
7.3 Pathogenesis and Pathology...................................................... 141
7.4 Clinical Presentation.................................................................. 141
7.5 Imaging ...................................................................................... 141
8 Hemimegalencephaly............................................................... 141
8.1 Epidemiology............................................................................. 141
8.2 Pathogenesis and Pathology...................................................... 145
8.3 Clinical Presentation.................................................................. 145
8.4 Imaging ...................................................................................... 145
9 Heterotopia ............................................................................... 145
9.1 Definition ................................................................................... 145
9.2 Epidemiology............................................................................. 145
9.3 Pathogenesis............................................................................... 145
9.4 Clinical Presentation.................................................................. 145
9.5 Imaging ...................................................................................... 147
10 Polymicrogyria and Schizencephaly...................................... 149
10.1 Epidemiology............................................................................. 149
10.2 Pathogenesis............................................................................... 149
10.3 Clinical Presentation.................................................................. 150
10.4 Pathology ................................................................................... 151
10.5 Imaging ...................................................................................... 151
11 Aicardi Syndrome.................................................................... 151
11.1 Epidemiology............................................................................. 151
11.2 Pathogenesis and Pathology...................................................... 151
11.3 Clinical Presentation.................................................................. 151
11.4 Imaging ...................................................................................... 151
12 Tuber Cinereum and Hypothalamic Hamartomas ............. 152
12.1 Epidemiology............................................................................. 152
12.2 Clinical Presentation.................................................................. 152
12.3 Pathology ................................................................................... 153
12.4 Imaging ...................................................................................... 153
13 Anomalies of the Ventral Prosencephalon
Development ............................................................................. 154
13.1 Holoprosencephalies.................................................................. 154
13.2 Septo-Optic Dysplasia (De Morsier Syndrome)....................... 158
13.3 Kallmann Syndrome.................................................................. 160
13.4 Shapiro Syndrome ..................................................................... 160
References...................................................................................... 160
Abstract
Malformations of cortical development are arranged in
different ways. Recently, the ILAE published a consen-
sus classification incorporating pathological, imaging,
and genetic findings (Blümcke et al. 2011). Some lesions
H. Urbach (&)
Department of Neuroradiology,
University Hospital Freiburg, Germany
e-mail: horst.urbach@uniklinik-freiburg.de
S. Greschus
Deptartment of Radiology/Neuroradiology,
University of Bonn, Bonn, Germany
H. Urbach (ed.), MRI in Epilepsy, Medical Radiology. Diagnostic Imaging,
DOI: 10.1007/174_2012_749, Ó Springer-Verlag Berlin Heidelberg 2013
125
(namely FCD 2B) from this classification are clearly
visible on MRI and pathologically classified with a high
concordance between different pathologists. If they are
fully resected, seizure freedom rate is [ 80 %. Other
lesions (namely FCD 1) are more difficult to detect or
‘‘unvisible’’ even with voxel-based MRI analyses and
harbored with a high interrater-variability between
different pathologists. Chance of postsurgical seizure
freedom is distinctly50 %. A patient will likely benefit
from surgery if a distinct MRI lesion is found under-
lining the importance of high-quality MRI acquisition
and interpretation.
Definition. Cortical development can be disturbed at dif-
ferent time points and due to different causes. Resulting
lesions are summarized under the umbrella term malfor-
mations of cortical development (MCD). The term cortical
dysplasia refers to a MCD subtype, where the abnormality
is strictly or largely intracortical (Palmini et al. 2004).
Depending on whether MCD are arranged from a genetic
and imaging (Table 1) or a histopathological (Table 2)
perspective, different classifications result.
Development of the Cerebral Cortex: The exact mecha-
nisms of cortical development are still being elucidated; a
simplified description is as follows. Between week 4 and 6 of
gestation neurons deriving from the epithelium of the neural
tube start to proliferate in the medial and caudal ganglionic
eminences, and the dorsal (pallial) ventricular zone (Bar-
kovich et al. 2012). After their final mitotic division they
dislocate from other elements in the ventricular zone and
migrate tangentially (from the medial ganglionic eminences)
or radially (from the dorsal ventricular zone), the latter along
radial glial fibers with close apposition to their membrane
surfaces. Migration in the human brain begins around the
sixth gestational week and tapers down by midgestation. Full
radial glial fibers span the distance from the ventricular zone
to the later cortical plate as shown by glial fiber acid protein
(GFAP) staining at week 12 of gestation (Friede 1989). After
the migration of cortical neurons has been completed, radial
glial scaffolding disappears as some of these glial cells
degenerate, and others re-enter the mitotic cycle and trans-
form into astrocytes (Rakic 1988).
Initially, at week 6–8 of gestation, a three-layered struc-
ture with a ventricular zone, an intermediate zone, and a
marginal zone is visible. At week 10–11 of gestation a
transient structure, the preplate, splits into an inner portion
designated as the subplate, and an outer portion, the cortical
plate. The subplate eventually disappears by term birth. The
cortical plate transforms into the cortex in this way, that—
with the exception of layer I—later migrating neurons
bypass previously migrated neurons and settle in peripheral
cortical layers (inside–outside pattern). Finally, a six-layered
cortex is created with the outer layer I representing the
molecular layer, and inner cortex layers II–VI developing
from the former preplate.
1 Microcephalies
1.1 Definition
A head is microcephalic when the occipital-frontal cir-
cumference is2 standard deviations than the mean for age
and gender. If it is3 standard deviations, it may be called
extreme microcephaly (Ashwal et al. 2009). Microcephaly
is often associated with a simplified gyral pattern and a
reduced depth of the sulci. The cortex can be of normal
thickness or thicker than normal. If the gyral pattern is
simplified and the cortex is thicker than normal, micro-
cephaly may be referred to as microlissencephaly (Barko-
vich et al. 1996, 1998; Dobyns and Barkovich 1999; Ashwal
et al. 2009; Adachi et al. 2011) (Fig. 1).
1.2 Epidemiology
The incidence of microcephaly is around 1 % and of
extreme microcephaly around 0.1 % in the general popu-
lation (Ashwal et al. 2009).
1.3 Pathogenesis
Microcephalies and microlissencephalies can be isolated or
part of a syndrome. Syndromic microcephalies comprise
among others trisomy 21, 13, 18, Angelman syndrome, Rett
syndrome, MEHMO syndrome, Mowat–Wison syndrome,
4p deletion (Wolf–Hirschhorn), 5p deletion (cri-du-chat),
7q11.23 deletion (Williams), 22q11 deletion (velocardio-
facial), Cornelia de Lange, Smith–Lemli–Opitz, and Seckel
syndrome (Ashwal et al. 2009) (Figs. 2, 3, 4).
Microcephalies can be divided into primary and second-
ary forms. Primary microcephalies have a known or pre-
sumed genetic cause resulting in a reduced neuronal and glial
cell proliferation or an increased apoptosis (Shen et al. 2010).
The Online Mendelian Inheritance in Man (OMIM) database
lists more than 500 genetic syndromes associated with mi-
crocephalies (http://www.ncbi.nlm.nih.gov/omim), some of
the more common primary microcephalies are mentioned
here: autosomal-recessive microcephalies in patients with a
normal or slightly short status and only mild developmental
delay comprise mutations of the MCPH1 gene (Jackson
2002), of the ASPM gene on chromosome 1q31 (Bond et al.
2002, 2003), of the CDK5RAP2 gene on chromosome 9q34
126 H. Urbach and S. Greschus
Table 1 Imaging and genetic classification according to Barkovich [modified from Barkovich et al. (2012), with permission]
Disturbance of neuronal and glial proliferation or apoptosis
1. Congenital microcephaly (premigrational proliferation ;/apoptosis :) (a) Microcephaly with severe intrauterine growth deficiency and short
stature
(b) Microcephaly with variable short stature (severe intrauterine
growth deficiency to mildly short), moderate to severe
(c) Microcephaly with mildly short stature or normal growth, mild to
moderate developmental delay, normal to thin cortex, with or without
simplified gyral pattern, with or without callosal hypogenesis, and
with or without periventricular nodular heterotopia
(d) Microcephaly with mildly short stature or normal growth, severe
developmental delay, variable cortical development with simplified
gyral pattern or cortical dysgenesis, and with or without callosal
hypogenesis
(e) Microcephaly with variable anomalies and less well characterized
syndromes (with or without simplified gyral pattern, with or without
callosal hypogenesis, and with or without cerebellar hypoplasia)
(f) Microcephaly with severe developmental delay and evidence of
degeneration, with or without simplified gyral pattern, with or without
enlarged extra-axial spaces, with or without callosal hypogenesis, and
with or without atypical cortical dysgenesis
(g) Microcephaly with lissencephaly (cortex thick or relatively thick,
smooth gray–white matter border)
(h) Microcephaly with brain volume loss and enlarged ventricles
(hydrocephalus ex vacuo or hydranencephaly), with or without
cortical dysgenesis, and with or without callosal hypogenesis
2. Megalencephaly (a) Megalencephaly with normal cortex (or presumed normal cortex)
(b) Megalencephaly with periventricular nodular heterotopia
(c) Megalencephaly with polymicrogyria and other cortical
dysgenesis
3. Malformations due to abnormal cell proliferation (a) Cortical hamartomas of tuberous sclerosis complex (TSC)
(b) Focal cortical dysplasia (FCD) with balloon cells
(c) Hemimegalencephaly
Disturbance of neuronal migration
1. Malformations with neuroependymal abnormalities: Periventricular
heterotopia
(a) Anterior predominant and diffuse periventricular nodular
heterotopia
(b) Posterior predominant (temporal-trigonal or infrasylvian)
periventricular nodular heterotopia
(c) Periventricular heterotopia, not nodular (uni- or bilateral)
2. Malformations due to generalized abnormal transmantle migration
(radial and nonradial)
(a) Anterior predominant or diffuse classic (four-layered)
lissencephaly and subcortical band heterotopia
(b) Posterior predominant or diffuse classic (four-layered) and two-
layered (without cell sparse zone) lissencephaly and subcortical band
heterotopia
(c) X-linked lissencephaly (three-layered, without cell sparse zone)
with callosal agenesis, ambiguous genitalia
(d) Reelin-type lissencephaly (inverted cortical lamination, without
cell sparse zone)
(e) Variant lissencephaly
3. Malformations presumably due to localized abnormal late radial or
tangential transmantle migration
(a) Subcortical heterotopia (clinically defined with unknown cause)
(b) Sublobar dysplasia (clinically defined with unknown cause)
4. Malformations due to abnormal terminal migration and defects in
pial limiting membrane
(a) Dystroglycan-laminin complex abnormalities with cobblestone
malformation complex, with or without congenital muscular
dystrophy (Walker–Warburg syndrome, muscle–eye–brain disease,
Fukuyama congenital muscular dystrophy, congenital muscular
dystrophy with cerebellar hypoplasia)
(b) Cobblestone malformations in congenital disorders of
glycolysation
(c) Cobblestone malformations with no known glycolysation defect
(d) Other syndromes with cortical dysgenesis and marginal
glioneuronal heterotopia, but with normal cell types
(continued)
Malformations of Cortical Development 127
Table 1 (continued)
Disturbance of neuronal and glial proliferation or apoptosis
Disturbance of cortical organization
1. Malformations with polymicrogyria or cortical malformations
resembling polymicrogyria
(a) Polymicrogyria with transmantle clefts (schizencephaly) or
calcification
(b) Polymicrogyria without transmantle clefts or calcification,
classified by location
(c) Syndromes with polymicrogyria
2. Cortical dysgenesis secondary to inborn errors of metabolism (a) Mitochondrial and pyruvate metabolic disorders
(b) Peroxisomal disorders
3. Focal cortical dysplasia (FCD) without dysmorphic neurons, due to
late developmental disturbances
4. Postmigrational developmental microcephaly (birth occipito-
frontal diameter (OFD)—3 SD or lower, later OFD-4 SD, no evidence
of brain injury)
Classification considers normal cortical development as separated into three overlapping steps and distinguishes malformations caused by
disturbed neuronal/glial proliferation and apoptosis (Step 1), neuronal migration (Step 2), and cortical organization (Step 3). The classification
scheme has been continuously updated, incorporating new genetic findings, and is considered to be a framework but not a finalized classification
(Barkovich et al. 1996, 2001, 2005, 2012)
Table 2 Neuropathologic classification according to Palmini and Lüders and Blümcke et al. [adapted from Palmini and Lüders (2002), Palmini
et al. (2004), and Blümcke et al. (2011)]
Palmini type Blümcke type Neuropathological
description
MRI
Mild malformations of cortical
development type 1 = ectopic neurons
in or adjacent to cortical layer 1
Molecular layer
neurons
Persistent subpial
granular layer
Marginal
glioneuronal
heterotopia
Normal
Mild malformations of cortical
development type 2 = neuronal
heterotopia outside layer 1
Small aggregates of
heterotopic white
matter neurons
Dysgenesis of the
hippocampal
formation
Normal
or
Gray–white matter demarcation
loss
FCD type 1A, 1B = cytoarchitectural
abnormalities without dysmorphic
neurons or balloon cells
FCD type 1a
FCD type 1b
FCD type 1c
A: dyslamination
only
B: dyslamination and
hypertrophic or
immature neurons
a: microcolumnar
(vertical)
dyslamination
b: radial
dyslamination
c: vertical and radial
dyslamination
Normal (1/3 of cases)
or
Gray–white matter demarcation
loss
FCD type 2A, 2B = cytoarchitectural
abnormalities with dysmorphic neurons
or balloon cells
FCD type 2A,
2B = cytoarchitectural
abnormalities with dysmorphic
neurons or balloon cells
A: dysmorphic
neurons
B: dysmorphic
neurons and balloon
cells
A: cortical thickening, abnormal
depth of sulcus
B: cortical thickening, abnormal
depth of sulcus, subcortical
funnel-shaped hyperintensity
Classification considers histopathological cell types and cortical lamination. It distinguishes normal neurons in an abnormal location and
distribution; hypertrophic, immature, and dysplastic neurons; as well as balloon cells. Recent ILAE classification introduces a Focal cortical
dysplasia (FCD) type III, in which mild and FCD type I malformations are associated with hippocampal sclerosis (FCD IIIa), tumors (FCD IIIb),
vascular malformations (FCD IIIc), or other principal lesions acquired during early life (FCD IIId)
128 H. Urbach and S. Greschus
(Bond et al. 2002, 2003; Pattison et al. 2000) and of the
CENPJ gene on chromosome 13q12.2 (Bond et al. 2005).
Autosomal-recessive microcephalies in severely impaired
patients include Amish lethal microcephaly with a
SLC25A19 mutation on chromosome 17q25.3 and 2-keto-
glutaric aciduria (Rosenberg et al. 2002) and microcephaly
with periventricular heterotopia and an ARGEF2 mutation on
chromosome 20q13.13 (Sheen et al. 2004).
Secondary microcephalies have a nongenetic cause and
result from ante- and postnatal injuries affecting the fetus or
infant’s normal brain growth. Typical nongenetic causes are
maternal TORCH and HIV infections, hypoxic-ischemic
encephalopathies, fetal alcohol syndrome, maternal radia-
tion or toxin exposure, metabolic disorders, and nonacci-
dental brain injuries.
1.4 Clinical Presentation
Microcephalic newborns typically have severe neurological
deficits and seizures. However, the clinical phenotype is
variable and ranges from mild to severe developmental delay.
In children with secondary microcephalies, the head can
have a normal size at birth, but subsequently fails to grow
whereas the face continues to develop, producing a child
with a small head and a receding forehead. Development of
motor functions and speech is delayed. Hyperactivity,
mental retardation, and epileptic seizures are common.
Motor ability varies, ranging from clumsiness in some to
spastic quadriplegia in others.
The overall prevalence of epileptic seizures in microce-
phalic patients is around 40 %. Seizures are often refractory
Fig. 1 Moderate microcephaly in a 11 year old boy with psycho-
motor developmental delay (a–c) and extreme microcephaly in a
16 months year old girl with hypotonia at birth, abnormal neonatal
reflexes, and myoclonic seizures starting in the first days of life
(d–f). In the upper row, the head is too small, the brain has too little
gyri, and the depth of the sulci is lower than normal. In the lower
row, the head is far too small, the subarachnoid space is extremely
widened, the cortex is thin, the depth of the sulci is distinctly lower
than normal, and the brain stem and to a lesser degree the cerebellum
are hypoplastic
Malformations of Cortical Development 129
to medical treatment and more common in secondary than
in primary forms (Ashwal et al. 2009).
1.5 Imaging
A microcephalic head may be missed if the child is not
inspected and the technician adapts the field of view to the
child’s head size. However, considering the cranio–facial
ratio and the ratios between hindbrain and forebrain on a
midsagittal T1-weighted image should guide the MRI reader
to the correct diagnosis. The cranio–facial ratio relates the
size of the intracranial structures to the size of the face. The
ratio is normally large at birth and slowly diminishes with
increasing age. It is typically small in microcephalic
patients. Hindbrain and forebrain structures can be propor-
tional to each other, however, in many cases cerebellum and
brain stem are disproportionally large (Adachi et al. 2011).
The size of the forebrain correlates with (1) the gryal
pattern: severe microcephalic brains typically have an
extremely simplified gyral pattern (Adachi et al. 2011). It
also correlates with (2) the white matter volume, and (3)
associated callosal anomalies. In most patients, the corpus
callosum is hypoplastic (thin, but all parts are formed); in
Fig. 2 Patau syndrome (trisomy 13) in a 18 months old boy with
generalized tonic-clonic seizures. The boy shows moderate micro-
cephaly, the cortex is of normal thickness and the sulci are of normal
depth. Note the disproportionate size of the posterior fossa (a, c–d:
arrow, e–f), cerebellar dysplasia (c: thick arrow), hypogenetic corpus
callosum, small ocular globes, malrotated hipoocampi, (e), and
olfactory bulb hypoplasia (b: hollow arrow)
130 H. Urbach and S. Greschus
some patients it is hypo- or agenetic. Heterotopia may be
present or absent (Fig. 4).
2 Lissencephaly Type 1, Subcortical Band
Heterotopia
2.1 Definition
Lissencephaly means smooth brain (kirro1 = smooth);
affected brains may be without convolutions (agyria) or with
broad and shallow convolutions (pachygyria). Lissenceph-
alies have been traditionally divided into two distinct forms:
type 1 (also known as classic) lissencephalies and type 2
(also known as cobblestone) lissencephalies, the latter
caused by defective protein glycolisation. Recent genetic
and pathologic findings have questioned this two-tiered
classification and suggest at least four different lissencephaly
types (Barkovich et al. 2012; Forman et al. 2005).
2.2 Pathogenesis and Pathology
Type I lissencephaly is a neuronal migration disorder with at
least six causative genes (LIS1, DCX, RELN, ARX, TUBA1A,
VLDLR) and one modifier gene (YWHAE) identified
(Dobyns 2010). Moreover, intrauterine infections (particu-
larly CMV) and toxins may cause type I lissencephaly.
Recently, four distinct histopathological subtypes have
been described (Forman et al. 2005):
1. Four-layered cortex consisting of an outermost molecu-
lar layer (layer 1), a band of pyramidal neurons (layer 2),
Fig. 3 A 2 year old girl presented with seizures since the age of
2 months. Mowat-Wilson syndrome, a complex developmental disor-
der with microcephaly, mental retardation, distinct facial features, and
with or without Hirschsprung disease was genetically proven. Micro-
cephaly can be suspected considering the ratio between posterior fossa
and supratentorial structures (a). However, complete corpus callosum
agenesis is the most striking MRI finding (a–f). See the lateral callosal
bundles of Probst as hypointense stripes on T2-weighted images
running parallel to the interhemispheric fissure and indenting the
medial walls of the lateral ventricles (e: arrows)
Malformations of Cortical Development 131
a sparsely cellular myelinated layer (layer 3), and a
broad band of disorganized neurons (layer 4)
2. Four-layered cortex similar to that in 1, but with a
transition from the lissencephalic cortex to multiple
nodules of subcortical heterotopia
3. Three-layered cortex without a hypomyelinated cell
sparse zone
4. Two-layered cortex (Forman et al. 2005).
These histopathological subytpes also differ from each
other by the type and severity of posterior fossa abnor-
malities (Forman et al. 2005; Jissendi-Tchofo et al. 2009)
(Table 3).
2.3 Clinical Presentation
Children with type 1 lissencephalies typically present with
neurological deficits in the first weeks or months consisting
of poor feeding, hypotonia, and abnormal arching behavior
or opisthotonus (Dobyns 2010). Nearly all have onset of
seizures during the first year of life, often consisting of
infantile spasms, Lennox–Gastaut syndrome, and others.
Apart from epilepsy, major medical problems result from
feeding problems including gastroesophageal reflux and
recurrent aspiration and pneumonia (Dobyns 2010).
Isolated lissencephaly (ILS) occurs in patients with
mutations of the LIS1, DCX, or TUBA1A genes. Onset of
epilepsy is usually between 3 and 12 months, but may be
later. Mortality exceeds 50 % by 10 years and few children
live longer than 20 years (Dobyns 2010).
Children with Miller–Dieker syndrome (chromosome
17p13(.3) deletions affecting LIS1 and several adjacent
genes), most types of LIS with cerebellar hypoplasia (LCH),
or X-linked lissencephaly with abnormal genitalia (XLAG)
have an even more severe course and higher mortality rate
(Ross et al. 2001).
Fig. 4 A 20 year old boy with microcephaly, micrognathy, and short
status suggestive of a Seckel syndrome suffered from complex focal
and generalized seizures since the age of 10. Note that microcephaly is
best visible on sagittal images considering the relative sizes of the face
and the brain (a–c). This boy also showed bilateral periventricular
nodular heterotopia (d–f: arrows)
132 H. Urbach and S. Greschus
Lissencephaly occurs in males with mutations of the X-
linked gene Doublecortin (DCX) whereas hemizygous
females with the same mutations exhibit subcortical band
heterotopia (SBH) with a rather normal cortical surface and
an additional subcortical gray matter band. Although males
with DCX mutations are usually severely disabled, females
with SBH show variable intellectual abnormalities and
epileptic seizures correlating with the thickness of the
subcortical band. However, less severe (mosaic or mis-
sense) mutations of the LIS1 or the DCX gene can cause
SBH even in males (Sicca et al. 2003; Tampieri et al. 1993;
Pilz et al. 1998, 1999).
In around 50 % of mostly female patients who have
drug-resistant seizures, some intellectual impairment, and
different grades of pachygyria on MRI, the underlying
genetic defect is never clarified (Fig. 6).
2.4 Imaging
On MRI, the brain surface appears smooth with areas of
absent (agyria) and abnormally wide gyri (pachygyria).
The cortex is abnormally thick (Fig. 5). Common associ-
ated malformations include rounded hippocampi, enlarged
posterior portions of the lateral ventricles, flat anterior
portion of the corpus callosum, and very variable hypo-
plasia of the cerebellum, especially the midline vermis
(Dobyns 2010).
Table 3 Involved genes, type 1 lissencephaly subtypes, characteristic MRI and neuropathological features
Gene mutation Lissencephaly type 1
subtype
MRI Neuropathology
LIS1 Isolated lissencephaly (ILIS) Agyria/pachygyria in parietal
and occipital [ frontal lobes
Cell sparse zone between a
thin outer layer cortex and a
thick inner layer of gray
matter
Four-layered cortex, predominantly posterior,
normal three-layered cerebellar cortex, normal
to small pons
17p13.3
deletions ? LIS1 ? other
genes
Miller–Dieker syndrome
(severe
lissencephaly ? facial
features)
s.a. s.a.
Xq22.3-q23 ? DCX – in #: ILIS
– in $: SBH
Frontal [ parietal and
occipital lobes
Cell sparse zone between a
thin outer layer cortex and a
thick inner layer of gray
matter
Four-layered cortex, predominantly anterior,
transition from the lissencephalic cortex to
multiple nodules of subcortical heterotopia,
normal three-layered cerebellar cortex, normal
to small pons
TUBA1A – ILIS
– Lissencephaly with
cerebellar
hypoplasia ± corpus
callosum agenesis
(LCH ± CCA)
– LIS-CCA
ILIS: Parietal and
occipital [ frontal lobes
LCH ± CCA: posterior
frontal, parietal, and
occipital [ anterior frontal
lobes
LIS-CCA: posterior frontal
lobes
No horizontal or radial organization
RELN, VLDLR lissencephaly with cerebellar
hyoplasia (LCH) mild
frontal
Mild frontal accentuation
Decreased hippocampal
rotation
No cell sparse zone
Dysorganized cortex (cortex layers 1-6-5-4-3-2)
ARX X-linked lissencephaly with
abnormal genitalia (XLAG)
Posterior agyria,
CCA
Small dysplastic basal
ganglia
Three-layered cortex, small pons
No known genetic defect Two-layered cortex
Brainstem and cerebellar abnormalities
(disorganization, white matter heterotopia,
hypoplasia)
CCA corpus callosum agenesis
Malformations of Cortical Development 133
In SBH, the brain surface appears superficially normal,
except that the sulci between gyri are shallow, and the
cortex is normal and not thick (Barkovich et al. 1994;
Dobyns et al. 1996). Just beneath the cortex, often separated
from it by just a few millimeters of white matter, lies a
smooth band of neurons that never reached the true cortex.
This band has a variable thickness and thin bands are easily
overlooked but highlighted by voxel-based morphometric
analysis (Fig. 7) (Huppertz et al. 2008).
The spectrum of LIS and SBH varies from complete or
nearly complete absence of cerebral convolutions or agyria
(grades 1 and 2) to abnormally wide convolutions or
pachygyria (grade 4) to normal convolutions separated by
shallow sulci overlying SBH (grade 6). Intermediate grades
consist of mixed agyria–pachygyria (grade 3) and mixed
pachygyria–SBH (grade 5) (Dobyns 2010).
Paucity of cerebral gyri often shows a gradient, which is
useful in determining the most likely genetic cause. If lis-
sencephaly and SBH are pronounced in the anterior frontal
lobes, a DCX mutation should be considered. More severe
changes in the parietal and occipital lobes point to LIS1 or
TUB1A mutations. Lissencephaly with cerebellar hypopla-
sia point to RELN and VLDLR mutations, if pronounced in
the frontal lobes, and to TUB1A mutations, if pronounced in
the posterior frontal lobes, perisylvian, or parietal and
occipital lobes, repectively. Lissencephaly with corpus
callosum agenesis point to ARX mutations if agyria or
pachygyria is pronounced in the temporal and posterior
brain regions.
Most lissencephalies have a genetic cause, however,
periventricular and subcortical calcifications suggest an
infectious (particularly CMV) cause (Figs. 5-7).
3 Cobblestone Lissencephaly, Congenital
Muscular Dystrophies
3.1 Definition
Congenital muscular dystrophy syndromes or so-called
dystroglycanopathies represent a heterogeneous group of
congenital diseases affecting the muscles and frequently the
brain and eyes, which are characterized by defective protein
glycolization. Protein glycolization is a complex mechanism,
in which sugars (glycans) are attached to proteins modulating
their stability, conformity, and function (Barkovich et al.
2005). For example, in the developing brain radial glial cells
have end feet attached to the pial basement membrane, and
defective basement membrane formation results in cobble-
stone lissencephaly with neurons migrating too far (e.g.,
neurons destinated for cortex layers II and III migrate and
populate the marginal zone) (Clement et al. 2008).
The clinical spectrum comprises severe [Walker–Warburg
syndrome (WWS), Fukuyama congenital muscular dystro-
phy, muscle–eye–brain disease] and milder forms with or
without brain involvement (congenital muscular dystrophy
CMD, merosin-deficient congenital muscular dystrophy,
merosin-positive congenital muscular dystrophy C1C,
merosin-positive congenital muscular dystrophy C1D, limb
girdle muscular dystrophies LGMD2I, LGMD2K, LGMD2L,
LGMD2M). Several mutations in genes encoding for proteins
of the dystrophin glycoprotein complex have been found
(protein-O-mannosyl transferase 1 POMT1, OMIM 607423;
protein-O-mannosyl transferase 2 POMT2, OMIM 607439;
protein-O-mannose 1,2-N-acetylglucosaminyltransferase1
Fig. 5 Type I lissencephaly with ‘‘posterior’’ accentuation suggesting a LIS1 gene mutation. This 17 months year old girl showed global
developmental delay and suffered from generalized seizures since the age of 8 months
134 H. Urbach and S. Greschus
Fig. 6 Pachygyria in a 30 year old woman with epileptic seizures
since the age of 7. Note the rather broad and shallow convolutions on
sagittal (a), coronal (b), and axial (c) 1 mm thick reformations, on a
planar surface view (d), and—more difficult to see—on a coronal 3 mm
thick FLAIR slice (e). In this example, paucity of gyri becomes more
obvious if the images are compared to those of a healthy person (f, g)
Malformations of Cortical Development 135
Fig. 7 Subcortical band heterotopia in a 21 year old woman (a–c), in
a 13 year old girl (d–f), and a 31 year old man (g–i). Note the different
thickness of the subcortical bands (arrows). In the lower example,
subtle stripes in the parietal lobes are only visible on 1 mm thick
T1-weighted gradient echo images (h, i)
136 H. Urbach and S. Greschus
POMGnT1, OMIM 606822; Fukutin, OMIM 607440;
Fukutin-related protein FKRP, OMIM 606596; LARGE,
OMIM 603590). MRI may show different grades of brain
involvement, but it is not suited to differentiate between dif-
ferent clinical and genetic diseases.
3.2 Walker–Warburg Syndrome
3.2.1 Epidemiology
This is the most severe congenital muscular dystrophy
syndrome. Symptoms and signs are already present at birth,
children often die within the first 12 months and rarely live
longer than 5 years.
3.2.2 Pathogenesis
Autosomal-recessive inheritance and mutations of the
POMT1 gene on chromsosome 9q34.1 encoding for the
enzyme O-methyltransferase 1 of the dystrophin glycopro-
tein complex are found in 20 % of cases.
3.2.3 Clinical Presentation
This includes profound muscular hypotonia at birth
(‘‘floppy newborn’’), epileptic seizures, and anterior (cata-
racts, shallow anterior chamber, microcornea, microph-
thalmia, lens defects) and posterior eye anomalies (retinal
detachment or dysplasia, hypoplasia or atrophy of the optic
nerve and macula and coloboma). Glaucoma or buphthal-
mos may be present, as well as small genitalia in boys, and
occasionally cleft lip and palate.
Fig. 8 Cobblestone (type II) lissencephaly in a male new born of
consanguine parents with Walker-Warburg syndrome due to POMT1
mutation (a–d) and a female with unknown gene defect who died
within 36 hours after spontaneous delivery (e, f). The brain pallium is
thin and the surface smooth. A bumpy surface due to overmigrating
neurons, which do not stop at the pial basement membrane cannot be
resolved macroscopically, (d, e), however the gray–white matter
interface appears bumpy (d: arrow). Note other characteristic features
like Z-form of the hypoplastic brain stem (c, f), fused inferior and
superior colliculi (c: hollow arrow), parietal meningocele (f: hollow
arrow), vermian dysgenesis, hyperintense white matter, and
hydrocephalus
Malformations of Cortical Development 137
3.2.4 Imaging
Distinct hydrocephalus is shown. The brain surface is
smooth; it is either agyric or contains only some broad and
shallow gyri. The brain parenchyma consists of a thin
band of bumpy gray and hypomyelinated and thus
hyperintense white matter. The bumpy surface is explained
with the fact that migrating neurons do not stop at the pial
basement membrane but migrate too far (cobblestone or
type II lissencephaly). Brain segments may also show
polymicrogyria. The corpus callosum is thin and extended,
inferior and superior colliculi are fused, and the brainstem
is hypoplastic with a kinking between the pons and mes-
encephalon (Z-form). The posterior fossa is small with a
vermis dygenesis resembling a Dandy–Walker variant; in
some cases there is a posterior meningo- or encephalocele
(Fig. 8).
4 Focal Cortical Dysplasias
4.1 Definition
Focal cortical dysplasias are largely or purely intracortical
malformations, which are histopathologically divided into
two types (Palmini and Lüders 2002; Palmini et al. 2004):
FCDs type 1 are so called cytoarchitectural abnormalities
without (type 1A according to Palmini) or with giant or
immature neurons (type 1B according to Palmini), but
without dysmorphic neurons or balloon cells. FCDs type 2
contain dysmorphic neurons (type 2A) or dysmorphic
neurons and balloon cells (type 2B).
Recently, Blümcke and the ILAE Diagnostic Methods
Commission refined the histopathological classification of
FCD type 1 (Blümcke et al. 2011). They now distinguish
FCD type 1a with an altered vertical orientation of cortical
neurons, FCD type 1b with an altered horizontal orienta-
tion, and FCD type 1c with a combination of both fea-
tures. The border with the subcortical white matter is
usually less sharply demarcated due to an increased
number of neurons. In addition, cellular abnormalities
including immature neurons with a small diameter,
hypertrophic pyramidal neurons outside layer 5 or normal
neurons with disoriented dendrites can be encountered
(Blümcke et al. 2011).
From a histopathological perspective, balloon cells as
the histopathological hallmark of FCD type 2B are easily
to identify, whereas the discrimination between normal,
immature, giant, and dysmorphic neurons as well as
assessment of the cortical layering is more difficult. Balloon
cells are large round cells with a diameter of 20–90 lm.
They have an eccentric nucleus and a pale and eosinophilic
cytoplasm in H&E stains (Fig. 2 in ‘‘Metallic Implants’’).
Balloon cells are preferentially located in deeper cortical
layers and the subcortical white matter, and reflected with
additional hypomyelination as subcortical funnel-shaped
FLAIR hyperintensity on MRI (Urbach et al. 2002). It is
important to note that balloon cells are pluripotent brain
cells with characteristics of both neuronal and glial lineage.
They likely fail to differentiate into a specific cell type
within the first trimester. Lesions containing balloon cells
(FCD type 2B, hemimegalencephaly, tuberous sclerosis
complex) are therefore considered as lesions due to dis-
turbed neuronal/glial proliferation and apoptosis.
Dysmorphic neurons are distinguished by giant or
hypertrophic neurons due to their abnormal orientation.
Giant or hypertrophic neurons have significantly larger
cross-sectional areas than immature neurons, which are
round or oval cells with a diameter of 10–12 lm and a thin
rim of cytoplasm (Cepeda et al. 2003).
In addition to FCDs, Palmini and coworkers described
the category of mild MCD (mMCD) previously referred to
as microdysgenesis or architectural dysplasias (Palmini and
Lüders 2002; Palmini et al. 2004). mMCD type 1 include
ectopic neurons placed in or adjacent to cortex layer 1, and
mMCD type 2 ectopic neurons outside layer 1. However,
ectopic neurons with variable morphology can be present in
normal white matter, particularly in the temporal lobe.
The critical issues are whether and which types of mMCD
and FCD are reliably distinguished on neuropathological
specimens and which types can be identified on MRI. There
is some evidence that FCD type 2B and to a lesser degree
FCD type 2A are concordantly identified by neuropatholo-
gists whereas interobserver agreement is low for FCD type 1
and mMCD (Chamberlain et al. 2009). FCD type 2B are
readily identified on MRI due to their funnel-shaped FLAIR
hyperintensity, however, smaller lesions in the depth of a
sulcus can be easily overlooked (Wagner et al. 2011a, b).
FCD type 2A are more difficult to detect because the only
abnormality may be an altered cortical thickness (Wagner
et al. 2011a, b). mMCD and FCD type 1 are either MRI
normal (around 1/3 of cases) (Tassi et al. 2010) or may show
a reduced brain volume and/or an increased white matter
signal approaching the gray matter signal on FLAIR and T2-
weighted sequences. This pattern may be described as gray–
white matter demarcation loss (Schijns et al. 2011). The
pathological substrate of gray–white matter demarcation
loss may be the increased number of subcortical white
matter neurons or—as recently suggested—dishomogeneous
staining of the white matter, reduction in the number of
axons and axonal degeneration (Garbelli et al. 2012) is likely
the increased number of subcortical white matter neurons. If
gray–white matter demarcation loss is absent on MRI or if
only cortical dyslamination is present on neuropathological
specimens, FCD type 1 are likely missed on MRI.
138 H. Urbach and S. Greschus
5 Mild Cortical Malformations and Focal
Cortical Dysplasias Type 1
5.1 Definition
This encompasses developmental or acquired malformation
of cortical development affecting neocortical lamination.
5.2 Epidemiology
The incidence is unknown inasmuch as MRI negative
lesions may be missed and the relative frequencies depend
on the age groups and vary among large epilepsy surgery
centers (Fauser et al. 2006; Krsek et al. 2008, 2009a; Lerner
et al. 2009; Tassi et al. 2010; Hildebrandt et al. 2005;
Chamberlain et al. 2009).
5.3 Pathogenesis and Pathology
FCD type 1A according to Blümcke and the ILAE com-
mission is characterized by abundant microcolumnar orga-
nization. A microcolumn is defined by more than eight
neurons aligned in a vertical direction provided the section
is cut perpendicular to the pial surface, a 4-lm thin paraffin
embedded section and NeuN immunohistochemistry are
used, and aligned neurons have a small diameter and cell
size of 250 lm2
(Hildebrandt et al. 2005). However, mi-
crocolumns can be also seen at lower frequency and with
fewer neurons in nonepileptic brain samples, as well as in
the vicinity of other epileptogenic lesions.
FCD type 1B according to Blümcke and the ILAE
commission is characterized by an abnormal tangential
cortical lamination. No cortical layers (with the exception
of layer 1) may be recognized or blurred demarcation
between cortical layers exists.
FCD type 1C comprises lesions with abnormal radial and
tangential cortical lamination.
In FCD type 1, the border towards white matter is usu-
ally less sharply demarcated due to increased numbers of
heterotopic neurons. Cellular abnormalities can be
encountered in this variant, and include immature small
diameter neurons or hypertrophic pyramidal neurons out-
side layer 5 (Blümcke et al. 2011).
5.4 Imaging
FCD type 1 can be detected on MRI if the affected brain
region has a smaller volume and/or if an increased density
of subcortical white matter neurons causes a higher white
matter signal and impedes the demarcation of gray and
white matter (gray–white matter demarcation loss). One-
third of FCD type I are considered MRI negative (Tassi
et al. 2010) which is reasonable if cortical dyslamination
is the only histopathological substrate.
6 Focal Cortical Dysplasia Type 2A
6.1 Definition
Malformation of cortical development with dysmorphic
neurons but without balloon cells. It is considered that
malformation occurs during the cortical organization stage
(Barkovich et al. 2005).
6.2 Epidemiology
In most but not all larger epilepsy surgery programs, FCD
type 2A are distinctly less frequent than FCD type 2B
(Fauser et al. 2006; Krsek et al. 2008; Lerner et al. 2009;
Wagner et al. 2011a, b; Chang et al. 2011).
6.3 Pathogenesis and Pathology
FCD type 2A are characterized by a disturbed cortical
architecture with dysmorphic neurons but without balloon
cells. Because balloon cells accumulate within the subcor-
tical, distinctly FLAIR hyperintense lesion parts and it is not
necessary to resect these lesion parts to achieve seizure
freeness following surgery (Wagner et al. 2011a, b), FCD
type 2B lesions can be misclassified as FCD type 2A lesions.
6.4 Clinical Presentation
Drug-resistant epilepsy with focal (complex focal [ simple
focal) without or with secondarily generalized seizures.
6.5 Imaging
FCD type 2A are characterized by an altered cortical relief
and thickness. The border to the subcortical white matter is
sometimes blurred. The distinct, often funnel-shaped or
ribbonlike FLAIR hyperintensity as the imaging hallmark
of FCD type 2B is lacking, therefore lesions are overlooked
on MRI but highlighted by voxel-based morphometry. In
the Bonn epilepsy surgery program, detection rates for
visual and voxel-based morphometry were 65 and 82 % for
FCD type 2A as compared to 91 and 92 % for FCD type 2B,
respectively (Wagner et al. 2011a, b) (Fig. 9).
Malformations of Cortical Development 139
7 Focal Cortical Dysplasia Type 2B
Synonym(s): FCD with balloon cells, Taylor type dysplasia,
and transmantle dysplasia.
7.1 Definition
FCD 2B is the malformation of cortical development
affecting the stage of neuronal and gial proliferation and
apoptosis.
7.2 Epidemiology
In 1971, Taylor et al. described ten patients with FCDs;
seven of them had balloon cells within their histological
specimens. Taylor described these cells as ‘‘malformed cells
of uncertain origin with large, sometimes multiple, nuclei
surrounded by an excess of opalescent, pseudopodic cyto-
plasm. These grotesque forms were concentrated in the
deeper layers of the disorganized cortex and in the under-
lying white matter’’ (Taylor et al. 1971).
FCD 2B is the most common resected cortical dysplasia.
Numbers in epilepsy surgery centers range from 18 to 80 %
Fig. 9 FCD 2A are characterized by an altered cortical architecture
with focal cortical thickening, but without significant signal changes.
On visual analysis, they are more often overlooked as compared to
FCD 2B. Proof of epileptogenicity by depth electrodes is typically
needed. a–d a FCD 2A detected on visual analysis (a–c: arrow) and
proven by Voxel-based morphometry, in which the junction map
(d) shows the focal cortical thickening highlighting, what is
subcortical white matter in healthy patients (d: arrows). e–h a FCD
II a suspected on FLAIR sequences (a, b: arrow), unproven by Voxel-
based morphometry, which epileptogenicity was proven by depth
electrodes (c: arrows) and postsurgical seizure freeness (h). i–l a FCD
II a overlooked on visual analysis (i, j: arrows), detected by Voxel-
based morphometry, which epileptogenicity was proven by depth
electrodes (k, l) and postsurgical seizure freeness
140 H. Urbach and S. Greschus
in part depending on whether mild malformations are
counted as FCDs.
7.3 Pathogenesis and Pathology
Two-thirds of patients have polymorphisms or loss of het-
erozygosity of the TSC1 gene on the short arm of chromo-
some 9 (9q34). The TSC1 gene encodes for the protein
hamartin, and one polymorphism is located on exon 17,
which is the region of the hamartin protein interacting with
the protein tuberin as a product of the TSC2 gene. Hamartin
and tuberin together have a tumor-suppressor function on
maturating neurons, and the same hamartin polymorphism is
also found in tuberous sclerosis patients (Becker et al. 2002).
Histopathological specimens show an altered cortical
architecture with dysmorphic neurons, giant neurons, and
balloon cells. Balloon cells accumulate within the subcor-
tical, distinctly FLAIR hyperintense lesion parts.
7.4 Clinical Presentation
Drug-resistant epilepsy with focal (complex focal [ simple
focal) without or with secondarily generalized seizures.
Following surgery, [80 % of patients are seizure-free.
The major reason for persistent seizures after surgery is
incomplete resection of the cortical part of the FCD (Krsek
et al. 2009b). Resection of the funnel-shaped subcortical
part is not necessary to achieve freedom from seizures
(Wagner et al. 2011a).
7.5 Imaging
MRI hallmark is a distinct funnel-shaped FLAIR hyperin-
tensity tapering towards the lateral ventricle, which has
been called the transmantle sign and which is found in 90 %
of cases (Taylor et al. 1971; Barkovich et al. 1997; Urbach
et al. 2002; Widdess-Walsh et al. 2005). In some instances,
the FLAIR hyperintensity can be followed towards the
lateral ventricle; in other instances it appears as a penlike
line along the inner cortical surface.
The dysplastic cortex is isointense on T1-weighted
images. FCD 2B are therefore only visible on T1-weighted
images if the cortex is markedly thickened or if they are
distinct adjacent to white matter changes. The dysplastic
cortex is isointense (1/3) or slightly hyperintense (2/3) on
T2-weighted, and slightly hyperintense on FLAIR fast spin
echo sequences.
FCDs 2B are typically single neocortical lesions; the
most common location is—likely due to the lobe size—the
frontal lobe. If there is more than one dysplasia, one should
consider tuberous sclerosis and carefully look for sube-
pendymal giant cell astrocytoma and subependymal nod-
ules. FCDs with balloon cells on surgical specimens are
identical or similar to cortical tubers of tuberous sclerosis
and may indeed represent a forme fruste or phenotypic
variation of tuberous sclerosis.
FCDs 2B are of different sizes. Small lesions are either
restricted to the cortex at the bottom of a sulcus (bottom of
sulcus dysplasia) or at the crown of a gyrus (Barkovich et al.
2005; Besson et al. 2008). If they are located at the bottom
of a sulcus, the sulcus itself is often somewhat deeper and
widened (Besson et al. 2008) (Figs. 10, 11). The bottom of
sulcus dysplasia can be easily overlooked, especially on
axial FLAIR images. Due to their spatial orientation,
coronal and sagittal FLAIR sequences, isotropic 3D FLAIR
sequences, and/or voxel-based analyses may be needed
(Wagner et al. 2011a, b).
With increasing size, two or more adjacent gyri are
affected. If a large amount of tissue of a lobe or an entire
hemisphere is involved, separation from focal megalen-
cephaly may be impossible (Fig. 12). Moreover, the cortical
aspect of these lesions cannot be completely resected and
the chance of seizure freedom declines to less than 50 %
(Wagner et al. 2011a).
Calcification within the subcortical lesion parts may occur
in larger lesions; contrast enhancement is typically absent.
8 Hemimegalencephaly
8.1 Epidemiology
Severe malformation of cortical development due to a
disturbance in the neuronal and glial proliferation stage
( Table 1). The first description was by Sims in 1835 after
reviewing 253 autopsies (Sims 1835). Three types are
distinguished (Flores-Sarnat 2002):
1. Isolated form without systemic involvement.
2. Syndromic form which may occur as hemihypertrophy
of part or all of the ipsilateral body. It has been described
in patients with organoid (formerly: epidermal) nevus
syndrome (? Neurocutaneous Diseases (Phakomatoses)
7 g), Proteus syndrome (? Neurocutaneous Diseases
(Phakomatoses) 7 g), neurofibromatosis type 1 (Neuro-
cutaneous Diseases (Phakomatoses) 4 c), hypomelanosis
of Ito (? Neurocutaneous Diseases (Phakomatoses) 6 f),
Klippel–Trenaunay–Weber syndrome, and tuberous
sclerosis (? Neurocutaneous Diseases (Phakomatoses)
1 a) (Barkovich and Chuang 1990; Broumandi et al.
2004; Wolpert et al. 1994).
3. Total hemimegalencephaly with enlargement of the
ipsilateral half of the brainstem and cerebellum.
Malformations of Cortical Development 141
Fig. 10 FCD 2B in the depth of
a sulcus (bottom of sulcus-
dysplasia): a circumscribed
thickening of the cortex in the
depth of the right intraparietal
sulcus is difficult to detect on
axial (a) and coronal (b) FLAIR
images (arrow). Sagittal FLAIR-
MRI shows thickening of the
cortex and funnel-shaped
hyperintensity tapering to the
wall of the lateral ventricle (c:
hollow arrow). Acquisition of a
3D-FLAIR-sequence (d) with
isotropic voxel enables
reformation in three orthogonal
planes (e, f)
142 H. Urbach and S. Greschus
Fig. 11 Examples of small FCDs
2B (bottom of sulcus dysplasias).
In the upper row, a circumscribed
cortex thickening around a
somewhat deeper sulcus exists
(arrow) (a, b), the middle row
shows a champagner glass-like
hyperintensity to the lateral
ventricle (transmantle sign)
(arrow) (c, d), the lower row, a
point-like hyperintensity in the
depth of a somewhat deeper
additional sulcus (arrow) (e, f)
Malformations of Cortical Development 143
Fig. 12 Large FCD IIB of the
right frontal lobe. Diagnostic clue
is the distinct subcortical
hyperintensity (a-c: arrow,
d–f) and when related to the size
of the lesion the nearly lacking
space occupying effect. The
lesion involves the basal part of
the precentral gyrus (e: arrow:
‘‘handknob’’) and could therefore
not be fully resected. Following
incomplete resection the patient
did not become seizure free
144 H. Urbach and S. Greschus
8.2 Pathogenesis and Pathology
Hemimegalencephaly means an hamartomatous overgrowth
of an entire or parts of a hemisphere. The affected hemisphere
is larger and has a higher weight than normal. Gyral pattern is
abnormal and may include areas of agyria, pachygyria, and
polymicrogyria. Microscopically, a horizontal layering of the
cortex is lacking and the underlying white matter is not really
demarcated. Neurons are larger and less densely packed, and
the number of glial cells is increased.
Similar to FCD 2B and hamartomas of tuberous sclero-
sis, tissue contains balloon cells with immunoreactivity for
both glial (glial fibrillary acid protein GFAP, S-100b) and
neuronal proteins (microtubule-associated protein 2 MAP2,
neuronal nuclear antigen, chromogranin A, neurofilament
protein) (Flores-Sarnat et al. 2003).
8.3 Clinical Presentation
Drug-resistant epilepsy with frequent seizures often propa-
gating to the contralateral hemisphere. Due to the severity
of the seizures, functional hemispherectomy is the treatment
of choice. The aim of this treatment is to interrupt seizure
propagation to the contralateral hemisphere. # = $.
8.4 Imaging
The abnormal hemisphere is larger than the contralateral
one, and the midline is pushed to the contralateral side
(Figs. 13, 14). The lateral ventricle is enlarged; straighten-
ing of the ipsilateral frontal horn is considered characteristic
(Barkovich and Chuang 1990).
The cortex appears thickened and enlarged, the gyri are
usually broad and flat and the sulci shallow. The Sylvian
fissure is short and thickened and the posterior end is open.
Gray and white matter are difficult to delineate from each
other. White matter volume is increased and the white
matter signal on T2-weighted images is clearly abnormal. In
neonates, the white matter signal on T2-weighted images is
low as opposed to normal neonates, in which the white
matter signal is higher than that of gray matter. A low white
matter signal in the fetus and the neonate is explained with
advanced myelination at this age (Yagishita et al. 1998)
(Figs. 13, 14, 15). In older children with hemimegalen-
cephalies, the white matter signal becomes higher than
normal reflecting lack of myelin (Adamsbaum et al. 1998).
If only parts of the hemisphere show enlargement and
dysplastic features, the disease may be called focal megal-
encephaly or large FCD 2B (Figs. 12, 15). In these instan-
ces, the subcortical white matter often shows a hyperintense
FLAIR signal likely reflecting the balloon-cell rich part of
the lesion. The critical part in the interpretation of the MRI
is the exclusion of a contralateral lesion.
9 Heterotopia
9.1 Definition
Heterotopias are conglomerate masses of gray matter in an
abnormal location. They can be uni- or bilateral, of a nodular,
ribbonlike, chainlike, ball-like, or curvilinear configuration
and located attached to the ventricle wall, within the white
matter, or attached to the cortex (Barkovich 2000). Micro-
scopically, there are neurons and glial tissue without consistent
arrangement; rudimentary layering may be present.
From an imaging point of view, it is helpful to distin-
guish subependymal (periventricular), subcortical, and band
heterotopias (Barkovich 2000). Note that band heterotopias
are genetically linked and grouped together with type 1
lissencephalies.
9.2 Epidemiology
Heterotopias are quite common MCD.
9.3 Pathogenesis
Heterotopias typically result from impaired migration of
neurons from the germinal matrix in the wall of the lateral
ventricle to the cortex. These ‘‘macroscopic’’ heterotopias
must be separated from ‘‘microscopic’’ heterotopias in
mMCD including ectopic neurons within the white matter,
marginal zone, and subpial heterotopias (Palmini and
Lüders 2002; Barkovich and Kuzniecky 2000). Epileptic
seizures may be generated within the heterotopic neurons or
in the overlying cortex conceptually missing these neurons
or containing displaced neurons (Kirschstein et al. 2003).
Heterotopias may be isolated findings or part of genetically
defined syndromes (e.g., trisomy 18, trisomy 21, Cornelia
de Lange syndrome).
9.4 Clinical Presentation
1. Bilateral periventricular (subependymal) nodular het-
erotopias (BPNH): This common disorder with BPNH is
associated with mutations of the filamin 1-gene (FLN1,
FLNA) on the short arm of the X-chromosome (Xq28)
(OMIM 309550) (Fox et al. 1998). FLNA encodes an actin-
cross-linking phosphoprotein that enables the attachment of
Malformations of Cortical Development 145
Fig. 13 Right-sided
hemimegalencephaly in a
10 months old boy with
enlargement of the right
hemisphere including the lateral
ventricle, displacement of the
mildline to the left side, nearly
agyric cortex, poor demarcation
of gray and white matter, and
T1-weighted hyperintense/T2-
weighted hypointense white
matter signal suggesting
‘‘advanced’’ myelination (a–f)
146 H. Urbach and S. Greschus
neurons to radial glial cells. Neurons that are not attached to
radial glial fibers cannot migrate towards the cortex. Hints
for X-chromosomal inheritance are prior abortions because
boys with one X-chromosome often die embryonically.
Alive males have a higher incidence of neurodevelopmental
and other disabilities including cerebellar hypoplasia and
syndactyly, short gut syndrome, congenital nephrosis,
frontonasal dysplasia, coagulopathies, patent ductus arteri-
osus, and others (Dobyns et al. 1997; Palm et al. 1986;
Guerrini and Dobyns 1998; Fox et al. 1998). Female
patients may show normal intelligence or slight or moderate
mental retardation; 80 % are affected by variable epilepsy
syndromes with seizures usually starting in the second
decade of life (Barkovich and Kuzniecky 2000).
Other BPNH types are frequently associated with
microcephaly and include mutations of the MCPH1 gene on
chromosome 8p23 encoding for microcephalin (Jackson
2002), mutations of the ASPM gene on chromosome 1q31
(Bond et al. 2002), and mutations of the ARFGEF2 gene on
chromosome 20q13.3 (Sheen et al. 2004). Another BNPH
type is associated with mutations on chromosome 5, yet the
gene defect is unknown (Sheen et al. 2003).
2. Subcortical heterotopias: These are less common than
subependymal heterotopias. They can be uni- or bilateral,
and size, extent, and location of the lesion(s) are fairly
correlated with the patient’s symptoms. Associated brain
anomalies are common (callosal agenesis/hypoplasia, 70 %
of cases; ipsilateral basal ganglia dysmorphy).
3. Laminar or band heterotopia: Laminar heterotopia is
more common than previously thought (Huppertz et al.
2008). Broad bands of heterotopic gray matter which are
often associated with distinct mental retardation and drug-
resistant epilepsy syndromes are easily recognized. Thin
strips of heterotopic gray matter, however, are often asso-
ciated with only mild mental retardations and are easily
missed.
9.5 Imaging
Heterotopias typically have a signal isointense to gray
matter in all MRI sequences. However, in rare cases nodular
heterotopias may be calcified, likely reflecting degenerative
changes (Urbach et al. 2003).
Nodular heterotopias are typically attached to the lateral
ventricle walls and often bulge into its cavity. Typical
locations are the corners of the lateral ventricles or the
ventrolateral circumferences of the temporal horns
(Fig. 16).
Subcortical heterotopias can be found in any location
and with different sizes. They consist either of multiple
nodules, have a curvilinear configuration with the
appearance of an enfolded cortex, or a mixture of both
with the nodular configuration closer to the ventricle and
the curvilinear configuration peripherally (Barkovich 2000)
(Fig. 17).
Fig. 14 Right-sided hemimegalencephaly in a female at the 35th
gestational week (a), at the age of 7 months (b), and at the age of
12 months (c). Enlargement of the right hemisphere and the lateral
ventricle (b: hollow arrow) and an ‘‘open’’ end of a rudimentary
Sylvian fissure (a–c: black arrows) are typical findings. The hypoin-
tense white matter signal is already visible in utero (a). Normal
myelination turning a hyperintense into a hypointense white matter
signal only takes place in the left hemisphere (b, c: white arrow)
Malformations of Cortical Development 147
Laminar heterotopias consist of bands of heterotopic matter
beneath the cortex. If these bands are thin, high-resolution
images, specially reformatted T1-weighted gradient echo
imagesincoronalorientationareneededtodetectthem(Fig. 6).
Since heteropias can occur alone or with other malfor-
mations (polymicrogyria, pachygyria, callosal agenesis,
microcephaly, et al.), it is sometimes difficult to clearly
separate heterotopias and, for example, polymicrogyria.
Fig. 15 Three examples of large dysplastic lesions containing
balloon cells. a–b from a 1 year old girl show enlargement of the
right hemisphere sparing its posterior parts. For side comparison, see
planar surface view of both hemispheres (b). Hypointense white
matter signal (a: arrow) suggests ‘‘advanced’’ myelination. c–e from
a 36 year old male and f–h from a 29 year old male can be classified
as large FCD IIB or as focal megalencephaly (c: arrow marks central
sulcus)
148 H. Urbach and S. Greschus
10 Polymicrogyria and Schizencephaly
10.1 Epidemiology
Rather frequent malformation of cortical development,
which is considered to be caused in the late stage of neu-
ronal migration or in the stage of cortical organization. The
result is a derangement of the normal six-layered lamination
of the cortex associated with derangement of sulci and
fusion of the molecular layer across sulci. #: $ = 3:2
(Leventer et al. 2010).
10.2 Pathogenesis
The etiology is heterogeneous comprising intrauterine ische-
mia, intrauterine infections (particularly cytomegalovirus,
toxoplasmosis, varicella zoster, syphillis), and several genetic
(Xq21.33-q23 ? SRPX2, 2q21.3 ? RAB3GAP1, 3q21.3-
p21.2 ? EOMES, 6p25 ? TUBB2B, 1q22.1 ? KIAA1279,
11q13 ? PAX6, 21q22.3 ? COLI18A1, 22q11.2 ? multiple
genes, Xq28, 16q12.2-21 ? GPR56 (Barkovich 2010) and
metabolic diseases.
Symmetric polymicrogyrias are suggestive of genetic
causes, however, an unilateral familiar syndrome has been
described (Jansen and Andermann 2005; Chang et al. 2006).
Common symmetric polymicrogyrias are bilateral perisyl-
vian polymicrogyria (Kuzniecky syndrome) due to muta-
tions on three gene loci on the X chromosome (Xq21.33-
q23, 22q12, Xq28), bilateral fronto-parietal (autosomal-
recessive, 16q12.2-21 ? GPR56), and bilateral parasagittal
parieto-occipital polymicrogyria (Kuzniecky et al. 1993). In
bilateral fronto-parietal polymicrogyria due to GPR56
mutations, the gene product is important for the attachment
of radial glial cells to the pial limiting membrane. If this
attachment fails, neurons migrate too far and a cobblestone
pattern results. Associated anomalies are a small pons and a
small dysplastic cerebellum. With the pathophysiological
mechanism of neurons migrating too far, this syndrome
belongs rather to malformations due to abnormal terminal
migration and defects in pial limiting membrane (see
Table 1) (Barkovich et al. 2012).
Polymicrogyria is often associated with other malfor-
mative lesions such as corpus callosum agnenesis or
hypogenesis, cerebellar hypoplasia, periventricular nodular
heterotopia, and subcortical heterotopia.
d
a b c
e f
Fig. 16 Bilateral nodular periventricular heterotopias with relatively small nodules along the inferior horns of the lateral ventricles (a, c–f: arrows).
The 31 year old woman suffered from temporal lobe seizures since 3 years and did not take antiepileptic drugs so far
Malformations of Cortical Development 149
Schizencephaly is always associated with polymicrogy-
ria; it means cleft brain and is characterized by a commu-
nication between ventricle and subarachnoid space. Cortical
lips are either attached (closed lips) or separated by CSF
(open lips) (Barkovich 2002).
10.3 Clinical Presentation
Broad spectrum of ranging from intellectual impairment to
hemiparesis, tetraparesis, and drug-resistant epilepsy. Sei-
zures are present in 80 % of cases and may be of many
clinical types (Leventer et al. 2010). Severity of clinical
presentation and age at presentation are related to the extent
of cortical involvement and associated abnormalities. In
severe cases, pseudobulbar paralysis (oropharyngeal dys-
function, dysarthria), epilepsy, mental retardation, and
congenital arthrogyposis may result.
Another syndrome complex is polymicrogyria associ-
ated with megalencephaly, postaxial syndactyly, cutis
marmorata, distinct facial features including frontal boss-
ing, a low nasal bridge, large eyes, and midfacial vascular
malformations. Affected children have epileptic seizures
and delayed or a lack of motor and intellectual develop-
ment. Apart from mostly perisylvian polymicrogyria, MRI
shows (progressive) hydrocephalus, a thick corpus callo-
sum, and caudal tonsillar displacement. These megalen-
cephalies associated with polymicrogyria were formerly
denominated as megalencephaly–polymicrogyria–polydac-
tyly–hydrocephalus, macrocephaly–capillary malforma-
tion, and macrocephaly–cutis marmorata telangiectata
congenita syndromes, respectively (Garavelli et al. 2007;
Gripp et al. 2009; Barkovich et al. 2012). Polymicrogyria
may be among others a part of the following diseases
(Barkovich 2010; Hermier et al. 2010; Barkovich et al.
Fig. 17 Large subcortical heterotopia with a curvilinear pattern in a
3.5 year old boy with a right-sided spastic hemiparesis and daily drug-
resistant atonic seizures. The heteropia is isointense to gray matter in
all sequences and resembles enfolded polymicrogyriform cortex. Note
the abnormal sulcation and the fact that the affected hemisphere is
small as compared to the opposite hemisphere (a–f)
150 H. Urbach and S. Greschus
2012; Hevner 2005; Dixon-Salazar et al. 2004; Giordano
et al. 2009).
10.4 Pathology
Unlayered and four-layered polymicrogyria are distin-
guished. In unlayered polymicrogyria, there is a thin undu-
lating ribbon consisting of a molecular layer and a neuronal
layer without lamination. The molecular layer is fused across
the sulci, and the brain surface may appear coarse or delicate.
Four-layered polymicrogyria is less common; it consists
of a molecular layer and two layers of neurons separated by
an intermediate layer of few neurons and myelinated fibers.
10.5 Imaging
Affected patients can be microcephalic (50 %), normo-, or
macrocephalic.
Polymicrogyria can be focal, multifocal, or diffuse,
unilateral, bilateral-asymmetrical, and bilateral symmetri-
cal. The most common location is around the posterior
portions of the Sylvian fissure (60–70 % of cases), which
typically takes a steeper course. This region should be
carefully inspected on sagittal 3D-T1-weighted gradient
echo images (Fig. 19) According to the severity on the
MRI, four grades are distinguished: grade 1, with perisyl-
vian polymicrogyria extending to the frontal or occipital
pole; grade 2, with polymicrogyria extending beyond the
perisylvian region, but not to either pole; grade 3, with
polymicrogyria of the perisylvian region only; and grade 4,
with polymicrogyria restricted to the posterior perisylvian
region (Jansen and Andermann 2005).
The cortical surface shows either multiple small gyri or it
appears thick and bumpy or paradoxically smooth because
the outer cortical layer (molecular layer) fuses over the
microsulci. The overlying subarachnoid space is focally
widened and may contain enlarged flow void structures
representing anomalous venous drainage (around 50 % of
cases; Fig. 18) (Hayashi et al. 2002).
Significant signal changes of the cortex are lacking,
however, the degree of myelination of subcortical or
intracortical fibers alters the appearance: in unmyelinated
regions, the inner surface of the polymicrogyric cortex
looks thin (2–3 mm); in myelinated regions it looks thicker
(5–8 mm) and relatively smooth (Takanashi and Barkovich
2003) (Figs. 19, 20).
11 Aicardi Syndrome
11.1 Epidemiology
Rare, X-chromosomal-inherited disease in girls. Boys with
one X-chromosome are not viable. The initial description
was by the French neurologist Dr. Aicardi and coworkers in
1965 (Aicardi et al. 1965).
11.2 Pathogenesis and Pathology
Probably de novo mutation on the short arm of the
X-chromosome.
Pathological core features are callosal agenesis, inter-
hemispheric cysts, and ocular abnormalities (microphthal-
mia, chorioretinal lacunae, colobomas).
Other abnormalities may be found in the hemispheres
(subependymal and subcortical heterotopias, polymicrogy-
ria), in the posterior fossa (cerebellar hypoplasia, arachnoid
cysts), in the vascular system (A. cerebri anterior azygos),
in the ventricles (choroidal plexus cysts and papillomas),
and in the spine and bony system (fusion of vertebral
bodies, hemivertebra, fused ribs, scoliosis, spina bifida,
hand and finger anomalies).
11.3 Clinical Presentation
Callosal agenesis and interhemispheric cysts are usually
detected by ultrasound in utero. Newborns are typically blind
and suffer from infantile spasms. A significant number of girls,
however, seem to develop normally until around the age of 3
months, when they begin to have infantile spasms. Ocular
examinationrevealszonesofdepigmentationofthe pigmented
epithelium characterized as chorioretinal lacunae (Hoyt et al.
1978). Only 40 % of girls get older than 15 years of age.
11.4 Imaging
In a blind female newborn with epileptic seizures look for
callosal agenesis, interhemispheric cyst(s), and cortical
Aicardi syndrome (? 18 h) OMIM 304050
Delleman syndrome (oculo-cerebral-cutaneous
syndrome)
OMIM 164180
DiGeorge (22q11.2 deletions) syndrome OMIM 188400
Warburg micro syndrome OMIM 600118
D-bifunctional protein deficiency syndrome OMIM 261515
Joubert syndrome and related disorders
including Meckel–Gruber syndrome, Arima
(cerebro-oculo-renal) syndrome
OMIM 608629,
…
Adams–Oliver syndrome OMIM 100300
Hereditary hemorrhagic telangiectasia (Rendu–
Osler disease)
OMIM 187300,
600376
Apert syndrome (Acrocephalosyndactyly) OMIM 101200
Malformations of Cortical Development 151
dysplasias (heterotopias, polymicrogyria) (Figs. 21, 22).
Since myelination is yet incomplete or delayed, cortical
dysplasias can be easily overlooked.
12 Tuber Cinereum and Hypothalamic
Hamartomas
12.1 Epidemiology
This is rare congenital gray matter ‘‘heterotopia’’ of the
tuber cinereum and hypothalamus in children with preco-
cious puberty at a very young age and/or gelastic seizures.
12.2 Clinical Presentation
Precocious puberty (75 % of patients) occurs in young
children, for example, a 3-year-old boy shows the sexual
development of a 16-year-old boy. 1/3 of patients with
precocious puberty has tuber cinereum hamartomas.
Gelastic seizures occur in 50 % of patients. Apart from
gelastic seizures complex-focal and secondary generalized
tonic–clonic seizures mimicking temporal lobe seizures
may occur. In addition, patients show mental and behavioral
abnormalities.
Consider Pallister–Hall syndrome (7p13, GLI3 frame-
shift-mutations) in children with tuber cinereum hamartoma,
Fig. 18 Right-sided polymicrogyria in a 26 year old man with atonic
and complex focal seizures with secondary generalization. Note the
enlarged subarachnoid space (a–f) with enlarged flow void structures
(c: arrow) and a steeper course of the Sylvian fissure (b). The brain
surface appears rather smooth due to a fusion of the outer cortical layer
(molecular layer) above the sulci and only the inner cortical boundary
reveals multiple small gyri (e, f: arrow)
152 H. Urbach and S. Greschus
hand (ossa metacarpalia, syndactyly, polydactyly), and other
malformations (epiglottis, larynx, heart, kidneys, anus).
12.3 Pathology
The tuber cinereum is a gray matter protuberance within the
dorsal wall of the infundibulum. Hypothalamic or tuber
cinereum hamartomas are congenital malformations with
neurons similar to hypothalamic neurons, myelinated and
unmyelinated axons, and variable amounts of fibrillary
gliosis. They may express several hormones (especially
GnRH) associated with premature activation of hypotha-
lamic–pituitary–gonadal axis secretion.
12.4 Imaging
Round, sessile, or pedunculated mass lesion dorsal to the
infundibular stalk, involving the mammillary region of the
Fig. 19 Bilateral perisylvian polymicrogryia in a 16 year old girl
with sleep-related complex focal seizures. Sagittal T1-weighted
gradient echo image (a) shows a steeper course of the Sylvian fissure
and the left side (arrow) more severely affected than the right side. In
order to recognize a bilateral distribution, it is important to inspect the
posterior border of the Sylvian fissure (b–d: hollow arrow)
Malformations of Cortical Development 153
hypothalamus, with attachment to one or both mammillary
bodies is seen. The size is a few millimeters up to several
centimeters, which does not increase on follow-up MRI. In
larger hamartomas, the intrahypothalamic component lies in
the wall of the third ventricle between the postcommissural
fornix anteriorly, the mammillothalamic tract posteriorly,
and the mammillary body inferiorly.
The signal intensity is close to gray matter: slightly
hypointense or isointense on T1-weighted, slightly hyper-
intense on T2-weighted images, and hyperintense on
FLAIR sequences. Note that small lesions can be missed on
FLAIR sequences due to CSF flow artifacts. There is no
contrast enhancement. Cystic portions and calcifications are
rare; if present other lesions (e.g., craniopharyngioma)
should be considered.
Hypothalamic hamartomas associated with epilepsy
have a sessile attachment to the hypothalamus and dis-
place normal hypothalamic structures, whereas those
associated with precocious puberty alone are rather
pedunculated (Valdueza et al. 1994; Freeman et al. 2004;
Frazier et al. 2009).
Some patients also have temporal arachnoid cysts and
(more common) unilateral or bilateral anterior temporal
gray–white matter demarcation loss. For those with unilat-
eral abnormality it is ipsilateral to the side of predominant
hypothalamic hamartoma attachment. It may reflect ictal
involvement of the temporal lobe during postnatal brain
development and suggests anterior temporal gray–white
matter demarcation loss as a maturation disorder of the
temporal pole.
13 Anomalies of the Ventral
Prosencephalon Development
13.1 Holoprosencephalies
13.1.1 Epidemiology
Holoprosencephaly was initially described by Yakovlev
(1959). It means a median holosphere instead of two
hemispheres (Yakovlev 1959). It is a brain malformation in
which the cleavage of the telencephalic vesicle into two
hemispheres and the separation of the eye fields are dis-
turbed. This cleavage normally takes place around week 6
of gestation. Associated craniofacial abnormalities range
from cyclopia to mild microcephaly with a single central
incisor (Roessler and Muenke 1999; Moog et al. 2001).
Holoprosencephaly is a continuous disease spectrum rang-
ing from severe (alobar) to mild (lobar) forms. The preva-
lence is 1:16,000 live births, however, many fetuses
Fig. 20 Focal polymicrogyria of
the left cingulate gyrus in a
21 year old woman with focal
frontomesial seizures since the
age of 1. The microgyri are not
visible on a 5 mm thick axial
FLAIR image (a: point). In
contrast, a 1 mm thick sagittal
T1-weighted gradient echo image
shows microgyri (b, d: unaffected
right side). A planar surface view
allows to compare both cingulate
gyri and displays the focal
polymicrogyria more clearly
(c: arrow)
154 H. Urbach and S. Greschus
(approximately 1:250) die spontaneously or by induced
abortion (Roach et al. 1975; Matsunaga and Shiota 1977;
Moog et al. 2001).
13.1.2 Pathogenesis
The etiology of holoprosencephaly is heterogeneous
including genetic (at least 12 genetic loci = HPE 1–12) and
environmental (e.g., maternal diabetes, teratogenes) factors
(Moog et al. 2001).
13.1.3 Clinical Presentation
Holoprosencephaly patients present with a wide range of
manifestations: severely affected children with alobar hol-
oprosencephaly are usually diagnosed by fetal ultrasound,
have distinct facial abnormalities, are either not viable or
survive with neonatal seizures, infantile spasms, apnea,
rigidity, and temperature imbalances. Less severely affected
patients suffer from different grades of mental retardation,
spasticity, chorea-athetosis, and endocrine and visual dis-
turbances. Nearly half of these patients have some kind of
seizures, which, however, are drug-resistant in only a
minority of patients (Lewis et al. 2002).
Associated syndromes are Smith–Lemli–Opitz syndrome
(autosomal-recessive disorder of cholesterol biosynthesis
with cleft palate, genital malformations, polydactyly, and
holoprosencephaly), Genoa syndrome (cleft soft palate,
holoprosencephaly, craniosynostosis, Dandy–Walker mal-
formation, bilateral microphthalmia, scoliosis, aortal
coarctation), and CHARGE syndrome (coloboma, heart
anomaly, retardation, genital and ear anomalies) (Tortori-
Donati 2005).
Fig. 21 Aicardi syndrome:
a–c 7 month old girl with callosal
agenesis, interhemispheric cyst
(a, c: arrow) and subependymal
heterotopias, which are difficult
to delineate due to incomplete
myelination (hollow arrows).
d With higher field strength and
signal to noise ratio—as in this
example of a 5 month old girl—
heterotopias are better detectable
(hollow arrow). Also note
polymicrogyria (white arrows)
and interhemsipheric cyst (black
arrow)
Malformations of Cortical Development 155
Fig. 22 Tuber cinereum
hamartomas: a–f a 4 mm large
sessile hamartoma in a 46 year
old man with gelastic seizures.
The hamartoma indents the
dorsal wall of the third ventricle
(e: black arrow pointing to the
infundibular recess) and is medial
and above the right mamillary
body (a–e: white arrow). It is
isointense to gray matter on
T2-weighted (a), Inversion
Recovery (b), and T1-weighted
gradient echo (d, e), but
hyperintense on FLAIR
sequences (c). f–g a 3 cm
hamartoma in a 1 year old girl
with gelastic seizures and visual
disturbances. The center of the
hamartoma is dorsal and above
the pituitary gland (f: arrow
points to the hyperintense signal
of the neurohypophysis) and the
infundibular stalk (g: arrow)
156 H. Urbach and S. Greschus
13.1.4 Imaging
Four types are distinguished (DeMyer et al. 1964;
Barkovich and Quint 1993):
1. Alobar holoprosencephaly
2. Semilobar holoprosencephaly
3. Lobar holoprosencephaly
4. Middle interhemispheric variant of holoprosencephaly,
syntelencephaly.
Alobar, semilobar, and lobar holoprosencephaly repre-
sent a continuous disease spectrum, in which anterior
structures and those located towards the midline are more or
less noncleaved. Alobar holoprosencephaly is characterized
by a large holoventricle continuous with a large dorsal cyst.
Midline structures (superior sagittal sinus, septum pelluci-
dum, corpus callosum, third ventricle, pituitary gland,
olfactory bulbs) are lacking (Simon et al. 2001).
In semilobar holoprosencephaly, there is some degree
of cleavage of the posterior brain structures (Fig. 23).
A so-called pseudosplenium, which is in fact an enlarged
hippocampal commissure and not a true splenium, is
present and the degree of anterior extension is considered
as a marker of the severity of holoprosencephaly (Oba and
Barkovich 1995).
Fig. 23 Semilobar holoprosencephaly in a 4 days old girl. The frontal portions of the brain hemispheres are non-cleaved. A partially cleaved
‘‘holoventricle’’ with rudimentary temporal horns (c: arrow), a rudimentary third ventricle (a: arrow) and partially separated thalami are visible
Fig. 24 Middle interhemispheric variant of holoprosencephaly in a
45 year old man. The anterior portion of the corpus callosum including
the genu is thin but present (a: arrow). The hemispheres are non-
cleaved only within their central segments, while an anterior
interhemispheric fissure was built (c: arrow). Note the absent septum
pellucidum, a box-like shape of the anterior horns of the lateral
ventricles, vertically oriented hippocampi (b: thick arrows) and an
azygos anterior cerebral artery (b: arrow)
Malformations of Cortical Development 157
Lobar holoprosencephaly is the mildest form; patients
may be normal or only mildly retarded. An absent septum
pellucidum with a boxlike shape of the lateral ventricles on
coronal slices may be the only sign of lobar holoprosen-
cephaly and is distinguished from septo-optic dysplasia by
normal optic nerves and chiasm. However, even in these
circumstances the hippocampi are typically malrotated
showing a vertical orientation.
The middle interhemispheric variant is characterized by
noncleavage of the frontodorsal and parietal brain regions
whereas the rostrobasal forebrain has cleaved and an ante-
rior interhemispheric fissure and in some cases even a
septum pellucidum are present (Fig. 24) (Robin et al. 1996).
Patients with the middle interhemispheric variant may be
severely retarded but have no facial abnormalities (Tortori-
Donati 2005).
13.2 Septo-Optic Dysplasia (De Morsier
Syndrome)
13.2.1 Epidemiology
Rather brain malformation (1 in 50,000 live births) with
absent septum pellucidum, optic nerve and chiasm hypo-
plasia, and pituitary dysfunction. The term septo-optic dys-
plasia was introduced by De Morsier (1956), who described
36 patients with absent septum pellucidum, nine of whom
had optic nerve hypoplasia (De Morsier 1956).
13.2.2 Pathogenesis
Septo-optic dysplasia is a disorder of midline prosence-
phalic development (and thus can be considered as a mild
holoprosencephaly variant) occurring in the latter half of the
second through the third month of gestation (Miller et al.
Fig. 25 Septooptic dysplasia plus in a 9 year old boy (a–c) and a
3 year old girl (d–e). The 9 year old boy has hypoplastic optic nerves
(a: thin arrows) and optic chiasm (b: arrow), heterotopic gray matter
nodules (a: thick arrow), and agenesis of the corpus callosum splenium
(c: arrow). The 3 year old girl shows absent septum pellucidum
(a: black arrow) and gray matter masses in both hemispheres (a, c, f:
white arrows). Cytotoxic edema on DWI (b: arrows) with ADC
normalization on follow-up-MRI 10 days later (not shown) suggests
transient ictal activity of the left frontal lesion
158 H. Urbach and S. Greschus
2000). At this time, the optic nerves, germinal matrix, and
septum pellucidum are forming (Barkovich et al. 1989).
Although most cases are sporadic, autosomal dominant and
recessive forms with mutations in the homeobox HESX1
gene located on chromosome 3p21.21–3p21.2 have been
described. Intrauterine infections (particularly cytomegalo-
virus infection), vascular events, antiepileptic drugs,
maternal alcohol, and maternal diabetes are considered as
other etiological factors.
Septo-optic dysplasia associated with MCD (septo-optic
dysplasia plus) is considered a genetic disorder affecting
multiple stages of cortical development (Miller et al. 2000;
Camino and Arjona 2003). The most common associated
malformation is schizencephaly/polymicrogyria, and this
condition has been coined as septo-optic dysplasia–schiz-
encephaly syndrome (Barkovich et al. 2005).
13.2.3 Clinical Presentation
Children may present with visual impairment (uni- or
bilateral blindness, nystagmus), short status, hypothalamic–
pituitary dysfunction (60 % of patients), and developmental
delay (Barkovich et al. 1989). If they have associated MCD,
focal seizures with and without secondary generalization
are common (Fig. 25).
Fig. 26 Kallmann syndrome
(a, b) in a 25 year old woman
with olfactory bulb a/hypoplasia
(a) and hypoplasia of the
subcallosal area and pituitary
gland (b: arrow). Shapiro
syndrome (e, f) in a 38 year old
man with anterior callosal
agenesis (f), absent septum
pellucidum (e: black arrow) and
elevated fornices (e, f: white
arrows). Normal MRI (c, d) for
comparison with olfactory bulbs
best visible on coronal T2-
weighted images (c) and rostrum
corporis callosi (d:1), anterior
commissure (d:2), mamillary
body (d:3)
Malformations of Cortical Development 159
13.2.4 Imaging
The syndrome is defined by absence or partial absence of
the septum pellucidum and optic nerve hypoplasia. Pituitary
hyoplasia with or without ectopic hyperintensity of the
posterior lobe is present in 2/3 of cases.
Associated brain abnormalities include schizencephaly/
polymicrogyria (1/3–1/2 of patients), as well as other MCD
including heterotopias (Barkovich et al. 1989; Camino and
Arjona 2003), callosal dysgenesis, ocular abnormalities
(coloboma, anophthalmia, microphthalmia), and olfactory
bulb hypoplasia.
13.3 Kallmann Syndrome
13.3.1 Epidemiology and Pathogenesis
This rare (prevalence 1 to 1:10,000 in men and 1:50,000 in
women) congenital malformation was initially described by
Kallmann et al. (1944). Olfactory cells that normally
express LHRH fail to migrate from the medial olfactory
placode into the forebrain. In addition, projections from the
lateral olfactory placode to the forebrain are insufficient to
induce olfactory bulb formation (Truwit et al. 1993).
Inheritance is X-linked (mutations of the KAL1 gene on
Xp22.3), autosomal recessive, or autosomal dominant.
13.3.2 Clinical Presentation
Hyposmia or anosmia, hypogonadism due to hypothalamic
insufficiency, involuntary movements of a body segment in
reply to voluntary movements of the similar contralateral
segment (mirror movements) and renal abnormalities (e.g.,
unilateral agenesis) in X-linked Kallmann syndrome. # [ $
13.3.3 Imaging
Kallmann syndrome appears as olfactory bulb, tract, and
sulcus a-/hypoplasia, and small adenohypophysis due to
insufficient hypothalamic stimulation, posterior pituitary
lobe is normal (Knorr et al. 1993) ( Fig. 26).
13.4 Shapiro Syndrome
13.4.1 Epidemiology and Pathogenesis
This very rare syndrome initially described by Shapiro in
1969 is characterized by the triad of spontaneous hypo-
thermia, hyperhidrosis, and corpus callosum a/hypogenesis
(Shapiro et al. 1969).
13.4.2 Clinical Presentation
Recurrent episodes of diffuse hyperhidrosis and hypother-
mia usually last several hours and are likely caused by
hypothalamic dysfunction (Tambasco et al. 2005; Dundar
et al. 2008).
13.4.3 Imaging
Anterior callosal a/hypogenesis (Fig. 26). A single case
with normal corpus callosum and increased perfusion of the
thalamus, basal ganglia, and inferior frontal areas indicating
ictal activity has been described (Dundar et al. 2008).
References
Adachi Y, Poduri A, Kawaguch A, Yoon G, Salih MA, Yamashita F,
Walsh CA, Barkovich AJ (2011) Congenital microcephaly with a
simplified gyral pattern: associated findings and their significance.
AJNR Am J Neuroradiol 32(6):1123–1129
Adamsbaum C, Robain O, Cohen PA, Delalande O, Fohlen M, Kalifa
G (1998) Focal cortical dysplasia and hemimegalencephaly:
histological and neuroimaging correlations. Pediatr Radiol
28(8):583–590
Aicardi J, Lefebvre J, Leriqu-Koechlin A (1965) A new syndrome:
spasm in flexion, callosal agenesis, ocular abnormalities. Electro-
encephalogr Clin Neurophysiol 19:609–610
Ashwal S, Michelson D, Plawner L (2009) Quality Standards
Subcommittee of the American Academy of Neurology and the
Practice Committee of the Child Neurology Society. Practice
parameter: evaluation of the child with microcephaly (an evidence-
based review): report of the Quality Standards Subcommittee of the
American Academy of Neurology and the Practice Committee of
the Child Neurology Society. Neurology 73(11):887–897
Barkovich AJ, Fram EK, Norman D (1989) Septo-optic dysplasia. MR
Imaging. Radiology 171:189–192
Barkovich AJ, Chuang SH (1990) Unilateral megalencephaly: corre-
lation of MR imaging and pathologic characteristics. AJNR Am J
Neuroradiol 11:523–531
Barkovich AJ, Quint DJ (1993) Middle interhemispheric fusion: an
unusual variant of holoprosencephaly. AJNR Am J Neuroradiol
14(2):431–440
Barkovich AJ, Guerrini R, Battaglia G, Kalifa G, N’Guyen T,
Parmeggiani A, Santucci M, Giovanardi-Rossi P, Granata T,
D’Incerti L (1994) Band heterotopia: correlation of outcome with
magnetic resonance imaging parameters. Ann Neurol 36:609–617
Barkovich AJ, Kuzniecky RI, Dobyns WB, Jackson GD, Becker LE,
Evrard P (1996) A classification scheme for malformations of
cortical development. Neuropediatrics 27:59–63
Barkovich AJ, Kuzniecky RI, Bollen AW, Grant PE (1997) Focal
transmantle dysplasia: a specific malformation of cortical devel-
opment. Neurology 49(4):1148–1152
Barkovich AJ, Ferriero DM, Barr RM, Gressens P, Dobyns WB,
Truwit CL, Evrard P (1998) Microlissencephaly: a heterogeneous
malformation of cortical development. Neuropediatrics 29:
113–119
Barkovich AJ (2000) Morphologic characteristics of subcortical
heterotopia: MR imaging study. AJNR Am J Neuroradiol
21:290–295
Barkovich AJ, Kuzniecky RI (2000) Gray matter heterotopia. Neurol-
ogy 55:1603–1608
Barkovich AJ, Kuzniecky RI, Jackson GD, Guerrini R, Dobyns WB
(2001) Classification system for malformations of cortical devel-
opment: update 2001. Neurology 57:2168–2178
160 H. Urbach and S. Greschus
Barkovich AJ (2002) Morphological features and associated anomalies
of schizencephaly in the clinical population: detailed analysis of
MR images. Neuroradiology 44:647–655
Barkovich AJ, Kuzniecky RI, Jackson GD, Guerrini R, Dobyns WB
(2005) A developmental and genetic classification for malforma-
tions of cortical development. Neurology 65:1873–1887
Barkovich AJ (2010) Current concepts of polymicrogyria. Neuroradi-
ology 52:479–487
Barkovich AJ, Guerrini R, Kuzniecky RI, Jackson GD, Dobyns WB
(2012) A developmental and genetic classification for malforma-
tions of cortical development: update 2012. Brain 135:1348–1369
Becker AJ, Urbach H, Scheffler B, Baden T, Normann S, Lahl L,
Pannek H, Tuxhorn I, Elger CE, Schramm J, Wiestler OD,
Blümcke I (2002) Focal cortical dysplasia of Taylor’s balloon cell
type: mutational analysis of the TSC1 gene indicates a pathogenic
relationship to tuberous sclerosis. Ann Neurol 52:29–37
Besson P, Andermann F, Dubeau F, Bernasconi A (2008) Small focal
cortical dysplasia lesions are located at the bottom of a deep sulcus.
Brain 131:3246–3255
Blümcke I, Thom M, Aronica E, Armstrong DD, Vinters HV,
Palmini A, Jacques TS, Avanzini G, Barkovich AJ, Battaglia G,
Becker A, Cepeda C, Cendes F, Colombo N, Crino P, Cross JH,
Delalande O, Dubeau F, Duncan J, Guerrini R, Kahane P,
Mathern G, Najm I, Ozkara C, Raybaud C, Represa A,
Roper SN, Salamon N, Schulze-Bonhage A, Tassi L, Vezzani A,
Spreafico R (2011) The clinicopathologic spectrum of focal cortical
dysplasias: a consensus classification proposed by an ad hoc Task
Force of the ILAE Diagnostic Methods Commission. Epilepsia
52:158–174
Bond J, Roberts E, Mochida GH, Hampshire DJ, Scott S, Askham JM,
Springell K, Mahadevan M, Crow YJ, Markham AF, Walsh CA,
Woods CG (2002) ASPM is a major determinant of cerebral
cortical size. Nat Genet 32:316–320
Bond J, Scott S, Hampshire DJ, Springell K, Corry P, Abramowicz
MJ, Mochida GH, Hennekam RC, Maher ER, Fryns JP, Alswaid A,
Jafri H, Rashid Y, Mubaidin A, Walsh CA, Roberts E, Woods CG
(2003) Protein-truncating mutations in ASPM cause variable
reduction in brain size. Am J Hum Genet 73:1170–1177
Bond J, Roberts E, Springell K, Lizarraga SB, Scott S, Higgins J,
Hampshire DJ, Morrison EE, Leal GF, Silva EO, Costa SM,
Baralle D, Raponi M, Karbani G, Rashid Y, Jafri H, Bennett C,
Corry P, Walsh CA, Woods CG (2005) A centrosomal mechanism
involving CDK5RAP2 and CENPJ controls brain size. Nat Genet
37:353–355
Broumandi DD, Hayward UM, Benzian JM, Gonzalez I, Nelson MD
(2004) Best cases from the AFIP: hemimegalencephaly. Radio-
graphics 24(3):843–848
Camino R, Arjona A (2003) Septo-optic dysplasia plus. Lancet Neurol
2:436
Cepeda C, Hurst RS, Flores-Hernández J, Hernández-Echeagaray E,
Klapstein GJ, Boylan MK, Calvert CR, Jocoy EL, Nguyen OK,
André VM, Vinters HV, Ariano MA, Levine MS, Mathern GW
(2003) Morphological and electrophysiological characterization of
abnormal cell types in pediatric cortical dysplasia. J Neurosci Res
72(4):472–486
Chamberlain WA, Cohen ML, Gyure KA, Kleinschmidt-DeMasters
BK, Perry A, Powell SZ, Qian J, Staugaitis SM, Prayson RA (2009)
Interobserver and intraobserver reproducibility in focal cortical
dysplasia (malformations of cortical development). Epilepsia
50:2593–2598
Chang BS, Aspe KA, Caraballo A, Cross JH, Mclellan A, Jacobson RD,
Valente KD, Barkovich AJ, Walsh CA (2006) A familiar syndrome
of unilateral polymicrogyria affecting the right hemisphere.
Neurology 66:133–135
Chang EF, Wang DD, Barkovich AJ, Tihan T, Auguste KI, Sullivan JE,
Garcia PA, Barbaro NM (2011) Predictors of seizure freedom after
surgery for malformations of cortical development. Ann Neurol
70(1):151–162
Clement E, Mercuri E, Godfrey C, Smith J, Robb S, Kinali M,
Straub V, Bushby K, Manzur A, Talim B, Cowan F, Quinlivan R,
Klein A, Longman C, McWilliam R, Topaloglu H, Mein R,
Abbs S, North K, Barkovich AJ, Rutherford M, Muntoni F (2008)
Brain involvement in muscular dystrophies with defective dystro-
glycan glycosylation. Ann Neurol 64(5):573–582
de Morsier G (1956) Etudes sum les dysraphies cranio-encephaliques.
III. Agenesie du septum lucidum avec malformation du tractus
optique: Ia dysplasie septo-optique. Schweiz Arch Neurol Psychi-
atr 77:267–292
DeMyer W, Zeman W, Palmer GG (1964) The face predicts the brain.
Diagnostic significance of median facial anomalies for holopros-
encephaly (arhinencephaly). Pediatrics 34:256–263
Dixon-Salazar T, Silhavy JL, Marsh SE, Louie CM, Scott LC,
Gururaj A, Al-Gazali L, Al-Tawari AA, Kayserili H, Sztriha L,
Gleeson JG (2004) Mutations in the AHI1 gene encoding jouberin
cause Joubert syndrome with cortical polymicrogyria. Am J Hum
Genet 75:979–987
Dobyns WB (2010) The clinical patterns and molecular genetics of
lissencephaly and subcortical band heterotopia. Epilepsia
51(Suppl. 1):5–9
Dobyns WB, Barkovich AJ (1999) Microcephaly with simplified gyral
pattern (oligogyric microcephaly) and microlissencephaly. Neuro-
pediatrics 30:105–106
Dobyns WB, Andermann E, Andermann F, Czapansky-Beilman D,
Dubeau F, Dulac O, Guerrini R, Hirsch B, Ledbetter DH, Lee NS,
Motte J, Pinard JM, Radtke RA, Ross ME, Tampieri D, Walsh CA,
Truwit CL (1996) X-linked malformations of neuronal migration.
Neurology 47(2):331–339
Dobyns WB, Guerrini R, Czapansky-Beilman DK, Pierpont ME,
Breningstall G, Yock DH Jr, Bonanni P, Truwit CL (1997)
Bilateral periventricular nodular heterotopia with mental retarda-
tion and syndactyly in boys: a new X-linked mental retardation
syndrome. Neurology 49(4):1042–1047
Dundar NO, Boz A, Duman O, Aydin F, Haspolat S (2008)
Spontaneous periodic hypothermia and hyperhidrosis. Pediatr
Neurol 39:438–440
Fauser S, Huppertz HJ, Bast T, Strobl K, Pantazis G, Altenmueller
DM, Feil B, Rona S, Kurth C, Rating D, Korinthenberg R,
Steinhoff BJ, Volk B, Schulze-Bonhage A (2006) Clinical char-
acteristics in focal cortical dysplasia: a retrospective evaluation in a
series of 120 patients. Brain 129:1907–1916
Flores-Sarnat L (2002) Hemimegalencephaly. I. Genetic, clinical, and
imaging aspects. J Child Neurol 17:373–384
Flores-Sarnat L, Sarnat HB, Dávila-Gutiérrez G, Alvarez A (2003)
Hemimegalencephaly: part 2. Neuropathology suggests a disorder
of cellular lineage. J Child Neurol 18(11):776–785
Forman MS, Squier W, Dobyns WB, Golden JA (2005) Genotypically
defined lissencephalies show distinct pathologies. J Neuropathol
Exp Neurol 64(10):847–857
Fox JW, Lamperti ED, Eksßiog˘lu YZ, Hong SE, Feng Y, Graham DA,
Scheffer IE, Dobyns WB, Hirsch BA, Radtke RA, Berkovic SF,
Huttenlocher PR, Walsh CA (1998) Mutations in filamin 1 prevent
migration of cerebral cortical neurons in human periventricular
heterotopia. Neuron 21(6):1315–1325
Frazier JL, Goodwin CR, Ahn ES, Jallo GI (2009) A review on the
management of epilepsy associated with hypothalamic hamarto-
mas. Childs Nerv Syst 25:423–432
Freeman JL, Coleman LT, Wellard RM, Kean MJ, Rosenfeld JV,
Jackson GD, Berkovic SF, Harvey AS (2004) MR imaging and
Malformations of Cortical Development 161
spectroscopic study of epileptogenic hypothalamic hamartomas:
analysis of 72 cases. AJNR Am J Neuroradiol 25:450–462
Friede R (1989) Developmental neuropathology, 2nd edn. Springer,
Berlin
Garavelli L, Guareschi E, Errico S, Simoni A, Bergonzini P, Zollino M,
Gurrieri F, Mancini GM, Schot R, Van Der Spek PJ, Frigieri G,
Zonari P, Albertini E, Giustina ED, Amarri S, Banchini G,
Dobyns WB, Neri G (2007) Megalencephaly and perisylvian
polymicrogyria with postaxial polydactyly and hydrocephalus
[MPPH]: report of a new case. Neuropediatrics 38:200–203
Garbelli R, Milesi G, Medici V, Villani F, Didato G, Deleo F,
D’Incerti L, Morbin M, Mazzoleni G, Giovagnoli AR, Parente A,
Zucca I, Mastropietro A, Spreafico R (2012) Blurring in patients
with temporal lobe epilepsy: clinical, high-field imaging and
ultrastructural study. Brain, Aug 135(Pt 8):2337–2349
Giordano L, Vignoli A, Pinelli L, Brancati F, Accorsi P, Faravelli F,
Gasparotti R, Granata T, Giaccone G, Inverardi F, Frassoni C,
Dallapiccola B, Valente EM, Spreafico R (2009) Joubert syndrome
with bilateral polymicrogyria: clinical and neuropathological
findings in two brothers. Am J Med Genet A 149A:1511–1515
Gripp KW, Hopkins E, Vinkler C, Lev D, Malinger G, Lerman-Sagie T,
Dobyns WB (2009) Significant overlap and possible identity of
macrocephaly capillary malformation and megalencephaly poly-
microgyria-polydactyly hydrocephalus syndromes. Am J Med Genet
A 149A:868–876
Guerrini R, Dobyns WB (1998) Bilateral periventricular nodular
heterotopia with mental retardation and frontonasal malformation.
Neurology 51(2):499–503
Hayashi N, Tsutsumi Y, Barkovich AJ (2002) Polymicrogyria without
porencephaly/schizencephaly. MRI analysis of the spectrum and
the prevalence of macroscopic findings in the clinical population.
Neuroradiology 44(8):647–655
Hermier M, Montavont A, Dupuis-Girod S, Cho TH, Honnorat J,
Plauchu H (2010) Polymicrogyria: an underrecognized cause of
epilepsy in in patients with hereditary hemorrhagic telangiectasia
(Rendu-Osler disease). Epilepsia 51(Suppl 4):1–189
Hevner RF (2005) The cerebral cortex malformation in thanatophoric
dysplasia: neuropathology and pathogenesis. Acta Neuropathol
110(3):208–221
Hildebrandt M, Pieper T, Winkler P, Kolodziejczyk D, Holthausen H,
Blümcke I (2005) Neuropathological spectrum of cortical dysplasia
in children with severe focal epilepsies. Acta Neuropathol
110(1):1–11
Hoyt CS, Billson F, Ouvrier R, Wise G (1978) Ocular features of
Aicardi’s syndrome. Arch Ophthalmol 96:291–295
Huppertz HJ, Wellmer J, Staack AM, Altenmüller DM, Urbach H,
Kröll J (2008) Voxel-based 3-D MRI analysis helps to detect subtle
forms of subcortical band heterotopia. Epilepsia 49(5):772–785
Jackson AP (2002) Identification of microcephalin, a protein impli-
cated in determining the size of the human brain. Am J Hum Genet
71(1):136–142
Jansen A, Andermann E (2005) Genetics of the polymicrogyria
syndromes. J Med Genet 42(5):369–378
Jissendi-Tchofo P, Kara S, Barkovich AJ (2009) Midbrain–hindbrain
involvement in lissencephalies. Neurology 72(5):410–418
Kallmann FT, Schoenfeld WA, Barrera SE (1944) The genetics aspects
of primary eunuchoidism. Am J Mental Deficits 48:203–208
Kirschstein T, Fernandez G, Grunwald T, Pezer N, Urbach H,
Blümcke I, Van Roost D, Lehnertz K, Elger CE (2003) Heterot-
opias, cortical dysplasias and glioneural tumors participate in
cognitive processing in patients with temporal lobe epilepsy.
Neurosci Lett 338:237–241
Knorr JR, Ragland RL, Brown RS, Gelber N (1993) Kallmann
syndrome: MR findings. AJNR Am J Neuroradiol. 14(4):845–851
Krsek P, Maton B, Korman B, Pacheco-Jacome E, Jayakar P, Dunoyer C,
Rey G, Morrison G, Ragheb J, Vinters HV, Resnick T, Duchowny M
(2008) Different features of histopathological subtypes of pediatric
focal cortical dysplasia. Ann Neurol 63(6):758–769
Krsek P, Pieper T, Karlmeier A, Hildebrandt M, Kolodziejczyk D,
Winkler P, Pauli E, Blümcke I, Holthausen H (2009a) Different
presurgical characteristics and seizure outcomes in children with
focal cortical dysplasia type I or II. Epilepsia 50(1):125–137
Krsek P, Maton B, Jayakar P, Dean P, Korman B, Rey G, Dunoyer C,
Pacheco-Jacome E, Morrison G, Ragheb J, Vinters HV, Resnick T,
Duchowny M (2009b) Incomplete resection of focal cortical
dysplasia is the main predictor of poor postsurgical outcome.
Neurology 72(3):217–223
Kuzniecky R, Andermann F, Guerrini R (1993) Congenital bilateral
perisylvian syndrome: study of 31 patients. The congenital bilateral
perisylvian syndrome multicenter collaborative study. Lancet
341:608–612
Lerner JT, Salamon N, Hauptman JS, Velasco TR, Hemb M, Wu JY,
Sankar R, Donald Shields W, Engel J Jr, Fried I, Cepeda C,
Andre VM, Levine MS, Miyata H, Yong WH, Vinters HV,
Mathern GW (2009) Assessment of surgical outcomes for mild
type I and severe type II cortical dysplasia: a critical review and the
UCLA experience. Epilepsia 50:1310–1335
Leventer RJ, Jansen A, Pilz DT, Stoodley N, Marini C, Dubeau F,
Malone J, Mitchell LA, Mandelstam S, Scheffer IE, Berkovic SF,
Andermann F, Andermann E, Guerrini R, Dobyns WB (2010)
Clinical and imaging heterogeneity of polymicrogyria: a study of
328 patients. Brain 133:1415–1427
Lewis AJ, Simon EM, Barkovich AJ, Clegg NJ, Delgado MR,
Levey E, Hahn JS (2002) Middle interhemispheric variant of
holoprosencephaly: a distinct cliniconeuroradiologic subtype.
Neurology 59(12):1860–1865.
Matsunaga E, Shiota K (1977) Holoprosencephaly in human embryos:
epidemiologic studies of 150 cases. Teratology 16:261–272
Miller SP, Shevell MI, Patenaude Y, Poulin C, O’Gorman AM (2000)
Septo-optic dysplasia plus: a spectrum of malformations of cortical
development. Neurology 54:1701–1703
Moog U, De Die-Smulders CE, Schrander-Stumpel CT, Engelen JJ,
Hamers AJ, Frints S, Fryns JP (2001) Holoprosencephaly: the
Maastricht experience. Genet Couns 12(3):287–298
Oba H, Barkovich AJ (1995) Holoprosencephaly: an analysis of
callosal formation and its relation to development of the inter-
hemispheric fissure. AJNR Am J Neuroradiol 16:453–460
Palm L, Hägerstrand I, Kristoffersson U, Blennow G, Brun A, Jörgensen
C (1986) Nephrosis and disturbances of neuronal migration in male
siblings–a new hereditary disorder? Arch Dis Child 61(6):545–548
Palmini A, Lüders H (2002) Classification issues in malformations
caused by abnormalities of cortical development. Neurosurg Clin N
Am 13:1–16
Palmini A, Najm I, Avanzini G, Babb T, Guerrini R, Foldvary-
Schaefer N, Jackson G, Lüders HO, Prayson R, Spreafico R,
Vinters HV (2004) Terminology and classification of the cortical
dysplasias. Neurology 62(6 Suppl 3):S2–S8. Review
Pattison L, Crow YJ, Deeble VJ, Jackson AP, Jafri H, Rashid Y,
Roberts E, Woods CG (2000) A fifth locus for primary autosomal
recessive microcephaly maps to chromosome 1q31. Am J Hum
Genet 67:1578–1580
Pilz DT, Matsumoto N, Minnerath S, Mills P, Gleeson JG, Allen KM,
Walsh CA, Barkovich AJ, Dobyns WB, Ledbetter DH, Ross ME
(1998) LISI and XLIS (DCX) mutations cause most classical
lissencephaly, but different patterns of malformation. Hum Mol
Genet 7:2029–2037
Pilz DT, Kuc J, Matsumoto N, Bodurtha J, Bernadi B, Tassinari CA,
Dobyns WB, Ledbetter DH (1999) Subcortical band heterotopia in
162 H. Urbach and S. Greschus
rare affected males can be caused by missense mutations in DCX
(XLIS) or LIS1. Hum Mol Genet 8(9):1757–1760
Rakic P (1988) Defects of neuronal migration and the pathogenesis of
cortical malformation. Prog Brain Res 73:15–37
Roach E, Demyer W, Conneally PM, Palmer C, Merritt AD (1975)
Holoprosencephaly: birth data, benetic and demographic analyses
of 30 families. Birth Defects Orig Artic Ser 11(2):294–313
Robin NH, Ko LM, Heeger S, Muise KL, Judge N, Bangert BA (1996)
Syntelencephaly in an infant of a diabetic mother. Am J Med Genet
66:433–437
Roessler E, Muenke M (1999) The molecular genetics of holopros-
encephaly: a model of brain development for the next century.
Child’s Nerv Syst 15:646–651
Rosenberg MJ, Agarwala R, Bouffard G, Davis J, Fiermonte G,
Hilliard MS, Koch T, Kalikin LM, Makalowska I, Morton DH,
Petty EM, Weber JL, Palmieri F, Kelley RI, Schäffer AA,
Biesecker LG (2002) Mutant deoxynucleotide carrier is associated
with congenital microcephaly. Nat Genet 32(1):175–179
Ross ME, Swanson K, Dobyns WB (2001) Lissencephaly with
cerebellar hypoplasia (LCH): a heterogeneous group of cortical
malformations. Neuropediatrics 32:256–263
Schijns OE, Bien CG, Majores M, von Lehe M, Urbach H, Becker A,
Schramm J, Elger CE, Clusmann H (2011) Presence of temporal
gray–white matter abnormalities does not influence epilepsy
surgery outcome in temporal lobe epilepsy with hippocampal
sclerosis. Neurosurgery 68(1):98–106
Shapiro WR, Williams GH, Plum F (1969) Spontaneous recurrent
hypothermia accompanying agenesis of the corpus callosum. Brain
92:423–436
Sheen VL, Wheless JW, Bodell A, Braverman E, Cotter PD, Rauen
KA, Glenn O, Weisiger K, Packman S, Walsh CA, Sherr EH
(2003) Periventricular heterotopia associated with chromosome 5p
anomalies. Neurology 60(6):1033–1036
Sheen VL, Ganesh VS, Topcu M, Sebire G, Bodell A, Hill RS,
Grant PE, Shugart YY, Imitola J, Khoury SJ, Guerrini R,
Walsh CA (2004) Mutations in ARFGEF2 implicate vesicle
trafficking in neural progenitor proliferation and migration in the
human cerebral cortex. Nat Genet 36(1):69–76
Shen J, Gilmore EC, Marshall CA, Haddadin M, Reynolds JJ, Eyaid
W, Bodell A, Barry B, Gleason D, Allen K, Ganesh VS, Chang BS,
Grix A, Hill RS, Topcu M, Caldecott KW, Barkovich AJ, Walsh
CA (2010) Mutations in PNKP cause microcephaly, seizures and
defects in DNA repair. Nat Genet 42(3):245–249
Sicca F, Kelemen A, Genton P, Das S, Mei D, Moro F, Dobyns WB,
Guerrini R (2003) Mosaic mutations of the LISI gene cause
subcortical band heterotopia. Neurology 61(8):1042–1046
Simon EM, Hevner RF, Pinter J, Clegg NJ, Delgado M, Kinsman SL,
Hahn JS, Barkovich AJ (2001) The dorsal cyst in holoprosenceph-
aly and the role of the thalamus in its formation. Neuroradiology
43:787–791
Sims J (1835) On hypertrophy and atrophy of the brain. Med Quir
Trans 19:315–380
Takanashi J, Barkovich AJ (2003) The changing MR imaging
appearance of polymicrogyria: a consequence of myelination.
AJNR Am J Neuroradiol 24(5):788–793
Tambasco N, Corea F, Bocola V (2005) Subtotal corpus callosum
agenesis with recurrent hyperhidrosis-hypothermia (Shapiro syn-
drome). Neurology 65:124
Tampieri D, Walsh CA, Truwit CL (1993) X-linked malformations of
neuronal migration. Neurology 47:331–339
Tassi L, Garbelli R, Colombo N, Bramerio M, Lo Russo G, Deleo F,
Milesi G, Spreafico R (2010) Type I focal cortical dysplasia: surgical
outcome is related to histopathology. Epileptic Disord 3:181–191
Taylor DC, Falconer MA, Bruton CJ, Corsellis JA (1971) Focal
dysplasia of the cerebral cortex in epilepsy. J Neurol Neurosurg
Psychiatry 34(4):369–387
Tortori-Donati P (2005) Pediatric neuroradiology brain. Springer,
Berlin
Truwit CL, Barkovich AJ, Grumbach MM, Martini JJ (1993) MR
imaging of Kallmann syndrome, a genetic disorder of neuronal
migration affecting the olfactory and genital systems. AJNR Am J
Neuroradiol 14(4):827–838
Urbach H, Scheffler B, Heinrichsmeier T, von Oertzen J, Kral T,
Wellmer J, Schramm J, Wiestler OD, Blümcke I (2002) Focal
cortical dysplasia of Taylor’s balloon cell type: a clinicopatholog-
ical entity with characteristic neuroimaging and histopathological
features, and favorable postsurgical outcome. Epilepsia 43:33–40
Urbach H, Blümcke I, Becker A, Solymosi L (2003) Störungen der
kortikalen Entwicklung: Bildgebung und Klassifizierung. Klin
Neuroradiol 13:163–172
Valdueza JM, Cristante L, Dammann O, Bentele K, Vortmeyer A,
Saeger W, Padberg B, Freitag J, Herrmann HD (1994) Hypotha-
lamic hamartomas: with special reference to gelastic epilepsy and
surgery. Neurosurgery 34:949–958
Wagner J, Wellmer J, Urbach H, Niehusmann P, von Lehe M, Elger
CE (2011a) Focal cortical dysplasia type IIb: completeness of
cortical, not subcortical resection is necessary for seizure freedom.
Epilepsia 52:1418–1424
Wagner J, Weber B, Urbach H, Elger CE, Huppertz HJ (2011b)
Morphometric MRI analysis improves detection of focal cortical
dysplasia type II. Brain 134(Pt 10):2844–2854
Widdess-Walsh P, Kellinghaus C, Jeha L, Kotagal P, Prayson R,
Bingaman W, Najm IM (2005) Electro-clinical and imaging
characteristics of focal cortical dysplasia: correlation with patho-
logical subtypes. Epilepsy Res 67:25–33
Wolpert SM, Cohen A, Libenson MH (1994) Hemimegalencephaly: a
longitudinal MR study. AJNR Am J Neuroradiol 15:1479–1482
Yagishita A, Arai N, Tamagawa K, Oda M (1998) Hemimegalen-
cephaly: signal changes suggesting abnormal myelination on MRI.
Neuroradiology 40(11):734–738
Yakovlev PI (1959) Pathoarchitectonic studies of cerebral malforma-
tions. III. Arhinencephalies (holoprosencephalies). J Neuropathol
Exp Neurol 18:22–55
Malformations of Cortical Development 163
Neurocutaneous Diseases (Phakomatoses)
Horst Urbach
Contents
1 Introduction.......................................................................... 165
2 Tuberous Sclerosis Complex .............................................. 165
3 Sturge–Weber Syndrome.................................................... 166
4 Neurofibromatosis Type 1 .................................................. 168
5 Meningioangiomatosis ......................................................... 172
6 Hypomelanosis of Ito........................................................... 173
7 Epidermal Nevus Syndromes ............................................. 173
8 Incontinentia Pigmenti (Bloch–Sulzberger Syndrome)... 173
9 Lipoid Proteinosis (Urbach–Wiethe Syndrome).............. 175
10 Linear Scleroderma (en coup de sabre syndrome)
and Parry–Romberg Syndrome......................................... 175
References...................................................................................... 175
Abstract
This chapter describes phakomatoses associated with
epilepsy, namely, tuberous sclerosis complex, Sturge–
Weber syndrome, neurofibromatosis type 1, meningio-
angiomatosis, hypomelanosis of Ito, epidermal nevus
syndrome and variants, incontinentia pigmenti, lipopro-
teinosis, and linear scleroderma, which is also known as
en coup de sabre syndrome.
1 Introduction
Phakomatosis is an umbrella term for several diseases with
hamartomas/hamartomatous tumors in the brain and the
skin. The term is derived from the Greek word uajó1,
meaning ‘‘lens’’ or ‘‘spot.’’ Relevant phakomatoses with
respect to epilepsy comprise tuberous sclerosis complex
(TSC), Sturge–Weber syndrome, neurofibromatosis type 1,
meningioangiomatosis, hypomelanosis of Ito, and epider-
mal nevus syndrome and variants. Others, like incontinentia
pigmenti, lipoproteinosis, and linear scleroderma (en coup
de sabre syndrome), are rare conditions, yet is their patho-
genesis fully understood. Seizures in neurofibromatosis type
2 patients are rather rare and likely secondary to leptome-
ningeal tumors (meningioma, meningioangiomatosis).
2 Tuberous Sclerosis Complex
Synonym: M. Bourneville–Pringle
Epidemiology: The second-most common phakomatosis
after NF1, characterized by multiple hamartomas in differ-
ent organs. The prevalence is 1:30,000, and the birth inci-
dence 1:6,000 (Osborne et al. 1991). The incidence of forme
fruste forms is likely higher.
Pathogenesis: Autosomal-dominant disease with vari-
able expressivity and low penetrance. High percentage of de
novo mutations. Two genes have been identified: The TSC1
H. Urbach (&)
Department of Neuroradiology,
University Hospital Freiburg, Germany
e-mail: horst.urbach@uniklinik-freiburg.de
H. Urbach (ed.), MRI in Epilepsy, Medical Radiology. Diagnostic Imaging,
DOI: 10.1007/174_2012_780, Ó Springer-Verlag Berlin Heidelberg 2013
165
gene on chromosome 9q34 encodes for a protein called
tuberin, while the TSC2 gene on chromosome 16p13
encodes for a protein called hamartin. Both genes act
together as tumor suppressor genes. TSC2 mutations are
more common than TSC1 mutations, and both somatic and
germline mosaicisms have been described.
Clinical presentation: Up to 90 % of patients have drug-
resistant seizures, which often start as infantile spasms in
the first months of life. In addition, mental retardation,
behavioral problems, and learning difficulties are common
(Table 1).
Imaging: Cranial MRI may show the classical triad of
cortical tubers indistinguishable from FCDs IIB, sube-
pendymal calcified nodules, and subependymal giant cell
astrocytoma. Subependymal giant cell astrocytoma may
develop with different velocities most often in the region of
the Foramen of Monro. Contrast-enhanced T1-weighted
MRI with follow-up studies is therefore mandatory. Recent
studies indicate that subependymal giant cell astrocytomas
shrink under a drug therapy with everolimus (Krueger et al.
2010) (Fig. 1).
3 Sturge–Weber Syndrome
Synonym: Encephalotrigeminal angiomatosis
Epidemiology: Rare (1:50,000), sporadic, congenital,
noninherited, but sometimes familial neurocutaneous disease;
m = f. Initial description by William Allen Sturge in 1879.
Pathogenesis: Faulty ‘‘involution’’ of fetal cortical veins
with the creation of a pial angiomatosis characterized by
numerous small and tortuous dark purple venules. Due to
progressive venous occlusion and chronic venous ischemia,
brain atrophy and ‘‘tram-track’’ calcifications in the cortex
underlying the angioma and in the subcortical white matter
result.
Clinical presentation: Port-wine nevus in the territory of
cranial nerves V1 and V2 is present at birth. Fifty percent of
patients have additional trunk and limb port-wine nevi and
mucous membrane angiomatosis. The port-wine nevus
almost always lies above the palpebral fissure involving the
upper eyelid and the frontal region. Lesions close to the
midline are commonly associated with anteriorly located
Table 1 Tuberous sclerosis complex (TSC): diagnostic criteria and modalities
Frequency, clinical characteristics, and imaging modality of choice
Major features
Facial angiofibroma or forehead plaque Rare before age of 4, often ‘‘butterfly’’ distribution
Nontraumatic ungual or periungual fibroma 20–35 % of postpubertal patients
Three or more hypomelanotic macules Present at birth, demonstrated by Wood’s light
Shagreen patch (connective tissue nevus) 20–35 % of postpubertal patients
Multiple retinal nodular hamartomas
Cortical tubers Indistinguishable from FCDs IIB
Subependymal nodules 50 % calcify, T2-weighted gradient echo and SWI sequences, CT
Subependymal giant cell astrocytoma Around 20 % of TSC patients, peak incidence in second decade,
grow with different velocities in region of foramen of Monroe.
Contrast-enhanced T1-weighted MRI with follow-up is mandatory
Cardiac rhabdomyoma, single or multiple Cardiac ultrasound
Lymphangiomyomatosisa
Chest computed tomography
Renal angiomyolipomaa
Ultrasound
Minor features
Multiple, randomly distributed pits in dental enamel Inspection
Hamartomatous rectal polyps Histologic confirmation is suggested
Bone cysts Radiographic proof is sufficient
Cerebral white matter radiation lines MRI proof is sufficient
Gingiva fibromas Inspection
Nonrenal hamartomas Histologic confirmation is suggested
Retinal achromic patch Fundoscopy
‘‘Confetti’’ skin lesions Inspection
Multiple renal cysts Histologic confirmation is suggested
a
When both lymphangiomyomatosis and renal angiomyolipoma are present, other TSC features are needed to establish a definite diagnosis
Adapted from Roach et al. (1998)
166 H. Urbach
pial angiomatosis, off-midline lesions with the more fre-
quent parietooccipital angiomas (Enjolras et al. 1985).
Choroidal angioma (70 %) may cause congenital glau-
coma and buphthalmos. Retinal telangiectatic vessels,
scleral angioma, iris heterochromia.
Epileptic seizures (90 %) usually start in the first year of
life: infantile spasms, tonic–clonic, myoclonic seizures.
Hemiparesis, hemianopia (66 %).
Migraine episodes starting with a mean age of 8 years.
Hypothyroidism.
Imaging: Unilateral [ bilateral brain atrophy developing
during the first years of life. Pial angiomatosis: present at
birth, unilateral (80 %), bilateral (20 %). Occipital [
parietal [ frontal, temporal lobes [ diencephalon [ cere-
bellar involvement (Fig. 2).
‘‘Tram-track’’ calcifications: can be present at birth, but
usually develop during the first years of life.
Enlarged ipsilateral choroid plexus subjacent to pial
angiomatosis.
In the early stage, increased white matter volume and
T2-weighted signal due to accelerated myelin maturation.
In late stages, atrophy, gliosis, and compensatory thick
dipole and hyperpneumatized sinuses.
Orbital enhancement ([50 %) due to choroidal angioma,
periorbital soft tissues, bony orbit, and frontal lobes.
Sometimes polymicrogyria and heterotopias (Fig. 3).
Fig. 1 Tuberous sclerosis
complex with multiple cortical
tubers (c: white arrows),
subependymal nodules
(a, b: black arrows), and a
subependymal giant cell
astrocytoma (b, d: hollow
arrow). Six years before, the
subependymal giant cell
astrocytoma did not exist
(a: hollow arrow). Cortical tubers
are histopathologically and on
MRI similar to FCD IIB.
Subependymal nodules calcify in
around 50 % of cases and are
therefore T2-hypointense. The
subependymal giant cell
astrocytoma is typically adjacent
to the Foramen of Monro and the
frontal horn of the lateral
ventricle
Neurocutaneous Diseases (Phakomatoses) 167
4 Neurofibromatosis Type 1
Synonym: von Recklinghausen disease
Epidemiology: Neurofibromatosis was initially described
by the German pathologist Friedrich von Recklinghauen in
1882. It is an autosomal-dominant disorder with a preva-
lence of 1:3,000. However, 50 % of cases are new muta-
tions. There are eight different neurofibromatosis subtypes,
with NF1 accounting for 85 % of cases. The incidence of
epilepsy in NF1 is around 5–10 %. All types of seizures,
including infantile spasms, may occur.
Pathogenesis: The gene product of the NF1 gene on
chromosome 17q12 is neurofibromin, which acts as a tumor
suppressor. Mutation of the NF1 gene allows cell prolifer-
ation and tumor development.
Clinical presentation: NF1 may be diagnosed if two or
more of the following features are present (NIH Consensus
Conference 1988):
• Café au lait spots: These are well-delineated macules
with a coffee-with-milk color. As an isolated finding,
they are relatively common: 10–20 % of the general
population has one or a few spots. Multiple café au lait
spots are present in 90 % of NF1 patients. The presence
of more than five spots having a diameter [5 mm in
children and [15 mm in adults is suggestive for NF1.
Note that café au lait spots may be the only clinical sign
in children, who should be followed until early
adulthood.
• Neurofibromas: Two neurofibromas or one plexiform
neurofibroma: Neurofibromas are intracutaneous or sub-
cutaneous tumors measuring from a few millimeters to
several centimeters. They are sometimes found in chil-
dren younger than 10 years of age and steadily increase
in number with age. Plexiform neurofibromas are non-
encapsulated cutaneous and subcutaneous tumors, which
can be very large and continuous with intracranial or
intraspinal tumors.
Fig. 2 Sturge–Weber syndrome in a 2.5-year-old boy with port-wine
nevus in the right NV1 and V2 territories and complex focal motor
seizures. MRI shows right-sided hemiatrophy with parietal accentu-
ation (a, d–f: arrow) and pial angiomatosis covering the parietal,
occipital, and temporal lobes (b: hollow arrow). T2-weighted images
are rather unremarkable besides tiny flow void structures (a: black
arrow). Choroid plexus ‘‘angioma’’ is another key feature of Sturge–
Weber syndrome (c: arrow). In the first years of life, tram-track
calcifications may be absent (e, f)
168 H. Urbach
• Axillary and/or inguinal freckling: Smaller café au lait
spots in the axillary and inguinal areas are seen in 20 %
of NF1 patients.
• Optic glioma.
• Two or more Lisch nodules of the iris: Lisch nodules are
pigmented iris hamartomas and found in 22–30 % of NF1
patients by 6 years of age and in nearly all patients after
12 years of age.
• Distinctive bony lesions (sphenoid bone dysplasia, others).
• First-degree relative with NF1.
Imaging: Optic nerve and hypothalamic gliomas are
present in 15–20 % of NF1 patients. They are typically
benign pilocytic astrocytomas differing from other optic
gliomas by the presence of an arachnoid gliomatosis around
the optic nerve. They are typically bilateral, may be limited
to the optic nerves, or may involve the chiasm and the
retrochiasmatic visual pathway. Half of the tumors remain
stable; the other half increase in size and threaten vision.
Progression beyond the age of 10 years is rare.
Intraaxial brain tumors, including astrocytomas and
typical childhood tumors like medulloblastoma and epen-
dymoma, are somewhat more frequent than in the general
population.
In 60–70 % of children with NF1, focal, non-space-
occupying, bilateral, somewhat asymmetrical, not-well-
defined lesions in the globus pallidus, thalamus, brainstem,
and cerebellar white matter are found (‘‘spongious
lesions’’). Spongious lesions may measure up to 3 cm and
are T2- and FLAIR-hyperintense, and T1-hypointense,
-isointense, or slightly hyperintense. Histologically, foci of
Fig. 3 (a–c) Atypical Sturge–Weber syndrome in a 16-year-old boy
with focal frontal lobe atrophy associated with calcifications and large
subcortical heterotopia. (d–f) Bilateral Sturge–Weber syndrome in a
12-year-old boy with bilateral port-wine nevi. MRI and CT in this case
show vessel structures (d: arrow) and tram-track calcifications in the
right hemisphere (e: arrow), but also an enlarged choroid plexus in the
left trigone (f: arrow)
Neurocutaneous Diseases (Phakomatoses) 169
Fig. 4 Two neurofibromatosis
type 1 patients with chiasm
glioma (a: arrow), plexiform
neurofibromas (b: open arrow),
and spongious or hamartomatous
lesion (f: arrow). Note bilateral
hippocampal signal changes
suggesting bilateral hippocampal
sclerosis. Histopathological
evaluation of the right
hippocampus failed to show
hippocampal sclerosis in one case
(a, b), while it was proven in the
other case (c–f)
170 H. Urbach
myelin vacuolization are found, but no demyelination or
inflammation is found. Spongious lesions increase in num-
ber and size in the first decade, regress afterwards, and are
rarely found in the third decade of life.
Dural ectasia can produce bilateral enlargement of the
internal auditory canals and should not be mismatched with
NF2.
Vascular lesions caused by intimal proliferation are more
common in the extracranial circulation; however, aneu-
rysms, a Moya pattern, and others have been described.
In 80 % of NF1 children, coronal FLAIR and T2-weigh-
ted fast spin echo images show both hippocampi of higher
signal intensity compared to healthy controls. There may be
some asymmetry and the involvement of the amygdala and
Fig. 5 Two examples of
meningioangiomatosis: The
hallmark of MRI is a
leptomeningeal-cortical contrast
enhancement (a: arrow) and a
T2-weighted subcortical
hyperintensity (b). With high
resolution (c; d: 3T, voxel
0.47 9 0.64 9 2 mm), a radial
orientation is visible: Meningeal
cells proliferate along
perivascular (Virchow–Robin)
spaces. Contrast enhancement
can be subtle or absent (e). CT is
helpful to prove calcification (f)
Neurocutaneous Diseases (Phakomatoses) 171
parahippocampal gyrus (Gill 2006). The consequence with
respect to postsurgical seizure freedom is not clear yet: In the
Bonn University epilepsy surgery program, one of five
patients with NF1 and bilateral hippocampal changes
underwent amygdalohippocampectomy. He became seizure-
free, and histology revealed hippocampal sclerosis (Fig. 4).
5 Meningioangiomatosis
Epidemiology: Rare, hamartomatous, cortical/leptomenin-
geal dysplasia in childen; m [ f.
Pathogenesis: Not known: A hamartoma, a meningioma
with brain invasion, and a vascular malformation are
discussed.
Clinical presentation: Usually children with drug-resis-
tant seizures. Half of them have neurofibromatosis (fre-
quently NF2), so that sometimes meningioangiomatosis
lesions are detected while imaging for other NF manifes-
tations (Jallo et al. 2005).
Pathology: Cortical meningovascular dysplasia with
calcification and the proliferation of meningoendothelial
cells along perivascular spaces. No malignant
degeneration.
Imaging: Circumscribed lesion with (80 %) or without
calcifications (20 %) and cortical and subcortical T2-
weighted hyperintensity.
Contrast enhancement on the brain surface with radial
extention in the depth. Contrast enhancement is sometimes
subtle and may be absent.
Fig. 6 Hypomelanosis of Ito in a 24-year-old severely disabled
woman. The left hemisphere is hemimegalencephalic, showing a
distorted anatomy of the frontal lobe and the perisylvian region (a, b,
d, e: arrow). Note, however, also irregular insula and Sylvian fissure
configuration on the right side (c, d: hollow arrow)
172 H. Urbach
With high resolution, radial T2-weighted hyperintense
stripes representing the enlarged perivascular spaces can be
visible (Fig. 5).
6 Hypomelanosis of Ito
Synonym: Incontinentia pigmenti achromians
Epidemiology: Rare neurocutaneous disease, which was
initially described by Ito in (1952). Prevalence:
1:8,000–10,000.
Pathogenesis: Not known; several chromosomal mosa-
icisms have been found. A gene mutation affecting neuronal
progenitor-derived cells and chromosomal stability is sup-
posed to generate cytogenetic anomalies of neurons and
melanocytes.
Clinical presentation: Cutaneous manifestations: Hypo-
pigmented patches and swirls along the lines of Blaschko,
which are present at birth or develop early in childhood.
Extracutaneous manifestations: mental retardation
(65 %); epileptic seizures (53 %); autism (12 %); psychi-
atric symptoms; macrocephaly; teeth, ocular, skeletal, and
cardiac abnormalities.
Imaging: Nonuniform pattern including hemimegalen-
cephaly, pachygyria, cortical dysplasias, gray matter het-
erotopias, white matter anomalies, and others (Fig. 6).
7 Epidermal Nevus Syndromes
Epidemiology: Several very rare neurocutaneous syndromes
are characterized by large skin nevi, ipsilateral brain mal-
formations, and often ocular, skeletal, and other anomalies.
Head and body asymmetries with overgrowth on the side of
the skin changes are other characteristic features (Sugarman
2007; Happle 2010).
These syndromes may be summarized under the
umbrella term ‘‘epidermal nevus’’ or ‘‘organoid nevus
syndromes’’. Some of these syndromes can be distinguished
by the type of epidermal nevus and by the criterion of the
presence or absence of heritability. More common subtypes
are the linear sebaceous nevus or nevus sebaceous of Ja-
dassohn syndrome and the Proteus syndrome. However,
several names are sometimes used for the same syndrome,
and syndromes clinically show overlaps (Turner et al.
2004). From an MRI perspective, it is important to know
that hemimegalencephaly is a common brain malformation
(Pavone et al. 1991), but other malformations (agenesis of
the corpus callosum, Dandy–Walker syndrome, myelome-
ningocele, Arnold–Chiari malformation, vascular malfor-
mations, brain tumors) may also occur.
Linear sebaceous nevus or nevus sebaceous of Jadassohn
syndrome:
The syndrome (also known as Schimmelpfennig–Feuer-
stein–Mims syndrome) is characterized by linear sebaceous
nevi, often on the face, that typically follow the lines of
Blaschko (Hornstein and Knickenberg 1974; Bouwes Ba-
vinck and van de Kamp 1985). All cases are sporadic. The
syndrome is considered to be caused by an autosomal-
dominant lethal mutation that survives by somatic mosai-
cism (Gorlin et al. 2001).
Proteus syndrome: Proteus was a Greek sea god who
could change his shape. The name ‘‘Proteus syndrome’’ was
proposed by the German pediatrician Hans-Rudolf Wiede-
mann in 1983; the disorder was initially described by Cohen
and Hayden in 1979 (Wiedemann et al. 1983). Proteus
syndrome is a very rare congenital disorder (up to 20 %
have PTEN mutations) with a progressive course of asym-
metric and disproportionate overgrowth of body parts,
connective tissue and epidermal nevi, vascular malforma-
tions, skull and brain anomalies, and tumors often over the
half of the body (Dietrich et al. 1998). A newly defined
syndrome that was formerly misclassified as Proteus syn-
drome is associated with lipomatous overgrowth and has
been designated as CLOVE syndrome (Sapp et al. 2007;
McCall et al. 1992).
Clinical presentation: Craniofacial epidermal nevus,
ipsilateral cerebral abnormalities, ocular and skeletal abnor-
malities, mental retardation, and often drug-resistant seizures.
Imaging: Consider epidermal nevus syndrome and vari-
ants in patients with skin changes and ipsilateral cerebral
abnormalities, vascular anomalies, tumors, and tumorlike
conditions. Among the relatively common vascular anom-
alies, aortic coarctation and aneurysm, renal artery stenosis,
and carotid artery stenosis have been reported (Greene et al.
2007).
8 Incontinentia Pigmenti (Bloch–
Sulzberger Syndrome)
Epidemiology: Rare X-linked multisystem disorder with
pathognomonic skin manifestations initially described by
the dermatologists Bloch in 1926 and Sulzberger in 1928,
respectively. Neurological manifestations occur in 30 % of
patients, typically in the neonatal period (Meuwissen and
Mancini 2012).
Pathogenesis: Mutations of the NEMO gene on chro-
mosome Xq28 encoding for a transcription factor that reg-
ulates apoptosis, reactions on various cytokines, and cell
adhesion.
Clinical presentation: Skin changes comprise hypopig-
mentation, linear and swirled vesicular lesions (Hubert and
Callen 2002). Ocular findings comprise a range of retinal
vascular changes and optic atrophy, but also developmental
defects like microphthalmia and cataract (Meuwissen and
Neurocutaneous Diseases (Phakomatoses) 173
Mancini 2012). Neurological manifestations comprise epi-
leptic encephalopathy, seizures of different types, acute
disseminated encephalomyelitis, and ischemic stroke.
Seizures of different types seem to correlate with the degree
of cerebrovascular damage.
Imaging: MRI findings likely reflect changes following
microvascular brain injury and include periventricular and
subcortical white matter disease, including diffusion-
restricted lesions and atrophy, hemorrhagic changes, and
corpus callosum hypoplasia (Pascual-Castroviejo et al.
Fig. 7 CT (a) and MRI (b–e) in
a 36-year-old woman with
Urbach–Wiethe syndrome.
Characteristic are the nearly
complete amygdala calcifications
with a taillike extension into the
parahippocampal gyrus
174 H. Urbach
1994; Hennel et al. 2003; Wolf et al. 2005; Hsieh and
Chang 2011; Meuwissen and Mancini 2012).
9 Lipoid Proteinosis (Urbach–Wiethe
Syndrome)
Epidemiology: Described for the first time by Urbach and
Wiethe in 1929. Autosomal-recessive inherited disorder
with deposits of amorphous hyaline material in skin and
mucosal membranes and of calcifications in amygdala and
basal ganglia. Around 300 cases have been described.
Pathogenesis: Mutation of the ECM1 gene on chromo-
some 1q21 encodimg for the glycoprotein ECM1, which is
expressed in skin, endothelial cells, and developing bone.
Clinical presentation: Skin changes with thickening, scar-
ring, and xanthelasma-like nodules of the eyelids. Hoarseness
since childhood; thin and fragile hair. Epileptic seizures may
occur; cognitive deficits and lack of emotional ‘‘involvement’’
are predominant clinical symptoms (Claeys et al. 2007).
Imaging: Symmetric, half-moon-shaped calcifications of
the amygdalae are pathognomonic. Calcifications may also
occur in the hippocampus, parahippocampal gyrus, and
striate (Gonçalves et al. 2010) (Fig. 7).
10 Linear Scleroderma (en coup de sabre
syndrome) and Parry–Romberg
Syndrome
Epidemiology: Linear scleroderma is an indented, vertical,
colorless line of skin on the forehead, also called en coup de
sabre, meaning ‘‘sword stroke’’ syndrome. It is typically
associated with a focal linear atrophy of the skin and sub-
cutaneous tissue. Parry–Romberg syndrome (progressive
facial hemiatrophy) is a rare disease of unknown origin
clinically sometimes associated with focal seizures and even
epilepsia partialis continua. Several case reports indicate a
close relationship between both entities (Carreño et al. 2007;
Chiang et al. 2009; Longo et al. 2011; Seifert et al. 2011).
Pathogenesis: The exact pathogenesis is unclear. Some
cases of Parry–Romberg syndrome are associated with
Rasmussen encephalitis.
Clinical presentation: Parry–Romberg syndrome is
characterized by a slowly progressive, unilateral atrophy of
facial tissue, including muscles, bones, and skin. Atrophy
typically starts in the first or second decade of life, slowly
progresses over several years, and eventually becomes sta-
ble. Neurological involvement includes focal seizures
(Epilepsia partialis continua), migraine, and facial pain.
Imaging: Unilateral progressive atrophy of skin, subcu-
taneous tissue, and bones of the face. Progressive hemiat-
rophy of the ipsilateral hemisphere and sometimes signal
changes like those in Rasmussen encephalitis (initial
swelling and hyperintense signal of the cortex with periin-
sular accentuation; later on progressive atrophy of the
hyperintense tissue) (Fig. 8).
References
Bouwes Bavinck JN, van de Kamp JJP (1985) Organoid naevus
phakomatosis: Schimmelpenning–Feuerstein–Mims syndrome. Br
J Derm 113:491–492
Carreño M, Donaire A, Barceló MI et al (2007) Parry–Romberg
syndrome and linear scleroderma in coup de sabre mimicking
Rasmussen encephalitis. Neurology 68(16):1308–1310
Fig. 8 Parry–Romberg syndrome and Rasmussen encephalitis in a
16-year-old boy. Initially, atrophic skin, subcutaneous and bone tissue
(a: arrow) as well as cortical swelling suggestive of the acute stage of
Rasmussen encephalitis (a: open arrow) were observed. Atrophic skin
changes slowly progressed (b, c: arrows), and histologically proven
Rasmussen encephalitis evolved into a chronic stage with tissue
atrophy
Neurocutaneous Diseases (Phakomatoses) 175
Chiang KL, Chang KP, Wong TT, Hsu TR (2009) Linear scleroderma
‘‘en coup de sabre’’: initial presentation as intractable partial
seizures in a child. Pediatr Neonatol 50(6):294–298
Claeys KG, Claes LR, Van Goethem JW et al (2007) Epilepsy and
migraine in a patient with Urbach–Wiethe disease. Seizure
16:465–468
Cohen MM Jr, Hayden PW (1979) A newly recognized hamartom-
atous syndrome. Birth Defects Orig Artic Ser 15:291–296
Dietrich RB, Glidden DE, Roth GM et al (1998) The Proteus
syndrome: CNS manifestations. Am J Neuroradiol 19(5):987–990
Enjoltas O, Riche MC, Merland JJ (1985) Facial port-wine stains and
Sturge–Weber syndrome. Pediatrics 76:48–51
Gill DS (2006) Age-related findings on MRI in neurofibromatosis type
1. Pediatr Radiol 36:1048–1056
Gonçalves FG, de Melo MB, de L Matos V et al (2010) Amygdalae
and striatum calcification in lipoid proteinosis. Am J Neuroradiol
31(1):88–90
Gorlin RJ, Cohen MM, Hennekam RCM (2001) Syndromes of the
Head and Neck, 4th edn. Oxford University Press, New York,
pp 484–488
Greene AK, Rogers GF, Mulliken JB (2007) Schimmelpenning
syndrome: an association with vascular anomalies. Cleft Palate
Craniofac J 44:208–215
Happle R (2010) The group of epidermal nevus syndromes. Part I.
Well defined phenotypes. J Am Acad Dermatol 63(1):1–22
Hennel SJ, Ekert PG, Volpe JJ, Inder TE (2003) Insights into the
pathogenesis of cerebral lesions in incontinentia pigmenti. Pediatr
Neurol 29(2):148–150
Hornstein OP, Knickenberg M (1974) Zur Kenntnis des Schimmel-
penning-Feuerstein-Mims-Syndroms (Organoide Naevus-Phako-
matose) [in German]. Arch Derm Forsch 250:33–50
Hsieh DT, Chang T (2011) Incontinentia pigmenti: skin and magnetic
resonance imaging findings. Arch Neurol 68(8):1080
Hubert JN, Callen JP (2002) Incontinentia pigmenti presenting as
seizures. Pediatr Dermatol 19(6):550–552
Ito M (1952) Studies of melanin: XI. Incontinentia pigmenti achrom-
iens. Tohoku J Exp Med 55(suppl):55–57
Jallo GI, Kothbauer K, Mehta V et al (2005) Meningioangiomatosis
without neurofibromatosis: a clinical analysis. J Neurosurg 103(4
Suppl):319–324
Krueger DA, Care MM, Holland K et al (2010) Everolimus for
subependymal giant-cell astrocytomas in tuberous sclerosis.
N Engl J Med 363(19):1801–1811
Longo D, Paonessa A, Specchio N et al (2011) Parry–Romberg
syndrome and Rasmussen encephalitis: possible association. Clin-
ical and neuroimaging features. J Neuroimaging 21(2):188–193
McCall S, Ramzy MI, Cure JK, Pai GS (1992) Encephalocraniocu-
taneous lipomatosis and the Proteus syndrome: distinct entities
with overlapping manifestations. Am J Med Genet 43:662–668
Meuwissen ME, Mancini GM (2012) Neurological findings in
incontinentia pigmenti; a review. Eur J Med Genet 55(5):323–331
NIH Consensus Development Conference (1988) Neurofibromatosis:
conference statement. Arch Neurol 45:575–578
Osborne JP, Fryer A, Webb D (1991) Epidemiology of tuberous
sclerosis. Ann NY Acad Sci 615:125–127
Pascual-Castroviejo I, Roche MC, Martinez Fernández V et al (1994)
Incontinentia pigmenti: MR demonstration of brain changes. Am J
Neuroradiol 15(8):1521–1527
Pavone L, Curatolo P, Rizzo R et al (1991) Epidermal nevus
syndrome: a neurologic variant with hemimegalencephaly, gyral
malformation, mental retardation, seizures, and facial hemihyper-
trophy. Neurology 41:266–271
Roach ES, Gomez MR, Northrup H (1998) Tuberous Sclerosis
Complex Consensus Conference: revised clinical diagnostic crite-
ria. J Child Neurol 13:624–628
Sapp JC, Turner JT, van de Kamp JM et al (2007) Newly delineated
syndrome of congenital lipomatous overgrowth, vascular malfor-
mations, and epidermal nevi (CLOVE syndrome) in seven patients.
Am J Med Genet 143A:2944–2958
Seifert F, Bien CG, Schellinger PD et al (2011) Parry–Romberg
syndrome with chronic focal encephalitis: two cases. Clin Neurol
Neurosurg 113(2):170–172
Sugarman JL (2007) Epidermal nevus syndromes. Semin Cutan Med
Surg 26(4):221–230
Turner JT, Cohen MM, Biesecker LG (2004) Reassessment of the
Proteus syndrome literature: application of diagnostic criteria to
published cases. Am J Med Genet 130A:111–122
Urbach E, Wiethe C (1929) Lipoidosis cutis et mucosae. Virch Arch
Pathol Anat 273:285–319
Wiedemann HR, Burgio GR, Aldenhoff P et al (1983) The Proteus
syndrome. Partial gigantism of the hands and/or feet, nevi,
hemihypertrophy, subcutaneous tumors, macrocephaly or other
skull anomalies and possible accelerated growth and visceral
affections. Eur J Pediatr 140(1):5–12
Wolf NI, Krämer N, Harting I et al (2005) Diffuse cortical necrosis in a
neonate with incontinentia pigmenti and an encephalitis-like
presentation. Am J Neuroradiol 26:1580–1582
176 H. Urbach
Trauma
Horst Urbach
Contents
1 Epidemiology........................................................................ 177
2 Pathogenesis.......................................................................... 177
3 Clinical Presentation ........................................................... 179
4 Imaging ................................................................................. 179
References...................................................................................... 180
Abstract
Trauma is a major risk factor for epilepsy. However, one
should have in mind that posttraumatic MRI changes can
be the cause or the consequence of epilepsy.
1 Epidemiology
Trauma is the cause of epilepsy in around 4 % of cases
(Serles et al. 2003).
Trauma incidence is highest between the ages of
15–24 years and males are more often affected than
females (Langendorf and Pedley 1997; Boswell et al. 2002).
Seizures occur in 10–15 % of adults and 30–35 % of
children after severe head trauma (Glasgow Coma Score9)
(Caveness et al. 1979; Hahn et al. 1988).
2 Pathogenesis
Primary brain parenchymal injuries comprise cortical con-
tusions and diffuse axonal injuries (DAI). Cortical contu-
sions result from impact injuries compressing the brain
against a bony structure or dural fold (‘‘coup’’ lesions) or
stretching the partly fixed brain on the opposite impact side
(‘‘contrecoup’’ lesions). Other mechanisms are penetrating
brain injuries with intracranial hematomas and retained
metallic fragments.
DAI typically result from high-velocity motor vehicle
accidents, typically deceleration injuries although impact is
not necessarily needed. DAI are shearing injuries with
axonal stretching when the cortex moves at a different speed
as compared to the underlying white matter. Eighty percent
of DAI lesions are microscopic nonhemorrhagic lesions and
MRI visible lesions rather represent the ‘‘tip of the iceberg.’’
H. Urbach (&)
Department of Neuroradiology,
University Hospital Freiburg,
Germany
e-mail: horst.urbach@uniklinik-freiburg.de
H. Urbach (ed.), MRI in Epilepsy, Medical Radiology. Diagnostic Imaging,
DOI: 10.1007/174_2012_748, Ó Springer-Verlag Berlin Heidelberg 2013
177
Fig. 1 31-year-old woman with at least two cortical contusions (a,
b arrow) resulting from a prior trauma. Epileptic seizures were
already present before trauma and are most likely due to bilateral
periventricular nodular heterotopias (BPNH) (c hollow arrows)
Fig. 2 Small cortical contusions
in a 51-year-old man with tonic-
clonic seizures following a head
trauma at the age of 20. (a, c,
d arrows). The cortical lesions
with hemosiderin deposits are
best visible on high-resolution
T2-weighted images. They are
missed on FLAIR images due to
a lower anatomical resolution
(b) and on T2-weighted gradient
echo images (not shown) due to
susceptibility artifacts from the
frontal sinuses
178 H. Urbach
3 Clinical Presentation
Seizures occurring within 1 week following the trauma are
considered as early posttraumatic seizures. Seizures occur-
ring later than 1 week following the trauma are late post-
traumatic seizures. Posttraumatic injuries may occur
decades following the trauma. The risk is particularly high
with penetrating brain injuries and retained metallic frag-
ments (Raymont et al. 2010; Agrawal et al. 2006).
Seizures can be the result of or induce a trauma (Fig. 1).
Careful evaluation, as to whether the semiology of seizures
has changed after the trauma is needed.
4 Imaging
Cortical contusions occur in locations where the brain is
adjacent to bony protuberances or dural folds: basal frontal
lobe, temporal pole and inferior surface, parasagittal
(‘‘gliding’’ contusions). Initial CT often shows only subtle,
ill-defined, discretely hyperdense, superficial lesions,
which, however, ‘‘blow up’’ after 24–48 h. In the chronic
stage, there is cortical and subcortical volume loss and
hemosiderin deposition. Lesions may be subtle and it is
important to inspect the cortical surface in classical loca-
tions (Fig. 2).
Fig. 3 Coronal high-resolution T2-weighted images (a, b) with
magnified views of the hippocampi show multiple hemosiderin
deposits as sequelae of diffuse axonal brain injury. These shearing
injuries are typically located in subcortical white matter bordering the
cortex (b, f, g: arrows, the corpus callosum, and the brainstem,
typically in dosolateral mesencephalon (c arrow). In this case of a 28
year old man hemosiderin deposits are also found in the CA1 sector of
both hippocampi (c–f hollow arrow)
Trauma 179
Diffuse axonal injury is characterized by multiple punc-
tate hypointense lesions on T2-weighted gradient echo
sequences (Fig. 3). CT scans are often unremarkable and do
not fit the clinical state of the patients. However, with more
severe DAI circumscribed and transient hyperdensity in the
interpeduncular cistern or in the dorsolateral upper brain-
stem may indicate DAI. Specific locations for the multiple
punctate hemorrhages are the gray–white matter interfaces,
the corpus callosum, and the dorsolateral upper brainstem
(Adams et al. 1982). The gray–white matter interface is
especially susceptible for shearing injuries as the density of
the tissue abruptly changes. The corpus callosum is the
second most common DAI location with the splenium most
commonly affected (Gentry et al. 1988). Small blood-CSF
levels in the posterior horns of the lateral ventricles may
indicate corpus callosum DAI. Brainstem DAIs typically
involve the dorsolateral quadrant of the mesencephalon
adjacent to the superior cerebellar peduncle. They are only
observed with severe trauma and multiple deep white matter
and corpus callosum hemorrhages (Zuccarello et al. 1983).
Differential diagnosis includes Duret’s hemorrhage, a dor-
solateral upper brainstem hemorrhage that is considered a
secondary lesion resulting from downward trantentorial
herniation due to a rapidly developing supratentorial mass.
If an epilepsy patient has a clinical trauma history, care-
fully study the basal frontal and the temporal lobes (Fig. 1).
Coronal T2-weighted images should cover the entire frontal
lobes. T2-weighted gradient echo images are needed to dis-
play DAI lesions, however, cortical contusions may be
masked by susceptibility artifacts at brain–bone interfaces.
References
Adams JH, Graham DI, Murray LS, Scott G (1982) Diffuse axonal
injury due to nonmissile head injury in humans: an analysis of 45
cases. Ann Neurol 12:557–563
Agrawal A, Timothy J, Pandit L, Manju M (2006) Post-traumatic
epilepsy: an overview. Clin Neurol Neurosurg 108(5):433–439
Boswell JE, McErlean M, Verdile VP (2002) Prevalence of traumatic
brain injury in an ED population. Am J Emerg Med 20:177–180
Caveness WF, Meirowsky AM, Rish BL, Mohr JP, Kistler JP, Dillon JD,
Weiss GH (1979) The nature of posttraumatic epilepsy. J Neurosurg
50(5):545–553
Gentry LR, Thompson B, Godersky JC (1988) Trauma to the corpus
callosum: MR features. Am J Neuroradiol 9:1129–1138
Hahn YS, Fuchs S, Flannery AM, Barthel MJ, McLone DG (1988)
Factors influencing posttraumatic seizures in children. Neurosur-
gery 22(5):864–867
Langendorf F, Pedley TA (1997) Post-traumatic seizures. In: Engel J
Jr, Pedley TA (eds) Epilepsy: a comprehensive textbook. Lippin-
cott-Raven Publishers, Philadelphia, pp 2469–2474
Raymont V, Salazar AM, Lipsky R, Goldman D, Tasick G, Grafman J
(2010) Correlates of posttraumatic epilepsy 35 years following
combat brain injury. Neurology 75(3):224–229
Serles W, Baumgartner C, Feichtinger M, Felber S, Feucht M Podreka I,
Prayer D, Trinka E (2003) Richtlinien für ein standardisiertes MRT-
Protokoll für Patienten mit epileptischen Anfällen in Österreich.
Mitteilungen der Österreichischen Sektion der Internationalen Liga
gegen Epilepsie 3:2–13
Zucarello M, Fiore DL, Trincia G,DeCaroR,Pardatscher K,Andrioli GC
(1983) Traumatic primary brain stem haemorrhage. A clinical and
experimental study. Acta Neurochir 67:103–113
180 H. Urbach
Vascular Malformations
Horst Urbach and Timo Krings
Contents
1 Cavernomas.......................................................................... 181
1.1 Synonym(s)............................................................................ 181
1.2 Epidemiology......................................................................... 181
1.3 Pathogenesis........................................................................... 182
1.4 Clinical Presentation.............................................................. 183
1.5 Imaging .................................................................................. 183
2 Arteriovenous Malformations ............................................ 185
2.1 Epidemiology......................................................................... 185
2.2 Pathogenesis and Pathology.................................................. 185
2.3 Clinical Presentation.............................................................. 185
2.4 Imaging .................................................................................. 188
3 Dural Arteriovenous Fistulae............................................. 188
3.1 Epidemiology......................................................................... 188
3.2 Pathogenesis........................................................................... 188
3.3 Clinical Presentation.............................................................. 188
3.4 Imaging .................................................................................. 188
4 Developmental Venous Anomalies..................................... 188
4.1 Synonym ................................................................................ 188
4.2 Epidemiology......................................................................... 188
4.3 Pathogenesis and Pathology.................................................. 189
4.4 Clinical Presentation.............................................................. 189
4.5 Imaging .................................................................................. 189
5 Capillary Telangiectasias.................................................... 190
5.1 Epidemiology......................................................................... 190
5.2 Pathogenesis and Pathology.................................................. 190
5.3 Clinical Presentation.............................................................. 190
5.4 Imaging .................................................................................. 190
References...................................................................................... 191
Abstract
Vascular malformations are described in this chapter in
the following order: cavernomas, arteriovenous malfor-
mations, dural arteriovenous fistulae, developmental
venous anomalies, and capillary telangiectasias. The
order is derived from their propensity to cause epileptic
seizures. In cavernomas, epileptic seizures are the most
common symptom, followed by the incidental MRI
detection of nonspecific symptoms such as headaches
and dizziness. In arteriovenous malformations, seizures
occur in around 30 % of patients. Incidental detection or
presentation with hemorrhage is either more common or
has a higher therapeutic relevance owing to the distinctly
higher hemorrhage-related morbidity and mortality and
rebleeding risk. Dural arteriovenous fistulae are typically
acquired vascular lesions causing epileptic seizures
among other symptoms if cortical venous reflux is
present. Developmental venous anomalies are of thera-
peutic relevance only if they are associated with
cavernomas and—in very rare cases—if the draining
collector vein becomes thrombosed. Capillary telangiec-
tasias are of no therapeutic relevance.
1 Cavernomas
1.1 Synonym(s)
A synonym is ‘‘cavernous malformation.’’ Use of the term
‘‘cavernous hemangioma’’ should be avoided since a cav-
ernous hemangioma is a true vasoproliferative neoplasm.
1.2 Epidemiology
Cavernomas are relatively frequent vascular malformations
with a prevalence of approximately 0.5 %. Cavernomas are
solitary in around 75 % of cases and multiple in around
H. Urbach (&)
Department of Neuroradiology,
University Hospital Freiburg, Germany
e-mail: horst.urbach@uniklinik-freiburg.de
T. Krings
Department of Neuroradiology,
University of Toronto, Toronto, ON, Canada
H. Urbach (ed.), MRI in Epilepsy, Medical Radiology. Diagnostic Imaging,
DOI: 10.1007/174_2012_753, Ó Springer-Verlag Berlin Heidelberg 2013
181
25 % of cases. Around 10 % of cavernomas are familial
cases with autosomal dominant inheritance, variable pene-
trance, and three identified genes (CCM1, CCM2, and
CCM3). Up to 20 % of cavernomas are accompanied by
developmental venous anomalies (DVAs), and there is
some evidence that an anomalous venous drainage triggers
cavernoma evolution (Wurm et al. 2005) (Fig. 4).
1.3 Pathogenesis
Cavernomas are immature lesions with endothelial prolif-
eration and upregulated angiogenesis. Histopathologically,
they consist of dilated, endothelium-lined blood vessels
without arterial features. Sinusoidal blood cavities typically
lie back-to-back and there is no substantial brain tissue
interposed between the vessels. Thrombosis, organization,
and inflammatory changes and occasional calcifications
may be seen in larger cavernomas (Raabe et al. 2012).
Evidence of prior hemorrhage is a nearly constant feature of
cavernomas, and the lesions are considered to grow and
produce symptoms by recurrent episodes of hemorrhage or
intralesional thrombosis. Hemorrhage is characteristically
confined within the lesion, and produces neurological defi-
cits secondary to a local mass effect rather than direct
parenchymal injury. Smaller nonsymptomatic hemorrhages
are thought to contribute to the development of seizures.
These smaller hemorrhages result in the progressive depo-
sition of hemosiderin in the brain parenchyma surrounding
the cavernoma, and iron as content of hemosiderin is a well-
known epileptogenic material that is used to induce seizures
in laboratory models of epilepsy (Figs. 1, 2). Another mech-
anism, however, is the development of seizures following
larger intralesional hemorrhage (Figs. 3, 4).
Fig. 1 A 17-year-old woman
presented with daily auras with
fearful feelings and déjà vu
phenomena and monthly complex
focal seizures. MRI revealed a
2-cm Zabramski type 2
cavernoma in the left middle
temporal gyrus. The cavernoma
itself has a popcorn-ball
appearance with hyperintense
and hypointense signal on
T2-weighted sequences (a, b, e).
It is surrounded by a hypointense
rim reflecting the impregnation of
the adjacent brain parenchyma
with hemosiderin (b, arrows).
The T1-weighted unenhanced
sequence shows some
hyperintense intralesional signal
(c), and the T1-weighted contrast-
enhanced sequence shows
intralesional enhancement (d)
182 H. Urbach and T. Krings
1.4 Clinical Presentation
Up to 40 % of patients with cavernomas present with epi-
leptic seizures (Awad and Jabbour 2006; Baumann et al.
2007; Del Curling et al. 1991; Gross et al. 2011; Moran et al.
1999; Moriality et al. 1999). Seizures are most prevalent in
supratentorial cavernomas and progress to epilepsy in 40 %
of these cases (Englot et al. 2011). Epileptic seizures are
more common than symptomatic hemorrhages, which occur
in around 0.5 % of lesions per year.
Around 75 % of patients become seizure-free following
microsurgical resection (Englot et al. 2011). Prognostic
factors with respect to postsurgical seizure freeness are me-
siotemporal location, gross anatomical resection including
the hemosiderin rim, small size (diameter less than 1.5 cm),
surgery within 1 year after seizure onset, and absence of
secondarily generalized seizures (Baumann et al. 2006, 2007;
Chang et al. 2009; Englot et al. 2011).
1.5 Imaging
Magnetic resonance (MR) images typically show a popcorn-
like pattern with mixed high and low signal intensities in the
core and a dark rim of hemosiderin (Fig. 1). Hyperintense
portions on T1-weighted images in the core represent suba-
cute (intralesional) hemorrhage or thrombosis within the
‘‘berries’’ of the cavernoma. The cavernoma itself is
surrounded by a hypointense rim on T2-weighted images
which blooms on T2-weighted gradient echo images.
The hypointense rim represents hemosiderin-stained brain.
A cavernoma may profoundly bleed into the surrounding
brain parenchyma (extralesional hemorrhage), but with
respect to epileptic seizures, the hemosiderin staining of the
surrounding brain parenchyma due to smaller nonsymptom-
atic intralesional hemorrhage/thrombosis and ongoing blood
degradation is more relevant. In addition to T2-weighted fast
spin echo sequences, which show the anatomical details best,
Fig. 2 Two different
cavernomas of the inferior
temporal gyrus. The right-sided
small cavernoma could have been
easily overlooked if only axial
slices had been acquired. On
T2-weighted images, cavernomas
associated with long-term
epilepsy usually have a
hyperintense matrix surrounded
by a less prominent (a, b) or
more prominent
(c, d) hemosiderin rim
Vascular Malformations 183
Fig. 4 MRI in a 14-year-old girl
initially presenting with a
transient difficulty to use her right
arm was uneventful except for a
small left insular developmental
venous anomaly (a, b). Four
years later, the patient presented
with two complex focal seizures.
MRI now showed a
pathologically proven insular
Zabramski type 1 cavernoma
with intralesional subacute
hemorrhage (c, d, hollow
arrows). The adjacent
developmental venous anomaly
is characterized by caput
meduase (b, d, arrows) and a
draining subependymal vein
(not shown)
Fig. 3 A 53-year-old man presented with epilepsia partialis continua
of the right neck muscles for 4 weeks. One year before he had
observed this phenomenon for 1 day. Axial fluid-attenuated inversion
recovery (FLAIR) (a), T2-weighted gradient echo (b), T1-weighted
spin echo (c), and coronal FLAIR (d) images show a Zabramski type 1
cavernoma. Intralesional hemorrhage and adjacent edema (d, arrows)
are likely the reason why the patient presented with epilepsia partialis
continua
184 H. Urbach and T. Krings
T2-weighted gradient echo or susceptibility-weighted
sequences are mandatory to discover additional so-called
Zabramski type 4 cavernomas (Zabramski et al. 1994).
However, because of susceptibility artefacts at bone–brain
interfaces, small cortical/subcortical cavernomas can be
easily missed on T2-weighted gradient echo sequences
(Fig. 2). Since up to 20 % of cavernomas are associated with
DVAs, which represent an anatomic variant of otherwise
normal venous drainage and are characterized by dilated
medullary white matter veins (caput medusae) converging on
a collector vein draining into a dural sinus or ependymal vein,
T1-weighted contrast-enhanced images should be addition-
ally obtained (Fig. 4). If a mixed cavernoma/DVA is found,
venous drainage of the DVA must be preserved if the
cavernoma is surgically removed.
2 Arteriovenous Malformations
2.1 Epidemiology
Arteriovenous malformation (AVM) is the most common
symptomatic vascular malformation, with a detection rate
of 1.2/100,000 person-years (Stapf et al. 2001). The most
common presentation is AVM-related hemorrhage, with an
annual hemorrhage rate that ranges between 2.8 % (Stapf
et al. 2006) and 4.6 % (daCosta et al. 2009).
2.2 Pathogenesis and Pathology
AVMs are abnormal collections of blood vessels wherein
arterial blood flows into draining veins without the normal
interposed capillary bed. AVMs are typically solitary lesions.
In multiple lesions, hereditary hemorrhagic telangiectasia
(Rendu–Osler–Weber syndrome) type 1 with mutations of
the endoglin gene on bands 33 and 34 of the long arm of
chromosome 9, Wyburn–Mason syndrome, and cerebrofa-
cial arteriovenous metameric syndromes (types 1–3) should
be considered (Bharatha et al. 2012; Krings et al. 2007).
2.3 Clinical Presentation
After hemorrhage (which in contrast to cavernomas is
associated with 10 % mortality and 30–50 % morbidity
from each bleed), seizures are the most common presen-
tation. Seizures occur in around 30 % of patients (Garcin
et al. 2012). The younger the patient at the time of diag-
nosis, the higher is the risk of developing seizures (Stapf
et al. 2003). Seizure risk is higher for AVMs presenting with
intracranial hemorrhage or focal neurologic deficit than for
incidental AVMs (Josephson et al. 2011). Male sex,
increasing AVM size, arterial borderzone location, frontal
lobe location, superficial venous drainage, and venous
ectasia have been identified as relative risk factors (Garcin
et al. 2012). Venous congestion, perinidal hypoxemia, long
pial vein, and a space-occupying effect are angiographic
features associated with epileptic seizures (Shankar et al.
2012). Impaired perinidal cerebrovascular reserve capacity
due to venous congestion is considered as an underlying
pathophysiological mechanism which may trigger epileptic
seizures (Fiestra et al. 2011). However, no difference in the
5-year risk of seizures has been observed with conservative
or invasive treatment, irrespective of whether the patient
presented with hemorrhage or with epileptic seizures
(Josephson et al. 2012).
Fig. 5 Axial T2-weighted (a), FLAIR (b), and T1-weighted
(c) images demonstrating an intraparenchymal nidus of flow voids
indicative of an arteriovenous malformation (AVM). T2-weighted and
FLAIR hyperintensity represents perifocal gliosis, which was thought
to be the cause of the patient’s seizures
Vascular Malformations 185
Fig. 6 A 33-year-old woman
presented with classic left
temporal lobe seizures despite a
cingulate location of her AVM
(a–d). However, the venous
phases of the digital subtraction
angiography demonstrate venous
rerouting via the lateral
perimesencephalic vein into the
basal vein of Rosenthal on the
left (d–f). As this vein also drains
the hippocampus, it was felt that
her seizures were related to
venous congestion of her left
hippocampus due to arterial
overload of its venous drainage
186 H. Urbach and T. Krings
Fig. 7 Seizures in this patient
are presumably related to the
long pial course of the draining
vein (a, b, arrow) leading to a
widespread venous congestion
over the left hemisphere.
Following distal
microcatheterization (c) and
n-butyl cyanoacrylate injection
(d, arrow), the AVM could be
obliterated (e) and the seizures
stopped
Fig. 8 The venous phase in this
34-year-old patient with seizures
demonstrates the so-called
pseudophlebitic aspect of the
veins (dilated parenchymal veins)
that is indicative of longstanding
venous hypertension that is
associated with seizure
occurrence due to venous
congestion
Vascular Malformations 187
2.4 Imaging
On MRI (Figs. 5, 6, 7, 8), AVMs appear as a ‘‘bag of black
worms’’ (flow void structures) with minimal or no mass
effect. Draining veins have a larger caliber than the feeding
arteries and can often be followed on their way to the
sinuses or deep vein system. It is important to look for
intranidal or flow-related aneurysms of the feeding arteries,
which may bleed ‘‘instead’’ of the AVM. If there is sig-
nificant edema around the lesion, it may be not an AVM but
a tumor that has bled. The imaging features of AVMs are
best visualized on (high-resolution) T2-weighted fast spin
echo images. Three-dimensional time-of-flight MR angi-
ography is helpful for gross depiction of flow; time-resolved
contrast-enhanced MR angiography may additionally depict
detailed angioarchitecture (Hadizadeh et al. 2012).
Owing to the significant consequences of AVM bleeding,
AVM ‘‘removal’’ by surgery, embolization, or radiation
treatment is generally intended. However, the risk of treat-
ment must be weighed against the estimated risk of bleeding.
A measure to describe the surgical treatment risk is the
Spetzler–Martin classification (Spetzler and Martin 1986), in
which the nidus size (smaller than 3 cm corresponds to
1 point, 3–6 cm corresponds to 2 points, larger than 6 cm
corresponds to 3 points), the eloquence of adjacent brain
parenchyma (eloquence corresponds to 1 point), and the
pattern of venous drainage (deep venous drainage corre-
sponds to 1 point) are considered. In addition, AVM location
is of importance. For example, in temporomesial AVMs the
anterior choroidal artery is difficult to separate from enlarged
feeding AVM arteries, and surgery and embolization are
associated with a higher hemiparesis risk.
3 Dural Arteriovenous Fistulae
3.1 Epidemiology
Dural arteriovenous fistulae are arteriovenous shunts that
are located in the wall of a venous sinus and are typically
fed by meningeal arteries. In adults, so-called dural arte-
riovenous fistulae are acquired and may develop following,
e.g., a minor trauma and/or sinus thrombosis. In children,
dural arteriovenous fistulae are often congenital.
3.2 Pathogenesis
Dural arteriovenous fistulae are communications between
dural branches of the internal carotid artery, the external
carotid artery, the vertebral artery, and intracerebral veins
and/or sinuses.
3.3 Clinical Presentation
The clinical symptoms depend on the size, the location,
and the venous drainage pattern. Risk of intracerebral
hemorrhage is high in anterior skull base arteriovenous
fistulae and risk of intracerebral hemorrhage and epileptic
seizures is high in fistulae with retrograde filling of cor-
tical veins (Fig. 9). The Cognard classification focuses on
the venous drainage pattern: Grade 1 fistulae are arterio-
venous shunts in the wall of a venous sinus, with normal
antegrade flow. Grade 2A fistulae show retrograde flow in
the sinus, but no reflux in cortical veins. Grade 2B fistulae
show retrograde drainage from the sinus into cortical
veins. Grade 3 fistulae have direct cortical venous drainage
without venous ectasia, and grade 4 fistulae have direct
cortical venous drainage with venous ectasia (Cognard
et al. 1995). The risk of intracerebral hemorrhage and of
epileptic seizures is low in grade 1 and grade 2A fistulae
and high in grade 2B, grade 3, and grade 4 fistulae.
3.4 Imaging
Vasogenic edema, hemorrhage, and tubular/tortuous flow
void (T2-weighted) and contrast-enhanced (T1-weighted
contrast-enhanced sequences) structures are suggestive of
a dural arteriovenous fistula. Coronal three-dimensional
phase contrast angiography is needed to show venous sinus
anatomy and may reveal a thrombosed or partially open
venous sinus. Although time-resolved contrast-enhanced
MR or CT angiography may discover dural arteriovenous
fistulae, digital subtraction angiography with bilateral
internal carotid artery, external carotid artery, and vertebral
artery injections is needed if a dural arteriovenous fistula is
suspected and in order to develop an endovascular treat-
ment strategy.
4 Developmental Venous Anomalies
4.1 Synonym
A synonym is ‘‘venous angioma.’’
4.2 Epidemiology
DVAs are the most common vascular malformation, with a
prevalence of 2.5–9 % on contrast-enhanced T1-weighted
MR images (Osborn 2010).
188 H. Urbach and T. Krings
4.3 Pathogenesis and Pathology
DVAs are considered variants of otherwise normal venous
drainage. Up to 20 % of cavernomas are associated with
DVAs. There is some evidence that an anomalous venous
drainage triggers cavernoma evolution (Fig. 4).
4.4 Clinical Presentation
DVAs are typically incidental findings. If they cause
symptoms, they are likely due to associated cavernomas. In
a systematic meta-analysis and prospective study, 4 % of
patients presented with epileptic seizures (Hon et al. 2009).
However, whether there was a causal relationship with the
DVA remained unclear. In very rare cases, epileptic sei-
zures can be elicited by thrombosis of the DVA collector
vein, which may cause hemorrhage or venous congestive
edema (Flacke et al. 2006; Pereira et al. 2008) (Fig. 10).
4.5 Imaging
DVAs are characterized by dilated medullary white matter
veins (caput medusae) converging on a collector vein which
drains into a dural sinus or ependymal vein. Around 5 % of
DVAs are atypical, with some shunting between the arterial
and venous system.
Fig. 9 A 54-year-old man presented with left-sided headache and
complexfocalseizures. SagittalT2-weighted(a,b)andaxialT1-weighted
(c) gradient echo sequences showed a temporo-occipital hemorrhage
(a, hollow arrow) and adjacent enlarged vessels (a–c, arrows). Catheter
angiography revealed a small tentorial dural arteriovenous fistula with
retrograde filling of cerebral veins (d, arrows). The fistula was occluded
with Onyx injection (ev3 Neurovascular, Irvine, CA, USA) via the
petrosqamous middle meningeal artery branch (e, arrow, f)
Vascular Malformations 189
5 Capillary Telangiectasias
5.1 Epidemiology
The true incidence of capillary telangiectasias is unknown
since they are usually small and easily missed on MRI and
autopsy.
5.2 Pathogenesis and Pathology
Capillary telangiectasias are clusters of dilated capillaries
interspersed with normal brain parenchyma. They may be
mixed with DVAs.
5.3 Clinical Presentation
Capillary telangiectasias are usually an incidental finding
unrelated to epileptic seizures. However, larger capillary
telangiectasias can elicit epileptic seizures that have been
explained with a slow flow and hypoperfusion and hypoxic
injury in these lesions (Samaya et al. 2010). Hereditary
hemorrhagic telangiectasia (Rendu–Osler–Weber syndrome),
ataxia telangiectasia, and past radiation therapy in children in
lesions outside the brainstem should be considered.
5.4 Imaging
Capillary telangiectasias are typically small (less than 1 cm),
non-space-occupying lesions with spatial preponderance for
Fig. 10 A 21-year-old man presented with two focal motor seizures.
MRI showed an enlarged and thrombosed cortical left parietal vein
(a, b, d, arrow) surrounded by vasogenic edema (a, c, d, hollow
arrow). The cortical vein collects the blood from tiny veins with a
caput-medusae-like appearance (e, f, arrows)
190 H. Urbach and T. Krings
the pons (Fig. 11) (Castillo et al. 2001). Lesions with a size
greater than 1 cm are found in around 7 % of cases (Sayama
et al. 2010).
Capillary telangiectasias are best visualized on T1-weighted
contrast-enhanced images, on which a faint radial enhancement
and the interspersed normal brain parenchyma are visible.
T2-weighted gradient echo sequences are specific when they
display a moderate hypointensity. Lesions can be missed on
fluid-attenuated inversion recovery and T2-weighted fast spin
echo sequences or show punctate hyperintense foci within the
lesion.
References
Awad I, Jabbour P (2006) Cerebral cavernous malformations and
epilepsy. Neurosurg Focus 21:e7
Bharatha A, Faughnan ME, Kim H, Pourmohamad T, Krings T,
Bayrak-Toydemir P, Pawlikowska L, McCulloch CE, Lawton MT,
Dowd CF, Young WL, Terbrugge KG (2012) Brain arteriovenous
malformation multiplicity predicts the diagnosis of hereditary
hemorrhagic telangiectasia: quantitative assessment. Stroke
43(1):72–78
Baumann CR, Schuknecht B, Lo Russo G, Cossu M, Citterio A,
Andermann F, Siegel AM (2006) Seizure outcome after resection
of cavernous malformations is better when surrounding hemosid-
erin-stained brain also is removed. Epilepsia 47:563–566
Baumann CR, Acciarri N, Bertalanffy H, Devinsky O, Elger CE,
Lo Russo G, Cossu M, Sure U, Singh A, Stefan H, Hammen T,
Georgiadis D, Baumgartner RW, Andermann F, Siegel AM (2007)
Seizure outcome after resection of supratentorial cavernous
malformations: a study of 168 patients. Epilepsia 48:559–563
Castillo M, Morrison T, Shaw JA, Bouldin TW (2001) MR imaging
and histologic features of capillary telangiectasia of the basal
ganglia. Am J Neuroradiol 22(8):1553–1555
Chang EF, Gabriel RA, Potts MB, Garcia PA, Barbaro NM, Lawton
MT (2009) Seizure characteristics and control after microsurgical
resection of supratentorial cerebral cavernous malformations.
Neurosurgery 65(1):31–37
Fig. 11 Capillary
teleangiectasia as an incidental
finding in a 36-year-old man with
temporal lobe seizures. The
small, non-space-occupying
lesion adjacent to the right
thalamus is invisible on the
T2-weighted fast spin echo image
(a) and is moderately
hypointense on the T2-weighted
gradient echo image (b, arrow).
It shows a faint contrast
enhancement on T1-weighted
gradient echo (c) and spin echo
(d) images
Vascular Malformations 191
Cognard C, Gobin YP, Pierot L, Bailly AL, Houdart E, Casasco A,
Chiras J, Merland JJ (1995) Cerebral dural arteriovenous fistulas:
clinical and angiographic correlation with a revised classification
of venous drainage. Radiology 194:671–680
da Costa L, Thines L, Dehdashti AR, Wallace MC, Willinsky RA,
Tymianski M, Schwartz ML, ter Brugge KG (2009) Management
and clinical outcome of posterior fossa arteriovenous malforma-
tions: report on a single-centre 15-year experience. J Neurol
Neurosurg Psychiatry 80(4):376–379
Del Curling O Jr, Kelly DL Jr, Elster AD, Craven TE (1991) An
analysis of the natural history of cavernous angiomas. J Neurosurg
75:702–708
Englot DJ, Han SJ, Lawton MT, Chang EF (2011) Predictors of
seizure freedom in the surgical treatment of supratentorial cavern-
ous malformations. J Neurosurg 115(6):1169–1174
Fierstra J, Conklin J, Krings T, Slessarev M, Han JS, Fisher JA,
Terbrugge K, Wallace MC, Tymianski M, Mikulis DJ (2011)
Impaired peri-nidal cerebrovascular reserve in seizure patients with
brain arteriovenous malformations. Brain 134(Pt 1):100–109
Flacke S, Stuer C, Stoffel M, Urbach H (2006) Symptomatic
developmental venous anomaly after spontaneous thrombosis of
the collector vein. Clin Neuroradiol 16:131–133
Garcin B, Houdart E, Porcher R, Manchon E, Saint-Maurice JP, Bresson
D, Stapf C (2012) Epileptic seizures at initial presentation in
patients with brain arteriovenous malformation. Neurology 78(9):
626–631
Gross BA, Lin N, Du R, Day AL (2011) The natural history of
intracranial cavernous malformations. Neurosurg Focus 30(6):E24
Hadizadeh DR, Kukuk GM, Steck DT, Gieseke J, Urbach H,
Tschampa HJ, Greschus S, Kovàcs A, Möhlenbruch M, Bostroem
A, Schild HH, Willinek WA (2012) Noninvasive evaluation of
cerebral arteriovenous malformations by 4D-MRA for preoperative
planning and postoperative follow-up in 56 patients: comparison
with DSA and intraoperative findings. AJNR Am J Neuroradiol
33(6):1095–1101
Hon JM, Bhattacharya JJ, Counsell CE, Papanastassiou V, Ritchie V,
Roberts RC, Sellar RJ, Warlow CP, Al-Shahi Salman R (2009)
SIVMS Collaborators. The presentation and clinical course of
intracranial developmental venous anomalies in adults: a system-
atic review and prospective, population-based study. Stroke
40(6):1980–1985
Josephson CB, Leach JP, Duncan R, Roberts RC, Counsell CE, Al-
Shahi Salman R (2011) Scottish Audit of Intracranial Vascular
Malformations (SAIVMs) Steering committee and collaborators.
Seizure risk from cavernous or arteriovenous malformations:
prospective population-based study. Neurology 76(18):1548–1554
Josephson CB, Bhattacharya JJ, Counsell CE, Papanastassiou V,
Ritchie V, Roberts R, Sellar R, Warlow CP, Al-Shahi Salman R
(2012) On behalf of the Scottish Audit of Intracranial Vascular
Malformations (SAIVMs) steering committee and collaborators.
Seizure risk with AVM treatment or conservative management:
prospective, population-based study. Neurology 79(6):500–507
Krings T, Geibprasert S, Luo CB, Bhattacharya JJ, Alvarez H,
Lasjaunias P (2007) Segmental neurovascular syndromes in
children. Neuroimaging Clin N Am 17(2):245–258
Moran NF, Fish DR, Kitchen N, Shorvon S, Kendall BE, Stevens JM
(1999) Supratentorial cavernous haemangiomas and epilepsy: a
review of the literature and case series. J Neurol Neurosurg
Psychiatry 66:561–568
Moriarity JL, Clatterbuck RE, Rigamonti D (1999) The natural history
of cavernous malformations. Neurosurg Clin N Am 10:411–417
Osborn AG, Salzman KL, Barkovich AJ (eds) (2010) Diagnostic
imaging. Brain Amirsys Inc, Salt Lake City
Pereira VM, Geibprasert S, Krings T, Aurboonyawat T, Ozanne A,
Toulgoat F, Pongpech S, Lasjaunias PL (2008) Pathomechanisms
of symptomatic developmental venous anomalies. Stroke
39(12):3201–3215
Raabe A, Pernhorst K, Schmitz AK, Grote A, Urbach H, Friedman A,
Albert J. Becker AJ, Elger CE, Niehusmann P (2012) Clinico-
neuropathological correlations in vascular lesions suggest astroglial
albumin storage as common epileptogenic factor. Epilepsia 53:
539–548
Sayama CM, Osborn AG, Chin SS, Couldwell WT (2010) Capillary
telangiectasias: clinical, radiographic, and histopathological fea-
tures. Clinical article. J Neurosurg 113(4):709–714
Shankar JJS, Menezes R, Pohlman-Eden B, Wallace C, Terbrugge K,
Krings T (2012) Angio-architecture of brain AVM determines
seizures presentation- proposed scoring system. AJNR Am J
Neuroradiol [Epub ahead of print]
Spetzler RF, Martin NA (1986) A proposed grading system for
arteriovenous malformations. J Neurosurg 65:476–483
Stapf C, Mohr JP, Pile-Spellman J, Solomon RA, Sacco RL, Connolly
ES Jr (2001) Epidemiology and natural history of arteriovenous
malformations. Neurosurg Focus 11(5):e1
Stapf C, Khaw AV, Sciacca RR, Hofmeister C, Schumacher HC, Pile-
Spellman J, Mast H, Mohr JP, Hartmann A (2003) Effect of age on
clinical and morphological characteristics in patients with brain
arteriovenous malformation. Stroke 34(11):2664–2669
Stapf C, Mast H, Sciacca RR, Choi JH, Khaw AV, Connolly ES, Pile-
Spellman J, Mohr JP (2006) Predictors of hemorrhage in patients
with untreated brain arteriovenous malformation. Neurology
66(9):1350–1355
Wurm G, Schnizer M, Fellner FA (2005) Cerebral cavernous
malformations associated with venous anomalies: surgical consid-
erations. Neurosurgery 57(Suppl 1):42–58
Zabramski JM, Wascher TM, Spetzler RF, Johnson B, Golfinos J,
Drayer BP, Brown B, Rigamonti D, Brown G (1994) The natural
history of familial cavernous malformations: results of an ongoing
study. J Neurosurg 80:422–432
192 H. Urbach and T. Krings
Ischemia
Horst Urbach
Contents
1 Hypoxic-Ischemic Encephalopathies in Utero
and in Infancy...................................................................... 193
1.1 Hydranencephaly ................................................................... 195
1.2 Porencephaly, Encephalomalacia, and Perinatal Stroke ...... 195
1.3 Periventricular Leukomalacia, Subcortical Leukomalacia,
and Ulegyria .......................................................................... 198
2 Adult Stroke ......................................................................... 201
3 Moyamoya ............................................................................ 202
4 CADASIL.............................................................................. 205
References...................................................................................... 205
Abstract
A vascular etiology of epileptic seizures is common in
the fetal and perinatal period and again in adults. In
adults, more than 50 % of newly diagnosed epilepsy
cases are related to cerebrovascular diseases, but the
exact underlying mechanism is often difficult to prove.
This chapter summarizes different vascular lesions with
characteristic MRI patterns.
1 Hypoxic-Ischemic Encephalopathies
in Utero and in Infancy
Background:
The gestational age and the severity of the hypoxic-
ischemic insult determine how the brain reacts to it.
Between the 20th and 28th weeks of gestation, the
immature brain cannot react with gliosis; typical lesions are
hydranencephaly (Fig. 1) or (agenetic) porencephaly.
Between the 28th and 32nd weeks, periventricular-
intraventricular hemorrhages (PIVH) predominate. They
originate in the subependymal germinal matrix, which is a
highly cellular area that gives rise to neurons and glia
during gestation and involutes before term. Most of these
hemorrhages occur in the first week of life and are related to
perinatal stress, including low blood pressure, hypoxia,
hypercarbia, etc.
Between the 32nd and 36th weeks, periventricular leu-
komalacia (PVL) is the typical lesion pattern, which,
however, may also occur in immature term newborns, for
instance, in combination with cardiac defects. It also has an
overlap with (PIVH), since periventricular leukomalacia is
found in 75 % of patients who died with PIVH, and 25 % of
PVL cases are hemorrhagic.
As the brain further matures, the vascular border zones
shift toward the periphery. Accordingly, white matter
lesions ‘‘move’’ from the periventricular to the subcortical
H. Urbach (&)
Department of Neuroradiology, University Hospital Freiburg,
Germany
e-mail: horst.urbach@uniklinik-freiburg.de
H. Urbach (ed.), MRI in Epilepsy, Medical Radiology. Diagnostic Imaging,
DOI: 10.1007/174_2012_781, Ó Springer-Verlag Berlin Heidelberg 2013
193
zone. Periventricular and subcortical leukomalacias are not
considered separate entities but rather represent a continu-
ous disease spectrum.
In the term infant, the lesion pattern again depends on the
degree of asphyxia:
Acute profound episodes of asphyxia may cause a
widespread replacement of cerebral cortex and white matter
by one or more CSF-filled cavities of variable sizes
(multicystic encephalomalacia) or more or less pronounced
injury in the thalami, basal ganglia, hippocampi, dorsal
mesencephalic structures, and perirolandic cortex with rel-
ative sparing of the rest of the cortex (Figs. 5 and 6). Infants
with mild to moderate hypoxia (prolonged partial hypoxia–
ischemia, primarily hypotensive episodes) show cortical
and subcortical injury in a watershed parasagittal distribu-
tion. The injury comprises cortical necrosis involving the
immediately subjacent white matter, encompassing the
parasagittal, superomedial areas of the convexities bilater-
ally, with the parietooccipital region more involved than
frontal regions (Fig. 7). At a chronic phase, the cortex of the
affected gyri shrinks and the term ‘‘ulegyria’’ (otkg = scar)
is used to define the type of cortical abnormality charac-
terized by atrophy at the depth of the sulci and relative
sparing of the crown of the gyri (Fig. 9) (Table 1).
Fig. 1 Hydranencephaly in a 4-year-old boy. The cerebral hemi-
spheres are nearly completely replaced by CSF-filled sacs. Brain
tissue, which normally is supplied via the posterior cerebral arteries
like the thalami (b arrows), the medial aspects of the temporal lobes
(d–f thick arrows), and the occipital lobes (d: hollow arrows), is
preserved. The brainstem and cerebellum are normal (a). The intact
falx cerebri (c: hollow arrows) helps to distinguish between hydran-
encephaly and alobar holoprosencephaly
194 H. Urbach
1.1 Hydranencephaly
Epidemiology. 1:5,000–10,000 live births; approximately
ten times more common in teenage mothers.
Pathology and Pathogenesis. Insult to the developing
brain between the 20th and 27th weeks of gestation (Myers
1989). At this time the brain cannot react to an insult with
gliosis yet; instead, liquefication necrosis develops.
Hydrancephaly is considered to develop secondarily to the
occlusion of internal carotid arteries above the supraclinoid
level. A hint for hydranencephaly as a destructive disorder
and against a congenital disorder is the fact that some
hemispheric brain tissue is usually preserved (Fig. 1).
Common identified causes of hydranencephalies are feto-
fetal transfusion syndromes, congenital infections (toxo-
plasmosis, CMV), and toxins. Rare causes are autosomal-
recessive diseases such as Fowler syndrome or microhy-
dranencephaly (Williams et al. 2010; Kavaslar et al. 2000;
Behunova et al. 2010).
Clinical Presentation. Newborns may have a small, a
normal-sized, or even a large head due to CSF production of
the intact choroid plexus and the presence of hydrocephalus.
Hyperexcitability and epileptic seizures are common. Only
brainstem functions are intact. Death usually occurs during
infancy.
In rare cases with unilateral hydranencephaly, a nearly
normal living may be possible. Patients’ disabilities are
confined to deficits in fine motor control (pincer’s grip). In
left hemispheric hydranencephaly, language functions are
transferred to the right hemisphere (Ulmer et al. 2005).
Imaging. The territory normally supplied by the internal
carotid arteries is replaced by CSF-filled cavities. Brain
parenchyma supplied by the posterior cerebral arteries is
usually preserved. In contrast to the differential diagnosis of
alobar holoprosencephaly, the falx cerebri is intact (Fig. 1).
1.2 Porencephaly, Encephalomalacia,
and Perinatal Stroke
Epidemiology. Since a wide range of conditions may cause
porencephaly, encephalomalacia, and perinatal stroke,
encephalomalacia and perinatal stroke are not fully disjunct
diagnoses, and the exact numbers are difficult to obtain.
However, perinatal stroke is common, with a prevalence of
1 in 2,300–5,000 live births (Raju et al. 2007).
Table 1 Classification of hypoxic-ischemic encephalopathies in utero and infancy
Disease Timepoint of hypoxic event and description MRI
Hydranencephaly
Porencephaly
20–28th gestational week: The immature brain cannot
‘‘react’’ with gliosis
Liquified tissue defect with enlargement of the
benachbarte CSF spaces. No or nearly no
hyperintensity on FLAIR sequences
Periventricular
intraventricular
(germinal matrix-)
hemorrhage
28–32nd gestational week: The germinal matrix has
involuted by 34 weeks of gestation
Grade I: subependymal bleeding only (typically
between the caudate nucleus and thalamus)
Grade II: 50 % of ventricles filled with blood, no
ventricle dilatation
Grade III: [50 % of ventricles filled with blood,
ventricle dilatation
Grade IV: parenchymal blood
Periventricular
leukomalacia
32–36th gestational week: Pre-or perinatal insult in
preterm newborns
bilateral coagulation necrosis with white matter loss,
gliosis, and cavitated lesions adjacent to the external
angles of the lateral ventricles or
diffuse white matter injury and hypomyelination due to
injury of preoligodendrocytes (Counsell et al. 2003)
Type ‘‘focal cystic periventricular’’
Grade I: along posterior horns of the lateral ventricles
Grade II: along anterior and posterior horns of lateral
ventricles
Grade III: along entire length of lateral ventricles
Grade IV: with cavitating lesions of subcortical white
matter
Type of ‘‘diffuse white matter injury and
hypomyelination’’
Subcortical
leukomalacia
Pre- or perinatal insult in ‘‘older’’ preterm newborns Subcortical white matter lesions with white matter
loss
Hypoxic-ischemic
encephalopathy of the
term newborn
Profound asphyxia: multicystic encephalomalacia
Less profound asphyxia: deep gray matter and
perirolandic cortical lesions (high O2 demand)
Multicystic destructive lesions
Symmetric lesions of basal ganglia (dorsal putamen,
ventrolateral thalamus), hippocampi, dorsal brain
stem, pre- and postcentral gyri
Ulegyria Pre- or perinatal insult in term newborns Gyral scarring and CSF widening in the depth of the
(parieto-occipital) sulci in a parasagittal
distribution = ‘‘mushroom gyri’’
Ischemia 195
Pathology and Pathogenesis. Porencephalies are unilat-
eral or bilateral cavitary lesions due to hemispheric necrosis
that occurs in utero before the cerebral hemispheres are
formed (Friede 1989). These cavities develop prior to
approximately the 20th gestational week, the adjacent cor-
tex is often dysplastic, and gliotic reaction is absent or
minimal (agenetic porencephaly). If the insult to the
developing brain takes place in the late second or third
trimester, glial reaction lining the cavities is more promi-
nent and the adjacent cortex is atrophic, but not dysplastic.
These lesions are better designated as encephaloclastic
porencephaly or (macro-)cystic encephalomalacia. If cavi-
tary lesions are confined to the territory of a major
intracerebral artery, the term ‘‘ischemic perinatal stroke’’ is
appropriate. Ischemic perinatal stroke is defined as a group
of heterogeneous conditions in which there is a focal dis-
ruption of blood flow secondary to arterial or venous
thrombosis or embolization between 20 weeks of fetal life
through the 28th postnatal day (Raju et al. 2007).
The mechanism of porencephaly, encephalomalacia, and
perinatal stroke is usually vascular (ischemia or resolution
of an intracerebral hemorrhage). The risk is higher in
(monochorionic, diamniotic) twins (Friede 1989), and an
autosomal-dominant form with COL4A1 mutations on
chromosome 13 and porencephaly due to fetal infections
(mostly CMV infections) has been described (Aguglia et al.
Fig. 2 MRI in a 15-year-old girl with congenital right-sided hemi-
paresis and drug-resistant seizures shows porencephalic extension of
the left lateral ventricle (b, c) associated with gliotic gyri around the
left frontal horn (c arrow). Next to the left-sided hemiatrophy, frontal
sinus hypertrophy and thickened calvaria (c hollow arrow) have
developed (Dyke–Davidoff–Masson syndrome). A pyramidal tract is
displayed with diffusion tensor tractography and co-registered to the
3D T1-weighted data set only on the right side (a arrow). This
condition, with rather prominent gliotic changes, could also be
designated as encephaloclastic porencephaly
Fig. 3 Schizencephaly/polymicrogyria complex in a 35-year-old
woman with a mild right-sided hemiparesis who has suffered from
simple focal and complex focal seizures since the age of 8. A widened
Sylvian fissure (a, b arrow) is surrounded by polymicrogyriform
cortex without any gliotic changes (b, c black arrows). Schizenceph-
aly/polymicrogyria complex is most often the result of a vascular
insult in the late second or third trimester and could also be designated
as agenetic porencephaly
196 H. Urbach
2004; Gould et al. 2005; Breedveld et al. 2006; van der
Knaap et al. 2006; Alamowitch et al. 2009). In bilateral
lesions with glial reactions, the term ‘‘multicystic enceph-
alomalacia’’ is often used, and next to bilateral thrombo-
embolic infarcts, profound hypotension and neonatal
hypoglycemia must be considered.
Clinical Presentation. The correlation between poren-
cephalic lesion location and seizure semiology is weak, and
many patients have temporal lobe seizures, which may be
explained with coexisting hippocampal damage (dual
pathology) (Ho et al. 1998). Perinatal stroke patients
typically present with congenital or early acquired hemi-
paresis or hemiplegia.
Imaging. Porencephalic lesions are CSF-filled cystic
lesions with minimal surrounding gliosis that communicate
with the lateral ventricle, the subarachnoid space, or both.
The adjacent cortex is atrophic and may be dysplastic
(Figs. 2–4).
Encephalomalacia can be macrocystic or microcystic.
Macrocystic encephalomalacia is characterized by cavi-
tary lesions with CSF-like signal and increased FLAIR
signal intensity lining the CSF-filled cavities. Microcystic
Fig. 4 Parietooccipital porencephalic cyst in a 15-year-old girl with
drug-resistant secondarily generalized tonic–clonic seizures, left-sided
hemiparesis, and left lower quadrant anopia (a–c). The cystic lesion
has a CSF-like signal, communicates with the lateral ventricle and the
superficial subarachnoid space, and is lined by glitoic tissue (a arrow).
A coronal T2-weighted fast spin echo sequence shows a hypointense
structure (c arrow), suggesting that the porencephalic cyst is secondary
to the resorption of an intracerebral hemorrhage
Fig. 5 Postnatal ischemic stroke in a 3-year-old boy who suddenly
developed a left-sided hemiparesis at the age of 2 months. Simple and
complex focal seizures started at the age of 4. The porencephalic
cavity is confined to the right MCA territory and communicates with
the superficial subarachnoid space. Distinct right-sided hemiatrophy
and gliotic changes (c hollow arrow) are suggestive of a fetal,
perinatal, or early postnatal origin. Increased peritrigonal signal
intensity (c arrow) and hippocampal atrophy and signal increase of the
CA1 sector (a, b arrow) indicate hypoxic-ischemic encephalopathy
Ischemia 197
encephalomalacia designates damaged, gliotic brain with
increased water content but without overt cavitary necrosis.
It is characterized by increased signal intensity on FLAIR
sequences. Perinatal ischemic stroke caused by thrombo-
embolic infarction shows cavitary lesions confined to the
territory of one or more intracerebral arteries. The affected
hemisphere is severely atrophic and the corticospinal tract
extremely thin (Fig. 5). Microcystic, gliotic cortical and
subcortical signal changes in a watershed parasagittal dis-
tribution are in favor of moderate neonatal hypoxia/hypo-
tension (Fig. 8) and those with prominent parietal and
occipital lobe changes in favor of neonatal hypoglycemia
(Barkovich et al. 1998).
1.3 Periventricular Leukomalacia, Subcortical
Leukomalacia, and Ulegyria
Clinical presentation. Patients with milder grades of periven-
tricular leukomalacia typically present with spastic diparesis
and visual impairment. More severe grades have leg-dominant
spastic quadriparesis and may show severe cognitive
Fig. 6 Less profound hypoxic-ischemic encephalopathy of a term
newborn. A 20-year-old woman presented with drug-resistant temporal
lobe seizures since the age of 8. Past medical history revealed
successful resuscitation at the age of 2 weeks. MRI showed gliotic
changes and tissue volume loss of both hippocampi (R [ L) (a–c tri-
angles) and of the pre- and postcentral gyri, respectively (c–e arrows).
Note that the cortex in the depth of the sulci is more heavily affected
(c arrow). Gliotic changes and tissue volume loss are due to selective
neuronal loss and the sequelae of the high O2 and metabolic demand
due to the fact that the pre- and postcentral gyri are myelinating around
birth. Midsagittal T1-weighted shows a rather thin callosal body
resulting from the degeneration of transcallosal axons (f arrow)
198 H. Urbach
Fig. 7 Hypoxic-ischemic
encephalopathy of a term
newborn. MRI of a 5-year-old
child with complex focal seizures
and suspected hypoxia during
birth. Hippocampi (a, d thick
arrows), ventrolateral thalami
(b, e arrows), Purkinje cells and
dentate nuclei (f long arrow), and
actively myelinating brain
regions around term birth (pre-
and postcentral gyri) (c, f hollow
arrows) show gliosis interpreted
as selective neuronal necrosis of
brain structures with high O2
demand
Ischemia 199
Fig. 8 A 12-year-old boy suffered from meconium aspiration during
birth. He developed a right-sided spastic hemiparesis and started to
have clonic seizures of the right arm at the age of 2. MRI shows left-
sided hemiatrophy and gliotic changes in the ‘‘watershed areas,’’
suggesting mild to moderate hypoxia during birth (a, b arrows). Note
atrophy of the left cerebral peduncle (c arrow)
Fig. 9 Periventricular
leukomalacia with periventricular
white matter signal intensities
(b, c), irregular ventricle
dilatation, profound white matter
volume loss, and thin corpus
callosum. See also symmetrical
basal ganglia hyperintensities
centered in the thalami
(a arrows). Axial T2-weighted
gradient echo image (d) fails to
show hemosiderin deposits. This
8-year-old boy was born at the
37th gestational week and
underwent MRI after two
complex focal seizures
200 H. Urbach
impairment. Twenty-five to 50 % of patients with periven-
tricular leukomalacia have epilepsy with multiple, often mul-
tifocal seizure types. Among those, complex focal and seizures
are most common (Gurses et al. 1999; Humphreys et al. 2007).
There is a correlation between the grade of periventricular
leukomalacia on MRI, the presence of other radiologic
abnormalities, the risk of epilepsy, and the type of epilepsy
syndrome. For example, periventricular leukomalacia is found
in 5 % of patients with a West syndrome.
Patients with ulegyria typically have some degree of
spastic teteraparesis, have intellectual impairment, and may
have seizures.
Imaging. Periventricular leukomalacia is characterized
by white matter atrophy with deeply indented sulci,
enlarged and irregularly configured trigones of the lateral
ventricles, and periventricular, typically peritrigonal, white
matter lesions. The body and splenium of the corpus cal-
losum are thin (Fig. 9).
In subcortical leukomalacia, white matter lesions are
located predominantly in the subcortical white matter.
Ulegyria is characterized by gyral scarring affecting the
gyri in the depth of the sulci more heavily than on their
crowns. Scars are typically bilateral and symmetric and
have a predilection for the parietal and occipital regions.
FLAIR sequences are best suited to show gyral atrophy and
increased signal intensity as well as sulcus widening
(Figs. 6, 7, 8, 9, 10).
2 Adult Stroke
Epidemiology. In the adult population (older than 35 years),
stroke is the most common cause of epilepsy. More than
50 % of newly diagnosed epilepsy cases in elderly persons
are related to cerebrovascular diseases (Hauser et al. 1993;
Loiseau et al. 1990). Around 11 % of stroke patients will
have subsequent seizures within 5 years, and about one
third of this group will develop recurrent seizures (Burn
et al. 1997; Bladin et al. 2000).
Pathogenesis. The exact mechanisms are poorly under-
stood. An increase in intracellular Na+
and Ca2+
with a
resultant lower level for depolarization, glutamate exico-
toxicity, hypoxia, metabolic dysfunction, global hypoper-
fusion (Fig. 11), and hyperperfusion injury have been
discussed as putative mechanisms (Myint et al. 2006).
Clinical presentation. Early-onset (within 2 weeks) and
late-onset seizures are distinguished. Early-onset seizures
typically occur during the first days as simple focal seizures
without secondary generalization. Late-onset seizures (three
times more often than early-onset seizures) have a peak
incidence between 6 months and 2 years after a stroke and
are more frequently complex focal seizures with or without
secondary generalization (Shinton et al. 1988; Bladin et al.
2000; Arboix et al. 2003).
Fig. 10 Ulegyria in a 47-year-old woman with ‘‘complicated birth’’
and complex focal seizures since the age of 18. Coronal (a, b) and
axial FLAIR (c) images show widened sulci around atrophic and
hyperintense cortex (arrows). A biparietal location is typical, and the
cortex in the depth of the intraparietal sulci is often more heavily
affected than on the crown of the gyri
Ischemia 201
Who will develop seizures is difficult to predict. Intracere-
bral hemorrhage (estimated incidence 10–15 %) and sub-
arachnoid hemorrhage (8.5 %) carry a higher risk than
ischemic stroke (6.5–8.5 %). Known risk factors associated
with a higher risk of epileptic seizures in ischemic macro-
angiopathic stroke are thromboembolic stroke with cortical
damage, infarct location in posterior insular and hippocampal
regions, the involvement of multiple sites or a larger lesion, the
severity of the initial neurological deficit, and the severity of
persistent disability after stroke (Bladin et al. 2000).
Even microangiopathy is a risk factor for epileptic sei-
zures: Nearly one fourth of patients with CT- or MR-proven
cerebral microangiopathy suffer from epileptic seizures; the
exact meachanism is unclear (Okroglic et al. 2013).
In subarachnoid hemorrhage (SAH), middle cerebral
artery aneurysms and intraparenchymal hematomas are
known risk factors (Myint et al. 2006). The incidence of
poststroke epilepsy is likely highest in hemorrhagic stroke
due to venous occlusion.
Following endovascular therapy, seizures within 24 h of
stroke onset are rather predictive of a poor prognostic out-
come (Jung et al. 2012).
Imaging. In patients with cerebral microangiopathy, white
matter lesions in the frontal and parietooccipital regions
rather than in the temporal lobe and basal ganglia lesions are
correlated with epileptic seizures (Okroglic et al. 2013).
3 Moyamoya
Epidemiology. Moyamoya is a progressive vasculopathy
characterized by stenoses or occlusions of the proximal
portions of the major intracerebral arteries, which was ini-
tially described in Japan in 1962 (Subirana and Subirana
Fig. 11 Moyamoya disease in a 28-year-old man who presented with
simple focal, complex focal, and secondarily generalized seizures,
most likely of temporal origin. Coronal FLAIR sequence shows
bilateral hippocampal sclerosis (a arrows). Axial (b) and coronal
(c) T2-weighted fast spin echo and axial T1-weighted gradient echo
sequences (d) showed tiny vessels in the basal cisterns (arrows).
Catheter angiography showed bilateral supraclinoid ICA stenosis, an
extensive moyamoya net in the basal cisterns (e–g arrow), and
leptomeningeal collaterals between anterior cerebral artery branches
(g hollow arrow)
202 H. Urbach
Ischemia 203
1962). Classic locations of stenoses and occlusions are the
carotid T and the basilar bifurcation. Lenticulostriate and
thalamoperforating arteries and—later on—external carotid
and vertebral artery branches supplying the dura try to
compensate for the progressive stenoses. This hypertrophied
collateral network was originally described by the Japanese
term ‘‘moyamoya,’’ which translates to ‘‘a hazy cloud like a
puff of cigarettes’’ (Kudo 1968; Suzuki and Takaku 1969).
Pathogenesis. The current concept is to distinguish an idi-
opathic form with regional differences in incidence (moya-
moya disease) and an acquired form (moyamoya syndrome)
(Kleinloog et al. 2012). Conditions such as radiation therapy,
genetic factors, infections (Epstein–Barr virus, human immu-
nodeficiency syndrome, tuberculous meningitis), and several
heterogeneous diseases (sickle cell anemia, neurofibromatosis
type 1, Down’s syndrome, congenital heart defects, anti-
phospholipid syndrome, renal artery stenosis, thyroiditis, and
others) have been found to be associated with moyamoya
syndrome (Lutterman et al. 1998).
Clinical presentation. Seventy percent of patients
(m:f = 1:1.8) present before the age of 20, typically before
the age of 10, mostly with transitory ischemic attacks
(TIAs), progressive neurological deficits, recurrent head-
aches, and/or complex focal or secondarily generalized
seizures (15 % of cases).
Thirty percent of patients present in the fourth decade of life,
often with subarachnoid or intraparenchymal hemorrhages.
Imaging. FLAIR sequences best visualize chronic
infarcts, which typically have a hemodynamic (watershed)
pattern and localized or diffuse atrophy. Diffusion-weighted
sequences are needed to detect acute infarcts. T2-weighted
sequences or contrast-enhanced T1-weighted sequences
depict prominent flow void structures in the basal cisterns or
within the brain parenchyma, representing hypertrophied
collateral vessels or dilated capillaries. TOF-MRA, espe-
cially at 3 T, may be sufficient to show stenoses and occlu-
sions and may show collateral vessels at the base of the brain
(Fig. 12). However, in order to fully depict the collateral
bFig. 12 Moyamoya syndrome in a 31-year-old woman, who pre-
sented with bilateral complex focal seizures, which were likely due to
cerebral hypoperfusion. Axial FLAIR image (a) showed small
hemodynamic infarcts in both hemispheres (arrows), the parietal one
(thick arrow) with reduced diffusion. Hypertrophied lenticulostiate
arteries on the left side were identified in retrospect only (b). DSA
showed right-sided supraclinoid ICA stenosis (c), left-sided supracli-
noid ICA occlusion (e, f), and basilar artery tip stenosis (d). After
angioplasty of the right-sided supraclinoid ICA stenosis with a
balloon-mounted stent (Pharos 3 9 13 mm, Codman Neurovascular,
Miami, FL), seizures stopped and the patient fully recovered (g).
However, 1 year later, she presented with a transient left-sided
hemiparesis and a right-sided infarct (h). Right-sided supraclinoid ICA
showed stenosis again (j, k thick arrows). Perforating arteries were
more prominent (i, k, l arrows), and transdural supply to left-sided
frontal anterior cerebral artery branches had developed (m, n arrows).
EC-IC-bypass was scheduled
Fig. 13 CADASIL in a 41-year old man with recurrent transitory
ischemic attacks presenting with a left-sided hemiparesis due to acute
lacunar infarct in the right centrum semiovale (not shown). MRI shows
extensive microangiopathy involving the basal ganglia (b) and pons
(a). Confluent hyperintense lesions involving the U-fibers in the
temporal poles and to a lesser extent in the frontal lobes (a, c arrows)
and hyperintensity of the external capsules (b arrows) are character-
istic for CADASIL
204 H. Urbach
vessels, catheter angiography is needed. Perfusion MRI or
HMPAO-SPECT without and with acetacloamide challenge
are used to discover hemodymamic compromise.
4 CADASIL
CADASIL is an acronym for cerebral autosomal dominant
arteriopathy with subcortical infarcts and leukoence-
phalopathy.
Epidemiology. CADASIL is a rare, autosomal-dominant
disease, initially described by Tournier-Lasserve et al. in
1993 (Tournier-Lasserve et al. 1993). If middle-aged family
members suffer from migraine episodes, recurrent transient
ischemic attacks, strokes, and show slowly progressive
cognitive decline, CADASIL should be considered.
Pathogenesis. Nonamyloid, nonatherosclerotic angiopa-
thy with osmophilic granular depositions within the tunica
media of small (100–400 lm) arteries.
Autosomal-dominant inherited mutations of the
NOTCH3 gene on chromosome 19q12 (Tournier-Lasserve
et al. 1993). Penetrance of 100 %, but intrafamiliar phe-
notypic variability (Dichgans et al. 1998).
Clinical presentation. Initial symptoms are typically
migraine epidoses with aura starting around the age of 30
(40 % of cases). At this time, 20–30 % of patients show
some psychiatric symptoms (mostly mood disturbances). In
the fifth and sixth decades, recurrent transient ischemic
attacks and ischemic strokes take place, and a slowly pro-
gressive subcortical dementia with additional stepwise
deterioration develops. Many of the demented patients also
suffer from gait disturbances, urinary incontinence, and
pseuodbulbar palsy (Dichgans et al. 1998). Around 10 % of
patients develop epileptic seizures, most often generalized
tonic–clonic seizures, which typically occur following TIAs
or ischemic infarcts. Rarely, seizures may precede ischemic
events and cognitive impairment (Velioza et al. 2011).
Imaging. Lacunar infarcts in basal ganglia, thalamus,
brain stem, and periventricular white matter. Confluent,
non-space-occupying FLAIR and T2-hyperintense lesions
of the subcortical white matter of the temporal poles and
frontal lobes including the subcortical U-fibers are more
characteristic than hyperintensities along the external cap-
sules (Dichgans et al. 1998; Chabriat et al. 1998, 2009;
Yousry et al. 1999) (Fig. 13). DTI shows a distinct increase
in mean water diffusivity and a parallel loss of diffusion
anisotropy in T2-hyperintense lesions (Chabriat et al. 1999).
References
Aguglia U, Gambardella A, Breedveld GJ et al (2004) Suggestive
evidence for linkage to chromosome 13qter for autosomal dom-
inant type 1 porencephaly. Neurology 62(9):1613–1615
Alamowitch S, Plaisier E, Favrole P et al (2009) Cerebrovascular
disease related to COL4A1 mutations in HANAC syndrome.
Neurology 73(22):1873–1882
Arboix A, Comes E, Garcia-Eroles L et al (2003) Prognostic value of
very early seizures for in-hospital mortality in atherothrombotic
infarction. Eur Neurol 50:78–84
Barkovich AJ, Ali FA, Rowley HA, Bass N (1998) Imaging patterns of
neonatal hypoglycemia. AJNR Am J Neuroradiol 19:523–528
Behunova J, Zavadilikova E, Bozoglu TM et al (2010) Familial
microhydranencephaly, a family that does not map to 16p13.13-
p12.2: relationship with hereditary fetal brain degeneration and
fetal brain disruption sequence. Clin Dysmorphol 19(3):107–118
Bladin CF, Alexandrov AV, Bellavance A et al (2000) Seizures after
stroke: a prospective multicenter study. Arch Neurol 57:1617–1622
Breedveld G, de Coo IF, Lequin MH et al (2006) Novel mutations in
three families confirm a major role of COL4A1 in hereditary
porencephaly. J Med Genet 43(6):490–495
Burn J, Dennis M, Bamford J et al (1997) Epileptic seizures after a first
stroke: the Oxfordshire community stroke project. BMJ
315:1582–1587
Chabriat H, Levy C, Taillia H et al (1998) Patterns of MRI lesions in
CADASIL. Neurology 51(2):452–457
Chabriat H, Pappata S, Poupon C et al (1999) Clinical severity in
CADASIL related to ultrastructural damage in white matter: in
vivo study with diffusion tensor MRI. Stroke 30(12):2637–2643
Chabriat H, Joutel A, Dichgans M et al (2009) Cadasil. Lancet Neurol
8(7):643–653 (Review)
Counsell SJ, Allsop JM, Harrison MC et al (2003) Diffusion-weighted
imaging of the brain in preterm infants with focal and diffuse white
matter abnormality. Pediatrics 112:1–7
Dichgans M, Mayer M, Uttner I et al (1998) The phenotypic spectrum of
CADASIL: clinical findings in 102 cases. Ann Neurol 44:731–739
Friede R (1989) Developmental neuropathology. Springer-Verlag,
Berlin
Gould DB, Phalan FC, Breedveld GJ et al (2005) Mutations in Col4a1
cause perinatal cerebral hemorrhage and porencephaly. Science
308(5725):1167–1171
Gurses C, Gross DW, Andermann F et al (1999) Periventricular
leukomalacia and epilepsy: incidence and seizure pattern. Neurol-
ogy 52:341–345
Hauser WA, Annegers JF, Kurland LT (1993) Incidence of epilepsy
and un-provoked seizures in Rochester, Minnesota: 1935–1984.
Epilepsia 34:453–468
Ho SH, Kuzniecky RI, Gilliam F et al (1998) Congenital porenceph-
aly: MR features and relationship to hippocampal sclerosis. AJNR
Am J Neuroradiol 19:135–141
Humphreys P, Deonandan R, Whiting S et al (2007) Factors associated
with epilepsy in children with periventricular leukomalacia. J Child
Neurol 22:598–605
Jung S, Schindler K, Findling O et al (2012) Adverse effect of early
epileptic seizures in patients receiving endovascular therapy for
acute stroke. Stroke 43:1584–1590
Ischemia 205
Kavaslar GN, Onengüt S, Derman O et al (2000) The novel genetic
disorder microhydranencephaly maps to chromosome 16p13.3-
12.1. Am J Hum Genet 66(5):1705–1709
Kleinloog R, Regli L, Rinkel GJ, Klijn CJ (2012) Regional differences
in incidence and patient characteristics of moyamoya disease: a
systematic review. J Neurol Neurosurg Psychiatry 83(5):531–536
Kudo T (1968) Spontaneous occlusion of the circle of Willis. A
disease apparently confined to Japanese. Neurology 18(5):485–496
Loiseau J, Loiseau P, Duche B et al (1990) A survey of epileptic
disorders in southwest France: seizures in elderly patients. Ann
Neurol 27:232–237
Lutterman J, Scott M, Nass R, Geva T (1998) Moyamoya syndrome
associated with congenital heart disease. Pediatrics 101:57–60
Myers RE (1989) Cerebral ischemia in the developing primate fetus.
Biomed Biochim Acta 48:S137–S142
Myint PK, Staufenberg EF, Sabanathan K (2006) Post-stroke seizure
and post-stroke epilepsy. Postgrad Med J 82(971):568–572
Okroglic S, Widmann CN, Urbach H, Scheltens P, Heneka M (2013)
Clinical symptoms, risk factors and cardiovascular medication in
patients diagnosed with cerebral microangiopathy. PLoS ONE 8(2):
e53455
Raju TN, Nelson KB, Ferriero D (2007) NICHD-NINDS perinatal
stroke workshop participants. Ischemic perinatal stroke: summary
of a workshop sponsored by the national institute of child health
and human development and the national institute of neurological
disorders and stroke. Pediatrics 120(3):609–616
Shinton RA, Gill JS, Melnick SC et al (1988) The frequency,
characteristics and prognosis of epileptic seizures at the onset of
stroke. J Neurol Neurosurg Psychiatry 51:273–276
Subirana A, Subirana M (1962) Malformations vasculaires du type de
l’angiome arterial racemeux [in French]. Rev Neurol 107:545–550
Suzuki J, Takaku A (1969) Cerebrovascular ‘‘moyamoya’’ disease:
disease showing abnormal net-like vessels in base of brain. Arch
Neurol 20:288–299
Tournier-Lasserve F, Loutel A, Melki J et al (1993) Cerebral
autosomal dominant arteriopathy with subcortical infarcts and
leukoencephalopathy maps to chromosome 19q12. Nat Genet
3:256–259
Ulmer S, Moeller F, Brockmann MA et al (2005) Living a normal life
with the nondominant hemisphere: magnetic resonance imaging
findings and clinical outcome for a patient with left-hemispheric
hydranencephaly. Pediatrics 116(1):242–245
van der Knaap MS, Smit LM, Barkhof F et al (2006) Neonatal
porencephaly and adult stroke related to mutations in collagen IV
A1. Ann Neurol 59(3):504–511
Velioza R, Mourand I, Serafini A et al (2011) Focal epilepsy as first
symptom in CADASIL. Seizure 20:502–504
Williams D, Patel C, Fallet-Bianco C et al (2010) Fowler syndrome—a
clinical, radiological, and pathological study of 14 cases. Am J
Med Genet A 152A(1):153–160
Yousry TA, Seelos K, Mayer M et al (1999) Characteristic MR lesion
pattern and correlation of T1 and T2 lesion volume with neurologic
and neuropsychological findings in cerebral autosomal dominant
arteriopathy with subcortical infarcts and leukoencephalopathy
(CADASIL). AJNR Am J Neuroradiol 20:91–100
206 H. Urbach
Infection and Inflammation
Horst Urbach
Contents
1 TORCH(S)............................................................................ 208
1.1 Epidemiology......................................................................... 208
1.2 Pathogenesis........................................................................... 208
1.3 Clinical Presentation.............................................................. 208
1.4 Imaging .................................................................................. 208
2 Herpes Simplex Encephalitis.............................................. 208
2.1 Epidemiology......................................................................... 208
2.2 Pathogenesis........................................................................... 208
2.3 Clinical Presentation.............................................................. 209
2.4 Imaging .................................................................................. 209
3 Human Herpes Virus 6 Encephalitis ................................ 210
3.1 Epidemiology and Pathogenesis ........................................... 210
3.2 Clinical Presentation.............................................................. 210
3.3 Imaging .................................................................................. 210
4 Tuberculosis.......................................................................... 210
4.1 Epidemiology......................................................................... 210
4.2 Pathogenesis........................................................................... 211
4.3 Clinical Presentation.............................................................. 211
4.4 Imaging .................................................................................. 211
5 Toxoplasmosis ...................................................................... 212
5.1 Epidemiology......................................................................... 212
5.2 Pathogenesis........................................................................... 212
5.3 Clinical Presentation.............................................................. 212
5.4 Imaging .................................................................................. 212
6 Cysticercosis ......................................................................... 212
6.1 Epidemiology......................................................................... 212
6.2 Pathogenesis........................................................................... 213
6.3 Clinical Presentation.............................................................. 213
6.4 Imaging .................................................................................. 214
7 Echinococcosis (Hydatid Disease)...................................... 215
7.1 Epidemiology......................................................................... 215
7.2 Pathogenesis........................................................................... 215
7.3 Clinical Presentation.............................................................. 215
7.4 Imaging .................................................................................. 216
8 Sarcoidosis ............................................................................ 216
8.1 Epidemiology......................................................................... 216
8.2 Pathogenesis........................................................................... 217
8.3 Clinical Presentation.............................................................. 217
8.4 Imaging .................................................................................. 217
References...................................................................................... 218
Abstract
This chapter summarizes common CNS infections and
inflammations associated with epilepsy.
Central nervous system (CNS) infections are common;
patients may present with a broad clinical spectrum ranging
from mild symptoms to severe neurological deficits. Around
25 % of patients with CNS infections have acute symp-
tomatic seizures (Kim et al. 2008). The occurrence of sei-
zures during the acute course of meningitis, encephalitis,
and brain abscess is the main risk factor for the develop-
ment of postinfectious epilepsy (Sellner and Trinka 2012).
CNS infections can be classified into congenital/neonatal
and acquired infections. Congenital infections are the result
of transplacental transmission; the consequences depend on
the pathogenicity of the infectious agent and of the timing
of the infection. Congenital brain infections are typically
grouped together and called TORCH (toxoplasmosis,
rubella, cytomegalovirus, herpes) or TORCHS infections if
congenital syphilis is included. Another important congen-
ital infection is congenital human immunodeficiency virus
(HIV) infection (Osborn et al. 2010).
‘‘Acquired’’ infections can be classified by etiology, for
instance, bacterial, viral, granulomatous, parasitic, or fungal
disease. The disease course can be very different: acute and
fulminant as in herpes encephalitis or rather subacute or
chronic, depending on whether or not the patient is immu-
nocompromised or which therapy he or she receives.
H. Urbach (&)
Department of Neuroradiology,
University Hospital Freiburg, Germany
e-mail: horst.urbach@uniklinik-freiburg.de
H. Urbach (ed.), MRI in Epilepsy, Medical Radiology. Diagnostic Imaging,
DOI: 10.1007/174_2012_756, Ó Springer-Verlag Berlin Heidelberg 2013
207
This chapter addresses common CNS infections typically
associated with epilepsy (Table 1). In addition, neurosarcoid-
osis as an important noninfectious inflammation is described.
1 TORCH(S)
TORCH(S) is an acronym for toxoplasmosis, rubella, cyto-
megalovirus, herpes simplex virus type 2, (syphilis) infection.
1.1 Epidemiology
Toxoplasmosis is a relatively common congenital infection
with an estimated incidence between 1:3000 and 1:5000
live births. Due to immunisation programs, rubella virus
infection has become very rare in Western countries. CMV
infection is the most common congenital viral infection and
occurs in about 1 per 100 births (Neto et al. 2004). Con-
genital herpes simplex encephalitis has an incidence of
1:3000–20,000 live births (Pickering 2006).
1.2 Pathogenesis
Toxoplasmosis is a transplacentar infection. The infection
risk is especially high (20–50 %) when the mother-to-be
acquires Toxoplasma infection (mostly from contaminated
meat) during pregnancy.
Rubella virus infection is a very rare transplacentar
infection.
Cytomegalovirus (CMV) is also transmitted via the
placenta; the earlier the transmission occurs, the poorer the
outcome (Trincado and Rawlinson 2001). The vast majority
of infected neonates are asymptomatic, but about 10 %
present with low birthweight, hepatitis, pneumonitis, and/or
neurologic and hematologic abnormalities.
Congenital herpes simplex virus encephalitis is usually
caused by HSV-2. In true congenital infections, the virus
has crossed the placenta and is found in amniotic fluid
(5–10 % of cases). In 90–95 % of cases, HSV-2 encepha-
litis is a neonatal infection resulting from contact with
infected lesions or secretions during or shortly after birth
(Baskin and Hedlund 2007).
1.3 Clinical Presentation
Most children are severely disabled with frequent seizures
of many types.
1.4 Imaging
The imaging hallmarks of TORCH infections are periven-
tricular calcifications. Other findings are microcephaly,
ventriculomegaly, delayed myelination, hippocampal mal-
rotation, and cortical dysplasias, among others (Fig. 1).
2 Herpes Simplex Encephalitis
2.1 Epidemiology
Herpes simplex virus type 1 (HSV-1) encephalitis is the
most common identified cause of sporadic viral encephalitis.
2.2 Pathogenesis
HSV-1 is a ubiquitous virus that rarely causes neurologic
complications. Children usually become infected with the
virus early in life from direct contact with the secretions or
lesions of infected individuals. The primary infection is
often asymptomatic or mild and self-limiting (e.g., gingi-
vostomatitis). After primary infection, the virus persists in a
latent form within the trigeminal sensory ganglion. HSV-1
encephalitis is caused by reactivation of the virus, which
may occur spontaneously or by local trauma, immunosup-
pression, etc.
Table 1 Common CNS infections associated with epilepsy
Congenital/neonatal infections
TORCH(S): Toxoplasma, Rubella, Cytomegalovirus, HSV2,
(syphilis)
Human Immunodeficiency Virus (HIV) infection
‘‘Acquired’’ infections
Viral infections:
Herpes simplex virus 1 encephalitis
Human herpesvirus 6 (HHV6) infection
Bacterial infections causing brain abscesses
Streptococcus, Staphylococcus, Pseudomonas,
Enterobacteriaceae, Bacteroides, etc.
Specific conditions:
from otogenic infections: Proteus, Enterobacter,
Pseudomonas, Pneumococcus, Hemophilus (Penido et al. 2005)
postsurgical or posttraumatic: Staphylococcus
immunocompromised patients: Tuberculosis and other
mycobacteriaceae, Klebsiella, Listeria, Nocardia
newborns: Citrobacter, Proteus, Pseudomonas, Serratia
Parasitic infections
Toxoplasmosis (Toxoplasma gondii)
Neurocysticercosis (Taenia solium)
Echinococcosis (Echinococcus granulosus, Echinococcus
multilocularis/alveolaris)
208 H. Urbach
2.3 Clinical Presentation
HSV-1 patients present with acute monophasic illness with
seizures, fever, and progressive neurologic deficits.
Mortality and morbidity are as high as 50–70 % without
treatment. The importance of early diagnosis and the initi-
ation of treatment with the antiviral drug acyclovir before
establishing the diagnosis are stressed.
Diagnosis is based on HSV detection in CSF by polymerase
chain reaction (PCR) (Rowley et al. 1990). However, since a
negativePCRcanoccurinthefirst48–72 handafter10 daysof
illness, an abnormal MRI is an important clue to the diagnosis.
2.4 Imaging
MRI shows abnormalities in a typical limbic system
distribution in more than 90 % of patients. Edema with
restricted diffusion on DWI, hemorrhages, and gyriform
contrast enhancement occur bilaterally, but somewhat
asymmetrically in the mesial temporal lobes, the basal
frontal lobes, and the insular cortices. The involvement
of the cingulate gyri is a rather late finding and may
be associated with the involvement of the efferent
connections of the hippocampus (Tien et al. 1993)
(Figs. 2–4).
Fig. 1 MRI of a 54-year-old woman who has suffered from drug-
resistant temporal lobe epilepsy since early childhood shows right-
sided hippocampal sclerosis (b, c: hollow arrow) and a rather
hypoplastic temporal pole (d: arrow). Multiple parenchymal
calcifications on axial T2-weighted gradient echo images represent
calcified abscesses from connatal toxoplasma infection (e, f). Note
distinct ocular globe calcifications (a) and hypophyseal macroadenoma
(d: hollow arrow) as additional findings
Infection and Inflammation 209
3 Human Herpes Virus 6 Encephalitis
3.1 Epidemiology and Pathogenesis
HHV-6 types A and B are ubiqitous viruses; almost all
children are infected before the age of 2 years. The virus
enters the body through the salivary glands, where it rep-
licates and sheds further particles via infectious saliva. It
usually remains latent throughout the body, including the
salivary glands, white blood cells, and the brain. Acute
HHV-6B infection is associated with febrile seizures in
infants. More commonly, however, HHV-6 encephalitis is
due to reactivation of the HHV-6 virus in immunosup-
pressed patients (Baskin and Heglund 2007).
3.2 Clinical Presentation
Acute HHV-6 infection causes a febrile exanthema known
as roseola infantum in 10 % of children. Thirteen percent of
children have seizures (Hall et al. 1994), and almost 30 %
of first-time febrile seizures in infants are due to acute
HHV-6 infection (Baskin and Heglund 2007).
Reactivation of HHV-6 in immunocompromized patients
is seen, for instance, in 50 % of bone marrow transplant
patients, usually 2–4 weeks after transplantation (Singh and
Paterson 2000). However, the CNS is affected in a minority
of patients only. Patients with reactivation of HHV-6
encephalitis present with mental status changes, fever, sei-
zures, and headache, and diagnosis is confirmed by the
proof of HHV-6-DNA in the CSF by PCR (Singh and
Paterson 2000; Baskin and Heglund 2007).
3.3 Imaging
Imaging studies reveal bilateral [ unilateral increased sig-
nal intensity and swelling of the amaygdala, hippocampus,
and parahippocampal gyrus, reflecting limbic encephalitis
(Wainwright et al. 2001). In young children, necrotizing
encephalitis with bilateral striatal necrosis has been
described (Murakami et al. 2005).
4 Tuberculosis
4.1 Epidemiology
Tuberculosis is a CNS infection with a high morbidity and a
significant mortality. The incidence and prevalence are low
in the Western but high in developing countries (an esti-
mated annual incidence in developing countries of 139/
100,000 persons and an estimated prevalence of 206/
100,000 persons, respectively) (WHO Report 2009). About
10 % of tuberculosis patients develop CNS disease, par-
ticularly immunocompromised patients, including those
with HIV infections (Dye et al. 1999; Bishburg et al. 1986).
Fig. 2 Herpes simplex 1 encephalitis in a 40-year-old man who
initially complained of olfactory hallucinations and déjà vu phenom-
ena involving memories of the odor of a youth hostel where he had
stayed decades ago. Within 12 h he became fully amnesic and
psychotic. CT (a) and MRI (b, c) show a swollen right-sided uncus (a,
b: arrow), insula, basal frontal lobe and opposite hemisphere
involvement, and a hemorrhagic component (a, c: hollow arrow)
210 H. Urbach
4.2 Pathogenesis
The CNS is typically infected via the hematogenous spread
of bacteria belonging to the mycobacterium tuberculosis
complex, mostly from pulmonary tuberculosis. The tubercles
usually rupture into the subarachnoid space, and miliary
tubercles forming around the outer sheaths of the blood
vessel cause a granuolomatous meningitis. Either the basal
exsudate or concomitant arteriitis of perforating arteries may
cause arterial infarcts, which are most often located in the
basal ganglia (Dastur et al. 1995). When the basal exsudate
becomes caseous and dries and a thick capsule forms around
it, a tuberculoma has developed (AlSemari et al. 2012).
4.3 Clinical Presentation
Seizures occur in about 50 % of children and in 5 % of
adults; recurrent seizures are common (Udani et al. 1971;
Narayanan and Murthy 2007a, b). Rarely, convulsive and
nonconvulsive status epilepticus occurs (Murthy et al. 2007;
Narayanan and Murthy 2007a, b; Arman et al. 2011).
4.4 Imaging
Tuberculous meningitis: Basal meningitis with hyperintense
CSF on FLAIR and contrast enhancement on T1-weighted
contrast enhanced images.
Tuberculomas: Round or oval contrast-enhancing lesions
with a central necrosis, which may appear as target sign.
Multiple lesions are more common than solitary lesions.
Tuberculomas developing from tuberculous meningitis are
typically contiguous with the subarachnoid space. Tuber-
culomas developing from a hematogenous spread are
located at the gray/white matter junction and have a
supratentorial (parietal) preference location. A dural tuber-
culoma location is not unusual.
Fig. 3 Herpes simplex 1 encephalitis in a 59-year-old man who
presented with aphasia, confusion, and fever. MRI shows edematous
swelling with restricted diffusion of the left insula (a, c, d, e: arrow)
and the left cingulate gyrus (b, c, f: hollow arrow). Limbic system
involvement with edematous swelling and hemorrhagic foci in an
asymmetric, typically bilateral distribution are the clue to the diagnosis
of herpes simplex encephalitis
Infection and Inflammation 211
Hydrocephalus and arterial infarcts are complications
due to meningitis and arteriitis.
A clue to the diagnosis is the proof of extracerebral, most
often reactivated pulmonary tuberculosis (Fig. 5).
5 Toxoplasmosis
5.1 Epidemiology
Toxoplasmosis is the most common human parasite
worldwide and is the most common opportunistic CNS
infection in AIDS patients. Infection via the placenta is
possible; a first infection during pregnancy has a 50 %
infection risk for the child [see Sect. 1: TORCH(S)].
5.2 Pathogenesis
Oocytes are ingested with infected meat, raw milk, or cat
feces; they evolve over various stages in the host intenstine
and enter different organs (brain, heart, peripheral muscles)
after hematogenous spreading.
5.3 Clinical Presentation
Patients present with subacute headaches, fever, (focal)
seizures, and focal neurological signs.
5.4 Imaging
Imaging studies typically reveal 1–3-cm-large lesions with
a T2-hypointense wall and a T2-hyperintense center with
increased ADC values. Multifocality is seen in 70 % of
cases (Chang et al. 1995). Lesions are surrounded by peri-
focal edema and lesions, and edema may be confined to a
vascular territory.
The lesion wall typically strongly enhances, and
enhancement may also occur in the necrotic center, which is
designated as a target sign. A target sign consisting of an
innermost enhancing core, which is more often eccentric
than central, an intermediate hypointense zone, and a
peripheral enhancing rim is considered highly suggestive of
toxoplasmosis but may also occur in other CNS infections,
such as tuberculosis (Chang et al. 1995; Bargalló et al.
1996) (Fig. 6).
6 Cysticercosis
6.1 Epidemiology
Cysticercosis is the most common parasitic CNS infection,
a leading cause of acquired epilepsy worldwide, and the
main reason for a higher prevalence of epilepsy in devel-
oping countries (Del Brutto 2012).
Fig. 4 A 31-year-old man presented with daily complex focal
temporal lobe seizures. He became ill with herpes simplex encephalitis
5 years earlier, leaving him in an amnesic and dependent state. MRI
shows extensive bilateral tissue destruction mainly of the basal and
mesial temporal lobes (a, b: arrows). Hemosiderin deposits on T2-
weighted images indicate that a hemorrhagic, necrotizing encephalitis
had occurred (c: arrows)
212 H. Urbach
6.2 Pathogenesis
Neurocysticercosis occurs when humans become interme-
diate hosts of Taenia solium by ingesting its eggs from
contaminated food or, most often, directly from a Taenia
tapeworm carrier via the fecal-to-oral route. Infective
embryos (hatched from the ingested eggs) reach systemic
circulation after actively crossing the intestinal mucosa and
lodge in capillaries (mostly in muscle and brain tissue),
where they develop into ‘‘adult’’ cysticerci consisting of
two main parts, the vesicular wall and the scolex (the knob-
like cephalic end of the tapeworm). The first cysticercus
stage is the vesicular stage, in which the parasites are pro-
tected from the host’s immune response by the blood–brain
barrier. As a result of the host’s immunological attack or of
drug treatment, cysticerci enter in a process of degeneration
that ends with their transformation into calcifications. The
first stage of involution is the colloidal stage, in which the
vesicular fluid becomes turbid, and the scolex shows signs
of hyaline degeneration. Thereafter, the wall of the cyst
thickens and the scolex is transformed into mineralized
granules; this stage, in which the cysticercus is no longer
viable, is called the granular stage. Finally, the parasite
remnants appear as a mineralized nodule (calcified stage)
(Del Brutto 2012).
6.3 Clinical Presentation
The clinical picture ranges from asymptomatic infection to
severe life-threatening disease. The most common presen-
tation (70 % of cases), however, is focal seizures (with or
Fig. 5 Tuberculosis in a 21-year-old man who presented with fever,
headache, and meningism. The initial MRI showed a basal meningitis
with FLAIR-hyperintense CSF (a: arrows) and hydrocephalus. The
6-month follow-up MRI showed multiple tuberculomas that had
developed in the basal cisterns despite anti-tuberculotic therapy
(b–g). One predilection site is the interpeduncular cistern (c, f: arrows)
Infection and Inflammation 213
without secondary generalisation) (Del Brutto et al. 1992).
Other presentations include headache, raised intracranial
pressure, stroke, and neuropsychiatric disturbances.
6.4 Imaging
Imaging findings depend on several factors, including the
stage of the cysticerci at presentation, the number and
location, and associated complications such as vascular
involvement, inflammatory response, and, in ventricular
forms, degree of obstruction.
With respect to the stage, vesicular cysticerci elicit little
inflammatory reaction in the surrounding tissue. In contrast,
colloidal cysticerci are often surrounded by a collagen
capsule and by a mononuclear inflammatory reaction with
astrocytic gliosis and edema in the surrounding brain
parenchyma. When the cysticerci enter into the granular and
calcified stages, the edema subsides, but the astrocytic
changes in the vicinity of the lesions may become more
intense (Del Brutto 2012).
With respect to location, neurocysticercosis has tradition-
ally been classified into subarachnoid-cisternal, parenchymal,
intraventricular, and spinal forms. The subarachnoid-cisternal
location is the most common. ‘‘Parenchymal’’ cysticerci are
located at the gray/white matter junction; it has been argued
that the parenchymal location represents subarachnoid cysti-
cercosis located in deep sulci or in perforating branches of
perivascular spaces (Villagran-Uribe and Olvera-Rabiela
1988).
Fig. 6 A 54-year-old patient with AIDS presented with a homony-
mous hemianopia to the right side of 8 h‘duration. T2-weighted MRI
(a) shows a 15-mm lesion in the left occipital lobe with a hyperintense
center, a hypointense wall (a: arrows), and perifocal edema. DWI (b:
ADC map) shows increased diffusivity within the necrotic center (b:
arrow). T1-weighted contrast-enhanced images (c–e) show multifocal
lesions. Smaller lesions show ring (c: arrow) or homogeneous (f:
arrow) enhancement; larger lesions show enhancement within the
necrotic center also (d, e: arrow). Another example shows a
toxoplasma abscess in an AIDS patient with a so-called target sign
defined as a central enhancement surrounded by a ring of enhancement
(f: hollow arrow)
214 H. Urbach
An important clue to diagnosis is the detection of an
eccentric nodule within the cystic cavity. It represents the
scolex and is best visible on FLAIR sequences, where the
scolex is hyperintense and the cystic cavity has no signal
(see Fig. 7).
7 Echinococcosis (Hydatid Disease)
7.1 Epidemiology
Echinococcosis is an endemic disease in many parts of the
world, particularly in the Middle East, Australia, New
Zealand, South America, and Central and South Europe. In
humans, two main types exist: Echinococcos granulosus,
with dog as the main host, and Echinococcus multilocularis/
alveolaris, with fox as the main host (Bükte et al. 2004).
7.2 Pathogenesis
Adult tapeworms live in the intestine of their hosts and
release their eggs through feces. After oral ingestion, larvae
form in the human intestine, penetrate the mucosa, and enter
different organs (liver 50–70 %, lung 15–30 %, brain
2–6 %, spleen, kidneys) via the venous and/or lymphatic
system.
7.3 Clinical Presentation
The majority of patients are children and young adults
presenting with headache, vomiting, papilloedema, focal
seizures (33 %), and focal neurological deficits (Bükte et al.
2004).
Fig. 7 Neurocysticercosis in a 54-year-old man suffering for many years
fromcomplex focal and secondarily generalized seizures. CT(a) and MRI
(b–f) show multiple tiny lesions. Lesions are calcified (a: arrow), are
contiguous with the subarachnoid space, are ring-enhancing (c: arrow),
and have a T2-hypointense rim and an excentric structure within the cystic
cavity, suggesting a scolex (d, e: arrow)
Infection and Inflammation 215
7.4 Imaging
E. granulosus forms large, uni-, bi-, or multilocular (hemi-
spheric) cysts that are nearly isointense to CSF and have a
thin, well-defined wall, which is hypointense on T2-weighted
sequences and usually enhance the contrast medium.
Sometimes an inner structure within the cystic cavity
becomes visible, which may represent daughter scolices,
hydatid sand (aggregation of scolices), or a germinal layer
detached from the outer two layers of the wall (see Fig. 8).
E. multilocularis/alveolaris forms multiple, small cysts
with a nodular or ring enhancement. Edema is more com-
mon than in E. granulosus infection.
8 Sarcoidosis
8.1 Epidemiology
Sarcoidosis is a multisystem inflammatory granulomatous
disease of unknown etiology although current opinion
favors an immune response to an as-yet-unknown antigen
(Lannuzzi et al. 2007). The incidence in North America is
estimated at 3–10 per 100,000 among Caucasians and
35–80 per 100,000 among African Americans (Rybicki and
Iannuzzi 2007).
Fig. 8 Echinococcosis in an 11-year-old boy who presented with
focal seizures of the right face. Coronal (a) and axial (f) FLAIR, axial
(b, e) and sagittal (D) T1-weighted contrast-enhanced gradient
echo, and axial diffusion-weighted (c) images show a bilobular cystic
lesion at the base of the left precentral gyrus. Since the signal is not
completely identical to CSF, the cyst likely contains a fluid with a
higher protein content than CSF. A structure within the larger bubble
could respresent daughter scolices (c–f: arrow). (Courtesy of J. Linn,
Department of Neuroradiology, University of Munich, Germany.)
216 H. Urbach
8.2 Pathogenesis
Sarcoidosis causes inflammation with noncaseating granu-
lomas, which can occur in any organ system. Lungs and
draining mediastinal lymph nodes are the most common
sites of involvement. Neurosarcoidosis, that is, sarcoidosis
involving the nervous system, is thought to occur in fewer
than 5 % of patients, with systemic sarcoidosis and isolated
neuroscarcoidosis in 17 % of neurosarcoidosis cases
(Pawate et al. 2009; Chapelon et al. 1990).
8.3 Clinical Presentation
Seizures are the initial manifestation in 17 % of neurosar-
coidosis cases (Pawate et al. 2009). All types of seizures can
be seen, but generalized tonic–clonic seizures are common
(Krumholz et al. 1991).
8.4 Imaging
The most common imaging finding is T2-hyperintense
lesions, which enhance in approximately 25 % of patients
(Pawate et al. 2009; Smith et al. 2004). Enhancement is
typically homogeneous, lacking a central necrosis (Fig. 9).
Lesions may be indistinguishable from MS lesions (Smith
et al. 1989), and optic nerve enhancement and neuritis may
occur in both diseases, too.
Meningeal enhancement is seen in only 20 % of cases
(Pawate et al. 2009).
Fig. 9 Neurosarcoidosis in a 29-year-old man (a–c) and a 44-year-old
woman (d–f) who presented with headaches and complex focal
seizures. Sarcoidosis is most often a granulomatous meningitis with a
predilection for the basal cisterns, particularly the area around the
anterior third ventricle (d: arrow). Parenchymal infiltration via dilated
Virchow–Robin spaces is illustrated on T2-weighted (c: arrows) and
contrast-enhanced T1-weighted images (b–d). E and F show granu-
lomas in the subarachnoid sulci, which cause parenchymal edema (e–f:
arrows)
Infection and Inflammation 217
Sarcoidosis may also present as extraaxial or intraaxial
mass lesions (Urbach et al. 1997). If located within the
parenchyma, a spread from the subarachnoid space via
Virchow–Robin spaces should be carefully searched for
(Mirfakhraee et al. 1986) (Fig. 8). As in tuberculosis, a clue
to the diagnosis is the proof of systemic, most often pul-
monary involvement.
References
AlSemari A, Baz S, Alrabiah F, Al-Khairallah T, Qadi N, Kareem A,
Alrajhi AA (2012) Natural course of epilepsy concomitant with
CNS tuberculomas. Epilepsy Res 99(1–2):107–111
Arman F, Kaya D, Akgün Y, Kocagöz S (2011) Tuberculous
meningitis presenting with nonconvulsive status epilepticus. Epi-
lepsy Behav 20(1):111–115
Bargalló J, Berenguer J, García-Barrionuevo J et al (1996) The ‘‘target
sign’’: is it a specific sign of CNS tuberculoma? Neuroradiology
38(6):547–550
Baskin HJ, Hedlund G (2007) Neuroimaging of herpesvirus infections
in children. Pediatr Radiol 37(10):949–963
Bishburg E, Sunderam G, Reichman LB, Kapila R (1986) Central
nervous system tuberculosis with the acquired immunodeficiency
syndrome and its related complex. Ann Intern Med 105:210–213
Bükte Y, Kemaloglu S, Nazaroglu H et al (2004) Cerebral hydatid
disease: CT and MR imaging findings. Swiss Med Wkly
134(31–32):459–467 (Review)
Chang L, Cornford ME, Chiang FL et al (1995) Radiologic-pathologic
correlation. Cerebral toxoplasmosis and lymphoma in AIDS. AJNR
Am J Neuroradiol 16(8):1653–1663
Chapelon C, Ziza JM, Piette JC et al (1990) Neurosarcoidosis: signs,
course and treatment in 35 confirmed cases. Medicine 69:261–276
Dastur DK, Manghani DK, Udani PM (1995) Pathology and patho-
genetic mechanisms in neurotuberculosis. Radiol Clin N Am
33:733–752
Del Brutto OH (2012) Neurocysticercosis: a review. Scientific World
J. 2012:159821
Del Brutto OH, Santibanez R, Noboa CA et al (1992) Epilepsy due to
neurocysticercosis: analysis of 203 patients. Neurology
42:389–392
Dye C, Scheele S, Dolin P, Pathania V, Raviglione MC (1999)
Consensus statement. Global burden of tuberculosis: estimated
incidence, prevalence, and mortality by country. WHO Global
Surveillance and Monitoring Project. JAMA 282:677–686
Hall CB, Long CE, Schnabel KC et al (1994) Human herpesvirus-6
infection in children. A prospective study of complications and
reactivation. N Engl J Med 331:432–438
Kim MA, Park KM, Kim SE, Oh MK (2008) Acute symptomatic
seizures in CNS infection. Eur J Neurol 15(1):38–41
Krumholz A, Stern BJ, Stern EG (1991) Clinical implications of
seizures in neurosarcoidosis. Arch Neurol 48:842–844
Lannuzzi M, Rybicki B, Tierstein A (2007) Sarcoidosis. New Engl J
Med 357:2153–2165
Mirfakhraee M, Crofford MJ, Guinto FC Jr et al (1986) Virchow–
Robin space: a path of spread in neurosarcoidosis. Radiology
158(3):715–720
Murakami A, Morimoto M, Adachi S et al (2005) Infantile bilateral
striatal necrosis associated with human herpes virus-6 (HHV-6)
infection. Brain Dev 27:527–530
Murthy JM, Jayalaxmi SS, Kanikannan MA (2007) Convulsive status
epilepticus: clinical profile in a developing country. Epilepsia
48:2217–2223
Narayanan JT, Murthy JM (2007a) Nonconvulsive status epilepticus in
a neurological intensive care unit: profile in a developing country.
Epilepsia 48:900–906
Narayanan JT, Murthy JM (2007b) New onset acute symptomatic
seizures in neurological intensive care unit. Neurol India
55:136–140
Neto EC, Rubin R, Schulte J, Giugliani R (2004) Newborn screening
for congenital infectious diseases. Emerg Infect Dis 10:1068–1073
Osborn AG, Salzman KL, Barkovich AJ (eds) (2010) Diagnostic
imaging. Brain Amirsys Inc, Salt Lake City
Pawate S, Moses H, Sriram S (2009) Presentations and outcomes of
neurosarcoidosis: a study of 54 cases. QJM 102(7):449–460
Penido Nde O, Borin A, Iha LC, et al (2005) Intracranial complications
of otitis media: 15 years of experience in 33 patients. Otolaryngol
Head Neck Surg 132(1):37–42 (Review)
Pickering LK (ed) (2006) Red book: report of the Committee on
infectious diseases. American Academy of Pediatrics, Elk Grove
Village, pp 361–371
WHO Report (2009) Global tuberculosis control: epidemiology,
strategy, financing (publication No. WHO/HMT/TB/2009.411).
World Health Organization, Geneva
Rowley AH, Whitley RJ, Lakeman FD et al (1990) Rapid detection of
herpes-simplex-virus DNA in cerebrospinal fluid of patients with
herpes simplex encephalitis. Lancet 335:440–441
Rybicki BA, Iannuzzi MC (2007) Epidemiology of sarcoidosis: recent
advances and future prospects. Semin Respir Crit Care Med
28:22–35
Sellner J, Trinka E (2012) Clinical characteristics, risk factors and pre-
surgical evaluation of post-infectious epilepsy. Eur J Neurol. doi:
10.1111/j.1468-1331.2012.03842.x [Epub ahead of print]
Singh N, Paterson DL (2000) Encephalitis caused by human erpes-
virus-6 in transplant recipients: relevance of a novel neurotropic
virus. Transplantation 69:2474–2479
Smith JK, Matheus MG (2004) Castillo M imaging manifestations of
neurosarcoidosis. AJR Am J Roentgenol 182:289–295
Smith AS, Meisler DM, Weinstein MA, et al (1989) High-signal
periventricular lesions in patients with sarcoidosis: neurosarcoid-
osis or multiple sclerosis? AJR Am J Roentgenol 153(1):147–152
Tien RD, Felsberg GJ, Osumi AK (1993) Herpesvirus infections of the
CNS: MR findings. AJR Am J Roentgenol 161:167–176
Trincado DE, Rawlinson WD (2001) Congenital and perinatal
infections with cytomegalovirus. J Paediatr Child Health
37:187–192
Udani PM, Parekh UC, Dastur DK (1971) Neurological and related
syndromes in CNS tuberculous meningitis: clinical features and
pathogenesis. J Neurol Sci 14:341–357
Urbach H, Kristof R, Zentner J et al (1997) Sarcoidosis presenting as
an intra- or extra-axial cranial mass: report of two cases.
Neuroradiology 39(7):516–519
Villagran-Uribe J, Olvera-Rabiela JE (1988) Cisticercosis humana: e
studio clinico y patologico de 481 casos de autopsia. Pathologia
26:149–156 [in Spanish]
Wainwright MS, Martin PL, Morse RP et al (2001) Human herpesvirus
6 limbic encephalitis after stem cell transplantation. Ann Neurol
50:612–619
218 H. Urbach
Rasmussen Encephalitis
Horst Urbach and Christian G. Bien
Contents
1 Epidemiology........................................................................ 219
2 Pathogenesis.......................................................................... 219
3 Clinical Presentation ........................................................... 221
4 Imaging ................................................................................. 221
References...................................................................................... 224
Abstract
Rasmussen encephalitis is typically a chronic inflamma-
tory disease of a one brain hemisphere in children. A MRI
course of initial swelling and progressive brain atrophy
and tissue destruction later on reflects the inflammatory
changes; however, many patients show some brain
atrophy already at their initial MRI examination.
1 Epidemiology
Rasmussen encephalitis is a rare, sporadic, chronic inflam-
matory disease of unknown origin, which usually affects
one brain hemisphere. It was initially described by Theorore
Rasmussen in 1958. Rasmussen encephalitis typically
affects children (mean age 6 years); however, adolescent
and adult cases may occur (Hart et al. 1997). Both genders
are equally affected. The incidence is 2.4 patients per ten
million people of age 18 years or younger (Bien et al.
unpublished data).
2 Pathogenesis
Histopathological evaluation of Rasmussen encephalitis
brain specimens reveals a cytotoxic T-cell reaction against
neurons (Bien et al. 2002a, b, c) and astrocytes (Bauer
et al. 2007) leading to apoptotic death of these cell types.
Brain regions with swollen tissue and increased T2 and
fluid-attenuated inversion recovery (FLAIR) signal inten-
sity show an increased density of cytotoxic T cells and
glial fibrillary acidic protein (GFAP)-positive astrocytes
(acute phase). In the chronic phase, tissue destruction and
low inflammatory activity with a decreasing number of T
cells and reactive astrocytes predominate (Bien et al.
2002a, b, c). These findings support the hypothesis of an
early active inflammation that ‘‘burns out’’ later (Robitaille
1991).
H. Urbach (&)
Department of Neuroradiology,
University Hospital Freiburg, Germany
e-mail: horst.urbach@uniklinik-freiburg.de
C. G. Bien
Epilepsy Centre Bethel, Bielefeld, Germany
H. Urbach (ed.), MRI in Epilepsy, Medical Radiology. Diagnostic Imaging,
DOI: 10.1007/174_2012_573, Ó Springer-Verlag Berlin Heidelberg 2013
219
Fig. 1 Rasmussen encephalitis of the left hemisphere associated with accentuated perinsular atrophy and hyperintense cortex signal
(a, c, d, hollow arrow). In this case, the hippocampus is sclerotic (c, arrow) but the ipsilateral head of the caudate nucleus is not
220 H. Urbach and C. G. Bien
3 Clinical Presentation
Rasmussen encephalitis is characterized by intractable focal
onset seizures, namely, epilepsia partialis continua (EPC)
(56–92% of all patients), and deterioration of functions
associated with the affected hemisphere (Oguni et al. 1991).
It has three stages (Bien et al. 2005). There may be a pro-
dromal phase with a median duration of 7 months (0 months
to 8.1 years) characterized by a relatively low seizure fre-
quency and rarely a mild hemiparesis. The prodromal phase
is followed by an acute phase with a high seizure frequency
or EPC. Within weeks to months, progressive tissue
destruction and associated loss of neurological functions,
including hemiparesis, hemianopia, and aphasia (if the
dominant hemisphere is affected), occur. Cognitive function
deteriorates. After around 1 year, a residual or chronic
phase is reached. At this point in time, brain volume loss
remains stable, and seizure frequency slows down.
In the acute phase of the disease, immunomodulation
including tacrolimus may be able to reduce the degree of
hemiparesis, although seizure frequency is not affected
(Bien et al. 2004). In long-term treatment, immunomodu-
lation may slow progressive tissue and function loss and
prevent the development of intractable epilepsy (Bien et al.
unpublished data). The most effective treatment with regard
to seizure freedom is functional hemispherectomy. This
procedure, however, is usually performed only at later
stages of the disease when a patient has developed a fixed
hemiparesis with loss of fine finger movements (Honavar
et al. 1992).
4 Imaging
Serial MRI may reveal a spread of the inflammatory lesion
over the affected hemisphere. In a given brain region,
a characteristic course from increased volume and T2/FLAIR
signal to a final stage of atrophy without signal abnormal-
ities may be observed.
Most patients, however, show some degree of unilateral
enlargement of the inner and outer CSF spaces on their
initial MRI examination. Atrophy is pronounced in the
perisylvian region and may be accompanied by increased
cortical and subcortical signal on T2-weighted/FLAIR
images. Rarely, patients show a swollen hemisphere with
slightly increased cortex and white matter signal or a nor-
mal MRI findings, respectively. There is no contrast
enhancement.
Atrophy of the ipsilateral head of the caudate nucleus is
considered a typical finding (Chiapparini et al. 2003; Granata
et al. 2003); however, it does not occur or is not prominent
in some patients (Fig. 1). Temporomesial structures, includ-
ing the hippocampus, are atrophic in around 50% of cases.
The cerebellum may show increased cortical signal and
atrophy on the contralateral side (crossed cerebellar diaschi-
sis), the ipsilateral side, or both sides (Fig. 2).
Follow-up MRI shows a progressive tissue loss of the
ipsilateral hemisphere, and less pronounced loss of the
contralateral hemisphere (Larionov et al. 2005). Most
of the tissue loss occurs within the first 12 months after
onset of the acute phase; however, it may progress for
several years (Fig. 3). To assess the temporal evolution of
Fig. 2 Marked brain atrophy in a chronic stage of Rasmussen
encephalitis in a 9-year-old girl with onset of epilepsia partialis
continua of the left arm and leg 3 years before. Note contralateral
cerebellar atrophy (‘‘cerebellar diaschisis’’) (a, arrow), right-sided
caudate head atrophy (b, arrow), and pronounced right-sided, but also
left-sided brain atrophy (b, c)
Rasmussen Encephalitis 221
Fig. 3 Progressive atrophy in a 12-year-old girl with Rasmussen
encephalitis. Note progressive tissue loss and gliotic changes in the left
parietal lobe and new signal intensity in the frontal operculum on
follow-up MRI (b, arrow) 5 years after onset of symptoms and 4 years
after the first scan (a, c)
222 H. Urbach and C. G. Bien
hemiatrophy, Bien et al. (2002a, b, c) introduced a plani-
metric measure called the hemispheric ratio. It allows one to
compare images from different time points that were even
acquired with different sequences and orientations. Axial
images displaying the third ventricle at its largest extent and
coronal images at the level of the optic chiasm are scanned,
brains are manually segmented and thresholded, and the
Fig. 5 Dyke–Davidoff–Masson syndrome in a 30-year-old woman
with perinatal hypoxia. MRI shows a hypertrophied right frontal sinus
(a, hollow arrow), calvarial thickening (a, arrows), and right-sided
hemiatrophy and hippocampal sclerosis (b, c, arrow) associated with
mammillary body atrophy (c, black arrow). Enlargement of the frontal
sinus and calvarial thickening are compensatory mechanism and fit
with a congenital or early postnatal cause
Fig. 4 Following three generalized tonic–clonic seizures, a 28-year-
old man with diabetes mellitus type 1 showed aphasia and right-sided
hemiparesis for hours. Initial MRI after 3 days (a) was unrevealing but
follow-up MRI after 6 months (b) showed left-sided hemiatrophy. For
comparison, see the arrow pointing to the pars marginalis cinguli in
a and b. Also note the atrophy and slight signal increase of the left
hippocampus (c, arrow)
Table 1 MRI stages of Rasmussen encephalitis (Bien et al. 2002a, b, c)
Stage 1 Swelling and increased T2/FLAIR signal
Stage 2 Normal volume, increased T2/FLAIR signal
Stage 3 Atrophy, increased T2/FLAIR signal
Stage 4 Atrophy, normal signal
FLAIR fluid-attenuated inversion recovery
Rasmussen Encephalitis 223
volumes of the hemispheres (in number of brain pixels in
the scanned picture) are calculated and divided through
each other. A ratio of 1 indicates that both hemispheres on
the assessed slice are of equal size. Values less than 1
indicate atrophy of the affected hemisphere. Apart from the
progressive tissue loss, new areas of increased cortical/
subcortical signal increase may appear in brain regions
which did not show signal changes before. Novel ways of
volumetric quantification of the disease process rely on
voxel-based measures (Wagner et al. 2012) (Table 1).
EPC is the clinical hallmark of Rasmussen encephalitis.
EPC is defined as spontaneous regular or irregular clonic
muscular twitching affecting a limited part of the body,
sometimes aggravated by action or sensory stimuli, occurring
for a minimum of 1 h and recurring at intervals of no more
than 10 s. Apart from Rasmussen encephalitis, the diseases
given in Table 2 have to be taken into consideration.
If MRI shows hemiatrophy, the differential diagnoses
given in Table 3 should be considered.
References
Bauer J, Elger CE, Hans VH, Schramm J, Urbach H, Lassmann H et al
(2007) Astrocytes are a specific immunological target in Rasmus-
sen’s encephalitis. Ann Neurol 62:67–80
Bien CG, Widman G, Urbach H et al (2002a) The natural history of
Rasmussen’s encephalitis. Brain 125:1751–1759
Bien CG, Bauer J, Deckwerth TL, Wiendl H, Deckert M, Wiestler OD
et al (2002b) Destruction of neurons by cytotoxic T cells: a new
pathogenic mechanism in Rasmussen’s encephalitis. Ann Neurol
51:311–318
Bien CG, Urbach H, Deckert M, Schramm J, Wiestler OD, Lassmann H
et al (2002c) Diagnosis and staging of Rasmussen’s encephalitis by
serial MRI and histopathology. Neurology 58:250–257
Bien CG, Elger CE (2008) Epilepsia partialis continua: semiology and
differential diagnosis. Epileptic Disord 10:3–7
Bien CG, Gleissner U, Sassen R, Widman G, Urbach H, Elger CE (2004)
An open study of tacrolimus therapy in Rasmussen’s encephalitis.
Neurology 62:2106–2109
Bien CG, Granata T, Antozzi C et al (2005) Pathogenesis, diagnosis,
and treatment of Rasmussen encephalitis. A European consenus
statement. Brain 128:454–471
Bien CG, Tietmeier H, Sassen R, Kuczaty S, Urbach H, von Lehe M,
Becker A, Bast T, Brückmann D, Diers A, Herkenrath P, Jansma C,
Karenfort A, Kieslich M, Kruse B, Kurlemann G, Rona S,
Schubet S, Vieker S, Wilken B, Elger CE Rasmussen encephalitis:
a first randomized clinical trial for an orphan disease (submitted)
Chiapparini L, Granata T, Farina L, Ciceri E, Erbetta A, Ragona F
et al (2003) Diagnostic imaging in 13 cases of Rasmussen’s
encephalitis: can early MRI suggest the diagnosis? Neuroradiology
45:171–183
Dyke CG, Davidoff LM, Masson CB (1933) Cerebral hemiatrophy with
homolateral hypertrophy of the skull and sinuses. Surg Gynecol
Obstet 57:588–600
Granata T, Gobbi G, Spreafico R, Vigevano F, Capovilla G, Ragona F
et al (2003) Rasmussen’s encephalitis: early characteristics allow
diagnosis. Neurology 60:422–425
Table 3 Other diseases associated with hemiatrophy
Disease MRI clues
Sturge–Weber angiomatosis Angiomatosis with contrast enhancement, cortical calcifications, ipsilateral choroid
plexus enlargement
Fetal/perinatal hemispheric infarct (Dyke–
Davidoff–Masson syndrome) (Dyke et al. 1933)
Calvarial skull thickening, enlargement of ipsilateral air sinuses, elevation of petrous
ridge and frontal skull base (see Fig. 5)
Hemispheric atrophy following status epilepticus
or frequent seizures
Initial swollen or normal hemisphere. Follow-up MRI shows widened sulci, thin cortex
with rather hyperintense signal, and diminished white matter volume (see Fig. 4)
Porencephaly More circumscribed lesion
Hemiconvulsion–hemiplegia–epilepsy syndrome Vascular distribution or entire hemispheric destruction
Contralateral hemimegalencephaly Distorted perisylvian anatomy with steeper course of the sylvian fissure
MELAS Bilateral and basal ganglia lesions
MELAS mitochondrial encephalomyopathy, lactic acidosis, and stroke-like symptoms
Table 2 Causes of epilepsia partialis continua (adapted from Bien and Elger 2008)
Disease Frequency (%)
Vascular (stroke, intracranial bleeding, venous thrombosis, vasculitis) 20
Infectious (Rasmussen encephalitis, autoimmune encephalitis, Creutzfeldt–Jakob disease) 20
Tumor (glioma, meningioma, lymphoma) 10
Metabolic (nonketotic hyperglycemia, mitochondrial disorders, Alpers syndrome, MERRF, intoxications) 10
Other diseases (MS, genetic epilepsies, SREAT, SLE) 20
Undetermined 20
MERRF myoclonus epilepsy with ragged red fibers, MS multiple sclerosis, SREAT steroid-responsive encephalopathy associated with auto-
immune thyroiditis, SLE systemic lupus erythematosus
224 H. Urbach and C. G. Bien
Hart YM, Andermann F, Fish DR, Dubeau F, Robitaille Y, Rasmussen T
etal(1997)Chronicencephalitisandepilepsyinadultsandadolescents:
a variant of Rasmussen’s syndrome? Neurology 48:418–424
Honavar M, Janota I, Polkey CE (1992) Rasmussen’s encephalitis in
surgery for epilepsy. Dev Med Child Neurol 34:3–14
Larionov S, Koenig R, Urbach H, Sassen R, Elger CE, Bien CG (2005)
MRI brain volumetry in Rasmussen encephalitis: the fate of
affected and ‘‘unaffected’’ hemispheres. Neurology 64:885–887
Oguni H, Andermann F, Rasmussen TB (1991) The natural history of
the syndrome of chronic encephalitis and epilepsy: a study of the
MNI series of fortyeight cases. In: Andermann F (ed) Chronic
encephalitis and epilepsy. Rasmussen’s syndrome. Butterworth-
Heinemann, Boston, pp 7–35
Rasmussen T, Olszewski J, Lloyd-Smith D (1958) Focal seizures due
to chronic localized encephalitis. Neurology 8:435–445
Robitaille Y (1991) Neuropathologic aspects of chronic encephalitis. In:
Andermann F (ed) Chronic encephalitis and epilepsy. Rasmussen’s
syndrome. Butterworth-Heinemann, Boston, pp 79–110
Rogers SW, Andrews PI, Gahring LC, Whisenand T, Cauley K,
Crain B et al (1994) Autoantibodies to glutamate receptor GluR3 in
Rasmussen’s encephalitis. Science 265:648–651
Wagner J, Schöne-Barke C, Bien CG, Urbach H, Elger CE, Weber B
(2012) Automated 3D MRI volumetry reveals regional atrophy
differences in Rasmussen’s encephalitis. Epilepsia 2012 Apr 53(4):
613-621. doi: 10.1111/j.1528-1167.2011.03396.x
Rasmussen Encephalitis 225
Metabolic Disorders
Horst Urbach and Jens Reimann
Contents
1 Mitochondrial Disorders..................................................... 227
1.1 Introduction............................................................................ 230
1.2 Leigh Disease ........................................................................ 231
1.3 MELAS.................................................................................. 232
1.4 MERRF.................................................................................. 234
1.5 Alpers–Huttenlocher Syndrome ............................................ 234
1.6 Chronic Progressive External Ophthalmoplegia
and Kearns–Sayre Syndrome ................................................ 235
1.7 Leber Hereditary Optic Neuropathy ..................................... 236
1.8 Pyruvate Dehyrogenase Complex Deficiency...................... 238
2 Neuronal Ceroid Lipofuscinosis......................................... 238
2.1 Definition............................................................................... 238
2.2 Clinical Presentation.............................................................. 238
2.3 Imaging .................................................................................. 238
3 Progressive Myoclonic Epilepsies ...................................... 238
3.1 Definition............................................................................... 238
4 Epilepsy with Occipital Calcifications
and Celiac Disease ............................................................... 239
4.1 Epidemiology......................................................................... 239
4.2 Pathogenesis........................................................................... 239
4.3 Clinical Presentation.............................................................. 240
4.4 Imaging .................................................................................. 240
5 Nonketotic Hyperglycemia ................................................. 240
5.1 Epidemiology......................................................................... 240
5.2 Clinical Presentation.............................................................. 241
5.3 Imaging .................................................................................. 241
References...................................................................................... 243
Abstract
Epileptic seizures are a frequent symptom in metabolic
disorders. However, it is neither seizure semiology nor
EEG or MRI findings that guide the physician to the
correct diagnosis. It is more important to consider the
clinical syndrome, the age at presentation, and appro-
priate laboratory investigations.
It is beyond the scope of this textbook to give a complete
overview of the more than 200 metabolic disorders that
together are a rather rare cause of epilepsy. However, epi-
lepsy is a frequent symptom in metabolic disorders; some-
times, epileptic seizures or even epileptic encephalopathy
are predominating clinical symptoms (Saudubray et al.
2006; Sedel et al. 2007; Stöckler-Ipsiroglu and Plecko 2009;
Thomas et al. 2010).
Metabolic disorders can be classified in many different
ways (metabolic defect, age at presentation, clinical
symptoms, type of seizures). Relevant metabolic disorders
associated with epilepsy and more or less specific MRI
findings are grouped in Table 1 according to the typical age
at presentation.
1 Mitochondrial Disorders
With frequent seizures: Leigh syndrome; MELAS (mito-
chondrial myopathy, encephalopathy with lactic acidosis
and stroke-like episodes); MERRF (myoclonic epilepsy
and ragged red fibers); Alpers–Huttenlocher syndrome;
ataxia-neuropathy spectrum, including mitochondrial
recessive ataxia (MIRAS) and sensory ataxia with neu-
ropathy, dysarthria, and ophthalmoparesis (SANDO)
syndromes, myoclonic epilepsy, myopathy, and sensory
ataxia (MEMSA) syndrome, also known as spino-cere-
bellar ataxia with epilepsy (SCAE) syndrome.
H. Urbach (&)
Department of Neuroradiology, University Hospital Freiburg,
Germany
e-mail: horst.urbach@uniklinik-freiburg.de
J. Reimann
Department of Neurology, University of Bonn, Bonn, Germany
H. Urbach (ed.), MRI in Epilepsy, Medical Radiology. Diagnostic Imaging,
DOI: 10.1007/174_2012_757, Ó Springer-Verlag Berlin Heidelberg 2013
227
Table 1 Metabolic disorders associated with epilepsy and MRI findings
Age at
presentation
Disorder Clinical presentation—diagnosis MRI
Neonatal Disorders of vitamin B6
metabolism
Pyridoxine-dependent seizures
(PDS)
Folinic acid–responsive seizures
Pyridoxal phosphate–dependent
seizures (PLP)
Early myoclonic encephalopathy
EEG: No specific pattern (Gospe 2010)
PDS: Pipecolic acid elevation in plasma
and CSF. Seizures stop after 50–100 mg
of IV pyridoxine (Stöckler-Ipsiroglu and
Plecko 2009)
PLP: Vanillatic acid in urine
Improvement of seizures upon oral
pyridoxalphosphate (Stöckler-Ipsiroglu
and Plecko 2009)
Wide range from normal, disturbed white
matter myelination to cortical dysplasia
(Mills et al. 2010)
Nonketotic hyperglycinemia
(aminoacidopathy)
Early myoclonic encephalopathy
Myoclonic and generalized seizures
EEG: Burst suppression and
hypsarrhythmia
Increased glycine in plasma, urine and
CSF
Callosal hypogenesis, delayed
myelination, myelin vacuolation with
diffusion restriction in the pyramidal
tracts, middle cerebral peduncles, and
dentate nuclei H1
Spectroscopy: Elevated
glycine levels (short and long TE) (Press
et al. 1989, Sener 2003, Huisman et al.
2002)
Methylmalonic aciduria
(aminoaciduria: error in the
metabolism of isoleucine, valine,
threonine, and the odd-chain fatty
acids)
Various clinical phenoptyes with acute
metabolic crises
Acute metabolic crisis with brain swelling
and T2/FLAIR hyperintensity of globi
pallidi. Gliosis and volume loss in chronic
stage (Brismar and Ozand 1994)
Glutaric aciduria type 1
(organic aciduria: error in the
metabolism of the aminoc acids
L-lysine, hydroxyl-L-lysine,
L-trypthophan)
Macrocephaly, cephalgia, cognitive
deficits, pyramidal signs, epilepsy, tremor
Bilateral signal abnormalities of the
putamina, subdural effusions/
haematomas, large head with prominent
Sylvian fissures (Brismar and Ozand
1995) (see Fig. 1)
L2 hydroxyglutaric aciduria
(organic aciduria)
Mental retardation, epilepsy,
parkinsonism, pyramidal signs, ataxia
T2/FLAIR hyperintensity of subcortical
white matter with U-fibers, anterior limbs
of internal capsule, external and extreme
capsule, dentate nuclei (Seijo-Martínez
et al. 2005)
Maple syrup urine disease Neonatal seizures, vomiting, ketoacidosis,
hypoglycemia. Odor of maple syrup
White matter edema with diffusion
restriction of corticospinal tracts, optic
radiation, brain stem white matter tracts,
cerebellar white matter
H1
Spectroscopy: Characteristic broad
peak at 0.9 ppm (branched chain
ketoacids) (Jan et al. 2003)
Serine deficiency
(aminoacidopathy)
West syndrome. Psychomotor retardation,
spastic tetraparesis. EEG: hypsarrhythmia
Two types: 3-Phosphoglycerate
dehydrogenase deficiency,
3-phosphoserine phosphatase (3-PSP)
deficiency (de Koning and Klomp 2004)
Congenital microcephaly, white matter
hypomyelination (de Koning et al. 2000,
de Koning and Klomp 2004)
GABA transaminase deficiency
(aminoacidopathy)
Early epileptic encephalopathy
High levels of GABA in CSF and serum
No specific finding (Pearl and Gibson
2004)
Methylene tetrahydrofolate
reductase (MTHFR) deficiency
Early epileptic encephalopathy White matter atrophy, delayed
myelination, demyelination (Engelbrecht
et al. 1997; Prasad et al. 2011a, b)
Congenital glutamine deficiency
(urea cycle disorder)
Early myoclonic encephalopathy Reduced white matter volume and
increased signal intensity on T2-weighted
images, atrophic basal ganglia (Haeberle
et al. 2012)
(continued)
228 H. Urbach and J. Reimann
Table 1 (continued)
Age at
presentation
Disorder Clinical presentation—diagnosis MRI
Zellweger syndrome
(peroxisomal disorder)
Craniofacial dysmorphism, profound
hypotonia, neonatal seizures
Hepatomegaly, cardiac and ocular
abnormalities
Delayed myelination, bilateral perisylvian
polymicrogyria, periventricular
germinolytic cysts, gray matter
heterotopia (Barkovich and Peck 1997;
Weller et al. 2008)
Molybdenum cofactor deficiency Classical: early epileptic encephalopathy
Atypical: global developmental
impairment
Sulfite test in urine positive
Gray matter swelling with diffusion
restriction. Cerebral hemispheric
infarctions (Appignani et al. 1996;
Vijayakumar et al. 2011)
Infancy Glucose transporter protein type 1
(GLUT1) deficiency
Different forms of epilepsy, including
myoclonic and atypical absence seizures
EEG: generalized spike-wave and
polyspike-wave discharges
Low CSF, but normal blood glucose,
GLUT1 gene mutations on chromosome
1p35-31.3 (Klepper and Leiendecker
2007)
Ketogenic diet
Acquired microcephaly
MRI otherwise uninformative (Klepper
and Leiendecker 2007)
Phenylketonuria
(aminoacidopathy)
Clinical symptoms depend on
phenylalaline levels and whether
phenylalaline-restricted diet is
implemented at birth: Early myoclonic
encephalopathy in infancy—spastic
paresis, dementia, and/or optic atrophy in
adults
MRI abnormalities depend on
phenylalaline levels: High T2-/FLAIR
signal intensity and impaired diffusion of
the peritrigonal white matter (Kono et al.
2005)
Menkes kinky hair disease
(trichopoliodystrophy)
Partial clonic status epilepticus—infantile
spasms—multifocal seizures
EEG: hypsarrhythmia
Low copper and ceruloplasmin after
2 weeks of life
MRI normal at birth. Rapidly developing
cerebral and cerebellar atrophy. T1
hyperintensity of basal ganglia. Chronic
bilateral subdural hematomas.
Tortous intracranial arteries (Prasad et al.
2011a, b)
Biotinidase (multiple carboxylase)
deficiency
Epileptic seizures, West syndrome
starting at 3 or 4 months of age, muscular
hypotonia, alopecia, and skin rash (Wolf
et al. 1983, 1985)
MRI: Increased T2/FLAIR white matter
signal, suggestive of interstitial edema,
with frontal predominance and U-fiber
involvement (Desai et al. 2008)
Creatine deficiency Epileptic seizures and psychomotor
retardation
Arginine-glycine amindinotransferase
(AGAT)-, guanidinoacetate
methyltransferae (GAMT)- or creatine
transporter (CRTR) deficiency
Normal, H1
spectroscopy: decreased
creatine peak
guanidinoacetate methyltransferae
(GAMT)-deficiency: increased T2/FLAIR
signal of globi pallidi (Stöckler et al.
1994; Barkovich 2007)
Gangliosidosis (GM2): infantile
forms Type B Tay–Sachs, Type O
Sandhoff, Type AB
(lysosomal disorder)
Accumulation of GM2 gangliosides
within neuronal lysosomes
Macrocrania, blindness (cherry-red spot
macula), seizures
Bilateral, symmetric thalamic [ globus
pallidus, putamen and caudate nucleus
T1-hyperintensity and T2-hypointensity,
diffuse T2-hyperintensity of white matter
with sparing of the corpus callosum (Van
der Knaap and Valk 2005)
Neuronal ceroid lipofuscinosis
(infantile type, Santavuori, CLN1)
(lysosomal disorder)
Normal psychomotor development until
the age of 8–18 months, rapid decline
with epileptic seizures. Cardinal symptom
is visual failure; most patients are blind
before the age of 2 (Santavuori et al.
1993).
Cerebral atrophy, thalamic hypointensity
to white matter and basal ganglia, and thin
periventricular high-signal rims from
13 months onward on T2-weighted
images (Vanhanen et al. 1995)
(continued)
Metabolic Disorders 229
With occasional seizures: infantile-onset spino-cerebellar
ataxia (IOSCA); Leber hereditary optic neuropathy
(LHON); chronic progressive external ophthalmoplegia
(CPEO) and Kearns–Sayre syndrome (KSS); leucoen-
cephalopathy with brain stem and spinal cord involve-
ment and lactacidosis (LBSL) syndrome; neuropathy,
ataxia, and retinitis pigmentosa (NARP) syndrome
Without seizures: mitochondrial neurogastrointestinal
encephalomyopathy (MNGIE) syndrome (Finsterer and
Zarrouk Mahjoub 2012).
1.1 Introduction
Mitochondria are double-membrane organelles producing
the energy necessary for different cell functions. A cell
contains hundreds of mitochondria and depends on them for
the production of ATP. Cells in metabolically active tissues,
such as the central nervous system (including the eye and
the optic nerve), cardiac conduction system, skeletal mus-
cle, endocrine pancreas, kidneys, and liver, have a high
number of mitochondria (Haas and Dietrich 2004).
Table 1 (continued)
Age at
presentation
Disorder Clinical presentation—diagnosis MRI
Toddlers Succinic semialdehyde
dehydrogenase deficiency
(SSADH) 4-hydroxybutyric
aciduria, disorder of GABA
metabolism
Disorder of GABA metabolism. Tonic–
clonic and absence-like seizures, delayed
development, hypotonia, abnormal
behavior, ocular abnormalities
Mean age at onset 2 years, although
diagnoses in the 3rd or 4th decade have
been made (Pearl et al. 2011)
High concentration of 4-hydroxybutyric
acid in CSF, urine, plasma (Pearl et al.
2003a, b)
Increased signal intensity of globi pallidi
on T2-weighted images, cerebral and
cerebellar atrophy, T2-weighted
subcortical hyperintensities in subcortical
white matter, dentate nuclei and
brainstem, delayed myelination (Pearl
et al. 2003a, b; Gordon 2004)
Neuronal ceroid lipofuscinosis
(late infantile type, Janksy–
Bielschowsky, CLN2)
(lysosomal disorder)
Normal psychomotor development until
the age of 2–4 years. Rapid decline with
epileptic seizures (myoclonic, tonic–
clonic, atonic, atypical absence). Cardinal
symptom is visual failure; most patients
are blind around the age of 6.
Diffuse cerebral and cerebellar atrophy.
T2 hypointensity of thalami and basal
ganglia
Mitochondrial disorders See Table 2. See Table 2.
School-age
children
Neuronal ceroid lipofuscinosis
(juvenile, Spielmeyer–Vogt or
Batten, CLN3)
(lysosomal disorder)
Rapid decline of vision and progressive
dementia. Myoclonic and tonic–clonic
seizures
Diffuse cerebral and cerebellar atrophy.
T2 hypointensity of thalami and basal
ganglia
Mitochondrial disorders See Table 2. See Table 2.
Progressive myoclonic epilepsies See Table 4. See Table 4.
Adolescents
and adults
Neuronal ceroid lipofuscinosis
(adult, Kufs, CLN4)
(lysosomal disorder)
Generalized seizures, extrapyramidal
symptoms, no blindness
Diffuse cerebral and cerebellar atrophy.
T2 hypointensity of thalami and basal
ganglia
No specific
age relation
Mitochondrial disorders See Table 2. See Table 2.
Niemann–Pick disease type C Autosomal recessive disorder with
mutations of the NPC1 or NPC2 genes
Clinical signs: hepatomegaly,
splenomegaly, lymphadenopathy,
cerebellar ataxia (76 %), vertical
supranuclear ophthalmoplegia (75 %),
dysarthria, (63 %), cognitive deficits
(61 %), movement disorders (58 %),
splenomegaly (54 %), psychiatric
disorders (45 %), dysphagia (37 %),
epilepsy (18 %), and cataplexy (Sévin
et al. 2007)
Clinical spectrum ranges from a neonatal
rapidly fatal disorder to an adult-onset
neurodegenerative disease (Sévin et al.
2007).
Gray matter disease with moderate
cortical, brainstem, cerebellar, and corpus
callosum atrophy without signal
abnormalities. Atrophy location correlates
to clinical symptoms (Sévin et al. 2007).
230 H. Urbach and J. Reimann
The main role of mitochondria is ATP synthesis by so-
called oxidative phosphorylation. Other mitochondrial
processes include the detoxification of reactive oxygen
species, the regulation of cellular apoptosis, and aspects of
iron metabolism, fatty acid oxidation, and amino acid bio-
synthesis. Oxidative phosphorylation is accomplished by
the mitochondrial respiratory chain, a five-complex chain of
polypeptides embedded in the inner mitochondrial mem-
brane. The first four complexes (complexes I–IV) oxidize
NADH and FADH2, while complex V harnesses the resul-
tant electrochemical gradient to phosphorylate ADP to
ATP. Cofactors, including ubiquinone (also called CoQ10)
and cytochrome c, act as electron shuttles between respi-
ratory complexes. Pyruvate and fatty acids are the most
important substrates of energy metabolism. Pyruvate is
carried across the mitochondrial membrane by monocar-
boylate translocase and decarboylated by the pyruvate
dehydrogenase complex (Haas and Dietrich 2004).
Mitochondria have their own genome consisting of 37
genes (mtDNA), which encode for 13 structural proteins (all
of which are subunits of the five mitochondrial respiratory
complexes), two ribosomal RNAs (rRNAs), and 22 transfer
RNAs (tRNAs). The majority of the protein subunits of the
five mitochondrial respiratory complexes, however, are
encoded by nuclear DNA and are imported into the mito-
chondria from the cytosol.
mtDNA is nearly exclusively transferred from the
mother to the child: Although approximately 100 paternal
mitochondria enter the ovum at fertilization, these organ-
elles are tagged with ubiquitin for prompt proteolytic
destruction by the zygote, and virtually all the zygote’s
mitochondria come from its mother (maternal inheritance).
Each mitochondrion contains several copies of mtDNA.
Usually, all copies are identical (homoplasmy). After a
mutation has arisen in one copy of mtDNA, however, wild-
type and mutant mtDNA coexist within the same mito-
chondrion (heteroplasmy). Heteroplasmy becomes impor-
tant during division of the host cell, as mitochondria (and
the mtDNA they contain) are partly distributed randomly
between the two daughter cells (replicative segregation).
Heteroplasmy and replicative segregation contribute
strongly to the heterogeneity of disease phenotypes, even
among individuals of the same pedigree.
It is therefore conceivable that mitochondrial disorders
are extremely heterogeneous, with a variable age of onset,
progression, and severity. Well-known clinical phenotypes
with epileptic seizures are Leigh syndrome, MELAS,
MERRF, and Alpers–Huttenlocher syndrome. Well-known
clinical phenotypes with occasional seizures are chronic
progressive external ophthalmoplegia (CPEO) and Kearns–
Sayre syndrome (KSS), and Leber hereditary optic neu-
ropathy (LHON). Other clinical phenotypes comprising the
ataxia-neuropathy spectrum, myoclonic epilepsy, myopathy
and sensory ataxia (MEMSA)—also known as spino-cere-
bellar ataxia with epilepsy (SCAE) syndrome—mitochon-
drial neurogastrointestinal encephalomyopathy (MNGIE),
and neuropathy, ataxia, and retinitis pigmentosa (NARP)
syndromes, are less well known (Hakonen et al. 2005;
Tzoulis et al. 2006; Finsterer and Zarrouk Mahjoub 2012)
(see Table 2). Moreover, a significant proportion of cases
with mitochondrial dysfunction have uncategorized non-
specific encephalopathy syndromes.
Most mitochondrial disorders occur in childhood and
produce a wide range of epileptic seizures, including gen-
eralized (myoclonic, tonic, tonic–clonic, atonic), simple
focal, complex focal, and secondarily generalized seizures.
Moreover, specific electro-clinical syndromes (Otahara
syndrome, West syndrome, Lennox–Gastaut syndrome,
Landau–Kleffner syndrome) can be caused by mitochon-
drial disorders (Lee et al. 2008).
From an imaging point of view, one should consider
mitochondrial disorders in symmetric basal ganglia, brain-
stem, and cerebellum lesions (Barkovich et al. 1993, Saneto
et al. 2008). The basal ganglia are selectively vulnerable to
failure of energy metabolism; however, this pattern is not
specific and may also occur in carbon monoxide poisoning,
bilirubin toxicity, disorders of fat metabolism, organic
acidurias, and others. Moreover, even a leukodystrophy
pattern may reflect mitochondrial disease (Santorelli et al.
1993, Lebre et al. 2011). When oxidative phosphorylation is
impaired, energy metabolism follows the alternative route
of anaerobic glycolysis and produces lactic acid. Since
lactate has a chemical shift of 1.3 ppm and presents as a
doublet peak, H1-MR spectroscopy is particularly helpful to
diagnose mitochondrial disease.
1.2 Leigh Disease
Subacute necrotizing encephalomyelopathy.
1.2.1 Epidemiology
First described by Dennis Leigh in 1951 as a disease with
recurrent acute episodes of neurodegeneration affecting
brainstem, cerebellar, or basal ganglia function.
1.2.2 Pathogenesis
Autosomal recessive, X-linked recessive, or maternal
inheritance with a variety of biochemical and molecular
defects: 39 % complex I deficiency, 25 % pyruvate dehy-
drogenase deficiency, 25 % COX deficiency, 15 % ATPase
mtDNA mutations.
1.2.3 Clinical Presentation
Severe and progressive infant and childhood encephalopa-
thy with global developmental delay, feeding and
Metabolic Disorders 231
swallowing difficulties, central respiratory hypoventilation,
dystonia, optic atrophy, ataxia, nystagmus, seizures, hearing
loss, lactic acidosis, and early death. Occurs rarely in adults.
1.2.4 Imaging
Rather symmetric T2-weighted hyperintense and partly
contrast-enhancing lesions of the basal ganglia (putamen,
globus pallidus, and caudate), thalami, midbrain (red
nucleus, substantia nigra, and periaqueductal region),
brainstem and dentate nuclei. Lesions reflect necrotic
degeneration, capillary proliferation, and gliosis with an
appearance similar to Wernicke’s encephalopathy. Putami-
nal lesions are considered characteristic. Mamillary bodies
may be involved, but some authors consider mamillary body
involvement a hint for the presence of Wernicke’s enceph-
alopathy. In the acute stage, affected structures are swollen;
in later stages, there is pronounced atrophy (Fig. 2).
1.3 MELAS
Mitochondrial myopathy, encephalopathy with lactic aci-
dosis and stroke-like episodes.
1.3.1 Epidemiology
First described as a distinctive syndrome by Pavlakis in
1984 as a disease with high phenotypic variability.
Table 2 Overview of common mitochondrial disorders
Mitochondrial
disorder
Age of onset
(years)
Major clinical signs Classic pattern of
inheritance
Genetic defect MR imaging
Leigh Majority 2 Progressive encephalopathy
with brain stem dyfunctions.
Autosomal
recessive, maternal,
X-linked
Heterogeneous Bilateral T2-/FLAIR
hyperintensities of putamina,
periaqueductal gray matter
MELAS Mean
10  40
Stroke-like episodes, migraine-
like episodes, hearing loss,
myopathy, occasional seizure.
Maternal tRNALeu
:
3243A [ G
([80 % of
cases)
POLG1
Cortical/subcortical lesions
not related to a vascular
territory with mixed DWI
signal intensities
MERRF Late
adolescence/
early
adulthood
Progressive myoclonus, focal
and generalized epilepsy,
cerebellar ataxia, deafness,
myopathy, retinopathy.
Maternal Maternal:
tRNALys
:
8344A [ G
(80 % of
cases)
3243A [ G
POLG1
Variable: cerebellar and
cerebral atrophy, symmetric
brainstem, basal ganglia
lesions
Alpers-
Huttenlocher
Very
variable,
typically 2
Visual phenomena, refractory
seizures, liver failure acute
after exposure to valproic acid.
Autosomal
recessive
POLG1 Thalamus [ occipital
hyperintensities
LHON Early
adulthood
Visual loss, early optic disc
microangiopathy/edema, later
atrophy.
Remission in some.
Male carrier predominatly
symptomatic.
Maternal 11778G [ A
14484T [ C
3460G [ A
Normal or optic nerve/chiasm
edema and enhancement
(acute stage) or optic nerve/
chiasm atrophy (chronic stage)
CPEO/KSS [10/20 Ptosis, ophthalmoparesis/plus
retinitis pigemtosa.
Cerebellar ataxia, cardiac
conduction defect, dementia,
endocrine symptoms.
Mostly sporadic
(50 %), autosomal
dominant,
autosomal
recessive, maternal
Single/
multiple
mtDNA
deletions
Symmetric brainstem, basal
ganglia, peripheral white
matter hyperintenisities
MNGIE 20 Progressive external
ophthalmoplegia and ptosis,
severe gastrointestinal
dysmotility, cachexia,
peripheral neuropathy.
Epilepsy is not a feature.
Autosomal
recessive
Thymidine
phosphorylase
gene
mutations,
rarely POLG1
Leukoencephalopathy sparing
the corpus callosum
NARP 20 Pigmentary retinopathy,
peripheral axonal neuropathy,
ataxia.
Maternal 8993T [ G/C,
with high
heteroplasmic
mutation load
Variable: pontocerebellar
atrophy, leukoencephalopathy,
ADEM-like, PVL-like,
MELAS-like
232 H. Urbach and J. Reimann
1.3.2 Pathogenesis
Several point mutations of mtDNA: Most common is the
3243A[G point mutation of the MTTL1 gene encoding for
mitochondrial tRNALeu
([80 % of cases).
1.3.3 Clinical Presentation
Clinical triad of (1) stroke-like episodes before 40 years of
age, typically 15 years of age, (2) encephalopathy char-
acterized by seizures (85–90 %), dementia (50–90 %), or
both, and (3) lactic acidosis, ragged red fibers on muscle
biopsy, or both. Other frequent abnormalities include
muscle weakness and early fatigability, sensorineural
hearing loss (25–90 %), mostly axonal sensory peripheral
neuropathy, diabetes mellitus, short stature (80 %), cardio-
myopathy, cardiac conduction defects, and renal and gas-
trointestinal dysfunction. Seizures are commonly simple
partial seizures, rarely epilepsia partialis continua (Riba-
coba et al. 2006).
Stroke-like episodes are seen in virtually all MELAS
patients and often have a stuttering onset, accompanied by a
migraine-like prodrome with headache and vomiting lasting
hours. The episodes have a predilection for the occipital and
parietal lobes and result in homonymous hemianopia in up
to 80 % of patients. Loss of consciousness is common, and
other focal neurological deficits may also occur, including
aphasia, alexia without agraphia, and hemiplegia.
Fig. 1 Glutaric aciduria type 1 in a 7-month-old girl. MRI shows
widened subarachnoid space and subdural hygromas/hematomas in the
temporal poles and over the convexities (a, c: arrows). Due to ongoing
myelination, the brain parenchyma is more difficult to assess.
However, symmteric bilteral striatal (b: short arrows) and white
matter abnormalities (b: long arrows) are notable
Fig. 2 A 20-year-old woman suffered from migraine with aura
attacks and stroke-like epsiodes for several years. MRI showed
symmetric globus pallidus, striatal, thalamic (b), and brainstem lesions
(a: arrows pointing to the central tegmental tract) and diffuse
cerebellar and cerebral white matter signal increase (c: arrows). This
pattern is suggestive of Leigh disease, which is typically an acute
disease in infancy. Muscular biopsy revealed mitochondrial cytopathy
with complex IV [ I deficiency
Metabolic Disorders 233
1.3.4 Imaging
Consider MELAS in patients with stroke-like episodes and
lesions that are not confined to a vascular territory and do
not show cytotoxic edema on DWI. A closer look, however,
may reveal ribbon-like cytotoxic edema within the cortex.
The posterior parts of the hemispheres are predominantly
affected, and stroke-like lesions typically evolve into cor-
tical–subcortical defects.
A significant portion of patients with 3243A [ G point
mutations have a non-MELAS phenotype without stroke-
like episodes and either prominent deep gray matter calci-
fications (basal ganglia, dentate nuclei) or subtle globus
pallidus lesions on T2-weighted gradient echo images
(Fig. 3).
1.4 MERRF
Myoclonic epilepsy and ragged red fibers.
1.4.1 Epidemiology
First described by Berkovic in 1989 as a disease starting in
adulthood with myoclonic seizures, muscular weakness, and
ragged red fibers on muscle biopsy (Berkovic et al. 1989).
1.4.2 Pathogenesis
Maternal inheritance with mtDNA point mutations encod-
ing tRNALys
. The 8344G [ A mutation accounts for
80–90 % of cases.
1.4.3 Clinical Presentation
Broad spectrum, ranging from oligosymptomatic proximal
myopathy to severe impairment with deafness, ataxia,
spasticity, myoclonus, pigmentary retinopathy, optic
atrophy, and dementia.
1.4.4 Imaging
No specific pattern. Cerebellar, brainstem and cortical
atrophy. Symmetric T2-hyperintense brainstem (inferior
olivary nuclei, superior cerebral peduncles, periaqueductal
gray matter), basal ganglia lesions (striatal hyperintensities,
globus pallidus calcifications), subcortical white matter, and
cortical lesions may occur (Ito et al. 2008). Lesion pattern is
not specifically different from other mitochondrial disorders
such as, for instance, CPEO/KSS (Fig. 4).
1.5 Alpers–Huttenlocher Syndrome
Hepatocerebral degeneration
1.5.1 Epidemiology
Severe hepatocerebral disease with mtDNA depletion that
presents at various ages depending on the type of mutation
within the POLG1 gene.
1.5.2 Pathogenesis
A gamut of POLG1 mutations and changes of respiratory
chain complexes, mtDNA, and POLG1 activity far beyond
the scope of this chapter have been reported. Online
databases can provide a quick cross-reference of a case in
question.
1.5.3 Clinical Presentation
Age at seizure onset is typically before the second year of
life, but very variable and may occur as late as the sixth
Fig. 3 MELAS in a 53-year-old woman who presented with complex
focal seizures. Further medical history revealed long-known sensory
hearing loss. MRI showed a space-occupying right temporal lesion and
a left temporal defect. In MELAS, multifocal lesions are typically not
confined to a vascular territory. Acute lesions often show reduced
diffusion of the cortical (b, c: arrowheads) and increased diffusion of
the white matter part of the lesion (a, b: arrows)
234 H. Urbach and J. Reimann
decade. Initial features of occipital lobe dysfunction with
flickering colored light, ictal visual loss, nystagmus, ocu-
loclonus, and dysmorphopsia. Simple and complex focal
seizures, clonic and/or myoclonic seizures with epilepsia
partialis continua, frequent convulsive status epilepticus.
Encephalopathic episodes are sometimes precipitated by
fever. Liver dysfunction and liver failure elicited by val-
proic acid treatment (Engelsen et al. 2008).
1.5.4 Imaging
Initial MRI may be normal. With disease onset—commonly
with seizures or epilepsia partialis continua—focal
T2-/FLAIR high-signal-intensity changes in the thalami,
occipital cortex, deep cerebellar structures, extraoccipital
cortex, and inferior olivary nuclei of the medulla oblongata
may occur. Brain and cerebellar atrophy develop (Fig. 5).
1.6 Chronic Progressive External
Ophthalmoplegia and Kearns–Sayre
Syndrome
1.6.1 Epidemiology
Chronic progressive external ophtalmoplegia (CPEO) is a
frequent manifestation of mitochondrial disorders charac-
terized by painless bilateral progressive ptosis and oph-
thalmoparesis. Kearns–Sayre syndrome is a more severe
CPEO subtype, first described in 1958, with the features of
retinitis pigmentosa, external opthalmoplegia, and complete
heart block.
1.6.2 Pathogenesis
Sporadic [ autosomal dominant, autosomal recessive, or
maternally inherited disease with single (large) deletion
(80% KSS) or mtDNA point mutations.
1.6.3 Clinical Presentation
Cardinal symptoms of CPEO are painless progressive
bilateral ptosis and ophthalmoparesis, with ptosis typically
preceding ophthalmoparesis by months to years. All extra-
ocular muscles are symmetrically involved. Skeletal muscle
weakness is present in most patients and may involve the
neck, proximal limb, or bulbar musculature, with bifacial
weakness the rule. CPEO frequently starts in childhood or
early adulthood (90 %) but may occur at any age. It may be
isolated or occur with other ‘‘mitochondrial’’ symptoms
(pigmentary retinopathy, cataract, optic neuropathy, senso-
rineural hearing loss, ataxia, spasticity, peripheral neurop-
athy, encephalopathy, gastrointestinal dysmotility, cardiac
conduction defects, respiratory insufficiency, hormonal and
electrolyte imbalances, short stature, skin and skeletal
abnormalities).
Kearns–Sayre syndrome (KSS) is a rather severe subtype
of CPEO, defined by the following criteria: (1) onset before
the age of 20; (2) CPEO; (3) one or more of the following:
cardiac conduction abnormality, CSF protein [100 mg/dl,
cerebellar dysfunction.
1.6.4 Imaging
Most common MRI findings are cortical, brainstem, and
cerebellar atrophy with symmetrical (T1- and) T2-/FLAIR
Fig. 4 A 29-year-old woman (a, b) and her 14-year-old brother
(c) suffered from progressive myoclonic and generalized tonic–clonic
seizures. Sagittal FLAIR (a, b) and axial T1-weighted MRI (c) showed
bilateral cingulate gyrus lesions (arrows). MERRF with a 8344G[A
mutation was diagnosed
Metabolic Disorders 235
hyperintense lesions in the brainstem, basal ganglia,
thalami, and subcortical white matter. The involvement of
the subcortical U-fibers with sparing of the periventricular
white matter helps to differentiate CPEO/KSS from most
lysosomal and peroxisomal disorders (Fig. 6). Basal
ganglia lesions may be calcified on CT. External ocular
muscles are either normal or atrophic, which helps to
differentiate CPEO/KSS from Graves’ disease.
MR spectroscopy shows elevated lactate in lesional and
nonlesional brain tissue.
1.7 Leber Hereditary Optic Neuropathy
1.7.1 Epidemiology
First defined as a clinical entity by the German ophthal-
mologist Theodore Leber in 1871.
1.7.2 Pathogenesis
Maternal inheritance with three common point mutations
(11778G[A, 14484T[ C, 3460G [ A) affecting complex I
of the mitochondrial respiratory chain in 96 % of patients.
Fig. 5 Coronal and axial FLAIR images of a 7-year-old boy
(a–c) and axial FLAIR (d), axial DWI (e), and coronal T1-weighted
spin echo images (f) of a 12-year-old girl with POLG1 mutations. Note
the characteristic symmetrical, slightly increased signal intensity of the
pulvinar thalami (b, c: arrows) and, to a lesser extent, of the substantia
nigra (a: open arrows). A more severe MRI pattern is found in the
12-year-old girl, which shows widespread cortical with impaired
diffusion next to the thalamic lesions. Symmetrical globus pallidus
T1-hyperintensity (f: arrows) is likely due to liver failure
236 H. Urbach and J. Reimann
1.7.3 Clinical Presentation
Most common phenotype: rapid, painless loss of central
vision in one eye, followed by similar loss of vision in the
fellow eye within days to months. The onset of symptoms
typically occurs between the ages of 15 and 35 years.
#:$ = 8:1. Sometimes the attack is precipitated by etham-
butol. The individual tendency to recover depends on the
respective mutation. Epilepsy is a rare feature.
1.7.4 Imaging
Most patients have a normal MRI. However, optic
nerve and chiasm edema and contrast enhancement
may be observed in the acute stage, and optic nerve
and chiasm atrophy in the chronic stage, respectively
(Inglese et al. 2001; Lamirel et al. 2010; Niehusmann
et al. 2011). Rarely, extensive white matter demyelin-
ation has been described (Kovacs et al. 2005) (Fig. 7).
Fig. 6 Axial T2-weighted (a, c) and FLAIR images of a 15-year-
old boy with ataxia, retinitis pigmentosa, and myopathy due to a
Kearns–Sayre syndrome. MRI shows brainstem, cerebellar, and
cerebral atrophy with symmetrical hyperintense lesions in the middle
(a: arrows) and superior cerebral peduncles, in the dorsal brainstem,
in and around the periaqueductal gray matter (b: arrow), and in
white matter sparing the periventricular regions (c: arrow)
Fig. 7 Leber hereditary optic neuropathy (LHON) in a 27-year-old
woman with temporal lobe epilepsy. Two to three weeks following the
implantation of intrahippocampal depth and subdural strip electrodes
(a: arrows), the patient developed progredient loss of vision. While the
optic chiasm was initially normal (a: hollow arrow), MRI now showed
optic chiasm edema with swelling and increased signal intensity (b, c:
hollow arrow). Optic chiasm edema developing during presurgical
evaluation is likely due to the use of barbiturates for general
anesthesia, which are known to inhibit complex I of the mitochondrial
respiratory chain
Metabolic Disorders 237
1.8 Pyruvate Dehyrogenase Complex
Deficiency
1.8.1 Epidemiology
Well-defined mitochondrial disorder with a broad clinical
spectrum: Many patients have either severe, often fatal,
neonatal or infantile lactic acidosis and a phenotype
resembling Leigh’s disease or a more chronic neurodegen-
erative disease with episodes of lactic acidosis and recurrent
ataxia. Even patients with relatively normal mental ability
and with episodic dystonia, developing during childhood,
have been described (Head et al. 2005; Barnerias et al.
2010).
1.8.2 Pathogenesis
PDH is a mitochondrial enzyme complex that catalyzes the
conversion of pyruvate to acetyl coenzyme A. The complex
contains multiple copies of three enzymes: E1 (PDH), E2
(dihydrolipoamide acetyltransferase), and E3 (dihydrolipo-
amide dehydrogenase).
1.8.3 Clinical Presentation
Consider two types:
1. Abnormal prenatal brain development resulting in severe
nonprogressive encephalopathy with callosal agenesis,
gyration anomalies, microcephaly with intrauterine
growth retardation, or dysmorphia in both males and
females.
2. Acute energy failure in infants producing basal ganglia
lesions with paroxysmal dystonia, neuropathic ataxia due
to axonal transport dysfunction, or epilepsy typically in
males.
1.8.4 Imaging
Variable MRIs ranging from minor degrees of cerebral
atrophy (often in patients with severe neonatal lactic aci-
dosis) to gross cerebral atrophy with corpus callosum dys-
genesis, widespread increased diffusion in the white matter,
and bilateral subependymal cysts. Between these two
groups are patients with a Leigh-like pattern consisting of
symmetric basal ganglia, but not brainstem lesions (Head
et al. 2005; Soares-Fernandes et al. 2008; Lebre et al. 2011).
2 Neuronal Ceroid Lipofuscinosis
2.1 Definition
Neuronal Ceroid Lipofuscinosis (CLN) is an autosomal
recessive neurodegenerative disease with the accumulation
of ceroid lipofuscin material in lysosymes of neurons and
other cell types. The triad of blindness due to retinopathy,
dementia, and epilepsy is considered characteristic for the
childhood-onset forms, while adult and some juvenile
varieties occur without visual loss. These diseases are pro-
gressive and lethal.
A previous classification based on disease onset, that is,
infantile (Santavuori), late infantile (Janksy–Bielschowsky),
juvenile (Spielmeyer–Vogt, Batten), and adult (Kufs), has
been replaced by a gene-based classification. This has led to
the discovery of ‘‘atypical’’ presentations, that is, adult
cases of diseases formerly thought as childhood-onset
disorders, widening the phenotypic spectrum.
Diagnosis is suspected on clinical grounds, with initial
normal development and disease onset at a specific age with
visual failure that may progress to blindness, myoclonic or
tonic–clonic seizures, and progressive psychomotoric
decline, including dementia and ataxia. Diagnosis can be
confirmed by blood spot enzyme analysis or detection of
characteristic lymphocyte vacuoles in some varieties;
however, electron microscopic detection of characteristic
granular osmiophilic deposits, curvilinear, fingerprint, and
rectilinear profiles in lymphocytes or other tissues is needed
for others.
2.2 Clinical Presentation
Table 3 lists the types of CLN according to typical age at
onset.
2.3 Imaging
CLN will only be diagnosed with appropriate clinical
information. The following imaging features support the
clinical diagnosis:
Pronounced hypointensity of basal ganglia, thalami, sub-
stantia nigra/red nucleus on T2-weighted fast spin 
gradient echo sequences (Autti et al. 2007)
Distinct atrophy of the supratentorial brain more than of the
cerebellar hemispheres
Slightly increased (periventricular) T2 signal intensity
3 Progressive Myoclonic Epilepsies
3.1 Definition
Progressive myoclonic epilepsies are a group of disorders
characterized by myoclonic seizures, tonic–clonic seizures,
and progressive neurologic decline, in particular dementia
and ataxia. Myoclonic seizures may be bilateral synchro-
nous or multifocal asynchronous and affect limbs, facial,
and bulbar muscles (see Table 4).
238 H. Urbach and J. Reimann
There are some very rare causes of progressive myoclonic
epilepsies: Action Myoclonus–Renal Failure syndrome
(AMRF) is an autosomal-recessive disorder characterized by
proteinuria and glomerusclerosis occurring as early as
9 years of age, followed by severe progressive action
myoclonus, dysarthria, and ataxia symptoms between 17 and
25 years of age (Ramachandran et al. 2009). In Gaucher
disease type 3 (subacute neuronopathic form), abnormal
glucocerebrosidase accumulates in the liver, spleen, and
bone marrow. Predominant clinical symptoms are hepato-
splenomegaly, hematological changes, and skeletal com-
plications (Ramachandran et al. 2009; Kraoua et al. 2011;
Shahwan et al. 2005). Familial encephalopathy with neuro-
serpin inclusion bodies is an autosomal-dominant disease
causing progressive dementia and in some cases a familial
form of progressive myoclonic epilepsy (Davis et al. 1999).
A juvenile form of Huntington’s disease may also cause
progressive myoclonic epilepsy (Gambardella et al. 2001).
4 Epilepsy with Occipital Calcifications
and Celiac Disease
4.1 Epidemiology
A rare syndrome with celiac disease, epilepsy, and cerebral
calcifications (CEC syndrome) initially described by
Sammaritano et al. (1985). Occipital calfications are
radiologically similar to those of Sturge–Weber syndrome.
For unknown reasons, CEC syndrome is more frequent in
Italy, Spain, and Argentina (Gobbi 2005). Patients with
celiac disease and epilepsy without calcifications and with
celiac disease and calcifications without epilepsy are con-
sidered to suffer from atypical forms. In patients with epi-
lepsy and calcifications without celiac disease, silent celiac
disease is assumed.
4.2 Pathogenesis
Celiac disease is an autoimmune disease with chronic
inflammation of the small intestine due to a permanent
intolerance to gluten protein; a gluten-free diet leads to
clinical improvement.
The coincidence of celiac disease and epilepsy with
cerebral calcifications may be random, genetically deter-
mined, or epilepsy with cerebral calcifications the conse-
quence of untreated celiac disease. Histopathological
specimens showed small cortical veins overlying the pari-
eto-occipital cortex with calcified walls and intima fibrosis
nearly occluding the lumen. Cerebral calcifications are
similar to those of Sturge–Weber syndrome; however, the
cortical architecture is likely less preserved and patients do
not have portwine nevi (Taly et al. 1987).
Table 3 Neuronal ceroid lipofuscinosis types according to typical age at onset
Disease type Age at
onset
Major clinical signs Laboratory and genetic features
CLN 1 (infantile
form, Santavuori)
1–2 Normal psychomotor development until the age of
6 months, rapid decline with epileptic seizures.
Cardinal symptom is visual loss; most patients are
blind before the age of 2
Reduced enzyme activity in blood spot test.
Granular osmiophilic deposits in lymphocytes or
other tissues at electron microscopy
Autosomal recessive: PPT1
CLN 2 (late
infantile form,
Janksy–
Bielschowsky)
2–4 Normal psychomotor development until the age
of 2–4 years. Rapid decline with epileptic seizures
(myoclonic, tonic–clonic, atonic, atypical absence) and
retinal atrophy. Cardinal symptom is visual failure;
most patients are blind around the age of 6
Reduced enzyme activity in blood spot test.
Curvilinear membrane-bound lysosomal
aggregates in electron microscopy
Autosomal recessive: TPP1
CLN 5 (Finnish
variant), 6, 7
Infancy Progressive epilepsy with mental retardation.
Tonic–clonic seizures, complex focal seizures with
decreasing frequency after puberty, cognitive decline
starting 2–5 years after onset of seizures
Granular osmiophilic deposits, curvilinear,
fingerprint, and rectilinear profiles in electron
microscopy
Autosomal recessive: CLN5, CLN6, MSFD8
CNL8/Northern
epilepsy
juvenile Visual loss, developmental regression, seizures, ataxia,
speech and language difficulties, myoclonus.
No blindness, no myoclonus, slower progression in
Northern Epilepsy
Mixed combinations of granular, curvilinear, and
fingerprint profiles in EM
Autosomal recessive CLN8
CLN 3 (juvenile
form, Spielmeyer–
Vogt, Batten)
5–10 Rapid decline of vision and progressive dementia.
Myoclonic and tonic–clonic seizures.
Death around 20–40 years
Typical vacuolated lymphocytes in blood smear
(light microscope). Fingerprint profiles in electron
microscopy
Autosomal recessive: CNL3
CLN 4 (Kufs) 3rd–4th
decade
Generalized seizures, myoclonus, dementia, ataxia,
behavioral changes, depression, hallucinations, no
blindness
‘‘Fingerprint’’ deposits in lymphocytes or other
tissues at electron microscopy
Autosomal recessive 4A: CLN6 or autosomal
dominant 4B: DNAJC5
Metabolic Disorders 239
4.3 Clinical Presentation
Celiac disease typically manifests in the first 2 years of life
with chronic diarrhea, weight loss, dystrophic appearance,
and anorexia. Atypical or silent forms are more frequent in
children over 2 years and adults and characterized by
nonbowel involvement and extraintestinal symptoms such
as dermatitis herpetiformis and dental enamel defects.
Focal seizures occur in up to 5 % of patients with celiac
disease and originate in at least 90 % of cases in the
occipital cortex. Half of these seizures persist despite a
gluten-free diet, and 25 % of patients develop an enceph-
alopathic syndrome.
Accordingly, all patients with epilepsy and cerebral
calcifications should be investigated for celiac disease fol-
lowing the ESPGAN criteria, which may include jejunal
mucosa biopsy before and—if positive—1 year after
adoption of gluten-free diet (Walker-Smith et al. 1990).
4.4 Imaging
Characteristic features are bilateral, symmetrical, or some-
what asymmetrical occipital calcifications, without contrast
enhancement and brain atrophy. Calcifications can be punc-
tate or amorphous measuring several centimeters. Additional
calcifications can be in extraoccipital location. Calcifications
may increase in size and new calfications may appear in mid-
term follow-up. In contrast to Sturge–Weber syndrome, cir-
cumscript atrophy, contrast enhancement, and ipsilateral
choroid plexus enlargement are lacking (Fig. 8).
5 Nonketotic Hyperglycemia
5.1 Epidemiology
Nonketotic hyperglycemia is a relatively common compli-
cation of diabetes mellitus type 2, especially in patients
Table 4 Progressive myoclonic epilepsies: Major clinical features, diagnostics, and MRI
Progressive
myoclonic
epilepsies
Age at onset, major clinical signs Laboratory features and genetics MRI
Unverricht–
Lundborg disease
6–13, Progresses in gradual stages to severe
myoclonus, mild mental deterioration and
ataxia
Autosomal recessive: CSTB Normal or brain stem,
cerebellar, and less often
cerebral atrophy
(Mascalchi et al. 2002)
Lafora body
disease
8–18, Relatively rapid progression from
insidious onset to severe myoclonus, occipital
seizures, visual hallucinations, psychosis,
dementia. Survival approximately 10 years
Lafora (polyglucosan inclusion) bodies in
various tissues, including skin, autosomal
recessive: EPM2A, NHLRC1 (EPM2B),
No signal
changes (Villanueva et al.
2006)
Myoclonic
epilepsy and
ragged red fibers
(MERRF)
Late adolescence/early adulthood. Deafness,
optic atrophy, myoclonus, myopathy, cardiac
conduction defects
Maternal: tRNALys
, (80 % 8344G [ A)
ragged red fibers (SDH positive, COX
negative) on muscle biopsy (but may be
normal)
Variable: cerebellar and
cerebral atrophy,
symmetric brain stem,
basal ganglia lesions
Sialidosis type 1
(neuraminidase
deficiency)
8–20, Severe myoclonus, tonic–clonic
seizures, visual failure, ataxia, nystagmus,
muscle weakness and atrophy, dysarthria
Macula: cherry red spot. Urine: elevated
sialyloligosaccharides. Leukocytes and
cultured skin fibroblasts: neuraminidase
deficiency
autosomal recessive: NEU1
No signal changes
Sialidosis type 2
(neuraminidase
deficiency)
Congenital—20, severe myoclonus, ataxia,
visual failure, hearing loss, dysmorphic
features, hepato-splenomegaly
Macula: cherry red spot. Urine: elevated
sialyloligosaccharides. Leukocytes and
cultured skin fibroblasts: neuraminidase
deficiency, vacuolated lymphocytes, bone
marrow foam cells
autosomal recessive: NEU1
No signal changes
Neuronal ceroid
lipofuscinosis
Congenital to adult forms Electron microscopy: granular
osmiophilic, curvilinear, or fingerprint
profiles
Variable: cerebellar and
cerebral atrophy, T2
hypointensity of globi
pallidi and thalami
Dentatorubral-
pallidolysian
atrophy
(DRPLA)
Higher frequency in Japan (0.2–0.7/100,000),
very rare in Europe and North America.
Myoclonic epilepsy and cognitive decline
starting before the age of 20 (Whaley et al.
2011). Myoclonic epilepsy, dementia, ataxia,
and choreoathetosis
CAG repeat expansion of DRPLA
(ATN1) gene, autosomal dominant;
clinical features and age of onset are
correlated with the size of CAG repeats
(1st–7th decade), genetic anticipation
Cerebellar and brainstem
atrophy, high
periventricular white
matter T2 signal (Whaley
et al. 2011; Muñoz et al.
2004)
240 H. Urbach and J. Reimann
above 50 years of age. However, several cases in children
have been described. The severity can vary widely, ranging
from asymptomatic (for months, even years) to severely
symptomatic (hyperosmolar coma and sometimes even
death). Approximately 15–40 % of patients with nonketotic
hyperglycemia develop seizures.
5.2 Clinical Presentation
Focal motor seizures, which may generalize secondarily,
are observed in most cases, sometimes with epilepsia par-
tialis continua. Seizures may be tonic, clonic, tonic–clonic;
may affect limbs, the face, or one half of the body; and may
be followed by a postictal motor deficit. Seizures are
sometimes elicited or set off by movement, even passive or
active elevation of a limb (arm or leg). EEG between sei-
zures is normal.
Rapid recognition of nonketotic hyperglycemia is vital
because treatment with insulin and rehydration can prevent
negative outcomes. Diagnosis is also essential for man-
agement of the seizures because they are usually refractory
to antiepileptic drugs, and some treatments (phenytoin) may
even aggravate them. These seizures nonetheless stop
spontaneously after hyperglycemia is corrected.
5.3 Imaging
Often normal. Rarely and in close temporal relationship to
seizures restricted diffusion reflecting cytotoxic edema on
DWI and/or transient subcortical T2-weighted and FLAIR
Fig. 8 Epilepsy with occipital calcifications and celiac disease in a
12-year-old girl (a–c) and in a 19-year-old woman (d–f). Occipital
calcifications may be bilateral and resemble Sturge–Weber
angiomatosis, which was also the histopathological diagnosis in the
19-year-old woman
Metabolic Disorders 241
Fig. 9 A 16-year-old girl with known type 1 diabetes mellitus
developed epilepsia partialis continua of the left hand. MRI displayed
a subcortical T2-hypointensity of the postcentral gyrus on T2-weighted
(a, c, d: arrows) and FLAIR images (b) associated with nonketotic
hyperglycemia
242 H. Urbach and J. Reimann
hypointensity predominantly in the posterior brain regions
(Wang et al. 2005; Raghavendra et al. 2007). Unilateral
striatal hyperintensity is another hint for nonketotic hyper-
glycemia (Chu et al. 2002) (Fig. 9).
References
Appignani BA, Kaye EM, Wolpert SM (1996) CT and MR appearance
of the brain in two children with molybdenum cofactor deficiency.
AJNR Am J Neuroradiol 17(2):317–320
Autti T, Joensuu R, Aberg L (2007) Decreased T2 signal in the thalami
may be a sign of lysosomal storage disease. Neuroradiology
49(7):571–578
Barkovich AJ, Good WV, Koch TK, Berg BO (1993) Mitochondrial
disorders: analysis of their clinical and imaging characteristic.
AJNR Am J Neuroradiol 14:1119–1137
Barkovich AJ, Peck WW (1997) MR of Zellweger syndrome. AJNR
Am J Neuroradiol 18(6):1163–1170
Barkovich AJ (2007) An approach to MRI of metabolic disorders in
children. J Neurorad 34:75–78
Barnerias C, Saudubray JM, Touati G et al (2010) Pyruvate
dehydrogenase complex deficiency: four neurological phenotypes
with differing pathogenesis. Dev Med Child Neurol 52:e1–e9
Berkovic SF, Carpenter S, Evans A et al (1989) Myoclonus epilepsy
and ragged-red fibres (MERRF). 1. A clinical, pathological,
biochemical, magnetic resonance spectrographic and positron
emission tomographic study. Brain 112:1231–1260
Brismar J, Ozand PT (1994) CT and MR of the brain in disorders of
the propionate and methylmalonate metabolism. AJNR Am J
Neuroradiol 15(8):1459–1473 Review
Brismar J, Ozand PT (1995) CT and MR of the brain in glutaric
acidemia type I: a review of 59 published cases and a report of 5
new patients. AJNR Am J Neuroradiol 16(4):675–683
Chu K, Kang DW, Kim DE et al (2002) Diffusion-weighted and
gradient echo magnetic resonance findings of hemichorea-hemi-
ballismus associated with diabetic hyperglycemia: a hyperviscosity
syndrome? Arch Neurol 59:448–452
Davis RL, Holohan PD, Shrimpton AE et al (1999) Familial
encephalopathy with neuroserpin inclusion bodies. Am J Pathol
155:1901–1913
de Koning TJ, Jaeken J, Pineda M et al (2000) Hypomyelination and
reversible white matter attenuation in 3-phosphoglycerate dehy-
drogenase deficiency. Neuropediatrics 31(6):287–292
de Koning TJ, Klomp LW (2004) Serine-deficiency syndromes. Curr
Opin Neurol 17(2):197–204
Desai S, Ganesan K, Hegde A (2008) Biotinidase deficiency: a
reversible metabolic encephalopathy—neuroimaging and MR
spectroscopic findings in a series of four patients. Pediatr Radiol
38:848–856
Engelsen BA, Tzoulis C, Karlsen B et al (2008) POLG1 mutations
cause a syndromic epilepsy with occipital lobe predilection. Brain
131:818–828
Engelbrecht V, Rassek M, Huismann J, Wendel U (1997) MR and
proton MR spectroscopy of the brain in hyperhomocysteinemia
caused by methylenetetrahydrofolate reductase deficiency. AJNR
Am J Neuroradiol 18(3):536–539
Finsterer J, Zarrouk Mahjoub S (2012) Epilepsy in mitochondrial
disorders. Seizure 21:316–321
Gambardella A, Muglia M, Labate A et al (2001) Juvenile Hunting-
ton’s disease presenting as progressive myoclonic epilepsy.
Neurology 57(4):708–711
Gobbi G (2005) Coeliac disease, epilepsy and cerebral calcifications.
Brain Dev 27:189–200
Gordon N (2004) Succinic semialdehyde dehydrogenase deficiency
(SSADH) (4-hydroxybutyric aciduria, gamma-hydroxybutyric aci-
duria). Eur J Paediatr Neurol 8(5):261–265
Gospe SM Jr (2010) Pyridoxine-dependent epilepsy and pyridoxine
phosphate oxidase deficiency: unique clinical symptoms and non-
specific EEG characteristics. Dev Med Child Neurol 52(7):602–
603
Haas R, Dietrich R (2004) Neuroimaging of mitochondrial disorders.
Mitochondrion 4:471–490
Haeberle J, Shahbeck N, Ibrahim K et al (2012) Glutamine supple-
mentation in a child with inherited GS deficiency improves the
clinical status and partially corrects the peripheral and central
amino acid imbalance. Orphanet J Rare Dis 7(1):48
Hakonen AH, Heiskanen S, Juvonen V et al (2005) Mitochondrial
DNA polymerase W748S mutation: a common cause of autosomal
recessive ataxia with ancient European origin. Am J Hum Genet
77(3):430–441 (Epub 2005 Jul 27)
Head RA, Brown RM, Zolkipli Z et al (2005) Clinical and genetic
spectrum of pyruvate dehydrogenase deficiency: dihydrolipoamide
acetyltransferase (E2) deficiency. Ann Neurol 58:234–241
Huisman TA, Thiel T, Steinmann B, Zeilinger G, Martin E (2002)
Proton magnetic resonance spectroscopy of the brain of a neonate
with nonketotic hyperglycinemia: in vivo-in vitro (ex vivo)
correlation. Eur Radiol 12(4):858–861
Inglese M, Rovaris M, Bianchi S et al (2001) Magnetic resonance
imaging, magnetisation transfer imaging, and diffusion weighted
imaging correlates of optic nerve, brain, and cervical cord damage
in Leber’s hereditary optic neuropathy. J Neurol Neurosurg
Psychiatry 70(4):444–449
Ito S, Shirai W, Asahina M, Hattori T (2008) Clinical and brain MR
imaging features focusing on the brain stem and cerebellum in
patients with myoclonic epilepsy with ragged-red fibers due to
mitochondrial A8344G mutation. Am J Neuroradiol AJNR
29(2):392–395
Jan W, Zimmerman RA, Wang ZJ et al (2003) MR diffusion imaging
and MR spectroscopy of maple syrup urine disease during acute
metabolic decompensation. Neuroradiology 45(6):393–399
Klepper J, Leiendecker B (2007) GLUT1 deficiency syndrome—2007
update. Dev Med Child Neurol 49(9):707–716
Kono K, Okano Y, Nakayama K et al (2005) Diffusion-weighted MR
imaging in patients with phenylketonuria: relationship between
serum phenylalanine levels and ADC values in cerebral white
matter. Radiology 236(2):630–636
Kovacs GG, Höftberger R, Najtenyl K et al (2005) Neuropathology of
white matter disease in Lebers hereditary optic neuropathy. Brain
128:35–41
Kraoua I, Sedel F, Caillaud C et al (2011) A French experience of type
3 Gaucher disease: phenotypic diversity and neurological outcome
of 10 patients. Brain Dev 33(2):131–139
Lamirel C, Cassereau J, Cochereau I et al (2010) Papilloedema and
MRI enhancement of the prechiasmal optic nerve at the acute stage
of Leber hereditary optic neuropathy. J Neurol Neurosurg Psychi-
atry 81(5):578–580
Lebre AS, Rio M, Faivre d’Arcier L et al (2011) A common pattern of
brain MRI imaging in mitochondrial diseases with complex I
deficiency. J Med Genet 48(1):16–23
Lee YM, Kang HC, Lee JS et al (2008) Mitochondrial respiratory
chain defects: underlying etiology in various epileptic conditions.
Epilepsia 49:685–690
Mascalchi M, Michelucci R, Cosottini M et al (2002) Brainstem
involvement in Unverricht–Lundborg disease (EPM1): An MRI
and (1)H MRS study. Neurology 58(11):1686–1689
Metabolic Disorders 243
Mills PB, Footitt EJ, Mills KA et al (2010) Genotypic and phenotypic
spectrum of pyridoxine-dependent epilepsy (ALDH7A1 defi-
ciency). Brain 133(Pt 7):2148–2159
Muñoz E, Campdelacreu J, Ferrer I et al (2004) Severe cerebral white
matter involvement in a case of dentatorubropallidoluysian atrophy
studied at autopsy. Arch Neurol 61(6):946–949
Niehusmann P, Surges R, von Wrede RD, Elger CE, Wellmer J,
Reimann J, Urbach H, Vielhaber S, Bien CG, Kunz WS (2011)
Mitochondrial dysfunction due to Leber’s hereditary optic neurop-
athy as a cause of visual loss during assessment for epilepsy
surgery. Epilepsy Behav 20(1):38-43
Pearl PL, Gibson KM (2004) Clinical aspects of the disorders of
GABA metabolism in children. Curr Opin Neurol 17(2):107–
113
Pearl PL, Gibson KM, Acosta MT (2003a) Clinical spectrum of
succine semialdehyde dehyfrogenase deficiency. Neurology
60:1413–1417
Pearl PL, Novotny EJ, Acosta MT et al (2003b) Succinic semialdehyde
dehydrogenase deficiency in children and adults. Ann Neurol
54(Suppl 6):S73–S80
Pearl PL, Shukla L, Theodore WH et al (2011) Epilepsy in succinic
semialdehyde dehydrogenase deficiency, a disorder of GABA
metabolism. Brain Dev 33:769–805
Prasad AN, Levin S, Rupar CA, Prasad C (2011a) Menkes disease and
infantile epilepsy. Brain Dev 33:866–876
Prasad AN, Rupar CA, Prasard C (2011b) Methylene tetrahydrofolate
reductase (MTHFR) deficiency and infantile epilepsy. Brain Dev
33:758–789
Press GA, Barshop BA, Haas RH et al (1989) Abnormalities of the
brain in nonketotic hyperglycinemia: MR manifestations. AJNR
Am J Neuroradiol 10(2):315–321
Raghavendra S, Ashalatha R, Sanjee V et al (2007) Focal neuronal
loss, reversible subcortical focal T2 hypointensity in seizures with
a nonketotic hyperglycemic hyperosmolar state. Neuroradiology
49:299–305
Ramachandran N, Girard JM, Turnbull J, Minassian BA (2009) The
autosomal recessively inherited progressive myoclonus epilepsies
and their genes. Epilepsia 50(Suppl 5):29–36
Ribacoba R, Salas-Puig J, Gonzalez C, Astudillo A (2006) Charac-
teristics of status epilepticus in MELAS. Analysis of four cases.
Neurologia 21:1–11
Sammaritano M, Andermann F, Helanson D et al (1985) The
syndrome of epilepsy and bilateral occipital cortical calcifications.
Epilepsia 26:530
Saneto RP, Friedman SD, Shaw DWW (2008) Neuroimaging of
mitochondrial disease. Mitochondrion 8:296–413
Santavuori P, Vanhanen SL, Sainio K et al (1993) Infantile neuronal
ceroid-lipofuscinosis (INCL): diagnostic criteria. J Inherit Metab
Dis 16(2):227–229 (Review)
Santorelli FM, Shanske S, Macaya A et al (1993) The mutation at nt
8993 of mitochondrial DNA is a common cause of Leigh’s
syndrome. Ann Neurol 34:827–834
Saudubray JM, Sedel F, Walter JH (2006) Clinical approach to
treatable inborn metabolic diseases: an introduction. J Inherit
Metab Dis 29(2–3):261–274
Sedel F, Gourfinkel-An I, Lyon-Caen O et al (2007) Epilepsy and
inborn errors of metabolism in adults: a diagnostic approach.
J Inherit Metab Dis 30(6):846–854
Seijo-Martínez M, Navarro C, Castro del Río M et al (2005) L-2-
hydroxyglutaric aciduria: clinical, neuroimaging, and neuropatho-
logical findings. Arch Neurol 62(4):666–670
Sener RN (2003) Nonketotic hyperglycinemia: diffusion magnetic
resonance imaging findings. J Comput Assist Tomogr 27(4):538–540
Sévin M, Lesca G, Baumann N et al (2007) The adult form of
Niemann–Pick disease type C. Brain 130(Pt 1):120–133
Shahwan A, Farrell M, Delanty N (2005) Progressive myoclonic
epilepsies: a review of genetic and therapeutic aspects. Lancet
Neurol 4(4):239–248
Soares-Fernandes JP, Teixeira-Gomes R, Cruz R et al (2008) Neonatal
pyruvate dehydrogenase deficiency due to a R302H mutation in the
PDHA1 gene: MRI findings. Pediatr Radiol 38:559–562
Stöckler S, Holzbach U, Hanefeld F et al (1994) Creatine deficiency in
the brain: a new, treatable inborn error of metabolism. Pediatr Res
36(3):409–413
Stöckler-Ipsiroglu S, Plecko B (2009) Metabolic epilepsies:
approaches to a diagnostic challenge. Can J Neurol Sci 36(Suppl
2):S67–S72
Taly AB, Nagaraja D, Das S et al (1987) Sturge–Weber–Dimitri
disease without facial nevus. Neurology 37:1063–1064
Thomas B, Al Dossary N, Widjaja E (2010) MRI of childhood
epilepsy due to inborn errors of metabolism. AJR Am J Roentgenol
194(5):W367–W374
Tzoulis C, Engelsen BA, Telstad W et al (2006) The spectrum of
clinical disease caused by the A467T and W748S POLG mutations:
a study of 26 cases. Brain 129(Pt 7):1685–1692
Van der Knaap M, Valk J (2005) GM2 gangliosidosis. In: Magnetic
resonance of myelin and myelination disorders, 3rd edn. Springer,
Berlin, Heidelberg, New York, pp 103–111
Vanhanen SL, Raininko R, Autti T, Santavuori P (1995) MRI
evaluation of the brain in infantile neuronal ceroid-lipofuscinosis.
Part 2: MRI findings in 21 patients. J Child Neurol 10(6):444–450
Vijayakumar K, Gunny R, Grunewald S et al (2011) Clinical
neuroimaging features and outcome in molybdenum cofactor
deficiency. Pediatr Neurol 45(4):246–252
Villanueva V, Alvarez-Linera J, Gómez-Garre P et al (2006) MRI
volumetry and proton MR spectroscopy of the brain in Lafora
disease. Epilepsia 47(4):788–792
Walker-Smith JA, Guendalini S, Schmitz J et al (1990) Revised
criteria for diagnosis of coeliac disease. Arch Dis Child 65:909–
911
Wang CP, Hsieh PF, Chen CC et al (2005) Hyperglycemia with
occipital seizures: images and visual evoked potentials. Epilepsia
46:1140–1144
Weller S, Rosewich H, Gärtner J (2008) Cerebral MRI as a valuable
diagnostic tool in Zellweger spectrum patients. J Inherit Metabol
Dis 31:270–280
Whaley NR, Fukoja S, Wszolek ZK (2011) Autosomal dominant
cerebellar ataxia type I: a review of the phenotypic and genotypic
characteristics. Orphanet J Rare Dis 6:33
Wolf B, Grier RE, Allen RJ et al (1983) Biotinidase deficiency: the
enzyme defect in late-onset multiple carboxylase deficiency. Clin
Chem Acta 131:273–281
Wolf B, Heard GS, Weissbecker KA et al (1985) Biotinidase
deficiency: initial clinical features and rapid diagnosis. Ann Neurol
18(5):614–617
244 H. Urbach and J. Reimann
Other Epilepsy-Associated Diseases
and Differential Diagnoses
Horst Urbach
Contents
1 Hemiconvulsion–Hemiplegia–Epilepsy Syndrome........... 245
1.1 Epidemiology......................................................................... 245
1.2 Pathogenesis........................................................................... 245
1.3 Clinical Presentation.............................................................. 245
1.4 Imaging .................................................................................. 247
2 Transient Global Amnesia and Transient Epileptic
Amnesia................................................................................. 247
2.1 Epidemiology......................................................................... 247
2.2 Pathogenesis........................................................................... 247
2.3 Clinical Presentation.............................................................. 247
2.4 Imaging .................................................................................. 248
3 Epilepsy and Multiple Sclerosis......................................... 248
3.1 Epidemiology......................................................................... 248
3.2 Pathogenesis........................................................................... 248
3.3 Clinical Presentation.............................................................. 248
3.4 Imaging .................................................................................. 248
4 Chorea-Acanthocytosis........................................................ 248
4.1 Epidemiology......................................................................... 248
4.2 Pathogenesis........................................................................... 248
4.3 Clinical Presentation.............................................................. 249
4.4 Imaging .................................................................................. 250
5 ‘‘Reversible’’ Splenium Lesions ......................................... 250
5.1 Epidemiology......................................................................... 250
5.2 Pathogenesis........................................................................... 251
5.3 Clinical Presentation.............................................................. 251
5.4 Imaging .................................................................................. 251
6 MRI Changes in Antiepileptic Drug Therapy ................. 252
6.1 Carbamazepine....................................................................... 252
6.2 Phenytoin ............................................................................... 252
6.3 Valproate................................................................................ 252
6.4 Vigabatrin .............................................................................. 253
References...................................................................................... 255
Abstract
This chapter summarizes (1) rare diseases with epilepsy as
the core feature and a specific MRI pattern, (2) common
diseases with specific clinical features but without epilepsy
as the core feature, and (3) MRI changes associated with
antiepileptic drug therapy.
1 Hemiconvulsion–Hemiplegia–Epilepsy
Syndrome
1.1 Epidemiology
The clinical syndrome was initially described by Schaffer
(1927) and coined as hemiconvulsion–hemiplegia–epilepsy
syndrome by Gastaut et al. (1960). It is one of the sequelae
of convulsive status epilepticus. Its incidence has dramati-
cally decreased since the 1970s due to successful medical
therapy of convulsive status epilepticus.
1.2 Pathogenesis
A high metabolic demand of a hemisphere due to convul-
sive status epilepticus likely leads to laminar necrosis and
edema in cortical layers 3 and 5 extending through the
hemisphere and including the hippocampal, especially in its
CA1 sector. In the acute phase, there is hemispheric hyp-
erperfusion which is followed by hypoperfusion starting at
around day 3. Within weeks to months, profound hemi-
atrophia cranii et cerebri develops.
1.3 Clinical Presentation
Hemiconvulsion–hemiplegia–epilepsy syndrome is charac-
terized by prolonged clonic seizures which in most cases
develop in the course of a febrile illness with consecutive
H. Urbach (&)
Department of Neuroradiology,
University Hospital Freiburg, Germany
e-mail: horst.urbach@uniklinik-freiburg.de
H. Urbach (ed.), MRI in Epilepsy, Medical Radiology. Diagnostic Imaging,
DOI: 10.1007/174_2012_750, Ó Springer-Verlag Berlin Heidelberg 2013
245
Fig. 1 MRI of a 13 months old
girl with cytotoxic edema of the
left hemisphere (a–c) including
the thalamus and occipital lobe
(a–c). No vessel occlusion on
TOF-MRA (not shown). Follow-
up MRI after 1 year shows
profound left-sided hemiatrophia
cerebri et cranii (d). e–f A 5 year
old boy presented with a
prolonged complex febril seizure
with persisting left-sided
hemiparesis. MRI after 2 months
showed right-sided hemiatrophy
und hippocampal sclerosis
(f: arrow)
246 H. Urbach
development of hemiplegia. It occurs most frequently in
children younger than 2 years of age, however, cases in
children up to 11 years have been described. Seizures are
unilateral or predominantly unilateral, but may cross over to
the other side or be initially generalized. Seizures are usu-
ally clonic in type, often in the form of status epilepticus
lasting over several hours. They are generally associated
with coma and immediately followed by hemiplegia. When
the convulsions start on one side and cross to the other, the
side involved last predicts the hemiplegic site. Hemiplegia
is initially flaccid and eventually becomes spastic. How-
ever, it may disappear in 20 % of patients with only some
degree of spasticity, increased deep tendon reflexes and
pyramidal tract signs remaining.
Hemiconvulsion–hemiplegia–epilepsy syndrome will
evolve to the secondary appearance offocal seizures in around
60 % of cases, usually within 3 years after disease onset.
1.4 Imaging
In the acute phase, there is DWI-proven cytotoxic edema of
a hemisphere that is not confined to a vascular territory
(Freemann et al. 2002). Within weeks to months hemi-
atrophia cranii et cerebri with cerebral peduncle atrophy
(Wallerian degeneration of the pyramidal tract) and possible
contralateral cerebellar atrophy develop (Fig. 1).
2 Transient Global Amnesia and Transient
Epileptic Amnesia
2.1 Epidemiology
Transient global amnesia (TGA) is a rare condition with
isolated anterograde and retrograde amnesia lasting for
several hours, which was initially described by Fischer and
Adams (1964). In contrast, transient epileptic amnesia
(TEA) is likely an epilepsy syndrome, in which amnesia is
not an isolated syndrome but accompanied by other epi-
leptic phenomena (Kapur 1993).
2.2 Pathogenesis
Transient global amnesia is characterized by delayed neu-
ronal loss in the cornu ammonis CA1 field of the hippo-
campus, which is highly vulnerable to metabolic stress
(Bartsch and Deuschl 2010). TEA is considered as an
epilepsy syndrome with amnesia as a postictal phenomenon
or symptom during nonconvulsive status epilepticus
(Bilo et al. 2009).
2.3 Clinical Presentation
Transient global amnesia is characterized by a sudden
onset of anterograde and retrograde amnesia lasting for
usually 2–8, and rarely up to 24 h. The neurological state
is otherwise normal. During the attack, patients are
anxious, ask the same question again and again, and rap-
idly forget the answer. With resolution of the attack, there
is a stepwise return of anterograde memory; however,
because patients had not been able to lay down new
memories during the attack, they will never be able to
recall the episode itself. TGA often occurs with or after
emotional or physical ‘‘stress’’ and has no gender predi-
lection (Bartsch 2006).
In TEA, ‘‘long’’ attacks with pure amnesia lasting for
less than 1 h and ‘‘short’’ attacks with amnesia preceded by
typical epileptic ictal phenomena such as clouding of
consciousness and/or motor automatisms, have been
described. Both show a tendency to recur and accordingly,
the diagnosis of TEA requires the presence of: (1) history of
recurrent witnessed episodes of transient amnesia; (2) cog-
nitive functions other than memory judged to be intact
Table 1 Differential diagnosis TGA versus TEA
TGA TEA
Duration of attacks 2–8 (-24) h 1 h
Recurrence of attacks Rare Frequent
EEG - Interictal temporal or fronto-temporal abnormalities
Other ictal symptoms - +
Response to antiepileptic drugs - +
MRI Punctate DWI lesions in CA1 field after 24–48 h Subtle hippocampal volume loss
Other Epilepsy-Associated Diseases and Differential Diagnoses 247
during typical episodes; (3) evidence for a diagnosis of
epilepsy based on one or more of the following:
epileptiform EEG abnormalities, concurrent onset of other
features of epilepsy, and clear-cut response to antiepileptic
treatment (Kapur 1993; Zeman et al. 1998). TEA typically
begins in late-middle to old age, TEA attacks often occur on
awakening, retrograde amnesia is often more severe than
anterograde amnesia, and many patients have a partial
memory of the amnesic episode, reporting that they ‘‘were
not able to remember.’’ TEA is responsive to relatively low
doses of antiepileptic drugs (AEDs), but many patients
report persistent interictal memory disturbances, consisting
of accelerated long-term forgetting and autobiographic
amnesia (Zeman et al. 1998; Butler et al. 2007). See
Table 1.
2.4 Imaging
Transient global amnesia patients typically show punctate
DWI lesions in the upper and lateral segment of the
hippocampus (CA1 field) which may be faintly visible
within 4–6 h following the TGA attack (Fig. 2). However,
DWI signal intensity increases and is most prominent
between 36 and 48 h (Sedlaczek et al. 2004; Bartsch et al.
2006). Single lesions are found in 75 % of cases, the left
hippocampus is involved three times more often than the
right hippocampus, and two or more punctate or bilateral
lesions are found in 25 % of cases. Lesions can be seen as
hyperintense on high-resolution T2-weighted images and
clearly separated from the vestigial sulcus hippocampi,
and follow-up MRI shows complete disappearance of
T2-lesions (Nakada et al. 2005; Bartsch et al. 2006).
In TEA patients, hippocampal volumetry reveals a subtle
volume loss (about 8 %), which is pronounced in the hip-
pocampal body (Butler et al. 2009). MRI may show focal
temporal lobe lesions but is in most cases normal (Della
Marca et al. 2010).
3 Epilepsy and Multiple Sclerosis
3.1 Epidemiology
Multiple sclerosis patients have a 3 % risk of developing
epileptic seizures, which is around three to six times higher
than epileptic seizures in the general population (Olafsson
et al. 1999; Nyquist et al. 2001, 2002; Nicoletti et al. 2003;
Lebrun 2006; Viveiros and Alvarenga 2010).
3.2 Pathogenesis
Although MS predominantly affects the deep and periven-
tricular white matter, demyelinating lesions are also found in
the juxtacortical location (17 %) and in the cerebral cortex
(5 % in pathological specimens, respectively) (Brownell and
Hughes 1962). Apart from cortical lesions, there is likely a
risk for temporal lobe seizures in patients with demyelinating
lesions along the surface of the temporal horns. This may be
explained with disconnection of the cortex (the so-called
chronic isolated cortex) (Echlin and Battista 1963).
3.3 Clinical Presentation
Patients typically suffer from simple and complex focal
seizures, with or without secondary generalization, whereas
primarily generalized epilepsy is rare (Kelley and Rodri-
guez 2009). Seizure might be the first MS manifestation
(Fig. 3), however, they mostly occur in the acute and
chronic phases and are not related to the severity or duration
of MS (Fig. 4).
3.4 Imaging
Although many cortical lesions are not seen on MRI (Geurts
et al. 2005), MS patients with epilepsy have a fivefold
increase in the number of cortical lesions and a sixfold
larger volume of cortical lesions than MS patients without
epilepsy (Calabrese et al. 2008) (Fig. 3). Apart from cortical
lesions, there is likely a risk for temporal lobe seizures in
patients with demyelinating lesions along the surface of the
temporal horns (Figs. 4, 5).
4 Chorea-Acanthocytosis
4.1 Epidemiology
A group of very rare genetically defined diseases characterized
by the association of red blood cell acanthocytosis and pro-
gressive degeneration of the basal ganglia (Jung et al. 2011).
4.2 Pathogenesis
Autosomal-recessive mutations in the VPS13A gene on
chromosome 9q21, encoding for chorein (Velayos-Baeza
248 H. Urbach
et al. 2004; Dobson-Stone et al. 2004). Altered molecular
hippocampal architecture, defects of the erythrocyte mem-
brane, and remote effects of the basal ganglia as the predi-
lection site of neurodegeneration in chorea–acanthocytosis
are discussed (Scheid et al. 2009; Bader et al. 2011).
4.3 Clinical Presentation
Psychiatric symptoms and cognitive decline may start in the
twenties. Later, most patients develop a characteristic phe-
notype including chorea, orofacial dyskinesias, involuntary
Fig. 2 Transient global amnesia
(TGA): Punctate hyperintense
DWI (a, b, d: arrow) and T2
(c, f) lesion in the lateral and
upper part of the right
hippocampal head representing
the cornu ammonis (CA) 1 field
(e: schematic drawing, adapted
from Duvernoy HM. The human
hippocampus Springer 1998, with
permission). The CA 1 field is
highly vulnerable to metabolic
stress. Typically, MRI
immediately after the attack is
normal, while MRI after 24–48 h
reveals one or more, uni- or
bilateral DWI lesions
Other Epilepsy-Associated Diseases and Differential Diagnoses 249
vocalizations, dysarthria, and involuntary tongue- and lip-
biting (Jung et al. 2011). In at least one-third of patients,
seizures are the first manifestation of disease (Jung et al.
2011). Seizures are of different types and temporal lobe
seizures are common (Al-Asmi et al. 2005; Scheid et al.
2009; Bader et al. 2011). Most patients have elevated levels
of creatine phosphokinase (Jung et al. 2011).
4.4 Imaging
Consider chorea–acanthocytosis if there is caudate head and
to a lesser degree putaminal atrophy. Caudate head and
putaminal atrophy are related to disease duration, easily
missed on visual inspection, and highlighted with volu-
metric analyses (Huppertz et al. 2008) ( Fig. 6).
Developing hippocampal sclerosis related to the disease
or as a consequence of frequent seizures has been described
(Scheid et al. 2009).
5 ‘‘Reversible’’ Splenium Lesions
5.1 Epidemiology
Rare, but pathognomonic imaging finding likely caused by
rapid reduction of antiepileptic drugs (AEDs). A common
situation is AED withdrawal during presurgical work-up in
Fig. 3 MRI in a 51 year old man, who presented with myoclonic
seizures of the left leg. MRI showed a right-sided cortical pre and
postcentral lesion (b, c: arrow) and periventricular lesions (a, d:
arrow). Contrast enhancement of a periventricular lesion at the right
trigone disappeared on follow-up MRI after 6 months
250 H. Urbach
order to provoke seizures. However, reversible splenium
lesions are also rarely found in patients with infections,
chemotherapy, or other diseases affecting fluid balance
systems.
5.2 Pathogenesis
Abrupt disorder of fluid balance systems due to central
sodium channel blockade or disturbance of the arginine–
vasopressin system. A typical withdrawn AED carbamaze-
pine, for example, enhances the antidiuretic effect of the
arginine–vasopressin system.
5.3 Clinical Presentation
None.
5.4 Imaging
Non space-occupying symmetric lesion in the center of the
splenium with reduced diffusion. There is no contrast
enhancement. Complete or near-complete regression on fol-
low-up MRI within 1–2 weeks (Nelles et al. 2006) (Fig. 7).
Some authors consider high-altitude cerebral edema
(HACE) a reversible splenium lesion, although MRI in
HACE typically show a splenium lesion with increased
Fig. 4 MRI in a 31 year old patient with a generalized tonic–clonic
seizure as first manifestation of multiple sclerosis. MRI shows multiple
periventricular and juxtacortical demyelinating lesions (a–e). Many
lesions are contrast-enhancing with some of the larger lesions displaying
a so-called open-ring sign (b, f: hollow arrows). If MS patients present
with epileptic seizures, a pattern with (confluent) lesions lining the
temporal horns is often found (a, d, e: arrows)
Other Epilepsy-Associated Diseases and Differential Diagnoses 251
diffusion and additional corpus callosum and white matter
microbleeds (Kallenberg et al. 2008).
6 MRI Changes in Antiepileptic Drug
Therapy
Numerous AEDs are prescribed either as mono- or as
combined drug therapy (Nicholas et al. 2012; Hamer et al.
2012). Of those, AED that may elicit MRI changes are
briefly mentioned here.
6.1 Carbamazepine
Carbamazepine is the most often prescribed drug in the
treatment of focal epilepsies. The exact mechanism of
action is unknown; general suppression of EEG activity is
likely (Jokeit et al. 2001). Typical side effects are nystag-
mus, dizziness, and ataxia, which are dose-dependent and
related to the degree of pre-existing cerebellar atrophy
(Specht et al. 1997). Most common MRI changes are so-
called reversible splenium lesions which are likely due to
rapid carbamazepine withdrawal (Fig. 7).
6.2 Phenytoin
Phenytoin is widely used for the treatment of focal and
generalized seizures and convulsive status epilepticus.
Prescription frequency, however, is decreasing (Nicholas
et al. 2012; Hamer et al. 2012). Side effects of long-lasting
phenyoin therapy are cerebellar atrophy, causing ataxia,
tremor, nystagmus, diplopia, reversible splenium lesions,
cranial vault thickening, and gingival overgrowth (Fig. 8).
Cerebellar atrophy is likely caused by direct toxic effects
(Laxer et al. 1980; Luef et al. 1994). Cases with reversible
splenium lesions or with leucoencephalopathy likely due
to deficiency of the enzyme methylenetetrahydrofolate
reductase (MTHFR) have been described (Kim et al. 1999;
Arai and Osaka 2011).
6.3 Valproate
Valproate is a broad-spectrum AED and primarily used in
idiopathic generalized epilepsies. The mechanism of action
is not fully clear; effects include GABAergic inhibition
and attenuation of glutamergic excitation. Significant side
effects are liver toxicity and teratogenicity. Neurological
Fig. 5 MRI in a 49 year old woman with relapsing–remitting
multiple sclerosis and a generalized tonic–clonic seizure. MRI shows
multiple periventricular demyelinating lesions (a, c) and a large
temporo-occipital contrast-enhancing lesion with open-ring sign,
which extends from the periventricular region to the U-fibers (b:
arrow)
252 H. Urbach
side effects are tremor, parkinsonism, drowsiness, lethargy,
and confusion.
On MRI, T1-hyperintense basal ganglia and cortical
lesions reflecting hyperammonemic encephalopathy
(Grubben et al. 2004) and widened CSF spaces, which dis-
appear after valproate withdrawal (pseudoatrophy) (Evans
et al. 2011) may be observed.
6.4 Vigabatrin
Vigabatrin is an AED that acts by irreversibly inhibiting
c-aminobutyric acid transaminase (GABA transaminase).
It is used in infantile spasms, particularly in patients with
tuberous sclerosis and drug-resistant complex focal seizures
(Pearl et al. 2009). Usually, it is well tolerated. MRI
Fig. 6 Axial (a) and coronal (b) reformatted T1-weighted gradient
echo, axial FLAIR (c), and coronal T2-weighted images (d) in a
35 year old woman with chorea–acathocytosis. First manifestation of
the disease were epileptic seizures. Later on, the patient also developed
chorea and facial dyskinesias. MR images show moderate caudate
head atrophy (a, b: arrows) with some enlargement but without
ballooning of the anterior horns. Caudate head and putaminal atrophy
can be easily missed on visual inspection but are highlighted by
volumetric MRI analysis (d, e) (Huppertz et al. 2008). Courtesy of
Huppertz HJ, Swiss Epilepsy Centre, Zurich, Switzerland
Other Epilepsy-Associated Diseases and Differential Diagnoses 253
Fig. 7 ‘‘Reversible’’ splenium
lesions: non space-occupying
cytotoxic edema within the center
of the splenium after antiepileptic
drug withdrawl for presurgical
evaluation (a–d: arrow) and
due to lymphocytic encephalitis
(e, f: arrow), respectively
254 H. Urbach
changes have occasionally been described and consist of
bilateral symmetric lesions with usually reversible cytotoxic
edema in the thalami, tegementum of the midbrain, globi
pallidi, and dentate nuclei. Despite these changes, patients are
usually asymptomatic (Iyer et al. 2011; Simao et al. 2011;
Pearl et al. 2009).
No specific MRI changes have been described for the
newer AED including Levetiracetam, Lamotrigine, Topir-
amate, and Gabapentin.
References
Al-Asmi A, Jansen AC, Badhwar A et al (2005) Familial temporal
lobe epilepsy as a presenting feature of choreoacanthocytosis.
Epilepsia 46:1256–1263
Arai M, Osaka H (2011) Acute leukoencephalopathy possibly induced
by phenytoin intoxication in an adult patient with methylenete-
trahydrofolate reductase deficiency. Epilepsia 52:e58–e61
Bader B, Vollmar C, Ackl N, Ebert A, la Fougere C, Noachtar S,
Danek A (2011) Bilateral temporal lobe epilepsy confirmed with
intracranial EEG electrodes in chorea–acanthocytosis. Seizure
20:340–342
Bartsch T, Deuschl G (2010) Transient global amnesia: functional
anatomy and clinical implications. Lancet Neurol 9(2):205–214
Bartsch T, Alfke K, Stingele R, Rohr A, Freitag-Wolf S, Jansen O,
Deuschl G (2006) Selective affection of hippocampal CA-1
neurons in patients with transient global amnesia without long-
term sequelae. Brain 129(Pt 11):2874–2884
Bilo L, Meo R, Ruosi P, de Leva MF, Striano S (2009) Transient
epileptic amnesia: an emerging late-onset epileptic syndrome.
Epilepsia 50(Suppl 5):58–61
Brownell B, Hughes JT (1962) The distribution of plaques in the
cerebrum in multiple sclerosis. J Neurol Neurosurg Psychiatry
25:315–320
Butler CR, Graham KS, Hodges JR, Kapur N, Wardlaw JM, Zeman
AZ (2007) The syndrome of transient epileptic amnesia. Ann
Neurol 61:587–598
Butler CR, Bhaduri A, Acosta-Cabronero J, Nestor PJ, Kapur N,
Graham KS, Hodges JR, Zeman AZ (2009) Transient epileptic
amnesia: regional brain atrophy and its relationship to memory
deficits. Brain 132(Pt 2):357–368
Calabrese M, De Stefano N, Atzori M et al (2008) Extensive cortical
inflammation is associated with epilepsy in multiple sclerosis.
J Neurol 255(4):581–586
Della Marca G, Dittoni S, Pilato F, Profice P, Losurdo A, Testani
E. Colicchio S, Gnoni V, Colosimo C, Di Lazzaro V (2010) Teaching
neuroimages: transient epileptic amnesia. Neurology 75(10):e47–e48
Dobson-Stone C, Velayos-Baeza A, Filippone LA et al (2004) Chorein
detection for the diagnosis of chorea–acanthocytosis. Ann Neurol
56:299–302
Echlin F, Battista J (1963) Epileptiform seizures from chronic isolated
cortex. Arch Neurol 9:154–170
Evans MD, Shinar R, Yaari R (2011) Reversible dementia and gait
disturbance after prolonged use of valproic acid. Seizure
20(6):509–511
Fisher CM, Adams RD (1964) Transient global amnesia. Acta Neurol
Scand 40:1–83
Freemann JL, Coleman LT, Smith LJ, Shield LK (2002) Hemicon-
vulsion–hemiplegia–epilepsy syndrome: characteristic early mag-
netic resonance imaging findings. J Child Neurol 17:10–16
Gastaut H, Poirier F, Payan H, Salamon G, Toga M, Vigoroux M
(1960) H.H.E. syndrome; hemiconvulsions, hemiplegia, epilepsy.
Epilepsia 1:418
Geurts JJ, Bo L, Pouwels PJ et al (2005) Cortical lesions in multiple
sclerosis: combined postmortem MR imaging and histopathology.
AJNR 26:572–577
Grubben B, De Jonghe P, Cras P, Demey HE, Parizel PM (2004)
Valproate-induced hyperammonemic encephalopathy: imaging
findings on diffusion-weighted MRI. Eur Neurol 52(3):178–181
Hamer HM, Dodel R, Strzelczyk A, Balzer-Geldsetzer M, Reese JP,
Schöffski O, Graf W, Schwab S, Knake S, Oertel WH, Rosenow F,
Kostev K (2012) Prevalence, utilization, and costs of antiepileptic
drugs for epilepsy in Germany—a nationwide population-based
study in children and adults. J Neurol 2012 Apr 28 [Epub ahead
of print]
Huppertz HJ, Kröll-Seger J, Danek A, Weber B, Dorn T, Kassubek J
(2008) Automatic striatal volumetry allows for identification of
patients with chorea–acanthocytosis at single subject level. J Neural
Transm 115:1393–1400
Fig. 8 Sequelae of long-lasting phenytoin therapy in a 38 year old
woman who presented with epileptic seizures 22 years ago and was
taking phenytoin since this time. Marked cerebellar atrophy (b, c:
arrows) and distinct cranial vault thickening (a, b: hollow arrows) are
distinct imaging features
Other Epilepsy-Associated Diseases and Differential Diagnoses 255
Iyer RS, Chaturvedi A, Pruthi S, Khanna PC, Ishak GE (2011)
Medication neurotoxicity in children. Pediatr Radiol 41:1455–1464
Jokeit H, Okujava M, Woermann FG (2001) Carbamazepine reduces
memory induced activation of mesial temporal lobe structures: a
pharmacological fMRI-study. BMC Neurol 18:1–6
Jung HH, Danek A, Walker RH (2011) Neuroacanthocytosis syn-
dromes. Orphanet J Rare Dis 6:68
Kallenberg K, Dehnert C, Dörfler A, Schellinger PD, Bailey DM,
Knauth M, Bärtsch PD (2008) Microhemorrhages in nonfatal high-
altitude cerebral edema. J Cereb Blood Flow Metab 28:1635–1642
Kapur N (1993) Transient epileptic amnesia—a clinical update and a
reformulation. J Neurol Neurosurg Psychiat 56:1184–1190
Kelley BJ, Rodriguez M (2009) Seizures in patients with multiple
sclerosis: epidemiology, pathophysiology and management. CNS
Drugs 23:805–815
Kim SS, Chang KH, Kim ST et al (1999) Focal lesion in the splenium
of the corpus callosum in epileptic patients: antiepileptic drug
toxicity? AJNR Am J Neuroradiol 20:125–129
Laxer KD, Robertson LT, Julien RM, Dow RS (1980) Phenytoin:
relationship between cerebellar function and epileptic discharges.
Adv Neurol 27:415–427
Lebrun C (2006) Epilepsy and multiple sclerosis. Epileptic Disord
8:555–558
Luef G, Chemelli A, Birbamer G, Aichner F, Bauer G (1994)
Phenytoin overdosage and cerebellar atrophy in epileptic patients:
clinical and MRI findings. Eur Neurol 34(Suppl 1):79–81
Nakada T, Kwee IL, Fujii Y, Knight RT (2005) High-field,
T2-reversed MRI of the hippocampus in transient global amnesia.
Neurology 64:1170
Nelles M, Bien CG, Kurthen M, von Falkenhausen M, Urbach H
(2006) Transient splenium lesions in presurgical epilepsy patients:
incidence and pathogenesis. Neuroradiology 48:443–448
Nicholas JM, Ridsdale L, Richardson MP, Ashworth M, Gulliford MC
(2012) Trends in antiepileptic drug utilisation in UK primary care
1993–2008: Cohort study using the General Practice Research
Database. Seizure 21(6):466–470
Nicoletti A, Sofia V, Biondi R et al (2003) Epilepsy and multiple
sclerosis in Sicily: a population-based study. Epilepsia 44:
1445–1448
Nyquist PA, Cascino GD, Rodrigue M (2001) Seizures in patients with
multiple sclerosis seen at Mayo Clinic, Rochster, Minn,
1990–1998. Mayo Clin Proc 76:983–986
Nyquist PA, Cascino GD, McClelland RL et al (2002) Incidence of
seizures in patients with multiple sclerosis: a population-based
study. Mayo Clin Proc 77:910–912
Olafsson E, Benedikz J, Hauser WA (1999) Risk of epilepsy in
patients with multiple sclerosis: a population-based study in
Iceland. Epilepsia 40:745–747
Pearl PL, Vezina LG, Saneto RP et al (2009) Cerebral MRI
abnormalities associated with vigabatrin therapy. Epilepsia
50:184–194
Schaffer AJ (1927) The etiology of infantile acquired hemiplegia. Arch
Neurol Psychiatry 18:323
Scheid R, Bader B, Ott DV, Merkenschlager A, Danek A (2009)
Development of mesial temporal lobe epilepsy in chorea–acantho-
cytosis. Neurology 73:1419–1422
Sedlaczek O, Hirsch JG, Grips E, Peters CNA, Gass A, Wöhrle J,
Hennerici M (2004) Detection of delayed focal MR changes in the
lateral hippocampus in transient global amnesia. Neurology
62:2165
Simao GN, Zarei Mahmoodabadi S, Snead OC, Go C, Widjaja E
(2011) Abnormal axial diffusivity in the deep gray nuclei and
dorsal brain stem in infantile spasm treated with vigabatrin. AJNR
Am J Neuroradiol 32:199–203
Specht U, May TW, Rohde M, Wagner V, Schmidt RC, Schütz M,
Wolf P (1997) Cerebellar atrophy decreases the threshold of
carbamazepine toxicity in patients with chronic focal epilepsy.
Arch Neurol 54(4):427–431
Velayos-Baeza A, Vettori A, Copley RR, Dobson-Stone C, Monaco
AP (2004) Analysis of the human VPS13 gene family. Genomics
84:536–549
Viveiros CD, Alvarenga RM (2010) Prevalence of epilepsy in a case
series of multiple sclerosis patients. Arq Neuropsiquiatr 68:731–
736
Zeman AZ, Boniface SJ, Hodges JR (1998) Transient epileptic
amnesia: a description of the clinical and neuropsychological
features in 10 cases and a review of the literature. J Neurol
Neurosurg Psychiatry 64:435–443
256 H. Urbach
Postsurgical MRI
Marec von Lehe and Horst Urbach
Contents
1 Extended Lesionectomy ...................................................... 257
1.1 Indications.............................................................................. 257
1.2 Surgical Techniques .............................................................. 257
1.3 Imaging .................................................................................. 257
2 Amygdalohippocampectomy and Anterior Temporal
Lobectomy ............................................................................ 258
2.1 Indications.............................................................................. 258
2.2 Surgical Techniques .............................................................. 258
2.3 Imaging .................................................................................. 260
3 Functional Hemispherectomy or Hemispherotomy......... 260
3.1 Indications.............................................................................. 260
3.2 Surgical Techniques .............................................................. 261
3.3 Imaging .................................................................................. 263
4 Corpus Callosotomy ............................................................ 263
4.1 Indications.............................................................................. 263
4.2 Surgical Technique................................................................ 264
4.3 Imaging .................................................................................. 264
5 Multiple Subpial Transsections.......................................... 265
5.1 Indications.............................................................................. 265
5.2 Surgical Technique................................................................ 265
5.3 Imaging .................................................................................. 265
References...................................................................................... 265
Abstract
The goal of the surgical procedure is to resect or
disconnect the epileptogenic area, defined as the cortex
area indispensable for the generation of seizures. The
epileptogenic area is—among others and, depending on
the pathological substrate of the lesion—often larger
than the epileptogenic lesion itself, so that extended
lesionectomy (e.g., with a 5–10-mm rim of perilesional
tissue) is performed. Several standardized neurosurgical
procedures have been developed and refined to date.
1 Extended Lesionectomy
1.1 Indications
Focal epilepsy caused by a cortical lesion is a heterogeneous
group of disorders that arises from a variety of pathologies
and from different anatomical areas. The presurgical workup
determines the focal origin (a critical prerequisite) and the
resection strategy. In addition to the evaluation of clinical
parameters, different imaging modalities are applied; in some
cases, an invasive workup with implanted electrodes is nec-
essary. In each case, the spatial relationship of the lesion to
eloquent cortex areas is the most important parameter influ-
encing the surgical strategy (Schramm and Clusmann 2008).
The decision making is—as always in epilepsy sur-
gery—a multidisciplinary process and at the end results in
the best possible counseling of the patient about the benefits
(chance of freedom from seizures) and risks (neurological
and neuropsychological deficits).
1.2 Surgical Techniques
The aim of epilepsy surgery is to resect as much tissue as
deemed necessary to provide complete seizure relief with-
out causing unacceptable permanent neurological damage.
M. von Lehe
Department of Neurosurgery, University of Bonn, Bonn,
Germany
H. Urbach (&)
Department of Neuroradiology, University Hospital Freiburg,
Germany
e-mail: horst.urbach@uniklinik-freiburg.de
H. Urbach (ed.), MRI in Epilepsy, Medical Radiology. Diagnostic Imaging,
DOI: 10.1007/174_2012_775, Ó Springer-Verlag Berlin Heidelberg 2013
257
The typical extended lesionectomy includes a 5–10-mm rim
of ‘‘unaffected tissue.’’ In some cases of well-circumscribed
lesions (e.g., focal cortical dysplasia type IIB), just a pure
lesionectomy without extension (but possibly combined
with MST; see below) is feasible due to the close rela-
tionship with eloquent cortex areas.
Principles of the resection are independent of the
pathology or location and can be done even in highly elo-
quent areas with adequate safety (von Lehe et al. 2009).
After identification of the area to be removed (neuronavi-
gation, electrocorticography, and results of invasive EEG
are determinants), the subpial removal of the gray matter is
performed. The sulci with the passing vascular structures
are carefully preserved as well as the surrounding cortical
areas, as such injury may cause neurological deficits or
seizures itself. The removal of underlying white matter will
not improve seizure control and may cause deficits due to
injury to passing fibers.
In neocortical temporal lesionectomies, an extension
may include the resection of the mesial structures (hippo-
campus, amygdala), depending on the presurgical workup.
1.3 Imaging
The extent of resection should be ideally controlled with
postsurgical MRI. The goal is to prove the complete
resection of the lesion, to exclude surgical complications,
and to serve as the base for follow-up MRI imaging in case
neoplastic lesions occur. If there are no clinical reasons for
immediate postsurgical MRI, it is ideally performed about
3 months after surgery, when acute surgery-related changes
have regressed (See Fig. 1).
2 Amygdalohippocampectomy
and Anterior Temporal Lobectomy
2.1 Indications
Mesial temporal lobe epilepsy is the most frequent form of
refractory focal epilepsy, and hippocampal sclerosis is the
typical underlying histopathological substrate. In addition to
extended lesionectomies in the temporal lobe, there are so-
called standard resections, such as the anterior temporal
lobectomy and the selective amygdalohippocampectomy.
With improved imaging techniques and more experience in
presurgical workup, limited surgical strategies have evolved
over the last decades (Clusmann et al. 2002, 2006). Never-
theless, standard temporal lobectomy is still used in many
centers to resect the epileptogenic focus.
2.2 Surgical Techniques
The classic temporal lobectomy (‘‘two-third anterior lobec-
tomy’’) usually combines neocortical resection with removal
of the mesial structures (Nayel et al. 1991). The typical length
of the resection from the temporal pole is 5.5 cm in the
nondominant hemisphere and 4.5 cm in the dominant
hemisphere. Usually, the surgical technique comprises two
steps: First, the neocortical block and the underlying white
matter are removed, with subsequent opening of the temporal
horn of the lateral ventricle. After that, mesial structures
(uncus, amygdala, hippocampus, and parahippocampal
gyrus) are removed by subpial dissection (Fig. 2).
Fig. 1 Lesionectomy of an FCD IIB of the right postcentral gyrus. a shows a bottom of sulcus dysplasia with the funnel-shaped hyperintensity
tapering to the lateral ventricle (a arrow), b and c the resection cavity. Arrows in c point to the hand knobs of the precentral gyri
258 M. von Lehe and H. Urbach
Many variations of the surgical steps have been described.
A well-known variant is the ‘‘Spencer technique,’’ with limited
anteriorneocorticalresectionforaccesstothemesialstructures
(‘‘one-third anterior lobectomy’’) (Spencer et al. 1984).
With clear-cut temporomesial seizure onset, a limited
mesial resection without the removal of neocortical struc-
tures is appropriate. Strictly speaking, the selective amy-
gdalohippocampectomy comprises removal of the head and
body of the hippocampus, amygdala, uncus, and parahip-
pocampal gyrus.
Yasargil et al. introduced the widely applied transsylvian
approach (Yasargil et al. 1985). It comprises the followings
steps: pterional craniotomy approximately 5 cm in diame-
ter; microsurgical dissection of the Sylvian fissure
(2.5–3 cm); entering the inferior circular sulcus to approach
the temporal horn of the lateral ventricle through the tem-
poral stem with the choroid plexus as landmark for orien-
tation; resection of the mesial structures (see above); the
area of the maximum brain stem diameter is the intended
dorsal resection border (Figs. 3, 4).
Olivier introduced the transcortical approach, in which
the route to the temporal horn is different: A 3-cm crani-
otomy is centered on the projection of the middle temporal
gyrus. After a 2-cm corticotomy, the temporal horn is
approached through the white matter with the aid of neu-
ronavigation (Olivier 2000).
Another approach is the subtemporal approach, in which
the route to the temporal horn is from the base of the temporal
lobe (Hori et al. 1993; Thudium et al. 2010) (Fig. 5).
The rationale behind selective approaches as compared
to (anterior) temporal lobectomies is to achieve similar
seizure freedom rates while minimizing neuropsychological
deficits. It has been shown that seizure freedom rates are
comparable between selective amygdalohippocampecto-
mies and anterior temporal lobectomies, and sparing non-
lesional tissue is beneficial for the neuropsychological
outcome. Verbal memory deficits are common after left-
sided surgery and visual memory deficits after right-sided
surgery (2008, 2011a, von Rhein et al. 2012). Interestingly,
the resection length of the hippocampus (2.5 cm compared
to 3.5 cm) is not relevant for the seizure outcome, but
longer resections are associated with a poorer memory
outcome (Hemstaedter et al. 2011b).
Another concern after all types of temporal resection is
postoperative visual field deficits caused by intraoperative
damage or ischemia of parts of the optic radiation. The
anterior part of the optic radiation (‘‘Meyer’s loop’’) runs
around the temporal horn, shows some interindividual vari-
ation, and is likely damaged when approaching the temporal
horn before resecting the amygdala, hippocampus, and
parahippocampal gyrus (Yeni et al. 2008; Renowden et al.
1995; Ebeling and Reulen 1988; Sincoff et al. 2004; Thudium
et al. 2010). Even in seizure-free patients, visual field defects
may prevent driving and thus diminish quality of life. Despite
the more selective nature of selective amygdalohippocamp-
ectomy, significant visual field defects such as incomplete or
even complete quadrantanopia have been described in up to
37 % (Yeni et al. 2008) and even 53 % (Renowden et al.
1995) of cases. With the subtemporal approach and a more
basal entry into the temporal horn, more optical track fibers
are likely spared, leading to a reduced rate of significant
visual field defects (Thudium et al. 2010).
Fig. 2 Anterior temporal lobectomy in a 19 year old patient MRI-
negative patient. ( A: sagittal 1 mm thick T1-weighted gradient echo,
B: axial 2 mm thick FLAIR, C: coronal 2 mm thick T2-weighted
image). The patient was operated following intrahippocampal depth
and subdural electrode implantation. Histology was unrevealing, but
the patient is seizure free 2 years after surgery. MRI at this time
showed a 5.5 cm measuring resection cavity on the right side including
amygdala and hippocampal resection
Postsurgical MRI 259
2.3 Imaging
MRI is performed to prove the extent of resection (removal
of the amygdala, removal of the hippocampus with the
maximum brain stem diameter as the intended dorsal
resection border, removal of the parahippocampal gyrus).
Sometimes small infarcts of perforating arteries arising
from the posterolateral or anterior choroidal or from thala-
mogeniculate arteries, branches of the P2 segment of the
posterior cerebral artery, are found (Fig. 6). Usually, these
small infarcts cause (sometimes transient) neurological
deficits.
MRI signal intensity changes adjacent to the approach
are labeled ‘‘collateral changes’’ (Figs. 3, 4). It has been
shown that these changes are correlated with memory
decline, particularly verbal learning and recognition deficits
(Helmstaedter et al. 2003).
3 Functional Hemispherectomy
or Hemispherotomy
3.1 Indications
A functional hemispherectomy, or hemispherotomy, is
indicated when congenital or early acquired unilateral
lesions of the entire or major parts of a hemisphere are
associated with severe, medically intractable seizures.
Typical lesions are congenital or early acquired hemi-
spheric infarcts (mostly MCA) with large porencephalic
lesions, Rasmussen encephalitis, hemimegalencephaly,
large hemispheric dysplasias, and Sturge–Weber disease.
The chance of seizure freedom following hemispheric
surgery depends on the etiology and can be as high as 95 % in
patients with porencephalic lesions (Schramm et al. 2012).
Fig. 3 Selective amygdalohippocampectomy (sAH) via a transsyl-
vian approach. a shows a left-sided hippocampal sclerosis (open
arrow), b–f the resection cavity 1 year following surgery. Amygdala,
hippocampus, and parahippocampalis have been removed; some
‘‘collateral damage’’ with gliosis along the superior temporal gyrus
is best visible on coronal slices (b, f arrows)
260 M. von Lehe and H. Urbach
Whether a preexisting hemiparesis will deteriorate postoper-
atively mainly depends on the timing of the insult and the
preoperative motor capacity. If the lesion is acquired very
early (fetal, perinatal), it is assumed that ipsilateral cortico-
spinal fibers compensate for the loss of motor function. If the
patient is able to perform fine finger movements (e.g., pincer
movement), pure ipsilateral innervation is unlikely and
hemiparesis—mainly hand function—is likely to deteriorate.
If not preexisting, patients always acquire homonymous
hemianopia.
Presurgical workup proves the unilateral seizure onset
and in patients with advanced language development con-
tralateral speech representation. After early left hemispheric
damage, language areas will be transferred to the healthy
hemisphere; in case of later disease onset (e.g., Rasmussen
encephalitis), fMRI or a Wada test is required.
3.2 Surgical Techniques
Anatomical hemispherectomy was first performed by
Dandy in 1928 for the treatment of gliomas and by
McKenzie in 1938 for the treatment of epilepsy. Due to
severe short- and long-term mortality, the hemispheric
surgery became less and less resective and more and more
disconnective (Rasmussen 1983). Apart from intraoperative
blood loss, the major concerns were early and late hydro-
cephalic complications. Modern hemispherotomy tech-
niques almost exclusively disconnect the affected
hemisphere without leaving large resection cavities behind
(Villemure and Daniel 2006; Delalande et al. 2007; Sch-
ramm et al. 2012).
Rasmussen developed a technique called ‘‘functional
hemispherectomy’’ with resection of the central cortex and
Fig. 4 Selective amygdalohippocampectomy (sAH) via a subtempo-
ral approach. a and b show a left sided hippocampal sclerosis (open
arrow), c-f the resection cavity one year following surgery. Amygdala,
hippocampus and parahippocampal gyrus have been removed, the
subtemporal ,,window‘‘ is marked with lines (d, e). Some ,,collateral
damage‘‘ with gliosis is visible at the base of the temporal lobe
(f: arrows) Note secondary atrophy of the left mamillary body when
comparing its size pre and post surgery (b, c: arrow)
Postsurgical MRI 261
temporal lobectomy combined with callosotomy and dis-
connection of the frontal and parieto-occipital brain
(Rasmussen 1983). Villemure described a perisylvian
technique with resection of the frontal and temporal
opercula and underlying white matter, disconnection of the
frontobasal white matter, mesial disconnection through the
corpus callosum, and temporomesial disconnection with
resection of the amygdala and anterior hippocampus
(Villemure and Mascott 1995). Delalande introduced a
vertical parasagittal approach with opening of the roof of
the lateral ventricle, callosotomy, anterior disconnection
through the frontobasal white matter, and disconnection of
the insular cortex and hemispheric white matter by dis-
section from the lateral ventricle through the lateral parts
of the basal ganglia block to the mesial aspect of the
temporal lobe (Delalande et al. 1992). Schramm introduced
a transsylvian transventricular approach consisting of the
following steps: transsylvian exposure of the insular cortex;
resection of amygdala and hippocampus; opening of the
lateral ventricle through the circular sulcus of the insula
from the tip of the temporal horn to the tip of the frontal
horn; frontobasal disconnection along the anterior cerebral
Fig. 5 A 29 year old man complained of right-sided ,,pain‘‘ of the
body and face following left-sided subtemporal amygdalohippocam-
ectomy. MRI (a: axial 5 mm DWI slice, b-c: coronal 3 mm FLAIR
slices) shows an acute thalamus infact likely due to injury of the
thalamogeniculate arteries arising from the P2-sgement of the
posterior cerebral artery
Fig. 6 Schematic approaches
for selective
amgydalahippocamepctomy:
transsylvian apporach (blue),
trancortical approach with
corticotomy of the medial
temporal gyrus (red), and
subtemporal approach (green)
262 M. von Lehe and H. Urbach
artery; transventricular callosotomy; resection of the insular
cortex (Schramm et al. 1995).
3.3 Imaging
Postoperative MRI is performed in order to prove the com-
pleteness of the disconnection of the whole hemisphere along
the intended route (Fig. 7). The seizure outcome might be
worse if cortical areas are still connected (e.g., critical areas
like the frontobasal or insular cortex). The above-mentioned
modern disconnective techniques avoid larger resections so
that the postoperative MRI shows intact cortical and sub-
cortical structures. Larger disconnected ischemic areas may
lead to brain swelling with a midline shift but remain without
any effect on the seizure outcome postoperatively. Some-
times early hydrocephalic complications may occur due to
the large opening of the ventricular system.
Depending on the surgical technique, the rate of late
postoperative hydrocephalus is up to 20 %. Resective pro-
cedures have a significant higher rate of hydrocephalic
complications and shunt rates. Some patients may show
traction of midline structures into the disconnected and
atrophic hemisphere in midterm follow-up and may be a
reason for headaches.
4 Corpus Callosotomy
4.1 Indications
Corpus callosotomy is a palliative procedure for patients with
intractable focal epilepsy who are not suitable for resective
surgery. The rationale for the disconnecting procedure is to
prevent the fast spread of epileptic activity from one hemi-
sphere to the other. Uncontrolled generalized epilepsy with
Fig. 7 Schematic drawing
(a) and an example (b-d) of a
transsylvian, transventricular
functional hemispherotomy
according to Schramm. A 50 year
old woman with secondarily
generalized seizures since early
childhood showed a right
hemispheric porencephalic defect
(pre-operative MRI not shown).
Functional hemispherotomy
comprised the following steps:
Transsylvian approach. Resection
of the temporo-mesial structures
including amygdala and
hippocampus (a: circle).
Transcortical access to the
ventricular system along the
circular sulcus of the insula from
the tip of the temporal horn to the
tip of the frontal horn (a: long
stripes), preserving the branches
of the middle cerebral artery.
Fronto-basal disconnection along
the anterior cerebral artery
(a: short stripe, d: arrow).
Transventricular callosotomy
following the pericallosal artery
(b: arrows). Completion of the
disconnection from the trigone
following the outline of the
falco-tentorial border to the
temporo-mesial resection cavity
(c: arrow). Resection of the
insular cortex
Postsurgical MRI 263
atonic or tonic seizures originating in one hemisphere
(‘‘drop-attacks’’) with a high risk of injury often responds
well in terms of reduced generalized seizure frequency. Most
patients are categorized as having Lennox-Gastaux syn-
drome. Only a few patients become completely seizure-free
after surgery (Cukiert et al. 2006), and sometimes severe side
effects, such as a disconnection syndrome, occur. Due to
modern antiepileptic drug medication and the use of vagal
nerve stimulators, callosotomy is only rarely performed to
date but still has its place in desolate seizure situations.
4.2 Surgical Technique
After dissection of the interhemispheric cleft with preser-
vation of the interhemispheric arteries and bridging veins,
the complete callosum should be exposed for anatomic
orientation. The white matter of the callosum is the visual
guide of the disconnective step of the procedure until the
ependym is visible. Neuronavigation is a very helpful
adjunct to define the posterior border of the callosotomy.
Here, the vein of Galen will be visualized after transecting
the splenium.
In some centers a staged approach was developed with
an anterior callosotomy (two-thirds) performed as first step.
If this fails to improve seizure control, complete discon-
nection is performed (Spencer and Spencer 1989). Different
radiosurgical approaches have been published in the last
decade (Pendl et al. 1999).
4.3 Imaging
Postoperative MRI is performed in order to prove the extent
of the disconnection (two-thirds or complete) (Fig. 8).
Hydrocephalus may be present as a complication due to
Fig. 8 Posterior callosotomy in a 15 year old boy with bilateral
posterior parasagittal ulegyria, a hypoxic ischemic encephalopathy
often due to neonatal hypoglycemia. The goal of callosotomy was to
prevent atonic seizures induced by rapid epileptic discharges
propagating from hemisphere to the other. The extent of callosal
removal is assessed on sagittal T1-weighted images (a: lines).
Posterior parasagittal ulegyria shows shrunken and gliotic gyri,
enlarged sulci, white matter gliosis and volume loss (b-f)
264 M. von Lehe and H. Urbach
intraventricular blood; deep vein thrombosis has been
reported as a rare complication.
5 Multiple Subpial Transsections
5.1 Indications
Multiple subpial transsections (MST) are a disconnective
procedure, introduced by Morrell and co-workers, to treat
focal epilepsy in ‘‘unresectable’’ eloquent cortex (Morrell
et al. 1989). The procedure is based upon experimental
evidence indicating that epileptogenic discharge requires
substantial side-to-side or horizontal interaction of cortical
neurons and that the major functional properties of cortical
tissue depend upon the vertical fiber connections of the
columnar units. MST are mostly combined with resective
surgery near eloquent cortex (Spencer et al. 2002). The
effect on seizure outcome as a standalone procedure is
measurable and may be considered as palliative surgery
(Schramm et al. 2002).
Some authors propose MST in children with Landau-
Kleffner syndrome, but the results are variable (Cross and
Neville 2009).
5.2 Surgical Technique
The cortical area for MST is defined anatomically (neuro-
navigation is essential) and/or electrophysiologically with
intraoperative eletrocorticography. The subpial transsec-
tions are performed with specially designed knives (Morrell
et al. 1989). After a small pial opening, intragriseal inci-
sions spaced at 5-mm intervals are placed over the crown of
the cortical gyri, perpendicular to the long axis of the
respective gyrus. MST (and cortical resection) are guided
by repeated eletrocorticography. Morrell et al. used awake
craniotomy for functional mapping in some patients.
5.3 Imaging
On MRI, subpial transsections are displayed as thin strips
isointense to CSF that are oriented perpendicularly to the
cortical surface (Fig. 9).
References
Clusmann H, Kral T, Schramm J (2006) Present practice and
perspective of evaluation and surgery for temporal lobe epilepsy.
Zentralbl Neurochir 67(4):165–182
Clusmann H, Schramm J, Kral T et al (2002) Prognostic factors and
outcome after different types of resection for temporal lobe
epilepsy. J Neurosurg 97(5):1131–1141
Cross JH, Neville BG (2009) The surgical treatment of Landau–
Kleffner syndrome. Epilepsia 50(Suppl 7):63–67
Cukiert A, Burattini JA, Mariani PP et al (2006) Extended, one-stage
callosal section for treatment of refractory secondarily generalized
epilepsy in patients with Lennox–Gastaut and Lennox-like syn-
dromes. Epilepsia 47(2):371–374
Delalande O, Bulteau C, Dellatolas G et al (2007) Vertical parasagittal
hemispherotomy: surgical procedures and clinical long-term out-
comes in a population of 83 children. Neurosurgery 60(2 Suppl
1):ONS19–ONS32
Delalande O, Pinard JM, Basdevant C et al (1992) Hemispherotomy: a
new procedure fro central disconnection. Epilepsia 33(Suppl3):
99–100
Ebeling U, Reulen HJ (1988) Neurosurgical topography of the optic
radiation in the temporal lobe. Acta Neurochir (Wien) 92:29–36
Egan RA, Shults WT, So N et al (2000) Visual field deficits in
conventional anterior temporal lobectomy versus amygdalohippo-
campectomy. Neurology 55:1818–1822
Fig. 9 Multiple subpial transsections in a 26 year old woman with a
subtotally resected FCD IIB of the left parietal lobe extending into
the prescentral gyrus (c: open arrow). The subpial transsections are
visualized as thin stripes in the postcentral gyrus which are isointense
to CSF and oriented perpendicular to the cortical surface (a-c:
arrows)
Postsurgical MRI 265
Helmstaedter C, Petzold I, Bien CG (2011a) The cognitive conse-
quence of resecting nonlesional tissues in epilepsy surgery—results
from MRI- and histopathology-negative patients with temporal
lobe epilepsy. Epilepsia 52(8):1402–1408
Helmstaedter C, Van Roost D, Clusmann H et al (2004) Collateral
brain damage, a potential source of cognitive impairment after
selective surgery for control of mesial temporal lobe epilepsy.
J Neurol Neurosurg Psychiatry 75:323–326
Helmstaedter C, Richter S, Röske S et al (2008) Differential effects of
temporal pole resection with amygdalohippocampectomy versus
selective amygdalohippocampectomy on material-specific memory
in patients with mesial temporal lobe epilepsy. Epilepsia
49(1):88–97
Helmstaedter C, Roeske S, Kaaden S et al (2011b) Hippocampal
resection length and memory outcome in selective epilepsy
surgery. J Neurol Neurosurg Psychiatry 82(12):1375–1381
Helmstaedter C, Van Roost D, Clusmann H et al (2004) Collateral
brain damage, a potential source of cognitive impairment after
selective surgery for control of mesial temporal lobe epilepsy.
J Neurol Neurosurg Psychiatry 75:323–326
Hori T, Tabuchi S, Kurosaki M, et al (1993) Subtemporal amygdalo-
hippocampectomy for treating medically intractable temporal lobe
epilepsy. Neurosurgery 33:50–56 (discussion 56–57)
Morrell F, Whisler WW, Bleck TP (1989) Multiple subpial transec-
tion: a new approach to the surgical treatment of focal epilepsy.
J Neurosurg 70(2):231–239
Nayel MH, Awad IA, Luders H (1991) Extent of mesiobasal resection
determines outcome after temporal lobectomy for intractable
complex partial seizures. Neurosurgery 29(1):55–60
Olivier A (2000) Transcortical selective amygdalohippocampectomy
in temporal lobe epilepsy. Can J Neurol Sci 27(Suppl 1):S68–S76
(discussion S92–S66)
Pendl G, Eder HG, Schroettner O, Leber KA (1999) Corpus
callosotomy with radiosurgery. Neurosurgery 45(2):303–307
Rasmussen T (1983) Hemispherectomy for seizures revisited. Can J
Neurol Sci 10(2):71–78
Renowden SA, Matkovic Z, Adams CB et al (1995) Selective
amygdalohippocampectomy for hippocampal sclerosis: postopera-
tive MR appearance. AJNR Am J Neuroradiol 16:1855–1861
Schramm J (2002) Hemispherectomy techniques. Neurosurg Clin
North Am 37:113–134
Schramm J, Aliashkevich AF, Grunwald T (2002) Multiple subpial
transections: outcome and complications in 20 patients who did not
undergo resection. J Neurosurg 97(1):39–47
Schramm J, Behrens E, Entzian W (1995) Hemispherical deafferen-
tiation: an alternative to functional hemipherectomy. Neurosurgery
36:509–516
Schramm J, Kral T, Clusmann H (2001) Transsylvian keyhole
functional hemispherotomy. Neurosurgery 49:891–901
Schramm J, Clusmann H (2008) The surgery of epilepsy. Neurosurgery
62(Suppl 2):463–481
Schramm J, Kuczaty S, Sassen R et al (2012) Pediatric functional
hemispherectomy: outcome in 92 patients. Acta Neurochir (Wien)
154(11):2017–2028
Sincoff EH, Tan Y, Abdulrauf SI (2004) White matter fiber
dissection of the optic radiations of the temporal lobe and
implications for surgical approaches to the temporal horn.
J Neurosurg 101:739–746
Spencer DD, Spencer SS (1989) Corpus callosotomy in the treatment
of medically intractable secondarily generalized seizures of
children. Cleve Clin J Med 56(Suppl Pt 1):S69–S78
Spencer SS, Schramm J, Wyler A et al (2002) Multiple subpial
transection for intractable partial epilepsy: an international meta-
analysis. Epilepsia 43(2):141–145
Spencer DD, Spencer SS, Mattson RH et al (1984) Access to the
posterior medial temporal lobe structures in the surgical treatment
of temporal lobe epilepsy. Neurosurgery 15(5):667–671
Thudium MO, Campos AR, Urbach H, Clusmann H (2010) The basal
temporal approach for mesial temporal surgery: sparing the Meyer
loop with navigated diffusion tensor tractography. Neurosurgery
67:(2 Suppl Operative):385–390
van der Knaap LJ, van der Ham IJ (2011) How does the corpus
callosum mediate interhemispheric transfer? A review. Behav
Brain Res 223(1):211–221
Villemure JG, Daniel RT (2006) Peri-insular hemispherotomy in
paediatric epilepsy. Childs Nerv Syst 22(8):967–981
Villemure JG, Mascott CR (1995) Peri-insular hemispherectomy:
surgical principles and anatomy. Neurosurgery 36:509–516
von Lehe M, Wellmer J, Urbach H et al (2009) Insular lesionectomy
for refractory epilepsy: management and outcome. Brain 132(Pt 4):
1048–1056
von Rhein B, Nelles M, Urbach H et al (2012) Neuropsychological
outcome after selective amygdalohippocampectomy: subtemporal
vs. transsylvian approach. J Neurol Neurosurg Psychiatry 83(9):
887–893
Yasßargil MG, Teddy PJ, Roth P (1985) Selective amygdalo-hippo-
campectomy. Operative anatomy and surgical technique. Adv Tech
Stand Neurosurg 12:93–123
Yeni SN, Tanriover N, Uyanik O et al (2008) Visual field defects in
selective amygdalohippocampectomy for hippocampal sclerosis:
the fate of Meyer’s loop during the transsylvian approach to the
temporal horn. Neurosurgery 63:507–513
266 M. von Lehe and H. Urbach
Index
0-9
10–20 system, 7
A
Acute symptomatic seizures, 207
Acute symptomatic, 25
Agenetic porencephaly, 196
Agyria, 133
Aicardi syndrome, 151, 155
Alobar, 157
Alpers–Huttenlocher syndrome, 227, 234
Ammon’s horn sclerosis, 91
Amobarbital, 54, 55
Amygdalohippocampectomy, 258
Angiocentric glioma, 109, 112, 115
Angiocentric neuroepithelial tumor (ANET), 112, 115, 186
Anterior temporal lobectomy, 258
Antineuronal antibodies, 101
Arteriovenous malformation (AVM), 185
Astrocytomas, 119, 167
Autoimmune-mediated encephalitis, 101
B
Balloon cells, 138–141
Band heterotopia, 147
Bilateral convulsive seizure, 6, 25
Bilateral nodular periventricular heterotopias, 149
Bilateral perisylvian polymicrogryia, 149, 153
Bilateral periventricular, 145
Bilateral periventricular nodular heterotopia, 81
Blood oxygenation level dependent (BOLD), 44
Blood-oxygen-level dependent (BOLD) effect, 46
BPNH, 147
C
CADASIL, 204, 205
Café au lait spots, 168
Callosal agenesis, 148, 151
Callosotomy, 262, 264
Capillary telangiectasias, 190, 191
Carbamazepine, 252
Cavernomas, 181–184
Celiac disease, 239–241
Cerebrofacial arteriovenous metameric syndromes, 185
CHARGE syndrome, 155
Chloral hydrate, 38
Choline-containing compounds (Cho), 58
Chorea-acanthocytosis, 248, 250, 253
Choroid plexus, 167, 168
Chronic progressive external ophtalmoplegia (CPEO), 230, 235
Classic lissencephalies, 131
CMV infections, 196
Cobblestone lissencephalies, 131
Cobblestone (type II) lissencephaly, 137
Cognard classification, 188
Complex DNT variants, 112
Complex partial, 5
Congenital arthrogyposis, 150
Congenital muscular dystrophy, 134
Corpus callosotomy, 263
Corpus callosum agnenesis, 149
Cortical dysplasia, 126, 173
Cranial vault thickening, 255
Cryptogenic epilepsies, 15
Cysticercosis, 212, 215, 217
Cytomegalovirus (CMV), 149, 208
D
Dermoids, 121, 122
Developmental venous anomaly, 184, 188
Diabetes mellitus, 223, 242
Diffuse axonal brain injury, 179
Diffuse axonal injuries, 177, 180
Diffuse gliomas, 118
Double cortex syndrome, 81
Doublecortin (DCX), 133
Drug-resistant, 3
Dual pathology, 60, 68, 94
Dural arteriovenous fistulae, 188
DVAs, 188, 189
Dyke–Davidoff–Masson syndrome, 196, 223
Dyscognitive seizures, 11
Dysembryoplastic neuroepithelial tumours (DNTs), 109, 110, 113
E
Echinococcosis, 215, 216
Electrical stimulation mapping, 43
Electroclinical syndromes, 15, 231
Eloquent cortex, 23
Encephaloclastic porencephaly, 196
Encephalomalacia, 195, 196
H. Urbach (ed.), MRI in Epilepsy, Medical Radiology. Diagnostic Imaging,
DOI: 10.1007/978-3-642-17860-3, Ó Springer-Verlag Berlin Heidelberg 2013
267
Epidermal nevus syndrome, 165, 173
Epidermoid, 120, 121
Epigastric aura, 92
Epilepsia partialis continua, 107, 184, 224
Epileptic encephalopathies, 38
Epileptogenic area, 22
Epileptogenic lesion, 21
Epileptogenic zone, 43
Etomidate, 55
Extended lesionectomy, 258
Extension image, 76
F
FCD IIB, 144
FCDs IIB, 166
FCDs type 1, 138
FCDs type 2, 138
FCD type 2A, 139, 140
FCD type 2B, 138–140, 142, 143, 145
Febrile seizures, 38
Focal cortical dysplasia (FCD), 60, 67, 73, 77, 138
Fowler syndrome, 195
Fukuyama congenital muscular dystrophy, 134
Functional deficit zones, 23, 63
Functional hemispherectomy, 260, 263
G
Gangliogliomas, 109–112
Gelastic seizures, 152
Genetic, 15
Genoa syndrome, 155
Gliomas, 169
Gliomatosis cerebri, 120
Glioneuronal element, 110, 112, 113
Glutamic acid decarboxylase (GAD), 103
Glutaric aciduria type 1, 233
Gluten, 239
Gray matter heterotopia, 81
Gray-white matter demarcation loss, 94, 99, 138, 139, 154
H
Hemiatrophy, 197, 200, 246
Hemiconvulsion–hemiplegia–epilepsy, 245
Hemiconvulsion–hemiplegia–epilepsy syndrome, 247
Hemimegalencephaly, 138, 141, 145–147, 173, 260
Hereditary hemorrhagic telangiectasia (Rendu–Osler–Weber syn-
drome), 185, 190
Herpes simplex 1 encephalitis, 210, 211
Herpes simplex encephalitis, 212
Herpes simplex virus encephalitis, 208
Herpes simplex virus type 1 (HSV-1) encephalitis, 208
Heschl’s gyrus, 11
Heterotopias, 145, 147, 150, 155, 167, 173
Hippocampal sclerosis, 60, 64, 91–93, 209, 246, 261
Holoprosencephaly, 154, 155, 157
HSV-1, 209
HSV-2, 208
Human herpes virus 6 encephalitis, 210
Hydranencephaly, 193–195
Hypomelanosis of Ito, 141, 165, 172, 173
Hypothalamic hamartomas, 152
Hypoxic-ischemic encephalopathy, 198, 199
I
Ictal onset, 63
Ictal onset zone, 64
Ictal SPECT, 64
Idiopathic epilepsies, 15
Incontinentia pigmenti, 173
Incontinentia pigmenti (Bloch–Sulzberger Syndrome), 173
Infantile spasms, 132
Interhemispheric cyst, 151, 155
Irritative area, 23
Isolated lissencephaly (ILS), 132
J
Jacksonian seizure, 11
Junction Image, 74
Juvenile myoclonic epilepsy, 61
K
Kallmann syndrome, 159, 160
Kearns–Sayre syndrome (KSS), 230, 235, 237
L
Landau–Kleffner syndrome, 231
Language fMRI, 46
Leber hereditary optic neuropathy (LHON), 230, 236, 237
Leigh disease, 231, 233
Leigh syndrome, 227
Lennox–Gastaut syndrome, 132, 231, 264
Lesionectomy, 258
Limb girdle muscular dystrophies, 134
Limbic encephalitis, 101, 104, 105
Linear scleroderma (en coup de sabre syndrome), 175
Lines of Blaschko, 173
Lipoid proteinosis (Urbach–Wiethe Syndrome), 175
Lipoproteinosis, 165
Lisch nodules, 169
Lissencephaly, 131, 133, 134
Lobar holoprosencephaly, 157
M
Magnetic field strength B0, 29
Magnetic resonance spectroscopy, 57
Magnetization transfer, 41
Malformations of cortical development (MCD), 60, 64, 66, 126
Megalencephaly, 150
MELAS, 232, 234
Memory fMRI, 47
Meningioangiomatosis, 165, 171, 172
Mesial temporal sclerosis, 91
Methohexital, 55
Meyer’s loop, 259
Microcephaly, 126, 129–132, 147, 148
Microlissencephaly, 126
Middle interhemispheric variant of holoprosencephaly, 157
Mild cortical malformations, 139
Miller–Dieker syndrome, 132
Mitochondrial myopathy, encephalopathy with lactic acidosis and
stroke-like episodes (MELAS), 227
Mitochondrial neurogastrointestinal nencephalomyopathy (MNGIE)
syndrome, 230
Morphometric MRI analysis, 79, 81
268 Index
Mowat–Wilson syndrome, 131
Moya, 171
Moyamoya, 202, 204
MRI negative, 68, 139
Multicystic encephalomalacia, 194
Multiple sclerosis, 248, 251
Multiple subpial transsections (MST), 265
Muscle–eye–brain disease, 134
Myelination, 39, 148, 152, 155
Myoclonic epilepsy and ragged red fibers (MERRF), 227, 234, 235
N
N-acetyl aspartate (NAA), 58, 61
Neurofibromas, 168
Neurofibromatosis type 1, 107, 141, 165, 168, 170
Neuronal ceroid lipofuscinoses (CLN), 61, 238
N-Methyl-D-asparate receptor (NMDAR), 103
Nodular heterotopias (BPNH), 145
Nonketotic hyperglycemia, 240, 242, 243
O
Oligodendrogliomas, 109, 110, 114, 119, 120
Onconeural antibodies, 103
Open-ring sign, 252
Optic nerve, 169
P
Pachygyria, 133, 135, 148, 173
Pallister–Hall syndrome, 152
Pancake, 35
Parry–Romberg syndrome, 175
Perinatal Stroke, 195, 196
Periventricular Leukomalacia, 198, 200, 201
Periventricularintraventricular hemorrhages (PIVH), 193
Phenytoin, 252, 255
Pilocytic astrocytoma, 109, 115–117, 169
Planar curved surface, 35
Pleomorphic astrocytomas (pXAs), 109
Pleomorphic xanthoastrocytoma, 116, 118
POLG1, 234, 236
Polymicrogyria, 81, 148–152, 154, 155, 167
Porencephaly, 193, 195, 196
Port-wine nevus, 166
Positron emission tomography (PET), 63
Precocious puberty, 152
Progressive myoclonic epilepsies, 238
Propofol, 55
Proteus syndrome, 141, 173
Provoked seizure, 26
Pyruvate dehyrogenase complex deficiency, 238
R
Ramussen encephalitis, 107, 175, 219–222, 260
Reduction factor R, 30
Rendu–Osler–Weber syndrome, 185
Reversible splenium lesions, 35, 250, 253
Rule of three, 4
S
Sarcoidosis, 216–218
SBH, 134
Schimmelpfennig–Feuerstein–Mims syndrome, 173
Schizencephaly, 149, 150
Seckel syndrome, 132
Seizure onset zone, 23
Selective amygdalohippocampectomy (sAH), 258–262
Selective Wada tests, 52
Semilobar, 157
Septo-optic dysplasia, 158, 159
Septo-optic dysplasia (De Morsier Syndrome), 158
Shapiro syndrome, 160
Simple partial, 5
Simple variant, 112
Single photon emission computed tomography (SPECT), 63
Single-voxel spectroscopy, 58
Smith–Lemli–Opitz syndrome, 155
Specific absorption rate, 29, 87
Spetzler–Martin classification, 188
Spongious lesions, 169
Status epilepticus, 6
Steroid-responsive encephalopathy associated with autoimmune thy-
roiditis (SREAT), 106
Structural and/or metabolic, 15
Sturge–Weber, 241
Sturge–Weber disease, 260
Sturge–Weber syndrome, 165, 166, 168, 169, 239, 240
Subcortical band heterotopia (SBH), 133, 136
Subcortical heterotopias, 147
Subcortical leukomal, 194
Subcortical leukomalacia, 198, 201
Subependymal giant cell, 167
Subependymal giant cell astrocytoma, 166
Subtemporal, 259, 261, 262
Subtemporal amygdalohippocamectomy, 262
Subtraction ictal SPECT is routinely coregistered with MRI (SIS-
COM), 64
Susceptibility, 30
Symptomatic epilepsies, 15
Symptomatogenic area, 23
Syntelencephaly, 157
Syphillis, 149
Systemic lupus erythematosus, 107
T
Target sign, 212, 214
Thickness image, 76
Todd’s paralysis, 11
TORCH, 207, 208
Toxoplasmosis, 149, 208, 212
Tram-track calcifications, 167, 168
Transcortical, 259, 262
Transient epileptic amnesia, 247
Transient global amnesia (TGA), 247, 249
Transmit/receive head coil, 85, 86
Transsylvian, 259, 260, 262, 263
Tuber cinereum hamartoma, 152, 153, 156
Tuber cinereum, 152
Tuberculosis, 210, 213
Index 269
Tuberous sclerosis, 138, 145, 165, 167
Type 1 lissencephalies, 132
Type 1, 131
Type 2A, 138
Type 2B, 138
Type I lissencephaly, 131
U
Ulegyria, 194, 198, 201
Unprovoked seizure, 26
Urbach–Wiethe syndrome, 174
V
Vagus nerve stimulators, 85
Valproate, 252, 253
Varicella zoster, 149
Versive seizures, 11
Vigabatrin, 253
Voltage-gated potassium channels (VGKC), 103
W
Wada test, 43, 45, 46
Wake-up seizures, 6
Walker–Warburg syndrome (WWS), 134, 137
West syndrome, 201, 231
Wyburn–Mason syndrome, 185
X
X-linked lissencephaly with abnormal genitalia (XLAG), 132
Z
Zabramski, 182, 184, 185
270 Index

Epilepsy mri

  • 2.
    Medical Radiology Diagnostic Imaging SeriesEditors Maximilian F. Reiser Hedvig Hricak Michael Knauth Editorial Board Andy Adam, London Fred Avni, Brussels Richard L. Baron, Chicago Carlo Bartolozzi, Pisa George S. Bisset, Durham A. Mark Davies, Birmingham William P. Dillon, San Francisco D. David Dershaw, New York Sam Sanjiv Gambhir, Stanford Nicolas Grenier, Bordeaux Gertraud Heinz-Peer, Vienna Robert Hermans, Leuven Hans-Ulrich Kauczor, Heidelberg Theresa McLoud, Boston Konstantin Nikolaou, Munich Caroline Reinhold, Montreal Donald Resnick, San Diego Rüdiger Schulz-Wendtland, Erlangen Stephen Solomon, New York Richard D. White, Columbus For further volumes: http://www.springer.com/series/4354
  • 3.
  • 4.
    Editor Horst Urbach Department ofNeuroradiology University Hospital Freiburg Germany ISSN 0942-5373 ISBN 978-3-642-25137-5 ISBN 978-3-642-25138-2 (eBook) DOI 10.1007/978-3-642-25138-2 Springer Heidelberg New York Dordrecht London Library of Congress Control Number: 2013932130 Ó Springer-Verlag Berlin Heidelberg 2013 This work is subject to copyright. All rights are reserved by the Publisher, whether the whole or part of the material is concerned, specifically the rights of translation, reprinting, reuse of illustrations, recitation, broadcasting, reproduction on microfilms or in any other physical way, and transmission or information storage and retrieval, electronic adaptation, computer software, or by similar or dissimilar methodology now known or hereafter developed. Exempted from this legal reservation are brief excerpts in connection with reviews or scholarly analysis or material supplied specifically for the purpose of being entered and executed on a computer system, for exclusive use by the purchaser of the work. Duplication of this publication or parts thereof is permitted only under the provisions of the Copyright Law of the Publisher’s location, in its current version, and permission for use must always be obtained from Springer. Permissions for use may be obtained through RightsLink at the Copyright Clearance Center. Violations are liable to prosecution under the respective Copyright Law. The use of general descriptive names, registered names, trademarks, service marks, etc. in this publication does not imply, even in the absence of a specific statement, that such names are exempt from the relevant protective laws and regulations and therefore free for general use. While the advice and information in this book are believed to be true and accurate at the date of publication, neither the authors nor the editors nor the publisher can accept any legal responsibility for any errors or omissions that may be made. The publisher makes no warranty, express or implied, with respect to the material contained herein. Printed on acid-free paper Springer is part of Springer Science+Business Media (www.springer.com)
  • 5.
    For Rita, Philipp,Vicky, and Oliver And for my parents
  • 6.
    Preface Over the past2 decades MRI has evolved into one of the most powerful tools for studying patients with neurological diseases. For epilepsy patients it is often the key entrance to a work-up which may end with epilepsy surgery and postsurgical seizure freedom. An epileptogenic lesion on MRI is the most important prognostic outcome parameter, but its proper identification is not as obvious. Sometimes lesions are mis- interpreted, sometimes overlooked, and sometimes only identified after postprocessing of adequate imaging data. What is obvious for ‘‘specialists’’ in this field, may be different for those who rarely see these patients in their daily practice. What gets obvious when clinical examination, EEG and MRI are considered together, may remain obscured if these informations are not put together like the pieces of a puzzle. This book has been written in order to illustrate how single pieces (epileptogenic lesions) look like and how they could fit to the patient’s seizures. Epilepsy may be a ‘‘1000 pieces puzzle’’ and you often see only what you know. However, what you have seen once before you may recognize again. In this sense, we have tried to illustrate each lesion with a typical imaging example. Freiburg Horst Urbach vii
  • 7.
    Contents Part I EpilepsyPatients and How to Examine Them Epileptic Seizures and Epilepsy . . . . . . . . . . . . . . . . . . . . . . . . . . . . . . . . . . . . 3 Horst Urbach and Jörg Wellmer Classification of Epileptic Seizures . . . . . . . . . . . . . . . . . . . . . . . . . . . . . . . . . . 5 Horst Urbach and Jörg Wellmer Localization of Focal Seizures . . . . . . . . . . . . . . . . . . . . . . . . . . . . . . . . . . . . . 11 Horst Urbach and Jörg Wellmer Epilepsy Syndromes . . . . . . . . . . . . . . . . . . . . . . . . . . . . . . . . . . . . . . . . . . . . 15 Horst Urbach, Robert Sassen, and Jörg Wellmer The Term ‘‘Epileptogenic Lesion’’ and How to Use it . . . . . . . . . . . . . . . . . . . . 21 Horst Urbach What To Do After a First Seizure? . . . . . . . . . . . . . . . . . . . . . . . . . . . . . . . . . 25 Horst Urbach How to Perform MRI . . . . . . . . . . . . . . . . . . . . . . . . . . . . . . . . . . . . . . . . . . . 29 Horst Urbach MRI of Children . . . . . . . . . . . . . . . . . . . . . . . . . . . . . . . . . . . . . . . . . . . . . . . 37 Robert Sassen and Horst Urbach Functional MRI . . . . . . . . . . . . . . . . . . . . . . . . . . . . . . . . . . . . . . . . . . . . . . . 43 Jörg Wellmer The Wada Test . . . . . . . . . . . . . . . . . . . . . . . . . . . . . . . . . . . . . . . . . . . . . . . . 51 Horst Urbach and Jörg Wellmer Magnetic Resonance Spectroscopy in Chronic Epilepsy . . . . . . . . . . . . . . . . . . 57 Friedrich G. Woermann SPECT and PET. . . . . . . . . . . . . . . . . . . . . . . . . . . . . . . . . . . . . . . . . . . . . . . 63 Wim Van Paesschen, Karolien Goffin, and Koen Van Laere Morphometric MRI Analysis . . . . . . . . . . . . . . . . . . . . . . . . . . . . . . . . . . . . . . 73 Hans-Jürgen Huppertz ix
  • 8.
    Metallic Implants .. . . . . . . . . . . . . . . . . . . . . . . . . . . . . . . . . . . . . . . . . . . . . 85 Horst Urbach and Sebastian Flacke Part II Epileptogenic Lesions Hippocampal Sclerosis. . . . . . . . . . . . . . . . . . . . . . . . . . . . . . . . . . . . . . . . . . . 91 Horst Urbach Limbic Encephalitis. . . . . . . . . . . . . . . . . . . . . . . . . . . . . . . . . . . . . . . . . . . . . 101 Horst Urbach and Christian G. Bien Epilepsy Associated Tumors and Tumor-Like Lesions . . . . . . . . . . . . . . . . . . . 109 Horst Urbach Malformations of Cortical Development. . . . . . . . . . . . . . . . . . . . . . . . . . . . . . 125 Horst Urbach and Susanne Greschus Neurocutaneous Diseases (Phakomatoses). . . . . . . . . . . . . . . . . . . . . . . . . . . . . 165 Horst Urbach Trauma . . . . . . . . . . . . . . . . . . . . . . . . . . . . . . . . . . . . . . . . . . . . . . . . . . . . . 177 Horst Urbach Vascular Malformations . . . . . . . . . . . . . . . . . . . . . . . . . . . . . . . . . . . . . . . . . 181 Horst Urbach and Timo Krings Ischemia . . . . . . . . . . . . . . . . . . . . . . . . . . . . . . . . . . . . . . . . . . . . . . . . . . . . . 193 Horst Urbach Infection and Inflammation . . . . . . . . . . . . . . . . . . . . . . . . . . . . . . . . . . . . . . . 207 Horst Urbach Rasmussen Encephalitis. . . . . . . . . . . . . . . . . . . . . . . . . . . . . . . . . . . . . . . . . . 219 Horst Urbach and Christian G. Bien Metabolic Disorders . . . . . . . . . . . . . . . . . . . . . . . . . . . . . . . . . . . . . . . . . . . . 227 Horst Urbach and Jens Reimann Other Epilepsy-Associated Diseases and Differential Diagnoses . . . . . . . . . . . . . 245 Horst Urbach Postsurgical MRI . . . . . . . . . . . . . . . . . . . . . . . . . . . . . . . . . . . . . . . . . . . . . . 257 Marec von Lehe and Horst Urbach Index . . . . . . . . . . . . . . . . . . . . . . . . . . . . . . . . . . . . . . . . . . . . . . . . . . . . . . . 267 x Contents
  • 9.
    MRI in Epilepsy Epileptogeniclesions are often small and do not change during life. Moreover, several genetically determined epilepsy syndromes exist, which by definition are not caused by underlying structural lesions. Both cause a certain degree of uncertainty, whether an epileptogenic lesion is overlooked or is just not present. This book provides radiologists and referring physicians with clinical and imaging informations essential to decide, when to initiate a MRI examination, how to decide if a MRI examination is sufficient to detect a lesion, and how to interpret imaging findings. xi
  • 10.
    Contributors Christian G. BienEpilepsy Centre Bethel, Bielefeld, Germany Sebastian Flacke Department of Radiology, Lahey Clinic, Burlington, MA, USA Karolien Goffin Division of Nuclear Medicine, University Hospital Leuven and Katholieke Universiteit Leuven, Leuven, Belgium Susanne Greschus Department of Radiology/Neuroradiology, University of Bonn, Bonn, Germany Hans-Jürgen Huppertz Swiss Epilepsy Centre, Zurich, Switzerland Timo Krings Department of Neuroradiology, University of Toronto, Toronto, ON, Canada Jens Reimann Department of Neurology, University of Bonn, Bonn, Germany Robert Sassen Department of Epileptology, University of Bonn, Bonn, Germany H. Urbach Department of Neuroradiology, University Hospital Freiburg, Germany Koen Van Laere Division of Nuclear Medicine, University Hospital Leuven and Katholieke Universiteit Leuven, Leuven, Belgium Wim Van Paesschen Department of Neurology, University Hospital Leuven, Heres- traat 49, 3000 Leuven, Belgium Marec von Lehe Department of Neurosurgery, University of Bonn, Bonn, Germany Jörg Wellmer Ruhr-Epileptology, Department of Neurology, University Hospital Knappschaftskrankenhaus Bochum, Germany Friedrich G. Woermann MRI Unit, Mara Hospital, Bethel Epilepsy Center, 33617 Bielefeld, Germany xiii
  • 11.
  • 12.
    Epileptic Seizures andEpilepsy Horst Urbach and Jo¨rg Wellmer Contents References...................................................................................... 4 Abstract This chapter introduces the definitions of epileptic seizures, epilepsy, and drug-resistant epilepsy. An epileptic seizure is defined as a transient occurrence of signs and/or symptoms due to abnormal excessive or synchronous neuronal activity in the brain (Fisher et al. 2005). Around 5% of persons suffer from one or more epileptic seizures during their lifetime. This number is derived from a nationwide surveillance system in Iceland, in which the mean annual incidence of the first unprovoked seizures was 56.8 per 100,000 person-years, including 23.5 per 100,000 person-years for single unprovoked seizures and 33.3 per 100,000 person-years for recurrent unprovoked seizures (Olafsson et al. 2005). The incidence is similar in males and females, and the age-specific incidence is highest in the first year of life (130 per 100,000 person-years) and in those 65 years old and older (130 per 100,000 person-years) (Olafsson et al. 2005). Epilepsy is a disorder of the brain characterized by an enduring predisposition to generate epileptic seizures and by the neurobiologic, cognitive, psychological, and social con- sequences of this condition. The definition of epilepsy requires the occurrence of at least one epileptic seizure. However, in contrast to former classifications, one seizure permits the diagnosis of epilepsy if paraclinical EEG (e.g., 3 Hz spike- and-wave discharges) or MRI (e.g., hippocampal sclerosis) findings point to an increased epileptogenicity. Epilepsy is considered as drug-resistant if seizures per- sist despite adequate medication with two, tolerated anti- epileptic drugs (single drugs or in combination). A patient who has no seizures while taking antiepileptic drugs is considered seizure-free after an observation period of H. Urbach (&) Department of Neuroradiology, University Hospital Freiburg, Germany e-mail: horst.urbach@uniklinik-freiburg.de J. Wellmer Ruhr-Epileptology, Department of Neurology, University Hospital Knappschaftskrankenhaus Bochum, Germany H. Urbach (ed.), MRI in Epilepsy, Medical Radiology. Diagnostic Imaging, DOI: 10.1007/174_2012_556, Ó Springer-Verlag Berlin Heidelberg 2013 3
  • 13.
    1 year. Thisperiod can be longer if the patient had rare seizures before. In this situation, the observation period is 3 times the seizure interval the patient had before (rule of three) (Kwan et al. 2010). For example, if a patient had seizures with an interval of 6 months, the observation per- iod is 18 months. However, the core definition of drug resistance should be adapted to the particular clinical situation. It should rely on an individualized risk–benefit evaluation of continued antiepileptic drug medication versus epilepsy surgery. In the case of easily accessible epileptogenic lesions, low com- plication risks, and a high chance of freedom from seizures, epilepsy surgery may be offered after a second failed medical treatment (early relative drug resistance). If the risk of neurological deficits is high or the chance of freedom from seizures is low, relative drug resistance is assigned only after several more drug treatments (Wellmer et al. 2009). References Fisher RS, van Emde Boas W, Blume W, Elger C, Genton P, Lee P, Engel J Jr (2005) Epileptic seizures and epilepsy: definitions proposed by the International League Against Epilepsy (ILAE) and the International Bureau for Epilepsy (IBE). Epilepsia 46(4): 470–472. doi:10.1111/j.0013-9580.2005.66104.x Kwan P, Arzimanoglou A, Berg AT, Brodie MJ, Allen Hauser W, Mathern G, Moshe SL, Perucca E, Wiebe S, French J (2010) Definition of drug resistant epilepsy: consensus proposal by the ad hoc task force of the ILAE commission on therapeutic strategies. Epilepsia 51(6):1069–1077. doi:10.1111/j.1528-1167.2009.02397.x OlafssonE,LudvigssonP,Gudmundsson G,HesdorfferD,KjartanssonO, Hauser WA (2005) Incidence of unprovoked seizures and epilepsy in Iceland and assessment of the epilepsy syndrome classification: a prospective study. Lancet Neurol 4(10):627–634. doi:10.1016/S1474- 4422(05)70172-1 Wellmer J, Weber B, Urbach H, Reul J, Fernandez G, Elger CE (2009) Cerebral lesions can impair fMRI-based language lateralization. Epilepsia 50(10):2213–2224. doi:10.1111/j.1528-1167.2009.02102.x 4 H. Urbach and J. Wellmer
  • 14.
    Classification of EpilepticSeizures Horst Urbach and Jo¨rg Wellmer Contents References...................................................................................... 9 Abstract Whether and how a patient should be studied with MRI depends on the type of the seizures and the epilepsy syndromes. Focal and generalized seizures and non- epileptic conditions mimicking epileptic seizures have to be considered. As in earlier classifications in 1981 and 1989, the most recent proposal for the terminology of seizures and epilepsies of the International League Against Epilepsy (ILAE) (Berg et al. 2010) dichotomizes seizures into focal and generalized epi- leptic seizures. If there is insufficient evidence to characterize seizures as focal or generalized, they are referred to as unknown (Table 1). Some of the earlier-applied terms such as simple partial and complex partial are no longer proposed. Throughout this book we will refer to the 2010 proposal. However, since old terms are still abundantly used, for better understanding they will be given in parentheses. Focal (old term: partial) seizures (Table 2) originate within networks limited to one hemisphere. They may be discretely localized or more widely distributed, and may originate in subcortical structures. For each seizure type, ictal onset is consistent from one seizure to another, with preferential propagation patterns that can involve the contralateral hemisphere. In some cases, however, there is more than one network, and more than one seizure type, but each individual seizure type has a consistent site of onset (Berg et al. 2010). Generalized epileptic seizures originate at some point within, and rapidly engage, bilaterally distributed networks. Such bilateral networks can include cortical and subcortical structures, but do not necessarily include the entire cortex. Although individual seizure onsets can appear localized, the location and lateralization are not consistent from one sei- zure to another. Generalized seizures can be asymmetric (Berg et al. 2010). According to their clinical appearance, focal seizures can be characterized according to one or more of the following features: H. Urbach (&) Department of Neuroradiology, University Hospital Freiburg, Germany e-mail: horst.urbach@uniklinik-freiburg.de J. Wellmer Ruhr-Epileptology, Dept. of Neurosurgery, University Hospital knappschaftskrankenhaus, Bochum, Germany H. Urbach (ed.), MRI in Epilepsy, Medical Radiology. Diagnostic Imaging, DOI: 10.1007/174_2012_553, Ó Springer-Verlag Berlin Heidelberg 2013 5
  • 15.
    aura (subjective sensoryor psychic phenomena only: sensitive, gustatory, olfactory, visual, auditory, emotional, déjà vu), motor (including simple motor phenomena and automatisms), and autonomic. An impairment of awareness or responsiveness is described as dyscognitive (old term: complex partial seizure). Focal seizures may evolve to bilateral convulsive seizures (old term: seizures with secondary generalization). Generalized seizures are subdivided into tonic–clonic, absence,myoclonic,tonic,clonic,andatonicseizures(Table 1). Generalized tonic–clonic seizures, also referred to as grand mal seizures, are readily recognized by laypersons. They typically start with an initial fall and immediate loss of consciousness, followed by tonic contraction of the body musculature. Contraction of respiratory muscles leads to forced exhalation and vocalization in the form of a cry or moan. The eyes deviate upwards and pupils dilate. Incon- tinence can occur during the tonic phase or later when the sphincter relaxes. During the tonic phase, the patient may bite his or her tongue or cheek and respiration is disrupted, leading to cyanosis. The initial rigidity gradually evolves into generalized jerking, the clonic phase. Generalized flexor spasms alternate with relaxation, causing irregular respiration which is often associated with salivation and lack of swallowing. Most tonic–clonic seizures end within 2 min and are followed by a postictal phase which is characterized by diffuse hypotonia, slow deep respirations, und unresponsiveness. The subsequent recovery over min- utes or hours is marked by sleepiness, variable headache, and musculoskeletal soreness upon wakening. Persistent back pain is suggestive of a vertebral compression fracture during the tonic phase. Typical absence seizures present as brief staring spells with an immediate return to consciousness; they usually last a few seconds. These seizures usually have their onset in childhood. Atypical absence continues for longer than a few seconds, involves falling, or has more complex automatisms and can be difficult to distinguish from complex partial seizures. Myoclonic seizures are myoclonic jerks that result from epileptic discharges in the brain. Myoclonic jerks are sud- den, brief, shock-like contractions which may occur in several epilepsy syndromes but also in nonepileptic dis- eases. The term ‘‘progressive myoclonus epilepsy’’ refers to several progressive disorders in which either epileptiform or nonepileptiform myoclonus and progressive neurological dysfunctions are the prominent features. Atonic seizures describe seizures with a sudden loss of postural tone, in which the patient drops or slumps to the ground. They are also referred to as drop attacks or astatic seizures and may result in head contusions and teeth violations. Grand mal seizures can be primarily generalized seizures or can evolve from focal seizures (bilateral convulsive seizures, old term: secondarily generalized seizures). After a first seizure, differentiation usually requires observation of the seizure by a second person. A hint towards generalized, not focally generated seizures is the occurrence when waking up and during the first 2 h after waking up (wake-up seizures). On the other hand, if focal seizures show very rapid spread of activity over both hemispheres, bilateral convulsive seizures of focal onset may be mistaken as generalized seizures. This may especially occur when epileptogenic lesions are in prefrontal, occipital, or rather silent brain areas. Status epilepticus applies to seizures that are prolonged or that recur at a frequency too rapid to permit proper recovery of consciousness or awareness between the seizures. A number of varieties can be distinguished: Table 1 Outline of the International League Against Epilepsy (ILAE) classification of epileptic seizures. (From Berg et al. 2010, with permission) Generalized seizures Tonic–clonic (tonic contraction followed by clonus usually lasting 1–2 min) Absence (altered consciousness and staring with minimal motor activity for a few seconds) Typical Atypical With special features: myoclonic With special features: eyelid myoclonia Myoclonic (sudden, irregular muscle jerks of short duration; 400 ms) Myoclonic atonic Myoclonic tonic Clonic (repetitive short contractions of agonist and antagonist muscular groups at a rate of 0.2–5 Hz Tonic (sustained contraction of muscles for at least 3 s) Atonic Focal seizures Unknown Epileptic spasms Table 2 Outline of the ILAE classification of focal seizures (Adapted from Berg et al. 2010, with permission) Without impaired consciousness With objective motor and/or autonomic symptoms (simple partial seizures) With only subjective sensory or psychic phenomena (aura) With impaired consciousness (complex partial seizures) With generalization to tonic, clonic, or tonic–clonic seizures (secondary generalized seizures) 6 H. Urbach and J. Wellmer
  • 16.
    1. Grand malstatus. Tonic–clonic seizures occur at a frequency so rapid that the patient remains unresponsive between individual seizures. If the patient becomes responsive between seizures, it is referred to as grand mal series. 2. Focal (simple partial) status epilepticus including epilepsia partialis continua. Epilepsia partialis continua is defined as spontaneous regular or irregular clonic muscular twitching affecting a limited part of the body, sometimes aggravated by action or sensory stimuli, occurring for a minimum of 1 h, and recurring at inter- vals of no more than 10 s. 3. Nonconvulsive (complex partial) status epilepticus. This is an epileptic episode without distinct motor phenomena but with a fluctuating confusional state. The EEG may show focal fluctuating or frequently recurring dis- charges. The episode may last several days or weeks. 4. Absence status. 5. Electrical status epilepticus during slow-wave sleep. Febrile seizures are seizures that occur in febrile children between the ages of 6 months and 5 years who do not have an intracranial infection, metabolic disturbance, or history of afebrile seizures. They are the most common type of convulsive events in infants and young children; the inci- dence is 2–5% until the age of 5 years. They occur most frequently between the 18th and 24th months of age (90% below 3 years of age, 50% within the second year of life). Febrile seizures are subdivided into two categories: simple (80–90%) and complex (10–20%). Simple febrile seizures last for less than 15 min, are generalized (without a focal component), and occur once in a 24-h period, whereas complex febrile seizures are prolonged (more than 15 min), are focal, or occur more than once in 24 h. Simple febrile seizures are not associated with subsequent epilepsy or cognitive deficits, whereas complex febrile seizures are linked with the development of temporal lobe epilepsy and hippocampal sclerosis. Whether temporal lobe epilepsy is the consequence of complex febrile seizures or the child has complex febrile seizure because the hippocampus was previously damaged by a prenatal or perinatal insult or by genetic predisposition is a matter of debate. The current concept is to consider the association between complex febrile seizures and temporal lobe epilepsy resulting from complex interactions between several genetic and environ- mental factors. Simple febrile seizures are not an indication for MRI, whereas complex febrile seizures are (King et al. 1998; Bernal and Altman 2003). In patients with temporal lobe epilepsy, 30% of patients with hippocampal sclerosis as compared with 6% of patients without hippocampal scle- rosis had complex febrile seizures in childhood (Falconer et al. 1964). Seizures are classified as focal or generalized on the basis of clinical and/or EEG findings. The EEG (Fig. 1) records voltages from electrodes spaced across the scalp, and characterizes signatures of seizure disorders known as spikes, sharp waves, spike-and wave complexes, or ictal evolving rhythms. Just as there are several seizure types, there are several EEG patterns that mark epilepsy. The EEG recording can be interictal (between seizures), ictal (during a seizure), or postictal (within the few minutes after a seizure). A single EEG will be abnormal interictally in about 50% of people with epi- lepsy, but EEG sensitivity can rise to 80% with three or four recording sessions or with the use of special electrodes, sleep deprivation, flashing lights, or hyperventilation. Nor- mal interictal EEG findings never rule out epilepsy, and it is reasonable to treat people who have a good likelihood of a seizure even if they have normal interictal EEG findings. EEG findings are usually abnormal during a seizure, but a small percentage of people will have false-negative EEG findings even during an ictal event, because of a deeply placed or very small seizure focus. To standardize EEG recordings and reporting, the international 10–20 system has been developed. Four ana- tomical landmarks, the nasion, the inion, and the right and left tragus are used for positioning of the EEG electrodes. The distances between adjacent electrodes are either 10 or 20% of the fronto-occipital or right–left distances. Each site has a letter to identify the lobe and a number to identify the location of the hemisphere. ‘‘C’’ refers to the central region, and ’’z’’ refers to an electrode placed in the midline. Even numbers (2, 4, 6, 8) refer to electrode positions on the right hemisphere and odd numbers (1, 3, 5, 7) refer to those on the left hemisphere. The time needed to acquire a routine EEG is typically only 20–30 min and the EEG will therefore unlikely capture a seizure. Long-term video–EEG monitoring has a high likelihood of recording seizures and allows one to compare the patient’s behavior with EEG activity. For video–EEG monitoring, patients are admitted to a specially equipped hospital room with television cameras and digitally recor- ded multichannel electroencephalography. Since not all symptoms caused by epileptic seizures are likewise recognized as such by nonepileptologists, some illustrative examples are given below. However, it must be acknowledged that nonepileptic seizure events may mimic epilepsy because of an overlap of symptoms. The most frequent nonepileptic seizures are psychogenic seizures and syncopes. An overview of nonepileptic events is given in Table 3. The following are examples for epileptic and nonepi- lepetic seizures. For about 3 years a 42-year-old patient has experienced repeated epigastric qualm, understood to be heartburn. Classification of Epileptic Seizures 7
  • 17.
    Gastroscopy findings werenormal. The relatives reported that the patient is sometimes like a dreamer for about 30 s, does not respond appropriately when addressed, and shows smacking or swallowing. He sometimes says funny things not suitable for the situation. None of these events were recognized as epileptic. The patient now presents with a first tonic–clonic seizure. In fact, all reported symptoms are focal epileptic seizures of temporomesial origin. The clas- sification is as follows: focal seizures with aura (epigastric) and motor symptoms (smacking or swallowing), impaired awareness, and now for the first time evolution from a focal to a bilateral convulsive seizure. A 24-year-old woman was admitted to hospital after a first tonic–clonic seizure which occurred at 7.15 a.m., about 20 min after she rose from bed. The night before, she had a party and slept for only 3 h. She reported that she had never had seizures before. However, she confirmed that she has had impulsive myoclonic jerks in the early morning since the age of 14 years, but they were not recognized as epi- leptic. In fact, the patient suffers from generalized epilepsy Fig. 1 EEG electrode positions of the international10/20 system (A): Right-sided electrodes have even, left-sided electrodes odd numbers. In an example of a 24 year old man with complex focal seizures since 18 years, the T4-T6 recording shows temporo-occipital ictal EEG activity (B) and helps to identify a small focal cortical dysplasia of the right lateral occipito-temporal gyrus (C, D: crosslines, E: arrow) 8 H. Urbach and J. Wellmer
  • 18.
    with myoclonic andtonic–clonic seizures (juvenile myo- clonic epilepsy). A 35-year-old woman has suffered from sudden falls and consecutive bilateral jerking since the age of 15 years. The seizures last for up to 20 min. They are often refractory to benzodiazepines administered by paramedics. No clear provocation factor can be recognized. There are no further symptoms. The seizures are pharmacoresistant to five anticonvulsive drugs in different combinations. One seizure was observed in an epilepsy clinic. Here the jerking was recognized as fast agonistic–antagonistic movements of the arms and pedaling of the legs. Owing to the nonepileptic movement pattern, a diagnosis of psychogenic seizures could be made. A 28-year-old man was admitted to hospital after an observed fall at a bus stop with consecutive clonic jerks for Table 3 Nonepileptic conditions that may mimic epileptic seizures Type of disorder Clinical description Psychogenic seizures Most common nonepileptic condition, urinary incontinence uncommon, possible psychiatric history, patients usually motionless or with agonistic-antagonistic movement patterns with closed eyes, which are forcefully kept closed Syncope Brief loss of consciousness, rapid return to normal, muscle jerking may occur at the end of syncope owing to hypoxia (convulsive syncope) Transient ischemic attack Sudden onset of neurological symptoms related to a vascular territory. Negative symptoms (aphasia, motor or sensory deficit) predominate Hyperventilation Deep and/or frequent breathing, perioral cyanosis, hand paresthesias, carpopedal spasms Complex or classic migraine Slow progression of neurological symptoms followed by headache, which may, however, be minimal or absent Transient global amnesia Sudden onset of isolated anterograde and retrograde amnesia for usually 2–8 h Panic attack Abrupt onset with intense feeling of fear, no loss of consciousness, autonomic features (tachycardia, nausea, sweating) Sleep disorders (narcolepsy, cataplexy, periodic movements of sleep) Narcolepsy: attacks of irrepressible sleep during daytime in patients with more or less continuous sleepiness Cataplexy: sudden loss of muscle tone, precipitated by laughter or excitement. No loss of consciousness Periodic movements of sleep—repeated rhythmic movements of the limbs Vestibular disorders (benign positional vertigo, Meniere disease, labyrinthitis) Dizziness, nystagmus, and vertigo predominate Metabolic-toxic (endocrine, hypoglycemia, uremia, pheochromocytoma, thyroid dysfunction, carcinoid tumors, drug overdose or withdrawal) Negative symptoms and vigilance disturbances predominate Infectious (meningitis, encephalitis) Fever, confusion, and vigilance disturbances predominate Movement disorders, chorea and athetosis, tics and Tourette syndrome, focal dystonias, tremor, myoclonus No loss of consciousness, involuntary movements predominate In infants and children Sandifer syndrome Night terrors Breath-holding spells Sandifer syndrome: sudden extension of the neck in an opistotonic position, often with twisting of the head. Hiatus hernia and/or gastroesophageal reflux Night terrors: age 18 months to 8 years. Arousal from deep sleep. Child starts screaming, sits up, and does not recognize its parents Breath-holding spells: age below 5 years. Harmless attacks provoked by fright, pain, anger, or frustration. The child initially cries, then holds its breath, becomes cyanotic and loses consciousness, and starts breathing again Concussive convulsions Rare non epileptic phenomenon within seconds after impact, typically in collision sports such as Football or Rugby. Initial period of tonic stiffening, followed by myoclonic jerks (up to 150 seconds), and rapid recovery of consciousness. No traumatic brain imaging abnormalities (McCrory et al. 1997) Classification of Epileptic Seizures 9
  • 19.
    about 10 s,then rapid reorientation. He had experienced sim- ilar events before, mostly from standing for a long time, but also one at a visit to a dentist. There were no further symptoms. In fact, the patient suffers from convulsive syncopes. References Berg AT, Berkovic SF, Brodie MJ, Buchhalter J, Cross JH, van Emde BW, Engel J, French J, Glauser TA, Mathern GW, Moshe SL, Nordli D, Plouin P, Scheffer IE (2010) Revised terminology and concepts for organization of seizures and epilepsies: Report of the ILAE commission on classification and terminology, 2005–2009. Epilepsia 51(4):676–685. doi:10.1111/j.1528-1167.2010.02522.x Bernal B, Altman NR (2003) Evidence-based medicine: neuroimaging of seizures. Neuroimaging Clin N Am 13(2):211–224 Falconer MA, Serafetinides EA, Corsellis JA (1964) Etiology and pathogenesis of temporal lobe epilepsy. Arch Neurol 10: 233–248 King MA, Newton MR, Jackson GD, Fitt GJ, Mitchell LA, Silva- pulle MJ, Berkovic SF (1998) Epileptology of the first-seizure presentation: a clinical, electroencephalographic, and magnetic resonance imaging study of 300 consecutive patients. Lancet 352(9133):1007–1011. doi:10.1016/S0140-6736(98)03543-0 McCrory PR, Bladin F, Berkovic SF (1997) Retrospective study of concussive convulsions in elite Australian rules and rugby league footballers: phenomenology, etiology, and outcome. BMJ 314(7075):171–174 10 H. Urbach and J. Wellmer
  • 20.
    Localization of FocalSeizures Horst Urbach and Jo¨rg Wellmer Contents References...................................................................................... 13 Abstract The semiology of a focal seizure without or prior to evolutiontoabilateralconvulsive(secondarilygeneralized) seizure may guide the radiologist to the location of the epileptogeniclesion.Thisinformationshouldbeconsidered when planning and interpreting a MRI examination. The radiologist’s attention is directed to focal (partial) seizures, which are divided into focal seizures without impaired consciousness (old term: simple partial seizures), focal seizures with impaired consciousness (dyscognitive seizures; old term: complex partial seizures), and bilateral convulsive seizures (old term: seizures with secondary generalization). In focal seizures, the aura (defined as the initial part of a partial seizure that is remembered after the seizure has terminated) and/or the clinical symptoms (Table 1) often point to the region of the brain in which the seizures are generated (Urbach 2005): • Focal motor or focal motor seizures with a march (Jack- sonian seizure) ? precentral gyrus. Focal motor seizures may be followed by a weakness of the involved muscle groups that lasts for up to several hours (Todd’s paralysis). • Versive seizures, which are tonic or clonic postural seizures with turning of the head and the eyes, and sometimes of the whole body to one side, usually away from the seizure focus. Sometimes, the patients exhibit a fencer’s posture, extending one arm, looking down that arm, and flexing the opposite arm above the head. Quick ending of the seizure ? motor cortex anterior to the precentral gyrus = supplementary motor area = Brod- mann area 6, contralateral to the extended arm. • Hypermotor activity mostly arising from sleep, with body turning along the horizontal axis, body rocking, crawling, crying, and grimacing with expression of fear, reacts appropriately immediately after the seizure, recalls items named during the seizure ? anterior frontomesial, for example, anterior cingulate gyrus (Leung et al. 2008). H. Urbach (&) Department of Neuroradiology, University Hospital Freiburg, Germany e-mail: horst.urbach@uniklinik-freiburg.de J. Wellmer Ruhr-Epileptology, Department of Neurology, University Hospital Knappschaftskrankenhaus Bochum, Germany H. Urbach (ed.), MRI in Epilepsy, Medical Radiology. Diagnostic Imaging, DOI: 10.1007/174_2012_554, Ó Springer-Verlag Berlin Heidelberg 2013 11
  • 21.
    • Somatosensory perceptionas the earliest ictal symp- tom ? postcentral gyrus. • Visual symptoms of elementary or simple hallucinations, illusions, and visual loss ? occipital lobe [ anteromedial temporal or occipitotemporal lobe. Complex hallucina- tions (animals, people, scenes, etc.) and tunnel vision ? anteromedial temporal or occipitotemporal, but not occipital lobe (Bien et al. 2000). Table 1 Symptoms of focal seizures Anatomical description Symptoms Temporal lobe Mesial Aura (epigastric, olfactory, gustatory, déjà vu, jamais vu) (80%) Oroalimentary automatisms (34%) Staring (40%) Arrest (20%) (Ipislateral) head turning (27%) Contralateral arm dystonia (38%) (Ipsilateral) nose wiping (rubbing of nose during or within 60 s of seizure termination) (50–85%) Lateral Aura (epigastric, olfactory, gustatory, déjà vu, jamais vu) (50%) Oroalimentary automatisms (45%) Staring (40%) Arrest (10%) (Ipislateral) head turning (20%) Contralateral arm dystonia (20%) Frontal lobe Precentral gyrus Simple partial motor seizures, tonic–clonic with or without Jacksonian march Partial myoclonus, predominantly distal Tonic postural motor seizures associated with clonic movements Partial unilateral clonic seizures Epilepsia partialis continua Reflex-triggered motor seizures Premotor (supplementary motor area) Bilateral asymmetric tonic and postural phenomena with adversion of the head and eyes (fencer’s position), speech arrest Mesial (cingulate gyrus, inferior bounder corpus callosum) Ictal body turning along the horizontal axis (58%) Facial expression of anxiety and fear (40%) ‘‘Barking’’ (31%) Frontal operuclum Speech arrest, dysarthria, and/or vocalization in the dominant hemisphere, facial clonic jerks, tonic–clonic movements of arms and face, salivation, deglutition Prefrontal dorsal Forced thinking, eye-directed automatism, pseudocompulsive behavior, tonic deviation of eyes preceding head deviation (frontal eye field involvement) Prefrontal ventral Frontolateral Ictal body turning along the horizontal axis (6%), ictal body turning along an axis that produced sitting up (16%), restlessness (23%) Fronto-orbital Ictal body turning along an axis that produced sitting up (19%), restlessness (6%) Parietal lobe Postcentral gyrus Somatosensory seizures Lateralized ictal paresthesias, dysesthesias, or pain Occipital lobe Simple visual phenomena Insula Laryngeal discomfort, throacoabdominal constriction, or dyspnea followed by unpleasant paresthesias or focal motor manifestations Rapid seizure propagation induces a variety of visceral, motor, and somatosensory symptoms Adapted from Elger CE. (2000), Leung et al. (2008), and Foldvary-Schaefer and Unnwongse (2011) 12 H. Urbach and J. Wellmer
  • 22.
    • Seizures withauditory symptoms ? region of Heschl’s gyrus. Although each hemisphere has bilateral innerva- tion for auditory information, the contralateral ear is better represented in the auditory cortex. Sounds are therefore heard in the contralateral ear or bilaterally (Foldvary-Schaefer and Unnwongse 2011). • Seizures with olfactory or gustatory symptoms ? mesial temporal lobe. • Vertiginous seizures (sensations of rotation or movement in all planes) ? insular or temporoparietal cortex around the Sylvian fissure. • Olfactory symptoms (unpleasantsensations, oftenassociated with gustatory phenomena) ? amygdala, olfactory bulb, insula, posterior orbitofrontal cortex (Foldvary-Schaefer and Unnwongse 2011). • Autonomic symptoms within seizures are abdominal sensations, cephalic and thoracic sensations including pain, breathlessness, and altered breathing or heart rhythm, pallor or flushing, sweating, pupillary dilatation, vomiting, salivation, thirst, urinary incontinence, and genital sensations or orgasm. Abdominal or cephalic sensations are particularly common in mesial temporal lobe and insular epilepsy. • Gelastic seizures (brief periods of laughter or grimacing with or without the feeling of cheerfulness)? tuber cin- ereum, mesial temporal lobe. • Epilepsia partialis continua (clonic or myoclonic seizures for hours or days, often also during sleep) ? precentral gyrus. Temporal lobe seizures and seizures from the precentral and postcentral gyri are easier to localize than seizures orig- inating in other lobes. Frontal lobe seizures tend do generalize rapidly, postictal confusion is rather low, seizures are fre- quent and brief seizures, and most seizures occur during sleep. Most patients with parietal lobe seizures have no signs suggestive of involvement of the parietal lobe. Spread pat- terns are highly unpredictable, and only lateralized ictal paresthesias, dysesthesias, and pain are of localizing value. Patients with occipital lobe seizures represent the smallest group referred to epilepsy surgery centers (less than 10% of patients). Occipital lobe seizures tend to spread rapidly to anterior areas. Multiple patterns of spread may be observed even in the same patient. Almost all patients with subjective symptoms describe visual phenomena such as hallucinations, illusions, amaurosis, and blurring of vision. Bright, colored, occasionally dark rings or spots and continuous or flashing simple geometric forms usually but not necessarily in the contralateral visual field are simple hallucinations pointing to involvement of the occipital and temporal lobes. In contrast, complex visual hallucinations such as animals, people, and scenes do not originate in the occipital lobe (Bien et al. 2000). It should be kept in mind that seizure symptoms identi- fied by interviewing patients or witnesses can be incomplete or the details may be sparse. Lateralizing hints may be remembered wrongly. The most objective way to sample clinical hints for the localization of the seizure onset is video–EEG recording of typical seizures. In practice this means that a MRI finding that was initially rated nonle- sional is worth being reevaluated if new clinical information is available. The same is valid if in the later course of the diagnostic workup, localization information is acquired by PET, SPECT or MEG. References Bien CG, Benninger FO, Urbach H, Schramm J, Kurthen M, Elger CE (2000) Localizing value of epileptic visual auras. Brain 123(Pt 2): 244–253 Elger CE (2000) Semeiology of temporal lobe seizures: In: Oxbury JM, Polkey CE, DuchownyM (eds) Intractable focal epilepsy. pp 63–69 Foldvary-Schaefer N, Unnwongse K (2011) Localizing and lateraliz- ing features of auras and seizures. Epilepsy Behav 20(2):160–166. doi:10.1016/j.yebeh.2010.08.034 Leung H, Schindler K, Clusmann H, Bien CG, Popel A, Schramm J, Kwan P, Wong LK, Elger CE (2008) Mesial frontal epilepsy and ictal body turning along the horizontal body axis. Arch Neurol 65(1):71–77. doi:10.1001/archneurol.2007.22 Urbach H (2005) Imaging of the epilepsies. Eur Radiol 15(3):494–500. doi:10.1007/s00330-004-2629-1 Localization of Focal Seizures 13
  • 23.
    Epilepsy Syndromes Horst Urbach,Robert Sassen, and Jo¨rg Wellmer Contents References...................................................................................... 19 Abstract This chapter describes the ILAE classification of epilepsy syndromes and gives hints whether a MRI is likely normal or abnormal in a specific epilepsy syndrome. In 1981 and 1989, the International League Against Epi- lepsy (ILAE) defined three groups of epilepsies: 1. Idiopathic epilepsies with a proven or presumed genetic cause 2. Symptomatic epilepsies with a proven structural cause 3. Cryptogenic epilepsies, in which a cause has not been found (yet) In 2010, this classification was replaced by another three-tiered classification (Berg et al. 2010), in which (1) genetic, (2) structural and/or metabolic, and (3) unknown epilepsies are distinguished. Both classifications represent a framework allowing for modifications in the future. In many epilepsy syndromes, genetic and environmental factors play a role. If one con- siders, e.g., a genetic defect (tuberous sclerosis complex) that causes structural lesions (cortical tubers and other lesions), the imperfectness of both classifications becomes obvious. Some epilepsies with and without a known cause are distinctive disorders identifiable on the basis of a typical age of onset, specific EEG characteristics, seizure types, and often other features which, when taken together, permit a specific diagnosis. These epilepsies are denominated elec- troclinical syndromes (Berg et al. 2010). In addition to the electroclinical syndromes with strong developmental and genetic components, there are a number of entities that are not exactly electroclinical syndromes in the same sense but which represent clinically distinctive constellations on the basis of specific lesions or other causes. If a structural or metabolic cause is identified, the epilepsy syndrome is denominated on the basis of the structural or metabolic cause (Table 1). Some electroclinical syndromes are self- limiting at a specific age. Others cause an intermediate H. Urbach (&) Department of Neuroradiology, University Hospital Freiburg, Germany e-mail: horst.urbach@uniklinik-freiburg.de R. Sassen Department of Epileptology, University of Bonn, Bonn, Germany J. Wellmer Ruhr-Epileptology, Department of Neurology, University Hospital Knappschaftskrankenhaus Bochum, Germany H. Urbach (ed.), MRI in Epilepsy, Medical Radiology. Diagnostic Imaging, DOI: 10.1007/174_2012_555, Ó Springer-Verlag Berlin Heidelberg 2013 15
  • 24.
    Table 1 Electroclinicalsyndromes and other epilepsies Syndromes and epilepsies Description MRI Electroclinical syndrome Neonatal period (up to 44 weeks’ gestational age) Benign familial infantile epilepsy Age: 1 week to 6 months Autosomal dominant: KCNQ2 gene defect on chromosome band 20q13, KCNQ3 gene defect on chromosome band 8q24 Unprovoked partial or generalized clonic seizures in the neonatal period or early infancy, benign course EEG: normal findings or focal abnormalities MRI findings normal Early myoclonic encephalopathy Age: newborns Partial and myoclonic seizures within 10 days after birth EEG: burst suppression Multiple different causes MRI dependent on cause Ohtahara syndrome Age: newborns Encephalopathic syndrome with tonic seizures within 10 days after birth EEG: burst suppression Multiple different causes MRI dependent on cause Infancy Epilepsy of infancy with migrating focal seizures Age: within the first six months of life Encephalopathic syndrome with migrating, polymorphous seizures EEG: multifocal discharges Initial MRI findings often normal Follow-up MRI may show brain atrophy. Hippocampal sclerosis has been described in around 15% of patients (Caraballo et al. 2011) Infantile spasms (West syndrome) Age: 3–8 months Encephalopathic syndrome with seizures consisting of sudden flexion, extension, or mixed extension– flexion of predominantly proximal and truncal muscles Duration of a few seconds. Series of up to 50 seizures Impaired consciousness during series EEG: hypsarrhythmia MRI shows lesions in 61% of cases (Osborne et al. 2010) Benign familial infantile epilepsy Age: 3–9 months Focal seizures occurring in clusters, normal psychomotor development MRI findings normal (Striano et al. 2007) Severe myoclonic epilepsy of infancy (Dravet syndrome) Age: around 6 months Encephalopathic syndrome with recurrent febrile hemiclonic, myoclonic, grand mal, and atypical absence seizures Poor prognosis and frequent death in childhood. Adults may show low intelligence, autism, and nocturnal grand mal seizures Mutations of the neuronal sodium channel type 1 subunit a gene (SCN1A) on chromosome band 2q24 (80%). The gene encodes a voltage-dependent sodium channel in the CNS, peripheral nerve system, and heart muscle EEG findings can be normal at onset, later multifocal abnormalities (spikes, spike- and-wave complexes, polyspikes, slow waves) occur (Guerrini et al. 2011) Myoclonic epilepsy in infancy may be considered a variant with a more benign course Initial MRI findings often normal Follow-up MRI may show abnormalities in a minority of patients comprising cortical brain atrophy, hippocampal sclerosis (3–71%), gray matter–white matter demarcation loss, and other subtle cortical dysplasias (Siegler et al. 2005; Striano et al. 2007) Myoclonic status in nonprogressive encephalopathies Age: 1–5 years Several familial epilepsy syndromes with myoclonic features Chromosomal disorder (Angelman syndrome, 4p syndrome) in 50% of cases, family history of seizures in 20% of cases MRI findings abnormal in 20% of cases (continued) 16 H. Urbach et al.
  • 25.
    Table 1 (continued) Syndromesand epilepsies Description MRI Childhood (1–12 years) Early-onset benign occipital epilepsy of childhood (Panayitopoulos syndrome) Age: 1–14 years, mean 4.7 years Prolonged and nocturnal seizures Autonomic features (vomiting, pallor, sweating) followed by tonic eye deviation and impaired consciousness, may evolve to a hemiclonic or generalized seizure Excellent prognosis, treatment often unnecessary EEG: interictal runs of occipital sharp and slow wave complexes which attenuate on eye opening MRI findings normal (Specchio et al. 2010) Epilepsy with myoclonic atonic (previously astatic) seizures (Doose syndrome) Age: 2–4 years Myoclonic jerks of arms, followed by astatic drops with loss of erect posture, jerking of facial muscles, with or without preserved consciousness Epileptic encephalopathy in some but not all children EEG: irregular spikes or polyspike-and wave complexes MRI findings normal or abnormal Benign epilepsy with centrotemporal spikes (rolandic epilepsy) Age: 1–14 years, 75% starting between 7–10 years Male-to-female ratio 1.5 :1 Unilateral facial sensorimotor symptoms (30%), oropharyngolaryngeal symptoms (53%), speech arrest (40%), hypersalivation (30%) Progression to hemiconvulsions or grand mal seizures in around half of patients Brief seizures, lasting 1–3 min, mainly at sleep onset or just before awakening Centrotemporal spikes, mainly localized at the C3 and C4 electrodes, often bilateral, activated by drowsiness and slow (non-REM) sleep MRI findings normal MRI not indicated (Gaillard et al. 2009) Autosomal dominant nocturnal frontal lobe epilepsy CHRNA4 on chromosome band 20q13, CHRNA2 on chromosome arm 8q, CHRNB2 on chromosome band 1q21 Age: variable, onset usually in childhood or adolescence, persists throughout adult life 3 or more attacks lasting seconds to 3 min per night Clusters of brief nocturnal motor seizures with hyperkinetic or tonic manifestations EEG: ictal EEG findings often normal or obscured by movements, epileptiform discharges 10% MRI findings normal Late-onset benign occipital epilepsy of childhood (Gastaut type) Age: 3–16 years, mean 8 years Frequent, brief, and diurnal seizures Initial visual hallucinations, simple partial seizures, postictal headache, rarely impaired consciousness Seizure remit within 2–5 years Increased familial risk of epilepsies (21–37%) and migraine (9–16%) EEG: interictal runs of occipital sharp and slow wave complexes which attenuate on eye opening MRI findings normal Idiopathic photosensitive occipital epilepsy Age: 5–17 years Seizures induced by television and video games, diurnal, brief, visual hallucinations, tonic head and eye version EEG: occipital photoparoxysmal response at a wide range of flash frequencies MRI findings normal Epilepsy with myoclonic absence Age: through childhood with a peak at 7 years Myoclonic absences with rhythmic jerking, mainly of the shoulders, arms, and legs. EEG: 3-Hz spikes and waves MRI findings normal (Caraballo et al. 2011) (continued) Epilepsy Syndromes 17
  • 26.
    Table 1 (continued) Syndromesand epilepsies Description MRI Lennox–Gastaut syndrome Age: 1–7, mean 2 years Encephalopathic syndrome with multiple types of drug-resistant generalized seizures, drop attacks, mental retardation EEG: diffuse slow spikes and waves Multiple different causes MRI dependent on cause Epileptic encephalopathy with continuous spikes and waves during sleep Age: 4–5 years Deterioration of neuropsychological and motor functions associated with or independent of the epileptic disorder EEG: continuous spikes and waves during slow sleep MRI findings normal Landau–Kleffner syndrome Age: 3–8 Progressive loss of language functions after the age of 2 Waking EEG: burst of temporal or temporo- occipital spike and wave discharges. Continuous spike and wave discharges during slow sleep in 85% of cases MRI findings normal Childhood absence epilepsy Age: 4–14 years Skin pallor, staring view for a few seconds, immediate return to consciousness Amnesia for episodes Rhythmic movements of arms, eyes, and head Duration: a few seconds Up to 100 seizures per day EEG: 3-Hz spikes and waves MRI findings normal MRI not indicated (Gaillard et al. 2009) Adolescence (12–18 years) and adulthood ([ 18 years) Juvenile absence epilepsy Age: 5–20 years Absence, generalized tonic–clonic (80%), and myoclonic (20%) seizures MRI findings normal MRI not indicated (Gaillard et al. 2009) Juvenile myoclonic epilepsy (Janz syndrome) Age: 14–17 years Susceptibility locus on chromosome band 6q12-p11- 12 (EJM1) or 15q14 (EJM2) Repetitive myoclonic jerks of shoulders and arms, preserved consciousness, duration 2–3 s EEG: polyspikes and waves MRI findings normal MRI not indicated (Gaillard et al. 2009) Epilepsy with generalized tonic–clonic seizures alone (wake-up grand mal epilepsy) Age: 6–years to adulthood Generalized tonic–clonic seizures typically occurring after awakening EEG: generalized spikes and waves MRI findings normal Cave: secondarily generalized tonic–clonic seizures Progressive myoclonic epilepsies Group of disorders with autosomal recessive or mitochondrial inheritance Myoclonic seizures, tonic–clonic seizures, and progressive neurological dysfunction Multiple different causes MRI dependent on cause Familial mesial temporal lobe epilepsy Genetically heterogenous Age: onset in adolescence or adulthood Often prominent ictal déjà vu, dreamlike state, fear, and nausea, with simple partial and complex partial seizures and infrequent secondary generalization. MRI findings normal (Crompton et al. 2010) Familial lateral temporal lobe epilepsy Idiopathic or autosomal dominant gene (LGI1 on chromosome band 10q24, OMIM 600512) partial epilepsy with auditory features Age: onset 10–30 years Recurrent auditory aura usually followed by generalized seizures Low seizure frequency, good drug response MRI findings normal (Michelucci et al. 2009) (continued) 18 H. Urbach et al.
  • 27.
    grade of impairmentor a devastating and progressive dis- ease process, which is called encephalopathic syndrome and is defined by the temporal relationship between the onset of epileptic seizures, ictal and interictal EEG activity, and the loss of cognitive and or motor/sensory functions (Berg et al. 2010). It is recommended to use MRI in evaluating patients with new seizures or seizures not fully controlled by medication unless a traditional genetic (idiopathic) electroclinical syn- drome is identified with confidence (Berg et al. 2010). References Berg AT, Berkovic SF, Brodie MJ, Buchhalter J, Cross JH, van Emde Boas W, Engel J, French J, Glauser TA, Mathern GW, Moshe SL, Nordli D, Plouin P, Scheffer IE (2010) Revised terminology and concepts for organization of seizures and epilepsies: report of the ILAE commission on classification and terminology, 2005–2009. Epilepsia 51(4):676–685. doi:10.1111/j.1528-1167.2010.02522.x Callenbach PM, van den Maagdenberg AM, Hottenga JJ, van den Boogerd EH, de Coo RF, Lindhout D, Frants RR, Sandkuijl LA, Brouwer OF (2003) Familial partial epilepsy with variable foci in a dutch family: clinical characteristics and confirmation of linkage to chromosome 22q. Epilepsia 44(10):1298–1305 Caraballo RH, Darra F, Fontana E, Garcia R, Monese E, Dalla Bernardina B (2011) Absence seizures in the first 3 years of life: an electroclinical study of 46 cases. Epilepsia 52(2):393–400. doi: 10.1111/j.1528-1167.2010.02926.x Crompton DE, Scheffer IE, Taylor I, Cook MJ, McKelvie PA, Vears DF, Lawrence KM, McMahon JM, Grinton BE, McIntosh AM, Berkovic SF (2010) Familial mesial temporal lobe epilepsy: a benign epilepsy syndrome showing complex inheritance. Brain 133(11):3221–3231. doi:10.1093/brain/awq251 Gaillard WD, Chiron C, Cross JH, Harvey AS, Kuzniecky R, Hertz- Pannier L, Vezina LG (2009) Guidelines for imaging infants and children with recent-onset epilepsy. Epilepsia 50(9):2147–2153. doi:10.1111/j.1528-1167.2009.02075.x Guerrini R, Striano P, Catarino C, Sisodiya SM (2011) Neuroimaging and neuropathology of Dravet syndrome. Epilepsia 52(Suppl 2): 30–34. doi:10.1111/j.1528-1167.2011.02998.x Michelucci R, Pasini E, Nobile C (2009) Lateral temporal lobe epilep- sies: clinical and genetic features. Epilepsia 50(Suppl 5):52–54. doi:10.1111/j.1528-1167.2009.02122.x Osborne JP, Lux AL, Edwards SW, Hancock E, Johnson AL, Kennedy CR, Newton RW, Verity CM, O’Callaghan FJ (2010) The underlying etiology of infantile spasms (West syndrome): information from the United Kingdom Infantile Spasms Study (UKISS) on contemporary causes and their classification. Epilepsia 51(10):2168–2174. doi:10.1111/j.1528-1167.2010.02695.x Siegler Z, Barsi P, Neuwirth M, Jerney J, Kassay M, Janszky J, Paraicz E, Hegyi M, Fogarasi A (2005) Hippocampal sclerosis in severe myoclonic epilepsy in infancy: a retrospective MRI study. Epilepsia 46(5):704–708. doi:10.1111/j.1528-1167.2005.41604.x Specchio N, Trivisano M, Di Ciommo V, Cappelletti S, Masciarelli G, Volkov J, Fusco L, Vigevano F (2010) Panayiotopoulos syndrome: a clinical, EEG, and neuropsychological study of 93 consecutive patients. Epilepsia 51(10):2098–2107. doi:10.1111/j.1528-1167. 2010.02639.x Striano P, Mancardi MM, Biancheri R, Madia F, Gennaro E, Paravidino R, Beccaria F, Capovilla G, Dalla Bernardina B, Darra F, Elia M, Giordano L, Gobbi G, Granata T, Ragona F, Guerrini R, Marini C, Mei D, Longaretti F, Romeo A, Siri L, Specchio N, Vigevano F, Striano S, Tortora F, Rossi A, Minetti C, Dravet C, Gaggero R, Zara F (2007) Brain MRI findings in severe myoclonic epilepsy in infancy and genotype-phenotype correlations. Epilepsia 48(6):1092–1096. doi:10.1111/j.1528-1167.2007.01020.x Table 1 (continued) Syndromes and epilepsies Description MRI Less specific age relationship Familial focal epilepsy with variable foci Childhood to adulthood MRI findings normal (Callenbach et al. 2003) Reflex epilepsies, e.g., primary reading epilepsy Primary reading epilepsy: age of onset adolescence, sensorimotor or motor speech aura occurring while reading, jaw jerks, and, if reading is continued, generalized seizure MRI findings normal Distinctive constellations Mesial temporal lobe epilepsy with hippocampal sclerosis Rasmussen encephalitis Hypothalamic hamartoma with gelastic seizures Hemiconvulsion–hemiplegia–epilepsy Epilepsy due to a structural–metabolic cause Malformations of cortical development (hemimegalencephaly, heterotopias, etc.) Neurocutaneous syndromes (tuberous sclerosis complex, Sturge–Weber syndrome, etc.) Tumor Infection Trauma Adapted from Berg et al. (2010) with permission Epilepsy Syndromes 19
  • 28.
    The Term ‘‘EpileptogenicLesion’’ and How to Use it Horst Urbach Contents Reference ....................................................................................... 23 Abstract This chapter describes how to use the terms ‘‘epileptogenic lesion’’ and ‘‘typically epileptogenic lesion’’. An epileptogenic lesion is defined as a radiographic lesion that causes seizures (Rosenow and Luders 2001). Although the radiologist does not know whether a radiographic lesion indeed causes epileptogenic seizures, some radiographic lesions are so typically associated with epileptic seizures that at least the term typically epileptogenic lesion is appropriate. H. Urbach (&) Department of Neuroradiology, University Hospital Freiburg, Germany e-mail: horst.urbach@uniklinik-freiburg.de Fig. 1 Digital photogram of the brain surface before placement of a subdural 8 9 8 grid. A second photogram was taken after grid placement and digitally replaced by a schematic drawing detailing the results of electrical stimulations and ictal/ intraictal EEG activity. Blue grid contacts represent the eloquent zone, which is the motor cortex in this case. The black area represents the epileptogenic lesion, defined as the radiographic lesion that causes the seizures. The yellow area is the seizure onset zone, defined as the area from which the clinical seizures are generated. The seizure onset zone is often, but not necessarily, congruent with the epileptogenic zone, defined as the cortex area indispensable for the generation of seizures H. Urbach (ed.), MRI in Epilepsy, Medical Radiology. Diagnostic Imaging, DOI: 10.1007/174_2012_557, Ó Springer-Verlag Berlin Heidelberg 2013 21
  • 29.
    To achieve freedomfrom seizures following epilepsy surgery, in some but not all cases not only the epileptogenic lesion itself but also some perilesional tissue must be removed. Conceptually, it is the epileptogenic area that has to be removed, which is defined as cortical area indis- pensable for the generation of seizures. Practically, it is the Fig. 2 Epileptogenic lesion and symptomatogenic zone. A 40-year- old woman suffered from complex focal seizures with a fearful face and body rocking. The symptoms thus pointed to the mesial frontal lobe as the origin. MRI shows right-sided hippocampal sclerosis (a, arrow). Simultaneous video and EEG recordings from interhemi- spheric (c) and convexity strip and intrahippocampal depth (b) elec- trodes show seizures starting in the right hippocampus (d, arrow). Clinical symptoms start around 1 s afterwards (d, asterisk) 22 H. Urbach
  • 30.
    seizure onset zonewhich it is intended to be removed, and this is defined as the brain area in which ictal EEG activity starts. The epileptogenic lesion usually shows at least some overlap with the seizure onset zone and is therefore a good indicator for its localization (Fig. 1). Other frequently used terms are irritative area, defined as the brain area with interictal EEG activity, eloquent cortex, defined as the cortex area with important functions such as language, motor, and visual field functions, and symptoma- togenic area, defined as the brain area in which epilep- togenic activity leads to clinical symptoms. If epileptogenic activity spreads rapidly, the epileptogenic lesion and the symptomatogenic area can be far from each other (Fig. 2). Another term is the functional deficit zone, defined as the region of the cortex that in the interictal period is functionally abnormal, as indicated by neurological examination, neuro- psychological testing, and functional imaging or nonepilep- tiform EEG or MEG abnormalities. Reference Rosenow F, Luders H (2001) Presurgical evaluation of epilepsy. Brain 124(9):1683–1700 The Term ‘‘Epileptogenic Lesion’’ and How to Use it 23
  • 31.
    What To DoAfter a First Seizure? Horst Urbach Contents References...................................................................................... 27 Abstract This chapter describes the workup with MRI after a first seizure, which is highly dependent on the type of the seizure and the age at presentation. A first seizure often refers to a bilateral convulsive seizure (old term: generalized tonic–clonic seizure) noticed as a frightening and traumatic event by the observers. However, around 17% of patients have had prior tonic–clonic seizures and 28% have had other epilepsy syndromes, including absence seizures, myoclonic seizures, aura phenomena, and other syndromes. After the patient with a first seizure has been stabilized, one has to determine if the event was really a seizure, which is typically based on the history obtained from a reliable observer and a clinical examination looking for ictal sequelae such as open eyes, (lateral) tongue bite, enuresis, cyanosis, hypersalivation, and postictal sleepiness. The differential diagnosis of a single seizure is broad (see Table 3 in ‘‘Classification of Epileptic Seizures’’). It includes transient ischemic attacks, syncope, migraine, drug reaction or intoxication, mental disorders such as psycho- genic seizures, and rarely movement disorders (Krumholz 1999; Beghi 2008). The next step is to determine the cause of the seizure and to distinguish whether the seizure is acute symptom- atic, provoked, or unprovoked. An acute symptomatic or situation-related seizure occurs in the presence of an acute disease with some immediately recognizable causes (e.g., meningitis, hypoglycemia, hyponatremia) often requiring prompt diagnosis and treatment (Wiebe et al. 2008). H. Urbach (&) Department of Neuroradiology, University Hospital Freiburg, Germany e-mail: horst.urbach@uniklinik-freiburg.de H. Urbach (ed.), MRI in Epilepsy, Medical Radiology. Diagnostic Imaging, DOI: 10.1007/174_2012_558, Ó Springer-Verlag Berlin Heidelberg 2013 25
  • 32.
    A provoked seizurerequires a seizure-provoking factors, e.g., sleep deviation. An unprovoked seizure does not require an immediate precipitating event and suggests the possibility of an underlying epilepsy syndrome, which is of genetic, structural–metabolic, or unknown cause (Herman 2004). The risk of recurrence of unprovoked seizure within the first 2 years is around 40% (Berg and Shinnar 1991), and abnormalities on clinical examination or on electroen- cephalography (EEG) and focal seizures are predictive of further seizures. The EEG findings after a first unprovoked seizure are significantly abnormal in 29 cases (8–50%) of cases (Krumholz et al. 2007). MRI reveals significant abnormal findings in at least 10–15% of patients (King et al. 1998; Wiebe et al. 2008; Pohlmann-Eden and Newton 2008). Around 25% of patients with a first seizure have EEG-confirmed genetic epilepsies, and in these patients MRI—by definition—does not show a lesion. Note, how- ever, that bilateral EEG discharges may have rapidly spread from a single, typically midline-near, often occipital epileptogenic lesion. In these rare cases, a focal (partial) epilepsy syndrome would be misclassified as generalized epilepsy syndrome (King et al. 1998). How and when a patient with a first seizure should be ‘‘imaged’’ depends apart from the scanner availability on the suspected cause of the seizure. In patients with acute symptomatic seizures, the under- lying disease must be quickly recognized and adequately treated, and in these patients unenhanced CT to rule out an unexpected disease is sometimes sufficient. However, some clinical constellations, e.g., suspected sinus thrombosis, may require additional imaging such as CT angiography, MRI, and sometimes even catheter angiography (Fig. 1, 2). CSF examination is recommended in children (except for infants younger than 6 months of age) and adults only when cerebral infection is suspected or fever is present which cannot be explained by an extracranial origin (Hirtz et al. 2000; Beghi 2008). In patients with unprovoked seizures and suspected genetic epilepsies derived from the clinical history, patient’s age, and especially EEG findings, ‘‘routine’’ MRI is performed to exclude an unexpected underlying lesion. EEG is more helpful if it is performed within the first 24 h following a seizure (King et al. 1998). The diagnostic yield of additional sleep-deprived EEG is uncertain (King et al. 1998; Schreiner and Pohlmann-Eden 2003). In patients with unprovoked, presumably focal seizures, an epilepsy-dedicated MRI protocol should be performed. In these patients, an initial CT scan to rule out an unex- pected disease and a later high-resolution MRI scan when the patient is stable and able to tolerate an examination time of around 30 min should be performed. Fig. 1 An 8-year old girl presented with two focal motor seizures and postictal left arm paralysis. MRI shows superior sagittal sinus thrombosis (a–c, arrows) with two small hemorrhages at the gray matter–white matter junction in the right frontal lobe (a, hollow arrows) 26 H. Urbach
  • 33.
    References Beghi E (2008)Management of a first seizure. General conclusions and recommendations. Epilepsia 49(Suppl 1):58–61. doi:10.1111/j.1528- 1167.2008.01452.x Berg AT, Shinnar S (1991) The risk of seizure recurrence following a first unprovoked seizure: a quantitative review. Neurology 41(7): 965–972 Herman ST (2004) Single unprovoked seizures. Current treatment options in neurology 6(3):243–255 Hirtz D, Ashwal S, Berg A, Bettis D, Camfield C, Camfield P, Crumrine P, Elterman R, Schneider S, Shinnar S (2000) Practice parameter: evaluating a first nonfebrile seizure in children. Report of the Quality Standards Subcommittee of the American Academy of Neurology, the Child Neurology Society, and the American Epilepsy Society. Neurology 55(5):616–623 King MA, Newton MR, Jackson GD, Fitt GJ, Mitchell LA, Silvapulle MJ, Berkovic SF (1998) Epileptology of the first-seizure presentation: aclinical, electroencephalographic, and magnetic resonance imaging study of 300 consecutive patients. Lancet 352(9133):1007–1011. doi:10.1016/S0140-6736(98)03543-0 Krumholz A (1999) Nonepileptic seizures: diagnosis and management. Neurology 53(5 Suppl 2):S76–S83 Krumholz A, Wiebe S, Gronseth G, Shinnar S, Levisohn P, Ting T, Hopp J, Shafer P, Morris H, Seiden L, Barkley G, French J (2007) Practice parameter: evaluating an apparent unprovoked first seizure in adults (an evidence-based review). Report of the Quality Standards Subcommittee of the American Fig. 2 Dural a. v. fistula. A 53-year-old man presented with two tonic– clonic seizures. MRI shows circumscribed edema in the left frontal lobe (a, hollow arrow) and an abnormal vessel running in the left sulcus rectus (c, arrow). The digital subtraction angiogram of the left internal carotid artery shows a frontobasal dural arteriovenous fistula fed via ethmoidal arteries (d, arrow) and confirms the abnormal vessel as a draining vein (e, arrow) What To Do After a First Seizure? 27
  • 34.
    Academy of Neurologyand the American Epilepsy Society. Neurology 69(21):1996–2007. doi:10.1212/01.wnl.0000285084. 93652.43 Pohlmann-Eden B, Newton M (2008) First seizure: EEG and neuroimaging following an epileptic seizure. Epilepsia 49(Suppl 1):19–25. doi:10.1111/j.1528-1167.2008.01445.x Schreiner A, Pohlmann-Eden B (2003) Value of the early electro- encephalogram after a first unprovoked seizure. Clin Electroence- phalogr 34(3):140–144 Wiebe S, Tellez-Zenteno JF, Shapiro M (2008) An evidence-based approach to the first seizure. Epilepsia 49(Suppl 1):50–57. doi: 10.1111/j.1528-1167.2008.01451.x 28 H. Urbach
  • 35.
    How to PerformMRI Horst Urbach Contents 1 Introduction.......................................................................... 29 2 Theoretical Considerations................................................. 29 3 Clinical Practice................................................................... 30 4 Requirements for MR Quality........................................... 32 4.1 Orientation ............................................................................. 32 4.2 Spatial Resolution.................................................................. 32 4.3 Contrast.................................................................................. 33 4.4 Contrast Medium Injection ................................................... 34 5 MRI Interpretation.............................................................. 34 6 MRI Protocols...................................................................... 34 References...................................................................................... 35 Abstract This chapter provides Epilepsy-dedicated MRI protocols and useful informations regarding angulation, spatial resolution, and contrast to noise ratios. 1 Introduction Patients with focal (partial) epilepsies in which an epilep- togenic lesion has not been found (yet) should be studied using magnetic resonance (MR) scanners with a magnetic field strength B0 of at least 1.5 Tesla. Theoretically and in clinical practice however, 3 Tesla scanners have advantages. 2 Theoretical Considerations In accordance with the increasing number of parallel spins at higher field strengths, the MR signal is proportional to the magnetic field strength B0 (signal-to-noise ratio propor- tional to B0). The signal theoretically doubles from 1.5 to 3 Tesla; in reality, it increases by a factor of around 1.7–1.8. This signal gain can be utilized to increase the contrast-to- noise ratio and the spatial resolution or to decrease the acquisition time (Willinek and Kuhl 2006; Willinek and Schild 2008). One should always keep in mind that the MR signal decreases with the square of B0 if the slice thickness is halved or the scan matrix is doubled. High RF energy deposition is a theoretical limitation of 3 Tesla MRI. RF energy deposition scales with the square of B0 and is monitored by measuring the specific absorption rate. The specific absorption rate must not exceed 4 W/kg over a 15-min period. For comparison, the RF energy deposition of most mobile phones is in the range 0.5– 0.75 W/kg. High RF energy deposition can be compensated for with parallel data acquisition. Parallel data acquisition lowers the RF energy deposition by reducing the number of H. Urbach (&) Department of Neuroradiology, University Hospital Freiburg, Germany e-mail: horst.urbach@uniklinik-freiburg.de H. Urbach (ed.), MRI in Epilepsy, Medical Radiology. Diagnostic Imaging, DOI: 10.1007/174_2012_559, Ó Springer-Verlag Berlin Heidelberg 2013 29
  • 36.
    phase-encoding readouts (determinedby the reduction fac- tor R) for a given echo time, or it allows reduction of echo- train lengths, yielding a shorter, more effective echo time (Pruessmann et al. 1999; Bammer et al. 2001). This allows a substantial reduction in image distortion and improves image quality. In addition, the shorter echo time is more motion resistant and reduces blurring in the image. The MR signal is proportional to the square root of R and the square root of the number of excitations. If R and the number of excitations are increased, the net signal and acquisition time are the same. However, the image can appear different when using parallel data acquisition, and although the images are noisier, specific structures of interest can be assessed better (see Fig. 1 in ‘‘MRI of Children’’). The susceptibility - is defined as the extent to which a material becomes magnetized when placed in a magnetic field. The susceptibility is proportional to the magnetic field strength B0; therefore, all kinds of susceptibility artifacts are more pronounced in 3 T MRI. Important susceptibility- related artifacts are the signal loss around metallic implants such as intracranial electrodes and aneurysm clips and geometric distortions at interfaces between soft tissue and bone or air, especially at the skull base. Again, parallel- imaging techniques help to reduce these artifacts by reducing the echo-train length. Moreover, stronger suscep- tibility at 3 Tesla facilitates the detection of subtle hemo- siderin-containing or calcified lesions, which can be overlooked with 1.5 Tesla scanners. 3 Clinical Practice Three Tesla scanners generate 2–3-mm-thick slices with good contrast within an acceptable acquisition time per sequence. Epilepsy patients are often unable to remain quiet for sequences lasting longer than around 5 min. The spatial Fig. 1 The midsagittal image of a 3D T1-weighted gradient echo sequence (a) is chosen to align axial slices parallel to the commissura anterior–commissura posterior line. A parasagittal slice displaying the hippocampus is chosen to align slices parallel to the hippocampus (b). An axial T2-weighted sequence displaying the inner ear is acquired to avoid tilting in the coronal plane (c). In this example, the dotted line connects the posterior semicircular canals and shows no tilting in the coronal plane. Now, high-resolution coronal slices can be used for side comparisons. The 2-mm-thick coronal slice through the hippocampal heads (d) shows the semicircular canals in one plane. A small hyperintense lesion in the white matter of the parahippocampal gyrus just underneath the hippocampal head (arrow) was histologically a WHO grade I ganglioglioma 30 H. Urbach
  • 37.
    Fig. 2 Planarsurface (‘‘pancake’’) reformattion of a sagittal 3D fluid- attenuated inversion recovery fast spin echo sequence with isotropic voxel. A path is created along the brain surface on a coronal reformatted image (b, hollow arrows). The brain surface is unfolded along this path to facilitate anatomical orientation in the frontal lobes. On the unaffected right side, the superior and inferior frontal sulci are marked with asterisks (d). Arrows mark the hand knob of the central sulcus and the line marks the craniocaudal extension of a type IIB focal cortical dysplasia (d). The dysplasia reaches the precentral sulcus, but the precentral gyrus is not affected How to Perform MRI 31
  • 38.
    resolution and signal-to-noiseratio are inversely correlated. If the acquisition time is prolonged, the likelihood of movement artifacts increases. A reasonable compromise must be found between image quality and acquisition time. If movement artifacts prohibit acquisition of images of sufficient quality, which is particularly common in children, MRI with general anesthesia is needed. 4 Requirements for MR Quality 4.1 Orientation Coronal slices are almost always angulated perpendicular to the hippocampal long axis. To obtain this angulation, we start with a sagittal sequence, typically a 3D T1-weighted gradient echo sequence, and use a paramedian slice displaying the hippocampal long axis for planning. To avoid tilting in the coronal plane, coronal slices are also adjusted on an axial plane using symmetrical anatomical structures such as the semicircular canals or internal auditory canals as landmarks (Fig. 1). Axial slices are angulated along the commissura anterior– commissura posterior line or along the long axis of the hippo- campus (‘‘temporal angulation’’). Angulation is planned on a midsagittal slice for commissura anterior–commissura poster- ior angulation and on a sagittal slice through one hippocampus for temporal angulation. Temporal angulation on a midsagittal slice is obtained if slices are acquired along a line from the dorsal and lower border of the anterior skull base to the callosal splenium; this angulation is about 25° steeper than commissura anterior–commissura posterior angulation (Fig. 1). Most patients with drug-resistant focal epilepsies and around one third of patients presenting with a first epileptic seizure have temporal lobe epilepsies, with hippocampal sclerosis being the most commonly operated on lesion (King et al. 1998). The hippocampus is best displayed on coronal slices angulated perpendicular to its long axis. Axial slices along the long axis display the hippocampus on one slice, whereas with the usual angulation along the commissura anterior–commissura posterior line hippocam- pal head, body, and tail are shown on three adjacent, 5-mm slices. The recommendation to acquire sequences along or perpendicular to the hippocampal long axis (‘‘temporal angulation’’) is somewhat because at the beginning of the MR era the vast majority of patients with structural epilepsies had temporal lobe lesions (ILAE recommenda- tions from 1997 and 1998). In recent years, the percentage of patients with often subtle cortical dysplasias has steadily increased. Since cortical dysplasias in the dorsal frontal and parietal lobes can be missed on axial slices with temporal angulation, we recommend to acquire an axial fluid-attenuated inversion recovery (FLAIR) sequence with commissura anterior–commissura posterior angulation. 4.2 Spatial Resolution Epileptogenic lesions are often small and do not change during life. One should bear in mind that lesions with suffi- cient contrast as compared with the surrounding tissue will be found if they measure double the pixel size. If the lesion is smaller, partial volume artifacts may obscure its detection. Fig. 3 Owing to a lower contrast-to-noise ratio, a faint gray white matter demarcation loss in the left frontal lobe is hardly visible at 1.5 T (a arrow) compared with 3 T (b arrow, c anterior–posterior extension) 32 H. Urbach
  • 39.
    We use a3D T1-weighted gradient echo sequence since it produces 1-mm slices and 1-mm3 voxel within a reasonable time. We acquire 2- or 3-mm-thick FLAIR slices, accepting that thinner slices reduce the signal- to-noise ratio in a way that contrast of smaller lesions becomes too low to outline them from the environment. If high-contrast FLAIR images with a slice thickness of 3 mm cannot be acquired through the whole brain, the clinically suspected region should be studied selectively (Urbach et al. 2004). Recently, a 3D FLAIR fast spin echo sequence with isotropic 1-mm3 voxel has been incorporated into our MRI protocol. This sequence depicts the whole brain with high spatial resolution and is––in addition––usable for multiplanar reformations and voxel-based analyses (Kassubek et al. 2002; Wilke et al. 2003; Wagner et al. 2011) (Fig. 2). 4.3 Contrast The FLAIR sequence has by far the highest diagnostic yield owing to its superb contrast between gray matter and CSF. The gray matter FLAIR signal is different for different gray matter structures: the amygdala, hippocampus, cingulate gyrus, subcallosal area, and insula have higher signal inten- sity than the convexity cortices (Hirai et al. 2000). Epilep- togenic lesions are usually gray matter lesions, and even larger lesions are overlooked on T2-weighted sequences. We acquire FLAIR sequences in axial, coronal, and sagittal ori- entations since the extension of subtle gray matter lesions into the subcortical matter is sometimes easier to detect on coronal or sagittal slices and vice versa. However, the aforementioned sagittal isotropic 3D FLAIR sequence with 1-mm3 voxel may soon replace 2D sequences acquired in standard orien- tations, although reformatted 2-mm-thick axial or 3-mm- Fig. 4 On 1.5-T 5-mm-thick T2-weighted fast spin echo images a hypointense lesion (b, c, arrow) was interpreted as a cavernoma. High-resolution T2-weighted fast spin echo images at 3 T depict at least three hemosiderin-containing lesions (d, e, arrows) suggestive of old cortical contusions How to Perform MRI 33
  • 40.
    thick coronal sliceshave a slightly lower contrast-to-noise ratio than the corresponding 2D slices. High-resolution T2-weighted fast spin echo images have both high spatial resolution and a high contrast-to-noise ratio. They are particularly suited to assess white matter lesions. However, since CSF is also bright, hyperintense cortical lesions can be easily missed. 4.4 Contrast Medium Injection The first goal of MRI in epilepsy patients is detection of an epileptogenic lesion. With careful MRI interpretation, lesions are visible without additional intravenous contrast medium injections. Contrast medium injections are usually needed to characterize a lesion but not to find it (Elster and Mirza 1991). We acquire contrast-enhanced T1-weighted spin echo sequences in epileptogenic lesions other than hippocampal slerosis in order to characterize the lesion. 5 MRI Interpretation MRI interpretation comprises several steps addressing the following questions: 1. Is the contrast between gray matter, white matter, and CSF sufficient (Fig. 3)? 2. Is the spatial resolution and orientation appropriate to detect subtle epileptogenic lesions fitting to the semiology of the seizures (Fig. 4)? 3. Are anatomical structures displayed symmetrically and without imaging artifacts in order to detect subtle epileptogenic lesions by side comparisons (Fig. 1)? 6 MRI Protocols Tables 1 and 2 include proposals for MRI protocols in epilepsy patients. Table 1 MRI ‘‘base’’ protocol Sequence 3D T1- weighted FFE FLAIR TSE T2-weighted TSE FLAIR TSE T2-weighted TSE FLAIR TSE SWI Orientation Sagittal Sagittal Axial Coronal Coronal Axial Axial FOV 256 240 230 230 240 256 220 RFOV 0.95 0.9 0.8 0.8 0.9 1 0.8 Matrix 256 256 512 256 512 256 256 Scan (%) 100 72.6 80 70.6 80 100 100 TI (ms) 833 2,850 2,850 2,850 TR (ms) 8.2 12,000 3,272 12,000 5,765 12,000 16 TE (ms) 3.7 120 80 140 120 140 23 FA (°) 8 140 90 90 90 90 10 Turbo factor 193 36 15 36 25 32 SENSE factor 1.3 (AP), 1.7 (RL) No No No 3 (RL) No 1.5 (RL) Slice thickness 1 3.5 5 3 2 2 1 Interslice gap 0 0 1 0 0 0 0 No. of slices 140 40 24 40 40 60 200 No. of excitations 1 1 1 1 6 1 1 Acquisition voxel size (mm3 ) 1 9 1 9 1 0.98 9 1.26 9 3.5 0.57 9 0.72 9 5 0.9 9 1.27 9 3 0.47 9 0.64 9 2 1 9 1 9 2 1 9 1 9 1 Recorded voxel size (mm3 ) 1 9 1 9 1 0.49 9 0.49 9 3.5 0.45 9 0.45 9 5 0.45 9 0.45 9 3 0.23 9 0.23 9 2 1 9 1 9 2 0.43 9 0.43 9 0.5 Acquisition time 3 min 11 s 4 min 48 s 1 min 58 s 4 min 4 min 53 s 5 min 24 s 3 min 17 s FFE fast field echo, FLAIR fluid-attenuated inversion recovery, TSE turbo spin echo, FOV field of view, RFOV rectangular field of view, TI inversion time, TR repetition time, TE echo time, FA flip angle, SENSE sensitivity encoding, AP anterior to posterior, RL right to left 34 H. Urbach
  • 41.
    Additional sequences areacquired on the basis of imaging findings or clinical hints. If there is an epileptogenic lesion other than hippocam- pal sclerosis, nonenhanced and contrast-enhanced spin echo sequences are added. The goal is to specify a lesion, not to detect it (Urbach et al. 2002): Focal cortical dysplasias show contrast enhancement in exceptional cases only (Urbach et al. 2002). If a circumscribed cortical/subcortical lesion shows contrast enhancement, an epilepsy-associated tumor is more likely. We recently added Susceptibility-weighted (SWI) sequences or —if not applicable —T2-weighted gradient echo (FFE) sequences to the MR base protocol due to their superb sensitivity to detect small hemosiderin deficits or calcifications (Saini et al. 2009) The sagittal 3D gradient echo sequence producing iso- tropic 1-mm3 voxel is reformatted in axial and coronal orientations. After a path along the brain surface has been defined on the coronal images, the planar curved surface (or ‘‘pancake’’) view is constructed by parallel shifting in an anterior and posterior direction. If the path in the direction of the surface gradients is collapsed, the whole brain is reformatted, and structures at any depth become visible. On these planar brain surface reformations both hemispheres are displayed in a mirror-like fashion, from the interhemi- spheric to the sylvian fissures. The central sulcus and neighboring gyri can be followed continuously (Hattingen et al. 2004). The planar brain surface view facilitates ana- tomical orientation and is helpful to determine the bound- aries of epileptogenic lesions (Fig. 2). Reversible splenium lesions on diffusion-weighted ima- ges occur in less than 1% of epilepsy patients. Rapid anti- epileptic drug reduction or withdrawal in order to provoke epileptic seizures during presurgical workup has been identified as risk factor. If a faintly hyperintense, non-space- occupying splenium lesion is found on T2-weighted or FLAIR images, diffusion-weighed imaging showing reduced diffusion underscores the suspected diagnosis (Nelles et al. 2006) (see Fig. 7 in Other Epilepsy-Asspciated Diseases and Differential Diagnoses). References Bammer R, Keeling SL, Augustin M, Pruessmann KP, Wolf R, Stollberger R, Hartung HP, Fazekas F (2001) Improved diffusion- weighted single-shot echo-planar imaging (EPI) in stroke using sensitivity encoding (sense). Magn Reson Med 46(3):548–554 Elster AD, Mirza W (1991) MR imaging in chronic partial epilepsy: role of contrast enhancement. Am J Neuroradiol 12(1):165–170 Hattingen E, Hattingen J, Clusmann H, Meyer B, Koenig R, Urbach H (2004) Planar brain surface reformations for localization of cortical brain lesions. Zentralbl Neurochir 65(2):75–80. doi:10.1055/s- 2004-816271 Hirai T, Korogi Y, Yoshizumi K, Shigematsu Y, Sugahara T, Takahashi M (2000) Limbic lobe of the human brain: evaluation Table 2 Additional or alternative MRI sequences Sequence T1-weighted TSE T2-weighted FFE DWI DTI 3D FLAIR Orientation Coronal Axial Axial Axial Sagittal FOV 230 230 256 256 250 RFOV 0.8 0.8 1 1 100 Matrix 256 256 128 128 228 Scan (%) 79.9 79.9 97.8 98.4 100 TI (ms) 1,600 TR (ms) 550 601 3,151 11,374 4,800 TE (ms) 13 18 69 63 309 FA (°) 90 18 90 90 90 SENSE factor No No 3 (AP) 2.2 (AP) 2.5 (AP), 2 (RL) Slice thickness 5 5 5 2 1.1 Interslice gap 1 1 1 0 0 No. of slices 24 24 24 60 327 No. of excitations 1 1 2 1 2 Acquisition voxel size (mm3 ) 0.9 9 1.12 9 5 0.9 9 1.12 9 5 2 9 2.4 9 5 2 9 2.03 9 2 1.1 9 1.1 9 1.1 Recorded voxel size (mm3 ) 0.45 9 0.45 9 5 0.45 9 0.45 9 5 1 9 1 9 5 2 9 2 9 2 0.43 9 0.43 9 0.55 Acquisition time 4 min 33 s 1 min 41 s 1 min 9 s 6 min 26 s 4 min 43 s DWI diffusion-weighted imaging, DTI diffusion tensor imaging, SWI susceptibility-weighted imaging How to Perform MRI 35
  • 42.
    with turbo fluid-attenuatedinversion-recovery MR imaging. Radi- ology 215(2):470–475 Kassubek J, Huppertz HJ, Spreer J, Schulze-Bonhage A (2002) Detection and localization of focal cortical dysplasia by voxel- based 3-D MRI analysis. Epilepsia 43(6):596–602 King MA, Newton MR, Jackson GD, Fitt GJ, Mitchell LA, Silvapulle MJ, Berkovic SF (1998) Epileptology of the first-seizure presen- tation: a clinical, electroencephalographic, and magnetic resonance imaging study of 300 consecutive patients. Lancet 352(9133): 1007–1011. doi:10.1016/S0140-6736(98)03543-0 Nelles M, Bien CG, Kurthen M, von Falkenhausen M, Urbach H (2006) Transient splenium lesions in presurgical epilepsy patients: incidence and pathogenesis. Neuroradiology 48(7):443–448. doi: 10.1007/s00234-006-0080-5 Pruessmann KP, Weiger M, Scheidegger MB, Boesiger P (1999) Sense: sensitivity encoding for fast MRI. Magn Reson Med 42(5):952–962 Saini J, Kesavadas C, Thomas B, Kapilamoorthy TR, Gupta AK, Radhakrishnan A, Radhakrishnan K (2009) Susceptibility weighted imaging in the diagnostic evaluation of patients with intractable epilepsy. Epilepsia 50(6):1462–1473 Urbach H, Hattingen J, von Oertzen J, Luyken C, Clusmann H, Kral T, Kurthen M, Schramm J, Blumcke I, Schild HH (2004) MR imaging in the presurgical workup of patients with drug-resistant epilepsy. Am J Neuroradiol 25(6):919–926 Urbach H, Scheffler B, Heinrichsmeier T, von Oertzen J, Kral T, Wellmer J, Schramm J, Wiestler OD, Blumcke I (2002) Focal cortical dysplasia of Taylor’s balloon cell type: a clinicopatholog- ical entity with characteristic neuroimaging and histopathological features, and favorable postsurgical outcome. Epilepsia 43(1): 33–40 Wagner J, Weber B, Urbach H, Elger CE, Huppertz HJ (2011) Morphometric mri analysis improves detection of focal cortical dysplasia type II. Brain 134(Pt 10):2844–2854. doi:10.1093/ brain/awr204 Wilke M, Kassubek J, Ziyeh S, Schulze-Bonhage A, Huppertz HJ (2003) Automated detection of gray matter malformations using optimized voxel-based morphometry: a systematic approach. Neuroimage 20(1):330–343 Willinek WA, Kuhl CK (2006) 3.0 T neuroimaging: technical considerations and clinical applications. Neuroimaging Clin N Am 16 (2):217–228. doi:10.1016/j.nic.2006.02.007 Willinek WA, Schild HH (2008) Clinical advantages of 3.0 T MRI over 1.5 T. Eur J Radiol 65(1):2–14. doi:10.1016/j.ejrad.2007. 11.006 36 H. Urbach
  • 43.
    MRI of Children RobertSassen and Horst Urbach Contents 1 Clinical Presentation ........................................................... 37 1.1 Children with a First Seizure................................................ 37 1.2 Children with Epilepsy Syndromes ...................................... 38 2 Preparation........................................................................... 38 3 Imaging ................................................................................. 38 References...................................................................................... 41 Abstract MRI in children with epilepsies is different for mainly two reasons: 1) Children are generally unable to lie still for MRI. In order to acquire high-resolution MR images general anaesthesia is the preferred sedation method. 2) Ongoing myelination during the first two or three years of life make MR interpretation difficult. In the first 6 months of life, high resolution T2-weighted images have the highest diagnostic potential. During the phase of signal reversal (between 6 and 18 months of age) it may be difficult to detect epileptogenic lesions. If a MRI scan is ‘‘negative’’ at this age, it should be repeated after the age of 2 or 3. 1 Clinical Presentation The clinical context determines if and how MRI is performed: 1.1 Children with a First Seizure When a child presents with a first seizure in life, one should have in mind that the risk of having a first seizure is highest in the first year of life and in patients older than 65 years (Olafsson et al. 2005). The most common seizure type in children is febrile seizures. Approximately one third of children in studies from emergency departments who are evaluated for a ‘‘first’’ seizure will be recognized as having an epilepsy syndrome (Gaillard et al. 2009). Up to one quarter of first seizures occur in the context of genetic (formerly idiopathic) generalized epilepsies, and another one fifth are genetic partial epilepsies, mainly benign rolandic and occipital epilepsies (King et al. 1998). Imaging in children with a first seizure is performed to identify a lesion requiring urgent intervention (hydrocepha- lus, tumor, stroke, hemorrhage, sinus thrombosis, metabolic, etc.) (see Figs. 1, 2 in ‘‘What To Do After a First Seizure’’). R. Sassen Department of Epileptology, University of Bonn, Bonn, Germany H. Urbach (&) Department of Neuroradiology, University Hospital Freiburg, Germany e-mail: horst.urbach@uniklinik-freiburg.de H. Urbach (ed.), MRI in Epilepsy, Medical Radiology. Diagnostic Imaging, DOI: 10.1007/174_2012_560, Ó Springer-Verlag Berlin Heidelberg 2013 37
  • 44.
    If the clinicalhistory and the EEG, however, point to a genetic epilepsy syndrome and neurologic examination findings are normal, MRI is typically unrevealing. Genetic epilepsy syndromes without significant imaging abnormali- ties include rolandic epilepsy, childhood absence epilepsy, juvenile absence epilepsy, and juvenile myoclonic epilepsy (see Table 1 in ‘‘Epilepsy Syndromes’’) (Gaillard et al. 2009). Febrile seizures occur with an incidence of 2–5% until the age of 5 years. They are defined as seizures occurring in febrile children between the ages of 6 months and 5 years who do not have an intracranial infection, metabolic distur- bance, or a history of febrile seizures. They occur most fre- quently between the 18th and 24th months of age (90% below 3 years of age, 50% within the second year of life). Febrile seizures are subdivided into two categories: simple (80–90%) and complex (10–20%). Simple febrile seizures last for less than 15 min, are generalized (without a focal component), and occur once in a 24-h period, whereas complex febrile seizures are prolonged (mote than 15 min), are focal, or occur more than once in 24 h. Simple febrile seizures are not associated with subsequent epilepsy or cognitive deficits, whereas complex febrile seizures are linked with the development of temporal lobe epilepsy and hippocampal sclerosis. Whether temporal lobe epilepsy is the consequence of complex febrile seizures or the child has complex febrile seizure because the hippocampus was previously damaged by a prenatal or perinatal insult or by genetic predisposition is a matter of debate. The current concept is to consider the association between complex febrile seizures and temporal lobe epilepsy resulting from complex interactions between several genetic and environmental factors. Simple febrile seizures are not an indication for MRI, whereas complex febrile seizures are (King et al. 1998; Bernal and Altman 2003). In patients with temporal lobe epilepsy, 30% of patients with hippocampal sclerosis as compared with 6% of patients without hippo- campal sclerosis had complex febrile seizures in childhood (Falconer et al. 1964). 1.2 Children with Epilepsy Syndromes Children with epileptic encephalopathies (see Table 1 in ‘‘Epilepsy Syndromes’’) are studied with MRI to find an underlying structural lesion. For example, in infants with infantile spasms (West syndrome) tuberous sclerosis is a common finding. However, in around 40% of patients with this encephalopathic syndrome, no lesions are found (Osborne et al. 2010). Rarely, a circumscribed lesion may be found, enabling surgical resection and dramatically changing the child’s prognosis (Fig. 1). In children with seizure types, age at presentation, and EEG findings pointing to a genetic epilepsy syndrome of (see above), MRI is typically unrevealing. Because some nongenetic epilepsies may sometimes mimic these genetic epilepsy syndromes, MRI is recommended in these patients if they present with any atypical features such as abnormal neurologic or intellectual development, difficult-to-treat seizures, or unusual course. There is insufficient evidence to comment on the role of not imaging in other less common ‘‘benign’’ or generalized epilepsy syndromes which may be difficult to differentiate from symptomatic epilepsies [e.g., other idiopathic focal epilepsies (childhood epilepsy with occipital paroxysms), primary reading epilepsy, and idio- pathic generalized epilepsies (benign neonatal convulsions, benign myoclonic epilepsies of infancy, and epilepsy with seizures precipitated by specific modes of activation)] (Caraballo et al. 1997a, b). In children with focal, possibly drug-resistant epilepsy syndromes, the effort to generate high-quality magnetic resonance images is greatest. If these patients are uncoop- erative and unable to tolerate sequences lasting around 5 min, general anesthesia including sedation and intubation is needed. This effort is derived from the fact that focal cor- tical dysplasias which may be subtle are one of the most common causes of seizures in children with drug-resistant epilepsy, accounting for nearly 80% of all surgically treated cases in children under 3 years of age (Cepeda et al. 2006). 2 Preparation Young children or those with learning difficulties are gen- erally unable to lie still for neuroimaging. If general anes- thesia is not available, orally administered chloral hydrate (50–100 mg/kg body weight, maximum 2 g) may serve as alternative (Cox et al. 2011; Schulte-Uentrop and Goepfert 2010). Finding the right chloral hydrate dose is difficult because children may refuse, spit out, or vomit the unpal- atable syrup. If contrast-medium injection is needed, a ‘‘needle’’ has to be placed before administering chloral hydrate, otherwise the child will wake up, rendering con- trast-enhanced MRI impossible. About 20% of the patients need oxygen to keep oxygen saturation above 92%. Snoring leads to vibration artifacts and the requirement of a special head and neck position in the scanner. 3 Imaging Brain magnetic resonance images of children up to 3 years of age are different from those of adults mainly due to incomplete white matter myelination. After 3 years of age, the signal characteristics are similar to those in adult brains, but the heads are smaller. In children 8 years of age or older, the head size not longer increases appreciably with age. 38 R. Sassen and H. Urbach
  • 45.
    Myelin is alipid-rich membrane with low protein and water content. Myelin contains only 40% water, and the nonmyelin portion of white matter contains about 80% water (van der Knaap and Valk 1990, 2005, p 1-19). Myelination begins in the cranial nerves in the fifth fetal month. It proceeds from caudal to cephalad, from dorsal to ventral, and from central to peripheral. Functional systems that are used early in life (precentral and postcentral gyri, occipital cortex) myelinate before those using association fibers (posterior parietal, frontal, and temporal areas). Peripheral white matter myelinates last. Myelination starts at 9–12 months in the posterior parts, at 11–14 months in the frontal lobes, and thereafter in the temporal lobes. Increased white matter signal intensity in the anterior part of the temporal lobe, which accompanies hippocampal sclerosis in a significant percentage of patients, may therefore represent a maturation disorder and not an asso- ciated cortical dysplasia (Schijns et al. 2011). On MRI, myelination is associated with shortening of the T1 and T2 relaxation times, reduced water diffusion, increased diffusion anisotropy, and increased magnetization transfer. Accordingly, the white matter signal changes from hypointense to hyperintense relative to gray matter on T1-weighted images and from hyperintense to hypointense relative to gray matter on T2-weighted images (Barkovich 2000; Barkovich et al. 1988) During the phase of signal reversal (between 6 and 18 months of age) it may be difficult to detect subtle epileptogenic lesions. It may be easier to detect, e.g., focal cortical dysplasias shortly after birth or at the age of 2 or 3 years, when signal differences between gray Fig. 1 Large left frontal focal cortical dysplasia type IIB in a 3- month-old girl with infantile spasms (West syndrome). The lesion is best visible on T2-weighted images (a, d–f), easily overlooked on fluid-attenuated inversion recovery (FLAIR) images (b), and not visible on T1-weighted images (c). Note the high (inversed) signal of the unmyelinated white matter on T2-weighted images. Contrast between gray matter and white matter on T1-weighted images is worse at 3 T as compared with 1.5 T as the T1 relaxation is around 30% shorter and the relaxation times of gray matter and white matter converge. White matter maturation leading to an increased signal on T1-weighted images starts in the deep white matter posteriorly and extends latest in the subcortical frontal and temporal lobe white matter (Barkovich. Pediatric Neuroimaging. Lippincott Williams and Wilkins, Philadelphia 2000) MRI of Children 39
  • 46.
    matter and whitematter have evolved again (Eltze et al. 2005). If MRI is performed between 9 and 18 months of age and the findings are negative, another scan after 2 years of age should be performed (Vezina 2011). Unmyelinatedwhite matterishyperintenseonT2-weighted images. Increasing the repetition time (4,000–5,000 ms minimum) typically improves contrast. In addition, an increased echo time can help exploit minimal available contrast in infants. As the inherent signal-to-noise ratio of T2-weighted turbo spin echo images is high, these adjustments are made without adverse effects on overall image quality. T1-weighted spin echo images in infants are noisy since infant brains have ample water but minimal myelin. At high field strengths, longer T1 relaxation time, converging T1 relaxation times of gray matter and white matter, and inherent magnetizationtransfer contrast effectsfurther reduce contrast. By the age of 3 years, spin echo T1 contrast approximates that of adults. Three-dimensional T1-weighted gradient echo images are a good alternative to T1-weighted spin echo images in terms of spatial resolution, signal-to-noise ratio, and T1 contrast. However, contrast enhancement of lesions can be different and more prominent on spin echo images. Fig. 2 Large left frontal focal cortical dysplasia type IIB in a boy with complex focal seizures. Axial FLAIR images were acquired at the age of 2 years (a), 2.5 years (b), 3.5 years (c), and 4 years (d–f; e shows a reformatted 1-mm-thick image from a sagittal 3D FLAIR data set with an orientation similar to that in a–c). FLAIR imaging is of little value in the first 3 years of life as the signal difference between cortex and white matter is low and the subcortical hyperintensity representing the balloon-cell-rich and hypomyelinated zone is not present yet. At these time points, T2-weighted images display the distorted cortical anatomy (f), which is better appreciated on high-field MRI owing to an increased signal-to-noise ratio and spatial resolution. Hematoxylin–eosin staining (9400) shows a balloon cell (arrowhead) with an eccentric nucleus and gigantic opaque/ eosinophilic cytoplasm. Compare the size of the balloon cell and that of two neighboring neurons (arrows). (Courtesy of A. Becker, Department of Neuropathology, University of Bonn) 40 R. Sassen and H. Urbach
  • 47.
    FLAIR sequences havea limited value in children up to 3 years due to their inherent T1 contrast and the lower signal to noise ratio of inversion recovery techniques (Fig. 2). In addition, the high heart rate of small children lead to more flow artifacts compared to adults. Magnetization transfer imaging is a helpful alternative imaging modality in children older than 3 years. Magneti- zation transfer is based on the interaction between mobile free water protons and macromolecular bound protons. An off-resonance radiofrequency pulse saturates protons bound to macromolecules, mainly in the myelin sheaths. Owing to spin–spin interactions, the saturation effect is transferred to surrounding mobile free protons. This results in a signal decrease from the mobile protons and an overall suppres- sion of signal from brain tissue. If a lesion has a low myelin fraction or contains abnormal myelin, signal suppression is lower than that in the healthy white matter. Thus, a lesion may appear as hyperintense on magnetization transfer images. Magnetization transfer images have been shown to be superior in the detection of white matter lesions in tuberous sclerosis complex (Pinto Gama et al. 2006; Woermann and Vollmar 2009), and similarly in some focal cortical dysplasias (Rugg-Gunn et al. 2003). During the first 3 years of life, high-resolution T2- weighed fast spin echo images have the highest diagnostic yield to detect and to delineate epileptogenic lesions (Fig. 1). Afterwards, FLAIR sequences are the most important ones. If a 3D FLAIR sequence cannot be acquired, we recommend acquiring FLAIR sequences in axial, coronal, and sagittal orientations. The first goal of MRI in epilepsy patients is the detection of an epileptogenic lesion. With careful MRI interpretation, lesions are visible without additional intravenous contrast medium injections. Contrast medium injections are usually needed to characterize a lesion but not to find it (Elster and Mirza 1991). Like in adults, we acquire contrast-enhanced T1-weighted spin echo sequences in epileptogenic lesions other than hippocampal sclerosis in order to characterize the lesion (Gaillard et al. 2009). References Barkovich AJ (2000) Concepts of myelin and myelination in neuroradiology. AJNR Am J Neuroradiol 21(6):1099–1109 Barkovich AJ, Kjos BO, Jackson DE Jr, Norman D (1988) Normal maturation of the neonatal and infant brain: MR imaging at 1.5 T. Radiology 166(1 Pt 1):173–180 Bernal B, Altman NR (2003) Evidence-based medicine: neuroimaging of seizures. Neuroimaging Clin N Am 13(2):211–224 Caraballo R, Cersosimo R, Galicchio S, Fejerman N (1997a) Benign infantile familial convulsions. Rev Neurol 25 (141):682–684 Caraballo RH, Cersosimo RO, Medina CS, Tenembaum S, Fejerman N (1997b) Idiopathic partial epilepsy with occipital paroxysms. Rev Neurol 25 (143):1052–1058 Cepeda C, Andre VM, Levine MS, Salamon N, Miyata H, Vinters HV, Mathern GW (2006) Epileptogenesis in pediatric cortical dysplasia: the dysmature cerebral developmental hypothesis. Epilepsy Behav 9(2):219–235. doi:10.1016/j.yebeh.2006.05.012 Cox RG, Levy R, Hamilton MG, Ewen A, Farran P, Neil SG (2011) Anesthesia can be safely provided for children in a high-field intraoperative magnetic resonance imaging environment. Paediatr Anaesth 21(4):454–458. doi:10.1111/j.1460-9592.2011.03528.x Elster AD, Mirza W (1991) Mr imaging in chronic partial epilepsy: role of contrast enhancement. AJNR Am J Neuroradiol 12(1):165–170 Eltze CM, Chong WK, Bhate S, Harding B, Neville BG, Cross JH (2005) Taylor-type focal cortical dysplasia in infants: some MRI lesions almost disappear with maturation of myelination. Epilepsia 46(12):1988–1992. doi:10.1111/j.1528-1167.2005.00339.x Falconer MA, Serafetinides EA, Corsellis JA (1964) Etiology and pathogenesis of temporal lobe epilepsy. Arch Neurol 10:233–248 Gaillard WD, Chiron C, Cross JH, Harvey AS, Kuzniecky R, Hertz- Pannier L, Vezina LG (2009) Guidelines for imaging infants and children with recent-onset epilepsy. Epilepsia 50(9):2147–2153. doi:10.1111/j.1528-1167.2009.02075.x King MA, Newton MR, Jackson GD, Fitt GJ, Mitchell LA, Silvapulle MJ, Berkovic SF (1998) Epileptology of the first-seizure presentation: a clinical, electroencephalographic, and magnetic resonance imaging study of 300 consecutive patients. Lancet 352(9133):1007–1011. doi:10.1016/S0140-6736(98)03543-0 OlafssonE,LudvigssonP,GudmundssonG,HesdorfferD,KjartanssonO, Hauser WA (2005) Incidence of unprovoked seizures and epilepsy in Iceland and assessment of the epilepsy syndrome classification: a prospective study. Lancet Neurol 4(10):627–634. doi:10.1016/ S1474-4422(05)70172-1 Osborne JP, Lux AL, Edwards SW, Hancock E, Johnson AL, Kennedy CR, Newton RW, Verity CM, O’Callaghan FJ (2010) The underlying etiology of infantile spasms (West syndrome): information from the United Kingdom Infantile Spasms Study (UKISS) on contemporary causes and their classification. Epilepsia 51(10):2168–2174. doi:10.1111/j.1528-1167.2010.02695.x Pinto Gama HP, da Rocha AJ, Braga FT, da Silva CJ, Maia AC Jr, de Campos Meirelles RG, Mendonca do RJI, Lederman HM (2006) Comparative analysis of MR sequences to detect structural brain lesions in tuberous sclerosis. Pediatr Radiol 36(2):119–125. doi: 10.1007/s00247-005-0033-x Rugg-Gunn FJ, Eriksson SH, Boulby PA, Symms MR, Barker GJ, Duncan JS (2003) Magnetization transfer imaging in focal epilepsy. Neurology 60(10):1638–1645 Schijns OE, Bien CG, Majores M, von Lehe M, Urbach H, Becker A, Schramm J, Elger CE, Clusmann H (2011) Presence of temporal gray-white matter abnormalities does not influence epilepsy surgery outcome in temporal lobe epilepsy with hippocampal sclerosis. Neurosurgery 68 (1):98–106; discussion 107. doi:10.1227/NEU. 0b013e3181fc60ff Schulte-Uentrop L, Goepfert MS (2010) Anaesthesia or sedation for MRI in children. Curr Opin Anaesthesiol 23(4):513–517. doi: 10.1097/ACO.0b013e32833bb524 van der Knaap M, Valk J (1990) MR imaging of the various stages of normal myelination during the first year of life. Neuroradiology 31(6):459–470 van der Knaap M, Valk J (2005) Magnetic resonance of myelination and myelin disorders. Springer Berlin Heidelberg, New York, pp 1–19 Vezina LG (2011) MRI-negative epilepsy: protocols to optimize lesion detection. Epilepsia 52(Suppl 4):25–27. doi:10.1111/j.1528-1167. 2011.03147.x Woermann FG, Vollmar C (2009) Clinical MRI in children and adults with focal epilepsy: a critical review. Epilepsy Behav 15(1):40–49. doi:10.1016/j.yebeh.2009.02.032 MRI of Children 41
  • 48.
    Functional MRI Jo¨rg Wellmer Contents 1Introduction.......................................................................... 43 1.1 Methodology of fMRI ........................................................... 44 1.2 Shortcomings of fMRI .......................................................... 44 1.3 Safe Clinical Application of fMRI for Different Indications.............................................................................. 46 References...................................................................................... 48 Abstract Functional magnetic resonance imaging (fMRI) is an abundantly applied tool for the preoperative localization and/orlateralizationofbrainfunctions.Itisnoninvasiveand therefore apparently without risk for patients. However, the particular risk of fMRI lies in several methodological limitations which can give rise to misinterpretations. These can result in fatal surgical decisions, for example, the resectionofundetectedfunctionalcortexorthe unnecessary sparing of tissue which has to be removed to achieve freedom from seizures. This chapter explains the method- ological aspects of fMRI with special focus on its limita- tions, but also gives recommendations for safe clinical application of fMRI. 1 Introduction Epilepsy surgery aims at achieving freedom from seizures by resecting the epileptogenic zone without causing unexpected neurological sequelae. A particular challenge is that in epi- lepsy patients the functional anatomy of sensorimotor, lan- guage, and memory systems shows interindividual variability (Helmstaedter et al. 1997; Staudt 2010). The reasons for in- trahemispheric or interhemispheric shift of functions can be interictal or ictal epileptic discharges or morphological lesions (Staudt 2010; Janszky et al. 2003; Weber et al. 2006). Traditionally, inactivating methods such as the Wada test (Baxendale 2009) or electrical stimulation mapping (ESM) (Berger et al. 1989; Hamberger 2007) are applied to identify the individual functional anatomy. These methods produce a transient functional lesion and indicate whether surgery in the inactivated area would cause a persisting functional deficit. Both methods carry some risk of morbidity although for the Wada test large studies have shown a risk of permanent morbidity of only around 0.5% (Loddenkemper et al. 2008; Haag et al. 2008). Also, extraoperative electrical stimulation has an acceptable risk–benefit ratio (Wellmer et al. 2012). J. Wellmer (&) Ruhr-Epileptology, Department of Neurology, University Hospital Knappschaftskrankenhaus Bochum, Germany e-mail: joerg.wellmer@kk-bochum.de H. Urbach (ed.), MRI in Epilepsy, Medical Radiology. Diagnostic Imaging, DOI: 10.1007/174_2012_563, Ó Springer-Verlag Berlin Heidelberg 2013 43
  • 49.
    However, several alternativemethods have been devel- oped which allow noninvasive lateralization and localiza- tion of cerebral functions. The most abundantly distributed is functional MRI (fMRI). As most noninvasive methods, fMRI is an activation method (Desmond and Annabel Chen 2002). Patients are instructed to perform specific tasks fol- lowing a strict protocol, and via a surrogate parameter (spatial distribution of activation-related cerebral perfusion changes) the intracerebral localization of the tested function is determined (Fig. 1). In fact, many studies have described congruence between fMRI and the Wada test (Binder et al. 1996) or ESM (FitzGerald et al. 1997; Yetkin et al. 1997), in particular for language lateralization and localization. Yet, fMRI has several methodological limitations which can affect its validity. These limitations have to be known to physicians who apply or request fMRI in a presurgical setting. Therefore, this chapter addresses the methodologi- cal aspects and shortcomings of fMRI before finally giving recommendations regarding its safe clinical application. For reasons of clarity, this chapter concentrates on fMRI for sensorimotor, language, and memory functions. 1.1 Methodology of fMRI For fMRI the patient is positioned in a standard MRI scanner. Following a predefined time schedule, the patient has to perform simple motor to complex cognitive tasks alternating with control conditions. Instructions are given to the patient either auditorily (through headphones) or visually (via a mirror or goggles). For fMRI of the sensory system, tactile stimuli are applied to the patient. In response to the execution of the task, neuronal activity and oxygen consumption are elevated in areas associated with this task (e.g., finger-tapping results in increased neuronal activity in the hand motor cortex). The oxygen consumption results in a transient increase in deoxyhemoglobin (desoxy- Hb), but neurovascular coupling leads to an immediate regional surplus of oxyhemoglobin (oxy-Hb). The relative oxy-Hb surplus persists until shortly after termination of the task, then the oxy-Hb/desoxy-Hb ratio drops back to the baseline. Since oxy-Hb is more diamagnetic than desoxy-Hb, regional oxy-Hb hyperperfusion leads to subtle magnetic changes which can be identified in serial T2*-weighted images (for review, see Logothetis 2002). By statistical parametric mapping (http://www.fil.ion.ucl.ac.uk/spm/) or other techniques, one can statistically evaluate subsequent series of images acquired during the active condition and the control condition. Areas that show changes in magnetic signal temporally associated with the protocol-defined course of the active and the control condition are identified and visualized. 1.2 Shortcomings of fMRI Although the principle of fMRI is simple and logical, there are a number of limitations to this technique which call for care when interpreting activation patterns. Six exemplary limitations are as follows. Fig. 1 Principle of fMRI, blocked design. Panel A: blood oxygena- tion level dependent (BOLD) effect: following a defined stimulus the oxygen-need is increased in areas associated with stimulus processing. This causes a regional transient decrease of oxy-Hb (1), but due to the neurovascular response the regional supply with oxy-Hb increases, exceeding the oxygen-consumption (2). After the stimulus processing ends (3) excess perfusion stops and the oxy-Hb level returns to baseline. Panel B: Oxy-Hb is more diamagnetic than desoxy-Hb. The regional oxy-Hb hyperperfusion leads to subtle magnetic changes which can be identified in serial T2* weighted images. By statistical comparison of MRI-scans acquired during the active and the control condition, stimulus-associated T2*-changes can be identified and visualized, for example overlaid to a morphological MRI scan of the patient. Alternative to the blocked design shown here event-related protocols can be applied. However, they are statistically less robust in clinical routine 44 J. Wellmer
  • 50.
    1. Thresholds foractivated versus nonactivated voxels. Whether brain areas (more precisely, voxels) are con- sidered activated or not depends on a threshold defini- tion. The magnitude of T2*-signal changes between the active and the resting condition is usually expressed as p or z scores. To prevent unspecific activation from blurring task-related activation, only activation increases above a defined threshold are regarded as clinically significant. However, there is no standard threshold which is valid for different tasks, patients, or even repeated experiments in the same individual (Loring et al. 2002; Jansen et al. 2006). In consequence, the size of cortex attributed to a given task varies as a function of an arbitrarily chosen activation threshold. In language fMRI, the choice of activation threshold even can determine whether a predominance of left or right hemispheric activation is seen (Ruff et al. 2008). Both false-negative and false-positive activations have to be avoided (Desmond and Annabel Chen 2002; Loring et al. 2002). There have been attempts to adjust the threshold to the activation level of an individual examination. Fernandez et al. (2001) suggest determining the z-score threshold as follows: 50% of the median z score of those 5% of voxels which show the maximum activation changes. Another possibility to overcome threshold dependency is the use of a bootstrap algorithm which takes different thresholds into account and also allows one to detect statistical outliers (Wilke and Schmithorst 2006). Still, the selection of the threshold remains to some extent arbitrary, making the result of an fMRI examination dependent on subjective assumptions (Jansen et al. 2006). 2. Choice of regions of interest. Language and memory tasks more than sensorimotor tasks result in complex activation patterns; however, not all activated voxels necessarily correlate with the target parameter (e.g., activated visual cortex in the case of a visually presented language task). Predefined regions of interest (ROIs) can help to focus evaluation on the target parameter and to exclude unspecific activation from the determination of lateralization indices (LIs) (Rutten et al. 2002; Spreer et al. 2002; Loring et al. 2002). In fact, LIs are higher when determination of left and right hemispheric acti- vation is restricted to ROIs compared with whole hemispheric evaluations (Rutten et al. 2002). However, protocol-specific ROIs are often created by random effects analysis of examinations in healthy controls. Problems arise when in epilepsy patients language areas moved out of the ROIs because of plasticity. Then, the LI determined is too low and the result may be incor- rectly interpreted as bilateral language representation. 3. Choice of activation protocols. In sensorimotor proto- cols, the selection of activation tasks is rather simple: repetitive movements or tactile stimulation against rest. In language and memory fMRI, simple activation tasks often cannot display the anatomy of the whole functional system (Price 2000; Swanson et al. 2007; Bonelli et al. 2010). Relying on a task which depicts only one subaspect of the functional system may result in wrong lateralization, for example, in the case of crossed expres- sive and receptive language dominance (Kurthen et al. 1994) or crowding of mnestic functions (Helmstaedter et al. 2004). Language tasks relying on a semantic decision making, however, can activate several language subsys- tems (Swanson et al. 2007). In more complex language and memory protocols, evaluation of more than the ROI can help to identify the underlying anatomy (Wellmer et al. 2008; Bonelli et al. 2010). Applying a task battery can increase the sensitivity for atypical language organi- zation. However, each task should be evaluated separately for hints at atypical representation. Combined task anal- ysis (Ramsey et al. 2001) may produce robust statistical results, but areas activated just in one of several tasks may be missed. Not only the active condition of a protocol has an influence on the result of an examination. The final fMRI activation pattern usually results from a sub- traction of the control from the active condition. In the case of language and memory fMRI, continued or self- initiated semantic or linguistic processing cannot be excluded when the control condition is passive (blank screen or crosshair) (Binder et al. 1999; Swanson et al. 2007). This, however, would result in a contrast lan- guage minus language. So, even a strong language lateralization can be missed. The same applies for memory tasks. Ideally, language and memory fMRI protocols follow the principle of a ‘‘tight comparison’’ (Donaldson and Buckner 2001) and use attention demanding nonlinguistic or nonmemory control condi- tions with continuous performance control. 4. Choice of LI for lateralized or bilateral language or memory functions. When for clinical purposes language or memory activation patterns are to be trichotomized into unilateral left, bilateral, or unilateral right, quotients of left and right activation can be calculated and threshold values defined. Again, there are no generally accepted thresholds. Studies comparing language fMRI with the Wada test commonly apply very liberal thresholds for unilateral language dominance. They often range between ± 0.1 and 0.265 (Liegeois et al. 2004; Adcock et al. 2003). Low LI thresholds are problematic for two reasons. Firstly, they lead to the overdiagnosis of unilaterality of language. Patients with bilateral language organization according to a Wada test but some lateralization in fMRI (e.g., above an LI of 0.2) will be misdiagnosed as unilateral dominant. In a semantic Functional MRI 45
  • 51.
    comparison task (wordpairs vs. letter string pairs) we found that only an LI of 0.85 for the least lateralized of three ROIs allowed diagnosis of unilateral language dominance in accordance with the Wada test (Wellmer et al. 2008). Below an LI of 0.85 for the least lateralized ROI, fMRI was not able to discriminate between uni- lateral and bilateral language dominance. Secondly, application of low LI thresholds leads to an overestimation of concordance rates between fMRI and the Wada test. In the study of Sabbah et al. (2003) for an LI threshold of 0.2, the concordance between fMRI and the Wada test was 95%. However, for LI thresholds of 0.4, 0.6, and 0.8, the concordance rates would have been 80, 35, and 15%, respectively. Therefore, it must be hypothesized that a number of studies comparing fMRI and the Wada test gave too optimistic concordance rates. 5. No discrimination of function-essential and function- associated cortex. In contrast to inactivation methods which test for the functional reserve capacity of nonin- activated cortex, fMRI indicates in which brain areas metabolic changes occur temporally associated with a particular task. This does not mean that the activated part of the brain is essential for the correct execution of the task and that its removal during epilepsy surgery has to be prevented (Desmond and Annabel Chen 2002). 6. Questionable validity of fMRI near lesions. A key indi- cation for fMRI is to validate if the relevant functions overlap or are close to cerebral lesions. However, this assumes that fMRI is not affected by the lesion itself. A comparison of patients without lesions and with lesions with potential to interfere with the blood-oxygen-level- dependent (BOLD) effect (e.g., by altered vasoreactivity or susceptibility artifacts due to hemosiderin deposits) or large defects affecting automated MRI normalization showed that the validity of fMRI activation patterns close to lesions cannot be taken for granted (Wellmer et al. 2009). However, further examinations have to follow. Until innocuousness is proven, uncritical inter- pretation of fMRI activation patterns close to lesions should be avoided. 1.3 Safe Clinical Application of fMRI for Different Indications The methodological shortcomings affect different fMRI applications to a variable extent. The most relevant problem for sensorimotor fMRI is shortcoming 1. By changing the statistical threshold for activated versus nonactivated voxels, one can generate any result from no activation (high threshold) to abundant bilateral activation (low threshold) (Fig. 2); therefore, fMRI is by no means able to exactly define the limits of functional cerebral structures. Never should a neurosurgeon perform a resection on the basis of an activation pattern which is based on an arbitrarily chosen threshold. Shortcoming 6 raises concerns regarding the validity of fMRI near lesions. However, further studies addressing the effect of lesions on fMRI are required. Sensorimotor fMRI should only be applied for orientation. A robust fMRI activation can be a strong indicator for the localization of a function, but for precise localization of essential functions ESM should be applied. Language fMRI is prone to all the shortcomings listed. A way to apply language fMRI safely is to maximize its specificity for unilateral language dominance and to embed it into an algorithm with the Wada test and ESM. As summarized in Table 1, the threshold for activated voxels should be adjusted to the individual activation level or other sophisticated threshold determinations should be applied. Fig. 2 Finger tapping paradigm (right hand). The extent of activation depends on the chosen statistical threshold for activated vs. non- activated voxels. A: T=1.29; B: T=1.66; C: T=2.61. At even higher thresholds, the activation disappears. The choice of threshold is arbitrary. Surgeons should not define margins of functions based on fMRI-activations 46 J. Wellmer
  • 52.
    Protocol-specific ROIs shouldbe applied. The LI threshold for unilateral language dominance should be high, ideally protocol-specific and validated with Wada-tested patients. The protocol applied should be designed as a tight com- parison where the language–control contrast reliably shows only language functions. It should stimulate receptive and expressive language functions. Application of a task battery can increase the sensitivity for atypical dominance as long as the tasks are evaluated separately. The control condition should prevent self-initiated linguistic processing, and active and control conditions should underlie continuous performance control to recognize malcompliance during either condition. Finally, if lesions with potential to inter- fere with the BOLD effect lie in or close to an ROI, the validity of fMRI (in particular in the case of the absence of activation) should be scrutinized. If fMRI is applied according to the specified requirements and shows clear unilateral dominance, its result can be utilized in the pre- surgical workup. If fMRI fails to meet the protocol-specific criteria for unilateral language dominance, its result should be disregarded. Then a Wada test and/or ESM should be performed. Algorithms describing the application of fMRI, the Wada test, and ESM for language lateralization and localization are given in Fig. 3. Memory fMRI is the most challenging of the three appli- cations discussed here. Again, all methodological limitations described have to be taken into account. The most compli- cated aspect of memory fMRI is the definition of an activation protocol. In memory fMRI not only the choice of verbal and nonverbal material is of relevance for quantifying dominant Table 1 Effects of subjective presettings on the result of fMRI-based language lateralization and localization, related to the six discussed pitfalls. If a clinical decision shall be made on fMRI, its specificity must be maximized (small a). If fMRI fails to deliver an unequivocal result, inactivation techniques such as the Wadatest and ESM school be applied according to an indication-specific algorithms (Fig. 3) Type I error Type II error Clinical requirement Activation threshold Low High a small ROI Large Small a small LI threshold Low High a small Protocol design Loose comparison Tight comparison a small Control task Passive Active a small Effect of lesions Ignore Regard a small ROI region of interest, LI lateralization index Fig. 3 a Algorithm for the application of fMRI and Wada-test when language dominance assessment is performed to allow the interpre- tation of neuropsychological results. The key question is whether a patient is unilateral left or right dominant for language (Helmstaedter et al. 2004). If fMRI is performed according to the methodological requirements and shows protocol specific clear unilateral language dominance, this result is reliable and no further examination is required. If the result of fMRI is ambiguous, a unilateral Wada Test on the hemisphere of intended surgery should be performed. If this already proves bilateral language distribution, no futher Wada-test is required, the result is atypical language dominance. If the first Wada is still conformable with unilateral language dominance, the contralateral Wada has to be performed. Now, a definite language lateralization score can be computed. For the principle of uni- and bilateral Wada-performance see: (Wellmer et al. 2005). b Algorithm for the application of fMRI, Wada-test and electrical stimulation mapping (ESM) for language localization. Key issue is to exclude relevant language cortex in the area of intended surgery. If fMRI is performed according to the methodological requirements and shows unilateral language dominance contralateral to the intended surgery, nor further language localization is necessary. If the fMRI result is ambiguous, a unilateral Wada test ipsilateral to the intended surgery is performed. Does this exclude language in the hemisphere of intended surgery (by undisturbed language function), again the algorithm ends. In case that fMRI or Wada indicate language in the surgical hemisphere, ESM should be performed to map the extent of language cortex in comparison to the seizure onset area. For the principle of ESM for language mapping see: (Wellmer et al. 2009) Functional MRI 47
  • 53.
    or nondominant temporalor frontal lobe function and the contralateral reserve capacity. Further issues are whether to explore the encoding or retrieval of material, the assessed quality of recalling (e.g., to remember vs. to know), and if subjects use encoding strategies depending on materials presented (e.g., verbalization of figural material). For a review of these issues, see Golby et al. 2001). Another problem of memory fMRI is that the most relevant area of interest consists of the temporomesial structures. This results in problems because of susceptibility artifacts and geometric distortions close to pneumatized paranasal sinuses. Several attempts have been made to predict the effects of surgery on memory in individual subjects. In the most elaborate study so far, Bonelli et al. (2010) concluded that memory fMRI alone is not sufficient for prediction of post- operative memory loss. Positive predictive values for post- operative verbal or visual memory changes are around 30% because of a relatively large number of false positives. Only when the covariates language lateralization assessed with language fMRI and preoperative memory scores according to neuropsychological tests are taken into account, acceptable positive predictive values (70 and 100%, respectively) can achieved (Bonelli et al. 2010). Because memory fMRI is still a subject of intensive research, it is not yet robust enough for routine clinical application by nonspecialists. Acknowledgments IthankS.Bonelli,MD,PhD,forcriticallyreviewing the manuscript. References Adcock JE, Wise RG, Oxbury JM, Oxbury SM, Matthews PM (2003) Quantitative fMRI assessment of the differences in lateralization of language-related brain activation in patients with temporal lobe epilepsy. Neuroimage 18(2):423–438 Baxendale S (2009) The Wada test. Curr Opin Neurol 22(2):185–189. Berger MS, Kincaid J, Ojemann GA, Lettich E (1989) Brain mapping techniques to maximize resection, safety, and seizure control in children with brain tumors. Neurosurgery 25(5):786–792 Binder JR, Swanson SJ, Hammeke TA, Morris GL, Mueller WM, Fischer M, Benbadis S, Frost JA, Rao SM, Haughton VM (1996) Determination of language dominance using functional MRI: a comparison with the Wada test. Neurology 46(4):978–984 Binder JR, Frost JA, Hammeke TA, Bellgowan PS, Rao SM, Cox RW (1999) Conceptual processing during the conscious resting state. A functional MRI study. J Cogn Neurosci 11(1):80–95 Bonelli SB, Powell RH, Yogarajah M, Samson RS, Symms MR, Thompson PJ, Koepp MJ, Duncan JS (2010) Imaging memory in temporal lobe epilepsy: predicting the effects of temporal lobe resection. Brain 133(Pt 4):1186–1199 Desmond JE, Annabel Chen SH (2002) Ethical issues in the clinical application of fMRI: factors affecting the validity and interpretation of activations. Brain Cogn 50(3):482–497 Donaldson DI, Buckner RL (2001) Effective paradigm design. In: Mathews PM, Jezzard P, Evans AC (Eds.) Functional magnetic resonance imaging of the brain: methods for neuroscience. Oxford University Press, Oxford 177–95 Fernandez G, de Greiff A, von Oertzen J, Reuber M, Lun S, Klaver P, Ruhlmann J, Reul J, Elger CE (2001) Language mapping in less than 15 min: real-time functional MRI during routine clinical investigation. Neuroimage 14(3):585–594 FitzGerald DB, Cosgrove GR, Ronner S, Jiang H, Buchbinder BR, Belliveau JW, Rosen BR, Benson RR (1997) Location of language in the cortex: a comparison between functional MR imaging and electrocortical stimulation. AJNR Am J Neuroradiol 18(8): 1529–1539 Golby AJ, Poldrack RA, Brewer JB, Spencer D, Desmond JE, Aron AP, Gabrieli JD (2001) Material-specific lateralization in the medial temporal lobe and prefrontal cortex during memory encoding. Brain 124(Pt 9):1841–1854 Haag A, Knake S, Hamer HM, Boesebeck F, Freitag H, Schulz R, Baum P, Helmstaedter C, Wellmer J, Urbach H, Hopp P, Mayer T, Hufnagel A, Jokeit H, Lerche H, Uttner I, Meencke HJ, Meierkord H, Pauli E, Runge U, Saar J, Trinka E, Benke T, Vulliemoz S, Wiegand G, Stephani U, Wieser HG, Rating D, Werhahn K, Noachtar S, Schulze-Bonhage A, Wagner K, Alpherts WC, Boas WE, Rosenow F (2008) The Wada test in Austrian, Dutch, German, and Swiss epilepsy centers from 2000 to 2005: a review of 1421 procedures. Epilepsy Behav 13(1):83–89 Hamberger MJ (2007) Cortical language mapping in epilepsy: a critical review. Neuropsychol Rev 17(4):477–489 Helmstaedter C, Kurthen M, Linke DB, Elger CE (1997) Patterns of language dominance in focal left and right hemisphere epilepsies: relation to MRI findings, EEG, sex, and age at onset of epilepsy. Brain Cogn 33(2):135–150 Helmstaedter C, Brosch T, Kurthen M, Elger CE (2004) The impact of sex and language dominance on material-specific memory before and after left temporal lobe surgery. Brain 127(Pt 7):1518–1525 Jansen A, Menke R, Sommer J, Forster AF, Bruchmann S, Hempleman J, Weber B, Knecht S (2006) The assessment of hemispheric lateral- ization in functional MRI—robustness and reproducibility. Neuro- image 33(1):204–217 Janszky J, Jokeit H, Heinemann D, Schulz R, Woermann FG, Ebner A (2003) Epileptic activity influences the speech organization in medial temporal lobe epilepsy. Brain 126(Pt 9):2043–2051 Kurthen M, Helmstaedter C, Linke DB, Hufnagel A, Elger CE, Schramm J (1994) Quantitative and qualitative evaluation of patterns of cerebral language dominance. An amobarbital study. Brain Lang 46(4):536–564 Liegeois F, Connelly A, Cross JH, Boyd SG, Gadian DG, Vargha- Khadem F, Baldeweg T (2004) Language reorganization in children with early-onset lesions of the left hemisphere: an fMRI study. Brain 127(Pt 6):1229–1236 Loddenkemper T, Morris HH, Moddel G (2008) Complications during the Wada test. Epilepsy Behav 13(3):551–553 Logothetis NK (2002) The neural basis of the blood-oxygen-level- dependent functional magnetic resonance imaging signal. Philos Trans R Soc Lond Ser B Biol Sci 357(1424):1003–1037 Loring DW, Meador KJ, Allison JD, Pillai JJ, Lavin T, Lee GP, Balan A, Dave V (2002) Now you see it, now you don’t: statistical and methodological considerations in fMRI. Epilepsy Behav 3(6):539–547 Price CJ (2000) The anatomy of language: contributions from functional neuroimaging. J Anat 197(Pt 3):335–359 Ramsey NF, Sommer IE, Rutten GJ, Kahn RS (2001) Combined analysis of language tasks in fMRI improves assessment of hemispheric dominance for language functions in individual subjects. Neuroimage 13(4):719–733 Ruff IM, Petrovich Brennan NM, Peck KK, Hou BL, Tabar V, Brennan CW, Holodny AI (2008) Assessment of the language laterality index in patients with brain tumor using functional MR imaging: effects of thresholding, task selection, and prior surgery. AJNR Am J Neuroradiol 29(3):528–535 48 J. Wellmer
  • 54.
    Rutten GJ, RamseyNF, van Rijen PC, van Veelen CW (2002) Reproducibility of fMRI-determined language lateralization in individual subjects. Brain Lang 80(3):421–437 Sabbah P, Chassoux F, Leveque C, Landre E, Baudoin-Chial S, Devaux B, Mann M, Godon-Hardy S, Nioche C, Ait-Ameur A, Sarrazin JL, Chodkiewicz JP, Cordoliani YS (2003) Functional MR imaging in assessment of language dominance in epileptic patients. Neuroimage 18(2):460–467 Spreer J, Arnold S, Quiske A, Wohlfarth R, Ziyeh S, Altenmuller D, Herpers M, Kassubek J, Klisch J, Steinhoff BJ, Honegger J, Schulze-Bonhage A, Schumacher M (2002) Determination of hemisphere dominance for language: comparison of frontal and temporal fMRI activation with intracarotid amytal testing. Neuro- radiology 44(6):467–474 Staudt M (2010) Reorganization after pre- and perinatal brain lesions. J Anat 217(4):469–474 Swanson SJ, Sabsevitz DS, Hammeke TA, Binder JR (2007) Functional magnetic resonance imaging of language in epilepsy. Neuropsychol Rev 17(4):491–504 Weber B, Wellmer J, Reuber M, Mormann F, Weis S, Urbach H, Ruhlmann J, Elger CE, Fernandez G (2006) Left hippocampal pathology is associated with atypical language lateralization in patients with focal epilepsy. Brain 129(Pt 2):346–351 Wellmer J, Fernández G, Linke DB, Urbach H, Elger CE, Kurthen M (2005) Unilateral intracarotid amobarbital procedure for language lateralization. Epilepsia 46:1764–1772 Wellmer J, Weber B, Urbach H, Reul J, Fernandez G, Elger CE (2009) Cerebral lesions can impair fMRI-based language lateralization. Epilepsia 50(10):2213–2224 Wellmer J, von der Groeben F, Klarmann U, Weber C, Elger CE, Urbach H, Clusmann H, von Lehe M. (2012) Risk-benefit ratio of chronic invasive presurgical evaluation of epilepsy patients using subdural and intracerebral electrodes. Epilepsia 2012 Aug 53(8):1322-1332. doi:10.1111/j.1528-1167.2012.03545.x Wellmer J, Weber B, Weis S, Klaver P, Urbach H, Reul J, Fernandez G, Elger CE (2008) Strongly lateralized activation in language fMRI of atypical dominant patients—implications for presurgical work-up. Epilepsy Res 80:67–76 Wilke M, Schmithorst VJ (2006) A combined bootstrap/histogram analysis approach for computing a lateralization index from neuroimaging data. Neuroimage 33(2):522–530 Yetkin FZ, Mueller WM, Morris GL, McAuliffe TL, Ulmer JL, Cox RW, Daniels DL, Haughton VM (1997) Functional MR activation correlated with intraoperative cortical mapping. AJNR Am J Neuroradiol 18(7):1311–1315 Functional MRI 49
  • 55.
    The Wada Test HorstUrbach and Jo¨rg Wellmer Contents 1 Introduction.......................................................................... 51 2 Angiographic Work-Up ...................................................... 52 2.1 IAP ......................................................................................... 52 2.2 Selective Wada Test.............................................................. 52 3 Complications Related to the Wada-Test......................... 53 4 Neuropsychological Work-Up ............................................ 53 5 Drugs ..................................................................................... 55 5.1 Amobarbital ........................................................................... 55 5.2 Methohexital .......................................................................... 55 5.3 Etomidate............................................................................... 55 5.4 Propofol.................................................................................. 55 References...................................................................................... 55 Abstract The Wada test or intracarotid amobarbital procedure (IAP) consists of the short inactivation of one brain hemisphere due to the injection of amobarbital or another short-acting anesthetic into the supplying inter- nal carotid artery (ICA). During the subsequent inacti- vation period, neurological functions such as language and memory can be tested to assess the respective functional reserve capacity of the contralateral hemi- sphere. Less frequent indications for a Wada test are the assessment of motor function and the identification of secondary bilateral synchrony in EEG. With the advent of high-resolution structural MRI assuring the morpho- logical integrity of the contralateral temporal lobe or hemisphere and functional MRI (fMRI) the number of Wada tests within the presurgical work up of epilepsy patients has decreased. However, it is still method of choice in epilepsy patients with suspected atypical or bilateral language representations according to fMRI, in patients with lesions interfering with the BOLD effect (e.g., cavernomas), and in children or intellectually challenged patients, in which fMRI cannot be used. 1 Introduction The neurologist Juhn Wada (Wada 1949, translation in Wada 1997) reported the effects of unilateral intracarotid injections of amobarbital on language in an article published in Japanese in 1949. While at the Montreal Neurologic Institute in the 1950s, Wada introduced his technique in the presurgical evaluation of epilepsy patients to determine language later- alization before surgery (Wada and Rasmussen 1960). Within a few years, it became evident that this technique could also be used to assess memory capacity in patients who were candidates for temporal lobectomy or amygdalohippocamp- ectomy. In this pre-imaging era, further indications were the lateralization of the seizure focus and the prediction of H. Urbach (&) Department of Neuroradiology, University Hospital Freiburg, Germany e-mail: horst.urbach@uniklinik-freiburg.de J. Wellmer Ruhr-Epileptology, Department of Neurology, University Hospital Knappschaftskrankenhaus, Bochum, Germany H. Urbach (ed.), MRI in Epilepsy, Medical Radiology. Diagnostic Imaging, DOI: 10.1007/174_2012_619, Ó Springer-Verlag Berlin Heidelberg 2013 51
  • 56.
    postoperative outcome (Spenceret al. 2000; Lee et al. 2003; Baxendale et al. 2008, Baxendale 2009 ). For more selective memory testing and in order to avoid confounding effects of hemispheric language inactivation, selective Wada tests with amobarbital injections into the posterior cerebral artery (PCA), the anterior choroidal artery (AchoA) or the middle cerebral artery or its branches have been developed (Jack et al. 1988, 1989; Wieser et al. 1997; Urbach et al. 2001, 2002). However, as an invasive procedure with an inherent risk of permanent neurological deficits, Wada tests are per- formed on selected patients only occasionally (Haag et al. 2008; Wagner et al. 2012). 2 Angiographic Work-Up 2.1 IAP A 5F sheath is placed in the femoral artery ipsilateral to the intended intracarotid injection side. A 5F vertebral catheter is navigated into both common carotid arteries and digital subtraction angiograms are obtained before the catheter is advanced into the ICA on the injection side. The reason for bilateral anterior circulation angiograms is to rule out prominent anastomotic channels from the ICA to the verte- brobasilar system and to assess the angiographic supply to the hemispheres (Fig. 1). For example, if both anterior cerebral arteries are fed via one ICA, amobarbital injection in this ICA often leads to an ‘‘mutistic’’ patient for the test period. Before amobarbital is injected via the placed catheter, the epileptological team starts the continuous EEG record- ing and may present initial memory material for later recall. In the Bonn protocol, the patient is then asked to elevate both arms and to count backwards from 100. While counting backwards, a 2 ml dose containing 200 mg amo- barbital in a 10 % solution is manually injected with a rate of approximately 1 ml/s (Kurthen et al. 1994; Wellmer et al. 2005). For alternative anesthetics, see below. During the injection period, the contralateral arm will fall and be gently caught captured by a third person. If the arm is hemiplegic and the EEG shows an ipsilateral slow- ing, hemispheric inactivation is likely and the catheter withdrawn, while the neurologist proceeds with the test. 2.2 Selective Wada Test A 6F guiding catheter is introduced through a 6F sheath and placed in the ICA the dominant vertebral artery. A 0.010 mi- crocatheter is navigated under fluoroscopic and ‘‘roadmap- ping’’ control in the P2-segment of the PCA (Figs. 2, 3), the origin of the AChoA, or the middle cerebral artery (Fig. 4). Fig. 1 IAP in a 28 year old woman with right-sided frontal lobe epilepsy and bilateral fMRI language representation. Bilateral ICA angiograms before a left-sided IAP show a more prominent right- than left-sided A1 segment of the anterior cerebral artery (ACA). With manual high pressure contrast injection into the right ICA, retrograde ACA and MCA opacification is obtained. However, with gentle and slow amoabarbital injections, each hemisphere is likely anaesthetized via the ipsilateral ICA 52 H. Urbach and J. Wellmer
  • 57.
    Depending on thebrain area that is intended to be anesthetized distal M1 segment or superior or inferior MCA trunk place- mentsmaybe sufficient.Bloodflowisprovenbygentlecontrast injections and catheter wedge positions have to be avoided. A 4–8 ml dose containing 40–80 mg amobarbital in a 1 % solu- tion is manually injected with a rate of approximately 0.5 ml/s. The amobarbital distribution within a brain hemisphere can be visualized if amobarbital is simultaneously injected with 99m Tc-hexamethyl-propylene amine oxime (99m Tc- HMPAO). Within about 2 h following the injection, the HMPAO distribution can be depicted with single photon emission tomography (SPECT) co-registered to MRI (Cou- bes et al. 1995; Von Oertzen et al. 2000; Brechtelsbauer et al. 1998). IAPs is mostly performed without SPECT-control. 3 Complications Related to the Wada-Test In the largest multi-center survey, 15 complications were reported out of 1,421 Wada tests (1.09 %). Four of them were likely of thromboembolic origin; one occurred following a PCA Wada test. Permanent morbidity rate was 0.36 % (Haag et al. 2008). Loddenkemper et al. 2008 reported a similar permanent morbidity rate (0.3 % out of 1,225 pro- cedures). The rather low complication rate in both series may be due to the fact that Wada tests are mostly performed in relatively younger patients without pre-existing vascular pathology as compared to patients who receive cerebral angiography for cerebrovascular events. 4 Neuropsychological Work-Up It is beyond the scope of this volume to describe the neu- ropsychological work-up in detail; moreover IAP protocols vary among several institutions (Kurthen et al. 1994; Woremann et al. (2003) Wellmer et al. 2005; Haag et al. 2008). Most centers apply a formalized test protocol for assessing expressive and receptive language functions as well as verbal and figural memory (Haag et al. 2008). The results of language and memory tests are usually given in categories such as unilateral left or right language domi- nance or various degrees or qualities of mixed dominance (Kurthen et al. 1994). The interpretation of test results with Fig. 2 Selective PCA Wada test in a 53 year old woman with left- sided hippocampal sclerosis. a 6 French guiding catheter was placed in the dominant vertebral artery (a). The microcatheter was placed in the P2-segment of the left PCA (b–d: arrow pointing to the microcatheter tip) and 80 mg amobarbital in a 1 % solution were injected together with 99mTc-HMPAO. During the test the patient showed homonymous hemianopia to the right side, no hemiparesis or aphasia. She was unable to recall or remember previously presented verbal items suggesting verbal memory capacity of the left hippocampus The Wada Test 53
  • 58.
    regard to riskof postsurgical language or memory deficits may require additional biographical information on the patient such as age at seizure onset (Helmstaedter 2004). Independent of the applied protocol it is essential to monitor the duration of action of the anesthetic during the test, either by EEG (presence of ipsilateral slowing) or clinically (grip strength or arm paresis). In case of ceasing action of the anesthetic the neuropsychological test must be stopped in order to prevent false negative or false positive results. A repeated injection of the anesthetic is possible, but the second dose must be chosen depending on the half-life time to prevent the accumulation of the anesthetic. The same accounts for Wada tests subsequently testing both hemispheres. Between two high dose amobarbital tests one night of recovery is recommended. Short acting drugs without the risk of accumulation may be injected in both hemispheres with only a short break in between. Fig. 3 Lateral angiogram via a microcatheter with its tip placed in the PCA (a) and angiogram superimposed on a sagittael T1-weighted image through the mesial temporal lobe (b) show a prominent inferior temporal artery supplying most of the mesial temporal lobe Fig. 4 Right-sided middle cerebral artery (MCA) Wada test in a 45 year old man with a right-sided posttraumatic tissue defect and status epilepticus since three months. In order to test the hypothesis that bilateral spike and wave EEG complexes originated in the right and propagated to the left hemisphere a right-sided IAP was scheduled. Right-sided ICA angiogram showed a thin right MCA and prominent A1 segment of the right-sided anterior cerebral artery (ACA) feeding both ACAs (a). With intracarotid amobarbital injection amobarbital distribution to the left-sided ACA territory is likely. It was decided to place a microcatheter in the distal M1 segment of the right MCA (b, c: arrow) and to inject 100 mg amobarbital in a 1% solution. With amobarbital injection into the MCA bilteral EEG spike and wave complexes right-sided EEG complexes disappeared, left-sided did not 54 H. Urbach and J. Wellmer
  • 59.
    5 Drugs 5.1 Amobarbital Amobarbitalwas considered the ideal drug for the Wada test foralongtime,owingtoitsbriefaction,lowtoxicity,andtheits great success substance. In the Bonn Epilepsy Surgery pro- gram, initially 200 mg sodium amobarbital was injected into the leftandthe rightICA ontwoseparate days(Kral etal.2002; Kurthen et al. 1994; Urbach et al. 1999). This procedure was chosensince successiveinjectionsofhighdosesofamobarbital can lead to significant drowsiness that cannot be fully avoided by bridging the time between two injections in one day. A dose lower than 200 mg reduces confidence in the inactivation of the injected hemisphere (Wellmer et al. 2005). However, a bilateral Wada test is not required in all indications. If the Wada-test is performed on the side of the intended surgery, in most instances a unilateral Wada-test is sufficient to predict whether the patient is at risk for post-operative language dis- turbance or not (Wellmer et al. 2005). This makes the appli- cation of high-dose amobarbital Wada tests practicable. Since amobarbital is difficult to obtain in several coun- tries, alternative drugs have been evaluated in the mean- time. In our opinion, none of the alternatives can yet recommended as being equally safe and effective. 5.2 Methohexital Methohexital, which had initially been investigated by Buchtel and colleagues, is a short-lasting drug, so that two successive injections are needed for each hemisphere (Buchtel et al. 2002). In a series of patients between 2005 and 2007, we manually injected a 3 ml dose containing 3 mg Brevimytal in a 0.1 % solution with a rate of approximately 1 ml/s. If the Brevimytal effect was expected to disappear (estimated clinically or after an interval of 90 s), another 2 mg were injected. When the test for one side was finished, the catheter was navigated into the contralateral ICA, and the procedure repeated. Yet, methohexital has siginificant disadvantages. In our experience, the duration of action of the first dose of 3 mg of methohexital varies considerably among patients. According to EEG, in 13 % of 54 proce- dures the action of amobarbital ended before 90 s had gone by. This signifies a likely gap of action before the second injection. In other patients, a single 3 mg injection produced ipsilateral EEG slowing for up to 260 s. In these cases, the second injection (after 90 s) leads to prolonged drowsiness that prevents further testing (unpublished observations). The rapid decrease of action of methohexital, however, makes a careful clinical testing of persistent action parallel to the neuropsychological assessment difficult. Another drawback is that methohexital may decrease seizure thresholds and trigger seizures (Loddenkemper et al. 2008). We stopped using methohexital and returned to amobarbital. 5.3 Etomidate Etomidate is a nonbarbiturate hyponotic drug with no analgesic properties, with a rapid onset, and short duration of action. Jones-Gotman and colleagues reported bolus admin- istration of 2 mg (0.03–0.04 mg/kg) and subsequent infusion of 0.003–0.004 mg/kg/minute can more likely assure a guaranteed period of hemianesthesia, averaging over 4 min in their study of 30 injections. Reported side effects in the Montreal study included a shivering-like tremor in the con- tralateral arm in about half of the injections, and either evi- dence of contralateral EEG slowing following most injections, or an increase in interictal spike activity in the hemisphere ipsilateral to injection (Jones-Gotman et al. 2005). Another concern is that etomidate may cause adrenal insufficiency, particularly in critically ill patients (Grote and Meador 2005). 5.4 Propofol Propofol seems to work like amobarbital (Takayama et al. 2004), but the risk of adverse advent is higher. In the study by Mikuni and colleagues, about one-third of patients had an adverse event following propofol injection, with 12 % of all patients having increased muscle tone with twitching and rhythmic movements or tonic posturing. Patients older than 55, and a total injection dose greater than 20 mg, were predictors of more significant adverse events, which in turn carry a risk of incompletion or inaccuracy of the Wada test (Mikuni et al. 2005). Previous studies have also shown risks associated with propofol injection, including pain upon injection and anaphylaxis (Grote and Meador 2005). References Baxendale S (2009) The Wada test. Curr Opin Neurol 22(2):185–189 Baxendale S, Thomson PJ, Duncan JS (2008) Evidence-based practice: a reevaluation of the intracarotid amobarbital procedure (Wada test). Arch Neurol 65:841–845 Brechtelsbauer D, Klemm E, Urbach H, Koehler W, Solymosi L (1998) Amobarbitalverteilung im intrakarotidalen Wadatest: kor- relation von Angiogramm und hochauflösendem SPECT. Klin Neuroradiol 8:182–185 Buchtel HA, Passaro EA, Selwa EM, Deveikis J, Gomez-Hassan D (2002) Sodium methohexital (Brevital) as an anaesthetic in the Wada test. Epilepsia 43:1056–1061 Coubes P, Baldy-Moulinier M, Zanca M et al (1995) Monitoring sodium methohexital distribution with (99mTc)HMPAO single photon emission computed tomography during Wada test. Epilep- isa 36:1041–1049 The Wada Test 55
  • 60.
    Grote CL, MeadorK (2005) Has amobarbital expired? considering the future of the Wada. Neurology 65:1692–1693 Haag A, Knake S, Hamer HM, Boesebeck F, Freitag H, Schulz R, Baum P, Helmstaedter C, Wellmer J, Urbach H, Hopp P, Mayer T, Hufnagel A, Jokeit H, Lerche H, Uttner I, Meencke HJ, Meierkord H, Pauli E, Runge U, Saar J, Trinka E, Benke T, Vulliemoz S, Wiegand G, Stephani U, Wieser HG, Rating D, Werhahn K, Noachtar S, Schulze-Bonhage A, Wagner K, Alpherts WC, Boas WE (2008) Arbeitsgemeinschaft für prächirurgische epilepsiediag- nostik und operative epilepsietherapie e.V. The Wada test in Austrian, Dutch, German, and Swiss epilepsy centers from 2000 to 2005: a review of 1421 procedures. Epilepsy Behav 13(1):83–89 Helmstaedter C (2004) Neuropsychological aspects of epilepsy surgery. Epilepsy Behav 5:S45–S55 Jack CR, Nichols DA, Sharbrough et al (1988) Selective posterior cerebral artery amytal test for evaluating memory function before surgery for temporal lobe seizures. Radiology 168:787–793 Jack CR, Nichols DA, Sharbrough et al (1989) Selective posterior cerebral artery injection of amytal: new method of preoperative memory testing. Mayo Clin Proc 64:965–975 Jones-Gotman M, Sziklas V, Djordjevic J et al (2005) Etomidate speech and memory test (eSAM): a new drug and improved intracarotid procedure. Neurology 65:1723–1729 Kral T, Clusmann H, Urbach H, Schramm J, Elger CE, Kurthen M, Grunwald T (2002) Prächiurgische abklärung bei der epilep- siechirurgie (bonner algorithmus). Zentralbl Neurochir 63:106–110 Kurthen M, Helmstaedter C, Linke DB, Hufnagel A, Elger CE, Schramm J (1994) Quantitative and qualitative assessment of patterns of cerebral language dominance: an amobarbital study. Brain Lang 46:534–564 Lee GP, Park YD, Westerveld M, Hempel A, Blackburn LB, Loring DW (2003) Wada memory performance predicts seizure outcome after epilepsy surgery in children. Epilepsia 44:936–943 Loddenkemper T, Moddel G, Schuele SU et al (2007) Seizures during intracarotid metohexital and amobarbital testing. Epilepsy Behav 10:49–54 Loddenkemper T, Morris HH, Möddel G (2008) Complications during the Wada test. Epilepsy Behav 13:551–553 Mikuni N, Takayama M, Satow T et al (2005) Evaluation of adverse effects in intracarotid propofol injection for Wada test. Neurology 65:1813–1816 Spencer DC, Morrell MJ, Risinger MW (2000) The role of the intracarotid amobarbital procedure in evealuation of patients for epilepsy surgery. Epilepsia 41:320–325 Takayama M et al (2004) Intracarotid propofol test for speech and memory dominance in man. Neurology 63:510–515 Urbach H, Kurthen M, Klemm E, Grunwald T, Van Roost D, Linke DB, Biersack HJ, Schramm J, Elger CE (1999) Amobarbital effects on the posterior hippocampus during the intracarotid amobarbital test. Neurology 52:1596–1602 Urbach H, Klemm E, Linke DB, Behrends K, Biersack HJ, Schramm J, Schild HH (2001) Posterior cerebral artery Wada test: amobarbital distribution and functional deficits. Neuroradiology 43:290–294 Urbach H, von Oertzen J, Klemm E, Koenig R, Kurthen M, Schramm J, Elger CE (2002) Selective middle cerebral artery Wada tests as a part of presurgical evaluation in patients with drug-resistant epilepsies. Epilepsia 43:1217–1223 Von Oerzten J, Klemm E, Urbach H, Kurthen M, de Greiff A, Linke DB, Biersack HJ, Elger CE (2000) SATSCOM- Selective amobarbital test intraarterial SPECT coregistered to MRI: descrip- tion of a method assessing selective perfusion. Neuroimage 12:617–622 Wada J (1949) A new method for determination of the side of cerebral speech dominance: a preliminary report on the intracarotid injection of sodium Amytal in man. Igaku to Seibutsugaku 14:221–222 Wada J (1997) Clinical experimental observations of carotid artery injections of sodium Amytal. Brain Cogn 33:11–13 Wada J, Rasmussen T (1960) Intracarotid injections of sodium Amytal for the lateralization of cerebral speech dominance: experimental and clinical observations. J Neurosurg 17:266–282 Wagner K, Hader C, Metternich B, Buschmann F, Schwarzwald R, Schulze-Bonhage A (2012) Who needs a Wada test? Present clinical indications for amobarbital procedures. J Neurol Neurosurg Psychiatry 83(5):503–509 Wellmer J, Fernandez G, Linke DB, Urbach H, Elger CE, Kurthen M (2005) Unilateral intracarotid amobarbital procedure (IAP) for language lateralization. Epilepsia 46:1764–1772 Wieser HG, Mueller S, Schiess R et al (1997) The anterior and posterior selective temporal lobe amobarbital tests: angiographic, clinical, electroencephalographic, PET, SPECT findings, and memory performance. Brain Cogn 33:71–97 Woermann FG, Jokeit H, Luerding R, Freitag H, Schulz R, Guertler S, Okujava M, Wolf P, Tuxhorn I, Ebner A (2003) Language lateralization by Wada test and fMRI in 100 patients with epilepsy. Neurology 61:699–701 56 H. Urbach and J. Wellmer
  • 61.
    Magnetic Resonance Spectroscopy inChronic Epilepsy Friedrich G. Woermann Contents 1 Methodological Considerations.......................................... 57 2 MRS: Diagnostic Accuracy in Epilepsy............................ 59 3 MRS in Temporal Lobe Epilepsy and Hippocampal Sclerosis................................................................................. 60 4 MRS in Extratemporal Neocortical Epilepsy .................. 60 5 MRS in Neocortical Epilepsies Due to Malformations of Cortical Development..................................................... 60 6 MRS in Tumors ................................................................... 61 7 MRS in Metabolic Disease and Epilepsy.......................... 61 8 MRS in Juvenile Myoclonic Epilepsy ............................... 61 9 Conclusion ............................................................................ 62 References...................................................................................... 62 Abstract The cornerstone of lesion detection in chronic epilepsy is structural imaging, mainly magnetic resonance imaging. Metabolic information from magnetic resonance spec- troscopy (MRS) might serve as an additional or as a surrogate marker for the epileptogenic lesion. MRS might also help to differentiate similarly appearing lesions from one another; it might detect contralateral/ remote dysfunction. However, the clinical role of MRS is unclear, albeit another non-invasive diagnostic tool. Magnetic resonance spectroscopy (MRS) measures the concentrations of metabolites in the brain noninvasively. In epilepsy, MRS aims to aid the identification of the epilep- togenic lesion. Ultimately it aims to predict the postopera- tive outcome after surgical removal of these lesions. MRS results in epilepsy show similar abnormalities (loss of neuronal markers) associated with different pathological entities in different anatomical locations (Table 1). It is believed that MRS might give insights into the mechanisms of seizure generation (McLean et al. 2008). 1 Methodological Considerations Physical principles underlying MRS are the same as for MRI, which means that most clinical scanners can be used for MRS. In epilepsy, proton-MRS studies are most com- mon. The 1 H nucleus (a single proton) is abundant. MRS exploits minor differences in resonance frequency of 1 H depending on the metabolite to which protons are bound. MRS of certain brain metabolites needs techniques to exclude the strong signals arising from water and macro- molecules (lipids and proteins, which both contain large numbers of protons) in order to study the smaller signals from more interesting metabolites (amino acids, sugars, etc.). Techniques to suppress the water peak and to reduce F. G. Woermann (&) MRI Unit, Mara Hospital, Bethel Epilepsy Center, 33617 Bielefeld, Germany e-mail: friedrich.woermann@mara.de H. Urbach (ed.), MRI in Epilepsy, Medical Radiology. Diagnostic Imaging, DOI: 10.1007/174_2012_761, Ó Springer-Verlag Berlin Heidelberg 2013 57
  • 62.
    or spatially excludeunwanted macromolecule signals are inherent parts of the examination. Spatial exclusion (also known as outer volume suppression) is needed because of intense lipid signals arising from the scalp. Disturbances from fat, but also inhomogeneities near the base of the skull, can make MRS a tedious technique in epilepsy as epilep- togenic lesions are often mesiotemporal or cortical. In vivo MRS measures only metabolites present at con- centrations of about 1 mM or higher. The metabolites studied are shown in Fig. 1. At long echo times (TE C 135 ms), a large signal is present from N-acetyl aspartate (NAA), a neuronal marker, or better, a marker of neuronal function. Other peaks stem from creatine plus phosphocreatine (Cr) supposedly representing the energy level and cellular den- sity; choline-containing compounds (Cho) represent mem- brane turnover. At shorter echo times (e.g., 30 ms, as shown in Fig. 1), additional interesting peaks can be detected from myo-inositol (Ins; representing gliosis) and glutamate and glutamine (Glx; excitatory amino acids), but sophisticated modeling is necessary to distinguish the latter from the overlapping peaks, and baseline irregularities remain a major source of error at shorter echo times. In single-voxel spectroscopy (SV-MRS), slice-selective excitation in three orthogonal planes excites a cuboid volume at their intersection (Fig. 1). The other common localization tool uses phase encoding, as in imaging. This is known as spectroscopic imaging (MRSI), sometimes called chemical shift imaging (CSI), and produces a slice with a grid of multiple voxels (Fig. 2). Since the areas under the curves of metabolite signals are directly proportional to their concentrations in the tissue, spectra can be looked at qualitatively, or metabolite con- centrations can be estimated quantitatively. Most com- monly, the ratio of one peak to another is reported, such as NAA/Cr or NAA/(Cr ? Cho). This has the advantage that any temporal, spatial, or intersubject differences in machine performance cancel out. Ratios can vary both in different tissues of the brain and in disease. Table1 Textbook knowledge* on MRS in surgically remediable lesions in chronic epilepsy: low NAA and moderatly increased Cho are frequent findings. Pathology MRS finding* Hippocampal sclerosis/mesial temporal sclerosis (MTS) ; NAA in hippocampus, temporal lobe; NAA/Cho 0.8 suggests MTS; if scan patient within 24 hours of seizure, lactate/lipid peaks reported Benign tumours : Cho, ; NAA (vs. malignant tumours: :–::: Cho, : lactate/lipid) Ganglioglioma : Cho, ; NAA Diffuse astrocytoma, low grade :–:: Cho, ; NAA typical but not specific; relatively high Ins/Cr (compared to anaplastic astrocytoma) DNT Nonspecific (: Cho, ; NAA), but lactate present in some Focal cortical dysplasia ; NAA, (: Cho); but ; NAA less pronounced compared to low grade astrocytomas Other malformations of cortical development Heterotopia: NAA and Cho are variable; Pachygyria-Polymicrogyria: ; NAA Tuberous sclerosis ; NAA/Cr, : Ins/Cr; lactate in seizure onset? Cavernoma (-) Porencephaly Absence of normal brain metabolites Scars due to chronic cerebral infarction ; NAA Posttraumatic scars ; NAA Rasmussen encephalitis ; NAA, ; Cho; : Ins, : glutamine/glutamate Hemiconvulsion-Hemiplegia-Epilepsy-Syndrome (following a febrile status epilepticus) Within 24 hours of status: lactate and lipids; later: ; NAA Arteriovenous Malformation (-) Hemimegalencephaly (a hemispheric malformation of cortical development) Progressive ; NAA, : Cho, : Cr, : Ins Sturge Weber Syndrome ; NAA, : Cho Neurocysticercosis ; NAA, ; Cr; : Cho, : lactate, : alanine *extracted and modified from: Osborn A (Ed). Diagnostic Imaging—Brain. Amirsys, Salt Lake City, 2004 NAA N-Acetyl-aspartate; Cho choline, Cr creatine, Ins myo-inositol, ; decrease, : increase, (-) no information available 58 F. G. Woermann
  • 63.
    2 MRS: DiagnosticAccuracy in Epilepsy In the evaluation of patients with epilepsy, the potential value of 1 H-MRS (or -MRSI) depends on the method’s ability to detect localized metabolic changes not only in clear-cut cases with visible lesions, but also in patients with normal MRI (‘‘MRI-negative’’). Ultimately, the clinical value of 1 H-MRS in this patient group is based on studies correlating presurgical measurements with postsurgical seizure and neuropsychological outcome. Recently, diagnostic accuracies of different neuroimag- ing techniques in epilepsy were thoroughly reviewed (Whiting et al. 2006; Burch et al. 2012). MRS studies in epilepsy were included in case they allowed the computa- tion of test-quality data correlating MRS results and post- surgical outcome or other gold standards in individual patients (Cross et al. 1996; Cendes et al. 1997; Knowlton et al. 1997; Achten et al. 1998; Kuzniecky et al. 1998; Li et al. 2000; Antel et al. 2002; Lee et al. 2005). These reviews resulted in very careful statements (‘‘There was a trend for localisation of abnormalities to be associated with Fig. 1 Single-voxel short-TE MRS in a patient with right-sided hippocampal sclerosis. NAA on the affected side (a) is lower than on the contralateral side (c). The size of the voxel is tailored to atrophy of right-sided hippocampus to reduce the diluting influence of nearby CSF (b). Modified from Woermann et al. (1999b) Fig. 2 Epilepsy patient with large heterotopia in a pericentral region on the right side. MR spectroscopic imaging produced a slice of multiple voxels (a). NAA can be quantified and concentration can be displayed as a color map (b). This map illustrates that NAA concentration varies within the large malformation of cortical development. Modified from Woermann et al. (2001) Magnetic Resonance Spectroscopy in Chronic Epilepsy 59
  • 64.
    a beneficial outcome’’),but mainly stated, ‘‘Due to the limitations of the included studies, the results of this review do little to inform clinical practice.’’ 3 MRS in Temporal Lobe Epilepsy and Hippocampal Sclerosis In hippocampal sclerosis there are neuronal loss and gliosis. Typical MRS changes in the epileptogenic hippocampus are a reduction of NAA and sometimes an elevation of Cr and Cho (or corresponding changes to ratios like NAA/Cr, NAA/Cr ? Cho, or Cr/NAA) relative to normal control subjects (Fig. 1). The contralateral hippocampus may be normal or may show a lesser degree of abnormality. A recent meta-analysis (Willmann et al. 2006) aimed to assess the additional preoperative value of 1 H-MRS and correlated individual MRS data and seizure outcome. Uni- lateral MRS changes were reported to have a predictive value of 82 % for good postsurgical outcome, that is, pre- dicting postsurgical freedom or marked improvement of seizures. TLE patients with unilateral MRS abnormality had a markedly better chance of becoming seizure free com- pared to patients with bilateral abnormalities. The predictive value of bilateral MRS abnormalities (for unfavorable outcome) is less clear. Bilateral temporal MRS abnormalities have been observed to a varying degree in different studies in 0–70 % of patients (Cendes et al. 2002). Further reducing specificity, a postoperative metabolic normalization on the nonoperated side was observed (Ku- zniecky et al. 2001). It led to the view that not only does a decrease in NAA represent neuronal loss in HS, but also that NAA might be a putative reversible, thus functional, marker in the contralateral hippocampus. Some TLE patients with an apparently normal MRI (‘‘MRI-negative’’) were the subject of feasibility studies or part of studies correlating typical MRS changes (low NAA ratios ipsilateral to the seizure onset with a relatively low degree of contralateral abnormality) with good postsurgical outcome. It is still unclear whether MRS is a valuable tool in this patient group (McLean et al. 2008). Extrahippocampal or extratemporal abnormalities in patients with mesiotemporal/hippocampal sclerosis are called dual pathology. Dual pathology is rarely identified in a hypothesis-driven way, allowing the targeted placement of regions of interest. 1 H-MRS/MRSI could only contribute to the detection of these changes when single voxels or single MRSI slices were placed outside the hippocampus and/or outside the temporal lobe or by the use of multislice 1 H- MRSI (Mueller et al. 2002). When multislice 1 H-MRSI was used in combination with tissue segmentation, significantly lower NAA in ipsi- and contralateral frontal gray and nonfrontal white matter compared with controls was found although not correlated to outcome. Although 1 H-MRS/MRSI has been advocated as part of a cluster or a sequence of clinical tests prior to epilepsy surgery in TLE, its contribution to the overall validity of the cluster or sequence remains to be determined. Influ- ential epilepsy surgery programs with early enthusiasm for 1 H-MRS/MRSI (‘‘NAA/Cho is an excellent marker for localizing the epileptogenic zone in TLE’’; Ng et al. 1994) abandoned this noninvasive but tedious method as part of their presurgical evaluation of patients with TLE (McLean et al. 2008). 4 MRS in Extratemporal Neocortical Epilepsy Studies correlating presurgical 1 H-MRS/MRSI data with postsurgical seizure outcome in patients with extratemporal neocortical epilepsy seem to be scarce especially when looking for studies allowing the estimation of test-quality data (Lee et al. 2005). Following the temporal lobes, the second-most frequent site of epileptogenic lesions is the frontal lobes. In the relatively large frontal lobes, the use of a restricted region-of-interest approach (single voxel or single slice) is expected to reduce the sensitivity of 1 H- MRS/MRSI for the localization or lateralization of extra- temporal lesions (McLean et al. 2008). 5 MRS in Neocortical Epilepsies Due to Malformations of Cortical Development Some proton MRS studies have been performed in patients with malformations of cortical development (MCD; Woer- mann et al. 2001). A decrease in NAA was the most fre- quent finding in individual MCD and in group comparisons. Measurements of individual metabolites were abnormal in some malformations and normal in others, suggesting metabolic heterogeneity. Even within a single MCD, met- abolically normal regions were interspersed with metabol- ically abnormal regions (Fig. 2). Whether MR spectroscopy can contribute to the dis- tinction between low-grade gliomas and focal MCD (especially focal cortical dysplasia) remains unclear. Promising results from group comparisons (less NAA in tumors compared to MCD) await replication and prospec- tive translation to clinical practice in individual patients (Vuori et al. 2004). 60 F. G. Woermann
  • 65.
    Prototypically in epilepsypatients with tuberous sclero- sis, the presence of multiple bilateral lesions can make it difficult to identify a single lesion responsible for intractable epileptic seizures. Using MRS, a lactate peak was detected in the regions corresponding to an epileptic focus in some patients (Yapici et al. 2005). In contrast to the numerous 1 H-MRS of TLE, there are only a few reports in other types of localization-related epilepsies. These studies suggest that the potential of correct seizure focus lateralization is less than in TLE. 6 MRS in Tumors There is a wealth of literature on the use of MR spectroscopy in neurooncology [for a systematic review, see Hollingworth et al. (2006)]. Malignant tumors may be characterized by a relatively large increase in choline, a loss of NAA, and sometimes the detection of lactate or lipids. A ratio of Cho/ NAA larger than 2 has been associated with brain malig- nancy, but it remains unclear whether this is more accurate than results from MRI with contrast enhancement (or whe- ther this is more accurate than MR perfusion). The incre- mental benefit of MRS in the differentiation of low- from high-grade brain tumors is unclear. In MRS of low-grade tumors, an increase of choline might be visible (Fig. 3). 7 MRS in Metabolic Disease and Epilepsy In the neuronal ceroid lipofuscinoses (NCL), probably the most common progressive metabolic encephalopathies of childhood associated with seizures, MRS is said help to distinguish different subtypes. Infantile NCL was charac- terized by a complete loss of NAA, a marked reduction of Cr and Cho, and an elevation of myo-inositol and lactate in both gray and white matter. Reduced NAA and elevated lactate were also detected in gray and white matter of late infantile NCL. In contrast to the infantile forms, juvenile NCL exhibited normal metabolic profiles (McLean et al. 2008). It is questionable whether these differences are more important for diagnosis than the age of onset. Lactate is usually not seen in spectra of normal adult brain. Lactate has been detected in patients with mito- chondrial encephalopathies, but as with all other means used to diagnose rare disorders, MR spectroscopy does not depict elevated lactate in all cases. 8 MRS in Juvenile Myoclonic Epilepsy Juvenile myoclonic epilepsy is a frequent electroclinical epilepsy syndrome. It is considered to be a generalized epilepsy that is treated medically and not surgically. A long- Fig. 3 MRS a with increase in choline b in a low grade tumor in the right temporal lobe Magnetic Resonance Spectroscopy in Chronic Epilepsy 61
  • 66.
    existing, strong beliefwas that there are no changes in neuroimaging in these patients. Recent results from voxel- based morphometry implicating mesiofrontal cortical areas (Woermann et al. 1999a) were developed into a network hypothesis on the etiology of juvenile myoclonic epilepsy. This hypothesis has also been supported by MRS data showing NAA/Cr decreases in mesiofrontal and pericentral as well as thalamic areas (Lin et al. 2009). 9 Conclusion MRS detects relevant metabolite changes in patients with hippocampal sclerosis and in patients with brain tumors. The impact of these findings on clinical decision making is unclear. Most epilepsy surgery programs do not use MRS in their sequence of presurgical tests. One important neuro- radiological question, however, remains: Can proton MR spectroscopy differentiate between focal cortical dysplasia and low-grade tumors? Still another aim is to increase the sensitivity of different MR techniques in epilepsy so that epileptogenic lesions can be identified and treated surgically whenever possible. References Achten E, Santens P, Boon P et al (1998) Single-voxel proton MR spectroscopy and positron emission tomography for lateraliza- tion of refractory temporal lobe epilepsy. Am J Neuroradiol 19:1–8 Antel SB, Li LM, Cendes F et al (2002) Predicting surgical outcome in temporal lobe epilepsy patients using MRI and MRSI. Neurology 58:1505–1512 Burch J, Hinde S, Palmer S et al (2012) The clinical effectiveness and costeffectiveness of technologies used to visualise the seizure focus in people with refractory epilepsy being considered for surgery: a systematic review and decision-analytical model. Health Technol Assess 16(34):1–164 Cendes F, Caramanos Z, Andermann F et al (1997) Proton MR spectroscopic imaging and MRI volumetry in the lateralization of temporal lobe epilepsy: a series of 100 patients. Ann Neurol 42:737–746 Cendes F, Knowlton RC, Novotny E et al (2002) Magnetic resonance spectroscopy in epilepsy: clinical issues. Epilepsia 43 (Suppl. 1):32–39 Cross JH, Connelly A, Jackson GD et al (1996) Proton magnetic resonance spectroscopy in children with temporal lobe epilepsy. Ann Neurol 39:107–113 Hollingworth W, Medina LS, Lenkinski RE et al (2006) A systematic literature review of magnetic resonance spectroscopy for the characterization of brain tumors. Am J Neuroradiol 27:1404–1411 Knowlton RC, Laxer KD, Ende G et al (1997) Presurgical multim- odality neuroimaging in electroencephalographic lateralized temporal lobe epilepsy. Ann Neurol 42:829–837 Kuzniecky R, Hugg JW, Hetherington H et al (1998) Relative utility of 1H spectroscopic imaging and hippocampal volumetry in the lateralization of mesial temporal lobe epilepsy. Neurology 51:66– 71 Kuzniecky R, Palmer C, Hugg J et al (2001) Magnetic resonance spectroscopic imaging in temporal lobe epilepsy: neuronal dys- function or cell loss? Arch Neurol 58:2048–2053 Lee SK, Kim DW, Kim KK et al (2005) Effect of seizure on hippocampus in mesial temporal lobe epilepsy and neocortical epilepsy: an MRS study. Neuroradiology 47:916–923 Li LM, Cendes F, Antel SB et al (2000) Prognostic value of proton magnetic resonance spectroscopic imaging for surgical outcome in patients with intractable temporal lobe epilepsy and bilateral hippocampal atrophy. Ann Neurol 47:195–200 Lin K, Carrete H Jr, Lin J et al (2009) Magnetic resonance spectroscopy reveals an epileptic network in juvenile myoclonic epilepsy. Epilepsia 50:1191–1200 McLean MA, Koepp M, Woermann FG (2008) Magnetic resonance spectroscopy in patients with epilepsy. In: Lüders H (ed) Textbook of epilepsy Surgery. Informa Healthcare, London Mueller SG, Suhy J, Laxer KD et al (2002) Reduced extrahippocampal NAA in mesial temporal lobe epilepsy. Epilepsia 43:1210–1216 Ng TC, Comair YG, Xue M et al (1994) Temporal lobe epilepsy: presurgical localization with proton chemical shift imaging. Radiology 193:465–472 Vuori K, Kankaanranta L, Hakkinen AM et al (2004) Low-grade gliomas and focal cortical developmental malformations: differen- tiation with proton MR spectroscopy. Radiology 230:703–708 Whiting P, Gupta R, Burch J et al (2006) A systematic review of the effectiveness and cost-effectiveness of neuroimaging assessments used to visualise the seizure focus in people with refractory epilepsy being considered for surgery. Health Technol Assess 10(4):1–164 Willmann O, Wennberg R, May T et al (2006) The role of 1H magnetic resonance spectroscopy in pre-operative evaluation for epilepsy surgery. A meta-analysis. Epilepsy Res 71:149–158 Woermann FG, Free SL, Koepp MJ et al (1999a) Abnormal cerebral structure in juvenile myoclonic epilepsy demonstrated with voxel- based analysis of MRI. Brain 122:2101–2108 Woermann FG, McLean MA, Bartlett PA et al (1999b) Short echo time single-voxel 1H magnetic resonance spectroscopy in magnetic resonance imaging-negative temporal lobe epilepsy: different biochemical profile compared with hippocampal sclerosis. Ann Neurol 45:369–376 Woermann FG, McLean MA, Bartlett PA et al (2001) Quantitative short echo time proton magnetic resonance spectroscopic imaging study of malformations of cortical development causing epilepsy. Brain 124:427–436 Yapici Z, Dincer A, Eraksoy M (2005) Proton spectroscopic findings in children with epilepsy owing to tuberous sclerosis complex. J Child Neurol 20:517–522 62 F. G. Woermann
  • 67.
    SPECT and PET WimVan Paesschen, Karolien Goffin and Koen Van Laere Contents 1 Introduction.......................................................................... 63 2 Ictal Onset Zone, Propagation Pathways, and Functional Deficit Zone............................................... 64 2.1 Ictal SPECT........................................................................... 64 2.2 2-[18 F]Fluoro-2-deoxy-D-glucose PET.................................. 64 3 Coregistration of SPECT and PET with MRI ................ 64 4 Functional Nuclear Imaging in the Presurgical Evaluation of Refractory Focal Epilepsy ......................... 64 4.1 Mesial Temporal Lobe Epilepsy with Hippocampal Sclerosis ................................................................................. 64 4.2 Malformations of Cortical Development.............................. 66 4.3 Dual Pathology ...................................................................... 68 4.4 MRI-Negative Refractory Focal Epilepsy............................ 68 5 Conclusion ............................................................................ 70 References...................................................................................... 70 Abstract Ictal perfusion single photon emission computed tomog- raphy and positron emission tomography of brain metabolism are functional nuclear imaging modalities that are useful in the presurgical evaluation of patients with refractory focal epilepsy, and provide information on the ictal onset zone, seizure propagation pathways, and functional deficit zones. Combined with electro- physiological and coregistered MRI data, these tech- niques allow a noninvasive presurgical evaluation in a growing number of patients with refractory focal epilepsy, and are particularly useful in patients with normal MRI findings, focal dysplastic lesions, dual pathology and discordant seizure symptoms, and elec- trophysiology and morphological data. In addition, these techniques may provide crucial information in the planning of invasive electroencephalography studies. 1 Introduction Single photon emission computed tomography (SPECT) and positron emission tomography (PET) are functional nuclear imaging modalities. SPECT allows the study of cerebral perfusion during the ictal and interictal states (Kapucu et al. 2009), and PET allows the study of cerebral metabolic and neurochemical processes. In the epilepsy clinic, 2-[18 F]fluoro-2-deoxy-D-glucose PET (FDG-PET) is commonly used to assess interictal and rarely ictal cerebral metabolism. Functional nuclear imaging is most useful in the presurgical evaluation of patients with refractory focal epilepsy, and can delineate the ictal onset, seizure propagation, and functional deficit zones (Rosenow and Lüders 2001). ‘‘Functional’’ means that the imaging results are critically dependent on the timing of tracer injection, i.e., ictal, postictal, or interictal, and the seizure type (Van Paesschen et al. 2007a; Goffin et al. 2008). For ictal W. Van Paesschen (&) Department of Neurology, University Hospital Leuven, Herestraat 49, 3000 Leuven, Belgium e-mail: wim.vanpaesschen@uzleuven.be K. Goffin Á K. Van Laere Division of Nuclear Medicine, University Hospital Leuven and Katholieke Universiteit Leuven, Leuven, Belgium H. Urbach (ed.), MRI in Epilepsy, Medical Radiology. Diagnostic Imaging, DOI: 10.1007/174_2012_561, Ó Springer-Verlag Berlin Heidelberg 2013 63
  • 68.
    SPECT interpretation, itis, therefore, important to be aware of the seizure types, the timing of the injection, ictal symptoms, and electroencephalography (EEG) data. Both FDG-PET and ictal SPECT can predict seizure-free out- come after epilepsy surgery (Knowlton et al. 2008). Ictal SPECT is probably the most sensitive imaging modality to delineate the ictal onset zone in extratemporal lobe epilepsy (Knowlton et al. 2008; Kim et al. 2009). 2 Ictal Onset Zone, Propagation Pathways, and Functional Deficit Zone Focal seizures start in the ictal onset zone, and can propa- gate through the brain (Rosenow and Lüders 2001). The functional deficit zone is the part of the cortex with an abnormal function between seizures, due to morphological or functional factors, or both. Understanding these concepts is crucial for proper interpretation of functional nuclear images. 2.1 Ictal SPECT In the absence of seizure propagation, the largest hyper- perfusion cluster with the highest z score represents the ictal onset zone. This pattern is usually observed with early ictal injections during simple or complex focal seizures, or in brain regions where ictal propagation is slow, and allows a reliable localization of the ictal onset zone on blinded assessment without prior knowledge of other data from the presurgical evaluation (Dupont et al. 2006). Often, ictal SPECT shows propagated ictal activity, which is due to the slow time resolution of ictal SPECT with respect to seizure propagation. The transit time of a perfusion tracer from an arm vein to cerebral arteries is around 30 s. In addition, there is often a delay between seizure onset and injection of the perfusion tracer. Further, only around 60% of the perfusion tracer is extracted by nerve cells on the first pass (the other 40% is extracted later), contributing to the slow time resolution of ictal SPECT. Propagation patterns can be seen in all focal epi- lepsies, but most often in frontal lobe epilepsy (Dupont et al. 2006). Ictal SPECT injections during secondary gen- eralized seizures show more areas of propagation than during focal seizures without generalization (Varghese et al. 2009). In the case of propagation, ictal hyperperfusion can be observed outside the ictal onset zone. The propagated activity may be represented by the largest hyperperfusion cluster with the highest z score, and is usually con- nected with the hyperperfusion cluster of the ictal onset zone though a small trail of hyperperfusion, which we have called an ‘‘hourglass pattern’’ (Dupont et al. 2006). Propagation may be towards another lobe, ipsilateral, or contralateral. A reliable blinded assessment of subtraction ictal SPECT coregistered with MRI (SISCOM) data without knowledge of the other data from the presurgical evaluation is often not possible. 2.2 2-[18 F]Fluoro-2-deoxy-D-glucose PET Hypometabolism on FDG-PET usually encompasses the ictal onset zone, but tends to be larger. There is evidence to suggest that both the ictal onset zone and seizure propaga- tion pathways become hypometabolic interictally, repre- senting the functional deficit zone (Rosenow and Lüders 2001; Van Paesschen et al. 2007a). The pattern of hypo- metabolism reflects the seizure types prior to PET scanning (Savic et al. 1997). The difference between the ictal onset zone and the functional deficit zone is most clearly dem- onstrated in the rare event of ictal FDG-PET scanning (Van Paesschen et al. 2007b). In these cases, the ictal onset zone is hypermetabolic and the functional deficit zone is hypo- metabolic (Fig. 1). 3 Coregistration of SPECT and PET with MRI The most common epileptic lesions causing refractory focal epilepsy include hippocampal sclerosis, malformations of cortical development, tumor, vascular malformations, and infarct/contusion (Li et al. 1995). Subtraction ictal SPECT is routinely coregistered with MRI (SISCOM) because it improves the clinical usefulness in localizing the ictal onset zone and is predictive of seizure outcome (O’Brien et al. 1998, 2000). FDG-PET/MRI coregistration improves the detection of small dysplastic lesions (Chassoux et al. 2010; Goffin et al. 2010; Salamon et al. 2008). 4 Functional Nuclear Imaging in the Presurgical Evaluation of Refractory Focal Epilepsy 4.1 Mesial Temporal Lobe Epilepsy with Hippocampal Sclerosis 4.1.1 Ictal SPECT Ictal SPECT during a complex focal seizure in mesial temporal lobe epilepsy with hippocampal sclerosis usually shows early ipsilateral neocortical temporal lobe hyperper- fusion, frontal lobe hypoperfusion (ipsilateral more than contralateral), contralateral cerebellar hypoperfusion, and later parietal lobe hypoperfusion (Van Paesschen et al. 64 W. Van Paesschen et al.
  • 69.
    2003; Blumenfeld etal. 2004) (Fig. 2). Ictal SPECT during simple focal seizures in mesial temporal lobe epilepsy with hippocampal sclerosis can show a small hyperperfusion cluster confined to the temporal lobe, or may reveal no hyperperfusion in around 40% of cases (Van Paesschen et al. 2000; Van Paesschen and Ictal 2004), probably because the hyperperfusion is below the spatial resolution of ictal SPECT, which is around 7 mm. Seizure propagation towards the ipsilateral basal ganglia together with hypo- perfusion of associative brain regions correlates with con- tralateral dystonic posturing of the arm (Kim et al. 2007; Chassagnon et al. 2009). Seizures can propagate to the contralateral temporal lobe, and when the ictal SPECT injection is given after seizure propagation, SISCOM may show hyperperfusion in the contralateral temporal lobe (Cho et al. 2010). Early ictal SPECT injection can obviate this problem of seizure propagation (Van Paesschen et al. 2000). Different propagation patterns in mesial temporal lobe epilepsy with hippocampal sclerosis are not of prog- nostic significance with respect to seizure outcome after epilepsy surgery (Kim et al. 2007). 4.1.2 2-[18 F]Fluoro-2-deoxy-D-glucose PET Interictal FDG-PET findings in mesial temporal lobe epi- lepsy with hippocampal sclerosis have been well described. Hypometabolism is present in the ipsilateral temporal lobe in around 95% of cases, but also in regions outside the ictal onset zone, including the contralateral temporal lobe in up to 40% of cases, the ipsilateral thalamus in around 65% of cases, ipsilateral basal ganglia in 45% of cases, the ipsi- lateral insula in 50% of cases, the ipsilateral basal frontal lobe in around 30% of cases, and the ipsilateral parietal lobe in up to 30% of cases (Henry et al. 1990, 1993) (Fig. 2). In mesial temporal lobe epilepsy with hippocampal sclerosis, the extent and severity of hypometabolism is not related to surgical outcome (Lee et al. 2002). Interictal ipsilateral frontal lobe hypometabolism in mesial temporal lobe epi- lepsy with hippocampal sclerosis tends to coincide with ictal SPECT hypoperfusion, which could represent surround inhibition (Nelissen et al. 2006). Frontal lobe hypometab- olism in mesial temporal lobe epilepsy with hippocampal sclerosis could explain frontal lobe cognitive deficits (Takaya et al. 2006; Jokeit et al. 1997). Fig. 1 2-[18 F]Fluoro-2-deoxy-D-glucose positron emission tomogra- phy (PET) in Rasmussen encephalitis. a Three-dimensional stereotac- tic surface projection analysis of ictal PET. The patient was a 26-year-old woman with Rasmussen encephalitis affecting the right cerebral hemisphere, with left-sided focal motor status epilepticus. Ictal PET was performed because electroencephalography did not allow lateralization, and showed hypermetabolism in the right hemisphere, consistent with status epilepticus. The left hemisphere was severely hypometabolic. b Stereotactic surface projection analysis of interictal PET images 1 year after a right functional hemispherot- omy, which rendered her seizure-free. The right hemisphere became hypometabolic. The structurally normal left hemisphere became normometabolic, which was accompanied by important cognitive improvements, consistent with a recovery of the functional deficit zone SPECT and PET 65
  • 70.
    4.2 Malformations ofCortical Development Malformations of cortical development represent a spec- trum of congenital structural abnormalities of cerebral cortical development, which are a major cause of refractory focal epilepsy (Barkovich et al. 2005; Palmini et al. 2004). Malformations due to abnormal proliferation (Barkovic class I), including cortical hamartomas, cortical dysplasia with balloon cells, dysembryoplastic neuroepithelial tumors, gangliogliomas, and gangliocytomas, have a better outcome than malformation due to abnormal proliferation (Barkovic class II) and malformations due to abnormal cortical organization (Barkovic class III) (Chang et al. 2011). Focal cortical dysplasia, characterized by abnormal neuroglial proliferation, is the most frequent malformation of cortical development in patients referred for presurgical evaluation (Lüders and Schuele 2006). Focal cortical dys- plasia can be classified into three types (Blümcke et al. 2011). Complete resection of electrocorticographic and structural abnormalities appears to be most predictive of long-term seizure outcome (Chang et al. 2011). Functional nuclear imaging is a useful technique in the presurgical evaluation of refractory focal epilepsy due to malformations of cortical development. 4.2.1 Ictal SPECT Malformations of cortical development are intrinsic epilep- togenic lesions, since the ictal onset zone is within the dys- plastic cortex. Dysplastic cortex may not always be visible on MRI and, therefore, the ictal onset zone may be at the border of an MRI-visible dysplastic lesion (Blümcke et al. 2011; Marusic et al. 2002). Ictal SPECT is particularly useful to delineate the ictal onset zone in focal dysplastic lesions, even when these are not visible on MRI (Van Paesschen et al. 2007a; Dupont et al. 2006; Kim et al. 2011). O’Brien et al. (2004) reported that a model combining SISCOM concor- dance with the surgical resection site and the extent of MRI lesion resection was predictive of postoperative seizure Fig. 2 Ictal single photon emission computed tomography (SPECT) and FDG-PET in mesial temporal lobe epilepsy with hippocampal sclerosis. The patient was a 55-year-old woman with mesial temporal lobe epilepsy associated with left hippocampal sclerosis. a Subtraction ictal SPECT coregistered with MRI (SISCOM) of a complex focal seizure which lasted 73 s, with initiation of ictal SPECT tracer injection 38 s after seizure onset. The largest hyperperfusion cluster (yellow–red) with the highest z score was in the left superior and middle temporal gyrus, and was connected with a small trail of hyperperfusion (white arrow) coming from the left hippocampal sclerosis, i.e., the largest hyperperfusion cluster probably represented propagated seizure activity. Areas of hypoperfusion (blue) visible on this image were the contralateral temporal lobe and frontal lobe at the midline. b Three-dimensional stereotactic surface projection analysis of FDG-PET images showed left temporal lobe hypometabolism (white arrow) 66 W. Van Paesschen et al.
  • 71.
    outcome. In refractoryfocal epilepsy due to a single MRI- visible focal dysplastic lesion, we found that overlap between the SISCOM hyperperfusion cluster and the MRI-visible focal dysplastic lesion in a noninvasive presurgical evalua- tion with concordant data may suffice to proceed to epilepsy surgery aimed at removing the MRI-visible focal dysplastic lesion and the part of the hyperperfusion cluster within and immediately surrounding the focal dysplastic lesion (Dupont et al. 2006) (Fig. 3). 4.2.2 2-[18 F]Fluoro-2-deoxy-D-glucose PET Focal cortical dysplasia shows a focal or regional area of hypometabolism on FDG-PET in around 65–80% of cases (Chassoux et al. 2010; Goffin et al. 2010; Salamon et al. 2008; Kim et al. 2011). FDG-PET/MRI coregistration and partial volume correction improves detection of cortical dysplasia (Chassoux et al. 2010; Goffin et al. 2010; Salamon et al. 2008). FDG-PET is especially useful to detect the milder Palmini type I lesions, which may not be visible on Fig. 3 Multimodality imaging in the presurgical evaluation of refractory focal epilepsy. The patient was a 14-year-old boy with refractory frontal lobe epilepsy with focal motor seizures in his left limbs. a Fluid- attenuated inversion recovery (FLAIR) showed a focal cortical dysplasia that was visible as an area of slightly hyperintense and thickened cortex, located on the medial border of the right superior frontal gyrus (white cross). b Multimodal imaging including magnetization- prepared rapid gradient echo, subtracted ictal SPECT (red), and motor functional MRI of the foot (yellow), hand (green), and corticospinal tract (blue), coregistered with FLAIR (a). The SISCOM hyperperfusion cluster overlapped with the focal cortical dysplasia, which provided an excellent delineation of the epileptogenic zone, i.e., the region that the neurosurgeon has to remove to render the patient seizure-free. However, motor functional MRI of the foot confirmed that the epileptic lesion was within eloquent cortex. Surgery has not been offered SPECT and PET 67
  • 72.
    MRI (Kim etal. 2009; Salamon et al. 2008) (Fig. 4). FDG- PET hypometabolism is often present outside the location of the focal dysplastic lesion, consistent with the observa- tion that the functional deficit zone tends to be larger than the epileptogenic zone (Goffin et al. 2010). It remains, therefore, important to interpret FDG-PET in the context of a full presurgical evaluation. 4.3 Dual Pathology Dual pathology, i.e., two or more epileptic lesions, is detected on MRI in around 5–20% of patients referred for presurgical evaluation (Li et al. 1999). Often, one of the two lesions is hippocampal sclerosis. Malformations of cortical develop- ment and porencephalic cysts are more frequently associated with hippocampal sclerosis than other epileptic lesions, such as low-grade gliomas and vascular malformations (Blümcke et al. 2011; Cendes et al. 1995). Focal cortical dysplasia type III occurs in combination with hippocampal sclerosis, epilepsy-associated tumors, vascular malformations, and epileptogenic lesions acquired in early life (i.e., traumatic injury, ischemic injury, or encephalitis) (Blümcke et al. 2011). 4.3.1 Ictal SPECT In patients with dual pathology including hippocampal sclerosis, removal of the two lesions may be the best sur- gical approach (Li et al. 1999). However, patients with mesial temporal lobe epilepsy and hippocampal sclerosis and an extratemporal porencephalic cyst can be rendered seizure-free after temporal lobectomy (Burneo et al. 2003). In our experience, ictal SPECT can be highly accurate to pinpoint hippocampal sclerosis as the ictal onset zone in patients with dual pathology (Fig. 5). Valenti et al. (2002) reported ictal SPECT hyperperfusion within dysembryo- plastic neuroepithelial tumors, extending into areas of dysplastic tissue that were not visible on MRI. 4.3.2 2-[18 F]Fluoro-2-deoxy-D-glucose PET Diehl et al. (2003) reported FDG-PET in patients with hippocampal sclerosis with and without associated micro- scopic cortical dysplasia. In hippocampal sclerosis with concurrent temporal neocortical microscopic cortical dys- plasia, the most prominent hypometabolism was in the temporal neocortex. In isolated hippocampal sclerosis without cortical dysplasia, the most pronounced hypome- tabolism was in the mesial temporal lobe. Patients with tuberous sclerosis complex tend to have multiple tubers. Removal of the epileptic tubers may render these patients seizure-free. FDG-PET is useful in the non-invasive pre- surgical evaluation of these patients. Some of the tubers in the epileptogenic zone may display the largest volume of hypometabolism relative to the actual tuber volume (Salamon et al. 2008; Wu et al. 2010). 4.4 MRI-Negative Refractory Focal Epilepsy Around 25% of patients with refractory focal epilepsy have no epileptic lesion on MRI (Li et al. 1995; Duncan 2010). As a group, around 40% of patients with MRI-negative Fig. 4 MRI-negative, SPECT/ PET-positive temporal lobe epilepsy. The patient was a 27-year-old man with a 5-year history of refractory MRI- negative temporal lobe epilepsy. SISCOM showed a left anterotemporal hyperperfusion cluster. FDG-PET showed left temporal hypometabolism. He underwent a left anterotemporal lobectomy, including the amygdala and with sparing of the hippocampus. He has remained seizure-free for more than 1 year. Pathology demonstrated focal cortical dysplasia type I 68 W. Van Paesschen et al.
  • 73.
    Fig. 5 SISCOMin dual pathology. The patient was a 36-year-old woman who had developed epilepsy at the age of 7 years. She underwent a neurosurgical operation with removal of a pilocytic astrocytoma. She remained seizure-free without antiepileptic medication until the age of 23 years. She then had recurrent seizures and developed a refractory left temporal lobe epilepsy. SISCOM showed a very focal cluster of hyperperfusion (red) in the hippocampus just posterior of the resection site (white arrow). This region was resected, rendering her seizure- free. Pathology showed hippocampal sclerosis Fig. 6 Detection of a small focal cortical dysplasia guided by ictal SPECT on an MRI scan that was initially read as showing normal findings. The patient was a 32- year-old woman with a refractory right frontal lobe epilepsy. Her MRI scan of the brain was initially read as showing normal findings. Ictal SPECT was performed during a motor seizure that lasted 21 s, with initiation of the ictal SPECT tracer injection 3 s after seizure onset. SISCOM showed a hyperperfusion cluster (red–yellow area) in the right frontal lobe near primary motor cortex (motor functional MRI: blue areas). Reanalysis of the MRI scan showed a bottom-of- sulcus cortical dysplasia at the place of the SISCOM hyperperfusion cluster SPECT and PET 69
  • 74.
    focal epilepsy arerendered seizure-free after epilepsy sur- gery, and have a worse prognosis compared with patients with refractory focal epilepsy and an epileptic lesion on MRI (Lee et al. 2005). 4.4.1 Ictal SPECT In MRI-negative refractory focal epilepsy, reevaluation of the MRI, guided by the ictal SPECT, reveals small focal dys- plastic lesions in around 15% of cases (Van Paesschen et al. 2007a; Van Paesschen and Ictal 2004) (Fig. 6). SISCOM can be used to guide placement of intracranial electrodes (Ahnlide et al. 2007). SISCOM may alter and extend the strategy for electrode placement in invasive recording. Favorable surgical outcome has been observed when intra- cranial EEG was concordant with SISCOM hyperperfusion. SISCOM localization, therefore, is an independent method with an impact in patients with refractory partial epilepsy scheduled for intracranial EEG studies. In comparison with MRI, FDG-PET, magnetoencephalography, and scalp EEG, ictal SPECT is probably the most sensitive technique to localize the ictal onset zone in extratemporal lobe epilepsy, and to predict a seizure-free outcome after epilepsy surgery (Knowlton et al. 2008; Kim et al. 2009). 4.4.2 2-[18 F]Fluoro-2-deoxy-D-glucose PET FDG-PET may be useful in MRI-negative temporal lobe epilepsy. Good surgical results have been reported in patients with MRI-negative refractory temporal lobe epi- lepsy and unilateral temporal hypometabolism (Fig. 4). MRI-negative, PET-positive temporal lobe epilepsy may represent a surgically remediable syndrome distinct from mesial temporal lobe epilepsy, with focal hypometabolism involving primarily lateral neocortical rather than mesial temporal structures (Lee et al. 2005; Carne et al. 2004). FDG-PET is most useful in patients with temporal lobe epilepsy when MRI findings are normal or when MRI does not show unilateral temporal lobe abnormalities, and when ictal EEG results are not concordant with MRI findings or seizure symptoms (Uijl et al. 2007). 5 Conclusion Ictal SPECT and FDG-PET are functional nuclear imaging modalities which may provide additional information in the noninvasive presurgical evaluation of patients with refrac- tory focal epilepsy when MRI shows a malformation of cortical development (Dupont et al. 2006), dual pathology, or MRI-negative cases, or when the data from the presur- gical evaluation are discordant. Both may facilitate the detection of a subtle focal dysplastic lesion when the MRI findings were initially reported as normal, and may allow epilepsy surgery after a noninvasive presurgical evaluation. Ictal SPECT may guide placement of electrodes and grids for invasive EEG studies. Ictal SPECT and FDG-PET can be integrated in a multimodal image, including MRI, trac- tography, EEG–functional MRI and magnetoencephalog- raphy, allowing accurate surgical planning. Both FDG-PET and ictal SPECT can predict seizure-free outcome after epilepsy surgery (Knowlton et al. 2008). References Ahnlide JA, Rosen I, Linden-Mickelsson TP, Kallen K (2007) Does SISCOM contribute to favorable seizure outcome after epilepsy surgery? Epilepsia 48:579–588 Barkovich AJ, Kuzniecky RI, Jackson GD, Guerrini R, Dobyns WB (2005) A developmental and genetic classification for malforma- tions of cortical development. Neurology 27(65):1873–1887 Blümcke I, Thom M, Aronica E et al (2011) The clinicopathologic spectrum of focal cortical dysplasias: a consensus classification proposed by an ad hoc task force of the ILAE Diagnostic Methods Commission. Epilepsia 52:158–174 Blumenfeld H, McNally KA, Vanderhill SD et al (2004) Positive and negative network correlations in temporal lobe epilepsy. Cereb Cortex 14:892–902 Burneo JG, Faught E, Knowlton RC et al (2003) Temporal lobectomy in congenital porencephaly associated with hippocampal sclerosis. Arch Neurol 60:830–834 Carne RP, O’Brien TJ, Kilpatrick CJ et al (2004) MRI-negative PET- positive temporal lobe epilepsy: a distinct surgically remediable syndrome. Brain 127:2276–2285 Cendes F, Cook MJ, Watson C et al (1995) Frequency and characteristics of dual pathology in patients with lesional epilepsy. Neurology 45:2058–2064 Chang EF, Wang DD, Barkovich AJ et al (2011) Predictors of seizure freedom after surgery for malformations of cortical development. Ann Neurol 70:151–162 Chassagnon S, Namer IJ, Armspach JP et al (2009) SPM analysis of ictal-interictal SPECT in mesial temporal lobe epilepsy: relation- ships between ictal semiology and perfusion changes. Epilepsy Res 85:252–260 Chassoux F, Rodrigo S, Semah F et al (2010) FDG-PET improves surgical outcome in negative MRI Taylor-type focal cortical dysplasias. Neurology 14(75):2168–2175 Cho JW, Hong SB, Lee JH et al (2010) Contralateral hyperperfusion and ipsilateral hypoperfusion by ictal SPECT in patients with mesial temporal lobe epilepsy. Epilepsy Res 88:247–254 Diehl B, LaPresto E, Najm I et al (2003) Neocortical temporal FDG- PET hypometabolism correlates with temporal lobe atrophy in hippocampal sclerosis associated with microscopic cortical dys- plasia. Epilepsia 44:559–564 Duncan JS (2010) Imaging in the surgical treatment of epilepsy. Nat Rev Neurol 6:537–550 Dupont P, Van Paesschen W, Palmini A et al (2006) Ictal perfusion patterns associated with single MRI-visible focal dysplastic lesions: implications for the noninvasive delineation of the epileptogenic zone. Epilepsia 47:1550–1557 Goffin K, Dedeurwaerdere S, Van Laere KJ, Van Paesschen W (2008) Neuronuclear assessment of patients with epilepsy. Semin Nucl Med 38:227–239 Goffin K, Van Paesschen W, Dupont P et al (2010) Anatomy-based reconstruction of FDG-PET images with implicit partial volume correction improves detection of hypometabolic regions in patients 70 W. Van Paesschen et al.
  • 75.
    with epilepsy dueto focal cortical dysplasia diagnosed on MRI. Eur J Nucl Med Mol Imaging 37:1148–1155 Henry TR, Mazziotta JC, Engel J Jr et al (1990) Quantifying interictal metabolic activity in human temporal lobe epilepsy. J Cereb Blood Flow Metab 10:748–757 Henry TR, Mazziotta JC, Engel J Jr (1993) Interictal metabolic anatomy of mesial temporal lobe epilepsy. Arch Neurol 50:582–589 Jokeit H, Seitz RJ, Markowitsch HJ, Neumann N, Witte OW, Ebner A (1997) Prefrontal asymmetric interictal glucose hypometabolism and cognitive impairment in patients with temporal lobe epilepsy. Brain 120(Pt 12):2283–2294 Kapucu OL, Nobili F, Varrone A et al (2009) EANM procedure guideline for brain perfusion SPECT using 99mTc-labelled radiopharmaceuti- cals, version 2. Eur J Nucl Med Mol Imaging 36:2093–2102 Kim JH, Im KC, Kim JS et al (2007) Ictal hyperperfusion patterns in relation to ictal scalp EEG patterns in patients with unilateral hippocampal sclerosis: a SPECT study. Epilepsia 48:270–277 Kim JT, Bai SJ, Choi KO et al (2009) Comparison of various imaging modalities in localization of epileptogenic lesion using epilepsy surgery outcome in pediatric patients. Seizure 18:504–510 Kim YH, Kang HC, Kim DS et al (2011) Neuroimaging in identifying focal cortical dysplasia and prognostic factors in pediatric and adolescent epilepsy surgery. Epilepsia 52:722–727 Knowlton RC, Elgavish RA, Bartolucci A et al (2008) Functional imaging: II. Prediction of epilepsy surgery outcome. Ann Neurol 64:35–41 Lee SK, Lee DS, Yeo JS et al (2002) FDG-PET images quantified by probabilistic atlas of brain and surgical prognosis of temporal lobe epilepsy. Epilepsia 43:1032–1038 Lee SK, Lee SY, Kim KK, Hong KS, Lee DS, Chung CK (2005) Surgical outcome and prognostic factors of cryptogenic neocortical epilepsy. Ann Neurol 58:525–532 Li LM, Fish DR, Sisodiya SM, Shorvon SD, Alsanjari N, Stevens JM (1995) High resolution magnetic resonance imaging in adults with partial or secondary generalised epilepsy attending a tertiary referral unit. J Neurol Neurosurg Psychiatry 59:384–387 Li LM, Cendes F, Andermann F et al (1999) Surgical outcome in patients with epilepsy and dual pathology. Brain 122(Pt 5):799–805 Lüders H, Schuele SU (2006) Epilepsy surgery in patients with malformationsofcorticaldevelopment.CurrOpinNeurol19:169–174 Marusic P, Najm IM, Ying Z et al (2002) Focal cortical dysplasias in eloquent cortex: functional characteristics and correlation with MRI and histopathologic changes. Epilepsia 43:27–32 Nelissen N, Van Paesschen W, Baete K et al (2006) Correlations of interictal FDG-PET metabolism and ictal SPECT perfusion changes in human temporal lobe epilepsy with hippocampal sclerosis. Neuroimage 15(32):684–695 O’Brien TJ, So EL, Mullan BP et al (1998) Subtraction ictal SPECT co-registered to MRI improves clinical usefulness of SPECT in localizing the surgical seizure focus. Neurology 50:445–454 O’Brien TJ, So EL, Mullan BP et al (2000) Subtraction peri-ictal SPECT is predictive of extratemporal epilepsy surgery outcome. Neurology 12(55):1668–1677 O’Brien TJ, So EL, Cascino GD et al (2004) Subtraction SPECT coregistered to MRI in focal malformations of cortical develop- ment: localization of the epileptogenic zone in epilepsy surgery candidates. Epilepsia 45:367–376 Palmini A, Najm I, Avanzini G et al (2004) Terminology and classification of the cortical dysplasias. Neurology 23(62):S2–S8 Rosenow F, Lüders H (2001) Presurgical evaluation of epilepsy. Brain 124:1683–1700 Salamon N, Kung J, Shaw SJ et al (2008) FDG-PET/MRI coregistra- tion improves detection of cortical dysplasia in patients with epilepsy. Neurology 11(71):1594–1601 Savic I, Altshuler L, Baxter L, Engel J Jr (1997) Pattern of interictal hypometabolism in PET scans with fludeoxyglucose F 18 reflects prior seizure types in patients with mesial temporal lobe seizures. Arch Neurol 54:129–136 Takaya S, Hanakawa T, Hashikawa K et al (2006) Prefrontal hypofunction in patients with intractable mesial temporal lobe epilepsy. Neurology 14(67):1674–1676 Uijl SG, Leijten FS, Arends JB, Parra J, van Huffelen AC, Moons KG (2007) The added value of [18F]-fluoro-D-deoxyglucose positron emission tomography in screening for temporal lobe epilepsy surgery. Epilepsia 48:2121–2129 Valenti MP, Froelich S, Armspach JP et al (2002) Contribution of SISCOM imaging in the presurgical evaluation of temporal lobe epilepsy related to dysembryoplastic neuroepithelial tumors. Epi- lepsia 43:270–276 Van Paesschen W (2004) Ictal SPECT. Epilepsia 45(Suppl 4): 35–40 Van Paesschen W, Dupont P, Van Heerden B et al (2000) Self- injection ictal SPECT during partial seizures. Neurology 23(54): 1994–1997 Van Paesschen W, Dupont P, Van Driel G, Van Billoen H, Maes A (2003) SPECT perfusion changes during complex partial seizures in patients with hippocampal sclerosis. Brain 126:1103–1111 Van Paesschen W, Dupont P, Sunaert S, Goffin K, Van Laere KJ (2007a) The use of SPECT and PET in routine clinical practice in epilepsy. Curr Opin Neurol 20:194–202 Van Paesschen W, Porke K, Fannes K et al (2007b) Cognitive deficits during status epilepticus and time course of recovery: a case report. Epilepsia 48:1979–1983 Varghese GI, Purcaro MJ, Motelow JE et al (2009) Clinical use of ictal SPECT in secondarily generalized tonic-clonic seizures. Brain 132:2102–2113 Wu JY, Salamon N, Kirsch HE et al (2010) Noninvasive testing, early surgery, and seizure freedom in tuberous sclerosis complex. Neurology 2(74):392–398 SPECT and PET 71
  • 76.
    Morphometric MRI Analysis Hans-Ju¨rgenHuppertz Contents 1 Introduction.......................................................................... 73 2 Methods................................................................................. 74 2.1 Preprocessing ......................................................................... 74 2.2 Computation of the Junction Image ..................................... 74 2.3 Computation of the Extension Image................................... 76 2.4 Computation of the Thickness Image................................... 76 3 Examples............................................................................... 77 3.1 Focal Cortical Dysplasia ....................................................... 77 3.2 Gray Matter Heterotopia ....................................................... 81 3.3 Polymicrogyria....................................................................... 81 4 Diagnostic Yield ................................................................... 81 5 Limitations............................................................................ 82 6 Conclusion ............................................................................ 83 References...................................................................................... 83 Abstract Morphometric MRI analysis may facilitate the detection and visualization of focal cortical dysplasia and other potentially epileptogenic cortical malformations by high- lighting structural alterations such as abnormal gyration, blurring of the gray-white matter junction, and abnormal thickness of the cortical ribbon. In this chapter, a voxel- based implementation of this kind of MRI postprocessing using algorithms of the SPM5 software is presented. The description of methods is accompanied by illustrative examples which show how this approach may aid in the detection of subtle cortical dysplasia, polymicrogyria and gray matter heterotopia, in the delineation of the extent of lesions, andin thedifferentiation between differenttypesof lesions. Thereby, it increases the diagnostic yield of MRI and appears to be a useful additional tool in the diagnostics and especially presurgical evaluation of epilepsy patients. 1 Introduction Focal cortical dysplasia (FCD) is a highly epileptogenic cortical malformation resulting from abnormal proliferation of neurons during the first trimester and/or from abnormal cortical organization during the third trimester of pregnancy (Barkovich and Kuzniecky 1996; Hagemann et al. 2000; Redecker et al. 2000; Barkovich et al. 2001; Hildebrandt et al. 2005). The spectrum of histopathological changes ranges from abnormal cortical lamination to extensive malforma- tions with atypical cell types affecting the whole cortex and subcortical white matter (Gomez-Anson et al. 2000). In the past 15 years, owing to improved MRI capabilities, these lesions have been increasingly recognized as an underlying cause of formerly cryptogenic epilepsy and now account for up to 25% of patients with focal epilepsy in presurgical epilepsy centers (Kuzniecky et al. 1993; Fauser et al. 2004; Lerner et al. 2009). More than 70% of these epilepsies are resistant to pharmacological treatment (Semah et al. 1998), H.-J. Huppertz (&) Swiss Epilepsy Centre, Zurich, Switzerland e-mail: hans-juergen.huppertz@swissepi.ch H. Urbach (ed.), MRI in Epilepsy, Medical Radiology. Diagnostic Imaging, DOI: 10.1007/174_2012_564, Ó Springer-Verlag Berlin Heidelberg 2013 73
  • 77.
    and epilepsy surgeryseems to be the best available treatment option. However, before surgery it is necessary to localize the lesion and to delineate its extent. Detection on MRI is crucial since both the probability of undergoing surgical therapy and the postoperative outcome are significantly better in MRI-positive patients (Berg et al. 2003; Bien et al. 2009). Typical MRI features of FCD include abnormal gyral con- tours, thickening of the cortex, abnormal differentiation of the gray matter-white matter boundary, and sometimes signal hyperintensity in T2- and fluid-attenuated inversion recovery (FLAIR)-weighted images (Kuzniecky et al. 1995; Raymond et al. 1995; Chan et al. 1998; Gomez-Anson et al. 2000; Urbach et al. 2002). In subtle cases, however, diagnosis is time-consuming and difficult, and although MRI techniques have markedly improved over the last years, conventional MRI can be unrevealing (Tassi et al. 2002; Widdess-Walsh et al. 2006; Krsek et al. 2008). Therefore, attempts have been made to facilitate lesion detection by modern image post- processing strategies such as curvilinear reformatting of 3D MRI data (Bastos et al. 1999), quantifying the regional distribution of gray matter and white matter by voxel-based morphometry or autoblock analysis (Sisodiya et al. 1995a, b; Woermann et al. 1999; Merschhemke et al. 2003; Bonilha et al. 2006; Bruggemann et al. 2007), measuring the thickness of the cerebral cortex (Fischl and Dale 2000), texture analysis (Bernasconi et al. 2001; Antel et al. 2002, 2003), and quantitative intensity analysis (Rugg-Gunn et al. 2005; Salmenpera et al. 2007; Focke et al. 2008). In addition, there have been promising approaches for automated lesion detection, for example, by searching for maximum deviations from a normal database (Kassubek et al. 2002; Wilke et al. 2003), by using a Bayesian classifier (Antel et al. 2003), by thresholding z-score maps (Colliot et al. 2006), by applying classifiers based on neural networks (Besson et al. 2008b), and by statistical parametric mapping, either applied to structural data in the framework of voxel-based morphometry or combined with signal intensity analysis. An overview of the different approaches can be found in the review by Bernasconi et al. (2011). The following presentation concentrates on a method for morphometric MRI analysis which is based on algorithms in the freely available software program for statistical parametric mapping SPM (SPM5, Wellcome Department of Imaging Neuroscience Group, London, UK; http://www.fil. ion.ucl.ac.uk/spm) and compares individual brain anatomy with a normal database. The whole processing is performed by a fully automated MATLABÒ script called Morphometric Analysis Program (MAP) which is in clinical use in about a dozen epilepsy centers in Europe and the USA. From a high- resolution T1-weighted 3D MRI data set, three new feature maps (called ‘‘extension image,’’ ‘‘junction image,’’ and ‘‘thickness image’’) are derived which characterize three different potential features of FCD: the abnormal extension of gray matter into white matter (i.e., abnormal deep sulci), the blurring of the gray matter-white matter junction, and the abnormal thickness of the cortical ribbon. By highlighting suspicious cortical regions, the MAP results can guide a second look at the MRI data and thereby increase the sensitivity of MRI evaluation (Huppertz et al. 2005; Wellmer et al. 2010; Wagner et al. 2011). 2 Methods The MRI postprocessing presented here uses standard procedures available within SPM5 (e.g., normalization, segmentation) and additional simple computations and filters (e.g., calculation of a difference image, conversion to a binary image, masking, smoothing). Starting with a T1-weighted MRI volume data set of usually 1-mm3 voxel resolution and preferably high contrast between gray matter and white matter, the calculation of the morphometric maps comprises the following steps (see also Fig. 1; the numbers within the figure correspond to these processing steps). 2.1 Preprocessing Normalization and intensity correction (step 1) and simultaneous segmentation (step 2). SPM5 includes a probabilistic framework (called ‘‘unified segmentation’’) whereby image registration, tissue classification, and bias correction are integrated within the same generative model (Ashburner and Friston 2005). By use of thisframework,the3DMRIdatasetofeachpatientisnormalized tothestandardbrainoftheMontrealNeurologicalInstitute(MNI) included in the SPM5 distribution, segmented into different brain compartments, i.e., gray matter, white matter, and cere- brospinalfluid,andissimultaneouslycorrectedforsmallintensity inhomogeneities (using default SPM5 parameters). 2.2 Computation of the Junction Image Filteringandconversiontoabinaryimage(step 3).Themeans and standard deviations of the voxel intensities in the gray matter and white matter compartments are used to determine individualupperandlowerintensitythresholdsforfilteringand conversion of the normalized and intensity-corrected image to a binary image. The thresholds are given by the functions TLower Threshold ¼ Mean GM þ 1=2 SD GM and TUpper Threshold ¼ Mean WM À 1=2 SD WM where ‘‘mean’’ and SD are the mean and standard deviation of the voxel intensities in the respective tissue class, and GM and WM are gray matter and white matter, respectively. Each voxel with a gray value between these thresholds is set to 1 in 74 H.-J. Huppertz
  • 78.
    the resulting binaryimage, and the other voxelsare set to zero. Furthermore, brain regions outside the cerebral cortex such as basal ganglia, brainstem, and cerebellum are masked out by a predefined mask. Convolution (step 4). The binary image is smoothed by performing a 3D convolution with a convolution kernel of 53 1’s. In the resulting ‘‘convolved image’’ brain regions where voxels of value 1 are clustered appear bright. Comparison with a normal database (step 5). To compensate for the variability of the gray matter–white matter transition zone in different brain regions, the convolved patient image is com- pared with a normal database. Preferably, the normal database consists of T1-weighted images of healthy controls measured using the same magnetic resonance (MR) scanner with the same MRprotocolasforthepatientinvestigated.Thedatasetsforming the normal database are processed in the same way as described Raw T1 Image WM Image GM Image CSF Image Binary GM Image Smoothed GM Image Smoothed SD Image of NDB for Extension Images Junction Extension Thickness Image Image Image Smoothed SD Image of NDB for Thickness Images Smoothed SD Image of NDB for Junction Images Convolved Image Runlength Image Binary Image of GM - WM Junction Mean Image of NDB for Junction Images Mean Image of NDB for Extension Images Mean Image of NDB for Thickness Images 1 2 3 4 7 11 5 8 12 6 9 13 10 Normalized & Intensity Corrected Image Fig. 1 Overview of the image processing steps required for calculating the morphometric images. Preprocessing: 1 normalization and intensity correction and 2 simultaneous segmentation. Computation of the junction image: 3 filtering and conversion to a binary image containing voxels of the gray matter–white matter interface, 4 convolution, 5 comparison with a normal database, and 6 calculation of the z-score image. Computation of the extension image: 7 smoothing, 8 comparison with a normal database, and 9 calculation of the z-score image. Computation of the thickness image: 10 conversion to a binary gray matter image, 11 estimation of cortical thickness, 12 comparison with a normal database, and 9 calculation of the z-score image. See the text for details Functional Evaluations and Postprocessing 75
  • 79.
    in steps 1–4and are then averaged. The resulting mean image is subtracted voxel by voxel from the convolved patient image. Calculation of the z-score image (step 6). The convolved images of the controls are also used to calculate a ‘‘standard deviation image’’ providing standard deviations of the normal database for all voxels. In the last step, the difference image from step 5 is divided by this standard deviation image of the normal database to get the final ‘‘junction image’’ with z-score- normalized data. To avoid outlier values at the border of the standard brain where only a few subjects contribute to the normal database and its standard deviation, the standard deviation image is previously smoothed by using a fixed Gaussiankernelof6-mmfullwidthathalfmaximum(FWHM). Bright regions in the junction image primarily corre- spond to cortical areas with a less defined border between gray matter and white matter and a broader transition zone as compared with the normal database. However, other brain areas (e.g., subcortical structures) may be highlighted as well if their signal intensities fall within the range between normal gray matter and white matter as defined in step 3 and differ from the normal database in this respect. 2.3 Computation of the Extension Image Smoothing (step 7). The gray matter image resulting from segmentation is smoothed by a Gaussian kernel of 6-mm FWHM (i.e., about the size of the lesions to be detected). In the smoothed gray matter image, each voxel encodes the average concentration of gray matter from around the voxel (defined by the form of the smoothing kernel) at the cor- responding position in the original structural MR image. Comparison with a normal database (step 8). As in step 5, the mean smoothed gray mater image of the normal database is subtracted voxel by voxel from the smoothed gray matter image of the patient investigated. Calculation of the z-score image (step 9).The difference image from step 8 is divided by the standard deviation image of the normal database to obtain z-score-normalized data for the final ‘‘extension image.’’ In this image, those brain areas appear bright where gray matter extends abnormally into the white matter as compared with the normal database. 2.4 Computation of the Thickness Image Conversion to a binary image (step 10). The gray matter image from segmentation is converted to a binary image using the ImCalc tool of SPM5 with a cutoff of 0.5. Estimation of cortical thickness (step 11). Similar to the method described by Bernasconi et al. (2001), for each voxel within the gray matter compartment, run-length vectors are determined in 26 spatial directions from the starting voxel to the nearest boundary voxel of the gray matter compartment. To reduce the processing time, the search space is limited to a cube of 153 voxels centred at the starting voxel. Thus, all run-length vectors are clipped at a maximum length of seven voxel units. For each pair of opposing run-length GM WM CSF 1 2 3 4 5 6 7 8 Fig. 2 Two-dimensional illustration of the approach used for estimating cortical thickness. For each voxel within the gray matter compartment, run-length vectors are determined in different directions to either the nearest boundaryvoxel ofthe graymatter compartmentorthe boundaryof a predefined search space (represented by the checkered area) around the starting voxel. In this example, opposing run-length vectors 1 and 2 represent the shortest connection between gray matter–white matter and gray matter–CSF interfaces passing through the starting voxel. The Euclidean lengths of both vectors are summed and the value obtained is inserted at the starting voxel in the resulting ‘‘run-length image’’ 76 H.-J. Huppertz
  • 80.
    vectors, the Euclideanlengths of both vectors are summed. The minimum of the resulting 13 distance measurements is determined and this value is inserted at the starting voxel in the resulting ‘‘run-length image.’’ The approach is illustrated in Fig. 2 for the 2D situation, but actually a 3D implemen- tation is used. The minimum length of all vector pairs passing through the starting voxel approximates the shortest con- nection between the gray matter–white matter and the gray matter–CSF interfaces. Compared with mean or median values, it is less prone to outliers in long gyri, e.g., the cin- gulate gyrus (Antel et al. 2002). In comparison with more sophisticated model-based methods with deformable sur- faces (Fischl and Dale 2000; Besson et al. 2008a; Thesen et al. 2011), a data-driven approach as described above without the need to model the cortical surfaces requires significantly less processing time (Scott et al. 2009). Comparison with a normal database (step 12). To com- pensate for the variability of cortical thickness in different brain regions, the mean run-length image of the normal database is subtracted from the run-length image of the patient investigated. In the mean image of the normal data- base all voxels with value zero after averaging (i.e., where none of the healthy controls have gray matter) are set to a median thickness value (determined from the nonzero vox- els). In this way, any abnormality of cortical thickness can also be assessed in regions where no subject from the normal database has shown gray matter tissue so far. Otherwise, unusually deep sulci would differ very much from the normal database even if the cortical thickness were normal at this location. This would lead to undesired overlap with the FCD characteristic highlighted already by the extension image. Calculation of the z-score image (step 13). The differ- ence image from step 12 is divided by the standard devia- tion image of the normal database to obtain z-score- normalized data for the final ‘‘thickness image.’’ Again, the standard deviation image is previously smoothed by a Gaussian kernel of 6-mm FWHM to avoid outlier values at the border of the standard brain. In the thickness image, bright areas highlight regions of abnormally thick cortex. 3 Examples The following examples illustrate the use of morphometric MRI analysis in clinical practice and especially in the presurgical evaluation of epilepsy patients. 3.1 Focal Cortical Dysplasia The three morphometric maps highlight different aspects and typical features of FCD and thereby complement each other. Whereas the extension and thickness images often only point to the most abnormal part of the dysplastic lesion, the junction image is more apt to show the extent of the dysplasia, even within cortex band which is not abnor- mally thick or located abnormally deep (Fig. 3a). When the lesion is already known and detection is not an issue, morphometric MRI analysis can still be useful for delin- eation of the extent of the lesion, especially with help of the junction image. Morphometric analysis is most helpful when all mor- phometric maps highlight typical FCD features in the same location (Fig. 3b). However, not every FCD shows all signs of a dysplastic lesion. The presence of these signs depends on the histopathological subtype (Krsek et al. 2008). Fre- quently, only one of the morphometric maps points to an abnormality and the other maps are inconspicuous. In this situation, the junction image exhibits both the highest sen- sitivity and the highest specificity of the three morphometric maps, perhaps because blurring of the gray matter-white matter junction is found to a large extent in all FCD sub- types. Even in FCD type I according to Palmini and Luders (2002) it is present in most cases, whereas signs such as increased cortical thickness or abnormal gyral/sulcal pat- terns are seen in less than 10% and 17% of cases, respec- tively (Krsek et al. 2008). Figure 3c demonstrates such an example where only the junction image led to detection of the lesion. In this 11-year-old boy with gelastic and hy- permotor seizures, the epilepsy had remained cryptogenic in spite of four MRI investigations with three different 3-T scanners between 2005 and 2008. The junction image finally highlighted subtle blurring of the gray matter-white matter junction in the right frontal lobe and guided the placement of subdural electrodes. Invasive electroenceph- alography (EEG) recording proved seizure onset in this region, and after resection FCD type IIb was confirmed histologically (Kröll-Seger et al. 2011). Nevertheless, as shown in Fig. 4a there are also cases where only the extension or the thickness image alone shows an abnor- mality and leads to detection of FCD (Altenmüller and Huppertz 2006). It is noteworthy that in the example in Fig. 3c the junction image was calculated with interpolated voxel res- olution of 0.5 mm3 . This option is a spin-off from pro- cessing of high-resolution 7-T MRI data (Speck et al. 2009) and has proven to be useful also for MRI data acquired with normal voxel resolution of 1 mm3 when detailed delineation of the lesion is needed, however at the expense of signifi- cantly increased processing time and disk space. Morphometric MRI analysis can also help to uncover the reasons for unsuccessful epilepsy surgery. Figure 4b shows the example of an 8-year-old girl who had been operated on abroad for an FCD in the right frontal lobe, however with no effect on seizure frequency. An MRI scan performed 5 years after surgery only showed the resection zone and Functional Evaluations and Postprocessing 77
  • 81.
  • 82.
    postoperative gliosis butno signs of residual dysplasia. Only morphometric analysis based on a preoperative MRI scan revealed in comparison with the coregistered postop- erative MRI scan that dysplastic tissue has remained in the right anterior insula just behind the resection zone. This finding provides the opportunity for a second and hopefully final resection (Kröll and Huppertz 2008). Apart from detection of lesions and delineation of the extent for final resection, the results of morphometric MRI analysis can also guide the implantation of subdural or depth electrodes for invasive EEG recording and mapping (Fig. 4a). For this purpose, the morphometric maps which have been normalized to the SPM5 standard brain during preprocessing can be transferred back to native space by inverse normalization and are then ready to be imported into an intraoperative neuronavigation system (Wellmer et al. 2010). This is especially helpful when the lesion is not recognizable in the conventional MR sequences. Fig. 3 Morphometric MRI analysis in focal cortical dysplasia. a T1- weighted image, extension image, junction image, and postoperative image in a patient with focal cortical dysplasia (FCD) type IIb. Whereas the extension image only highlights the ‘‘tip of the iceberg,’’ the junction image demonstrates the extent of the lesion, fitting well the final resection zone. b T1-weighted, extension, junction, and thickness images in FCD IIb: the morphometric maps show all the signs of a dysplastic lesion, i.e., the abnormal gyration, the blurring of the gray-white matter junction, and the abnormal thickness of the cortical ribbon. c Coronal and sagittal T1-weighted and junction images (upper row) and corresponding T2- and fluid-attenuated inversion recovery (FLAIR)-weighted images (lower row) in a patient with gelastic and hypermotor seizures of unknown cause in spite of four MRI investiga- tions with three different 3-T scanners. Only the junction image led to detection of the lesion. Even retrospectively, the dysplasia is hardly recognizable in the conventional magnetic resonance images b Fig. 4 Further examples of morphometric analysis in FCD. a T1- and FLAIR-weighted images, extension image, and T1-weighted image after electrode implantation in a patient with epigastric auras and hypermotor seizures. The epilepsy was previously cryptogenic in spite of 1.5- and 3-T MRI. The extension image led to detection of the lesion by highlighting an abnormally deep sulcus in the left frontal lobe and guided the placement of a depth electrode in this suspicious sulcus, which after resection turned out to harbor FCD type IIb. The very subtle transmantle sign in the FLAIR image was recognized only retrospectively. b Preoperative FLAIR and postoperative T2 images in an 8-year-old girl with FCD in the right frontal lobe (upper row). The comparison of preoperative T1 and junction images with the coreg- istered postoperative T1 image (lower row) reveals residual dysplastic tissue posterior to the resection zone Functional Evaluations and Postprocessing 79
  • 83.
  • 84.
    3.2 Gray MatterHeterotopia Although morphometric MRI analysis is primarily meant to support detection and visualization of FCD, the method may also facilitate the recognition of other malformations of cortical development. Figure 5a shows the example of a 30-year-old man with rare generalized tonic–clonic seizures with intervals of 1–2 years without any focal symptoms. The findings of two MRI investigations at 1.5 and 3 T were regarded as normal. Only the extension image calculated from the last MRI scan revealed two subtle nodules of gray matter in the roofs of the lateral ventricles, representing bilateral periventricular nodular heterotopia. It is notewor- thy that morphometric analysis in this case helped not only to detect the heterotopia but also highlighted the overlying cortex, which seems to extend abnormally deep into the white matter (Fig. 5a). A clear-cut double cortex syndrome with a broad band of subcortical heterotopic gray metter throughout the brain is hardly missed in the MRI investigation. But there are also very subtle forms of subcortical band heterotopia (SBH). Figure 5b showsimagesofa42-year-oldmansufferingfromseizureswith metamorphopsia in the lower-left visual field. Ictal EEG dem- onstrated a nonlateralizing seizure pattern over the biposterior regions and interictal EEG multiregional spike-and-wave complexes over the posterior temporal regions. The findings oftwoMRIinvestigations,performedwhenthemanwas22and 42 years old, were considered normal. The junction image derived from the second MRI investigation (3 T) highlighted subcortical thin and discontinuous band-like structures confined to the parietal and occipital lobes ofboth hemispheres. After reevaluation of the MRI investigations in these regions, a partial double cortex syndrome with very subtle SBH in pos- terior brain regions was diagnosed, thus explaining very well the ictal visual symptoms and EEG findings. In a subsequent survey of 378 epilepsy patients in three different epilepsy centers, morphometric analysis detected five cases of SBH which had been overlooked previously. This indicates that a considerable number of patients with SBH remain unrecog- nized by conventional MRI (Huppertz et al. 2008). Furthermore, subtle forms of SBH such as in Fig. 5b can only be recognized in thin-sliced T1 images, preferably with 1-mm3 voxel resolution in each direction. Reconstructions with thicker slices of 3–5 mm are not sufficient to detect these lesions. On the other hand, a thorough inspection of high-resolution T1 volume data sets of 150–180 slices requires special attention, patience, and time. The additional use of morphometric analysis can help to save time by directing the attention to these subtle malformations. 3.3 Polymicrogyria Polymicrogyria is usually easy to detect on MRI, especially with bilateral presentation or when associated with schizen- cephaly. But there also subtle circumscribed and unilateral forms which might go unrecognized, particularly when thin- sliced T1 images either have not been acquired or––for time- saving reasons––are discarded in exchange for reconstructed images of greater slice thickness. Figure 6 shows such an example of a polymicrogyria which had been overlooked in a previous MRI investigation and had been misinterpreted as FCD in a recent 3-T MRI investigation. However, morpho- metric analysis can not only aid in detecting the lesion (as in this example) but may also help to differentiate between FCD and polymicrogyria. In contrast to FCD, a polymicrogyria lesion is predominantly highlighted by the extension and thickness images, whereas the junction image (not shown here) displays no or only scarce hints for a blurring of the gray-white matter junction. 4 Diagnostic Yield The diagnostic yield of morphometric MRI analysis was analyzed prospectively in 2006 at the Swiss Epilepsy Centre. Morphometric MRI analysis was applied for all patients who had an MRI scan in that year and for whom a digital T1- weighted volume data set was available. These constituted 215 out of a total of 363 epilepsy patients who had an MRI scan in 2006. Thirty patients had malformations of cortical development (FCD, n = 20; heterotopia, n = 4; others, n = 6). Morphometric MRI analysis was performed in 26 of these patients (four dropouts owing to severe movement artifacts or missing digital MRI data). All malformations were identified in the morphometric maps. However, in 16 of these patients, these malformations had been overlooked in previ- ous MRI investigations, and in nine of these 16 patients even in the MRI investigations in 2006, which were the basis for postprocessing. In an additional seven patients, the epilepto- genic lesions were misinterpreted concerning their cause and/ or their extension. Overall, this corresponds to a diagnostic Fig. 5 Morphometric MRI analysis in gray matter heterotopia. a Sagittal T1- and T2-weighted images with the extension image (upper row), and coronal T1 and extension images (lower row) in a patient with bilateral periventricular nodular heterotopia. The heter- otopia was overlooked in two 1.5- and 3-T MRI investigations and was only detected with the help of the extension image. b Axial T1 images (upper row), corresponding junction images (middle row), and enlarged T1 images (lower row) in a patient with very subtle subcortical band heterotopia not recognized in two previous MRI investigations. The junction image was not only crucial in establishing the diagnosis but also helped to assess the extent of these malforma- tions and to verify the bilateral distribution b Functional Evaluations and Postprocessing 81
  • 85.
    yield of about7–8%, i.e., in this portion of patients, mor- phometric analysis provided additional valuable information. A larger study has recently finished in the Department of Epileptology at the University of Bonn, Germany. In this study, the potential diagnostic value of morphometric analysis was compared with that of conventional visual analysis in 91 patients with histologically proven FCD operated on at this center between 2000 and 2010 (17 patients with FCD type IIa, 74 patients with FCD type IIb). All preoperative MRI scans were evaluated independently (1) by an experienced neuroradiologist on the basis of conventional visual analysis and (2) by a neurologist using morphometric analysis. Both evaluators had the same clinical information but were blinded to the results of each other. The FCD detection rate using morphometric analysis was superior to that of conventional visual analysis in the FCD type IIa subgroup (82% vs. 65%), whereas no differ- ence was found in the FCD type IIb subgroup (92% vs. 91%). However, the combination of conventional visual analysis and morphometric analysis provided complemen- tary information and detected 89 out of all 91 FCDs (98%). It was significantly superior to conventional visual analysis alone in both subgroups, resulting in a higher diagnostic sensitivity (94% vs. 65%, P = 0.031 for FCD type IIa; 99% vs. 91%, P = 0.016 for FCD type IIb) (Wagner et al. 2011). 5 Limitations The morphometric analysis only highlights structural abnormalities. It does not account for signal hyperintensities on FLAIR and/or T2 images, which are often associated with FCD. Therefore, the method does not help to detect FCDs that have no structural abnormalities and that are only characterized by cortical and/or subcortical hyperintensities. As a consequence, morphometric analysis cannot replace an experienced neuroradiologist and cannot obviate the need to read other MR sequences apart from T1 images. The post- processing should be rather regarded as a supportive method increasing the diagnostic sensitivity for certain lesions. Furthermore, the interpretation of the morphometric maps requires some experience. At the current stage, the method does not detect the lesion automatically. The morphometric maps direct the attention of the investigator to suspicious regions and can increase the conspicuity of a lesion. A visual confirmation by taking into account the conventional MR images is still necessary. Furthermore, the morphometric maps may highlight regions that have no pathological correlate in the conventional MR sequences, for example, regions of delayed white matter myelination in children or venous anomalies. Owing to ongoing myelination or reversed Fig. 6 Morphometric MRI analysis in polymicrogyria. Coronal (upper row) and sagittal (lower row) T1, FLAIR, extension, and thickness images, with the two morphometric maps highlighting an area of abnormal gyration and thick-appearing cortex in the left lateral temporal lobe which upon closer examination apparently consists of multiple small gyri 82 H.-J. Huppertz
  • 86.
    T1 contrasts, segmentationmay also fail in patients below the age of 2 years (Wagner et al. 2011). 6 Conclusion The morphometric maps described in thischapter characterize different features of FCD and other cortical malformations and thereby complement each other. Their voxel-based technique allows a comprehensive 3D analysis of volumetric MRI data which may reveal abnormalities that are not visible when the data are viewed as 2D images only and which is less prone to misinterpretation due to partial volume effects. In addition, the method includes an inherent comparison with a normal database to compensate for physiological variations of sulcal morphology, cortical thickness, and the thickness of the gray-white matter transition zone in different brain regions. In contrast, visual analysis of conventional MR images requires that the investigator knows and keeps in mind normal variations of morphology. Furthermore, the calculation of the feature maps is completely automated and observer-inde- pendent. The method employs standard procedures of the SPM5programandadditionalsimplecomputationswhichcan be easily implemented in a MATLABÒ script. Except for the commercial MATLABÒ platform required for SPM5, the method is thus based on freely available software. However, the key steps of this method (i.e., normalization, segmenta- tion, filtering) could also be realized in other image processing environments which are freeware, e.g., the FMRIB Software Library (FSL; http://www.fmrib.ox.ac.uk/fsl) or AFNI (http:// afni.nimh.nih.gov/afni), thus removing the need for a MAT- LABÒ license (Huppertz et al. 2008). Finally, it is economic that the method does not require the acquisition of special MR sequences but is based on ordinary T1-weighted volume data sets which are already part of recommended MR protocols for epilepsy patients. In conclusion, the method of morphometric MRI analysis appears to be a helpful additional tool in the diagnostics and especially presurgical evaluation of epilepsy patients. References Altenmüller DM, Huppertz HJ (2006) Kombinierter Einsatz von morphometrischer MRT-analyse und gezielter invasiver EEG-Diag- nostik bei fokaler kortikaler Dysplasie. Epileptologie 3:117–125 Antel SB, Bernasconi A, Bernasconi N, Collins DL, Kearney RE, Shinghal R, Arnold DL (2002) Computational models of MRI characteristics of focal cortical dysplasia improve lesion detection. Neuroimage 17:1755–1760 Antel SB, Collins DL, Bernasconi N, Andermann F, Shinghal R, Kearney RE, Arnold DL, Bernasconi A (2003) Automated detection of focal cortical dysplasia lesions using computational models of their MRI characteristics and texture analysis. Neuro- image 19:1748–1759 Ashburner J, Friston KJ (2005) Unified segmentation. Neuroimage 26:839–851 Barkovich AJ, Kuzniecky RI (1996) Neuroimaging of focal malfor- mations of cortical development. J Clin Neurophysiol 13:481–494 Barkovich AJ, Kuzniecky RI, Dobyns WB (2001) Radiologic classi- fication of malformations of cortical development. Curr Opin Neurol 14:145–149 Bastos AC, Comeau RM, Andermann F, Melanson D, Cendes F, Dubeau F, Fontaine S, Tampieri D, Olivier A (1999) Diagnosis of subtle focal dysplastic lesions: curvilinear reformatting from three- dimensional magnetic resonance imaging. Ann Neurol 46:88–94 Berg AT, Vickrey BG, Langfitt JT, Sperling MR, Walczak TS, Shinnar S, Bazil CW, Pacia SV, Spencer SS (2003) The multicenter study of epilepsy surgery: recruitment and selection for surgery. Epilep- sia 44:1425–1433 Bernasconi A, Antel SB, Collins DL, Bernasconi N, Olivier A, Dubeau F, Pike GB, Andermann F, Arnold DL (2001) Texture analysis and morphological processing of magnetic resonance imaging assist detection of focal cortical dysplasia in extra-temporal partial epilepsy. Ann Neurol 49:770–775 Bernasconi A, Bernasconi N, Bernhardt BC, Schrader D (2011) Advances in MRI for ‘cryptogenic’ epilepsies. Nat Rev Neurol 7:99–108 Besson P, Bernasconi N, Colliot O, Evans A, Bernasconi A (2008a) Surface-based texture and morphological analysis detects subtle cortical dysplasia. Med Image Comput Comput Assist Interv 11:645–652 Besson P, Bernasconi N, Colliot O, Evans A, Bernasconi A (2008b) Surface-based texture and morphological analysis detects subtle cortical dysplasia. Med Image Comput Comput Assist Interv11: 645–652 Bien CG, Szinay M, Wagner J, Clusmann H, Becker AJ, Urbach H (2009) Characteristics and surgical outcomes of patients with refractory magnetic resonance imaging-negative epilepsies. Arch Neurol 66:1491–1499 Bonilha L, Montenegro MA, Rorden C, Castellano G, Guerreiro MM, Cendes F, Li LM (2006) Voxel-based morphometry reveals excess gray matter concentration in patients with focal cortical dysplasia. Epilepsia 47:908–915 Bruggemann JM, Wilke M, Som SS, Bye AM, Bleasel A, Lawson JA (2007) Voxel-based morphometry in the detection of dysplasia and neoplasia in childhood epilepsy: combined grey/white matter analysis augments detection. Epilepsy Res 77:93–101 Chan S, Chin SS, Nordli DR, Goodman RR, DeLaPaz RL, Pedley TA (1998) Prospective magnetic resonance imaging identification of focal cortical dysplasia, including the non-balloon cell subtype. Ann Neurol 44:749–757 Colliot O, Bernasconi N, Khalili N, Antel SB, Naessens V, Bernasconi A (2006) Individual voxel-based analysis of gray matter in focal cortical dysplasia. Neuroimage 29:162–171 Fauser S, Schulze-Bonhage A, Honegger J, Carmona H, Huppertz HJ, Pantazis G, Rona S, Bast T, Strobl K, Steinhoff BJ, Korinthenberg R, Rating D, Volk B, Zentner J (2004) Focal cortical dysplasias: surgical outcome in 67 patients in relation to histological subtypes and dual pathology. Brain 127:2406–2418 Fischl B, Dale AM (2000) Measuring the thickness of the human cerebral cortex from magnetic resonance images. Proc Natl Acad Sci USA 97:11050–11055 Focke NK, Symms MR, Burdett JL, Duncan JS (2008) Voxel-based analysis of whole brain FLAIR at 3 T detects focal cortical dysplasia. Epilepsia 49:786–793 Gomez-Anson B, Thom M, Moran N, Stevens J, Scaravilli F (2000) Imaging and radiological-pathological correlation in histologically proven cases offocal cortical dysplasia and other glial and neuronog- lial malformative lesions in adults. Neuroradiology 42:157–167 Functional Evaluations and Postprocessing 83
  • 87.
    HagemannG,RedeckerC,WitteOW(2000)Corticaldysgenesis:current classification, MRI diagnosis,and clinical review. Nervenarzt 71: 616–628 Hildebrandt M, Pieper T, Winkler P, Kolodziejczyk D, Holthausen H, Blümcke I (2005) Neuropathological spectrum of cortical dysplasia in children with severe focal epilepsies. Acta Neuropathol (Berl) 110:1–11 Huppertz HJ, Grimm C, Fauser S, Kassubek J, Mader I, Hochmuth A, Spreer J, Schulze-Bonhage A (2005) Enhanced visualization of blurred gray-white matter junctions in focal cortical dysplasia by voxel-based 3D MRI analysis. Epilepsy Res 67:35–50 Huppertz HJ, Wellmer J, Staack AM, Altenmuller DM, Urbach H, Kroll J (2008) Voxel-based 3D MRI analysis helps to detect subtle forms of subcortical band heterotopia. Epilepsia 49:772–785 Kassubek J, Huppertz HJ, Spreer J, Schulze-Bonhage A (2002) Detection and localization of focal cortical dysplasia by voxel- based 3-D MRI analysis. Epilepsia 43:596–602 Kröll J, Huppertz HJ (2008) Nachweis von postoperativ verbliebenem dysplastischen Kortex mittels morphometrischer MRI-Analyse. Schweiz Z Psychiatr Neurol 2:17–20 Kröll-Seger J, Grunwald T, Mothersill IW, Bernays R, Krämer G, Huppertz HJ (2011) Lachen ohne Heiterkeit––Morphometrische MRT-analyse in der prächirurgischen Abklärung einer MRT- negativen kindlichen Epilepsie mit gelastischen Anfällen. Epile- ptologie 28(2):78–83 Krsek P, Maton B, Korman B, Pacheco-Jacome E, Jayakar P, Dunoyer C, Rey G, Morrison G, Ragheb J, Vinters HV, Resnick T, Duchowny M (2008) Different features of histopathological subtypes of pediatric focal cortical dysplasia. Ann Neurol 63:758–769 Kuzniecky R, Murro A, King D, Morawetz R, Smith J, Powers R, Yaghmai F, Faught E, Gallagher B, Snead OC (1993) Magnetic resonance imaging in childhood intractable partial epilepsies: pathologic correlations. Neurology 43:681–687 Kuzniecky R, Morawetz R, Faught E, Black L (1995) Frontal and central lobe focal dysplasia: clinical, EEG and imaging features. Dev Med Child Neurol 37:159–166 Lerner JT, Salamon N, Hauptman JS, Velasco TR, Hemb M, Wu JY, Sankar R, Donald SW, Engel J Jr, Fried I, Cepeda C, Andre VM, Levine MS, Miyata H, Yong WH, Vinters HV, Mathern GW (2009) Assessment and surgical outcomes for mild type I and severe type II cortical dysplasia: a critical review and the UCLA experience. Epilepsia 50:1310–1335 Merschhemke M, Mitchell TN, Free SL, Hammers A, Kinton L, Siddiqui A, Stevens J, Kendall B, Meencke HJ, Duncan JS (2003) Quantitative MRI detects abnormalities in relatives of patients with epilepsy and malformations of cortical development. Neuroimage 18:642–649 Palmini A, Luders HO (2002) Classification issues in malformations caused by abnormalities of cortical development. Neurosurg Clin N Am 13:1–16 Raymond AA, Fish DR, Sisodiya SM, Alsanjari N, Stevens JM, Shorvon SD (1995) Abnormalities of gyration, heterotopias, tuberous sclerosis, focal cortical dysplasia, microdysgenesis, dysembryoplastic neuroepithelial tumour and dysgenesis of the archicortex in epilepsy. Clinical, EEG and neuroimaging features in 100 adult patients. Brain 118(Pt 3):629–660 Redecker C, Hagemann G, Gressens P, Evrard P, Witte OW (2000) Cortical dysgenesis. Current views on pathogenesis and patho- physiology. Nervenarzt 71:238–248 Rugg-Gunn FJ, Boulby PA, Symms MR, Barker GJ, Duncan JS (2005) Whole-brain T2 mapping demonstrates occult abnormalities in focal epilepsy. Neurology 64:318–325 Salmenpera TM, Symms MR, Rugg-Gunn FJ, Boulby PA, Free SL, Barker GJ, Yousry TA, Duncan JS (2007) Evaluation of quanti- tative magnetic resonance imaging contrasts in MRI-negative refractory focal epilepsy. Epilepsia 48:229–237 Scott ML, Bromiley PA, Thacker NA, Hutchinson CE, Jackson A (2009) A fast, model-independent method for cerebral cortical thickness estimation using MRI. Med Image Anal 13:269–285 Semah F, Picot MC, Adam C, Broglin D, Arzimanoglou A, Bazin B, Cavalcanti D, Baulac M (1998) Is the underlying cause of epilepsy a major prognostic factor for recurrence? Neurology 51:1256–1262 Sisodiya SM, Free SL, Fish DR, Shorvon SD (1995a) Increasing the yield from volumetric MRI in patients with epilepsy. Magn Reson Imaging 13:1147–1152 Sisodiya SM, Free SL, Stevens JM, Fish DR, Shorvon SD (1995b) Widespread cerebral structural changes in patients with cortical dysgenesis and epilepsy. Brain 118:1039–1050 Speck O, Tempelmann C, Matzen J, Huppertz HJ (2009) Morpho- metric MRI analysis based on high resolution 3D imaging at 7 tesla highlights focal cortical dysplasia in epilepsy. Proc Intl Soc Mag Reson Med 17:971 TassiL,ColomboN,GarbelliR,FrancioneS,LoRG,MaiR,CardinaleF, Cossu M, Ferrario A, Galli C, Bramerio M, Citterio A, Spreafico R (2002) Focal cortical dysplasia: neuropathological subtypes, EEG, neuroimaging and surgical outcome. Brain 125:1719–1732 Thesen T, Quinn BT, Carlson C, Devinsky O, DuBois J, McDonald CR, French J,LeventerR,Felsovalyi O,Wang X,HalgrenE,KuznieckyR (2011) Detection of epileptogenic cortical malformations with surface-based MRI morphometry. PLoS One 6:e16430 Urbach H, Scheffler B, Heinrichsmeier T, von Oertzen J, Kral T, Wellmer J, Schramm J, Wiestler OD, Blümcke I (2002) Focal cortical dysplasia of Taylor’s balloon cell type: a clinicopatholog- ical entity with characteristic neuroimaging and histopathological features, and favorable postsurgical outcome. Epilepsia 43:33–40 Wagner J, Weber B, Urbach H, Elger CE, Huppertz HJ (2011) Morphometric MRI analysis improves detection of focal cortical dysplasia type II. Brain 13:2844–2854 Wellmer J, Parpaley Y, von Lehe M, Huppertz HJ (2010) Integrating MRI post-processing results into neuronavigation for electrode implantation and resection of subtle focal cortical dysplasia in previously cryptogenic epilepsy. Neurosurgery 66:187–194 Widdess-Walsh P, Diehl B, Najm I (2006) Neuroimaging of focal cortical dysplasia. J Neuroimaging 16:185–196 Wilke M, Kassubek J, Ziyeh S, Schulze-Bonhage A, Huppertz HJ (2003) Automated detection of gray matter malformations using optimized voxel-based morphometry: a systematic approach. Neuroimage 20:330–343 Woermann FG, Free SL, Koepp MJ, Ashburner J, Duncan JS (1999) Voxel-by-voxel comparison of automatically segmented cerebral gray matter—a rater-independent comparison of structural MRI in patients with epilepsy. Neuroimage 10:373–384 84 H.-J. Huppertz
  • 88.
    Metallic Implants Horst Urbachand Sebastian Flacke Contents References...................................................................................... 88 Abstract Patients with vagus nerve, deep brain stimulators or depth and subdural electrodes have to be examined according to the manufacturer guidelines, which in general require the use of transmit/receive head coils limiting the RF deposition to the brain. Vagus nerve stimulators (VNS), deep brain stimulators (DBS), and depth and/or subdural strip or grid electrodes are medical devices which may interfere with MRI exam- inations in epilepsy patients. VNS use mild electrical pulses to stimulate the vagus nerve, which in turn transmits them to the brain. They consist of a small pulse generator and thin flexible stim- ulation wires with a pair of spiral platinum electrodes at the end. The pulse generator is typically placed within the left side of the patient’s chest wall and the platinum electrodes are wrapped around the vagus nerve on the left side of the patient’s neck (George et al. 2000). The ratio- nale behind stimulating the left vagus nerve is that it has fewer cardiac fibers supplying the sinuatrial node (Kotagal 2011). DBS use mild chronic electrical stimulation of certain brain structures, e.g., the anterior nucleus or the centrome- dian nucleus of the thalamus. An implanted pulse generator containg a battery and programmable hardware is typically (Kotagal 2011, Zrinzo et al. 2011) placed within the patient’s chest wall, and an extension cable is tunneled underneath the skin and is connected to the stimulation electrodes, with the extracranial portion coiled underneath the scalp and the intracranial portion stereotactically placed via drilled burr holes (Kotagal 2011). Subdural strip and grid electrodes and depth electrodes record epileptic EEG activity or are stimulated to localize brain functions. The following theoretical concerns arise if patients with these devices are studied with MRI: H. Urbach (&) Department of Neuroradiology, University Hospital Freiburg, Germany e-mail: horst.urbach@uniklinik-freiburg.de S. Flacke Department of Radiology, Lahey Clinic, Burlington, MA, USA H. Urbach (ed.), MRI in Epilepsy, Medical Radiology. Diagnostic Imaging, DOI: 10.1007/174_2012_562, Ó Springer-Verlag Berlin Heidelberg 2013 85
  • 89.
    1. Device displacementby force and torque induced during patient positioing in themagmetic field B0. 2. Heating effects on material components, especially leads. These heating effects are produced by radiofre- quency (RF) pulses which induce eddy currents in the leads, with possible thermal injury at the lead–tissue interfaces. 3. Unintended neurostimulation mainly produced by the low-frequency gradient fields. The induced currents are proportional to the rate of change of the gradient pulses with time (dB/dt), the effective loop area created by the VNS or DBS lead system, and the location of the lead system with respect to the gradient coils of the MRI system. Fig. 1 After uneventful presurgical evaluation including right frontal subdural grid implantation, a 24-year-old man with drug-resistant temporal lobe seizures received a vagus nerve stimulator. With the vagus nerve stimulator (VNS) turned off, he was again studied in a 1.5- T MRI scanner. A transmit/receive head coil was used, and pulse sequences with reduced high-frequency energy deposition (specific absorption rate less than 0.1 W/kg for 15 min) were acquired. This examination again failed to show a lesion (a, d). In the next step, the VNS was explanted, the VNS leads were cut as short as reasonably possible, and the patient was studied with the epilepsy-dedicated 3-T MRI protocol. Axial and coronal fluid-attenuated inversion recovery sequences were suggestive of a small insular dysplasia (b, e, arrow). Epileptic EEG activity was recorded with stereotactically placed depth electrodes, whose positions were depicted with 1.5-T MRI under VNS conditions (c, f, arrows). Finally, the patient was operated on and a type IIB focal cortical dysplasia was histologically proven 86 H. Urbach and S. Flacke
  • 90.
    4. Electromagnetic compatibility. 5.Acoustic noise. 6. Interaction among devices 7. Safe functioning of the device. 8. Safe operation of the MRI system. The greatest concern is thermal injury from RF pulses. Heating may occur around the VNS or DBS or along the subdural or depth electrodes, but is more likely to occur at the noninsulated ends of the electrodes. Experimental investigations of cardiac pacemakers showed a higher temperature increase in patients with abandoned leads than in patients with leads attached to the pacemaker (Langman et al. 2011). Thus, patients with abandoned or broken leads around the vagus nerve after explanting a VNS could show a higher temperature increase than patients with an implanted VNS. Heating is considered harmful as it could result in tissue damage in the brain parenchyma or the vagus nerve and/or surrounding structures in the carotid sheath. A measure to assess the amount of energy deposited by a radiofrequency field in a certain mass of tissue is the spe- cific absorption rate. The units for SAR are therefore given in watts per kilogram [W/kg]. The SAR produced during an MRI study is a complex function of various variables. SAR is proportional to the square of the field strength, the square of the RF flip angle, the duty cycle which is influenced by the repetition time, the type of transmit coil and the volume, electrical conductivity and anatomical configuration of the tissue contained within the transmit coil. This relationship already implies that stronger magnets and larger RF flip- angles applied in a short time interval will result in higher energy deposition (Shellock 2008). Unfortunately, the SAR is calculated differently by different MRI system manufac- turers and even varies for different systems with identical field strength produced by the same manufacturer. For example, the SAR is higher in a long-bore system than in a short-bore system. The SAR can be averaged over the whole body or the head only, and the averaged whole-body SAR should not exceed 4 W/kg in any MRI examination. For a given MRI system, a higher SAR leads to greater heating. Other concerns with respect to VNS or DBS are inad- vertent device reset erasing historical information stored in the device or inadvertent magnet mode activation from the magnetic fields. In 2005, ASTM International introduced the criteria MRI-safe, MRI-conditional and MRI-unsafe (ASTM Inter- national 2005). With respect to these criteria, the devices mentioned above are defined as MRI-conditional, i.e., MRI is considered safe under specified conditions of use. Inter- estingly, neither the FDA nor the International Electro- technical Commission has specified these conditions for the different metallic implants, but instead has left this task to the manufacturers (Gupte et al. 2011). The manufacturers provide this information within their manuals and MRI healthcare professionals are advised to contact the respec- tive manufacturer to obtain the latest safety information. Provisional information and guidance to the respective manufacturer’s websites can be obtained via the website http://www.mrisaftey.com. In general, MRI examinations with implanted VNS or DBS or subdural grid or strip electrodes or depth electrodes should be performed as follows: magnetic field strength of 1.5 T or less; head SAR of less than 0.1 W/kg; dB/ dt 20 T/s; output current of the implanted pulse generator set to 0 mA; testing and reprogramming of the devices after scanning (Benbadis et al. 2001; Roebling et al. 2009; Shellock et al. 2006; Shellock 2002; Kainz 2007; Gupte et al. 2011). Fig. 2 Reduced susceptibility artifacts of depth electrodes at 1.5 T (b, c) compared with 3 T (a) Metallic Implants 87
  • 91.
    In clinical practice,the following situations may occur: 1. Searching for an epileptogenic lesion in a patient with an implanted VNS. This condition is considered MRI-con- ditional (Gorny et al. 2010). In 2011, the manufacturer Cyberonics (Houston, TX, USA) received FDA approval for 3-T scanning for models 100, 102, and 103 under specified conditions of use. 2. Searching for an epileptogenic lesion after explantation of a VNS with abandoned or broken leads around the vagus nerve in the neck. The manufacturer Cyberonics warns against performing MRI in patients with abandoned or broken leads, acknowledging that this situation has not been characterized nor has safety been demonstrated. Clinical experience under off-label-use conditions, how- ever, is that patients can benefit from 3-T MRI using a transmit/receive head coil and reducing the SAR (Fig. 1) 3. Localization of depth or subdural electrodes. MRI at 3 T under the conditions specified above is allowed for some electrodes. Since susceptibility artifacts are stronger at 3 T (susceptibility - & B0), 1.5-T MRI under the conditions specified above is preferred (Fig. 2). References ASTM International (2005) F2503–05. Standard practice for marking medical devices and other items for safety in the magnetic resonance environment. ASTM International, West Conshohocken Benbadis SR, Nyhenhuis J, Tatum WO 4th, Murtagh FR, Gieron M, Vale FL (2001) MRI of the brain is safe in patients implanted with the vagus nerve stimulator. Seizure 10(7):512–515 George MS, Sackeim HA, Rush AJ, Marangell LB, Nahas Z, Husain MM, Lisanby S, Burt T, Goldman J, Ballenger JC (2000) Vagus nerve stimulation: a new tool for brain research and therapy. Biol Psychiatry 47(4):287–295 Gorny KR, Bernstein MA, Watson RE Jr (2010) 3 tesla MRI of patients with a vagus nerve stimulator: initial experience using a T/R head coil under controlled conditions. J Magn Reson Imaging 31(2):475–481 Gupte AA, Shrivastava D, Spaniol MA, Abosch A (2011) MRI-related heating near deep brain stimulation electrodes: more data are needed. Stereotact Funct Neurosurg 89(3):131–140 Kainz W (2007) Response to Shellock et al. Vagus nerve stimulation therapy system: in vitro evaluation of magnetic resonance imaging- related heating and function at 1.5 and 3 tesla. Neuromodulation 10(1):76–77 Kotagal P (2011) Neurostimulation: vagus nerve stimulation and beyond. Semin Pediatr Neurol 18(3):186–194 Langman DA, Goldberg IB, Finn JP, Ennis DB (2011) Pacemaker lead tip heating in abandoned and pacemaker-attached leads at 1.5 tesla MRI. J Magn Reson Imaging 33(2):426–431 Roebling R, Huch K, Kassubek J, Lerche H, Weber Y (2009) Cervical spinal MRI in a patient with a vagus nerve stimulator (VNS). Epilepsy Res 84(2–3):273–275 Shellock FG (2002) Magnetic resonance safety update. J Magn Reson Imaging 16:485–496 Shellock FG (2008) Reference manual for magnetic resonance safety, implants, and devices. Biomedical Research Group, Los Angeles Shellock FG, Begnaud J, Inman DM (2006) Vagus nerve stimulation therapy system: in vitro evaluation of magnetic resonance imaging- related heating and function at 1.5 and 3 tesla. Neuromodulation 9(3):204–213 Zrinzo L, Yoshida F, Hariz MI, Thornton J, Foltynie T, Yousry TA, Limousin P (2011) Clinical safety of brain magnetic resonance imaging with implanted deep brain stimulation hardware: large case series and review of the literature. World Neurosurg 76(1–2):164–172 88 H. Urbach and S. Flacke
  • 92.
  • 93.
    Hippocampal Sclerosis Horst Urbach Contents 1Terminology.......................................................................... 91 2 Epidemiology........................................................................ 91 3 Pathogenesis.......................................................................... 91 4 Clinical Presentation ........................................................... 92 5 Pathology .............................................................................. 92 6 Imaging ................................................................................. 92 7 Treatment ............................................................................. 94 References...................................................................................... 100 Abstract Hippocampal sclerosis is by far the most common cause of temporal lobe epilepsy. The familiar reader detects it on MRI in more than 95% of cases but should be aware of typical ‘‘pitfalls’’, namely bilateral hippocampal sclerosis, ‘‘dual pathology’’ and insufficient image Quality. 1 Terminology Hippocampal sclerosis, Ammon’s horn sclerosis and mesial temporal sclerosis are used synonymously. 2 Epidemiology First histopathological description by the German psychia- trist W. Sommer in 1880. By far the most common cause of temporal lobe epilepsy (TLE) and found in 50–65% of patients undergoing resective surgery. 3 Pathogenesis Half of the patients undergoing surgery have experienced a precipitating injury before the age of 4 years (complex fever seizures, 70%; birth trauma, meningitis, head injury, 30% Blümcke et al. 2002). Mean age at the onset of complex partial seizures is between 9 and 11 years, and mean age at the time of epilepsy surgery around the age of 30 (Blümcke et al. 2002). The long latency between a possible initial precipitating injury, the onset of epileptic seizures, and epilepsy surgery renders assessment of the pathogenesis of hippocampal sclerosis difficult. Current concept is a genetically determined susceptibil- ity and a precipitating injury induce temporo-mesial sei- zures and hippocampal slerosis. A substantial argument is the fact, that 1/3 of non-affected individuals in families H. Urbach (&) Department of Neuroradiology, University Hospital Freiburg, Germany e-mail: horst.urbach@uniklinik-freiburg.de H. Urbach (ed.), MRI in Epilepsy, Medical Radiology. Diagnostic Imaging, DOI: 10.1007/174_2011_524, Ó Springer-Verlag Berlin Heidelberg 2013 91
  • 94.
    with familial TLEshow hippocampal sclerosis on MRI (Kobayashi et al. 2002). If patients develop temporal lobe seizures or subacute memory deficits after the age of 20, one has to think of limbic encephalitis, which is mediated via antibodies and found in up to 30% of patients in this age group (Soeder et al. 2009). 4 Clinical Presentation A typical mesial temporal lobe seizure starts with an epi- gastric aura (definition of aura = initial part of a partial seizure, that is remembered after the seizure has termi- nated). The aura is followed by objective phenomena like staring, restlessness, oroalimentary automatism, and (ipsilateral) head deviation, which last from around 30 seconds to several minutes. In the postictal phase, gradual reorientation occurs which may be accompanied by dys- phasia and other sympoms. 5 Pathology Hippocampal sclerosis is characterized by neuronal loss and gliosis, most prominent in the CA1 field of the hippocam- pus, followed by the hilus, CA3 field, and dentate granule layer, while the CA2 field is relatively spared. These alterations are accompanied by a dispersion of the dentate granuale layer with ectopic neurons being found in the molecular layer. Extent of hippocampal sclerosis is graded according to Wyler et al. (Table 1) or more recently according to Blümcke et al. (Table 2) (Wyler et al. 1992; Blümcke et al. 2007). Note that more than 90% of patients, who undergo selective am- ygdalohippocampectomy with MRI suspected hippocampal sclerosis have Wyler grade III and IV hippocampal sclerosis. Both are easily recognized on perfectly angulated high res- olution T2- and FLAIR images due to their atrophy and increased signal intensity. In contrast, only a minority of patients (3–5%) has atypical variants either confined to the CA1 field or CA4 field (= end folium sclerosis). These atypical variants do not show significant atrophy and may be only detected due to a loss of the internal hippocampal structure (Fig. 1). However, if a hippocampus is normal on MRI an unrevealing histology is more likely. 6 Imaging MRI correlate of hippocampal slerosis are atrophy and increased signal intensity, which are best visualized on coronal FLAIR and T2-weighted fast spin echo images angulated perpendicularly to the hippocampal long axis. Increased signal intensity T2-signal abnormalities appears to correlate with gliosis and may not be directly related to the degree of neuronal loss (Briellman et al. 2002). On FLAIR sequences, contrast to noise ratio (C/N) is higher Table 1 Neuropathological grading of hippocampal sclerosis [adapted from Wyler et al. (1992)] Grade Classfication Neuropathological description MRI Wyler I Mild mesial temporal damage Gliosis with slight (10%) or no hippocampal neuronal dropout involving sectors CA1, CA3, and/or CA4 Not visible Wyler II Moderate mesial temporal damage Gliosis with moderate (10–50%) neuronal dropout of CA1, CA3, and/or CA4. If Involvement limited to CA3 and 4 = end folium sclerosis Loss of internal structure on high resolution T2-weighted images Wyler III ‘‘Classical’’ ammon’s horn sclerosis Gliosis with [50% neuronal dropout of CA1, CA3, and CA4, but sparing CA2 Atrophy and increased T2/FLAIR signal Wyler IV ‘‘Total’’ ammon’s horn sclerosis Gliosis with [50% neuronal dropout of all sectors Atrophy and increased T2/FLAIR signal visible Table 2 Neuropathological grading of hippocampal sclerosis [adapted from Blümcke et al. (2007)] Grade Description Frequency (%) MRI Blümcke MTS 1a Severe neuronal loss in CA1, moderate neuronal loss in other subfields 23 Atrophy and increased T2/FLAIR signal Blümcke MTS 1b Extensive neuronal loss in all subfields 68 Atrophy and increased T2/FLAIR signal Blümcke MTS 2 Severe neuronal loss restricted to CA1 7 ? Blümcke MTS 3 Severe neuronal loss restricted to hilar region = end folium sclerosis 5 Loss of internal structure on high resolution T2-weighted images 92 H. Urbach
  • 95.
    amygdala g.ambiens collateral sulcus tractus opticus g.occipito-temp.lat. g.temp.sup. g.temp.med. g.temp.inf. commissuraanterior e.C . uncal notch tractus opticus corpus mamillare Digitationes hippocampi C.g.l plica petroclinoidea columna fornicis a b c Fig. 1 Temporomesial MR anatomy on coronal 2 mm thick T2-weighted images. a shows a slice at the level of the amygdala, b at the level of the hippocampal head, and c at a level of the hippocampal body. Note that slices are displayed with different magnifications depending on the structures of interest than on T2-weighted sequences, however, one has to be aware that normal limbic structures already have a higher FLAIR signal than the remaining cortex (Hirai et al. 2000). T2-weighted sequences display the hippocampal substruc- tures in more detail and are complementarily used to diagnose hippocampal sclerosis. In order to assess atrophy and signal intensity, side comparisons are helpful. An accurate angulation avoiding tilting in the coronal plane is fundamental (Fig. 2). However, 10–20% of patients have bilateral hippocampal sclerosis (Margerison et al. 1966, Malter et al. in press), which can be overlooked when side comparison is the only criterion and no ‘‘engramm’’ of a normally sized hippocampus exists. T2 volumetry or T2 relaxometry can be helpful in these cases. Hippocampal sclerosis is usually diagnosed on coronal slices through the hippocampal head, which displays the highest relative volume of hippocampal tissue on a slice. The neuropathological diagnosis relies on slices through the hippocampal body allowing to assess the single CA subfields (Fig. 3). More subtle hippocampal sclerosis signs are a loss of the internal structure and loss of hippocampal head digitations (Oppenheim etal. 1998; Howeetal. 2011), which are both best appreciated on high resolution T2-weighted images (Fig. 4). Dilatation of the temporal horn is common, but occurs also in healthy persons as variant and even contralateral to the sclerotic hippocampus as falsely lateralizing finding (Wieser and ILAE Commission on Neurosurgery of Epilepsy 2004). Hippocampal sclerosis with atrophy but without increased signal intensity has been described in 5% of patients. However, it is likely due to poor image quality not suited to visualize increased signal intensity. Hippocampal sclerosis as incidental finding is extremly rare. There may be signal increase in healthy patients, however, signal increase and atrophy together almost never occur (Labate et al. 2010; Menzler et al. 2010). MRI scans of older patients, however, often show some degree of atrophy including loss of digitations of the hip- pocampal head and increased signal intensity (on FLAIR) images. The histopathological substrate typically remains unclear, it may be related to normal ageing or Alzheimer’s disease or so-called pure hippocampal sclerosis which occurs in around 10% of individuals older than 85 years and which is often misdiagnosed as Alzheimer’s disease (Dickson et al. 1994; Ala et al. 2000; Nelson et al. 2011). Secondary findings: Apart from hippocampal sclerosis the following structures of the limbic system can be atrophic: amygdala, entorhinal cortex, ipsilateral mamillary body, ipsilateral fornix, posterior thalamus (with increased signal), cingulate gyrus, contralateral cerebellum (Chan et al. 1997; Urbach et al. 2005) There is more often a temporal lobe or even hemispheric atrophy with atrophy pronounced in the anterior temporal lobe. The anterior temporal lobe shows reduced white matter volume and white matter signal is increased as compared to the opposite side or remaining white matter. Findings may be subtle and obscured or falsely highlighted by B1 field inhomogeneities Hippocampal Sclerosis 93
  • 96.
    and narrow ‘‘windowing’’.There is usually an a.p. gradient with a higher white matter signal in the temporal pole that gradually diminishs and is already absent if slices through the amygdala or hippocampal head are inspected. Since white matter has a higher signal, contrast to gray matter is reduced and the term ‘‘gray white matter demarcation loss’’ has been designated to describe this condition. The histopathological substrate of ‘‘gray white matter demarcation loss’’ is not clear. Some describe a higher amount of ectopic neurons within the white matter, how- ever, a higher amount of white matter neurons in the anterior temporal lobe is also physiologic. Some consider ‘‘gray white matter demarcation loss’’ as mild maforma- tion of cortical development (Palmini et al. 2004; Blümcke et al. 2011), others as focal cortical dysplasias (FCD) type I (Fauser et Schulze-Bonhage 2006), and others as maturation disorder, in which the process of cerebral myelination is disturbed due to an early precipitating injury (Mitchell et al. 2003; Schijns et al. 2011). Recent work investigating the pathological substrate of gray-white matter demarcation loss with 7 Tesla MRI revealed dish- omogeneous myelin staining of the white matter, reduction in the number of axons and presence of axonal degen- eration (Garbelli et al. 2012). A hint for a maturation disorder are early precipitating injuries and early seizure onset (often before the age of two) of patients with a ‘‘gray white matter demarcation loss’’ as compared to those who do not have these changes (Mitchell et al. 2003; Schijns et al. 2011). (Figs. 5, 6). In around 10% of patients hippocampal sclerosis is asso- ciated with another extrahippocampal epileptogenic lesion (Fig. 7). This is called dual pathology and associated with a poorer prognosis regarding postsurgical seizure outcome. Most common dual lesions are cortical dysplasias and gliotic lesions acquired in early childhood. Note that in the initial description 30% of patients had dual lesions (Levesque 1991). This high number is explained by the fact that 10% of patients in this series had gliomas and temporal lobe seizures. They underwent hippocamopectomy and showed only mild hippocampal cell loss on histopathology. Some authors consider ‘‘gray white matter demarcation loss’’ of the anterior temporal pole as type I dysplasia and thus a dual lesion (Fauser et Schulze-Bonhage 2006). In order to have a strict definition of dual pathology, the ILAE proposed the follow- ing definition: Dual Pathology refers only to patients with hippocampal sclerosis, who have a second principal lesion affecting the brain (which may be located also outside the ipsilateral temporal lobe), that is, tumor, vascular malfor- mation, glial scar, limbic/Rasmussen encephalitis, or MCD (including FCD Type IIa/IIb). Ipsilateral temporopolar atro- phy with increased T2 signal changes on MRI is not included as its histopathologic correlate has yet to be specified. Hist- opathologically confirmed architectural abnormalities in the temporal lobe associated with hippocampal sclerosis should not be diagnosed as FCD Type I or ‘‘Dual Pathology’’ but FCD Type IIIa (Blümcke et al. 2011). PET: positron emission tomography (PET) has become part of the presurgical evaluation in many epilepsy centers. The central finding is that the temporal lobe is hypomet- abolic for uptake of glucose on the side of the seizure focus during the interictal period. The region of hypome- tabolism can be both medial and lateral, and commonly exceeds the size of tissue that needs to be removed for cure of seizures. Fig. 2 Left-sided hippocampal sclerosis (a, b: coronal 3 mm thick FLAIR, c–e: coronal 2 mm thick T2-weighted fast spin echo images) indicated by increased signal intensity and atrophy of the left hippocampus. These findings are best appreciated on slices through the hippocampal head (a, c, e: arrow) since they contain the highest amount of hippocampal tissue per slice. In contrast, neuropathological diagnosis is based on slices through the hippocampal body (b, d, f), which allow a better anatomical orientation with respect to the CA subfiels. In order to allow side comparisons tilting in the coronal plane must be avoided. Exact angulation is proven by displaying small pairy structures (e.g. columnae fornicis (e: hollow arrow); semicircular canals) on one slice. 94 H. Urbach
  • 97.
    Fig. 3 Bilateralhippocampal sclerosis indicated by bilateral atrophy and increased signal intensity on FLAIR (a) and T2-weighted (b, c) fast spin echo images through the hippocampal heads (a, b) and bodies (c). If one has no engramm of a normal hipppocampus, T2 relaxometry (d) is helpful which revealed T2 relaxation times (e: ROI placements) with a mean of 132 ms in both hippocampi Hippocampal Sclerosis 95
  • 98.
    Fig. 4 A21 year old man with complex partial seizures since the age of 18 underwent left-side selective amgydalohippocampectomy. On MRI, the left hippocampus is of normal size (a–c: 2 mm thick T2-weighted fast spin echo images, d, e: 3 mm thick FLAIR fast spin echo images). If there is an abnormality at all, hippocampal head substructures (digitationes hippocampi, CA fields) are better to delineate on the right (c) than on the left side 7 Treatment Selective amygdalohippocampectomy (removal of amygdala, hippocampus and part of the parahippocampal gyrus) and anterior temporal lobectomy (additional removal of the anterior 4.5 cm on the left and 5.5 cm on the right side) are the most appropriate treatments and lead to seizure freeness (Engel-class I) in 75% of patients. Another 12% benefit with a distinct reduction of seizure frequency (Engel class II). With antiepileptic drugs only 8% of patients get seizure free (Engel et al. 1993; Wiebe et al. 2001). Note that 96 H. Urbach
  • 99.
    Fig. 5 Left-sidedhippocampal sclerosis (b, d: hollow arrow) and ‘‘gray white matter demarcation loss’’ of the anterior temporal lobe (a, c: arrow) in a 32 year old man with varicella zoster virus infection as infant and complex partial seizures since this time Hippocampal Sclerosis 97
  • 100.
    seizure freeness iseven reached, if only the anterior parts of the hippocampus and adjacent structures are removed. Bilateral hippocampal sclerosis (20% of patients) was for a long time considered a knock-out-criterion for epi- lepsy surgery, since memory capacity of the non-resected hippocampus and chance for seizure freedom were consid- ered low. However, individual patients can be operated successfully: If intrahippocampal depth electrodes show seizure origin in one hippocampus and event-related poten- tials sufficient memory capacity of the contralateral Fig. 6 Right-sided hippocampal sclerosis (b, d: hollow arrow) with slight atrophy of the anterior tempopral lobe but without ‘‘gray white matter demarcation loss’’(a, c) in a 30 year old man without precipitating injury and complex partial seizures since the age of 5 98 H. Urbach
  • 101.
    Fig. 7 16year old male with complex focal seizures and left sided hippocampal sclerosis (b, c: hollow arrowl) and ‘‘gray white matter demarcation loss’’ of the anterior temporal lobe (a: arrow) as well as a dysplasia in the right precentral gyrus (d–f: arrow). The ‘‘gray white matter demarcation loss’’ is rather a maturation disorder of the anterior temporal lobe which myelinates latest. It is often seen in patients who have a precipitating injury and start to have temporal lobe seizures within the first two years of life. The dysplasia in the right precentral gyrus is a ‘‘dual pathology’’ strictu sensu Hippocampal Sclerosis 99
  • 102.
    hippocampus, selective amygdalohippocampetcomyleads to seizure freedom without significant memory impairment in the more than 70% of patients. References Ala TA, Beh GO, Frey WH 2nd (2000) Pure hippocampal sclerosis: a rare cause of dementia mimicking Alzheimer’s disease. Neurology 54:843–848 Briellman RS, Kalnins RM, Berkovic SF, Jackson GD (2002) Hippocampal pathology in refractory temporal lobe epilepsy: T2-weighted signal change reflect dentate gliosis. Neurology 58: 265–271 Blümcke I, Thom M, Wiestler OD (2002) Ammon’s horn sclerosis: a maldevelopmental disorder associated with temporal lobe epilepsy. Brain Pathol 12:199–211 Blümcke I, Pauli E, Clusmann H, Schramm J, Becker A, Elger C, Merschhemke M, Meencke HJ, Lehmann T, von Deimling A, Scheiwe C, Zentner J, Volk B, Romstöck J, Stefan H, Hildebrandt M (2007) A new clinico-pathological classification system for mesial temporal sclerosis. Acta Neuropathol 113(3): 235–244 Blümcke I, Thom M, Aronica E, Armstrong DD, Vinters HV, Palmini A, Jacques TS, Avanzini G, Barkovich AJ, Battaglia G, Becker A, Cepeda C, Cendes F, Colombo N, Crino P, Cross JH, Delalande O, Dubeau F, Duncan J, Guerrini R, Kahane P, Mathern G, Najm I, Ozkara C, Raybaud C, Represa A, Roper SN, Salamon N, Schulze-Bonhage A, Tassi L, Vezzani A, Spreafico R (2011) The clinicopathologic spectrum of focal cortical dysplasias: a consensus classification proposed by an ad hoc Task Force of the ILAE Diagnostic Methods Commission. Epilepsia 52:158–174 Chan S, Erickson J, Yoon S (1997) Limbic system abnormalities associated with mesial temporal sclerosis: a model of chronic cerebral changes due to seizures. RadioGraphics 17:1095–1110 Dickson DW, Davies P, Bevona C, et al (1994) Hippocampal sclerosis: a common pathological feature of dementia in very old ([or = 80 years of age) humans. Acta Neuropathol (Berl) 88:212–221 Engel J Jr, Van Ness PC, Rasmussen TB, Ojemann LM (1993) Outcome with respect to epileptic seizures. In: Engel J Jr (ed) Surgical treatment of the epilepsies. Raven Press, New York, pp 609–621 Fauser S, Huppertz HJ, Bast T, Strobl K, Pantazis G, Altenmueller DM, Feil B, Rona S, Kurth C, Rating D, Korinthenberg R, Steinhoff BJ, Volk B, Schulze-Bonhage A (2006) Clinical char- acteristics in focal cortical dysplasia: a retrospective evaluation in a series of 120 patients. Brain 129:1907–1916 Garbelli R, Milesi G, Medici V, Villani F, Didato G, Deleo F, D’Incerti L, Morbin M, Mazzoleni G, Giovagnoli AR, Parente A, Zucca I, Mastropietro A, Spreafico R (2012) Blurring in patients with temporal lobe epilepsy: clinical, high-field imaging and ultra structural study. Brain 135(Pt 8):2337–2349 Hirai T, Korogi Y, Yoshizumi Y, Shigematsu Y, Sugahara T, Takahashi M (2000) Limbic lobe of the human brain: evaluation with turbo fluid-attenuated inversion-recovery MR imaging. Radiology 215:470–475 Howe KL, Dimitri D, Heyn C, Kiehl TR, Mikulis D, Valiante T. Histologically confirmed hippocampal structural features revealed by 3T MR imaging: potential to increase diagnostic specificity of mesial temporal sclerosis. AJNR Am J Neuroradiol 2010 Jun 10 Kobayashi E, Li LM, Lopes-Cendes I, Cendes F (2002) Magnetic resonance imaging evidence of hippocampal sclerosis in asymp- tomatic, first-degree relatives of patients with familial mesial temporal lobe epilepsy. Arch Neurol 59(12):1891–1894 Labate A, Gambardella A, Aguglia U, Condino F, Ventura P, Lanza P, Quattrone A (2010) Temporal lobe abnormalities on brain MRI in healthy volunteers a prospective case-control study. Neurology 74:1 Levesque MF, Naksato N, Vinters HV et al (1991) Surgical treatment of limbic encephalitis associated with extrahippocampal lesions: the problem of dual pathology. J Neurosurg 75:364–370 Malter MP, Tschampa HJ, Helmstaedter C, Urbach H, von Lehe M, Becker A, Clusmann H, Elger CE, Bien CG (2011) Seizure and memory outcome after epilepsy surgery in patients with bilateral ammon’s horn sclerosis. Ann Neurol (in press) Margerison JH, Corsellis JAN (1966) Epilepsy and the temporal lobes: a clinical, electroencephalographic and neuropathological study of the brain in epilepsy, with particular reference to the temporal lobes. Brain 89:499–530 Menzler K, Iwinska-Zelder J, Shiratori K, Jaeger RK, Oertel WH, Hamer HM, Rosenow F, Knake S (2010) Evaluation of MRI criteria (1.5 T) for the diagnosis of hippocampal sclerosis in healthy subjects. Epilepsy Res 89:349–354 Mitchell LA, Harvey AS, Coleman LT, Mandelstam SA, Jackson GD (2003) Anterior temporal changes on MR images of children with hippocampal sclerosis: an effect of seizures on the immature brain? Am J Neuroradiol 24:1670–1677 Nelson PT, Schmitt FA, Lin Y, Abner EL, Jicha GA, Patel E, Thomason PC, Neltner JH, Smith CD, Santacruz KS, Sonnen JA, Poon LW, Gearing M, Green RC, Woodard JL, Van Eldik LJ, Kryscio RJ (2011) Hippocampal sclerosis in advanced age: clinical and pathological features. Brain 134(Pt 5):1506–1518 Oppenheim C, Dormont D, Biondi A et al (1998) Loss of digitations of the hippocampal head on high-resolution fast spin-echo MR: a sign of mesial temporal sclerosis. AJNR Am J Neuroradiol 19:457–463 Palmini A, Najm I, Avanzini G, Babb T, Guerrini R, Foldvary- Schaefer N, Jackson G, Lüders HO, Prayson R, Spreafico R, Vinters HV (2004) Terminology and classification of the cortical dysplasias. Neurology 62(6 Suppl 3):S2-8. Review Schijns OE, Bien CG, Majores M, von Lehe M, Urbach H, Becker AJ, Schramm J, Elger CE, Clusmann H (2011) Temporal gray-white- matter abnormalities are not part of the epileptogenic zone in temporal lobe epilepsy with hippocampal sclerosis. Neurosurgery 68:98–106 Soeder BM, Gleissner U, Urbach H, Clusmann H, Vincent A, Bien CG (2009) Causes, presentation and outcome of lesional adult-onset mediotemporal lobe epilepsy. J Neurol Neurosurg Psychiatry 80: 894–899 Urbach H, Siebenhaar G, Koenig R, von Oertzen J, Scorzin J, Kurthen M, Schild HH (2005) Limbic system abnormalities asso- ciated with Ammon’s horn sclerosis do not alter seizure outcome after amygdalohippocampectomy. Epilepsia 46(4):549–555 Wiebe S, Blume WT, Girvin JP, Eliasziw M (2001) A randomized, controlled trial of surgery for temporal lobe epilepsy. New Engl J Med 38:154–163 Wieser HG, ILAE Commission on Neurosurgery of Epilepsy (2004) ILAE commission report: mesial temporal lobe epilepsy with hippocampal sclerosis. Epilepsia 45:695–714 Wyler AR, Dohan FC, Schweitzer JB, Berry AD (1992) A grading system for mesial temporal pathology (hippocampal sclerosis) from anterior temporal lobectomy. J Epilepsy 5:220–225 100 H. Urbach
  • 103.
    Limbic Encephalitis Horst Urbachand Christian G. Bien Contents 1 Definition............................................................................... 101 2 Pathogenesis and Classification.......................................... 101 2.1 Antibodies ............................................................................. 103 3 Clinical Presentation ........................................................... 104 4 Imaging ................................................................................. 104 References...................................................................................... 108 Abstract Limbic encephalitis refers to an autoimmune-mediated encephalitis with preferential involvement of temporom- esial structures. Amygdala and hippocampus may be initially asymmetrically swollen and bilateral hippocam- pal sclerosis occurs in its further course. At least one third of patients [ 20 years of age with the typical clinical syndrome and temporomesial MRI changes suffer from limbic encephalitis. 1 Definition Limbic encephalitis is a cliniconeuropathological/radiolog- ical syndrome, initially described by Brierley et al. (1960) and Corsellis et al. (1968), respectively. The clinical char- acteristics are subacutely (over days to 12 weeks) evolving memory deficits, temporal lobe seizures, confusion, and other psychiatric symptoms. Neuropathological character- istics are infiltrates consisting of T lymphocytes and microglia activation. 2 Pathogenesis and Classification The clinicopathological/radiological diagnosis of limbic encephalitis needs refining because it is not a uniform entity. The key to a refined categorization of limbic encephalitis cases is antineuronal antibodies found in serum and CSF of affected patients. So, the usual diagnostic workflow is as follows. The identification of typical clinical symptoms and the MRI features of mediotemporal encephalitis antibody triggers antibody diagnostics (plus a tumor search). The results of these additional diagnostic efforts finally enable a working diagnosis to be made and a prognosis to be given as described in the following. H. Urbach (&) Department of Neuroradiology, University Hospital Freiburg, Germany e-mail: horst.urbach@uniklinik-freiburg.de C. G. Bien Epilepsy Centre Bethel, Bielefeld, Germany H. Urbach (ed.), MRI in Epilepsy, Medical Radiology. Diagnostic Imaging, DOI: 10.1007/174_2012_572, Ó Springer-Verlag Berlin Heidelberg 2013 101
  • 104.
    Fig. 1 Threefemale patients with N-methyl-D-asparate receptor antibody associated limbic encephalitis and different MRI findings. a, b A 7-year-old girl with volume increase of uncus and amygdala on the left (arrow). c, d A 43-year-old woman with signal increase of the CA1 segment of the right hippocampus (arrow). e, f A 25-year-old woman with signal increase of the right pulvinar thalami, the right temporobasal cortex, and the right cerebellar folia (arrows). Signal increase of the pulvinar thalami is likely due to frequent seizures 102 H. Urbach and C. G. Bien
  • 105.
    2.1 Antibodies 1. Antibodiesagainst intracellular antigens: – Onconeural antibodies (Hu, CV2, Ma2, amphiphysin) (Gultekin et al. 2000; Graus et al. 2004) – Antibodies against the enzyme glutamic acid decar- boxylase (GAD) (Malter et al. 2010). 2. Antibodies against antigens on the surface of neurons: – Proteins associated with voltage-gated potassium channels [VGKC; the VGKC complex comprising the antigenic targets leucine-rich glioma inactivated protein 1, contactin-2 associated protein (CASPR2) and other, still undefined targets) (Vincent et al. 2004; Irani et al. 2010; Lai et al. 2010; Lancaster et al. 2011) – N-Methyl-D-asparate receptor (NMDAR). Most patients with NMDAR antibodies have a severe diffuse enceph- alopathy termed anti-NMDAR encephalitis, not a limbic syndrome, which has been described in one case (Dalmau et al. 2007, 2008; Novillo-López et al. 2008) – c-Aminobutyic acid receptor type B (GABABR) (Lancaster et al. 2010) – a-Amino-3-hydroxy-5-methyl-4-isoxazolpropionic acid receptor (AMPAR) (Lai et al. 2009). The antibody specificity predicts the likelihood of having a neoplasm as the origin of the neurological disease, i.e., a paraneoplastic syndrome. It is more than 90% in the case of onconeural antibodies, and 50% or greater in patients with antibodies against NMDAR (usually ovarian teratomas in young females), against the GABABR, or against AMPAR (in the latter two, small-cell lung cancer is frequent). Patients with VGKC-complex antibodies seem to have tumors almost exclusively if the antibodies react with CASPR2; thymomas are neoplasms found most often (Vincent and Irani 2010). Fig. 2 Limbic encephalitis associated with voltage-gated potassium channel (VKKC) antibodies in a 53-year-old woman. Whereas the right hippocampal head and amygdala are hyperintense and swollen (a, b, d, arrow), the left side of the hippocampus is already sclerotic (c, e, hollow arrow). Follow-up MRI after 1 year shows the beginning atrophy also on the right side (f) Limbic Encephalitis 103
  • 106.
    Forty percent ofpatients with limbic encephalitis and a related tumor may be antibody-negative, so antibody neg- ativity excludes neither a tumor nor the possibility of a limbic encephalitis. Antibody-negative patients without tumors therefore are a special challenge because diagnostic and therapeutic decisions need to be made without the chance to refer to published experience (relevant limbic encephalitis series have—understandably—only been pub- lished in cohorts with definite antibody reactivities). Apart from their tumor-predictive value, antibodies predict the treatment response to immunotherapies in non- paraneoplastic patients (who account for most of all limbic encephalitis cases). In general, the outcome of patients with antibodies against surface antigens is more favorable than that of patients with antibodies against intracellular antigens. With increasing data on the presentation and the course of antibody-defined patients with limbic encephalitis, subtle peculiarities even regarding the MRI appearance of the mediotemporal changes may emerge. However, at this point, every patient with the clinicoradiological features of limbic encephalitis should undergo complete antibody testing for the reactivities listed above. 3 Clinical Presentation The neurological syndrome as described above is the key element of the syndrome limbic encephalitis; however, the limbic encephalitis subtypes may show some clinical pecuilarities. Patients with limbic encephalitis associated with VGKC antibodies typically improve with cortisone therapy (Soeder et al. 2005). Patients with limbic encephalitis associated with anti- bodies against GAD are mostly woman with temporal lobe seizures and psychiatric abnormalities (Malter et al. 2010). Patients may show oligoclonal bands in CSF and do not respond well to cortisone therapy. Patients with GAD65 antibodies may suffer from type 1 diabetes mellitus, epi- lepsy with grand mal seizures, stiff person syndrome, and/or ataxia. Patients with NMDAR antibodies (Fig. 1) have a severe diffuse encephalopathy termed anti-NMDAR encephalitis rather than a limbic syndrome. It typically occurs in young women (male-to-female ratio 1:9) who show dyskinesias, reduced consciousness, hypoventilation, cardiac conduction abnormalities, psychiatric abnormalities (agitation, confu- sion, depression, hallucinations, pathologic laughing), and neurologic deficits (aphasia, visual disturbances, hemipa- resis and others). Around half of the patients have tumors, typically ovarian teratomas. Three of four patients improve under therapy, and one of four patients survives with severe deficits or dies. 4 Imaging Limbic encephalitis typically starts as an acute disease with unilateral or bilateral swollen temporomesial struc- tures that are hyperintense on fluid-attenuated inversion recovery (FLAIR) and T2-weighted sequences (Urbach Fig. 3 Limbic encephalitis associated with VGKC antibodies in a 69- year-old man. Both amygdalae and hippocampal heads are somewhat prominent and hyperintense (c, arrow). In addition, reduced gray white mattercontrastduetoanincreasedsignalofthesupratentorialwhitematter (a, b, hollow arrows) is obvious. This MRI pattern is found in around 15% of patients with limbic encephalitis associated with VGKC antibodies 104 H. Urbach and C. G. Bien
  • 107.
    et al. 2006b).In many patients, the amygdalae are par- ticularly swollen and hyperintense. When only one side is swollen, the contralateral amygdala and hippocampus may be normal or even atrophic (Fig. 2). Swelling and hyper- intensity may persist over months to years, but in most cases hyperintensity persists and progressive temporome- sial atrophy develops. Although inconstant, significant atrophy is visible approximately 1 year after onset of disease. It is unclear whether swelling and hyperintensity are related to the disease itself or are simply the result of frequent (subclinical) temporal lobe seizures (Urbach et al. 2006a). Around one third of patients with clinical features of limbic encephalitis and specific antibodies has normal findings on MRI scans (Gultekin et al. 2000; Irani et al. 2010; Lancaster et al. 2010). Thus, temporomesial signal abnormalities and volume changes are not a necessary condition for the diagnosis of limbic encephalitis. With respect to the limbic encephalitis subtypes, around 15% of patients with VGKC antibodies show increased signal intensity of the supratentorial white matter (Fig. 3). In para- neoplastic limbic encephalitis and in limbic encephalitis associated with GAD antibodies, extratemporal abnormali- ties are frequent often than in other subtypes (Fig. 4). Fig. 4 Two female patients with limbic encephalitis associated with GAD antibodies. Notice the typical course with initial hippocampal swelling (a, arrow) evolving into hippocampal sclerosis (c, arrow). Extratemporal, often symmetric signal abnormalities like in these examples in the external capsule (b, hollow arrows), the thalami (e, hollow arrows), or the depth of the parietal sulci (f, hollow arrows) are common in this limbic encephalitis subtype Limbic Encephalitis 105
  • 108.
    Differential diagnoses includediffusely infiltrating astrocytoma, ‘‘unclear’’ amygdala lesions, status epilepticus, infectious encephalitis including herpes simplex encephalitis type 1, and—in immunocompromised patients—human herpes virus 6 encephalitis (Bower et al. 2003; Baskin and Hedlund 2007; Soeder et al. 2009), lymphomatous infiltra- tion, steroid-responsive encephalopathy associated with autoimmune thyroiditis, amygdala lesions associated with neurofibromatosis type 1 (Gill et al. 2006), limbic encepha- litis associated with systemic lupus erythematosus (Stübgen 1998; Kano et al. 2009), Rasmussen encephalitis, and other diagnoses. Diffusely infiltrating astrocytomas usually involve the limbic system in a more widespread, often multifocal fashion (Fig. 5). ‘‘Unclear’’ amygdala lesions refer to a unilaterally enlarged amygdala with homogenously increased signal on FLAIR and T2 MRI sequences. Compared with limbic encephalitis patients, the patients are older at epilepsy onset (mean age more than 50 years), and histopathology is typically unrevealing (Fig. 5) (Bower et al. 2003; Soeder et al. 2009). Steroid-responsive encephalopathy associated with autoimmune thyroiditis (SREAT) is a neurologic complication of autoimmune thyroiditis which is, however, Fig. 5 Imaging differential diagnoses of limbic encephalitis: some astrocytomas tend to infiltrate within the limbic system. Cingulate gyrus (a, b, arrow) and corpus callosum (a, hollow arrow) infiltration favor a glioma. Bilateral, somewhat asymmetric amygdala lesions can be associated with neurofibromatosis type 1 (c, arrow). Systemic lupus erythematosus may mimic limbic encephalitis not only clinically. MRI may show subtle volume and signal changes that are often detectable only by side comparisons (d, e, arrow). If the amygdala and hippocampus are enlarged in older patients presenting with temporal lobe seizures, memory deficits, and/ or depression, limbic encephalitis can often not be proven, and histology is unrevealing. These lesions (f, arrow) are considered unclear 106 H. Urbach and C. G. Bien
  • 109.
    independent of thethyroid status. Patients present with encephalopathy, seizures (66%), myoclonus (38%), psychi- atric (36%), and stroke-like symptoms (27%) (Chong et al. 2003; Castillo et al. 2006). The key elements are elevated anti-thyroid (microsomal and/or thyroperoxidase) antibodies and a response to corticosteroid therapy (Castillo et al. 2006). Imaging abnormalities have been reported in 25–50% of cases and consisted mostly of focal or diffuse non-enhancing white matter abnormalities, which normalized or regressed on corticosteroid therapy. A patient with dural enhancement has also been reported (Mahad et al. 2005; Castillo et al. 2006). However, there is no characteristic MRI and whether formerly called Hashimoto encephalopathy truly exists is still a matter of debate (Chong et al. 2003). In 80% of children and an unknown proportion of older patients with neurofibromatosis type 1, coronal FLAIR and T2-weighted fast spin echo images show both hippocampi with higher volume and signal intensity than in healthy controls. There may be some asymmetry and involvement of the amygdala and parahippocampal gyrus as well (Gill et al. 2006). Systemic lupus erythematosus may mimic limbic encephalitis clinically, and in some cases MRI shows a subtle volume and signal intensity increase of the amygdala and hippocampus, which may only be detectable by side comparisons (Stübgen 1998) (Fig. 5). Around 50% of Ramussen encephalitis cases have tempo- romesial signal changes. Ramussen encephalitis is typically a unihemispheric disease clinically characterized by intractable focal seizures, namely, epilepsia partialis continua, and progressive deterioration of functions within the affected hemisphere. If Rasmussen encephalitis rarely starts with tem- poromesial seizures, caudate head and cerebral atrophy may guide the MRI reader to the correct diagnosis (Fig. 6). Fig. 6 Rasmussen encephalitis mimicking limbic encephalitis. A 6- year-old boy presented with frequent simple partial seizures with oroalimentary automatisms pinpointing the mesial temporal lobe. MRI showed right-sided hippocampal swelling and T2/ fluid-attenuated inversion recovery hyperintensity (a, c, d, arrow). At this time, the right caudate head is already atrophic and discretely hyperintense (b–d, hollow arrow). The patient underwent amygdalohippocampectomy, and histology revealed inflammation with cytotoxic T lymphocytes and glial fibrillary acidic protein (GFAP)-positive astrocytes. Two year later, thepatientdevelopedepilepsiapartialiscontinuawithcontinuousjerkingof theleftarm.Follow-upMRIafter2 yearsrevealedright-sidedhemiatrophy (f, hollow arrow) which was not obvious before (e, hollow arrow) Limbic Encephalitis 107
  • 110.
    References Baskin HJ, HedlundG (2007) Neuroimaging of herpesvirus infections in children. Pediatr Radiol 37:949–963 Bower SP, Vogrin SJ, Morris K et al (2003) Amygdala volumetry in ‘‘imaging-negative’’ temporal lobe epilepsy. J Neurol Neurosurg Psychiatry 74:1245–1249 Brierley JB, Corsellis JA, Hierons R, Nevin S (1960) Subacute encephalitis of later adult life, mainly affecting the limbic areas. Brain 83:357–368 Castillo P, Woodruff B, Caselli R, Vernino S, Lucchinetti C, Swanson J, Noseworthy J, Aksamit A, Carter J, Sirven J, Hunder G, Fatourechi V, Mokri B, Drubach D, Pittock S, Lennon V, Boeve B (2006) Steroid-responsive encephalopathy associated with autoim- mune thyroiditis. Arch Neurol 63:197 Chong JY, Rowland LP, Utiger RD (2003) Hashimoto encephalopa- thy: syndrome or myth? Arch Neurol 60(2):164–171 Corsellis JA, Goldberg GJ, Norton AR (1968) ‘‘Limbic encephalitis’’ and its association with carcinoma. Brain 91:481 Dalmau J, Tüzün E, Wu HY, Masjuan J, Rossi JE, Voloschin A, Baehring JM, Shimazaki H, Koide R, King D, Mason W, Sansing LH, Dichter MA, Rosenfeld MR, Lynch DR (2007) Paraneoplastic anti-N-methyl-D-aspartate receptor encephalitis associated with ovarian teratoma. Ann Neurol 61:25–36 Dalmau J, Gleichman AJ, Hughes EG, Rossi JE, Peng X, Lai M, Dessain SK, Rosenfeld MR, Balice-Gordon R, Lynch DR (2008) Anti-NMDA-receptor encephalitis: case series and analysis of the effects of antibodies. Lancet Neurol 7(12): 1091–1098 Gill DS et al (2006) Age-related findings on MRI in neurofibromatosis type 1. Pediatr Radiol 36:1048–1056 Graus F, Delattre JY, Antoine JC, Dalmau J, Giometto B, Grisold W et al (2004) Recommended diagnostic criteria for paraneoplastic neurological syndromes. J Neurol Neurosurg Psychiatry 75: 1135–1140 Gultekin SH, Rosenfeld MR, Voltz R, Eichen J, Posner JB, Dalmau J (2000) Paraneoplastic limbic encephalitis: neurological symptoms, immunological findings and tumour association in 50 patients. Brain 123:1481–1494 Irani SR, Alexander S, Waters P, Kleopa KA, Pettingill P, Zuliani L et al (2010) Antibodies to Kv1 potassium channel-complex proteins leucine-rich, glioma inactivated 1 protein and contactin- associated protein-2 in limbic encephalitis morvan’s syndrome and acquired neuromyotonia. Brain 133:2734–2748 Kano O, Arasaki K, Ikeda K, Aoyagi J, Shiraishi H, Motomura M, Iwasaki Y (2009) Limbic encephalitis associated with systemic lupus erythematosus. Lupus 18(14):1316–1319 Lancaster E, Lai M, Peng X, Hughes E, Constantinescu R, Raizer J et al (2010) Antibodies to the GABA(B) receptor in limbic encephalitis with seizures: case series and characterisation of the antigen. Lancet Neurol 9:67–76 Lancaster E, Huijbers MG, Bar V, Boronat A, Wong A, Martinez- Hernandez E et al (2011) Investigations of caspr2, an autoantigen of encephalitis and neuromyotonia. Ann Neurol 69:303–311 Lai M, Hughes EG, Peng X, Zhou L, Gleichman AJ, Shu H et al (2009) AMPA receptor antibodies in limbic encephalitis alter synaptic receptor location. Ann Neurol 65:424–434 Lai M, Huijbers MG, Lancaster E, Graus F, Bataller L, Balice-Gordon R et al (2010) Investigation of LGI1 as the antigen in limbic encephalitis previously attributed to potassium channels: a case series. Lancet Neurol 9:776–785 Mahad DJ, Staugaitis S, Ruggieri P, Parisi J, Kleinschmidt-Demasters BK, Lassmann H, Ransohoff RM (2005) Steroid-responsive encephalop- athy associated with autoimmune thyroiditis and primary CNS demyelination. J Neurol Sci 228(1):3–5 Malter M et al (2010) Antibodies to glutamic acid decarboxylase define a form of limbic encephalitis. Ann Neurol 67:470–478 Novillo-López ME, Rossi JE, Dalmau J, Masjuan J (2008) Treatment- responsive subacute limbic encephalitis and NMDA receptor antibodies in a man. Neurology 70:728–729 Soeder BM, Urbach H, Elger CE, Bien CG, Beyenburg S (2005) VGKC antibodies associated with limbic encephalitis. Nervenarzt 76(6):760–762 Soeder BM, Gleissner U, Urbach H, Clusmann H, Elger CE, Vincent A et al (2009) Causes, presentation and outcome of lesional adult-onset mediotemporal lobe epilepsy. J Neurol Neu- rosurg Psychiatry 80:888–893 Stübgen JP (1998) Nervous system lupus mimics limbic encephalitis. Lupus 7(8):557–560 Urbach H, Sassen R, Soeder BM, Flacke S, Becker A, Bien CG (2006a) Serial MRI in patients with acquired hippocampal sclerosis. Clin Neuroradiol 16:47–52 Urbach H, Soeder BM, Jeub M, Klockgether T, Meyer B, Bien CG (2006b) Serial MRI of limbic encephalitis. Neuroradiology 48:380–386 Vincent A, Irani SR (2010) Caspr2 antibodies in patients with thymomas. J Thorac Oncol 5:S277–S280 Vincent A, Buckley C, Schott JM, Baker I, Dewar BK, Detert N et al (2004) Potassium channel antibody-associated encephalopathy: a potentially immunotherapy-responsive form of limbic encephalitis. Brain 127:701–712 108 H. Urbach and C. G. Bien
  • 111.
    Epilepsy Associated Tumorsand Tumor-Like Lesions Horst Urbach Contents 1 Introduction.......................................................................... 109 2 Ganglioglioma ...................................................................... 110 2.1 Epidemiology......................................................................... 110 2.2 Clinical Presentation.............................................................. 110 2.3 Pathology ............................................................................... 110 2.4 Imaging .................................................................................. 110 3 Dysembryoplastic Neuroepithelial Tumor........................ 110 3.1 Epidemiology......................................................................... 110 3.2 Clinical Presentation.............................................................. 110 3.3 Pathology ............................................................................... 110 3.4 Imaging .................................................................................. 112 4 Angiocentric Glioma ........................................................... 112 4.1 Epidemiology......................................................................... 112 4.2 Clinical Presentation.............................................................. 114 4.3 Pathology ............................................................................... 114 4.4 Imaging .................................................................................. 114 5 Pilocytic Astrocytoma ......................................................... 115 5.1 Epidemiology......................................................................... 115 5.2 Clinical Presentation.............................................................. 115 5.3 Pathology ............................................................................... 115 5.4 Imaging .................................................................................. 116 6 Pleomorphic Xanthoastrocytoma....................................... 116 6.1 Epidemiology......................................................................... 116 6.2 Clinical Presentation.............................................................. 117 6.3 Pathology ............................................................................... 117 6.4 Imaging .................................................................................. 117 7 Diffuse Gliomas.................................................................... 118 7.1 Epidemiology......................................................................... 118 7.2 Pathogenesis........................................................................... 119 7.3 Clinical Presentation.............................................................. 120 7.4 Imaging .................................................................................. 120 8 Epidermoid ........................................................................... 120 8.1 Epidemiology......................................................................... 120 8.2 Clinical Presentation.............................................................. 120 8.3 Pathology ............................................................................... 120 8.4 Imaging .................................................................................. 121 9 Dermoid ................................................................................ 121 9.1 Epidemiology......................................................................... 121 9.2 Clinical Presentation.............................................................. 121 9.3 Imaging .................................................................................. 121 References...................................................................................... 122 Abstract Glioneuronal rather than glial tumors are found in around 20% of patients with drug-resistant focal epilepsies. Gangliogliomas, dysembryoplastic neuroepithelial tumours (DNTs), angiocentric gliomas, pilocytic astrocytomas, and pleomorphic xanthoastrocytomas (PXAs) show characteris- tic imaging profiles clearly different from diffusely infiltrat- ing gliomas. Epidermoids and dermoids are considered tumor like lesions with likewise specific imaging findings. 1 Introduction In around 20% of patients with long-term drug-resistant epilepsy intra-axial brain tumours are found (Luyken et al. 2003; Urbach et al. 2004; Bien et al. 2013). Clinically, two different groups exist in this cohort. The first contains typ- ical epilepsy-associated tumours such as gangliogliomas, dysembryoplastic neuroepithelial tumours (DNTs), angio- centric gliomas, pleomorphic astrocytomas (pXAs), and supratentorial pilocytic astrozytomas, WHO grade I, with an usually benign behaviour. The second group consists of diffuse astrocytomas, WHO grade II, oligodendrogliomas, WHO grade II, with a five year-survival rate of 50–65%, and a few anaplastic cases, classified as WHO grade III, with a median survival time of 2–3 years. Histopathologi- cally, glioneuronal and glial tumours can be distinguished. Among the glioneuronal tumours, gangliogliomas and DNTs are well characterized on MRI. Another tumor with a characteristic MR imaging pattern designed as angiocentric H. Urbach (&) Department of Neuroradiology, University Hospital Freiburg, Germany e-mail: horst.urbach@uniklinik-freiburg.de H. Urbach (ed.), MRI in Epilepsy, Medical Radiology. Diagnostic Imaging, DOI: 10.1007/174_2011_525, Ó Springer-Verlag Berlin Heidelberg 2013 109
  • 112.
    glioma has recentlybeen added to the WHO classification of brain tumors (Louis et al. 2007). Due to the uncertain histogenesis it is grouped in the category ‘‘other neuroepi- thelial tumors’’. Since some tumor-like lesions like epidermoid or dermoid may cause drug-resistant seizures, they are also illustrated in this chapter. 2 Ganglioglioma 2.1 Epidemiology Usually benign intraaxial tumors first described by Perkins in (1926). Most common long-term epilepsy associated tumor. 2.2 Clinical Presentation Drug-resistant epilepsy with usually focal seizures. Temp- oro-mesial gangliogliomas likely induce complex focal, gangliogliomas in other locations simple focal seizures. Secondary generalization occurs in around 30% of cases. Extratemporal location, male gender, age at surgery 40 years, a history without epilepsy, incomplete tumor resection, and histopathological presence of a gemistocytic cell component have been identified as poor prognostic outcome parameters (Rumana et al. 1999; Majores et al. 2008). Tumorvolume of gangliogliomas in early childhood (10 years) is significantly larger than that of gangiogliomas encountered in adults, especially the cystic part (Provenzale et al. 2000). 2.3 Pathology Tumor composed of dysplastic neurons and neoplastic glial cells. Both cell populations may show heterogeneity, with the morphological spectrum ranging from a predominantly neuronal phenotype to a predominant glial population. The immunohistochemical profile (e.g., expression of the stem cell epitope CD34) usually allows a specific diagnosis (Blümcke et al. 1999, 2002). 85% of gangliogliomas correspond to WHO grade I, around 10% to WHO grade II and 5% to WHO grade III tumours, respectively (Blümcke et al. 2002; Luyken et al. 2004; Majores et al. 2008). Note that with the 2007 WHO classification only WHO grade I and III gangliogliomas are distinguished (Louis et al. 2007). Overall recurrence rate is around 7%, but distinctly higher for grade II (33%) and grade III (60%) tumors. If there is tumor recurrence, nearly half of the tumors are glioblastomas (Majores et al. 2008). 2.4 Imaging Location in the cortex or in the cortex and subcortical white matter. Spatial preponderance for the parahippocampal and lateral temporo-occipital gyri. Classical imaging feature is the combination of intracortical cyst(s), a circumscribed area of cortical (and subcortical) signal increase on FLAIR and T2-weighted images and a contrast enhancing nodule (Figs. 1, 2). Calcifications occur in 1/3 of cases (Zentner et al. 1994). If contrast enhancement is absent (&70% of cases), gangliogliomas may be difficult to distinguish from cortical dysplasias. Especially, in these cases intracortical cysts are highly diagnostic. Gangliogliomas typically have no perifocal oedema. If oedema is present, malignant degeneration (from the glial component) to a WHO grade II or III ganglioglioma or anaplastic glial tumours including PXA with anaplastic features should be suspected. 3 Dysembryoplastic Neuroepithelial Tumor 3.1 Epidemiology Second most common epilepsy associated tumor, which was first described by Daumas-Duport in (1988). DNT is mistaken for oligodendroglioma rather than diffuse astro- cytoma in 15% of cases (Campos et al. 2009). 3.2 Clinical Presentation Drug-resistant epilepsy with usually focal seizures, which may secondarily generalize. Temporo-mesial DNTs likely induce complex focal, DNTs in other locations simple focal seizures. 3.3 Pathology WHO grade I-tumor. Location: temporal (66%), frontal (20%), parietal [ occipital lobe. Histopathological hallmark is the so-called glioneuronal element, which contains oligodendrocyte-like cells attached to bundles of axons and neurons floating in a myxoid interstitial fluid (Daumas-Duport et al. 2000). If only the glioneuronal element is present, it is referred to as simple 110 H. Urbach
  • 113.
    Fig. 1 Imagingexamples of three temporal lobe gangliogliomas WHO grade I: the upper row shows a ganglioglioma with all characteristic imaging features: A cortical and subcortical tumor with intracortical cysts (a, c: arrows), contrast enhancing (b: hollow arrow), and calcified tumor portions (d: hollow arrow), and increased white matter signal intensity (b: arrow). In the mid row, a small cortical tumor with a lateral solid (e: arrow), contrast enhancing (f–h: arrow) and a medial hypointense tumor portion (f: black arrow), which was not calcified on CT, is also highly suggestive of a ganglioglioma. In the lower row (i–l), a tumor of the right amygdala shows cystic components, and no contrast enhancement. It could be considered as a DNT, albeit the tumor cysts are not as regular as in a DNT Epilepsy Associated Tumors 111
  • 114.
    variant. Complex DNTvariants additionally may contain glial nodules resembling astrocytomas, oligodendrogliomas or oligoastrocytomas, foci of cortical dysplasia, calcifica- tion and hemorrhages. Tumor growth or recurrence is extremly rare, it may occur in the complex variant group also characterized by an earlier seizure onset, and more extratemporal locations, characterized by the so called glioneuronal element. It is rather the oligodendrocyte-like cells of the glio- neuronal element than adjacent glial nodules as part of the complex DNT variant that cause misclassification of DNTs (Fig. 4) (Campos et al. 2009). 3.4 Imaging MRI hallmark are multilobulated cysts, rarely only one large cyst is present. The cysts represent the glioneuronal element and are located in the cortex or in the cortex and subcortical white matter, sometimes single smaller cysts are located in the vicinity of the tumor, from which they are clearly separated (Fig. 3). The multilobulated cysts are either oriented in a ball-like fashion or perpendicular to the cortical surface; they are hypointense on T1-weighted and strongly hyperintense on T2-weighted images. On FLAIR images, they have a mixed signal intensity, most of the ‘‘lobuli within the cyst’’ are hypointense. On DWI, DNTs are hypointense. Parts of the glioneuronal element may show nodular, ring-like or heterogenous contrast enhancement (25%). Contrast enhancement may vary on follow-up examinations in that way, that sharply marginated contrast-enhancing nodules occur while others have disappeared (Fig. 3) (Campos et al. 2009). Next to the multicystic tumor portion solid, nearly T1w-isointense and FLAIR/T2 less hyperintense tumor portions can be found in 90% of patients. Larger solid tumor portions are in favour of a complex DNT variant. Calcifications are found in 10% of complex DNTs, mostly within the deeper located tumor portions, usually in the vicinity of the contrast enhancing regions and—if rarely present—always in the vicinity of hemorrhage (Fig. 4) (Campos et al. 2009). 4 Angiocentric Glioma Synonym: Angiocentric Neuroepithelial Tumor (ANET) 4.1 Epidemiology Epilepsy associated tumor with histological similarities to astrocytoma and ependymoma. The tumor was initially described by Lellouch-Tubiana et al. 2005 and Wang et al. (2005) and added as clinico-pathological entity to the 2007 WHO classification of CNS tumors (Louis et al. 2007). Less than 20 cases have been described so far, but older cases may have been misclassified as (cortical) ependymoma or astrocytoma. Fig. 2 Ganglioglioma WHO grade I of the left occipito-temporal gyrus. The tumor has a cystic and a contrast enhancing tumor portion and is indistinguishable from a pilocytic atsrocytoma. However, in a patient with drug-resistant epilepsy like in this 9 year old girl with complex focal seizures since the age of 7 a ganglioglioma is more likely 112 H. Urbach
  • 115.
    Fig. 3 a–cSmall right frontal DNT, consisting only of the glioneu- ronal element (simple variant). In contrast, the complex DNT variant in case d–e shows a deep-seated calcified portion. The interval between g and h–i is 3 years: A ring-like contrast enhancing lesion in the posterior tumor portion has disappeared (arrow), in another location a new ring-enhancing lesion has occurred Epilepsy Associated Tumors 113
  • 116.
    4.2 Clinical Presentation Childrenand young adults with focal seizures, # = $. 4.3 Pathology Radial arrangement of GFAP-positive, fusiform and bipo- lare astrocytic cells around blood vessels. Variable infil- trative pattern. 4.4 Imaging Cortical and subcortical tumor with a stalk-like extension towards the lateral ventricle. Predilection for the posterior (parietal and occipital) brain segments. A ribbon-like hyperintensity within the cortex on unenhanced T1-weigh- ted spin echo images is considered pathognomonic. No calcifications. No contrast enhancement (Lellouch-Tubiana et al. 2005; Wang et al. 2005; Majores et al. 2007; Shakur et al. 2009) (Fig. 5). Fig. 4 MRI after surgery of an ‘‘oligodendroglioma’’ in 1991. Posteriorly to the surgical defect, there is a 28 x 12 mm cystic lesion with slightly higher signal intensity than CSF on T1- weighted images (a, c, e). Diagnostic hallmark are tiny cysts within the DNT, which are best appreciated on high- resolution T2-weighted images (b: arrows). Larger cysts are hypointense on FLAIR-images (d: arrow) 114 H. Urbach
  • 117.
    5 Pilocytic Astrocytoma 5.1Epidemiology Pilocytic astrocytomas are a rather rare cause of drug- resistant epilepsy, but the most common brain tumor in infants. More than 75% manifest in children and ado- lescents, with a peak incidence between 8 and 13 years. Pilocytic astrocytomas of the cerebral hemispheres man- ifest at an older age than those of the more common location of the cerebellum, optic nerve and chiasm, and brainstem. Among those, the mesial temporal lobe is a classical location. 5.2 Clinical Presentation Children and young adults with focal seizures without and with secondary generalization, # = $. Some patients pres- ent with signs of high intracranial pressure due to a space occuypying effect of large pilocytic astrocytoma. 5.3 Pathology Circumscribed astrocytic tumor with a biphasic pattern in which highly fibrillated pilocytic areas containing compact bipolar cells with Rosenthal fibers are interminged with loose-structured, microcystic tumor tissue and a mucinous Fig. 5 Two angiocentric gliomas (or ANETs) (a–c, d–f). These tumors are characterized by a rather posterior location, a lack of space- occuyping effect and distinct signal intensity differences between cortical and subcortical tissue. A ribbon-like cortical hyperintensity on unenhanced T1-weighted images is considered pathognomonic (f: arrow). However, as demonstrated in the upper example (a–c), it may be absent or difficult to detect (c: hollow arrow) Epilepsy Associated Tumors 115
  • 118.
    background. The tumorstroma is highly vascular with glomeruloid features and has a low MIB-1 index of around 1%. An admixture of ganglion cells is occasionally observed. However, if located in the mesial tempral lobe, a ganglioglioma is more likely since the glial component of a ganglioglioma can be pilocytic in appearance. 5.4 Imaging Pilocytic astrocytomas appear as cystic, round to oval lesions with a larger cystic and a smaller contrast enhancing tumor portion (Fig. 6). Cysts walls occasionally enhance. Pilocytic astrocytomas may spread through subarachnoid space in rare cases (although there a still WHO grade I tumors) (Fig. 7). They may be difficult to distinguish from gangliogliomas, however, pilocytic astrocytomas tend to be larger than gan- gliogliomas, especially with respect to the cystic portion. 6 Pleomorphic Xanthoastrocytoma 6.1 Epidemiology Rare, Epilepsy-associated astrocytic tumours with superfi- cial location in the cerebral hemispheres and involvement of the meninges. Fig. 6 Pilocytic astrocytoma WHO grade I: 17 year old woman with a single tonic-clonic seizure. MRI shows a three 3 cm large tumor with a large cyst, a solid, contrast enhancing tumor portion at the border of the cyst (a–d: arrow) and a perifocal oedema. The size of the cyst, a single seizure, and perifocal oedema are in favor against a ganglioglioma and for a pilocytic astrocytoma. However, the superficial contrast enhancement fits to a pleomorphic xanthoastrocytoma (PXA) 116 H. Urbach
  • 119.
    Fig. 7 Pilocyticastrocytoma WHO grade I with leptomeningeal spread in a 15 year old (a, b) and a 38 olde man (c, d) with temporal lobe seizures 6.2 Clinical Presentation Typically children and young adults with focal seizures without and with secondary generalization, # = $. 2/3 of patients are younger than 20 years, however, PXAs also occur in adults. 6.3 Pathology Tumor with solid and cystic portions with multinucleated and lipidized giant cells and a reticulin-positive stroma. In most cases WHO grade II tumor. For tumors with significant mitotic activity (5 or more mitoses per 10 high power fields) the term PXA with anaplastic features is used. A significant portion of PXAs dedifferentiates to glioblastomas. It has been postulated that PXAs originate from subpial astrocytes. However, the demonstration of synaptophysin and neurofilament protein in some PXAs suggests neuronal differentiation and a more complex histogenesis. 6.4 Imaging A meningo-cerebral contrast enhancement on T1-weighted spin echo images reflecting the extensive involvement of the subarachnoid space is characteristic (Fig. 8). Some Epilepsy Associated Tumors 117
  • 120.
    tumors have whitematter edema on T2-weighted and FLAIR images. Calcifications and a space-occupying effect are possible. 7 Diffuse Gliomas 7.1 Epidemiology Diffusely infiltrating, glial brain tumors cause epileptic seizures in 20–45% of patients. Typically, WHO grade II astrocytomas, WHO grade III (anaplastic) astrocytomas, WHO grade II oligodendrogliomas, WHO grade III (ana- plastic) oligodendrogliomas, and glioblastomas multiforme are distinguished. Tumor containing astrocytic and oligo- dendroglial elements are refered to as oligoastrocytomas. It has been hypothesized that so-called low grade or WHO II gliomas associated with epileptic seizures carry a better prognosis with respect to the recurrence free interval and overall survival time. However, many of these tumors are located in the temporal lobe and are likely detected at a comparable earlier point of time: While the mean age of presentation of low grade astrocytomas is 39 years of age (Okamato et al. 2004), it is under 30 in patients with drug- resistant epilepsies (Luyken et al. 2003). And, at least in the Bonn series, a significant proportion of tumors was—by means of MRI and later confirmed with CD34 immunohis- tochemistry-gangliogliomas and DNTs (Luyken et al. 2003). Fig. 8 Small pleomorphic xanthosatrocytoma WHO grade II of the posterior part of the left parahippocampal gyrus. The cortical/subcortical lesion is hyperintense on FLAIR sequences (a, d) and shows superficial contrast enhancement on T1-weighted sequences (b, c, e). Although it is not possible to fully distinguish it from a ganglioglioma, superficial so called meningo-cerebral contrast enhancement (b, c, e: arrow) is suggestive for a pleomorphic xanthosatrocytoma 118 H. Urbach
  • 121.
    7.2 Pathogenesis The underlyingpathophysiology of seizures secondary to brain tumors is poorly understood. A variety of hypotheses have been proposed, including altered neuronal regulation and connections, deranged vascular permeability, abnormal BBB, and impaired glial cell function. The tumor itself may be the seizure focus, or the tumor may cause sec- ondary perilesional tissue alterations such as growth, inflammation, edema, or necrosis, thereby triggering sei- zure activity. Oligodendrogliomas are more prone to cause epileptic seizures than astrocytomas, which is likely due to the typ- ically broad-based cortical involvement (Fig. 11). Fig. 9 WHO grade II astrocytoma in a 42 year old male with complex-focal seizures since seven years. The right parahippocampal gyrus is enlarged and shows a relatively homogenous signal increase (a, b, c). Contrast enhancement is absent (c) and FLAIR images show the tumor infiltrating the hippocampus (a, d: arrow) Fig. 10 ‘‘Multifocal’’ WHO grade II astrocytoma in a 52 year old woman with complex focal and secondarily generalized tonic-clonic seizures. There is a tendency of some astrocytomas to ‘‘grow’’ within the limbic system with a frequent involvement of the posterior thalamus (a, c white arrows) and the insula (a, c: short white arrows). Note left-prominent infiltration of both hippocampi (b: hollow arrows) and of the isthmus of the cingulate gyrus (a: hollow arrows) Epilepsy Associated Tumors 119
  • 122.
    A significant numberof diffusely infiltrating astrocyto- mas grows within or is ‘‘multifocal’’ in the limbic system, it may be defined as gliomatosis cerebri (Fig. 10). 7.3 Clinical Presentation Epileptic seizures due to brain tumors typically manifest as focal seizures with secondary generalization and are com- monly refractory to antiepileptic drug treatment. Compared to diffuse gliomas without epileptic seizures patients are younger and gliomas are more often located in the temporal lobe. 7.4 Imaging Diffusely infiltrating astrocytomas are characterized by a hyperintense space occuyping white matter lesion on FLAIR and T2-weighted images (Fig. 9). Although the lesion may appear well demarcated on MRI, tumor cells are found beyond the abnormal signal intensity. Tumor inho- mogeneity and contrast enhancement are considered to indicate dedifferentiation or malignant progression to a WHO grade III (anaplastic) astrocytoma. Oligodendrogliomas typically involve the cortex and the subcortical white matter. They are more inhomogenous as compared to astrocytomas; inhomogeneity is caused by typically clumped calcifications, cystic changes and blood products. Additional unenhanced CT is often helpful to illustrate calcifications (Fig. 11). 8 Epidermoid 8.1 Epidemiology Developmental lesion without dermal appendages. 10–15% of epidermoids are found in a parasellar, middle cranial fossa location, where they tend to cause temporal lobe seizures. 8.2 Clinical Presentation Despite their congenital nature, they occur at any age with a peak age around 40, # = $. 8.3 Pathology Epidermoids are generally well-demarcated encapsulated lesion with a mother-of-pearl sheen. The outer surface is smooth, nodular or lobulated. Within the subarachnoid space they tend to creep into clefts and fissures and to engulf blood vessels and nervs. Fig. 11 Oligodendoglioma WHO grade III in a 43 year old woman with three complex focal seizures. The tumor is somewhat inhomog- enous (a) and shows no contrast enhancement (b). The broad cortical infiltration (a: arrows) and clumpy calcifications—as highlighted with CT (c: arrow)—suggest the diagnosis oligodendroglioma or oligoastrocytoma 120 H. Urbach
  • 123.
    8.4 Imaging Extraaxial space-occupyingoff-midline lesion expanding the subarachnoid space. Signal intensity is close to CSF in all sequences except DWI, in which epidermoids are dis- tinctly hyperintense. High resolution MRI enables to visu- alize the cauliflower-like structure within the subarachnoid space (Fig. 12). 9 Dermoid 9.1 Epidemiology Developmental lesions which are distinctly rarer than epidermoids. 9.2 Clinical Presentation # [ $. Headaches and seizures (20% of cases) are common symptoms. 9.3 Imaging The diagnostic clue is to elaborate the fat component of the typically well delinated cystic lesions as indicated by T1-hyperintensity, CT hypodensity, signal loss on fat- suppressed sequences and chemical shift artifacts. Calcifi- cations are found in 20% of cases. Small dermoid droplets in CSF indicated rupture of dermoid cysts and should be carefully searched for (Fig. 13). Fig. 12 Epidermoid of a 26 year old patient with temporal lobe seizures. The lesion is nearly isointense to CSF on T2-weighted (a), FLAIR (b), and T1-weighted sequences (c), but is distinctly hyperintense on DWI (f). The extraaxial location of the epidermoid is derived from the widening of the choroidal fissurre (d, e: arrow) Epilepsy Associated Tumors 121
  • 124.
    References Bien CG, RaabeAL, Schramm J, Becker AJ, Urbach H, Elger CE (2013) Trends in presurgical evaluation and surgical treatment of epilepsy at one centre from 1988 to 2009. J Neurol Neurosurg Psychiatry, Jan 84(1):54–61. doi:10.1136/jnnp-2011-301763 Blümcke I, Wiestler OD (2002) Gangliogliomas: an intriguing tumor entity associated with focal epilepsies. J Neuropathol Exp Neurol 61:575–584 Blümcke I, Giencke K, Wardelmann E et al (1999) The CD34 epitope is expressed in neoplastic and malformative lesions associated with chronic, focal epilepsies. Acta Neuropathol 97:481–490 Campos AR, Clusmann H, von Lehe M, Niehusmann P, Becker AJ, Schramm J, Urbach H (2009) Simple and complex dysembryo- plastic neuroepithelial tumors (DNT): clinical profile MRI and histopathology. Neuroradiology 51:433–443 Daumas-Duport C, Scheithauer BW, Chodkiewicz JP, Laws ER Jr, Vedrenne C (1988) Dysembryoplastic neuroepithelial tumor: a surgically curable tumor of young patients with intractable partial seizures. Report of 39 cases. Neurosurgery 23:545–556 Daumas-Duport C, Pietsch T, Lantos PL (2000) Dysembryoplastic neuroepithelial tumour. In: Kleihues P, Cavenee K(eds) Pathology and genetic of tumours of the nervous system. IARC press, Lyon Lellouch-Tubiana A, Boddaert N, Bourgeois M, Fohlen M, Jouvet A, Delalande O, Seidenwurm D, Brunelle F, Saint-Rose C (2005) Angiocentric neuroepithelial tumor (ANET): a new Epilepsy- related clinicopathological entity with distinctive MRI. Brain Pathol 15:281–286 Louis DN, Ohgaki H, Wiestler OD, Cavenee WK, Burger PC, Jouvet A, Scheithauer BW, Kleihues P (2007) The 2007 WHO classification of tumours of the central nervous system. Acta Neuropathol 114:97–109 Luyken C, Blümcke I, Fimmers R, Urbach H, Wiestler OD, Schramm J (2003) The spectrum of long-term epilepsy associated Fig. 13 A 30 year old woman (a–c) and a 36 year old man (d–f) suffered from drug-resistant seizured difficult to localize. MRI showed frontobasal ‘‘midline’’ dermoids, which are hyperintense on T1-weighted (a, c, d, e), T2-weighted (f) and Diffusion-weighted images (b). Note dermoid droplets in the subarachnoid space (e: arrows) and chemical shift artefact (f). The chemical shift artetfact is caused by different resonance frequencies of hydrogene nuclei bound to fat and water molecules.The dermoid contains fat-bound hydrogen nuclei and is displaced in the frequency-encoding direction with a low signal band anteriorly and a high-signal band posteriorly (f: arrows) 122 H. Urbach
  • 125.
    tumors: long-term seizureand tumor outcome and neurosurgical aspects. Epilepsia 44:822–830 Luyken C, Blümcke I, Fimmers R, Urbach H, Wiestler OD, Schramm J (2004) Supratentorial gangliogliomas. Histopatholo- gical grading and tumor recurrence in 184 patients with a median follow-up of eight years. Cancer 101:146–155 Majores M, Niehusmann P, von Lehe M, Blümcke I, Urbach H (2007) Angiocentric neuroepithelial tumour mimicking Ammon’s horn sclerosis. Clin Neuropathol 26:311–316 Majores M, von Lehe M, Fassunke J, Schramm J, Becker AJ, Simon M (2008) Tumor recurrence and malignant progression of ganglio- gliomas. Cancer 113:3355–3363 Okamoto Y, Di Patre PL, Burkhard C, Horstmann S, Jourde B, Fahey M, Schüler D, Probst-Hensch NM, Yasargil MG, Yonekawa Y, Lütolf UM, Kleihues P, Ohgaki H (2004) Population-based study on incidence, survival rates, and genetic alterations of low-grade diffuse astrocytomas and oligodendrogliomas. Acta Neuropathol 108(1):49–56 Perkins OC (1926) Gangliogliomas. Arch Pathol Lab Med 2:11–17 Provenzale JM, Ali U, Barboriak DP, Kallmes DF, Delong DM, McLendon RE (2000) Comparison of patient age with MR imaging features of gangliogliomas. Am J Roentgenol 174:859–862 Rumana CS, Valadka AB, Contant CF (1999) Prognostic factors in supratentorial ganglioglioma. Acta Neurochir (Wien) 141:63–69 Shakur SF, McGirt MJ, Johnson MW, Burger PC, Ahn E, Carson BS, Jallo GI (2009) Angiocentric glioma: a case series. J Neurosurg Pediatr 3:197–202 Wang M, Tijan T, Rojiani AM, Bodhireddy SR, Prayson RA, Iacuone JJ, Alles AJ, Donahue DJ, Hessler RB, Kim JH, Haas M, Rosenblum MK, Burger PC (2005) Monomorphous angiocentric glioma: a distinctive epileptogenic neoplasm with features of infiltrating astrocytoma and ependymoma. J Neuropa- thol Exp Neurol 64:875–881 Zentner J, Wolf HK, Ostertun B, Hufnagel A, Campos MG, Solymosi L, Schramm J (1994) Gangliogliomas: clinical, radio- logical and histopathological findings in 51 patients. J Neurol Neurosurg Psychiatry 57:1497–1502 Epilepsy Associated Tumors 123
  • 126.
    Malformations of CorticalDevelopment Horst Urbach and Susanne Greschus Contents 1 Microcephalies.......................................................................... 126 1.1 Definition ................................................................................... 126 1.2 Epidemiology............................................................................. 126 1.3 Pathogenesis............................................................................... 126 1.4 Clinical Presentation.................................................................. 129 1.5 Imaging ...................................................................................... 130 2 Lissencephaly Type 1, Subcortical Band Heterotopia ......... 131 2.1 Definition ................................................................................... 131 2.2 Pathogenesis and Pathology...................................................... 131 2.3 Clinical Presentation.................................................................. 132 2.4 Imaging ...................................................................................... 133 3 Cobblestone Lissencephaly, Congenital Muscular Dystrophies ............................................................................... 134 3.1 Definition ................................................................................... 134 3.2 Walker–Warburg Syndrome...................................................... 137 4 Focal Cortical Dysplasias........................................................ 138 4.1 Definition ................................................................................... 138 5 Mild Cortical Malformations and Focal Cortical Dysplasias Type 1 .................................................................... 139 5.1 Definition ................................................................................... 139 5.2 Epidemiology............................................................................. 139 5.3 Pathogenesis and Pathology...................................................... 139 5.4 Imaging ...................................................................................... 139 6 Focal Cortical Dysplasia Type 2A......................................... 139 6.1 Definition ................................................................................... 139 6.2 Epidemiology............................................................................. 139 6.3 Pathogenesis and Pathology...................................................... 139 6.4 Clinical Presentation.................................................................. 139 6.5 Imaging ...................................................................................... 139 7 Focal Cortical Dysplasia Type 2B ......................................... 140 7.1 Definition ................................................................................... 140 7.2 Epidemiology............................................................................. 140 7.3 Pathogenesis and Pathology...................................................... 141 7.4 Clinical Presentation.................................................................. 141 7.5 Imaging ...................................................................................... 141 8 Hemimegalencephaly............................................................... 141 8.1 Epidemiology............................................................................. 141 8.2 Pathogenesis and Pathology...................................................... 145 8.3 Clinical Presentation.................................................................. 145 8.4 Imaging ...................................................................................... 145 9 Heterotopia ............................................................................... 145 9.1 Definition ................................................................................... 145 9.2 Epidemiology............................................................................. 145 9.3 Pathogenesis............................................................................... 145 9.4 Clinical Presentation.................................................................. 145 9.5 Imaging ...................................................................................... 147 10 Polymicrogyria and Schizencephaly...................................... 149 10.1 Epidemiology............................................................................. 149 10.2 Pathogenesis............................................................................... 149 10.3 Clinical Presentation.................................................................. 150 10.4 Pathology ................................................................................... 151 10.5 Imaging ...................................................................................... 151 11 Aicardi Syndrome.................................................................... 151 11.1 Epidemiology............................................................................. 151 11.2 Pathogenesis and Pathology...................................................... 151 11.3 Clinical Presentation.................................................................. 151 11.4 Imaging ...................................................................................... 151 12 Tuber Cinereum and Hypothalamic Hamartomas ............. 152 12.1 Epidemiology............................................................................. 152 12.2 Clinical Presentation.................................................................. 152 12.3 Pathology ................................................................................... 153 12.4 Imaging ...................................................................................... 153 13 Anomalies of the Ventral Prosencephalon Development ............................................................................. 154 13.1 Holoprosencephalies.................................................................. 154 13.2 Septo-Optic Dysplasia (De Morsier Syndrome)....................... 158 13.3 Kallmann Syndrome.................................................................. 160 13.4 Shapiro Syndrome ..................................................................... 160 References...................................................................................... 160 Abstract Malformations of cortical development are arranged in different ways. Recently, the ILAE published a consen- sus classification incorporating pathological, imaging, and genetic findings (Blümcke et al. 2011). Some lesions H. Urbach (&) Department of Neuroradiology, University Hospital Freiburg, Germany e-mail: horst.urbach@uniklinik-freiburg.de S. Greschus Deptartment of Radiology/Neuroradiology, University of Bonn, Bonn, Germany H. Urbach (ed.), MRI in Epilepsy, Medical Radiology. Diagnostic Imaging, DOI: 10.1007/174_2012_749, Ó Springer-Verlag Berlin Heidelberg 2013 125
  • 127.
    (namely FCD 2B)from this classification are clearly visible on MRI and pathologically classified with a high concordance between different pathologists. If they are fully resected, seizure freedom rate is [ 80 %. Other lesions (namely FCD 1) are more difficult to detect or ‘‘unvisible’’ even with voxel-based MRI analyses and harbored with a high interrater-variability between different pathologists. Chance of postsurgical seizure freedom is distinctly50 %. A patient will likely benefit from surgery if a distinct MRI lesion is found under- lining the importance of high-quality MRI acquisition and interpretation. Definition. Cortical development can be disturbed at dif- ferent time points and due to different causes. Resulting lesions are summarized under the umbrella term malfor- mations of cortical development (MCD). The term cortical dysplasia refers to a MCD subtype, where the abnormality is strictly or largely intracortical (Palmini et al. 2004). Depending on whether MCD are arranged from a genetic and imaging (Table 1) or a histopathological (Table 2) perspective, different classifications result. Development of the Cerebral Cortex: The exact mecha- nisms of cortical development are still being elucidated; a simplified description is as follows. Between week 4 and 6 of gestation neurons deriving from the epithelium of the neural tube start to proliferate in the medial and caudal ganglionic eminences, and the dorsal (pallial) ventricular zone (Bar- kovich et al. 2012). After their final mitotic division they dislocate from other elements in the ventricular zone and migrate tangentially (from the medial ganglionic eminences) or radially (from the dorsal ventricular zone), the latter along radial glial fibers with close apposition to their membrane surfaces. Migration in the human brain begins around the sixth gestational week and tapers down by midgestation. Full radial glial fibers span the distance from the ventricular zone to the later cortical plate as shown by glial fiber acid protein (GFAP) staining at week 12 of gestation (Friede 1989). After the migration of cortical neurons has been completed, radial glial scaffolding disappears as some of these glial cells degenerate, and others re-enter the mitotic cycle and trans- form into astrocytes (Rakic 1988). Initially, at week 6–8 of gestation, a three-layered struc- ture with a ventricular zone, an intermediate zone, and a marginal zone is visible. At week 10–11 of gestation a transient structure, the preplate, splits into an inner portion designated as the subplate, and an outer portion, the cortical plate. The subplate eventually disappears by term birth. The cortical plate transforms into the cortex in this way, that— with the exception of layer I—later migrating neurons bypass previously migrated neurons and settle in peripheral cortical layers (inside–outside pattern). Finally, a six-layered cortex is created with the outer layer I representing the molecular layer, and inner cortex layers II–VI developing from the former preplate. 1 Microcephalies 1.1 Definition A head is microcephalic when the occipital-frontal cir- cumference is2 standard deviations than the mean for age and gender. If it is3 standard deviations, it may be called extreme microcephaly (Ashwal et al. 2009). Microcephaly is often associated with a simplified gyral pattern and a reduced depth of the sulci. The cortex can be of normal thickness or thicker than normal. If the gyral pattern is simplified and the cortex is thicker than normal, micro- cephaly may be referred to as microlissencephaly (Barko- vich et al. 1996, 1998; Dobyns and Barkovich 1999; Ashwal et al. 2009; Adachi et al. 2011) (Fig. 1). 1.2 Epidemiology The incidence of microcephaly is around 1 % and of extreme microcephaly around 0.1 % in the general popu- lation (Ashwal et al. 2009). 1.3 Pathogenesis Microcephalies and microlissencephalies can be isolated or part of a syndrome. Syndromic microcephalies comprise among others trisomy 21, 13, 18, Angelman syndrome, Rett syndrome, MEHMO syndrome, Mowat–Wison syndrome, 4p deletion (Wolf–Hirschhorn), 5p deletion (cri-du-chat), 7q11.23 deletion (Williams), 22q11 deletion (velocardio- facial), Cornelia de Lange, Smith–Lemli–Opitz, and Seckel syndrome (Ashwal et al. 2009) (Figs. 2, 3, 4). Microcephalies can be divided into primary and second- ary forms. Primary microcephalies have a known or pre- sumed genetic cause resulting in a reduced neuronal and glial cell proliferation or an increased apoptosis (Shen et al. 2010). The Online Mendelian Inheritance in Man (OMIM) database lists more than 500 genetic syndromes associated with mi- crocephalies (http://www.ncbi.nlm.nih.gov/omim), some of the more common primary microcephalies are mentioned here: autosomal-recessive microcephalies in patients with a normal or slightly short status and only mild developmental delay comprise mutations of the MCPH1 gene (Jackson 2002), of the ASPM gene on chromosome 1q31 (Bond et al. 2002, 2003), of the CDK5RAP2 gene on chromosome 9q34 126 H. Urbach and S. Greschus
  • 128.
    Table 1 Imagingand genetic classification according to Barkovich [modified from Barkovich et al. (2012), with permission] Disturbance of neuronal and glial proliferation or apoptosis 1. Congenital microcephaly (premigrational proliferation ;/apoptosis :) (a) Microcephaly with severe intrauterine growth deficiency and short stature (b) Microcephaly with variable short stature (severe intrauterine growth deficiency to mildly short), moderate to severe (c) Microcephaly with mildly short stature or normal growth, mild to moderate developmental delay, normal to thin cortex, with or without simplified gyral pattern, with or without callosal hypogenesis, and with or without periventricular nodular heterotopia (d) Microcephaly with mildly short stature or normal growth, severe developmental delay, variable cortical development with simplified gyral pattern or cortical dysgenesis, and with or without callosal hypogenesis (e) Microcephaly with variable anomalies and less well characterized syndromes (with or without simplified gyral pattern, with or without callosal hypogenesis, and with or without cerebellar hypoplasia) (f) Microcephaly with severe developmental delay and evidence of degeneration, with or without simplified gyral pattern, with or without enlarged extra-axial spaces, with or without callosal hypogenesis, and with or without atypical cortical dysgenesis (g) Microcephaly with lissencephaly (cortex thick or relatively thick, smooth gray–white matter border) (h) Microcephaly with brain volume loss and enlarged ventricles (hydrocephalus ex vacuo or hydranencephaly), with or without cortical dysgenesis, and with or without callosal hypogenesis 2. Megalencephaly (a) Megalencephaly with normal cortex (or presumed normal cortex) (b) Megalencephaly with periventricular nodular heterotopia (c) Megalencephaly with polymicrogyria and other cortical dysgenesis 3. Malformations due to abnormal cell proliferation (a) Cortical hamartomas of tuberous sclerosis complex (TSC) (b) Focal cortical dysplasia (FCD) with balloon cells (c) Hemimegalencephaly Disturbance of neuronal migration 1. Malformations with neuroependymal abnormalities: Periventricular heterotopia (a) Anterior predominant and diffuse periventricular nodular heterotopia (b) Posterior predominant (temporal-trigonal or infrasylvian) periventricular nodular heterotopia (c) Periventricular heterotopia, not nodular (uni- or bilateral) 2. Malformations due to generalized abnormal transmantle migration (radial and nonradial) (a) Anterior predominant or diffuse classic (four-layered) lissencephaly and subcortical band heterotopia (b) Posterior predominant or diffuse classic (four-layered) and two- layered (without cell sparse zone) lissencephaly and subcortical band heterotopia (c) X-linked lissencephaly (three-layered, without cell sparse zone) with callosal agenesis, ambiguous genitalia (d) Reelin-type lissencephaly (inverted cortical lamination, without cell sparse zone) (e) Variant lissencephaly 3. Malformations presumably due to localized abnormal late radial or tangential transmantle migration (a) Subcortical heterotopia (clinically defined with unknown cause) (b) Sublobar dysplasia (clinically defined with unknown cause) 4. Malformations due to abnormal terminal migration and defects in pial limiting membrane (a) Dystroglycan-laminin complex abnormalities with cobblestone malformation complex, with or without congenital muscular dystrophy (Walker–Warburg syndrome, muscle–eye–brain disease, Fukuyama congenital muscular dystrophy, congenital muscular dystrophy with cerebellar hypoplasia) (b) Cobblestone malformations in congenital disorders of glycolysation (c) Cobblestone malformations with no known glycolysation defect (d) Other syndromes with cortical dysgenesis and marginal glioneuronal heterotopia, but with normal cell types (continued) Malformations of Cortical Development 127
  • 129.
    Table 1 (continued) Disturbanceof neuronal and glial proliferation or apoptosis Disturbance of cortical organization 1. Malformations with polymicrogyria or cortical malformations resembling polymicrogyria (a) Polymicrogyria with transmantle clefts (schizencephaly) or calcification (b) Polymicrogyria without transmantle clefts or calcification, classified by location (c) Syndromes with polymicrogyria 2. Cortical dysgenesis secondary to inborn errors of metabolism (a) Mitochondrial and pyruvate metabolic disorders (b) Peroxisomal disorders 3. Focal cortical dysplasia (FCD) without dysmorphic neurons, due to late developmental disturbances 4. Postmigrational developmental microcephaly (birth occipito- frontal diameter (OFD)—3 SD or lower, later OFD-4 SD, no evidence of brain injury) Classification considers normal cortical development as separated into three overlapping steps and distinguishes malformations caused by disturbed neuronal/glial proliferation and apoptosis (Step 1), neuronal migration (Step 2), and cortical organization (Step 3). The classification scheme has been continuously updated, incorporating new genetic findings, and is considered to be a framework but not a finalized classification (Barkovich et al. 1996, 2001, 2005, 2012) Table 2 Neuropathologic classification according to Palmini and Lüders and Blümcke et al. [adapted from Palmini and Lüders (2002), Palmini et al. (2004), and Blümcke et al. (2011)] Palmini type Blümcke type Neuropathological description MRI Mild malformations of cortical development type 1 = ectopic neurons in or adjacent to cortical layer 1 Molecular layer neurons Persistent subpial granular layer Marginal glioneuronal heterotopia Normal Mild malformations of cortical development type 2 = neuronal heterotopia outside layer 1 Small aggregates of heterotopic white matter neurons Dysgenesis of the hippocampal formation Normal or Gray–white matter demarcation loss FCD type 1A, 1B = cytoarchitectural abnormalities without dysmorphic neurons or balloon cells FCD type 1a FCD type 1b FCD type 1c A: dyslamination only B: dyslamination and hypertrophic or immature neurons a: microcolumnar (vertical) dyslamination b: radial dyslamination c: vertical and radial dyslamination Normal (1/3 of cases) or Gray–white matter demarcation loss FCD type 2A, 2B = cytoarchitectural abnormalities with dysmorphic neurons or balloon cells FCD type 2A, 2B = cytoarchitectural abnormalities with dysmorphic neurons or balloon cells A: dysmorphic neurons B: dysmorphic neurons and balloon cells A: cortical thickening, abnormal depth of sulcus B: cortical thickening, abnormal depth of sulcus, subcortical funnel-shaped hyperintensity Classification considers histopathological cell types and cortical lamination. It distinguishes normal neurons in an abnormal location and distribution; hypertrophic, immature, and dysplastic neurons; as well as balloon cells. Recent ILAE classification introduces a Focal cortical dysplasia (FCD) type III, in which mild and FCD type I malformations are associated with hippocampal sclerosis (FCD IIIa), tumors (FCD IIIb), vascular malformations (FCD IIIc), or other principal lesions acquired during early life (FCD IIId) 128 H. Urbach and S. Greschus
  • 130.
    (Bond et al.2002, 2003; Pattison et al. 2000) and of the CENPJ gene on chromosome 13q12.2 (Bond et al. 2005). Autosomal-recessive microcephalies in severely impaired patients include Amish lethal microcephaly with a SLC25A19 mutation on chromosome 17q25.3 and 2-keto- glutaric aciduria (Rosenberg et al. 2002) and microcephaly with periventricular heterotopia and an ARGEF2 mutation on chromosome 20q13.13 (Sheen et al. 2004). Secondary microcephalies have a nongenetic cause and result from ante- and postnatal injuries affecting the fetus or infant’s normal brain growth. Typical nongenetic causes are maternal TORCH and HIV infections, hypoxic-ischemic encephalopathies, fetal alcohol syndrome, maternal radia- tion or toxin exposure, metabolic disorders, and nonacci- dental brain injuries. 1.4 Clinical Presentation Microcephalic newborns typically have severe neurological deficits and seizures. However, the clinical phenotype is variable and ranges from mild to severe developmental delay. In children with secondary microcephalies, the head can have a normal size at birth, but subsequently fails to grow whereas the face continues to develop, producing a child with a small head and a receding forehead. Development of motor functions and speech is delayed. Hyperactivity, mental retardation, and epileptic seizures are common. Motor ability varies, ranging from clumsiness in some to spastic quadriplegia in others. The overall prevalence of epileptic seizures in microce- phalic patients is around 40 %. Seizures are often refractory Fig. 1 Moderate microcephaly in a 11 year old boy with psycho- motor developmental delay (a–c) and extreme microcephaly in a 16 months year old girl with hypotonia at birth, abnormal neonatal reflexes, and myoclonic seizures starting in the first days of life (d–f). In the upper row, the head is too small, the brain has too little gyri, and the depth of the sulci is lower than normal. In the lower row, the head is far too small, the subarachnoid space is extremely widened, the cortex is thin, the depth of the sulci is distinctly lower than normal, and the brain stem and to a lesser degree the cerebellum are hypoplastic Malformations of Cortical Development 129
  • 131.
    to medical treatmentand more common in secondary than in primary forms (Ashwal et al. 2009). 1.5 Imaging A microcephalic head may be missed if the child is not inspected and the technician adapts the field of view to the child’s head size. However, considering the cranio–facial ratio and the ratios between hindbrain and forebrain on a midsagittal T1-weighted image should guide the MRI reader to the correct diagnosis. The cranio–facial ratio relates the size of the intracranial structures to the size of the face. The ratio is normally large at birth and slowly diminishes with increasing age. It is typically small in microcephalic patients. Hindbrain and forebrain structures can be propor- tional to each other, however, in many cases cerebellum and brain stem are disproportionally large (Adachi et al. 2011). The size of the forebrain correlates with (1) the gryal pattern: severe microcephalic brains typically have an extremely simplified gyral pattern (Adachi et al. 2011). It also correlates with (2) the white matter volume, and (3) associated callosal anomalies. In most patients, the corpus callosum is hypoplastic (thin, but all parts are formed); in Fig. 2 Patau syndrome (trisomy 13) in a 18 months old boy with generalized tonic-clonic seizures. The boy shows moderate micro- cephaly, the cortex is of normal thickness and the sulci are of normal depth. Note the disproportionate size of the posterior fossa (a, c–d: arrow, e–f), cerebellar dysplasia (c: thick arrow), hypogenetic corpus callosum, small ocular globes, malrotated hipoocampi, (e), and olfactory bulb hypoplasia (b: hollow arrow) 130 H. Urbach and S. Greschus
  • 132.
    some patients itis hypo- or agenetic. Heterotopia may be present or absent (Fig. 4). 2 Lissencephaly Type 1, Subcortical Band Heterotopia 2.1 Definition Lissencephaly means smooth brain (kirro1 = smooth); affected brains may be without convolutions (agyria) or with broad and shallow convolutions (pachygyria). Lissenceph- alies have been traditionally divided into two distinct forms: type 1 (also known as classic) lissencephalies and type 2 (also known as cobblestone) lissencephalies, the latter caused by defective protein glycolisation. Recent genetic and pathologic findings have questioned this two-tiered classification and suggest at least four different lissencephaly types (Barkovich et al. 2012; Forman et al. 2005). 2.2 Pathogenesis and Pathology Type I lissencephaly is a neuronal migration disorder with at least six causative genes (LIS1, DCX, RELN, ARX, TUBA1A, VLDLR) and one modifier gene (YWHAE) identified (Dobyns 2010). Moreover, intrauterine infections (particu- larly CMV) and toxins may cause type I lissencephaly. Recently, four distinct histopathological subtypes have been described (Forman et al. 2005): 1. Four-layered cortex consisting of an outermost molecu- lar layer (layer 1), a band of pyramidal neurons (layer 2), Fig. 3 A 2 year old girl presented with seizures since the age of 2 months. Mowat-Wilson syndrome, a complex developmental disor- der with microcephaly, mental retardation, distinct facial features, and with or without Hirschsprung disease was genetically proven. Micro- cephaly can be suspected considering the ratio between posterior fossa and supratentorial structures (a). However, complete corpus callosum agenesis is the most striking MRI finding (a–f). See the lateral callosal bundles of Probst as hypointense stripes on T2-weighted images running parallel to the interhemispheric fissure and indenting the medial walls of the lateral ventricles (e: arrows) Malformations of Cortical Development 131
  • 133.
    a sparsely cellularmyelinated layer (layer 3), and a broad band of disorganized neurons (layer 4) 2. Four-layered cortex similar to that in 1, but with a transition from the lissencephalic cortex to multiple nodules of subcortical heterotopia 3. Three-layered cortex without a hypomyelinated cell sparse zone 4. Two-layered cortex (Forman et al. 2005). These histopathological subytpes also differ from each other by the type and severity of posterior fossa abnor- malities (Forman et al. 2005; Jissendi-Tchofo et al. 2009) (Table 3). 2.3 Clinical Presentation Children with type 1 lissencephalies typically present with neurological deficits in the first weeks or months consisting of poor feeding, hypotonia, and abnormal arching behavior or opisthotonus (Dobyns 2010). Nearly all have onset of seizures during the first year of life, often consisting of infantile spasms, Lennox–Gastaut syndrome, and others. Apart from epilepsy, major medical problems result from feeding problems including gastroesophageal reflux and recurrent aspiration and pneumonia (Dobyns 2010). Isolated lissencephaly (ILS) occurs in patients with mutations of the LIS1, DCX, or TUBA1A genes. Onset of epilepsy is usually between 3 and 12 months, but may be later. Mortality exceeds 50 % by 10 years and few children live longer than 20 years (Dobyns 2010). Children with Miller–Dieker syndrome (chromosome 17p13(.3) deletions affecting LIS1 and several adjacent genes), most types of LIS with cerebellar hypoplasia (LCH), or X-linked lissencephaly with abnormal genitalia (XLAG) have an even more severe course and higher mortality rate (Ross et al. 2001). Fig. 4 A 20 year old boy with microcephaly, micrognathy, and short status suggestive of a Seckel syndrome suffered from complex focal and generalized seizures since the age of 10. Note that microcephaly is best visible on sagittal images considering the relative sizes of the face and the brain (a–c). This boy also showed bilateral periventricular nodular heterotopia (d–f: arrows) 132 H. Urbach and S. Greschus
  • 134.
    Lissencephaly occurs inmales with mutations of the X- linked gene Doublecortin (DCX) whereas hemizygous females with the same mutations exhibit subcortical band heterotopia (SBH) with a rather normal cortical surface and an additional subcortical gray matter band. Although males with DCX mutations are usually severely disabled, females with SBH show variable intellectual abnormalities and epileptic seizures correlating with the thickness of the subcortical band. However, less severe (mosaic or mis- sense) mutations of the LIS1 or the DCX gene can cause SBH even in males (Sicca et al. 2003; Tampieri et al. 1993; Pilz et al. 1998, 1999). In around 50 % of mostly female patients who have drug-resistant seizures, some intellectual impairment, and different grades of pachygyria on MRI, the underlying genetic defect is never clarified (Fig. 6). 2.4 Imaging On MRI, the brain surface appears smooth with areas of absent (agyria) and abnormally wide gyri (pachygyria). The cortex is abnormally thick (Fig. 5). Common associ- ated malformations include rounded hippocampi, enlarged posterior portions of the lateral ventricles, flat anterior portion of the corpus callosum, and very variable hypo- plasia of the cerebellum, especially the midline vermis (Dobyns 2010). Table 3 Involved genes, type 1 lissencephaly subtypes, characteristic MRI and neuropathological features Gene mutation Lissencephaly type 1 subtype MRI Neuropathology LIS1 Isolated lissencephaly (ILIS) Agyria/pachygyria in parietal and occipital [ frontal lobes Cell sparse zone between a thin outer layer cortex and a thick inner layer of gray matter Four-layered cortex, predominantly posterior, normal three-layered cerebellar cortex, normal to small pons 17p13.3 deletions ? LIS1 ? other genes Miller–Dieker syndrome (severe lissencephaly ? facial features) s.a. s.a. Xq22.3-q23 ? DCX – in #: ILIS – in $: SBH Frontal [ parietal and occipital lobes Cell sparse zone between a thin outer layer cortex and a thick inner layer of gray matter Four-layered cortex, predominantly anterior, transition from the lissencephalic cortex to multiple nodules of subcortical heterotopia, normal three-layered cerebellar cortex, normal to small pons TUBA1A – ILIS – Lissencephaly with cerebellar hypoplasia ± corpus callosum agenesis (LCH ± CCA) – LIS-CCA ILIS: Parietal and occipital [ frontal lobes LCH ± CCA: posterior frontal, parietal, and occipital [ anterior frontal lobes LIS-CCA: posterior frontal lobes No horizontal or radial organization RELN, VLDLR lissencephaly with cerebellar hyoplasia (LCH) mild frontal Mild frontal accentuation Decreased hippocampal rotation No cell sparse zone Dysorganized cortex (cortex layers 1-6-5-4-3-2) ARX X-linked lissencephaly with abnormal genitalia (XLAG) Posterior agyria, CCA Small dysplastic basal ganglia Three-layered cortex, small pons No known genetic defect Two-layered cortex Brainstem and cerebellar abnormalities (disorganization, white matter heterotopia, hypoplasia) CCA corpus callosum agenesis Malformations of Cortical Development 133
  • 135.
    In SBH, thebrain surface appears superficially normal, except that the sulci between gyri are shallow, and the cortex is normal and not thick (Barkovich et al. 1994; Dobyns et al. 1996). Just beneath the cortex, often separated from it by just a few millimeters of white matter, lies a smooth band of neurons that never reached the true cortex. This band has a variable thickness and thin bands are easily overlooked but highlighted by voxel-based morphometric analysis (Fig. 7) (Huppertz et al. 2008). The spectrum of LIS and SBH varies from complete or nearly complete absence of cerebral convolutions or agyria (grades 1 and 2) to abnormally wide convolutions or pachygyria (grade 4) to normal convolutions separated by shallow sulci overlying SBH (grade 6). Intermediate grades consist of mixed agyria–pachygyria (grade 3) and mixed pachygyria–SBH (grade 5) (Dobyns 2010). Paucity of cerebral gyri often shows a gradient, which is useful in determining the most likely genetic cause. If lis- sencephaly and SBH are pronounced in the anterior frontal lobes, a DCX mutation should be considered. More severe changes in the parietal and occipital lobes point to LIS1 or TUB1A mutations. Lissencephaly with cerebellar hypopla- sia point to RELN and VLDLR mutations, if pronounced in the frontal lobes, and to TUB1A mutations, if pronounced in the posterior frontal lobes, perisylvian, or parietal and occipital lobes, repectively. Lissencephaly with corpus callosum agenesis point to ARX mutations if agyria or pachygyria is pronounced in the temporal and posterior brain regions. Most lissencephalies have a genetic cause, however, periventricular and subcortical calcifications suggest an infectious (particularly CMV) cause (Figs. 5-7). 3 Cobblestone Lissencephaly, Congenital Muscular Dystrophies 3.1 Definition Congenital muscular dystrophy syndromes or so-called dystroglycanopathies represent a heterogeneous group of congenital diseases affecting the muscles and frequently the brain and eyes, which are characterized by defective protein glycolization. Protein glycolization is a complex mechanism, in which sugars (glycans) are attached to proteins modulating their stability, conformity, and function (Barkovich et al. 2005). For example, in the developing brain radial glial cells have end feet attached to the pial basement membrane, and defective basement membrane formation results in cobble- stone lissencephaly with neurons migrating too far (e.g., neurons destinated for cortex layers II and III migrate and populate the marginal zone) (Clement et al. 2008). The clinical spectrum comprises severe [Walker–Warburg syndrome (WWS), Fukuyama congenital muscular dystro- phy, muscle–eye–brain disease] and milder forms with or without brain involvement (congenital muscular dystrophy CMD, merosin-deficient congenital muscular dystrophy, merosin-positive congenital muscular dystrophy C1C, merosin-positive congenital muscular dystrophy C1D, limb girdle muscular dystrophies LGMD2I, LGMD2K, LGMD2L, LGMD2M). Several mutations in genes encoding for proteins of the dystrophin glycoprotein complex have been found (protein-O-mannosyl transferase 1 POMT1, OMIM 607423; protein-O-mannosyl transferase 2 POMT2, OMIM 607439; protein-O-mannose 1,2-N-acetylglucosaminyltransferase1 Fig. 5 Type I lissencephaly with ‘‘posterior’’ accentuation suggesting a LIS1 gene mutation. This 17 months year old girl showed global developmental delay and suffered from generalized seizures since the age of 8 months 134 H. Urbach and S. Greschus
  • 136.
    Fig. 6 Pachygyriain a 30 year old woman with epileptic seizures since the age of 7. Note the rather broad and shallow convolutions on sagittal (a), coronal (b), and axial (c) 1 mm thick reformations, on a planar surface view (d), and—more difficult to see—on a coronal 3 mm thick FLAIR slice (e). In this example, paucity of gyri becomes more obvious if the images are compared to those of a healthy person (f, g) Malformations of Cortical Development 135
  • 137.
    Fig. 7 Subcorticalband heterotopia in a 21 year old woman (a–c), in a 13 year old girl (d–f), and a 31 year old man (g–i). Note the different thickness of the subcortical bands (arrows). In the lower example, subtle stripes in the parietal lobes are only visible on 1 mm thick T1-weighted gradient echo images (h, i) 136 H. Urbach and S. Greschus
  • 138.
    POMGnT1, OMIM 606822;Fukutin, OMIM 607440; Fukutin-related protein FKRP, OMIM 606596; LARGE, OMIM 603590). MRI may show different grades of brain involvement, but it is not suited to differentiate between dif- ferent clinical and genetic diseases. 3.2 Walker–Warburg Syndrome 3.2.1 Epidemiology This is the most severe congenital muscular dystrophy syndrome. Symptoms and signs are already present at birth, children often die within the first 12 months and rarely live longer than 5 years. 3.2.2 Pathogenesis Autosomal-recessive inheritance and mutations of the POMT1 gene on chromsosome 9q34.1 encoding for the enzyme O-methyltransferase 1 of the dystrophin glycopro- tein complex are found in 20 % of cases. 3.2.3 Clinical Presentation This includes profound muscular hypotonia at birth (‘‘floppy newborn’’), epileptic seizures, and anterior (cata- racts, shallow anterior chamber, microcornea, microph- thalmia, lens defects) and posterior eye anomalies (retinal detachment or dysplasia, hypoplasia or atrophy of the optic nerve and macula and coloboma). Glaucoma or buphthal- mos may be present, as well as small genitalia in boys, and occasionally cleft lip and palate. Fig. 8 Cobblestone (type II) lissencephaly in a male new born of consanguine parents with Walker-Warburg syndrome due to POMT1 mutation (a–d) and a female with unknown gene defect who died within 36 hours after spontaneous delivery (e, f). The brain pallium is thin and the surface smooth. A bumpy surface due to overmigrating neurons, which do not stop at the pial basement membrane cannot be resolved macroscopically, (d, e), however the gray–white matter interface appears bumpy (d: arrow). Note other characteristic features like Z-form of the hypoplastic brain stem (c, f), fused inferior and superior colliculi (c: hollow arrow), parietal meningocele (f: hollow arrow), vermian dysgenesis, hyperintense white matter, and hydrocephalus Malformations of Cortical Development 137
  • 139.
    3.2.4 Imaging Distinct hydrocephalusis shown. The brain surface is smooth; it is either agyric or contains only some broad and shallow gyri. The brain parenchyma consists of a thin band of bumpy gray and hypomyelinated and thus hyperintense white matter. The bumpy surface is explained with the fact that migrating neurons do not stop at the pial basement membrane but migrate too far (cobblestone or type II lissencephaly). Brain segments may also show polymicrogyria. The corpus callosum is thin and extended, inferior and superior colliculi are fused, and the brainstem is hypoplastic with a kinking between the pons and mes- encephalon (Z-form). The posterior fossa is small with a vermis dygenesis resembling a Dandy–Walker variant; in some cases there is a posterior meningo- or encephalocele (Fig. 8). 4 Focal Cortical Dysplasias 4.1 Definition Focal cortical dysplasias are largely or purely intracortical malformations, which are histopathologically divided into two types (Palmini and Lüders 2002; Palmini et al. 2004): FCDs type 1 are so called cytoarchitectural abnormalities without (type 1A according to Palmini) or with giant or immature neurons (type 1B according to Palmini), but without dysmorphic neurons or balloon cells. FCDs type 2 contain dysmorphic neurons (type 2A) or dysmorphic neurons and balloon cells (type 2B). Recently, Blümcke and the ILAE Diagnostic Methods Commission refined the histopathological classification of FCD type 1 (Blümcke et al. 2011). They now distinguish FCD type 1a with an altered vertical orientation of cortical neurons, FCD type 1b with an altered horizontal orienta- tion, and FCD type 1c with a combination of both fea- tures. The border with the subcortical white matter is usually less sharply demarcated due to an increased number of neurons. In addition, cellular abnormalities including immature neurons with a small diameter, hypertrophic pyramidal neurons outside layer 5 or normal neurons with disoriented dendrites can be encountered (Blümcke et al. 2011). From a histopathological perspective, balloon cells as the histopathological hallmark of FCD type 2B are easily to identify, whereas the discrimination between normal, immature, giant, and dysmorphic neurons as well as assessment of the cortical layering is more difficult. Balloon cells are large round cells with a diameter of 20–90 lm. They have an eccentric nucleus and a pale and eosinophilic cytoplasm in H&E stains (Fig. 2 in ‘‘Metallic Implants’’). Balloon cells are preferentially located in deeper cortical layers and the subcortical white matter, and reflected with additional hypomyelination as subcortical funnel-shaped FLAIR hyperintensity on MRI (Urbach et al. 2002). It is important to note that balloon cells are pluripotent brain cells with characteristics of both neuronal and glial lineage. They likely fail to differentiate into a specific cell type within the first trimester. Lesions containing balloon cells (FCD type 2B, hemimegalencephaly, tuberous sclerosis complex) are therefore considered as lesions due to dis- turbed neuronal/glial proliferation and apoptosis. Dysmorphic neurons are distinguished by giant or hypertrophic neurons due to their abnormal orientation. Giant or hypertrophic neurons have significantly larger cross-sectional areas than immature neurons, which are round or oval cells with a diameter of 10–12 lm and a thin rim of cytoplasm (Cepeda et al. 2003). In addition to FCDs, Palmini and coworkers described the category of mild MCD (mMCD) previously referred to as microdysgenesis or architectural dysplasias (Palmini and Lüders 2002; Palmini et al. 2004). mMCD type 1 include ectopic neurons placed in or adjacent to cortex layer 1, and mMCD type 2 ectopic neurons outside layer 1. However, ectopic neurons with variable morphology can be present in normal white matter, particularly in the temporal lobe. The critical issues are whether and which types of mMCD and FCD are reliably distinguished on neuropathological specimens and which types can be identified on MRI. There is some evidence that FCD type 2B and to a lesser degree FCD type 2A are concordantly identified by neuropatholo- gists whereas interobserver agreement is low for FCD type 1 and mMCD (Chamberlain et al. 2009). FCD type 2B are readily identified on MRI due to their funnel-shaped FLAIR hyperintensity, however, smaller lesions in the depth of a sulcus can be easily overlooked (Wagner et al. 2011a, b). FCD type 2A are more difficult to detect because the only abnormality may be an altered cortical thickness (Wagner et al. 2011a, b). mMCD and FCD type 1 are either MRI normal (around 1/3 of cases) (Tassi et al. 2010) or may show a reduced brain volume and/or an increased white matter signal approaching the gray matter signal on FLAIR and T2- weighted sequences. This pattern may be described as gray– white matter demarcation loss (Schijns et al. 2011). The pathological substrate of gray–white matter demarcation loss may be the increased number of subcortical white matter neurons or—as recently suggested—dishomogeneous staining of the white matter, reduction in the number of axons and axonal degeneration (Garbelli et al. 2012) is likely the increased number of subcortical white matter neurons. If gray–white matter demarcation loss is absent on MRI or if only cortical dyslamination is present on neuropathological specimens, FCD type 1 are likely missed on MRI. 138 H. Urbach and S. Greschus
  • 140.
    5 Mild CorticalMalformations and Focal Cortical Dysplasias Type 1 5.1 Definition This encompasses developmental or acquired malformation of cortical development affecting neocortical lamination. 5.2 Epidemiology The incidence is unknown inasmuch as MRI negative lesions may be missed and the relative frequencies depend on the age groups and vary among large epilepsy surgery centers (Fauser et al. 2006; Krsek et al. 2008, 2009a; Lerner et al. 2009; Tassi et al. 2010; Hildebrandt et al. 2005; Chamberlain et al. 2009). 5.3 Pathogenesis and Pathology FCD type 1A according to Blümcke and the ILAE com- mission is characterized by abundant microcolumnar orga- nization. A microcolumn is defined by more than eight neurons aligned in a vertical direction provided the section is cut perpendicular to the pial surface, a 4-lm thin paraffin embedded section and NeuN immunohistochemistry are used, and aligned neurons have a small diameter and cell size of 250 lm2 (Hildebrandt et al. 2005). However, mi- crocolumns can be also seen at lower frequency and with fewer neurons in nonepileptic brain samples, as well as in the vicinity of other epileptogenic lesions. FCD type 1B according to Blümcke and the ILAE commission is characterized by an abnormal tangential cortical lamination. No cortical layers (with the exception of layer 1) may be recognized or blurred demarcation between cortical layers exists. FCD type 1C comprises lesions with abnormal radial and tangential cortical lamination. In FCD type 1, the border towards white matter is usu- ally less sharply demarcated due to increased numbers of heterotopic neurons. Cellular abnormalities can be encountered in this variant, and include immature small diameter neurons or hypertrophic pyramidal neurons out- side layer 5 (Blümcke et al. 2011). 5.4 Imaging FCD type 1 can be detected on MRI if the affected brain region has a smaller volume and/or if an increased density of subcortical white matter neurons causes a higher white matter signal and impedes the demarcation of gray and white matter (gray–white matter demarcation loss). One- third of FCD type I are considered MRI negative (Tassi et al. 2010) which is reasonable if cortical dyslamination is the only histopathological substrate. 6 Focal Cortical Dysplasia Type 2A 6.1 Definition Malformation of cortical development with dysmorphic neurons but without balloon cells. It is considered that malformation occurs during the cortical organization stage (Barkovich et al. 2005). 6.2 Epidemiology In most but not all larger epilepsy surgery programs, FCD type 2A are distinctly less frequent than FCD type 2B (Fauser et al. 2006; Krsek et al. 2008; Lerner et al. 2009; Wagner et al. 2011a, b; Chang et al. 2011). 6.3 Pathogenesis and Pathology FCD type 2A are characterized by a disturbed cortical architecture with dysmorphic neurons but without balloon cells. Because balloon cells accumulate within the subcor- tical, distinctly FLAIR hyperintense lesion parts and it is not necessary to resect these lesion parts to achieve seizure freeness following surgery (Wagner et al. 2011a, b), FCD type 2B lesions can be misclassified as FCD type 2A lesions. 6.4 Clinical Presentation Drug-resistant epilepsy with focal (complex focal [ simple focal) without or with secondarily generalized seizures. 6.5 Imaging FCD type 2A are characterized by an altered cortical relief and thickness. The border to the subcortical white matter is sometimes blurred. The distinct, often funnel-shaped or ribbonlike FLAIR hyperintensity as the imaging hallmark of FCD type 2B is lacking, therefore lesions are overlooked on MRI but highlighted by voxel-based morphometry. In the Bonn epilepsy surgery program, detection rates for visual and voxel-based morphometry were 65 and 82 % for FCD type 2A as compared to 91 and 92 % for FCD type 2B, respectively (Wagner et al. 2011a, b) (Fig. 9). Malformations of Cortical Development 139
  • 141.
    7 Focal CorticalDysplasia Type 2B Synonym(s): FCD with balloon cells, Taylor type dysplasia, and transmantle dysplasia. 7.1 Definition FCD 2B is the malformation of cortical development affecting the stage of neuronal and gial proliferation and apoptosis. 7.2 Epidemiology In 1971, Taylor et al. described ten patients with FCDs; seven of them had balloon cells within their histological specimens. Taylor described these cells as ‘‘malformed cells of uncertain origin with large, sometimes multiple, nuclei surrounded by an excess of opalescent, pseudopodic cyto- plasm. These grotesque forms were concentrated in the deeper layers of the disorganized cortex and in the under- lying white matter’’ (Taylor et al. 1971). FCD 2B is the most common resected cortical dysplasia. Numbers in epilepsy surgery centers range from 18 to 80 % Fig. 9 FCD 2A are characterized by an altered cortical architecture with focal cortical thickening, but without significant signal changes. On visual analysis, they are more often overlooked as compared to FCD 2B. Proof of epileptogenicity by depth electrodes is typically needed. a–d a FCD 2A detected on visual analysis (a–c: arrow) and proven by Voxel-based morphometry, in which the junction map (d) shows the focal cortical thickening highlighting, what is subcortical white matter in healthy patients (d: arrows). e–h a FCD II a suspected on FLAIR sequences (a, b: arrow), unproven by Voxel- based morphometry, which epileptogenicity was proven by depth electrodes (c: arrows) and postsurgical seizure freeness (h). i–l a FCD II a overlooked on visual analysis (i, j: arrows), detected by Voxel- based morphometry, which epileptogenicity was proven by depth electrodes (k, l) and postsurgical seizure freeness 140 H. Urbach and S. Greschus
  • 142.
    in part dependingon whether mild malformations are counted as FCDs. 7.3 Pathogenesis and Pathology Two-thirds of patients have polymorphisms or loss of het- erozygosity of the TSC1 gene on the short arm of chromo- some 9 (9q34). The TSC1 gene encodes for the protein hamartin, and one polymorphism is located on exon 17, which is the region of the hamartin protein interacting with the protein tuberin as a product of the TSC2 gene. Hamartin and tuberin together have a tumor-suppressor function on maturating neurons, and the same hamartin polymorphism is also found in tuberous sclerosis patients (Becker et al. 2002). Histopathological specimens show an altered cortical architecture with dysmorphic neurons, giant neurons, and balloon cells. Balloon cells accumulate within the subcor- tical, distinctly FLAIR hyperintense lesion parts. 7.4 Clinical Presentation Drug-resistant epilepsy with focal (complex focal [ simple focal) without or with secondarily generalized seizures. Following surgery, [80 % of patients are seizure-free. The major reason for persistent seizures after surgery is incomplete resection of the cortical part of the FCD (Krsek et al. 2009b). Resection of the funnel-shaped subcortical part is not necessary to achieve freedom from seizures (Wagner et al. 2011a). 7.5 Imaging MRI hallmark is a distinct funnel-shaped FLAIR hyperin- tensity tapering towards the lateral ventricle, which has been called the transmantle sign and which is found in 90 % of cases (Taylor et al. 1971; Barkovich et al. 1997; Urbach et al. 2002; Widdess-Walsh et al. 2005). In some instances, the FLAIR hyperintensity can be followed towards the lateral ventricle; in other instances it appears as a penlike line along the inner cortical surface. The dysplastic cortex is isointense on T1-weighted images. FCD 2B are therefore only visible on T1-weighted images if the cortex is markedly thickened or if they are distinct adjacent to white matter changes. The dysplastic cortex is isointense (1/3) or slightly hyperintense (2/3) on T2-weighted, and slightly hyperintense on FLAIR fast spin echo sequences. FCDs 2B are typically single neocortical lesions; the most common location is—likely due to the lobe size—the frontal lobe. If there is more than one dysplasia, one should consider tuberous sclerosis and carefully look for sube- pendymal giant cell astrocytoma and subependymal nod- ules. FCDs with balloon cells on surgical specimens are identical or similar to cortical tubers of tuberous sclerosis and may indeed represent a forme fruste or phenotypic variation of tuberous sclerosis. FCDs 2B are of different sizes. Small lesions are either restricted to the cortex at the bottom of a sulcus (bottom of sulcus dysplasia) or at the crown of a gyrus (Barkovich et al. 2005; Besson et al. 2008). If they are located at the bottom of a sulcus, the sulcus itself is often somewhat deeper and widened (Besson et al. 2008) (Figs. 10, 11). The bottom of sulcus dysplasia can be easily overlooked, especially on axial FLAIR images. Due to their spatial orientation, coronal and sagittal FLAIR sequences, isotropic 3D FLAIR sequences, and/or voxel-based analyses may be needed (Wagner et al. 2011a, b). With increasing size, two or more adjacent gyri are affected. If a large amount of tissue of a lobe or an entire hemisphere is involved, separation from focal megalen- cephaly may be impossible (Fig. 12). Moreover, the cortical aspect of these lesions cannot be completely resected and the chance of seizure freedom declines to less than 50 % (Wagner et al. 2011a). Calcification within the subcortical lesion parts may occur in larger lesions; contrast enhancement is typically absent. 8 Hemimegalencephaly 8.1 Epidemiology Severe malformation of cortical development due to a disturbance in the neuronal and glial proliferation stage ( Table 1). The first description was by Sims in 1835 after reviewing 253 autopsies (Sims 1835). Three types are distinguished (Flores-Sarnat 2002): 1. Isolated form without systemic involvement. 2. Syndromic form which may occur as hemihypertrophy of part or all of the ipsilateral body. It has been described in patients with organoid (formerly: epidermal) nevus syndrome (? Neurocutaneous Diseases (Phakomatoses) 7 g), Proteus syndrome (? Neurocutaneous Diseases (Phakomatoses) 7 g), neurofibromatosis type 1 (Neuro- cutaneous Diseases (Phakomatoses) 4 c), hypomelanosis of Ito (? Neurocutaneous Diseases (Phakomatoses) 6 f), Klippel–Trenaunay–Weber syndrome, and tuberous sclerosis (? Neurocutaneous Diseases (Phakomatoses) 1 a) (Barkovich and Chuang 1990; Broumandi et al. 2004; Wolpert et al. 1994). 3. Total hemimegalencephaly with enlargement of the ipsilateral half of the brainstem and cerebellum. Malformations of Cortical Development 141
  • 143.
    Fig. 10 FCD2B in the depth of a sulcus (bottom of sulcus- dysplasia): a circumscribed thickening of the cortex in the depth of the right intraparietal sulcus is difficult to detect on axial (a) and coronal (b) FLAIR images (arrow). Sagittal FLAIR- MRI shows thickening of the cortex and funnel-shaped hyperintensity tapering to the wall of the lateral ventricle (c: hollow arrow). Acquisition of a 3D-FLAIR-sequence (d) with isotropic voxel enables reformation in three orthogonal planes (e, f) 142 H. Urbach and S. Greschus
  • 144.
    Fig. 11 Examplesof small FCDs 2B (bottom of sulcus dysplasias). In the upper row, a circumscribed cortex thickening around a somewhat deeper sulcus exists (arrow) (a, b), the middle row shows a champagner glass-like hyperintensity to the lateral ventricle (transmantle sign) (arrow) (c, d), the lower row, a point-like hyperintensity in the depth of a somewhat deeper additional sulcus (arrow) (e, f) Malformations of Cortical Development 143
  • 145.
    Fig. 12 LargeFCD IIB of the right frontal lobe. Diagnostic clue is the distinct subcortical hyperintensity (a-c: arrow, d–f) and when related to the size of the lesion the nearly lacking space occupying effect. The lesion involves the basal part of the precentral gyrus (e: arrow: ‘‘handknob’’) and could therefore not be fully resected. Following incomplete resection the patient did not become seizure free 144 H. Urbach and S. Greschus
  • 146.
    8.2 Pathogenesis andPathology Hemimegalencephaly means an hamartomatous overgrowth of an entire or parts of a hemisphere. The affected hemisphere is larger and has a higher weight than normal. Gyral pattern is abnormal and may include areas of agyria, pachygyria, and polymicrogyria. Microscopically, a horizontal layering of the cortex is lacking and the underlying white matter is not really demarcated. Neurons are larger and less densely packed, and the number of glial cells is increased. Similar to FCD 2B and hamartomas of tuberous sclero- sis, tissue contains balloon cells with immunoreactivity for both glial (glial fibrillary acid protein GFAP, S-100b) and neuronal proteins (microtubule-associated protein 2 MAP2, neuronal nuclear antigen, chromogranin A, neurofilament protein) (Flores-Sarnat et al. 2003). 8.3 Clinical Presentation Drug-resistant epilepsy with frequent seizures often propa- gating to the contralateral hemisphere. Due to the severity of the seizures, functional hemispherectomy is the treatment of choice. The aim of this treatment is to interrupt seizure propagation to the contralateral hemisphere. # = $. 8.4 Imaging The abnormal hemisphere is larger than the contralateral one, and the midline is pushed to the contralateral side (Figs. 13, 14). The lateral ventricle is enlarged; straighten- ing of the ipsilateral frontal horn is considered characteristic (Barkovich and Chuang 1990). The cortex appears thickened and enlarged, the gyri are usually broad and flat and the sulci shallow. The Sylvian fissure is short and thickened and the posterior end is open. Gray and white matter are difficult to delineate from each other. White matter volume is increased and the white matter signal on T2-weighted images is clearly abnormal. In neonates, the white matter signal on T2-weighted images is low as opposed to normal neonates, in which the white matter signal is higher than that of gray matter. A low white matter signal in the fetus and the neonate is explained with advanced myelination at this age (Yagishita et al. 1998) (Figs. 13, 14, 15). In older children with hemimegalen- cephalies, the white matter signal becomes higher than normal reflecting lack of myelin (Adamsbaum et al. 1998). If only parts of the hemisphere show enlargement and dysplastic features, the disease may be called focal megal- encephaly or large FCD 2B (Figs. 12, 15). In these instan- ces, the subcortical white matter often shows a hyperintense FLAIR signal likely reflecting the balloon-cell rich part of the lesion. The critical part in the interpretation of the MRI is the exclusion of a contralateral lesion. 9 Heterotopia 9.1 Definition Heterotopias are conglomerate masses of gray matter in an abnormal location. They can be uni- or bilateral, of a nodular, ribbonlike, chainlike, ball-like, or curvilinear configuration and located attached to the ventricle wall, within the white matter, or attached to the cortex (Barkovich 2000). Micro- scopically, there are neurons and glial tissue without consistent arrangement; rudimentary layering may be present. From an imaging point of view, it is helpful to distin- guish subependymal (periventricular), subcortical, and band heterotopias (Barkovich 2000). Note that band heterotopias are genetically linked and grouped together with type 1 lissencephalies. 9.2 Epidemiology Heterotopias are quite common MCD. 9.3 Pathogenesis Heterotopias typically result from impaired migration of neurons from the germinal matrix in the wall of the lateral ventricle to the cortex. These ‘‘macroscopic’’ heterotopias must be separated from ‘‘microscopic’’ heterotopias in mMCD including ectopic neurons within the white matter, marginal zone, and subpial heterotopias (Palmini and Lüders 2002; Barkovich and Kuzniecky 2000). Epileptic seizures may be generated within the heterotopic neurons or in the overlying cortex conceptually missing these neurons or containing displaced neurons (Kirschstein et al. 2003). Heterotopias may be isolated findings or part of genetically defined syndromes (e.g., trisomy 18, trisomy 21, Cornelia de Lange syndrome). 9.4 Clinical Presentation 1. Bilateral periventricular (subependymal) nodular het- erotopias (BPNH): This common disorder with BPNH is associated with mutations of the filamin 1-gene (FLN1, FLNA) on the short arm of the X-chromosome (Xq28) (OMIM 309550) (Fox et al. 1998). FLNA encodes an actin- cross-linking phosphoprotein that enables the attachment of Malformations of Cortical Development 145
  • 147.
    Fig. 13 Right-sided hemimegalencephalyin a 10 months old boy with enlargement of the right hemisphere including the lateral ventricle, displacement of the mildline to the left side, nearly agyric cortex, poor demarcation of gray and white matter, and T1-weighted hyperintense/T2- weighted hypointense white matter signal suggesting ‘‘advanced’’ myelination (a–f) 146 H. Urbach and S. Greschus
  • 148.
    neurons to radialglial cells. Neurons that are not attached to radial glial fibers cannot migrate towards the cortex. Hints for X-chromosomal inheritance are prior abortions because boys with one X-chromosome often die embryonically. Alive males have a higher incidence of neurodevelopmental and other disabilities including cerebellar hypoplasia and syndactyly, short gut syndrome, congenital nephrosis, frontonasal dysplasia, coagulopathies, patent ductus arteri- osus, and others (Dobyns et al. 1997; Palm et al. 1986; Guerrini and Dobyns 1998; Fox et al. 1998). Female patients may show normal intelligence or slight or moderate mental retardation; 80 % are affected by variable epilepsy syndromes with seizures usually starting in the second decade of life (Barkovich and Kuzniecky 2000). Other BPNH types are frequently associated with microcephaly and include mutations of the MCPH1 gene on chromosome 8p23 encoding for microcephalin (Jackson 2002), mutations of the ASPM gene on chromosome 1q31 (Bond et al. 2002), and mutations of the ARFGEF2 gene on chromosome 20q13.3 (Sheen et al. 2004). Another BNPH type is associated with mutations on chromosome 5, yet the gene defect is unknown (Sheen et al. 2003). 2. Subcortical heterotopias: These are less common than subependymal heterotopias. They can be uni- or bilateral, and size, extent, and location of the lesion(s) are fairly correlated with the patient’s symptoms. Associated brain anomalies are common (callosal agenesis/hypoplasia, 70 % of cases; ipsilateral basal ganglia dysmorphy). 3. Laminar or band heterotopia: Laminar heterotopia is more common than previously thought (Huppertz et al. 2008). Broad bands of heterotopic gray matter which are often associated with distinct mental retardation and drug- resistant epilepsy syndromes are easily recognized. Thin strips of heterotopic gray matter, however, are often asso- ciated with only mild mental retardations and are easily missed. 9.5 Imaging Heterotopias typically have a signal isointense to gray matter in all MRI sequences. However, in rare cases nodular heterotopias may be calcified, likely reflecting degenerative changes (Urbach et al. 2003). Nodular heterotopias are typically attached to the lateral ventricle walls and often bulge into its cavity. Typical locations are the corners of the lateral ventricles or the ventrolateral circumferences of the temporal horns (Fig. 16). Subcortical heterotopias can be found in any location and with different sizes. They consist either of multiple nodules, have a curvilinear configuration with the appearance of an enfolded cortex, or a mixture of both with the nodular configuration closer to the ventricle and the curvilinear configuration peripherally (Barkovich 2000) (Fig. 17). Fig. 14 Right-sided hemimegalencephaly in a female at the 35th gestational week (a), at the age of 7 months (b), and at the age of 12 months (c). Enlargement of the right hemisphere and the lateral ventricle (b: hollow arrow) and an ‘‘open’’ end of a rudimentary Sylvian fissure (a–c: black arrows) are typical findings. The hypoin- tense white matter signal is already visible in utero (a). Normal myelination turning a hyperintense into a hypointense white matter signal only takes place in the left hemisphere (b, c: white arrow) Malformations of Cortical Development 147
  • 149.
    Laminar heterotopias consistof bands of heterotopic matter beneath the cortex. If these bands are thin, high-resolution images, specially reformatted T1-weighted gradient echo imagesincoronalorientationareneededtodetectthem(Fig. 6). Since heteropias can occur alone or with other malfor- mations (polymicrogyria, pachygyria, callosal agenesis, microcephaly, et al.), it is sometimes difficult to clearly separate heterotopias and, for example, polymicrogyria. Fig. 15 Three examples of large dysplastic lesions containing balloon cells. a–b from a 1 year old girl show enlargement of the right hemisphere sparing its posterior parts. For side comparison, see planar surface view of both hemispheres (b). Hypointense white matter signal (a: arrow) suggests ‘‘advanced’’ myelination. c–e from a 36 year old male and f–h from a 29 year old male can be classified as large FCD IIB or as focal megalencephaly (c: arrow marks central sulcus) 148 H. Urbach and S. Greschus
  • 150.
    10 Polymicrogyria andSchizencephaly 10.1 Epidemiology Rather frequent malformation of cortical development, which is considered to be caused in the late stage of neu- ronal migration or in the stage of cortical organization. The result is a derangement of the normal six-layered lamination of the cortex associated with derangement of sulci and fusion of the molecular layer across sulci. #: $ = 3:2 (Leventer et al. 2010). 10.2 Pathogenesis The etiology is heterogeneous comprising intrauterine ische- mia, intrauterine infections (particularly cytomegalovirus, toxoplasmosis, varicella zoster, syphillis), and several genetic (Xq21.33-q23 ? SRPX2, 2q21.3 ? RAB3GAP1, 3q21.3- p21.2 ? EOMES, 6p25 ? TUBB2B, 1q22.1 ? KIAA1279, 11q13 ? PAX6, 21q22.3 ? COLI18A1, 22q11.2 ? multiple genes, Xq28, 16q12.2-21 ? GPR56 (Barkovich 2010) and metabolic diseases. Symmetric polymicrogyrias are suggestive of genetic causes, however, an unilateral familiar syndrome has been described (Jansen and Andermann 2005; Chang et al. 2006). Common symmetric polymicrogyrias are bilateral perisyl- vian polymicrogyria (Kuzniecky syndrome) due to muta- tions on three gene loci on the X chromosome (Xq21.33- q23, 22q12, Xq28), bilateral fronto-parietal (autosomal- recessive, 16q12.2-21 ? GPR56), and bilateral parasagittal parieto-occipital polymicrogyria (Kuzniecky et al. 1993). In bilateral fronto-parietal polymicrogyria due to GPR56 mutations, the gene product is important for the attachment of radial glial cells to the pial limiting membrane. If this attachment fails, neurons migrate too far and a cobblestone pattern results. Associated anomalies are a small pons and a small dysplastic cerebellum. With the pathophysiological mechanism of neurons migrating too far, this syndrome belongs rather to malformations due to abnormal terminal migration and defects in pial limiting membrane (see Table 1) (Barkovich et al. 2012). Polymicrogyria is often associated with other malfor- mative lesions such as corpus callosum agnenesis or hypogenesis, cerebellar hypoplasia, periventricular nodular heterotopia, and subcortical heterotopia. d a b c e f Fig. 16 Bilateral nodular periventricular heterotopias with relatively small nodules along the inferior horns of the lateral ventricles (a, c–f: arrows). The 31 year old woman suffered from temporal lobe seizures since 3 years and did not take antiepileptic drugs so far Malformations of Cortical Development 149
  • 151.
    Schizencephaly is alwaysassociated with polymicrogy- ria; it means cleft brain and is characterized by a commu- nication between ventricle and subarachnoid space. Cortical lips are either attached (closed lips) or separated by CSF (open lips) (Barkovich 2002). 10.3 Clinical Presentation Broad spectrum of ranging from intellectual impairment to hemiparesis, tetraparesis, and drug-resistant epilepsy. Sei- zures are present in 80 % of cases and may be of many clinical types (Leventer et al. 2010). Severity of clinical presentation and age at presentation are related to the extent of cortical involvement and associated abnormalities. In severe cases, pseudobulbar paralysis (oropharyngeal dys- function, dysarthria), epilepsy, mental retardation, and congenital arthrogyposis may result. Another syndrome complex is polymicrogyria associ- ated with megalencephaly, postaxial syndactyly, cutis marmorata, distinct facial features including frontal boss- ing, a low nasal bridge, large eyes, and midfacial vascular malformations. Affected children have epileptic seizures and delayed or a lack of motor and intellectual develop- ment. Apart from mostly perisylvian polymicrogyria, MRI shows (progressive) hydrocephalus, a thick corpus callo- sum, and caudal tonsillar displacement. These megalen- cephalies associated with polymicrogyria were formerly denominated as megalencephaly–polymicrogyria–polydac- tyly–hydrocephalus, macrocephaly–capillary malforma- tion, and macrocephaly–cutis marmorata telangiectata congenita syndromes, respectively (Garavelli et al. 2007; Gripp et al. 2009; Barkovich et al. 2012). Polymicrogyria may be among others a part of the following diseases (Barkovich 2010; Hermier et al. 2010; Barkovich et al. Fig. 17 Large subcortical heterotopia with a curvilinear pattern in a 3.5 year old boy with a right-sided spastic hemiparesis and daily drug- resistant atonic seizures. The heteropia is isointense to gray matter in all sequences and resembles enfolded polymicrogyriform cortex. Note the abnormal sulcation and the fact that the affected hemisphere is small as compared to the opposite hemisphere (a–f) 150 H. Urbach and S. Greschus
  • 152.
    2012; Hevner 2005;Dixon-Salazar et al. 2004; Giordano et al. 2009). 10.4 Pathology Unlayered and four-layered polymicrogyria are distin- guished. In unlayered polymicrogyria, there is a thin undu- lating ribbon consisting of a molecular layer and a neuronal layer without lamination. The molecular layer is fused across the sulci, and the brain surface may appear coarse or delicate. Four-layered polymicrogyria is less common; it consists of a molecular layer and two layers of neurons separated by an intermediate layer of few neurons and myelinated fibers. 10.5 Imaging Affected patients can be microcephalic (50 %), normo-, or macrocephalic. Polymicrogyria can be focal, multifocal, or diffuse, unilateral, bilateral-asymmetrical, and bilateral symmetri- cal. The most common location is around the posterior portions of the Sylvian fissure (60–70 % of cases), which typically takes a steeper course. This region should be carefully inspected on sagittal 3D-T1-weighted gradient echo images (Fig. 19) According to the severity on the MRI, four grades are distinguished: grade 1, with perisyl- vian polymicrogyria extending to the frontal or occipital pole; grade 2, with polymicrogyria extending beyond the perisylvian region, but not to either pole; grade 3, with polymicrogyria of the perisylvian region only; and grade 4, with polymicrogyria restricted to the posterior perisylvian region (Jansen and Andermann 2005). The cortical surface shows either multiple small gyri or it appears thick and bumpy or paradoxically smooth because the outer cortical layer (molecular layer) fuses over the microsulci. The overlying subarachnoid space is focally widened and may contain enlarged flow void structures representing anomalous venous drainage (around 50 % of cases; Fig. 18) (Hayashi et al. 2002). Significant signal changes of the cortex are lacking, however, the degree of myelination of subcortical or intracortical fibers alters the appearance: in unmyelinated regions, the inner surface of the polymicrogyric cortex looks thin (2–3 mm); in myelinated regions it looks thicker (5–8 mm) and relatively smooth (Takanashi and Barkovich 2003) (Figs. 19, 20). 11 Aicardi Syndrome 11.1 Epidemiology Rare, X-chromosomal-inherited disease in girls. Boys with one X-chromosome are not viable. The initial description was by the French neurologist Dr. Aicardi and coworkers in 1965 (Aicardi et al. 1965). 11.2 Pathogenesis and Pathology Probably de novo mutation on the short arm of the X-chromosome. Pathological core features are callosal agenesis, inter- hemispheric cysts, and ocular abnormalities (microphthal- mia, chorioretinal lacunae, colobomas). Other abnormalities may be found in the hemispheres (subependymal and subcortical heterotopias, polymicrogy- ria), in the posterior fossa (cerebellar hypoplasia, arachnoid cysts), in the vascular system (A. cerebri anterior azygos), in the ventricles (choroidal plexus cysts and papillomas), and in the spine and bony system (fusion of vertebral bodies, hemivertebra, fused ribs, scoliosis, spina bifida, hand and finger anomalies). 11.3 Clinical Presentation Callosal agenesis and interhemispheric cysts are usually detected by ultrasound in utero. Newborns are typically blind and suffer from infantile spasms. A significant number of girls, however, seem to develop normally until around the age of 3 months, when they begin to have infantile spasms. Ocular examinationrevealszonesofdepigmentationofthe pigmented epithelium characterized as chorioretinal lacunae (Hoyt et al. 1978). Only 40 % of girls get older than 15 years of age. 11.4 Imaging In a blind female newborn with epileptic seizures look for callosal agenesis, interhemispheric cyst(s), and cortical Aicardi syndrome (? 18 h) OMIM 304050 Delleman syndrome (oculo-cerebral-cutaneous syndrome) OMIM 164180 DiGeorge (22q11.2 deletions) syndrome OMIM 188400 Warburg micro syndrome OMIM 600118 D-bifunctional protein deficiency syndrome OMIM 261515 Joubert syndrome and related disorders including Meckel–Gruber syndrome, Arima (cerebro-oculo-renal) syndrome OMIM 608629, … Adams–Oliver syndrome OMIM 100300 Hereditary hemorrhagic telangiectasia (Rendu– Osler disease) OMIM 187300, 600376 Apert syndrome (Acrocephalosyndactyly) OMIM 101200 Malformations of Cortical Development 151
  • 153.
    dysplasias (heterotopias, polymicrogyria)(Figs. 21, 22). Since myelination is yet incomplete or delayed, cortical dysplasias can be easily overlooked. 12 Tuber Cinereum and Hypothalamic Hamartomas 12.1 Epidemiology This is rare congenital gray matter ‘‘heterotopia’’ of the tuber cinereum and hypothalamus in children with preco- cious puberty at a very young age and/or gelastic seizures. 12.2 Clinical Presentation Precocious puberty (75 % of patients) occurs in young children, for example, a 3-year-old boy shows the sexual development of a 16-year-old boy. 1/3 of patients with precocious puberty has tuber cinereum hamartomas. Gelastic seizures occur in 50 % of patients. Apart from gelastic seizures complex-focal and secondary generalized tonic–clonic seizures mimicking temporal lobe seizures may occur. In addition, patients show mental and behavioral abnormalities. Consider Pallister–Hall syndrome (7p13, GLI3 frame- shift-mutations) in children with tuber cinereum hamartoma, Fig. 18 Right-sided polymicrogyria in a 26 year old man with atonic and complex focal seizures with secondary generalization. Note the enlarged subarachnoid space (a–f) with enlarged flow void structures (c: arrow) and a steeper course of the Sylvian fissure (b). The brain surface appears rather smooth due to a fusion of the outer cortical layer (molecular layer) above the sulci and only the inner cortical boundary reveals multiple small gyri (e, f: arrow) 152 H. Urbach and S. Greschus
  • 154.
    hand (ossa metacarpalia,syndactyly, polydactyly), and other malformations (epiglottis, larynx, heart, kidneys, anus). 12.3 Pathology The tuber cinereum is a gray matter protuberance within the dorsal wall of the infundibulum. Hypothalamic or tuber cinereum hamartomas are congenital malformations with neurons similar to hypothalamic neurons, myelinated and unmyelinated axons, and variable amounts of fibrillary gliosis. They may express several hormones (especially GnRH) associated with premature activation of hypotha- lamic–pituitary–gonadal axis secretion. 12.4 Imaging Round, sessile, or pedunculated mass lesion dorsal to the infundibular stalk, involving the mammillary region of the Fig. 19 Bilateral perisylvian polymicrogryia in a 16 year old girl with sleep-related complex focal seizures. Sagittal T1-weighted gradient echo image (a) shows a steeper course of the Sylvian fissure and the left side (arrow) more severely affected than the right side. In order to recognize a bilateral distribution, it is important to inspect the posterior border of the Sylvian fissure (b–d: hollow arrow) Malformations of Cortical Development 153
  • 155.
    hypothalamus, with attachmentto one or both mammillary bodies is seen. The size is a few millimeters up to several centimeters, which does not increase on follow-up MRI. In larger hamartomas, the intrahypothalamic component lies in the wall of the third ventricle between the postcommissural fornix anteriorly, the mammillothalamic tract posteriorly, and the mammillary body inferiorly. The signal intensity is close to gray matter: slightly hypointense or isointense on T1-weighted, slightly hyper- intense on T2-weighted images, and hyperintense on FLAIR sequences. Note that small lesions can be missed on FLAIR sequences due to CSF flow artifacts. There is no contrast enhancement. Cystic portions and calcifications are rare; if present other lesions (e.g., craniopharyngioma) should be considered. Hypothalamic hamartomas associated with epilepsy have a sessile attachment to the hypothalamus and dis- place normal hypothalamic structures, whereas those associated with precocious puberty alone are rather pedunculated (Valdueza et al. 1994; Freeman et al. 2004; Frazier et al. 2009). Some patients also have temporal arachnoid cysts and (more common) unilateral or bilateral anterior temporal gray–white matter demarcation loss. For those with unilat- eral abnormality it is ipsilateral to the side of predominant hypothalamic hamartoma attachment. It may reflect ictal involvement of the temporal lobe during postnatal brain development and suggests anterior temporal gray–white matter demarcation loss as a maturation disorder of the temporal pole. 13 Anomalies of the Ventral Prosencephalon Development 13.1 Holoprosencephalies 13.1.1 Epidemiology Holoprosencephaly was initially described by Yakovlev (1959). It means a median holosphere instead of two hemispheres (Yakovlev 1959). It is a brain malformation in which the cleavage of the telencephalic vesicle into two hemispheres and the separation of the eye fields are dis- turbed. This cleavage normally takes place around week 6 of gestation. Associated craniofacial abnormalities range from cyclopia to mild microcephaly with a single central incisor (Roessler and Muenke 1999; Moog et al. 2001). Holoprosencephaly is a continuous disease spectrum rang- ing from severe (alobar) to mild (lobar) forms. The preva- lence is 1:16,000 live births, however, many fetuses Fig. 20 Focal polymicrogyria of the left cingulate gyrus in a 21 year old woman with focal frontomesial seizures since the age of 1. The microgyri are not visible on a 5 mm thick axial FLAIR image (a: point). In contrast, a 1 mm thick sagittal T1-weighted gradient echo image shows microgyri (b, d: unaffected right side). A planar surface view allows to compare both cingulate gyri and displays the focal polymicrogyria more clearly (c: arrow) 154 H. Urbach and S. Greschus
  • 156.
    (approximately 1:250) diespontaneously or by induced abortion (Roach et al. 1975; Matsunaga and Shiota 1977; Moog et al. 2001). 13.1.2 Pathogenesis The etiology of holoprosencephaly is heterogeneous including genetic (at least 12 genetic loci = HPE 1–12) and environmental (e.g., maternal diabetes, teratogenes) factors (Moog et al. 2001). 13.1.3 Clinical Presentation Holoprosencephaly patients present with a wide range of manifestations: severely affected children with alobar hol- oprosencephaly are usually diagnosed by fetal ultrasound, have distinct facial abnormalities, are either not viable or survive with neonatal seizures, infantile spasms, apnea, rigidity, and temperature imbalances. Less severely affected patients suffer from different grades of mental retardation, spasticity, chorea-athetosis, and endocrine and visual dis- turbances. Nearly half of these patients have some kind of seizures, which, however, are drug-resistant in only a minority of patients (Lewis et al. 2002). Associated syndromes are Smith–Lemli–Opitz syndrome (autosomal-recessive disorder of cholesterol biosynthesis with cleft palate, genital malformations, polydactyly, and holoprosencephaly), Genoa syndrome (cleft soft palate, holoprosencephaly, craniosynostosis, Dandy–Walker mal- formation, bilateral microphthalmia, scoliosis, aortal coarctation), and CHARGE syndrome (coloboma, heart anomaly, retardation, genital and ear anomalies) (Tortori- Donati 2005). Fig. 21 Aicardi syndrome: a–c 7 month old girl with callosal agenesis, interhemispheric cyst (a, c: arrow) and subependymal heterotopias, which are difficult to delineate due to incomplete myelination (hollow arrows). d With higher field strength and signal to noise ratio—as in this example of a 5 month old girl— heterotopias are better detectable (hollow arrow). Also note polymicrogyria (white arrows) and interhemsipheric cyst (black arrow) Malformations of Cortical Development 155
  • 157.
    Fig. 22 Tubercinereum hamartomas: a–f a 4 mm large sessile hamartoma in a 46 year old man with gelastic seizures. The hamartoma indents the dorsal wall of the third ventricle (e: black arrow pointing to the infundibular recess) and is medial and above the right mamillary body (a–e: white arrow). It is isointense to gray matter on T2-weighted (a), Inversion Recovery (b), and T1-weighted gradient echo (d, e), but hyperintense on FLAIR sequences (c). f–g a 3 cm hamartoma in a 1 year old girl with gelastic seizures and visual disturbances. The center of the hamartoma is dorsal and above the pituitary gland (f: arrow points to the hyperintense signal of the neurohypophysis) and the infundibular stalk (g: arrow) 156 H. Urbach and S. Greschus
  • 158.
    13.1.4 Imaging Four typesare distinguished (DeMyer et al. 1964; Barkovich and Quint 1993): 1. Alobar holoprosencephaly 2. Semilobar holoprosencephaly 3. Lobar holoprosencephaly 4. Middle interhemispheric variant of holoprosencephaly, syntelencephaly. Alobar, semilobar, and lobar holoprosencephaly repre- sent a continuous disease spectrum, in which anterior structures and those located towards the midline are more or less noncleaved. Alobar holoprosencephaly is characterized by a large holoventricle continuous with a large dorsal cyst. Midline structures (superior sagittal sinus, septum pelluci- dum, corpus callosum, third ventricle, pituitary gland, olfactory bulbs) are lacking (Simon et al. 2001). In semilobar holoprosencephaly, there is some degree of cleavage of the posterior brain structures (Fig. 23). A so-called pseudosplenium, which is in fact an enlarged hippocampal commissure and not a true splenium, is present and the degree of anterior extension is considered as a marker of the severity of holoprosencephaly (Oba and Barkovich 1995). Fig. 23 Semilobar holoprosencephaly in a 4 days old girl. The frontal portions of the brain hemispheres are non-cleaved. A partially cleaved ‘‘holoventricle’’ with rudimentary temporal horns (c: arrow), a rudimentary third ventricle (a: arrow) and partially separated thalami are visible Fig. 24 Middle interhemispheric variant of holoprosencephaly in a 45 year old man. The anterior portion of the corpus callosum including the genu is thin but present (a: arrow). The hemispheres are non- cleaved only within their central segments, while an anterior interhemispheric fissure was built (c: arrow). Note the absent septum pellucidum, a box-like shape of the anterior horns of the lateral ventricles, vertically oriented hippocampi (b: thick arrows) and an azygos anterior cerebral artery (b: arrow) Malformations of Cortical Development 157
  • 159.
    Lobar holoprosencephaly isthe mildest form; patients may be normal or only mildly retarded. An absent septum pellucidum with a boxlike shape of the lateral ventricles on coronal slices may be the only sign of lobar holoprosen- cephaly and is distinguished from septo-optic dysplasia by normal optic nerves and chiasm. However, even in these circumstances the hippocampi are typically malrotated showing a vertical orientation. The middle interhemispheric variant is characterized by noncleavage of the frontodorsal and parietal brain regions whereas the rostrobasal forebrain has cleaved and an ante- rior interhemispheric fissure and in some cases even a septum pellucidum are present (Fig. 24) (Robin et al. 1996). Patients with the middle interhemispheric variant may be severely retarded but have no facial abnormalities (Tortori- Donati 2005). 13.2 Septo-Optic Dysplasia (De Morsier Syndrome) 13.2.1 Epidemiology Rather brain malformation (1 in 50,000 live births) with absent septum pellucidum, optic nerve and chiasm hypo- plasia, and pituitary dysfunction. The term septo-optic dys- plasia was introduced by De Morsier (1956), who described 36 patients with absent septum pellucidum, nine of whom had optic nerve hypoplasia (De Morsier 1956). 13.2.2 Pathogenesis Septo-optic dysplasia is a disorder of midline prosence- phalic development (and thus can be considered as a mild holoprosencephaly variant) occurring in the latter half of the second through the third month of gestation (Miller et al. Fig. 25 Septooptic dysplasia plus in a 9 year old boy (a–c) and a 3 year old girl (d–e). The 9 year old boy has hypoplastic optic nerves (a: thin arrows) and optic chiasm (b: arrow), heterotopic gray matter nodules (a: thick arrow), and agenesis of the corpus callosum splenium (c: arrow). The 3 year old girl shows absent septum pellucidum (a: black arrow) and gray matter masses in both hemispheres (a, c, f: white arrows). Cytotoxic edema on DWI (b: arrows) with ADC normalization on follow-up-MRI 10 days later (not shown) suggests transient ictal activity of the left frontal lesion 158 H. Urbach and S. Greschus
  • 160.
    2000). At thistime, the optic nerves, germinal matrix, and septum pellucidum are forming (Barkovich et al. 1989). Although most cases are sporadic, autosomal dominant and recessive forms with mutations in the homeobox HESX1 gene located on chromosome 3p21.21–3p21.2 have been described. Intrauterine infections (particularly cytomegalo- virus infection), vascular events, antiepileptic drugs, maternal alcohol, and maternal diabetes are considered as other etiological factors. Septo-optic dysplasia associated with MCD (septo-optic dysplasia plus) is considered a genetic disorder affecting multiple stages of cortical development (Miller et al. 2000; Camino and Arjona 2003). The most common associated malformation is schizencephaly/polymicrogyria, and this condition has been coined as septo-optic dysplasia–schiz- encephaly syndrome (Barkovich et al. 2005). 13.2.3 Clinical Presentation Children may present with visual impairment (uni- or bilateral blindness, nystagmus), short status, hypothalamic– pituitary dysfunction (60 % of patients), and developmental delay (Barkovich et al. 1989). If they have associated MCD, focal seizures with and without secondary generalization are common (Fig. 25). Fig. 26 Kallmann syndrome (a, b) in a 25 year old woman with olfactory bulb a/hypoplasia (a) and hypoplasia of the subcallosal area and pituitary gland (b: arrow). Shapiro syndrome (e, f) in a 38 year old man with anterior callosal agenesis (f), absent septum pellucidum (e: black arrow) and elevated fornices (e, f: white arrows). Normal MRI (c, d) for comparison with olfactory bulbs best visible on coronal T2- weighted images (c) and rostrum corporis callosi (d:1), anterior commissure (d:2), mamillary body (d:3) Malformations of Cortical Development 159
  • 161.
    13.2.4 Imaging The syndromeis defined by absence or partial absence of the septum pellucidum and optic nerve hypoplasia. Pituitary hyoplasia with or without ectopic hyperintensity of the posterior lobe is present in 2/3 of cases. Associated brain abnormalities include schizencephaly/ polymicrogyria (1/3–1/2 of patients), as well as other MCD including heterotopias (Barkovich et al. 1989; Camino and Arjona 2003), callosal dysgenesis, ocular abnormalities (coloboma, anophthalmia, microphthalmia), and olfactory bulb hypoplasia. 13.3 Kallmann Syndrome 13.3.1 Epidemiology and Pathogenesis This rare (prevalence 1 to 1:10,000 in men and 1:50,000 in women) congenital malformation was initially described by Kallmann et al. (1944). Olfactory cells that normally express LHRH fail to migrate from the medial olfactory placode into the forebrain. In addition, projections from the lateral olfactory placode to the forebrain are insufficient to induce olfactory bulb formation (Truwit et al. 1993). Inheritance is X-linked (mutations of the KAL1 gene on Xp22.3), autosomal recessive, or autosomal dominant. 13.3.2 Clinical Presentation Hyposmia or anosmia, hypogonadism due to hypothalamic insufficiency, involuntary movements of a body segment in reply to voluntary movements of the similar contralateral segment (mirror movements) and renal abnormalities (e.g., unilateral agenesis) in X-linked Kallmann syndrome. # [ $ 13.3.3 Imaging Kallmann syndrome appears as olfactory bulb, tract, and sulcus a-/hypoplasia, and small adenohypophysis due to insufficient hypothalamic stimulation, posterior pituitary lobe is normal (Knorr et al. 1993) ( Fig. 26). 13.4 Shapiro Syndrome 13.4.1 Epidemiology and Pathogenesis This very rare syndrome initially described by Shapiro in 1969 is characterized by the triad of spontaneous hypo- thermia, hyperhidrosis, and corpus callosum a/hypogenesis (Shapiro et al. 1969). 13.4.2 Clinical Presentation Recurrent episodes of diffuse hyperhidrosis and hypother- mia usually last several hours and are likely caused by hypothalamic dysfunction (Tambasco et al. 2005; Dundar et al. 2008). 13.4.3 Imaging Anterior callosal a/hypogenesis (Fig. 26). A single case with normal corpus callosum and increased perfusion of the thalamus, basal ganglia, and inferior frontal areas indicating ictal activity has been described (Dundar et al. 2008). References Adachi Y, Poduri A, Kawaguch A, Yoon G, Salih MA, Yamashita F, Walsh CA, Barkovich AJ (2011) Congenital microcephaly with a simplified gyral pattern: associated findings and their significance. AJNR Am J Neuroradiol 32(6):1123–1129 Adamsbaum C, Robain O, Cohen PA, Delalande O, Fohlen M, Kalifa G (1998) Focal cortical dysplasia and hemimegalencephaly: histological and neuroimaging correlations. Pediatr Radiol 28(8):583–590 Aicardi J, Lefebvre J, Leriqu-Koechlin A (1965) A new syndrome: spasm in flexion, callosal agenesis, ocular abnormalities. Electro- encephalogr Clin Neurophysiol 19:609–610 Ashwal S, Michelson D, Plawner L (2009) Quality Standards Subcommittee of the American Academy of Neurology and the Practice Committee of the Child Neurology Society. Practice parameter: evaluation of the child with microcephaly (an evidence- based review): report of the Quality Standards Subcommittee of the American Academy of Neurology and the Practice Committee of the Child Neurology Society. Neurology 73(11):887–897 Barkovich AJ, Fram EK, Norman D (1989) Septo-optic dysplasia. MR Imaging. Radiology 171:189–192 Barkovich AJ, Chuang SH (1990) Unilateral megalencephaly: corre- lation of MR imaging and pathologic characteristics. AJNR Am J Neuroradiol 11:523–531 Barkovich AJ, Quint DJ (1993) Middle interhemispheric fusion: an unusual variant of holoprosencephaly. AJNR Am J Neuroradiol 14(2):431–440 Barkovich AJ, Guerrini R, Battaglia G, Kalifa G, N’Guyen T, Parmeggiani A, Santucci M, Giovanardi-Rossi P, Granata T, D’Incerti L (1994) Band heterotopia: correlation of outcome with magnetic resonance imaging parameters. Ann Neurol 36:609–617 Barkovich AJ, Kuzniecky RI, Dobyns WB, Jackson GD, Becker LE, Evrard P (1996) A classification scheme for malformations of cortical development. Neuropediatrics 27:59–63 Barkovich AJ, Kuzniecky RI, Bollen AW, Grant PE (1997) Focal transmantle dysplasia: a specific malformation of cortical devel- opment. Neurology 49(4):1148–1152 Barkovich AJ, Ferriero DM, Barr RM, Gressens P, Dobyns WB, Truwit CL, Evrard P (1998) Microlissencephaly: a heterogeneous malformation of cortical development. Neuropediatrics 29: 113–119 Barkovich AJ (2000) Morphologic characteristics of subcortical heterotopia: MR imaging study. AJNR Am J Neuroradiol 21:290–295 Barkovich AJ, Kuzniecky RI (2000) Gray matter heterotopia. Neurol- ogy 55:1603–1608 Barkovich AJ, Kuzniecky RI, Jackson GD, Guerrini R, Dobyns WB (2001) Classification system for malformations of cortical devel- opment: update 2001. Neurology 57:2168–2178 160 H. Urbach and S. Greschus
  • 162.
    Barkovich AJ (2002)Morphological features and associated anomalies of schizencephaly in the clinical population: detailed analysis of MR images. Neuroradiology 44:647–655 Barkovich AJ, Kuzniecky RI, Jackson GD, Guerrini R, Dobyns WB (2005) A developmental and genetic classification for malforma- tions of cortical development. Neurology 65:1873–1887 Barkovich AJ (2010) Current concepts of polymicrogyria. Neuroradi- ology 52:479–487 Barkovich AJ, Guerrini R, Kuzniecky RI, Jackson GD, Dobyns WB (2012) A developmental and genetic classification for malforma- tions of cortical development: update 2012. Brain 135:1348–1369 Becker AJ, Urbach H, Scheffler B, Baden T, Normann S, Lahl L, Pannek H, Tuxhorn I, Elger CE, Schramm J, Wiestler OD, Blümcke I (2002) Focal cortical dysplasia of Taylor’s balloon cell type: mutational analysis of the TSC1 gene indicates a pathogenic relationship to tuberous sclerosis. Ann Neurol 52:29–37 Besson P, Andermann F, Dubeau F, Bernasconi A (2008) Small focal cortical dysplasia lesions are located at the bottom of a deep sulcus. Brain 131:3246–3255 Blümcke I, Thom M, Aronica E, Armstrong DD, Vinters HV, Palmini A, Jacques TS, Avanzini G, Barkovich AJ, Battaglia G, Becker A, Cepeda C, Cendes F, Colombo N, Crino P, Cross JH, Delalande O, Dubeau F, Duncan J, Guerrini R, Kahane P, Mathern G, Najm I, Ozkara C, Raybaud C, Represa A, Roper SN, Salamon N, Schulze-Bonhage A, Tassi L, Vezzani A, Spreafico R (2011) The clinicopathologic spectrum of focal cortical dysplasias: a consensus classification proposed by an ad hoc Task Force of the ILAE Diagnostic Methods Commission. Epilepsia 52:158–174 Bond J, Roberts E, Mochida GH, Hampshire DJ, Scott S, Askham JM, Springell K, Mahadevan M, Crow YJ, Markham AF, Walsh CA, Woods CG (2002) ASPM is a major determinant of cerebral cortical size. Nat Genet 32:316–320 Bond J, Scott S, Hampshire DJ, Springell K, Corry P, Abramowicz MJ, Mochida GH, Hennekam RC, Maher ER, Fryns JP, Alswaid A, Jafri H, Rashid Y, Mubaidin A, Walsh CA, Roberts E, Woods CG (2003) Protein-truncating mutations in ASPM cause variable reduction in brain size. Am J Hum Genet 73:1170–1177 Bond J, Roberts E, Springell K, Lizarraga SB, Scott S, Higgins J, Hampshire DJ, Morrison EE, Leal GF, Silva EO, Costa SM, Baralle D, Raponi M, Karbani G, Rashid Y, Jafri H, Bennett C, Corry P, Walsh CA, Woods CG (2005) A centrosomal mechanism involving CDK5RAP2 and CENPJ controls brain size. Nat Genet 37:353–355 Broumandi DD, Hayward UM, Benzian JM, Gonzalez I, Nelson MD (2004) Best cases from the AFIP: hemimegalencephaly. Radio- graphics 24(3):843–848 Camino R, Arjona A (2003) Septo-optic dysplasia plus. Lancet Neurol 2:436 Cepeda C, Hurst RS, Flores-Hernández J, Hernández-Echeagaray E, Klapstein GJ, Boylan MK, Calvert CR, Jocoy EL, Nguyen OK, André VM, Vinters HV, Ariano MA, Levine MS, Mathern GW (2003) Morphological and electrophysiological characterization of abnormal cell types in pediatric cortical dysplasia. J Neurosci Res 72(4):472–486 Chamberlain WA, Cohen ML, Gyure KA, Kleinschmidt-DeMasters BK, Perry A, Powell SZ, Qian J, Staugaitis SM, Prayson RA (2009) Interobserver and intraobserver reproducibility in focal cortical dysplasia (malformations of cortical development). Epilepsia 50:2593–2598 Chang BS, Aspe KA, Caraballo A, Cross JH, Mclellan A, Jacobson RD, Valente KD, Barkovich AJ, Walsh CA (2006) A familiar syndrome of unilateral polymicrogyria affecting the right hemisphere. Neurology 66:133–135 Chang EF, Wang DD, Barkovich AJ, Tihan T, Auguste KI, Sullivan JE, Garcia PA, Barbaro NM (2011) Predictors of seizure freedom after surgery for malformations of cortical development. Ann Neurol 70(1):151–162 Clement E, Mercuri E, Godfrey C, Smith J, Robb S, Kinali M, Straub V, Bushby K, Manzur A, Talim B, Cowan F, Quinlivan R, Klein A, Longman C, McWilliam R, Topaloglu H, Mein R, Abbs S, North K, Barkovich AJ, Rutherford M, Muntoni F (2008) Brain involvement in muscular dystrophies with defective dystro- glycan glycosylation. Ann Neurol 64(5):573–582 de Morsier G (1956) Etudes sum les dysraphies cranio-encephaliques. III. Agenesie du septum lucidum avec malformation du tractus optique: Ia dysplasie septo-optique. Schweiz Arch Neurol Psychi- atr 77:267–292 DeMyer W, Zeman W, Palmer GG (1964) The face predicts the brain. Diagnostic significance of median facial anomalies for holopros- encephaly (arhinencephaly). Pediatrics 34:256–263 Dixon-Salazar T, Silhavy JL, Marsh SE, Louie CM, Scott LC, Gururaj A, Al-Gazali L, Al-Tawari AA, Kayserili H, Sztriha L, Gleeson JG (2004) Mutations in the AHI1 gene encoding jouberin cause Joubert syndrome with cortical polymicrogyria. Am J Hum Genet 75:979–987 Dobyns WB (2010) The clinical patterns and molecular genetics of lissencephaly and subcortical band heterotopia. Epilepsia 51(Suppl. 1):5–9 Dobyns WB, Barkovich AJ (1999) Microcephaly with simplified gyral pattern (oligogyric microcephaly) and microlissencephaly. Neuro- pediatrics 30:105–106 Dobyns WB, Andermann E, Andermann F, Czapansky-Beilman D, Dubeau F, Dulac O, Guerrini R, Hirsch B, Ledbetter DH, Lee NS, Motte J, Pinard JM, Radtke RA, Ross ME, Tampieri D, Walsh CA, Truwit CL (1996) X-linked malformations of neuronal migration. Neurology 47(2):331–339 Dobyns WB, Guerrini R, Czapansky-Beilman DK, Pierpont ME, Breningstall G, Yock DH Jr, Bonanni P, Truwit CL (1997) Bilateral periventricular nodular heterotopia with mental retarda- tion and syndactyly in boys: a new X-linked mental retardation syndrome. Neurology 49(4):1042–1047 Dundar NO, Boz A, Duman O, Aydin F, Haspolat S (2008) Spontaneous periodic hypothermia and hyperhidrosis. Pediatr Neurol 39:438–440 Fauser S, Huppertz HJ, Bast T, Strobl K, Pantazis G, Altenmueller DM, Feil B, Rona S, Kurth C, Rating D, Korinthenberg R, Steinhoff BJ, Volk B, Schulze-Bonhage A (2006) Clinical char- acteristics in focal cortical dysplasia: a retrospective evaluation in a series of 120 patients. Brain 129:1907–1916 Flores-Sarnat L (2002) Hemimegalencephaly. I. Genetic, clinical, and imaging aspects. J Child Neurol 17:373–384 Flores-Sarnat L, Sarnat HB, Dávila-Gutiérrez G, Alvarez A (2003) Hemimegalencephaly: part 2. Neuropathology suggests a disorder of cellular lineage. J Child Neurol 18(11):776–785 Forman MS, Squier W, Dobyns WB, Golden JA (2005) Genotypically defined lissencephalies show distinct pathologies. J Neuropathol Exp Neurol 64(10):847–857 Fox JW, Lamperti ED, Eksßiog˘lu YZ, Hong SE, Feng Y, Graham DA, Scheffer IE, Dobyns WB, Hirsch BA, Radtke RA, Berkovic SF, Huttenlocher PR, Walsh CA (1998) Mutations in filamin 1 prevent migration of cerebral cortical neurons in human periventricular heterotopia. Neuron 21(6):1315–1325 Frazier JL, Goodwin CR, Ahn ES, Jallo GI (2009) A review on the management of epilepsy associated with hypothalamic hamarto- mas. Childs Nerv Syst 25:423–432 Freeman JL, Coleman LT, Wellard RM, Kean MJ, Rosenfeld JV, Jackson GD, Berkovic SF, Harvey AS (2004) MR imaging and Malformations of Cortical Development 161
  • 163.
    spectroscopic study ofepileptogenic hypothalamic hamartomas: analysis of 72 cases. AJNR Am J Neuroradiol 25:450–462 Friede R (1989) Developmental neuropathology, 2nd edn. Springer, Berlin Garavelli L, Guareschi E, Errico S, Simoni A, Bergonzini P, Zollino M, Gurrieri F, Mancini GM, Schot R, Van Der Spek PJ, Frigieri G, Zonari P, Albertini E, Giustina ED, Amarri S, Banchini G, Dobyns WB, Neri G (2007) Megalencephaly and perisylvian polymicrogyria with postaxial polydactyly and hydrocephalus [MPPH]: report of a new case. Neuropediatrics 38:200–203 Garbelli R, Milesi G, Medici V, Villani F, Didato G, Deleo F, D’Incerti L, Morbin M, Mazzoleni G, Giovagnoli AR, Parente A, Zucca I, Mastropietro A, Spreafico R (2012) Blurring in patients with temporal lobe epilepsy: clinical, high-field imaging and ultrastructural study. Brain, Aug 135(Pt 8):2337–2349 Giordano L, Vignoli A, Pinelli L, Brancati F, Accorsi P, Faravelli F, Gasparotti R, Granata T, Giaccone G, Inverardi F, Frassoni C, Dallapiccola B, Valente EM, Spreafico R (2009) Joubert syndrome with bilateral polymicrogyria: clinical and neuropathological findings in two brothers. Am J Med Genet A 149A:1511–1515 Gripp KW, Hopkins E, Vinkler C, Lev D, Malinger G, Lerman-Sagie T, Dobyns WB (2009) Significant overlap and possible identity of macrocephaly capillary malformation and megalencephaly poly- microgyria-polydactyly hydrocephalus syndromes. Am J Med Genet A 149A:868–876 Guerrini R, Dobyns WB (1998) Bilateral periventricular nodular heterotopia with mental retardation and frontonasal malformation. Neurology 51(2):499–503 Hayashi N, Tsutsumi Y, Barkovich AJ (2002) Polymicrogyria without porencephaly/schizencephaly. MRI analysis of the spectrum and the prevalence of macroscopic findings in the clinical population. Neuroradiology 44(8):647–655 Hermier M, Montavont A, Dupuis-Girod S, Cho TH, Honnorat J, Plauchu H (2010) Polymicrogyria: an underrecognized cause of epilepsy in in patients with hereditary hemorrhagic telangiectasia (Rendu-Osler disease). Epilepsia 51(Suppl 4):1–189 Hevner RF (2005) The cerebral cortex malformation in thanatophoric dysplasia: neuropathology and pathogenesis. Acta Neuropathol 110(3):208–221 Hildebrandt M, Pieper T, Winkler P, Kolodziejczyk D, Holthausen H, Blümcke I (2005) Neuropathological spectrum of cortical dysplasia in children with severe focal epilepsies. Acta Neuropathol 110(1):1–11 Hoyt CS, Billson F, Ouvrier R, Wise G (1978) Ocular features of Aicardi’s syndrome. Arch Ophthalmol 96:291–295 Huppertz HJ, Wellmer J, Staack AM, Altenmüller DM, Urbach H, Kröll J (2008) Voxel-based 3-D MRI analysis helps to detect subtle forms of subcortical band heterotopia. Epilepsia 49(5):772–785 Jackson AP (2002) Identification of microcephalin, a protein impli- cated in determining the size of the human brain. Am J Hum Genet 71(1):136–142 Jansen A, Andermann E (2005) Genetics of the polymicrogyria syndromes. J Med Genet 42(5):369–378 Jissendi-Tchofo P, Kara S, Barkovich AJ (2009) Midbrain–hindbrain involvement in lissencephalies. Neurology 72(5):410–418 Kallmann FT, Schoenfeld WA, Barrera SE (1944) The genetics aspects of primary eunuchoidism. Am J Mental Deficits 48:203–208 Kirschstein T, Fernandez G, Grunwald T, Pezer N, Urbach H, Blümcke I, Van Roost D, Lehnertz K, Elger CE (2003) Heterot- opias, cortical dysplasias and glioneural tumors participate in cognitive processing in patients with temporal lobe epilepsy. Neurosci Lett 338:237–241 Knorr JR, Ragland RL, Brown RS, Gelber N (1993) Kallmann syndrome: MR findings. AJNR Am J Neuroradiol. 14(4):845–851 Krsek P, Maton B, Korman B, Pacheco-Jacome E, Jayakar P, Dunoyer C, Rey G, Morrison G, Ragheb J, Vinters HV, Resnick T, Duchowny M (2008) Different features of histopathological subtypes of pediatric focal cortical dysplasia. Ann Neurol 63(6):758–769 Krsek P, Pieper T, Karlmeier A, Hildebrandt M, Kolodziejczyk D, Winkler P, Pauli E, Blümcke I, Holthausen H (2009a) Different presurgical characteristics and seizure outcomes in children with focal cortical dysplasia type I or II. Epilepsia 50(1):125–137 Krsek P, Maton B, Jayakar P, Dean P, Korman B, Rey G, Dunoyer C, Pacheco-Jacome E, Morrison G, Ragheb J, Vinters HV, Resnick T, Duchowny M (2009b) Incomplete resection of focal cortical dysplasia is the main predictor of poor postsurgical outcome. Neurology 72(3):217–223 Kuzniecky R, Andermann F, Guerrini R (1993) Congenital bilateral perisylvian syndrome: study of 31 patients. The congenital bilateral perisylvian syndrome multicenter collaborative study. Lancet 341:608–612 Lerner JT, Salamon N, Hauptman JS, Velasco TR, Hemb M, Wu JY, Sankar R, Donald Shields W, Engel J Jr, Fried I, Cepeda C, Andre VM, Levine MS, Miyata H, Yong WH, Vinters HV, Mathern GW (2009) Assessment of surgical outcomes for mild type I and severe type II cortical dysplasia: a critical review and the UCLA experience. Epilepsia 50:1310–1335 Leventer RJ, Jansen A, Pilz DT, Stoodley N, Marini C, Dubeau F, Malone J, Mitchell LA, Mandelstam S, Scheffer IE, Berkovic SF, Andermann F, Andermann E, Guerrini R, Dobyns WB (2010) Clinical and imaging heterogeneity of polymicrogyria: a study of 328 patients. Brain 133:1415–1427 Lewis AJ, Simon EM, Barkovich AJ, Clegg NJ, Delgado MR, Levey E, Hahn JS (2002) Middle interhemispheric variant of holoprosencephaly: a distinct cliniconeuroradiologic subtype. Neurology 59(12):1860–1865. Matsunaga E, Shiota K (1977) Holoprosencephaly in human embryos: epidemiologic studies of 150 cases. Teratology 16:261–272 Miller SP, Shevell MI, Patenaude Y, Poulin C, O’Gorman AM (2000) Septo-optic dysplasia plus: a spectrum of malformations of cortical development. Neurology 54:1701–1703 Moog U, De Die-Smulders CE, Schrander-Stumpel CT, Engelen JJ, Hamers AJ, Frints S, Fryns JP (2001) Holoprosencephaly: the Maastricht experience. Genet Couns 12(3):287–298 Oba H, Barkovich AJ (1995) Holoprosencephaly: an analysis of callosal formation and its relation to development of the inter- hemispheric fissure. AJNR Am J Neuroradiol 16:453–460 Palm L, Hägerstrand I, Kristoffersson U, Blennow G, Brun A, Jörgensen C (1986) Nephrosis and disturbances of neuronal migration in male siblings–a new hereditary disorder? Arch Dis Child 61(6):545–548 Palmini A, Lüders H (2002) Classification issues in malformations caused by abnormalities of cortical development. Neurosurg Clin N Am 13:1–16 Palmini A, Najm I, Avanzini G, Babb T, Guerrini R, Foldvary- Schaefer N, Jackson G, Lüders HO, Prayson R, Spreafico R, Vinters HV (2004) Terminology and classification of the cortical dysplasias. Neurology 62(6 Suppl 3):S2–S8. Review Pattison L, Crow YJ, Deeble VJ, Jackson AP, Jafri H, Rashid Y, Roberts E, Woods CG (2000) A fifth locus for primary autosomal recessive microcephaly maps to chromosome 1q31. Am J Hum Genet 67:1578–1580 Pilz DT, Matsumoto N, Minnerath S, Mills P, Gleeson JG, Allen KM, Walsh CA, Barkovich AJ, Dobyns WB, Ledbetter DH, Ross ME (1998) LISI and XLIS (DCX) mutations cause most classical lissencephaly, but different patterns of malformation. Hum Mol Genet 7:2029–2037 Pilz DT, Kuc J, Matsumoto N, Bodurtha J, Bernadi B, Tassinari CA, Dobyns WB, Ledbetter DH (1999) Subcortical band heterotopia in 162 H. Urbach and S. Greschus
  • 164.
    rare affected malescan be caused by missense mutations in DCX (XLIS) or LIS1. Hum Mol Genet 8(9):1757–1760 Rakic P (1988) Defects of neuronal migration and the pathogenesis of cortical malformation. Prog Brain Res 73:15–37 Roach E, Demyer W, Conneally PM, Palmer C, Merritt AD (1975) Holoprosencephaly: birth data, benetic and demographic analyses of 30 families. Birth Defects Orig Artic Ser 11(2):294–313 Robin NH, Ko LM, Heeger S, Muise KL, Judge N, Bangert BA (1996) Syntelencephaly in an infant of a diabetic mother. Am J Med Genet 66:433–437 Roessler E, Muenke M (1999) The molecular genetics of holopros- encephaly: a model of brain development for the next century. Child’s Nerv Syst 15:646–651 Rosenberg MJ, Agarwala R, Bouffard G, Davis J, Fiermonte G, Hilliard MS, Koch T, Kalikin LM, Makalowska I, Morton DH, Petty EM, Weber JL, Palmieri F, Kelley RI, Schäffer AA, Biesecker LG (2002) Mutant deoxynucleotide carrier is associated with congenital microcephaly. Nat Genet 32(1):175–179 Ross ME, Swanson K, Dobyns WB (2001) Lissencephaly with cerebellar hypoplasia (LCH): a heterogeneous group of cortical malformations. Neuropediatrics 32:256–263 Schijns OE, Bien CG, Majores M, von Lehe M, Urbach H, Becker A, Schramm J, Elger CE, Clusmann H (2011) Presence of temporal gray–white matter abnormalities does not influence epilepsy surgery outcome in temporal lobe epilepsy with hippocampal sclerosis. Neurosurgery 68(1):98–106 Shapiro WR, Williams GH, Plum F (1969) Spontaneous recurrent hypothermia accompanying agenesis of the corpus callosum. Brain 92:423–436 Sheen VL, Wheless JW, Bodell A, Braverman E, Cotter PD, Rauen KA, Glenn O, Weisiger K, Packman S, Walsh CA, Sherr EH (2003) Periventricular heterotopia associated with chromosome 5p anomalies. Neurology 60(6):1033–1036 Sheen VL, Ganesh VS, Topcu M, Sebire G, Bodell A, Hill RS, Grant PE, Shugart YY, Imitola J, Khoury SJ, Guerrini R, Walsh CA (2004) Mutations in ARFGEF2 implicate vesicle trafficking in neural progenitor proliferation and migration in the human cerebral cortex. Nat Genet 36(1):69–76 Shen J, Gilmore EC, Marshall CA, Haddadin M, Reynolds JJ, Eyaid W, Bodell A, Barry B, Gleason D, Allen K, Ganesh VS, Chang BS, Grix A, Hill RS, Topcu M, Caldecott KW, Barkovich AJ, Walsh CA (2010) Mutations in PNKP cause microcephaly, seizures and defects in DNA repair. Nat Genet 42(3):245–249 Sicca F, Kelemen A, Genton P, Das S, Mei D, Moro F, Dobyns WB, Guerrini R (2003) Mosaic mutations of the LISI gene cause subcortical band heterotopia. Neurology 61(8):1042–1046 Simon EM, Hevner RF, Pinter J, Clegg NJ, Delgado M, Kinsman SL, Hahn JS, Barkovich AJ (2001) The dorsal cyst in holoprosenceph- aly and the role of the thalamus in its formation. Neuroradiology 43:787–791 Sims J (1835) On hypertrophy and atrophy of the brain. Med Quir Trans 19:315–380 Takanashi J, Barkovich AJ (2003) The changing MR imaging appearance of polymicrogyria: a consequence of myelination. AJNR Am J Neuroradiol 24(5):788–793 Tambasco N, Corea F, Bocola V (2005) Subtotal corpus callosum agenesis with recurrent hyperhidrosis-hypothermia (Shapiro syn- drome). Neurology 65:124 Tampieri D, Walsh CA, Truwit CL (1993) X-linked malformations of neuronal migration. Neurology 47:331–339 Tassi L, Garbelli R, Colombo N, Bramerio M, Lo Russo G, Deleo F, Milesi G, Spreafico R (2010) Type I focal cortical dysplasia: surgical outcome is related to histopathology. Epileptic Disord 3:181–191 Taylor DC, Falconer MA, Bruton CJ, Corsellis JA (1971) Focal dysplasia of the cerebral cortex in epilepsy. J Neurol Neurosurg Psychiatry 34(4):369–387 Tortori-Donati P (2005) Pediatric neuroradiology brain. Springer, Berlin Truwit CL, Barkovich AJ, Grumbach MM, Martini JJ (1993) MR imaging of Kallmann syndrome, a genetic disorder of neuronal migration affecting the olfactory and genital systems. AJNR Am J Neuroradiol 14(4):827–838 Urbach H, Scheffler B, Heinrichsmeier T, von Oertzen J, Kral T, Wellmer J, Schramm J, Wiestler OD, Blümcke I (2002) Focal cortical dysplasia of Taylor’s balloon cell type: a clinicopatholog- ical entity with characteristic neuroimaging and histopathological features, and favorable postsurgical outcome. Epilepsia 43:33–40 Urbach H, Blümcke I, Becker A, Solymosi L (2003) Störungen der kortikalen Entwicklung: Bildgebung und Klassifizierung. Klin Neuroradiol 13:163–172 Valdueza JM, Cristante L, Dammann O, Bentele K, Vortmeyer A, Saeger W, Padberg B, Freitag J, Herrmann HD (1994) Hypotha- lamic hamartomas: with special reference to gelastic epilepsy and surgery. Neurosurgery 34:949–958 Wagner J, Wellmer J, Urbach H, Niehusmann P, von Lehe M, Elger CE (2011a) Focal cortical dysplasia type IIb: completeness of cortical, not subcortical resection is necessary for seizure freedom. Epilepsia 52:1418–1424 Wagner J, Weber B, Urbach H, Elger CE, Huppertz HJ (2011b) Morphometric MRI analysis improves detection of focal cortical dysplasia type II. Brain 134(Pt 10):2844–2854 Widdess-Walsh P, Kellinghaus C, Jeha L, Kotagal P, Prayson R, Bingaman W, Najm IM (2005) Electro-clinical and imaging characteristics of focal cortical dysplasia: correlation with patho- logical subtypes. Epilepsy Res 67:25–33 Wolpert SM, Cohen A, Libenson MH (1994) Hemimegalencephaly: a longitudinal MR study. AJNR Am J Neuroradiol 15:1479–1482 Yagishita A, Arai N, Tamagawa K, Oda M (1998) Hemimegalen- cephaly: signal changes suggesting abnormal myelination on MRI. Neuroradiology 40(11):734–738 Yakovlev PI (1959) Pathoarchitectonic studies of cerebral malforma- tions. III. Arhinencephalies (holoprosencephalies). J Neuropathol Exp Neurol 18:22–55 Malformations of Cortical Development 163
  • 165.
    Neurocutaneous Diseases (Phakomatoses) HorstUrbach Contents 1 Introduction.......................................................................... 165 2 Tuberous Sclerosis Complex .............................................. 165 3 Sturge–Weber Syndrome.................................................... 166 4 Neurofibromatosis Type 1 .................................................. 168 5 Meningioangiomatosis ......................................................... 172 6 Hypomelanosis of Ito........................................................... 173 7 Epidermal Nevus Syndromes ............................................. 173 8 Incontinentia Pigmenti (Bloch–Sulzberger Syndrome)... 173 9 Lipoid Proteinosis (Urbach–Wiethe Syndrome).............. 175 10 Linear Scleroderma (en coup de sabre syndrome) and Parry–Romberg Syndrome......................................... 175 References...................................................................................... 175 Abstract This chapter describes phakomatoses associated with epilepsy, namely, tuberous sclerosis complex, Sturge– Weber syndrome, neurofibromatosis type 1, meningio- angiomatosis, hypomelanosis of Ito, epidermal nevus syndrome and variants, incontinentia pigmenti, lipopro- teinosis, and linear scleroderma, which is also known as en coup de sabre syndrome. 1 Introduction Phakomatosis is an umbrella term for several diseases with hamartomas/hamartomatous tumors in the brain and the skin. The term is derived from the Greek word uajó1, meaning ‘‘lens’’ or ‘‘spot.’’ Relevant phakomatoses with respect to epilepsy comprise tuberous sclerosis complex (TSC), Sturge–Weber syndrome, neurofibromatosis type 1, meningioangiomatosis, hypomelanosis of Ito, and epider- mal nevus syndrome and variants. Others, like incontinentia pigmenti, lipoproteinosis, and linear scleroderma (en coup de sabre syndrome), are rare conditions, yet is their patho- genesis fully understood. Seizures in neurofibromatosis type 2 patients are rather rare and likely secondary to leptome- ningeal tumors (meningioma, meningioangiomatosis). 2 Tuberous Sclerosis Complex Synonym: M. Bourneville–Pringle Epidemiology: The second-most common phakomatosis after NF1, characterized by multiple hamartomas in differ- ent organs. The prevalence is 1:30,000, and the birth inci- dence 1:6,000 (Osborne et al. 1991). The incidence of forme fruste forms is likely higher. Pathogenesis: Autosomal-dominant disease with vari- able expressivity and low penetrance. High percentage of de novo mutations. Two genes have been identified: The TSC1 H. Urbach (&) Department of Neuroradiology, University Hospital Freiburg, Germany e-mail: horst.urbach@uniklinik-freiburg.de H. Urbach (ed.), MRI in Epilepsy, Medical Radiology. Diagnostic Imaging, DOI: 10.1007/174_2012_780, Ó Springer-Verlag Berlin Heidelberg 2013 165
  • 166.
    gene on chromosome9q34 encodes for a protein called tuberin, while the TSC2 gene on chromosome 16p13 encodes for a protein called hamartin. Both genes act together as tumor suppressor genes. TSC2 mutations are more common than TSC1 mutations, and both somatic and germline mosaicisms have been described. Clinical presentation: Up to 90 % of patients have drug- resistant seizures, which often start as infantile spasms in the first months of life. In addition, mental retardation, behavioral problems, and learning difficulties are common (Table 1). Imaging: Cranial MRI may show the classical triad of cortical tubers indistinguishable from FCDs IIB, sube- pendymal calcified nodules, and subependymal giant cell astrocytoma. Subependymal giant cell astrocytoma may develop with different velocities most often in the region of the Foramen of Monro. Contrast-enhanced T1-weighted MRI with follow-up studies is therefore mandatory. Recent studies indicate that subependymal giant cell astrocytomas shrink under a drug therapy with everolimus (Krueger et al. 2010) (Fig. 1). 3 Sturge–Weber Syndrome Synonym: Encephalotrigeminal angiomatosis Epidemiology: Rare (1:50,000), sporadic, congenital, noninherited, but sometimes familial neurocutaneous disease; m = f. Initial description by William Allen Sturge in 1879. Pathogenesis: Faulty ‘‘involution’’ of fetal cortical veins with the creation of a pial angiomatosis characterized by numerous small and tortuous dark purple venules. Due to progressive venous occlusion and chronic venous ischemia, brain atrophy and ‘‘tram-track’’ calcifications in the cortex underlying the angioma and in the subcortical white matter result. Clinical presentation: Port-wine nevus in the territory of cranial nerves V1 and V2 is present at birth. Fifty percent of patients have additional trunk and limb port-wine nevi and mucous membrane angiomatosis. The port-wine nevus almost always lies above the palpebral fissure involving the upper eyelid and the frontal region. Lesions close to the midline are commonly associated with anteriorly located Table 1 Tuberous sclerosis complex (TSC): diagnostic criteria and modalities Frequency, clinical characteristics, and imaging modality of choice Major features Facial angiofibroma or forehead plaque Rare before age of 4, often ‘‘butterfly’’ distribution Nontraumatic ungual or periungual fibroma 20–35 % of postpubertal patients Three or more hypomelanotic macules Present at birth, demonstrated by Wood’s light Shagreen patch (connective tissue nevus) 20–35 % of postpubertal patients Multiple retinal nodular hamartomas Cortical tubers Indistinguishable from FCDs IIB Subependymal nodules 50 % calcify, T2-weighted gradient echo and SWI sequences, CT Subependymal giant cell astrocytoma Around 20 % of TSC patients, peak incidence in second decade, grow with different velocities in region of foramen of Monroe. Contrast-enhanced T1-weighted MRI with follow-up is mandatory Cardiac rhabdomyoma, single or multiple Cardiac ultrasound Lymphangiomyomatosisa Chest computed tomography Renal angiomyolipomaa Ultrasound Minor features Multiple, randomly distributed pits in dental enamel Inspection Hamartomatous rectal polyps Histologic confirmation is suggested Bone cysts Radiographic proof is sufficient Cerebral white matter radiation lines MRI proof is sufficient Gingiva fibromas Inspection Nonrenal hamartomas Histologic confirmation is suggested Retinal achromic patch Fundoscopy ‘‘Confetti’’ skin lesions Inspection Multiple renal cysts Histologic confirmation is suggested a When both lymphangiomyomatosis and renal angiomyolipoma are present, other TSC features are needed to establish a definite diagnosis Adapted from Roach et al. (1998) 166 H. Urbach
  • 167.
    pial angiomatosis, off-midlinelesions with the more fre- quent parietooccipital angiomas (Enjolras et al. 1985). Choroidal angioma (70 %) may cause congenital glau- coma and buphthalmos. Retinal telangiectatic vessels, scleral angioma, iris heterochromia. Epileptic seizures (90 %) usually start in the first year of life: infantile spasms, tonic–clonic, myoclonic seizures. Hemiparesis, hemianopia (66 %). Migraine episodes starting with a mean age of 8 years. Hypothyroidism. Imaging: Unilateral [ bilateral brain atrophy developing during the first years of life. Pial angiomatosis: present at birth, unilateral (80 %), bilateral (20 %). Occipital [ parietal [ frontal, temporal lobes [ diencephalon [ cere- bellar involvement (Fig. 2). ‘‘Tram-track’’ calcifications: can be present at birth, but usually develop during the first years of life. Enlarged ipsilateral choroid plexus subjacent to pial angiomatosis. In the early stage, increased white matter volume and T2-weighted signal due to accelerated myelin maturation. In late stages, atrophy, gliosis, and compensatory thick dipole and hyperpneumatized sinuses. Orbital enhancement ([50 %) due to choroidal angioma, periorbital soft tissues, bony orbit, and frontal lobes. Sometimes polymicrogyria and heterotopias (Fig. 3). Fig. 1 Tuberous sclerosis complex with multiple cortical tubers (c: white arrows), subependymal nodules (a, b: black arrows), and a subependymal giant cell astrocytoma (b, d: hollow arrow). Six years before, the subependymal giant cell astrocytoma did not exist (a: hollow arrow). Cortical tubers are histopathologically and on MRI similar to FCD IIB. Subependymal nodules calcify in around 50 % of cases and are therefore T2-hypointense. The subependymal giant cell astrocytoma is typically adjacent to the Foramen of Monro and the frontal horn of the lateral ventricle Neurocutaneous Diseases (Phakomatoses) 167
  • 168.
    4 Neurofibromatosis Type1 Synonym: von Recklinghausen disease Epidemiology: Neurofibromatosis was initially described by the German pathologist Friedrich von Recklinghauen in 1882. It is an autosomal-dominant disorder with a preva- lence of 1:3,000. However, 50 % of cases are new muta- tions. There are eight different neurofibromatosis subtypes, with NF1 accounting for 85 % of cases. The incidence of epilepsy in NF1 is around 5–10 %. All types of seizures, including infantile spasms, may occur. Pathogenesis: The gene product of the NF1 gene on chromosome 17q12 is neurofibromin, which acts as a tumor suppressor. Mutation of the NF1 gene allows cell prolifer- ation and tumor development. Clinical presentation: NF1 may be diagnosed if two or more of the following features are present (NIH Consensus Conference 1988): • Café au lait spots: These are well-delineated macules with a coffee-with-milk color. As an isolated finding, they are relatively common: 10–20 % of the general population has one or a few spots. Multiple café au lait spots are present in 90 % of NF1 patients. The presence of more than five spots having a diameter [5 mm in children and [15 mm in adults is suggestive for NF1. Note that café au lait spots may be the only clinical sign in children, who should be followed until early adulthood. • Neurofibromas: Two neurofibromas or one plexiform neurofibroma: Neurofibromas are intracutaneous or sub- cutaneous tumors measuring from a few millimeters to several centimeters. They are sometimes found in chil- dren younger than 10 years of age and steadily increase in number with age. Plexiform neurofibromas are non- encapsulated cutaneous and subcutaneous tumors, which can be very large and continuous with intracranial or intraspinal tumors. Fig. 2 Sturge–Weber syndrome in a 2.5-year-old boy with port-wine nevus in the right NV1 and V2 territories and complex focal motor seizures. MRI shows right-sided hemiatrophy with parietal accentu- ation (a, d–f: arrow) and pial angiomatosis covering the parietal, occipital, and temporal lobes (b: hollow arrow). T2-weighted images are rather unremarkable besides tiny flow void structures (a: black arrow). Choroid plexus ‘‘angioma’’ is another key feature of Sturge– Weber syndrome (c: arrow). In the first years of life, tram-track calcifications may be absent (e, f) 168 H. Urbach
  • 169.
    • Axillary and/oringuinal freckling: Smaller café au lait spots in the axillary and inguinal areas are seen in 20 % of NF1 patients. • Optic glioma. • Two or more Lisch nodules of the iris: Lisch nodules are pigmented iris hamartomas and found in 22–30 % of NF1 patients by 6 years of age and in nearly all patients after 12 years of age. • Distinctive bony lesions (sphenoid bone dysplasia, others). • First-degree relative with NF1. Imaging: Optic nerve and hypothalamic gliomas are present in 15–20 % of NF1 patients. They are typically benign pilocytic astrocytomas differing from other optic gliomas by the presence of an arachnoid gliomatosis around the optic nerve. They are typically bilateral, may be limited to the optic nerves, or may involve the chiasm and the retrochiasmatic visual pathway. Half of the tumors remain stable; the other half increase in size and threaten vision. Progression beyond the age of 10 years is rare. Intraaxial brain tumors, including astrocytomas and typical childhood tumors like medulloblastoma and epen- dymoma, are somewhat more frequent than in the general population. In 60–70 % of children with NF1, focal, non-space- occupying, bilateral, somewhat asymmetrical, not-well- defined lesions in the globus pallidus, thalamus, brainstem, and cerebellar white matter are found (‘‘spongious lesions’’). Spongious lesions may measure up to 3 cm and are T2- and FLAIR-hyperintense, and T1-hypointense, -isointense, or slightly hyperintense. Histologically, foci of Fig. 3 (a–c) Atypical Sturge–Weber syndrome in a 16-year-old boy with focal frontal lobe atrophy associated with calcifications and large subcortical heterotopia. (d–f) Bilateral Sturge–Weber syndrome in a 12-year-old boy with bilateral port-wine nevi. MRI and CT in this case show vessel structures (d: arrow) and tram-track calcifications in the right hemisphere (e: arrow), but also an enlarged choroid plexus in the left trigone (f: arrow) Neurocutaneous Diseases (Phakomatoses) 169
  • 170.
    Fig. 4 Twoneurofibromatosis type 1 patients with chiasm glioma (a: arrow), plexiform neurofibromas (b: open arrow), and spongious or hamartomatous lesion (f: arrow). Note bilateral hippocampal signal changes suggesting bilateral hippocampal sclerosis. Histopathological evaluation of the right hippocampus failed to show hippocampal sclerosis in one case (a, b), while it was proven in the other case (c–f) 170 H. Urbach
  • 171.
    myelin vacuolization arefound, but no demyelination or inflammation is found. Spongious lesions increase in num- ber and size in the first decade, regress afterwards, and are rarely found in the third decade of life. Dural ectasia can produce bilateral enlargement of the internal auditory canals and should not be mismatched with NF2. Vascular lesions caused by intimal proliferation are more common in the extracranial circulation; however, aneu- rysms, a Moya pattern, and others have been described. In 80 % of NF1 children, coronal FLAIR and T2-weigh- ted fast spin echo images show both hippocampi of higher signal intensity compared to healthy controls. There may be some asymmetry and the involvement of the amygdala and Fig. 5 Two examples of meningioangiomatosis: The hallmark of MRI is a leptomeningeal-cortical contrast enhancement (a: arrow) and a T2-weighted subcortical hyperintensity (b). With high resolution (c; d: 3T, voxel 0.47 9 0.64 9 2 mm), a radial orientation is visible: Meningeal cells proliferate along perivascular (Virchow–Robin) spaces. Contrast enhancement can be subtle or absent (e). CT is helpful to prove calcification (f) Neurocutaneous Diseases (Phakomatoses) 171
  • 172.
    parahippocampal gyrus (Gill2006). The consequence with respect to postsurgical seizure freedom is not clear yet: In the Bonn University epilepsy surgery program, one of five patients with NF1 and bilateral hippocampal changes underwent amygdalohippocampectomy. He became seizure- free, and histology revealed hippocampal sclerosis (Fig. 4). 5 Meningioangiomatosis Epidemiology: Rare, hamartomatous, cortical/leptomenin- geal dysplasia in childen; m [ f. Pathogenesis: Not known: A hamartoma, a meningioma with brain invasion, and a vascular malformation are discussed. Clinical presentation: Usually children with drug-resis- tant seizures. Half of them have neurofibromatosis (fre- quently NF2), so that sometimes meningioangiomatosis lesions are detected while imaging for other NF manifes- tations (Jallo et al. 2005). Pathology: Cortical meningovascular dysplasia with calcification and the proliferation of meningoendothelial cells along perivascular spaces. No malignant degeneration. Imaging: Circumscribed lesion with (80 %) or without calcifications (20 %) and cortical and subcortical T2- weighted hyperintensity. Contrast enhancement on the brain surface with radial extention in the depth. Contrast enhancement is sometimes subtle and may be absent. Fig. 6 Hypomelanosis of Ito in a 24-year-old severely disabled woman. The left hemisphere is hemimegalencephalic, showing a distorted anatomy of the frontal lobe and the perisylvian region (a, b, d, e: arrow). Note, however, also irregular insula and Sylvian fissure configuration on the right side (c, d: hollow arrow) 172 H. Urbach
  • 173.
    With high resolution,radial T2-weighted hyperintense stripes representing the enlarged perivascular spaces can be visible (Fig. 5). 6 Hypomelanosis of Ito Synonym: Incontinentia pigmenti achromians Epidemiology: Rare neurocutaneous disease, which was initially described by Ito in (1952). Prevalence: 1:8,000–10,000. Pathogenesis: Not known; several chromosomal mosa- icisms have been found. A gene mutation affecting neuronal progenitor-derived cells and chromosomal stability is sup- posed to generate cytogenetic anomalies of neurons and melanocytes. Clinical presentation: Cutaneous manifestations: Hypo- pigmented patches and swirls along the lines of Blaschko, which are present at birth or develop early in childhood. Extracutaneous manifestations: mental retardation (65 %); epileptic seizures (53 %); autism (12 %); psychi- atric symptoms; macrocephaly; teeth, ocular, skeletal, and cardiac abnormalities. Imaging: Nonuniform pattern including hemimegalen- cephaly, pachygyria, cortical dysplasias, gray matter het- erotopias, white matter anomalies, and others (Fig. 6). 7 Epidermal Nevus Syndromes Epidemiology: Several very rare neurocutaneous syndromes are characterized by large skin nevi, ipsilateral brain mal- formations, and often ocular, skeletal, and other anomalies. Head and body asymmetries with overgrowth on the side of the skin changes are other characteristic features (Sugarman 2007; Happle 2010). These syndromes may be summarized under the umbrella term ‘‘epidermal nevus’’ or ‘‘organoid nevus syndromes’’. Some of these syndromes can be distinguished by the type of epidermal nevus and by the criterion of the presence or absence of heritability. More common subtypes are the linear sebaceous nevus or nevus sebaceous of Ja- dassohn syndrome and the Proteus syndrome. However, several names are sometimes used for the same syndrome, and syndromes clinically show overlaps (Turner et al. 2004). From an MRI perspective, it is important to know that hemimegalencephaly is a common brain malformation (Pavone et al. 1991), but other malformations (agenesis of the corpus callosum, Dandy–Walker syndrome, myelome- ningocele, Arnold–Chiari malformation, vascular malfor- mations, brain tumors) may also occur. Linear sebaceous nevus or nevus sebaceous of Jadassohn syndrome: The syndrome (also known as Schimmelpfennig–Feuer- stein–Mims syndrome) is characterized by linear sebaceous nevi, often on the face, that typically follow the lines of Blaschko (Hornstein and Knickenberg 1974; Bouwes Ba- vinck and van de Kamp 1985). All cases are sporadic. The syndrome is considered to be caused by an autosomal- dominant lethal mutation that survives by somatic mosai- cism (Gorlin et al. 2001). Proteus syndrome: Proteus was a Greek sea god who could change his shape. The name ‘‘Proteus syndrome’’ was proposed by the German pediatrician Hans-Rudolf Wiede- mann in 1983; the disorder was initially described by Cohen and Hayden in 1979 (Wiedemann et al. 1983). Proteus syndrome is a very rare congenital disorder (up to 20 % have PTEN mutations) with a progressive course of asym- metric and disproportionate overgrowth of body parts, connective tissue and epidermal nevi, vascular malforma- tions, skull and brain anomalies, and tumors often over the half of the body (Dietrich et al. 1998). A newly defined syndrome that was formerly misclassified as Proteus syn- drome is associated with lipomatous overgrowth and has been designated as CLOVE syndrome (Sapp et al. 2007; McCall et al. 1992). Clinical presentation: Craniofacial epidermal nevus, ipsilateral cerebral abnormalities, ocular and skeletal abnor- malities, mental retardation, and often drug-resistant seizures. Imaging: Consider epidermal nevus syndrome and vari- ants in patients with skin changes and ipsilateral cerebral abnormalities, vascular anomalies, tumors, and tumorlike conditions. Among the relatively common vascular anom- alies, aortic coarctation and aneurysm, renal artery stenosis, and carotid artery stenosis have been reported (Greene et al. 2007). 8 Incontinentia Pigmenti (Bloch– Sulzberger Syndrome) Epidemiology: Rare X-linked multisystem disorder with pathognomonic skin manifestations initially described by the dermatologists Bloch in 1926 and Sulzberger in 1928, respectively. Neurological manifestations occur in 30 % of patients, typically in the neonatal period (Meuwissen and Mancini 2012). Pathogenesis: Mutations of the NEMO gene on chro- mosome Xq28 encoding for a transcription factor that reg- ulates apoptosis, reactions on various cytokines, and cell adhesion. Clinical presentation: Skin changes comprise hypopig- mentation, linear and swirled vesicular lesions (Hubert and Callen 2002). Ocular findings comprise a range of retinal vascular changes and optic atrophy, but also developmental defects like microphthalmia and cataract (Meuwissen and Neurocutaneous Diseases (Phakomatoses) 173
  • 174.
    Mancini 2012). Neurologicalmanifestations comprise epi- leptic encephalopathy, seizures of different types, acute disseminated encephalomyelitis, and ischemic stroke. Seizures of different types seem to correlate with the degree of cerebrovascular damage. Imaging: MRI findings likely reflect changes following microvascular brain injury and include periventricular and subcortical white matter disease, including diffusion- restricted lesions and atrophy, hemorrhagic changes, and corpus callosum hypoplasia (Pascual-Castroviejo et al. Fig. 7 CT (a) and MRI (b–e) in a 36-year-old woman with Urbach–Wiethe syndrome. Characteristic are the nearly complete amygdala calcifications with a taillike extension into the parahippocampal gyrus 174 H. Urbach
  • 175.
    1994; Hennel etal. 2003; Wolf et al. 2005; Hsieh and Chang 2011; Meuwissen and Mancini 2012). 9 Lipoid Proteinosis (Urbach–Wiethe Syndrome) Epidemiology: Described for the first time by Urbach and Wiethe in 1929. Autosomal-recessive inherited disorder with deposits of amorphous hyaline material in skin and mucosal membranes and of calcifications in amygdala and basal ganglia. Around 300 cases have been described. Pathogenesis: Mutation of the ECM1 gene on chromo- some 1q21 encodimg for the glycoprotein ECM1, which is expressed in skin, endothelial cells, and developing bone. Clinical presentation: Skin changes with thickening, scar- ring, and xanthelasma-like nodules of the eyelids. Hoarseness since childhood; thin and fragile hair. Epileptic seizures may occur; cognitive deficits and lack of emotional ‘‘involvement’’ are predominant clinical symptoms (Claeys et al. 2007). Imaging: Symmetric, half-moon-shaped calcifications of the amygdalae are pathognomonic. Calcifications may also occur in the hippocampus, parahippocampal gyrus, and striate (Gonçalves et al. 2010) (Fig. 7). 10 Linear Scleroderma (en coup de sabre syndrome) and Parry–Romberg Syndrome Epidemiology: Linear scleroderma is an indented, vertical, colorless line of skin on the forehead, also called en coup de sabre, meaning ‘‘sword stroke’’ syndrome. It is typically associated with a focal linear atrophy of the skin and sub- cutaneous tissue. Parry–Romberg syndrome (progressive facial hemiatrophy) is a rare disease of unknown origin clinically sometimes associated with focal seizures and even epilepsia partialis continua. Several case reports indicate a close relationship between both entities (Carreño et al. 2007; Chiang et al. 2009; Longo et al. 2011; Seifert et al. 2011). Pathogenesis: The exact pathogenesis is unclear. Some cases of Parry–Romberg syndrome are associated with Rasmussen encephalitis. Clinical presentation: Parry–Romberg syndrome is characterized by a slowly progressive, unilateral atrophy of facial tissue, including muscles, bones, and skin. Atrophy typically starts in the first or second decade of life, slowly progresses over several years, and eventually becomes sta- ble. Neurological involvement includes focal seizures (Epilepsia partialis continua), migraine, and facial pain. Imaging: Unilateral progressive atrophy of skin, subcu- taneous tissue, and bones of the face. Progressive hemiat- rophy of the ipsilateral hemisphere and sometimes signal changes like those in Rasmussen encephalitis (initial swelling and hyperintense signal of the cortex with periin- sular accentuation; later on progressive atrophy of the hyperintense tissue) (Fig. 8). References Bouwes Bavinck JN, van de Kamp JJP (1985) Organoid naevus phakomatosis: Schimmelpenning–Feuerstein–Mims syndrome. Br J Derm 113:491–492 Carreño M, Donaire A, Barceló MI et al (2007) Parry–Romberg syndrome and linear scleroderma in coup de sabre mimicking Rasmussen encephalitis. Neurology 68(16):1308–1310 Fig. 8 Parry–Romberg syndrome and Rasmussen encephalitis in a 16-year-old boy. Initially, atrophic skin, subcutaneous and bone tissue (a: arrow) as well as cortical swelling suggestive of the acute stage of Rasmussen encephalitis (a: open arrow) were observed. Atrophic skin changes slowly progressed (b, c: arrows), and histologically proven Rasmussen encephalitis evolved into a chronic stage with tissue atrophy Neurocutaneous Diseases (Phakomatoses) 175
  • 176.
    Chiang KL, ChangKP, Wong TT, Hsu TR (2009) Linear scleroderma ‘‘en coup de sabre’’: initial presentation as intractable partial seizures in a child. Pediatr Neonatol 50(6):294–298 Claeys KG, Claes LR, Van Goethem JW et al (2007) Epilepsy and migraine in a patient with Urbach–Wiethe disease. Seizure 16:465–468 Cohen MM Jr, Hayden PW (1979) A newly recognized hamartom- atous syndrome. Birth Defects Orig Artic Ser 15:291–296 Dietrich RB, Glidden DE, Roth GM et al (1998) The Proteus syndrome: CNS manifestations. Am J Neuroradiol 19(5):987–990 Enjoltas O, Riche MC, Merland JJ (1985) Facial port-wine stains and Sturge–Weber syndrome. Pediatrics 76:48–51 Gill DS (2006) Age-related findings on MRI in neurofibromatosis type 1. Pediatr Radiol 36:1048–1056 Gonçalves FG, de Melo MB, de L Matos V et al (2010) Amygdalae and striatum calcification in lipoid proteinosis. Am J Neuroradiol 31(1):88–90 Gorlin RJ, Cohen MM, Hennekam RCM (2001) Syndromes of the Head and Neck, 4th edn. Oxford University Press, New York, pp 484–488 Greene AK, Rogers GF, Mulliken JB (2007) Schimmelpenning syndrome: an association with vascular anomalies. Cleft Palate Craniofac J 44:208–215 Happle R (2010) The group of epidermal nevus syndromes. Part I. Well defined phenotypes. J Am Acad Dermatol 63(1):1–22 Hennel SJ, Ekert PG, Volpe JJ, Inder TE (2003) Insights into the pathogenesis of cerebral lesions in incontinentia pigmenti. Pediatr Neurol 29(2):148–150 Hornstein OP, Knickenberg M (1974) Zur Kenntnis des Schimmel- penning-Feuerstein-Mims-Syndroms (Organoide Naevus-Phako- matose) [in German]. Arch Derm Forsch 250:33–50 Hsieh DT, Chang T (2011) Incontinentia pigmenti: skin and magnetic resonance imaging findings. Arch Neurol 68(8):1080 Hubert JN, Callen JP (2002) Incontinentia pigmenti presenting as seizures. Pediatr Dermatol 19(6):550–552 Ito M (1952) Studies of melanin: XI. Incontinentia pigmenti achrom- iens. Tohoku J Exp Med 55(suppl):55–57 Jallo GI, Kothbauer K, Mehta V et al (2005) Meningioangiomatosis without neurofibromatosis: a clinical analysis. J Neurosurg 103(4 Suppl):319–324 Krueger DA, Care MM, Holland K et al (2010) Everolimus for subependymal giant-cell astrocytomas in tuberous sclerosis. N Engl J Med 363(19):1801–1811 Longo D, Paonessa A, Specchio N et al (2011) Parry–Romberg syndrome and Rasmussen encephalitis: possible association. Clin- ical and neuroimaging features. J Neuroimaging 21(2):188–193 McCall S, Ramzy MI, Cure JK, Pai GS (1992) Encephalocraniocu- taneous lipomatosis and the Proteus syndrome: distinct entities with overlapping manifestations. Am J Med Genet 43:662–668 Meuwissen ME, Mancini GM (2012) Neurological findings in incontinentia pigmenti; a review. Eur J Med Genet 55(5):323–331 NIH Consensus Development Conference (1988) Neurofibromatosis: conference statement. Arch Neurol 45:575–578 Osborne JP, Fryer A, Webb D (1991) Epidemiology of tuberous sclerosis. Ann NY Acad Sci 615:125–127 Pascual-Castroviejo I, Roche MC, Martinez Fernández V et al (1994) Incontinentia pigmenti: MR demonstration of brain changes. Am J Neuroradiol 15(8):1521–1527 Pavone L, Curatolo P, Rizzo R et al (1991) Epidermal nevus syndrome: a neurologic variant with hemimegalencephaly, gyral malformation, mental retardation, seizures, and facial hemihyper- trophy. Neurology 41:266–271 Roach ES, Gomez MR, Northrup H (1998) Tuberous Sclerosis Complex Consensus Conference: revised clinical diagnostic crite- ria. J Child Neurol 13:624–628 Sapp JC, Turner JT, van de Kamp JM et al (2007) Newly delineated syndrome of congenital lipomatous overgrowth, vascular malfor- mations, and epidermal nevi (CLOVE syndrome) in seven patients. Am J Med Genet 143A:2944–2958 Seifert F, Bien CG, Schellinger PD et al (2011) Parry–Romberg syndrome with chronic focal encephalitis: two cases. Clin Neurol Neurosurg 113(2):170–172 Sugarman JL (2007) Epidermal nevus syndromes. Semin Cutan Med Surg 26(4):221–230 Turner JT, Cohen MM, Biesecker LG (2004) Reassessment of the Proteus syndrome literature: application of diagnostic criteria to published cases. Am J Med Genet 130A:111–122 Urbach E, Wiethe C (1929) Lipoidosis cutis et mucosae. Virch Arch Pathol Anat 273:285–319 Wiedemann HR, Burgio GR, Aldenhoff P et al (1983) The Proteus syndrome. Partial gigantism of the hands and/or feet, nevi, hemihypertrophy, subcutaneous tumors, macrocephaly or other skull anomalies and possible accelerated growth and visceral affections. Eur J Pediatr 140(1):5–12 Wolf NI, Krämer N, Harting I et al (2005) Diffuse cortical necrosis in a neonate with incontinentia pigmenti and an encephalitis-like presentation. Am J Neuroradiol 26:1580–1582 176 H. Urbach
  • 177.
    Trauma Horst Urbach Contents 1 Epidemiology........................................................................177 2 Pathogenesis.......................................................................... 177 3 Clinical Presentation ........................................................... 179 4 Imaging ................................................................................. 179 References...................................................................................... 180 Abstract Trauma is a major risk factor for epilepsy. However, one should have in mind that posttraumatic MRI changes can be the cause or the consequence of epilepsy. 1 Epidemiology Trauma is the cause of epilepsy in around 4 % of cases (Serles et al. 2003). Trauma incidence is highest between the ages of 15–24 years and males are more often affected than females (Langendorf and Pedley 1997; Boswell et al. 2002). Seizures occur in 10–15 % of adults and 30–35 % of children after severe head trauma (Glasgow Coma Score9) (Caveness et al. 1979; Hahn et al. 1988). 2 Pathogenesis Primary brain parenchymal injuries comprise cortical con- tusions and diffuse axonal injuries (DAI). Cortical contu- sions result from impact injuries compressing the brain against a bony structure or dural fold (‘‘coup’’ lesions) or stretching the partly fixed brain on the opposite impact side (‘‘contrecoup’’ lesions). Other mechanisms are penetrating brain injuries with intracranial hematomas and retained metallic fragments. DAI typically result from high-velocity motor vehicle accidents, typically deceleration injuries although impact is not necessarily needed. DAI are shearing injuries with axonal stretching when the cortex moves at a different speed as compared to the underlying white matter. Eighty percent of DAI lesions are microscopic nonhemorrhagic lesions and MRI visible lesions rather represent the ‘‘tip of the iceberg.’’ H. Urbach (&) Department of Neuroradiology, University Hospital Freiburg, Germany e-mail: horst.urbach@uniklinik-freiburg.de H. Urbach (ed.), MRI in Epilepsy, Medical Radiology. Diagnostic Imaging, DOI: 10.1007/174_2012_748, Ó Springer-Verlag Berlin Heidelberg 2013 177
  • 178.
    Fig. 1 31-year-oldwoman with at least two cortical contusions (a, b arrow) resulting from a prior trauma. Epileptic seizures were already present before trauma and are most likely due to bilateral periventricular nodular heterotopias (BPNH) (c hollow arrows) Fig. 2 Small cortical contusions in a 51-year-old man with tonic- clonic seizures following a head trauma at the age of 20. (a, c, d arrows). The cortical lesions with hemosiderin deposits are best visible on high-resolution T2-weighted images. They are missed on FLAIR images due to a lower anatomical resolution (b) and on T2-weighted gradient echo images (not shown) due to susceptibility artifacts from the frontal sinuses 178 H. Urbach
  • 179.
    3 Clinical Presentation Seizuresoccurring within 1 week following the trauma are considered as early posttraumatic seizures. Seizures occur- ring later than 1 week following the trauma are late post- traumatic seizures. Posttraumatic injuries may occur decades following the trauma. The risk is particularly high with penetrating brain injuries and retained metallic frag- ments (Raymont et al. 2010; Agrawal et al. 2006). Seizures can be the result of or induce a trauma (Fig. 1). Careful evaluation, as to whether the semiology of seizures has changed after the trauma is needed. 4 Imaging Cortical contusions occur in locations where the brain is adjacent to bony protuberances or dural folds: basal frontal lobe, temporal pole and inferior surface, parasagittal (‘‘gliding’’ contusions). Initial CT often shows only subtle, ill-defined, discretely hyperdense, superficial lesions, which, however, ‘‘blow up’’ after 24–48 h. In the chronic stage, there is cortical and subcortical volume loss and hemosiderin deposition. Lesions may be subtle and it is important to inspect the cortical surface in classical loca- tions (Fig. 2). Fig. 3 Coronal high-resolution T2-weighted images (a, b) with magnified views of the hippocampi show multiple hemosiderin deposits as sequelae of diffuse axonal brain injury. These shearing injuries are typically located in subcortical white matter bordering the cortex (b, f, g: arrows, the corpus callosum, and the brainstem, typically in dosolateral mesencephalon (c arrow). In this case of a 28 year old man hemosiderin deposits are also found in the CA1 sector of both hippocampi (c–f hollow arrow) Trauma 179
  • 180.
    Diffuse axonal injuryis characterized by multiple punc- tate hypointense lesions on T2-weighted gradient echo sequences (Fig. 3). CT scans are often unremarkable and do not fit the clinical state of the patients. However, with more severe DAI circumscribed and transient hyperdensity in the interpeduncular cistern or in the dorsolateral upper brain- stem may indicate DAI. Specific locations for the multiple punctate hemorrhages are the gray–white matter interfaces, the corpus callosum, and the dorsolateral upper brainstem (Adams et al. 1982). The gray–white matter interface is especially susceptible for shearing injuries as the density of the tissue abruptly changes. The corpus callosum is the second most common DAI location with the splenium most commonly affected (Gentry et al. 1988). Small blood-CSF levels in the posterior horns of the lateral ventricles may indicate corpus callosum DAI. Brainstem DAIs typically involve the dorsolateral quadrant of the mesencephalon adjacent to the superior cerebellar peduncle. They are only observed with severe trauma and multiple deep white matter and corpus callosum hemorrhages (Zuccarello et al. 1983). Differential diagnosis includes Duret’s hemorrhage, a dor- solateral upper brainstem hemorrhage that is considered a secondary lesion resulting from downward trantentorial herniation due to a rapidly developing supratentorial mass. If an epilepsy patient has a clinical trauma history, care- fully study the basal frontal and the temporal lobes (Fig. 1). Coronal T2-weighted images should cover the entire frontal lobes. T2-weighted gradient echo images are needed to dis- play DAI lesions, however, cortical contusions may be masked by susceptibility artifacts at brain–bone interfaces. References Adams JH, Graham DI, Murray LS, Scott G (1982) Diffuse axonal injury due to nonmissile head injury in humans: an analysis of 45 cases. Ann Neurol 12:557–563 Agrawal A, Timothy J, Pandit L, Manju M (2006) Post-traumatic epilepsy: an overview. Clin Neurol Neurosurg 108(5):433–439 Boswell JE, McErlean M, Verdile VP (2002) Prevalence of traumatic brain injury in an ED population. Am J Emerg Med 20:177–180 Caveness WF, Meirowsky AM, Rish BL, Mohr JP, Kistler JP, Dillon JD, Weiss GH (1979) The nature of posttraumatic epilepsy. J Neurosurg 50(5):545–553 Gentry LR, Thompson B, Godersky JC (1988) Trauma to the corpus callosum: MR features. Am J Neuroradiol 9:1129–1138 Hahn YS, Fuchs S, Flannery AM, Barthel MJ, McLone DG (1988) Factors influencing posttraumatic seizures in children. Neurosur- gery 22(5):864–867 Langendorf F, Pedley TA (1997) Post-traumatic seizures. In: Engel J Jr, Pedley TA (eds) Epilepsy: a comprehensive textbook. Lippin- cott-Raven Publishers, Philadelphia, pp 2469–2474 Raymont V, Salazar AM, Lipsky R, Goldman D, Tasick G, Grafman J (2010) Correlates of posttraumatic epilepsy 35 years following combat brain injury. Neurology 75(3):224–229 Serles W, Baumgartner C, Feichtinger M, Felber S, Feucht M Podreka I, Prayer D, Trinka E (2003) Richtlinien für ein standardisiertes MRT- Protokoll für Patienten mit epileptischen Anfällen in Österreich. Mitteilungen der Österreichischen Sektion der Internationalen Liga gegen Epilepsie 3:2–13 Zucarello M, Fiore DL, Trincia G,DeCaroR,Pardatscher K,Andrioli GC (1983) Traumatic primary brain stem haemorrhage. A clinical and experimental study. Acta Neurochir 67:103–113 180 H. Urbach
  • 181.
    Vascular Malformations Horst Urbachand Timo Krings Contents 1 Cavernomas.......................................................................... 181 1.1 Synonym(s)............................................................................ 181 1.2 Epidemiology......................................................................... 181 1.3 Pathogenesis........................................................................... 182 1.4 Clinical Presentation.............................................................. 183 1.5 Imaging .................................................................................. 183 2 Arteriovenous Malformations ............................................ 185 2.1 Epidemiology......................................................................... 185 2.2 Pathogenesis and Pathology.................................................. 185 2.3 Clinical Presentation.............................................................. 185 2.4 Imaging .................................................................................. 188 3 Dural Arteriovenous Fistulae............................................. 188 3.1 Epidemiology......................................................................... 188 3.2 Pathogenesis........................................................................... 188 3.3 Clinical Presentation.............................................................. 188 3.4 Imaging .................................................................................. 188 4 Developmental Venous Anomalies..................................... 188 4.1 Synonym ................................................................................ 188 4.2 Epidemiology......................................................................... 188 4.3 Pathogenesis and Pathology.................................................. 189 4.4 Clinical Presentation.............................................................. 189 4.5 Imaging .................................................................................. 189 5 Capillary Telangiectasias.................................................... 190 5.1 Epidemiology......................................................................... 190 5.2 Pathogenesis and Pathology.................................................. 190 5.3 Clinical Presentation.............................................................. 190 5.4 Imaging .................................................................................. 190 References...................................................................................... 191 Abstract Vascular malformations are described in this chapter in the following order: cavernomas, arteriovenous malfor- mations, dural arteriovenous fistulae, developmental venous anomalies, and capillary telangiectasias. The order is derived from their propensity to cause epileptic seizures. In cavernomas, epileptic seizures are the most common symptom, followed by the incidental MRI detection of nonspecific symptoms such as headaches and dizziness. In arteriovenous malformations, seizures occur in around 30 % of patients. Incidental detection or presentation with hemorrhage is either more common or has a higher therapeutic relevance owing to the distinctly higher hemorrhage-related morbidity and mortality and rebleeding risk. Dural arteriovenous fistulae are typically acquired vascular lesions causing epileptic seizures among other symptoms if cortical venous reflux is present. Developmental venous anomalies are of thera- peutic relevance only if they are associated with cavernomas and—in very rare cases—if the draining collector vein becomes thrombosed. Capillary telangiec- tasias are of no therapeutic relevance. 1 Cavernomas 1.1 Synonym(s) A synonym is ‘‘cavernous malformation.’’ Use of the term ‘‘cavernous hemangioma’’ should be avoided since a cav- ernous hemangioma is a true vasoproliferative neoplasm. 1.2 Epidemiology Cavernomas are relatively frequent vascular malformations with a prevalence of approximately 0.5 %. Cavernomas are solitary in around 75 % of cases and multiple in around H. Urbach (&) Department of Neuroradiology, University Hospital Freiburg, Germany e-mail: horst.urbach@uniklinik-freiburg.de T. Krings Department of Neuroradiology, University of Toronto, Toronto, ON, Canada H. Urbach (ed.), MRI in Epilepsy, Medical Radiology. Diagnostic Imaging, DOI: 10.1007/174_2012_753, Ó Springer-Verlag Berlin Heidelberg 2013 181
  • 182.
    25 % ofcases. Around 10 % of cavernomas are familial cases with autosomal dominant inheritance, variable pene- trance, and three identified genes (CCM1, CCM2, and CCM3). Up to 20 % of cavernomas are accompanied by developmental venous anomalies (DVAs), and there is some evidence that an anomalous venous drainage triggers cavernoma evolution (Wurm et al. 2005) (Fig. 4). 1.3 Pathogenesis Cavernomas are immature lesions with endothelial prolif- eration and upregulated angiogenesis. Histopathologically, they consist of dilated, endothelium-lined blood vessels without arterial features. Sinusoidal blood cavities typically lie back-to-back and there is no substantial brain tissue interposed between the vessels. Thrombosis, organization, and inflammatory changes and occasional calcifications may be seen in larger cavernomas (Raabe et al. 2012). Evidence of prior hemorrhage is a nearly constant feature of cavernomas, and the lesions are considered to grow and produce symptoms by recurrent episodes of hemorrhage or intralesional thrombosis. Hemorrhage is characteristically confined within the lesion, and produces neurological defi- cits secondary to a local mass effect rather than direct parenchymal injury. Smaller nonsymptomatic hemorrhages are thought to contribute to the development of seizures. These smaller hemorrhages result in the progressive depo- sition of hemosiderin in the brain parenchyma surrounding the cavernoma, and iron as content of hemosiderin is a well- known epileptogenic material that is used to induce seizures in laboratory models of epilepsy (Figs. 1, 2). Another mech- anism, however, is the development of seizures following larger intralesional hemorrhage (Figs. 3, 4). Fig. 1 A 17-year-old woman presented with daily auras with fearful feelings and déjà vu phenomena and monthly complex focal seizures. MRI revealed a 2-cm Zabramski type 2 cavernoma in the left middle temporal gyrus. The cavernoma itself has a popcorn-ball appearance with hyperintense and hypointense signal on T2-weighted sequences (a, b, e). It is surrounded by a hypointense rim reflecting the impregnation of the adjacent brain parenchyma with hemosiderin (b, arrows). The T1-weighted unenhanced sequence shows some hyperintense intralesional signal (c), and the T1-weighted contrast- enhanced sequence shows intralesional enhancement (d) 182 H. Urbach and T. Krings
  • 183.
    1.4 Clinical Presentation Upto 40 % of patients with cavernomas present with epi- leptic seizures (Awad and Jabbour 2006; Baumann et al. 2007; Del Curling et al. 1991; Gross et al. 2011; Moran et al. 1999; Moriality et al. 1999). Seizures are most prevalent in supratentorial cavernomas and progress to epilepsy in 40 % of these cases (Englot et al. 2011). Epileptic seizures are more common than symptomatic hemorrhages, which occur in around 0.5 % of lesions per year. Around 75 % of patients become seizure-free following microsurgical resection (Englot et al. 2011). Prognostic factors with respect to postsurgical seizure freeness are me- siotemporal location, gross anatomical resection including the hemosiderin rim, small size (diameter less than 1.5 cm), surgery within 1 year after seizure onset, and absence of secondarily generalized seizures (Baumann et al. 2006, 2007; Chang et al. 2009; Englot et al. 2011). 1.5 Imaging Magnetic resonance (MR) images typically show a popcorn- like pattern with mixed high and low signal intensities in the core and a dark rim of hemosiderin (Fig. 1). Hyperintense portions on T1-weighted images in the core represent suba- cute (intralesional) hemorrhage or thrombosis within the ‘‘berries’’ of the cavernoma. The cavernoma itself is surrounded by a hypointense rim on T2-weighted images which blooms on T2-weighted gradient echo images. The hypointense rim represents hemosiderin-stained brain. A cavernoma may profoundly bleed into the surrounding brain parenchyma (extralesional hemorrhage), but with respect to epileptic seizures, the hemosiderin staining of the surrounding brain parenchyma due to smaller nonsymptom- atic intralesional hemorrhage/thrombosis and ongoing blood degradation is more relevant. In addition to T2-weighted fast spin echo sequences, which show the anatomical details best, Fig. 2 Two different cavernomas of the inferior temporal gyrus. The right-sided small cavernoma could have been easily overlooked if only axial slices had been acquired. On T2-weighted images, cavernomas associated with long-term epilepsy usually have a hyperintense matrix surrounded by a less prominent (a, b) or more prominent (c, d) hemosiderin rim Vascular Malformations 183
  • 184.
    Fig. 4 MRIin a 14-year-old girl initially presenting with a transient difficulty to use her right arm was uneventful except for a small left insular developmental venous anomaly (a, b). Four years later, the patient presented with two complex focal seizures. MRI now showed a pathologically proven insular Zabramski type 1 cavernoma with intralesional subacute hemorrhage (c, d, hollow arrows). The adjacent developmental venous anomaly is characterized by caput meduase (b, d, arrows) and a draining subependymal vein (not shown) Fig. 3 A 53-year-old man presented with epilepsia partialis continua of the right neck muscles for 4 weeks. One year before he had observed this phenomenon for 1 day. Axial fluid-attenuated inversion recovery (FLAIR) (a), T2-weighted gradient echo (b), T1-weighted spin echo (c), and coronal FLAIR (d) images show a Zabramski type 1 cavernoma. Intralesional hemorrhage and adjacent edema (d, arrows) are likely the reason why the patient presented with epilepsia partialis continua 184 H. Urbach and T. Krings
  • 185.
    T2-weighted gradient echoor susceptibility-weighted sequences are mandatory to discover additional so-called Zabramski type 4 cavernomas (Zabramski et al. 1994). However, because of susceptibility artefacts at bone–brain interfaces, small cortical/subcortical cavernomas can be easily missed on T2-weighted gradient echo sequences (Fig. 2). Since up to 20 % of cavernomas are associated with DVAs, which represent an anatomic variant of otherwise normal venous drainage and are characterized by dilated medullary white matter veins (caput medusae) converging on a collector vein draining into a dural sinus or ependymal vein, T1-weighted contrast-enhanced images should be addition- ally obtained (Fig. 4). If a mixed cavernoma/DVA is found, venous drainage of the DVA must be preserved if the cavernoma is surgically removed. 2 Arteriovenous Malformations 2.1 Epidemiology Arteriovenous malformation (AVM) is the most common symptomatic vascular malformation, with a detection rate of 1.2/100,000 person-years (Stapf et al. 2001). The most common presentation is AVM-related hemorrhage, with an annual hemorrhage rate that ranges between 2.8 % (Stapf et al. 2006) and 4.6 % (daCosta et al. 2009). 2.2 Pathogenesis and Pathology AVMs are abnormal collections of blood vessels wherein arterial blood flows into draining veins without the normal interposed capillary bed. AVMs are typically solitary lesions. In multiple lesions, hereditary hemorrhagic telangiectasia (Rendu–Osler–Weber syndrome) type 1 with mutations of the endoglin gene on bands 33 and 34 of the long arm of chromosome 9, Wyburn–Mason syndrome, and cerebrofa- cial arteriovenous metameric syndromes (types 1–3) should be considered (Bharatha et al. 2012; Krings et al. 2007). 2.3 Clinical Presentation After hemorrhage (which in contrast to cavernomas is associated with 10 % mortality and 30–50 % morbidity from each bleed), seizures are the most common presen- tation. Seizures occur in around 30 % of patients (Garcin et al. 2012). The younger the patient at the time of diag- nosis, the higher is the risk of developing seizures (Stapf et al. 2003). Seizure risk is higher for AVMs presenting with intracranial hemorrhage or focal neurologic deficit than for incidental AVMs (Josephson et al. 2011). Male sex, increasing AVM size, arterial borderzone location, frontal lobe location, superficial venous drainage, and venous ectasia have been identified as relative risk factors (Garcin et al. 2012). Venous congestion, perinidal hypoxemia, long pial vein, and a space-occupying effect are angiographic features associated with epileptic seizures (Shankar et al. 2012). Impaired perinidal cerebrovascular reserve capacity due to venous congestion is considered as an underlying pathophysiological mechanism which may trigger epileptic seizures (Fiestra et al. 2011). However, no difference in the 5-year risk of seizures has been observed with conservative or invasive treatment, irrespective of whether the patient presented with hemorrhage or with epileptic seizures (Josephson et al. 2012). Fig. 5 Axial T2-weighted (a), FLAIR (b), and T1-weighted (c) images demonstrating an intraparenchymal nidus of flow voids indicative of an arteriovenous malformation (AVM). T2-weighted and FLAIR hyperintensity represents perifocal gliosis, which was thought to be the cause of the patient’s seizures Vascular Malformations 185
  • 186.
    Fig. 6 A33-year-old woman presented with classic left temporal lobe seizures despite a cingulate location of her AVM (a–d). However, the venous phases of the digital subtraction angiography demonstrate venous rerouting via the lateral perimesencephalic vein into the basal vein of Rosenthal on the left (d–f). As this vein also drains the hippocampus, it was felt that her seizures were related to venous congestion of her left hippocampus due to arterial overload of its venous drainage 186 H. Urbach and T. Krings
  • 187.
    Fig. 7 Seizuresin this patient are presumably related to the long pial course of the draining vein (a, b, arrow) leading to a widespread venous congestion over the left hemisphere. Following distal microcatheterization (c) and n-butyl cyanoacrylate injection (d, arrow), the AVM could be obliterated (e) and the seizures stopped Fig. 8 The venous phase in this 34-year-old patient with seizures demonstrates the so-called pseudophlebitic aspect of the veins (dilated parenchymal veins) that is indicative of longstanding venous hypertension that is associated with seizure occurrence due to venous congestion Vascular Malformations 187
  • 188.
    2.4 Imaging On MRI(Figs. 5, 6, 7, 8), AVMs appear as a ‘‘bag of black worms’’ (flow void structures) with minimal or no mass effect. Draining veins have a larger caliber than the feeding arteries and can often be followed on their way to the sinuses or deep vein system. It is important to look for intranidal or flow-related aneurysms of the feeding arteries, which may bleed ‘‘instead’’ of the AVM. If there is sig- nificant edema around the lesion, it may be not an AVM but a tumor that has bled. The imaging features of AVMs are best visualized on (high-resolution) T2-weighted fast spin echo images. Three-dimensional time-of-flight MR angi- ography is helpful for gross depiction of flow; time-resolved contrast-enhanced MR angiography may additionally depict detailed angioarchitecture (Hadizadeh et al. 2012). Owing to the significant consequences of AVM bleeding, AVM ‘‘removal’’ by surgery, embolization, or radiation treatment is generally intended. However, the risk of treat- ment must be weighed against the estimated risk of bleeding. A measure to describe the surgical treatment risk is the Spetzler–Martin classification (Spetzler and Martin 1986), in which the nidus size (smaller than 3 cm corresponds to 1 point, 3–6 cm corresponds to 2 points, larger than 6 cm corresponds to 3 points), the eloquence of adjacent brain parenchyma (eloquence corresponds to 1 point), and the pattern of venous drainage (deep venous drainage corre- sponds to 1 point) are considered. In addition, AVM location is of importance. For example, in temporomesial AVMs the anterior choroidal artery is difficult to separate from enlarged feeding AVM arteries, and surgery and embolization are associated with a higher hemiparesis risk. 3 Dural Arteriovenous Fistulae 3.1 Epidemiology Dural arteriovenous fistulae are arteriovenous shunts that are located in the wall of a venous sinus and are typically fed by meningeal arteries. In adults, so-called dural arte- riovenous fistulae are acquired and may develop following, e.g., a minor trauma and/or sinus thrombosis. In children, dural arteriovenous fistulae are often congenital. 3.2 Pathogenesis Dural arteriovenous fistulae are communications between dural branches of the internal carotid artery, the external carotid artery, the vertebral artery, and intracerebral veins and/or sinuses. 3.3 Clinical Presentation The clinical symptoms depend on the size, the location, and the venous drainage pattern. Risk of intracerebral hemorrhage is high in anterior skull base arteriovenous fistulae and risk of intracerebral hemorrhage and epileptic seizures is high in fistulae with retrograde filling of cor- tical veins (Fig. 9). The Cognard classification focuses on the venous drainage pattern: Grade 1 fistulae are arterio- venous shunts in the wall of a venous sinus, with normal antegrade flow. Grade 2A fistulae show retrograde flow in the sinus, but no reflux in cortical veins. Grade 2B fistulae show retrograde drainage from the sinus into cortical veins. Grade 3 fistulae have direct cortical venous drainage without venous ectasia, and grade 4 fistulae have direct cortical venous drainage with venous ectasia (Cognard et al. 1995). The risk of intracerebral hemorrhage and of epileptic seizures is low in grade 1 and grade 2A fistulae and high in grade 2B, grade 3, and grade 4 fistulae. 3.4 Imaging Vasogenic edema, hemorrhage, and tubular/tortuous flow void (T2-weighted) and contrast-enhanced (T1-weighted contrast-enhanced sequences) structures are suggestive of a dural arteriovenous fistula. Coronal three-dimensional phase contrast angiography is needed to show venous sinus anatomy and may reveal a thrombosed or partially open venous sinus. Although time-resolved contrast-enhanced MR or CT angiography may discover dural arteriovenous fistulae, digital subtraction angiography with bilateral internal carotid artery, external carotid artery, and vertebral artery injections is needed if a dural arteriovenous fistula is suspected and in order to develop an endovascular treat- ment strategy. 4 Developmental Venous Anomalies 4.1 Synonym A synonym is ‘‘venous angioma.’’ 4.2 Epidemiology DVAs are the most common vascular malformation, with a prevalence of 2.5–9 % on contrast-enhanced T1-weighted MR images (Osborn 2010). 188 H. Urbach and T. Krings
  • 189.
    4.3 Pathogenesis andPathology DVAs are considered variants of otherwise normal venous drainage. Up to 20 % of cavernomas are associated with DVAs. There is some evidence that an anomalous venous drainage triggers cavernoma evolution (Fig. 4). 4.4 Clinical Presentation DVAs are typically incidental findings. If they cause symptoms, they are likely due to associated cavernomas. In a systematic meta-analysis and prospective study, 4 % of patients presented with epileptic seizures (Hon et al. 2009). However, whether there was a causal relationship with the DVA remained unclear. In very rare cases, epileptic sei- zures can be elicited by thrombosis of the DVA collector vein, which may cause hemorrhage or venous congestive edema (Flacke et al. 2006; Pereira et al. 2008) (Fig. 10). 4.5 Imaging DVAs are characterized by dilated medullary white matter veins (caput medusae) converging on a collector vein which drains into a dural sinus or ependymal vein. Around 5 % of DVAs are atypical, with some shunting between the arterial and venous system. Fig. 9 A 54-year-old man presented with left-sided headache and complexfocalseizures. SagittalT2-weighted(a,b)andaxialT1-weighted (c) gradient echo sequences showed a temporo-occipital hemorrhage (a, hollow arrow) and adjacent enlarged vessels (a–c, arrows). Catheter angiography revealed a small tentorial dural arteriovenous fistula with retrograde filling of cerebral veins (d, arrows). The fistula was occluded with Onyx injection (ev3 Neurovascular, Irvine, CA, USA) via the petrosqamous middle meningeal artery branch (e, arrow, f) Vascular Malformations 189
  • 190.
    5 Capillary Telangiectasias 5.1Epidemiology The true incidence of capillary telangiectasias is unknown since they are usually small and easily missed on MRI and autopsy. 5.2 Pathogenesis and Pathology Capillary telangiectasias are clusters of dilated capillaries interspersed with normal brain parenchyma. They may be mixed with DVAs. 5.3 Clinical Presentation Capillary telangiectasias are usually an incidental finding unrelated to epileptic seizures. However, larger capillary telangiectasias can elicit epileptic seizures that have been explained with a slow flow and hypoperfusion and hypoxic injury in these lesions (Samaya et al. 2010). Hereditary hemorrhagic telangiectasia (Rendu–Osler–Weber syndrome), ataxia telangiectasia, and past radiation therapy in children in lesions outside the brainstem should be considered. 5.4 Imaging Capillary telangiectasias are typically small (less than 1 cm), non-space-occupying lesions with spatial preponderance for Fig. 10 A 21-year-old man presented with two focal motor seizures. MRI showed an enlarged and thrombosed cortical left parietal vein (a, b, d, arrow) surrounded by vasogenic edema (a, c, d, hollow arrow). The cortical vein collects the blood from tiny veins with a caput-medusae-like appearance (e, f, arrows) 190 H. Urbach and T. Krings
  • 191.
    the pons (Fig.11) (Castillo et al. 2001). Lesions with a size greater than 1 cm are found in around 7 % of cases (Sayama et al. 2010). Capillary telangiectasias are best visualized on T1-weighted contrast-enhanced images, on which a faint radial enhancement and the interspersed normal brain parenchyma are visible. T2-weighted gradient echo sequences are specific when they display a moderate hypointensity. Lesions can be missed on fluid-attenuated inversion recovery and T2-weighted fast spin echo sequences or show punctate hyperintense foci within the lesion. References Awad I, Jabbour P (2006) Cerebral cavernous malformations and epilepsy. Neurosurg Focus 21:e7 Bharatha A, Faughnan ME, Kim H, Pourmohamad T, Krings T, Bayrak-Toydemir P, Pawlikowska L, McCulloch CE, Lawton MT, Dowd CF, Young WL, Terbrugge KG (2012) Brain arteriovenous malformation multiplicity predicts the diagnosis of hereditary hemorrhagic telangiectasia: quantitative assessment. Stroke 43(1):72–78 Baumann CR, Schuknecht B, Lo Russo G, Cossu M, Citterio A, Andermann F, Siegel AM (2006) Seizure outcome after resection of cavernous malformations is better when surrounding hemosid- erin-stained brain also is removed. Epilepsia 47:563–566 Baumann CR, Acciarri N, Bertalanffy H, Devinsky O, Elger CE, Lo Russo G, Cossu M, Sure U, Singh A, Stefan H, Hammen T, Georgiadis D, Baumgartner RW, Andermann F, Siegel AM (2007) Seizure outcome after resection of supratentorial cavernous malformations: a study of 168 patients. Epilepsia 48:559–563 Castillo M, Morrison T, Shaw JA, Bouldin TW (2001) MR imaging and histologic features of capillary telangiectasia of the basal ganglia. Am J Neuroradiol 22(8):1553–1555 Chang EF, Gabriel RA, Potts MB, Garcia PA, Barbaro NM, Lawton MT (2009) Seizure characteristics and control after microsurgical resection of supratentorial cerebral cavernous malformations. Neurosurgery 65(1):31–37 Fig. 11 Capillary teleangiectasia as an incidental finding in a 36-year-old man with temporal lobe seizures. The small, non-space-occupying lesion adjacent to the right thalamus is invisible on the T2-weighted fast spin echo image (a) and is moderately hypointense on the T2-weighted gradient echo image (b, arrow). It shows a faint contrast enhancement on T1-weighted gradient echo (c) and spin echo (d) images Vascular Malformations 191
  • 192.
    Cognard C, GobinYP, Pierot L, Bailly AL, Houdart E, Casasco A, Chiras J, Merland JJ (1995) Cerebral dural arteriovenous fistulas: clinical and angiographic correlation with a revised classification of venous drainage. Radiology 194:671–680 da Costa L, Thines L, Dehdashti AR, Wallace MC, Willinsky RA, Tymianski M, Schwartz ML, ter Brugge KG (2009) Management and clinical outcome of posterior fossa arteriovenous malforma- tions: report on a single-centre 15-year experience. J Neurol Neurosurg Psychiatry 80(4):376–379 Del Curling O Jr, Kelly DL Jr, Elster AD, Craven TE (1991) An analysis of the natural history of cavernous angiomas. J Neurosurg 75:702–708 Englot DJ, Han SJ, Lawton MT, Chang EF (2011) Predictors of seizure freedom in the surgical treatment of supratentorial cavern- ous malformations. J Neurosurg 115(6):1169–1174 Fierstra J, Conklin J, Krings T, Slessarev M, Han JS, Fisher JA, Terbrugge K, Wallace MC, Tymianski M, Mikulis DJ (2011) Impaired peri-nidal cerebrovascular reserve in seizure patients with brain arteriovenous malformations. Brain 134(Pt 1):100–109 Flacke S, Stuer C, Stoffel M, Urbach H (2006) Symptomatic developmental venous anomaly after spontaneous thrombosis of the collector vein. Clin Neuroradiol 16:131–133 Garcin B, Houdart E, Porcher R, Manchon E, Saint-Maurice JP, Bresson D, Stapf C (2012) Epileptic seizures at initial presentation in patients with brain arteriovenous malformation. Neurology 78(9): 626–631 Gross BA, Lin N, Du R, Day AL (2011) The natural history of intracranial cavernous malformations. Neurosurg Focus 30(6):E24 Hadizadeh DR, Kukuk GM, Steck DT, Gieseke J, Urbach H, Tschampa HJ, Greschus S, Kovàcs A, Möhlenbruch M, Bostroem A, Schild HH, Willinek WA (2012) Noninvasive evaluation of cerebral arteriovenous malformations by 4D-MRA for preoperative planning and postoperative follow-up in 56 patients: comparison with DSA and intraoperative findings. AJNR Am J Neuroradiol 33(6):1095–1101 Hon JM, Bhattacharya JJ, Counsell CE, Papanastassiou V, Ritchie V, Roberts RC, Sellar RJ, Warlow CP, Al-Shahi Salman R (2009) SIVMS Collaborators. The presentation and clinical course of intracranial developmental venous anomalies in adults: a system- atic review and prospective, population-based study. Stroke 40(6):1980–1985 Josephson CB, Leach JP, Duncan R, Roberts RC, Counsell CE, Al- Shahi Salman R (2011) Scottish Audit of Intracranial Vascular Malformations (SAIVMs) Steering committee and collaborators. Seizure risk from cavernous or arteriovenous malformations: prospective population-based study. Neurology 76(18):1548–1554 Josephson CB, Bhattacharya JJ, Counsell CE, Papanastassiou V, Ritchie V, Roberts R, Sellar R, Warlow CP, Al-Shahi Salman R (2012) On behalf of the Scottish Audit of Intracranial Vascular Malformations (SAIVMs) steering committee and collaborators. Seizure risk with AVM treatment or conservative management: prospective, population-based study. Neurology 79(6):500–507 Krings T, Geibprasert S, Luo CB, Bhattacharya JJ, Alvarez H, Lasjaunias P (2007) Segmental neurovascular syndromes in children. Neuroimaging Clin N Am 17(2):245–258 Moran NF, Fish DR, Kitchen N, Shorvon S, Kendall BE, Stevens JM (1999) Supratentorial cavernous haemangiomas and epilepsy: a review of the literature and case series. J Neurol Neurosurg Psychiatry 66:561–568 Moriarity JL, Clatterbuck RE, Rigamonti D (1999) The natural history of cavernous malformations. Neurosurg Clin N Am 10:411–417 Osborn AG, Salzman KL, Barkovich AJ (eds) (2010) Diagnostic imaging. Brain Amirsys Inc, Salt Lake City Pereira VM, Geibprasert S, Krings T, Aurboonyawat T, Ozanne A, Toulgoat F, Pongpech S, Lasjaunias PL (2008) Pathomechanisms of symptomatic developmental venous anomalies. Stroke 39(12):3201–3215 Raabe A, Pernhorst K, Schmitz AK, Grote A, Urbach H, Friedman A, Albert J. Becker AJ, Elger CE, Niehusmann P (2012) Clinico- neuropathological correlations in vascular lesions suggest astroglial albumin storage as common epileptogenic factor. Epilepsia 53: 539–548 Sayama CM, Osborn AG, Chin SS, Couldwell WT (2010) Capillary telangiectasias: clinical, radiographic, and histopathological fea- tures. Clinical article. J Neurosurg 113(4):709–714 Shankar JJS, Menezes R, Pohlman-Eden B, Wallace C, Terbrugge K, Krings T (2012) Angio-architecture of brain AVM determines seizures presentation- proposed scoring system. AJNR Am J Neuroradiol [Epub ahead of print] Spetzler RF, Martin NA (1986) A proposed grading system for arteriovenous malformations. J Neurosurg 65:476–483 Stapf C, Mohr JP, Pile-Spellman J, Solomon RA, Sacco RL, Connolly ES Jr (2001) Epidemiology and natural history of arteriovenous malformations. Neurosurg Focus 11(5):e1 Stapf C, Khaw AV, Sciacca RR, Hofmeister C, Schumacher HC, Pile- Spellman J, Mast H, Mohr JP, Hartmann A (2003) Effect of age on clinical and morphological characteristics in patients with brain arteriovenous malformation. Stroke 34(11):2664–2669 Stapf C, Mast H, Sciacca RR, Choi JH, Khaw AV, Connolly ES, Pile- Spellman J, Mohr JP (2006) Predictors of hemorrhage in patients with untreated brain arteriovenous malformation. Neurology 66(9):1350–1355 Wurm G, Schnizer M, Fellner FA (2005) Cerebral cavernous malformations associated with venous anomalies: surgical consid- erations. Neurosurgery 57(Suppl 1):42–58 Zabramski JM, Wascher TM, Spetzler RF, Johnson B, Golfinos J, Drayer BP, Brown B, Rigamonti D, Brown G (1994) The natural history of familial cavernous malformations: results of an ongoing study. J Neurosurg 80:422–432 192 H. Urbach and T. Krings
  • 193.
    Ischemia Horst Urbach Contents 1 Hypoxic-IschemicEncephalopathies in Utero and in Infancy...................................................................... 193 1.1 Hydranencephaly ................................................................... 195 1.2 Porencephaly, Encephalomalacia, and Perinatal Stroke ...... 195 1.3 Periventricular Leukomalacia, Subcortical Leukomalacia, and Ulegyria .......................................................................... 198 2 Adult Stroke ......................................................................... 201 3 Moyamoya ............................................................................ 202 4 CADASIL.............................................................................. 205 References...................................................................................... 205 Abstract A vascular etiology of epileptic seizures is common in the fetal and perinatal period and again in adults. In adults, more than 50 % of newly diagnosed epilepsy cases are related to cerebrovascular diseases, but the exact underlying mechanism is often difficult to prove. This chapter summarizes different vascular lesions with characteristic MRI patterns. 1 Hypoxic-Ischemic Encephalopathies in Utero and in Infancy Background: The gestational age and the severity of the hypoxic- ischemic insult determine how the brain reacts to it. Between the 20th and 28th weeks of gestation, the immature brain cannot react with gliosis; typical lesions are hydranencephaly (Fig. 1) or (agenetic) porencephaly. Between the 28th and 32nd weeks, periventricular- intraventricular hemorrhages (PIVH) predominate. They originate in the subependymal germinal matrix, which is a highly cellular area that gives rise to neurons and glia during gestation and involutes before term. Most of these hemorrhages occur in the first week of life and are related to perinatal stress, including low blood pressure, hypoxia, hypercarbia, etc. Between the 32nd and 36th weeks, periventricular leu- komalacia (PVL) is the typical lesion pattern, which, however, may also occur in immature term newborns, for instance, in combination with cardiac defects. It also has an overlap with (PIVH), since periventricular leukomalacia is found in 75 % of patients who died with PIVH, and 25 % of PVL cases are hemorrhagic. As the brain further matures, the vascular border zones shift toward the periphery. Accordingly, white matter lesions ‘‘move’’ from the periventricular to the subcortical H. Urbach (&) Department of Neuroradiology, University Hospital Freiburg, Germany e-mail: horst.urbach@uniklinik-freiburg.de H. Urbach (ed.), MRI in Epilepsy, Medical Radiology. Diagnostic Imaging, DOI: 10.1007/174_2012_781, Ó Springer-Verlag Berlin Heidelberg 2013 193
  • 194.
    zone. Periventricular andsubcortical leukomalacias are not considered separate entities but rather represent a continu- ous disease spectrum. In the term infant, the lesion pattern again depends on the degree of asphyxia: Acute profound episodes of asphyxia may cause a widespread replacement of cerebral cortex and white matter by one or more CSF-filled cavities of variable sizes (multicystic encephalomalacia) or more or less pronounced injury in the thalami, basal ganglia, hippocampi, dorsal mesencephalic structures, and perirolandic cortex with rel- ative sparing of the rest of the cortex (Figs. 5 and 6). Infants with mild to moderate hypoxia (prolonged partial hypoxia– ischemia, primarily hypotensive episodes) show cortical and subcortical injury in a watershed parasagittal distribu- tion. The injury comprises cortical necrosis involving the immediately subjacent white matter, encompassing the parasagittal, superomedial areas of the convexities bilater- ally, with the parietooccipital region more involved than frontal regions (Fig. 7). At a chronic phase, the cortex of the affected gyri shrinks and the term ‘‘ulegyria’’ (otkg = scar) is used to define the type of cortical abnormality charac- terized by atrophy at the depth of the sulci and relative sparing of the crown of the gyri (Fig. 9) (Table 1). Fig. 1 Hydranencephaly in a 4-year-old boy. The cerebral hemi- spheres are nearly completely replaced by CSF-filled sacs. Brain tissue, which normally is supplied via the posterior cerebral arteries like the thalami (b arrows), the medial aspects of the temporal lobes (d–f thick arrows), and the occipital lobes (d: hollow arrows), is preserved. The brainstem and cerebellum are normal (a). The intact falx cerebri (c: hollow arrows) helps to distinguish between hydran- encephaly and alobar holoprosencephaly 194 H. Urbach
  • 195.
    1.1 Hydranencephaly Epidemiology. 1:5,000–10,000live births; approximately ten times more common in teenage mothers. Pathology and Pathogenesis. Insult to the developing brain between the 20th and 27th weeks of gestation (Myers 1989). At this time the brain cannot react to an insult with gliosis yet; instead, liquefication necrosis develops. Hydrancephaly is considered to develop secondarily to the occlusion of internal carotid arteries above the supraclinoid level. A hint for hydranencephaly as a destructive disorder and against a congenital disorder is the fact that some hemispheric brain tissue is usually preserved (Fig. 1). Common identified causes of hydranencephalies are feto- fetal transfusion syndromes, congenital infections (toxo- plasmosis, CMV), and toxins. Rare causes are autosomal- recessive diseases such as Fowler syndrome or microhy- dranencephaly (Williams et al. 2010; Kavaslar et al. 2000; Behunova et al. 2010). Clinical Presentation. Newborns may have a small, a normal-sized, or even a large head due to CSF production of the intact choroid plexus and the presence of hydrocephalus. Hyperexcitability and epileptic seizures are common. Only brainstem functions are intact. Death usually occurs during infancy. In rare cases with unilateral hydranencephaly, a nearly normal living may be possible. Patients’ disabilities are confined to deficits in fine motor control (pincer’s grip). In left hemispheric hydranencephaly, language functions are transferred to the right hemisphere (Ulmer et al. 2005). Imaging. The territory normally supplied by the internal carotid arteries is replaced by CSF-filled cavities. Brain parenchyma supplied by the posterior cerebral arteries is usually preserved. In contrast to the differential diagnosis of alobar holoprosencephaly, the falx cerebri is intact (Fig. 1). 1.2 Porencephaly, Encephalomalacia, and Perinatal Stroke Epidemiology. Since a wide range of conditions may cause porencephaly, encephalomalacia, and perinatal stroke, encephalomalacia and perinatal stroke are not fully disjunct diagnoses, and the exact numbers are difficult to obtain. However, perinatal stroke is common, with a prevalence of 1 in 2,300–5,000 live births (Raju et al. 2007). Table 1 Classification of hypoxic-ischemic encephalopathies in utero and infancy Disease Timepoint of hypoxic event and description MRI Hydranencephaly Porencephaly 20–28th gestational week: The immature brain cannot ‘‘react’’ with gliosis Liquified tissue defect with enlargement of the benachbarte CSF spaces. No or nearly no hyperintensity on FLAIR sequences Periventricular intraventricular (germinal matrix-) hemorrhage 28–32nd gestational week: The germinal matrix has involuted by 34 weeks of gestation Grade I: subependymal bleeding only (typically between the caudate nucleus and thalamus) Grade II: 50 % of ventricles filled with blood, no ventricle dilatation Grade III: [50 % of ventricles filled with blood, ventricle dilatation Grade IV: parenchymal blood Periventricular leukomalacia 32–36th gestational week: Pre-or perinatal insult in preterm newborns bilateral coagulation necrosis with white matter loss, gliosis, and cavitated lesions adjacent to the external angles of the lateral ventricles or diffuse white matter injury and hypomyelination due to injury of preoligodendrocytes (Counsell et al. 2003) Type ‘‘focal cystic periventricular’’ Grade I: along posterior horns of the lateral ventricles Grade II: along anterior and posterior horns of lateral ventricles Grade III: along entire length of lateral ventricles Grade IV: with cavitating lesions of subcortical white matter Type of ‘‘diffuse white matter injury and hypomyelination’’ Subcortical leukomalacia Pre- or perinatal insult in ‘‘older’’ preterm newborns Subcortical white matter lesions with white matter loss Hypoxic-ischemic encephalopathy of the term newborn Profound asphyxia: multicystic encephalomalacia Less profound asphyxia: deep gray matter and perirolandic cortical lesions (high O2 demand) Multicystic destructive lesions Symmetric lesions of basal ganglia (dorsal putamen, ventrolateral thalamus), hippocampi, dorsal brain stem, pre- and postcentral gyri Ulegyria Pre- or perinatal insult in term newborns Gyral scarring and CSF widening in the depth of the (parieto-occipital) sulci in a parasagittal distribution = ‘‘mushroom gyri’’ Ischemia 195
  • 196.
    Pathology and Pathogenesis.Porencephalies are unilat- eral or bilateral cavitary lesions due to hemispheric necrosis that occurs in utero before the cerebral hemispheres are formed (Friede 1989). These cavities develop prior to approximately the 20th gestational week, the adjacent cor- tex is often dysplastic, and gliotic reaction is absent or minimal (agenetic porencephaly). If the insult to the developing brain takes place in the late second or third trimester, glial reaction lining the cavities is more promi- nent and the adjacent cortex is atrophic, but not dysplastic. These lesions are better designated as encephaloclastic porencephaly or (macro-)cystic encephalomalacia. If cavi- tary lesions are confined to the territory of a major intracerebral artery, the term ‘‘ischemic perinatal stroke’’ is appropriate. Ischemic perinatal stroke is defined as a group of heterogeneous conditions in which there is a focal dis- ruption of blood flow secondary to arterial or venous thrombosis or embolization between 20 weeks of fetal life through the 28th postnatal day (Raju et al. 2007). The mechanism of porencephaly, encephalomalacia, and perinatal stroke is usually vascular (ischemia or resolution of an intracerebral hemorrhage). The risk is higher in (monochorionic, diamniotic) twins (Friede 1989), and an autosomal-dominant form with COL4A1 mutations on chromosome 13 and porencephaly due to fetal infections (mostly CMV infections) has been described (Aguglia et al. Fig. 2 MRI in a 15-year-old girl with congenital right-sided hemi- paresis and drug-resistant seizures shows porencephalic extension of the left lateral ventricle (b, c) associated with gliotic gyri around the left frontal horn (c arrow). Next to the left-sided hemiatrophy, frontal sinus hypertrophy and thickened calvaria (c hollow arrow) have developed (Dyke–Davidoff–Masson syndrome). A pyramidal tract is displayed with diffusion tensor tractography and co-registered to the 3D T1-weighted data set only on the right side (a arrow). This condition, with rather prominent gliotic changes, could also be designated as encephaloclastic porencephaly Fig. 3 Schizencephaly/polymicrogyria complex in a 35-year-old woman with a mild right-sided hemiparesis who has suffered from simple focal and complex focal seizures since the age of 8. A widened Sylvian fissure (a, b arrow) is surrounded by polymicrogyriform cortex without any gliotic changes (b, c black arrows). Schizenceph- aly/polymicrogyria complex is most often the result of a vascular insult in the late second or third trimester and could also be designated as agenetic porencephaly 196 H. Urbach
  • 197.
    2004; Gould etal. 2005; Breedveld et al. 2006; van der Knaap et al. 2006; Alamowitch et al. 2009). In bilateral lesions with glial reactions, the term ‘‘multicystic enceph- alomalacia’’ is often used, and next to bilateral thrombo- embolic infarcts, profound hypotension and neonatal hypoglycemia must be considered. Clinical Presentation. The correlation between poren- cephalic lesion location and seizure semiology is weak, and many patients have temporal lobe seizures, which may be explained with coexisting hippocampal damage (dual pathology) (Ho et al. 1998). Perinatal stroke patients typically present with congenital or early acquired hemi- paresis or hemiplegia. Imaging. Porencephalic lesions are CSF-filled cystic lesions with minimal surrounding gliosis that communicate with the lateral ventricle, the subarachnoid space, or both. The adjacent cortex is atrophic and may be dysplastic (Figs. 2–4). Encephalomalacia can be macrocystic or microcystic. Macrocystic encephalomalacia is characterized by cavi- tary lesions with CSF-like signal and increased FLAIR signal intensity lining the CSF-filled cavities. Microcystic Fig. 4 Parietooccipital porencephalic cyst in a 15-year-old girl with drug-resistant secondarily generalized tonic–clonic seizures, left-sided hemiparesis, and left lower quadrant anopia (a–c). The cystic lesion has a CSF-like signal, communicates with the lateral ventricle and the superficial subarachnoid space, and is lined by glitoic tissue (a arrow). A coronal T2-weighted fast spin echo sequence shows a hypointense structure (c arrow), suggesting that the porencephalic cyst is secondary to the resorption of an intracerebral hemorrhage Fig. 5 Postnatal ischemic stroke in a 3-year-old boy who suddenly developed a left-sided hemiparesis at the age of 2 months. Simple and complex focal seizures started at the age of 4. The porencephalic cavity is confined to the right MCA territory and communicates with the superficial subarachnoid space. Distinct right-sided hemiatrophy and gliotic changes (c hollow arrow) are suggestive of a fetal, perinatal, or early postnatal origin. Increased peritrigonal signal intensity (c arrow) and hippocampal atrophy and signal increase of the CA1 sector (a, b arrow) indicate hypoxic-ischemic encephalopathy Ischemia 197
  • 198.
    encephalomalacia designates damaged,gliotic brain with increased water content but without overt cavitary necrosis. It is characterized by increased signal intensity on FLAIR sequences. Perinatal ischemic stroke caused by thrombo- embolic infarction shows cavitary lesions confined to the territory of one or more intracerebral arteries. The affected hemisphere is severely atrophic and the corticospinal tract extremely thin (Fig. 5). Microcystic, gliotic cortical and subcortical signal changes in a watershed parasagittal dis- tribution are in favor of moderate neonatal hypoxia/hypo- tension (Fig. 8) and those with prominent parietal and occipital lobe changes in favor of neonatal hypoglycemia (Barkovich et al. 1998). 1.3 Periventricular Leukomalacia, Subcortical Leukomalacia, and Ulegyria Clinical presentation. Patients with milder grades of periven- tricular leukomalacia typically present with spastic diparesis and visual impairment. More severe grades have leg-dominant spastic quadriparesis and may show severe cognitive Fig. 6 Less profound hypoxic-ischemic encephalopathy of a term newborn. A 20-year-old woman presented with drug-resistant temporal lobe seizures since the age of 8. Past medical history revealed successful resuscitation at the age of 2 weeks. MRI showed gliotic changes and tissue volume loss of both hippocampi (R [ L) (a–c tri- angles) and of the pre- and postcentral gyri, respectively (c–e arrows). Note that the cortex in the depth of the sulci is more heavily affected (c arrow). Gliotic changes and tissue volume loss are due to selective neuronal loss and the sequelae of the high O2 and metabolic demand due to the fact that the pre- and postcentral gyri are myelinating around birth. Midsagittal T1-weighted shows a rather thin callosal body resulting from the degeneration of transcallosal axons (f arrow) 198 H. Urbach
  • 199.
    Fig. 7 Hypoxic-ischemic encephalopathyof a term newborn. MRI of a 5-year-old child with complex focal seizures and suspected hypoxia during birth. Hippocampi (a, d thick arrows), ventrolateral thalami (b, e arrows), Purkinje cells and dentate nuclei (f long arrow), and actively myelinating brain regions around term birth (pre- and postcentral gyri) (c, f hollow arrows) show gliosis interpreted as selective neuronal necrosis of brain structures with high O2 demand Ischemia 199
  • 200.
    Fig. 8 A12-year-old boy suffered from meconium aspiration during birth. He developed a right-sided spastic hemiparesis and started to have clonic seizures of the right arm at the age of 2. MRI shows left- sided hemiatrophy and gliotic changes in the ‘‘watershed areas,’’ suggesting mild to moderate hypoxia during birth (a, b arrows). Note atrophy of the left cerebral peduncle (c arrow) Fig. 9 Periventricular leukomalacia with periventricular white matter signal intensities (b, c), irregular ventricle dilatation, profound white matter volume loss, and thin corpus callosum. See also symmetrical basal ganglia hyperintensities centered in the thalami (a arrows). Axial T2-weighted gradient echo image (d) fails to show hemosiderin deposits. This 8-year-old boy was born at the 37th gestational week and underwent MRI after two complex focal seizures 200 H. Urbach
  • 201.
    impairment. Twenty-five to50 % of patients with periven- tricular leukomalacia have epilepsy with multiple, often mul- tifocal seizure types. Among those, complex focal and seizures are most common (Gurses et al. 1999; Humphreys et al. 2007). There is a correlation between the grade of periventricular leukomalacia on MRI, the presence of other radiologic abnormalities, the risk of epilepsy, and the type of epilepsy syndrome. For example, periventricular leukomalacia is found in 5 % of patients with a West syndrome. Patients with ulegyria typically have some degree of spastic teteraparesis, have intellectual impairment, and may have seizures. Imaging. Periventricular leukomalacia is characterized by white matter atrophy with deeply indented sulci, enlarged and irregularly configured trigones of the lateral ventricles, and periventricular, typically peritrigonal, white matter lesions. The body and splenium of the corpus cal- losum are thin (Fig. 9). In subcortical leukomalacia, white matter lesions are located predominantly in the subcortical white matter. Ulegyria is characterized by gyral scarring affecting the gyri in the depth of the sulci more heavily than on their crowns. Scars are typically bilateral and symmetric and have a predilection for the parietal and occipital regions. FLAIR sequences are best suited to show gyral atrophy and increased signal intensity as well as sulcus widening (Figs. 6, 7, 8, 9, 10). 2 Adult Stroke Epidemiology. In the adult population (older than 35 years), stroke is the most common cause of epilepsy. More than 50 % of newly diagnosed epilepsy cases in elderly persons are related to cerebrovascular diseases (Hauser et al. 1993; Loiseau et al. 1990). Around 11 % of stroke patients will have subsequent seizures within 5 years, and about one third of this group will develop recurrent seizures (Burn et al. 1997; Bladin et al. 2000). Pathogenesis. The exact mechanisms are poorly under- stood. An increase in intracellular Na+ and Ca2+ with a resultant lower level for depolarization, glutamate exico- toxicity, hypoxia, metabolic dysfunction, global hypoper- fusion (Fig. 11), and hyperperfusion injury have been discussed as putative mechanisms (Myint et al. 2006). Clinical presentation. Early-onset (within 2 weeks) and late-onset seizures are distinguished. Early-onset seizures typically occur during the first days as simple focal seizures without secondary generalization. Late-onset seizures (three times more often than early-onset seizures) have a peak incidence between 6 months and 2 years after a stroke and are more frequently complex focal seizures with or without secondary generalization (Shinton et al. 1988; Bladin et al. 2000; Arboix et al. 2003). Fig. 10 Ulegyria in a 47-year-old woman with ‘‘complicated birth’’ and complex focal seizures since the age of 18. Coronal (a, b) and axial FLAIR (c) images show widened sulci around atrophic and hyperintense cortex (arrows). A biparietal location is typical, and the cortex in the depth of the intraparietal sulci is often more heavily affected than on the crown of the gyri Ischemia 201
  • 202.
    Who will developseizures is difficult to predict. Intracere- bral hemorrhage (estimated incidence 10–15 %) and sub- arachnoid hemorrhage (8.5 %) carry a higher risk than ischemic stroke (6.5–8.5 %). Known risk factors associated with a higher risk of epileptic seizures in ischemic macro- angiopathic stroke are thromboembolic stroke with cortical damage, infarct location in posterior insular and hippocampal regions, the involvement of multiple sites or a larger lesion, the severity of the initial neurological deficit, and the severity of persistent disability after stroke (Bladin et al. 2000). Even microangiopathy is a risk factor for epileptic sei- zures: Nearly one fourth of patients with CT- or MR-proven cerebral microangiopathy suffer from epileptic seizures; the exact meachanism is unclear (Okroglic et al. 2013). In subarachnoid hemorrhage (SAH), middle cerebral artery aneurysms and intraparenchymal hematomas are known risk factors (Myint et al. 2006). The incidence of poststroke epilepsy is likely highest in hemorrhagic stroke due to venous occlusion. Following endovascular therapy, seizures within 24 h of stroke onset are rather predictive of a poor prognostic out- come (Jung et al. 2012). Imaging. In patients with cerebral microangiopathy, white matter lesions in the frontal and parietooccipital regions rather than in the temporal lobe and basal ganglia lesions are correlated with epileptic seizures (Okroglic et al. 2013). 3 Moyamoya Epidemiology. Moyamoya is a progressive vasculopathy characterized by stenoses or occlusions of the proximal portions of the major intracerebral arteries, which was ini- tially described in Japan in 1962 (Subirana and Subirana Fig. 11 Moyamoya disease in a 28-year-old man who presented with simple focal, complex focal, and secondarily generalized seizures, most likely of temporal origin. Coronal FLAIR sequence shows bilateral hippocampal sclerosis (a arrows). Axial (b) and coronal (c) T2-weighted fast spin echo and axial T1-weighted gradient echo sequences (d) showed tiny vessels in the basal cisterns (arrows). Catheter angiography showed bilateral supraclinoid ICA stenosis, an extensive moyamoya net in the basal cisterns (e–g arrow), and leptomeningeal collaterals between anterior cerebral artery branches (g hollow arrow) 202 H. Urbach
  • 203.
  • 204.
    1962). Classic locationsof stenoses and occlusions are the carotid T and the basilar bifurcation. Lenticulostriate and thalamoperforating arteries and—later on—external carotid and vertebral artery branches supplying the dura try to compensate for the progressive stenoses. This hypertrophied collateral network was originally described by the Japanese term ‘‘moyamoya,’’ which translates to ‘‘a hazy cloud like a puff of cigarettes’’ (Kudo 1968; Suzuki and Takaku 1969). Pathogenesis. The current concept is to distinguish an idi- opathic form with regional differences in incidence (moya- moya disease) and an acquired form (moyamoya syndrome) (Kleinloog et al. 2012). Conditions such as radiation therapy, genetic factors, infections (Epstein–Barr virus, human immu- nodeficiency syndrome, tuberculous meningitis), and several heterogeneous diseases (sickle cell anemia, neurofibromatosis type 1, Down’s syndrome, congenital heart defects, anti- phospholipid syndrome, renal artery stenosis, thyroiditis, and others) have been found to be associated with moyamoya syndrome (Lutterman et al. 1998). Clinical presentation. Seventy percent of patients (m:f = 1:1.8) present before the age of 20, typically before the age of 10, mostly with transitory ischemic attacks (TIAs), progressive neurological deficits, recurrent head- aches, and/or complex focal or secondarily generalized seizures (15 % of cases). Thirty percent of patients present in the fourth decade of life, often with subarachnoid or intraparenchymal hemorrhages. Imaging. FLAIR sequences best visualize chronic infarcts, which typically have a hemodynamic (watershed) pattern and localized or diffuse atrophy. Diffusion-weighted sequences are needed to detect acute infarcts. T2-weighted sequences or contrast-enhanced T1-weighted sequences depict prominent flow void structures in the basal cisterns or within the brain parenchyma, representing hypertrophied collateral vessels or dilated capillaries. TOF-MRA, espe- cially at 3 T, may be sufficient to show stenoses and occlu- sions and may show collateral vessels at the base of the brain (Fig. 12). However, in order to fully depict the collateral bFig. 12 Moyamoya syndrome in a 31-year-old woman, who pre- sented with bilateral complex focal seizures, which were likely due to cerebral hypoperfusion. Axial FLAIR image (a) showed small hemodynamic infarcts in both hemispheres (arrows), the parietal one (thick arrow) with reduced diffusion. Hypertrophied lenticulostiate arteries on the left side were identified in retrospect only (b). DSA showed right-sided supraclinoid ICA stenosis (c), left-sided supracli- noid ICA occlusion (e, f), and basilar artery tip stenosis (d). After angioplasty of the right-sided supraclinoid ICA stenosis with a balloon-mounted stent (Pharos 3 9 13 mm, Codman Neurovascular, Miami, FL), seizures stopped and the patient fully recovered (g). However, 1 year later, she presented with a transient left-sided hemiparesis and a right-sided infarct (h). Right-sided supraclinoid ICA showed stenosis again (j, k thick arrows). Perforating arteries were more prominent (i, k, l arrows), and transdural supply to left-sided frontal anterior cerebral artery branches had developed (m, n arrows). EC-IC-bypass was scheduled Fig. 13 CADASIL in a 41-year old man with recurrent transitory ischemic attacks presenting with a left-sided hemiparesis due to acute lacunar infarct in the right centrum semiovale (not shown). MRI shows extensive microangiopathy involving the basal ganglia (b) and pons (a). Confluent hyperintense lesions involving the U-fibers in the temporal poles and to a lesser extent in the frontal lobes (a, c arrows) and hyperintensity of the external capsules (b arrows) are character- istic for CADASIL 204 H. Urbach
  • 205.
    vessels, catheter angiographyis needed. Perfusion MRI or HMPAO-SPECT without and with acetacloamide challenge are used to discover hemodymamic compromise. 4 CADASIL CADASIL is an acronym for cerebral autosomal dominant arteriopathy with subcortical infarcts and leukoence- phalopathy. Epidemiology. CADASIL is a rare, autosomal-dominant disease, initially described by Tournier-Lasserve et al. in 1993 (Tournier-Lasserve et al. 1993). If middle-aged family members suffer from migraine episodes, recurrent transient ischemic attacks, strokes, and show slowly progressive cognitive decline, CADASIL should be considered. Pathogenesis. Nonamyloid, nonatherosclerotic angiopa- thy with osmophilic granular depositions within the tunica media of small (100–400 lm) arteries. Autosomal-dominant inherited mutations of the NOTCH3 gene on chromosome 19q12 (Tournier-Lasserve et al. 1993). Penetrance of 100 %, but intrafamiliar phe- notypic variability (Dichgans et al. 1998). Clinical presentation. Initial symptoms are typically migraine epidoses with aura starting around the age of 30 (40 % of cases). At this time, 20–30 % of patients show some psychiatric symptoms (mostly mood disturbances). In the fifth and sixth decades, recurrent transient ischemic attacks and ischemic strokes take place, and a slowly pro- gressive subcortical dementia with additional stepwise deterioration develops. Many of the demented patients also suffer from gait disturbances, urinary incontinence, and pseuodbulbar palsy (Dichgans et al. 1998). Around 10 % of patients develop epileptic seizures, most often generalized tonic–clonic seizures, which typically occur following TIAs or ischemic infarcts. Rarely, seizures may precede ischemic events and cognitive impairment (Velioza et al. 2011). Imaging. Lacunar infarcts in basal ganglia, thalamus, brain stem, and periventricular white matter. Confluent, non-space-occupying FLAIR and T2-hyperintense lesions of the subcortical white matter of the temporal poles and frontal lobes including the subcortical U-fibers are more characteristic than hyperintensities along the external cap- sules (Dichgans et al. 1998; Chabriat et al. 1998, 2009; Yousry et al. 1999) (Fig. 13). DTI shows a distinct increase in mean water diffusivity and a parallel loss of diffusion anisotropy in T2-hyperintense lesions (Chabriat et al. 1999). References Aguglia U, Gambardella A, Breedveld GJ et al (2004) Suggestive evidence for linkage to chromosome 13qter for autosomal dom- inant type 1 porencephaly. Neurology 62(9):1613–1615 Alamowitch S, Plaisier E, Favrole P et al (2009) Cerebrovascular disease related to COL4A1 mutations in HANAC syndrome. Neurology 73(22):1873–1882 Arboix A, Comes E, Garcia-Eroles L et al (2003) Prognostic value of very early seizures for in-hospital mortality in atherothrombotic infarction. Eur Neurol 50:78–84 Barkovich AJ, Ali FA, Rowley HA, Bass N (1998) Imaging patterns of neonatal hypoglycemia. AJNR Am J Neuroradiol 19:523–528 Behunova J, Zavadilikova E, Bozoglu TM et al (2010) Familial microhydranencephaly, a family that does not map to 16p13.13- p12.2: relationship with hereditary fetal brain degeneration and fetal brain disruption sequence. Clin Dysmorphol 19(3):107–118 Bladin CF, Alexandrov AV, Bellavance A et al (2000) Seizures after stroke: a prospective multicenter study. Arch Neurol 57:1617–1622 Breedveld G, de Coo IF, Lequin MH et al (2006) Novel mutations in three families confirm a major role of COL4A1 in hereditary porencephaly. J Med Genet 43(6):490–495 Burn J, Dennis M, Bamford J et al (1997) Epileptic seizures after a first stroke: the Oxfordshire community stroke project. BMJ 315:1582–1587 Chabriat H, Levy C, Taillia H et al (1998) Patterns of MRI lesions in CADASIL. Neurology 51(2):452–457 Chabriat H, Pappata S, Poupon C et al (1999) Clinical severity in CADASIL related to ultrastructural damage in white matter: in vivo study with diffusion tensor MRI. Stroke 30(12):2637–2643 Chabriat H, Joutel A, Dichgans M et al (2009) Cadasil. Lancet Neurol 8(7):643–653 (Review) Counsell SJ, Allsop JM, Harrison MC et al (2003) Diffusion-weighted imaging of the brain in preterm infants with focal and diffuse white matter abnormality. Pediatrics 112:1–7 Dichgans M, Mayer M, Uttner I et al (1998) The phenotypic spectrum of CADASIL: clinical findings in 102 cases. Ann Neurol 44:731–739 Friede R (1989) Developmental neuropathology. Springer-Verlag, Berlin Gould DB, Phalan FC, Breedveld GJ et al (2005) Mutations in Col4a1 cause perinatal cerebral hemorrhage and porencephaly. Science 308(5725):1167–1171 Gurses C, Gross DW, Andermann F et al (1999) Periventricular leukomalacia and epilepsy: incidence and seizure pattern. Neurol- ogy 52:341–345 Hauser WA, Annegers JF, Kurland LT (1993) Incidence of epilepsy and un-provoked seizures in Rochester, Minnesota: 1935–1984. Epilepsia 34:453–468 Ho SH, Kuzniecky RI, Gilliam F et al (1998) Congenital porenceph- aly: MR features and relationship to hippocampal sclerosis. AJNR Am J Neuroradiol 19:135–141 Humphreys P, Deonandan R, Whiting S et al (2007) Factors associated with epilepsy in children with periventricular leukomalacia. J Child Neurol 22:598–605 Jung S, Schindler K, Findling O et al (2012) Adverse effect of early epileptic seizures in patients receiving endovascular therapy for acute stroke. Stroke 43:1584–1590 Ischemia 205
  • 206.
    Kavaslar GN, OnengütS, Derman O et al (2000) The novel genetic disorder microhydranencephaly maps to chromosome 16p13.3- 12.1. Am J Hum Genet 66(5):1705–1709 Kleinloog R, Regli L, Rinkel GJ, Klijn CJ (2012) Regional differences in incidence and patient characteristics of moyamoya disease: a systematic review. J Neurol Neurosurg Psychiatry 83(5):531–536 Kudo T (1968) Spontaneous occlusion of the circle of Willis. A disease apparently confined to Japanese. Neurology 18(5):485–496 Loiseau J, Loiseau P, Duche B et al (1990) A survey of epileptic disorders in southwest France: seizures in elderly patients. Ann Neurol 27:232–237 Lutterman J, Scott M, Nass R, Geva T (1998) Moyamoya syndrome associated with congenital heart disease. Pediatrics 101:57–60 Myers RE (1989) Cerebral ischemia in the developing primate fetus. Biomed Biochim Acta 48:S137–S142 Myint PK, Staufenberg EF, Sabanathan K (2006) Post-stroke seizure and post-stroke epilepsy. Postgrad Med J 82(971):568–572 Okroglic S, Widmann CN, Urbach H, Scheltens P, Heneka M (2013) Clinical symptoms, risk factors and cardiovascular medication in patients diagnosed with cerebral microangiopathy. PLoS ONE 8(2): e53455 Raju TN, Nelson KB, Ferriero D (2007) NICHD-NINDS perinatal stroke workshop participants. Ischemic perinatal stroke: summary of a workshop sponsored by the national institute of child health and human development and the national institute of neurological disorders and stroke. Pediatrics 120(3):609–616 Shinton RA, Gill JS, Melnick SC et al (1988) The frequency, characteristics and prognosis of epileptic seizures at the onset of stroke. J Neurol Neurosurg Psychiatry 51:273–276 Subirana A, Subirana M (1962) Malformations vasculaires du type de l’angiome arterial racemeux [in French]. Rev Neurol 107:545–550 Suzuki J, Takaku A (1969) Cerebrovascular ‘‘moyamoya’’ disease: disease showing abnormal net-like vessels in base of brain. Arch Neurol 20:288–299 Tournier-Lasserve F, Loutel A, Melki J et al (1993) Cerebral autosomal dominant arteriopathy with subcortical infarcts and leukoencephalopathy maps to chromosome 19q12. Nat Genet 3:256–259 Ulmer S, Moeller F, Brockmann MA et al (2005) Living a normal life with the nondominant hemisphere: magnetic resonance imaging findings and clinical outcome for a patient with left-hemispheric hydranencephaly. Pediatrics 116(1):242–245 van der Knaap MS, Smit LM, Barkhof F et al (2006) Neonatal porencephaly and adult stroke related to mutations in collagen IV A1. Ann Neurol 59(3):504–511 Velioza R, Mourand I, Serafini A et al (2011) Focal epilepsy as first symptom in CADASIL. Seizure 20:502–504 Williams D, Patel C, Fallet-Bianco C et al (2010) Fowler syndrome—a clinical, radiological, and pathological study of 14 cases. Am J Med Genet A 152A(1):153–160 Yousry TA, Seelos K, Mayer M et al (1999) Characteristic MR lesion pattern and correlation of T1 and T2 lesion volume with neurologic and neuropsychological findings in cerebral autosomal dominant arteriopathy with subcortical infarcts and leukoencephalopathy (CADASIL). AJNR Am J Neuroradiol 20:91–100 206 H. Urbach
  • 207.
    Infection and Inflammation HorstUrbach Contents 1 TORCH(S)............................................................................ 208 1.1 Epidemiology......................................................................... 208 1.2 Pathogenesis........................................................................... 208 1.3 Clinical Presentation.............................................................. 208 1.4 Imaging .................................................................................. 208 2 Herpes Simplex Encephalitis.............................................. 208 2.1 Epidemiology......................................................................... 208 2.2 Pathogenesis........................................................................... 208 2.3 Clinical Presentation.............................................................. 209 2.4 Imaging .................................................................................. 209 3 Human Herpes Virus 6 Encephalitis ................................ 210 3.1 Epidemiology and Pathogenesis ........................................... 210 3.2 Clinical Presentation.............................................................. 210 3.3 Imaging .................................................................................. 210 4 Tuberculosis.......................................................................... 210 4.1 Epidemiology......................................................................... 210 4.2 Pathogenesis........................................................................... 211 4.3 Clinical Presentation.............................................................. 211 4.4 Imaging .................................................................................. 211 5 Toxoplasmosis ...................................................................... 212 5.1 Epidemiology......................................................................... 212 5.2 Pathogenesis........................................................................... 212 5.3 Clinical Presentation.............................................................. 212 5.4 Imaging .................................................................................. 212 6 Cysticercosis ......................................................................... 212 6.1 Epidemiology......................................................................... 212 6.2 Pathogenesis........................................................................... 213 6.3 Clinical Presentation.............................................................. 213 6.4 Imaging .................................................................................. 214 7 Echinococcosis (Hydatid Disease)...................................... 215 7.1 Epidemiology......................................................................... 215 7.2 Pathogenesis........................................................................... 215 7.3 Clinical Presentation.............................................................. 215 7.4 Imaging .................................................................................. 216 8 Sarcoidosis ............................................................................ 216 8.1 Epidemiology......................................................................... 216 8.2 Pathogenesis........................................................................... 217 8.3 Clinical Presentation.............................................................. 217 8.4 Imaging .................................................................................. 217 References...................................................................................... 218 Abstract This chapter summarizes common CNS infections and inflammations associated with epilepsy. Central nervous system (CNS) infections are common; patients may present with a broad clinical spectrum ranging from mild symptoms to severe neurological deficits. Around 25 % of patients with CNS infections have acute symp- tomatic seizures (Kim et al. 2008). The occurrence of sei- zures during the acute course of meningitis, encephalitis, and brain abscess is the main risk factor for the develop- ment of postinfectious epilepsy (Sellner and Trinka 2012). CNS infections can be classified into congenital/neonatal and acquired infections. Congenital infections are the result of transplacental transmission; the consequences depend on the pathogenicity of the infectious agent and of the timing of the infection. Congenital brain infections are typically grouped together and called TORCH (toxoplasmosis, rubella, cytomegalovirus, herpes) or TORCHS infections if congenital syphilis is included. Another important congen- ital infection is congenital human immunodeficiency virus (HIV) infection (Osborn et al. 2010). ‘‘Acquired’’ infections can be classified by etiology, for instance, bacterial, viral, granulomatous, parasitic, or fungal disease. The disease course can be very different: acute and fulminant as in herpes encephalitis or rather subacute or chronic, depending on whether or not the patient is immu- nocompromised or which therapy he or she receives. H. Urbach (&) Department of Neuroradiology, University Hospital Freiburg, Germany e-mail: horst.urbach@uniklinik-freiburg.de H. Urbach (ed.), MRI in Epilepsy, Medical Radiology. Diagnostic Imaging, DOI: 10.1007/174_2012_756, Ó Springer-Verlag Berlin Heidelberg 2013 207
  • 208.
    This chapter addressescommon CNS infections typically associated with epilepsy (Table 1). In addition, neurosarcoid- osis as an important noninfectious inflammation is described. 1 TORCH(S) TORCH(S) is an acronym for toxoplasmosis, rubella, cyto- megalovirus, herpes simplex virus type 2, (syphilis) infection. 1.1 Epidemiology Toxoplasmosis is a relatively common congenital infection with an estimated incidence between 1:3000 and 1:5000 live births. Due to immunisation programs, rubella virus infection has become very rare in Western countries. CMV infection is the most common congenital viral infection and occurs in about 1 per 100 births (Neto et al. 2004). Con- genital herpes simplex encephalitis has an incidence of 1:3000–20,000 live births (Pickering 2006). 1.2 Pathogenesis Toxoplasmosis is a transplacentar infection. The infection risk is especially high (20–50 %) when the mother-to-be acquires Toxoplasma infection (mostly from contaminated meat) during pregnancy. Rubella virus infection is a very rare transplacentar infection. Cytomegalovirus (CMV) is also transmitted via the placenta; the earlier the transmission occurs, the poorer the outcome (Trincado and Rawlinson 2001). The vast majority of infected neonates are asymptomatic, but about 10 % present with low birthweight, hepatitis, pneumonitis, and/or neurologic and hematologic abnormalities. Congenital herpes simplex virus encephalitis is usually caused by HSV-2. In true congenital infections, the virus has crossed the placenta and is found in amniotic fluid (5–10 % of cases). In 90–95 % of cases, HSV-2 encepha- litis is a neonatal infection resulting from contact with infected lesions or secretions during or shortly after birth (Baskin and Hedlund 2007). 1.3 Clinical Presentation Most children are severely disabled with frequent seizures of many types. 1.4 Imaging The imaging hallmarks of TORCH infections are periven- tricular calcifications. Other findings are microcephaly, ventriculomegaly, delayed myelination, hippocampal mal- rotation, and cortical dysplasias, among others (Fig. 1). 2 Herpes Simplex Encephalitis 2.1 Epidemiology Herpes simplex virus type 1 (HSV-1) encephalitis is the most common identified cause of sporadic viral encephalitis. 2.2 Pathogenesis HSV-1 is a ubiquitous virus that rarely causes neurologic complications. Children usually become infected with the virus early in life from direct contact with the secretions or lesions of infected individuals. The primary infection is often asymptomatic or mild and self-limiting (e.g., gingi- vostomatitis). After primary infection, the virus persists in a latent form within the trigeminal sensory ganglion. HSV-1 encephalitis is caused by reactivation of the virus, which may occur spontaneously or by local trauma, immunosup- pression, etc. Table 1 Common CNS infections associated with epilepsy Congenital/neonatal infections TORCH(S): Toxoplasma, Rubella, Cytomegalovirus, HSV2, (syphilis) Human Immunodeficiency Virus (HIV) infection ‘‘Acquired’’ infections Viral infections: Herpes simplex virus 1 encephalitis Human herpesvirus 6 (HHV6) infection Bacterial infections causing brain abscesses Streptococcus, Staphylococcus, Pseudomonas, Enterobacteriaceae, Bacteroides, etc. Specific conditions: from otogenic infections: Proteus, Enterobacter, Pseudomonas, Pneumococcus, Hemophilus (Penido et al. 2005) postsurgical or posttraumatic: Staphylococcus immunocompromised patients: Tuberculosis and other mycobacteriaceae, Klebsiella, Listeria, Nocardia newborns: Citrobacter, Proteus, Pseudomonas, Serratia Parasitic infections Toxoplasmosis (Toxoplasma gondii) Neurocysticercosis (Taenia solium) Echinococcosis (Echinococcus granulosus, Echinococcus multilocularis/alveolaris) 208 H. Urbach
  • 209.
    2.3 Clinical Presentation HSV-1patients present with acute monophasic illness with seizures, fever, and progressive neurologic deficits. Mortality and morbidity are as high as 50–70 % without treatment. The importance of early diagnosis and the initi- ation of treatment with the antiviral drug acyclovir before establishing the diagnosis are stressed. Diagnosis is based on HSV detection in CSF by polymerase chain reaction (PCR) (Rowley et al. 1990). However, since a negativePCRcanoccurinthefirst48–72 handafter10 daysof illness, an abnormal MRI is an important clue to the diagnosis. 2.4 Imaging MRI shows abnormalities in a typical limbic system distribution in more than 90 % of patients. Edema with restricted diffusion on DWI, hemorrhages, and gyriform contrast enhancement occur bilaterally, but somewhat asymmetrically in the mesial temporal lobes, the basal frontal lobes, and the insular cortices. The involvement of the cingulate gyri is a rather late finding and may be associated with the involvement of the efferent connections of the hippocampus (Tien et al. 1993) (Figs. 2–4). Fig. 1 MRI of a 54-year-old woman who has suffered from drug- resistant temporal lobe epilepsy since early childhood shows right- sided hippocampal sclerosis (b, c: hollow arrow) and a rather hypoplastic temporal pole (d: arrow). Multiple parenchymal calcifications on axial T2-weighted gradient echo images represent calcified abscesses from connatal toxoplasma infection (e, f). Note distinct ocular globe calcifications (a) and hypophyseal macroadenoma (d: hollow arrow) as additional findings Infection and Inflammation 209
  • 210.
    3 Human HerpesVirus 6 Encephalitis 3.1 Epidemiology and Pathogenesis HHV-6 types A and B are ubiqitous viruses; almost all children are infected before the age of 2 years. The virus enters the body through the salivary glands, where it rep- licates and sheds further particles via infectious saliva. It usually remains latent throughout the body, including the salivary glands, white blood cells, and the brain. Acute HHV-6B infection is associated with febrile seizures in infants. More commonly, however, HHV-6 encephalitis is due to reactivation of the HHV-6 virus in immunosup- pressed patients (Baskin and Heglund 2007). 3.2 Clinical Presentation Acute HHV-6 infection causes a febrile exanthema known as roseola infantum in 10 % of children. Thirteen percent of children have seizures (Hall et al. 1994), and almost 30 % of first-time febrile seizures in infants are due to acute HHV-6 infection (Baskin and Heglund 2007). Reactivation of HHV-6 in immunocompromized patients is seen, for instance, in 50 % of bone marrow transplant patients, usually 2–4 weeks after transplantation (Singh and Paterson 2000). However, the CNS is affected in a minority of patients only. Patients with reactivation of HHV-6 encephalitis present with mental status changes, fever, sei- zures, and headache, and diagnosis is confirmed by the proof of HHV-6-DNA in the CSF by PCR (Singh and Paterson 2000; Baskin and Heglund 2007). 3.3 Imaging Imaging studies reveal bilateral [ unilateral increased sig- nal intensity and swelling of the amaygdala, hippocampus, and parahippocampal gyrus, reflecting limbic encephalitis (Wainwright et al. 2001). In young children, necrotizing encephalitis with bilateral striatal necrosis has been described (Murakami et al. 2005). 4 Tuberculosis 4.1 Epidemiology Tuberculosis is a CNS infection with a high morbidity and a significant mortality. The incidence and prevalence are low in the Western but high in developing countries (an esti- mated annual incidence in developing countries of 139/ 100,000 persons and an estimated prevalence of 206/ 100,000 persons, respectively) (WHO Report 2009). About 10 % of tuberculosis patients develop CNS disease, par- ticularly immunocompromised patients, including those with HIV infections (Dye et al. 1999; Bishburg et al. 1986). Fig. 2 Herpes simplex 1 encephalitis in a 40-year-old man who initially complained of olfactory hallucinations and déjà vu phenom- ena involving memories of the odor of a youth hostel where he had stayed decades ago. Within 12 h he became fully amnesic and psychotic. CT (a) and MRI (b, c) show a swollen right-sided uncus (a, b: arrow), insula, basal frontal lobe and opposite hemisphere involvement, and a hemorrhagic component (a, c: hollow arrow) 210 H. Urbach
  • 211.
    4.2 Pathogenesis The CNSis typically infected via the hematogenous spread of bacteria belonging to the mycobacterium tuberculosis complex, mostly from pulmonary tuberculosis. The tubercles usually rupture into the subarachnoid space, and miliary tubercles forming around the outer sheaths of the blood vessel cause a granuolomatous meningitis. Either the basal exsudate or concomitant arteriitis of perforating arteries may cause arterial infarcts, which are most often located in the basal ganglia (Dastur et al. 1995). When the basal exsudate becomes caseous and dries and a thick capsule forms around it, a tuberculoma has developed (AlSemari et al. 2012). 4.3 Clinical Presentation Seizures occur in about 50 % of children and in 5 % of adults; recurrent seizures are common (Udani et al. 1971; Narayanan and Murthy 2007a, b). Rarely, convulsive and nonconvulsive status epilepticus occurs (Murthy et al. 2007; Narayanan and Murthy 2007a, b; Arman et al. 2011). 4.4 Imaging Tuberculous meningitis: Basal meningitis with hyperintense CSF on FLAIR and contrast enhancement on T1-weighted contrast enhanced images. Tuberculomas: Round or oval contrast-enhancing lesions with a central necrosis, which may appear as target sign. Multiple lesions are more common than solitary lesions. Tuberculomas developing from tuberculous meningitis are typically contiguous with the subarachnoid space. Tuber- culomas developing from a hematogenous spread are located at the gray/white matter junction and have a supratentorial (parietal) preference location. A dural tuber- culoma location is not unusual. Fig. 3 Herpes simplex 1 encephalitis in a 59-year-old man who presented with aphasia, confusion, and fever. MRI shows edematous swelling with restricted diffusion of the left insula (a, c, d, e: arrow) and the left cingulate gyrus (b, c, f: hollow arrow). Limbic system involvement with edematous swelling and hemorrhagic foci in an asymmetric, typically bilateral distribution are the clue to the diagnosis of herpes simplex encephalitis Infection and Inflammation 211
  • 212.
    Hydrocephalus and arterialinfarcts are complications due to meningitis and arteriitis. A clue to the diagnosis is the proof of extracerebral, most often reactivated pulmonary tuberculosis (Fig. 5). 5 Toxoplasmosis 5.1 Epidemiology Toxoplasmosis is the most common human parasite worldwide and is the most common opportunistic CNS infection in AIDS patients. Infection via the placenta is possible; a first infection during pregnancy has a 50 % infection risk for the child [see Sect. 1: TORCH(S)]. 5.2 Pathogenesis Oocytes are ingested with infected meat, raw milk, or cat feces; they evolve over various stages in the host intenstine and enter different organs (brain, heart, peripheral muscles) after hematogenous spreading. 5.3 Clinical Presentation Patients present with subacute headaches, fever, (focal) seizures, and focal neurological signs. 5.4 Imaging Imaging studies typically reveal 1–3-cm-large lesions with a T2-hypointense wall and a T2-hyperintense center with increased ADC values. Multifocality is seen in 70 % of cases (Chang et al. 1995). Lesions are surrounded by peri- focal edema and lesions, and edema may be confined to a vascular territory. The lesion wall typically strongly enhances, and enhancement may also occur in the necrotic center, which is designated as a target sign. A target sign consisting of an innermost enhancing core, which is more often eccentric than central, an intermediate hypointense zone, and a peripheral enhancing rim is considered highly suggestive of toxoplasmosis but may also occur in other CNS infections, such as tuberculosis (Chang et al. 1995; Bargalló et al. 1996) (Fig. 6). 6 Cysticercosis 6.1 Epidemiology Cysticercosis is the most common parasitic CNS infection, a leading cause of acquired epilepsy worldwide, and the main reason for a higher prevalence of epilepsy in devel- oping countries (Del Brutto 2012). Fig. 4 A 31-year-old man presented with daily complex focal temporal lobe seizures. He became ill with herpes simplex encephalitis 5 years earlier, leaving him in an amnesic and dependent state. MRI shows extensive bilateral tissue destruction mainly of the basal and mesial temporal lobes (a, b: arrows). Hemosiderin deposits on T2- weighted images indicate that a hemorrhagic, necrotizing encephalitis had occurred (c: arrows) 212 H. Urbach
  • 213.
    6.2 Pathogenesis Neurocysticercosis occurswhen humans become interme- diate hosts of Taenia solium by ingesting its eggs from contaminated food or, most often, directly from a Taenia tapeworm carrier via the fecal-to-oral route. Infective embryos (hatched from the ingested eggs) reach systemic circulation after actively crossing the intestinal mucosa and lodge in capillaries (mostly in muscle and brain tissue), where they develop into ‘‘adult’’ cysticerci consisting of two main parts, the vesicular wall and the scolex (the knob- like cephalic end of the tapeworm). The first cysticercus stage is the vesicular stage, in which the parasites are pro- tected from the host’s immune response by the blood–brain barrier. As a result of the host’s immunological attack or of drug treatment, cysticerci enter in a process of degeneration that ends with their transformation into calcifications. The first stage of involution is the colloidal stage, in which the vesicular fluid becomes turbid, and the scolex shows signs of hyaline degeneration. Thereafter, the wall of the cyst thickens and the scolex is transformed into mineralized granules; this stage, in which the cysticercus is no longer viable, is called the granular stage. Finally, the parasite remnants appear as a mineralized nodule (calcified stage) (Del Brutto 2012). 6.3 Clinical Presentation The clinical picture ranges from asymptomatic infection to severe life-threatening disease. The most common presen- tation (70 % of cases), however, is focal seizures (with or Fig. 5 Tuberculosis in a 21-year-old man who presented with fever, headache, and meningism. The initial MRI showed a basal meningitis with FLAIR-hyperintense CSF (a: arrows) and hydrocephalus. The 6-month follow-up MRI showed multiple tuberculomas that had developed in the basal cisterns despite anti-tuberculotic therapy (b–g). One predilection site is the interpeduncular cistern (c, f: arrows) Infection and Inflammation 213
  • 214.
    without secondary generalisation)(Del Brutto et al. 1992). Other presentations include headache, raised intracranial pressure, stroke, and neuropsychiatric disturbances. 6.4 Imaging Imaging findings depend on several factors, including the stage of the cysticerci at presentation, the number and location, and associated complications such as vascular involvement, inflammatory response, and, in ventricular forms, degree of obstruction. With respect to the stage, vesicular cysticerci elicit little inflammatory reaction in the surrounding tissue. In contrast, colloidal cysticerci are often surrounded by a collagen capsule and by a mononuclear inflammatory reaction with astrocytic gliosis and edema in the surrounding brain parenchyma. When the cysticerci enter into the granular and calcified stages, the edema subsides, but the astrocytic changes in the vicinity of the lesions may become more intense (Del Brutto 2012). With respect to location, neurocysticercosis has tradition- ally been classified into subarachnoid-cisternal, parenchymal, intraventricular, and spinal forms. The subarachnoid-cisternal location is the most common. ‘‘Parenchymal’’ cysticerci are located at the gray/white matter junction; it has been argued that the parenchymal location represents subarachnoid cysti- cercosis located in deep sulci or in perforating branches of perivascular spaces (Villagran-Uribe and Olvera-Rabiela 1988). Fig. 6 A 54-year-old patient with AIDS presented with a homony- mous hemianopia to the right side of 8 h‘duration. T2-weighted MRI (a) shows a 15-mm lesion in the left occipital lobe with a hyperintense center, a hypointense wall (a: arrows), and perifocal edema. DWI (b: ADC map) shows increased diffusivity within the necrotic center (b: arrow). T1-weighted contrast-enhanced images (c–e) show multifocal lesions. Smaller lesions show ring (c: arrow) or homogeneous (f: arrow) enhancement; larger lesions show enhancement within the necrotic center also (d, e: arrow). Another example shows a toxoplasma abscess in an AIDS patient with a so-called target sign defined as a central enhancement surrounded by a ring of enhancement (f: hollow arrow) 214 H. Urbach
  • 215.
    An important clueto diagnosis is the detection of an eccentric nodule within the cystic cavity. It represents the scolex and is best visible on FLAIR sequences, where the scolex is hyperintense and the cystic cavity has no signal (see Fig. 7). 7 Echinococcosis (Hydatid Disease) 7.1 Epidemiology Echinococcosis is an endemic disease in many parts of the world, particularly in the Middle East, Australia, New Zealand, South America, and Central and South Europe. In humans, two main types exist: Echinococcos granulosus, with dog as the main host, and Echinococcus multilocularis/ alveolaris, with fox as the main host (Bükte et al. 2004). 7.2 Pathogenesis Adult tapeworms live in the intestine of their hosts and release their eggs through feces. After oral ingestion, larvae form in the human intestine, penetrate the mucosa, and enter different organs (liver 50–70 %, lung 15–30 %, brain 2–6 %, spleen, kidneys) via the venous and/or lymphatic system. 7.3 Clinical Presentation The majority of patients are children and young adults presenting with headache, vomiting, papilloedema, focal seizures (33 %), and focal neurological deficits (Bükte et al. 2004). Fig. 7 Neurocysticercosis in a 54-year-old man suffering for many years fromcomplex focal and secondarily generalized seizures. CT(a) and MRI (b–f) show multiple tiny lesions. Lesions are calcified (a: arrow), are contiguous with the subarachnoid space, are ring-enhancing (c: arrow), and have a T2-hypointense rim and an excentric structure within the cystic cavity, suggesting a scolex (d, e: arrow) Infection and Inflammation 215
  • 216.
    7.4 Imaging E. granulosusforms large, uni-, bi-, or multilocular (hemi- spheric) cysts that are nearly isointense to CSF and have a thin, well-defined wall, which is hypointense on T2-weighted sequences and usually enhance the contrast medium. Sometimes an inner structure within the cystic cavity becomes visible, which may represent daughter scolices, hydatid sand (aggregation of scolices), or a germinal layer detached from the outer two layers of the wall (see Fig. 8). E. multilocularis/alveolaris forms multiple, small cysts with a nodular or ring enhancement. Edema is more com- mon than in E. granulosus infection. 8 Sarcoidosis 8.1 Epidemiology Sarcoidosis is a multisystem inflammatory granulomatous disease of unknown etiology although current opinion favors an immune response to an as-yet-unknown antigen (Lannuzzi et al. 2007). The incidence in North America is estimated at 3–10 per 100,000 among Caucasians and 35–80 per 100,000 among African Americans (Rybicki and Iannuzzi 2007). Fig. 8 Echinococcosis in an 11-year-old boy who presented with focal seizures of the right face. Coronal (a) and axial (f) FLAIR, axial (b, e) and sagittal (D) T1-weighted contrast-enhanced gradient echo, and axial diffusion-weighted (c) images show a bilobular cystic lesion at the base of the left precentral gyrus. Since the signal is not completely identical to CSF, the cyst likely contains a fluid with a higher protein content than CSF. A structure within the larger bubble could respresent daughter scolices (c–f: arrow). (Courtesy of J. Linn, Department of Neuroradiology, University of Munich, Germany.) 216 H. Urbach
  • 217.
    8.2 Pathogenesis Sarcoidosis causesinflammation with noncaseating granu- lomas, which can occur in any organ system. Lungs and draining mediastinal lymph nodes are the most common sites of involvement. Neurosarcoidosis, that is, sarcoidosis involving the nervous system, is thought to occur in fewer than 5 % of patients, with systemic sarcoidosis and isolated neuroscarcoidosis in 17 % of neurosarcoidosis cases (Pawate et al. 2009; Chapelon et al. 1990). 8.3 Clinical Presentation Seizures are the initial manifestation in 17 % of neurosar- coidosis cases (Pawate et al. 2009). All types of seizures can be seen, but generalized tonic–clonic seizures are common (Krumholz et al. 1991). 8.4 Imaging The most common imaging finding is T2-hyperintense lesions, which enhance in approximately 25 % of patients (Pawate et al. 2009; Smith et al. 2004). Enhancement is typically homogeneous, lacking a central necrosis (Fig. 9). Lesions may be indistinguishable from MS lesions (Smith et al. 1989), and optic nerve enhancement and neuritis may occur in both diseases, too. Meningeal enhancement is seen in only 20 % of cases (Pawate et al. 2009). Fig. 9 Neurosarcoidosis in a 29-year-old man (a–c) and a 44-year-old woman (d–f) who presented with headaches and complex focal seizures. Sarcoidosis is most often a granulomatous meningitis with a predilection for the basal cisterns, particularly the area around the anterior third ventricle (d: arrow). Parenchymal infiltration via dilated Virchow–Robin spaces is illustrated on T2-weighted (c: arrows) and contrast-enhanced T1-weighted images (b–d). E and F show granu- lomas in the subarachnoid sulci, which cause parenchymal edema (e–f: arrows) Infection and Inflammation 217
  • 218.
    Sarcoidosis may alsopresent as extraaxial or intraaxial mass lesions (Urbach et al. 1997). If located within the parenchyma, a spread from the subarachnoid space via Virchow–Robin spaces should be carefully searched for (Mirfakhraee et al. 1986) (Fig. 8). As in tuberculosis, a clue to the diagnosis is the proof of systemic, most often pul- monary involvement. References AlSemari A, Baz S, Alrabiah F, Al-Khairallah T, Qadi N, Kareem A, Alrajhi AA (2012) Natural course of epilepsy concomitant with CNS tuberculomas. Epilepsy Res 99(1–2):107–111 Arman F, Kaya D, Akgün Y, Kocagöz S (2011) Tuberculous meningitis presenting with nonconvulsive status epilepticus. Epi- lepsy Behav 20(1):111–115 Bargalló J, Berenguer J, García-Barrionuevo J et al (1996) The ‘‘target sign’’: is it a specific sign of CNS tuberculoma? Neuroradiology 38(6):547–550 Baskin HJ, Hedlund G (2007) Neuroimaging of herpesvirus infections in children. Pediatr Radiol 37(10):949–963 Bishburg E, Sunderam G, Reichman LB, Kapila R (1986) Central nervous system tuberculosis with the acquired immunodeficiency syndrome and its related complex. Ann Intern Med 105:210–213 Bükte Y, Kemaloglu S, Nazaroglu H et al (2004) Cerebral hydatid disease: CT and MR imaging findings. Swiss Med Wkly 134(31–32):459–467 (Review) Chang L, Cornford ME, Chiang FL et al (1995) Radiologic-pathologic correlation. Cerebral toxoplasmosis and lymphoma in AIDS. AJNR Am J Neuroradiol 16(8):1653–1663 Chapelon C, Ziza JM, Piette JC et al (1990) Neurosarcoidosis: signs, course and treatment in 35 confirmed cases. Medicine 69:261–276 Dastur DK, Manghani DK, Udani PM (1995) Pathology and patho- genetic mechanisms in neurotuberculosis. Radiol Clin N Am 33:733–752 Del Brutto OH (2012) Neurocysticercosis: a review. Scientific World J. 2012:159821 Del Brutto OH, Santibanez R, Noboa CA et al (1992) Epilepsy due to neurocysticercosis: analysis of 203 patients. Neurology 42:389–392 Dye C, Scheele S, Dolin P, Pathania V, Raviglione MC (1999) Consensus statement. Global burden of tuberculosis: estimated incidence, prevalence, and mortality by country. WHO Global Surveillance and Monitoring Project. JAMA 282:677–686 Hall CB, Long CE, Schnabel KC et al (1994) Human herpesvirus-6 infection in children. A prospective study of complications and reactivation. N Engl J Med 331:432–438 Kim MA, Park KM, Kim SE, Oh MK (2008) Acute symptomatic seizures in CNS infection. Eur J Neurol 15(1):38–41 Krumholz A, Stern BJ, Stern EG (1991) Clinical implications of seizures in neurosarcoidosis. Arch Neurol 48:842–844 Lannuzzi M, Rybicki B, Tierstein A (2007) Sarcoidosis. New Engl J Med 357:2153–2165 Mirfakhraee M, Crofford MJ, Guinto FC Jr et al (1986) Virchow– Robin space: a path of spread in neurosarcoidosis. Radiology 158(3):715–720 Murakami A, Morimoto M, Adachi S et al (2005) Infantile bilateral striatal necrosis associated with human herpes virus-6 (HHV-6) infection. Brain Dev 27:527–530 Murthy JM, Jayalaxmi SS, Kanikannan MA (2007) Convulsive status epilepticus: clinical profile in a developing country. Epilepsia 48:2217–2223 Narayanan JT, Murthy JM (2007a) Nonconvulsive status epilepticus in a neurological intensive care unit: profile in a developing country. Epilepsia 48:900–906 Narayanan JT, Murthy JM (2007b) New onset acute symptomatic seizures in neurological intensive care unit. Neurol India 55:136–140 Neto EC, Rubin R, Schulte J, Giugliani R (2004) Newborn screening for congenital infectious diseases. Emerg Infect Dis 10:1068–1073 Osborn AG, Salzman KL, Barkovich AJ (eds) (2010) Diagnostic imaging. Brain Amirsys Inc, Salt Lake City Pawate S, Moses H, Sriram S (2009) Presentations and outcomes of neurosarcoidosis: a study of 54 cases. QJM 102(7):449–460 Penido Nde O, Borin A, Iha LC, et al (2005) Intracranial complications of otitis media: 15 years of experience in 33 patients. Otolaryngol Head Neck Surg 132(1):37–42 (Review) Pickering LK (ed) (2006) Red book: report of the Committee on infectious diseases. American Academy of Pediatrics, Elk Grove Village, pp 361–371 WHO Report (2009) Global tuberculosis control: epidemiology, strategy, financing (publication No. WHO/HMT/TB/2009.411). World Health Organization, Geneva Rowley AH, Whitley RJ, Lakeman FD et al (1990) Rapid detection of herpes-simplex-virus DNA in cerebrospinal fluid of patients with herpes simplex encephalitis. Lancet 335:440–441 Rybicki BA, Iannuzzi MC (2007) Epidemiology of sarcoidosis: recent advances and future prospects. Semin Respir Crit Care Med 28:22–35 Sellner J, Trinka E (2012) Clinical characteristics, risk factors and pre- surgical evaluation of post-infectious epilepsy. Eur J Neurol. doi: 10.1111/j.1468-1331.2012.03842.x [Epub ahead of print] Singh N, Paterson DL (2000) Encephalitis caused by human erpes- virus-6 in transplant recipients: relevance of a novel neurotropic virus. Transplantation 69:2474–2479 Smith JK, Matheus MG (2004) Castillo M imaging manifestations of neurosarcoidosis. AJR Am J Roentgenol 182:289–295 Smith AS, Meisler DM, Weinstein MA, et al (1989) High-signal periventricular lesions in patients with sarcoidosis: neurosarcoid- osis or multiple sclerosis? AJR Am J Roentgenol 153(1):147–152 Tien RD, Felsberg GJ, Osumi AK (1993) Herpesvirus infections of the CNS: MR findings. AJR Am J Roentgenol 161:167–176 Trincado DE, Rawlinson WD (2001) Congenital and perinatal infections with cytomegalovirus. J Paediatr Child Health 37:187–192 Udani PM, Parekh UC, Dastur DK (1971) Neurological and related syndromes in CNS tuberculous meningitis: clinical features and pathogenesis. J Neurol Sci 14:341–357 Urbach H, Kristof R, Zentner J et al (1997) Sarcoidosis presenting as an intra- or extra-axial cranial mass: report of two cases. Neuroradiology 39(7):516–519 Villagran-Uribe J, Olvera-Rabiela JE (1988) Cisticercosis humana: e studio clinico y patologico de 481 casos de autopsia. Pathologia 26:149–156 [in Spanish] Wainwright MS, Martin PL, Morse RP et al (2001) Human herpesvirus 6 limbic encephalitis after stem cell transplantation. Ann Neurol 50:612–619 218 H. Urbach
  • 219.
    Rasmussen Encephalitis Horst Urbachand Christian G. Bien Contents 1 Epidemiology........................................................................ 219 2 Pathogenesis.......................................................................... 219 3 Clinical Presentation ........................................................... 221 4 Imaging ................................................................................. 221 References...................................................................................... 224 Abstract Rasmussen encephalitis is typically a chronic inflamma- tory disease of a one brain hemisphere in children. A MRI course of initial swelling and progressive brain atrophy and tissue destruction later on reflects the inflammatory changes; however, many patients show some brain atrophy already at their initial MRI examination. 1 Epidemiology Rasmussen encephalitis is a rare, sporadic, chronic inflam- matory disease of unknown origin, which usually affects one brain hemisphere. It was initially described by Theorore Rasmussen in 1958. Rasmussen encephalitis typically affects children (mean age 6 years); however, adolescent and adult cases may occur (Hart et al. 1997). Both genders are equally affected. The incidence is 2.4 patients per ten million people of age 18 years or younger (Bien et al. unpublished data). 2 Pathogenesis Histopathological evaluation of Rasmussen encephalitis brain specimens reveals a cytotoxic T-cell reaction against neurons (Bien et al. 2002a, b, c) and astrocytes (Bauer et al. 2007) leading to apoptotic death of these cell types. Brain regions with swollen tissue and increased T2 and fluid-attenuated inversion recovery (FLAIR) signal inten- sity show an increased density of cytotoxic T cells and glial fibrillary acidic protein (GFAP)-positive astrocytes (acute phase). In the chronic phase, tissue destruction and low inflammatory activity with a decreasing number of T cells and reactive astrocytes predominate (Bien et al. 2002a, b, c). These findings support the hypothesis of an early active inflammation that ‘‘burns out’’ later (Robitaille 1991). H. Urbach (&) Department of Neuroradiology, University Hospital Freiburg, Germany e-mail: horst.urbach@uniklinik-freiburg.de C. G. Bien Epilepsy Centre Bethel, Bielefeld, Germany H. Urbach (ed.), MRI in Epilepsy, Medical Radiology. Diagnostic Imaging, DOI: 10.1007/174_2012_573, Ó Springer-Verlag Berlin Heidelberg 2013 219
  • 220.
    Fig. 1 Rasmussenencephalitis of the left hemisphere associated with accentuated perinsular atrophy and hyperintense cortex signal (a, c, d, hollow arrow). In this case, the hippocampus is sclerotic (c, arrow) but the ipsilateral head of the caudate nucleus is not 220 H. Urbach and C. G. Bien
  • 221.
    3 Clinical Presentation Rasmussenencephalitis is characterized by intractable focal onset seizures, namely, epilepsia partialis continua (EPC) (56–92% of all patients), and deterioration of functions associated with the affected hemisphere (Oguni et al. 1991). It has three stages (Bien et al. 2005). There may be a pro- dromal phase with a median duration of 7 months (0 months to 8.1 years) characterized by a relatively low seizure fre- quency and rarely a mild hemiparesis. The prodromal phase is followed by an acute phase with a high seizure frequency or EPC. Within weeks to months, progressive tissue destruction and associated loss of neurological functions, including hemiparesis, hemianopia, and aphasia (if the dominant hemisphere is affected), occur. Cognitive function deteriorates. After around 1 year, a residual or chronic phase is reached. At this point in time, brain volume loss remains stable, and seizure frequency slows down. In the acute phase of the disease, immunomodulation including tacrolimus may be able to reduce the degree of hemiparesis, although seizure frequency is not affected (Bien et al. 2004). In long-term treatment, immunomodu- lation may slow progressive tissue and function loss and prevent the development of intractable epilepsy (Bien et al. unpublished data). The most effective treatment with regard to seizure freedom is functional hemispherectomy. This procedure, however, is usually performed only at later stages of the disease when a patient has developed a fixed hemiparesis with loss of fine finger movements (Honavar et al. 1992). 4 Imaging Serial MRI may reveal a spread of the inflammatory lesion over the affected hemisphere. In a given brain region, a characteristic course from increased volume and T2/FLAIR signal to a final stage of atrophy without signal abnormal- ities may be observed. Most patients, however, show some degree of unilateral enlargement of the inner and outer CSF spaces on their initial MRI examination. Atrophy is pronounced in the perisylvian region and may be accompanied by increased cortical and subcortical signal on T2-weighted/FLAIR images. Rarely, patients show a swollen hemisphere with slightly increased cortex and white matter signal or a nor- mal MRI findings, respectively. There is no contrast enhancement. Atrophy of the ipsilateral head of the caudate nucleus is considered a typical finding (Chiapparini et al. 2003; Granata et al. 2003); however, it does not occur or is not prominent in some patients (Fig. 1). Temporomesial structures, includ- ing the hippocampus, are atrophic in around 50% of cases. The cerebellum may show increased cortical signal and atrophy on the contralateral side (crossed cerebellar diaschi- sis), the ipsilateral side, or both sides (Fig. 2). Follow-up MRI shows a progressive tissue loss of the ipsilateral hemisphere, and less pronounced loss of the contralateral hemisphere (Larionov et al. 2005). Most of the tissue loss occurs within the first 12 months after onset of the acute phase; however, it may progress for several years (Fig. 3). To assess the temporal evolution of Fig. 2 Marked brain atrophy in a chronic stage of Rasmussen encephalitis in a 9-year-old girl with onset of epilepsia partialis continua of the left arm and leg 3 years before. Note contralateral cerebellar atrophy (‘‘cerebellar diaschisis’’) (a, arrow), right-sided caudate head atrophy (b, arrow), and pronounced right-sided, but also left-sided brain atrophy (b, c) Rasmussen Encephalitis 221
  • 222.
    Fig. 3 Progressiveatrophy in a 12-year-old girl with Rasmussen encephalitis. Note progressive tissue loss and gliotic changes in the left parietal lobe and new signal intensity in the frontal operculum on follow-up MRI (b, arrow) 5 years after onset of symptoms and 4 years after the first scan (a, c) 222 H. Urbach and C. G. Bien
  • 223.
    hemiatrophy, Bien etal. (2002a, b, c) introduced a plani- metric measure called the hemispheric ratio. It allows one to compare images from different time points that were even acquired with different sequences and orientations. Axial images displaying the third ventricle at its largest extent and coronal images at the level of the optic chiasm are scanned, brains are manually segmented and thresholded, and the Fig. 5 Dyke–Davidoff–Masson syndrome in a 30-year-old woman with perinatal hypoxia. MRI shows a hypertrophied right frontal sinus (a, hollow arrow), calvarial thickening (a, arrows), and right-sided hemiatrophy and hippocampal sclerosis (b, c, arrow) associated with mammillary body atrophy (c, black arrow). Enlargement of the frontal sinus and calvarial thickening are compensatory mechanism and fit with a congenital or early postnatal cause Fig. 4 Following three generalized tonic–clonic seizures, a 28-year- old man with diabetes mellitus type 1 showed aphasia and right-sided hemiparesis for hours. Initial MRI after 3 days (a) was unrevealing but follow-up MRI after 6 months (b) showed left-sided hemiatrophy. For comparison, see the arrow pointing to the pars marginalis cinguli in a and b. Also note the atrophy and slight signal increase of the left hippocampus (c, arrow) Table 1 MRI stages of Rasmussen encephalitis (Bien et al. 2002a, b, c) Stage 1 Swelling and increased T2/FLAIR signal Stage 2 Normal volume, increased T2/FLAIR signal Stage 3 Atrophy, increased T2/FLAIR signal Stage 4 Atrophy, normal signal FLAIR fluid-attenuated inversion recovery Rasmussen Encephalitis 223
  • 224.
    volumes of thehemispheres (in number of brain pixels in the scanned picture) are calculated and divided through each other. A ratio of 1 indicates that both hemispheres on the assessed slice are of equal size. Values less than 1 indicate atrophy of the affected hemisphere. Apart from the progressive tissue loss, new areas of increased cortical/ subcortical signal increase may appear in brain regions which did not show signal changes before. Novel ways of volumetric quantification of the disease process rely on voxel-based measures (Wagner et al. 2012) (Table 1). EPC is the clinical hallmark of Rasmussen encephalitis. EPC is defined as spontaneous regular or irregular clonic muscular twitching affecting a limited part of the body, sometimes aggravated by action or sensory stimuli, occurring for a minimum of 1 h and recurring at intervals of no more than 10 s. Apart from Rasmussen encephalitis, the diseases given in Table 2 have to be taken into consideration. If MRI shows hemiatrophy, the differential diagnoses given in Table 3 should be considered. References Bauer J, Elger CE, Hans VH, Schramm J, Urbach H, Lassmann H et al (2007) Astrocytes are a specific immunological target in Rasmus- sen’s encephalitis. Ann Neurol 62:67–80 Bien CG, Widman G, Urbach H et al (2002a) The natural history of Rasmussen’s encephalitis. Brain 125:1751–1759 Bien CG, Bauer J, Deckwerth TL, Wiendl H, Deckert M, Wiestler OD et al (2002b) Destruction of neurons by cytotoxic T cells: a new pathogenic mechanism in Rasmussen’s encephalitis. Ann Neurol 51:311–318 Bien CG, Urbach H, Deckert M, Schramm J, Wiestler OD, Lassmann H et al (2002c) Diagnosis and staging of Rasmussen’s encephalitis by serial MRI and histopathology. Neurology 58:250–257 Bien CG, Elger CE (2008) Epilepsia partialis continua: semiology and differential diagnosis. Epileptic Disord 10:3–7 Bien CG, Gleissner U, Sassen R, Widman G, Urbach H, Elger CE (2004) An open study of tacrolimus therapy in Rasmussen’s encephalitis. Neurology 62:2106–2109 Bien CG, Granata T, Antozzi C et al (2005) Pathogenesis, diagnosis, and treatment of Rasmussen encephalitis. A European consenus statement. Brain 128:454–471 Bien CG, Tietmeier H, Sassen R, Kuczaty S, Urbach H, von Lehe M, Becker A, Bast T, Brückmann D, Diers A, Herkenrath P, Jansma C, Karenfort A, Kieslich M, Kruse B, Kurlemann G, Rona S, Schubet S, Vieker S, Wilken B, Elger CE Rasmussen encephalitis: a first randomized clinical trial for an orphan disease (submitted) Chiapparini L, Granata T, Farina L, Ciceri E, Erbetta A, Ragona F et al (2003) Diagnostic imaging in 13 cases of Rasmussen’s encephalitis: can early MRI suggest the diagnosis? Neuroradiology 45:171–183 Dyke CG, Davidoff LM, Masson CB (1933) Cerebral hemiatrophy with homolateral hypertrophy of the skull and sinuses. Surg Gynecol Obstet 57:588–600 Granata T, Gobbi G, Spreafico R, Vigevano F, Capovilla G, Ragona F et al (2003) Rasmussen’s encephalitis: early characteristics allow diagnosis. Neurology 60:422–425 Table 3 Other diseases associated with hemiatrophy Disease MRI clues Sturge–Weber angiomatosis Angiomatosis with contrast enhancement, cortical calcifications, ipsilateral choroid plexus enlargement Fetal/perinatal hemispheric infarct (Dyke– Davidoff–Masson syndrome) (Dyke et al. 1933) Calvarial skull thickening, enlargement of ipsilateral air sinuses, elevation of petrous ridge and frontal skull base (see Fig. 5) Hemispheric atrophy following status epilepticus or frequent seizures Initial swollen or normal hemisphere. Follow-up MRI shows widened sulci, thin cortex with rather hyperintense signal, and diminished white matter volume (see Fig. 4) Porencephaly More circumscribed lesion Hemiconvulsion–hemiplegia–epilepsy syndrome Vascular distribution or entire hemispheric destruction Contralateral hemimegalencephaly Distorted perisylvian anatomy with steeper course of the sylvian fissure MELAS Bilateral and basal ganglia lesions MELAS mitochondrial encephalomyopathy, lactic acidosis, and stroke-like symptoms Table 2 Causes of epilepsia partialis continua (adapted from Bien and Elger 2008) Disease Frequency (%) Vascular (stroke, intracranial bleeding, venous thrombosis, vasculitis) 20 Infectious (Rasmussen encephalitis, autoimmune encephalitis, Creutzfeldt–Jakob disease) 20 Tumor (glioma, meningioma, lymphoma) 10 Metabolic (nonketotic hyperglycemia, mitochondrial disorders, Alpers syndrome, MERRF, intoxications) 10 Other diseases (MS, genetic epilepsies, SREAT, SLE) 20 Undetermined 20 MERRF myoclonus epilepsy with ragged red fibers, MS multiple sclerosis, SREAT steroid-responsive encephalopathy associated with auto- immune thyroiditis, SLE systemic lupus erythematosus 224 H. Urbach and C. G. Bien
  • 225.
    Hart YM, AndermannF, Fish DR, Dubeau F, Robitaille Y, Rasmussen T etal(1997)Chronicencephalitisandepilepsyinadultsandadolescents: a variant of Rasmussen’s syndrome? Neurology 48:418–424 Honavar M, Janota I, Polkey CE (1992) Rasmussen’s encephalitis in surgery for epilepsy. Dev Med Child Neurol 34:3–14 Larionov S, Koenig R, Urbach H, Sassen R, Elger CE, Bien CG (2005) MRI brain volumetry in Rasmussen encephalitis: the fate of affected and ‘‘unaffected’’ hemispheres. Neurology 64:885–887 Oguni H, Andermann F, Rasmussen TB (1991) The natural history of the syndrome of chronic encephalitis and epilepsy: a study of the MNI series of fortyeight cases. In: Andermann F (ed) Chronic encephalitis and epilepsy. Rasmussen’s syndrome. Butterworth- Heinemann, Boston, pp 7–35 Rasmussen T, Olszewski J, Lloyd-Smith D (1958) Focal seizures due to chronic localized encephalitis. Neurology 8:435–445 Robitaille Y (1991) Neuropathologic aspects of chronic encephalitis. In: Andermann F (ed) Chronic encephalitis and epilepsy. Rasmussen’s syndrome. Butterworth-Heinemann, Boston, pp 79–110 Rogers SW, Andrews PI, Gahring LC, Whisenand T, Cauley K, Crain B et al (1994) Autoantibodies to glutamate receptor GluR3 in Rasmussen’s encephalitis. Science 265:648–651 Wagner J, Schöne-Barke C, Bien CG, Urbach H, Elger CE, Weber B (2012) Automated 3D MRI volumetry reveals regional atrophy differences in Rasmussen’s encephalitis. Epilepsia 2012 Apr 53(4): 613-621. doi: 10.1111/j.1528-1167.2011.03396.x Rasmussen Encephalitis 225
  • 226.
    Metabolic Disorders Horst Urbachand Jens Reimann Contents 1 Mitochondrial Disorders..................................................... 227 1.1 Introduction............................................................................ 230 1.2 Leigh Disease ........................................................................ 231 1.3 MELAS.................................................................................. 232 1.4 MERRF.................................................................................. 234 1.5 Alpers–Huttenlocher Syndrome ............................................ 234 1.6 Chronic Progressive External Ophthalmoplegia and Kearns–Sayre Syndrome ................................................ 235 1.7 Leber Hereditary Optic Neuropathy ..................................... 236 1.8 Pyruvate Dehyrogenase Complex Deficiency...................... 238 2 Neuronal Ceroid Lipofuscinosis......................................... 238 2.1 Definition............................................................................... 238 2.2 Clinical Presentation.............................................................. 238 2.3 Imaging .................................................................................. 238 3 Progressive Myoclonic Epilepsies ...................................... 238 3.1 Definition............................................................................... 238 4 Epilepsy with Occipital Calcifications and Celiac Disease ............................................................... 239 4.1 Epidemiology......................................................................... 239 4.2 Pathogenesis........................................................................... 239 4.3 Clinical Presentation.............................................................. 240 4.4 Imaging .................................................................................. 240 5 Nonketotic Hyperglycemia ................................................. 240 5.1 Epidemiology......................................................................... 240 5.2 Clinical Presentation.............................................................. 241 5.3 Imaging .................................................................................. 241 References...................................................................................... 243 Abstract Epileptic seizures are a frequent symptom in metabolic disorders. However, it is neither seizure semiology nor EEG or MRI findings that guide the physician to the correct diagnosis. It is more important to consider the clinical syndrome, the age at presentation, and appro- priate laboratory investigations. It is beyond the scope of this textbook to give a complete overview of the more than 200 metabolic disorders that together are a rather rare cause of epilepsy. However, epi- lepsy is a frequent symptom in metabolic disorders; some- times, epileptic seizures or even epileptic encephalopathy are predominating clinical symptoms (Saudubray et al. 2006; Sedel et al. 2007; Stöckler-Ipsiroglu and Plecko 2009; Thomas et al. 2010). Metabolic disorders can be classified in many different ways (metabolic defect, age at presentation, clinical symptoms, type of seizures). Relevant metabolic disorders associated with epilepsy and more or less specific MRI findings are grouped in Table 1 according to the typical age at presentation. 1 Mitochondrial Disorders With frequent seizures: Leigh syndrome; MELAS (mito- chondrial myopathy, encephalopathy with lactic acidosis and stroke-like episodes); MERRF (myoclonic epilepsy and ragged red fibers); Alpers–Huttenlocher syndrome; ataxia-neuropathy spectrum, including mitochondrial recessive ataxia (MIRAS) and sensory ataxia with neu- ropathy, dysarthria, and ophthalmoparesis (SANDO) syndromes, myoclonic epilepsy, myopathy, and sensory ataxia (MEMSA) syndrome, also known as spino-cere- bellar ataxia with epilepsy (SCAE) syndrome. H. Urbach (&) Department of Neuroradiology, University Hospital Freiburg, Germany e-mail: horst.urbach@uniklinik-freiburg.de J. Reimann Department of Neurology, University of Bonn, Bonn, Germany H. Urbach (ed.), MRI in Epilepsy, Medical Radiology. Diagnostic Imaging, DOI: 10.1007/174_2012_757, Ó Springer-Verlag Berlin Heidelberg 2013 227
  • 227.
    Table 1 Metabolicdisorders associated with epilepsy and MRI findings Age at presentation Disorder Clinical presentation—diagnosis MRI Neonatal Disorders of vitamin B6 metabolism Pyridoxine-dependent seizures (PDS) Folinic acid–responsive seizures Pyridoxal phosphate–dependent seizures (PLP) Early myoclonic encephalopathy EEG: No specific pattern (Gospe 2010) PDS: Pipecolic acid elevation in plasma and CSF. Seizures stop after 50–100 mg of IV pyridoxine (Stöckler-Ipsiroglu and Plecko 2009) PLP: Vanillatic acid in urine Improvement of seizures upon oral pyridoxalphosphate (Stöckler-Ipsiroglu and Plecko 2009) Wide range from normal, disturbed white matter myelination to cortical dysplasia (Mills et al. 2010) Nonketotic hyperglycinemia (aminoacidopathy) Early myoclonic encephalopathy Myoclonic and generalized seizures EEG: Burst suppression and hypsarrhythmia Increased glycine in plasma, urine and CSF Callosal hypogenesis, delayed myelination, myelin vacuolation with diffusion restriction in the pyramidal tracts, middle cerebral peduncles, and dentate nuclei H1 Spectroscopy: Elevated glycine levels (short and long TE) (Press et al. 1989, Sener 2003, Huisman et al. 2002) Methylmalonic aciduria (aminoaciduria: error in the metabolism of isoleucine, valine, threonine, and the odd-chain fatty acids) Various clinical phenoptyes with acute metabolic crises Acute metabolic crisis with brain swelling and T2/FLAIR hyperintensity of globi pallidi. Gliosis and volume loss in chronic stage (Brismar and Ozand 1994) Glutaric aciduria type 1 (organic aciduria: error in the metabolism of the aminoc acids L-lysine, hydroxyl-L-lysine, L-trypthophan) Macrocephaly, cephalgia, cognitive deficits, pyramidal signs, epilepsy, tremor Bilateral signal abnormalities of the putamina, subdural effusions/ haematomas, large head with prominent Sylvian fissures (Brismar and Ozand 1995) (see Fig. 1) L2 hydroxyglutaric aciduria (organic aciduria) Mental retardation, epilepsy, parkinsonism, pyramidal signs, ataxia T2/FLAIR hyperintensity of subcortical white matter with U-fibers, anterior limbs of internal capsule, external and extreme capsule, dentate nuclei (Seijo-Martínez et al. 2005) Maple syrup urine disease Neonatal seizures, vomiting, ketoacidosis, hypoglycemia. Odor of maple syrup White matter edema with diffusion restriction of corticospinal tracts, optic radiation, brain stem white matter tracts, cerebellar white matter H1 Spectroscopy: Characteristic broad peak at 0.9 ppm (branched chain ketoacids) (Jan et al. 2003) Serine deficiency (aminoacidopathy) West syndrome. Psychomotor retardation, spastic tetraparesis. EEG: hypsarrhythmia Two types: 3-Phosphoglycerate dehydrogenase deficiency, 3-phosphoserine phosphatase (3-PSP) deficiency (de Koning and Klomp 2004) Congenital microcephaly, white matter hypomyelination (de Koning et al. 2000, de Koning and Klomp 2004) GABA transaminase deficiency (aminoacidopathy) Early epileptic encephalopathy High levels of GABA in CSF and serum No specific finding (Pearl and Gibson 2004) Methylene tetrahydrofolate reductase (MTHFR) deficiency Early epileptic encephalopathy White matter atrophy, delayed myelination, demyelination (Engelbrecht et al. 1997; Prasad et al. 2011a, b) Congenital glutamine deficiency (urea cycle disorder) Early myoclonic encephalopathy Reduced white matter volume and increased signal intensity on T2-weighted images, atrophic basal ganglia (Haeberle et al. 2012) (continued) 228 H. Urbach and J. Reimann
  • 228.
    Table 1 (continued) Ageat presentation Disorder Clinical presentation—diagnosis MRI Zellweger syndrome (peroxisomal disorder) Craniofacial dysmorphism, profound hypotonia, neonatal seizures Hepatomegaly, cardiac and ocular abnormalities Delayed myelination, bilateral perisylvian polymicrogyria, periventricular germinolytic cysts, gray matter heterotopia (Barkovich and Peck 1997; Weller et al. 2008) Molybdenum cofactor deficiency Classical: early epileptic encephalopathy Atypical: global developmental impairment Sulfite test in urine positive Gray matter swelling with diffusion restriction. Cerebral hemispheric infarctions (Appignani et al. 1996; Vijayakumar et al. 2011) Infancy Glucose transporter protein type 1 (GLUT1) deficiency Different forms of epilepsy, including myoclonic and atypical absence seizures EEG: generalized spike-wave and polyspike-wave discharges Low CSF, but normal blood glucose, GLUT1 gene mutations on chromosome 1p35-31.3 (Klepper and Leiendecker 2007) Ketogenic diet Acquired microcephaly MRI otherwise uninformative (Klepper and Leiendecker 2007) Phenylketonuria (aminoacidopathy) Clinical symptoms depend on phenylalaline levels and whether phenylalaline-restricted diet is implemented at birth: Early myoclonic encephalopathy in infancy—spastic paresis, dementia, and/or optic atrophy in adults MRI abnormalities depend on phenylalaline levels: High T2-/FLAIR signal intensity and impaired diffusion of the peritrigonal white matter (Kono et al. 2005) Menkes kinky hair disease (trichopoliodystrophy) Partial clonic status epilepticus—infantile spasms—multifocal seizures EEG: hypsarrhythmia Low copper and ceruloplasmin after 2 weeks of life MRI normal at birth. Rapidly developing cerebral and cerebellar atrophy. T1 hyperintensity of basal ganglia. Chronic bilateral subdural hematomas. Tortous intracranial arteries (Prasad et al. 2011a, b) Biotinidase (multiple carboxylase) deficiency Epileptic seizures, West syndrome starting at 3 or 4 months of age, muscular hypotonia, alopecia, and skin rash (Wolf et al. 1983, 1985) MRI: Increased T2/FLAIR white matter signal, suggestive of interstitial edema, with frontal predominance and U-fiber involvement (Desai et al. 2008) Creatine deficiency Epileptic seizures and psychomotor retardation Arginine-glycine amindinotransferase (AGAT)-, guanidinoacetate methyltransferae (GAMT)- or creatine transporter (CRTR) deficiency Normal, H1 spectroscopy: decreased creatine peak guanidinoacetate methyltransferae (GAMT)-deficiency: increased T2/FLAIR signal of globi pallidi (Stöckler et al. 1994; Barkovich 2007) Gangliosidosis (GM2): infantile forms Type B Tay–Sachs, Type O Sandhoff, Type AB (lysosomal disorder) Accumulation of GM2 gangliosides within neuronal lysosomes Macrocrania, blindness (cherry-red spot macula), seizures Bilateral, symmetric thalamic [ globus pallidus, putamen and caudate nucleus T1-hyperintensity and T2-hypointensity, diffuse T2-hyperintensity of white matter with sparing of the corpus callosum (Van der Knaap and Valk 2005) Neuronal ceroid lipofuscinosis (infantile type, Santavuori, CLN1) (lysosomal disorder) Normal psychomotor development until the age of 8–18 months, rapid decline with epileptic seizures. Cardinal symptom is visual failure; most patients are blind before the age of 2 (Santavuori et al. 1993). Cerebral atrophy, thalamic hypointensity to white matter and basal ganglia, and thin periventricular high-signal rims from 13 months onward on T2-weighted images (Vanhanen et al. 1995) (continued) Metabolic Disorders 229
  • 229.
    With occasional seizures:infantile-onset spino-cerebellar ataxia (IOSCA); Leber hereditary optic neuropathy (LHON); chronic progressive external ophthalmoplegia (CPEO) and Kearns–Sayre syndrome (KSS); leucoen- cephalopathy with brain stem and spinal cord involve- ment and lactacidosis (LBSL) syndrome; neuropathy, ataxia, and retinitis pigmentosa (NARP) syndrome Without seizures: mitochondrial neurogastrointestinal encephalomyopathy (MNGIE) syndrome (Finsterer and Zarrouk Mahjoub 2012). 1.1 Introduction Mitochondria are double-membrane organelles producing the energy necessary for different cell functions. A cell contains hundreds of mitochondria and depends on them for the production of ATP. Cells in metabolically active tissues, such as the central nervous system (including the eye and the optic nerve), cardiac conduction system, skeletal mus- cle, endocrine pancreas, kidneys, and liver, have a high number of mitochondria (Haas and Dietrich 2004). Table 1 (continued) Age at presentation Disorder Clinical presentation—diagnosis MRI Toddlers Succinic semialdehyde dehydrogenase deficiency (SSADH) 4-hydroxybutyric aciduria, disorder of GABA metabolism Disorder of GABA metabolism. Tonic– clonic and absence-like seizures, delayed development, hypotonia, abnormal behavior, ocular abnormalities Mean age at onset 2 years, although diagnoses in the 3rd or 4th decade have been made (Pearl et al. 2011) High concentration of 4-hydroxybutyric acid in CSF, urine, plasma (Pearl et al. 2003a, b) Increased signal intensity of globi pallidi on T2-weighted images, cerebral and cerebellar atrophy, T2-weighted subcortical hyperintensities in subcortical white matter, dentate nuclei and brainstem, delayed myelination (Pearl et al. 2003a, b; Gordon 2004) Neuronal ceroid lipofuscinosis (late infantile type, Janksy– Bielschowsky, CLN2) (lysosomal disorder) Normal psychomotor development until the age of 2–4 years. Rapid decline with epileptic seizures (myoclonic, tonic– clonic, atonic, atypical absence). Cardinal symptom is visual failure; most patients are blind around the age of 6. Diffuse cerebral and cerebellar atrophy. T2 hypointensity of thalami and basal ganglia Mitochondrial disorders See Table 2. See Table 2. School-age children Neuronal ceroid lipofuscinosis (juvenile, Spielmeyer–Vogt or Batten, CLN3) (lysosomal disorder) Rapid decline of vision and progressive dementia. Myoclonic and tonic–clonic seizures Diffuse cerebral and cerebellar atrophy. T2 hypointensity of thalami and basal ganglia Mitochondrial disorders See Table 2. See Table 2. Progressive myoclonic epilepsies See Table 4. See Table 4. Adolescents and adults Neuronal ceroid lipofuscinosis (adult, Kufs, CLN4) (lysosomal disorder) Generalized seizures, extrapyramidal symptoms, no blindness Diffuse cerebral and cerebellar atrophy. T2 hypointensity of thalami and basal ganglia No specific age relation Mitochondrial disorders See Table 2. See Table 2. Niemann–Pick disease type C Autosomal recessive disorder with mutations of the NPC1 or NPC2 genes Clinical signs: hepatomegaly, splenomegaly, lymphadenopathy, cerebellar ataxia (76 %), vertical supranuclear ophthalmoplegia (75 %), dysarthria, (63 %), cognitive deficits (61 %), movement disorders (58 %), splenomegaly (54 %), psychiatric disorders (45 %), dysphagia (37 %), epilepsy (18 %), and cataplexy (Sévin et al. 2007) Clinical spectrum ranges from a neonatal rapidly fatal disorder to an adult-onset neurodegenerative disease (Sévin et al. 2007). Gray matter disease with moderate cortical, brainstem, cerebellar, and corpus callosum atrophy without signal abnormalities. Atrophy location correlates to clinical symptoms (Sévin et al. 2007). 230 H. Urbach and J. Reimann
  • 230.
    The main roleof mitochondria is ATP synthesis by so- called oxidative phosphorylation. Other mitochondrial processes include the detoxification of reactive oxygen species, the regulation of cellular apoptosis, and aspects of iron metabolism, fatty acid oxidation, and amino acid bio- synthesis. Oxidative phosphorylation is accomplished by the mitochondrial respiratory chain, a five-complex chain of polypeptides embedded in the inner mitochondrial mem- brane. The first four complexes (complexes I–IV) oxidize NADH and FADH2, while complex V harnesses the resul- tant electrochemical gradient to phosphorylate ADP to ATP. Cofactors, including ubiquinone (also called CoQ10) and cytochrome c, act as electron shuttles between respi- ratory complexes. Pyruvate and fatty acids are the most important substrates of energy metabolism. Pyruvate is carried across the mitochondrial membrane by monocar- boylate translocase and decarboylated by the pyruvate dehydrogenase complex (Haas and Dietrich 2004). Mitochondria have their own genome consisting of 37 genes (mtDNA), which encode for 13 structural proteins (all of which are subunits of the five mitochondrial respiratory complexes), two ribosomal RNAs (rRNAs), and 22 transfer RNAs (tRNAs). The majority of the protein subunits of the five mitochondrial respiratory complexes, however, are encoded by nuclear DNA and are imported into the mito- chondria from the cytosol. mtDNA is nearly exclusively transferred from the mother to the child: Although approximately 100 paternal mitochondria enter the ovum at fertilization, these organ- elles are tagged with ubiquitin for prompt proteolytic destruction by the zygote, and virtually all the zygote’s mitochondria come from its mother (maternal inheritance). Each mitochondrion contains several copies of mtDNA. Usually, all copies are identical (homoplasmy). After a mutation has arisen in one copy of mtDNA, however, wild- type and mutant mtDNA coexist within the same mito- chondrion (heteroplasmy). Heteroplasmy becomes impor- tant during division of the host cell, as mitochondria (and the mtDNA they contain) are partly distributed randomly between the two daughter cells (replicative segregation). Heteroplasmy and replicative segregation contribute strongly to the heterogeneity of disease phenotypes, even among individuals of the same pedigree. It is therefore conceivable that mitochondrial disorders are extremely heterogeneous, with a variable age of onset, progression, and severity. Well-known clinical phenotypes with epileptic seizures are Leigh syndrome, MELAS, MERRF, and Alpers–Huttenlocher syndrome. Well-known clinical phenotypes with occasional seizures are chronic progressive external ophthalmoplegia (CPEO) and Kearns– Sayre syndrome (KSS), and Leber hereditary optic neu- ropathy (LHON). Other clinical phenotypes comprising the ataxia-neuropathy spectrum, myoclonic epilepsy, myopathy and sensory ataxia (MEMSA)—also known as spino-cere- bellar ataxia with epilepsy (SCAE) syndrome—mitochon- drial neurogastrointestinal encephalomyopathy (MNGIE), and neuropathy, ataxia, and retinitis pigmentosa (NARP) syndromes, are less well known (Hakonen et al. 2005; Tzoulis et al. 2006; Finsterer and Zarrouk Mahjoub 2012) (see Table 2). Moreover, a significant proportion of cases with mitochondrial dysfunction have uncategorized non- specific encephalopathy syndromes. Most mitochondrial disorders occur in childhood and produce a wide range of epileptic seizures, including gen- eralized (myoclonic, tonic, tonic–clonic, atonic), simple focal, complex focal, and secondarily generalized seizures. Moreover, specific electro-clinical syndromes (Otahara syndrome, West syndrome, Lennox–Gastaut syndrome, Landau–Kleffner syndrome) can be caused by mitochon- drial disorders (Lee et al. 2008). From an imaging point of view, one should consider mitochondrial disorders in symmetric basal ganglia, brain- stem, and cerebellum lesions (Barkovich et al. 1993, Saneto et al. 2008). The basal ganglia are selectively vulnerable to failure of energy metabolism; however, this pattern is not specific and may also occur in carbon monoxide poisoning, bilirubin toxicity, disorders of fat metabolism, organic acidurias, and others. Moreover, even a leukodystrophy pattern may reflect mitochondrial disease (Santorelli et al. 1993, Lebre et al. 2011). When oxidative phosphorylation is impaired, energy metabolism follows the alternative route of anaerobic glycolysis and produces lactic acid. Since lactate has a chemical shift of 1.3 ppm and presents as a doublet peak, H1-MR spectroscopy is particularly helpful to diagnose mitochondrial disease. 1.2 Leigh Disease Subacute necrotizing encephalomyelopathy. 1.2.1 Epidemiology First described by Dennis Leigh in 1951 as a disease with recurrent acute episodes of neurodegeneration affecting brainstem, cerebellar, or basal ganglia function. 1.2.2 Pathogenesis Autosomal recessive, X-linked recessive, or maternal inheritance with a variety of biochemical and molecular defects: 39 % complex I deficiency, 25 % pyruvate dehy- drogenase deficiency, 25 % COX deficiency, 15 % ATPase mtDNA mutations. 1.2.3 Clinical Presentation Severe and progressive infant and childhood encephalopa- thy with global developmental delay, feeding and Metabolic Disorders 231
  • 231.
    swallowing difficulties, centralrespiratory hypoventilation, dystonia, optic atrophy, ataxia, nystagmus, seizures, hearing loss, lactic acidosis, and early death. Occurs rarely in adults. 1.2.4 Imaging Rather symmetric T2-weighted hyperintense and partly contrast-enhancing lesions of the basal ganglia (putamen, globus pallidus, and caudate), thalami, midbrain (red nucleus, substantia nigra, and periaqueductal region), brainstem and dentate nuclei. Lesions reflect necrotic degeneration, capillary proliferation, and gliosis with an appearance similar to Wernicke’s encephalopathy. Putami- nal lesions are considered characteristic. Mamillary bodies may be involved, but some authors consider mamillary body involvement a hint for the presence of Wernicke’s enceph- alopathy. In the acute stage, affected structures are swollen; in later stages, there is pronounced atrophy (Fig. 2). 1.3 MELAS Mitochondrial myopathy, encephalopathy with lactic aci- dosis and stroke-like episodes. 1.3.1 Epidemiology First described as a distinctive syndrome by Pavlakis in 1984 as a disease with high phenotypic variability. Table 2 Overview of common mitochondrial disorders Mitochondrial disorder Age of onset (years) Major clinical signs Classic pattern of inheritance Genetic defect MR imaging Leigh Majority 2 Progressive encephalopathy with brain stem dyfunctions. Autosomal recessive, maternal, X-linked Heterogeneous Bilateral T2-/FLAIR hyperintensities of putamina, periaqueductal gray matter MELAS Mean 10 40 Stroke-like episodes, migraine- like episodes, hearing loss, myopathy, occasional seizure. Maternal tRNALeu : 3243A [ G ([80 % of cases) POLG1 Cortical/subcortical lesions not related to a vascular territory with mixed DWI signal intensities MERRF Late adolescence/ early adulthood Progressive myoclonus, focal and generalized epilepsy, cerebellar ataxia, deafness, myopathy, retinopathy. Maternal Maternal: tRNALys : 8344A [ G (80 % of cases) 3243A [ G POLG1 Variable: cerebellar and cerebral atrophy, symmetric brainstem, basal ganglia lesions Alpers- Huttenlocher Very variable, typically 2 Visual phenomena, refractory seizures, liver failure acute after exposure to valproic acid. Autosomal recessive POLG1 Thalamus [ occipital hyperintensities LHON Early adulthood Visual loss, early optic disc microangiopathy/edema, later atrophy. Remission in some. Male carrier predominatly symptomatic. Maternal 11778G [ A 14484T [ C 3460G [ A Normal or optic nerve/chiasm edema and enhancement (acute stage) or optic nerve/ chiasm atrophy (chronic stage) CPEO/KSS [10/20 Ptosis, ophthalmoparesis/plus retinitis pigemtosa. Cerebellar ataxia, cardiac conduction defect, dementia, endocrine symptoms. Mostly sporadic (50 %), autosomal dominant, autosomal recessive, maternal Single/ multiple mtDNA deletions Symmetric brainstem, basal ganglia, peripheral white matter hyperintenisities MNGIE 20 Progressive external ophthalmoplegia and ptosis, severe gastrointestinal dysmotility, cachexia, peripheral neuropathy. Epilepsy is not a feature. Autosomal recessive Thymidine phosphorylase gene mutations, rarely POLG1 Leukoencephalopathy sparing the corpus callosum NARP 20 Pigmentary retinopathy, peripheral axonal neuropathy, ataxia. Maternal 8993T [ G/C, with high heteroplasmic mutation load Variable: pontocerebellar atrophy, leukoencephalopathy, ADEM-like, PVL-like, MELAS-like 232 H. Urbach and J. Reimann
  • 232.
    1.3.2 Pathogenesis Several pointmutations of mtDNA: Most common is the 3243A[G point mutation of the MTTL1 gene encoding for mitochondrial tRNALeu ([80 % of cases). 1.3.3 Clinical Presentation Clinical triad of (1) stroke-like episodes before 40 years of age, typically 15 years of age, (2) encephalopathy char- acterized by seizures (85–90 %), dementia (50–90 %), or both, and (3) lactic acidosis, ragged red fibers on muscle biopsy, or both. Other frequent abnormalities include muscle weakness and early fatigability, sensorineural hearing loss (25–90 %), mostly axonal sensory peripheral neuropathy, diabetes mellitus, short stature (80 %), cardio- myopathy, cardiac conduction defects, and renal and gas- trointestinal dysfunction. Seizures are commonly simple partial seizures, rarely epilepsia partialis continua (Riba- coba et al. 2006). Stroke-like episodes are seen in virtually all MELAS patients and often have a stuttering onset, accompanied by a migraine-like prodrome with headache and vomiting lasting hours. The episodes have a predilection for the occipital and parietal lobes and result in homonymous hemianopia in up to 80 % of patients. Loss of consciousness is common, and other focal neurological deficits may also occur, including aphasia, alexia without agraphia, and hemiplegia. Fig. 1 Glutaric aciduria type 1 in a 7-month-old girl. MRI shows widened subarachnoid space and subdural hygromas/hematomas in the temporal poles and over the convexities (a, c: arrows). Due to ongoing myelination, the brain parenchyma is more difficult to assess. However, symmteric bilteral striatal (b: short arrows) and white matter abnormalities (b: long arrows) are notable Fig. 2 A 20-year-old woman suffered from migraine with aura attacks and stroke-like epsiodes for several years. MRI showed symmetric globus pallidus, striatal, thalamic (b), and brainstem lesions (a: arrows pointing to the central tegmental tract) and diffuse cerebellar and cerebral white matter signal increase (c: arrows). This pattern is suggestive of Leigh disease, which is typically an acute disease in infancy. Muscular biopsy revealed mitochondrial cytopathy with complex IV [ I deficiency Metabolic Disorders 233
  • 233.
    1.3.4 Imaging Consider MELASin patients with stroke-like episodes and lesions that are not confined to a vascular territory and do not show cytotoxic edema on DWI. A closer look, however, may reveal ribbon-like cytotoxic edema within the cortex. The posterior parts of the hemispheres are predominantly affected, and stroke-like lesions typically evolve into cor- tical–subcortical defects. A significant portion of patients with 3243A [ G point mutations have a non-MELAS phenotype without stroke- like episodes and either prominent deep gray matter calci- fications (basal ganglia, dentate nuclei) or subtle globus pallidus lesions on T2-weighted gradient echo images (Fig. 3). 1.4 MERRF Myoclonic epilepsy and ragged red fibers. 1.4.1 Epidemiology First described by Berkovic in 1989 as a disease starting in adulthood with myoclonic seizures, muscular weakness, and ragged red fibers on muscle biopsy (Berkovic et al. 1989). 1.4.2 Pathogenesis Maternal inheritance with mtDNA point mutations encod- ing tRNALys . The 8344G [ A mutation accounts for 80–90 % of cases. 1.4.3 Clinical Presentation Broad spectrum, ranging from oligosymptomatic proximal myopathy to severe impairment with deafness, ataxia, spasticity, myoclonus, pigmentary retinopathy, optic atrophy, and dementia. 1.4.4 Imaging No specific pattern. Cerebellar, brainstem and cortical atrophy. Symmetric T2-hyperintense brainstem (inferior olivary nuclei, superior cerebral peduncles, periaqueductal gray matter), basal ganglia lesions (striatal hyperintensities, globus pallidus calcifications), subcortical white matter, and cortical lesions may occur (Ito et al. 2008). Lesion pattern is not specifically different from other mitochondrial disorders such as, for instance, CPEO/KSS (Fig. 4). 1.5 Alpers–Huttenlocher Syndrome Hepatocerebral degeneration 1.5.1 Epidemiology Severe hepatocerebral disease with mtDNA depletion that presents at various ages depending on the type of mutation within the POLG1 gene. 1.5.2 Pathogenesis A gamut of POLG1 mutations and changes of respiratory chain complexes, mtDNA, and POLG1 activity far beyond the scope of this chapter have been reported. Online databases can provide a quick cross-reference of a case in question. 1.5.3 Clinical Presentation Age at seizure onset is typically before the second year of life, but very variable and may occur as late as the sixth Fig. 3 MELAS in a 53-year-old woman who presented with complex focal seizures. Further medical history revealed long-known sensory hearing loss. MRI showed a space-occupying right temporal lesion and a left temporal defect. In MELAS, multifocal lesions are typically not confined to a vascular territory. Acute lesions often show reduced diffusion of the cortical (b, c: arrowheads) and increased diffusion of the white matter part of the lesion (a, b: arrows) 234 H. Urbach and J. Reimann
  • 234.
    decade. Initial featuresof occipital lobe dysfunction with flickering colored light, ictal visual loss, nystagmus, ocu- loclonus, and dysmorphopsia. Simple and complex focal seizures, clonic and/or myoclonic seizures with epilepsia partialis continua, frequent convulsive status epilepticus. Encephalopathic episodes are sometimes precipitated by fever. Liver dysfunction and liver failure elicited by val- proic acid treatment (Engelsen et al. 2008). 1.5.4 Imaging Initial MRI may be normal. With disease onset—commonly with seizures or epilepsia partialis continua—focal T2-/FLAIR high-signal-intensity changes in the thalami, occipital cortex, deep cerebellar structures, extraoccipital cortex, and inferior olivary nuclei of the medulla oblongata may occur. Brain and cerebellar atrophy develop (Fig. 5). 1.6 Chronic Progressive External Ophthalmoplegia and Kearns–Sayre Syndrome 1.6.1 Epidemiology Chronic progressive external ophtalmoplegia (CPEO) is a frequent manifestation of mitochondrial disorders charac- terized by painless bilateral progressive ptosis and oph- thalmoparesis. Kearns–Sayre syndrome is a more severe CPEO subtype, first described in 1958, with the features of retinitis pigmentosa, external opthalmoplegia, and complete heart block. 1.6.2 Pathogenesis Sporadic [ autosomal dominant, autosomal recessive, or maternally inherited disease with single (large) deletion (80% KSS) or mtDNA point mutations. 1.6.3 Clinical Presentation Cardinal symptoms of CPEO are painless progressive bilateral ptosis and ophthalmoparesis, with ptosis typically preceding ophthalmoparesis by months to years. All extra- ocular muscles are symmetrically involved. Skeletal muscle weakness is present in most patients and may involve the neck, proximal limb, or bulbar musculature, with bifacial weakness the rule. CPEO frequently starts in childhood or early adulthood (90 %) but may occur at any age. It may be isolated or occur with other ‘‘mitochondrial’’ symptoms (pigmentary retinopathy, cataract, optic neuropathy, senso- rineural hearing loss, ataxia, spasticity, peripheral neurop- athy, encephalopathy, gastrointestinal dysmotility, cardiac conduction defects, respiratory insufficiency, hormonal and electrolyte imbalances, short stature, skin and skeletal abnormalities). Kearns–Sayre syndrome (KSS) is a rather severe subtype of CPEO, defined by the following criteria: (1) onset before the age of 20; (2) CPEO; (3) one or more of the following: cardiac conduction abnormality, CSF protein [100 mg/dl, cerebellar dysfunction. 1.6.4 Imaging Most common MRI findings are cortical, brainstem, and cerebellar atrophy with symmetrical (T1- and) T2-/FLAIR Fig. 4 A 29-year-old woman (a, b) and her 14-year-old brother (c) suffered from progressive myoclonic and generalized tonic–clonic seizures. Sagittal FLAIR (a, b) and axial T1-weighted MRI (c) showed bilateral cingulate gyrus lesions (arrows). MERRF with a 8344G[A mutation was diagnosed Metabolic Disorders 235
  • 235.
    hyperintense lesions inthe brainstem, basal ganglia, thalami, and subcortical white matter. The involvement of the subcortical U-fibers with sparing of the periventricular white matter helps to differentiate CPEO/KSS from most lysosomal and peroxisomal disorders (Fig. 6). Basal ganglia lesions may be calcified on CT. External ocular muscles are either normal or atrophic, which helps to differentiate CPEO/KSS from Graves’ disease. MR spectroscopy shows elevated lactate in lesional and nonlesional brain tissue. 1.7 Leber Hereditary Optic Neuropathy 1.7.1 Epidemiology First defined as a clinical entity by the German ophthal- mologist Theodore Leber in 1871. 1.7.2 Pathogenesis Maternal inheritance with three common point mutations (11778G[A, 14484T[ C, 3460G [ A) affecting complex I of the mitochondrial respiratory chain in 96 % of patients. Fig. 5 Coronal and axial FLAIR images of a 7-year-old boy (a–c) and axial FLAIR (d), axial DWI (e), and coronal T1-weighted spin echo images (f) of a 12-year-old girl with POLG1 mutations. Note the characteristic symmetrical, slightly increased signal intensity of the pulvinar thalami (b, c: arrows) and, to a lesser extent, of the substantia nigra (a: open arrows). A more severe MRI pattern is found in the 12-year-old girl, which shows widespread cortical with impaired diffusion next to the thalamic lesions. Symmetrical globus pallidus T1-hyperintensity (f: arrows) is likely due to liver failure 236 H. Urbach and J. Reimann
  • 236.
    1.7.3 Clinical Presentation Mostcommon phenotype: rapid, painless loss of central vision in one eye, followed by similar loss of vision in the fellow eye within days to months. The onset of symptoms typically occurs between the ages of 15 and 35 years. #:$ = 8:1. Sometimes the attack is precipitated by etham- butol. The individual tendency to recover depends on the respective mutation. Epilepsy is a rare feature. 1.7.4 Imaging Most patients have a normal MRI. However, optic nerve and chiasm edema and contrast enhancement may be observed in the acute stage, and optic nerve and chiasm atrophy in the chronic stage, respectively (Inglese et al. 2001; Lamirel et al. 2010; Niehusmann et al. 2011). Rarely, extensive white matter demyelin- ation has been described (Kovacs et al. 2005) (Fig. 7). Fig. 6 Axial T2-weighted (a, c) and FLAIR images of a 15-year- old boy with ataxia, retinitis pigmentosa, and myopathy due to a Kearns–Sayre syndrome. MRI shows brainstem, cerebellar, and cerebral atrophy with symmetrical hyperintense lesions in the middle (a: arrows) and superior cerebral peduncles, in the dorsal brainstem, in and around the periaqueductal gray matter (b: arrow), and in white matter sparing the periventricular regions (c: arrow) Fig. 7 Leber hereditary optic neuropathy (LHON) in a 27-year-old woman with temporal lobe epilepsy. Two to three weeks following the implantation of intrahippocampal depth and subdural strip electrodes (a: arrows), the patient developed progredient loss of vision. While the optic chiasm was initially normal (a: hollow arrow), MRI now showed optic chiasm edema with swelling and increased signal intensity (b, c: hollow arrow). Optic chiasm edema developing during presurgical evaluation is likely due to the use of barbiturates for general anesthesia, which are known to inhibit complex I of the mitochondrial respiratory chain Metabolic Disorders 237
  • 237.
    1.8 Pyruvate DehyrogenaseComplex Deficiency 1.8.1 Epidemiology Well-defined mitochondrial disorder with a broad clinical spectrum: Many patients have either severe, often fatal, neonatal or infantile lactic acidosis and a phenotype resembling Leigh’s disease or a more chronic neurodegen- erative disease with episodes of lactic acidosis and recurrent ataxia. Even patients with relatively normal mental ability and with episodic dystonia, developing during childhood, have been described (Head et al. 2005; Barnerias et al. 2010). 1.8.2 Pathogenesis PDH is a mitochondrial enzyme complex that catalyzes the conversion of pyruvate to acetyl coenzyme A. The complex contains multiple copies of three enzymes: E1 (PDH), E2 (dihydrolipoamide acetyltransferase), and E3 (dihydrolipo- amide dehydrogenase). 1.8.3 Clinical Presentation Consider two types: 1. Abnormal prenatal brain development resulting in severe nonprogressive encephalopathy with callosal agenesis, gyration anomalies, microcephaly with intrauterine growth retardation, or dysmorphia in both males and females. 2. Acute energy failure in infants producing basal ganglia lesions with paroxysmal dystonia, neuropathic ataxia due to axonal transport dysfunction, or epilepsy typically in males. 1.8.4 Imaging Variable MRIs ranging from minor degrees of cerebral atrophy (often in patients with severe neonatal lactic aci- dosis) to gross cerebral atrophy with corpus callosum dys- genesis, widespread increased diffusion in the white matter, and bilateral subependymal cysts. Between these two groups are patients with a Leigh-like pattern consisting of symmetric basal ganglia, but not brainstem lesions (Head et al. 2005; Soares-Fernandes et al. 2008; Lebre et al. 2011). 2 Neuronal Ceroid Lipofuscinosis 2.1 Definition Neuronal Ceroid Lipofuscinosis (CLN) is an autosomal recessive neurodegenerative disease with the accumulation of ceroid lipofuscin material in lysosymes of neurons and other cell types. The triad of blindness due to retinopathy, dementia, and epilepsy is considered characteristic for the childhood-onset forms, while adult and some juvenile varieties occur without visual loss. These diseases are pro- gressive and lethal. A previous classification based on disease onset, that is, infantile (Santavuori), late infantile (Janksy–Bielschowsky), juvenile (Spielmeyer–Vogt, Batten), and adult (Kufs), has been replaced by a gene-based classification. This has led to the discovery of ‘‘atypical’’ presentations, that is, adult cases of diseases formerly thought as childhood-onset disorders, widening the phenotypic spectrum. Diagnosis is suspected on clinical grounds, with initial normal development and disease onset at a specific age with visual failure that may progress to blindness, myoclonic or tonic–clonic seizures, and progressive psychomotoric decline, including dementia and ataxia. Diagnosis can be confirmed by blood spot enzyme analysis or detection of characteristic lymphocyte vacuoles in some varieties; however, electron microscopic detection of characteristic granular osmiophilic deposits, curvilinear, fingerprint, and rectilinear profiles in lymphocytes or other tissues is needed for others. 2.2 Clinical Presentation Table 3 lists the types of CLN according to typical age at onset. 2.3 Imaging CLN will only be diagnosed with appropriate clinical information. The following imaging features support the clinical diagnosis: Pronounced hypointensity of basal ganglia, thalami, sub- stantia nigra/red nucleus on T2-weighted fast spin gradient echo sequences (Autti et al. 2007) Distinct atrophy of the supratentorial brain more than of the cerebellar hemispheres Slightly increased (periventricular) T2 signal intensity 3 Progressive Myoclonic Epilepsies 3.1 Definition Progressive myoclonic epilepsies are a group of disorders characterized by myoclonic seizures, tonic–clonic seizures, and progressive neurologic decline, in particular dementia and ataxia. Myoclonic seizures may be bilateral synchro- nous or multifocal asynchronous and affect limbs, facial, and bulbar muscles (see Table 4). 238 H. Urbach and J. Reimann
  • 238.
    There are somevery rare causes of progressive myoclonic epilepsies: Action Myoclonus–Renal Failure syndrome (AMRF) is an autosomal-recessive disorder characterized by proteinuria and glomerusclerosis occurring as early as 9 years of age, followed by severe progressive action myoclonus, dysarthria, and ataxia symptoms between 17 and 25 years of age (Ramachandran et al. 2009). In Gaucher disease type 3 (subacute neuronopathic form), abnormal glucocerebrosidase accumulates in the liver, spleen, and bone marrow. Predominant clinical symptoms are hepato- splenomegaly, hematological changes, and skeletal com- plications (Ramachandran et al. 2009; Kraoua et al. 2011; Shahwan et al. 2005). Familial encephalopathy with neuro- serpin inclusion bodies is an autosomal-dominant disease causing progressive dementia and in some cases a familial form of progressive myoclonic epilepsy (Davis et al. 1999). A juvenile form of Huntington’s disease may also cause progressive myoclonic epilepsy (Gambardella et al. 2001). 4 Epilepsy with Occipital Calcifications and Celiac Disease 4.1 Epidemiology A rare syndrome with celiac disease, epilepsy, and cerebral calcifications (CEC syndrome) initially described by Sammaritano et al. (1985). Occipital calfications are radiologically similar to those of Sturge–Weber syndrome. For unknown reasons, CEC syndrome is more frequent in Italy, Spain, and Argentina (Gobbi 2005). Patients with celiac disease and epilepsy without calcifications and with celiac disease and calcifications without epilepsy are con- sidered to suffer from atypical forms. In patients with epi- lepsy and calcifications without celiac disease, silent celiac disease is assumed. 4.2 Pathogenesis Celiac disease is an autoimmune disease with chronic inflammation of the small intestine due to a permanent intolerance to gluten protein; a gluten-free diet leads to clinical improvement. The coincidence of celiac disease and epilepsy with cerebral calcifications may be random, genetically deter- mined, or epilepsy with cerebral calcifications the conse- quence of untreated celiac disease. Histopathological specimens showed small cortical veins overlying the pari- eto-occipital cortex with calcified walls and intima fibrosis nearly occluding the lumen. Cerebral calcifications are similar to those of Sturge–Weber syndrome; however, the cortical architecture is likely less preserved and patients do not have portwine nevi (Taly et al. 1987). Table 3 Neuronal ceroid lipofuscinosis types according to typical age at onset Disease type Age at onset Major clinical signs Laboratory and genetic features CLN 1 (infantile form, Santavuori) 1–2 Normal psychomotor development until the age of 6 months, rapid decline with epileptic seizures. Cardinal symptom is visual loss; most patients are blind before the age of 2 Reduced enzyme activity in blood spot test. Granular osmiophilic deposits in lymphocytes or other tissues at electron microscopy Autosomal recessive: PPT1 CLN 2 (late infantile form, Janksy– Bielschowsky) 2–4 Normal psychomotor development until the age of 2–4 years. Rapid decline with epileptic seizures (myoclonic, tonic–clonic, atonic, atypical absence) and retinal atrophy. Cardinal symptom is visual failure; most patients are blind around the age of 6 Reduced enzyme activity in blood spot test. Curvilinear membrane-bound lysosomal aggregates in electron microscopy Autosomal recessive: TPP1 CLN 5 (Finnish variant), 6, 7 Infancy Progressive epilepsy with mental retardation. Tonic–clonic seizures, complex focal seizures with decreasing frequency after puberty, cognitive decline starting 2–5 years after onset of seizures Granular osmiophilic deposits, curvilinear, fingerprint, and rectilinear profiles in electron microscopy Autosomal recessive: CLN5, CLN6, MSFD8 CNL8/Northern epilepsy juvenile Visual loss, developmental regression, seizures, ataxia, speech and language difficulties, myoclonus. No blindness, no myoclonus, slower progression in Northern Epilepsy Mixed combinations of granular, curvilinear, and fingerprint profiles in EM Autosomal recessive CLN8 CLN 3 (juvenile form, Spielmeyer– Vogt, Batten) 5–10 Rapid decline of vision and progressive dementia. Myoclonic and tonic–clonic seizures. Death around 20–40 years Typical vacuolated lymphocytes in blood smear (light microscope). Fingerprint profiles in electron microscopy Autosomal recessive: CNL3 CLN 4 (Kufs) 3rd–4th decade Generalized seizures, myoclonus, dementia, ataxia, behavioral changes, depression, hallucinations, no blindness ‘‘Fingerprint’’ deposits in lymphocytes or other tissues at electron microscopy Autosomal recessive 4A: CLN6 or autosomal dominant 4B: DNAJC5 Metabolic Disorders 239
  • 239.
    4.3 Clinical Presentation Celiacdisease typically manifests in the first 2 years of life with chronic diarrhea, weight loss, dystrophic appearance, and anorexia. Atypical or silent forms are more frequent in children over 2 years and adults and characterized by nonbowel involvement and extraintestinal symptoms such as dermatitis herpetiformis and dental enamel defects. Focal seizures occur in up to 5 % of patients with celiac disease and originate in at least 90 % of cases in the occipital cortex. Half of these seizures persist despite a gluten-free diet, and 25 % of patients develop an enceph- alopathic syndrome. Accordingly, all patients with epilepsy and cerebral calcifications should be investigated for celiac disease fol- lowing the ESPGAN criteria, which may include jejunal mucosa biopsy before and—if positive—1 year after adoption of gluten-free diet (Walker-Smith et al. 1990). 4.4 Imaging Characteristic features are bilateral, symmetrical, or some- what asymmetrical occipital calcifications, without contrast enhancement and brain atrophy. Calcifications can be punc- tate or amorphous measuring several centimeters. Additional calcifications can be in extraoccipital location. Calcifications may increase in size and new calfications may appear in mid- term follow-up. In contrast to Sturge–Weber syndrome, cir- cumscript atrophy, contrast enhancement, and ipsilateral choroid plexus enlargement are lacking (Fig. 8). 5 Nonketotic Hyperglycemia 5.1 Epidemiology Nonketotic hyperglycemia is a relatively common compli- cation of diabetes mellitus type 2, especially in patients Table 4 Progressive myoclonic epilepsies: Major clinical features, diagnostics, and MRI Progressive myoclonic epilepsies Age at onset, major clinical signs Laboratory features and genetics MRI Unverricht– Lundborg disease 6–13, Progresses in gradual stages to severe myoclonus, mild mental deterioration and ataxia Autosomal recessive: CSTB Normal or brain stem, cerebellar, and less often cerebral atrophy (Mascalchi et al. 2002) Lafora body disease 8–18, Relatively rapid progression from insidious onset to severe myoclonus, occipital seizures, visual hallucinations, psychosis, dementia. Survival approximately 10 years Lafora (polyglucosan inclusion) bodies in various tissues, including skin, autosomal recessive: EPM2A, NHLRC1 (EPM2B), No signal changes (Villanueva et al. 2006) Myoclonic epilepsy and ragged red fibers (MERRF) Late adolescence/early adulthood. Deafness, optic atrophy, myoclonus, myopathy, cardiac conduction defects Maternal: tRNALys , (80 % 8344G [ A) ragged red fibers (SDH positive, COX negative) on muscle biopsy (but may be normal) Variable: cerebellar and cerebral atrophy, symmetric brain stem, basal ganglia lesions Sialidosis type 1 (neuraminidase deficiency) 8–20, Severe myoclonus, tonic–clonic seizures, visual failure, ataxia, nystagmus, muscle weakness and atrophy, dysarthria Macula: cherry red spot. Urine: elevated sialyloligosaccharides. Leukocytes and cultured skin fibroblasts: neuraminidase deficiency autosomal recessive: NEU1 No signal changes Sialidosis type 2 (neuraminidase deficiency) Congenital—20, severe myoclonus, ataxia, visual failure, hearing loss, dysmorphic features, hepato-splenomegaly Macula: cherry red spot. Urine: elevated sialyloligosaccharides. Leukocytes and cultured skin fibroblasts: neuraminidase deficiency, vacuolated lymphocytes, bone marrow foam cells autosomal recessive: NEU1 No signal changes Neuronal ceroid lipofuscinosis Congenital to adult forms Electron microscopy: granular osmiophilic, curvilinear, or fingerprint profiles Variable: cerebellar and cerebral atrophy, T2 hypointensity of globi pallidi and thalami Dentatorubral- pallidolysian atrophy (DRPLA) Higher frequency in Japan (0.2–0.7/100,000), very rare in Europe and North America. Myoclonic epilepsy and cognitive decline starting before the age of 20 (Whaley et al. 2011). Myoclonic epilepsy, dementia, ataxia, and choreoathetosis CAG repeat expansion of DRPLA (ATN1) gene, autosomal dominant; clinical features and age of onset are correlated with the size of CAG repeats (1st–7th decade), genetic anticipation Cerebellar and brainstem atrophy, high periventricular white matter T2 signal (Whaley et al. 2011; Muñoz et al. 2004) 240 H. Urbach and J. Reimann
  • 240.
    above 50 yearsof age. However, several cases in children have been described. The severity can vary widely, ranging from asymptomatic (for months, even years) to severely symptomatic (hyperosmolar coma and sometimes even death). Approximately 15–40 % of patients with nonketotic hyperglycemia develop seizures. 5.2 Clinical Presentation Focal motor seizures, which may generalize secondarily, are observed in most cases, sometimes with epilepsia par- tialis continua. Seizures may be tonic, clonic, tonic–clonic; may affect limbs, the face, or one half of the body; and may be followed by a postictal motor deficit. Seizures are sometimes elicited or set off by movement, even passive or active elevation of a limb (arm or leg). EEG between sei- zures is normal. Rapid recognition of nonketotic hyperglycemia is vital because treatment with insulin and rehydration can prevent negative outcomes. Diagnosis is also essential for man- agement of the seizures because they are usually refractory to antiepileptic drugs, and some treatments (phenytoin) may even aggravate them. These seizures nonetheless stop spontaneously after hyperglycemia is corrected. 5.3 Imaging Often normal. Rarely and in close temporal relationship to seizures restricted diffusion reflecting cytotoxic edema on DWI and/or transient subcortical T2-weighted and FLAIR Fig. 8 Epilepsy with occipital calcifications and celiac disease in a 12-year-old girl (a–c) and in a 19-year-old woman (d–f). Occipital calcifications may be bilateral and resemble Sturge–Weber angiomatosis, which was also the histopathological diagnosis in the 19-year-old woman Metabolic Disorders 241
  • 241.
    Fig. 9 A16-year-old girl with known type 1 diabetes mellitus developed epilepsia partialis continua of the left hand. MRI displayed a subcortical T2-hypointensity of the postcentral gyrus on T2-weighted (a, c, d: arrows) and FLAIR images (b) associated with nonketotic hyperglycemia 242 H. Urbach and J. Reimann
  • 242.
    hypointensity predominantly inthe posterior brain regions (Wang et al. 2005; Raghavendra et al. 2007). Unilateral striatal hyperintensity is another hint for nonketotic hyper- glycemia (Chu et al. 2002) (Fig. 9). References Appignani BA, Kaye EM, Wolpert SM (1996) CT and MR appearance of the brain in two children with molybdenum cofactor deficiency. AJNR Am J Neuroradiol 17(2):317–320 Autti T, Joensuu R, Aberg L (2007) Decreased T2 signal in the thalami may be a sign of lysosomal storage disease. Neuroradiology 49(7):571–578 Barkovich AJ, Good WV, Koch TK, Berg BO (1993) Mitochondrial disorders: analysis of their clinical and imaging characteristic. AJNR Am J Neuroradiol 14:1119–1137 Barkovich AJ, Peck WW (1997) MR of Zellweger syndrome. AJNR Am J Neuroradiol 18(6):1163–1170 Barkovich AJ (2007) An approach to MRI of metabolic disorders in children. J Neurorad 34:75–78 Barnerias C, Saudubray JM, Touati G et al (2010) Pyruvate dehydrogenase complex deficiency: four neurological phenotypes with differing pathogenesis. Dev Med Child Neurol 52:e1–e9 Berkovic SF, Carpenter S, Evans A et al (1989) Myoclonus epilepsy and ragged-red fibres (MERRF). 1. A clinical, pathological, biochemical, magnetic resonance spectrographic and positron emission tomographic study. Brain 112:1231–1260 Brismar J, Ozand PT (1994) CT and MR of the brain in disorders of the propionate and methylmalonate metabolism. AJNR Am J Neuroradiol 15(8):1459–1473 Review Brismar J, Ozand PT (1995) CT and MR of the brain in glutaric acidemia type I: a review of 59 published cases and a report of 5 new patients. AJNR Am J Neuroradiol 16(4):675–683 Chu K, Kang DW, Kim DE et al (2002) Diffusion-weighted and gradient echo magnetic resonance findings of hemichorea-hemi- ballismus associated with diabetic hyperglycemia: a hyperviscosity syndrome? Arch Neurol 59:448–452 Davis RL, Holohan PD, Shrimpton AE et al (1999) Familial encephalopathy with neuroserpin inclusion bodies. Am J Pathol 155:1901–1913 de Koning TJ, Jaeken J, Pineda M et al (2000) Hypomyelination and reversible white matter attenuation in 3-phosphoglycerate dehy- drogenase deficiency. Neuropediatrics 31(6):287–292 de Koning TJ, Klomp LW (2004) Serine-deficiency syndromes. Curr Opin Neurol 17(2):197–204 Desai S, Ganesan K, Hegde A (2008) Biotinidase deficiency: a reversible metabolic encephalopathy—neuroimaging and MR spectroscopic findings in a series of four patients. Pediatr Radiol 38:848–856 Engelsen BA, Tzoulis C, Karlsen B et al (2008) POLG1 mutations cause a syndromic epilepsy with occipital lobe predilection. Brain 131:818–828 Engelbrecht V, Rassek M, Huismann J, Wendel U (1997) MR and proton MR spectroscopy of the brain in hyperhomocysteinemia caused by methylenetetrahydrofolate reductase deficiency. AJNR Am J Neuroradiol 18(3):536–539 Finsterer J, Zarrouk Mahjoub S (2012) Epilepsy in mitochondrial disorders. Seizure 21:316–321 Gambardella A, Muglia M, Labate A et al (2001) Juvenile Hunting- ton’s disease presenting as progressive myoclonic epilepsy. Neurology 57(4):708–711 Gobbi G (2005) Coeliac disease, epilepsy and cerebral calcifications. Brain Dev 27:189–200 Gordon N (2004) Succinic semialdehyde dehydrogenase deficiency (SSADH) (4-hydroxybutyric aciduria, gamma-hydroxybutyric aci- duria). Eur J Paediatr Neurol 8(5):261–265 Gospe SM Jr (2010) Pyridoxine-dependent epilepsy and pyridoxine phosphate oxidase deficiency: unique clinical symptoms and non- specific EEG characteristics. Dev Med Child Neurol 52(7):602– 603 Haas R, Dietrich R (2004) Neuroimaging of mitochondrial disorders. Mitochondrion 4:471–490 Haeberle J, Shahbeck N, Ibrahim K et al (2012) Glutamine supple- mentation in a child with inherited GS deficiency improves the clinical status and partially corrects the peripheral and central amino acid imbalance. Orphanet J Rare Dis 7(1):48 Hakonen AH, Heiskanen S, Juvonen V et al (2005) Mitochondrial DNA polymerase W748S mutation: a common cause of autosomal recessive ataxia with ancient European origin. Am J Hum Genet 77(3):430–441 (Epub 2005 Jul 27) Head RA, Brown RM, Zolkipli Z et al (2005) Clinical and genetic spectrum of pyruvate dehydrogenase deficiency: dihydrolipoamide acetyltransferase (E2) deficiency. Ann Neurol 58:234–241 Huisman TA, Thiel T, Steinmann B, Zeilinger G, Martin E (2002) Proton magnetic resonance spectroscopy of the brain of a neonate with nonketotic hyperglycinemia: in vivo-in vitro (ex vivo) correlation. Eur Radiol 12(4):858–861 Inglese M, Rovaris M, Bianchi S et al (2001) Magnetic resonance imaging, magnetisation transfer imaging, and diffusion weighted imaging correlates of optic nerve, brain, and cervical cord damage in Leber’s hereditary optic neuropathy. J Neurol Neurosurg Psychiatry 70(4):444–449 Ito S, Shirai W, Asahina M, Hattori T (2008) Clinical and brain MR imaging features focusing on the brain stem and cerebellum in patients with myoclonic epilepsy with ragged-red fibers due to mitochondrial A8344G mutation. Am J Neuroradiol AJNR 29(2):392–395 Jan W, Zimmerman RA, Wang ZJ et al (2003) MR diffusion imaging and MR spectroscopy of maple syrup urine disease during acute metabolic decompensation. Neuroradiology 45(6):393–399 Klepper J, Leiendecker B (2007) GLUT1 deficiency syndrome—2007 update. Dev Med Child Neurol 49(9):707–716 Kono K, Okano Y, Nakayama K et al (2005) Diffusion-weighted MR imaging in patients with phenylketonuria: relationship between serum phenylalanine levels and ADC values in cerebral white matter. Radiology 236(2):630–636 Kovacs GG, Höftberger R, Najtenyl K et al (2005) Neuropathology of white matter disease in Lebers hereditary optic neuropathy. Brain 128:35–41 Kraoua I, Sedel F, Caillaud C et al (2011) A French experience of type 3 Gaucher disease: phenotypic diversity and neurological outcome of 10 patients. Brain Dev 33(2):131–139 Lamirel C, Cassereau J, Cochereau I et al (2010) Papilloedema and MRI enhancement of the prechiasmal optic nerve at the acute stage of Leber hereditary optic neuropathy. J Neurol Neurosurg Psychi- atry 81(5):578–580 Lebre AS, Rio M, Faivre d’Arcier L et al (2011) A common pattern of brain MRI imaging in mitochondrial diseases with complex I deficiency. J Med Genet 48(1):16–23 Lee YM, Kang HC, Lee JS et al (2008) Mitochondrial respiratory chain defects: underlying etiology in various epileptic conditions. Epilepsia 49:685–690 Mascalchi M, Michelucci R, Cosottini M et al (2002) Brainstem involvement in Unverricht–Lundborg disease (EPM1): An MRI and (1)H MRS study. Neurology 58(11):1686–1689 Metabolic Disorders 243
  • 243.
    Mills PB, FootittEJ, Mills KA et al (2010) Genotypic and phenotypic spectrum of pyridoxine-dependent epilepsy (ALDH7A1 defi- ciency). Brain 133(Pt 7):2148–2159 Muñoz E, Campdelacreu J, Ferrer I et al (2004) Severe cerebral white matter involvement in a case of dentatorubropallidoluysian atrophy studied at autopsy. Arch Neurol 61(6):946–949 Niehusmann P, Surges R, von Wrede RD, Elger CE, Wellmer J, Reimann J, Urbach H, Vielhaber S, Bien CG, Kunz WS (2011) Mitochondrial dysfunction due to Leber’s hereditary optic neurop- athy as a cause of visual loss during assessment for epilepsy surgery. Epilepsy Behav 20(1):38-43 Pearl PL, Gibson KM (2004) Clinical aspects of the disorders of GABA metabolism in children. Curr Opin Neurol 17(2):107– 113 Pearl PL, Gibson KM, Acosta MT (2003a) Clinical spectrum of succine semialdehyde dehyfrogenase deficiency. Neurology 60:1413–1417 Pearl PL, Novotny EJ, Acosta MT et al (2003b) Succinic semialdehyde dehydrogenase deficiency in children and adults. Ann Neurol 54(Suppl 6):S73–S80 Pearl PL, Shukla L, Theodore WH et al (2011) Epilepsy in succinic semialdehyde dehydrogenase deficiency, a disorder of GABA metabolism. Brain Dev 33:769–805 Prasad AN, Levin S, Rupar CA, Prasad C (2011a) Menkes disease and infantile epilepsy. Brain Dev 33:866–876 Prasad AN, Rupar CA, Prasard C (2011b) Methylene tetrahydrofolate reductase (MTHFR) deficiency and infantile epilepsy. Brain Dev 33:758–789 Press GA, Barshop BA, Haas RH et al (1989) Abnormalities of the brain in nonketotic hyperglycinemia: MR manifestations. AJNR Am J Neuroradiol 10(2):315–321 Raghavendra S, Ashalatha R, Sanjee V et al (2007) Focal neuronal loss, reversible subcortical focal T2 hypointensity in seizures with a nonketotic hyperglycemic hyperosmolar state. Neuroradiology 49:299–305 Ramachandran N, Girard JM, Turnbull J, Minassian BA (2009) The autosomal recessively inherited progressive myoclonus epilepsies and their genes. Epilepsia 50(Suppl 5):29–36 Ribacoba R, Salas-Puig J, Gonzalez C, Astudillo A (2006) Charac- teristics of status epilepticus in MELAS. Analysis of four cases. Neurologia 21:1–11 Sammaritano M, Andermann F, Helanson D et al (1985) The syndrome of epilepsy and bilateral occipital cortical calcifications. Epilepsia 26:530 Saneto RP, Friedman SD, Shaw DWW (2008) Neuroimaging of mitochondrial disease. Mitochondrion 8:296–413 Santavuori P, Vanhanen SL, Sainio K et al (1993) Infantile neuronal ceroid-lipofuscinosis (INCL): diagnostic criteria. J Inherit Metab Dis 16(2):227–229 (Review) Santorelli FM, Shanske S, Macaya A et al (1993) The mutation at nt 8993 of mitochondrial DNA is a common cause of Leigh’s syndrome. Ann Neurol 34:827–834 Saudubray JM, Sedel F, Walter JH (2006) Clinical approach to treatable inborn metabolic diseases: an introduction. J Inherit Metab Dis 29(2–3):261–274 Sedel F, Gourfinkel-An I, Lyon-Caen O et al (2007) Epilepsy and inborn errors of metabolism in adults: a diagnostic approach. J Inherit Metab Dis 30(6):846–854 Seijo-Martínez M, Navarro C, Castro del Río M et al (2005) L-2- hydroxyglutaric aciduria: clinical, neuroimaging, and neuropatho- logical findings. Arch Neurol 62(4):666–670 Sener RN (2003) Nonketotic hyperglycinemia: diffusion magnetic resonance imaging findings. J Comput Assist Tomogr 27(4):538–540 Sévin M, Lesca G, Baumann N et al (2007) The adult form of Niemann–Pick disease type C. Brain 130(Pt 1):120–133 Shahwan A, Farrell M, Delanty N (2005) Progressive myoclonic epilepsies: a review of genetic and therapeutic aspects. Lancet Neurol 4(4):239–248 Soares-Fernandes JP, Teixeira-Gomes R, Cruz R et al (2008) Neonatal pyruvate dehydrogenase deficiency due to a R302H mutation in the PDHA1 gene: MRI findings. Pediatr Radiol 38:559–562 Stöckler S, Holzbach U, Hanefeld F et al (1994) Creatine deficiency in the brain: a new, treatable inborn error of metabolism. Pediatr Res 36(3):409–413 Stöckler-Ipsiroglu S, Plecko B (2009) Metabolic epilepsies: approaches to a diagnostic challenge. Can J Neurol Sci 36(Suppl 2):S67–S72 Taly AB, Nagaraja D, Das S et al (1987) Sturge–Weber–Dimitri disease without facial nevus. Neurology 37:1063–1064 Thomas B, Al Dossary N, Widjaja E (2010) MRI of childhood epilepsy due to inborn errors of metabolism. AJR Am J Roentgenol 194(5):W367–W374 Tzoulis C, Engelsen BA, Telstad W et al (2006) The spectrum of clinical disease caused by the A467T and W748S POLG mutations: a study of 26 cases. Brain 129(Pt 7):1685–1692 Van der Knaap M, Valk J (2005) GM2 gangliosidosis. In: Magnetic resonance of myelin and myelination disorders, 3rd edn. Springer, Berlin, Heidelberg, New York, pp 103–111 Vanhanen SL, Raininko R, Autti T, Santavuori P (1995) MRI evaluation of the brain in infantile neuronal ceroid-lipofuscinosis. Part 2: MRI findings in 21 patients. J Child Neurol 10(6):444–450 Vijayakumar K, Gunny R, Grunewald S et al (2011) Clinical neuroimaging features and outcome in molybdenum cofactor deficiency. Pediatr Neurol 45(4):246–252 Villanueva V, Alvarez-Linera J, Gómez-Garre P et al (2006) MRI volumetry and proton MR spectroscopy of the brain in Lafora disease. Epilepsia 47(4):788–792 Walker-Smith JA, Guendalini S, Schmitz J et al (1990) Revised criteria for diagnosis of coeliac disease. Arch Dis Child 65:909– 911 Wang CP, Hsieh PF, Chen CC et al (2005) Hyperglycemia with occipital seizures: images and visual evoked potentials. Epilepsia 46:1140–1144 Weller S, Rosewich H, Gärtner J (2008) Cerebral MRI as a valuable diagnostic tool in Zellweger spectrum patients. J Inherit Metabol Dis 31:270–280 Whaley NR, Fukoja S, Wszolek ZK (2011) Autosomal dominant cerebellar ataxia type I: a review of the phenotypic and genotypic characteristics. Orphanet J Rare Dis 6:33 Wolf B, Grier RE, Allen RJ et al (1983) Biotinidase deficiency: the enzyme defect in late-onset multiple carboxylase deficiency. Clin Chem Acta 131:273–281 Wolf B, Heard GS, Weissbecker KA et al (1985) Biotinidase deficiency: initial clinical features and rapid diagnosis. Ann Neurol 18(5):614–617 244 H. Urbach and J. Reimann
  • 244.
    Other Epilepsy-Associated Diseases andDifferential Diagnoses Horst Urbach Contents 1 Hemiconvulsion–Hemiplegia–Epilepsy Syndrome........... 245 1.1 Epidemiology......................................................................... 245 1.2 Pathogenesis........................................................................... 245 1.3 Clinical Presentation.............................................................. 245 1.4 Imaging .................................................................................. 247 2 Transient Global Amnesia and Transient Epileptic Amnesia................................................................................. 247 2.1 Epidemiology......................................................................... 247 2.2 Pathogenesis........................................................................... 247 2.3 Clinical Presentation.............................................................. 247 2.4 Imaging .................................................................................. 248 3 Epilepsy and Multiple Sclerosis......................................... 248 3.1 Epidemiology......................................................................... 248 3.2 Pathogenesis........................................................................... 248 3.3 Clinical Presentation.............................................................. 248 3.4 Imaging .................................................................................. 248 4 Chorea-Acanthocytosis........................................................ 248 4.1 Epidemiology......................................................................... 248 4.2 Pathogenesis........................................................................... 248 4.3 Clinical Presentation.............................................................. 249 4.4 Imaging .................................................................................. 250 5 ‘‘Reversible’’ Splenium Lesions ......................................... 250 5.1 Epidemiology......................................................................... 250 5.2 Pathogenesis........................................................................... 251 5.3 Clinical Presentation.............................................................. 251 5.4 Imaging .................................................................................. 251 6 MRI Changes in Antiepileptic Drug Therapy ................. 252 6.1 Carbamazepine....................................................................... 252 6.2 Phenytoin ............................................................................... 252 6.3 Valproate................................................................................ 252 6.4 Vigabatrin .............................................................................. 253 References...................................................................................... 255 Abstract This chapter summarizes (1) rare diseases with epilepsy as the core feature and a specific MRI pattern, (2) common diseases with specific clinical features but without epilepsy as the core feature, and (3) MRI changes associated with antiepileptic drug therapy. 1 Hemiconvulsion–Hemiplegia–Epilepsy Syndrome 1.1 Epidemiology The clinical syndrome was initially described by Schaffer (1927) and coined as hemiconvulsion–hemiplegia–epilepsy syndrome by Gastaut et al. (1960). It is one of the sequelae of convulsive status epilepticus. Its incidence has dramati- cally decreased since the 1970s due to successful medical therapy of convulsive status epilepticus. 1.2 Pathogenesis A high metabolic demand of a hemisphere due to convul- sive status epilepticus likely leads to laminar necrosis and edema in cortical layers 3 and 5 extending through the hemisphere and including the hippocampal, especially in its CA1 sector. In the acute phase, there is hemispheric hyp- erperfusion which is followed by hypoperfusion starting at around day 3. Within weeks to months, profound hemi- atrophia cranii et cerebri develops. 1.3 Clinical Presentation Hemiconvulsion–hemiplegia–epilepsy syndrome is charac- terized by prolonged clonic seizures which in most cases develop in the course of a febrile illness with consecutive H. Urbach (&) Department of Neuroradiology, University Hospital Freiburg, Germany e-mail: horst.urbach@uniklinik-freiburg.de H. Urbach (ed.), MRI in Epilepsy, Medical Radiology. Diagnostic Imaging, DOI: 10.1007/174_2012_750, Ó Springer-Verlag Berlin Heidelberg 2013 245
  • 245.
    Fig. 1 MRIof a 13 months old girl with cytotoxic edema of the left hemisphere (a–c) including the thalamus and occipital lobe (a–c). No vessel occlusion on TOF-MRA (not shown). Follow- up MRI after 1 year shows profound left-sided hemiatrophia cerebri et cranii (d). e–f A 5 year old boy presented with a prolonged complex febril seizure with persisting left-sided hemiparesis. MRI after 2 months showed right-sided hemiatrophy und hippocampal sclerosis (f: arrow) 246 H. Urbach
  • 246.
    development of hemiplegia.It occurs most frequently in children younger than 2 years of age, however, cases in children up to 11 years have been described. Seizures are unilateral or predominantly unilateral, but may cross over to the other side or be initially generalized. Seizures are usu- ally clonic in type, often in the form of status epilepticus lasting over several hours. They are generally associated with coma and immediately followed by hemiplegia. When the convulsions start on one side and cross to the other, the side involved last predicts the hemiplegic site. Hemiplegia is initially flaccid and eventually becomes spastic. How- ever, it may disappear in 20 % of patients with only some degree of spasticity, increased deep tendon reflexes and pyramidal tract signs remaining. Hemiconvulsion–hemiplegia–epilepsy syndrome will evolve to the secondary appearance offocal seizures in around 60 % of cases, usually within 3 years after disease onset. 1.4 Imaging In the acute phase, there is DWI-proven cytotoxic edema of a hemisphere that is not confined to a vascular territory (Freemann et al. 2002). Within weeks to months hemi- atrophia cranii et cerebri with cerebral peduncle atrophy (Wallerian degeneration of the pyramidal tract) and possible contralateral cerebellar atrophy develop (Fig. 1). 2 Transient Global Amnesia and Transient Epileptic Amnesia 2.1 Epidemiology Transient global amnesia (TGA) is a rare condition with isolated anterograde and retrograde amnesia lasting for several hours, which was initially described by Fischer and Adams (1964). In contrast, transient epileptic amnesia (TEA) is likely an epilepsy syndrome, in which amnesia is not an isolated syndrome but accompanied by other epi- leptic phenomena (Kapur 1993). 2.2 Pathogenesis Transient global amnesia is characterized by delayed neu- ronal loss in the cornu ammonis CA1 field of the hippo- campus, which is highly vulnerable to metabolic stress (Bartsch and Deuschl 2010). TEA is considered as an epilepsy syndrome with amnesia as a postictal phenomenon or symptom during nonconvulsive status epilepticus (Bilo et al. 2009). 2.3 Clinical Presentation Transient global amnesia is characterized by a sudden onset of anterograde and retrograde amnesia lasting for usually 2–8, and rarely up to 24 h. The neurological state is otherwise normal. During the attack, patients are anxious, ask the same question again and again, and rap- idly forget the answer. With resolution of the attack, there is a stepwise return of anterograde memory; however, because patients had not been able to lay down new memories during the attack, they will never be able to recall the episode itself. TGA often occurs with or after emotional or physical ‘‘stress’’ and has no gender predi- lection (Bartsch 2006). In TEA, ‘‘long’’ attacks with pure amnesia lasting for less than 1 h and ‘‘short’’ attacks with amnesia preceded by typical epileptic ictal phenomena such as clouding of consciousness and/or motor automatisms, have been described. Both show a tendency to recur and accordingly, the diagnosis of TEA requires the presence of: (1) history of recurrent witnessed episodes of transient amnesia; (2) cog- nitive functions other than memory judged to be intact Table 1 Differential diagnosis TGA versus TEA TGA TEA Duration of attacks 2–8 (-24) h 1 h Recurrence of attacks Rare Frequent EEG - Interictal temporal or fronto-temporal abnormalities Other ictal symptoms - + Response to antiepileptic drugs - + MRI Punctate DWI lesions in CA1 field after 24–48 h Subtle hippocampal volume loss Other Epilepsy-Associated Diseases and Differential Diagnoses 247
  • 247.
    during typical episodes;(3) evidence for a diagnosis of epilepsy based on one or more of the following: epileptiform EEG abnormalities, concurrent onset of other features of epilepsy, and clear-cut response to antiepileptic treatment (Kapur 1993; Zeman et al. 1998). TEA typically begins in late-middle to old age, TEA attacks often occur on awakening, retrograde amnesia is often more severe than anterograde amnesia, and many patients have a partial memory of the amnesic episode, reporting that they ‘‘were not able to remember.’’ TEA is responsive to relatively low doses of antiepileptic drugs (AEDs), but many patients report persistent interictal memory disturbances, consisting of accelerated long-term forgetting and autobiographic amnesia (Zeman et al. 1998; Butler et al. 2007). See Table 1. 2.4 Imaging Transient global amnesia patients typically show punctate DWI lesions in the upper and lateral segment of the hippocampus (CA1 field) which may be faintly visible within 4–6 h following the TGA attack (Fig. 2). However, DWI signal intensity increases and is most prominent between 36 and 48 h (Sedlaczek et al. 2004; Bartsch et al. 2006). Single lesions are found in 75 % of cases, the left hippocampus is involved three times more often than the right hippocampus, and two or more punctate or bilateral lesions are found in 25 % of cases. Lesions can be seen as hyperintense on high-resolution T2-weighted images and clearly separated from the vestigial sulcus hippocampi, and follow-up MRI shows complete disappearance of T2-lesions (Nakada et al. 2005; Bartsch et al. 2006). In TEA patients, hippocampal volumetry reveals a subtle volume loss (about 8 %), which is pronounced in the hip- pocampal body (Butler et al. 2009). MRI may show focal temporal lobe lesions but is in most cases normal (Della Marca et al. 2010). 3 Epilepsy and Multiple Sclerosis 3.1 Epidemiology Multiple sclerosis patients have a 3 % risk of developing epileptic seizures, which is around three to six times higher than epileptic seizures in the general population (Olafsson et al. 1999; Nyquist et al. 2001, 2002; Nicoletti et al. 2003; Lebrun 2006; Viveiros and Alvarenga 2010). 3.2 Pathogenesis Although MS predominantly affects the deep and periven- tricular white matter, demyelinating lesions are also found in the juxtacortical location (17 %) and in the cerebral cortex (5 % in pathological specimens, respectively) (Brownell and Hughes 1962). Apart from cortical lesions, there is likely a risk for temporal lobe seizures in patients with demyelinating lesions along the surface of the temporal horns. This may be explained with disconnection of the cortex (the so-called chronic isolated cortex) (Echlin and Battista 1963). 3.3 Clinical Presentation Patients typically suffer from simple and complex focal seizures, with or without secondary generalization, whereas primarily generalized epilepsy is rare (Kelley and Rodri- guez 2009). Seizure might be the first MS manifestation (Fig. 3), however, they mostly occur in the acute and chronic phases and are not related to the severity or duration of MS (Fig. 4). 3.4 Imaging Although many cortical lesions are not seen on MRI (Geurts et al. 2005), MS patients with epilepsy have a fivefold increase in the number of cortical lesions and a sixfold larger volume of cortical lesions than MS patients without epilepsy (Calabrese et al. 2008) (Fig. 3). Apart from cortical lesions, there is likely a risk for temporal lobe seizures in patients with demyelinating lesions along the surface of the temporal horns (Figs. 4, 5). 4 Chorea-Acanthocytosis 4.1 Epidemiology A group of very rare genetically defined diseases characterized by the association of red blood cell acanthocytosis and pro- gressive degeneration of the basal ganglia (Jung et al. 2011). 4.2 Pathogenesis Autosomal-recessive mutations in the VPS13A gene on chromosome 9q21, encoding for chorein (Velayos-Baeza 248 H. Urbach
  • 248.
    et al. 2004;Dobson-Stone et al. 2004). Altered molecular hippocampal architecture, defects of the erythrocyte mem- brane, and remote effects of the basal ganglia as the predi- lection site of neurodegeneration in chorea–acanthocytosis are discussed (Scheid et al. 2009; Bader et al. 2011). 4.3 Clinical Presentation Psychiatric symptoms and cognitive decline may start in the twenties. Later, most patients develop a characteristic phe- notype including chorea, orofacial dyskinesias, involuntary Fig. 2 Transient global amnesia (TGA): Punctate hyperintense DWI (a, b, d: arrow) and T2 (c, f) lesion in the lateral and upper part of the right hippocampal head representing the cornu ammonis (CA) 1 field (e: schematic drawing, adapted from Duvernoy HM. The human hippocampus Springer 1998, with permission). The CA 1 field is highly vulnerable to metabolic stress. Typically, MRI immediately after the attack is normal, while MRI after 24–48 h reveals one or more, uni- or bilateral DWI lesions Other Epilepsy-Associated Diseases and Differential Diagnoses 249
  • 249.
    vocalizations, dysarthria, andinvoluntary tongue- and lip- biting (Jung et al. 2011). In at least one-third of patients, seizures are the first manifestation of disease (Jung et al. 2011). Seizures are of different types and temporal lobe seizures are common (Al-Asmi et al. 2005; Scheid et al. 2009; Bader et al. 2011). Most patients have elevated levels of creatine phosphokinase (Jung et al. 2011). 4.4 Imaging Consider chorea–acanthocytosis if there is caudate head and to a lesser degree putaminal atrophy. Caudate head and putaminal atrophy are related to disease duration, easily missed on visual inspection, and highlighted with volu- metric analyses (Huppertz et al. 2008) ( Fig. 6). Developing hippocampal sclerosis related to the disease or as a consequence of frequent seizures has been described (Scheid et al. 2009). 5 ‘‘Reversible’’ Splenium Lesions 5.1 Epidemiology Rare, but pathognomonic imaging finding likely caused by rapid reduction of antiepileptic drugs (AEDs). A common situation is AED withdrawal during presurgical work-up in Fig. 3 MRI in a 51 year old man, who presented with myoclonic seizures of the left leg. MRI showed a right-sided cortical pre and postcentral lesion (b, c: arrow) and periventricular lesions (a, d: arrow). Contrast enhancement of a periventricular lesion at the right trigone disappeared on follow-up MRI after 6 months 250 H. Urbach
  • 250.
    order to provokeseizures. However, reversible splenium lesions are also rarely found in patients with infections, chemotherapy, or other diseases affecting fluid balance systems. 5.2 Pathogenesis Abrupt disorder of fluid balance systems due to central sodium channel blockade or disturbance of the arginine– vasopressin system. A typical withdrawn AED carbamaze- pine, for example, enhances the antidiuretic effect of the arginine–vasopressin system. 5.3 Clinical Presentation None. 5.4 Imaging Non space-occupying symmetric lesion in the center of the splenium with reduced diffusion. There is no contrast enhancement. Complete or near-complete regression on fol- low-up MRI within 1–2 weeks (Nelles et al. 2006) (Fig. 7). Some authors consider high-altitude cerebral edema (HACE) a reversible splenium lesion, although MRI in HACE typically show a splenium lesion with increased Fig. 4 MRI in a 31 year old patient with a generalized tonic–clonic seizure as first manifestation of multiple sclerosis. MRI shows multiple periventricular and juxtacortical demyelinating lesions (a–e). Many lesions are contrast-enhancing with some of the larger lesions displaying a so-called open-ring sign (b, f: hollow arrows). If MS patients present with epileptic seizures, a pattern with (confluent) lesions lining the temporal horns is often found (a, d, e: arrows) Other Epilepsy-Associated Diseases and Differential Diagnoses 251
  • 251.
    diffusion and additionalcorpus callosum and white matter microbleeds (Kallenberg et al. 2008). 6 MRI Changes in Antiepileptic Drug Therapy Numerous AEDs are prescribed either as mono- or as combined drug therapy (Nicholas et al. 2012; Hamer et al. 2012). Of those, AED that may elicit MRI changes are briefly mentioned here. 6.1 Carbamazepine Carbamazepine is the most often prescribed drug in the treatment of focal epilepsies. The exact mechanism of action is unknown; general suppression of EEG activity is likely (Jokeit et al. 2001). Typical side effects are nystag- mus, dizziness, and ataxia, which are dose-dependent and related to the degree of pre-existing cerebellar atrophy (Specht et al. 1997). Most common MRI changes are so- called reversible splenium lesions which are likely due to rapid carbamazepine withdrawal (Fig. 7). 6.2 Phenytoin Phenytoin is widely used for the treatment of focal and generalized seizures and convulsive status epilepticus. Prescription frequency, however, is decreasing (Nicholas et al. 2012; Hamer et al. 2012). Side effects of long-lasting phenyoin therapy are cerebellar atrophy, causing ataxia, tremor, nystagmus, diplopia, reversible splenium lesions, cranial vault thickening, and gingival overgrowth (Fig. 8). Cerebellar atrophy is likely caused by direct toxic effects (Laxer et al. 1980; Luef et al. 1994). Cases with reversible splenium lesions or with leucoencephalopathy likely due to deficiency of the enzyme methylenetetrahydrofolate reductase (MTHFR) have been described (Kim et al. 1999; Arai and Osaka 2011). 6.3 Valproate Valproate is a broad-spectrum AED and primarily used in idiopathic generalized epilepsies. The mechanism of action is not fully clear; effects include GABAergic inhibition and attenuation of glutamergic excitation. Significant side effects are liver toxicity and teratogenicity. Neurological Fig. 5 MRI in a 49 year old woman with relapsing–remitting multiple sclerosis and a generalized tonic–clonic seizure. MRI shows multiple periventricular demyelinating lesions (a, c) and a large temporo-occipital contrast-enhancing lesion with open-ring sign, which extends from the periventricular region to the U-fibers (b: arrow) 252 H. Urbach
  • 252.
    side effects aretremor, parkinsonism, drowsiness, lethargy, and confusion. On MRI, T1-hyperintense basal ganglia and cortical lesions reflecting hyperammonemic encephalopathy (Grubben et al. 2004) and widened CSF spaces, which dis- appear after valproate withdrawal (pseudoatrophy) (Evans et al. 2011) may be observed. 6.4 Vigabatrin Vigabatrin is an AED that acts by irreversibly inhibiting c-aminobutyric acid transaminase (GABA transaminase). It is used in infantile spasms, particularly in patients with tuberous sclerosis and drug-resistant complex focal seizures (Pearl et al. 2009). Usually, it is well tolerated. MRI Fig. 6 Axial (a) and coronal (b) reformatted T1-weighted gradient echo, axial FLAIR (c), and coronal T2-weighted images (d) in a 35 year old woman with chorea–acathocytosis. First manifestation of the disease were epileptic seizures. Later on, the patient also developed chorea and facial dyskinesias. MR images show moderate caudate head atrophy (a, b: arrows) with some enlargement but without ballooning of the anterior horns. Caudate head and putaminal atrophy can be easily missed on visual inspection but are highlighted by volumetric MRI analysis (d, e) (Huppertz et al. 2008). Courtesy of Huppertz HJ, Swiss Epilepsy Centre, Zurich, Switzerland Other Epilepsy-Associated Diseases and Differential Diagnoses 253
  • 253.
    Fig. 7 ‘‘Reversible’’splenium lesions: non space-occupying cytotoxic edema within the center of the splenium after antiepileptic drug withdrawl for presurgical evaluation (a–d: arrow) and due to lymphocytic encephalitis (e, f: arrow), respectively 254 H. Urbach
  • 254.
    changes have occasionallybeen described and consist of bilateral symmetric lesions with usually reversible cytotoxic edema in the thalami, tegementum of the midbrain, globi pallidi, and dentate nuclei. Despite these changes, patients are usually asymptomatic (Iyer et al. 2011; Simao et al. 2011; Pearl et al. 2009). No specific MRI changes have been described for the newer AED including Levetiracetam, Lamotrigine, Topir- amate, and Gabapentin. References Al-Asmi A, Jansen AC, Badhwar A et al (2005) Familial temporal lobe epilepsy as a presenting feature of choreoacanthocytosis. Epilepsia 46:1256–1263 Arai M, Osaka H (2011) Acute leukoencephalopathy possibly induced by phenytoin intoxication in an adult patient with methylenete- trahydrofolate reductase deficiency. Epilepsia 52:e58–e61 Bader B, Vollmar C, Ackl N, Ebert A, la Fougere C, Noachtar S, Danek A (2011) Bilateral temporal lobe epilepsy confirmed with intracranial EEG electrodes in chorea–acanthocytosis. Seizure 20:340–342 Bartsch T, Deuschl G (2010) Transient global amnesia: functional anatomy and clinical implications. Lancet Neurol 9(2):205–214 Bartsch T, Alfke K, Stingele R, Rohr A, Freitag-Wolf S, Jansen O, Deuschl G (2006) Selective affection of hippocampal CA-1 neurons in patients with transient global amnesia without long- term sequelae. Brain 129(Pt 11):2874–2884 Bilo L, Meo R, Ruosi P, de Leva MF, Striano S (2009) Transient epileptic amnesia: an emerging late-onset epileptic syndrome. Epilepsia 50(Suppl 5):58–61 Brownell B, Hughes JT (1962) The distribution of plaques in the cerebrum in multiple sclerosis. J Neurol Neurosurg Psychiatry 25:315–320 Butler CR, Graham KS, Hodges JR, Kapur N, Wardlaw JM, Zeman AZ (2007) The syndrome of transient epileptic amnesia. Ann Neurol 61:587–598 Butler CR, Bhaduri A, Acosta-Cabronero J, Nestor PJ, Kapur N, Graham KS, Hodges JR, Zeman AZ (2009) Transient epileptic amnesia: regional brain atrophy and its relationship to memory deficits. Brain 132(Pt 2):357–368 Calabrese M, De Stefano N, Atzori M et al (2008) Extensive cortical inflammation is associated with epilepsy in multiple sclerosis. J Neurol 255(4):581–586 Della Marca G, Dittoni S, Pilato F, Profice P, Losurdo A, Testani E. Colicchio S, Gnoni V, Colosimo C, Di Lazzaro V (2010) Teaching neuroimages: transient epileptic amnesia. Neurology 75(10):e47–e48 Dobson-Stone C, Velayos-Baeza A, Filippone LA et al (2004) Chorein detection for the diagnosis of chorea–acanthocytosis. Ann Neurol 56:299–302 Echlin F, Battista J (1963) Epileptiform seizures from chronic isolated cortex. Arch Neurol 9:154–170 Evans MD, Shinar R, Yaari R (2011) Reversible dementia and gait disturbance after prolonged use of valproic acid. Seizure 20(6):509–511 Fisher CM, Adams RD (1964) Transient global amnesia. Acta Neurol Scand 40:1–83 Freemann JL, Coleman LT, Smith LJ, Shield LK (2002) Hemicon- vulsion–hemiplegia–epilepsy syndrome: characteristic early mag- netic resonance imaging findings. J Child Neurol 17:10–16 Gastaut H, Poirier F, Payan H, Salamon G, Toga M, Vigoroux M (1960) H.H.E. syndrome; hemiconvulsions, hemiplegia, epilepsy. Epilepsia 1:418 Geurts JJ, Bo L, Pouwels PJ et al (2005) Cortical lesions in multiple sclerosis: combined postmortem MR imaging and histopathology. AJNR 26:572–577 Grubben B, De Jonghe P, Cras P, Demey HE, Parizel PM (2004) Valproate-induced hyperammonemic encephalopathy: imaging findings on diffusion-weighted MRI. Eur Neurol 52(3):178–181 Hamer HM, Dodel R, Strzelczyk A, Balzer-Geldsetzer M, Reese JP, Schöffski O, Graf W, Schwab S, Knake S, Oertel WH, Rosenow F, Kostev K (2012) Prevalence, utilization, and costs of antiepileptic drugs for epilepsy in Germany—a nationwide population-based study in children and adults. J Neurol 2012 Apr 28 [Epub ahead of print] Huppertz HJ, Kröll-Seger J, Danek A, Weber B, Dorn T, Kassubek J (2008) Automatic striatal volumetry allows for identification of patients with chorea–acanthocytosis at single subject level. J Neural Transm 115:1393–1400 Fig. 8 Sequelae of long-lasting phenytoin therapy in a 38 year old woman who presented with epileptic seizures 22 years ago and was taking phenytoin since this time. Marked cerebellar atrophy (b, c: arrows) and distinct cranial vault thickening (a, b: hollow arrows) are distinct imaging features Other Epilepsy-Associated Diseases and Differential Diagnoses 255
  • 255.
    Iyer RS, ChaturvediA, Pruthi S, Khanna PC, Ishak GE (2011) Medication neurotoxicity in children. Pediatr Radiol 41:1455–1464 Jokeit H, Okujava M, Woermann FG (2001) Carbamazepine reduces memory induced activation of mesial temporal lobe structures: a pharmacological fMRI-study. BMC Neurol 18:1–6 Jung HH, Danek A, Walker RH (2011) Neuroacanthocytosis syn- dromes. Orphanet J Rare Dis 6:68 Kallenberg K, Dehnert C, Dörfler A, Schellinger PD, Bailey DM, Knauth M, Bärtsch PD (2008) Microhemorrhages in nonfatal high- altitude cerebral edema. J Cereb Blood Flow Metab 28:1635–1642 Kapur N (1993) Transient epileptic amnesia—a clinical update and a reformulation. J Neurol Neurosurg Psychiat 56:1184–1190 Kelley BJ, Rodriguez M (2009) Seizures in patients with multiple sclerosis: epidemiology, pathophysiology and management. CNS Drugs 23:805–815 Kim SS, Chang KH, Kim ST et al (1999) Focal lesion in the splenium of the corpus callosum in epileptic patients: antiepileptic drug toxicity? AJNR Am J Neuroradiol 20:125–129 Laxer KD, Robertson LT, Julien RM, Dow RS (1980) Phenytoin: relationship between cerebellar function and epileptic discharges. Adv Neurol 27:415–427 Lebrun C (2006) Epilepsy and multiple sclerosis. Epileptic Disord 8:555–558 Luef G, Chemelli A, Birbamer G, Aichner F, Bauer G (1994) Phenytoin overdosage and cerebellar atrophy in epileptic patients: clinical and MRI findings. Eur Neurol 34(Suppl 1):79–81 Nakada T, Kwee IL, Fujii Y, Knight RT (2005) High-field, T2-reversed MRI of the hippocampus in transient global amnesia. Neurology 64:1170 Nelles M, Bien CG, Kurthen M, von Falkenhausen M, Urbach H (2006) Transient splenium lesions in presurgical epilepsy patients: incidence and pathogenesis. Neuroradiology 48:443–448 Nicholas JM, Ridsdale L, Richardson MP, Ashworth M, Gulliford MC (2012) Trends in antiepileptic drug utilisation in UK primary care 1993–2008: Cohort study using the General Practice Research Database. Seizure 21(6):466–470 Nicoletti A, Sofia V, Biondi R et al (2003) Epilepsy and multiple sclerosis in Sicily: a population-based study. Epilepsia 44: 1445–1448 Nyquist PA, Cascino GD, Rodrigue M (2001) Seizures in patients with multiple sclerosis seen at Mayo Clinic, Rochster, Minn, 1990–1998. Mayo Clin Proc 76:983–986 Nyquist PA, Cascino GD, McClelland RL et al (2002) Incidence of seizures in patients with multiple sclerosis: a population-based study. Mayo Clin Proc 77:910–912 Olafsson E, Benedikz J, Hauser WA (1999) Risk of epilepsy in patients with multiple sclerosis: a population-based study in Iceland. Epilepsia 40:745–747 Pearl PL, Vezina LG, Saneto RP et al (2009) Cerebral MRI abnormalities associated with vigabatrin therapy. Epilepsia 50:184–194 Schaffer AJ (1927) The etiology of infantile acquired hemiplegia. Arch Neurol Psychiatry 18:323 Scheid R, Bader B, Ott DV, Merkenschlager A, Danek A (2009) Development of mesial temporal lobe epilepsy in chorea–acantho- cytosis. Neurology 73:1419–1422 Sedlaczek O, Hirsch JG, Grips E, Peters CNA, Gass A, Wöhrle J, Hennerici M (2004) Detection of delayed focal MR changes in the lateral hippocampus in transient global amnesia. Neurology 62:2165 Simao GN, Zarei Mahmoodabadi S, Snead OC, Go C, Widjaja E (2011) Abnormal axial diffusivity in the deep gray nuclei and dorsal brain stem in infantile spasm treated with vigabatrin. AJNR Am J Neuroradiol 32:199–203 Specht U, May TW, Rohde M, Wagner V, Schmidt RC, Schütz M, Wolf P (1997) Cerebellar atrophy decreases the threshold of carbamazepine toxicity in patients with chronic focal epilepsy. Arch Neurol 54(4):427–431 Velayos-Baeza A, Vettori A, Copley RR, Dobson-Stone C, Monaco AP (2004) Analysis of the human VPS13 gene family. Genomics 84:536–549 Viveiros CD, Alvarenga RM (2010) Prevalence of epilepsy in a case series of multiple sclerosis patients. Arq Neuropsiquiatr 68:731– 736 Zeman AZ, Boniface SJ, Hodges JR (1998) Transient epileptic amnesia: a description of the clinical and neuropsychological features in 10 cases and a review of the literature. J Neurol Neurosurg Psychiatry 64:435–443 256 H. Urbach
  • 256.
    Postsurgical MRI Marec vonLehe and Horst Urbach Contents 1 Extended Lesionectomy ...................................................... 257 1.1 Indications.............................................................................. 257 1.2 Surgical Techniques .............................................................. 257 1.3 Imaging .................................................................................. 257 2 Amygdalohippocampectomy and Anterior Temporal Lobectomy ............................................................................ 258 2.1 Indications.............................................................................. 258 2.2 Surgical Techniques .............................................................. 258 2.3 Imaging .................................................................................. 260 3 Functional Hemispherectomy or Hemispherotomy......... 260 3.1 Indications.............................................................................. 260 3.2 Surgical Techniques .............................................................. 261 3.3 Imaging .................................................................................. 263 4 Corpus Callosotomy ............................................................ 263 4.1 Indications.............................................................................. 263 4.2 Surgical Technique................................................................ 264 4.3 Imaging .................................................................................. 264 5 Multiple Subpial Transsections.......................................... 265 5.1 Indications.............................................................................. 265 5.2 Surgical Technique................................................................ 265 5.3 Imaging .................................................................................. 265 References...................................................................................... 265 Abstract The goal of the surgical procedure is to resect or disconnect the epileptogenic area, defined as the cortex area indispensable for the generation of seizures. The epileptogenic area is—among others and, depending on the pathological substrate of the lesion—often larger than the epileptogenic lesion itself, so that extended lesionectomy (e.g., with a 5–10-mm rim of perilesional tissue) is performed. Several standardized neurosurgical procedures have been developed and refined to date. 1 Extended Lesionectomy 1.1 Indications Focal epilepsy caused by a cortical lesion is a heterogeneous group of disorders that arises from a variety of pathologies and from different anatomical areas. The presurgical workup determines the focal origin (a critical prerequisite) and the resection strategy. In addition to the evaluation of clinical parameters, different imaging modalities are applied; in some cases, an invasive workup with implanted electrodes is nec- essary. In each case, the spatial relationship of the lesion to eloquent cortex areas is the most important parameter influ- encing the surgical strategy (Schramm and Clusmann 2008). The decision making is—as always in epilepsy sur- gery—a multidisciplinary process and at the end results in the best possible counseling of the patient about the benefits (chance of freedom from seizures) and risks (neurological and neuropsychological deficits). 1.2 Surgical Techniques The aim of epilepsy surgery is to resect as much tissue as deemed necessary to provide complete seizure relief with- out causing unacceptable permanent neurological damage. M. von Lehe Department of Neurosurgery, University of Bonn, Bonn, Germany H. Urbach (&) Department of Neuroradiology, University Hospital Freiburg, Germany e-mail: horst.urbach@uniklinik-freiburg.de H. Urbach (ed.), MRI in Epilepsy, Medical Radiology. Diagnostic Imaging, DOI: 10.1007/174_2012_775, Ó Springer-Verlag Berlin Heidelberg 2013 257
  • 257.
    The typical extendedlesionectomy includes a 5–10-mm rim of ‘‘unaffected tissue.’’ In some cases of well-circumscribed lesions (e.g., focal cortical dysplasia type IIB), just a pure lesionectomy without extension (but possibly combined with MST; see below) is feasible due to the close rela- tionship with eloquent cortex areas. Principles of the resection are independent of the pathology or location and can be done even in highly elo- quent areas with adequate safety (von Lehe et al. 2009). After identification of the area to be removed (neuronavi- gation, electrocorticography, and results of invasive EEG are determinants), the subpial removal of the gray matter is performed. The sulci with the passing vascular structures are carefully preserved as well as the surrounding cortical areas, as such injury may cause neurological deficits or seizures itself. The removal of underlying white matter will not improve seizure control and may cause deficits due to injury to passing fibers. In neocortical temporal lesionectomies, an extension may include the resection of the mesial structures (hippo- campus, amygdala), depending on the presurgical workup. 1.3 Imaging The extent of resection should be ideally controlled with postsurgical MRI. The goal is to prove the complete resection of the lesion, to exclude surgical complications, and to serve as the base for follow-up MRI imaging in case neoplastic lesions occur. If there are no clinical reasons for immediate postsurgical MRI, it is ideally performed about 3 months after surgery, when acute surgery-related changes have regressed (See Fig. 1). 2 Amygdalohippocampectomy and Anterior Temporal Lobectomy 2.1 Indications Mesial temporal lobe epilepsy is the most frequent form of refractory focal epilepsy, and hippocampal sclerosis is the typical underlying histopathological substrate. In addition to extended lesionectomies in the temporal lobe, there are so- called standard resections, such as the anterior temporal lobectomy and the selective amygdalohippocampectomy. With improved imaging techniques and more experience in presurgical workup, limited surgical strategies have evolved over the last decades (Clusmann et al. 2002, 2006). Never- theless, standard temporal lobectomy is still used in many centers to resect the epileptogenic focus. 2.2 Surgical Techniques The classic temporal lobectomy (‘‘two-third anterior lobec- tomy’’) usually combines neocortical resection with removal of the mesial structures (Nayel et al. 1991). The typical length of the resection from the temporal pole is 5.5 cm in the nondominant hemisphere and 4.5 cm in the dominant hemisphere. Usually, the surgical technique comprises two steps: First, the neocortical block and the underlying white matter are removed, with subsequent opening of the temporal horn of the lateral ventricle. After that, mesial structures (uncus, amygdala, hippocampus, and parahippocampal gyrus) are removed by subpial dissection (Fig. 2). Fig. 1 Lesionectomy of an FCD IIB of the right postcentral gyrus. a shows a bottom of sulcus dysplasia with the funnel-shaped hyperintensity tapering to the lateral ventricle (a arrow), b and c the resection cavity. Arrows in c point to the hand knobs of the precentral gyri 258 M. von Lehe and H. Urbach
  • 258.
    Many variations ofthe surgical steps have been described. A well-known variant is the ‘‘Spencer technique,’’ with limited anteriorneocorticalresectionforaccesstothemesialstructures (‘‘one-third anterior lobectomy’’) (Spencer et al. 1984). With clear-cut temporomesial seizure onset, a limited mesial resection without the removal of neocortical struc- tures is appropriate. Strictly speaking, the selective amy- gdalohippocampectomy comprises removal of the head and body of the hippocampus, amygdala, uncus, and parahip- pocampal gyrus. Yasargil et al. introduced the widely applied transsylvian approach (Yasargil et al. 1985). It comprises the followings steps: pterional craniotomy approximately 5 cm in diame- ter; microsurgical dissection of the Sylvian fissure (2.5–3 cm); entering the inferior circular sulcus to approach the temporal horn of the lateral ventricle through the tem- poral stem with the choroid plexus as landmark for orien- tation; resection of the mesial structures (see above); the area of the maximum brain stem diameter is the intended dorsal resection border (Figs. 3, 4). Olivier introduced the transcortical approach, in which the route to the temporal horn is different: A 3-cm crani- otomy is centered on the projection of the middle temporal gyrus. After a 2-cm corticotomy, the temporal horn is approached through the white matter with the aid of neu- ronavigation (Olivier 2000). Another approach is the subtemporal approach, in which the route to the temporal horn is from the base of the temporal lobe (Hori et al. 1993; Thudium et al. 2010) (Fig. 5). The rationale behind selective approaches as compared to (anterior) temporal lobectomies is to achieve similar seizure freedom rates while minimizing neuropsychological deficits. It has been shown that seizure freedom rates are comparable between selective amygdalohippocampecto- mies and anterior temporal lobectomies, and sparing non- lesional tissue is beneficial for the neuropsychological outcome. Verbal memory deficits are common after left- sided surgery and visual memory deficits after right-sided surgery (2008, 2011a, von Rhein et al. 2012). Interestingly, the resection length of the hippocampus (2.5 cm compared to 3.5 cm) is not relevant for the seizure outcome, but longer resections are associated with a poorer memory outcome (Hemstaedter et al. 2011b). Another concern after all types of temporal resection is postoperative visual field deficits caused by intraoperative damage or ischemia of parts of the optic radiation. The anterior part of the optic radiation (‘‘Meyer’s loop’’) runs around the temporal horn, shows some interindividual vari- ation, and is likely damaged when approaching the temporal horn before resecting the amygdala, hippocampus, and parahippocampal gyrus (Yeni et al. 2008; Renowden et al. 1995; Ebeling and Reulen 1988; Sincoff et al. 2004; Thudium et al. 2010). Even in seizure-free patients, visual field defects may prevent driving and thus diminish quality of life. Despite the more selective nature of selective amygdalohippocamp- ectomy, significant visual field defects such as incomplete or even complete quadrantanopia have been described in up to 37 % (Yeni et al. 2008) and even 53 % (Renowden et al. 1995) of cases. With the subtemporal approach and a more basal entry into the temporal horn, more optical track fibers are likely spared, leading to a reduced rate of significant visual field defects (Thudium et al. 2010). Fig. 2 Anterior temporal lobectomy in a 19 year old patient MRI- negative patient. ( A: sagittal 1 mm thick T1-weighted gradient echo, B: axial 2 mm thick FLAIR, C: coronal 2 mm thick T2-weighted image). The patient was operated following intrahippocampal depth and subdural electrode implantation. Histology was unrevealing, but the patient is seizure free 2 years after surgery. MRI at this time showed a 5.5 cm measuring resection cavity on the right side including amygdala and hippocampal resection Postsurgical MRI 259
  • 259.
    2.3 Imaging MRI isperformed to prove the extent of resection (removal of the amygdala, removal of the hippocampus with the maximum brain stem diameter as the intended dorsal resection border, removal of the parahippocampal gyrus). Sometimes small infarcts of perforating arteries arising from the posterolateral or anterior choroidal or from thala- mogeniculate arteries, branches of the P2 segment of the posterior cerebral artery, are found (Fig. 6). Usually, these small infarcts cause (sometimes transient) neurological deficits. MRI signal intensity changes adjacent to the approach are labeled ‘‘collateral changes’’ (Figs. 3, 4). It has been shown that these changes are correlated with memory decline, particularly verbal learning and recognition deficits (Helmstaedter et al. 2003). 3 Functional Hemispherectomy or Hemispherotomy 3.1 Indications A functional hemispherectomy, or hemispherotomy, is indicated when congenital or early acquired unilateral lesions of the entire or major parts of a hemisphere are associated with severe, medically intractable seizures. Typical lesions are congenital or early acquired hemi- spheric infarcts (mostly MCA) with large porencephalic lesions, Rasmussen encephalitis, hemimegalencephaly, large hemispheric dysplasias, and Sturge–Weber disease. The chance of seizure freedom following hemispheric surgery depends on the etiology and can be as high as 95 % in patients with porencephalic lesions (Schramm et al. 2012). Fig. 3 Selective amygdalohippocampectomy (sAH) via a transsyl- vian approach. a shows a left-sided hippocampal sclerosis (open arrow), b–f the resection cavity 1 year following surgery. Amygdala, hippocampus, and parahippocampalis have been removed; some ‘‘collateral damage’’ with gliosis along the superior temporal gyrus is best visible on coronal slices (b, f arrows) 260 M. von Lehe and H. Urbach
  • 260.
    Whether a preexistinghemiparesis will deteriorate postoper- atively mainly depends on the timing of the insult and the preoperative motor capacity. If the lesion is acquired very early (fetal, perinatal), it is assumed that ipsilateral cortico- spinal fibers compensate for the loss of motor function. If the patient is able to perform fine finger movements (e.g., pincer movement), pure ipsilateral innervation is unlikely and hemiparesis—mainly hand function—is likely to deteriorate. If not preexisting, patients always acquire homonymous hemianopia. Presurgical workup proves the unilateral seizure onset and in patients with advanced language development con- tralateral speech representation. After early left hemispheric damage, language areas will be transferred to the healthy hemisphere; in case of later disease onset (e.g., Rasmussen encephalitis), fMRI or a Wada test is required. 3.2 Surgical Techniques Anatomical hemispherectomy was first performed by Dandy in 1928 for the treatment of gliomas and by McKenzie in 1938 for the treatment of epilepsy. Due to severe short- and long-term mortality, the hemispheric surgery became less and less resective and more and more disconnective (Rasmussen 1983). Apart from intraoperative blood loss, the major concerns were early and late hydro- cephalic complications. Modern hemispherotomy tech- niques almost exclusively disconnect the affected hemisphere without leaving large resection cavities behind (Villemure and Daniel 2006; Delalande et al. 2007; Sch- ramm et al. 2012). Rasmussen developed a technique called ‘‘functional hemispherectomy’’ with resection of the central cortex and Fig. 4 Selective amygdalohippocampectomy (sAH) via a subtempo- ral approach. a and b show a left sided hippocampal sclerosis (open arrow), c-f the resection cavity one year following surgery. Amygdala, hippocampus and parahippocampal gyrus have been removed, the subtemporal ,,window‘‘ is marked with lines (d, e). Some ,,collateral damage‘‘ with gliosis is visible at the base of the temporal lobe (f: arrows) Note secondary atrophy of the left mamillary body when comparing its size pre and post surgery (b, c: arrow) Postsurgical MRI 261
  • 261.
    temporal lobectomy combinedwith callosotomy and dis- connection of the frontal and parieto-occipital brain (Rasmussen 1983). Villemure described a perisylvian technique with resection of the frontal and temporal opercula and underlying white matter, disconnection of the frontobasal white matter, mesial disconnection through the corpus callosum, and temporomesial disconnection with resection of the amygdala and anterior hippocampus (Villemure and Mascott 1995). Delalande introduced a vertical parasagittal approach with opening of the roof of the lateral ventricle, callosotomy, anterior disconnection through the frontobasal white matter, and disconnection of the insular cortex and hemispheric white matter by dis- section from the lateral ventricle through the lateral parts of the basal ganglia block to the mesial aspect of the temporal lobe (Delalande et al. 1992). Schramm introduced a transsylvian transventricular approach consisting of the following steps: transsylvian exposure of the insular cortex; resection of amygdala and hippocampus; opening of the lateral ventricle through the circular sulcus of the insula from the tip of the temporal horn to the tip of the frontal horn; frontobasal disconnection along the anterior cerebral Fig. 5 A 29 year old man complained of right-sided ,,pain‘‘ of the body and face following left-sided subtemporal amygdalohippocam- ectomy. MRI (a: axial 5 mm DWI slice, b-c: coronal 3 mm FLAIR slices) shows an acute thalamus infact likely due to injury of the thalamogeniculate arteries arising from the P2-sgement of the posterior cerebral artery Fig. 6 Schematic approaches for selective amgydalahippocamepctomy: transsylvian apporach (blue), trancortical approach with corticotomy of the medial temporal gyrus (red), and subtemporal approach (green) 262 M. von Lehe and H. Urbach
  • 262.
    artery; transventricular callosotomy;resection of the insular cortex (Schramm et al. 1995). 3.3 Imaging Postoperative MRI is performed in order to prove the com- pleteness of the disconnection of the whole hemisphere along the intended route (Fig. 7). The seizure outcome might be worse if cortical areas are still connected (e.g., critical areas like the frontobasal or insular cortex). The above-mentioned modern disconnective techniques avoid larger resections so that the postoperative MRI shows intact cortical and sub- cortical structures. Larger disconnected ischemic areas may lead to brain swelling with a midline shift but remain without any effect on the seizure outcome postoperatively. Some- times early hydrocephalic complications may occur due to the large opening of the ventricular system. Depending on the surgical technique, the rate of late postoperative hydrocephalus is up to 20 %. Resective pro- cedures have a significant higher rate of hydrocephalic complications and shunt rates. Some patients may show traction of midline structures into the disconnected and atrophic hemisphere in midterm follow-up and may be a reason for headaches. 4 Corpus Callosotomy 4.1 Indications Corpus callosotomy is a palliative procedure for patients with intractable focal epilepsy who are not suitable for resective surgery. The rationale for the disconnecting procedure is to prevent the fast spread of epileptic activity from one hemi- sphere to the other. Uncontrolled generalized epilepsy with Fig. 7 Schematic drawing (a) and an example (b-d) of a transsylvian, transventricular functional hemispherotomy according to Schramm. A 50 year old woman with secondarily generalized seizures since early childhood showed a right hemispheric porencephalic defect (pre-operative MRI not shown). Functional hemispherotomy comprised the following steps: Transsylvian approach. Resection of the temporo-mesial structures including amygdala and hippocampus (a: circle). Transcortical access to the ventricular system along the circular sulcus of the insula from the tip of the temporal horn to the tip of the frontal horn (a: long stripes), preserving the branches of the middle cerebral artery. Fronto-basal disconnection along the anterior cerebral artery (a: short stripe, d: arrow). Transventricular callosotomy following the pericallosal artery (b: arrows). Completion of the disconnection from the trigone following the outline of the falco-tentorial border to the temporo-mesial resection cavity (c: arrow). Resection of the insular cortex Postsurgical MRI 263
  • 263.
    atonic or tonicseizures originating in one hemisphere (‘‘drop-attacks’’) with a high risk of injury often responds well in terms of reduced generalized seizure frequency. Most patients are categorized as having Lennox-Gastaux syn- drome. Only a few patients become completely seizure-free after surgery (Cukiert et al. 2006), and sometimes severe side effects, such as a disconnection syndrome, occur. Due to modern antiepileptic drug medication and the use of vagal nerve stimulators, callosotomy is only rarely performed to date but still has its place in desolate seizure situations. 4.2 Surgical Technique After dissection of the interhemispheric cleft with preser- vation of the interhemispheric arteries and bridging veins, the complete callosum should be exposed for anatomic orientation. The white matter of the callosum is the visual guide of the disconnective step of the procedure until the ependym is visible. Neuronavigation is a very helpful adjunct to define the posterior border of the callosotomy. Here, the vein of Galen will be visualized after transecting the splenium. In some centers a staged approach was developed with an anterior callosotomy (two-thirds) performed as first step. If this fails to improve seizure control, complete discon- nection is performed (Spencer and Spencer 1989). Different radiosurgical approaches have been published in the last decade (Pendl et al. 1999). 4.3 Imaging Postoperative MRI is performed in order to prove the extent of the disconnection (two-thirds or complete) (Fig. 8). Hydrocephalus may be present as a complication due to Fig. 8 Posterior callosotomy in a 15 year old boy with bilateral posterior parasagittal ulegyria, a hypoxic ischemic encephalopathy often due to neonatal hypoglycemia. The goal of callosotomy was to prevent atonic seizures induced by rapid epileptic discharges propagating from hemisphere to the other. The extent of callosal removal is assessed on sagittal T1-weighted images (a: lines). Posterior parasagittal ulegyria shows shrunken and gliotic gyri, enlarged sulci, white matter gliosis and volume loss (b-f) 264 M. von Lehe and H. Urbach
  • 264.
    intraventricular blood; deepvein thrombosis has been reported as a rare complication. 5 Multiple Subpial Transsections 5.1 Indications Multiple subpial transsections (MST) are a disconnective procedure, introduced by Morrell and co-workers, to treat focal epilepsy in ‘‘unresectable’’ eloquent cortex (Morrell et al. 1989). The procedure is based upon experimental evidence indicating that epileptogenic discharge requires substantial side-to-side or horizontal interaction of cortical neurons and that the major functional properties of cortical tissue depend upon the vertical fiber connections of the columnar units. MST are mostly combined with resective surgery near eloquent cortex (Spencer et al. 2002). The effect on seizure outcome as a standalone procedure is measurable and may be considered as palliative surgery (Schramm et al. 2002). Some authors propose MST in children with Landau- Kleffner syndrome, but the results are variable (Cross and Neville 2009). 5.2 Surgical Technique The cortical area for MST is defined anatomically (neuro- navigation is essential) and/or electrophysiologically with intraoperative eletrocorticography. The subpial transsec- tions are performed with specially designed knives (Morrell et al. 1989). After a small pial opening, intragriseal inci- sions spaced at 5-mm intervals are placed over the crown of the cortical gyri, perpendicular to the long axis of the respective gyrus. MST (and cortical resection) are guided by repeated eletrocorticography. Morrell et al. used awake craniotomy for functional mapping in some patients. 5.3 Imaging On MRI, subpial transsections are displayed as thin strips isointense to CSF that are oriented perpendicularly to the cortical surface (Fig. 9). References Clusmann H, Kral T, Schramm J (2006) Present practice and perspective of evaluation and surgery for temporal lobe epilepsy. Zentralbl Neurochir 67(4):165–182 Clusmann H, Schramm J, Kral T et al (2002) Prognostic factors and outcome after different types of resection for temporal lobe epilepsy. J Neurosurg 97(5):1131–1141 Cross JH, Neville BG (2009) The surgical treatment of Landau– Kleffner syndrome. Epilepsia 50(Suppl 7):63–67 Cukiert A, Burattini JA, Mariani PP et al (2006) Extended, one-stage callosal section for treatment of refractory secondarily generalized epilepsy in patients with Lennox–Gastaut and Lennox-like syn- dromes. Epilepsia 47(2):371–374 Delalande O, Bulteau C, Dellatolas G et al (2007) Vertical parasagittal hemispherotomy: surgical procedures and clinical long-term out- comes in a population of 83 children. Neurosurgery 60(2 Suppl 1):ONS19–ONS32 Delalande O, Pinard JM, Basdevant C et al (1992) Hemispherotomy: a new procedure fro central disconnection. Epilepsia 33(Suppl3): 99–100 Ebeling U, Reulen HJ (1988) Neurosurgical topography of the optic radiation in the temporal lobe. Acta Neurochir (Wien) 92:29–36 Egan RA, Shults WT, So N et al (2000) Visual field deficits in conventional anterior temporal lobectomy versus amygdalohippo- campectomy. Neurology 55:1818–1822 Fig. 9 Multiple subpial transsections in a 26 year old woman with a subtotally resected FCD IIB of the left parietal lobe extending into the prescentral gyrus (c: open arrow). The subpial transsections are visualized as thin stripes in the postcentral gyrus which are isointense to CSF and oriented perpendicular to the cortical surface (a-c: arrows) Postsurgical MRI 265
  • 265.
    Helmstaedter C, PetzoldI, Bien CG (2011a) The cognitive conse- quence of resecting nonlesional tissues in epilepsy surgery—results from MRI- and histopathology-negative patients with temporal lobe epilepsy. Epilepsia 52(8):1402–1408 Helmstaedter C, Van Roost D, Clusmann H et al (2004) Collateral brain damage, a potential source of cognitive impairment after selective surgery for control of mesial temporal lobe epilepsy. J Neurol Neurosurg Psychiatry 75:323–326 Helmstaedter C, Richter S, Röske S et al (2008) Differential effects of temporal pole resection with amygdalohippocampectomy versus selective amygdalohippocampectomy on material-specific memory in patients with mesial temporal lobe epilepsy. Epilepsia 49(1):88–97 Helmstaedter C, Roeske S, Kaaden S et al (2011b) Hippocampal resection length and memory outcome in selective epilepsy surgery. J Neurol Neurosurg Psychiatry 82(12):1375–1381 Helmstaedter C, Van Roost D, Clusmann H et al (2004) Collateral brain damage, a potential source of cognitive impairment after selective surgery for control of mesial temporal lobe epilepsy. J Neurol Neurosurg Psychiatry 75:323–326 Hori T, Tabuchi S, Kurosaki M, et al (1993) Subtemporal amygdalo- hippocampectomy for treating medically intractable temporal lobe epilepsy. Neurosurgery 33:50–56 (discussion 56–57) Morrell F, Whisler WW, Bleck TP (1989) Multiple subpial transec- tion: a new approach to the surgical treatment of focal epilepsy. J Neurosurg 70(2):231–239 Nayel MH, Awad IA, Luders H (1991) Extent of mesiobasal resection determines outcome after temporal lobectomy for intractable complex partial seizures. Neurosurgery 29(1):55–60 Olivier A (2000) Transcortical selective amygdalohippocampectomy in temporal lobe epilepsy. Can J Neurol Sci 27(Suppl 1):S68–S76 (discussion S92–S66) Pendl G, Eder HG, Schroettner O, Leber KA (1999) Corpus callosotomy with radiosurgery. Neurosurgery 45(2):303–307 Rasmussen T (1983) Hemispherectomy for seizures revisited. Can J Neurol Sci 10(2):71–78 Renowden SA, Matkovic Z, Adams CB et al (1995) Selective amygdalohippocampectomy for hippocampal sclerosis: postopera- tive MR appearance. AJNR Am J Neuroradiol 16:1855–1861 Schramm J (2002) Hemispherectomy techniques. Neurosurg Clin North Am 37:113–134 Schramm J, Aliashkevich AF, Grunwald T (2002) Multiple subpial transections: outcome and complications in 20 patients who did not undergo resection. J Neurosurg 97(1):39–47 Schramm J, Behrens E, Entzian W (1995) Hemispherical deafferen- tiation: an alternative to functional hemipherectomy. Neurosurgery 36:509–516 Schramm J, Kral T, Clusmann H (2001) Transsylvian keyhole functional hemispherotomy. Neurosurgery 49:891–901 Schramm J, Clusmann H (2008) The surgery of epilepsy. Neurosurgery 62(Suppl 2):463–481 Schramm J, Kuczaty S, Sassen R et al (2012) Pediatric functional hemispherectomy: outcome in 92 patients. Acta Neurochir (Wien) 154(11):2017–2028 Sincoff EH, Tan Y, Abdulrauf SI (2004) White matter fiber dissection of the optic radiations of the temporal lobe and implications for surgical approaches to the temporal horn. J Neurosurg 101:739–746 Spencer DD, Spencer SS (1989) Corpus callosotomy in the treatment of medically intractable secondarily generalized seizures of children. Cleve Clin J Med 56(Suppl Pt 1):S69–S78 Spencer SS, Schramm J, Wyler A et al (2002) Multiple subpial transection for intractable partial epilepsy: an international meta- analysis. Epilepsia 43(2):141–145 Spencer DD, Spencer SS, Mattson RH et al (1984) Access to the posterior medial temporal lobe structures in the surgical treatment of temporal lobe epilepsy. Neurosurgery 15(5):667–671 Thudium MO, Campos AR, Urbach H, Clusmann H (2010) The basal temporal approach for mesial temporal surgery: sparing the Meyer loop with navigated diffusion tensor tractography. Neurosurgery 67:(2 Suppl Operative):385–390 van der Knaap LJ, van der Ham IJ (2011) How does the corpus callosum mediate interhemispheric transfer? A review. Behav Brain Res 223(1):211–221 Villemure JG, Daniel RT (2006) Peri-insular hemispherotomy in paediatric epilepsy. Childs Nerv Syst 22(8):967–981 Villemure JG, Mascott CR (1995) Peri-insular hemispherectomy: surgical principles and anatomy. Neurosurgery 36:509–516 von Lehe M, Wellmer J, Urbach H et al (2009) Insular lesionectomy for refractory epilepsy: management and outcome. Brain 132(Pt 4): 1048–1056 von Rhein B, Nelles M, Urbach H et al (2012) Neuropsychological outcome after selective amygdalohippocampectomy: subtemporal vs. transsylvian approach. J Neurol Neurosurg Psychiatry 83(9): 887–893 Yasßargil MG, Teddy PJ, Roth P (1985) Selective amygdalo-hippo- campectomy. Operative anatomy and surgical technique. Adv Tech Stand Neurosurg 12:93–123 Yeni SN, Tanriover N, Uyanik O et al (2008) Visual field defects in selective amygdalohippocampectomy for hippocampal sclerosis: the fate of Meyer’s loop during the transsylvian approach to the temporal horn. Neurosurgery 63:507–513 266 M. von Lehe and H. Urbach
  • 266.
    Index 0-9 10–20 system, 7 A Acutesymptomatic seizures, 207 Acute symptomatic, 25 Agenetic porencephaly, 196 Agyria, 133 Aicardi syndrome, 151, 155 Alobar, 157 Alpers–Huttenlocher syndrome, 227, 234 Ammon’s horn sclerosis, 91 Amobarbital, 54, 55 Amygdalohippocampectomy, 258 Angiocentric glioma, 109, 112, 115 Angiocentric neuroepithelial tumor (ANET), 112, 115, 186 Anterior temporal lobectomy, 258 Antineuronal antibodies, 101 Arteriovenous malformation (AVM), 185 Astrocytomas, 119, 167 Autoimmune-mediated encephalitis, 101 B Balloon cells, 138–141 Band heterotopia, 147 Bilateral convulsive seizure, 6, 25 Bilateral nodular periventricular heterotopias, 149 Bilateral perisylvian polymicrogryia, 149, 153 Bilateral periventricular, 145 Bilateral periventricular nodular heterotopia, 81 Blood oxygenation level dependent (BOLD), 44 Blood-oxygen-level dependent (BOLD) effect, 46 BPNH, 147 C CADASIL, 204, 205 Café au lait spots, 168 Callosal agenesis, 148, 151 Callosotomy, 262, 264 Capillary telangiectasias, 190, 191 Carbamazepine, 252 Cavernomas, 181–184 Celiac disease, 239–241 Cerebrofacial arteriovenous metameric syndromes, 185 CHARGE syndrome, 155 Chloral hydrate, 38 Choline-containing compounds (Cho), 58 Chorea-acanthocytosis, 248, 250, 253 Choroid plexus, 167, 168 Chronic progressive external ophtalmoplegia (CPEO), 230, 235 Classic lissencephalies, 131 CMV infections, 196 Cobblestone lissencephalies, 131 Cobblestone (type II) lissencephaly, 137 Cognard classification, 188 Complex DNT variants, 112 Complex partial, 5 Congenital arthrogyposis, 150 Congenital muscular dystrophy, 134 Corpus callosotomy, 263 Corpus callosum agnenesis, 149 Cortical dysplasia, 126, 173 Cranial vault thickening, 255 Cryptogenic epilepsies, 15 Cysticercosis, 212, 215, 217 Cytomegalovirus (CMV), 149, 208 D Dermoids, 121, 122 Developmental venous anomaly, 184, 188 Diabetes mellitus, 223, 242 Diffuse axonal brain injury, 179 Diffuse axonal injuries, 177, 180 Diffuse gliomas, 118 Double cortex syndrome, 81 Doublecortin (DCX), 133 Drug-resistant, 3 Dual pathology, 60, 68, 94 Dural arteriovenous fistulae, 188 DVAs, 188, 189 Dyke–Davidoff–Masson syndrome, 196, 223 Dyscognitive seizures, 11 Dysembryoplastic neuroepithelial tumours (DNTs), 109, 110, 113 E Echinococcosis, 215, 216 Electrical stimulation mapping, 43 Electroclinical syndromes, 15, 231 Eloquent cortex, 23 Encephaloclastic porencephaly, 196 Encephalomalacia, 195, 196 H. Urbach (ed.), MRI in Epilepsy, Medical Radiology. Diagnostic Imaging, DOI: 10.1007/978-3-642-17860-3, Ó Springer-Verlag Berlin Heidelberg 2013 267
  • 267.
    Epidermal nevus syndrome,165, 173 Epidermoid, 120, 121 Epigastric aura, 92 Epilepsia partialis continua, 107, 184, 224 Epileptic encephalopathies, 38 Epileptogenic area, 22 Epileptogenic lesion, 21 Epileptogenic zone, 43 Etomidate, 55 Extended lesionectomy, 258 Extension image, 76 F FCD IIB, 144 FCDs IIB, 166 FCDs type 1, 138 FCDs type 2, 138 FCD type 2A, 139, 140 FCD type 2B, 138–140, 142, 143, 145 Febrile seizures, 38 Focal cortical dysplasia (FCD), 60, 67, 73, 77, 138 Fowler syndrome, 195 Fukuyama congenital muscular dystrophy, 134 Functional deficit zones, 23, 63 Functional hemispherectomy, 260, 263 G Gangliogliomas, 109–112 Gelastic seizures, 152 Genetic, 15 Genoa syndrome, 155 Gliomas, 169 Gliomatosis cerebri, 120 Glioneuronal element, 110, 112, 113 Glutamic acid decarboxylase (GAD), 103 Glutaric aciduria type 1, 233 Gluten, 239 Gray matter heterotopia, 81 Gray-white matter demarcation loss, 94, 99, 138, 139, 154 H Hemiatrophy, 197, 200, 246 Hemiconvulsion–hemiplegia–epilepsy, 245 Hemiconvulsion–hemiplegia–epilepsy syndrome, 247 Hemimegalencephaly, 138, 141, 145–147, 173, 260 Hereditary hemorrhagic telangiectasia (Rendu–Osler–Weber syn- drome), 185, 190 Herpes simplex 1 encephalitis, 210, 211 Herpes simplex encephalitis, 212 Herpes simplex virus encephalitis, 208 Herpes simplex virus type 1 (HSV-1) encephalitis, 208 Heschl’s gyrus, 11 Heterotopias, 145, 147, 150, 155, 167, 173 Hippocampal sclerosis, 60, 64, 91–93, 209, 246, 261 Holoprosencephaly, 154, 155, 157 HSV-1, 209 HSV-2, 208 Human herpes virus 6 encephalitis, 210 Hydranencephaly, 193–195 Hypomelanosis of Ito, 141, 165, 172, 173 Hypothalamic hamartomas, 152 Hypoxic-ischemic encephalopathy, 198, 199 I Ictal onset, 63 Ictal onset zone, 64 Ictal SPECT, 64 Idiopathic epilepsies, 15 Incontinentia pigmenti, 173 Incontinentia pigmenti (Bloch–Sulzberger Syndrome), 173 Infantile spasms, 132 Interhemispheric cyst, 151, 155 Irritative area, 23 Isolated lissencephaly (ILS), 132 J Jacksonian seizure, 11 Junction Image, 74 Juvenile myoclonic epilepsy, 61 K Kallmann syndrome, 159, 160 Kearns–Sayre syndrome (KSS), 230, 235, 237 L Landau–Kleffner syndrome, 231 Language fMRI, 46 Leber hereditary optic neuropathy (LHON), 230, 236, 237 Leigh disease, 231, 233 Leigh syndrome, 227 Lennox–Gastaut syndrome, 132, 231, 264 Lesionectomy, 258 Limb girdle muscular dystrophies, 134 Limbic encephalitis, 101, 104, 105 Linear scleroderma (en coup de sabre syndrome), 175 Lines of Blaschko, 173 Lipoid proteinosis (Urbach–Wiethe Syndrome), 175 Lipoproteinosis, 165 Lisch nodules, 169 Lissencephaly, 131, 133, 134 Lobar holoprosencephaly, 157 M Magnetic field strength B0, 29 Magnetic resonance spectroscopy, 57 Magnetization transfer, 41 Malformations of cortical development (MCD), 60, 64, 66, 126 Megalencephaly, 150 MELAS, 232, 234 Memory fMRI, 47 Meningioangiomatosis, 165, 171, 172 Mesial temporal sclerosis, 91 Methohexital, 55 Meyer’s loop, 259 Microcephaly, 126, 129–132, 147, 148 Microlissencephaly, 126 Middle interhemispheric variant of holoprosencephaly, 157 Mild cortical malformations, 139 Miller–Dieker syndrome, 132 Mitochondrial myopathy, encephalopathy with lactic acidosis and stroke-like episodes (MELAS), 227 Mitochondrial neurogastrointestinal nencephalomyopathy (MNGIE) syndrome, 230 Morphometric MRI analysis, 79, 81 268 Index
  • 268.
    Mowat–Wilson syndrome, 131 Moya,171 Moyamoya, 202, 204 MRI negative, 68, 139 Multicystic encephalomalacia, 194 Multiple sclerosis, 248, 251 Multiple subpial transsections (MST), 265 Muscle–eye–brain disease, 134 Myelination, 39, 148, 152, 155 Myoclonic epilepsy and ragged red fibers (MERRF), 227, 234, 235 N N-acetyl aspartate (NAA), 58, 61 Neurofibromas, 168 Neurofibromatosis type 1, 107, 141, 165, 168, 170 Neuronal ceroid lipofuscinoses (CLN), 61, 238 N-Methyl-D-asparate receptor (NMDAR), 103 Nodular heterotopias (BPNH), 145 Nonketotic hyperglycemia, 240, 242, 243 O Oligodendrogliomas, 109, 110, 114, 119, 120 Onconeural antibodies, 103 Open-ring sign, 252 Optic nerve, 169 P Pachygyria, 133, 135, 148, 173 Pallister–Hall syndrome, 152 Pancake, 35 Parry–Romberg syndrome, 175 Perinatal Stroke, 195, 196 Periventricular Leukomalacia, 198, 200, 201 Periventricularintraventricular hemorrhages (PIVH), 193 Phenytoin, 252, 255 Pilocytic astrocytoma, 109, 115–117, 169 Planar curved surface, 35 Pleomorphic astrocytomas (pXAs), 109 Pleomorphic xanthoastrocytoma, 116, 118 POLG1, 234, 236 Polymicrogyria, 81, 148–152, 154, 155, 167 Porencephaly, 193, 195, 196 Port-wine nevus, 166 Positron emission tomography (PET), 63 Precocious puberty, 152 Progressive myoclonic epilepsies, 238 Propofol, 55 Proteus syndrome, 141, 173 Provoked seizure, 26 Pyruvate dehyrogenase complex deficiency, 238 R Ramussen encephalitis, 107, 175, 219–222, 260 Reduction factor R, 30 Rendu–Osler–Weber syndrome, 185 Reversible splenium lesions, 35, 250, 253 Rule of three, 4 S Sarcoidosis, 216–218 SBH, 134 Schimmelpfennig–Feuerstein–Mims syndrome, 173 Schizencephaly, 149, 150 Seckel syndrome, 132 Seizure onset zone, 23 Selective amygdalohippocampectomy (sAH), 258–262 Selective Wada tests, 52 Semilobar, 157 Septo-optic dysplasia, 158, 159 Septo-optic dysplasia (De Morsier Syndrome), 158 Shapiro syndrome, 160 Simple partial, 5 Simple variant, 112 Single photon emission computed tomography (SPECT), 63 Single-voxel spectroscopy, 58 Smith–Lemli–Opitz syndrome, 155 Specific absorption rate, 29, 87 Spetzler–Martin classification, 188 Spongious lesions, 169 Status epilepticus, 6 Steroid-responsive encephalopathy associated with autoimmune thy- roiditis (SREAT), 106 Structural and/or metabolic, 15 Sturge–Weber, 241 Sturge–Weber disease, 260 Sturge–Weber syndrome, 165, 166, 168, 169, 239, 240 Subcortical band heterotopia (SBH), 133, 136 Subcortical heterotopias, 147 Subcortical leukomal, 194 Subcortical leukomalacia, 198, 201 Subependymal giant cell, 167 Subependymal giant cell astrocytoma, 166 Subtemporal, 259, 261, 262 Subtemporal amygdalohippocamectomy, 262 Subtraction ictal SPECT is routinely coregistered with MRI (SIS- COM), 64 Susceptibility, 30 Symptomatic epilepsies, 15 Symptomatogenic area, 23 Syntelencephaly, 157 Syphillis, 149 Systemic lupus erythematosus, 107 T Target sign, 212, 214 Thickness image, 76 Todd’s paralysis, 11 TORCH, 207, 208 Toxoplasmosis, 149, 208, 212 Tram-track calcifications, 167, 168 Transcortical, 259, 262 Transient epileptic amnesia, 247 Transient global amnesia (TGA), 247, 249 Transmit/receive head coil, 85, 86 Transsylvian, 259, 260, 262, 263 Tuber cinereum hamartoma, 152, 153, 156 Tuber cinereum, 152 Tuberculosis, 210, 213 Index 269
  • 269.
    Tuberous sclerosis, 138,145, 165, 167 Type 1 lissencephalies, 132 Type 1, 131 Type 2A, 138 Type 2B, 138 Type I lissencephaly, 131 U Ulegyria, 194, 198, 201 Unprovoked seizure, 26 Urbach–Wiethe syndrome, 174 V Vagus nerve stimulators, 85 Valproate, 252, 253 Varicella zoster, 149 Versive seizures, 11 Vigabatrin, 253 Voltage-gated potassium channels (VGKC), 103 W Wada test, 43, 45, 46 Wake-up seizures, 6 Walker–Warburg syndrome (WWS), 134, 137 West syndrome, 201, 231 Wyburn–Mason syndrome, 185 X X-linked lissencephaly with abnormal genitalia (XLAG), 132 Z Zabramski, 182, 184, 185 270 Index