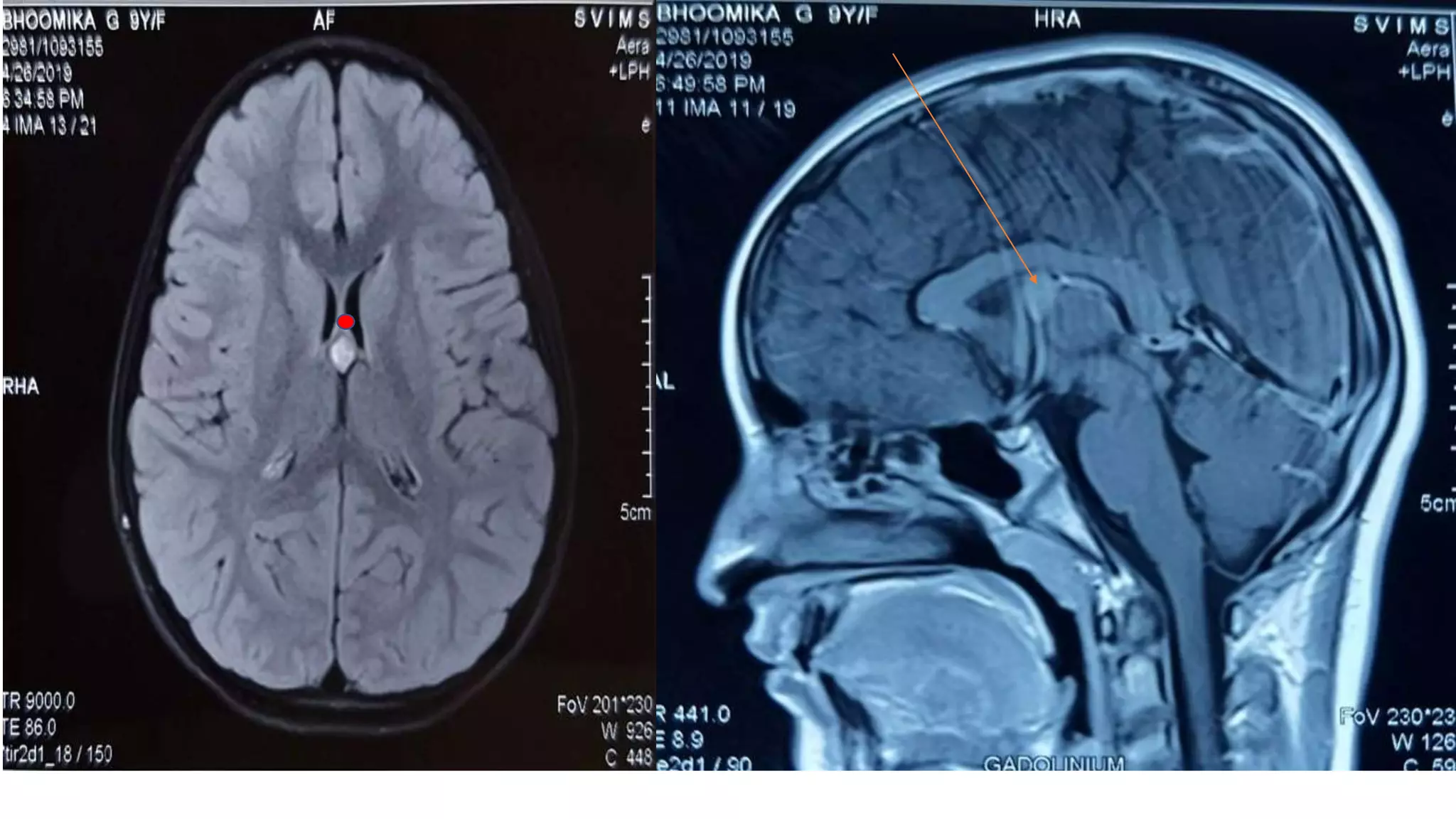
Colloid cyst
Decision making
• Most common age 20-40
• Roof of third ventricle
• Neurectodermal or pulmonary epithelial origin
• PAS positive
• Drop attack and signs of raised ICP
• Neurogenic stunned myocardium cause of sudden death
presentation
Obstructive
symptoms
CSF diversion
procedures
Incidental
finding
size
<1cm
Observe and periodic
Imaging
Size remains the
same
Size
increases or
symptomatic
Spontaneous
resolution
>1cm
Fit for surgery and
young age
Cyst small
and non
succable
Microscopic
excision
ventriculomegaly
Yes
Trans cortical
no
Trans callosal
Cyst large
and succable
Endoscopic
surgery
Not fit
Steriotactic
Transcallosal:
• The access to both foramina of Monro, and the possibility of choosing
the one that can better expose the cyst, is a great advantage of the
transcallosal approach.
Transcortical approach:
• Entry point is through the middle frontal gyrus
• More lateral to medial approach of the ventricle
• Complete exposure of the lateral ventricles
• More dilated side is chosen or the non dominant side
Selection of an entry point in trans cortical approach:
Subchoridal approach:
Transcortical
Transcallosal
Endoscopic approach:
• Endoscopy offers non-stereoscopic monocular vision and one-handed
manipulation
• a wider tubular port (neuro-endoport) and the dual-port technique
enable a bimanual surgical technique.
• Microsurgery and endoscope-assisted microsurgery through a
craniotomy enable bimanual surgical manipulation under
stereoscopic vision.
Entry points for endoscopic approach:
Endoscopic Versus Microsurgical Resection of Colloid Cysts: A Systematic Review and
Meta-Analysis of 1278 Patients
Ahmed B. Sheikh, Zachary S. Mendelson, James K. Liu
Take away:
• Endoscopic approach is associated with fewer complications like
shunt dependency,Seizures,meningitis
• Open/microsurgical approaches less chance of reccurance as
complete resection is possible
Microsurgical approach studies:
Endoscopic approach:
Take away:
• Average cyst size is more in endoscopic procedures
• Gross total resection is more in microsurgical approaches
• Memory deficits were more in transcallosal
• Hydrocephalus more in trans cortical approach
• A review of most published articles indicate that the microsurgical
resection of colloid cysts leads to better gross total removal than the
endoscopic approach.
• Endoscopic approach has fewer complication rate like seizure
• Preserving all bridging veins draining the frontal lobe prevents venous
infarction. Dissection of the terminal parts of these veins from the
dura or modified dural opening prevents their occlusion.
Trans cortical:
Trans callosal:
• No hydrocephalus and dilated ventricles.
• Entry point will be 1.5 lateral to midline to
avoid the superior saggital sinus
• Brain retracted superior callosal arteries
are retracted
• Entry will be between the Fornices and
then into any of the foramen of Monroe
• Enblock cyst excision is possible in trans
callosal approach.
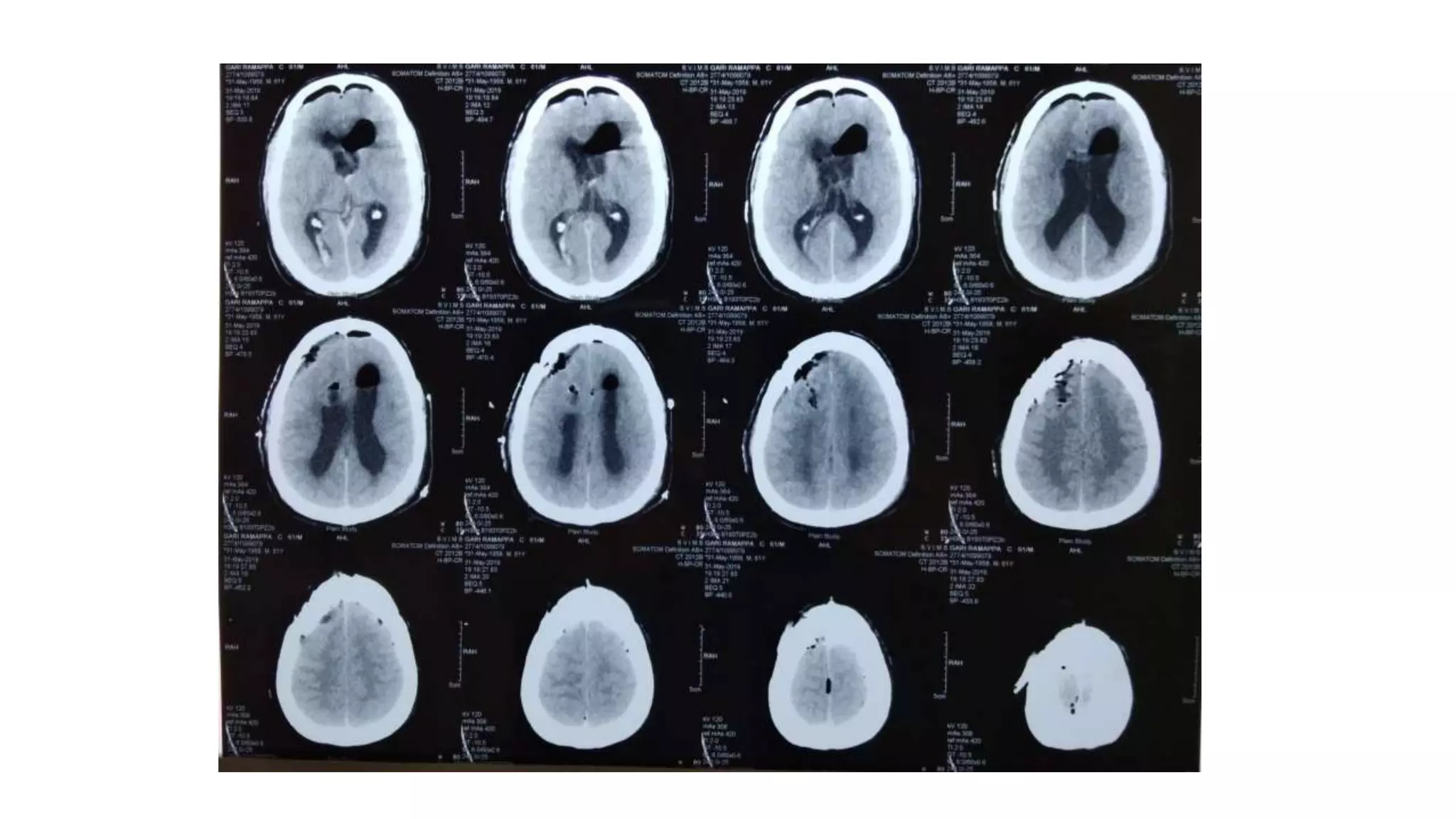
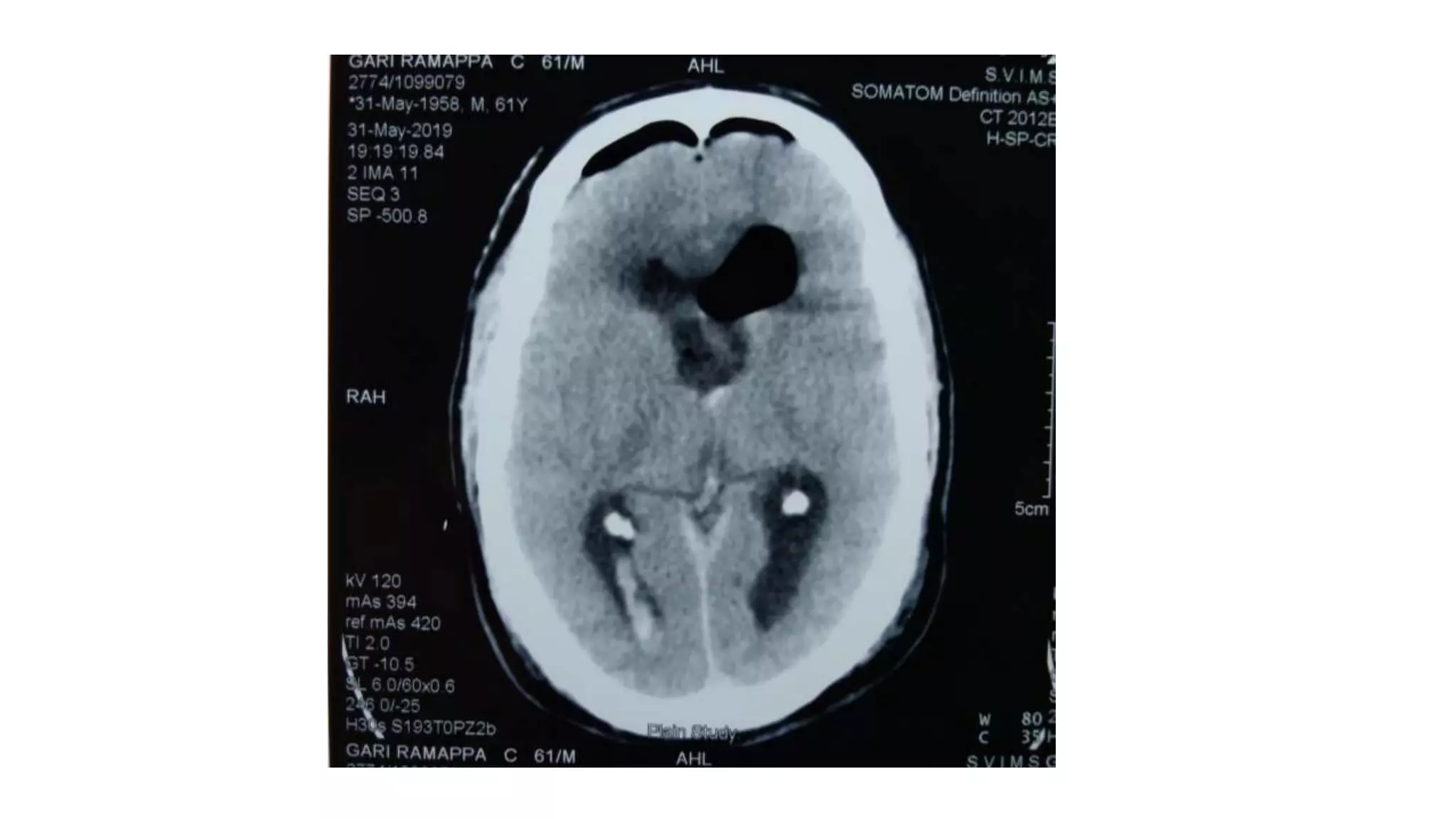
Trends in our Institute:
• 36 patients were studied retrospectively
• 19 patients underwent trans cortical approach
• 13 underwent trans callosal approach
• 3endoscopic trans cortical and
• 1 endoscopic trans callosal
• Common complications faced were Hydrocephalus,CSF leaks and
meningitis all in trans cortical approach
• No complications were noted in endoscopic approach
• No recurrence was noted in either of the procedures

Colloid cyst pre operative session

  • 1.
  • 2.
    • Most commonage 20-40 • Roof of third ventricle • Neurectodermal or pulmonary epithelial origin • PAS positive • Drop attack and signs of raised ICP • Neurogenic stunned myocardium cause of sudden death
  • 3.
    presentation Obstructive symptoms CSF diversion procedures Incidental finding size <1cm Observe andperiodic Imaging Size remains the same Size increases or symptomatic Spontaneous resolution >1cm Fit for surgery and young age Cyst small and non succable Microscopic excision ventriculomegaly Yes Trans cortical no Trans callosal Cyst large and succable Endoscopic surgery Not fit Steriotactic
  • 4.
    Transcallosal: • The accessto both foramina of Monro, and the possibility of choosing the one that can better expose the cyst, is a great advantage of the transcallosal approach.
  • 6.
    Transcortical approach: • Entrypoint is through the middle frontal gyrus • More lateral to medial approach of the ventricle • Complete exposure of the lateral ventricles • More dilated side is chosen or the non dominant side
  • 8.
    Selection of anentry point in trans cortical approach:
  • 9.
  • 10.
    Endoscopic approach: • Endoscopyoffers non-stereoscopic monocular vision and one-handed manipulation • a wider tubular port (neuro-endoport) and the dual-port technique enable a bimanual surgical technique. • Microsurgery and endoscope-assisted microsurgery through a craniotomy enable bimanual surgical manipulation under stereoscopic vision.
  • 11.
    Entry points forendoscopic approach:
  • 13.
    Endoscopic Versus MicrosurgicalResection of Colloid Cysts: A Systematic Review and Meta-Analysis of 1278 Patients Ahmed B. Sheikh, Zachary S. Mendelson, James K. Liu
  • 14.
    Take away: • Endoscopicapproach is associated with fewer complications like shunt dependency,Seizures,meningitis • Open/microsurgical approaches less chance of reccurance as complete resection is possible
  • 15.
  • 16.
  • 17.
    Take away: • Averagecyst size is more in endoscopic procedures • Gross total resection is more in microsurgical approaches • Memory deficits were more in transcallosal • Hydrocephalus more in trans cortical approach
  • 18.
    • A reviewof most published articles indicate that the microsurgical resection of colloid cysts leads to better gross total removal than the endoscopic approach. • Endoscopic approach has fewer complication rate like seizure • Preserving all bridging veins draining the frontal lobe prevents venous infarction. Dissection of the terminal parts of these veins from the dura or modified dural opening prevents their occlusion.
  • 19.
  • 30.
    Trans callosal: • Nohydrocephalus and dilated ventricles. • Entry point will be 1.5 lateral to midline to avoid the superior saggital sinus • Brain retracted superior callosal arteries are retracted • Entry will be between the Fornices and then into any of the foramen of Monroe • Enblock cyst excision is possible in trans callosal approach.
  • 34.
    Trends in ourInstitute: • 36 patients were studied retrospectively • 19 patients underwent trans cortical approach • 13 underwent trans callosal approach • 3endoscopic trans cortical and • 1 endoscopic trans callosal • Common complications faced were Hydrocephalus,CSF leaks and meningitis all in trans cortical approach • No complications were noted in endoscopic approach • No recurrence was noted in either of the procedures