 Osteomyelitis of the
jaws is osteomyelitis (which is inflammation of
the bone marrow, sometimes abbreviated to
OM) which occurs in the bones of the jaws
(i.e. maxilla or the mandible). Osteomyelitis
usually begins in the medullary cavity, involving
cancellous bone; then it extends and spreads to
cortical bone and eventually to the periosteum.
 Signs and symptoms
 The signs and symptoms depend upon the type of
OM, and may include:
 Pain, which is severe, throbbing and deep seated.
 Swelling. External swelling is initially due to
inflammatory edema with
accompanying erythema (redness), heat and
tenderness, and then later may be due to sub-
periosteal pus accumulation. Eventually,
subperiosteal bone formation may give a firm
swelling.
 Trismus (difficulty opening the mouth), which may
be present in some cases and is caused by edema
in the muscles.
 Dysphagia (difficulty swallowing), which may be
present in some cases and is caused by edema in
the muscles.
 Cervical lymphadenitis (swelling of the lymph
nodes in the neck).
 Aesthesia or paresthesia (altered sensation
such as numbness or pins and needles) in
the distribution of the mental nerve.
 Fever which may be present in the acute
phase and is high and intermittent
 Malaise (general feeling of being unwell)
which may be present in the acute phase
 Anorexia (loss of appetite).
 Leukocytosis (elevated numbers of white
blood cells) which may be present in the
acute phase
 Elevated erythrocyte sedimentation
rate and C reactive protein are sometimes
 An obvious cause in the mouth (usually) such
as a decayed tooth.
 Teeth that are tender to percussion, which may
develop as the condition progresses
 Loosening of teeth, which may develop as the
condition progresses.
 Pus may later be visible, which exudes from
around the necks of teeth, from an open socket,
or from other sites within the mouth or on the
skin over the involved bone.
 Fetid odor.
 Pathogenesis

In general, microorganisms may infect bone
through one or more of three basic methods: via
the bloodstream (haematogeneously) - the most
common method -, contiguously from local areas
of infection (as in cellulitis), or penetrating trauma,
including iatrogenic causes such as joint
replacements or internal fixation
of fractures or root-filled teeth. Once the bone is
infected, leukocytes enter the infected area, and, in
their attempt to engulf the infectious organisms,
release enzymes that lyse the bone. Pus spreads
into the bone's blood vessels, impairing their flow,
and areas of devitalized infected bone, known
as sequestra, form the basis of a chronic infection.
 Often, the body will try to create new bone around the
area of necrosis. The resulting new bone is often called
an involucrum. Invasion of bacteria into cancellous bone
causes soft tissue inflammation and edema within the
closed bony marrow spaces. As with the dental pulp, soft
tissue edema that is enclosed by unyielding calcified
tissue results in increased tissue hydrostatic pressure
that rises above the blood pressure of the feeding
arterial vessels. The resulting severe compromise of the
blood supply then causes soft tissue necrosis. The
failure of microcirculation in cancellous bone is a critical
factor in the establishment of osteomyelitis because the
involved area becomes ischemic and the cellular
component of bone becomes necrotic. Bacteria can then
proliferate because normal blood borne defenses do not
reach tissue, and the osteomyelitis spreads until it is
arrested by medical and surgical therapy.
 The major predisposing factors for osteomyelitis of the
jaws are preceding odontogenic infections and
fractures of the mandible . Even these two events
rarely cause infections of bone unless host defenses
are suppressed by such problems as diabetes,
alcoholism, intravenous drug abuse, malnutrition, and
myeloproliferative diseases (e.g., leukemias, sickle cell
disease, or chemotherapy-treated cancer). Although
the maxilla can also become involved in osteomyelitis,
it does so rarely compared with the mandible. The
primary reason for this is that the blood supply to the
maxilla is much richer and is derived from several
arteries, which form a complex network of feeder
vessels. Because the mandible tends to draw its
primary blood supply from the inferior alveolar artery
and because the dense overlying cortical bone of the
mandible limits penetration of periosteal blood vessels,
the mandibular cancellous bone is more likely to
become ischemic and, therefore, infected.
 Classification

The classification is similar to
the classification of OM generally, according
to the length of time the inflammation has
been present and whether there
is suppuration (the formation of pus). Acute
osteomyelitis is loosely defined as OM which
has been present for less than one month
and chronic osteomyelitis is the term used for
when the condition lasts for more than one
month. Traditionally, the length of time the
infection has been present and whether there
is suppuration (pus formation)
or sclerosis (increased density of bone) is
used to arbitrarily classify OM.

Suppurative osteomyelitis
 Acute suppurative osteomyelitis
 Chronic suppurative osteomyelitis
 Primary (no preceding phase)
 Secondary (follows an acute phase)
 Non-suppurative osteomyelitis
 Diffuse sclerosing
 Focal sclerosing (condensing osteitis)
 Proliferative periostitis (periostitis ossificans, Garré's
sclerosing osteomyelitis)

Osteoradionecrosis
SUPPURATIVE OSTEOMYELITIS( ACUTE AND CHRONIC)
 Osteomyelitis is an inflammatory reaction of bone to infection
which originates from either a tooth, fracture site, soft tissue
wound or surgery site. The dental infection may be from a root
canal, a periodontal ligament or an extraction site. Suppurative
osteomyelitis can involve all three components of bone:
periosteum, cortex, and marrow. Usually there is an underlying
predisposing factor like malnutrition, alcoholism, diabetes,
leukemia or anemia. Other predisposing factors are those that are
characterized by the formation of avascular bone for example,
therapeutically irradiated bone, osteopetrosis, and Paget's
disease, . Osteomyelitis is more commonly observed in the
mandible because of its poor blood supply as compared to the
maxilla, and also because the dense mandibular cortical bone is
more prone to damage and, therefore, to infection at the time of
tooth extraction.
 Acute osteomyelitis is similar to an acute
primary abscess in that the onset and course
may be so rapid that bone resorption does
not occur and, thus, a radiolucency may not
be present on a radiograph. Acute
suppurative osteomyelitis shows little or no
radiographic change because at least 10 to
12 days are required for lost bone to be
detectable radiographically. Clinical features
include pain, pyrexia, painful
lymphadenopathy, leukocytosis, and other
signs and symptoms of acute infection.
 Later, after approximately two weeks, as the
lesion progresses into the chronic stage,
enough bone resorption takes place to show
radiographic mottling and blurring of bone.

A sclerosed border called an involucrum
forms around the affected area. The
involucrum prevents blood supply from
reaching the affected part. This results in the
formation of pieces of sequestra or necrotic
bone surrounded by pus. A fistulous tract
may develop by the suppuration perforating
the cortical bone and periosteum. The
fistulous tract discharges pus onto the
overlying skin or mucosa.
 Chronic osteomyelitis usually demonstrates bony
destruction in the area of infection. The appearance
is one of increased radiolucency, which may be
uniform in its pattern, or patchy with a moth-eaten
appearance. Areas of radiopacity also may occur
within radiolucency. These radiopaque areas
represent islands of bone that have not been
resorbed and are known as sequestra. In
longstanding chronic osteomyelitis, an area of
increased radiodensity surrounding the area of
radiolucency, called an involucrum, may be present.
This is the result of a reaction in which bone
production increases as a result of the inflammatory
reaction.
 --Diagnosis of osteomyelitis is often based
on radiologic results showing a lytic center
with a ring of sclerosis. Culture of material
taken from a bone biopsy is needed to
identify the specific pathogen; alternative
sampling methods such as needle puncture
or surface swabs
Involucrum
A sheath of new bone
separated from the
sequestra by a zone of
radiolucency.
sequestrum
(radiopaque necrotic bone
surrounded by radiolucent suppuration)
Wire for fixation
sequestrum radiopaque
necrotic bone
surrounded by
radiolucent suppuration

--Osteomyelitis is treated medically as well as
surgically. Acute osteomyelitis of the jaws is
primarily managed by the administration of
surgical débridement, removal of causative
factors, and appropriate antibiotics. The
precipitating event, condition, or both must be
carefully managed. If the event is a fracture of the
mandible, careful attention must be given to
accurate reduction and stable fixation. The
antibiotics of choice include clindamycin,
penicillins, and fluoroquinolones because of their
effectiveness against the flora of odontogenic
infections and their good-to-excellent bone
penetration. If the patient has a serious acute
osteomyelitis, hospitalization may be required for
intravenous administration of antibiotics, which
can then be followed by home intravenous therapy
via a peripherally inserted central catheter or oral
therapy.
 Surgical treatment of acute or chronic suppurative
osteomyelitis consists primarily of removing
obviously nonvital teeth in the area of the infection,
any wires or bone plates that may have been used
to stabilize a fracture in the area, or any necrotic,
loose pieces of bone. Bone specimens are sent for
aerobic and anaerobic cultures, sensitivity testing,
and histopathologic examination. In addition,
corticotomy (removal or perforation of the bony
cortex) and excision of necrotic bone (until actively
bleeding bone tissue is encountered) may be
necessary. For acute osteomyelitis that results
from jaw fracture, the surgeon must stabilize the
mobile segments of the mandible, usually by open
reduction and rigid internal fixation. Immobility of
the fracture segments aids in the resolution of
 Chronic osteomyelitis requires not only
aggressive antibiotic therapy but also
aggressive surgical therapy. Because of the
severe compromise in the blood supply to the
area of osteomyelitis, the patient is usually
admitted to the hospital and given high-dose
intravenous antibiotics to control the infection.
The surgeon should obtain culture material at
the time of surgery so that the selection of an
antibiotic can be based on the specific
microbiology of the infection.
 Therapy for acute and chronic osteomyelitis, most
authorities agree, should ensure that antibiotics are
continued for a much longer time than is usual for
odontogenic infections. For mild acute osteomyelitis
that has responded well, antibiotics should be
continued for at least 6 weeks after resolution of
symptoms. For severe chronic osteomyelitis that has
been difficult to control, antibiotic administration may
continue for up to 6 months.
 Hyperbaric oxygen therapy has been shown to be a
useful adjunct to the treatment
of refractory osteomyelitis. Hyperbaric medicine, also
known as hyperbaric oxygen therapy (HBOT), is the
medical use of oxygen at a level higher
than atmospheric pressure. The equipment required
consists of a pressure chamber, which may be of rigid
or flexible construction, and a means of delivering
100% oxygen.

 Non-suppurative osteomyelitis

Focal sclerosing osteomyelitis

Condensing osteitis is a periapical
inflammatory disease that results from a
reaction to periodontal infection. This causes
more bone production rather than bone
destruction in the area (most common site is
near the root apices of premolars and
molars). The lesion appears as a radiopacity
in the periapical area hence the sclerotic
reaction. The sclerotic reaction results from
good patient immunity and a low degree of
virulence of the offending bacteria. The
associated tooth may be carious or contains
a large restoration, and is usually associated
with a non-vital tooth.
 Etiology

Infection of periapical tissues of a high
immunity host by organisms of low
virulence which leads to a localized bony
reaction to a low grade inflammatory
stimulus.
 Treatment

The process is usually asymptomatic and
benign, in which case the tooth does not
require endodontic treatment.

The offending tooth should be tested for
vitality of the pulp, if inflamed or necrotic,
then endodontic treatment is required,
while hopeless teeth should be extracted.
 ---GARRÉS OSTEOMYELITIS (It was first described by
the Swiss surgeon Carl Garré.) (Periostitis ossificans,
Osteomyelitis with proliferative periostitis) Garrés
osteomyelitis or proliferative periostitis is a type of
chronic osteomyelitis which is nonsuppurative. It occurs
almost exclusively in children and young adults who
present symptoms related to a carious tooth. The
process arises secondary to a low-grade chronic
infection, usually from the apex of a carious mandibular
first molar. The infection spreads towards the surface of
the bone, resulting in inflammation of the periosteum
and deposition of new bone underneath the periosteum.
This peripheral formation of reactive bone results in
localized periosteal thickening. The inferior border of the
mandible below the carious first molar is the most
frequent site for the hard nontender expansion of cortical
bone. On an occlusal view radiograph, the deposition of
new bone produces an "onion-skin" appearance.
 ---Osteoradionecrosis is a possible
complication following radiotherapy where an
area of bone does not heal from irradiation.
Irradiation of bones causes damage
to osteocytes and impairs the blood supply.
The affected hard tissues become
hypovascular (reduced number of blood
vessels), hypocellular (reduced number of
cells) and hypoxic (low levels of oxygen).
Osteoradionecrosis usually occurs in the
mandible, and causes chronic pain and
surface ulceration. Prevention of
osteradionecrosis is part of the reason all
teeth of questionable prognosis are removed
before the start of a course of radiotherapy
 Treatment of osteoradionecrosis
 1-Surgery
 This means removing dead or infected tissue from
around a wound. Dead, or necrotic, bone may also
need to be removed. This is called sequestrectomy.
This may include microvascular reconstructive
surgery to restore blood flow to the area. Bone grafts
may be needed to replace the sections of the
jawbone that are removed. Soft tissue grafts can be
used to replace muscle and other tissues that have
been removed. You may also need dental implants if
teeth are removed.

2-Hyperbaric oxygen therapy

Hyperbaric oxygen therapy involves
breathing pure oxygen in a pressurized room.
It is done in a special chamber where the
pressure inside is higher than the normal
pressure of the atmosphere. The higher
pressure allows more oxygen to get into your
blood, which can help heal damaged and
infected tissues.

Hyperbaric oxygen therapy is used in
combination with wound care and surgery.
The treatment plan often includes 20
treatments before surgery and 10 more
treatments after surgery. After you finish
radiation therapy, your healthcare team may
recommend that you have hyperbaric oxygen
therapy before you have any teeth removed.
 FibrinolyticAlveolitis (Dry Socket)
 This postoperative complication appears 2–3 days after
the extraction. During this period, the blood clot
disintegrates and is dislodged, resulting in delayed
healing and necrosis of the bone surface of the socket.
This disturbance is termed fibrinolytic alveolitis and is
characterized by an empty socket, fetid breath odor, a
bad taste in the mouth, denuded bone walls, and severe
pain that radiates to other areas of the head.
 As for the etiology and pathogenesis of dry socket,
various factors have been cited, some of which include
dense and sclerotic bone surrounding the tooth, infection
during or after the extraction, injury of the alveolus, and
infiltration anesthesia.

Treatment. This type of complication is
treated by gently irrigating the socket with
warm saline solution, and placing gauze
impregnated with eugenol, which is replaced
approximately every 24 h, until the pain
subsides. Also, gauze soaked in zinc-
oxide/eugenol maybe used, which remains
inside the alveolus for 5 days; alternatively
iodoform gauze or enzymes are applied
locally.
 Special types of osteomyelitis
 TUBERCULOSIS OSTEOMYELITIS
 Tuberculosis is a chronic granulomatous disease which
may affect any organ, although in man the lung is the
major seat of the disease and is the usual portal through
which infection reaches other organs. The
microorganisms may spread by either the bloodstream
or the lymphatics. Oral manifestations of tuberculosis
are extremely rare and are usually secondary to primary
lesions in other parts of the body. Infection of the socket
after tooth extraction can also be the mode of entry into
the bone by Mycobacterium tuberculosis. Mandible and
maxilla are less commonly affected than long bones and
vertebrae. On a radiograph, the appearance of bony
lesions is similar to that of chronic suppurative
osteomyelitis ("worm- eaten" appearance) with fistulae
formation through which small sequestra are exuded.
Periostitis ossificans (proliferative periostitis) can also
occur and change the contour of bone. Calcification of
lymph nodes is a characteristic sign of tuberculosis.

SYPHILITIC OSTEOMYELITIS

Syphilis is a chronic granulomatous disease
which is caused by the spirochete Treponema
pallidum. It is a contagious venereal disease
which leads to many structural and cutaneous
lesions. Acquired syphilis is transmitted by
direct contact whereas congenital syphilis is
transmitted in utero. In congenital syphilis, the
teeth are hypoplastic, that is, the maxillary
incisors have screwdriver-shaped crowns with
notched incisal edges (Hutchinson's teeth) and
the molars have irregular mass of globules
instead of well-formed cusps ("mulberry

Also, a depressed nasal bridge or
saddleback nose occurs because of
gummatous destruction of the nasal bones.
Acquired syphilis, if untreated, has three
distinct stages. The primary stage develops
after a couple of weeks of exposure and
consists of chancres on the lips, tongue,
palate, oral mucosa, penis, vagina, cervix or
anus. These chancres are contagious on
direct contact with them.

The secondary stage begins 5 to 10 weeks
after the occurrence of chancres and
consists of diffuse eruptions on skin and
mucous membrane. This rash may be
accompanied by swollen lymph nodes
throughout the body, a sore throat, weight
loss, malaise, headache and loss of hair. The
secondary stage can also damage the eyes,
liver, kidneys and other organs.
 The tertiary-stage lesions may not appear for
several years to decades after the onset of the
disease. In this stage of osteomyelitis, the bone,
skin, mucous membrane, and liver show
gummatous destruction which is a soft, gummy
tumor that resembles granulation tissue. Paralysis
and dementia can also occur. In the oral cavity, the
hard palate is frequently involved resulting in its
perforation. The gummatous destruction is
painless. Syphilitic osteomyelitis of the jaws is
difficult to distinguish from chronic suppurative
osteomyelitis since their radiographic appearances
are similar.
 ACTINOMYCOTIC OSTEOMYELITIS
 Like tuberculosis and syphilis, actinomycosis is
a chronic granulomatous disease. It can occur
anywhere in the body, but two-thirds of all cases
occur in the cervicofacial region. The disease is
caused by bacteria-like fungus called
Actinomyces israeli. These microorganisms
occur as normal flora of the oral cavity, and
appear to become pathogenic only after
entrance through previously seated defects.
 The portal of entry for the microorganisms is
either through the socket of an extracted tooth,
a traumatized mucous membrane, a periodontal
pocket, the pulp of a carious tooth or a fracture.
In cervicofacial actinomycosis, the patient
exhibits swelling, pain, fever and trismus. The
lesion may remain localized in the soft tissues
or invade the jaw bones. If the lesion
progresses slowly, little suppuration takes place;
however, if it breaks down, abscesses are
formed that discharge pus containing yellow
granules
6-osteomylitis.pptx

6-osteomylitis.pptx

  • 2.
     Osteomyelitis ofthe jaws is osteomyelitis (which is inflammation of the bone marrow, sometimes abbreviated to OM) which occurs in the bones of the jaws (i.e. maxilla or the mandible). Osteomyelitis usually begins in the medullary cavity, involving cancellous bone; then it extends and spreads to cortical bone and eventually to the periosteum.
  • 3.
     Signs andsymptoms  The signs and symptoms depend upon the type of OM, and may include:  Pain, which is severe, throbbing and deep seated.  Swelling. External swelling is initially due to inflammatory edema with accompanying erythema (redness), heat and tenderness, and then later may be due to sub- periosteal pus accumulation. Eventually, subperiosteal bone formation may give a firm swelling.  Trismus (difficulty opening the mouth), which may be present in some cases and is caused by edema in the muscles.  Dysphagia (difficulty swallowing), which may be present in some cases and is caused by edema in the muscles.
  • 4.
     Cervical lymphadenitis(swelling of the lymph nodes in the neck).  Aesthesia or paresthesia (altered sensation such as numbness or pins and needles) in the distribution of the mental nerve.  Fever which may be present in the acute phase and is high and intermittent  Malaise (general feeling of being unwell) which may be present in the acute phase  Anorexia (loss of appetite).  Leukocytosis (elevated numbers of white blood cells) which may be present in the acute phase  Elevated erythrocyte sedimentation rate and C reactive protein are sometimes
  • 5.
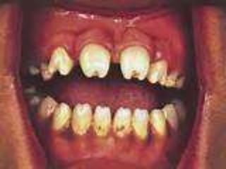
     An obviouscause in the mouth (usually) such as a decayed tooth.  Teeth that are tender to percussion, which may develop as the condition progresses  Loosening of teeth, which may develop as the condition progresses.  Pus may later be visible, which exudes from around the necks of teeth, from an open socket, or from other sites within the mouth or on the skin over the involved bone.  Fetid odor.
  • 6.
     Pathogenesis  In general,microorganisms may infect bone through one or more of three basic methods: via the bloodstream (haematogeneously) - the most common method -, contiguously from local areas of infection (as in cellulitis), or penetrating trauma, including iatrogenic causes such as joint replacements or internal fixation of fractures or root-filled teeth. Once the bone is infected, leukocytes enter the infected area, and, in their attempt to engulf the infectious organisms, release enzymes that lyse the bone. Pus spreads into the bone's blood vessels, impairing their flow, and areas of devitalized infected bone, known as sequestra, form the basis of a chronic infection.
  • 7.
     Often, thebody will try to create new bone around the area of necrosis. The resulting new bone is often called an involucrum. Invasion of bacteria into cancellous bone causes soft tissue inflammation and edema within the closed bony marrow spaces. As with the dental pulp, soft tissue edema that is enclosed by unyielding calcified tissue results in increased tissue hydrostatic pressure that rises above the blood pressure of the feeding arterial vessels. The resulting severe compromise of the blood supply then causes soft tissue necrosis. The failure of microcirculation in cancellous bone is a critical factor in the establishment of osteomyelitis because the involved area becomes ischemic and the cellular component of bone becomes necrotic. Bacteria can then proliferate because normal blood borne defenses do not reach tissue, and the osteomyelitis spreads until it is arrested by medical and surgical therapy.
  • 8.
     The majorpredisposing factors for osteomyelitis of the jaws are preceding odontogenic infections and fractures of the mandible . Even these two events rarely cause infections of bone unless host defenses are suppressed by such problems as diabetes, alcoholism, intravenous drug abuse, malnutrition, and myeloproliferative diseases (e.g., leukemias, sickle cell disease, or chemotherapy-treated cancer). Although the maxilla can also become involved in osteomyelitis, it does so rarely compared with the mandible. The primary reason for this is that the blood supply to the maxilla is much richer and is derived from several arteries, which form a complex network of feeder vessels. Because the mandible tends to draw its primary blood supply from the inferior alveolar artery and because the dense overlying cortical bone of the mandible limits penetration of periosteal blood vessels, the mandibular cancellous bone is more likely to become ischemic and, therefore, infected.
  • 9.
     Classification  The classificationis similar to the classification of OM generally, according to the length of time the inflammation has been present and whether there is suppuration (the formation of pus). Acute osteomyelitis is loosely defined as OM which has been present for less than one month and chronic osteomyelitis is the term used for when the condition lasts for more than one month. Traditionally, the length of time the infection has been present and whether there is suppuration (pus formation) or sclerosis (increased density of bone) is used to arbitrarily classify OM.
  • 10.
     Suppurative osteomyelitis  Acutesuppurative osteomyelitis  Chronic suppurative osteomyelitis  Primary (no preceding phase)  Secondary (follows an acute phase)  Non-suppurative osteomyelitis  Diffuse sclerosing  Focal sclerosing (condensing osteitis)  Proliferative periostitis (periostitis ossificans, Garré's sclerosing osteomyelitis)  Osteoradionecrosis
  • 11.
    SUPPURATIVE OSTEOMYELITIS( ACUTEAND CHRONIC)  Osteomyelitis is an inflammatory reaction of bone to infection which originates from either a tooth, fracture site, soft tissue wound or surgery site. The dental infection may be from a root canal, a periodontal ligament or an extraction site. Suppurative osteomyelitis can involve all three components of bone: periosteum, cortex, and marrow. Usually there is an underlying predisposing factor like malnutrition, alcoholism, diabetes, leukemia or anemia. Other predisposing factors are those that are characterized by the formation of avascular bone for example, therapeutically irradiated bone, osteopetrosis, and Paget's disease, . Osteomyelitis is more commonly observed in the mandible because of its poor blood supply as compared to the maxilla, and also because the dense mandibular cortical bone is more prone to damage and, therefore, to infection at the time of tooth extraction.
  • 12.
     Acute osteomyelitisis similar to an acute primary abscess in that the onset and course may be so rapid that bone resorption does not occur and, thus, a radiolucency may not be present on a radiograph. Acute suppurative osteomyelitis shows little or no radiographic change because at least 10 to 12 days are required for lost bone to be detectable radiographically. Clinical features include pain, pyrexia, painful lymphadenopathy, leukocytosis, and other signs and symptoms of acute infection.  Later, after approximately two weeks, as the lesion progresses into the chronic stage, enough bone resorption takes place to show radiographic mottling and blurring of bone.
  • 13.
     A sclerosed bordercalled an involucrum forms around the affected area. The involucrum prevents blood supply from reaching the affected part. This results in the formation of pieces of sequestra or necrotic bone surrounded by pus. A fistulous tract may develop by the suppuration perforating the cortical bone and periosteum. The fistulous tract discharges pus onto the overlying skin or mucosa.
  • 14.
     Chronic osteomyelitisusually demonstrates bony destruction in the area of infection. The appearance is one of increased radiolucency, which may be uniform in its pattern, or patchy with a moth-eaten appearance. Areas of radiopacity also may occur within radiolucency. These radiopaque areas represent islands of bone that have not been resorbed and are known as sequestra. In longstanding chronic osteomyelitis, an area of increased radiodensity surrounding the area of radiolucency, called an involucrum, may be present. This is the result of a reaction in which bone production increases as a result of the inflammatory reaction.
  • 15.
     --Diagnosis ofosteomyelitis is often based on radiologic results showing a lytic center with a ring of sclerosis. Culture of material taken from a bone biopsy is needed to identify the specific pathogen; alternative sampling methods such as needle puncture or surface swabs
  • 16.
    Involucrum A sheath ofnew bone separated from the sequestra by a zone of radiolucency. sequestrum (radiopaque necrotic bone surrounded by radiolucent suppuration) Wire for fixation
  • 17.
  • 22.
     --Osteomyelitis is treatedmedically as well as surgically. Acute osteomyelitis of the jaws is primarily managed by the administration of surgical débridement, removal of causative factors, and appropriate antibiotics. The precipitating event, condition, or both must be carefully managed. If the event is a fracture of the mandible, careful attention must be given to accurate reduction and stable fixation. The antibiotics of choice include clindamycin, penicillins, and fluoroquinolones because of their effectiveness against the flora of odontogenic infections and their good-to-excellent bone penetration. If the patient has a serious acute osteomyelitis, hospitalization may be required for intravenous administration of antibiotics, which can then be followed by home intravenous therapy via a peripherally inserted central catheter or oral therapy.
  • 23.
     Surgical treatmentof acute or chronic suppurative osteomyelitis consists primarily of removing obviously nonvital teeth in the area of the infection, any wires or bone plates that may have been used to stabilize a fracture in the area, or any necrotic, loose pieces of bone. Bone specimens are sent for aerobic and anaerobic cultures, sensitivity testing, and histopathologic examination. In addition, corticotomy (removal or perforation of the bony cortex) and excision of necrotic bone (until actively bleeding bone tissue is encountered) may be necessary. For acute osteomyelitis that results from jaw fracture, the surgeon must stabilize the mobile segments of the mandible, usually by open reduction and rigid internal fixation. Immobility of the fracture segments aids in the resolution of
  • 24.
     Chronic osteomyelitisrequires not only aggressive antibiotic therapy but also aggressive surgical therapy. Because of the severe compromise in the blood supply to the area of osteomyelitis, the patient is usually admitted to the hospital and given high-dose intravenous antibiotics to control the infection. The surgeon should obtain culture material at the time of surgery so that the selection of an antibiotic can be based on the specific microbiology of the infection.
  • 27.
     Therapy foracute and chronic osteomyelitis, most authorities agree, should ensure that antibiotics are continued for a much longer time than is usual for odontogenic infections. For mild acute osteomyelitis that has responded well, antibiotics should be continued for at least 6 weeks after resolution of symptoms. For severe chronic osteomyelitis that has been difficult to control, antibiotic administration may continue for up to 6 months.  Hyperbaric oxygen therapy has been shown to be a useful adjunct to the treatment of refractory osteomyelitis. Hyperbaric medicine, also known as hyperbaric oxygen therapy (HBOT), is the medical use of oxygen at a level higher than atmospheric pressure. The equipment required consists of a pressure chamber, which may be of rigid or flexible construction, and a means of delivering 100% oxygen. 
  • 28.
     Non-suppurative osteomyelitis  Focalsclerosing osteomyelitis  Condensing osteitis is a periapical inflammatory disease that results from a reaction to periodontal infection. This causes more bone production rather than bone destruction in the area (most common site is near the root apices of premolars and molars). The lesion appears as a radiopacity in the periapical area hence the sclerotic reaction. The sclerotic reaction results from good patient immunity and a low degree of virulence of the offending bacteria. The associated tooth may be carious or contains a large restoration, and is usually associated with a non-vital tooth.
  • 29.
     Etiology  Infection ofperiapical tissues of a high immunity host by organisms of low virulence which leads to a localized bony reaction to a low grade inflammatory stimulus.  Treatment  The process is usually asymptomatic and benign, in which case the tooth does not require endodontic treatment.  The offending tooth should be tested for vitality of the pulp, if inflamed or necrotic, then endodontic treatment is required, while hopeless teeth should be extracted.
  • 30.
     ---GARRÉS OSTEOMYELITIS(It was first described by the Swiss surgeon Carl Garré.) (Periostitis ossificans, Osteomyelitis with proliferative periostitis) Garrés osteomyelitis or proliferative periostitis is a type of chronic osteomyelitis which is nonsuppurative. It occurs almost exclusively in children and young adults who present symptoms related to a carious tooth. The process arises secondary to a low-grade chronic infection, usually from the apex of a carious mandibular first molar. The infection spreads towards the surface of the bone, resulting in inflammation of the periosteum and deposition of new bone underneath the periosteum. This peripheral formation of reactive bone results in localized periosteal thickening. The inferior border of the mandible below the carious first molar is the most frequent site for the hard nontender expansion of cortical bone. On an occlusal view radiograph, the deposition of new bone produces an "onion-skin" appearance.
  • 32.
     ---Osteoradionecrosis isa possible complication following radiotherapy where an area of bone does not heal from irradiation. Irradiation of bones causes damage to osteocytes and impairs the blood supply. The affected hard tissues become hypovascular (reduced number of blood vessels), hypocellular (reduced number of cells) and hypoxic (low levels of oxygen). Osteoradionecrosis usually occurs in the mandible, and causes chronic pain and surface ulceration. Prevention of osteradionecrosis is part of the reason all teeth of questionable prognosis are removed before the start of a course of radiotherapy
  • 34.
     Treatment ofosteoradionecrosis  1-Surgery  This means removing dead or infected tissue from around a wound. Dead, or necrotic, bone may also need to be removed. This is called sequestrectomy. This may include microvascular reconstructive surgery to restore blood flow to the area. Bone grafts may be needed to replace the sections of the jawbone that are removed. Soft tissue grafts can be used to replace muscle and other tissues that have been removed. You may also need dental implants if teeth are removed.
  • 35.
     2-Hyperbaric oxygen therapy  Hyperbaricoxygen therapy involves breathing pure oxygen in a pressurized room. It is done in a special chamber where the pressure inside is higher than the normal pressure of the atmosphere. The higher pressure allows more oxygen to get into your blood, which can help heal damaged and infected tissues.  Hyperbaric oxygen therapy is used in combination with wound care and surgery. The treatment plan often includes 20 treatments before surgery and 10 more treatments after surgery. After you finish radiation therapy, your healthcare team may recommend that you have hyperbaric oxygen therapy before you have any teeth removed.
  • 36.
     FibrinolyticAlveolitis (DrySocket)  This postoperative complication appears 2–3 days after the extraction. During this period, the blood clot disintegrates and is dislodged, resulting in delayed healing and necrosis of the bone surface of the socket. This disturbance is termed fibrinolytic alveolitis and is characterized by an empty socket, fetid breath odor, a bad taste in the mouth, denuded bone walls, and severe pain that radiates to other areas of the head.  As for the etiology and pathogenesis of dry socket, various factors have been cited, some of which include dense and sclerotic bone surrounding the tooth, infection during or after the extraction, injury of the alveolus, and infiltration anesthesia.
  • 37.
     Treatment. This typeof complication is treated by gently irrigating the socket with warm saline solution, and placing gauze impregnated with eugenol, which is replaced approximately every 24 h, until the pain subsides. Also, gauze soaked in zinc- oxide/eugenol maybe used, which remains inside the alveolus for 5 days; alternatively iodoform gauze or enzymes are applied locally.
  • 39.
     Special typesof osteomyelitis  TUBERCULOSIS OSTEOMYELITIS  Tuberculosis is a chronic granulomatous disease which may affect any organ, although in man the lung is the major seat of the disease and is the usual portal through which infection reaches other organs. The microorganisms may spread by either the bloodstream or the lymphatics. Oral manifestations of tuberculosis are extremely rare and are usually secondary to primary lesions in other parts of the body. Infection of the socket after tooth extraction can also be the mode of entry into the bone by Mycobacterium tuberculosis. Mandible and maxilla are less commonly affected than long bones and vertebrae. On a radiograph, the appearance of bony lesions is similar to that of chronic suppurative osteomyelitis ("worm- eaten" appearance) with fistulae formation through which small sequestra are exuded. Periostitis ossificans (proliferative periostitis) can also occur and change the contour of bone. Calcification of lymph nodes is a characteristic sign of tuberculosis.
  • 40.
     SYPHILITIC OSTEOMYELITIS  Syphilis isa chronic granulomatous disease which is caused by the spirochete Treponema pallidum. It is a contagious venereal disease which leads to many structural and cutaneous lesions. Acquired syphilis is transmitted by direct contact whereas congenital syphilis is transmitted in utero. In congenital syphilis, the teeth are hypoplastic, that is, the maxillary incisors have screwdriver-shaped crowns with notched incisal edges (Hutchinson's teeth) and the molars have irregular mass of globules instead of well-formed cusps ("mulberry
  • 42.
     Also, a depressednasal bridge or saddleback nose occurs because of gummatous destruction of the nasal bones. Acquired syphilis, if untreated, has three distinct stages. The primary stage develops after a couple of weeks of exposure and consists of chancres on the lips, tongue, palate, oral mucosa, penis, vagina, cervix or anus. These chancres are contagious on direct contact with them.
  • 43.
     The secondary stagebegins 5 to 10 weeks after the occurrence of chancres and consists of diffuse eruptions on skin and mucous membrane. This rash may be accompanied by swollen lymph nodes throughout the body, a sore throat, weight loss, malaise, headache and loss of hair. The secondary stage can also damage the eyes, liver, kidneys and other organs.
  • 44.
     The tertiary-stagelesions may not appear for several years to decades after the onset of the disease. In this stage of osteomyelitis, the bone, skin, mucous membrane, and liver show gummatous destruction which is a soft, gummy tumor that resembles granulation tissue. Paralysis and dementia can also occur. In the oral cavity, the hard palate is frequently involved resulting in its perforation. The gummatous destruction is painless. Syphilitic osteomyelitis of the jaws is difficult to distinguish from chronic suppurative osteomyelitis since their radiographic appearances are similar.
  • 45.
     ACTINOMYCOTIC OSTEOMYELITIS Like tuberculosis and syphilis, actinomycosis is a chronic granulomatous disease. It can occur anywhere in the body, but two-thirds of all cases occur in the cervicofacial region. The disease is caused by bacteria-like fungus called Actinomyces israeli. These microorganisms occur as normal flora of the oral cavity, and appear to become pathogenic only after entrance through previously seated defects.
  • 46.
     The portalof entry for the microorganisms is either through the socket of an extracted tooth, a traumatized mucous membrane, a periodontal pocket, the pulp of a carious tooth or a fracture. In cervicofacial actinomycosis, the patient exhibits swelling, pain, fever and trismus. The lesion may remain localized in the soft tissues or invade the jaw bones. If the lesion progresses slowly, little suppuration takes place; however, if it breaks down, abscesses are formed that discharge pus containing yellow granules