‫الرئة‬ ‫تغبرات‬
‫تعاريف‬

‫الغبار‬ ‫استنشاق‬ ‫عن‬ ‫ينجم‬ ‫رئوي‬ ‫مرض‬ ‫هو‬ ‫الرئة‬ ‫تغبر‬
.

‫الصلبة‬ ‫الحالة‬ ‫في‬ ‫جزيئية‬ ‫مواد‬ ‫هو‬ ‫الغبار‬
.

‫من‬ ‫التخلص‬ ‫على‬ ‫قادرة‬ ‫الرئة‬
‫ذرات‬
‫بفضل‬ ‫الغبار‬
(
‫ب‬ ‫الغبار‬ ‫التصاق‬
‫المخاط‬
‫و‬
‫الصاعدة‬ ‫األهداب‬ ‫حركة‬
...
‫السعال‬
)
‫الحجم‬ ‫حيث‬ ‫من‬ ‫األغبرة‬ ‫تصنيف‬

‫ال‬
‫جزيئات‬
‫الغبارية‬
<
10
‫يحوي‬ ‫بالتالي‬ ‫و‬ ‫األرض‬ ‫على‬ ‫تهبط‬ ‫ميكرون‬
‫المستنشق‬ ‫الهواء‬
‫االجزيئات‬
‫ألدق‬
.

‫الجزيئات‬
5
-
10
‫العلوية‬ ‫التنفسية‬ ‫الطرق‬ ‫في‬ ‫تلتقط‬ ‫ميكرون‬

‫الجزيئات‬
3
-
5
‫المتوسطة‬ ‫التنفسية‬ ‫الطرق‬ ‫في‬ ‫تستقر‬ ‫ميكرون‬

‫الجزيئات‬
>
3
‫لألسناخ‬ ‫تصل‬ ‫ميكرون‬
.
‫الح‬ ‫الفعل‬ ‫حيث‬ ‫من‬ ‫األغبرة‬ ‫تصنيف‬
‫يوي‬

‫لليف‬ ‫المولدة‬ ‫األغبرة‬
(
fibrogenic
)
ً‫ال‬‫تفاع‬ ‫تحدث‬ ‫التي‬ ‫األغبرة‬ ‫هي‬
‫تلي‬
ً‫ا‬‫في‬
‫الرئوي‬ ‫النسيج‬ ‫في‬ ً‫ا‬‫مدمر‬

‫لليف‬ ‫المولدة‬ ‫غير‬ ‫األغبرة‬
(
Non-Fibrogenic
)

‫الهامدة‬ ‫األغبرة‬
(
Inert
)
‫خاص‬ ‫تفاعال‬ ‫تحدث‬ ‫أن‬ ‫غير‬ ‫من‬ ‫الجسم‬ ‫في‬ ‫تتجمع‬
ً‫ا‬
‫الرئوية‬ ‫الوظيفة‬ ‫تعيق‬ ‫لكنها‬
‫التنظيفية‬
.

‫السامة‬ ‫األغبرة‬
(
Toxic
:)
‫معدنية‬ ‫مركبات‬
(
‫رصاص‬
-
‫كروم‬
-
)..
‫في‬ ‫تؤثر‬
‫أخرى‬ ‫أعضاء‬
‫و‬
‫للدخول‬ ً‫ا‬‫طريق‬ ‫الرئة‬ ‫تكون‬
.

‫للحساسية‬ ‫المولدة‬ ‫األغبرة‬
(
Allergenic
)
‫تفاعال‬ ‫تسبب‬
ً‫ا‬‫تحسسي‬
..
‫الرب‬
‫و‬

‫اإلمراضية‬
Pathology

‫اللم‬ ‫العقد‬ ‫ثم‬ ‫األسناخ‬ ‫و‬ ‫القصيبات‬ ‫في‬ ‫الغبارية‬ ‫الذرات‬ ‫تستقر‬
‫فاوية‬

‫مترقي‬ ‫تليف‬
.

‫التليف‬ ‫إحداث‬ ‫على‬ ‫الغبار‬ ‫بقدرة‬ ‫التليف‬ ‫ترقي‬ ‫يتعلق‬
‫و‬
‫بالجر‬
‫المؤثرة‬ ‫عة‬
‫عديدة‬ ‫أعوام‬ ‫خالل‬
.

‫رئوية‬ ‫أمراض‬ ‫كوجود‬ ‫المضيف‬ ‫لدى‬ ‫عوامل‬
‫و‬
‫التدخين‬
.
‫األميانت‬ ‫داء‬
Asbestosis

‫التعريف‬
:
‫للرئتي‬ ‫منتشر‬ ‫خاللي‬ ‫بتليف‬ ‫يتميز‬ ‫مزمن‬ ‫رئوي‬ ‫مرض‬
‫يسببه‬ ‫ن‬
‫األميانت‬ ‫لغبار‬ ‫التعرض‬
.
‫لألميانت‬ ‫يتعرض‬
:

‫المناجم‬ ‫عمال‬
,
‫التعدين‬
,
‫البالط‬ ‫و‬ ‫األسمنت‬
,
‫الكهرباء‬ ‫عوازل‬
,
‫عمال‬
‫الصحية‬ ‫التمديدات‬
.

‫والهدم‬ ‫البناء‬ ‫أعمال‬
.

‫الفرامل‬ ‫وصيانة‬ ‫صناعة‬
.

‫للحرارة‬ ‫المضادة‬ ‫األلبسة‬ ‫صناعة‬
.
‫األميانت‬ ‫خصائص‬

‫خاصة‬ ‫مناجم‬ ‫من‬ ‫استخراجها‬ ‫يتم‬ ‫ألياف‬ ‫من‬ ‫تتألف‬ ‫معادن‬

‫المعدنية‬ ‫السيليكات‬ ‫لبعض‬ ‫يرمز‬ ‫عام‬ ‫مصطلح‬ ‫هو‬ ‫األميانت‬
.
‫المغنزي‬
‫و‬ ‫وم‬
‫األلمنيوم‬ ‫أو‬ ‫السيليس‬ ‫أكسيد‬ ‫ثاني‬
.

‫األلياف‬ ‫أشكال‬
‫األميانتية‬
:
‫كريزوليت‬
,
‫أموزيت‬
,
‫أنتوفيليت‬
,
‫كروس‬
‫يودوليت‬

‫للحرارة‬ ‫مقاوم‬
‫و‬
‫للحرارة‬ ‫موصل‬ ‫غير‬

‫مقاوم‬
‫للتخريش‬
‫الكيميائي‬

‫للنار‬ ‫مقاوم‬

‫للكهرباء‬ ‫عازل‬
‫األميانت‬
‫األميانت‬
‫لألميانت‬ ‫المعرضة‬ ‫المهن‬
‫األميانت‬ ‫داء‬
‫األميانت‬ ‫داء‬
‫األميانت‬ ‫داء‬
‫األميانت‬ ‫داء‬
‫األميانت‬ ‫داء‬

‫التعرض‬ ‫من‬ ‫سنوات‬ ‫بعد‬ ‫يبدأ‬

‫الرئتين‬ ‫من‬ ‫السفلية‬ ‫األقسام‬ ‫في‬ ‫يبدأ‬

‫التبغ‬ ‫و‬ ‫األميانت‬ ‫بين‬ ‫تآزري‬ ‫فعل‬ ‫يوجد‬

‫مهني‬ ‫غير‬ ‫تعرض‬ ‫يوجد‬
(
‫المعرضين‬ ‫العمال‬ ‫عائالت‬
)

ً‫ا‬‫سريري‬
:

‫األعراض‬ ‫تتأخر‬
‫السريرية‬
‫الشعاعية‬ ‫المظاهر‬ ‫عن‬

‫الجهد‬ ‫على‬ ‫مترقية‬ ‫زلة‬
+
‫جاف‬ ‫سعال‬

‫مع‬ ‫الراحة‬ ‫على‬ ‫الزلة‬ ‫تصبح‬ ‫المرض‬ ‫ترقي‬ ‫مع‬
‫خراخر‬
‫منتشرة‬
‫باالص‬
‫غاء‬
‫تدخين‬ ‫التآزر‬
-
‫أميانت‬
‫تدخين‬ ‫التآزر‬
-
‫أميانت‬
‫األميانت‬ ‫لداء‬ ‫الشعاعية‬ ‫العالمات‬

‫بقع‬
‫جنبية‬
‫متسمكة‬
‫الوريقة‬ ‫على‬ ‫متكلسة‬ ‫أو‬
‫الجدارية‬
‫للجنب‬
‫الرئتين‬ ‫من‬ ‫السفلية‬ ‫لألقسام‬ ‫المغلفة‬ ‫خاصة‬ ‫و‬
‫و‬
‫الحاجز‬ ‫للحجاب‬

‫الجانب‬ ‫ثنائي‬ ً‫ا‬‫غالب‬ ‫حميد‬ ‫جنب‬ ‫انصباب‬

‫منتشر‬ ‫رئوي‬ ‫تليف‬

‫رئوي‬ ‫انخماص‬
.

‫الرئة‬ ‫وظائف‬
‫الحيوية‬ ‫السعة‬ ‫تنقص‬ ‫حيث‬ ‫حاصر‬ ‫تناذر‬
.
•
‫القصبات‬ ‫غسالة‬ ‫مع‬ ‫الرئة‬ ‫تنظير‬
‫و‬
‫في‬ ‫زيادة‬ ‫تظهر‬ ‫الخلوية‬ ‫الدراسة‬
‫الخاليا‬
‫اللمفاوية‬
‫و‬
‫األجسام‬ ‫وجود‬
‫االسبستوزية‬
‫الجسم‬ ‫يتشكل‬
‫االسبستوزي‬
‫من‬
‫توضغ‬
‫الفيرتين‬
‫ح‬ ‫البروتين‬ ‫و‬
‫الليف‬ ‫ول‬
‫األميانتي‬
.
‫األميانت‬
..
‫الجنبية‬ ‫البقع‬
‫األميانت‬
..
‫الجنبية‬ ‫البقع‬
‫رئوي‬ ‫انخماص‬
‫رئوي‬ ‫انخماص‬

‫الخاصة‬ ‫المضاعفات‬ ‫أهم‬
‫باألميانت‬
:

‫الرئة‬ ‫انتفاخ‬

‫المزمن‬ ‫القصبات‬ ‫التهاب‬

‫الرئة‬ ‫سرطان‬

‫ورم‬
‫الريقة‬
‫المتوسطة‬
Mesothelioma
‫الجنبي‬
‫أو‬
‫البريتواني‬
Mesothelioma
‫األميانت‬
..
‫الوقاية‬

‫األميانت‬ ‫داء‬ ‫من‬ ‫الوقاية‬

‫الداء‬ ‫لهذا‬ ‫عالج‬ ‫يوجد‬ ‫ال‬

ً‫ا‬‫أمان‬ ‫أكثر‬ ‫بمواد‬ ‫األميانت‬ ‫استبدال‬

‫الفردية‬ ‫الوقاية‬ ‫وسائط‬ ‫استعمال‬
‫و‬
‫الجماعية‬

‫الطبي‬ ‫الفحص‬
‫البدئي‬

‫الدوري‬ ‫الطبي‬ ‫الفحص‬

‫التدخين‬ ‫عن‬ ‫اإلقالع‬

‫للعمال‬ ‫الصحي‬ ‫التثقيف‬

4_5893459776024610607.pptx

  • 1.
  • 2.
    ‫تعاريف‬  ‫الغبار‬ ‫استنشاق‬ ‫عن‬‫ينجم‬ ‫رئوي‬ ‫مرض‬ ‫هو‬ ‫الرئة‬ ‫تغبر‬ .  ‫الصلبة‬ ‫الحالة‬ ‫في‬ ‫جزيئية‬ ‫مواد‬ ‫هو‬ ‫الغبار‬ .  ‫من‬ ‫التخلص‬ ‫على‬ ‫قادرة‬ ‫الرئة‬ ‫ذرات‬ ‫بفضل‬ ‫الغبار‬ ( ‫ب‬ ‫الغبار‬ ‫التصاق‬ ‫المخاط‬ ‫و‬ ‫الصاعدة‬ ‫األهداب‬ ‫حركة‬ ... ‫السعال‬ )
  • 3.
    ‫الحجم‬ ‫حيث‬ ‫من‬‫األغبرة‬ ‫تصنيف‬  ‫ال‬ ‫جزيئات‬ ‫الغبارية‬ < 10 ‫يحوي‬ ‫بالتالي‬ ‫و‬ ‫األرض‬ ‫على‬ ‫تهبط‬ ‫ميكرون‬ ‫المستنشق‬ ‫الهواء‬ ‫االجزيئات‬ ‫ألدق‬ .  ‫الجزيئات‬ 5 - 10 ‫العلوية‬ ‫التنفسية‬ ‫الطرق‬ ‫في‬ ‫تلتقط‬ ‫ميكرون‬  ‫الجزيئات‬ 3 - 5 ‫المتوسطة‬ ‫التنفسية‬ ‫الطرق‬ ‫في‬ ‫تستقر‬ ‫ميكرون‬  ‫الجزيئات‬ > 3 ‫لألسناخ‬ ‫تصل‬ ‫ميكرون‬ .
  • 4.
    ‫الح‬ ‫الفعل‬ ‫حيث‬‫من‬ ‫األغبرة‬ ‫تصنيف‬ ‫يوي‬  ‫لليف‬ ‫المولدة‬ ‫األغبرة‬ ( fibrogenic ) ً‫ال‬‫تفاع‬ ‫تحدث‬ ‫التي‬ ‫األغبرة‬ ‫هي‬ ‫تلي‬ ً‫ا‬‫في‬ ‫الرئوي‬ ‫النسيج‬ ‫في‬ ً‫ا‬‫مدمر‬  ‫لليف‬ ‫المولدة‬ ‫غير‬ ‫األغبرة‬ ( Non-Fibrogenic )  ‫الهامدة‬ ‫األغبرة‬ ( Inert ) ‫خاص‬ ‫تفاعال‬ ‫تحدث‬ ‫أن‬ ‫غير‬ ‫من‬ ‫الجسم‬ ‫في‬ ‫تتجمع‬ ً‫ا‬ ‫الرئوية‬ ‫الوظيفة‬ ‫تعيق‬ ‫لكنها‬ ‫التنظيفية‬ .  ‫السامة‬ ‫األغبرة‬ ( Toxic :) ‫معدنية‬ ‫مركبات‬ ( ‫رصاص‬ - ‫كروم‬ - ).. ‫في‬ ‫تؤثر‬ ‫أخرى‬ ‫أعضاء‬ ‫و‬ ‫للدخول‬ ً‫ا‬‫طريق‬ ‫الرئة‬ ‫تكون‬ .  ‫للحساسية‬ ‫المولدة‬ ‫األغبرة‬ ( Allergenic ) ‫تفاعال‬ ‫تسبب‬ ً‫ا‬‫تحسسي‬ .. ‫الرب‬ ‫و‬
  • 5.
     ‫اإلمراضية‬ Pathology  ‫اللم‬ ‫العقد‬ ‫ثم‬‫األسناخ‬ ‫و‬ ‫القصيبات‬ ‫في‬ ‫الغبارية‬ ‫الذرات‬ ‫تستقر‬ ‫فاوية‬  ‫مترقي‬ ‫تليف‬ .  ‫التليف‬ ‫إحداث‬ ‫على‬ ‫الغبار‬ ‫بقدرة‬ ‫التليف‬ ‫ترقي‬ ‫يتعلق‬ ‫و‬ ‫بالجر‬ ‫المؤثرة‬ ‫عة‬ ‫عديدة‬ ‫أعوام‬ ‫خالل‬ .  ‫رئوية‬ ‫أمراض‬ ‫كوجود‬ ‫المضيف‬ ‫لدى‬ ‫عوامل‬ ‫و‬ ‫التدخين‬ .
  • 6.
    ‫األميانت‬ ‫داء‬ Asbestosis  ‫التعريف‬ : ‫للرئتي‬ ‫منتشر‬‫خاللي‬ ‫بتليف‬ ‫يتميز‬ ‫مزمن‬ ‫رئوي‬ ‫مرض‬ ‫يسببه‬ ‫ن‬ ‫األميانت‬ ‫لغبار‬ ‫التعرض‬ . ‫لألميانت‬ ‫يتعرض‬ :  ‫المناجم‬ ‫عمال‬ , ‫التعدين‬ , ‫البالط‬ ‫و‬ ‫األسمنت‬ , ‫الكهرباء‬ ‫عوازل‬ , ‫عمال‬ ‫الصحية‬ ‫التمديدات‬ .  ‫والهدم‬ ‫البناء‬ ‫أعمال‬ .  ‫الفرامل‬ ‫وصيانة‬ ‫صناعة‬ .  ‫للحرارة‬ ‫المضادة‬ ‫األلبسة‬ ‫صناعة‬ .
  • 7.
    ‫األميانت‬ ‫خصائص‬  ‫خاصة‬ ‫مناجم‬‫من‬ ‫استخراجها‬ ‫يتم‬ ‫ألياف‬ ‫من‬ ‫تتألف‬ ‫معادن‬  ‫المعدنية‬ ‫السيليكات‬ ‫لبعض‬ ‫يرمز‬ ‫عام‬ ‫مصطلح‬ ‫هو‬ ‫األميانت‬ . ‫المغنزي‬ ‫و‬ ‫وم‬ ‫األلمنيوم‬ ‫أو‬ ‫السيليس‬ ‫أكسيد‬ ‫ثاني‬ .  ‫األلياف‬ ‫أشكال‬ ‫األميانتية‬ : ‫كريزوليت‬ , ‫أموزيت‬ , ‫أنتوفيليت‬ , ‫كروس‬ ‫يودوليت‬  ‫للحرارة‬ ‫مقاوم‬ ‫و‬ ‫للحرارة‬ ‫موصل‬ ‫غير‬  ‫مقاوم‬ ‫للتخريش‬ ‫الكيميائي‬  ‫للنار‬ ‫مقاوم‬  ‫للكهرباء‬ ‫عازل‬
  • 8.
  • 9.
  • 10.
  • 11.
  • 13.
  • 14.
  • 15.
  • 16.
    ‫األميانت‬ ‫داء‬  ‫التعرض‬ ‫من‬‫سنوات‬ ‫بعد‬ ‫يبدأ‬  ‫الرئتين‬ ‫من‬ ‫السفلية‬ ‫األقسام‬ ‫في‬ ‫يبدأ‬  ‫التبغ‬ ‫و‬ ‫األميانت‬ ‫بين‬ ‫تآزري‬ ‫فعل‬ ‫يوجد‬  ‫مهني‬ ‫غير‬ ‫تعرض‬ ‫يوجد‬ ( ‫المعرضين‬ ‫العمال‬ ‫عائالت‬ )  ً‫ا‬‫سريري‬ :  ‫األعراض‬ ‫تتأخر‬ ‫السريرية‬ ‫الشعاعية‬ ‫المظاهر‬ ‫عن‬  ‫الجهد‬ ‫على‬ ‫مترقية‬ ‫زلة‬ + ‫جاف‬ ‫سعال‬  ‫مع‬ ‫الراحة‬ ‫على‬ ‫الزلة‬ ‫تصبح‬ ‫المرض‬ ‫ترقي‬ ‫مع‬ ‫خراخر‬ ‫منتشرة‬ ‫باالص‬ ‫غاء‬
  • 17.
  • 18.
  • 19.
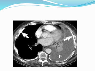
    ‫األميانت‬ ‫لداء‬ ‫الشعاعية‬‫العالمات‬  ‫بقع‬ ‫جنبية‬ ‫متسمكة‬ ‫الوريقة‬ ‫على‬ ‫متكلسة‬ ‫أو‬ ‫الجدارية‬ ‫للجنب‬ ‫الرئتين‬ ‫من‬ ‫السفلية‬ ‫لألقسام‬ ‫المغلفة‬ ‫خاصة‬ ‫و‬ ‫و‬ ‫الحاجز‬ ‫للحجاب‬  ‫الجانب‬ ‫ثنائي‬ ً‫ا‬‫غالب‬ ‫حميد‬ ‫جنب‬ ‫انصباب‬  ‫منتشر‬ ‫رئوي‬ ‫تليف‬  ‫رئوي‬ ‫انخماص‬ .
  • 20.
     ‫الرئة‬ ‫وظائف‬ ‫الحيوية‬ ‫السعة‬‫تنقص‬ ‫حيث‬ ‫حاصر‬ ‫تناذر‬ . • ‫القصبات‬ ‫غسالة‬ ‫مع‬ ‫الرئة‬ ‫تنظير‬ ‫و‬ ‫في‬ ‫زيادة‬ ‫تظهر‬ ‫الخلوية‬ ‫الدراسة‬ ‫الخاليا‬ ‫اللمفاوية‬ ‫و‬ ‫األجسام‬ ‫وجود‬ ‫االسبستوزية‬ ‫الجسم‬ ‫يتشكل‬ ‫االسبستوزي‬ ‫من‬ ‫توضغ‬ ‫الفيرتين‬ ‫ح‬ ‫البروتين‬ ‫و‬ ‫الليف‬ ‫ول‬ ‫األميانتي‬ .
  • 22.
  • 24.
  • 25.
  • 26.
  • 27.
     ‫الخاصة‬ ‫المضاعفات‬ ‫أهم‬ ‫باألميانت‬ :  ‫الرئة‬‫انتفاخ‬  ‫المزمن‬ ‫القصبات‬ ‫التهاب‬  ‫الرئة‬ ‫سرطان‬  ‫ورم‬ ‫الريقة‬ ‫المتوسطة‬ Mesothelioma ‫الجنبي‬ ‫أو‬ ‫البريتواني‬
  • 28.
  • 29.
    ‫األميانت‬ .. ‫الوقاية‬  ‫األميانت‬ ‫داء‬ ‫من‬‫الوقاية‬  ‫الداء‬ ‫لهذا‬ ‫عالج‬ ‫يوجد‬ ‫ال‬  ً‫ا‬‫أمان‬ ‫أكثر‬ ‫بمواد‬ ‫األميانت‬ ‫استبدال‬  ‫الفردية‬ ‫الوقاية‬ ‫وسائط‬ ‫استعمال‬ ‫و‬ ‫الجماعية‬  ‫الطبي‬ ‫الفحص‬ ‫البدئي‬  ‫الدوري‬ ‫الطبي‬ ‫الفحص‬  ‫التدخين‬ ‫عن‬ ‫اإلقالع‬  ‫للعمال‬ ‫الصحي‬ ‫التثقيف‬