Embed presentation
Download to read offline















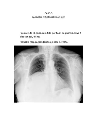
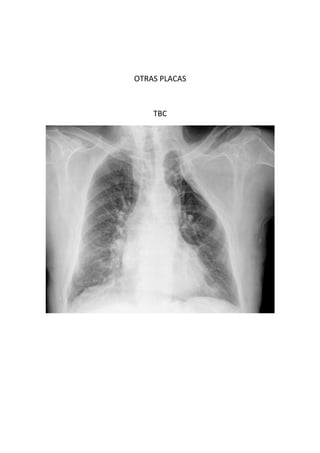
Este documento presenta 7 casos de patología torácica que serán discutidos en una sesión de interpretación radiológica. El objetivo es que los asistentes tomen notas aclaratorias durante la discusión interactiva de cada caso, en lugar de una mera explicación teórica. Los casos incluyen agenesia pulmonar derecha, situs inversus, estridor, neumonía con hemoptisis y enfermedad intersticial. El último caso involucra a un paciente de 86 años con tos y disnea que podría tener una consolidación en la base













