Successfully reported this slideshow.
We use your LinkedIn profile and activity data to personalize ads and to show you more relevant ads. You can change your ad preferences anytime.

PHÂN TÍCH HÌNH ẢNH X QUANG LỒNG NGỰC

79,786 views

Published on

HÔ HẤP

Published in: Health & Medicine
  • Sex in your area is here: ♥♥♥ http://bit.ly/2Qu6Caa ♥♥♥
       Reply 
    Are you sure you want to  Yes  No
    Your message goes here
  • Follow the link, new dating source: ♥♥♥ http://bit.ly/2Qu6Caa ♥♥♥
       Reply 
    Are you sure you want to  Yes  No
    Your message goes here
  • DỊCH VỤ THIẾT KẾ POWERPOINT (Thiết kế profile cho doanh nghiệp--- Thiết kế Brochure--- Thiết kế Catalogue--- slide bài giảng--- slide bài phát biểu---slide bài TIỂU LUẬN, LUẬN VĂN TỐT NGHIỆP--- dạy học viên thiết kế powerpoint---- LÀM NỘI DUNG HỒ SƠ NĂNG LỰC CÔNG TY…)-----(Giá từ 8.000 đ - 10.000 đ/1trang slide)------ Mọi chi tiết vui lòng liên hệ với chúng tôi: điện thoại 0973.764.894 hoặc zalo 0973.764.894 (Miss. Huyền)
       Reply 
    Are you sure you want to  Yes  No
    Your message goes here
  • Slide 10: bóng tim lớn hơn khi chụp tia trước sau
       Reply 
    Are you sure you want to  Yes  No
    Your message goes here

PHÂN TÍCH HÌNH ẢNH X QUANG LỒNG NGỰC

  1. 1. PHÂN TÍCH HÌNH ẢNH X QUANG LỒNG NGỰC Báo cáo viên: ThS. Lê Khắc Bảo Bộ môn Nội – Đại học Y Dược TPHCM
  2. 2. NỘI DUNG TRÌNH BÀY I. Hình phổi bình thường – Mốc giải phẫu II. Tổn thương giảm đậm độ (hình sáng) III. Tổn thương tăng đậm độ (hình mờ)
  3. 3. NỘI DUNG TRÌNH BÀY I. Hình phổi bình thường – Mốc giải phẫu 1. Tiêu chuẩn chấp nhận được của phim XQ 2. Thùy – phân thùy – tiểu thùy phổi – phế nang 3. Cửa sổ phế chủ – Rốn phổi 4. Trung thất: Trước – Giữa – Sau 5. Dải cạnh phải khí quản 6. Thùy Azygos
  4. 4. THỨ TỰ PHÂN TÍCH • Hít đủ sâu • Chụp đứng • Tia sau – trước • Xuyên thấu tốt  Kiểm tra tên và ngày chụp  Kiểm tra chất lượng phim  Phân tích thành ngực  Phân tích khung xương  Phân tích trung thất  Phân tích phế trường, so sánh hai bên KHÔNG NGOẠI LỆ !
  5. 5. PHIM XQ PHỔI ĐẠT CHUẨN  Hít đủ sâu  Tư thế chụp: đứng ngay thẳng  Tia sau trước  Cường độ tia đúng mức
  6. 6. Hít không đủ sâu  Mờ vùng đáy giả tạo Hít lại cho đủ sâu  Biến mất vùng mờ ở đáy
  7. 7. Cung sườn 9 sau Cung sườn 6 trước Nằm trên cơ hoành 1 2 3 4 5 6 7 8 9 1 2 3 4 5 6
  8. 8. Tư thế chụp nằm Tư thế chụp đứng TƯ THẾ CHỤP ĐỨNG
  9. 9. Tư thế chụp đỉnh ưỡn Hình ảnh tim giả lớn Tư thế chụp thẳng sau – trước Hình ảnh tim bình thường TƯ THẾ CHỤP ĐỨNG
  10. 10. D1 D2 D1 D2 Bóng tim lớn hơn khi tia sau trước
  11. 11. TƯ THẾ ĐỨNG NGAY
  12. 12. Vị trí xương đòn • Xương sườn 1 trước • Xương sườn 3, 4 sau 1 2 3 4 TƯ THẾ ĐỨNG NGAY
  13. 13. Tương phản tốt Thấy rõ mạch máu phổi sau cơ hoành và sau tim Thấy rõ đường cạnh động mạch chủ xuống Thấy rõ đốt sống sau trung thất
  14. 14. Tia quá mềm không thấy được chi tiết trong trung thất Tia quá cứng không thấy được chi tiết trong nhu mô
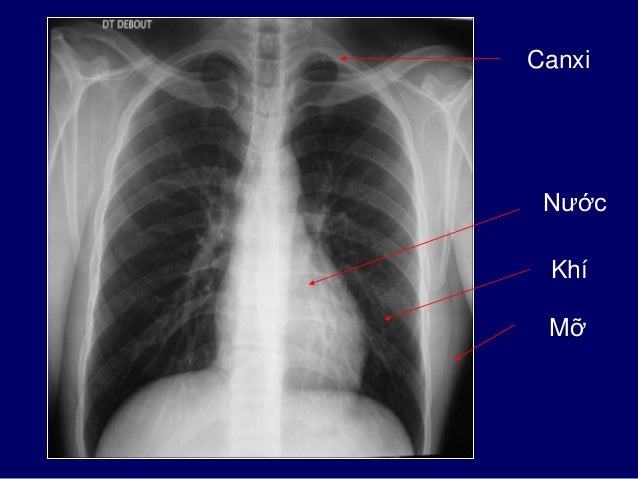
  15. 15. QUI ƯỚC ĐỘ CẢN TIA TRÊN XQ Canxi Nước Mỡ Khí
  16. 16. Canxi Nước Khí Mỡ
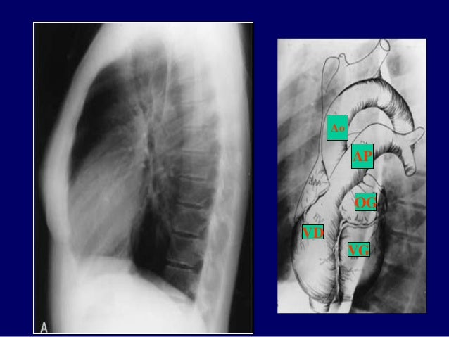
  17. 17. OD VD VG Ao AP Ao VD OG VG AP
  18. 18. Face VCS OD Ao AP VG Ao VD OG VG Profil OD OG VG VD AP
  19. 19. TRUNG THẤT Tim – Màng ngoài tim – Quai ĐMC Khí quản – Thực quản phần trước Hạch lympho – Động mạch phổi Teratoma Thymus Thyroid Terrible lymphoma Thực quản ĐMC xuống Hạch giao cảm ngực Cạnh cột sống Xương sống
  20. 20. CỬA SỔ PHẾ CHỦ
  21. 21. RỐN PHỔI
  22. 22. Artère pulmonaire GArtère pulmonaire Dte
  23. 23. CÁC THÙY & PHÂN THÙY PHỔI
  24. 24. TÊN PHÂN THÙY PHỔI A.P.A.L.M.S.M.A.L.P
  25. 25. Les poumons = 3 lobes à droite, 2 lobes à gauche
  26. 26. Petite scissure LSG LM LID LSD LIG
  27. 27. Profil droit Petite scissure Grande scissure LSD LM LID
  28. 28. Scissure gauche LSG Lingula = LM LIG Culmen = LSD Profil gauche
  29. 29. TIỂU THÙY PHỔI
  30. 30. TIỂU THÙY PHỔI
  31. 31. Ao AP VD OG VG
  32. 32. Face VCS OD Ao AP VG Ao VD OG VG Profil OD OG VG VD AP
  33. 33. Tim và mạch máu trung thất Động mạch chủ lên Tĩnh mạch chủ trên Động mạch phổi Thất phải Động mạch chủ xuống Thất trái
  34. 34. MẠCH MÁU TRUNG THẤT Động mạch chủ xuống Quai động mạch chủ
  35. 35. Mạch máu trung thất Động mạch phổi phải Động mạch phổi trái
  36. 36. DẢI CẠNH PHẢI KHÍ QUẢN  Dải mờ, đậm độ mô mềm mỏng < 4 mm, dài 3 – 4 cm  Chạy theo chiều dọc từ đầu trong xương đòn đến bờ phải góc khí – phế quản.  Tương ứng bờ phải khí quản, tiếp giáp trung thất và màng phổi  Xuất hiện trên 94% người trưởng thành
  37. 37. THÙY AZYGOS
  38. 38. NỘI DUNG TRÌNH BÀY II. Tổn thương giảm đậm độ (hình sáng) A. Liềm hơi B. Bọt / Bóng khí C. Nang – Kén – Hang D. Giãn phế quản – Giãn tiểu phế quản E. Ứ khí phế nang F. Tổn thương tràn khí
  39. 39. LIỀM HƠI  Tập hợp khí thành dạng liềm ngăn cách thành hang với khối mờ bên trong  Thường xem là đặc hiệu cho Aspergillus trên hang có sẵn từ trước hoặc là do sự co kéo của vùng phổi hoại tử  Cũng có thể gặp trong các bệnh khác: lao, tăng sinh u hạt Wegener, xuất huyết trong hang, K phế quản
  40. 40. ASPERGILOMA THÙY TRÊN PHẢI + XƠ PHỔI HAI ĐÁY
  41. 41. BỌT / BÓNG KHÍ  Bóng khí: o Hình tròn giảm đậm độ, đ/k > 1 cm, thành < 1mm o Kèm khí phế thủng trung tâm tiểu thùy / cạnh vách  Bọt khí: o Hình tròn giảm đậm độ đ/k < 1 cm, thành < 1 mm o Hay nằm sát màng phổi o Ít ý nghĩa lâm sàng khi phân biệt bọt với bóng khí
  42. 42. KHÍ PHẾ THỦNG + BÓNG KHÍ KHÔNG ĐIỂN HÌNH THÙY TRÊN
  43. 43. KÉN NANG HANG
  44. 44. NANG DƯỚI RỐN PHỔI TRÁI
  45. 45. GIÃN PHẾ QUẢN
  46. 46. GIÃN PHẾ QUẢN THÙY DƯỚI PHẢI
  47. 47. KHÍ PHẾ THỦNG
  48. 48. KHÍ PHẾ THỦNG THÙY TRÊN
  49. 49. KHÍ PHẾ THỦNG THÙY DƯỚI
  50. 50. TRÀN KHÍ
  51. 51. TKMP (T) ÁP LỰC
  52. 52. TKMP (P)   TƯỚI MÁU PHỔI (T)
  53. 53. THÔNG ĐIỆP CẦN NHỚ VỀ TỔN THƯƠNG TRÀN KHÍ  Tìm dấu mất nhu mô + lá tạng màng phổi  Tìm có dấu TKMP áp lực  Phim XQ thì thở ra giúp thấy rõ TKMP nhỏ  Cần phân biệt với nếp gấp da, bóng khí  Hễ thấy gãy xương sườn thì tìm TKMP  TKMP lượng lớn có thể  tăng tưới máu phổi còn lại
  54. 54. NỘI DUNG TRÌNH BÀY III. Tổn thương tăng đậm độ (hình mờ) A. Các qui ước về thuật ngữ và dấu hiệu: • Hình mờ /Thâm nhiễm; • Đông đặc / Kính mờ • Khí ảnh phế quản / Xóa mờ • Hào quang / Hào quang đảo ngược
  55. 55. HÌNH MỜ / THÂM NHIỄM  Hình mờ: o Vùng nhu mô tăng cản tia XQ và trở nên mờ hơn mô xung quanh. o Không đặc hiệu, không chỉ mức độ bệnh nặng o Cần được gọi tên chính xác là đông đặc, kính mờ, đường mờ .v.v.  Thâm nhiễm: o Trước đây dùng để tả một vùng phổi mờ do bệnh phế nang, mô kẽ o Gây tranh cãi vì mang các ý nghĩa khác nhau o Hiện nay không còn được khuyến cáo sử dụng nữa
  56. 56. ĐÔNG ĐẶC / KÍNH MỜ • ĐÔNG ĐẶC: – Đậm độ cao hơn – Bờ mạch máu & phế quản bị xóa – Khí ảnh phế quản (±) • KÍNH MỜ: – Đâm độ thấp hơn – Bờ mạch máu & phế quản không bị xóa
  57. 57. KHÍ ẢNH PHẾ QUẢN / XÓA MỜ • KHÍ ẢNH PHẾ QUẢN: – Phế quản còn thông, chứa không khí – Nằm giữa vùng mô xung quanh đông đặc • XÓA MỜ: – Biến mất ranh giới giữa hai cấu trúc – Hai cấu trúc cản quang nằm sát nhau
  58. 58. HÀO QUANG HÀO QUANG ĐẢO NGƯỢC
  59. 59. NỘI DUNG TRÌNH BÀY III. Các tổn thương tăng đậm độ (hình mờ) B. Các tổn thương tăng đậm độ hình đám khu trú: 1. Đông đặc phổi 2. Xẹp phổi 3. Tràn dịch màng phổi 4. U phổi 5. Trung thất lớn 6. Tổn thương tăng đậm độ khu trú khác
  60. 60. 1. ĐÔNG ĐẶC – KÍNH MỜ CÁC NGUYÊN NHÂN  Nhiễm trùng phổi  Phù phổi do tim hay không do tim  Ung thư: phế quản – phế nang; lymphoma  Xuất huyết trong phổi
  61. 61. NHIỄM TRÙNG PHỔI
  62. 62. PHÙ PHỔI
  63. 63. UNG THƯ
  64. 64. XUẤT HUYẾT PHỔI
  65. 65. THÔNG ĐIỆP CẦN NHỚ VỀ TỔN THƯƠNG ĐÔNG ĐẶC  Đông đặc là tổn thương không đặc hiệu  Dạng đông đặc và đặc điểm đi kèm giúp chẩn đoán nguyên nhân  Theo dõi để đảm bảo tổn thương đã hết là rất quan trọng  Cải thiện trên X quang phổi có thể chậm hơn cải thiện lâm sàng (3 tháng)
  66. 66. 2. XẸP PHỔI – Hình mờ + giảm thể tích phổi – Thay đổi vị trí bất thường của phế quản, mạch máu, tim, cơ hoành, trung thất – Đặc biệt: hình dĩa, dải, tròn
  67. 67. XẸP PHỔI NGUYÊN NHÂN – PHÂN LOẠI  Tắc đường thở o U bướu o Đàm nhớt o Dị vật  Chèn ép từ ngoài o Dịch (TDMP) o Khí (TKMP) o U bướu  Xơ hóa nhu mô phổi sau lao, sau xạ .v.v.  Xẹp toàn bộ phổi  Xẹp thùy phổi o Phải: trên, giữa, dưới o Trái: trên, dưới  Xẹp dưới phân thùy  Xẹp tiểu phế quản tận – phế nang
  68. 68. XẸP TOÀN BỘ PHỔI
  69. 69. XẸP THÙY PHỔI PHỔI PHẢI PHỔI TRÁI
  70. 70. XẸP THÙY TRÊN PHỔI PHẢI
  71. 71. XẸP THÙY GIỮA PHỔI PHẢI
  72. 72. XẸP THÙY DƯỚI PHỔI PHẢI
  73. 73. XẸP THÙY TRÊN PHỔI TRÁI
  74. 74. XẸP THÙY DƯỚI PHỔI TRÁI
  75. 75. XẸP PHỔI DƯỚI PHÂN THÙY
  76. 76. XẸP PHẾ NANG – TIỂU PHẾ QUẢN TẬN SAU THỜI GIAN THEO DÕITHỜI ĐIỂM BAN ĐẦU
  77. 77. THÔNG ĐIỆP CẦN NHỚ VỀ TỔN THƯƠNG XẸP PHỔI  Giảm thể tích là đặc điểm quan trọng của tổn thương xẹp phổi  Dịch chuyển vị trí các cấu trúc bình thường là dấu chỉ của giảm thể tích phổi  Xẹp phổi làm thay đổi diện tiếp xúc bình thường giữa khí và mô mềm  Theo dõi để đảm bảo tổn thương đã hết là rất quan trọng
  78. 78. 3. TRÀN DỊCH / DÀY MÀNG PHỔI  Dấu hiệu điển hình của TDMP: o Mờ vùng thấp (đáy phổi) o Đường cong lõm góc sườn hoành  Dấu hiệu gợi ý dày màng phổi ≠ TDMP: o Mất đường cong lõm  lên + giảm thể tích phổi o Mờ lên tận đỉnh phổi (cần ≠ TDMP khu trú) o Tổn thương ổn định so phim cũ  Cần phân biệt với xẹp, đông đặc phổi
  79. 79. TDMP (P) LƯỢNG VỪA
  80. 80. DÀY MÀNG PHỔI TRÁI
  81. 81. BIẾN CHỨNG DÀY MÀNG PHỔI SAU DẪN LƯU MỦ MÀNG PHỔI (T)
  82. 82. TRÀN MỦ MÀNG PHỔI (T)
  83. 83. TDMP (P) LƯỢNG LỚN
  84. 84. XẸP TOÀN BỘ PHỔI (P)
  85. 85. DẤU HIỆU GỢI Ý NGUYÊN NHÂN  Dấu hiệu gợi ý nguyên nhân ác tính: o Giảm thể tích phổi / U hay dày màng phổi o Di căn xương (hủy xương), phổi (nốt phổi)  Dấu hiệu gợi ý nguyên nhân lành tính o TDMP hai bên  hiếm khi do ung thư o Đông đặc phía trên  nhiễm trùng o Đông đặc hình chêm  nhồi máu o Chụp XQ sau tháo dịch giúp tìm nguyên nhân
  86. 86. TDMP (T) DO MESOTHELIOMA
  87. 87. TDMP (T) DO UNG THƯ DI CĂN
  88. 88. TDMP (P) + XẸP THÙY GIỮA (P)
  89. 89. 4. U PHỔI • Khối mờ đường kính thay đổi: • > 3 cm  U • ≤ 3 cm  Nốt • < 3 mm  Nốt nhỏ • < 1 mm  Hạt kê • U nấm: • Xuất hiện trên nền hang • U có thể thay đổi vị trí theo trọng lực
  90. 90. ĐẶC ĐIỂM KHỐI U CẦN MÔ TẢ  Vị trí: quanh rốn và thùy trên phổi  Kích thước: to/nhỏ, thay đổi so phim cũ  Bờ nham nhở hay đều  Trong khối u: Calci hóa, hang hóa  Kèm bất thường: hạch, hủy xương sườn
  91. 91. ĐẶC ĐIỂM KHỐI U CẦN MÔ TẢ
  92. 92. THỜI GIAN THEO DÕI KHỐI U
  93. 93. HAMARTOMA
  94. 94. U HẠT WEGENER
  95. 95. ÁP XE
  96. 96. U ÁC TÍNH
  97. 97. 5. TRUNG THẤT LỚN Vị trí Bệnh lý Trước (4T) Teratoma (U quái) Thyroid (Tuyến giáp thòng) Thymoma (U tuyến ức) Terrible lymphoma (Ung thư hạch) Giữa Hạch Hạch lympho lớn Tim Lớn nhĩ, lớn thất, tim xoay phải Màng ngoài tim Tràn dịch, nang màng ngoài tim Quai động mạch chủ Phình, bóc tách quai động mạch chủ Khí quản, phế quản U khí quản, nang khí quản,phế quản Thực quản thành trước Nang thực quản Sau Thực quản Hẹp, K, thoát vị qua lỗ thực quản Động mạch chủ xuống Phình động mạch chủ xuống Chuỗi hạch giao cảm U thần kinh sinh Cạnh cột sống Áp xe, di căn cạnh cột sống Tủy sống Ổ tạo máu ngoài tủy
  98. 98. TRUNG THẤT TRƯỚC TERATOMA – U QUÁI
  99. 99. TRUNG THẤT GiỮA HẠCH LYMPHO LỚN
  100. 100. TRUNG THẤT GIỮA TIM LỚN TOÀN BỘ
  101. 101. TRUNG THẤT GIỮA ĐẢO NGƯỢC PHỦ TẠNG
  102. 102. TRUNG THẤT GIỮA TRÀN DỊCH MÀNG NGOÀI TIM
  103. 103. TRUNG THẤT GIỮA TĂNG ÁP ĐỘNG MẠCH PHỔI
  104. 104. TRUNG THẤT SAU THOÁT VỊ HOÀNH
  105. 105. TRUNG THẤT SAU PHÌNH ĐỘNG MẠCH CHỦ XUỐNG
  106. 106. 6. CÁC TỔN THƯƠNG KHÁC NHỒI MÁU PHỔI  Dấu hiệu “Hampton hump”  Hình mờ hình tam giác hay hình vòm  Đáy nằm trên màng phổi  Đỉnh nhọn hướng về rốn phổi
  107. 107. 5. CÁC TỔN THƯƠNG KHÁC SẠN PHẾ QUẢN
  108. 108. 5. CÁC TỔN THƯƠNG KHÁC HẠCH LYMPHO LỚN
  109. 109. 5. CÁC TỔN THƯƠNG KHÁC MẢNG MÀNG PHỔI
  110. 110. NỘI DUNG TRÌNH BÀY III. Các tổn thương tăng đậm độ (hình mờ) C. Tổn thương tăng đậm độ hình đường khu trú: 1. Dày vách liên thùy hình chuỗi hạt 2. Dày vách liên tiểu thùy 3. Dải nhu mô 4. Đường cong cạnh màng phổi
  111. 111. DÀY VÁCH LIÊN TIỂU THÙY
  112. 112. DẢI NHU MÔ
  113. 113. ĐƯỜNG CẠNH MÀNG PHỔI
  114. 114. ĐƯỜNG MỜ CÁC NGUYÊN NHÂN  Suy tim trái  Tuổi già  Lan tràn ung thư theo đường bạch mạch  Xẹo cũ nhu mô phổi  Xơ hóa phổi  Xẹp phế nang – tiểu phế quản tận  Xẹp phổi dưới phân thùy
  115. 115. SUY TIM TRÁI
  116. 116. TUỔI GIÀ
  117. 117. UNG THƯ BẠCH MẠCH
  118. 118. XẸO CŨ NHU MÔ PHỔI
  119. 119. XƠ PHỔI THÙY TRÊN
  120. 120. XƠ PHỔI THÙY GIỮA
  121. 121. XƠ PHỔI THÙY DƯỚI
  122. 122. XẸP PHỔI DƯỚI PHÂN THÙY
  123. 123. XẸP PHẾ NANG – TIỂU PHẾ QUẢN TẬN SAU THỜI GIAN THEO DÕITHỜI ĐIỂM BAN ĐẦU
  124. 124. ĐẶC ĐIỂM ĐƯỜNG MỜ THAY ĐỔI THEO NGUYÊN NHÂN
  125. 125. NGUYÊN NHÂN XƠ PHỔI Thùy trên Thùy giữa Thùy dưới  Lao  Viêm phế nang dị ứng ngoại sinh mạn tính  Xạ trị  Viêm cột sống cứng khớp  Xơ phổi lớn tiến triển tự miễn  Nhiễm Histoplasmosis  Sarcoidosis  Viêm phổi mô kẽ không do tác nhân vi sinh vật  Xơ phổi do tiếp xúc Asbestos  Xơ phổi do thuốc (thường gặp nhất)
  126. 126. THÔNG ĐIỆP CẦN NHỚ VỀ TỔN THƯƠNG ĐƯỜNG MỜ  Là biểu hiện bệnh tại đường thở, bạch mạch, tĩnh mạch và mô kẽ phổi  So sánh với phim cũ rất có ích để xác định nguyên nhân  Bệnh khác nhau  đường mờ khác nhau  Giảm thể tích phổi là triệu chứng quan trọng trong xơ phổi
  127. 127. NỘI DUNG TRÌNH BÀY III. Các tổn thương tăng đậm độ (hình mờ) D. Các tổn thương tăng đậm độ lan tỏa: 1. Tổn thương dạng nốt, lưới, lưới – nốt 2. Tổn thương dạng hạt kê 3. Tổn thương dạng tổ ong 4. Tổn thương dạng khảm 5. Tổn thương dạng cây đâm chồi
  128. 128. TỔN THƯƠNG DẠNG NỐT / LƯỚI / LƯỚI – NỐT NỐT LƯỚI LƯỚI - NỐT
  129. 129. TỔN THƯƠNG DẠNG HẠT KÊ NỐT HẠT KÊ
  130. 130. LAO KÊ
  131. 131. SARCOIDOSIS
  132. 132. GIÃN PHẾ QUẢN NHIỄM TRÙNG
  133. 133. UNG THƯ DI CĂN PHỔI
  134. 134. THÔNG ĐIỆP CẦN NHỚ VỀ TỔN THƯƠNG DẠNG NỐT  Nốt có thể nằm ở vị trí tinh tế dễ bỏ sót ví thế cần đọc kỹ từng vùng phổi theo thứ tự  Có vài đặc điểm gợi ý lành hay ác tính nhưng sinh thiết là bắt buộc  So sánh phim cũ là chìa khóa chẩn đoán  Vị trí, phân bố, và kích thước là các đặc điểm quan trọng  Cần tìm dấu hiệu thứ phát của ác tính
  135. 135. TỔN THƯƠNG DẠNG TỔ ONG
  136. 136. TỔN THƯƠNG DẠNG KHẢM
  137. 137. TỔN THƯƠNG DẠNG CÂY ĐÂM CHỒI
  138. 138. KẾT LUẬN 1) Kiến thức then chốt cần trang bị là: o Định nghĩa các dấu hiệu cơ bản o Các mốc giải phẫu quan trọng o Cơ chế hình thành tổn thương / X quang phổi 2) Các bước tiếp cận khi đọc XQ lồng ngực: o Nắm vững bệnh cảnh lâm sàng o Đọc lần lượt theo thứ tự các vùng để tránh sót o Liệt kê tổn thương  hay  giảm đậm độ từng vị trí o Liệt kê nguyên nhân từng tổn thương và biện luận

×