Successfully reported this slideshow.
We use your LinkedIn profile and activity data to personalize ads and to show you more relevant ads. You can change your ad preferences anytime.
Đại cương
Cẳng tay được giới hạn từ đường thẳng ngang ở
dưới nếp gấp khuỷu ba khoát ngón tay đến nếp gấp
xa nhất ở cổ tay...
Đại cương
Các loại gãy xương thường gặp:
Gãy thân hai xương cẳng tay
Gãy đơn thuần một thân xương quay hoặc trụ
Gãy trậ...
Định nghĩa
Gãy thân hai xương
cẳng tay là gãy tại
đoạn xương có màng
gian cốt, tức là:
 phía trên: cách
khoảng 2 cm dưới ...
Dịch tễ
Chiếm 15 – 20% các gãy xương ở vùng cẳng tay.
Gặp ở cả người lớn và trẻ em.
Là loại gãy xương có di lệch tương ...
Cơ chế chấn thương
Cơ chế trực tiếp: lực chấn thương tác động trực
tiếp, thường làm gãy ngang cả 2 xương ở cùng 1 vị
trí....
Phân loại
Theo vị trí gãy trên xương quay chia ra:
 Gãy 1/3 trên: gãy trên chỗ bám cơ sấp tròn.
 Gãy 1/3 giữa và 1/3 dư...
Di lệch
Chồng: thường chồng lên phía xg trụ nhiều hơn
phía xg quay.
Sang bên: đoạn xa so với đoạn gần, đồng thời 2
đoạn ...
Di lệch xoay theo trục xương
Quan trọng nhất là di lệch xoay của xương quay.
Gãy 1/3 trên xương quay:
Đoạn gần do tác độn...
Di lệch xoay theo trục xương
Gãy 2/3 dưới xương quay:
Đoạn gần có các cơ ngửa đồng thời có cả cơ sấp
tròn kéo sấp lại nên...
Tóm lại, các di lệch kể trên và di lệch
tạo hình chữ K, chữ X do tác động
của màng gian cốt làm cho di lệch
trong gãy thân...
Lâm sàng
Gãy thân hai xương cẳng tay có di lệch thường chẩn
đoán dễ dàng.
Lâm sàng
Các dấu hiệu chắc chắn:
Biến dạng: gập góc chỗ gãy làm cẳng tay cong, di
lệch sang bên làm cẳng tay gồ ra hình b...
Lâm sàng
Các dấu hiệu không chắc chắn:
Sưng nề ở cẳng tay trông tròn như một cái ống,
không rõ các nếp gấp nữa.
Có thể c...
Lâm sàng
Khi có chấn thương ở cẳng tay, bao giờ cũng phải
khám kỹ cả hai xương quay, trụ và cả hai khớp quay
trụ trên, dư...
Cận lâm sàng: X-quang
Chụp toàn bộ
cẳng tay ở tư thế
ngửa, lấy cả
khớp khuỷu và
khớp cổ tay.
Chụp ở hai bình
diện: thẳng...
Biến chứng
Biến chứng sớm:
Gãy kín thành gãy hở do đầu xương chọc ra ngoài.
Tổn thương thần kinh giữa, trụ, có thể cả dâ...
Biến chứng
Biến chứng muộn:
Hạn chế động tác: duỗi khuỷu, sấp ngửa cẳng tay,
xoay cổ tay; các ngón tay, bàn tay giảm tinh...
Điều trị
Nguyên tắc chung:
Nắn – Bất động – Tập vận động.
Có 2 phương pháp chính:
Điều trị bảo tồn
Điều trị phẫu thuật
Điều trị bảo tồn
Chỉ định:
Gãy vững
Gãy không di lệch hoặc ít di lệch
Gãy dưới chỗ bám của cơ sấp tròn
Có 2 cách nắn bó...
Nắn bằng khung
Điều trị bảo tồn
 Nắn kín và bó bột cánh-bàn tay.
 Thời gian bất động bằng bột: 8-12 tuần
Điều trị phẫu thuật
Chỉ định:
 Gãy 1/3 trên có di lệch
 Gãy 1/3 giữa và dưới nắn chỉnh không có kết quả
 Gãy hở
 Gãy x...
Ít gặp hơn gãy cả hai xương, có thể vì lực tác
động không đủ mạnh để bẻ gãy xương còn lại.
Thường gặp gãy 1/3 giữa xương...
Định nghĩa
Monteggia mô tả năm 1814 là gãy 1/3 trên xương trụ kết
hợp với trật chỏm xương quay ra trước.
Ngày nay gãy xư...
Cơ chế chấn thương
Nguyên nhân là do đưa tay lên đỡ đòn đánh trực
tiếp vào cẳng tay hoặc ngã đập mặt sau trong cẳng
tay x...
Phân loại
Bado chia các gãy trật Monteggia thành 4 loại:
Loại I
 Chỏm quay bị trật ra trước kết hợp với gãy xương trụ ở
bất kì vị trí nào với di lệch gập góc ra trước (góc mở ra
...
Loại II
 Chỏm quay di lệch ra sau hoặc ra sau ngoài,
gãy thân xương trụ với di lệch gập góc ra sau
(góc mở ra trước, thể ...
Loại III
 Chỏm quay di lệch ra ngoài hoặc trước ngoài
kết hợp với gãy xương trụ.
Loại IV
 Chỏm quay di lệch ra trước kết hợp với gãy 1/3 trên xương
quay và xương trụ cùng mức, hoặc gãy xương trụ với trậ...
Lâm sàng
Dấu hiệu gãy xương trụ:
Biến dạng gập góc mở ra sau hoặc mở ra trước, đôi khi
chỉ phát hiện khi sờ dọc 1/3 trên ...
Lâm sàng
Dấu hiệu trật chỏm quay:
Thể hiện qua trật khớp cánh tay-quay hay trật chỏm
quay: chỏm không còn ở vị trí bình t...
Cận lâm sàng: X-quang
Chụp khớp khuỷu ở 2 bình diện thẳng, nghiêng (trong tư
thế nghiêng khuỷu gấp 900
).
Xác định có gã...
Điều trị
Nguyên tắc: khôi phục tốt hình thể giải phẫu xg trụ để
tạo điều kiện nắn chỉnh xương quay.
Điều trị bảo tồn:
Chỉ...
Điều trị phẫu thuật
 Nếu nắn không vào nên mổ sớm để đặt lại khớp và kết hợp xương
xương trụ.
 Xương trụ gãy sẽ được cố ...
Định nghĩa
 Là loại gãy 1/3 dưới thân
xương quay kèm trật khớp
quay trụ dưới.
 Tổn thương giải phẫu gồm có:
 Gãy 1/3 dư...
Cơ chế chấn thương
 Do lực tác dụng trực tiếp đập vào xương quay hoặc ngã đập
cẳng tay vào vật rắn.
 Do té chống tay cổ ...
Lâm sàng
Biến dạng rất điển hình:
 Cẳng tay gập góc mở ra ngoài
 Cổ tay lật sấp về phía xương
quay
 Mỏm trâm quay lên ...
Cận lâm sàng: X-quang
 Xq cẳng tay ở 2 bình diện thẳng, nghiêng.
 Xq khớp cổ tay nếu gãy 1/3 dưới xương quay.
Chẩn đoán
cơ chế
1) Đập trực tiếp trên mặt lưng ngoài của cẳng tay
2) Ngã cánh tay dang khuỷu duỗi, chống bàn tay và sấp c...
ĐiỀU TRỊ
BẢO TỒN
4 nguyên nhân dễ di lệch thứ phát(Hughston) :
1) Trọng lượng của bàn tay và bột có khuynh hướng gây bán t...
GÃY GALEAZZI
GÃY GALEAZZI
Điều trị phẫu thuật
Mổ nắn kết hợp xương quay
Nắn khớp quay trụ dưới
GÃY XƯƠNG VÙNG CẲNG TAY
GÃY XƯƠNG VÙNG CẲNG TAY
GÃY XƯƠNG VÙNG CẲNG TAY
GÃY XƯƠNG VÙNG CẲNG TAY
GÃY XƯƠNG VÙNG CẲNG TAY
GÃY XƯƠNG VÙNG CẲNG TAY
GÃY XƯƠNG VÙNG CẲNG TAY
GÃY XƯƠNG VÙNG CẲNG TAY
GÃY XƯƠNG VÙNG CẲNG TAY
GÃY XƯƠNG VÙNG CẲNG TAY
GÃY XƯƠNG VÙNG CẲNG TAY
GÃY XƯƠNG VÙNG CẲNG TAY
Upcoming SlideShare
Loading in …5
×

GÃY XƯƠNG VÙNG CẲNG TAY

51,604 views

Published on

CHẤN THƯƠNG CHỈNH HÌNH

Published in: Health & Medicine
  • Follow the link, new dating source: ❶❶❶ http://bit.ly/39sFWPG ❶❶❶
       Reply 
    Are you sure you want to  Yes  No
    Your message goes here
  • DỊCH VỤ THIẾT KẾ POWERPOINT (Thiết kế profile cho doanh nghiệp--- Thiết kế Brochure--- Thiết kế Catalogue--- slide bài giảng--- slide bài phát biểu---slide bài TIỂU LUẬN, LUẬN VĂN TỐT NGHIỆP--- dạy học viên thiết kế powerpoint---- LÀM NỘI DUNG HỒ SƠ NĂNG LỰC CÔNG TY…)-----(Giá từ 8.000 đ - 10.000 đ/1trang slide)------ Mọi chi tiết vui lòng liên hệ với chúng tôi: điện thoại 0973.764.894 hoặc zalo 0973.764.894 (Miss. Huyền)
       Reply 
    Are you sure you want to  Yes  No
    Your message goes here

GÃY XƯƠNG VÙNG CẲNG TAY

  1. 1. Đại cương Cẳng tay được giới hạn từ đường thẳng ngang ở dưới nếp gấp khuỷu ba khoát ngón tay đến nếp gấp xa nhất ở cổ tay. Gãy xương vùng cẳng tay gồm các trường hợp gãy ở thân xương cẳng tay.
  2. 2. Đại cương Các loại gãy xương thường gặp: Gãy thân hai xương cẳng tay Gãy đơn thuần một thân xương quay hoặc trụ Gãy trật Monteggia Gãy trật Galeazzi.
  3. 3. Định nghĩa Gãy thân hai xương cẳng tay là gãy tại đoạn xương có màng gian cốt, tức là:  phía trên: cách khoảng 2 cm dưới lồi củ xương quay;  phía dưới: cách khoảng 5 cm trên mỏm trâm quay.
  4. 4. Dịch tễ Chiếm 15 – 20% các gãy xương ở vùng cẳng tay. Gặp ở cả người lớn và trẻ em. Là loại gãy xương có di lệch tương đối phức tạp nhất.
  5. 5. Cơ chế chấn thương Cơ chế trực tiếp: lực chấn thương tác động trực tiếp, thường làm gãy ngang cả 2 xương ở cùng 1 vị trí. Cơ chế gián tiếp: ngã chống tay khuỷu duỗi làm uốn bẻ gập 2 xương gây gãy ở 2 vị trí (xương trụ gãy thấp, xương quay gãy cao). Cơ chế hỗn hợp: gây ra các kiểu gãy phức tạp như gãy hai tầng, gãy có mảnh thứ ba.
  6. 6. Phân loại Theo vị trí gãy trên xương quay chia ra:  Gãy 1/3 trên: gãy trên chỗ bám cơ sấp tròn.  Gãy 1/3 giữa và 1/3 dưới: gãy dưới chỗ bám cơ sấp tròn và trên cơ sấp vuông. => Để đánh giá khả năng di lệch nhiều hay ít.
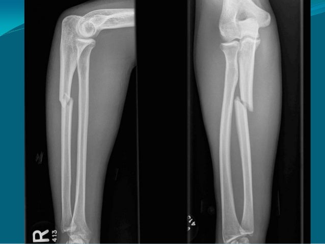
  7. 7. Di lệch Chồng: thường chồng lên phía xg trụ nhiều hơn phía xg quay. Sang bên: đoạn xa so với đoạn gần, đồng thời 2 đoạn gần hoặc 2 đoạn xa của 2 xg lại di lệch sang bên so với nhau (thường kéo sát vào nhau). Gập góc: ở 1 hay 2 xg, thường gập góc mở ra trước và vào trong (do cơ gấp ngón tay kéo).
  8. 8. Di lệch xoay theo trục xương Quan trọng nhất là di lệch xoay của xương quay. Gãy 1/3 trên xương quay: Đoạn gần do tác động của cơ ngửa ngắn, cơ nhị đầu làm phần trên chỗ gãy trong tư thế ngửa tối đa. Đoạn xa do tác động của cơ sấp tròn và cơ sấp vuông làm cho phần dưới chỗ gãy ở tư thế sấp tối đa. => 2 đoạn gãy di lệch so với nhau 1800 .
  9. 9. Di lệch xoay theo trục xương Gãy 2/3 dưới xương quay: Đoạn gần có các cơ ngửa đồng thời có cả cơ sấp tròn kéo sấp lại nên ít di lệch hơn, không thể ngửa tối đa. Đoạn xa chỉ còn cơ sấp vuông kéo nên ít di lệch sấp hơn. => 2 đoạn gãy di lệch so với nhau khoảng 900
  10. 10. Tóm lại, các di lệch kể trên và di lệch tạo hình chữ K, chữ X do tác động của màng gian cốt làm cho di lệch trong gãy thân hai xương cẳng tay là phức tạp nhất, rất khó nắn chỉnh.
  11. 11. Lâm sàng Gãy thân hai xương cẳng tay có di lệch thường chẩn đoán dễ dàng.
  12. 12. Lâm sàng Các dấu hiệu chắc chắn: Biến dạng: gập góc chỗ gãy làm cẳng tay cong, di lệch sang bên làm cẳng tay gồ ra hình bậc thang, chiều dài tương đối và tuyệt đối ngắn hơn bên lành. Cử động bất thường. Tiếng lạo xạo xương.
  13. 13. Lâm sàng Các dấu hiệu không chắc chắn: Sưng nề ở cẳng tay trông tròn như một cái ống, không rõ các nếp gấp nữa. Có thể có vết bầm tím. Ấn điểm đau chói cố định tại ổ gãy. Mất cơ năng (sấp ngửa cẳng tay).
  14. 14. Lâm sàng Khi có chấn thương ở cẳng tay, bao giờ cũng phải khám kỹ cả hai xương quay, trụ và cả hai khớp quay trụ trên, dưới để tránh bỏ sót tổn thương. Chú ý khám tổn thương mạch máu và thần kinh hay đi kèm.
  15. 15. Cận lâm sàng: X-quang Chụp toàn bộ cẳng tay ở tư thế ngửa, lấy cả khớp khuỷu và khớp cổ tay. Chụp ở hai bình diện: thẳng và nghiêng.
  16. 16. Biến chứng Biến chứng sớm: Gãy kín thành gãy hở do đầu xương chọc ra ngoài. Tổn thương thần kinh giữa, trụ, có thể cả dây quay nếu gãy đầu trên xg quay. Tổn thương mạch máu nhất là mạch nuôi các cơ gấp ở sâu của khu cẳng tay gây HC Volkmann HC chèn ép khoang. Chèn cơ vào giữa hai đầu xương gãy.
  17. 17. Biến chứng Biến chứng muộn: Hạn chế động tác: duỗi khuỷu, sấp ngửa cẳng tay, xoay cổ tay; các ngón tay, bàn tay giảm tinh tế. Phù nề dai dẳng, đau kéo dài, rối loạn dinh dưỡng. HC Volkmann do CEK điều trị không tốt. Cal lệch làm mất chức năng cẳng tay. Chậm liền xương, tạo khớp giả.
  18. 18. Điều trị Nguyên tắc chung: Nắn – Bất động – Tập vận động. Có 2 phương pháp chính: Điều trị bảo tồn Điều trị phẫu thuật
  19. 19. Điều trị bảo tồn Chỉ định: Gãy vững Gãy không di lệch hoặc ít di lệch Gãy dưới chỗ bám của cơ sấp tròn Có 2 cách nắn bó: Nắn bằng tay Nắn bằng khung.
  20. 20. Nắn bằng khung
  21. 21. Điều trị bảo tồn  Nắn kín và bó bột cánh-bàn tay.  Thời gian bất động bằng bột: 8-12 tuần
  22. 22. Điều trị phẫu thuật Chỉ định:  Gãy 1/3 trên có di lệch  Gãy 1/3 giữa và dưới nắn chỉnh không có kết quả  Gãy hở  Gãy xương có biến chứng. Phương thức kết xương:  Đinh nội tủy: đinh Rush  Nẹp vít.
  23. 23. Ít gặp hơn gãy cả hai xương, có thể vì lực tác động không đủ mạnh để bẻ gãy xương còn lại. Thường gặp gãy 1/3 giữa xương quay hoặc 1/3 dưới xương trụ. Nếu biến dạng điển hình thì dễ chẩn đoán. Điều trị: bảo tồn bằng nắn bó bột cánh-bàn tay. Nếu thất bại thì mổ kết hợp xg.
  24. 24. Định nghĩa Monteggia mô tả năm 1814 là gãy 1/3 trên xương trụ kết hợp với trật chỏm xương quay ra trước. Ngày nay gãy xương trụ ở bất kì vị trí nào kết hợp với trật chỏm quay đều gọi là gãy trật Monteggia.
  25. 25. Cơ chế chấn thương Nguyên nhân là do đưa tay lên đỡ đòn đánh trực tiếp vào cẳng tay hoặc ngã đập mặt sau trong cẳng tay xuống bờ đất cứng trong tư thế gập khuỷu. Cơ chế trực tiếp làm gãy xương trụ và sau đó gián tiếp làm trật khớp chỏm xương quay.
  26. 26. Phân loại Bado chia các gãy trật Monteggia thành 4 loại:
  27. 27. Loại I  Chỏm quay bị trật ra trước kết hợp với gãy xương trụ ở bất kì vị trí nào với di lệch gập góc ra trước (góc mở ra sau, thể ưỡn).  Chiếm 80% các trường hợp.
  28. 28. Loại II  Chỏm quay di lệch ra sau hoặc ra sau ngoài, gãy thân xương trụ với di lệch gập góc ra sau (góc mở ra trước, thể gấp).
  29. 29. Loại III  Chỏm quay di lệch ra ngoài hoặc trước ngoài kết hợp với gãy xương trụ.
  30. 30. Loại IV  Chỏm quay di lệch ra trước kết hợp với gãy 1/3 trên xương quay và xương trụ cùng mức, hoặc gãy xương trụ với trật khớp khuỷu.
  31. 31. Lâm sàng Dấu hiệu gãy xương trụ: Biến dạng gập góc mở ra sau hoặc mở ra trước, đôi khi chỉ phát hiện khi sờ dọc 1/3 trên xg trụ. Cử động bất thường, lạo xạo xương. Sưng nề, ấn đau chói tại vị trí gãy.
  32. 32. Lâm sàng Dấu hiệu trật chỏm quay: Thể hiện qua trật khớp cánh tay-quay hay trật chỏm quay: chỏm không còn ở vị trí bình thường (ở trước mỏm trên lồi cầu khi khuỷu gập và dưới mỏm này khi khuỷu duỗi). Hạn chế vận động khớp khuỷu, sấp ngửa cẳng tay mất hoàn toàn.
  33. 33. Cận lâm sàng: X-quang Chụp khớp khuỷu ở 2 bình diện thẳng, nghiêng (trong tư thế nghiêng khuỷu gấp 900 ). Xác định có gãy xươngg trụ và trật chỏm quay: mất khe khớp cánh tay-quay, cái chấm của chữ i (chỏm con) không còn nằm ngay đỉnh chữ i (chỏm quay).
  34. 34. Điều trị Nguyên tắc: khôi phục tốt hình thể giải phẫu xg trụ để tạo điều kiện nắn chỉnh xương quay. Điều trị bảo tồn: Chỉ định: gãy xương ít di lệch, gãy vững di lệch gập góc đơn thuần, gãy xương ở trẻ nhỏ. Phương pháp: nắn chỉnh, bó bột cánh-bàn tay ở tư thế khuỷu gấp 900 , cẳng tay ngửa; thời gian để bột 3 tuần, thêm 3-5 tuần nữa ở tư thế cẳng tay trung tính.
  35. 35. Điều trị phẫu thuật  Nếu nắn không vào nên mổ sớm để đặt lại khớp và kết hợp xương xương trụ.  Xương trụ gãy sẽ được cố định bằng nẹp vít  Chỏm quay nắn vào nếu dễ bị trật lại cần tái tạo dây chằng vòng.  Trường hợp đến muộn, chỏm quay khó nắn vào (nếu nắn vào cũng dễ gây cứng khớp về sau), nên cắt bỏ chỏm.  Nếu chỏm quay không dễ bị trật lại thì sau mổ nên tập vận động sớm để tránh hạn chế sấp ngửa.
  36. 36. Định nghĩa  Là loại gãy 1/3 dưới thân xương quay kèm trật khớp quay trụ dưới.  Tổn thương giải phẫu gồm có:  Gãy 1/3 dưới thân xương quay  Rách màng gian cốt  Trật khớp quay-trụ dưới, đứt dây chằng tam giác hoặc gãy mỏm trâm trụ.
  37. 37. Cơ chế chấn thương  Do lực tác dụng trực tiếp đập vào xương quay hoặc ngã đập cẳng tay vào vật rắn.  Do té chống tay cổ tay duỗi.
  38. 38. Lâm sàng Biến dạng rất điển hình:  Cẳng tay gập góc mở ra ngoài  Cổ tay lật sấp về phía xương quay  Mỏm trâm quay lên cao hơn mỏm trâm trụ. Cử động bất thường, lạo xạo xương. Sưng nề, điểm đau chói ở vị trí gãy.
  39. 39. Cận lâm sàng: X-quang  Xq cẳng tay ở 2 bình diện thẳng, nghiêng.  Xq khớp cổ tay nếu gãy 1/3 dưới xương quay.
  40. 40. Chẩn đoán cơ chế 1) Đập trực tiếp trên mặt lưng ngoài của cẳng tay 2) Ngã cánh tay dang khuỷu duỗi, chống bàn tay và sấp cẳng tay tối đa Lâm sàng 1) Gãy thân xương quay 2) Trật khớp quay trụ dưới X quang 1) Gãy thân xương quay 2) Trật khớp quay trụ dưới
  41. 41. ĐiỀU TRỊ BẢO TỒN 4 nguyên nhân dễ di lệch thứ phát(Hughston) : 1) Trọng lượng của bàn tay và bột có khuynh hướng gây bán trật khớp quay trụ dưới và gập góc mặt lưng xương quay 2) Cơ sấp vuông 3) Cơ cánh tay quay 4) Cơ dạng và duỗi ngón cái Hughston 92% kết quả kém
  42. 42. GÃY GALEAZZI
  43. 43. GÃY GALEAZZI Điều trị phẫu thuật Mổ nắn kết hợp xương quay Nắn khớp quay trụ dưới

×