Med Home Unit
Chest 1: Respiratory Cases
RAH Radiology
Review: Chest Xray interpretation
“In-to-out” approach -
cardiomediastinum -> hilar -> lung fields -> pleura -> bones + soft tissues
Density of the abnormality -
air < fat < fluid/soft tissue < bone < metal
Increased density -
interstitial (lines) vs alveolar (clouds) vs mass lesion
Reduced density -
lung markings vs no lung markings
connective tissue boundary: mediastinum, diaphragm etc.
WARM UP CASES
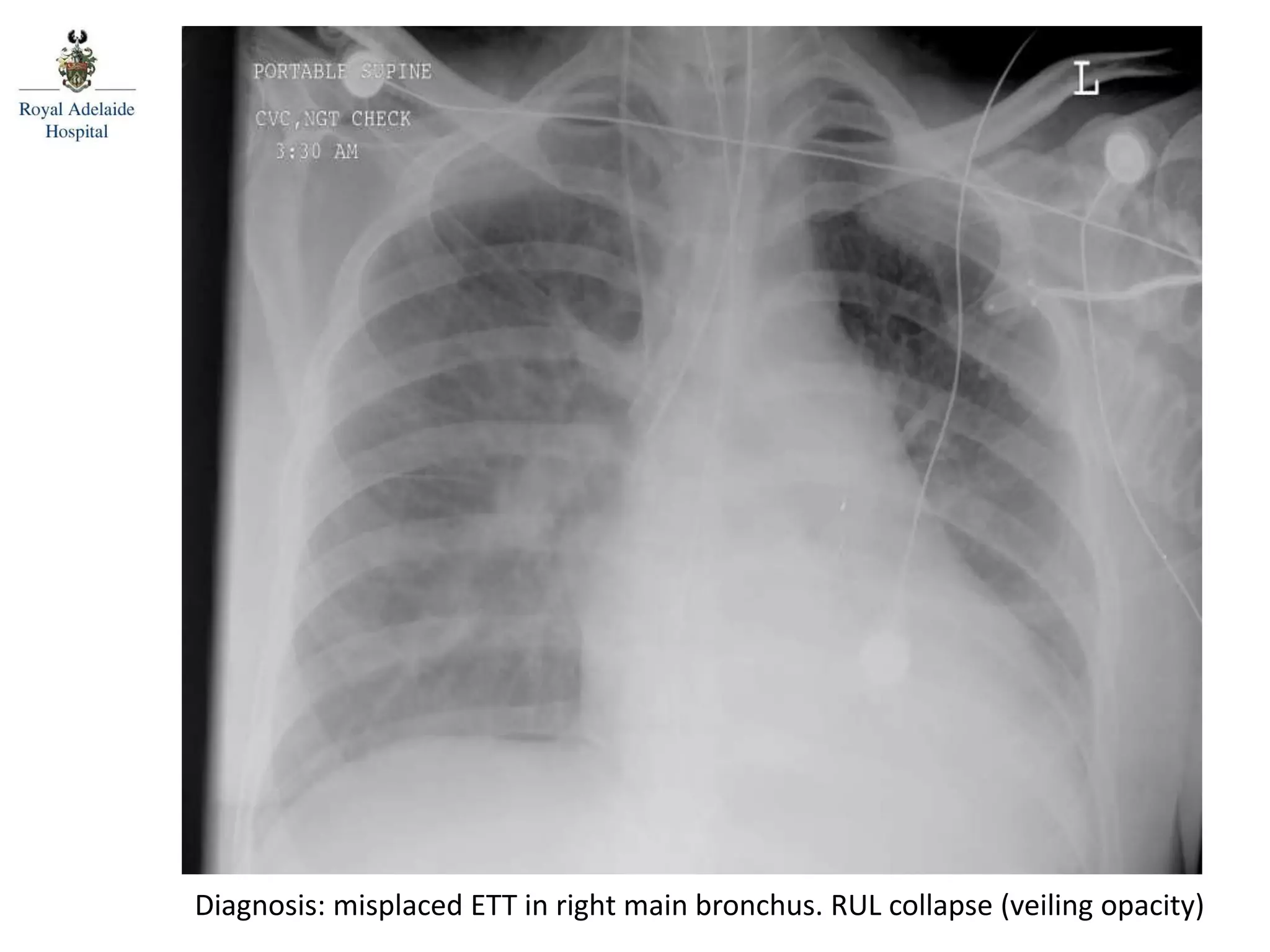
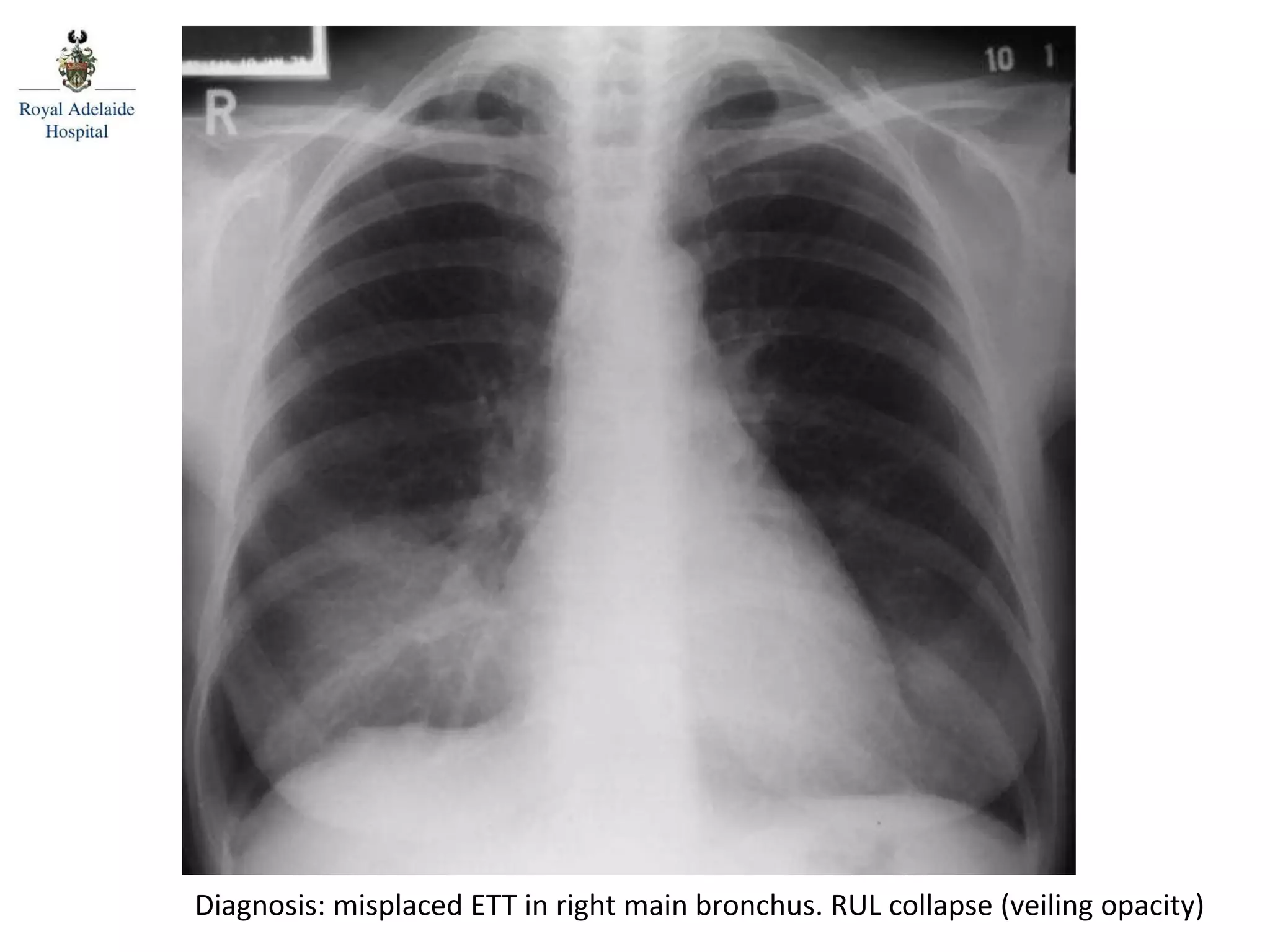
Diagnosis: misplaced ETT in right main bronchus. RUL collapse (veiling opacity)
Diagnosis: NGT coiled up in the mid to lower oesophagus.
Add in foreign body or gunshot etc
INCREASED DENSITY
Start with collapse/consolidation
Then do interstitial
Then do masses
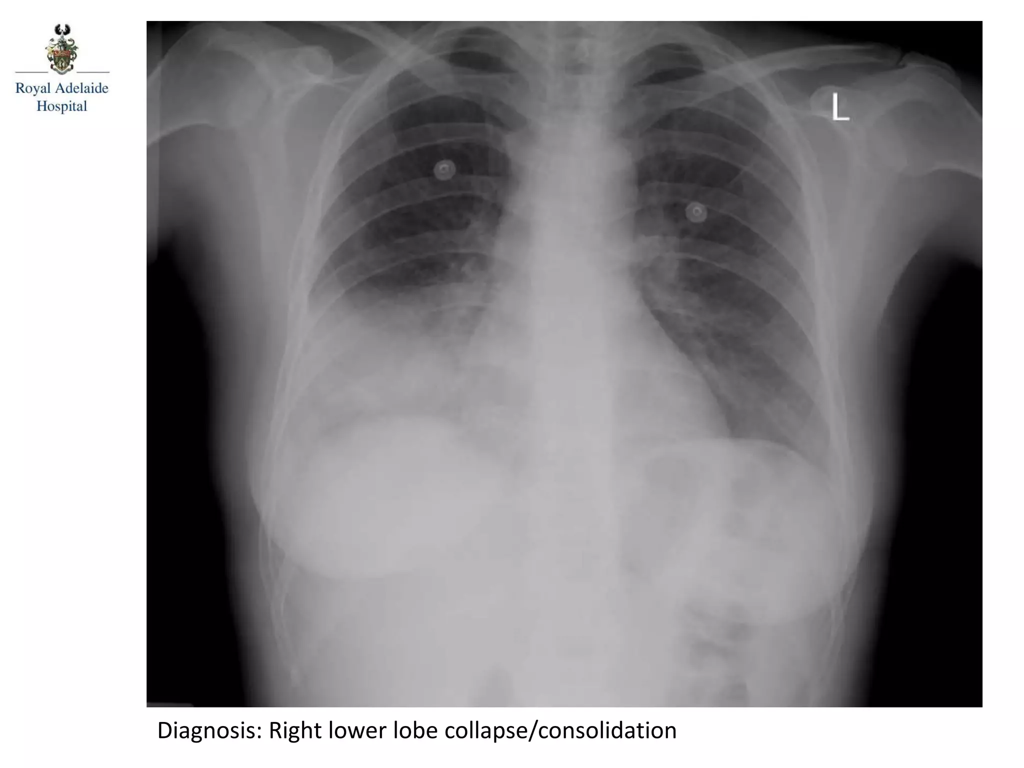
Diagnosis: Right lower lobe collapse/consolidation
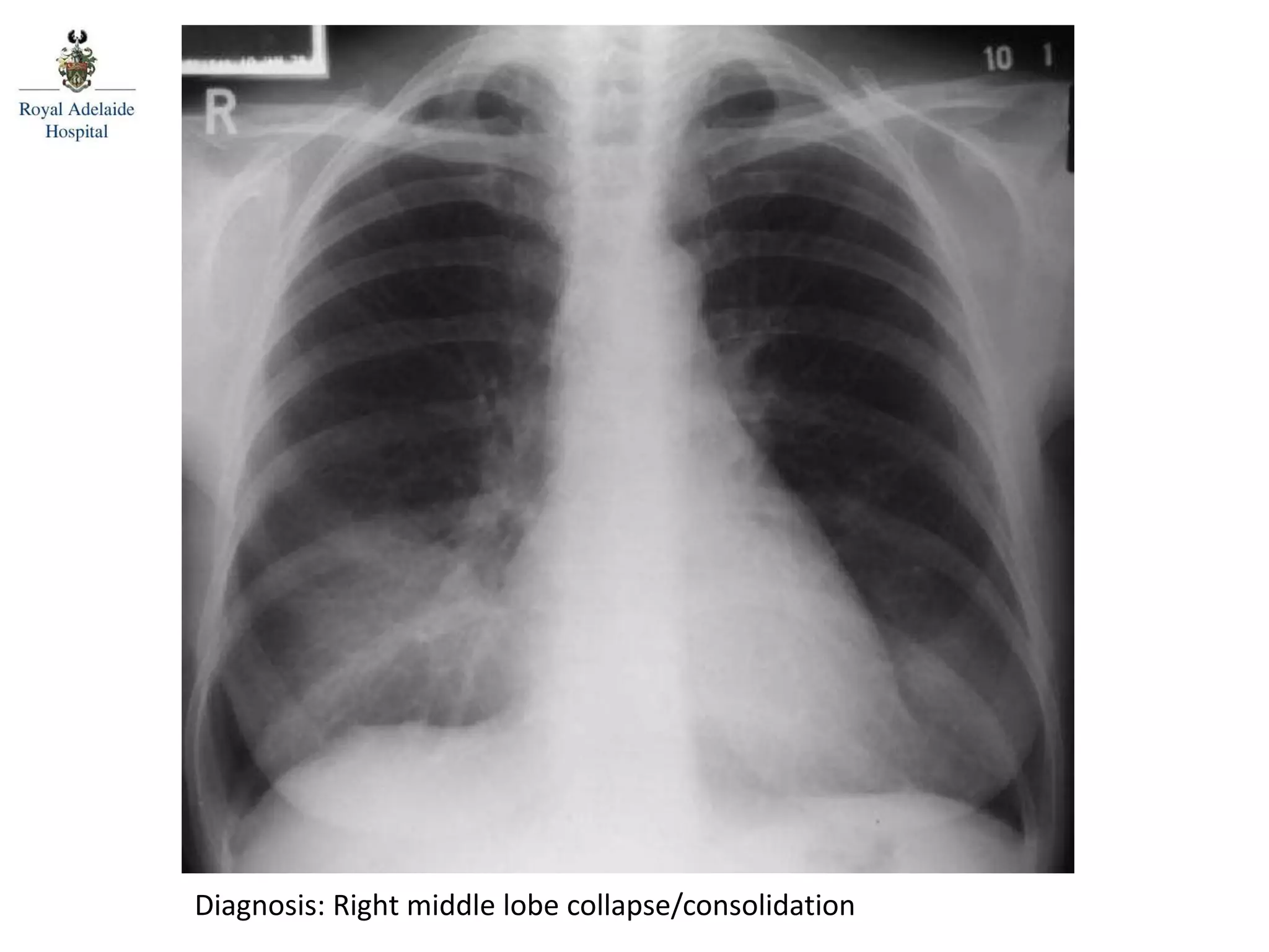
Diagnosis: Right middle lobe collapse/consolidation
Diagnosis: Right upper lobe collapse (volume loss, hilar elevation)
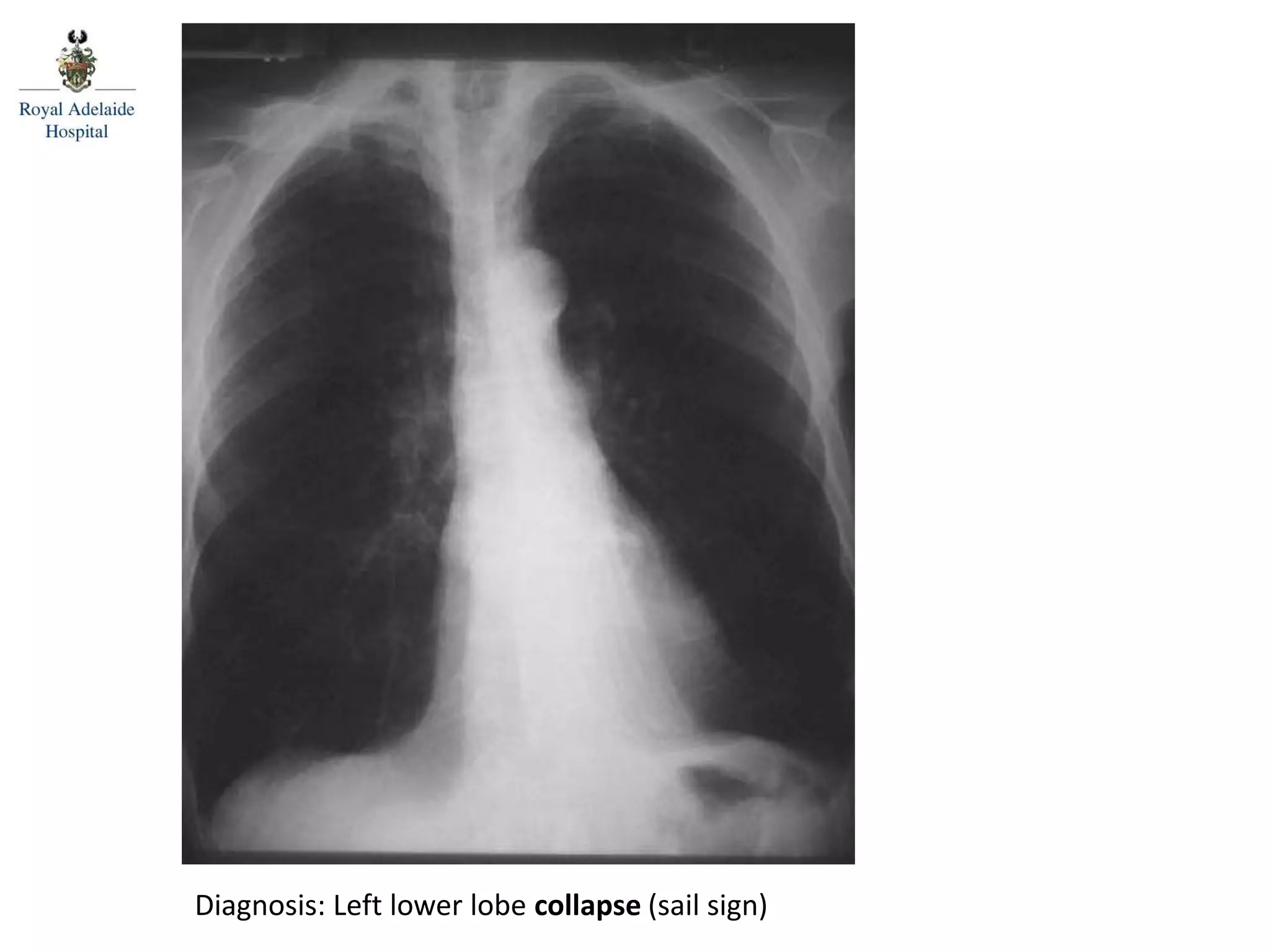
Diagnosis: Left lower lobe collapse (sail sign)
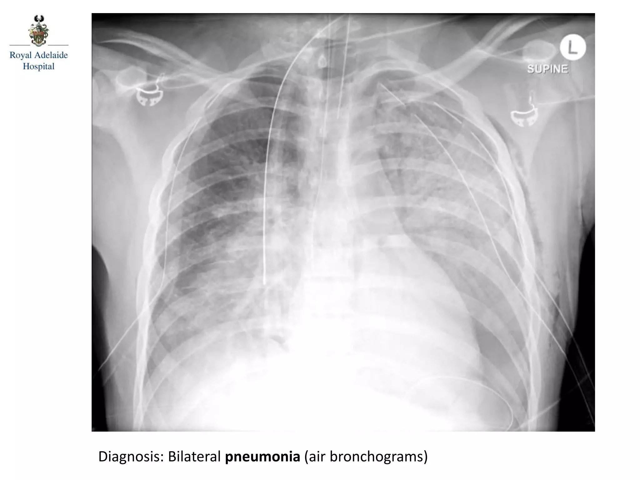
Diagnosis: Bilateral pneumonia (air bronchograms)
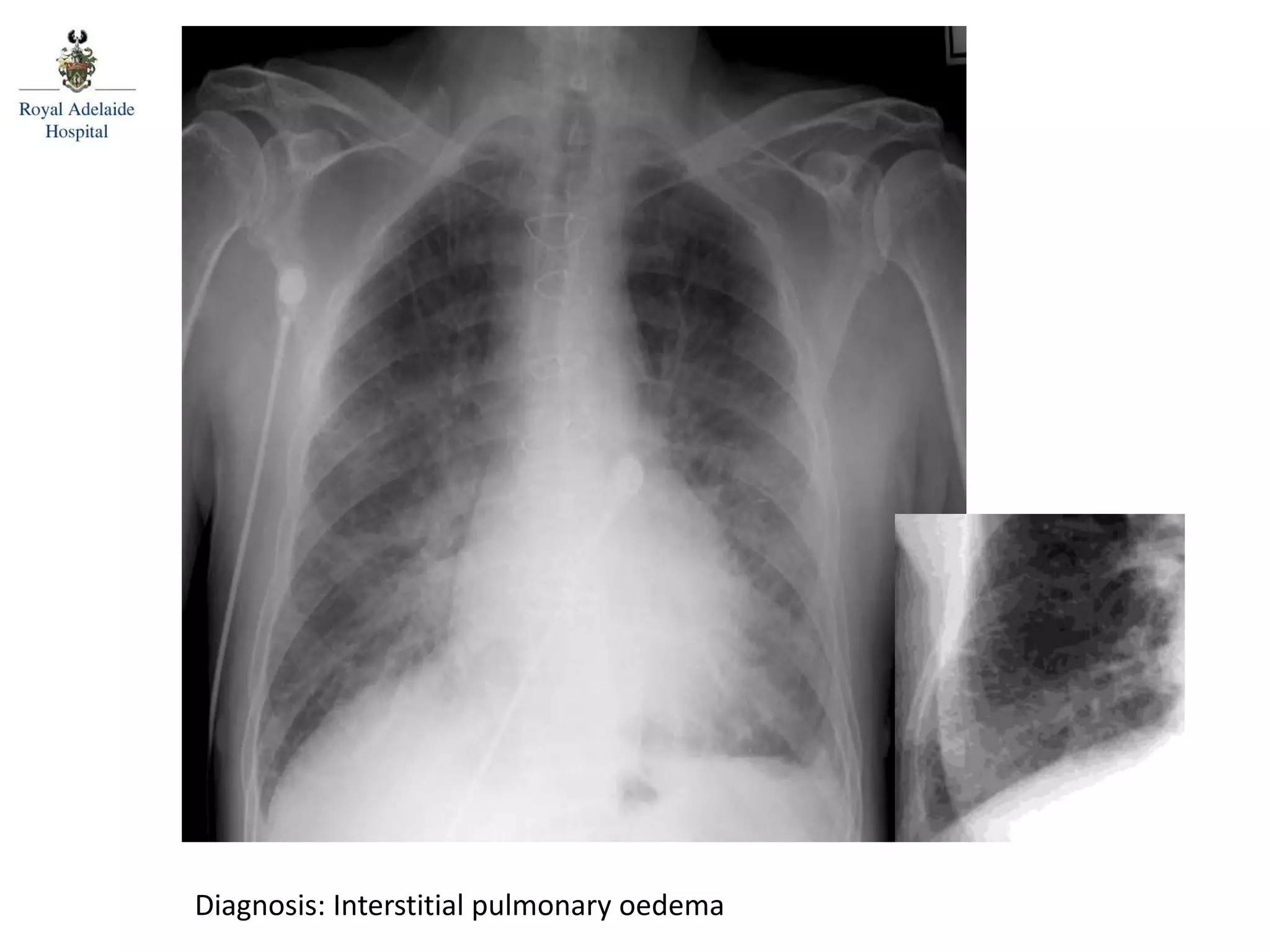
Diagnosis: Interstitial pulmonary oedema
Diagnosis: Alveolar (and insterstitial!) pulmonary oedema
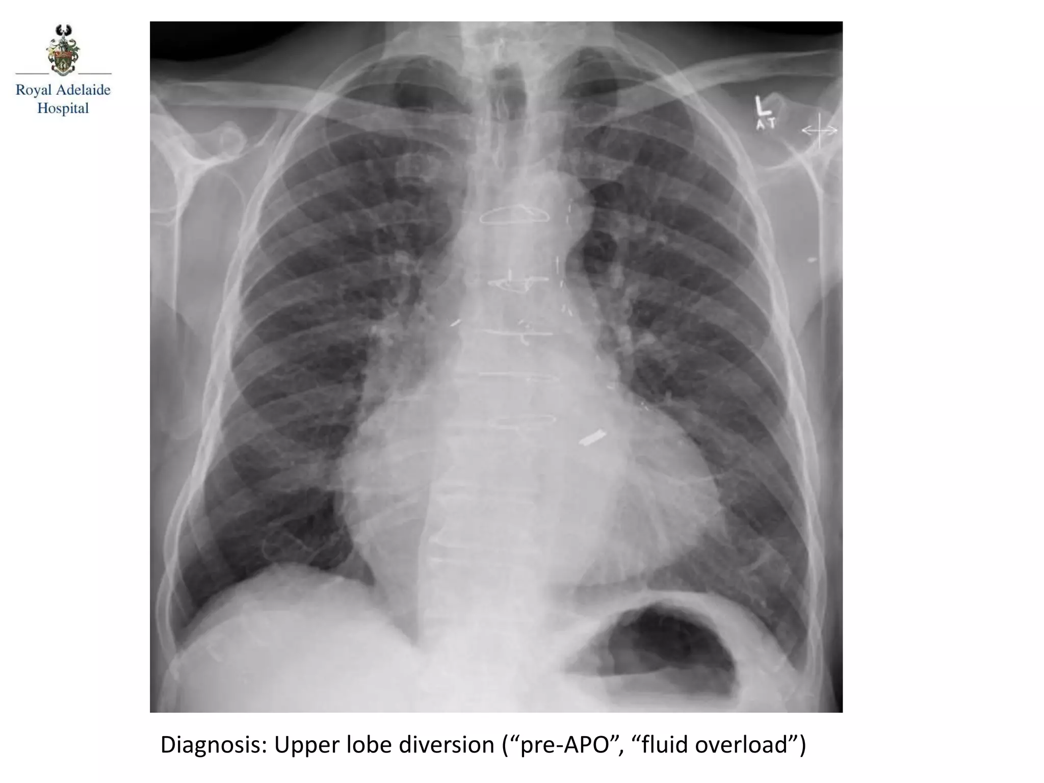
Diagnosis: Upper lobe diversion (“pre-APO”, “fluid overload”)
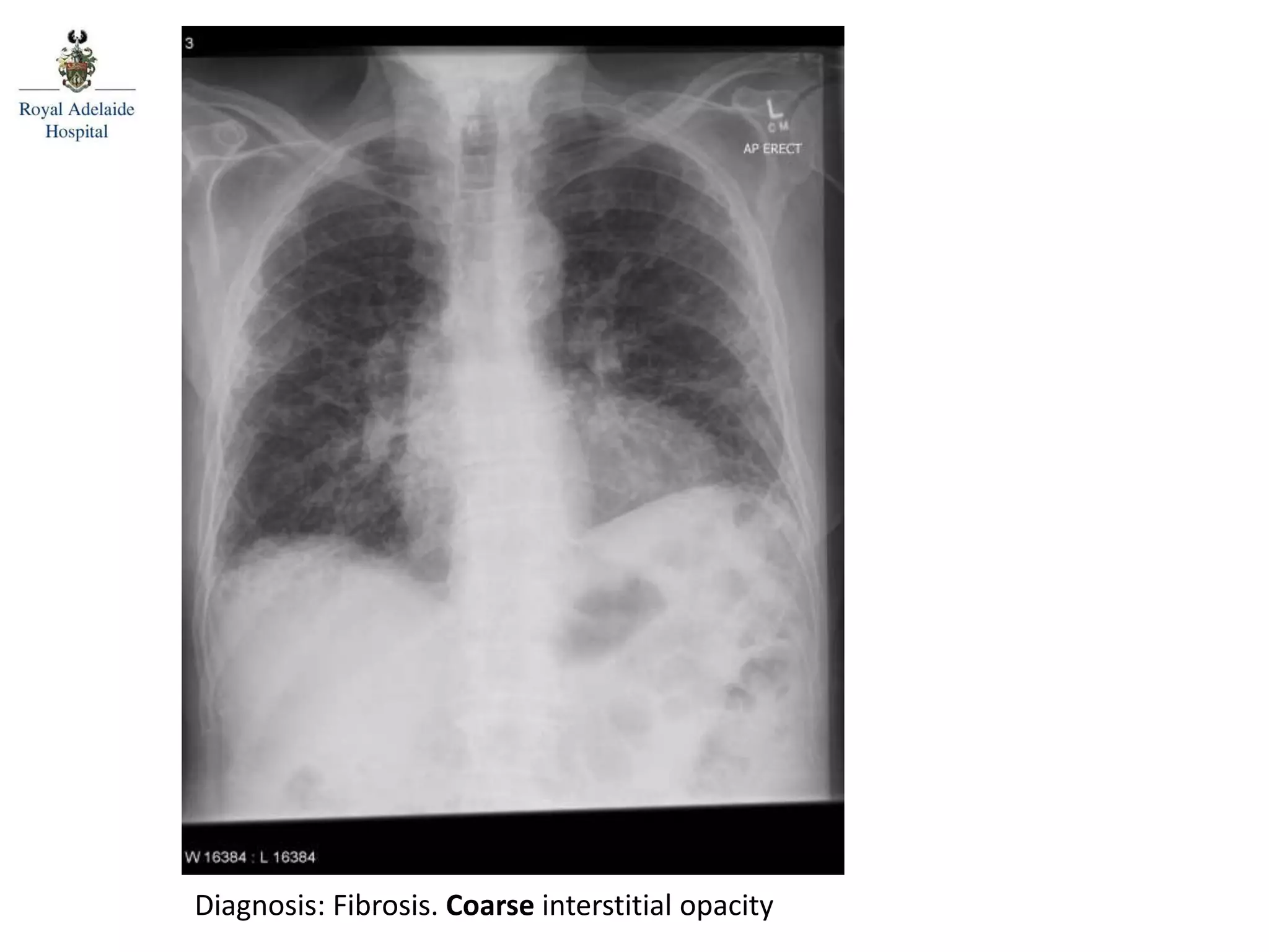
Diagnosis: Fibrosis. Coarse interstitial opacity
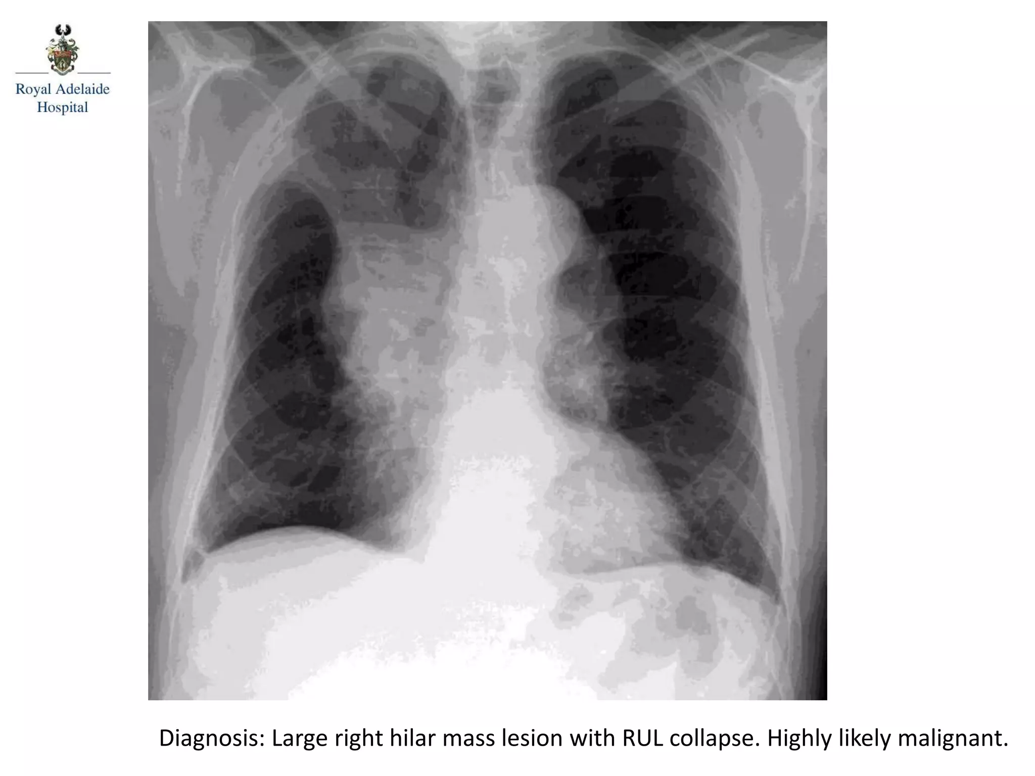
Diagnosis: Large right hilar mass lesion with RUL collapse. Highly likely malignant.
Diagnosis: Left perihilar lung mass. Suspicious due to size. Malignant pathology.
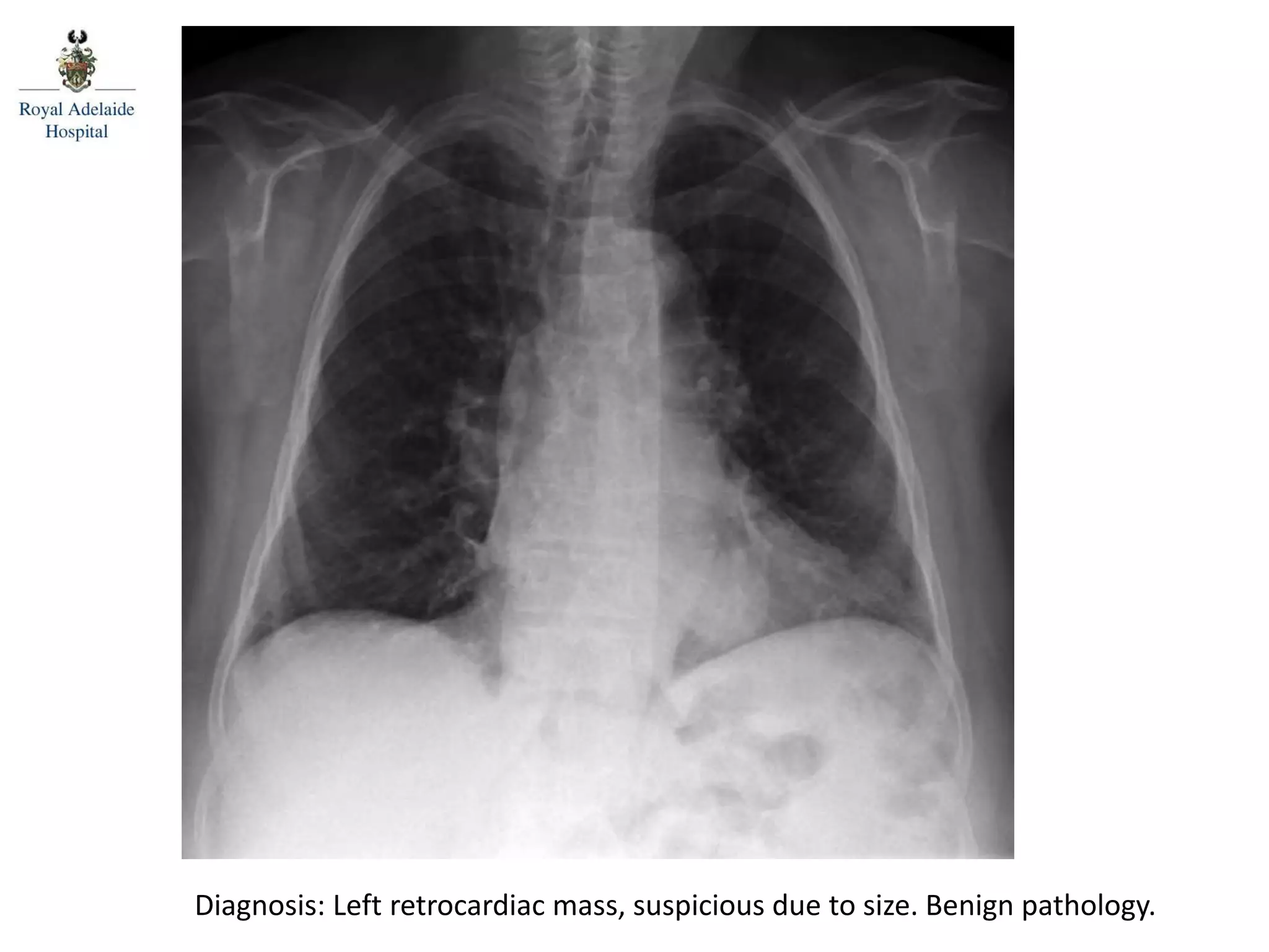
Diagnosis: Left retrocardiac mass, suspicious due to size. Benign pathology.
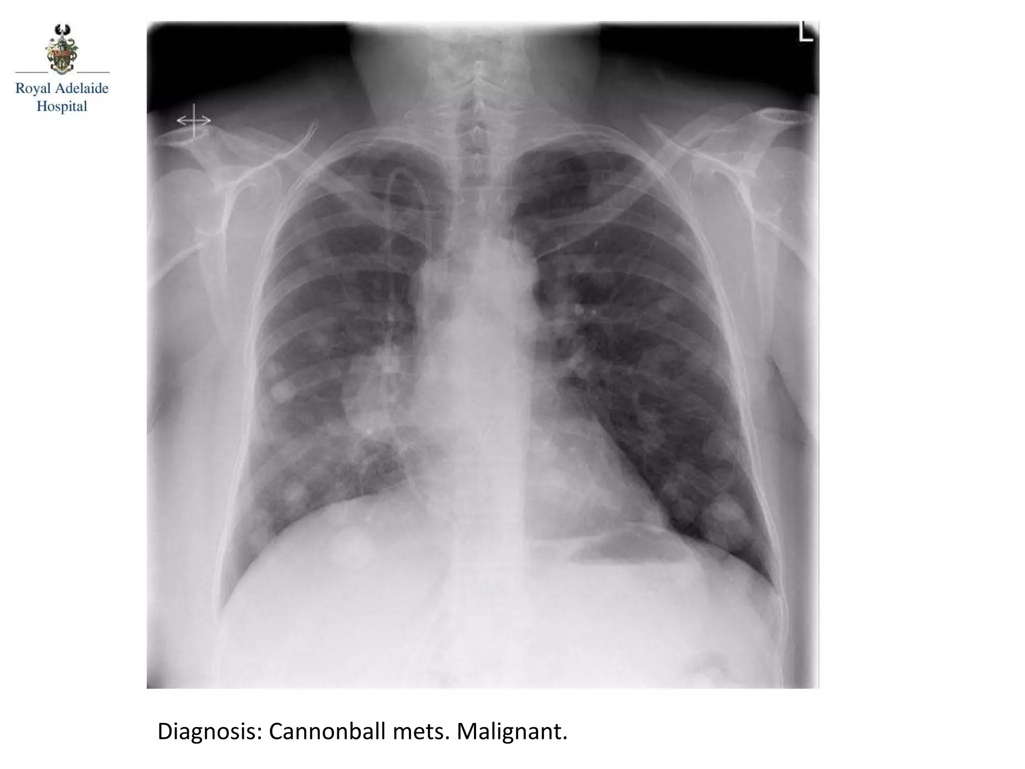
Diagnosis: Cannonball mets. Malignant.
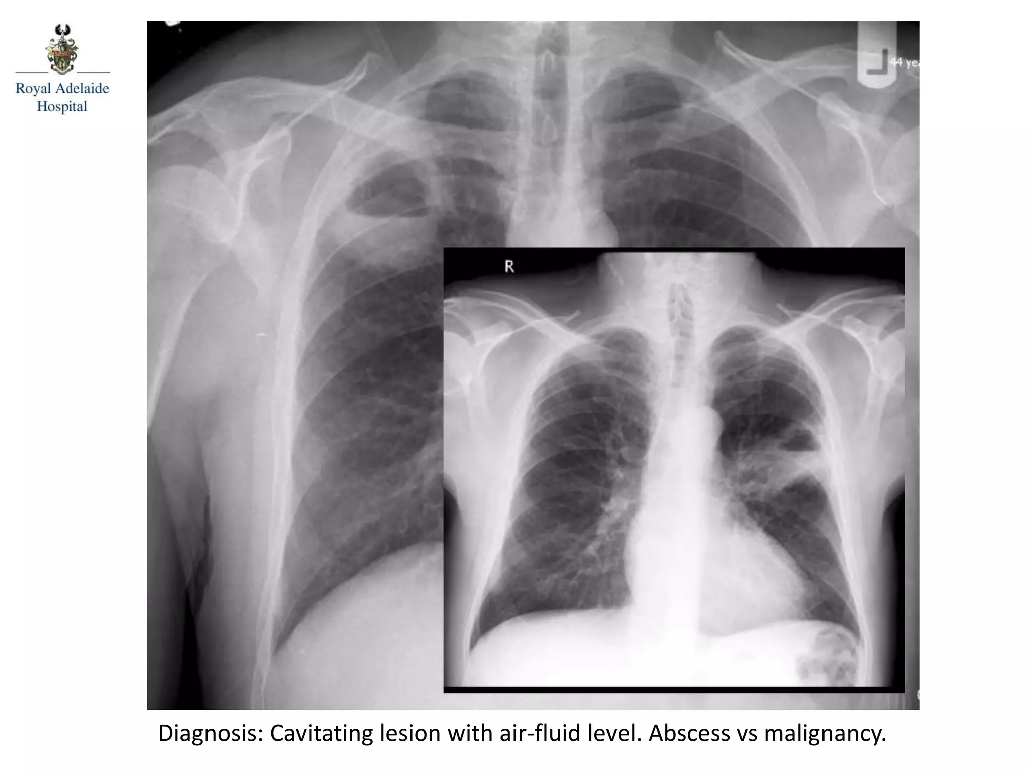
Diagnosis: Cavitating lesion with air-fluid level. Abscess vs malignancy.
LATERAL XRAYS
What will it look like on the frontal view?
Left lower lobe collapse
Diagnosis: misplaced ETT in right main bronchus. RUL collapse (veiling opacity)
Diagnosis: misplaced ETT in right main bronchus. RUL collapse (veiling opacity)
Diagnosis: add in lateral cancer
Diagnosis: lateral effusion
DECREASED DENSITY
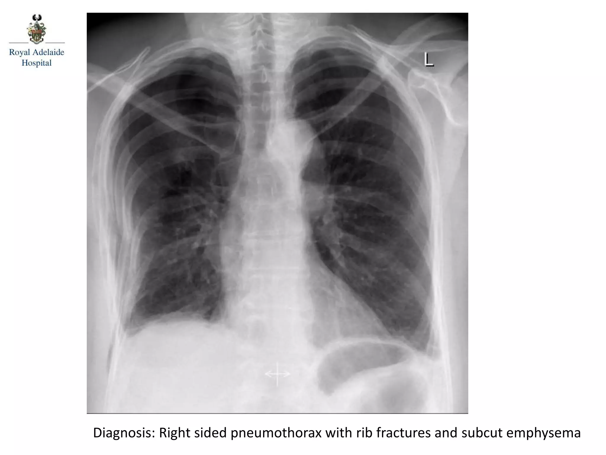
Diagnosis: Right sided pneumothorax with rib fractures and subcut emphysema
Diagnosis: Subtle left apical pneumothorax. No lung markings.
Diagnosis: Supine pneumothorax. Lucent right side with “deep sulcus”.
Diagnosis: Left sided tension pneumothorax.
Diagnosis: COPD. Hyper-expansion, coarsening of markings.
Diagnosis: Bullous emphysema. No lung markings right mid zone.
Diagnosis: Emphysema. Barrel chest, flattened diaphragm, enlarged clear space.
TRICKY CASES

Med home unit chest cases