Embed presentation
Downloaded 52 times















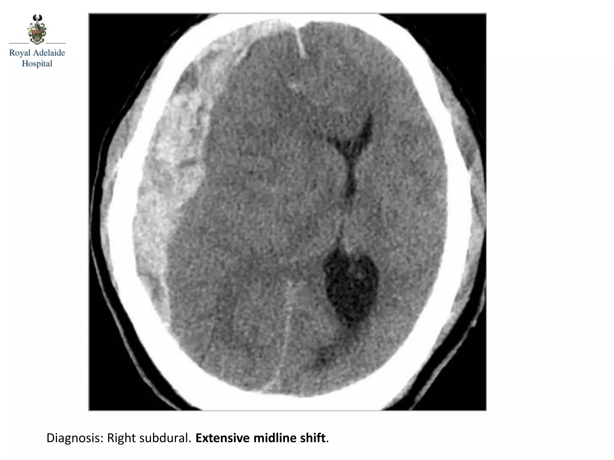
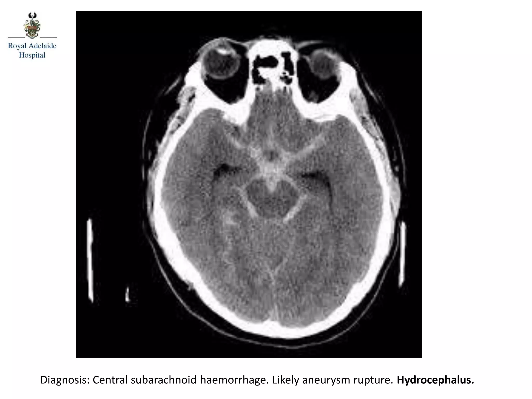
The document outlines multiple diagnoses from head CT cases, including small left basal ganglia bleed likely due to hypertension, various types of subdural and subarachnoid hemorrhages, and evidence of hydrocephalus. It details traumatic origins of some hemorrhages and notes obstructing masses and atrophic changes. Overall, there are significant findings indicating complications related to cerebral hemorrhages and ventricular enlargement.














