Ad
Ad
Ad
Ad
Ad
Ad
Ad
Ad
Ad
Ad
Ad
X-RAYS
Dr.Sundarprakash Sivalingam
Associate Professor in surgery
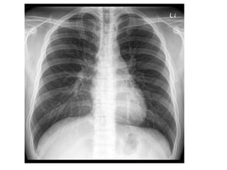
• Normal chest xray
1 of 48 Ad