SlideShare a Scribd company logo
ACCESSORY NAVICULAR

R.SIVAPRASAD
Accessory navicular
Accessory Navicular
• This anatomic variant consists of an accessory ossicle located
at the medial edge of the navicular
• Accessory ossicles are derived from unfused ossification
centers.
• 90% bilateral
• It is most commonly symptomatic in the 2nd decade of life
and causes medial foot pain
• Symptomatic in <1% of patients.
Accessory navicular
ACCESSORY NAVICULAR
The accessory navicular is an accessory bone that is also called the
accessory scaphoid, prehallux, os tibiale, os tibiale externum, naviculare
secundarium, and navicular secundum.
It was initially described by Bauhin in 1605.
The accessory navicular sits posteromedial to the navicular , and it
ossifies between 9 and 11years of age.
It is seen radiographically with much variation, small to large, round to
triangular.
Its connection to the navicular may be fibrous, cartilaginous, or bony.
Classification
Type I occurs primarily as a round sesamoid within the
substances of the distal posterior tibial tendon.
It is rarely associated with symptoms. Small, 2–3-mm sesamoid
bone in the PTT; referred to AS “os tibiale externum”.
Type II is associated with a synchondrosis within the body of the
navicular at risk for disruption either from traction injury or
shear forces in the region. Larger ossicle than type I Secondary
ossification center of the navicular bone, Most common variety
(50%).
Type III, also known as a navicular beak or a cornuate navicular
occurs with fusion of the accessory navicular bone to the body of
the navicular.
Accessory navicular
Clinical Features:
• Pain may begin after wearing ill-fitting shoes, with weight
bearing activities or athletics, or after trauma to the foot.
–
Tenderness over the medial aspect of the foot and over
the accessory navicular bone.
–
Secondary Achilles tendon contracture can occur
–
Flatfoot is common and with severe flatfoot, lateral pain
may occur secondary to impingement of the calcaneus against
the fibula.
Clinical Features
• Most cases of accessory navicular are asymptomatic, and less than 1%
require surgical treatment .
• The source symptoms in an accessory navicular are not absolutely
clear.
•

Inflammation of the surrounding soft tissues from the prominence or
trauma to the cartilaginous bridge may cause pain.

• Repetitive stresses on a cartilage bridge may result in a painful stress
fracture .
• Symptoms usually begin in the teen years, as pain in the mid-medial
arch aggravated by weight bearing.
•

In adults, initial symptoms may appear after a severe twisting injury,
often occurring in sports.
X-rays
• AP, lateral, internal oblique and external
oblique view.
–
The accessory ossicle may be best
visualized on the internal oblique view(reverse
oblique view).
X-rays
• If a patient has a bilateral accessory navicular , but only one foot
is symptomatic after a traumatic event (sometimes minor
trauma), the foot should be carefully evaluated clinically and
radiographically for asymmetrical pes planus .
• On the lateral weight bearing film, the talonavicular cuneiform–
first metatarsal dorsal alignment should be closely examined.
• Sag at any of these joints indicates loss of structural integrity of
the area .
• Also of interest is the pronation of the entire forefoot on weight
bearing, as seen in the weight bearing sesamoid view .
• Recognition of the loss of structural integrity of the longitudinal
arch is important because this component of the deformity would
not be corrected by excising the accessory navicular and
reinserting or even advancing the posterior tibial tendon.
Accessory navicular
Large accessory naviculars (arrows) are visible on this weight-bearing
anteroposterior view of both feet.
Physical examination
• Physical examination will reveal a bony prominence of
the proximal medial border of the navicular with
tenderness over the accessory bone.
• There can be associated local edema and erythema.
• The accessory bone is usually visible on plain
radiographs of the foot.
• A bone scan may help to localize and differentiate the
pathologic cause of medial arch pain, but it is rarely
necessary.
NONOPERATIVE TREATMENT
Non operative treatment is generally effective and consists of
rest from activity, non steroidal anti-inflammatory medication,
and shoe wear modification.
A wider shoe will relieve the pressure over the bony prominence.
With a flatfoot deformity, a medial arch in a custom orthotic
device may reduce the stress on the medial longitudinal arch.
Acute symptoms associated with an injury, even a minor sprain,
can be treated with a short course of cast immobilization for 3to6
weeks.
After casting, usual activities can be resumed as symptoms
allow.
SURGICAL TREATMENT
• In cases of disabling pain that is unresponsive to
nonoperative treatment, excision of the accessory bone
is indicated.
• Excision of the accessory bone with advancement of the
posterior tibial tendon is known as the Kidner procedure.
• Make a 3to4 cm medial longitudinal incision over the
insertion of the posterior tibial tendon, incise the tendon
longitudinally, and visualize the accessory navicular.
• Excise the accessory navicular.
SURGICAL TREATMENT
• The remaining navicular tuberosity is usually prominent,
so use a rounguer to create a smooth surface.
• Apply bone wax to the cut surface to decrease
postoperative bleeding.
• Repair the posterior tibial tendon with interrupted
absorbable sutures.
• If the defect is large, repair the tendon and advance it
through a drill hole in the navicular; bring it out the
dorsum and suture it onto itself.
Kidner Procedure
The Kidner procedure consists of excising the accessory navicular and
rerouting the posterior tibial tendon into a more plantar position.
The parents should be informed before surgery, however, that permanent
correction of the arch sag cannot be certain.
Relief of symptoms around the prominent tuberosity and reduction or
elimination of fatigue from arch strain are predictable. Indications for the
Kidner procedure include symptomatic accessory navicular bone with
point tenderness in the region.
In most patients with an acute injury to the synchondrosis, 6 to 8 weeks
of cast or boot immobilization is recommended as a trial before surgical
intervention.
INCISION AND REMOVAL OF ACCESSORY
NAVICULAR
• Beginning 1 to 1.5 cm inferior and distal to the tip of the medial
malleolus, arch the skin incision slightly dorsalward, peaking at the medial
prominence of the accessory navicular, and sloping distally to the base of
the first metatarsal.
• After ligating the plantar communicating branches of the saphenous
system, identify the posterior tibial tendon as it approaches the accessory
navicular .
• Identify the dorsal and plantar margins of the tendon 2 cm proximal
to the accessory navicular, and expose the tendon distally, ending at the
bone.
•

By this means, the entire tendon can be exposed, and the part
extending plantarward toward its multiple insertions is not disturbed.
TRANSPOSITION AND ADVANCEMENT OF THE SLIP
OF THE POSTERIOR TIBIAL TENDON
•

•
•

•

•

Using sharp dissection, shell the accessory navicular from the posterior
tibial tendon, attempting to leave a small sliver of bone within the tendon if
transposition of the tendon is planned.
Resect the medial prominence of the main navicular flush with the medial
border of the first cuneiform using a roungeur and rasp.
Remove the portion of cuneiform using sharp dissection, and shift it
plantarward and laterally as far as possible.
Suture the tendon to the apex of the medial longitudinal arch using
periosteum and ligamentous tissue to secure the transposed tendon slip
or by passing the sutures through holes drilled in the center of the
navicular and tying them dorsally.
Try to advance this slip of tendon while the talonavicular joint is reduced
and the medial longitudinal arch is reestablished by holding the midfoot
and forefoot in a cavovarus position.
SKIN CLOSURE AND CASTING
• Close the skin and subcutaneous tissue with absorbable sutures or

adhesive skin strips so that the postoperative cast can remain in place for
4 weeks.

• Apply a long leg, bent-knee cast in two parts.
• The cast is well padded and gently molded into the longitudinal arch with
the talonavicular joint reduced and the foot inverted.
• Extend the short leg cast above the knee with this joint flexed 45 degrees.
• If the patient is reliable, and the parents are informed, a short leg cast with
the foot in equinovarus is a reasonable alternative, but it must be a non
walking cast.
Accessory navicular
Accessory navicular
PITFALLS AND COMPLICATIONS
If some prominence of the navicular remains, symptoms of
pressure against shoewear may persist.
Sometimes tenderness persists over the medial eminence
area, especially in adults.

To prevent this problem, remove sufficient bone and smooth
the remaining surface with a roungeur.
If the patient has another anatomic abnormality, including
symptomatic flatfoot, equinus contracture, or a tarsal
coalition, the treatment must address these problems as well.

More Related Content

Accessory navicular

  • 3. Accessory Navicular • This anatomic variant consists of an accessory ossicle located at the medial edge of the navicular • Accessory ossicles are derived from unfused ossification centers. • 90% bilateral • It is most commonly symptomatic in the 2nd decade of life and causes medial foot pain • Symptomatic in <1% of patients.
  • 5. ACCESSORY NAVICULAR The accessory navicular is an accessory bone that is also called the accessory scaphoid, prehallux, os tibiale, os tibiale externum, naviculare secundarium, and navicular secundum. It was initially described by Bauhin in 1605. The accessory navicular sits posteromedial to the navicular , and it ossifies between 9 and 11years of age. It is seen radiographically with much variation, small to large, round to triangular. Its connection to the navicular may be fibrous, cartilaginous, or bony.
  • 6. Classification Type I occurs primarily as a round sesamoid within the substances of the distal posterior tibial tendon. It is rarely associated with symptoms. Small, 2–3-mm sesamoid bone in the PTT; referred to AS “os tibiale externum”. Type II is associated with a synchondrosis within the body of the navicular at risk for disruption either from traction injury or shear forces in the region. Larger ossicle than type I Secondary ossification center of the navicular bone, Most common variety (50%). Type III, also known as a navicular beak or a cornuate navicular occurs with fusion of the accessory navicular bone to the body of the navicular.
  • 8. Clinical Features: • Pain may begin after wearing ill-fitting shoes, with weight bearing activities or athletics, or after trauma to the foot. – Tenderness over the medial aspect of the foot and over the accessory navicular bone. – Secondary Achilles tendon contracture can occur – Flatfoot is common and with severe flatfoot, lateral pain may occur secondary to impingement of the calcaneus against the fibula.
  • 9. Clinical Features • Most cases of accessory navicular are asymptomatic, and less than 1% require surgical treatment . • The source symptoms in an accessory navicular are not absolutely clear. • Inflammation of the surrounding soft tissues from the prominence or trauma to the cartilaginous bridge may cause pain. • Repetitive stresses on a cartilage bridge may result in a painful stress fracture . • Symptoms usually begin in the teen years, as pain in the mid-medial arch aggravated by weight bearing. • In adults, initial symptoms may appear after a severe twisting injury, often occurring in sports.
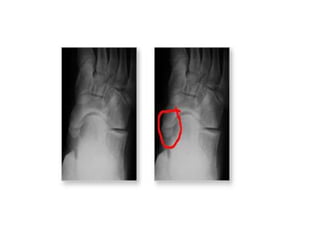
  • 10. X-rays • AP, lateral, internal oblique and external oblique view. – The accessory ossicle may be best visualized on the internal oblique view(reverse oblique view).
  • 11. X-rays • If a patient has a bilateral accessory navicular , but only one foot is symptomatic after a traumatic event (sometimes minor trauma), the foot should be carefully evaluated clinically and radiographically for asymmetrical pes planus . • On the lateral weight bearing film, the talonavicular cuneiform– first metatarsal dorsal alignment should be closely examined. • Sag at any of these joints indicates loss of structural integrity of the area . • Also of interest is the pronation of the entire forefoot on weight bearing, as seen in the weight bearing sesamoid view . • Recognition of the loss of structural integrity of the longitudinal arch is important because this component of the deformity would not be corrected by excising the accessory navicular and reinserting or even advancing the posterior tibial tendon.
  • 13. Large accessory naviculars (arrows) are visible on this weight-bearing anteroposterior view of both feet.
  • 14. Physical examination • Physical examination will reveal a bony prominence of the proximal medial border of the navicular with tenderness over the accessory bone. • There can be associated local edema and erythema. • The accessory bone is usually visible on plain radiographs of the foot. • A bone scan may help to localize and differentiate the pathologic cause of medial arch pain, but it is rarely necessary.
  • 15. NONOPERATIVE TREATMENT Non operative treatment is generally effective and consists of rest from activity, non steroidal anti-inflammatory medication, and shoe wear modification. A wider shoe will relieve the pressure over the bony prominence. With a flatfoot deformity, a medial arch in a custom orthotic device may reduce the stress on the medial longitudinal arch. Acute symptoms associated with an injury, even a minor sprain, can be treated with a short course of cast immobilization for 3to6 weeks. After casting, usual activities can be resumed as symptoms allow.
  • 16. SURGICAL TREATMENT • In cases of disabling pain that is unresponsive to nonoperative treatment, excision of the accessory bone is indicated. • Excision of the accessory bone with advancement of the posterior tibial tendon is known as the Kidner procedure. • Make a 3to4 cm medial longitudinal incision over the insertion of the posterior tibial tendon, incise the tendon longitudinally, and visualize the accessory navicular. • Excise the accessory navicular.
  • 17. SURGICAL TREATMENT • The remaining navicular tuberosity is usually prominent, so use a rounguer to create a smooth surface. • Apply bone wax to the cut surface to decrease postoperative bleeding. • Repair the posterior tibial tendon with interrupted absorbable sutures. • If the defect is large, repair the tendon and advance it through a drill hole in the navicular; bring it out the dorsum and suture it onto itself.
  • 18. Kidner Procedure The Kidner procedure consists of excising the accessory navicular and rerouting the posterior tibial tendon into a more plantar position. The parents should be informed before surgery, however, that permanent correction of the arch sag cannot be certain. Relief of symptoms around the prominent tuberosity and reduction or elimination of fatigue from arch strain are predictable. Indications for the Kidner procedure include symptomatic accessory navicular bone with point tenderness in the region. In most patients with an acute injury to the synchondrosis, 6 to 8 weeks of cast or boot immobilization is recommended as a trial before surgical intervention.
  • 19. INCISION AND REMOVAL OF ACCESSORY NAVICULAR • Beginning 1 to 1.5 cm inferior and distal to the tip of the medial malleolus, arch the skin incision slightly dorsalward, peaking at the medial prominence of the accessory navicular, and sloping distally to the base of the first metatarsal. • After ligating the plantar communicating branches of the saphenous system, identify the posterior tibial tendon as it approaches the accessory navicular . • Identify the dorsal and plantar margins of the tendon 2 cm proximal to the accessory navicular, and expose the tendon distally, ending at the bone. • By this means, the entire tendon can be exposed, and the part extending plantarward toward its multiple insertions is not disturbed.
  • 20. TRANSPOSITION AND ADVANCEMENT OF THE SLIP OF THE POSTERIOR TIBIAL TENDON • • • • • Using sharp dissection, shell the accessory navicular from the posterior tibial tendon, attempting to leave a small sliver of bone within the tendon if transposition of the tendon is planned. Resect the medial prominence of the main navicular flush with the medial border of the first cuneiform using a roungeur and rasp. Remove the portion of cuneiform using sharp dissection, and shift it plantarward and laterally as far as possible. Suture the tendon to the apex of the medial longitudinal arch using periosteum and ligamentous tissue to secure the transposed tendon slip or by passing the sutures through holes drilled in the center of the navicular and tying them dorsally. Try to advance this slip of tendon while the talonavicular joint is reduced and the medial longitudinal arch is reestablished by holding the midfoot and forefoot in a cavovarus position.
  • 21. SKIN CLOSURE AND CASTING • Close the skin and subcutaneous tissue with absorbable sutures or adhesive skin strips so that the postoperative cast can remain in place for 4 weeks. • Apply a long leg, bent-knee cast in two parts. • The cast is well padded and gently molded into the longitudinal arch with the talonavicular joint reduced and the foot inverted. • Extend the short leg cast above the knee with this joint flexed 45 degrees. • If the patient is reliable, and the parents are informed, a short leg cast with the foot in equinovarus is a reasonable alternative, but it must be a non walking cast.
  • 24. PITFALLS AND COMPLICATIONS If some prominence of the navicular remains, symptoms of pressure against shoewear may persist. Sometimes tenderness persists over the medial eminence area, especially in adults. To prevent this problem, remove sufficient bone and smooth the remaining surface with a roungeur. If the patient has another anatomic abnormality, including symptomatic flatfoot, equinus contracture, or a tarsal coalition, the treatment must address these problems as well.