Successfully reported this slideshow.
We use your LinkedIn profile and activity data to personalize ads and to show you more relevant ads. You can change your ad preferences anytime.

Histologia do sistema urinário

21,264 views

Published on

Apresentação de slide sobre Histologia do sistema urinário

Published in: Health & Medicine
  • Login to see the comments

Histologia do sistema urinário

  1. 1. HISTOLOGIA DO SISTEMA URINÁRIO Universidade Federal Rural do Semi-Árido Departamento de Ciências Animais Disciplina: Histologia e Embriologia Animal Aluna: Lara Candice Costa de Morais 1
  2. 2. FUNÇÕES GERAIS Homeostase; Filtrar o sangue;  Remover os produtos residuais;  Recuperar os metabólitos úteis; Armazenar os resíduos e transportá- los para o exterior. 2
  3. 3. CONSTITUIÇÃO Componentes do Sistema Urinário  Rins  Ureteres  Bexiga  Uretra 3
  4. 4. 4
  5. 5. RINS - FUNÇÕES 5 Filtração sanguínea;  Conservação dos metabólitos essenciais;  Secreção dos produtos residuais. Controlam o equilíbrio ácido-básico; Órgão endócrino – eritropoetina e renina.
  6. 6. RINS-ESTRUTURAMACROSCÓPICA • Regiões: 1. Córtex 2. Medula • Segmentos: 1. Pirâmide 2. Papila (área crivosa) 3. Cálice Menor 4. Cálice Maior 5. Pelve Renal 6
  7. 7. 7 a – Córtex b - Medula
  8. 8. NÉFRONS  Estruturas formadas por:  Corpúsculo Renal;  Túbulo contorcido proximal;  Alça de Henle;  Túbulo contorcido distal. Obs.: Túbulos coletores. 8
  9. 9. RINS-ESTRUTURAMICROSCÓPICA • Córtex • Néfrons • Ductos coletores • Medula • Ductos coletores 9
  10. 10. RINS - HISTOLOGIA Revestimento externo: cápsula fibrosa (tecido conjuntivo denso)  Fibras colágenas e fibroblastos Tecido conjuntivo frouxo liga cápsula ao parênquima. 10
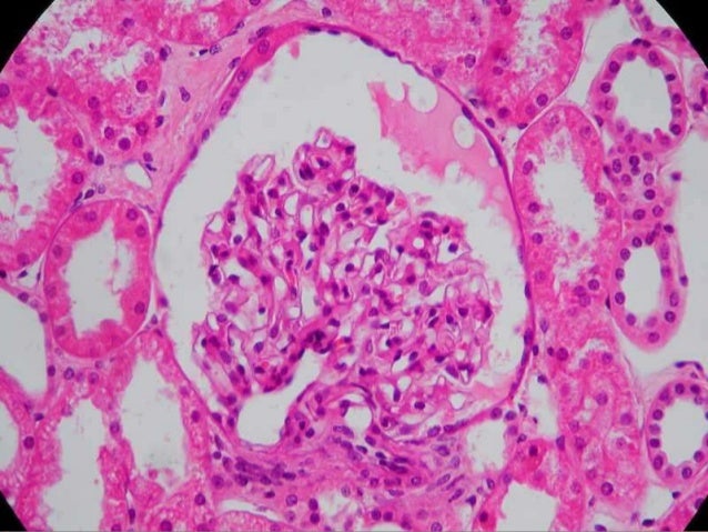
  11. 11. NÉFRONS - HISTOLOGIA Glomérulo;  Arteríolas aferente e eferente ramificadas. Cápsula de Bowman;  Folheto parietal  tecido epitelial simples pavimentoso.  Folheto visceral  tecido epitelial simples pavimentoso (podócitos). 11
  12. 12. 12
  13. 13. NÉFRONS - HISTOLOGIA Podócitos  Células do folheto visceral;  Tecido epitelial simples pavimentoso;  Aderidas à membrana basal dos capilares glomerulares. 13
  14. 14. 14
  15. 15. 15
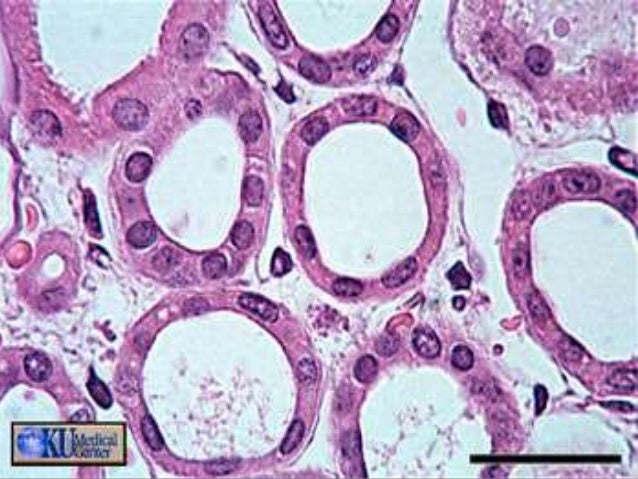
  16. 16. NÉFRONS - HISTOLOGIA Túbulos contorcidos proximais:  Tecido epitelial simples cúbico;  Arredondados ou ovóides;  Quatro a seis núcleos por célula;  Mitocôndrias  aspecto granular.  Borda interna  Microvilos 16
  17. 17. 17
  18. 18. NÉFRONS - HISTOLOGIA Alça de Henle:  Epitélio simples pavimentoso;  Lâmina basal delgada;  Células achatadas e núcleos lenticulares;  Prolongamentos celulares e microvilos. 18
  19. 19. 19
  20. 20. 20
  21. 21. NÉFRONS - HISTOLOGIA Túbulos contorcidos distais:  Epitélio simples cúbico;  Células menores e menos eosinófilas);  Mais curtos que os proximais;  Estriações basais. 21
  22. 22. 22
  23. 23. 23
  24. 24. TÚBULOS COLETORES - HISTOLOGIA Túbulos coletores arqueados Túbulo coletor reto Tecido epitelial simples cúbico; Membrana basal delgada; 24
  25. 25. TÚBULOS COLETORES - HISTOLOGIA Grande lúmen; Citoplasma palidamente corado; Poucas organelas. 25
  26. 26. TÚBULOS COLETORES - HISTOLOGIA Núcleo central arredondado; Ausência de projeções intercelulares ou invaginações; 26
  27. 27. 27
  28. 28. 28
  29. 29. URETERES E BEXIGA - HISTOLOGIA Ureteres – conduzem a urina dos rins à bexiga; Bexiga – armazena urina; Formados por quatro camadas:  Urotélio (epitélio de transição): Reveste o lúmen; Ureter  duas ou três camadas. Bexiga  cinco a sete camadas. Impermeável à água e íons. 29
  30. 30. URETERES E BEXIGA - HISTOLOGIA  Lâmina própria: Tecido conjuntivo frouxo;  Túnica muscular: Tecido muscular liso;  Túnica adventícia: Tecido conjuntivo frouxo; Nervos e plexos autônomos; Vasos sanguíneos e linfáticos. 30
  31. 31. 31
  32. 32. 32
  33. 33. 33
  34. 34. URETRA - HISTOLOGIA Revestimento interno:  Epitélio de Transição e Epitélio estratificado cilíndrico.  Epitélio estratificado cilíndrico;  Epitélio estratificado pavimentoso não-queratinizado. Lâmina própria (plexo venoso); Túnica muscular; 34
  35. 35. 35
  36. 36. REFERÊNCIAS BIBLIOGRÁFICAS  OVALLE, Willian K. & NAHIRNEY, Patrick C. Bases da Histologia. Editora Elsevier. São Paulo, 2008.  BANKS, Willian J. Histologia Veterinária Aplicada. Editora Manole Ltda. São Paulo, 1991.  AMABIS, José Mariano & MARTHO, Gilberto R. Biologia dos Organismos, vol 2. Editora Moderna, 2004. 36
  37. 37. 36 D Ú V I D A S ?

×