Successfully reported this slideshow.
We use your LinkedIn profile and activity data to personalize ads and to show you more relevant ads. You can change your ad preferences anytime.

Larynx Imaging 3rd part laryngeal neoplasm CT MRI Dr Ahmed Esawy

1,849 views

Published on

Larynx Imaging 3rd part laryngeal neoplasm CT MRI Dr Ahmed Esawy
Laryngomalacia
Ductal retention cyst
Cystic hygroma
Bifid epiglottis
Vocal cord paralysis
Web and atresia
Interarytenoid web
Posterior laryngeal cleft
Cri-du-chat syndrome
Cong. Subglottic stenosis
Subglottic hemangioma
Web & atresia
Cysts
Croup
Epiglottic Enlargement
Epiglottitis
Squamous cell carcinoma is mucosal disease
Glottic carcinoma
subglottic carcinoma
supraglottic carcinoma
virtual laryngoscopy
vocal cord paralysis

Hyiod bone
Laryngeal skeleton
the paired
1- arytenoid,
2- corniculate
3- cuneiform cartilage
the unpaired
4- thyroid
5- cricoid
6- epiglottic cartilages
supraglottic
7- Valleculae
8- Aryepiglottic fold
9- Glossoepiglottic fold
10- Laryngeal vestibule
11- False cord
12- Ventricle
13- Preepiglottic space

Published in: Health & Medicine
  • No More Padded Bras. I'm 33 and ever since I was in my late teens, I have been wearing padded bras to make my breasts look bigger. I've been trying to get my breasts to grow for years but I've never ben able to find a solution that works. I tried your book with little hope, but was extremely surprised to find I was getting results just 2 weeks after using your techniques. After 1 month, I managed to get rid of my padded bras and I now I'm loving the new underwear I treat myself to! ➣➣➣ https://dwz1.cc/iZqgQnlK
       Reply 
    Are you sure you want to  Yes  No
    Your message goes here
  • Now there's no need for painful and expensive surgery, you can just find out the natural enlargement method on the web page here... ✄✄✄ https://dwz1.cc/iZqgQnlK
       Reply 
    Are you sure you want to  Yes  No
    Your message goes here
  • Finally, it's been revealed how you can increase your breast size by two cup sizes... All FULLY Naturally. Just see for yourself... ☞☞☞ https://dwz1.cc/iZqgQnlK
       Reply 
    Are you sure you want to  Yes  No
    Your message goes here
  • DOWNLOAD THIS BOOKS INTO AVAILABLE FORMAT (Unlimited) ......................................................................................................................... ......................................................................................................................... Download Full PDF EBOOK here { https://soo.gd/qURD } ......................................................................................................................... Download Full EPUB Ebook here { https://soo.gd/qURD } ......................................................................................................................... Download Full doc Ebook here { https://soo.gd/qURD } ......................................................................................................................... Download PDF EBOOK here { https://soo.gd/qURD } ......................................................................................................................... Download EPUB Ebook here { https://soo.gd/qURD } ......................................................................................................................... Download doc Ebook here { https://soo.gd/qURD } ......................................................................................................................... ......................................................................................................................... ................................................................................................................................... eBook is an electronic version of a traditional print book THIS can be read by using a personal computer or by using an eBook reader. (An eBook reader can be a software application for use on a computer such as Microsoft's free Reader application, or a book-sized computer THIS is used solely as a reading device such as Nuvomedia's Rocket eBook.) Users can purchase an eBook on diskette or CD, but the most popular method of getting an eBook is to purchase a downloadable file of the eBook (or other reading material) from a Web site (such as Barnes and Noble) to be read from the user's computer or reading device. Generally, an eBook can be downloaded in five minutes or less ......................................................................................................................... .............. Browse by Genre Available eBooks .............................................................................................................................. Art, Biography, Business, Chick Lit, Children's, Christian, Classics, Comics, Contemporary, Cookbooks, Manga, Memoir, Music, Mystery, Non Fiction, Paranormal, Philosophy, Poetry, Psychology, Religion, Romance, Science, Science Fiction, Self Help, Suspense, Spirituality, Sports, Thriller, Travel, Young Adult, Crime, Ebooks, Fantasy, Fiction, Graphic Novels, Historical Fiction, History, Horror, Humor And Comedy, ......................................................................................................................... ......................................................................................................................... .....BEST SELLER FOR EBOOK RECOMMEND............................................................. ......................................................................................................................... Blowout: Corrupted Democracy, Rogue State Russia, and the Richest, Most Destructive Industry on Earth,-- The Ride of a Lifetime: Lessons Learned from 15 Years as CEO of the Walt Disney Company,-- Call Sign Chaos: Learning to Lead,-- StrengthsFinder 2.0,-- Stillness Is the Key,-- She Said: Breaking the Sexual Harassment Story THIS Helped Ignite a Movement,-- Atomic Habits: An Easy & Proven Way to Build Good Habits & Break Bad Ones,-- Everything Is Figureoutable,-- What It Takes: Lessons in the Pursuit of Excellence,-- Rich Dad Poor Dad: What the Rich Teach Their Kids About Money THIS the Poor and Middle Class Do Not!,-- The Total Money Makeover: Classic Edition: A Proven Plan for Financial Fitness,-- Shut Up and Listen!: Hard Business Truths THIS Will Help You Succeed, ......................................................................................................................... .........................................................................................................................
       Reply 
    Are you sure you want to  Yes  No
    Your message goes here

Larynx Imaging 3rd part laryngeal neoplasm CT MRI Dr Ahmed Esawy

  1. 1. Diseases of the Larynx • Traumatic • Congenital • Inflammatory • Infectious • Granulomatous • Mucosal • Neoplastic Dr Ahmed Esawy
  2. 2. Neoplasms of the Larynx Benign Malignant Papilloma Squamous Cell Ca Minor S.G. tumors Neuroendocrine (e.g. carcinoid, melanoma) Granular cell tumor Chodrosarcoma Chondroma Rhabdomyosarcoma Hemangioma Lymphoma Paraganglioma Dr Ahmed Esawy
  3. 3. •Squamous cell carcinoma is mucosal disease Dr Ahmed Esawy
  4. 4. Squamous cell carcinoma • 90 % of all laryngeal neoplasm • Mucosal / accessible to direct visualzation • Imaging • site of mass • local extent (PES/PGS,subglottic,ant commissure) • deep extent / extralaryngeal spread • cartilage invasion (sclerosis of aryteniod suggest invasion) • MRI detect fat invasion • non palpable nodes • secondary VS primary • prebiopsy aviods confusion Dr Ahmed Esawy
  5. 5. Spread: • Direct to the adjacent areas of the larynx and extralarynx • Lymphatic to the deep cervical LNs: • Supraglottic to upper deep cervical LNs • Glottic has no lymphatic drainage (eraly glottic cancer doesn’t spread to LNs) except after spread to the adjacent areas. • Subglottic to the lower cervical LNs. Dr Ahmed Esawy
  6. 6. • Supraglottic 60 %-70 % lymphatic spread 30 % • glottic 25 %-35 % lymphatic spread 1 % • subglottic 5 % lymphatic spread 30 % Dr Ahmed Esawy
  7. 7. Sqaumous CCA • Prognosis: –Stage dependent • T1,T2: >80% 5 yrs survival • T3: 50-60% • T4: < 40% • N+: reduce prognosis by half Dr Ahmed Esawy
  8. 8. Barium swallow Delineate site and extent of the massDr Ahmed Esawy
  9. 9. Supraglottic carcinoma • Includes : epiglottis • FVC • AE folds • aryteniod cartilage • Most arise from base of epiglottis and FVC • Extention : preepiglottic space • BOT • piriform sinuses • anterior commissure Dr Ahmed Esawy
  10. 10. Supraglottic carcinoma • More aggressive in direct extention and nodal metastases • 50 % present with nodes • Often asymptomatic longer than glottic tumours • Overall survival rate 75 % Dr Ahmed Esawy
  11. 11. Sqaumous CCA (TNM staging) T: primary tumor Tx Cannot be staged T0 No evidence of tumor Tis Carcinoma in situ Supraglottis T1 Tumor confined to one subsite of larynx; normal mobility (i.e., ventricular bands; arytenoids; epiglottis) T2 Involving more than one subsite (supraglottis or glottis; normal mobility) T3 Linked to larynx with fixation or extension to involve postcricoid, medial pyriform, or preepiglottic space T4 Tumor invasion of cartilage or tissue beyond larynx Dr Ahmed Esawy
  12. 12. Suprglottic tumour to widen thyroaryteniod gap and invade piriform sinus posteriorly Dr Ahmed Esawy
  13. 13. Supraglottic carcinoma Dr Ahmed Esawy
  14. 14. Coronal construction for craniocaudal invasion and paraglottic extention Axial CT for lymph nodes Dr Ahmed Esawy
  15. 15. Supraglottic carcinoma Dr Ahmed Esawy
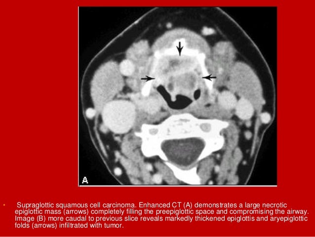
  16. 16. • Supraglottic squamous cell carcinoma. Enhanced CT (A) demonstrates a large necrotic epiglottic mass (arrows) completely filling the preepiglottic space and compromising the airway. Image (B) more caudal to previous slice reveals markedly thickened epiglottis and aryepiglottic folds (arrows) infiltrated with tumor.
  17. 17. • Supraglottic squamous cell carcinoma. Enhanced CT (A) demonstrates a large necrotic epiglottic mass (arrows) completely filling the preepiglottic space and compromising the airway. Image (B) more caudal to previous slice reveals markedly thickened epiglottis and aryepiglottic folds (arrows) infiltrated with tumor. A metastatic lymph node is also identified (asterisk).
  18. 18. • Supraglottic carcinoma. Enhanced CT demonstrates a soft-tissue attenuation mass (m) arising from the epiglottis and encroaching on the preepiglottic (black arrow) and paralaryngeal (double black arrows) spaces and right aryepiglottic fold (white arrow). Metastatic lymph nodes (asterisks) are also evident.
  19. 19. Supraglottic mass extending to thyriod cartilage
  20. 20. Coronal T1Tumour invasion of PGS
  21. 21. • Supraglottic carcinoma. Large predominantly hypodense anterior epiglottic mass (arrows) fills the preepiglottic space at the level of the hyoid bone (H). The airway (white asterisk) is compressed by the lesion.
  22. 22. • Supraglottic carcinoma. Tumor thickens the left side of the epiglottis and extends into the paralaryngeal space and left aryepiglottic fold (arrows); normal right aryepiglottic fold (arrowhead).
  23. 23. • Localized false vocal cord tumor. Carcinoma involving the left false vocal cord (white arrows) obliterates the normal low-attenuation paralaryngeal space and bulges into the airway; normal right paralaryngeal space (arrowheads).
  24. 24. Supraglottic tumour with paraglottic spread into the lateral edge of the true cord Dr Ahmed Esawy
  25. 25. Supraglottic carcinoma extending around the ventricle into the lateral cord Dr Ahmed Esawy
  26. 26. Supraglottic tumour without cartilage invasionDr Ahmed Esawy
  27. 27. Tumour involving the cartilage Dr Ahmed Esawy
  28. 28. Glottic carcinoma • Involving : TVC • anterior commissure • posterior commissure • 60-75% laryngeal carcinomas • Present early with hoarsness • Nodal META late • 5 yr survival 85-90 % early • 25-55 % late Dr Ahmed Esawy
  29. 29. Patterns of tumor invasion: • anterior extension into anterior commissure – >1 mm thickness of anterior commissure – invasion of contralateral vocal cord via anterior commissure • posterior extension to arytenoid cartilage, posterior commissure, cricoarytenoid joint • subglottic extension – tumor >5 mm inferior to level of vocal cords • deep lateral extension into paralaryngeal space • Prognosis:T1 carcinoma rarely metastasizes (2%) due to absence of lymphatics within true vocal cords Dr Ahmed Esawy
  30. 30. Sqaumous CCA (TNM staging) T: primary tumor Tx Cannot be staged T0 No evidence of tumor Tis Carcinoma in situ Glottis T1 Tumor limited to vocal cords, normal mobility T1a one cord T1b both cords T2 Extension to supraglottis and/or subglottis; may be impaired cord mobility T3 Limited to larynx with cord fixation T4 Extension beyond larynx or into cartilage Dr Ahmed Esawy
  31. 31. Anterior commissure invasion (less than 1-2 mm normally) Posterior two third of cord intact Dr Ahmed Esawy
  32. 32. Involve entire length of right cord , Medial displament of aryteniod Anterior commissure invasion Thyriod cartilage destructionDr Ahmed Esawy
  33. 33. right cord carcinoma Laryngeal vantricle Aryteniod cartilage Anterior commissure invasion Dr Ahmed Esawy
  34. 34. Glottic carcinoma Dr Ahmed Esawy
  35. 35. Glottic carcinoma Dr Ahmed Esawy
  36. 36. Transglottic Carcinoma • transglottic tumors exceeding 2 cm in diameter frequently involve the cartilage. The extent of these lesions may not be fully appreciated clinically due to submucosal spread Dr Ahmed Esawy
  37. 37. •Anterior commissure not more than 1mm Dr Ahmed Esawy
  38. 38. • Carcinoma of the right true vocal cord with thyroid cartilage destruction. Mass involving the right true vocal cord invades the anterior commissure and destroys the right thyroid lamina (black arrowheads), and extends into the adjacent soft tissues (white arrowheads). Cortical thinning of the posterior aspect of the left thyroid lamina (arrows) is a normal variation and should not be interpreted as cartilage destruction
  39. 39. • Transglottic carcinoma, arytenoid cartilage involvement. CT scan shows a mass in the left vocal cord that extends to the thyroid cartilage (asterisk) and the left arytenoid cartilage (arrowhead). The mass escapes into the neck through the thyroarytenoid space (arrows). The left arytenoid cartilage is sclerotic compared to its companion on the right. This extensive mass also involved the supraglottic region.
  40. 40. • Transglottic carcinoma with cartilage invasion. CT scan reveals a soft-tissue mass (white arrows) thickening the mucosa and projecting into the airway at the level of the cricoid cartilage. This mass had spread from a glottic site and descended to the inferior margin of the cricoid cartilage. Note the cricoid sclerosis (arrowheads) and destruction with marrow replacement by tumor (black arrow) that marked the cartilage invasion.
  41. 41. • Transglottic carcinoma. Enhanced transaxial T1-weighted MR image (A) reveals a large supraglottic soft- tissue mass (arrowheads) that invades the left paralaryngeal space, the left thyroid cartilage lamina, and paralaryngeal muscles (arrow). Sagittal T1-weighted image (B) demonstrates the full extent of tumor (arrowheads) as it infiltrates to the level of the true cords.
  42. 42. • Transglottic carcinoma. Enhanced transaxial T1-weighted MR image (A) reveals a large supraglottic soft-tissue mass (arrowheads) that invades the left paralaryngeal space, the left thyroid cartilage lamina, and paralaryngeal muscles (arrow). Sagittal T1-weighted image (B) demonstrates the full extent of tumor (arrowheads) as it infiltrates to the level of the true cords.
  43. 43. PET Increase FDG activity
  44. 44. Transglottic tumour : the tumour follows(arroe) the paraglottic space around The ventricle widening the cord at the tumour infiltration .arrowhead represent The approximate level of the ventricle Dr Ahmed Esawy
  45. 45. Vocal cord lesion with subglottic extention Tumour within the ring of criciod cartilage Note the intact fat planes (arrowhead) Dr Ahmed Esawy
  46. 46. Tumour of the anterior commissure extending Dr Ahmed Esawy
  47. 47. • Anterior spread jeopardizes the anterior commissure • Posterior spread threatens the posterior commissure, Dr Ahmed Esawy
  48. 48. • Carcinoma left true vocal cord. Enhanced CT in a patient with a clinically fixed left true vocal cord. An enhancing mass (arrowheads) of the anterior left true cord extends laterally into the paraglottic space to the thyroid cartilage and anteriorly to involve the anterior commissure (arrow). The anterior right true cord is also involved. The thyroid cartilage is intact and not invaded by tumor. P, laryngeal prominence.
  49. 49. • Carcinoma true vocal cord, with involvement of anterior and posterior commissures. Left true vocal cord tumor extends posteromedially over the arytenoid cartilage toward the posterior commissure (arrows) and anteriorly across the anterior commissure (arrowhead).
  50. 50. • Assessment of cord mobility is essential for cancer staging Dr Ahmed Esawy
  51. 51. • T1 lesions imaging may demonstrate no abnormality or may show subtle asymmetry of the cords • Causes for a false positive diagnosis of carcinoma include benign polyps and granulomatous disease Dr Ahmed Esawy
  52. 52. • Glottic carcinoma. • nodular irregularity of the true vocal cords (white arrows). • The lesion is slightly hyperdense. • Benign polyps may have an identical appearance.
  53. 53. • Glottic tumors may extend superiorly to involve the paralaryngeal space and supraglottis or inferiorly to involve the subglottis • Inferior extension greater than 8 to 9 mm anteriorly and 5 to 6 mm posteriorly usually requires total laryngectomy Dr Ahmed Esawy
  54. 54. Subglottic Carcinoma • Incidence:5% of all laryngeal cancers • Inferior glottis to inferior criciod • late detection due to minimal symptomatology • Prognosis:poor due to early metastases to cervical lymph nodes (in 25% at presentation) 5y {40 % Dr Ahmed Esawy
  55. 55. Sqaumous CCA (TNM staging) T: primary tumor Tx Cannot be staged T0 No evidence of tumor Tis Carcinoma in situ Extension beyond larynx or into cartilage Subglottis T1 Tumor limited to subglottis T2 Extension to vocal cord; mobility may be impaired T3 Limited to larynx with cord fixation T4 Extension beyond larynx or into cartilage Dr Ahmed Esawy
  56. 56. Subglottic Carcinoma Dr Ahmed Esawy
  57. 57. Subglottic Carcinoma • More commonly, subglottic tumors represent extensions from the glottic region or pyriform sinus • Subglottic extension from glottic primary cancer is usually associated with cord fixation • Patients often present with dyspnea, stridor, and pain; over 40% have cervical lymphadenopathy at initial examination Dr Ahmed Esawy
  58. 58. • the cricoid cartilage must be intact for successful conservative surgery. Almost 50% of subglottic carcinomas have cricoid or thyroid cartilage invasion at clinical presentation Dr Ahmed Esawy
  59. 59. Carcinoma right true vocal cords with subglottic extension Destruction of thyriod Sclerosis of the right aryteniod as well as criciod Dr Ahmed Esawy
  60. 60. • Carcinoma true vocal cords with subglottic extension. Enhanced CT (A) demonstrates thickening of the anterior commissure (arrow) by a mass involving both true vocal cords.
  61. 61. • Carcinoma true vocal cords with subglottic extension. Enhanced CT • (B) The mass descends into the subglottic region and perforates the cricothyroid membrane and inferior thyroid cartilage to invade the soft tissues of the neck (black arrowheads). Portions of the mass are hypodense due to necrosis. The airway (asterisk) is markedly narrowed. Prior radiation therapy has caused skin thickening (white arrowheads).
  62. 62. • no measurable soft tissue thickness should be demonstrated between the cricoid cartilage and the airway. Any soft tissue thickening or exophytic tissue should be considered carcinoma Dr Ahmed Esawy
  63. 63. Special Issues in Cancer of the Larynx and Hypopharynx • The laryngeal cartilage integrity is an important feature of cancer staging. The presence of cartilage invasion implies a T4 lesion, which precludes conservative surgery . • Moreover, irradiation of invaded cartilage may predispose to perichondritis and cartilage necrosis • The thyroid cartilage is most commonly affected. Sites of invasion Dr Ahmed Esawy
  64. 64. Hypopharynx carcinoma • Most commonly from pyriform sinuses • Involvment : piriform sinus apex • postcriciod region • esophageal verge • larynx • 50-78 % present with nodes • Often present late Dr Ahmed Esawy
  65. 65. • PYRIFORM SINUS CARCINOMA Dr Ahmed Esawy
  66. 66. • Pyriform sinus carcinoma. Dense soft-tissue mass (arrowheads) partially effacing right pyriform sinus and infiltrating paralaryngeal space on enhanced CT. The mass approaches the right carotid artery (C) but does not involve the vessel. Normal left pyriform sinus (asterisk), normal left paralaryngeal space (p).
  67. 67. • A. Pyriform sinus carcinoma, with thyroid cartilage destruction and extralaryngeal extension. A: On T1-weighted MR image, a large hypointense tumor (t) is seen in the region of the right pyriform sinus. Fat within the medullary cavity in the posterior portion of the left thyroid lamina (small arrows) is high in signal intensity, whereas the right thyroid lamina is destroyed and its medullary cavity is replaced by low-intensity tumor (arrowheads). Distinction between the tumor and strap muscles is poor. Tumor abuts carotid artery (c) but does not involve its wall; internal jugular vein (J).
  68. 68. • B. Pyriform sinus carcinoma, with thyroid cartilage destruction and extralaryngeal extension. B: On T2-weighted image, the extralaryngeal extension of hyperintense tumor (large arrow) and the strap muscles (S) are better delineated. Contrast between the tumor and fat within the paralaryngeal space is decreased. C, carotid artery; J, jugular vein; SCM, sternocleidomastoid muscle.
  69. 69. • B. Pyriform sinus hypopharyngeal squamous cell carcinoma. • a large hypopharyngeal mass (small arrowheads) extending posterolaterally to abut the left carotid artery (c) and displacing the barium filled hypopharynx to the right (arrows). A small left jugular lymph node is noted (large arrowhead).
  70. 70. • Hypopharyngeal carcinoma. CT demonstrates a large hypopharyngeal carcinoma (arrowheads) that has grown posteriorly to involve the retropharyngeal space.
  71. 71. Non-Squamous Cell Neoplasms of the Larynx Dr Ahmed Esawy
  72. 72. lipoma Homogenous non-enhancing lesion Of fat density seen at the level of right Aryepiglottic fold with intact mucous memberne Dr Ahmed Esawy
  73. 73. • Lymphoma hypopharynx. A predominately submucosal right pyriform sinus mass (black asterisk) invades the preepiglottic and right paralaryngeal spaces (arrowheads) with effacement of the right pyriform sinus. Biopsy confirmed a diffuse large B-cell lymphoma. Left pyriform sinus (white asterisk). • Multiple lesion suggest NHL
  74. 74. NHL CT+C show bilateral large submucosal lesions
  75. 75. Infantile hemangioma subglottic 2 month girl Dr Ahmed Esawy Axial contrast material-enhanced CT scan demonstrates a strongly enhancing subglottic soft-tissue mass (arrowhead), characteristic of infantile heniangioma Axial T2 high signal Coronal contrast-enhanced Ti-weighted MR image demonstrates involvement of the subglottis (small arrowheads) and cerncal trachea (large arrowheads). Arrow indicates the right laryngeal ventricle.
  76. 76. Supraglottic hemangioma 58 y man • hoarseness. • (a) Axial CT scan obtained at the supraglottic level demonstrates • a large, strongly enhancing mass involving the right false vocal cord (arrowhead). Arrows indicate the aryepiglottic folds.
  77. 77. Extensive cervicofacial angiodysplasia with laryngeal involvement cervicofacial angiodysplasia with involvement of the floor of the mouth (large arrowhead), right aryepiglottic fold (small arrowhead), and submandibular space (straight arrows). Curved arrow indicates phlebolithsDr Ahmed Esawy
  78. 78. AIDS-related laryngeal Kaposi sarcoma 24 y man • Axial contrast-enhanced CT scan obtained at the supraglottic level demonstrates a relatively strongly enhancing mass involving the right false vocal cord (arrowhead).
  79. 79. Cartilage-derived lesions • are rare and account for less than 10% of laryngeal submucosal lesions • Chondrosarcomas • Chondromas • Chondrometaplasia is a benign condition in which nodules of cartilage arise in the laryngeal soft tissues • Approximately 80% of these lesions arise in the cricoid cartilage, followed in frequency by the thyroid cartilage. Lesions in virtually all patients demonstrate coarse or stippled calcifications Dr Ahmed Esawy
  80. 80. • Features differentiating chondrosarcoma from cancer include the generally • older age at diagnosis, • absence of smoking history, • predominately calcified tumor matrix Dr Ahmed Esawy
  81. 81. Chondriod lesion of criciod cartilage Dr Ahmed Esawy
  82. 82. Chondrosarcoma : axial CT : tumour expands the thyriod lamina B: note siplled density within the cartilage Dr Ahmed Esawy
  83. 83. • Chondrosarcoma of the cricoid cartilage. CT demonstrates stippled calcification (arrowheads) within a large mass (small arrows) arising from the cricoid cartilage and extending into the extralaryngeal tissues. The thyroid cartilage (large arrows) is displaced anteriorly and to the left.
  84. 84. Chondrosarcoma of the cricoid cartilage • Axial contrast-enhanced CT scan shows a large, hypoattenuating mass with coarse calcifications, characteristic of chondrosarcoma. • The mass arises from the cricoid cartilage and leads to significant airway obstruction (arrow).
  85. 85. CHONDROMA OF CRICIOD CARTILAGE Dr Ahmed Esawy
  86. 86. Chondrosarcoma of the thyroid cartilage Dr Ahmed Esawy T1 lobulated, low-signal-intensity mass arising from the right thyroid lamina (arrowheads) T2 tumor mass with very high signal intensity, indicating high water content
  87. 87. Laryngeal plasmacytoma epiglottic tumorDr Ahmed Esawy
  88. 88. Plasma cell granuloma epiglottis • L-shaped tumor mass with low signal intensity involving the epiglottis (arrowhead) as well as the base of the tongue (arrow). • the tumor with strong, homogeneous enhancement without evidence of large necrotic areas or gross ulceration (arrowheads). Dr Ahmed Esawy
  89. 89. Adenoid cystic carcinoma • large primary subglottic tumor extending beyond the larynx (arrowheads) and invading the cricoid cartilage (*). No cervical lymph node metastases were seen at CT. subglottic tumor
  90. 90. Mucoepidermoid carcinoma subglottic • Axial contrast-enhanced CT scan obtained at the level of the subglottis demonstrates a left-sided mass (arrowhead) with invasion of the cricoid cartilage (arrows);
  91. 91. Adenocarcinoma glottic Dr Ahmed Esawy
  92. 92. Lipoma right aryepiglottic fold • Axial contrast-enhanced CT scan obtained at the supraglottic level shows a homogeneous, nonenhancing lesion isoattenuating to fat at the level of the right aryepiglottic fold (arrowhead).
  93. 93. Metastasis from melanotic melanoma left aryepiglottic fold Dr Ahmed Esawy
  94. 94. Metastases • to the larynx usually occur in the terminal stages of widely disseminated malignancy. • Primary tumors include • melanoma (30%), • renal carcinoma (15%), • lung carcinoma (10%), • breast carcinoma (10%), • prostate carcinoma (5%) (99). Dr Ahmed Esawy
  95. 95. Metastasis from amelanotic melanoma Dr Ahmed Esawy
  96. 96. Granular Cell Tumors of the Subglottic Region • Axial CT scan at level of subglottis shows enhancing mass (arrows) that extends Into strap muscles.

×