Successfully reported this slideshow.
We use your LinkedIn profile and activity data to personalize ads and to show you more relevant ads. You can change your ad preferences anytime.
Oscar Morell Santandreu
Mir 2 MFYC

HCUV
Centro de Salud, República
Argentina (Valencia)
ÍNDICE
Introducción
1)

Lesiones primarias de la Piel

2)

Derivación en AP

Colagenopatías vs enfermedades Autoinmunes
1)...
INTRODUCCIÓN
1. Anamnesis
2. Tiempo de evolución, forma de presentación, y
características o tipo de lesiones.
3. Fármacos...
LESIONES PRIMARIAS DE LA PIEL
Mácula: área plana de la piel de color diferente de la piel normal, suele describirse con un...
MÁCULA
ÁREA PLANA DE LA PIEL DE COLOR DIFERENTE DE LA PIEL NORMAL, SUELE DESCRIBIRSE CON UN ADJETIVO QUE
CALIFICA EL COLOR...
PÁPULA
LESIÓN CIRCUNSCRITA, ELEVADA Y SÓLIDA DE TAMAÑO INFERIOR A 1 CM
HABÓN
ELEVACIÓN CIRCUNSCRITA DE LA PIEL, DE FORMA Y DIMENSIONES
VARIABLES, EDEMATOSA Y DE EVOLUCIÓN FUGAZ CON POCAS HORAS ...
PLACA
LESIÓN ELEVADA DE LA PIEL DE MÁS DE 2 CENTÍMETROS DE DIÁMETRO FORMADA POR LA
COALESCENCIA DE VARIAS PÁPULAS O NÓDULO...
NÓDULO
LESIÓN ELEVADA, SÓLIDA DE TAMAÑO MAYOR DE 1 CM, CUANDO LA LESIÓN TIENE CARÁCTER
INFLAMATORIO PUEDE UTILIZARSE EL TÉ...
TUMOR
LESIÓN SÓLIDA, SOBREELEVADA DE MAYOR TAMAÑO CON TENDENCIA A PERSISTIR
VESICULA VS AMPOLLA
VESÍCULA: LESIÓN ELEVADA LLENA DE LÍQUIDO DE MENOS DE 1 CM
AMPOLLA: LESIÓN ELEVADA, LLENA DE LIQUIDO D...
PÚSTULA
LESIÓN ELEVADA LLENA DE PUS DE MENOS DE 1 CM
PETEQUIAS VS PÚRPURA
PETEQUIA: EXTRAVASACIÓN DE SANGRE EN LA PIEL
EQUÍMOSIS: EXTRAVASACIÓN DE SANGRE EN LA PIEL DE MAYOR T...
¿CUANDO DERIVAR?
Afectación sistemica:
1. Articular/ muscular
2. Fiebre
3. Disnea/ Hemoptisis
4. ETS
Marcadores de activid...
COLAGENOPATIAS: LES
CRITERIOS PARA LA CLASIFICACION DE LUPUS ERITEMATOSO SISTEMICO
(The 1982 revised criteria for the clas...
FORMAS DE PRESENTACIÓN DEL LES
LE CUTÁNEO
1-LESIONES ESPECIFICAS
*LE Agudo
*LE Subagudo
*LE Crónico
2-LESIONES INESPECIFIC...
LE CUTÁNEO:
LESIONES ESPECIFICAS; LUPUS AGUDO
Rash malar
Preservación surco
nasogeniano

40-50% al Inicio del DX
75% a LES...
LE CUTÁNEO:
LESIONES ESPECIFICAS; LUPUS SUBAGUDO
Dos tipos: anular y
psoriasifrome
No dejan cicatriz

En zonas fotoexpuest...
LE CUTÁNEO:
LESIONES ESPECIFICAS; LUPUS AGUDO
Forma discoide/
poiquilodermia
Dejan cicatriz

20% asociados a LES
Otros: Ve...
LE CUTÁNEO:
LESIONES ESPECIALES; LUPUS TUMIDUS
Pápulas edematosas
Áreas fotoexpuestas
Curso agudo/ subagudo/
estacional
Ba...
LE CUTÁNEO:
LESIONES ESPECIALES; LUPUS NEONATAL
Ac Anti-Ro y anti-La
Asociados a
alteraciones
cutáneas, hematológi
cas y v...
LE CUTÁNEO:
LESIONES ESPECIALES
Lupus AMPOLLOSO

Síndrome
Antifosfolípido
COLAGENOPATÍAS: DERMATOMIOSITIS
FORMAS DE PRESENTACIÓN
Dermatomioistis
amiopática

Dermatomiositis
sistémica

*Pápulas de Gotron

*Rash Heliotropo
*Poiqui...
DERMATOMIOSITIS AMIOPÁTICA: LESIONES
CUTÁNEAS
Papulas de Gotron
80%
(patognomómico)

Pápulas eritematosas
violaceas
Local:...
DERMATOMIOSITIS AMIOPÁTICA: LESIONES
CUTÁNEAS
Rash heliotropo
60%
Eritema + Fotosensibilidad

Local: párpados y zona
perio...
DERMATOMIOSITIS AMIOPÁTICA: LESIONES
CUTÁNEAS
Poiquilodermia
Placas atroficas
+

Telangiectasias
+
signo del ''Chal''
Loca...
DERMATOMIOSITIS AMIOPÁTICA: LESIONES
CUTÁNEAS
Manos de mecánico
Hiperqueratosis (grietas
+ fisuras) palmar

Hiperqueratosi...
DERMATOMIOSITIS AMIOPÁTICA: LESIONES
CUTÁNEAS
Calcinosis cutis
Complicación tardía
60% DM Juvenil

15% DM adultos
Depósito...
COLAGENOPATÍAS: ESCLERODERMIA
CRITERIOS PARA LA CLASIFICACION DE LA ESCLEROSIS SISTEMICA
(The American Rheumatism Associat...
FORMAS DE PRESENTACIÓN
Esclerodermia cutánea

Esclerodemia sistemica

*Morfea en placas

*Limitada

*Morfea lineal

*Difus...
ESCLERODERMIA CUTÁNEA: MORFEA
(ENFERMEDAD BENIGNA CRÓNICA CARACTERIZADA POR ÁREAS DE PIEL INDURADA)

Morfea en placas
Plac...
ESCLERODERMIA CUTÁNEA: MORFEA
(ENFERMEDAD BENIGNA CRÓNICA CARACTERIZADA POR ÁREAS DE PIEL INDURADA)

Morfea Lineal
Afectac...
ESCLERODERMIA SISTEMICA
(AFECTACIÓN VISCERAL VARIABLE INCLUYENDO RIÑÓN , PULMÓN, TD Y CORAZÓN)

Limitada
Afectación acral
...
ESCLERODERMIA SISTEMICA
(AFECTACIÓN VISCERAL VARIABLE INCLUYENDO RIÑÓN , PULMÓN, TD Y CORAZÓN)

Difusa
Esclerosis extensa
...
COLAGENOPATÍAS: VASCULITIS
Son frecuentes
Orientan al diagnostico por su morfología de la lesión o por
biopsia o ID

Clíni...
MANIFESTACIONES CUTÁNEAS DE LOS
SÍNDROMES VASCULÍTICOS
1. Vasculitis por hipersensibilidad o vasculitis cutánea
leucocitoc...
1. VASCULITIS POR HIPERSENSIBILIDAD
Urticaria Vasculitis

Eritema elevatum
diatinum
MANIFESTACIONES CUTÁNEAS DE LOS
SÍNDROMES VASCULÍTICOS
2. Vasculitis asociadas a ANCA
2.1. Granulomatosis de Wegener
Asoci...
MANIFESTACIONES CUTÁNEAS DE LOS
SÍNDROMES VASCULÍTICOS
3. Arteritis de la temporal
> 55 años mas frecuente mujeres
Clínica...
CONCLUSIONES
1. Anamnesis exhaustiva
2. Exploración tipo de lesión
3. Clínica acompañante
4. Revisión por sistemas
5. Anal...
BIBLIOGRAFIA
Arnett FC, Edworthy SM, Bloch DA, et al. The American Rheumatism association 1987. Revised criteria for the
c...
Lesiones dermatol+ôgicas en enfermedades autoinmunes
Lesiones dermatol+ôgicas en enfermedades autoinmunes
Lesiones dermatol+ôgicas en enfermedades autoinmunes
Upcoming SlideShare
Loading in …5
×

Lesiones dermatol+ôgicas en enfermedades autoinmunes

1,503 views

Published on

  • Be the first to comment

Lesiones dermatol+ôgicas en enfermedades autoinmunes

  1. 1. Oscar Morell Santandreu Mir 2 MFYC HCUV Centro de Salud, República Argentina (Valencia)
  2. 2. ÍNDICE Introducción 1) Lesiones primarias de la Piel 2) Derivación en AP Colagenopatías vs enfermedades Autoinmunes 1) LES 2) Dermatomiositis 3) Esclerodermia 4) Vasculitis
  3. 3. INTRODUCCIÓN 1. Anamnesis 2. Tiempo de evolución, forma de presentación, y características o tipo de lesiones. 3. Fármacos consumidos (Antibioticos, Sulfamidas, plitio, INH; fenitoina) 75% , HS IV 4. Clínica acompañante: fiebre, infección, alteración orina, hemoptisis, parestesias…
  4. 4. LESIONES PRIMARIAS DE LA PIEL Mácula: área plana de la piel de color diferente de la piel normal, suele describirse con un adjetivo que califica el color: eritematosa, pigmentada, purpúrica. Pápula: lesión circunscrita, elevada y sólida de tamaño inferior a 1 cm. Nódulo: lesión elevada, sólida de tamaño mayor de 1 cm, cuando la lesión tiene carácter inflamatorio puede utilizarse el término de tubérculo Tumor: Lesión sólida, sobreelevada de mayor tamaño con tendencia a persistir Vesícula: lesión elevada llena de líquido de menos de 1 cm Ampolla: lesión elevada, llena de liquido de más de 1 cm Pústula: lesión elevada llena de pus de menos de 1 cm Habón: elevación circunscrita de la piel, de forma y dimensiones variables, edematosa y de evolución fugaz con pocas horas de duración Placa: lesión elevada de la piel de más de 2 centímetros de diámetro formada por la coalescencia de varias pápulas o nódulos. Petequia: extravasación de sangre en la piel Equímosis: extravasación de sangre en la piel de mayor tamaño Púrpura: presencia de sangre en la piel de hasta 2 mm, que puede ser palpable.
  5. 5. MÁCULA ÁREA PLANA DE LA PIEL DE COLOR DIFERENTE DE LA PIEL NORMAL, SUELE DESCRIBIRSE CON UN ADJETIVO QUE CALIFICA EL COLOR: ERITEMATOSA, PIGMENTADA, PURPÚRICA.
  6. 6. PÁPULA LESIÓN CIRCUNSCRITA, ELEVADA Y SÓLIDA DE TAMAÑO INFERIOR A 1 CM
  7. 7. HABÓN ELEVACIÓN CIRCUNSCRITA DE LA PIEL, DE FORMA Y DIMENSIONES VARIABLES, EDEMATOSA Y DE EVOLUCIÓN FUGAZ CON POCAS HORAS DE DURACIÓN
  8. 8. PLACA LESIÓN ELEVADA DE LA PIEL DE MÁS DE 2 CENTÍMETROS DE DIÁMETRO FORMADA POR LA COALESCENCIA DE VARIAS PÁPULAS O NÓDULOS
  9. 9. NÓDULO LESIÓN ELEVADA, SÓLIDA DE TAMAÑO MAYOR DE 1 CM, CUANDO LA LESIÓN TIENE CARÁCTER INFLAMATORIO PUEDE UTILIZARSE EL TÉRMINO DE TUBÉRCULO
  10. 10. TUMOR LESIÓN SÓLIDA, SOBREELEVADA DE MAYOR TAMAÑO CON TENDENCIA A PERSISTIR
  11. 11. VESICULA VS AMPOLLA VESÍCULA: LESIÓN ELEVADA LLENA DE LÍQUIDO DE MENOS DE 1 CM AMPOLLA: LESIÓN ELEVADA, LLENA DE LIQUIDO DE MÁS DE 1 CM
  12. 12. PÚSTULA LESIÓN ELEVADA LLENA DE PUS DE MENOS DE 1 CM
  13. 13. PETEQUIAS VS PÚRPURA PETEQUIA: EXTRAVASACIÓN DE SANGRE EN LA PIEL EQUÍMOSIS: EXTRAVASACIÓN DE SANGRE EN LA PIEL DE MAYOR TAMAÑO PÚRPURA: PRESENCIA DE SANGRE EN LA PIEL DE HASTA 2 MM, QUE PUEDE SER PALPABLE.
  14. 14. ¿CUANDO DERIVAR? Afectación sistemica: 1. Articular/ muscular 2. Fiebre 3. Disnea/ Hemoptisis 4. ETS Marcadores de actividada elevados: PCR; FR; VSG; ANA… Reto diagnostico vs reto clinico
  15. 15. COLAGENOPATIAS: LES CRITERIOS PARA LA CLASIFICACION DE LUPUS ERITEMATOSO SISTEMICO (The 1982 revised criteria for the classification of SLE. Arthritis Rheum 1982; 25: 1271-1277). Para decir que una persona tiene LES se requiere que reúna 4 ó más de estos 11 criterios en serie o simultáneamente, durante cualquiera de los periodos de observación. RASH MALAR. Eritema fijo plano o elevado sobre la eminencia malar con tendencia a respetar los pliegues nasolabiales. RASH DISCOIDE. Placas eritematosas elevadas con escamas queratósicas adherentes y tapones foliculares; a veces retracción en las lesiones antiguas. FOTOSENSIBILIDAD. Rash cutáneo como resultado de reacción anormal a la luz solar, según historia clínica o examen físico. ULCERAS ORALES. Ulceración oral o nasofaringea, habitualmente indolora, observada por un médico. ARTRITIS. No erosiva en 2 ó más articulaciones periféricas. Caracterizada por:  hipersensibilidad al tacto dolor a la presión, Hinchazón, derrame articular. SEROSITIS.  Pleuritis:  Historia de dolor pleurítico, roce pleural, o derrame pleural.  Pericarditis:  Documentada por EKG, roce pericárdico, derrame pericárdico. TRASTORNOS RENALES.  Proteinuria persistente. Mayor de 0,5 grs/día o mayor de 3 + si no se cuantifica, o Cilindros celulares: Eritrocitos, Hb, granulares, tubulares o mixtos. TRASTORNOS NEUROLOGICOS.  Convulsiones. En ausencia de toxicidad medicamentosa y alteraciones metabólicas conocidas como uremia, cetoacidosis y alteraciones electrolíticas, o Psicosis. En ausencia de todos los factores descritos en párrafo anterior. TRASTORNOS HEMATOLOGICOS. Anemia hemolítica con reticulocitosis, ,Leucopenia menor de 4000 en 2 ó más ocasiones, o Linfopenia menor de 1500 en 2 ó más ocasiones, o Trombocitopenia menor de 100.000 en ausencia de toxicidad medicamentosa. TRASTORNOS INMUNOLOGICOS. Células LE positivas, o Anticuerpos anti DNA nativo, o Anticuerpos anti Sm, o Pruebas serológicas falsas positivas para sífilis:  por lo menos 6 meses consecutivos.  confirmadas por: inmovilización Treponema; FTA abs.
  16. 16. FORMAS DE PRESENTACIÓN DEL LES LE CUTÁNEO 1-LESIONES ESPECIFICAS *LE Agudo *LE Subagudo *LE Crónico 2-LESIONES INESPECIFICAS *Vasculitis; Fenomeno Raynaud, livedo reticularis, pernois… 3-LESIONES ESPECIALES DE LUPUS CUTÁNEO *Lupus Tummidus *Lupus Neonatal *Síndrome Antifosfolípido *Lupus ampolloso LES SISTÉMICO
  17. 17. LE CUTÁNEO: LESIONES ESPECIFICAS; LUPUS AGUDO Rash malar Preservación surco nasogeniano 40-50% al Inicio del DX 75% a LES Elevada fotosensibilidad
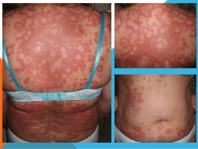
  18. 18. LE CUTÁNEO: LESIONES ESPECIFICAS; LUPUS SUBAGUDO Dos tipos: anular y psoriasifrome No dejan cicatriz En zonas fotoexpuestas 50 % asociado a LES
  19. 19. LE CUTÁNEO: LESIONES ESPECIFICAS; LUPUS AGUDO Forma discoide/ poiquilodermia Dejan cicatriz 20% asociados a LES Otros: Verrucoso e Hipertrófico Localización: • Áreas fotoexpuestas • Cuero cabelludo • Mucosa labial
  20. 20. LE CUTÁNEO: LESIONES ESPECIALES; LUPUS TUMIDUS Pápulas edematosas Áreas fotoexpuestas Curso agudo/ subagudo/ estacional Baja Incidencia de LES
  21. 21. LE CUTÁNEO: LESIONES ESPECIALES; LUPUS NEONATAL Ac Anti-Ro y anti-La Asociados a alteraciones cutáneas, hematológi cas y viscerales (5% BAV) Lesiones transitorias; ``Ojos de mapache´´
  22. 22. LE CUTÁNEO: LESIONES ESPECIALES Lupus AMPOLLOSO Síndrome Antifosfolípido
  23. 23. COLAGENOPATÍAS: DERMATOMIOSITIS
  24. 24. FORMAS DE PRESENTACIÓN Dermatomioistis amiopática Dermatomiositis sistémica *Pápulas de Gotron *Rash Heliotropo *Poiquilodermia *Manos de mecánico *Calcinosis cutis Neoplasia Oculta
  25. 25. DERMATOMIOSITIS AMIOPÁTICA: LESIONES CUTÁNEAS Papulas de Gotron 80% (patognomómico) Pápulas eritematosas violaceas Local: IF y MCF Signo de Gotron otras localizaciones: codos, rodillas y tobillos
  26. 26. DERMATOMIOSITIS AMIOPÁTICA: LESIONES CUTÁNEAS Rash heliotropo 60% Eritema + Fotosensibilidad Local: párpados y zona periorbitaria 2ºa procesos paraneoplásicos
  27. 27. DERMATOMIOSITIS AMIOPÁTICA: LESIONES CUTÁNEAS Poiquilodermia Placas atroficas + Telangiectasias + signo del ''Chal'' Localiz: áreas fotoexpuestas, extens oras y ojos
  28. 28. DERMATOMIOSITIS AMIOPÁTICA: LESIONES CUTÁNEAS Manos de mecánico Hiperqueratosis (grietas + fisuras) palmar Hiperqueratosis Ungueal Capilaroscopia + Hemorrragias en astilla Vasos tortuosos y dilatados Telangiectasias
  29. 29. DERMATOMIOSITIS AMIOPÁTICA: LESIONES CUTÁNEAS Calcinosis cutis Complicación tardía 60% DM Juvenil 15% DM adultos Depósitos de calcio subcutáneo Ulceraciones
  30. 30. COLAGENOPATÍAS: ESCLERODERMIA CRITERIOS PARA LA CLASIFICACION DE LA ESCLEROSIS SISTEMICA (The American Rheumatism Association. Preliminary criteria for classification of systemic sclerosis (scleroderma). Arthritis Rheum 1980; 23: 581-590). Se dice que una persona tiene Esclerosis Sistémica si reúne el criterio mayor ó 2 ó más criterios menores. CRITERIO MAYOR Esclerodermia proximal. Engrosamiento, retracción e induración simétrica de la piel de los dedos y de la piel proximal a las articulaciones metacarpofalángicas. Los cambios pueden afectar a toda la extremidad, la cara, el cuello y el tronco (tórax y abdomen). CRITERIOS MENORES. Esclerodactilia. Los cambios arriba indicados pero limitados a los dedos de las manos. Cicatrices digitales o pérdida de sustancia de los pulpejos de los dedos: áreas deprimidas en las puntas de los dedos o pérdida de tejido en los pulpejos, como resultado de isquemia. Fibrosis pulmonar basal bilateral. Patrón reticular de densidades lineales o lineonodulares bilaterales, más pronunciado en las porciones basales de ambos pulmones en un estudio radiológico de rutina, puede tener la apariencia de moteado difuso o pulmón "en panal de abeja". Estos cambios no deben ser atribuibles a enfermedad pulmonar primaria .
  31. 31. FORMAS DE PRESENTACIÓN Esclerodermia cutánea Esclerodemia sistemica *Morfea en placas *Limitada *Morfea lineal *Difusa *Morfea panesclerótica de la infancia.
  32. 32. ESCLERODERMIA CUTÁNEA: MORFEA (ENFERMEDAD BENIGNA CRÓNICA CARACTERIZADA POR ÁREAS DE PIEL INDURADA) Morfea en placas Placas redondas u ovales de 2 a 15 cm Centro anacarado /atrofico Borde eritematosoviolaceo (anillo lilaceo
  33. 33. ESCLERODERMIA CUTÁNEA: MORFEA (ENFERMEDAD BENIGNA CRÓNICA CARACTERIZADA POR ÁREAS DE PIEL INDURADA) Morfea Lineal Afectación longitudinal (cara o extremidades) Limitación movilidad Asociación: alopecia cicatricial, atrofia ósea Morfea panesclerotica de la infancia Poco frecuente Local: tronco y extremidades Nula afectación sistémica
  34. 34. ESCLERODERMIA SISTEMICA (AFECTACIÓN VISCERAL VARIABLE INCLUYENDO RIÑÓN , PULMÓN, TD Y CORAZÓN) Limitada Afectación acral (muñecas y tobillos) Curso lento Afectación visceral leve CREST
  35. 35. ESCLERODERMIA SISTEMICA (AFECTACIÓN VISCERAL VARIABLE INCLUYENDO RIÑÓN , PULMÓN, TD Y CORAZÓN) Difusa Esclerosis extensa Curso rápidamente progresivo Marcada afectación visceral Asociación: Fenomeno Raynaud Acroesclerosis Acrocianosis Afectación facial: microstomia, arrugas
  36. 36. COLAGENOPATÍAS: VASCULITIS Son frecuentes Orientan al diagnostico por su morfología de la lesión o por biopsia o ID Clínica más frecuente: púrpura palpable, nódulos, equimosis, petequias, máculas eritematosas, habones, livedo reticularis, úlceras y áreas de necrosis. BIOPSIA: Vasculitis leucocitoclástica (Infiltrado inflamatorio PMN afectando a la pared del vaso con edema endotelial, leucocitoclastia, hemorragia y trombosis). ID: Inmunocomplejos dérmicos de Inmunoglobulinas
  37. 37. MANIFESTACIONES CUTÁNEAS DE LOS SÍNDROMES VASCULÍTICOS 1. Vasculitis por hipersensibilidad o vasculitis cutánea leucocitoclástica Forma más frecuente de Vasculitis Inmunocomplejos vénulas y capilares Etiología 50 % desconocida, otros fármacos, otras colagenopatías, neoplasias TIPOS: 1. Púrpura Sconlein-Henoch 2. Urticaria vasculitis 3. Crioglobulinemia mixta esencial 4- Eritema elevatum Diutinum 5. Edema agudo hemorragico del lactante
  38. 38. 1. VASCULITIS POR HIPERSENSIBILIDAD Urticaria Vasculitis Eritema elevatum diatinum
  39. 39. MANIFESTACIONES CUTÁNEAS DE LOS SÍNDROMES VASCULÍTICOS 2. Vasculitis asociadas a ANCA 2.1. Granulomatosis de Wegener Asociada a ANCA (proteinasa 3 patrón citoplasmico) TRIADA: Vasvulitis Granulomatosa de tracto respiratorio sup e inferior + Glomerulonefritis + Lesión cutanea: púrpura palpable, nódulos, necrosis 2.2. Poliangeitis microscopica Asociada ANCA perinuclear DIADA: Púrpura palpable + ERCRP 2.3 Granulomatosis / Vasculits alérgica Churg-Straus Granulomas intra y extra vasculares + ASMA +EOSINOFILÍA PERIFERICA+ Afecación pulmonar, cardiaca y o renal Lesiones cutáneas: nódulos cutáneos o subcutáneos, purpura palpable y livedo reticularis
  40. 40. MANIFESTACIONES CUTÁNEAS DE LOS SÍNDROMES VASCULÍTICOS 3. Arteritis de la temporal > 55 años mas frecuente mujeres Clínica: Cordón nodular en arteria temporal, doloroso, pulso disminuido, cefalea, alteraciones visuales, afectación general Mejoría corticoides 4. PAN Mediada por Inmunocomplejos y asociada a Virus HB Mas frecuente en Varones 50 años Clínica: afectación general, renal y neurológica Lesiones cutáneas: nódulos, livedo reticularis, ulceraciones
  41. 41. CONCLUSIONES 1. Anamnesis exhaustiva 2. Exploración tipo de lesión 3. Clínica acompañante 4. Revisión por sistemas 5. Analítica con perfil autoinmunidad y marcadores inflamación 6. RX AP Y P de TÓrax 7. Sedimento orina 8. Derivación BIOPSIA
  42. 42. BIBLIOGRAFIA Arnett FC, Edworthy SM, Bloch DA, et al. The American Rheumatism association 1987. Revised criteria for the classification of Rheumatoid Arthritis. Arthritis Rheum 1988, vol 31: 315-323 Revista Española de Reumatología Vol 18, Nº 7, 1991 The 1982 revised criteria for the classification of SLE. Arthritis Rheum 1982; 25: 1271-1277 The American Rheumatism Association. Preliminary criteria for classification of systemic sclerosis (scleroderma). Arthritis Rheum 1980; 23: 581-590 Bohan A, Peter JB. Polymiositis and dermatomyositis. N Eng J Med 1975; 292: 344-348, 403-407 Leavitt RY, Fauci AS, Bloch DA, et al. The American College of Rheumatology 1990 criteria for classification of Wegener's granulomatosis. Arthritis Rheum 1990; 33: 1101-1107 Lightfoot RW, Michel BA, Bloch DA, et al. The American College of Rheumatology 1990 criteria of the classification of Polyarteritis Nodosa. Arthritis Rheum 1990; 33: 1088-1093 Leavitt RY, Fauci AS, Bloch DA, et al. The American College of Rheumatology 1990 criteria for classification of Wegener's granulomatosis. Arthritis Rheum 1990; 33: 1101-1107 (Hasi AT, Hunder GG, Lie VT, et al. The American College of Rheumatology 1990 criteria for classification of ChurgStrauss syndrome (Allergic granulomatosis and angiitis). Arthritis Rheum 1990; 33: 1094-1100 Bielsa, I; Rodriguez,C Lupus Tummidus. Piel 2011; 253-1-9 Fisterra Gracias por vuestra atención

×