



















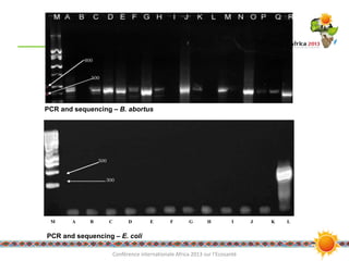
Presentation by G. Msalya, E. Joseph, F. Shija, L.R. Kurwijila, D. Grace, K Roesel, B Haesler, F Ogutu, A Fetsch, G Misinzo and H Nonga at the First African Regional Conference of the International Association on Ecology and Health (Africa 2013 Ecohealth), Grand-Bassam, Côte d'Ivoire, 1-5 October 2013.