Successfully reported this slideshow.
We use your LinkedIn profile and activity data to personalize ads and to show you more relevant ads. You can change your ad preferences anytime.

Hip muscles (1)

5,949 views

Published on

Published in: Health & Medicine
  • Follow the link, new dating source: ♥♥♥ http://bit.ly/2F90ZZC ♥♥♥
       Reply 
    Are you sure you want to  Yes  No
    Your message goes here
  • Sex in your area is here: ❤❤❤ http://bit.ly/2F90ZZC ❤❤❤
       Reply 
    Are you sure you want to  Yes  No
    Your message goes here
  • Discover A Simple Holistic System For Curing Acne Once And For All using 100% Guaranteed All-Natural Method. Click Here ■■■ http://scamcb.com/buk028959/pdf
       Reply 
    Are you sure you want to  Yes  No
    Your message goes here

Hip muscles (1)

  1. 1. + ESS 3092: KINESIOLOGY Week 11
  2. 2. Transverse Abdominis  Origin  Iliac crest, inguinal ligament, thoracolumbar fascia, and costal cartilages 7-12 Insertion  Xiphoid process, linea alba, pubic crest via an aponeurosis Location  Deep  Movements  Compress the ribs and viscera, providing thoracic and pelvic stability
  3. 3. + Pelvis and Hip Motions Pelvic rotation Lumbar spine motion Right hip motion Left hip motion Anterior rotation/tilt Extension Flexion Flexion Posterior rotation/tilt Flexion Extension Extension Right lateral tilt Left lateral flexion Abduction Adduction Left lateral tilt Right lateral flexion Adduction Abduction Right transverse rotation Left lateral rotation Posterior rotation Anterior rotation Left transverse rotation Right lateral rotation Anterior rotation Posteriorl rotation
  4. 4. + Which ligament of the hip supports most of the body weight? 6
  5. 5. + Acetabulofemoral Joint Ligaments 1. Iliofemoral (Y) • Supports most of BW • Supports anterior hip (standing) • Resists external, internal rotation • Limits hyperextension  Only anterior pelvic tilt
  6. 6. Acetabulofemoral Joint Ligaments 2. Pubofemoral • Resists abduction (primarily) • Resists external rotation (some) 3. Ischiofemoral • Resists adduction • Limits internal rotation No ligaments resist flexion (greatest ROM) P A
  7. 7. + Anterior or Posterior View? 9
  8. 8. + Which muscles comprise the illiopsoas? 10
  9. 9. + Iliopsoas – What is it comprised of? When stabilized  Flexion of hip Thigh fixed  Flexion of trunk More active in mid-range  Leg raise or curl-up  Increased activity- feet held (curl-up)
  10. 10. Psoas Major Origin  Transverse process of L1-5 Insertion  Lesser trochanter of femur Location  Anterior/Medial Movements  Pelvis: Anterior tilt  Hip: Flexion
  11. 11. Iliacus Origin  Iliac fossa Insertion  Femoral lesser trochanter Location  Anterior/Medial Movements  Pelvis: anterior tilt  Hip: flexion
  12. 12. 15
  13. 13. + Six External Rotators of the Hip POG QOG External rotators  Piriformis  Gemellus Superior  Obturator Internus  Gemellus Inferior  Obturator Externus  Quadratus Femoris 16
  14. 14. + Piriformis  Sciatic nerve passes inferiorly  Tightness  Origin  Anterior surface of lateral sacrum Insertion  Greater trochanter of femur, along the upper medial surface Actions  Lateral rotation
  15. 15. + Gemellus Superior Origin Ischial spine Insertion Medial aspect of greater trochanter Actions External rotation
  16. 16. + Obturator Internus Origin Ischiopubic ramus, obturator membrane Insertion Medial aspect of greater trochanter Actions Lateral rotation
  17. 17. + Obturator Externus Origin Obturator membrane and the adjacent surfaces of the pubic body and pubic and ischial rami Insertion Trochanteric fossa Actions Lateral rotation
  18. 18. + Quadratus Femoris Origin Lateral border of ischial tuberocity Insertion Intertrochanteric crest Actions Lateral rotation
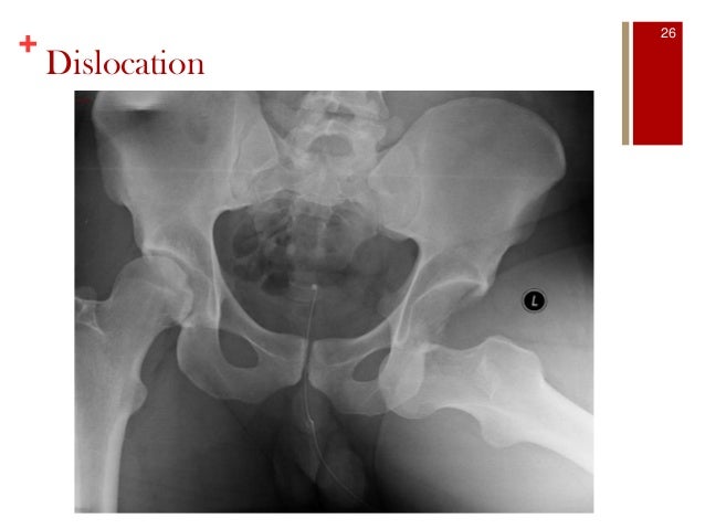
  19. 19. + Common Injuries of the Pelvis Tendinitis Bursitis Sciatica Labral tear Dislocation Fracture Osteoporosis Total hip replacement 22
  20. 20. + Sciatic Nerve 23  It is the longest and widest single nerve in the body, going from the sacrum to the foot on the posterior aspect  Lubosacral plexus L4-S5
  21. 21. + Sciatica Pain, tingling, or numbness produced by an irritation of the nerve roots that lead to the sciatic nerve Causes  The most common cause of sciatica is a bulging or ruptured disc, pressing against the nerve roots  It can also be a symptom of other conditions such as stenosis, bone spurs, arthritis or nerve root compression 24
  22. 22. +Avg time to diagnose = 2 yr Can lead to arthritis May cause contralateral disfunction of knee, hip, low back 22% of athletes w/ groin pain and 55% of those mechanical hip pain of unknown eiteology Functions: Deepens the acetabulum Increases surface area and distributes mechanical and compressive force over a greater area. Reduces compressive forces by 92% 25
  23. 23. + Dislocation 26
  24. 24. + Osteoporosis and Fracture 27
  25. 25. + Total Hip Replacement Video 28
  26. 26. Movement Analysis: Anterior Pelvic Tilt/Posterior Pelvic Tilt Plane Axis Action Agonist Antagonist 29 PHASE 1 2

×